Энуклеация инсулином. Вылущивание инсулиномы.
Добавил пользователь Евгений Кузнецов Обновлено: 13.12.2025
Институт хирургии им. А.В. Вишневского, Москва
Институт хирургии им. А.В. Вишневского, Москва
Отделение хирургии сосудов Института хирургии им. А.В. Вишневского, Москва
Институт хирургии им. А.В. Вишневского, Москва
Инсулинома: современное состояние проблемы
Журнал: Хирургия. Журнал им. Н.И. Пирогова. 2010;(1): 66‑70
Кригер А.Г., Кочатков А.В., Лебедева А.Н., Горин Д.С. Инсулинома: современное состояние проблемы. Хирургия. Журнал им. Н.И. Пирогова. 2010;(1):66‑70.
Kriger AG, Kochatkov AV, Lebedeva AN, Gorin DS. Insulinoma: the state of art. Pirogov Russian Journal of Surgery = Khirurgiya. Zurnal im. N.I. Pirogova. 2010;(1):66‑70. (In Russ.).
Институт хирургии им. А.В. Вишневского, Москва
Институт хирургии им. А.В. Вишневского, Москва
Институт хирургии им. А.В. Вишневского, Москва
Отделение хирургии сосудов Института хирургии им. А.В. Вишневского, Москва
Институт хирургии им. А.В. Вишневского, Москва
В настоящее время достигнут значительный прогресс в диагностике и лечении нейроэндокринных опухолей (НЭО) различной локализации. В ведущих странах Европы и в США ведутся соответствующие реестры больных с НЭО и опубликованы анализы результатов диагностики и лечения тысяч пациентов [8, 9, 20]. К сожалению, приходится констатировать отставание отечественного здравоохранения от современных мировых представлений по данному вопросу. В России при анализе статистики злокачественных новообразований НЭО даже не упоминаются, отсутствует реестр больных, нет стандарта диагностических приемов, лечения и последующего наблюдения за больными [1]. Современная биотерапия практически не доступна пациентам. Картину состояния проблемы дополняет низкая медицинская культура населения и недостаточная информированность врачей о НЭО.
Инсулинома - НЭО, клинические проявления которой связаны с гиперпродукцией инсулина и/или инсулиноподобных факторов. Как и другие НЭО, инсулиномы могут продуцировать целый спектр гормонов, включая серотонин, гастрин, глюкагон, соматостатин, панкреатический полипептид, кортикотропин, хорионический гонадотропин и др., что может отражаться на клиническом течении заболевания и затруднять диагностику [11, 12].
Инсулинома является наиболее частой функционирующей НЭО поджелудочной железы (ПЖ) и встречается с частотой 1-2 на 1 млн населения в год [19]. Экстрапанкреатическая локализация опухоли крайне редка, хотя она может встречаться в желудке, двенадцатиперстной, тощей, подвздошной, поперечной ободочной кишках, малом сальнике, желчном пузыре, воротах селезенки, даже в легких, щитовидной железе или надпочечниках [3, 4]. Как правило, инсулинома представлена одиночным узлом, диаметр опухоли в 90% наблюдений не превышаeт 2 см [19]. Чаще болеют женщины старше 50 лет. Следует помнить, что инсулинома может быть и при наследственных синдромах, в первую очередь при синдроме Вермера (синдром множественной эндокринной неоплазии - МЭН-1). При этом опухоли чаще бывают злокачественными, всегда множественными, могут локализоваться в надпочечниках, щитовидной железе и паращитовидных железах, гипофизе.
По современной классификации ВОЗ функционирующие НЭО ПЖ, в том числе инсулиномы, делят на три группы: 1 - высокодифференцированные НЭО, которые включают доброкачественные опухоли и новообразования с неопределенным потенциалом злокачественности; 2 - высокодифференцированные эндокринные карциномы с низким потенциалом злокачественности; 3 - низкодифференцированные эндокринные карциномы с высоким потенциалом злокачественности. Злокачественные инсулиномы диагностируются у 10% пациентов [15]. Основой для разграничения этих опухолей служит подробное описание макроскопической, микроскопической и иммуногистохимической картины. Для оценки потенциала злокачественности в клетках опухоли определяют митотический индекс и индекс Ki-67. Ключевым моментом в определении опухоли является иммуногистохимическое обнаружение экспрессии опухолью рецепторов к соматостатину второго типа.
Клиническая картина заболевания напрямую связана с эндогенным (органическим) гиперинсулинизмом, который приводит к развитию гипогликемии натощак, оказывает угнетающее воздействие на процессы гликогенолиза и глюкогенеза в печени. Гипогликемические симптомы разделяют на две группы: нейрогликопенические и нейрогенные. Первая группа симптомов связана с дефицитом глюкозы в центральной нервной системе и проявляется в виде изменения поведения, беспокойства, зрительных нарушений, утомляемости, нарушений умственной деятельности вплоть до комы и смерти больного [7]. Нейрогенные симптомы обусловлены нарушениями автономной нервной системы и проявляются чувством голода, потливостью, парестезиями (холинергические проявления), чувством тревоги, тремором, сердцебиением (адренергические проявления). Увеличение массы тела вплоть до выраженного ожирения наблюдается у 70% больных, что обусловлено постоянным чувством голода и необходимостью частого приема пищи. Гипогликемия развивается чаще всего утром. Провоцирующим фактором могут стать физическая нагрузка, голодание, эмоциональные переживания. Все перечисленные симптомы в различных комбинациях встречаются у 25-90% больных. С течением времени гипогликемические состояния становятся ежедневными и промежутки между приемами пищи или парентеральным введением глюкозы сокращаются до 2-3 ч [3]. При поздней диагностике заболевание приобретает тяжелую форму с выраженными изменениями личности и грубой неврологической симптоматикой.
Клиническими критериями постановки диагноза инсулиномы является триада Уиппла (Whipple’s triad): 1) развитие приступов спонтанной гипогликемии натощак или после физической нагрузки; 2) снижение во время приступа содержания глюкозы в крови ниже 50 мг% (2,77 ммоль/л); 3) быстрое купирование приступа при введении глюкозы (внутривенном и/или пероральном).
Спектр инструментальных методов исследования для топической верификации диагноза стандартен. Метод скрининга - УЗИ органов брюшной полости. Наиболее информативными являются МРТ с использованием контрастного усиления гадолинием, 4-фазная мультидетекторная спиральная компьютерная томография (МД-СКТ) и эндоскопическое УЗИ. Остальные методы исследования должны использоваться по показаниям. Могут быть использованы позитронно-эмиссионная томография, сцинтиграфия с меченым сандостатином (октреоскан), чрескожно-чреспеченочная катетеризация воротной вены с забором крови из печеночных вен после внутриартериальной стимуляции кальцием различных отделов ПЖ, интраоперационное УЗИ и др.
При лучевых методах обследования инсулиному визуализируют как гиперваскулярное образование, накапливающее контрастное вещество в артериальную фазу исследования. При МРТ в Т1-взвешенном изображении эти образования определяют как очаг с низкой плотностью сигнала и умеренно высокой плотностью сигнала в Т2-взвешенных изображениях.
Лабораторная диагностика строится на определении уровня панмаркеров НЭО в крови (хромогранин А), а также на подтверждении триады Уиппла: 1 - постоянный уровень инсулина выше 36 пкмоль/л; 2 - уровень С-пептида выше 200 пмоль/л; 3 - уровень проинсулина выше 5 пмоль/л; 4 - отсутствие сульфанилурии. С диагностической целью применяют отношение концентрации иммунореактивного инсулина (мкед/мл) к содержанию глюкозы в сыворотке крови (в мг%). В норме это соотношение меньше 0,4, тогда как для инсулиномы патогномонично повышение этого индекса до 1,0 [2].
«Золотой тест диагностики» - голодание в течение 72 ч. Проба основана на развитии гипогликемии при прекращении поступления углеводов у пациентов с гиперфункцией инсулярного аппарата. Характерная клиническая симптоматика в течение 12 ч развивается у 35% пациентов, в течение 24 ч - у 75%, в течение 48 ч - у 92%, в течение 72 ч - у 99% пациентов [16].
Методом выбора в лечении инсулином является хирургическое вмешательство, которое может производиться как из лапаротомного доступа, так и лапароскопическим методом.
При доброкачественных опухолях малых размеров, расположенных не менее чем в 2-3 мм от главного панкреатического протока, выполняют энуклеацию [13]. Резекция ПЖ показана в ситуациях, когда опухоль контактирует с главным панкреатическим протоком, магистральными сосудами и при злокачественном характере опухоли. В зависимости от локализации опухоли выполняют дистальную или срединную резекцию, пилоросохраняющую панкреатодуоденальную резекцию с лимфодиссекцией [18]. При наличии метастазов опухоли в печень показана активная хирургическая тактика - удаление первичной опухоли и метастатических очагов [14].
Говоря о медикаментозном лечении, следует отметить, что диазоксид (50-300 мг/сут) является наиболее эффективным препаратом, контролирующим уровень гликемии. Верапамил и дифенилгидатион могут также использоваться у этих больных. В отдельных наблюдениях показано назначение α-интерферона.
После хирургического лечения инсулином выздоровление наступает в 75-98% случаев. Прогноз зависит от стадии заболевания и радикальности оперативного вмешательства [6, 17]. После выполнения резекции ПЖ риск рецидива составляет 5%, в то время как при синдроме Вермера - 21% [10]. По данным D. Danforth и соавт. [5], средняя продолжительность бессимптомного периода у больных, перенесших радикальную операцию по поводу злокачественной опухоли, составляет 5 лет, опухоли встречаются у 63% больных [4]. Средняя продолжительность жизни больных после паллиативной резекции составляет 4 года, в то время как после биопсии опухоли - всего 11 мес [5].
Клинические наблюдения
Больной К., 23 лет, госпитализирован в Институт хирургии им. А.В. Вишневского 16.12.08. Болен с 2005 г., когда отметил появление слабости, сонливости, спутанного сознания. Указанные проявления возникали при уровне глюкозы крови 2,5 ммоль/л. После приема пищи или внутривенного введения глюкозы симптоматика исчезала. Прибавки в массе не отмечено: индекс массы тела 22,2 кг/м 2 . В 2007 г. перенес гипогликемическую кому, длившуюся 2 сут, после чего наблюдалось снижение интеллекта. На основании данных компьютерной томографии, УЗИ органических изменений ПЖ не обнаружено. В эндокринологическом отделении областной клинической больницы по месту жительства был установлен положительный результат теста с голоданием (снижение уровня глюкозы крови до 1,7 ммоль/л в ходе теста), однако лабораторные данные были в пределах нормы: уровень инсулина от 6,18 до 7,71 мкед/мл (N 3-17 мкед/мл), С-пептида 908 нг/мл (N 160-1100 нг/мл), результат теста на антитела GAD отрицательный. На основании этих данных установлен диагноз: гипогликемические состояния функциональной природы. В 2008 г. в краевой клинической больнице подтвержден данный диагноз, больной направлен в Институт хирургии им. А.В. Вишневского.
При поступлении состояние удовлетворительное, больной астеничен, кожные покровы обычной окраски. В легких дыхание проводится симметрично, хрипов нет. Тоны сердца звучные, ритмичные. Пульс 72 в минуту. Язык влажный, чистый. Живот мягкий, безболезненный во всех отделах. Печень не увеличена. Опухолевидные образования не пальпируются. Область почек не изменена, поколачивание по поясничной области безболезненно. Речь скандированная. Патологических периферических неврологических симптомов не выявлено. Утром просыпается с помощью медицинского персонала, при этом активизируется только после приема сладкой пищи или внутривенного введения глюкозы. Уровень глюкозы в крови в 7 ч 2,2-2,3 ммоль/л. Результат теста с голоданием положительный: через 8 ч ночного голодания пациент практически ежедневно впадал в коматозное состояние.

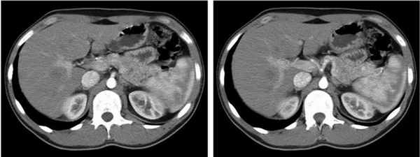
УЗИ: в области перешейка и тела ПЖ обнаружено 5 опухолей диаметром от 12 до 5 мм. Эндоскопическая ультрасонография радиальным датчиком: в области перешейка ПЖ - опухоль диаметром 16 мм, в теле и хвосте - опухоли диаметром 9 и 8 мм. КТ: гиперденсное образование в теле ПЖ размером 14×11 мм, в головке - 12 мм, два образования в хвосте ПЖ размерами 17 и 12 мм (рис. 1). Рисунок 1. Мультидетекторные спиральные компьютерные томограммы больного К. Множественные инсулиномы в теле (а) и хвосте (б) поджелудочной железы.
Иммунореактивный инсулин определялся многократно, лабораторные значения варьировали в пределах 3,6-3,8 мкед/мл (N 2,5-7,1 мкед/мл). Лишь однократно значение этого показателя составило 7,7 мкед/мл. Содержание проинсулина было равным 13,4 пмоль/л (N 3-30 пмоль/л), СТГ - 0,12 нг/мл (N 0-10 нг/мл), соматомедина С (ИФР-1) - 208 мкг/л (N 117-329 мкг/л), С-пептида -0,742 нмоль/л (N 0,37-1,47 нмоль/л), ТТГ - 1,48 мкед/мл (N 0,47-4,6 мкед/мл), Т4 свободного - 12,15 пмоль/л (N 9,1-23,8 пмоль/л). Уровень онкомаркеров (СЕА и СА 19-9) в пределах нормы.
С диагнозом множественных инсулином (органический гиперинсулинизм) 23.12 больной оперирован. После поперечной лапаротомии и ревизии органов брюшной полости вскрыта сальниковая сумка. По передней поверхности ПЖ в области перешейка и тела имеются выступающие над поверхностью органа множественные опухоли дольчатой структуры диаметром около 15 мм. При пальпации в паренхиме железы от перешейка до хвоста четко определяются опухоли различной плотности диаметром от 12 до 5 мм. При интраоперационном УЗИ в области перешейка обнаружена гантелевидная опухоль диаметром 20 мм, в теле и хвосте органа - множественные опухоли. Выполнена корпорокаудальная резекция ПЖ. Тело и хвост железы выделены на всем протяжении с сохранением селезеночных сосудов и удалением лимфатических узлов по их ходу вплоть до ворот селезенки. При этом в области головки железы нечетко пальпируется узел диаметром около 5 мм, расположенный на глубине около 3-5 мм от культи. Произведено выделение узла с электрокоагуляцией. Выполнена дополнительная лимфодиссекция с удалением жировой клетчатки в области чревного ствола, печеночной артерии вплоть до ворот печени. При макроскопическом осмотре удаленного препарата в теле и хвосте ПЖ определено 6 опухолей. При срочном морфологическом исследовании подтвержден их нейроэндокринный характер. При плановых морфологическом и иммуногистохимическом исследованиях выявлено 10 нейроэндокринных аденом диаметром от 13 до 5 мм, экспрессирующих хромогранин А, синаптофизин, CD56; индекс Ki-67 1-2%. В 3 из них (на расстоянии 6, 9, 14 см от края резекции) определяется экспрессия инсулина. В лимфатических узлах опухолевого роста не выявлено.
Во время операции уровень глюкозы крови поддерживали в пределах 5-6 ммоль/л. Через час после корпорокаудальной резекции ПЖ отмечался подъем глюкозы крови с 6,4 до 7,6 ммоль/л. В раннем послеоперационном периоде регистрировалась гипергликемия от 8 до 17 ммоль/л, подкожно вводился инсулин в дозе от 14 до 31 ЕД/сут. Через 10 дней после операции уровень глюкозы крови колебался от 6,2 до 7,9 ммоль/л. В моче отмечалась аглюкозурия, гликированный гемоглобин составил 5,9%. Инсулиотерапию пациент не получал, однако отмечалась гипергликемия до 6,2 - 6,4 ммоль/л натощак, что соответствует сахарному диабету специфического типа легкой формы.
Больная К., 24 лет, госпитализирована 02.07.08. Считает себя больной около 5 лет. В начале заболевания отмечались патологическая сонливость и неадекватность поведения. В июле 2007 г. обследована в неврологическом отделении по месту жительства, диагностирована криптогенная фокальная эпилепсия, рекомендована терапия карбамазепином. Судорожные приступы стали легче, но состояние не улучшилось. В течение 1 года до поступления больная стала отмечать эпизоды нарушения сознания в течение дня, купирующиеся приемом сладкой пищи; самостоятельно не просыпалась. Отмечала однократное развитие судорожного приступа во время сна с длительным угнетением сознания. В глубоком сопоре была госпитализирована в январе 2008 г. по месту жительства в республиканскую больницу, где был диагностирован органический гиперинсулинизм. Диагноз подтвержден положительным результатом теста с голоданием: через 12-14 ч гликемия 1,2 ммоль/л с потерей сознания. Диагностирован также вторичный эпилептический синдром и узловой зоб. С-пептид натощак 4,7 нг/мл (N 0,64-2,83 нг/мл), при повторном исследовании 2,0 нг/мл (норма). Уровень иммунореактивного инсулина не определялся (по техническим причинам). Масса тела увеличилась на 8 кг.
При поступлении состояние удовлетворительное, индекс массы тела 21,3 кг/м 2 . Кожные покровы обычной окраски. В легких дыхание проводится симметрично, хрипов нет. Тоны сердца звучные, ритмичные. Пульс 72 в минуту. Язык влажный, чистый. Живот мягкий, безболезненный во всех отделах. Печень не увеличена. Опухолевидные образования не пальпируются. Область почек не изменена, поколачивание по поясничной области безболезненно. Периодически в течение дня отмечаются эпизоды спутанного сознания, купируемые приемом сладкой пищи. Патологических периферических неврологических симптомов не выявлено. Уровень глюкозы крови в 7 ч натощак 2,4 ммоль/л.

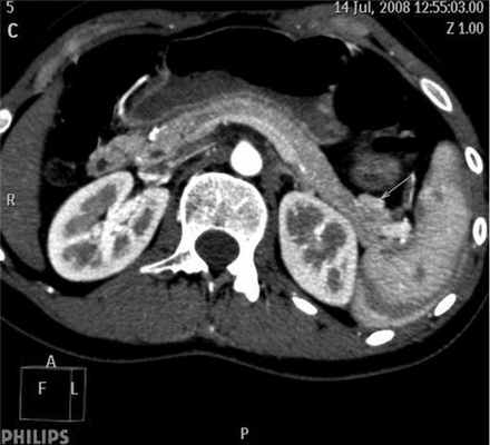
При УЗИ брюшной полости патологических изменений не выявлено. УЗИ щитовидной железы: узел размером 18×13 мм в правой доле, неоднородной структуры. Больная консультирована эндокринологом, рекомендована диагностическая пункция узла в плановом порядке после оперативного вмешательства на ПЖ. При эндоскопическом УЗИ радиальным датчиком заподозрено очаговое образование в области хвоста ПЖ до 10 мм в диаметре. МД-СКТ брюшной полости и головного мозга: гиперденсное образование по переднему контуру хвоста ПЖ размером 16×10 мм (рис. 2), Рисунок 2. Мультидетекторная спиральная компьютерная томограмма больного К. Инсулинома хвоста поджелудочной железы (стрелка). размер аденомы гипофиза 10 мм. МРТ брюшной полости: патологических изменений не выявлено.
С диагнозом синдрома Вермера (МЭН-1): нейроэндокринной опухоли хвоста ПЖ, аденомы гипофиза, узлового зоба 21.07.09 больная оперирована. Во время операции в области хвоста ПЖ обнаружена опухоль размером 10×8 мм, вишневого цвета, мягкая, в тонкой капсуле. В гепатодуоденальной связке увеличенный мягкий лимфатический узел размером 20×10 мм. Произведено удаление опухоли в области хвоста ПЖ за счет вылущивания образования с перевязкой сосудистой ножки. Увеличенный лимфатический узел гепатодуоденальной связки удален. При интраоперационном УЗИ очаговых образований в ткани ПЖ и окружающей клетчатке не выявлено.
Срочное и плановое морфологическое и иммуногистохимическое исследования удаленной опухоли: картина доброкачественной НЭО. В удаленном лимфатическом узле реактивная гиперплазия фолликулов.
Во время операции уровень глюкозы крови поддерживался в пределах 7-8,5 ммоль/л. Через 60 мин после энуклеации опухоли гипергликемия составила 9,8 ммоль/л, через 5 ч - 10,7 ммоль/л. При этом сохранялась гипокалиемия - 3,7 ммоль/л. Через сутки после операции транзиторная гипергликемия (колебания глюкозы крови от 8,4 до 11,5 ммоль/л) купировалась самостоятельно. Через 2 сут уровень глюкозы крови колебался в пределах нормы. После выписки больной рекомендована консультация у эндокринолога и нейрохирурга с целью определения тактики дальнейшего лечения.
Таким образом, обнаружение инсулином - непростая задача. Тест с голоданием является основным в клинической диагностике эндогенного гиперинсулинизма. Современные лучевые методы диагностики позволяют установить топический диагноз. Одним из путей улучшения диагностики и результатов хирургического лечения может быть создание общества, объединяющего врачей различных специальностей, что позволит пропагандировать информацию, касающуюся этого заболевания, и совместное продвижение современных идей в практическое здравоохранение.
Энуклеация инсулином. Вылущивание инсулиномы.
Энуклеация инсулином. Вылущивание инсулиномы.
Энуклеация — операция выбора при хирургическом лечении инсулином. Ее цель - резецировать как можно меньше нормальной ткани поджелудочной железы. Несмотря на то, что при удалении инсулином используется термин «энуклеация», на самом деле эта операция энуклеацией не является, поскольку опухоль не имеет капсулы и всегда необходимо удалять окружающие ткани поджелудочной железы для лигирования кровеносных сосудов, кровоснабжающих инсулиному. Выполнив энуклеацию, важно определить, нет ли повреждения протока поджелудочной железы. Инсулиномы, локализованные в головке железы около двенадцатиперстной кишки, необходимо исследовать на возможность повреждения панкреатической части общего желчного протока.
Интраоперационная ультрасонография оказывает большую помощь в определении отношения инсулиномы к панкреатическому протоку и помогает избежать его повреждения. Если есть подозрение на повреждение протока поджелудочной железы, полезно ввести внутривенно секретин, чтобы стимулировать панкреатическую секрецию и выявить наличие повреждения протока, а затем принять адекватные меры по его устранению. Если повреждения протока не выявлено, оставшуюся после энуклеации полость нужно ушить нерассасывающимися швами, захватывая оба края капсулы поджелудочной железы. Перед закрытием полости необходимо осуществить полный гемостаз. В брюшной полости оставляют дренажную трубку, которую выводят наружу через контрапертуру.
Если панкреатический проток был поврежден, разовьется послеоперационный свищ, для закрытия которого обычно требуется несколько недель. Некоторые хирурги для уменьшения панкреатической секреции и ускорения закрытия свища рекомендуют назначение пролонгированного аналога соматостатина подкожно три раза в день. Если панкреатический проток поврежден в дистальной части поджелудочной железы, показана ее дистальная резекпия для предупреждения развития свища. Если имеется значительное повреждение протока в области головки поджелудочной железы, целесообразно наложить анастомоз между поврежденной областью поджелудочной железы и тощей кишкой, мобилизованной по Roux-en-Y, или с задней стенкой желудка. Некоторые хирурги предпочитают лечить повреждение панкреатического протока введением тонкой силастиковой трубки в проток, с выводом ее наружу через фатеров сосочек вместе с Т-образной трубкой, находящейся в обшем желчном протоке.
Рану поджелудочной железы закрывают узловыми нерассасывающимися швами, оставив в брюшной полости аспирационную дренажную трубку, выведенную наружу через контрапертуру. Если повреждена панкреатическая часть общего желчного протока, рану общего желчного протока ушивают синтетическими медленно рассасывающимися швами, а общий желчный проток дренируют Т-образной трубкой, выведенной из брюшной полости. Энуклеация инсулиномы может привести и к другим осложнениям, таким как острый панкреатит, псевдокисты поджелудочной железы и т. д. Однако необходимо отметить, что осложнения возникают редко, если энуклеация выполняется технически правильно, с соблюдением мер предосторожности.

Энуклеация инсулиномы головки поджелудочной железы.
Капсула на передней поверхности поджелудочной железы рассечена, и производится энуклеация инсулиномы. Инсулинома не имеет капсулы, поэтому энуклеацию в прямом смысле этого слова выполнить нельзя, однако этот термин часто используют. Для резекции инсулиномы необходимо перевязать и иссечь часть паренхимы железы вокруг опухоли. Гемостаз проводят во время выполнения резекции. После резекции необходимо обследовать ложе на месте удаленной инсулиномы, чтобы определить, есть ли повреждение панкреатического протока, и своевременно принять меры для его коррекции. Если имеются сомнения относительно вероятности повреждения протока поджелудочной железы, полезно ввести внутривенно секретин (2 ЕД на килограмм массы) для увеличения панкреатической секреции и выявления места повреждения протока.
Если проток не поврежден, завершают гемостаз закрытием раны железы двумя или тремя швами, которые включают капсулу и часть паренхимы поджелудочной железы. Перед закрытием брюшной полости оставляют дренажную трубку, которую выводят через контрапертуру в брюшной стенке.
Информация на сайте подлежит консультации лечащим врачом и не заменяет очной консультации с ним.
См. подробнее в пользовательском соглашении.
Инсулинома

Проявляется в виде гипогликемического приступа (уровень содержания глюкозы в крови низко падает).
Инсулиномы зачастую образовываются в поджелудочной железе, в редких случаях инсулиномы могут поражать печень или толстый кишечник. Опухоль, имеющая вид инсулиномы, как правило, поражает людей, возрастом от 25 до 55 лет, у детей практически не встречается. В некоторых случаях инсулиномы могут свидетельствовать о множественном эндокринном аденоматозе.
Патогенез гипогликемии при инсулиноме
Инсулинома — это опухоль, которая вырабатывает гормон. В силу того, что раковые клетки при инсулиноме имеют неправильное строение, они функционируют не стандартным образом, за счет чего уровень глюкозы в крови не регулируется. Опухоль вырабатывает много инсулина, который в свою очередь, снижает концентрацию глюкозы в крови. Гипогликемия и гиперинсулинизм являются главными патогенетическими звеньями заболевания.
Патогенез инсулиномы у разных пациентов может быть похож, но симптомы развития заболевания довольно разнообразны. Такие показатели обуславливаются тем, что у каждого человека разная чувствительность к инсулину и гипогликемии. Больше всего нехватку глюкозы в крови ощущают ткани головного мозга. Это связано с тем, что головной мозг не имеет запас глюкозы, а также не может использовать жирные кислоты в качестве заменителя источника энергии.
Прогноз при инсулиноме
Если опухоль доброкачественная, то после перенесения радикального метода лечения (операции по удалению опухоли) пациент выздоравливает. Когда опухоль имеет параэндокринную локализацию, то успешным будет и медикаментозное лечение инсулиномы.
Когда опухоль имеет злокачественный характер, прогноз лечения будет более серьезным. Это зависит как от места расположения опухоли, так и от количества очагов поражения. Очень важным является успех химиотерапевтических препаратов — это зависит от каждого конкретного случая заболевания и чувствительности опухоли к препаратам. Зачастую 60% больных чувствительны к стрептозоцину, если опухоль не чувствительна к этому препарату, применяют адриамицин. Как показывает практика, успех хирургического лечения инсулиномы достигается в 90% случаев, при этом смерть во время операции наступает в 5-10%.
Симптомы инсулиномы
Основные симптомы инсулиномы — это приступы гипогликемии, которые являются следствием повышения уровня инсулина в крови больного. Как правило, такие приступы сопровождаются общей слабостью пациента, чувством усталости и частым сердцебиением. Кроме этого, больной сильно потеет, становится беспокойным и чувствует постоянный страх. Избавиться от симптомов инсулиномы временно помогает утоление чувства голода, которое также является важным признаком заболевания.
Инсулинома может протекать как с выраженными симптомами, так и со скрытыми признаками. Второй вариант более опасный для больного, такое течение инсулиномы не позволяет пациенту вовремя принимать пищу, что препятствует нормализации состояния больного гипогликемией. В связи с тем, что уровень глюкозы в крови человека падает, поведение пациента становится не адекватным, появляются довольно четкие и понятные галлюцинации. Снижение уровня глюкозы сопровождается обильным слюноотделением, потовыделением, раздвоением в глазах, что может привести к попытке больного принести окружающим физический вред для того, чтобы отнять продукты.
Если приступ не остановить, вовремя утолив голод, при дальнейшем падении глюкозы в крови у больного повышается мышечный тонус. В особых случаях может произойти приступ эпилепсии. Зрачки больного становятся большими. Дыхание и сердцебиение становятся учащенным. В том случае, когда больному не оказывается своевременная помощь, может наступить гипогликемическая кома. При этом сопутствующие симптому будут в виде потери сознания, расширенных зрачков, низкого мышечного тонуса и артериального давления, перестает выделяться пот и сбивается ритм сердца и дыхания. Как следствие таких симптомов может последовать развитие отека головного мозга.
Также гипогликемия может сопровождаться повышенной массой тела, а иногда и ожирением. Если больной находится продолжительное время в гипогликемической коме или довольно часто впадает в такие состояния, у него может развиться дисциркуляторная энцефалопатия, паркинсонизм и судорожный синдром.
Диагностика инсулиномы
Для диагностики инсулиномы применяют различные пробы в виде дозированных нагрузок на организм. Самый распространенный тест — это суточное голодание. Пациенту назначают специальную диету, в которой присутствует минимум жиров и углеводов. При такой диете, у больного инсулиномой начинают проявляться симптомы гипогликемии. Даже если проявление симптомов не начинается, уровень глюкозы в крови больного значительно повышается. Клетки опухоли начинают самостоятельно вырабатывать инсулин, в не зависимости от того, в каком количестве содержится глюкоза в крови. Таким образом, происходит снижение уровня глюкозы и повышение уровня инсулина. Диагностика таким способом позволяет определить инсулиному на 100%.
Еще один метод диагностики — инсулиновый тест. Пациенту вводят инсулин в кровь, за счет чего начинают проявляться симптомы или приступы гипогликемии. Результативность теста так же высока, как и диагностика с голоданием. Однако есть один существенный недостаток: у больного в результате такого теста развивается гипогликемия или нейрогликопения. Такие пробы можно проводить исключительно в режиме стационарного обследования.
Тест, провоцирующий выработку инсулина в крови, так же используют для диагностики инсулиномы. Пациенту внутривенно вводят глюкозу или глюкагон, который провоцирует выработку инсулина. Более результативным является введение глюкозы и кальция, в силу того, что повышенная выработка инсулина у больных инсулиномой выше, чем у здоровых людей только на 60-80%. При такой диагностике не происходит развитие гипогликемии за счет инфузии глюкозой.
Чтобы точно диагностировать инсулиному и не спутать ее с такими заболеваниями, как надпочечниковая недостаточность, тяжелое поражение печени, экстрапанкреатическими злокачественными опухолями, болезнями, связанными с накоплением гликогена и заболеваниями ЦНС — используют данные клинических и лабораторных исследований, соответствующие каждой группе заболеваний. Проведение тестов на инсулин и тощаковая диета помогают разграничить инсулиному и другие заболевания, имеющие схожие показатели.
Кроме этого, необходимо диагностировать инсулиному как токсическую или органическую. Токсическая инсулинома может быть алкогольной или медикаментозной, вызванной приемом препаратов, понижающих уровень глюкозы в крови.
После того, как был определен тип инсулиномы, необходимо определить ее место нахождения, а также размер опухоли. Для этих целей используют компьютерную томографию и магниторезонансное обследование, также может быть использовано ультразвуковое обследование. Для определения локализации опухоли могут быть использованы диагностическая лапароскопия или лапаротомия.
Лечение инсулиномы
Инсулинома крупных размеров — это опухоль, имеющая характерный красно-коричневый цвет. Лечение инсулиномы предусматривает два метода: радикальное и консервативное.
Радикальное лечение
Под радикальным лечением понимается хирургическое вмешательство с целью удаления опухоли. Пациент может добровольно отказаться от операции по удалению опухоли. Также оперативное лечение не применяется при наличии сопутствующих соматических проявлений тяжелого характера.
При расположении опухоли в хвостовой части поджелудочной железы операцию выполняют с отсечением части тканей органа и удалением опухоли. В тех случаях, когда инсулинома доброкачественная и находится в теле или головке щитовидной железы, проводят энуклеацию (вылущивание опухоли). Когда опухоль злокачественная с множественными очагами поражения и при невозможности ее полного удаления, применяют способ лечения медикаментами. Медикаментозный способ лечения предусматривает прием таких препаратов, как диазоксид (прогликем, гиперстат) или октреотид (сандостатин). Прием этих препаратов приводит к снижению выработки инсулина, а также подавлению приступов гипогликемии.
Консервативное лечение
При консервативном лечении инсулиномы преследуют следующие результаты: купирование и профилактика гипогликемии, а также воздействие на опухолевый процесс.
В тех случаях, когда лечение радикальным методом невозможно, например, опухоль злокачественная с множественными очагами поражения, назначается симптоматическая терапия. Такая терапия включает в себя частый прием углеводов. Если нет возможности нормализовать уровень выработки инсулина медикаментами, больного определяют на химиотерапию, после чего на полихимиотерапию.
Узнать, в каких клиниках проводят лечение инсулиномы в Москве, вы легко можете на нашем сайте.
Данная статья размещена исключительно с целью ознакомления в познавательных целях и не является научным материалом или профессиональным медицинским советом. За диагностикой и лечением обратитесь к врачу.
Введите ваши данные, и наши специалисты свяжутся с Вами, и бесплатно проконсультируют по волнующим вас вопросам.
Инсулинома
Инсулинома - это вид эндокринной опухоли поджелудочной железы, возникающей из островковых клеток. Среди всех случаев, инсулиномы 80% имеют одиночный узел и при их выявлении можно достичь излечения. Только 10% инсулином злокачественные. Инсулинома случается с частотой 1/250 000. Средний возрастной показатель составляет 50 лет, за исключением случаев множественной эндокринной неоплазии Множественная эндокринная неоплазия 1 типа (синдром Вермера) Множественная эндокринная неоплазия 1 типа (синдром Вермера) представляет собой наследственный синдром, характеризующийся гиперплазией или иногда аденомами околощитовидных желез и опухолями. Прочитайте дополнительные сведения (МЭН) 1-го типа (около 10% от общего числа инсулином), которые выявляются после 20-ти лет. Инсулиномы при синдроме Вермера чаще бывают множественными.
Скрытое введение экзогенного инсулина может провоцировать эпизоды гипогликемии, напоминая картину инсулиномы.
Симптомы и признаки инсулиномы
Гипогликемия при инсулиноме развивается натощак. Симптомы гипогликемии, возникнувшей вследствие инсулиномы, могут развиваться незаметно и подчас имитируют различные психиатрические и неврологические расстройства. К нарушениям функций ЦНС относятся головная боль, спутанность сознания, расстройства зрения, мышечная слабость, параличи, атаксия, выраженные изменения личности; возможно прогрессирование с потерей сознания, развитием судорог и комы.
Часто проявляются симптомы повышенной симпатической активности (общая слабость, дрожь, сердцебиение, потливость, голод, повышенная возбудимость).
Диагностика инсулиномы
В ряде случаев – содержание С-пептида и проинсулина
При развитии симптомов необходимо оценить уровень глюкозы в сыворотке крови натощак. При наличии симптомов гипогликемии (уровень глюкозы 55 мг/дл [3,0 ммоль/л]) или при их отсутствии (уровень глюкозы 40 мг/дл [2,2 ммоль/л]), необходимо оценить уровень инсулина в одновременно взятом образце крови. Гиперинсулинемия > 6 мкЕД/мл (42 пмоль/л) указывает на наличие инсулин -опосредованной гипогликемии; на то же указывает отношение содержания инсулина в сыворотке к содержанию глюкозы в плазме > 0,3 (мкЕД/мл)/(мг/дл) (38,2 при использовании единиц СИ [пмоль/л]/[ммоль/л]).
Инсулин секретируется в форме проинсулина, состоящего из альфа-цепи и бета-цепи, соединенных С-пептидом. Т. к. инсулин промышленного изготовления содержит только бета-цепь, тайное введение препаратов инсулина можно обнаружить путем измерения уровня С-пептида и проинсулина. У пациентов с инсулиномой содержание С-пептида составляет ≥ 0,6 нг/л (0,2 нмоль/л), а проинсулина ≥ 5 пмоль/л. При тайном применении препаратов инсулина уровень этих показателей в норме или снижен.
симптомы появляются натощак;
симптомы появляются при гипогликемии;
употребление углеводов уменьшает симптомы.
Содержание гормона следует оценивать как описано выше, когда у пациента возникают клинические проявления.
Если компоненты триады Уиппла не наблюдаются после периода голодания и уровень глюкозы в плазме после периода ночного голодания составляет > 50 мг/дл ( > 2,8 ммоль/л), можно провести тест подавления выработки С-пептида. При инфузии инсулина (со скоростью 0,1 ЕД/кг/час) у больных с инсулиномой не отмечается снижения содержания С-пептида до нормального уровня ( ≤ 1,2 нг/мл [ ≤ 0,40 нмоль/л]).
Эндоскопическое УЗИ обладает чувствительностью > 90% в выявлении опухолевого очага. Также может применяться позитронная эмиссионная томография (ПЭТ) КТ не обладает доказанной информативностью; в проведении артериографии или селективной катетеризации воротной и селезеночной вен, как правило, необходимости не возникает.
Лечение инсулиномы
Диазоксид и иногда октреотид для коррекции гипогликемии
Частота полного излечения при хирургическом лечении достигает 90%. Одиночная инсулинома небольших размеров на поверхности или неглубоко от поверхности поджелудочной железы, как правило, может быть энуклеирована хирургически. При одиночной аденоме больших размеров или глубоко расположенной, которая локализуется в теле или хвосте поджелудочной железы, при множественных образованиях тела и/или хвоста, либо если инсулиному не удается обнаружить (это редкий случай), проводится дистальная субтотальная панкреатэктомия. В менее чем в 1% случаев инсулинома имеет эктопическое расположение в околопанкреатических тканях – в стенке двенадцатиперстной кишки, перидуоденальной области и может быть выявлена только при тщательном поиске в течение хирургического вмешательства. Панкреатодуоденэктомия (операция Уиппла) проводится при операбельных злокачественных инсулиномах проксимальной части поджелудочной железы. Тотальная панкреатэктомия проводится в случаях, когда предшествующая субтотальная панкреатэктомия не оказала эффекта.
При длительно сохраняющейся гипогликемии можно назначить диазоксид в начальной дозе 1,5 мг/кг перорально 2 раза в день в комбинации с натрийуретиком. Дозу можно повышать до 4 мг/кг. Эффективность аналога соматостатина - октреотида (100-500 мкг подкожно 2-3 раза в день) вариабельна, к его назначению можно прибегнуть у пациентов с длительно сохраняющейся гипогликемией, не отвечающей на лечение диазоксидом. При хорошем эффекте лечения пациентов можно переводить на лекарственную форму октреотида длительного действия и вводить его внутримышечно 20–30 мг 1 раз в месяц. На фоне применения пациентами октреотида может возникать необходимость дополнительного приема препаратов панкреатина, т. к. происходит подавление панкреатической секреции. К другим препаратам, обладающим умеренным и вариабельным подавляющим действием на секрецию инсулина , относятся верапамил, дилтиазем и фенитоин.
Если симптоматика не поддается контролю, можно предпринять пробную химиотерапию, однако ее эффективность ограничена. При назначении стрептозоцина вероятность достижения эффекта составляет 30–40%, в комбинации с 5-фторурацилом – 60% (длительность ремиссии до 2 лет). Другие средства лечения – доксорубицин, хлорозотоцин, интерферон. Проводится изучение действия современных схем химиотерапии, включающих эверолимус, препараты на основе темозоломида или сунитиниб, на инсулиномы.
Основные положения
Примерно 10% инсулином являются злокачественными, но все они провоцируют гипогликемию натощак.
Содержание глюкозы и инсулина следует измерять в момент появления симптомов (спонтанного, либо при нахождении в стационаре на фоне голодания).
Эндоскопическое УЗИ обладает чувствительностью > 90% в выявлении опухолевого очага; с этой целью также проводится позитронно-эмиссионная томография (ПЭТ), в то время как КТ не обладает достаточной информативностью.
Около 90% инсулином можно удалить хирургически.
Коррекция проявлений гипогликемии возможна путем назначения диазоксида и иногда октреотида.
Авторское право © 2022 Merck & Co., Inc., Rahway, NJ, США и ее аффилированные лица. Все права сохранены.
Инсулинома
В норме расположенные в поджелудочной железе бета-клетки секретируют инсулин в ответ на повышение уровня сахара в крови, что происходит после приема пищи. Инсулин помогает организму усваивать углеводы и поддерживает нормальный уровень сахара в крови.
Что такое инсулинома?
Инсулинома – нейроэндокринная опухоль, возникающая из бета-клеток поджелудочной железы и продуцирующая повышенное количество инсулина. Более чем в 90% случаев инсулиномы - доброкачественные опухоли, то есть они не образовывают метастазы. В редких случаях инсулинома может метастазировать, в основном в печень.

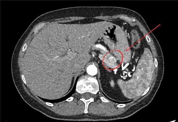
Рис.1 Инсулинома на компьютерной томографии
Причины появления инсулиномы
В большинстве случаев инсулинома возникает спорадически, то есть случайно. В некоторых случаях (у одного из 14 пациентов) инсулинома является проявлением наследственного синдрома, называемого MEN 1 типа (синдром множественных эндокринных неоплазий первого типа).
Симптомы инсулиномы
Поскольку инсулинома выделяет повышенное количество инсулина, это приводит к снижению уровня сахара в крови ниже нормальных значений. Развивается гипогликемия, которая проявляется такими симптомами, как:
учащенное сердцебиение, чувство тревоги,
повышенная возбудимость, судороги,
сонливость, потливость и бледность,
головная боль, спутанность сознания,
угнетение сознания вплоть до комы.
Чаще всего такие симптомы возникают на фоне длительного голодания и в утренние часы, однако могут появиться и в другое время суток. Как правило, употребление пищи, богатой углеводами, облегчает вышеперечисленные симптомы.
Насколько распространены инсулиномы?
Инсулинома - редкая опухоль. По статистике регистрируется 1 случай на 250 000 человек населения в год.
Диагностика инсулиномы
Наличие инсулиномы можно заподозрить по клиническим проявлениям (см. выше). В таком случае возможно проведение теста с голоданием, во время которого выполняется несколько контрольных замеров уровня сахара в крови. Таким образом подтверждается гипогликемическое состояние. Также определяется уровень инсулина, проинсулина и С-пептида в крови.
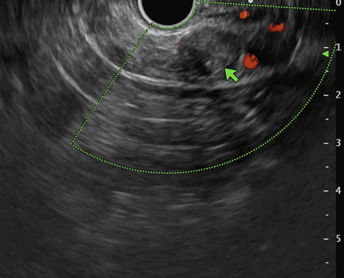
Выполнение КТ или МРТ с контрастированием помогает выявить инсулиному в поджелудочной железе и точно определить ее местоположение. Однако, в некоторых случаях обнаружение инсулиномы на КТ или МРТ может быть затруднительным. Тогда используется эндоультрасонография или эндоскопическое УЗИ.

Рис.2 Инсулинома на эндоскопическом УЗИ
Лечение инсулиномы
Лечение доброкачественной инсулиномы, как правило, хирургическое. Операция выполняется абдоминальными хирургами. Объем операции зависит от размера и расположения опухоли:
иногда можно сделать небольшую операцию, во время которой инсулинома вылущивается из ткани железы (энуклеация)
в других случаях операция заключается в резекции (удалении) части железы вместе с находящейся в ней инсулиномой
Перед операцией при необходимости проводится медикаментозная коррекция уровня сахара в крови.
В случае наличия метастатического варианта инсулиномы (злокачественный вариант) решение о лечении принимается командой из нескольких специалистов. Как правило, лечение в такой ситуации комплексное и сочетает хирургию и лекарственное лечение. Цель хирургического лечения – максимально уменьшить опухолевую массу в организме, таким образом снизив секрецию инсулина. Лекарственная терапия направлена на купирование симптомов и подавление роста оставшейся в организме опухоли. Для лекарственной терапии используют аналоги соматостатина (октреатид, ланреотид), эверолимус, сунитиниб и классические химиотерапевтические препараты.
Автор статьи: Черных Максим Александрович (врач - онколог)
Оформите заявку на сайте, мы свяжемся с вами в ближайшее время и ответим на все интересующие вопросы.
Читайте также:
