Эозинофильный гранулематоз с полиангиопатией
Добавил пользователь Владимир З. Обновлено: 22.11.2025
Аллергический некротизирующий васкулит, был впервые описан в 1951 году, когда Y. Churg и L. Strauss опубликовали 13 наблюдений больных, имевших сочетание тяжелой бронхиальной астмы с гиперэозинофилией в периферической крови и эозинофильной инфильтрацией тканей [4, 6].
Это редко встречающееся заболевание, названное по именам первооткрывателей синдромом Чарга-Стросса, относят к системным васкулитам с преимущественным поражением сосудов малого и среднего калибра [2, 6].
Основным диагностическим критерием является бронхиальная астма, которая развивается в дебюте заболевания и в течение многих лет может оставаться единственным симптомом болезни [5]. В дальнейшем, как правило, присоединяется эозинофилия, эозинофильная пневмония и синдром Леффлера. В продвинутой стадии заболевания преобладают признаки системного васкулита. Более чем у 60% больных можно выявить поражение нервной системы в форме мононеврита или полинейропатии, в т.ч. нейропатии зрительных и других черепно-мозговых нервов, являющихся, как правило, следствием иммунопатологического процесса в эпиневральных сосудах[1, 2, 3, 5, 6].
У 2/3 больных можно обнаружить кожные проявления, чаще в виде болезненной пальпируемой пурпуры, макуло-папулезных, уртикарных элементов и язв [1].
В разгар системного васкулита у 50% пациентов возможно появление артритов и миалгии, реже (у 20%) – миокардита, полисерозита и фибропластического эндокардита Леффлера [2].
Описаны гастроинтестинальные проявления заболевания в форме эозинофильного гастроэнтерита и кровотечений за счет некротизирующего васкулита мезентеральных сосудов. Важно отметить лабораторные признаки синдрома Чарга-Стросса, к числу которых относят эозинофилию >10% от общего количества лейкоцитов, ускорение СОЭ, высокое содержание общего IgE. Особое внимание в лабораторной диагностике заболевания придается обнаружению антинейтрофильных цитоплазматических антител, повышенное содержание которых выявлено более, чем у 67% больных, а также перинуклеарных антител с антимиелопероксидазной активностью (p-ANCA), содержание которых в крови больного коррелирует с активностью процесса [1, 2, 5].
Вышеописанные симптомы малоспецифичны, в связи с чем синдром Чарга-Стросса может долго оставаться нераспознанным. В подтверждение сказанного приводим собственное клиническое наблюдение.
Больная К.У.Э., 25л., поступила в ревматологическое отделение Областной клинической больницы г.Саратова в сентябре 2014 года с жалобами на редкий кашель и наличие язвенных дефектов на нижних конечностях.
Из анамнеза заболевания известно, что в течение многих лет отмечает гипермобильность голеностопных суставов, изредка появлялись поверхностные язвочки на слизистой оболочке полости рта.
В конце марта 2013 года, после переохлаждения появились афтозный стоматит, язвенно-некротический тонзиллит, отечность шеи, регионарная лимфаденопатия, фебрильная лихорадка. Через несколько дней присоединились боль и припухлость мелких и средних суставов (кистей, локтевых, лучезапястных, голеностопных), а также геморрагические высыпания с локализацией на конечностях, ладонях различных размеров, пальпируемые и не пальпируемые, с образованием везикул и корочек.
В клиническом анализе крови отмечены лейкоцитоз 15 тыс/мкл, повышение уровня эозинофилов до 12%, СОЭ 53мм/ч.
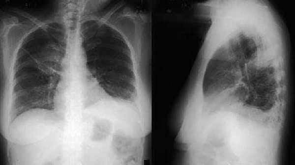
При рентгенографии органов грудной клетки выявлено усиление и сгущение легочного рисунка в прикорневых отделах с обеих сторон.
При ЭхоКГ обнаружена малая аномалия развития: аневризма межпредсердной перегородки, незаращение овального окна.
С целью исключения инфекционной патологии проводилось исследование антител к ВИЧ и посев крови на стерильность, показавшие отрицательные результаты.
При проведении КТ органов грудной полости обнаружена пневмония в S 2, 6, 10 слева. Других патологических изменений выявлено не было.
Гематологическая патология была исключена.
В апреле 2013 года на фоне лечения глюкокортикоидами и антибиотиками состояние улучшилось: разрешились геморрагические высыпания и язвы на миндалинах. Однако, сохранились проявления артрита, субфебрильная лихорадка, афтозный стоматит и лимфаденопатия, в связи с чем состояние больной расценили как сепсис с развитием аутоиммунных осложнений. Было продолжено лечение фторхинолонами и преднизолоном в дозе 15 мг, на фоне которого сохранялась повышенная СОЭ (27-30 мм/ч), эозинофилия 6-7%. Кроме того, были обнаружена анемия легкой степени, положительный СРБ, умеренный лейкоцитоз (11-15×109 /л). При УЗИ органов брюшной полости – гепатомегалия.
С учетом эозинофилии и системных проявлений был продолжен диагностический поиск, выявивший повышение уровня IgЕ в 2,5 раза и положительные АНЦА к протеиназе. Это позволило поставить диагноз недифференцированный васкулит. В мае 2013 года был выставлен диагноз: геморрагический васкулит. При иммунологическом исследовании выявлено повышение уровня IgE в 2,5 раза и положительный ANCA к протеиназе.
С июня 2013 года стала отмечать усиление боли в суставах, онемение кистей, субфебрилитет, в связи с чем была госпитализирована повторно для уточнения диагноза. В ОАК выявлена эозинофилия 10%, СОЭ – 12 мм/ч, при КТ придаточных пазух носа – локальное утолщение слизистой оболочки правой верхнечелюстной пазухи, кистогранулемы зубов верхней челюсти, деформация средних носовых раковин. Стоматологом была обнаружена эрозия слизистой оболочки твердого неба, неврологом – полинейропатия, при рентгеноскопии желудка – гастроэзофагеальный рефлюкс. Результат теста патергии был отрицательным. На основании проведенных исследований был подтвержден ранее поставленный диагноз и рекомендован прием преднизолона 30мг и плаквенила.
На фоне самостоятельного снижения дозы преднизолона в августе 2013 года пациентка отметила онемение кистей, гиперестезию дистальных фаланг пальцев, субфебрилитет до 38,0оC, а также появление папулезно-геморрагических высыпаний на коже голеней, бедер, предплечий с очагами некроза и образованием трофических язв на голенях.
В августе и сентябре 2013 года отмечались осиплость голоса, афония, а также неоднократные эпизоды бронхообструкции, зафиксированные врачом поликлиники. В ОАК эозинофилы достигали 15%, при рентгенографии органов грудной полости патологии выявлено не было.
18 сентября 2013г. без видимой причины возникло кишечное кровотечение, по поводу чего проводились антибактериальная, гемостатическая терапия и плазмотрансфузия.
При поступлении в ОКБ г. Саратова в октябре 2013 г. состояние пациентки удовлетворительное. Телосложение гиперстеническое с преимущественным отложением жира на верхней половине туловища и относительным похуданием конечностей. «Лунообразное» лицо. На коже бедер и голеней – папулезно-гемаррагические элементы с изъязвлением, размером 3-15мм, покрыты корочкой без отделяемого. На тыле правой стопы – поверхностная трофическая язва. Пальпируются подчелюстные лимфатические узлы: до 1см, безболезненные, не спаянные с кожей. Со стороны суставов признаки воспаления отсутствовали. Отмечена пастозность стоп. ЧД 18/мин, дыхание жесткое. Хрипов нет, ЧСС 88 в 1 мин, АД 130/80 мм.рт.ст., одинаковое на правой и левой руках. Тоны сердца приглушены.
Живот мягкий, безболезненный, печень не пальпируется, симптом поколачивания отрицательный с обеих сторон. Стул, мочеиспускание без особенностей.
В общем анализе крови СОЭ – 20 мм/ч, Hb 80 г/л, Er – 2,8×1012/л, лейкоциты 10,0×109/л, палочкоядерные 8, сегментоядерные – 50, эозинофилы – 20, лимфоциты – 30, моноциты – 7, тромбоциты – 190×109 /л.
При иммунологическом исследовании: положительные АНЦА к протеиназе, СРБ – отрицательный, антитела к ДНК не обнаружены.
Общий анализ мочи: соломенно-желтого цвета, прозрачная, реакция кислая, относительная плотность 1018, белок 0,03 г, лейкоциты 2-3 в п/зр.
Биохимический анализ крови: белок 80 г/л, общий билирубин 10 мкмоль/л, холестерин 3,2 мкмоль/л, триглицериды 1,8 мкмоль/л, мочевая кислота 0,32 мкмоль/л, мочевина 5,2 мкмоль/л, глюкоза 4 ммоль/л, АсТ 18 МЕ/л, АлТ 20 МЕ/л, КФК 98 Ed/л, ЛДГ 370 МЕ/л, фибриноген 2 г/л. Антитела к ВИЧ, антитела HCV, HbsAg не обнаружены.
Рентгенография органов грудной клетки: в легких патологических изменений не выявлено.
Функция внешнего дыхания: легкие обструктивные изменения.
Тест с бронходилятатором: прирост показателей ОФВ1 – 15%.
УЗИ органов брюшной полости: выявлена гепатомегалия
При колоноскопии и ирригоскопии патологических изменений выявлено не было. Пациентке был поставлен диагноз:
Основной: Эозинофильный гранулематоз с полиангиитом (синдром Чарга-Стросса), АНЦА-ассоциированный, активность IIст. Кожный язвенно-некротический васкулит. Бронхообструктивный синдром. Эозинофилия. В анамнезе язвенно-некротический тонзиллофарингит, афтозный стоматит, васкулит кишечника, полиартрит, полиневрит, пневмонит.
Сопутствующий: синдром дисплазии соединительной ткани, аневризма межпредсердной перегородки, незаращение овального окна.
Осложнения: Медикаментозный сидром Иценко-Кушинга. Вторичная артериальная гипертония. Трофические язвы конечностей.
Диагноз был поставлен на основании критериев заболевания Американской ревматологической ассоциации (1990 г.), обнаруженных у пациентки: наличие бронхообструктивного синдрома, эозинофилии свыше 10%, полинейропатии и рентгенологических изменений околоносовых пазух в анамнезе. Пациентке была назначена терапия: метипред 25 мг/сут, пульмикорт 200 мкг, по 2 ингаляции 2 р/сутки, метотрексат 15 мг/неделю. В результате проведенного лечения состояние пациентки улучшилось, уменьшился кашель, произошел регресс геморрагических высыпаний и регенерация язв.
Описанный клинический случай иллюстрирует сложности диагностики синдрома Чарга-Стросса, связанные прежде всего с высокой активностью и тяжелым течением в дебюте заболевания, что дало основание заподозрить сепсис, а также с неспецифичностью клинических проявлений и отсутствием фазности течения, присущей классической картине заболевания.
Трудности диагностики эозинофильного гранулематоза с полиангиитом (синдром Черджа - Стросса). Текст научной статьи по специальности «Клиническая медицина»
системные васкулиты / эозинофильный гранулематоз с полиангиитом (синдром Черджа-Стросса) / классификация / диагностика / systemic vasculitis / eosinophilic granulomatosis with polyangiitis (syndrome of Churg-Strauss) / classification / diagnostics
Аннотация научной статьи по клинической медицине, автор научной работы — Жанузаков М.А., Жакыпова Ж.О., Селедцов В.П., Мукатова А.М., Бопаева М.К.
Представлена современная классификация системных васкулитов . Рассматривается клиническое наблюдение пациентки с эозинофильным гранулематозом с полиангиитом (синдром Черджа-Стросса), показывающее сложности диагностического поиска, которые встречаются при постановке диагноза этого заболевания.
Похожие темы научных работ по клинической медицине , автор научной работы — Жанузаков М.А., Жакыпова Ж.О., Селедцов В.П., Мукатова А.М., Бопаева М.К.
Поражение периферической и центральной нервной системы при синдроме Черджа-Стросс (эозинофильном гранулематозе с полиангиитом)
Difficulties in the diagnosis of eosinophilic granulomatosis with polyangiitis (Churg-Strauss).
Modern classification of systemic vasculitis is presented. The clinical supervision of patient is examined with a eosinophilic granulomatosis with polyangiitis (syndrome of Churg-Strauss), showing complications of diagnostic search, that meet at raising of diagnosis of this disease.
Текст научной работы на тему «Трудности диагностики эозинофильного гранулематоза с полиангиитом (синдром Черджа - Стросса).»
ТРУДНОСТИ ДИАГНОСТИКИЭОЗИНОФИЛЫЮГО ГРАНУЛЕМАТОЗА С ПОЛИАНГИИТОМ (СИНДРОМ ЧЕРДЖА-СТРОССА)
V/. А. Жанузаков, Ж. О. Жакыпова, В. П. Селедцов, А. М. Мукатова, М. К. Бопаева,
Алматинский государственный институт усовершенствования врачей
Представлена современная классификация системных васкулитов. Рассматривается клиническое наблюдение пациентки с эозинофильным гранулематозом с полиангиитом (синдром Черджа-Стросса), показывающее сложности диагностического поиска, которые встречаются при постановке диагноза этого заболевания.
Ключевые слова: системные васкулиты, эозинофильный гранулематоз с полиангиитом (синдром Черджа-Стросса), классификация, диагностика.
Системные васкулиты (СВ) - группа болезней со сходным патогенезом, в основе которых лежит генерализованное поражение сосудов (артерий и вен различного калибра в виде воспаления и некроза) с последующим ухудшением кровотока и вторичным вовлечением в патологический процесс органов и тканей. В 1994 г. на конференции в СИареШШ (США), была принята классификация СВ, основанная на калибре пораженных сосудов. По результатам пересмотра классификации васкулитов 2012 года была предложена следующая номенклатура (таблица 1):
Классификация СВ (Американское общество ревматологов, 2012 - СЬареШШСопвепвивСопГегепсе)
Васкулиты крупных сосудов Гигантоклеточный артериит (ГКА) (синонимы: височный артериит, сенильный артериит, болезнь Хортона); Артериит Такаясу (АТ).
Васкулиты с поражением сосудов среднего размера Узелковый (нодозный) полиартериит (УП); Болезнь Кавасаки (БК).
Васкулиты мелких сосудов - А1ЧСА-ассоциированные васкулиты: Гранулематоз с полиангиитом (Вегенера) (ГПА); Эозинофильный гранулематоз с полиангиитом (синдром Черджа-Стросса) (ЭГПА); Микроскопический полиангиит (МПА). - Иммуннокомплексные васкулиты мелких сосудов: Иммуноглобулин-А васкулит (болезнь Шёнлейна-Геноха) (синонимы: геморрагический васкулит, пурпура Шёнлейна-Геноха) ((1§АВ); Анти-гломерулярной базальной мембраны (анти-ГБМ) болезнь (синдром Гудпасчера); Криоглобулинемический васкулит (КГВ); Гипокомплементарный уртикарный васкулит (анти-С 1 с]-васкулит)
Васкулиты, поражающие сосуды различных размеров Болезнь Бехчета (ББ); Синдром Когана (СК).
Васкулиты отдельных ор- Первичный ангиит ЦНС;
гаиов Кожный лейкоциткластный ангиит; Кожный артериит Изолированый аортрит; Другие васкулиты.
Васкулиты при системных заболеваниях: Волчаночный васкулит; Ревматоидный васкулит; Васкулит при саркоидозе; Другие васкулиты.
Васкулиты с установленной этиологией: Криоглобулинемические васкулиты, ассоциированные с вирусом гепатита С; Васкулиты, ассоциированные с вирусом гепатита В; Аортит, ассоциированный с сифилисом; Иммуннокомплексные васкулиты, ассоциированные с медикаментами; А N С А - в ас кул ит ы, ассоциированные с медикаментами; Васкулиты, ассоциированные с онкологическими заболеваниями; Другие васкулиты.
На конференции в Chapel Hill (1994) была выделена группа первичных СВ с преимущественным поражением органов дыхания, в которую в настоящее время включены ГПА, МПА и ЭГПА, характеризующиеся вовлечением в патологический процесс сосудов мелкого и среднего размеров (капилляров, венул, артериол, артерий), а также обнаружением у большинства больных антинуклеарных цитоплазматических антител (ANCA). В этой группе обращает на себя внимание ЭГПА, которая протекает с гиперэозинофилией. Эозинофилия периферической крови относится к числу эссенциальных признаков ЭГПА, при этом число эозинофилов превышает 1500 клеток в 1 мкл (в относительных величинах >10%), границы процентного содержания эозинофилов колеблются от 11 до 77%. Общепринятая классификация легочных эозинофилий или эозинофильной болезни легких (ЭБЛ) отсутствует. В зависимости от причины возникновения ЭБЛ делят на 4 группы (таблица 2) [1].
1. ЭБЛ неизвестной природы Простая легочная эозинофилия; Острая эозинофильная пневмония; Хроническая эозинофильная пневмония; Идиопатический гиперэозинофильный синдром.
2. ЭБЛ известной природы Аллергический бронхолегочный аспергиллез; Бронхо-центрический гранулематоз; Паразитарные инвазии; Лекарственные реакции.
3. Эозинофильные васкулиты Аллергический гранулематозный ангиит (синдром Черджа-Стросса);
4. Прочие Гемобластозы (острый миелолейкоз, острый лимфоб-ластный лейкоз, эозинофильная лейкемия); Токсические реакции (синдром токсического масла, синдром эозинофилии-миалгии); Осложнения лучевой терапии.
Наиболее частой причиной эозинофилии являются аллергические заболевания, в первую очередь болезни дыхательных путей и кожи [2].Около четверти реактивных эозинофилий вызваны паразитарными инвазиями (трихинеллёз, стронгилоидозы, анкилосто-
моз, аскаридоз и др.). Кроме того, реактивные эозинофилии возникают при иммунодефи-цитных состояниях, неопластических процессах (опухолях толстой кишки, лёгких, молочных желез). Клональные эозинофилии развиваются при гематологических заболеваниях: лимфограну-лематозах, лимфо- и миелопролиферативных состояниях. Эозинофилия при данных состояниях обусловлена прямой или опосредованной пролиферацией кроветворных клеток костного мозга. СВ, в частности ЭГПА, протекает с повышением содержания эозинофи-лов в периферической крови и уровня иммуноглобулина Е (IgE).
Нами приводится клиническое наблюдение, показывающее сложности диагностического поиска, которые встречаются при постановке диагноза ЭГПА. Пациентка Я., 37 лет, обратилась к врачу терапевту с жалобами на покашливание, одышку при физической нагрузке, общую слабость. Из анамнеза известно, что считает себя больной с ноября месяца 2013 г., когда обратила внимание на периодически возникающий приступообразный кашель, заложенность носа. Состояние вначале расценивалось как хронический бронхит, аллергический ринит. При обследовании, в общем анализе крови выявлен лейкоцитоз до 20 ООО, эозинофилия до 70 %, повышение СОЭ до 45 мм/час при нормальном уровне гемоглобина и тромбоцитов. При рентгенологическом исследовании органов грудной клетки обнаружен инфильтрат в нижней доле правого легкого. Диагностирована внебольничная пневмония, амбулаторно проводилась антибактериальная терапия. Состояние несколько улучшилось, кашель уменьшился, но сохранялись лейкоцитоз, гиперэозинофилия и повышенное СОЭ. К концу 2013 г. стала нарастать одышка, появились приступы удушья. Состояние стало трактоваться как бронхиальная астма (БА) смешанная форма, гиперэозинофилия неясного генеза. Была подобрана ингаляционная терапия комбинированным препаратом симбикорт, состояние больной оставалось относительно удовлетворительным. В ходе обследования обращало на себя внимание увеличение уровня эозинофилов до 53 %, повышение уровня IgE до 461 ME/мл. Серологические исследования крови на грибы, паразиты были отрицательными.
В январе месяце 2014 г., с целью дальнейшего обследования и лечения, обратилась в университетскую клинику Тель-Авива (Израиль). В процессе обследования выявлены следующие результаты: общий анализ крови - гемоглобин 140 г/л, лейкоциты 23400, эозинофилов 69% (16200 эозинофилов в 1 мкл), тромбоцитов 274000. Печеночные пробы в пределах нормы. Содержание кортизола в крови в пределах нормы. Иммунологический профиль: IgE=1020 IU/ml (N=0-100); М protein - не найден; уровни комплемента СЗ и С4 в пределах нормы; CRP, ANA, antiDNA, ANCA, cANCA, pANCA, circulatingAb, anticardili-pinlgG и IgM - в пределах нормы. Анализ крови на маркеры вирусного гепатита: HbsAb=140,9 (N=0-9,99); HbsAg - neg; HBcAb=10,8 (N<1); HCVAb - neg.
Учитывая наличие эозинофилии крови, повышенный уровень IgE в первую очередь встал вопрос о паразитарной инвазии. При исследовании крови методом ПЦР аскаридоз, шистосомоз, стронгилоидоз, анкилостомоз не выявлены и паразитарное заболевание было исключено. Патогенные грибы также не были обнаружены. Эхокардиография: нет признаков гемодинамических нарушений, функция правого и девого желудочков в норме. Колоноскопия - без патологии. Эзофагогастродуоденоскопия с биопсией слизистой желудка - без патологии, в том числе отрицательныйНеНсоЬас1егру1оп. Несмотря на повышенный уровень IgE в сыворотке крови, с целью исключения гемобластоза была проведена стернальная пункция. Аспират костного мозга - красный и мегакариоцитарный ростки без патологии, в белом ростке имеется созревание до зрелых форм, 34% эозинофилов, молодые формы отсутствуют. Заключение: эозинофилия без признаков лейкемии и лимфомы.
При компьютерной томографии (KT) органов грудной клетки определялись множественные участки понижения воздушности типа матового стекла во всех отделах, тубу-лярная инфильтрация вдоль бронхов. При KT органов брюшной полости: печень нормальных размеров, выявлены множественные гиподенсные образования в правой доле печени
и 4-м сегменте левой доли. Другой патологии в брюшной полости и забрюшинном пространстве не обнаружено. С целью исключения новообразования была проведена аспира-ционная биопсия печени, по результатам которой было сделано следующее заключение -отсутствуют признаки злокачественных заболеваний, нет специфических изменений, в аспирате много эозинофилов. Консультация аллерголога: аллергологическая патология не является причиной гиперэозинофилии. Консультация инфекциониста: инфекционная патология исключается.
Таким образом, постепенно отвергая одну за другой причины гиперэозинофилии, врачи университетской клиники Тель-Авива склонились в пользу доброкачественной идиопатической гиперэозинофилии. Вопрос о возможном наличии у пациентки СВ, в частности ЭГПА, в университетской клинике не обсуждался. В выписке из истории болезни клиники отмечено, что компромиссом может быть проведение курса лечения стероидами, хотя есть большая вероятность, что по мере снижения их дозы, количество эозинофилов вернется к прежнему. Назначено лечение преднизолоном внутрь в суточной дозе 50 мг в течение 1 мес с последующим постепенным снижением. Рекомендовано через 4 мес пройти повторное KT грудной клетки и органов брюшной полости, для оценки динамики изменений в легких и печени.
В конце мая месяца 2014 г. в Региональном диагностическом центре г.Алматы проведено KT органов грудной клетки, которое дало следующие результаты: паренхима легких без диффузных и инфильтративных изменений; вдоль плевры в проекции S10 левого легкого определяются мелкие, линзовидной формы, очаги уплотнения до 0,5 х 0,2 см, контуры их четкие; бронхососудистый рисунок не изменен, бронхи 1-3 порядка проходимы, не деформированы. Заключение: КТ-картина характерна для субплевральных фиброзных изменений S10 левого легкого. МРТ-исследование органов брюшной полости: печень в размерах не увеличена; после в/в введения контрастного вещества выявлено несколько гипоинтенсивных зон неправильной формы, размерами до 16 мм, которые расположены в основном по периферии печени; при сравнительном анализе с данными KT от 16.01.2014 г. полной корреляции выявленных изменений не отмечается, локализация, форма и размеры очаговых изменений различные. Заключение: псевдоочаги в печени - локальные нарушения перфузии печени неясного генеза.
Учитывая, что заболевание нашей пациентки началось с аллергического ринита, вскоре присоединились симптомы БА, на фоне гиперэозинофилии отмечались лёгочные инфильтраты, ушедшие при терапии системными стероидами, было высказано предположение о ЭГПА (синдроме Черджа-Стросса). Отсутствие у пациентки ANCA не противоречило основному диагнозу, так как они обнаруживаются у 2/3 больных с ЭГПА [3,4]. В результате лечения преднизолоном исчезли клинические признаки бронхиальной обструкции, уменьшилась эозинофилия периферической крови до 15 %, СОЭ снизилась до 14 мм/час. Также отмечена положительная динамика по данным KT органов грудной клетки: исчезновение участков пониженной воздушности лёгких типа матового стекла. Проведена коррекция лечения и пациентка в удовлетворительном состоянии находится под динамическим наблюдением.
Таким образом, характерная клиническая картина, результаты обследования, хороший ответ на лечение системным стероидом позволили сформулировать клинический диагноз: «Эозинофильный гранулематоз с полиангиитом (синдром Черджа-Стросса) (ги-перэозинофилия, БА, эозинофильные инфильтраты)», морфологическим подтверждением которого является скопление эозинофилов во внесосудистом пространстве, в частности в печеночной ткани. Приведённое клиническое наблюдение демонстрирует типичное течение ЭГПА, что и позволило поставить диагноз.
Синдром Черджа-Стросса или аллергический гранулематоз был описан ещё в 1951 г. двумя исследователями (Jacob Churg и Lotte Strauss) как гранулематозный некротизи-рующий васкулит, для которого характерно сочетание БА, лихорадки и высокой эозино-филии с поражением других органов (желудочно-кишечный тракт, сердце, перифериче-
екая нервная система) [5]. Диагноз ставится на основании рекомендаций Американского общества ревматологов при наличии 4-х критериев и более из следующих: БА, эозинофи-лия крови >10%, периферическая моно- или полинейропатия, мигрирующие или транзи-торные лёгочные инфильтраты, патология околоносовых пазух и внесосудистая эозино-филия (скопление эозинофилов во внесосудистом пространстве) [6]. В целях ранней диагностики ЭГПА необходима настороженность при возникновении лёгочных инфильтратов у больных Б А с аллергическим ринитом или риносинусопатией в сочетании с гиперэози-нофилией периферической крови.
Jeong Y.J., Kim K.I., Seo I.J. etal. Eosinophilic lung diseases: a clinical, radiologic and pathologic overview. Radiographics 2007. 27(3): 617-637.
Чучалин А.Г. Гиперэозинофилия при заболеваниях органов дыхания // Тер. арх. 2003. 3: 5-15.
Парсонз П.Э. Секреты пульмонологии /Пер. с англ.; М.: МЕДпресс-информ, 2004,-
Вест С.Дж. Секреты ревматологии / пер. с англ. М.-СПб.: «Издательство БИНОМ» - «Невский Диалект», 1999. - 768 с.
ChurgJ., StraussL. Allergicgranulomatosis, allergicangiitis, andperiarteritisnodosa // AmJPathol. 1951; 27: 277-294.
MasiA.T., HunderG.G., LieJ.T. etal. The American College of Rheumatology 1990 criteria for the classification of Churg-Strauss syndrome (allergic granulomatosis angiitis). Arth. and Rheum. 1990. 33: 1094-1100.
Жуйел1 васкулиттыц i^a3ipri топтастыруы усынады. ЕмделушЫщ клиникальщ ^адагалауы эозинофиль-ным гранулематозбен полиангиит (Черджа-Стросса синдромы) осы ауруга шалдыгудыц диагнозыныц н^ой-ылымында кездесу диагностикальщ ¡зденютщ курделтктерЫ ^арастырылатын керпзу.
Тушнсездер: жуйел1 васкулит, эозинофильный гранулематозбен полиангиит (Черджа-Стросса синдромы), топтастыру, диагностика.
Modern classification of systemic vasculitis is presented. The clinical supervision of patient is examined with a eosinophilic granulomatosis with polyangiitis (syndrome of Churg-Strauss), showing complications of diagnostic search, that meet at raising of diagnosis of this disease.
Keywords: systemic vasculitis, eosinophilic granulomatosis with polyangiitis (syndrome of Churg-Strauss), classification, diagnostics.
ОСТРАЯ ЖЕЛЧНОКАМЕННАЯ ТОНКОКИШЕЧНАЯ НЕПРОХОДИМОСТЬ
А. Т. Джумабеков, Р. Б. Калымбетов, А. Б. Калымбет, С. М. Абуов, С. М. Жарменов, Т. С. Жораев, А. Ж. Артыкбаев, А. Б. Зейдулла
Алматинский государственный институт усовершенствование врачей
Анализируется результаты лечения 5 больных с желчнокаменной тонкокишечной непроходимостью. Все больные женщины, в возрасте от 62 до 83 лет. Оперированы все 5 больных. Во всех случаях произведена энтеролитотомия с ушиванием раны двухрядными швами. 2 пациенток были оперированы с диагнозом острый холецистит, 2 - мезентериальный тромбоз, 1 перитонит неясной этиологии, но лишь в 1 из этих на-
Эозинофильный гранулематоз с полиангиитом (ЭГПА)

Эозинофильный гранулематоз с полиангиитом представляет собой системный некротизирующий васкулит малых и средних сосудов с развитием экстраваскулярных гранулем, эозинофилии и эозинофильной инфильтрации тканей. Он возникает при астме, начавшейся у взрослых, у пациентов с аллергическим ринитом, назальным полипозом или их сочетанием. Диагноз может быть подтвержден по результатам биопсии. Лечение проводят в основном глюкокортикоидами, в тяжелых случаях в комбинации с иммунодепрессантами.
Эозинофильный гранулематоз с полиангиитом (ЭГПА) проявляется примерно у 3 человек на 1 миллион. Средний возраст для начала болезни 48 лет.
ЭГПА характеризуется наличием экстраваскулярных некротизирующих гранулем (обычно с большим количеством эозинофилов), эозинофилией и эозинофильной инфильтрацией тканей. Однако эти проявления не всегда сочетаются. Васкулит обычно поражает малые и средние артерии. В заболевание может быть вовлечен любой орган, но чаще всего поражаются легкие, кожа, синусы, кардиоваскулярная система, почки, периферическая нервная система, центральная нервная система, суставы и желудочно-кишечный тракт. Иногда легочный капиллярит может приводить к альвеолярному кровотечению.
Этиология ЭГПА
Причина эозинофильного гранулематоза с полиангиитом неизвестна. Развитие может быть опосредовано аллергическим механизмом с прямым повреждением тканей эозинофилами и продуктами деградации нейтрофилов. Активация Т-лимфоцитов, вероятно, способствует поддержанию эозинофильного воспаления. Синдром возникает у пациентов с астмой Астма Бронхиальная астма – заболевание, характеризующееся диффузным воспалением дыхательных путей с разнообразными пусковыми механизмами, которое приводит к частично или полностью обратимому бронхоспазму. Прочитайте дополнительные сведения , начавшейся у взрослых, аллергическим ринитом Аллергический ринит Аллергический ринит проявляется зудом, чиханием, ринореей, заложенностью носа и иногда конъюнктивитом при контакте с пыльцой или иными аллергенами в определенное время года или круглогодично. Прочитайте дополнительные сведения , назальным полипозом Полипы полости носа Полипы полости носа являются выростами слизистой оболочки, которые образуюся на месте отека на основной пластинке слизистой мембраны, как правило, расположены около соустья верхнечелюстной пазухи. Прочитайте дополнительные сведенияСимптомы и признаки ЭГПА
Синдром имеет 3 фазы, которые могут перекрываться:
1-я – продромальная – фаза может персистировать в течение нескольких лет. Отмечается аллергический ринит, назальный полипоз, астма или их комбинация.
2-я фаза – характерно повышение числа эозинофилов в крови, эозинофильная инфильтрация тканей. Клиническая симптоматика может напоминать синдром Леффлера, включая хроническую эозинофильную пневмонию и эозинофильный гастроэнтерит.
3-я фаза развивается потенциально угрожающий жизни васкулит. Для этой фазы характерны симптомы органной дисфункции и системные проявления (например, лихорадочное состояние, недомогание, снижение массы тела, утомляемость).
Фазы не обязательно следуют одна за другой в этом порядке, временные интервалы между ними значительно варьируют.
Могут быть поражены различные органы и системы
Дыхательная система: астма, часто с началом у взрослого человека, обычно проявляется в тяжелой форме и является зависимой от кортикостероидов. Часто встречается синусит, но не инвазивный и без тяжелого некротизирующего воспаления. У пациентов может присутствовать одышка. Также наблюдаются кашель и кровохарканье вследствие альвеолярного кровотечения. Часто встречаются транзиторные пятнистые легочные инфильтраты.
Неврология: широко распространены неврологические проявления заболевания. Множественная мононевропатия (множественный мононеврит) Множественная мононейропатия Множественная мононейропатия характеризуется сенсорными нарушениями и мышечной слабостью в зоне иннервации ≥ 2 пораженных периферических нервов. (См. также Обзор заболеваний периферической нервной. Прочитайте дополнительные сведения наблюдается у до трех четвертей пациентов. Вовлечение ЦНС в заболевание наблюдается редко, но в таких случаях развивается гемипарез, нарушение сознания, припадки и кома с поражением или без поражения черепномозговых нервов или с признаками инсульта.
Кожа: примерно у половины пациентов наблюдаются поражения кожи. Узлы и папулы появляются на разгибательных поверхностях конечностей. Они вызваны экстраваскулярными гранулематозными поражениями с центральным некрозом. Может развиться пурпура или эритематозные папулы вследствие лейкоцитокластического васкулита с выраженной эозинофильной инфильтрацией или без нее.
Скелетно-мышечная система: Артралгии, миалгии или даже артрит, обычно во время васкулитной фазы.
Сердечная система: поражение сердца (основная причина смертности) включает в себя сердечную недостаточность вследствие миокардита и эндомиокардиального фиброза, васкулит коронарных артерий (возможно с инфарктом миокарда), заболевания клапанов и перикардит. Преобладающим гистологическим проявлением является эозинофильный миокардит.
Желудочно-кишечный тракт:у трети пациентов могут отмечаться признаки поражения желудочно-кишечного тракта (например, боли в животе, диарея, кровотечение, бескаменный холецистит), обусловленные эозинофильным гастроэнтеритом или ишемией брыжейки в связи с васкулитом.
Почки: почки поражаются менее часто, чем при других васкулитных заболеваниях, ассоциированных с антинейтрофильными цитоплазматическими антителами. Эозинофильное или гранулематозное воспаление почек встречается редко. Обычно возникает пауцииммунный (с малым количеством иммунных комплексов) очаговый сегментарный некротизирующий гломерулонефрит с формированием полулуний.
Поражение почек, сердца или нервной системы является плохим прогностическим признаком.
Диагностика ЭГПА
Рутинные лабораторные тесты
Согласно рекомендациям, принятым в 2012 году на консенсусной конференции в Чапел Хилл ( 1 Справочные материалы по диагностике Эозинофильный гранулематоз с полиангиитом представляет собой системный некротизирующий васкулит малых и средних сосудов с развитием экстраваскулярных гранулем, эозинофилии и эозинофильной инфильтрации. Прочитайте дополнительные сведенияЭозинофилия > 10% в периферической крови
Легочные инфильтраты, иногда транзиторные
Гистологические признаки васкулита с экстраваскулярными эозинофилами
Множественная мононейропатия или полинейропатия
Если присутствуют 4 и более критерия, чувствительность составляет 85%, а специфичность – 99,7%.
Лабораторное исследование помогает подтвердить диагноз, уточнить выраженность органной патологии и дифференцировать ЭГПА от других эозинофильных заболеваний: например, паразитарных инфекций Подход к лечению паразитарных инфекций Паразиты человека - это организмы, которые живут на человеке или в нем, получая питательные вещества от него (это их хозяин). Существует 3 типа паразитов: Одноклеточные организмы (простейшие. Прочитайте дополнительные сведения , побочных реакций лекарственных препаратов Побочные действия лекарственных препаратов Нежелательные лекарственные реакции (НЛР) – собирательный термин, относящийся ко всем нежелательным, вызывающим дискомфорт, и/или опасным эффектам, возникающим в ответ на прием ЛС. Нежелательные. Прочитайте дополнительные сведения , острой эозинофильной пневмонии Острая эозинофильная пневмония Острая эозинофильная пневмония (ОЭП) – это заболевание неизвестной этиологии, которое характеризуется быстрой эозинофильной инфильтрацией интерстиция легких. (См. также Обзор эозинофильных заболеваний. Прочитайте дополнительные сведения и хронической эозинофильной пневмонии Хроническая эозинофильная пневмония Хроническая эозинофильная пневмония (ХЭП) – заболевание неизвестной этиологии, которое характеризуется хроническим патологическим накоплением эозинофилов в легком. (См. также Обзор эозинофильных. Прочитайте дополнительные сведения , аллергического бронхопульмонального аспергиллеза Аллергический бронхолегочный аспергиллез (АБЛ) Аллергический бронхолегочный аспергиллез (АБЛА) – это реакция гиперчувствительности к видам Aspergillus (обычнo A. fumigatus), который встречается главным образом у пациентов с. Прочитайте дополнительные сведенияВыполняют исследование крови и рентгенографию органов грудной клетки, но их результаты не позволяют установить диагноз. Для выявления эозинофилии, которая у некоторых пациентов может быть маркером активности заболевания, проводят общий анализ крови с подсчетом лейкоцитарной формулы. Периодически определяют содержание IgЕ, С-реактивного белка и скорости оседания эритроцитов (СОЭ) для оценки воспалительной активности. Для обнаружения болезни почек и контроля ее тяжести проводят анализ мочи и уровня креатинина. Также измеряют уровни электролитов.
Серологическое исследование выявляет антинейтрофильные цитоплазматические антитела (АНЦА) примерно у 40% пациентов; при наличии АНЦА проводят иммуноферментное исследование (ELISA) для выявления специфических антител. Наиболее характерным результатом считается выявление перинуклеарных АНЦА (пАНЦА) с антителами к миелопероксидазе, но тест на АНЦА не является специфичным или чувствительным для ЭГПА.
Несмотря на то, что эозинофилия, выявление IgE, АНЦА, измерение СОЭ и уровня С-реактивного белка успешно используются в качестве маркеров активности заболевания, предсказать дальнейшие обострения заболевания можно только с существенными ограничениями.
При рентгенографии грудной клетки часто выявляют транзиторные пятнистые легочные инфильтраты.
Двухмерная эхокардиограмма сердца должна проводиться у всех пациентов в начале исследования; ее повторяют через некоторое время, если развиваются симптомы и/или признаки сердечной недостаточности.
По возможности следует выполнить биопсию наиболее доступной пораженной ткани.
Справочные материалы по диагностике
1. Jennette JC, Falk RJ, Bacon PA, et al: 2012 Revised International Chapel Hill Consensus Conference Nomenclature of Vasculitides. Arthritis Rheum 65(1):1-11, 2013. doi: 10.1002/art.37715.
Синдром Черджа-Стросса

Синдром Черджа-Стросса - это редкое заболевание, также известное как эозинофильный гранулематоз с полиангиитом. Это заболевание представляет собой системный некротизирующий васкулит, который поражает преимущественно сосуды маленького и среднего калибра, и ассоциируется с астмой и эозинофилией. Заболеваемость составляет в среднем 2-3 случая на 100 000 взрослых в год. Мужчины заболевают несколько чаще, чем женщины. Возраст дебюта заболевания варьируется от 15 до 70 лет, в среднем - 38 лет. Причина этого заболевания неизвестна. Патогенез также не ясен, однако характерные для заболевания гипергаммаглобулинемия, повышение уровня иммуноглобулина E (IgE), ревматоидного фактора и антинейтрофильных цитоплазматических антител (ANCA) указывают на аутоиммунные механизмы развития этого васкулита. Характерные для заболевания патологоанатомические находки - некротизирующие гранулемы небольшого размера, а также некротизирующий васкулит, поражающий мелкие артерии и венулы. Гранулемы представляют собой центральное эозинофильное ядро, окруженное макрофагами и гигантскими эпителиоидными клетками.
Клиническая картина
В течении заболевания можно выделить три основные стадии:
- развитие аллергического ринита и бронхиальной астмы;
- нарастание количества эозинофилов в периферической крови и развитие эозинофильной инфильтрации тканей (может проявляться, например, как эозинофильная пневмония или гастроэнтерит) ;
- развитие системного васкулита с гранулематозными инфильтратами.
Эти стадии могут накладываться друг на друга и проявляться в любом порядке, хотя астма и риносинуситы редко манифестируют после дебюта васкулита. Васкулит обычно развивается в течение 3 лет после возникновения астмы.
Наиболее характерные для третьей стадии заболевания симптомы связаны с поражением дыхательной, сердечно-сосудистой систем, почек, кожи и вовлечением периферических нервов.
Можно выделить следующие проявления:
- общие симптомы - утомляемость, гриппоподобный синдром, потеря веса, лихорадка, миалгии;
- поражение дыхательной системы - астма, кашель, кровохарканье;
- поражение нервной системы;
- воспаление придаточных пазух носа, аллергический ринит, полипозный риносинусит;
- артралгии;
- кожные проявления - лейкоцитокластический ангиит с пальпируемой пурпурой, ретикулярное ливедо, некроз кожи, уртикарная сыпь, подкожные узлы;
- поражение сердечно-сосудистой системы - симптомы, связанные с проявлениями сердечной недостаточности, миокардит, перикардит, инфаркт миокарда;
- поражение желудочно-кишечного тракта - эозинофильный гастрит или колит, проявляющиеся болью в животе, диареей и желудочно-кишечными кровотечениями;
- поражение почек - возникает реже, чем при других васкулитах, обычно развивается сегментарный некротизирующий гломерулонефрит.
Неврологические симптомы отмечаются у 60-70% пациентов, это вторая по частоте после астмы группа симптомов у пациентов с синдромом Черджа-Стросса и одно из ключевых появлений стадии васкулита. Наиболее часто диагностируются множественные мононейропатии, поражение черепно-мозговых нервов, мононейропатии нервов конечностей, симметричные полинейропатии, реже отмечается поражение центральной нервной системы (в первую очередь, нарушения мозгового кровообращения). Неврологические проявления могут предшествовать вовлечению других органов и систем или могут возникать одновременно с ним.
Патогенетические механизмы развития периферических нейропатий до конца не ясны, однако высказываются предположения о влиянии ANCA, активации нейтрофилов и системы комплемента и эндотелиальных клеток, что приводит к воспалению и сужению просвета мелких эпиневральных артерий, вызывая возникновение очагов ишемии в периферических нервах. Таким образом, нейропатия связана с ишемией нервов, обусловленной поражением vasa vasorum. В результате ишемии происходит утрата сенсорных и моторных аксонов.
Нейропатии при синдроме Черджа-Стросса характеризуются преимущественно аксональным типом поражения при проведении ЭНМГ, чаще всего поражаются малоберцовые и большеберцовые, локтевые и срединные нервы. Наиболее частый паттерн поражения - множественные моторные мононейропатии, однако также часто пациенты отмечают нарушения чувствительности и нейропатические боли.
Даже при правильном лечении восстановление нерва обычно бывает медленным и неполным, однако раннее начало терапии позволяет предотвратить нарастание неврологического дефицита и улучшить качество жизни пациентов.
Диагностика
Дифференциальная диагностика проводится со следующими основными заболеваниями: гломерулонефрит, острый нефрит, аллергический аспергиллез, астма, лекарственно-индуцированная эозинофилия, эозинофильная пневмония, а также с другими васкулитами.
Европейские руководства рекомендуют следующий план обследования пациентов с подозрением на синдром Черджа-Стросса:
- серологическое исследование сыворотки крови на токсокароз и ВИЧ;
- исследование уровней специфических IgE и IgG к грибам рода Aspergillus, а также посев мокроты на Aspergillus spp. ;
- анализ крови на уровень триптазы и витамина В12;
- общий анализ крови в рамках дифференциального диагноза с лейкозами для исключения наличия диспластических эозинофилов или бластов;
- анализ крови на наличие ANCA;
- КТ органов грудной клетки.
В зависимости от клинической картины могут потребоваться другие дополнительные исследования.
Среди лабораторных находок у пациентов с синдромом Черджа-Стросса следует отметить наличие эозинофилии (как правило, не менее 10% эозинофилов) и анемии. СОЭ и уровень С-реактивного белка как правило также повышены. У пациентов с поражением почек также повышаются уровни креатинина и мочевины. В общем анализе мочи - протеинурия, микрогематурия. У 40% пациентов отмечается наличие ANCA, у большинства из них - перинуклеарные ANCA (антимиелопероксидазные антитела). Среди других отклонений отмечаются повышение уровня IgE, гипергаммаглобулинемия, положительный ревматоидный фактор.
Основными методами лучевой диагностики являются рентгенография и компьютерная томография органов грудной клетки, другие исследования могут быть показаны в зависимости от симптомов и пораженных систем.
При проведении рентгенологического исследования легких может не обнаруживаться никаких изменений (примерно у 25% пациентов) ; характерно обнаружение легочных инфильтратов, которые могут быть преходящими. Кавитация встречается редко. В некоторых случаях отмечается наличие плеврального выпота.
По возможности следует провести биопсию наиболее доступной пораженной ткани (кожи, легкого, почки, нерва или мышцы). Если невозможно локализовать поражение. рекомендована биопсия мышцы или нерва (наиболее часто выполняется биопсия икроножного нерва)
Американская академия ревматологии в 1990 г. предложила следующие критерии для диагностики синдрома Черджа-Стросса:
- бронхиальная астма;
- эозинофилия (количество эозинофилов в периферической крови более 10%) ;
- инфильтраты в легких (могут быть преходящими) ;
- воспаление придаточных пазух носа;
- гистологическое подтверждение васкулита с внесосудистыми скоплениями эозинофилов;
- множественные мононейропатии или полинейропатии.
Для постановки диагноза достаточно 4 из 6 критериев, чувствительность составляет 85%, а специфичность – 99, 7%.
Лечение и прогноз
Лечение синдрома Черджа-Стросса включает в себя в первую очередь назначение системных глюкокортикоидов. Некоторым пациентам (менее 20%) могут потребоваться также цитотоксические препараты. В случае резистентности заболевания к кортикостероидам применяются также моноклональные антитела (ритуксимаб, омализумаб, меполизумаб). При тяжелом жизнеугрожающем поражении внутренних органов может быть необходима пульс-терапия внутривенными глюкокортикоидами и другими цитотоксическими препаратами. Например, может быть назначен циклофосфамид в виде внутривенных инфузий на 3 месяца с дальнейшим переводом на пероральные цитостатики в качестве поддерживающей терапии. Плазмаферез не показал эффективности в исследованиях у пациентов с синдромом Черджа-Стросса.
Пациенты с этим заболеванием должны постоянно наблюдаться у ревматолога. Следует регулярно оценивать клинический статус, а также контролировать анализ крови (СОЭ, количество эозинофилов). Контроль уровня ANCA не целесообразен, поскольку их уровень не коррелирует с активностью заболевания.
Без лечения пятилетняя выживаемость среди пациентов с синдромом Черджа-Стросса составляет около 25%. При правильном лечении однако она повышается до 62%, а однолетняя выживаемость достигает 90%. Основные причины смертности при этом заболевании - миокардиты и инфаркты миокарда, возникающие на фоне коронарного артериита. Другие частые причины смерти - почечная недостаточность, геморрагические инсульты, желудочно-кишечные кровотечения и астматический статус.
Таким образом, несмотря на то, что синдром Черджа-Стросса является редким заболеванием, клиницисты должны рассматривать его в рамках дифференциального диагноза у пациентов с астмой и полинейропатией, поскольку качество и продолжительность жизни пациентов зависят от своевременности начала иммуносупрессивной терапии.
Аллергический (эозинофильный) гранулематозный ангиит (синдром Черджа-Штрауса)
Заболевание, о котором речь пойдет ниже, является не только редким, но и сложным во всех смыслах, начиная с названия. Так, фамилии исследователей, впервые описавших этот синдром – Jacob Churg и Lotte Strauss, – в русскоязычной литературе транслитерируются различным образом: синдром Чарджа-Стросс, Чарга-Страусса и т.п.
Интересно отметить, что ученые работали и сотрудничали в США, причем первый из них имел российско-польские корни (и уже в Америке взял фамилию, сокращенно-производную от фамилии жившего там дяди, врача-дерматолога Луиса Чаргина), а второй – немецкие. В западной медицине, таким образом, их имена произносят как «Чарг и Страусс», однако в заголовке данной статьи мы пользуемся написанием, наиболее распространенным в отечественной литературе. Дж.Чарг эмигрировал в США в 1936 году, а Л.Страусс в 1938; наиболее известная их совместная работа, после которой впервые описанный синдром стали называть по именам авторов, была опубликована в «The American Journal of Pathology» в 1951 году.
Однако истинная сложность этого заболевания связана, конечно, не с названием. Клиническая картина синдрома Чарга-Страусса включает сразу несколько принципиально разных видов патологии: некротизирующий васкулит (воспаление сосудов, в данном случае средних и мелких, с тенденцией к массовому отмиранию клеток), аллергическая гиперчувствительность и/или бронхиальная астма, узелковый гранулематоз, полипоз носовой полости. Точных эпидемиологических данных на сегодняшний день нет, – заболевание встречается очень редко, – однако установлено, что эозинофильной гранулематозной ангиопатией вдвое чаще (по другим источникам, втрое) заболевают мужчины. Клиника обычно манифестирует в зрелые годы (35-45 лет), хотя известные случаи охватывают возрастной интервал от 15 до 70 лет.
2. Причины
Считается, что началу заболевания предшествуют перенесенные бактериальные или вирусные инфекции (под этот фактор риска, впрочем, подпадает любой человек вообще), специфические иммунно-аллергические реакции (в других источниках роль данного фактора отрицается). Изучается также роль наследственной предрасположенности, однако и она на сегодняшний день не получила достоверного подтверждения и обоснования. В целом, этиопатогенез синдрома Чарга-Страусса остается неясным и требует дальнейших исследований.
3. Симптомы и диагностика
Заболевание протекает в три основные фазы (стадии). Первая, продромальная фаза может длиться несколько лет и характеризуется клиникой аллергического ринита, поллиноза (сенной лихорадки) и бронхиальной астмы (гиперреактивности бронхов).
Диагностически значимая атипичность такого состояния заключается в том, что оно развивается обычно у взрослых лиц без известных случаев аллергии в семейном анамнезе. Астма (как новое заболевание или обострение уже имеющейся тенденции к бронхиальной обструкции) встречается более чем у 90% больных и, в среднем, развивается за 3-9 лет до появления прочих симптомов. На этом этапе отмечается насморк, затруднения носового дыхания, синуситы, образование полипов носа, требующих хирургического удаления (иногда неоднократного).
На втором этапе отмечается аномально высокий уровень одной из разновидностей белых кровяных телец, – эозинофилов, – в крови и тканях. В этой фазе симптоматика зависит от того, какие конкретно органы поражены в наибольшей степени. Чаще всего это легкие и желудочно-кишечный тракт. Как правило, наблюдается утрата массы тела, ночная потливость, абдоминальные боли, желудочные и кишечные кровотечения, лихорадка. Такие симптомы могут сохраняться в течение месяцев или лет, спонтанно редуцироваться и затем рецидивировать, иногда уже на фоне клинической картины третьей фазы.
Третья и последняя фаза характеризуется системным васкулитом – воспалением кровеносных сосудов, что приводит к нарушениям кровоснабжения различных органов и тканей. Прочие симптомы приобретают более распространенный и выраженный характер, сочетаясь с симптоматикой собственно васкулита. Образуются гранулематозные узелки с некротическим ядром, – в легких, структурах миокарда, на коже, в кишечнике и пр. Нередко на этой стадии отмечаются инфаркты кишечника, обусловленные поражением абдоминальных артерий, перитониты, изъязвления различных участков ЖКТ, а также серьезная сердечная недостаточность, которая оказывается непосредственной причиной смерти около половины больных синдромом Чарга-Страусса. Относительно реже встречаются осложнения со стороны почек.
- бронхиальная астма;
- эозинофилия;
- моно- или полинейропатия;
- узелковые инфильтраты в легких;
- патология придаточных пазух носа;
- гистологические свидетельства экстраваскулярной (внесосудистой) тканевой эозинофилии.
- почечная недостаточность;
- протеинурия;
- желудочно-кишечные геморрагии, инфаркт или панкреатит;
- поражение центральной нервной системы;
- кардиомиопатия.
Согласно этим данным, при отсутствии всех перечисленных факторов смертность в течение пяти лет составляет 11,9%; при наличии одного любого фактора этот показатель возрастает до 26%, и в присутствии любых двух и более факторов достигает 46%.
4. Лечение
Ведущая роль в терапии синдрома Чарга-Страусса отводится глюкокортикостероидным препаратам и другим иммуносупрессивным средствам. Во многих случаях удается добиться медикаментозной ремиссии, однако заболевание остается хроническим и пожизненным.
В 2015 году Управлением по санитарному надзору за качеством пищевых продуктов и медикаментов США (US FDA) был сертифицирован к широкому клиническому применению первый препарат для лечения эозинофильного гранулематозного ангиита, получивший название меполизумаб. Пациенты, принимающие этот препарат, отмечают значительное облегчение симптоматики.
Заболевания Жалобы и симптомы- Скованность в суставах
- Боли в суставах и позвоночнике
- Боли в сердце, нарушения сердечного ритма
- Припухлость суставов, отеки
- Подкожные уплотнения («узелки») в области суставов
- Частые ангины и вирусные заболевания
- Длительное повышение температуры, общее недомогание
Если вы обнаружили у себя подобные симптомы, возможно, это сигнал заболевания, поэтому рекомендуем проконсультироваться с нашим специалистом.
Диагностика- Ревмапробы (С-реактивный белок, АСЛ-О, ревматоидный фактор)
- Рентгенография суставов
- Биохимический анализ крови
- Консультация врача ревматолога от 5000 рублей
- Ревматоидный фактор - 500 р.
- С-реактивный белок - 500 р.
- Антистрептолизин-О (АСЛ-О) - 500 р.
- Биохимический анализ крови (стандартная, 10 показателей) - 2470 р.
- Биохимический анализ крови (расширенаяая, 14 показателей) - 3565 р.
- Общий анализ крови - 675 р.
- Рентгенография суставов - от 2000 р.
Мы стараемся оперативно обновлять данные по ценам, но, во избежание недоразумений, просьба уточнять цены в клинике.
Данный прайс-лист не является офертой. Медицинские услуги предоставляются на основании договора.
Читайте также:
