Гемангиобластома сетчатки: признаки, гистология, лечение, прогноз
Добавил пользователь Евгений Кузнецов Обновлено: 08.11.2025
Гемангиобластомой называют опухоль ЦНС доброкачественной природы, обычно обнаруживаемую в задней ямке черепа либо же в отделах спинного мозга. У этой болезни не найдено четкого гистологического происхождения, она выражается в сбое обычного оттока спинномозговой жидкости, поражении мозжечка. Ознакомьтесь с ключевыми аспектами симптоматики, диагностирования и преодоления таковых образований.
- Стадии гемангиобластомы согласно международной классификации
- Симтомы гемангиобластомы на разных стадиях болезни
- Диагностирование гемангиобластом
- Разновидности гемангиобластом
- О причинах развития гемангиобластом
- Лечение гемангиобластом
- Какие действенные меры нужно соблюдать для профилактики гемангиобластом?
- Прогноз при гемангиобластоме
Стадии гемангиобластомы согласно международной классификации
Гемангиобластома может быть или единичной, или входить в состав множественных образований. Что касается множественных очагов, то они характеризуют болезнь Гиппеля — Линдау. Гемангиобластомы - это приблизительно 2% образований во внутренней части черепа в целом и приблизительно 10% опухолей, локализованных внутри задней черепной ямки.
Такие опухоли крайне редки – они состоят из сосудов и проявляются преимущественно в мозжечке, однако способны зародиться внутри ствола головного мозга, в спинном мозге. Зачастую образования обладают твёрдым, кистозным компонентами. На сегодня пока нет информации касательно озлокачествлениа данного класса опухолей.
При классификации образований такого типа в онкологических клиниках Израиля и других зарубежных странах чаще всего речь идет о видах патологии, чем о ее стадиях.
Симтомы гемангиобластомы на разных стадиях болезни
Что касается клинических проявлений гемангиобластом, они связаны с расположением образования, а также могут включать общую симптоматику, вызванную изменениями в оттоке цереброспинальной жидкости, а также нарастанием гидроцефалии.
Боли в голове возникают из-за роста давления внутри черепа, т.е. внутричерепной гипертензии. На начальных фазах они имеют характер припадков с боле-менее продолжительными интервалами. Приступы боли в голове бывают отмечены и без понятных причин, однако зачастую возникают после нагрузок, кашля, дефекации, скорой смены позиции человека в пространстве, при определенных положениях головы (допустим, если запрокинуть её назад).
У пациентов могут быть отмечены систематические головокружения. У некоторых людей они становятся начальным симптомом болезни.
Диагностирование гемангиобластом
Сложности в диагностировании гемангиобластом вызваны тем, что клинические проявления патологии не специфичны. Детальный неврологический осмотр вместе с добавочной консультацией офтальмолога (при этом могут быть выявлены застойные диски зрительных нервов) помогает обнаружить присутствие крупного новообразования внутри черепа. Человеку при этом назначают МРТ.
Осуществление МРТ спообствует локализации процессов, успешной дифференцировке от других патологий (к примеру, внутримозговая гематома, результаты тяжких черепно-мозговых травм). Финальное диагностирование гемангиобластом с определением их микроскопической разновидности удается уже по окончании исследований гистологии участка опухоли. Нужные для анализа ткани можно получить в ходе стереотаксической биопсии либо после операции с удалением опухоли.
В диагностировании и лечении рака за границей обычно используют комплексный подход. Это присуще и диагностике больных с гемангиобластомой. Так, специалисты прибегают преимущественно к таким методикам:
- церебральная ангиография – ее проводят для исследования области сосудистого русла, который отвечает за кровоснабжение опухолевого образования. В процессе изучения могут отслеживаться не только значительные вены и артерии, трансформировавшиеся из-за патологии, но и артериовенозные шунты;
- КТ – дает обнаруживать узел опухоли либо же кистозное образование. Зачастую это негомогенный узел, имеющий зернистое строение, располагающийся в структурах головного мозга либо же в стенке кисты;
- МРТ – ввод контрастных добавок помогает качественно визуализировать образование. На МРТ-изображениях четче всего заметны кистозные формы гемангиобластом, успешно накапливающие контраст;
- спинальная ангиография – помогает обнаружить сильно васкуляризированный узел опухоли с большими артериями.
Разновидности гемангиобластом
На основе макроскопического строения опухоли выделяются такие типы гемангиобластомы как:
- мягкотканая опухоль – это инкапсулированный узел темно-красного оттенка;
- большая гладкостенная киста – образование с прозрачным желтоватым содержимым. На 1 из стенок зачастую располагается опухолевый узел.
На основании гистологического строения называют такие варианты гемангиобластом:
- ювенильная – ее характеризует большое число соседствующих тонкостенных капилляров;
- переходная – ее отличает приблизительно равное содержание тонкостенных капилляров, а также стромальных клеток с жировыми отложениями внутри;
- чистоклеточная – в ходе изучения гистологии обнаружено значительное число ксантохромных клеток, располагающихся на сосудах, нарушенных ходом патологии.
О причинах развития гемангиобластом
В числе этиологических факторов формирования гемангиобластом специалисты назвали такие:
Лечение гемангиобластом
Хирургическая ликвидация долго была единственным радикальным методом излечения такой болезни. Для оперативного доступа при лечении гемангиобластомы за границей применяют краниотомию с устранением части кости затылка в районе большого затылочного отверстия, дужки I шейного позвонка. Вслед за этим происходит абсолютная ликвидация солидного узла опухоли.
Если характер гемангиобластом кистозный, такое удаление объединяют с изъятием содержания кисты (ее стенки в основном не предполагают изъятия). Если при оперировании удается только неполная ликвидация образования, что не обеспечивает полноценного ликворооттока из полости черепа, в дополнение производят шунтирующую операцию для желудочков в мозге. Благодаря прогрессивной микрохирургической технике, нейронавигаторам удается существенно повысить результативность операции при борьбе с гемангиобластомой в Израиле и сократить вероятность развития новых проблем после оперирования.
Обычно операции чреваты определенными рисками, в частности они могут сопровождаться осложнениями из-за наркоза, сердечно-сосудистыми проблемами, попаданием инфекций и т.д. Альтернатива операции - стереотаксическая радиохирургия с использованием устройства CyberKnife. Это неинвазивный способ терапии, позволяющий излечить неоперабельных больных с иными патологиями. Ключевые достоинства радиохирургических мер в сравнении с операцией - их неинвазивный характер, отсутствие риска осложнений, анестезии. Для радиохирургии не нужно особенной подготовки, у нее нет долгого восстановительного периода.
Использование лучевой терапии обычно объясняется наличием противопоказаний к осуществлению хирургии, множественным характером гемангиобластомы либо же необходиомостью противорецидивных мер при неполном устранении образования.
Как и при лечении рака мозга за рубежом, благодаря сегодняшнему внедрению новейших компьютерных технологий и широким возможностям контроля посредством КТ либо МРТ вся доза радиации может быть полностью направлена непосредственно на само опухолевое образование, а окружающие нормальные ткани оказываются защищены от повреждений и нарушений.
Какие действенные меры нужно соблюдать для профилактики гемангиобластом?
Специалисты онкологических клиник за границей пока не могут разработать 100% эффективных способов профилактики развития гемангиобластомы. Однако лицам, которые систематически подвергаются воздействию канцерогенных веществ, рекомендуется проходить регулярные обследования у специалиста на предмет раннего выявления опухолевого поражения мозжечка
Прогноз при гемангиобластоме
Гемангиобластома в головном мозге является доброкачественной опухолью, не склонной к рецидивированию при ее кардинальном иссечении. Благоприятный прогноз наблюдают в более чем 80% всех случаев. Как и стоимость лечения рака за границей, цена терапии в этом случае зависит от целого ряда индивидуальных показателей у конкретного пациента и уровня развития самой патологии.
Гемангиобластома
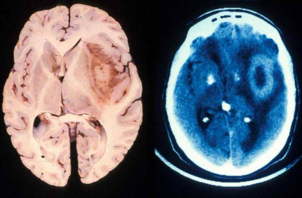
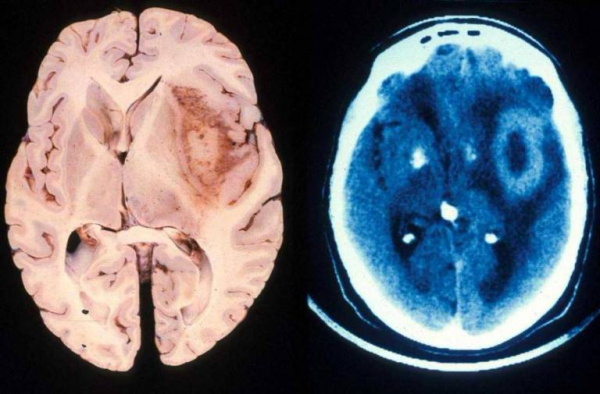
Гемангиобластома — берущая начало в кровеносных сосудах доброкачественная опухоль головного мозга с преимущественной локализацией в мозжечке. Клинические симптомы гемангиобластомы зависят от ее расположения и могут включать головные боли, головокружения, тошноты, астению, застойные диски зрительных нервов, мозжечковый синдром (атаксия, нистагм, мышечная гипотония, интенционный тремор), двигательные и чувствительные нарушения, нарушения функции черепно-мозговых нервов и тазовых органов. Основу диагностики гемангиобластомы составляет МРТ головного мозга и гистологическое исследование образца опухоли. Самым эффективным способом лечения в отношении гемангиобластомы является ее полное удаление.
МКБ-10

Общие сведения
Гемангиобластома составляет около 2% от всех опухолей, расположенных в черепной коробке. Наиболее часто гемангиобластома наблюдается у пациентов в возрасте от 40 до 60 лет. В 10% случаев гемангиобластома является проявлением передаваемой по наследству болезни Гиппеля-Линдау — факоматоза, характеризующегося возникающими в течение жизни множественными новообразованиями внутренних органов (кистами поджелудочной железы, феохромоцитомой, почечно-клеточной карциномой, ангиомой сетчатки и др.). В таких случаях гемангиобластома обычно диагностируется в возрасте 20-30 лет.

Причины возникновения гемангиобластомы
Подобно другим новообразованиям нервной системы (краниофарингиоме, астроцитоме головного мозга, ганглионевроме, ганглионейробластоме, менингиоме и др.) гемангиобластома может развиваться в результате воздействия на организм различных канцерогенных факторов. К последним относится ионизирующее излучение, повышенная инсоляция, контакт с производственными канцерогенными веществами (асбестом, бензолом, винилхлоридом, нефтяными и каменноугольными смолами, фенолформальдегидом и пр.), онкогенные вирусы (например, ретровирусы, аденовирусы, вирус герпеса). Гемангиобластома, входящая в состав болезни Гиппеля-Линдау, имеет наследственную этиологию и связана с генетической мутацией в третьей хромосоме, приводящей к нарушению синтеза супрессора опухолевого роста. Наследуется аутосомно-доминантным путем.
Классификация гемангиобластомы
По макроскопическому строению в неврологии выделяют 3 группы гемангиобластом: солидные, кистозные и смешанные. Солидная (мягкотканная) гемангиобластома состоит из опухолевых клеток, собранных в единый окруженный капсулой узел, имеющий мягкую консистенцию и темно-вишневый цвет. Она составляет около 65% всех гемангиобластом. Кистозная гемангиобластома представляет собой гладкостенную кисту. В большинстве случаев на стенке кисты имеется небольшой солидный узелок. Примерно в 4-5% случаев встречаются гемангиобластомы смешанного типа, характеризующиеся наличием солидного узла, внутри которого расположены многочисленные кисты.
По микроскопическому (гистологическому) строению выделяют следующие варианты гемангиобластомы: ювенильную, переходную и чистоклеточную. Ювенильная гемангиобластома состоит в основном из тонкостенных капилляров, которые близко примыкают друг к другу. Переходная гемангиобластома примерно в равном соотношении содержит капилляры и стромальные клетки. Чистоклеточная гемангиобластома отличается многочисленными желтоватыми клетками, расположенными на патологически измененных сосудах.
Симптомы гемангиобластомы
Клинические проявления гемангиобластомы зависят от ее локализации. В качестве внутримозговой опухоли полушарий мозга гемангиобластома выступает крайне редко. В 80-85% случаев она поражает гемисферы мозжечка, намного реже — его червь. Гемангиобластома спинного мозга по различным данным встречается в 3-13% случаев, гемангиобластома продолговатого мозга в 2-3% случаев.
Клиническая картина гемангиобластомы мозжечка складывается из общемозговых, мозжечковых и отдаленных симптомов. Общемозговая симптоматика гемангиобластомы обусловлена нарушением оттока цереброспинальной жидкости и нарастающей гидроцефалией. Характерна головная боль, практически не исчезающая на фоне приема анальгетиков и сосудорасширяющих препаратов. Она может затрагивать любые области, но чаще локализуется в затылке. При офтальмоскопии на ранних стадиях гамангиобластомы выявляются застойные диски зрительных нервов. Нередко наблюдается так называемый «застойный» лабиринтит, сопровождающийся интенсивным системным головокружением, тошнотой и рвотой. Лабиринтит застойного генеза и связанная с ним вестибулярная атаксия требуют дифференциации гемангиобластомы от воспалительных поражений внутреннего уха при среднем отите, функциональных нарушений при аэроотите, токсического поражения лабиринта при холестеатоме уха, болезни Меньера и сосудистых нарушений (хронической ишемии головного мозга).
Следует отметить, что общемозговая симптоматика может быть настолько выражена, что за ней с трудом выявляется собственно мозжечковый синдром, что существенно затрудняет диагностику гемангиобластомы. К этому примешиваются разнообразные отдаленные симптомы гемангиобластомы, в числе которых могут быть параличи черепно-мозговых нервов, судорожный синдром, пирамидные нарушения (парезы или параличи); реже отмечаются расстройства чувствительности.
К симптомом поражения мозжечка при гемангиобластоме относится в первую очередь мозжечковая атаксия. Гемангиобластома червя мозжечка проявляется статической атаксией, т. е. расстройством позы и ходьбы. Типичны шаткость или падение в позе Ромберга, вынужденно наклоненное положение головы, «пьяная» походка, латеропульсия (отклонение тела в сторону) при ходьбе, нарушение синхронизации движений (ассинергия). При локализации гемангиобластомы в полушарии мозжечка преобладает динамическая атаксия (нарушение координации движений), которая выявляется при помощи пальце-носовой и коленно-пяточной проб. Как и для других опухолей мозжечка, типичны избыточные несоразмерно размашистые движения (дисметрия), слишком крупный почерк (мегалография), расстройство быстрой смены движений (адиадохокинез), замедленная скандированная речь (артикуляционная атаксия). К прочим признакам поражения мозжечка относятся нистагм, мышечная гипотония, интенционный тремор.
В начале развития гемангиобластомы мозжечка нарушения отмечаются только на стороне локализации опухоли. Однако по мере роста гемангиобластомы она начинает сдавливать противоположное полушарие мозжечка и процесс принимает двусторонний характер. Присоединение симптомов поражения червя мозжечка, возникающих в результате его сдавления, приводит к развитию тотального мозжечкового синдрома. На поздних стадиях гемангиобластома зачастую сопровождается психическими расстройствами, часто в виде астении, депрессивного невроза или неврастении, и нарушением сознания в виде оглушенности.
Гемангиобластома спинного мозга и полушарий головного мозга проявляется соответствующими ее локализации нарушениями чувствительности и двигательной сферы, а также расстройством функции кишечника и мочевого пузыря.
Диагностика гемангиобластомы
Затруднения в диагностике гемангиобластомы связаны с неспецифичностью ее клинических проявлений, маскировкой неврологического дефицита и мозжечкового синдрома под выраженной общемозговой симптоматикой. Тщательный неврологический осмотр и дополнительная консультация офтальмолога, в ходе которой выявляются застойные диски зрительных нервов, позволяют заподозрить наличие внутричерепного объемного образования. При этом, кроме обычного первичного обследования в виде ЭЭГ, РЭГ и Эхо-ЭГ, пациенту в обязательном порядке должно быть проведено МРТ головного мозга.
В большинстве случаев исследование послойных горизонтальных и сагиттальных срезов, полученных при проведении МРТ, позволяет установить локализацию опухолевого процесса и дифференцировать его от абсцесса головного мозга, внутримозговой гематомы, очага демиелинизации при рассеянном склерозе, последствий тяжелой черепно-мозговой травмы, кисты головного мозга Окончательная диагностика гемангиобластомы и определение ее микроскопического типа возможны лишь после гистологического изучения образца опухоли. Необходимые для исследования опухолевые ткани могут быть получены в результате стереотаксической биопсии мозга или в ходе операции по удалению опухоли.
Лечение гемангиобластомы
Единственным радикальным способом лечения при гемангиобластоме является ее полное удаление. В качестве оперативного доступа применяется краниотомия с удалением участка затылочной кости в области большого затылочного отверстия и резекцией дужки I шейного позвонка. Затем производится полное удаление солидного узла опухоли. При кистозном характере гемангиобластомы удаление узла сочетают с аспирацией содержимого кисты, стенки которой зачастую не требуют удаления.
Удаление опухоли мозжечка может проводиться в экстренном порядке при вклинении мозжечка в большое затылочное отверстие и сдавлении ствола мозга. В таких случаях для понижения внутричерепного давления предварительно производят пункцию бокового желудочка. Если в ходя операции возможно лишь частичное удаление гемангиобластомы, не обеспечивающее нормальный ликвороотток из полости черепа, то дополнительно производится шунтирующая операция: вентрикулостомия, наружное ветрикулярное дренирование или вентрикулоперитонеальное шунтирование.
Лучевая терапия может применяться при наличии противопоказаний к проведению хирургического лечения, в случае множественного характера гемангиобластомы или в качестве противорецидивного лечения при ее неполном удалении.
Прогноз гемангиобластомы
Доброкачественный характер гемангиобластомы обеспечивает благоприятный прогноз при ее полном удалении, которое возможно в 80-85% заболевания. Частичное удаление опухолевых клеток солидного узла приводит к послеоперационному рецидиву опухоли. Ухудшает прогноз гемангиобластомы диагностирование у пациента болезни Гиппеля-Линдау.
Глиобластома
Глиобластома — это злокачественное глиальное новообразование мозга, развивающееся в основном в его белом веществе. Клинические признаки включают повышение интракраниального давления, судорожный синдром, вариабельную очаговую симптоматику в виде парезов, зрительных и когнитивных расстройств, нарушений речи. Диагностика осуществляется на основании данных неврологического осмотра, результатов нейровизуализации и гистологического исследования тканей образования. Проводится радикальное хирургическое удаление, химиотерапия, медикаментозное противосудорожное и противоотечное лечение.


Глиобластома представляет собой наиболее распространенную первичную злокачественную опухоль головного мозга, составляющую 16% всех первичных новообразований центральной нервной системы. Средний показатель заболеваемости колеблется в пределах 2,9-4,5 на 100 000 населения. Образование локализуется почти исключительно в белом веществе мозга, может появляться в стволе головного мозга, мозжечке и спинном мозге. Средний возраст заболевших первичной глиобластомой составляет 62-64 года, вторичные образования развиваются у более молодых пациентов. Известны случаи возникновения в любом возрасте, включая детский. Заболеваемость несколько выше у мужчин, чем у женщин, а также у представителей европеоидной расы по сравнению с другими этническими группами.
Причины глиобластомы
Точный механизм развития новообразования недостаточно понятен. Результаты ряда исследований свидетельствуют в пользу вирусной теории возникновения заболевания. Найдены генные мутации, приводящие к заболеванию. Триггерное воздействие электромагнитных полей, формальдегида, излучения сотовых телефонов не доказано. Среди основных этиологических факторов рассматриваются:
- Цитомегаловирусная инфекция. Цитомегаловирус был обнаружен в большом проценте клеток злокачественной глиомы, но отсутствовал в соседних нормальных мозговых тканях.
- Спонтанные генетические мутации. Изменения в гене IDH1, провоцируя оксидантный стресс, способствуют генетическим перестройкам и могут являться причиной развития глиальных образований. Для глиобластомы также характерны мутации генов TERT, ATRX.
- Ионизирующее излучение. Является одним из немногих известных факторов риска. Радиационно-индуцированная глиобластома наблюдается спустя годы после терапевтического облучения.
- Генетические заболевания. Повышенный риск развития глиобластомы наблюдается при нейрофиброматозе, туберозном склерозе, синдроме Ли-Фраумени, ретинобластоме.
Патогенез
Первоначально считалось, что глиобластома происходит исключительно из глиальных элементов. Однако по последним данным, она берет начало из нескольких типов клеток со свойствами, подобными нервным стволовым клеткам. Клеточные элементы находятся на различных стадиях дифференцировки: от стволовых до нейронов и глии. В 10% случаев новообразование развивается в результате трансформации менее злокачественной церебральной опухоли.
Макроскопически опухоль отличается пестрым внешним видом с зонами некроза и кровоизлияний. Гистологически определяются мелкие округлые веретенообразные, протоплазматические, гигантские клеточные виды. Типичны выраженная неоваскуляризация, наличие псевдополисадов, образованных некротическими массами, окруженными малигнизированными клетками.

Классификация
Глиобластомы классифицируют как первичные (de novo), возникающие без известного предшественника, и вторичные, развивающиеся из опухоли низкой степени злокачественности. Гистологическая классификация выделяет 3 типа опухоли в зависимости от морфологии преобладающих клеток:
- Мультиформная — характеризуется вариабельностью составляющих ее клеточных элементов. Преобладают мелкие округлые, овальные или вытянутые клетки, единичные крупные.
- Гигантоклеточная — в клеточной массе преобладают многоядерные гигантские клетки.
- Глиосаркома — содержит саркоматозный компонент в виде окрашиваемых ретикулярных волокон. Ранее считалась отдельной нозологической единицей.
Симптомы глиобластомы
Клиника сильно варьирует в зависимости от размера и расположения опухоли, а также пораженных анатомических структур мозга. Пациенты часто обращаются с симптомами повышенного внутричерепного давления, включая головную боль, чувство давления на глаза, не связанную с приемом пищи тошноту.
Судороги являются ранним симптомом у 25% больных и могут возникать на более поздних стадиях заболевания в 50% случаев. При прорастании глиобластомы в ликворные пути возникает нарушение циркуляции церебро-спинальной жидкости, что приводит к гидроцефалии с усугублением симптомов интракраниальной гипертензии.
В дальнейшем типично сочетание общемозговой симптоматики с прогрессирующим очаговым неврологическим дефицитом, соответствующим локализации процесса. Возможны нарушение речи в виде дизартрии или афазии, расстройства зрительной функции с выпадением части зрительного поля, моно- и гемипарезы, когнитивные изменения. Наблюдается слабость, в ряде случаев — спутанность сознания.
Осложнения
Возникающий неврологический дефицит является стойким и инвалидизирующим больного. Прогрессирование пареза приводит к параличу пораженных конечностей, пациент нуждается в постороннем уходе. Жизненно опасным осложнением заболевания является выраженная гидроцефалия, которая без оказания медицинской помощи приводит к сдавлению и дислокации мозга. К осложнениям относится и рецидив новообразования. Поскольку глиобластома не имеет четких границ и является агрессивно растущей, полностью удалить ее в ходе нейрохирургического вмешательства крайне затруднительно.
Диагностика глиобластомы
При раннем первичном обращении к неврологу в неврологическом статусе определяются только признаки внутричерепной гипертензии. Далее выявляется очаговое выпадение нервных функций. Заподозрить новообразование позволяет быстро прогрессирующий характер симптомов (в течение 3-х месяцев), что становится очевидным при тщательном сборе анамнеза заболевания. Начальная диагностическая визуализация осуществляется следующими методами:
- Компьютерная томография. Выявляет изоденсное церебральное образование с гиподенсным участком центрального некроза, перифокальным отеком, геморрагическим компонентом. Характерен масс-эффект. КТ с контрастированием демонстрирует кольцевое неравномерное окрашивание. Микроскопическая инфильтрация обычно распространяется за пределы визуализируемого очага.
- Магнитно-резонансная томография. МРТ с контрастом гадолиния показывает образование неправильной формы с плотным кольцом усиления, некротизированным центром. Некроз считается отличительной чертой глиобластомы. Также могут визуализироваться окружающий образование вазогенный отек, кровоизлияния, кистозный компонент, искривление или смещение желудочков. Примерно в 13% случаев наблюдается многоочаговость поражения.
- МР-перфузия. Демонстрирует увеличение максимального относительного церебрального кровотока и проницаемости, что типично для новообразований высокой степени злокачественности.
- Позитронно-эмиссионная томография. Определяет характерный для высоко злокачественных образований гиперметаболизм глюкозы и активное накопление фтордезоксиглюкозы.
Дифференциальная диагностика
В клинической неврологии глиобластому дифференцируют с внутримозговой гематомой, абсцессом, лимфомой ЦНС, астроцитомой, артериовенозной мальформацией. Дифференциация проводится по результатам нейровизуализации. Отличительной особенностью глиобластомы является наличие некротизированного участка. Однако лимфома у пациентов со СПИД также имеет некротический компонент. В этом случае дифдиагностика осуществляется в ходе гистологического исследования биопсийного материала.

Лечение глиобластомы
Консервативная терапия
Текущий стандарт лечения пациентов с эпиприступами включает использование противоэпилептических препаратов, но рутинное применение противосудорожного лечения у пациентов без припадков не рекомендуется. Многим пациентам назначают кортикостероиды, чтобы контролировать вазогенный отек и облегчить сопутствующие симптомы.
Хирургическое лечение
Радикальным методом лечения является нейрохирургическое удаление. Обширная резекция опухоли часто затруднена из-за его расположения в функционально значимых церебральных зонах, отвечающих за речь, моторную функцию, чувствительность. Инвазивность глиобластомы обуславливает высокую частоту послеоперационных рецидивов. Однако применение флуоресцентной идентификации раковых клеток для дифференцировки патологических тканей от здоровых частей мозга позволяет добиться более обширной резекции с сохранением функции и качества жизни, отсрочить возникновение рецидива. В послеоперационном периоде рекомендована химиотерапия, в отдельных случаях сочетающаяся с радиотерапией.
Экспериментальное лечение
Исследователи установили, что гиобластома быстро растет и рецидивирует, поскольку она продуцирует микро-РНК-138. Разрабатывается теория, что нейтрализация этого молекулярного маркера позволит замедлить прогрессирование заболевания, а также повысит выживаемость пациентов.
В стадии клинических исследований находится иммунотерапия глиобластомы. Пассивная иммунотерапия заключается в стимуляции противоопухолевого иммунитета, активная — во введении вакцин, потенцирующих иммунный ответ на антигены опухоли. Рассматривается возможность использования онколитических вирусов, способных избирательно атаковать опухолевые клетки. Последняя технология лимитирована возникновением иммунного ответа на внедрение вируса.
Прогноз и профилактика
Глиобластома относится к неуклонно прогрессирующим, рецидивирующим злокачественным опухолям мозга. Средняя выживаемость пациентов составляет 15 месяцев. Прогноз зависит от возраста больного, локализации образования, стадии процесса в момент его выявления. Вторичные новообразования имеют лучший прогноз, чем первичные. Проведение комплексного лечения, включающего радикальное хирургическое вмешательство и химиотерапию, позволяет достигнуть ремиссии заболевания и продлить жизнь пациентов. Профилактика глиобластомы сводится к предупреждению инфицирования вирусами, исключению воздействия мутагенных факторов.
1. Глиобластомы: современное состояние проблемы/ Яковленко Ю.Г.// Медицинский вестник Юга России. - 2019. - 10(4).
2. Исследование метаболических особенностей первичных глиобластом методом ОФЭКТ-КТ с Tc-МИБИ с оценкой их влияния на прогноз заболевания/ Золотова С.В., Хохлова Е.В., Беляшова А.С., Николаева А.А., Старовойтов Д.В. и др.// Вопросы нейрохирургии им. Н.Н. Бурденко. - 2019. - 83(2).
3. Current Challenges and Opportunities in Treating Glioblastoma/ Andrea Shergalis, Armand Bankhead III, Urarika Luesakul, Nongnuj Muangsin and Nouri Neamati// Pharmacological Reviews. - 2018. - 70 (3).
4. Glioblastoma: Overview of Disease and Treatment/ Davis M. E.// Clinical journal of oncology nursing, - 2016. - 20(5).
Какие симптомы свидетельствуют о наличии гемангиобластомы?
Гемангиобластома - это опухоль, образующаяся в слизистой оболочке кровеносных сосудов в нижней части головного и спинного мозга. Гемангиобластомы составляют около 2% от всех первичных опухолей головного мозга и около 3% от всех опухолей позвоночника. Для получения своевременного лечения, необходимо обращать внимание на характерные симптомы гемангиобластомы.
- Что такое гемангиобластома?
- Какие симптомы наблюдаются при гемангиобластоме?
- Ключевые характеристики гемангиобластомы
- Факторы риска и причины возникновения гемангиобластомы
- Меры профилактики гемангиобластомы
- Какие прогнозы при гемангиобластоме
Что такое гемангиобластома?
Гемангиобластома - это редкое и медленно растущее доброкачественное новообразование. Образуется преимущественно в клетках, выстилающих сосуды, снабжающих кровью головной мозг, гораздо реже поражаются спинной мозг и другие органы. Несмотря на то, что этот вид опухоли не является раковым, он может вызывать серьезные неврологические нарушения и осложнения. Наиболее часто гемангиобластома возникает в возрасте до 40 лет.
В онкологических клиниках за границей существуют специализированные отделения, врачи которых работают над изучением и лечением редких опухолей, в том числе и гемангиобластом. В таких клиниках лечение проходит гораздо эффективнее благодаря обширному опыту специалистов международного уровня.
Какие симптомы наблюдаются при гемангиобластоме?
Основные симптомы, зафиксированные при лечении гемангиобластомы за рубежом, в некоторой степени зависят от месторасположения опухоли и имеют тенденцию развиваться постепенно. При этом симптоматика может появляться и исчезать, она связана с размерами опухоли.

Различают 3 подтипа симптомов гемангиобластомы:
- общемозговой;
- мозжечковый;
- отдаленный.
Первые общемозговые симптомы основываются на повышенном внутричерепном давлении и проявляются в форме:
- головной боли (в 70% случаев);
- гидроцефалии (в 50% случаев);
- измененном психическом состоянии (в 10% случаев);
- потере координации и дисбалансе;
- тошноте;
- рвоте;
- неконтролируемом (необычном) и резком движении глаз.
Если опухоль образуется в спинном мозге, она проявляется отдаленными симптомами:
- мышечной слабостью или онемением конечностей;
- болью в спине либо в шее;
- запорами;
- утратой контроля над кишечником или мочевым пузырем (недержание кала или мочи).
Также следует учитывать, что присутствие опухоли влияет на снабжение мозга цереброваскулярной жидкостью (CSF). Именно изменение уровня CSF дает толчок к внезапному проявлению первых симптомов, особенно головных болей.
При подборе тактики лечения рака мозга за рубежом учитываются симптомы, проявляющиеся из-за особенностей локализации гемангиобластомы:
- Гемангиобластома мозжечка часто демонстрирует отклонения, связанные с увеличением размеров новообразования, которое оказывает давление на мозжечок или вызывает избыток спинномозговой жидкости (гидроцефалию). Характерные проявления: расстройства координации движений; изменение привычного почерка (он становится более крупным и размашистым), появление некоординированных движений с широким охватом. Могут возникать затруднения при выполнении элементарного неврологического теста: закрыв глаза, прикоснуться пальцем к кончику носа. Мозжечковые гемангиобластомы стремительно растут, что приводит к отклонениям и двустороннему поражению обоих полушарий.
- Гемангиобластомы, локализующиеся в стволе спинного мозга, могут вести к утрате двигательной функции, появлению мышечной слабости, потере чувствительности конечностей либо сбою естественных функций кишечника, мочевого пузыря.
Ключевые характеристики гемангиобластомы
В отличие от раковых новообразований, гемангиобластомы не проникают в близлежащие ткани и в большинстве своем характеризуются медленным ростом, поэтому оставляют возможность провести лечение до возникновения каких-либо серьезных осложнений.
Согласно системе Всемирной организации здравоохранения (ВОЗ) опухолей нервной системы, гемангиобластомы классифицируются как менингеальные новообразования неопределенного происхождения. С момента своего начального изучения гемангиобластомы были обнаружены во многих областях центральной нервной системы. Отмечалось преимущественное вовлечение мозжечка и спинного мозга, но истинная частота этой опухоли не была обнаружена до тех пор, пока не стали доступны неинвазивные методы диагностической визуализации, в частности магнитно-резонансная томография. Вместе со значительным улучшением хирургических подходов и микрохирургической техники это делало гемангиобластому хоть и опасным, но потенциально излечимым заболеванием.
Гемангиобластома имеет 1 степень агрессивности по классификации ВОЗ и относится к опухолям, которые могут возникать в центральной нервной системе или в других частях тела (в почках, печени и поджелудочной железе). Эти опухоли, как правило, визуализируются в виде резко разграниченных однородных масс.
Наиболее распространенные места локализации в процентных показателях
Внутричерепная локализация составляет 87-97% всех случаев гемангиобластом:
- 95% - в задней ямке;
- 85% - в полушарии мозжечка;
- 5% - в продолговатом мозге;
- лишь в редких случаях патология выходит за пределы мозжечка и церебеллопонтинного угла;
- 5% - в супратенториальном (обычно в зрительных лучах);
- церебральные гемангиобластомы наблюдаются только у пациентов с болезнью фон Гиппеля-Линдау.
Локализация в позвоночнике составляет лишь 3-13%.
Факторы риска и причины возникновения гемангиобластомы
Большинство гемангиобластом возникает случайно и без установленных причин (75-80% случаев). В процессе лечения рака за границей было выявлено, что около 20-25% всех случаев гемангиобластом связано с наличием у пациента генетического заболевания, известного как синдром фон Гиппель-Линдау (VHL). Этот синдром является наследственным и характеризуется аномальным ростом опухолей в определенных частях тела. Специфические опухоли, которые связаны с синдромом VHL, включают:
- гемангиобластомы головного и спинного мозга, а также сетчатки;
- почечные кисты и почечно-клеточный рак;
- феохромоцитомы;
- опухоли эндолимфатического мешка.
Люди с генетическим заболеванием Гиппеля-Линдау имеют более высокий риск возникновения множественных гемангиобластом в мозге и позвоночнике в течение всей жизни. В остальных случаях новообразование носит, как правило, единичные проявления.
К тому же прослеживается:
- незначительная мужская преимущественность заболевания у взрослых;
- пик заболеваемости приходится на возраст около 30-60 лет, но развитие патологии возможно и ранее, если у пациента имеется синдром фон Гиппель-Линдау.
В качестве факторов риска следует упомянуть общий список возможных причин, провоцирующих развитие онкологических процессов в организме:
- работа на вредных производствах, контакт с опасными канцерогенными веществами и радиоактивным излучением;
- проживание в районах с неблагополучной экологической обстановкой;
- курение, алкоголизм и наркомания;
- наличие в анамнезе инфекций, поражающих центральную нервную систему.
Каковы бы ни были причины возникновения заболевания, его необходимо лечить. Стоимость лечения рака за границей будет зависеть не только от выбранной страны, но и от опыта и статуса врача, репутации клиники и т.д.
Меры профилактики гемангиобластомы
Для этого вида опухолей на сегодня еще не разработано четкой программы профилактики. Это прежде всего связано с неустановленными причинами и случайным характером возникновения опухоли. В качестве профилактических мер специалисты предлагают придерживаться общих рекомендаций:
- сбалансированное здоровое питание;
- отказ от вредных привычек;
- посещение регулярных профилактических осмотров;
- внимание к негативным симптомам, возникающим в организме и своевременное обращение к специалистам.
Какие прогнозы при гемангиобластоме
Прогнозы всегда составляются индивидуально и зависят от множества факторов:
- размера и местоположения опухоли;
- возраста пациента;
- используемого лечения.
Хирургическая резекция опухоли - это ключевой способ, позволяющий полностью излечиться. При успешном удалении гемангиобластомы вероятность осложнений невелика. Все симптомы после лечения обычно пропадают, позволяя человеку вернуться к привычной жизни.
При обширных опухолевых областях хирургия используется для предоперационной эмболизации. Профилактическая лучевая терапия рекомендована пациентам с неполным удалением гемангиобластомы, так как вероятность рецидива остается довольно высокой (25%).
Если гемангиобластома имеет большие размеры и в процессе роста повредила нервы в головном мозге, могут возникнуть длительные осложнения. Врач учитывает эти аспекты и рекомендует дополнительные лекарства, позволяющие свести к минимуму негативное влияние на качество жизни больного. После окончания курса лечения гемангиобластомы важно регулярно проходить профилактические обследования, в ходе которых лечащий врач сможет наблюдать за возможным образованием новых опухолей или проявлением признаков рецидива.
Онкологические клиники Израиля демонстрируют положительные результаты излечения гемангиобластомы. Это связано с внушительным опытом здешних специалистов в преодолении онкологических процессов центральной нервной системы.
Гемангиобластома сетчатки: признаки, гистология, лечение, прогноз
Сосудистые опухоли сетчатки объединяют гемангиобластому (капиллярную гемангиому), кавернозную гемангиому, рацемозную гемангиому и приобретенную вазопролиферативную опухоль. Каждая из этих опухолей характеризуется специфическими клиническими проявлениями, сопутствующими системными изменениями, осложнениями и тактикой ведения.
Гемангиобластома сетчатки бывает солитарной, в этом случае она не сопровождается системной патологией, или является компонентом синдрома Гиппеля-Линдау (VHL) (1-36), представляющего собой аутосомно-доминантное заболевание, проявляющееся различными сочетаниями гемангиобластомы сетчатки, гемангиобластомы мозжечка, феохромоцитомы, гипернефромы, кист поджелудочной железы, опухоли эндолимфатического мешка и некоторых других опухолей и кист (1-3).
Локус гена синдрома Гиппеля-Линдау находится в 3 хромосоме (3р25-26) (7-11), в патогенезе заболевания ключевую роль играет, как представляется, инактивация гена-супрессора опухоли, так же как и в патогенезе ретинобластомы. Пациент с гемангиобластомой должен периодически проходить обследование на предмет синдрома Гиппеля-Линдау, который встречается с частотой около1:40000 живых новорожденных, количество больных в Соединенных Штатах оценивается в 7000 человек (1).
Средний возраст на момент постановки диагноза (гемангиобластомы сетчатки) составляет 18 лет среди больных с синдромом Гиппеля-Линдау и 36 лет среди пациентов, не страдающих этим синдромом (3). В возрасте старше сорока лет новые опухоли сетчатки развиваются редко.
У пациентов с солитарной гемангиобластомой риск развития синдрома Гиппеля-Линдау оценивается в 45%, если диагноз был поставлен в возрасте младше десяти лет, и в 1%, если солитарная гемангиобластома была диагностирована в возрасте старше 60 лет (8).
Гемангиобластома не является патогномоническим проявлением синдрома Гиппеля-Линдау. Аналогичная опухоль наблюдалась на фоне синдрома Маршалла-Стиклера (33).
а) Клиническая картина. Гемангиобластома сетчатки обычно представляет собой красно-розовую опухоль, локализующуюся на периферии сетчатки или на диске зрительного нерва. Течение опухоли происходит по экссудативному или тракционном типу. При экссудативном типе развивается интраретинальная или субретинальная экссудация, так же как и при болезни Коатса. Однако в отличие от болезни Коатса, наблюдается одно или несколько четко отграниченных объемных образований красного цвета и расширенные извитые питающие и дренирующие кровеносные сосуды.
При тракционном типе гемангиобластомы сетчатки могут наблюдаться те же изменения, но, кроме того, он характеризуется развитием глиоза сетчатки, витреоретинальных тракций, кровоизлияний в стекловидное тело и тракционной отслойки сетчатки.
При любом типе течения опухоли экссудаты желтого цвета часто локализуются в макулярной области, вдали от периферической опухоли. В редких случаях наблюдается спонтанный регресс гемангиобластомы сетчатки (32).
ГЕМАНГИОБЛАСТОМА СЕТЧАТКИ
Гемангиобластома сетчатки чаще всего развивается из сенсорной сетчатки на некотором расстоянии от диска зрительного нерва. Она выглядит как красно-розовая интраретинальная опухоль, к которой идут расширенные извитые питающая артерия и дренирующая вена. Существуют экссудативная и тракционная формы опухоли, также встречается их комбинация.
Небольшая гемангиобластома с минимальной отслойкой сетчатки, окружающей опухоль. Гемангиобластома сетчатки с типичной интраретинальной экссудацией. Новообразование почти той же окраски, что и окружающее глазное дно, которое определяется по расширенным питающим и дренирующим кровеносным сосудам. Экссудат желтого цвета локализуется в основном снизу от опухоли. Более крупная гемангиобластома нижнего квадранта сетчатки, сопровождающаяся ее вторичной отслойкой. Начальная стадия тракционной формы гемангиобластомы сетчатки. Опухоль скрыта фиброзированным стекловидным телом, но на ее наличие указывают расширенные кровеносные сосуды. Тракции относительно невелики, в позади лежащих участках глазного дна видны небольшие рассеянные экссудаты сетчатки. «Свободно плавающая» гемангиобластома сетчатки. Витреальная тракция, обычно возникающая при отслойке задней гиалоидной мембраны, вызвала побеление опухоли и оттянула ее в стекловидную полость кпереди от сетчатки. Питающие сосуды сетчатки остались интактными, но в таких случаях, как этот они могут становиться источником кровоизлияний в стекловидное тело. Комбинированный экссудативный и тракционный тип гемангиобластомы сетчатки: тракция кровеносных сосудов сетчатки, интраретинальные и субретинальные экссудаты желтого цвета.
б) Диагностика. Диагноз гемангиобластомы сетчатки обычно ставится на основании описанной выше офтальмоскопической картины. При флюоресцентной ангиографии наблюдаются быстро развивающаяся гиперфлюоресценция в артериальную фазу и гиперфлюоресценция в поздние фазы исследования, зачастую сопровождающаяся просачиванием красителя в стекловидное тело. Важно дифференцировать питающую артерию и дренирующую вену, эта информация имеет большое значение при лечении, о чем рассказано ниже.
Значение ангиографии с индоцианином зеленым и ультразвукового исследования в диагностике этой опухоли невелико. При оптической когерентной ангиографии определяется объемное образование в ткани сетчатки, этот метод помогает установить границы сопутствующих изменений, таких как отек и локальная отслойка сетчатки (12, 13).
Компьютерная томография, магнитная резонансная томография выполняются с целью выявления опухолей центральной нервной системы и других системных изменений, связанных с синдромом Гиппеля-Линдау. Пациенты с двумя или более гемангиобластомами сетчатки являются носителями мутации гена VHL.
Пациенты с единственной гемангиобластомой сетчатки могут быть (а могут и не быть) носителями зародышевой мутации, поэтому в таких случаях генетическое тестирование приобретает крайне важное значение.
в) Патологическая анатомия. Гистологически гемангиобластома сетчатки образована веретеновидными клетками, мелкими кровеносными сосудами и прозрачными стромальными клетками (14-16).
Считается, что источником опухоли являются стромальные клетки (16). Однако их природа точно не установлена; как оказалось, они не являются эндотелиоцитами сосудов. Поэтому термин капиллярная гемангиома может оказаться неточным. В настоящее время предпочтительным представляется термин гемангиобластома сетчатки, по аналогии с термином гемангиобластома мозжечка.
г) Лечение. Тактика лечения гемангиобластомы сетчатки определяется размерами опухоли, ее локализацией, развившимися осложнениями и наличием у пациента сопутствующего синдрома Гиппеля-Линдау (17-32). На фоне синдрома Гиппеля-Линдау опухоли обычно развиваются в более раннем возрасте, более агрессивны и требуют активного лечения.
Лечение юкстапапиллярных или эпипапиллярных гемангиобластом сетчатки из-за их локализации вблизи диска зрительного нерва представляет собой более трудную задачу. В некоторых случаях мелкие бессимптомно существующие гемангиобластомы подлежат лишь тщательному наблюдению; они могут оставаться стабильными или, изредка, спонтанно регрессировать (32).
Опухоли, сопровождающиеся ограниченным отеком или отслойкой сетчатки, лечатся с помощью лазерокоагуляции или криотерапии, обычно достигается прекрасный контроль опухоли (17-20). Некоторые опухоли среднего размера эффективно лечились с помощью фотодинамической терапии и термотерапии (21-23). Более развитые новообразования могут потребовать проведения брахитерапии с применением аппликатора или внешней лучевой терапии (24,25). Предпринимались попытки хирургического лечения с эндорезекцией опухоли или перевязкой питающих сосудов (26-28). Часто требуется хирургическое лечение тракционной отслойки сетчатки.
Широко изучалось применение блокаторов эндотелиального фактора роста сосудов (vascular endothelial growth factor - VEGF), с посредственными результатами (29-31). Установлено, что применение этих препаратов перорально или в инъекциях вызывает уменьшение кистозного макулярного отека и скоплений субретинальной жидкости, что сопровождается небольшим повышением зрительных функций, но не приводит к заметным изменениям размеров опухоли. Истинное значение ан-ти-VEGF препаратов в терапии гемангиобластом сетчатки еще не установлено.
Клинические примеры гемангиобластомы сетчатки:
Редактор: Искандер Милевски. Дата публикации: 22.6.2020
Информация на сайте подлежит консультации лечащим врачом и не заменяет очной консультации с ним.
См. подробнее в пользовательском соглашении.
Читайте также:
- Советы по катетеризации вен при сердечно-легочной реанимации
- Злоупотребление лекарствами для анестезии и ее последствия
- Осложнения менопаузы: нарушения сна, мигрень и урогенитальные расстройства
- Ионизирующее излучение. Процесс радиоактивного распада
- Борозды и шероховатости ногтей при наследственных болезнях
