Формирование желудка у плода - эмбриогенез, морфогенез
Добавил пользователь Владимир З. Обновлено: 02.11.2025
XXI век, в котором мы живем, называют веком интеграции наук. Действительно, проникновение науки в тайны природы привело ее к внутренней перестройке, главные черты которой сводятся к интеграции научного познания, служащей могучим фактором ее дальнейшего развития в настоящее время. Морфология охватывает весь комплекс наук, связанных с изучением строения живой материи во всех ее формах – от целых органов до клеточных органелл, фибрилл, корпускул и мембран. Стратегия и тактика научных исследований направлены на познание законов развития, строения и функционирования организма человека и животных. Морфология сохраняет и укрепляет свое положение фундаментальной и естественно-исторической науки и вносит существенный вклад в биологические и медицинские науки. Современная наука – о биологической организации клеток, тканей и организма человека, стоящая на страже здоровья и полноценного физического развития (В.В. Куприянов). Цель морфологии направлена на нахождение способов управления структурной организацией процессами морфогенеза, протекающих на всех уровнях. Морфология неразрывно связана с генетикой и экологией. Непременным условием правильных представлений о динамике структуры служит понимание движущих сил развития природы и направлений развития. Морфология участвует в поиске эффективных способов направленного воздействия на формообразование и дает надежные критерии для оценки полученных результатов. Определенную актуальность приобретают исследования, имеющие экологическую направленность, изучающие влияние факторов риска и неблагоприятной экологической ситуации в регионах на структурные особенности формирования различных органов и систем при создании экспериментальной модели на животных.
Современная морфология не только многоуровневая и многоплановая наука, налицо тенденция ее смыкания с математикой и техникой, физикой и химией. Эти тенденции требуют анализа с правильных методологических позиций (В.В. Куприянов, Б.А. Никитюк, 1985).
Широкий спектр исследований по медицинской эмбриологии подчеркивает ее значение для теории и практики. Программа исследований является многоплановой и сводится к изучению общих закономерностей развития зародыша, эмбрионального гистогенеза, ограногенеза и прогенеза. Внимание исследователей направлено на разработку методов раннего контроля за правильным развитием половых клеток, от которого зависит возникновение врожденных аномалий в эмбриогенезе.
Совершенно справедливо отмечает академик РАМН О.В. Волкова (2003), что эмбриология – «это относительно молодая область знаний, которой принадлежит важнейшее место в функциональной и прикладной медицине. Без поступательного развития эмбриологии невозможно появление здорового потомства и поддержание здоровья науки». Нельзя не согласиться с О.В. Волковой (1996), считающей, что изучение основ эмбриологии человека, «знание физиологической динамики развития, его особенностей в различные сроки эмбрионального периода позволяют врачу скорригировать патологию развития». Перспективы практического использования данных эмбриологии (Академик РАМН В.В. Куприянов, 1985) сводятся к антенатальной профилактике заболеваний плода, способам постнатальной коррекции; изучению регулирующих систем в русле проблемы «мать – плод».
Одна из древнейших наук – эмбриология переживает в настоящее время период глубоких перемен. Благодаря взаимодействию с молекулярной генетикой и биологией развития эмбриология выдвинулась на передовые позиции среди медико-биологических дисциплин. Необходимость знания основных этапов формирования органов в антенатальном периоде онтогенеза и выяснение факторов, их обуславливающих, послужат надежным средством для поисков путей предотвращения возникновения врожденных уродств и аномалий.
Прочный теоретический фундамент в разработке этого вопроса создает эмбриология человека.
В настоящее время четко прослеживаются новые тенденции, направленные на расширение объема эмбриологических исследований отечественных и зарубежных авторов, представленных на международных форумах, симпозиумах и конгрессах по морфологическим наукам (South Africa, Sin – City, 2001, Египет, 2003, Греция, 2003, Бразилия, 2002, Уфа, 2002, 2006, Япония, 2004, Казань, 2004, Париж, 2004, Москва, 2005, Астрахань, 2005, Куба, Варадеро, 2006, Ханты – Мансийск, 2006, Москва 2007). Возрастает интерес к научным разработкам, посвященным развитию организации жизнеобеспечения организма зародыша (Зуссман М., 1977, Галкина Ю.М., 1999).
Российской академией наук опубликовано постановление президиума РАН от 1 июля 2003 г. № 233 «Об утверждении основных направлений фундаментальных исследований» (Поиск № 35 (745 от 29 августа 2003г.)). В разделе № 5 «Биологические науки: указывается одно из ведущих направлений (п. 5. 18) «Механизм и закономерности индивидуального развития организмов». Биология развития концентрирует основные направления морфологии и активно участвует в решении многих фундаментальных проблем, в том числе в исследовании функций генома на разных этапах развития онтогенеза. XXI век должен быть назван веком «биологического процесса».
Биология развития животных и человека – одно из магистральных направлений современной биологической науки, Биология развития все более активно участвует в решении многих фундаментальных проблем, в частности, в исследовании функций генома на разных этапах онтогенеза. Как считает академик РАМН О.В. Волкова (1999), конструктивная эмбриология «отвечающая духу рационализма будущего столетия, будет определять развитие эмбриологии как фундаментальной науки».
В фундаментальных монографиях авторы П.В. Дунаев, В.Л. Янин, Г.С. Соловьев, С.М. Пантелеев, 2000, 2004) подчеркивают, что объем эмбриологических исследований, посвященных изучению организма зародыша человека в первом триместре гестации, в настоящее время значительно возрос. Эта позиция исследователей является совершенно справедливой, поскольку именно в этот период происходит поиск решений проблем постнатального онтогенеза человека. Однако, несмотря на активно ведущееся разработки, недостаток знаний о принципах развития, организации, жизнеобеспечения организма зародыша в эмбриональном и начале плодного периодах пренатального онтогенеза очевиден.
Этапом в изучении закономерностей биологической эволюции можно считать выдвижение на первый план таких категорий как морфогенез и системогенез. Морфогенез как процесс формирования морфологического субстрата естественным образом связывался исследователями с системогенезом, то есть становлением функциональных отправлений сформированного морфологического субстрата на различных уровнях его организации (П.К. Анохин, 1936). Системогенез ассоциируется также с характеристикой функциональных проявлений других органных систем организма, многие из которых на определенных этапах онтогенеза выполняют жизненно важные функции для развивающегося организма.
Биогенетический закон, теория зародышевых листков, учение о фило-эмбриогенезах, основные механизмы регуляции гисто- и органогенезов и целый ряд других основополагающих разработок отечественных и зарубежных авторов являются фундаментом для расшифровки морфогенеза в нормальных, экспериментальных и патологических условиях (А.П. Милованов, С.В. Савельев, Т.Г. Бархина, 2006).
Морфогенез органов и систем, становление анатомической формы в процессе развития организма человека на ранних этапах пренатального онтогенеза человека является не только теоретической, но и практической проблемой. В связи с расширением объема оперативных вмешательств на органах пищеварительного тракта по поводу врожденных пороков его развития в настоящее время значительно возрастает интерес исследователей к изучению морфологии производных пищеварительной трубки (В.Ф. Байтингер, 1994, Н.П. Ефимов, 1994, Ф.Ф. Сакс, 1984, М.А. Медведев, 1994, Л.Л. Колесников, 1998, 2001, 2004, 2005, 2006, Д.В. Баженов, 2004, А.А. Калаев, 2005, Н.А. Волошин, Е.А. Григорьева, 2006, А.А. Молдавская, А.В. Савищев, 2007). Интерес к изучению развития производных пищеварительной трубки, в частности, желудка, тонкой, толстой кишки, поджелудочной железы, печени в пренатальном периоде онтогенеза диктуется сравнительно частым возникновением различных пороков развития: долихоколон, мегаколон, атрезии, стенозы, удвоение отделов толстой кишки, болезнь Гиршпрунга и др. Кроме того, исследования морфологических закономерностей пренатального онтогенеза человека, развитие его тканей, органов и систем необходимо для правильного понимания сущности процессов, происходящих в период внутриутробной жизни, для изучения критических периодов развития зародыша (П.Г. Светлов, 1960, 1966, 1978, Л.П. Тельцов с соавт., 2000, 2001, 2003, 2005).
Среди большого разнообразия форм патологии брюшной полости врожденные пороки развития толстой кишки (С.Д. Долецкий, А.Г. Пугачев, 1968, А.Г. Земляной, 1983, Л.Г. Сердюков, 1996) занимают пятое место среди всех пороков в развитии пищеварительной трубки у детей. Большинство из аномалий, как считают исследователи, сопровождаются функциональными нарушениями кишечника. При врожденных пороках толстой кишки (мегадолихосигма, стенозы, атрезии и др.) возникают разновидности кишечной непроходимости, дающие высокий процент летальных исходов (М.А. Величко, 1984, J. Namara, 1997). Этим обстоятельством объясняется большой интерес к изучению особенностей пренатального онтогенеза пищеварительного тракта человека. Знание основных этапах формирования органов в пренатальном периоде онтогенеза и выяснение факторов, их обуславливающих, может служить надежным средством для поисков путей предотвращения уродств и аномалий. В решении дальнейшего снижения детской смертности важную роль играют профилактика и лечение пренатальной патологии, совершенствование критериев диагностики и реабилитации детей с заболеваниями пищеварительной системы.
Правомерность суждений о целесообразности изучения морфогенеза органов пищеварительной системы, в особенности на ранних этапах онтогенеза, подтверждается и тем, что в монографиях отечественных и зарубежных исследователей анализируются данные, касающиеся морфогенеза органов пищеварительного тракта, а также дискутируются вопросы молекулярных и биологических механизмов роста кишечника для интерпретации заболеваний кишечной трубки (Bertrana, 1998, Kenneth J., 1997, А.М. Фомина, 2002, А.П. Тельцов, Л.П. Соловьев, 2005). Познание закономерностей органогенеза и гистогенеза органов и систем вселяет надежду овладения этими закономерностями для сознательного и перспективного управления процессами формообразования.
Одним из кардинальных вопросов медицинской антропологии является выявление сходства и различий в процессах морфогенеза в условиях нормы и патологии. В этом ключе изучение сроков источников формирования висцеральных ветвей брюшной аорты – закладок чревного ствола, верхней и нижней брыжеечных артерий и соответствующих венозных стволов, характера их ветвления, вариантов расположения на протяжении периодов и этапов пренатального онтогенеза имеет не только теоретическое значение, но и определенный практический интерес.
В настоящее время в связи с увеличением объема хирургических вмешательств на органах пищеварительной системы у детей и взрослых, в частности, по поводу сосудистой патологии желудка, тонкой, толстой кишки знание онтогенетических особенностей строения артериального и венозного русла, обеспечивающих кровоснабжение и венозный отток от указанных органов, расположенных в брюшной полости, необходимо в практическом плане, в частности, при расчетах резецируемых и реплантируемых отрезков желудочно-кишечного тракта.
Основные теоретические положения, представленные в монографии, получены в результате использования комплекса взаимодополняющих классических и современных методов и методик исследования (эмбриологические, анатомическое препарирование, морфометрия, графической и пластической реконструкции, рентгенангиографии по Золотухину – М.Г. Привесу, метод распилов замороженных трупов по Н.И. Пирогову, инъекции нитратом серебра, математического анализа с использованием коммерческой лицензионной программы Excel и цифровой обработки фотографий). Изучены 63 серии срезов зародышей человека от 2 до 80 мм теменно-копчиковой длины, окрашенных гематоксилин-эозином, по Маллори, Харту, Ван-Гизон, импрегнированных серебром по Кахаль – Фаворскому.
Для получения объективных результатов в рамках поставленной цели необходим определенный методологический подход и подбор соответствующих материалов. Выбор метода исследования, несомненно, играет важнейшую роль, так как в значительной степени определяет полученные результаты, возможность их детального анализа и обобщения. Эмбриологический метод позволяет исследовать динамику развития и закономерностей структурных преобразований производных пищеварительной трубки, как целостной системы, особенностей ее васкуляризации, начиная от ранних стадий эмбриогенеза, вплоть до момента рождения. Следующие предпосылки являются кардинальными в выборе метода исследования. Во – первых, в эмбриологических исследованиях представляется возможным проследить динамику изменения сложной системы и отдельных ее компонентов. В этом отношении в эмбриологических фактах представляется смысл обобщений и выводов биологии развития. Во – вторых, «возможность постановки дородового диагноза ряда наследственных болезней, реальность путей коррекции некоторых отклонений в эмбриогенезе человека делают особенно актуальной разработку общих закономерностей раннего развития зародыша человека» (Ю.Н. Шаповалов, 1974). В – третьих, в эмбриологических исследованиях отчетливо выступает принцип единства и взаимообусловленности строения и функции, который является «главным законом всей морфологии» (А.Г. Кнорре, 1971, А.С. Леонтюк, 2006).
Методики эмбриологических исследований определяются рядом требований к подбору материала, его распределению и изучению: а) изучить последовательный и достаточно полный ряд зародышей и плодов человека для установления динамики и формирования производных пищеварительной трубки, в частности, источников ее кровоснабжения на этапах онтогенеза; б) иметь достаточный в количественном отношении материал сходных стадий эмбрионального развития для математической обработки и получения количественных характеристик динамики роста и развития исследуемых структур. Основные положения, представленные в монографии, основаны на детальном изучении параллельных серий срезов зародышей, что необходимо для обнаружения явлений индивидуальной изменчивости в эмбриогенезе. Обобщены данные, касающиеся времени появления и направления закладок чревного ствола, желточно-брыжеечной и нижней брыжеечной артерий, а также пупочных сосудов, являющихся компонентами пупочного канатика. Представлены результаты исследования особенностей формирования и последовательного развития основных венозных ветвей, осуществляющих венозный отток от различных «отрезков» кишечной трубки на ранних стадиях онтогенеза. Метод морфометрии позволил представить цифровые показатели, демонстрирующие изменения толщины стенки, диаметра аорты и ее непарных висцеральных ветвей и соответствующих им венозных стволов. С этих позиций следует отметить, что использование эмбриологического метода исследования дает возможность выявить источники кровоснабжения всех отделов пищеварительной трубки и уровни отхождения артериальных ветвей от дорсальной аорты. Данные, полученные при измерении чревного ствола, желточно-брыжеечной и нижней брыжеечной артерий, позволили уточнить не только их ход и направление, но и обосновать коррелятивные связи и топографо-анатомические соотношения вен и артерий. При измерении параметров (диаметр просвета, толщина стенки, длина) венозных стволов фиксировалось внимание на топографии и характере расположения корней воротной, направлении печеночного отдела нижней полой вены. Морфометрические показатели, полученные при измерении пупочной вены, позволяли определить не только ее топографо-анатомические соотношения с дорсальной брыжейкой и одноименными артериями, но и выявить число компонентов пупочного канатика. Выполнив 150 измерений на каждую серию срезов, мы имели возможность получить репрезентативную информацию, необходимую для математической обработки и компьютерного анализа.
Метод рентгенангиографии предусматривал детальное изучение артерий отделов пищеварительного тракта (желудка, поджелудочной железы, тонкой, толстой кишки) у плодов и новорожденных. Этот аспект исследований достигался при выполнении инъекции кровеносных сосудов контрастной массой (скипидар со свинцовыми белилами, свинцовым оранжевым или свинцовым суриком в разведении 2:1). В качестве инъекционной массы использовался раствор черной туши в 10% желатине. Полученная взвесь краски вводилась в просвет грудной или начало брюшной аорты.
Представленные в монографии фотографии с серий срезов, изготовлены из эмбрионов и предплодов, выполнены с эмбриологических препаратов, окрашенных тройной окраской по Штерну: ядра - борным кармином, нервные элементы и кровь докрашивались лионской синькой и краской Бисмарк – Браун, которая окрашивает прохондральную и хрящевую ткани. Различные серии срезов окрашены гематоксилин – эозином, импрегнированны по Кахаль – Фаворскому, Бильшовскому – Гросс, азотнокислым серебром с дифференцировкой золотом. Материал (эмбрионы и предплоды) фиксировался в смеси 50% спирта с 5% раствором формалина и жидкости Карнуа.
Для статистической обработки и описания зародыши и плоды были разделены на возрастые группы по неделям и месяцам, для чего использованы данные эмбриологических руководств и сводок: согласно системе периодизации Г.А. Шмидта (1954, 1957), весь пренатальный онтогенез делится на эмбриональный (1-15 мм длины), предплодный (15,5-65 мм длины) и плодный (65,5-500 мм длины) периоды (F. Mall, 1898; Л. Барт, 1951; Н.В. Попова-Латкина, 1956; П.Я. Герке, 1957; Б.М. Петтен, 1959, 1962; С.И. Щелкунов, 1964; А.Г. Кнорре, 1967; Б. М. Хватов с соавтр., 1961; А.С. Леонтюк, 1981).
Формирование желудка у плода - эмбриогенез, морфогенез
В представленной статье освещаются закономерности развития поджелудочной железы человека в предплодном периоде пренатального онтогенеза с учетом ее коррелятивных взаимоотношений со смежными закладками органов. На сериях срезов предплодов человека определена единая, хорошо выраженная закладка поджелудочной железы (8 неделя эмбриогенеза), являющаяся результатом слияния дорсального и вентрального зачатков этого органа пищеварительной трубки. Подробно описаны топографо-анатомические соотношения развивающейся поджелудочной железы со смежными органами брюшной полости. Охарактеризованы морфологические особенности развивающегося органа.
Необходимость знания основных этапов формирования органов в антенатальном периоде онтогенеза и выяснение факторов, их обусловливающих, послужат надежным средством для поисков путей предотвращения возникновения врожденных уродств и аномалий. Этапом в изучении закономерностей биологической эволюции можно считать выдвижение на первый план таких категорий, как морфогенез и системогенез. Биогенетический закон, теория зародышевых листков, учение о фило-, эмбриогенезах, основные механизмы регуляции гисто- и органогенеза и целый ряд других основополагающих разработок отечественных и зарубежных авторов являются фундаментальным для расшифровки морфогенеза в нормальных, экспериментальных и патологических условиях [2, 4, 7, 8].
Цель исследования: изучить динамику развития поджелудочной железы человека с акцентом на выявление основных этапов и стадий в ее формировании в предплодном периоде онтогенеза.
Задача исследования: определить закономерности формирования структурных преобразований производных пищеварительной трубки, в частности, поджелудочной железы, в предплодном периоде онтогенеза.
Материалы и методы исследования Объектом исследования явились 329 срезов 10 серий препаратов поджелудочных желез эмбрионов и предплодов человека от 6 до
38 мм теменно-копчиковой длины (ТКД).
Материал по пренатальному онтогенезу, согласно системе периодизации Г.А. Шмидта (1957, 1968, 1972), был разделен на эмбриональный, предплодный и плодный периоды.
Для изготовления препаратов поджелудочной железы эмбрионы и предплоды фиксировались в смеси 50% спирта с 5%-ным раствором формалина и жидкости Карнуа, состоящей из 6 частей абсолютного этанола, 3 частей хлороформа, 1 части ледяной уксусной кислоты. Материал фиксировался в жидкости Карнуа в течение 4 часов при температуре 25°С, после чего материал переносился в абсолютный этанол. Для лучшего циркулирования этанола на дно сосуда клали стеклянную вату. Далее проводилось обезвоживание через серию спиртов различной концентрации. Для заливки материала использовался парафин, в который для пластичности были добавлены 5%-ный очищенный пчелиный воск и несколько капель скипидара. Для избавления газовых примесей парафин нагревался в термостате при температуре 70 о С в открытых чашках в течение нескольких суток. Материал заливался парафином по схеме Левинсона (1957). Срезы получали с помощью микротома МС-2. Далее полученные срезы депарафинировали в ксилоле и бензоле, после чего проводили через спирты в нисходящей концентрации и заканчивали в дистиллированной воде. Препараты серий срезов эмбрионов и предплодов окрашивались гематоксилином и эозином, тройной окраской по Штерну, азотнокислым серебром, докраской золотом.
На сериях срезов зародышей и предплодов человека изучались зачатки отделов поджелудочной железы во взаимосвязи с закладками других органов, располагающихся в брюшной полости.
Изучение материала проводилось на универсальном световом микроскопе «NU» (Германия), окуляр х12,5; объективы х10, х25, х6З, х100 и стереомикроскопе «Leica» MZ 12,5 с использованием телевизионной цветной камеры «Pixera» (США) и компьютерной программы Photo Shop.
Результаты исследования и их обсуждение
Изучение предплодного периода пренатального онтогенеза человека позволило выявить следующие закономерности формирования производных пищеварительной трубки. У зародышей 15,5 мм ТКД в брюшной полости определяются 2 кишечные петли, одна из которых является будущей
12-перстной кишкой и находится рядом с закладкой желудка; вторая петля размещается на границе между брюшной полостью и пупочным канатиком. В толще последнего определяются три кишечные петли, две из которых висят на общей дорсальной брыжейке и по своему строению отдаленно напоминают толстую кишку. На данной стадии онтогенеза осуществляется тесная связь между содержимым пупочного канатика и полостью тела зародыша через широкое пупочное кольцо. Закладка поджелудочной железы к началу предплодного периода достаточно хорошо визуализируется и представлена системой ветвящихся в мезенхиме эпителиальных трубочек. В мезенхиме между поджелудочной железой и двенадцатиперстной кишкой локализуется желточно-брыжеечная артерия, которая проникает в толщу дорсальной брыжейки. Закладка нижней брыжеечной артерии отходит от аорты на уровне II поясничного позвонка и следует в каудальном направлении.
При изучении следующей стадии пренатального онтогенеза (предплоды 20-22 мм ТКД) отмечено, что каудовентрально по отношению к закладке желудка и поджелудочной железы, у нижней поверхности печени выявляется кишечная петля, имеющая относительно широкий просвет и тонкую стенку. Отчетливо заметен последовательный переход 12-перстной кишки в будущую тонкую, лежащую на границе между пупочным кольцом и пупочным канатиком. Дорсальная брыжейка, значительно расширяясь в дистальной части, удерживает две кишечные петли, одна из которых располагается под нижней поверхностью правой доли печени и находится в топографической «близости» с закладкой желчного пузыря. Закладка желточно-брыжеечной артерии прослеживается в общей брыжейке, расположенной между поджелудочной железой и петлями проксимальной части кишечной трубки. Краниальнее желточно-брыжеечной артерии определяется относительно короткий чревный ствол. Отчетливо выявляется и закладка нижней брыжеечной артерии. Характерной особенностью расположения закладки поджелудочной железы у предплодов 20-22 мм ТКД являются ее тесные топографо-анатомические корреляции с закладками желудка, мезогастриум и петлей тонкой кишки. Отмечаются также топографо-анатомические взаимоотношения с петлями «физиологической грыжи», закладками первичной почки и половой железы.
При исследовании предплодов 23-24 мм ТКД выявлено, что стенка зачатка желудка интимно соприкасается с широкой пупочной веной. Мезогастриум является частью дорсальной брыжейки, в толще которой находится хорошо сформированный зачаток поджелудочной железы. Отчетливо заметен переход закладки 12-перстной кишки в будущую тощую, которая достигает пупочною канатика, продолжаясь в 5-6 петли «физиологической грыжи». Эти отрезки кишок, снабженные короткими брыжейками, приближаются по своим морфологическим признакам к толстой кишке. Исследование особенностей кровоснабжения производных пищеварительной трубки показало, что закладка чревного ствола определяется на уровне верхнего края XI грудного позвонка. Чревный ствол проникает в дорсальную брыжейку и принимает дорсо-вентральное направление. Желточно-брыжеечная артерия определяется в толще дорсальной брыжейки и находитсятся в тесной связи с зачатком поджелудочной железы.
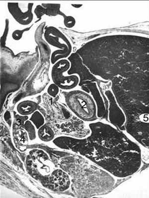
Исследование топографии производных пищеварительной трубки предплодов 25 мм ТКД показало, что в этом возрастном интервале из конечного отдела кишечной трубки формируется будущая прямая кишка. В толще длинной мезогастриум определяется зачаток поджелудочной железы.
Несколько каудальнее поджелудочной железы размещаются петли тонкой кишки с просветом звездчатой формы (рис.1) .

Рис. 1. Сагиттальный срез плода 25мм длины:
1 - каудальный отдел кишечной петли, из которого формируется закладка сигмовидной кишки;
2 - закладка желудка и петли тонкой кишки;
3,4 - половая железа и первичная почка;
5 - правая и левая доли печени.
Микрофотосъемка: ув. 75
Между желудком, петлей тонкой кишки лежит каудальный отдел кишечной «петли» (толстой кишки). Ее брыжейка относительно тонка в начальной части, несколько расширена в конечном отделе и непосредственно переходит в общую. Установлено, что на данной стадии развития, на уровне верхнего края тела III поясничного позвонка от брюшной аорты отделяется короткий артериальный ствол, следующий вентрально и несколько краниальнее поджелудочной железы и представляющий собой закладку верхней брыжеечной артерии. Каудальнее первой ветви от переднебоковой стенки аорты под углом 130-140 о по отношению к ней отходит относительно длинный узкий ствол. Он проникает в общую брыжейку и выявляется между закладками прямой кишки, поджелудочной железы и двумя петлями тонкой кишки. Закладка нижней брыжеечной артерии отходит под прямым углом от брюшного отдела аорты.
При изучении производных кишечной трубки у предплодов 27-30 мм ТКД выявлены следующие особенности строения: двенадцатиперстная кишка вдается в паренхиму правой доли печени. Хорошо сформированный зачаток поджелудочный железы определяется дорсальнее 12-перстной кишки, в общей брыжейке (рис. 2).

Рис. 2. Сагиттальный срез предплода 30 мм ТКД, 8 неделя внутриутробного развития:
1- закладка желудка;
2- закладка печени;
3- закладка поджелудочной железы;
4- закладка селезенки, имеющая треугольную форму и находящаяся у левого края брыжейки желудка;
5- постоянная почка;
6- закладка половой железы.
Окраска - по Маллори.
Микрофотосъемка. Х 25
Будущая тощая кишка находится в полости тела зародыша, каудо-вентральнее двенадцатиперстной кишки. III кишечная петля является продолжением тощей, имеет относительно широкий просвет и тонкую стенку и представляет собою закладку будущей подвздошной кишки. Наличие широко открытого пупочного кольца создает предпосылки для проникновения петель, находящихся в пупочном канатике, в брюшную полость эмбриона. На 8 неделе пренатального онтогенеза четко визуализируется закладка поджелудочной железы, которая на фронтальных срезах представлена двумя зачатками, один из которых - вентральный, имеет удлиненно-овальную форму, располагается в мезогастриум, но изолирован от стенки желудка; второй - дорсальный, отличается относительно большими размерами, форма - прямоугольная, очень плотно соприкасается с закладкой двенадцатиперстной кишки и закладкой верхней брыжеечной артерии.
Изучение характера расположения закладок желудка, поджелудочной железы, петель тонкой и отделов будущей толстой кишки у предплодов 32-38 мм ТКД показало, что у нижнего края закладки массивного желудка тянется тонкая мезогастриум, часть которой плотно сращена со стенкой желудка. В брыжейке желудка находится зачаток поджелудочной железы. Закладка будущей 12-перстной кишки, как и зачаток поджелудочной железы, составляет с закладкой желудка единый комплекс органов. Каудо-вентральнее двенадцатиперстной кишки, в полости тела зародыша выявляется закладка тощей кишки, имеющая относительно тонкую стенку и широкий просвет. На высоте пупочного отверстия определяется кишечная петля, являющаяся непосредственным продолжением тощей кишки и представляющая собой закладку будущей подвздошной кишки. Наличие широко открытого пупочного кольца создает определенные предпосылки для проникновения петель, находящихся в пупочном канатике, в брюшную полость зародыша. На 8 неделе внутриутробного развития закладка поджелудочной железы имеет четкие контуры, ровные края, округлую форму, различимы секреторные гранулы и канальцы. Топографо-анатомические взаимоотношения развивающейся поджелудочной железы - с желудком, закладками постоянной почки, надпочечником, левой половой железой, поперечной ободочной кишкой. Комплекс клеток, растущих из стенки энтодермальной трубочки в направлении капилляра, позволяет предположить о наличии островков Лангерганса, что подтверждает также существование в данный момент эндокринного и экзокринного отделов железы. Отчетливо определяются закладки верхней и нижней брыжеечных артерий. Закладка верхней брыжеечной артерии отходит от переднебоковой полуокружности аорты и прослеживается между постоянной почкой и петлей тонкой кишки. Нижняя брыжеечная артерия отделяется от левой полуокружности аорты, отдает ветвь к корню брыжейки закладки сигмовидной кишки.
В толще дорсальной брыжейки выявляется артериальная ветвь, начальный отрезок которой прослеживается в проксимальной части общей брыжейки, между закладкой поджелудочной железы, верхней брыжеечной веной и зачатками двенадцатиперстной и тощей кишок.
Заключение
Таким образом, при сопоставлении данных, представленных в работах отечественных и зарубежных исследователей по вопросу об источниках развития и формирования поджелудочной железы на ранних стадиях онтогенеза, мы пришли к заключению, что в конце зародышевого периода выявляются тесные гисто-топографические взаимоотношения между надпочечником и единой закладкой поджелудочной железы. Определяется главный (вирсунгов) проток в виде анастомоза дистальной части дорсального протока с протоком вентральной закладки, открывающимся в двенадцатиперстную кишку. Проксимальная часть протока дорсальной закладки облитерируется и теряет связь с кишкой и определяется в виде добавочного (санториниевого) протока. Примерно такую же картину описывают и некоторые другие авторы [1, 3, 7].
К началу предплодного периода онтогенеза мы визуализировали поджелудочную железу в виде системы ветвящихся в мезенхиме эпителиальных трубочек, о которых также упоминается в работах [6, 8].
Мы обратили внимание, что характерной особенностью расположения поджелудочной железы в данный период являются ее тесные топографо-анатомические корреляции с закладками желудка, мезогастриум и петлей тонкой кишки. Отмечаются также топографо-анатомические взаимоотношения с петлями «физиологической грыжи», закладками первичной почки и половой железы. Данный факт полностью подтверждается работами [1, 5].
Формирование желудка у плода - эмбриогенез, морфогенез
Формирование желудка у плода - эмбриогенез, морфогенез
В анатомическом и гистологическом отношении развитие желудка завершается к концу беременности. Рост желудка плода характеризуется линейной зависимостью в период с 13 до 39 нед, а характерную анатомию желудка (большая кривизна, малая кривизна, дно и тело желудка, привратник) можно обнаружить уже к 14 нед гестации.
Изменения, выявленные с помощью УЗИ, позволяют установить наличие врожденных аномалий развития этого органа. Невозможность идентифицировать желудок плода во время УЗИ во II триместре беременности является признаком атрезии пищевода, а увеличение размеров желудка может быть признаком непроходимости пилорического отверстия либо атрезии двенадцатиперстной кишки.
Пилоростеноз также представляет собой аномалию развития желудка. Vanderwinden и соавт. считают, что гипертрофический пилоростеноз новорожденных связан с аномалией белка нейрональной синтазы оксида азота I типа. Данная гипотеза подтверждена в исследовании на лабораторных мышах, однако генетическая основа данного феномена пока не установлена.
В опубликованных в последнее время исследованиях обнаружено увеличение риска развития стеноза у лиц с полиморфизмом генов, кодирующих синтазу оксида азота.
Формирование желудка регулируется двумя сигнальными путями — WNT и hedgehog. Гомеобоксный ген Barx1 экспрессируется в период органогенеза в мезенхиме будущего желудка. Barx1 регулирует экспрессию двух антагонистов сигнальной системы WNT. В свою очередь, подавление сигнального пути WNT способствует формированию специфического желудочного эпителия.
При отсутствии Barx1 эпителий желудка обладает рядом признаков, характерных для кишечного эпителия. Снижение экспрессии фактора GATA4 сочетается с нарушением дифференцировки желудочных желез, но не влияет на развитие многослойного плоского эпителия, что отражает повышенная экспрессия Shh в клетках со сниженной экспрессией GATA4. GATA4 может принимать участие в ответе желудочного эпителия на действие факторов сигнальной системы BMP.
Единственный представитель огромного семейства стероидных рецепторов COUP-TFII необходим для структурирования развивающегося желудка в радиальном направлении, а также по переднезадней оси. COUP-TFII является мишенью сигнальных белков hedgehog, регулирующих развитие ЖКТ.
В работах Leblond и соавт. по изучению развития желудка у мышей установлено, что эпителиальные клетки желудочных углублений берут свое начало из стволовых клеток, локализованных в области шеи. Данные стволовые клетки в процессе деления формируют клеточные популяции, мигрирующие как в головном, так и в каудальном направлении.
Эксперименты по аблации обкладочных клеток свидетельствуют, что баланс между обкладочными клетками, клетками желудочных углублений и клетками, продуцирующими ферменты, осуществляется посредством тесного взаимодействия между этими клеточными популяциями.
В эпителии желудка человека также обнаружены клетки-предшественники. Musashi-1, ранее считавшийся маркером, характерным для стволовых клеток тонкой кишки, является маркером клеток-предшественников антрального отдела желудка человека.

Учебное видео по развитию желудочно-кишечного тракта (эмбриогенезу)
Редактор: Искандер Милевски. Дата обновления публикации: 18.3.2021
Формирование желудка у плода - эмбриогенез, морфогенез
Изучение развития органов иммунной системы имеет высокую значимость для современной медицинской науки. Данная статья посвящена актуальной проблеме – развитию селезенки как органа иммунной системы на этапах пренатального онтогенеза. Выявлены сроки формирования закладки селезенки, ее топографо-анатомических взаимоотношений со смежными органами брюшной полости в эмбриональном и предплодном периодах пренатального онтогенеза.
Современная морфология - это наука о биологической организации клеток, тканей, органов и организма человека, неразрывно связанная с практическим здравоохранением. Морфология сохраняет и укрепляет свое положение фундаментальной естественной исторической науки и вносит существенный вклад в прогресс сопредельных биологических и медицинских наук. Морфогенез органов и систем, становление анатомической формы в процессе развития организма человека на ранних стадиях пренатального онтогенеза является не только теоретической, но и практической проблемой. В решении дальнейшего снижения детской смертности важную роль играет профилактика и лечение перинатальной патологии, совершенствование критериев диагностики и реабилитация детей с нарушениями иммунной системы. Перспективы практического использования данных эмбриологии осуществляются в медицинской практике для антенатальной профилактики заболеваний плода, разработки способов постнатальной коррекции дефектов развития, изучения регулирующих систем «мать - плацента - плод». Однако, несмотря на значительные достижения современной морфологии, остаются недостаточно изученными многие вопросы, касающиеся стадий и этапов развития органов в онтогенезе.
Одной из ведущих проблем морфологии является комплексное изучение морфо-функциональных аспектов органов иммунной системы, в частности, селезенки. Изучение морфологических особенностей строения селезенки, ее основных компонентов на ранних этапах эмбриогенеза приобретает особое значение в плане выполнения органосохраняющих оперативных вмешательств, а также для выработки критериев диагностики и выборе тактики при разрывах капсулы при травматических повреждениях этого органа .
Цель исследования заключалась в изучении сроков формирования закладки селезенки, ее топографо-анатомических взаимоотношений со смежными органами брюшной полости в эмбриональном и предплодном периодах пренатального онтогенеза.
Материал и методика: Объектами исследования явились 669 срезов 30 серий эмбрионов и предплодов человека от 2 до 50 мм ТКД, полученных в результате артифициальных абортов и преждевременных родов, от практически здоровых женщин. Использован также материал препаратов селезенки, полученных из патологоанатомического бюро и бюро судебной медэкспертизы города Астрахани.
Возраст эмбрионов и предплодов определялся в неделях с учетом анамнеза беременности, результатов клинико-диагностического обследования и по результатам сопоставления теменно-копчиковой, затылочно-копчиковой и общей длины с таблицами и схемами руководств и сводок, представленными F. Mall (1895), O. Streeter (1921,1945), G. Oliver (1962), O´Rahily(1979), Л. Барт (1951), Г.А. Шмидт (1971), Б.М. Пэттен (1959), А.Г. Кнорре (1971), Ю.Н. Шаповаловым (1974), Л.И. Фалиным (1976), А.С. Леонтюк (1981). Материал по пренатальному онтогенезу, согласно системе периодизации Г.А. Шмидта (1951, 1957), был разделен на эмбриональный (1 - 15 мм длины), предплодный (15,5 - 65,5 мм длины), плодный (65,5 - 500 мм длины) периоды.
Изготовление гистологических срезов осуществлялось по стандартной методике. Препараты серий срезов окрашены гематоксилин - эозином, тройной окраской по Штерну, импрегнацией азотнокислым серебром, докраской золотом. Изучены 22 серий срезов эмбрионов и предплодов человека от 2 до 50 мм ТКД и 8 сагиттальных и фронтальных срезов от 6 до 38 мм ТКД.
1. Развитие селезенки в эмбриональном периоде пренатального онтогенеза
По данным нашего исследования, у эмбрионов 2 мм ТКД кранио-вентрально по отношению к обеим первичным почкам в мезенхиме определяется краниальный «отдел» первичной пищеварительной трубки, лишенный изгибов и сохраняющий прямолинейное направление.
У эмбрионов 6,5 - 7 мм ТКД выявлено, что закладка каудального отдела кишечной трубки лежит в срединной плоскости, не имеет изгибов и располагается параллельно закладкам осевого скелета и первичной почки. Брыжейка простирается на всем протяжении по отношению к кишечной трубке, за исключением ее краниального отдела. У зародышей 6 мм ТКД определяются стенка закладки желудка, формирующаяся собственная брыжейка желудка (mesogastrium), состоящая из двух листков. Листки mesogastrium на 4-ой неделе развития широки и узки на границе слияния закладки желудка; узкие, удлиненные в дистальном направлении.
У зародышей 8 мм ТКД отмечаются тесные топографо-анатомические взаимоотношения между массивной закладкой печени и закладкой желудка. От последней в виде двух листков отходит mesogastrium, в толще которой формируется закладка поджелудочной железы, представленная двумя зачатками округлой формы. На данной стадии пренатального онтогенеза (5 неделя) представляется возможным выявить закладку селезенки, расположенную в левом углу mesogastrium, овально-округлой формы. На 5 неделе (зародыш 9 мм ТКД) закладка желудка находится в топографической близости с закладкой печени. Отмечаются тесные топографо-анатомические корреляции mesogastrium с закладкой будущей двенадцатиперстной кишки. В толще mesogastrium, каудальнее по отношению к закладке желудка, определяется крупная закладка поджелудочной железы, имеющая треугольную форму. Вентрально по отношению к закладке желудка находится закладка двенадцатиперстной кишки, сохраняющая тесные топографо-анатомические корреляции с закладкой желудка. Закладка селезенки в виде округлой формы образования, состоящего из мезенхимы, выявляется в толще левой части mesogastrium. Вентральнее закладки желудка располагается закладка петель проксимального отдела пищеварительной трубки.
В начале 6 недели внутриутробной жизни (зародыши 10 мм ТКД) первичная кишечная «петля» находится в срединной плоскости тела зародыша, между правой половой железой и мезенхимой, окружающей корень дорсальной брыжейки. Листки mesogastrium относительно утолщаются в месте слияния мезенхимы закладки желудка, а в области соприкосновения с поджелудочной железой становятся более тонкими; В связи с этим четкая граница между закладкой поджелудочной железы и листками mesogastrium, в толще которой определяется округлой формы будущая закладка селезенки, отсутствует. Будущая двенадцатиперстная кишка находится в топографо-анатомической близости с поджелудочной железой, приобретающей овальную форму.
У эмбрионов 12-15,5 мм ТКД отмечаются закладки проксимального и конечного отделов пищеварительной трубки (ее разделение на тонкую и толстую кишку еще отсутствует ) Выявлены закладки желудка и поджелудочной железы. Брыжейка, на которой висят желудок и поджелудочная железа, является ответвлением общей дорсальной брыжейки. Между листками mesogastrium, в области ее левого края, контурирует овально-округлой формы закладка селезенки. У зародышей 13,5 мм ТКД отмечаются тесные топографо-анатомические взаимоотношения между висцеральной поверхностью печени, зачатками желудка, почки и левым массивным надпочечником, зачатком поджелудочной железы. У 15-мм зародышей закладка поджелудочной железы состоит из 3-х зачатков, имеющих овальную форму. Зачатки поджелудочной железы располагаются в mesogastrium и имеют тесные топографо-антомические корреляции с закладкой 12-перстной кишки и дорсальной брыжейкой. В левом углу mesogastrium контурирует треугольно-овальной формы закладка селезенки.
2. Формирование селезенки в предплодном периоде пренатального онтогенеза
У предплодов 16 - 20 мм теменно-копчиковой длины определяются тесные топографо-анатомические взаимоотношения селезенки со смежными органами брюшной полости: массивной печенью, закладкой желудка, поджелудочной железой, закладкой двенадцатиперстной кишки. Вентро-каудальнее желудка контурирует закладка будущей поперечной-ободочной кишки. В mesogastrium зачаток поджелудочной железы приобретает более удлиненную форму; размеры и формы закладки селезенки, расположенной в толще мезенхимы левого угла брыжейки желудка, изменяется, в связи с чем зачаток селезенки имеет треугольно-овальную форму.
У предплодов 21-23 мм ТКД закладка желудка находится в тесных топографо-анатомических взаимоотношениях с закладками печени, левой половой железой, поджелудочной железой, которая располагается в толще мезогастриум. Четко выявляется закладка селезенки, имеющая удлиненную форму и располагающаяся в средней части брыжейки желудка, тесно соприкасающаяся с ее листками. Mesogastrium является частью дорсальной брыжейки, в толще которой находится хорошо сформированный зачаток поджелудочной железы. В закладке поджелудочной железы (предплод 25 мм ТКД) определяется верхняя брыжеечная артерия.
У предплодов 27- 28 мм ТКД сохраняются тесные корреляции между закладкой желудка, висцеральной поверхностью печени, зачатками поджелудочной железы, двенадцатиперстной кишки. Четко контурирует mesogastrium, отходящая от общей брыжейки. В левом углу брыжейки желудка определяютя четкие контуры закладки селезенки, имеющей треугольную форму. В дорсальной брыжейке различимы формирующиеся ветви брюшного аортального сплетения. Закладка желудка окружена тремя зачатками поджелудочной железы. Каудальнее закладки желудка, на собственной брыжейке располагается закладка будущей поперечной-ободочной кишки, имеющая толстую стенку и относительно узкий просвет.
У предплодов 30 - 33 мм ТКД массивная закладка желудка находится в тесных топографо-анатомических взаимоотношениях с закладкой печени. От нижнего края закладки желудка прослеживается тонкая mesogastrium, в толще которой определяется закладка поджелудочной железы. На протяжении левого отдела mesogastrium относительно четко контурирует удлиненно треугольной формы закладка селезенки, имеющая ровные контуры. Закладка будущей поперечной-ободочной кишки снабжена собственной брыжейкой и находится в тесных топографо-анатомических соотношениях с нижней поверхностью закладки желудка. У предплодов 33 мм ТКД закладка поджелудочной железы, как и закладка будущей двенадцатиперстной кишки, составляет с закладкой желудка единый комплекс органов.
На последующей стадии внутриутробного развития (предплоды 35 мм ТКД) сохраняются тесные топографо-анатомические корреляции закладок желудка, печени, поджелудочной железы, двенадцатиперстной кишки. Между листками mesogastrium располагается закладка поджелудочной железы. В левой части собственной брыжейки желудка определяется зачаток будущей селезенки, приобретающей треугольно-овальную форму; она занимает большой « участок » в мезенхиме, между листками mesogastrium. Каудо-вентральнее закладки желудка располагается закладка поперечной-ободочной кишки, имеющая тонкую и короткую мезоколон. Вентральнее от закладки поджелудочной железы и каудальнее закладки желудка определяется закладка двенадцатиперстной кишки.
У предплодов 37 мм ТКД между относительно тонкими листками mesogastrium располагается массивная закладка поджелудочной железы, находящаяся в тесных топографо-анатомических отношениях с закладкой петли будущей тонкой кишки. Закладка селезенки имеет форму « равнобедренного треугольника » и находится в толще собственной брыжейки желудка, а также в мезенхиме между листками общей брыжейки.
Закладка поджелудочной железы (предплод 38 мм ТКД) смещается дорсальнее закладки желудка. Листки mesogastrium интимно связаны в месте расширения закладки поджелудочной железы. Вентро-каудальнее закладки желудка располагается закладка будущей поперечной ободочной кишки, имеющая собственную брыжейку. Между закладками желудка и поперечной-ободочной кишки определяется закладка 12- перстной кишки. Что касается зачатка селезенки, то последняя, в связи с плотным характером расположения мезогастриум, приобретает более интимные соотношения с листками брыжейки желудка, имеет четкие контуры, ее форма приближается к треугольной.
У предплодов 45-50 мм ТКД достаточно рельефно определяются топографо-анатомические корреляции между закладками желудка, массивной печенью, поджелудочной железой, двенадцатиперстной кишки, поперечной-ободочной кишки. В связи с дальнейшим ростом как зачатков органов, расположенных в брюшной полости, изменением их топографо-анатомических взаимоотношений и удлинением как общей дорсальной брыжейки, удерживающей петли будущей тонкой кишки, так и mesogastrium и мезоколон, изменяется форма, размеры селезенки, постепенно приближающейся к дефинитивной в плодном периоде пренатального онтогенеза. У плодов различных возрастных групп селезенка имеет четко различимые края, поверхности, ворота. Отмечается нарастание ее морфометрических параметров (длины, толщины, поперечного размера) и характера расположения в верхнем этаже брюшной полости.
Таким образом, на основании детального исследования серий срезов эмбрионов и предплодов человека выявлены морфологические критерии и закономерности топографо-анатомических взаимоотношений селезенки и смежных органов брюшной полости, начиная с момента закладки на ранних стадиях эмбриогенеза.
Формирование желудка у плода - эмбриогенез, морфогенез
Сведения о частоте обнаружения форм двенадцатиперстной кишки (ДК) человека в литературе не просто очень противоречивы, но порой несопоставимы, т.к. их общепринятая классификация до сих пор отсутствует. Так Th. Jonnesco [9] описал 3 формы ДК - кольцевидную, U- и V-образную, первая встречается только у плодов и детей до семи лет, а остальные - у взрослых. П.И.Дьяконов с соавторами [3] указывали, что ДК у взрослых имеет форму подковы. Согласно данным Ф.И. Валькера [1], для старческого возраста характерна складчатая форма ДК. А.В. Мельников [4] различал 4 формы ДК - U-, V- и L-образную, а также круглую, причем без учета верхней части. В.В.Мурасов [5] сообщил, что у 47,7 % людей 17-74 лет ДК имеет С-образную форму, U-образную - у 23 % людей, кольцевидную - у 19,1 %, V-образную - у 10,2 %. Большинство исследователей считает кольцевидную форму основной для ДК у плодов человека и исходной для образования других [2, 7, 8]. Нет единого представления и о форме ДК в эмбриогенезе человека [6] вплоть до утверждения о разнообразии ее форм с момента закладки органа [1, 7]. Мои собственные наблюдения [6] свидетельствуют, что разнообразие форм ДК возникает у плодов человека в связи с вариабельным течением вторичных сращений брюшины, однако сохраняются также эмбриональные формы ДК.
Материал и методы
Работа выполнена на 400 зародышах человека 4-36 нед. Методом препарирования изучена форма ДК у 20 эмбрионов 10-28 мм длины (5,5-8 нед.) и у 165 плодов 9-36 нед. после их фиксации в 10 % растворе нейтрального формалина, а у части плодов 5-9 мес. - и до фиксации материала.
Результаты
Закладка ДК происходит в конце 4-й нед. эмбриогенеза. В средней 1/3 целомической полости эмбриона 5 мм длины, на уровне XII-XIII пар сомитов, под веретенообразным расширением закладки желудка первичная кишка имеет форму короткой, почти прямой трубки. Ее эпителиальная часть образует небольшое веретенообразное расширение, которое на передней своей стенке сообщается с вентральным зачатком поджелудочной железы (ПЖ), ниже, и с общим желчным протоком, выше, а на задней стенке - с дорсальным зачатком ПЖ. Этот протоковый отрезок первичной кишки представляет собой эпителиальную закладку ДК. Она имеет форму дуги - слабо искривлена вентрально и вправо («тяга» интенсивно растущей печени). Неравномерный рост эпителиальных зачатков ПЖ и ДК приводит к сближению и слиянию вентральной и дорсальной брыжеек средней кишки позади закладки ДК у эмбрионов 5-6-й нед. с образованием брыжейки ДК, где зачатки ПЖ сливаются с образованием ее головки на 7-й нед. Слияние брыжеек не происходит около начала ДК, чему препятствуют общий желчный проток и воротная вена печени. Здесь вентральная брыжейка ДК становится печеночно-дуоденальной связкой. У эмбрионов 10-12 мм длины (5,5-6 нед.) закладка ДК приобретает собственную трехслойную стенку, имеет форму короткой дуги, выпуклой вентрально и вправо, и расположена почти поперечно соответственно интенсивному росту печени (рис. 1, 2). Средний, протоковый отрезок ДК быстро удлиняется и становится у эмбрионов 12-15 мм длины (конец 6-й - начало 7-й нед.) сагиттально ориентированной нисходящей частью, огибающей справа закладку головки ПЖ (рис. 3, 4). Короткие верхняя и нижняя части ДК оказываются впереди и позади головки ПЖ. ДК приобретает форму полукольца. У плодов 8,5-9,5 нед. происходит вправление физиологической пупочной грыжи в брюшную полость и начинаются вторичные сращения брюшины. Брыжейка ДК срастается с задней брюшной стенкой, а сама ДК приобретает у большинства плодов 9,5-10 нед. кольцевидную форму и фронтальное положение в связи с относительным уменьшением размеров печени, особенно сагиттального, и у большинства плодов 5-го мес. (реже раньше) - подковообразную форму. У плодов человека 10 нед. и старше встречаются другие формы ДК - U- и V-образные, овальная, с удлинением верхней части, как варианты деформации основных фетальных форм (кольцевидной, подковообразной), и сохранение эмбриональной полукольцевидной формы, исходной для всех фетальных форм ДК, в результате необычного развития вторичных сращений брюшины [6].
Рис. 1. Эмбрион человека 10 мм длины (5,5 недель), тотальный препарат:
1 - большая кривизна желудка; 2 - печеночно-дуоденальная связка; 3 - расширенный средний, протоковый отрезок (будущая нисходящая часть) закладки двенадцатиперстной кишки;
4 - брыжейка двенадцатиперстной кишки; 5 - закладка двенадцатиперстно-тощекишечного изгиба; 6,7 - нисходящее колено и верхушечный сегмент пупочной кишечной петли. Ув. 25
Рис. 2. Эмбрион человека 12 мм длины
(6 недель), тотальный препарат:
1 - большая кривизна желудка;
2 - печеночно-дуоденальная связка; 3 - пилорус; 4,5 - верхняя (луковица) и нисходящая части в закладке двенадцатиперстной кишки; 6 - закладка двенадцатиперстно-тощекишечного изгиба; 7 - нисходящее колено пупочной кишечной петли. Ув. 25

Рис. 3. Эмбрион человека 14 мм длины (начало 7-й недели), сагиттальный срез:
1, 2, 3, 4 - верхняя, нисходящая и нижняя части, брыжейка двенадцатиперстной кишки; 5 - печень; 6 - правый надпочечник; 7 - правая почка; 8 - правая гонада; 9 - правый мезонефрос. Гематоксилин и эозин. Ув. 40
Рис. 4. Эмбрион человека 17 мм длины
(6,5 недель), тотальный препарат:
1 - печеночно-дуоденальная связка;
2,3,4,5 - верхняя, нисходящая и нижняя части, брыжейка двенадцатиперстной кишки; 6 - правый мезонефрос;
7 - правый надпочечник. Ув. 32
У плодов старше 10 нед. я обнаружил редкие формы ДК, хочу выделить три случая - ДК в виде поперечно расположенных короткой дуги (1) или полукольца (2) с сагиттальной ориентацией нисходящей части, что напоминает состояние закладки ДК в середине 6-й - начале 7-й нед. эмбриогенеза.
У плода 6,5 мес. ДК имела форму слабо выраженной дуги, расположенной немного вправо от средней линии, как у эмбриона 6 нед. Начальный отрезок ДК с печеночно-дуоденальной связкой направлялся слева направо, затем ДК поворачивала назад, и, наконец, влево и вперед (область двенадцатиперстно-тощекишечного изгиба - ДТКИ). Головка ПЖ не определялась, ее правый конец примыкал к началу ДК, левый конец - к селезенке. ПЖ располагалась почти фронтально, позади желудка, между его дном, кардиальной частью и телом. Желудок имел форму рога с преимущественным расширением средней и нижней третей тела, занимал положение, переходное между фронтальным и поперечным. Петли тонкой кишки находились преимущественно в правой части брюшной полости, в т.ч. справа от ДК. Корень брыжейки тонкой кишки был сращен с передней поверхностью ДК, ободочная кишка (ОбК) - с большой кривизной желудка, начиная от селезенки, и с верхней поверхностью ДК. Печень находилась впереди и выше ДК. Необычным было соотношение размеров тонкой кишки и печени в пользу первой при недоразвитии ДК и ПЖ.
У плода 45 нед. (гипотрофик, с резкой гипогенезией почек, агенезией мочеточников и мочевого пузыря) желудок занимал фронтальное положение, все его отделы были сформированы, тело - равномерное по ширине. ДК имела форму полукольца и горизонтальное положение, нисходящая часть проходила спереди назад, справа от головки ПЖ, ДТКИ находился позади головки ПЖ и желудка. Поперечная ОбК была сращена с верхней и нисходящей частями ДК. Слепая кишка располагалась под печенью, справа и немного ниже ДК. Петли тонкой кишки находились ниже ДК. По сравнению с предыдущим случаем, объем (и влияние) брыжеечной части тонкой кишки представляется меньшим.
У плода 11 нед. желудок и ДК имели такие же характеристики, что и у плода 45 нед. Головка ПЖ находилась слева и ниже ДК, а печень - справа, сверху, позади и впереди ДК. ДТКИ был сращен с задней брюшной стенкой и левым надпочечником, начало тощей кишки - с нижними поверхностями ПЖ, пилорической части желудка и поперечной ОбК, последняя - с передне-нижней поверхностью пилорической части желудка и головки ПЖ. Последних два случая напоминают состояние ДК в начале 7-й нед. эмбриогенеза.
Подробнее опишу еще один случай совершенно необычного развития ДК у плода 12-й нед. Реберные дуги были разведены в стороны от средней линии. Печень по вертикали занимала почти всю брюшную полость, совсем немного не достигала лобкового сращения. Печень напоминала нетолстые пластины, которые спереди прикрывали желудок с селезенкой и основную массу петель тонкой кишки. Они размещались по средней линии и влево от нее, достигая купола диафрагмы, как и левый надпочечник. Желудок имел форму рога и тело почти одинаковой ширины на протяжении, дно не было выражено, большая кривизна была обращена вниз и немного влево, малая кривизна - вверх. Орган в целом располагался косо во фронтальной плоскости, влево от средней линии, по которой переходил в ДК. Она размещалась вертикально во фронтальной плоскости, примерно по средней линии восходила гораздо выше желудка, под купол диафрагмы, где поворачивала влево, вниз и вперед - ДТКИ. Отделы ДК почти не дифференцировались. Ее верхняя часть идентифицировалась только по печеночно-дуоденальной связке. Форму такой ДК можно определить как сильно растянутую дугу или запятую. Справа от пилорической части желудка, верхней части и начала восходящей части ДК находился правый надпочечник, справа от него, от правой почки и восходящей части ДК - утолщенный дорсолатеральный край пластины правой доли печени. ОбК имела все 4 дефинитивных отдела, самым коротким из них был поперечный, самым протяженным - нисходящий. Подвижная слепая кишка лежала по средней линии, под пилорусом, ее червеобразный отросток свободно свисал до лобкового сращения. Восходящая ОбК петлеообразно поднималась вверх, по поверхности корня брыжейки тонкой кишки, брыжейка прикрывала тело желудка спереди. Печеночный изгиб ОбК направлял ее между корнем брыжейки тонкой кишки (сзади) и большим сальником (спереди) кзади от кардиальной части желудка. Короткая поперечная ОбК проходила позади едва заметного свода желудка. Нисходящая ОбК начиналась слева от большой кривизны желудка, но сразу отходила от нее влево, спускаясь по передней поверхности левой почки, около ее нижнего конца делала резкий изгиб влево, затем вниз и вправо, переходя в сигмовидную ОбК. Желудок был буквально замурован вторичными сращениями брюшины. С его передней стенкой был сращен корень брыжейки тонкой кишки, а с ее передней поверхностью - восходящая ОбК и ее брыжейка. Слева от них с корнем брыжейки тонкой кишки срастался большой сальник, который поднимался вверх и влево. Позади свода желудка и под ДТКИ он проходил кзади от поперечной ОбК и срастался с задней брюшной стенкой. Сальниковое отверстие находилось над печеночно-дуоденальной связкой, дорсолатеральнее восходящей части ДК. Пилорическая часть желудка и поперечная ОбК были сращены с задней брюшной стенкой, ДК - с задней брюшной стенкой и отчасти с правым надпочечником, а нисходящая ОбК - с левыми надпочечником и почкой. Безусловно, я описал аномальный случай развития ДК и плода в целом, который был деформирован от головы с высоким гребешком (мозговая грыжа) до плетеобразных конечностей. Однако обращаю внимание на совершенно необычные форму и положение печени, ДК и ОбК. Именно под давлением нижнего края печени происходит вправление пупочной кишечной петли в брюшную полость плода 10-й нед. Важное место в этом процессе занимает интенсивное удлинение тонкой кишки с образованием петель и относительным укорочением корня ее брыжейки в сочетании с относительным уменьшением печени, особенно вертикального размера ее дорсальных отделов. В данном случае, вероятно, чрезмерно интенсивный рост тонкой кишки привел к нарушению нормальных анатомотопографических взаимоотношений внутренних органов брюшной полости у плода.
Заключение
Закладка ДК человека имеет форму короткой дуги без ясного разделения на части. В конце 6-й - в начале 7-й нед. эмбриогенеза происходит быстрое удлинение ее среднего, протокового отрезка с преобразованием его в сагиттально ориентированную нисходящую часть между короткими верхней и нижней частями, справа от закладки головки ПЖ, в окружении крупной печени. Позднее относительные размеры печени уменьшаются, все большее место в брюшной полости занимают петли тонкой кишки, а ДК переходит из поперечного положения во фронтальное. Сохранение ранних эмбриональных состояний ДК, обнаруженное мной у нескольких плодов, может быть связано с торможением роста головки ПЖ и самой ДК, с необычным ростом печени (более слабым у правой доли, например) и брыжеечной части тонкой кишки (более интенсивным, чем обычно). Это приводит к резким изменениям относительных размеров указанных органов, нарушению их взаимодействий (складывающихся анатомотопографических взаимоотношений) и, в результате, - морфогенеза внутренних органов брюшной полости.
Читайте также:
