Гемимегалэнцефалия на МРТ
Добавил пользователь Евгений Кузнецов Обновлено: 27.01.2026
Информацию из данного раздела нельзя использовать для самодиагностики и самолечения. В случае боли или иного обострения заболевания диагностические исследования должен назначать только лечащий врач. Для постановки диагноза и правильного назначения лечения следует обращаться к Вашему лечащему врачу.
Фокальная корковая дисплазия — аномалия структуры коры головного мозга, затрагивающая её ограниченный участок. Клинически проявляется фокальными двигательными эпиприступами с потерей сознания, но небольшой продолжительностью. Диагностируется неврологом или эпилептологом по данным ЭЭГ, специально проведённого МР-сканирования, субдуральной электрокортикографии, ПЭТ головного мозга. Как правило, эпилепсия при корковой дисплазии устойчива к проводимой противоэпилептической терапии. Альтернативным методом лечения выступает нейрохирургическая резекция участка дисплазии.
- Причины фокальной корковой дисплазии
- Классификация фокальной корковой дисплазии
- Симптомы фокальной корковой дисплазии
- Диагностика фокальной корковой дисплазии
- Лечение фокальной корковой дисплазии
- Прогноз при фокальной корковой дисплазии
Общие сведения
Фокальная корковая дисплазия (ФКД) — возникшее в период внутриутробного развития локальное нарушение в строении мозговой коры. Является самым частым этиофактором развития эпилепсии у детей. По данным международного исследования ILAE (2005 г.) ФКД была диагностирована у 31% детей с эпилепсией. Отличительными особенностями эпилептических пароксизмов при ФКД являются: устойчивость к проводимой противоэпилептической терапии, агрессивное течение с развитием у детей задержки психического развития и эпилептической энцефалопатии, эффективность нейрохирургических способов лечения.
Локальные диспластические изменения коры располагаются преимущественно в височных и лобных долях. Они слабо заметны на макроскопическом уровне, что затрудняет диагностику ФКД даже при помощи таких современных методов нейровизуализации как МРТ. Проблемы диагностики ФКД особо актуальны в практической неврологии и педиатрии, поскольку её выявление как причины эпилептических пароксизмов имеет решающее значение для выбора эффективной лечебной тактики в отношении резистентных форм эпилепсии.
Фокальная корковая дисплазия
Причины фокальной корковой дисплазии
ФКД обусловлена нарушением окончательных этапов развития церебральной коры (кортикогенеза) во внутриутробном периоде. В результате нарушений миграции и дифференцировки клеток коры образуется участок с аномальными нейронами, патологической утолщенностью, уплощенностью извилин или изменённой архитектоникой (появлением клеток, типичных для одного слоя, в другом слое коры). Формирование фокальной корковой дисплазии происходит незадолго до родов — за 4-6 недель до окончания периода внутриутробного развития. Более тяжёлые формы пороков мозговой коры (например, полимикрогирия, гемимегалэнцефалия) связаны с нарушениями конца 2-го начала 3-его триместра беременности.
Нельзя исключить генетическую природу ведущего к ФКД сбоя в кортикогенезе. Так, у многих пациентов обнаружены изменения в гене TSC1, которые также наблюдаются при туберозном склерозе. В настоящее время проводятся международные исследования по поиску генетического субстрата корковых дисплазий.
Классификация фокальной корковой дисплазии
До недавнего времени выделяли 2 основных типа ФКД. В 2011 г. была разработана новая классификация, в которую включён 3-й тип, ассоциированный с другим основным поражением церебральных структур. Согласно этой классификации выделяют:
ФКД I типа — локальное нарушение архитектоники коры: радиальное (IA), тангенциальное (IB) или смешанное (IC). Выявляется у 1,7% обследованных практически здоровых людей.
ФКД II типа — очаговое нарушение цитоархитектоники с наличием аномальных нейронов (IIA) и так называемых баллонных клеток (IIB). Как правило, дисплазия затрагивает лобные доли.
ФКД III типа — вторичное нарушение корковой архитектоники, обусловленное другой патологией: мезиальным темпоральным склерозом (IIIA), глиальной опухолью (IIIB), мальформацией сосудов головного мозга (IIIC) или другими нарушениями (IIID) — энцефалитом Расмуссена, нейроинфекцией, посттравматическими или постишемическими изменениями и пр.
Симптомы фокальной корковой дисплазии
Ведущим клиническим проявлением ФКД выступает фокальная эпилепсия. Как правило, она манифестирует в детском возрасте. Эпилептические пароксизмы отличаются своей кратковременностью — длятся не более минуты. Среди них преобладают сложные (с расстройством сознания) фокальные моторные приступы, зачастую с автоматизмами в начальном периоде пароксизма. Спутанность сознания в постприступный период выражена незначительно. Характерны двигательные феномены и внезапные падения. Вторичная генерализация эпиприступов происходит заметно быстрее, чем при височной эпилепсии.
Возраст дебюта эпилепсии и сопутствующая клиническая симптоматика зависят от типа, выраженности и расположения очага корковой дисплазии. Ранняя манифестация аномалии обычно сопровождается задержкой психического развития ребёнка и когнитивными нарушениями.
ФКД I типа имеет менее тяжёлое течение и не всегда проявляется эпиприступами. У ряда пациентов она приводит к затруднению в познавательной деятельности и проблемам в обучении. ФКД II типа сопровождается тяжёлыми парциальными и вторично генерализованными эпиприступами. У многих пациентов наблюдается эпилептический статус. Клиника и течение ФКД III типа зависит от характера основной патологии.
Диагностика фокальной корковой дисплазии
Основной метод диагностики ФКД — магнитно-резонансная томография. Она должна выполняться по специальному протоколу с толщиной срезов 1-2 мм. Только такое тщательное сканирование способно выявить минимальные структурные изменения мозговой коры. В МРТ диагностике корковой дисплазии имеет значение опыт и квалификация рентгенолога. Поэтому при необходимости результаты исследования следует показать более опытному в этом вопросе специалисту.
К МРТ признакам ФКД относятся: локальная гипоплазия или утолщение коры, «смазывание» перехода между белым и серым веществом, изменённый ход извилин, повышенный МР-сигнал на ограниченном участке коры при исследовании в режимах Т2 и FLAIR. Каждый тип ФКД имеет свои особенности МРТ-картины.
В обязательно порядке пациентам с ФКД проводится электроэнцефалография. В большинстве случаев она выявляет очаговую эпилептическую активность мозга не только в момент приступа, но и в межприступный период. Во время приступа отмечается повышенная возбудимость и активация зон коры, прилежащих в визуализируемому на МРТ очагу дисплазии. Это связано с наличием аномальных клеток и за пределами основного участка корковой дисплазии, который является лишь «верхушкой айсберга».
Выявление зоны начала эпилептического приступа возможно при помощи ПЭТ, совмещённой с МРТ-изображением. При этом радиофармпрепарат должен быть введён пациенту после первого же пароксизмального разряда. Такое исследование особенно ценно при МРТ-негативных случаях ФКД и при несовпадении очага, визуализируемого на МРТ, с данными ЭЭГ. Для более точного определения расположения эпилептогенного очага проводится инвазивная электрокортикография с установкой субдуральных электродов, требующая краниотомии.
Лечение фокальной корковой дисплазии
Терапию начинают с подбора эффективного противосудорожного препарата и его дозы. Пациента совместно курируют эпилептолог и невролог. Возможно применение карбамазепина, препаратов вальпроевой к-ты, диазепама, леветирацетама, топирамата и др. антиконвульсантов. Однако зачастую эпилепсия при ФКД оказывается резистентной к противосудорожной терапии. В таких случаях ставится вопрос о хирургическом лечении и проводится консультация нейрохирурга.
Поскольку диспластические изменения носят фокальный характер, то хирургическое удаление патологического очага является эффективным способом лечения ФКД. В начале нейрохирургического вмешательства проводится электростимуляция и индивидуальная интраоперационная кортикография с составлением карты функционально важных участков коры, что позволяет избежать их травмирования в ходе операции. Многие нейрохирурги настаивают на целесообразности как можно более радикального удаления диспластического очага для достижения наилучших результатов лечения. Сложность заключается в широком распространении зоны точечно расположенных патологически изменённых клеток вокруг основного очага и невозможности их полного удаления. Распространённые и билатеральные эпилептогенные поражения являются противопоказанием к хирургическому лечению.
В зависимости от локализации и распространённости очага применяется один из 3 видов оперативных вмешательств: селективная резекция эпилептогенной зоны, стандартизированная резекция головного мозга (лобэктомия), тэйлорированная резекция — «выкраивание» зоны дисплазии, определённой в ходе кортикографии. При ФКД III типа зачастую требуется удаление и дисплазии, и основного очага поражения (опухоли, участка склероза, сосудистой мальформации и т. п.).
Прогноз при фокальной корковой дисплазии
Прогноз зависит от типа ФКД, своевременности проведённого лечения, радикальности удаления участка корковой дисплазии. Консервативная терапия, как правило, не даёт желаемого результата. Длительное течение эпилепсии в детском возрасте чревато нарушением нервно-психического развития с исходом в олигофрению.
Хирургическое лечение наиболее эффективно при единичном хорошо локализуемом очаге. По некоторым данным полное отсутствие пароксизмов или их значительное урежение наблюдается у 60% прооперированных пациентов. Однако спустя 10 лет приступы отсутствуют только у 32%. По всей видимости, рецидив эпилепсии в таких случаях связан с неполным удалением эпилептогенных элементов.
Стойкие послеоперационные неврологические расстройства отмечаются в 2% случаев, при распространённых поражениях — в 6%. Риск их развития повышен при проведении лобэктомии и вмешательствах вблизи функционально значимых участков коры.
Вы можете поделиться своей историей болезни, что Вам помогло при лечении фокальной корковой дисплазии.
Информацию из данного раздела нельзя использовать для самодиагностики и самолечения. В случае боли или иного обострения заболевания диагностические исследования должен назначать только лечащий врач. Для постановки диагноза и правильного назначения лечения следует обращаться к Вашему лечащему врачу.
Юношеская миоклоническая эпилепсия — это форма генерализованной эпилепсии, основу клинической картины которой составляют миоклонические приступы — асинхронные мышечные сокращения, кратковременно возни.
Юношеская абсанс эпилепсия — это идиопатический вариант эпилепсии, манифестирующий в подростковом возрасте. Основу симптоматики составляют генерализованные эпилептические приступы в виде абсансов и эп.
Ювенильный паркинсонизм — это генетически детерминированная форма раннего паркинсонизма, манифестирующая до 25-летнего возраста. Типичными особенностями клинической картины являются симметричность про.
Гемимегалэнцефалия на МРТ
Гемимегалэнцефалия на МРТ
а) Терминология:
• Гемимегалэнцефалия (ГМЭ): гамартоматозное увеличение объема большого полушария головного мозга вследствие его чрезмерного роста:
о Термин несколько некорректен, поскольку при этой патологии поражается не полностью все полушариеб) Визуализация:
• Большое полушарие головного мозга, 1/2 мозгового черепа:
о «Отклонение» задних отделов серпа мозга и полюса затылочной доли в контрлатеральную сторону
о Обычно отмечается увеличение и деформация бокового желудочка («заострение» переднего рога)
• Гипертрофированное БВ часто имеет гиперинтенсивный сигнал на T2-ВИ/FLAIR (ускоренная миелинизация)(а) На рисунке коронального среза показано увеличение объема большого полушария головного мозга вследствие его чрезмерного роста. Обратите внимание на смещение срединных структур, избыточное количество белого вещества (БВ), утолщение и сглаженность/дисморфизм извилин, а также аномальную конфигурацию ипсилатерального переднего рога.
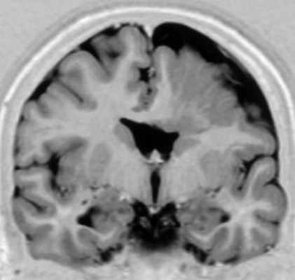
(б) Бесконтрастная КТ, аксиальный срез: у четырехлетней девочки с некупируемым судорожным синдромом определяется увеличение правого большого полушария, ипсилатеральной 1 /2 мозгового черепа в сочетании с увеличением объема белого вещества лучистого венца, ипсилатерального мозолистого тела, а также свода мозга. Кроме того, отмечается латеральное смещение серпа мозга. (а) МРТ, Т2-ВИ, аксиальный срез: у того же пациента определяется увеличение размеров полушария в сочетании с повышением сигнала от его БВ, а также увеличение деформированного правого желудочка и утолщение диспластичной коры.
(б) МРТ, Т2-ВИ, корональный срез: определяются увеличение размеров правого полушария, а также латеральное смещение серпа мозга. Передний рог ипсилатерального бокового желудочка деформирован и заострен. Изменения соответствуют классической гемимегалэнцефалии (ГМЭ).в) Патология:
• Этиология: гемимегалэнцефалии (ГМЭ) является прототипом инфантильной таупатии
о Позитивная регуляция фосфорилированного тау-белка
о Постзиготный соматический мозаицизм (мутации имеют только некоторые клетки; отсутствие аномалий в некоторых/многих частях головного мозга)
о Активация сигнального пути mTOR приводит к чрезмерному росту нормальных/аномальных клеток
о ГМЭ, фокальная кортикальная дисплазия (ФКД2б) могут являться одной и той же аномалией с различными сроками возникновения соматической мутации
• Патологическая анатомия:
о Увеличение полушария, аномальные толстые извилины о Нечеткость («размытость») границы между СВ и БВ
• Микроскопические признаки ГМЭ идентичных ФКД2б, ТСК (туберозно-склерозный комплекс):
о Дисморфизм и макроцитоз нейронов, баллонная дистрофия клеток
о Гипертрофия белого вещества, гипермиелинизация и глиозг) Клиническая картина:
• Противосудорожные препараты обычно неэффективны (могут быть полезны ингибиторы mTOR)
• Анатомическая или функциональная гемисферэктомияИнститут детской неврологии и эпилепсии
ИДНЭ (с 2006 года), ИДВНЭ (с 2016 года), ЦЗиР (с 2017) и ОЦМУ (с 2019) им. Святителя Луки
Гемимегалэнцефалия
Внедрение магнитно — резонансной томографии (МРТ) в клиническую практику позволило значительно расширить список прижизненно (в последнее время и антенатально) выявляемой патологии, как приобретенного, так и врожденного характера, в том числе, дисплазий головного мозга (ДГМ) (Chugani H.T., Sankar R., 1993). ДГМ являются «идеальной эпилептической моделью», учитывая, что причиной развития приступов становится изначально порочный морфологический субстрат, не претерпевающий каких-либо изменений от рождения до гибели пациента, в отличие от симптоматических форм эпилепсии, индуцированных опухолями, травмами или инфекциями. Guerrini (2003), обобщая богатый клинический опыт изучения детских форм эпилепсии, сообщает, что на долю ДГМ приходится до 40% всех резистентных случаев.
Гемимегалэнцефалия (ГМЭ) или унилатеральная мегалэнцефалия — дисплазия головного мозга, обусловленная унилатеральными нарушениями нейронной миграции и пролиферации, результатами которых является одностороннее диспластическое увеличение одной из гемисфер (В.А. Чадаев и соавт., 2003). Гемимегалэнцефалия может встречаться как изолированный порок, так и сочетаться с гемигипертрофией всего тела — синдром Клиппель-Треноне-Вебера (Anlar B. и соавт., 1988); нейрокожными синдромами: протеуса, линейного невуса, эпидермального невуса, гипомеланоза Ито, нейрофиброматоза, туберозного склероза (De Lone D.R. и соавт., 1999; Sasaki M. и соавт., 2000).
Облигатным признаком ГМЭ является чрезмерное развитие одной гемисферы при нормальных размерах другой. Нарушение устройства рисунка извилин (сулькации) может быть представлено участками коры с увеличенными, утолщенными (пахигирия) или удлиненными и истонченными (полимикрогирия) зонами. В гипертрофию обычно вовлекаются глубинные структуры полушарий, реже мозжечок. Гемигипертрофия ствола мозга или спинного мозга является редкостью (Tuxhorn I. и соавт., 1997). Диспластические нарушения могут обнаруживаться и в контралатеральном «здоровом» полушарии.
Микроскопический анализ ГМЭ констатирует аномальное развитие обеих гистологических составляющих: нейрональной и глиальной (Barcovich A.J. и соавт., 1990). Нейрональные миграционные изменения заключаются в грубых нарушениях горизонтальной кортикальной организации (дисламинация), нечеткости серо-белой демаркации, аномально расположенных нейрональных скоплениях (гетеротопии). Глиальные нарушения выявляются в 50% случаев и заключаются в увеличенном количестве гипертрофированных (в том числе за счет повышенного количества ДНК) глиальных клеток (Manz H.J. и соавт., 2000).
Диагноз ГМЭ в современных условиях устанавливается, в подавляющем большинстве случаев, при МРТ исследовании головного мозга. МРТ у больных с ГМЭ выявляет асимметрию гемисфер за счет диффузно увеличенного, аномального полушария. Характерна вентрикуломегалия диспластичной гемисферы. В Т2 — режиме выявляется интенсивный сигнал в белом веществе — результат сочетания глиоза и участков гипомиелинизации.Материал и методы. Нами обследовано 4 больных ГМЭ в возрасте от 5 до 7 лет; 2 мальчика и 2 девочки (табл. ). Проводилось неврологическое обследование, рутинная ЭЭГ, видео – ЭЭГ мониторинг с включением сна (6-12 часов исследования), магнитно – резонансная томография (МРТ) с напряженностью поля 1,5 Tsl. Целью исследования было изучение клинических, электроэнцефалографических и нейровизуализационных характеристик больных гемимегалэнцефалией. Особое внимание уделялось характеристики симптоматической фокальной эпилепсии при ГМЭ: возраст дебюта приступов, их характеристика, динамика течения.
Результаты исследования. Среди обследованных нами пациентов, ГМЭ встречалась как изолированный порок развития в 3 случаях и в 1 – в сочетании с гипертелоризмом, потребовавшим хирургической коррекции в раннем детском возрасте. В 2 случаях ГМЭ локализовалась слева (доминантная гемисфера) и в 2 – справа (субдоминантная гемисфера).
Во всех случаях ГМЭ проявлялась триадой симптомов: центральным гемипарезом, умственной отсталостью и эпилептическими приступами. Однако степень выраженности данных неврологических проявлений была весьма различной. В неврологическом статусе у пациентов с ГМЭ контралатерально пораженной гемисфере отмечался центральный гемипарез с преимущественным нарушением моторики кисти. Выраженный гемипарез констатировался в 1 наблюдении, умеренный – 1 и легкий гемипарез с нарушением мелкой моторики — в 2 случаях. Двигательный дефицит был заметен у 2 пациентов практически сразу после рождения, а у оставшихся 2 – только после 3-4 мес. жизни. Задержка психического развития обращала на себя внимание после к 4-6 мес. жизни. У 1 пациента развилась тяжелая умственная отсталость, и в 3 случаях – легкая. Степень выраженности моторного и интеллектуального дефицита четко коррелировала с возрастом дебюта эпилептических приступов. Максимально неврологические нарушения были выражены у пациентки с ранним дебютом эпилепсии (до 6-и мес.) (табл. ).
Дебют эпилептических приступов у всех пациентов наступал в возрасте до 1 года (2-11 мес.). В 2 случаях заболевание манифестировало с инфантильных спазмов, в 2 – с фебрильных судорог (1 – типичные и 1 – атипичные с фокальным компонентом и постприступным парезом). Для инфантильных спазмов была характерна выраженная асимметрия в кинематике приступов с большим участием конечностей на контралатеральной дисплазии стороне. У одной из наших пациенток с ГМЭ (Б.О.), эпилептические приступы дебютировали на 2-ом мес. жизни с тонических экстензорных спазмов; на ЭЭГ регистрировался паттерн «разряд – угнетение». Таким образом, у данной больной наблюдалась электро – клиническая картина синдрома Отахара. В дальнейшем присоединились фокальные моторные, миоклонические и миоклонически — астатические приступы. После 1 года инфантильные спазмы во всех случаях трансформировались в фокальные моторные приступы.
Спектр эпилептических приступов при ГМЭ был разнообразен; в большинстве случаев у больных наблюдалось сочетание различных типов приступов. Преобладающим видом приступов были гемиклонические пароксизмы (3 пациента), миоклонические (3), миоклонически – астатические (2) и вторично – генерализованные (2). В 1 случае преобладали ночные тонические аксиальные приступы, в 1 – фокальные атонические пароксизмы (негативный миоклонус) в руке контралатеральной ГМЭ и в 1 – атипичные абсансы. Аутомоторные приступы отсутствовали.Характерной особенностью у больных ГМЭ была высокая частота провокации приступов лихорадкой (3 пациента), причем в 2 случаях заболевание дебютировало с фебрильных судорог. У 2 больных после гемиклонических приступов усиливался парез в конечностях.
Основная активность фоновой записи при ЭЭГ исследовании была замедлена в 2 случаях и представлена нерегулярным альфа ритмом частоты 8 Гц в оставшихся 2-х. Для всех больных ГМЭ в нашем исследовании было характерно наличие продолженного замедления, латерализованного по пораженной гемисфере, с максимумом по лобным отведениям. Также во всех случаях регистрировалась пик – волновая эпилептиформная активность: латерализованная по дефектной гемисфере (2 случая), преимущественно бифронтальная (1) и преимущественно диффузная (1). У 2 больных регистрировался на ЭЭГ феномен вторичной билатеральной синхронизации (рис. ). Индекс эпилептиформной активности резко нарастал в фазу медленного сна, и в 2 случаях латерализованная пик – волновая активность приобретала характер постоянной продолженной (рис. ), периодически образуя диффузные разряды. При этом наблюдалась значительная редукция физиологических паттернов сна (сонные веретена, К-комплексы, POSTs, вертекс потенциалы). В одном случае (пациентка Б.О.) с ранним дебютом приступов (в 2 мес.) на ЭЭГ констатировались вспышки высокоамплитудных медленных волн и пик-волн, чередующихся с периодами угнетения биоэлектрической активности длительностью до 3 сек. – паттерн «разряд-угнетение» (рис. ).
МРТ исследование было ведущим в верификации синдрома ГМЭ.
Неожиданным был результат, полученный при медикаментозном лечении больных ГМЭ. Применялись препараты вальпроевой кислоты (депакин – хроно), ламиктал, финлепсин – ретард, клоназепам. В 2 случаях применялась политерапия с включением депакина как базового антиэпилептического препарата (АЭП), в 1 – монотерапия депакином и в 1 – монотерапия финлепсином. В 3 случаях из 4 удалось добиться стойкой медикаментозной ремиссии с катамнестическим наблюдением от 1,5 до 2,5 лет. У наиболее тяжелой пациентки Б.О. с ранним дебютом эпилепсии, выраженным гемипарезом и умственной отсталостью, удалось снизить частоту приступов на 50%.Вместе с тем, ни в одном случае не удалось добиться «электрической ремиссии», то есть нормализации ЭЭГ. Правильно подобранная терапия АЭП приводила к снижению индекса эпилептиформной активности, в ряде случаев к блокированию диффузных разрядов, однако пик – волновые паттерны продолжали регистрироваться на ЭЭГ, несмотря на длительную ремиссию приступов.
- Наличие триады клинических признаков, разной степени выраженности: центральный гемипарез, умственная отсталость, эпилептические приступы.
- Ранний дебют эпилепсии (во всех случаях до 1 года).
- Наличие полиморфных приступов. Сочетание фокальных (гемиклонические, фокальные моторные, вторично – генерализованные судорожные) и псевдогенерализованных приступов (миоклонические, миоклонически – астатические, атипичные абсансы, атонические).
- В 75% случаев приступы провоцировались лихорадкой.
- На ЭЭГ характерным было сочетание продолженного регионального замедления и латерализованной эпилептиформной активности (нередко с диффузным распространением) с нарастанием в фазу медленного сна.
- Плохими прогностическими признаками развития заболевания являлись ранний дебют эпилепсии, полиморфизм приступов, выраженное снижение интеллекта, наличие феномена вторичной билатеральной синхронизации на ЭЭГ.
- В 75% случаев приступы были купированы адекватно подобранными АЭП. Однако нормализации ЭЭГ не было достигнуто ни у одного пациента.
Таким образом, для ГМЭ оказалось характерна полиморфная клиническая картина с разной степенью выраженности двигательных и когнитивных нарушений. Небезынтересно, что, несмотря на обширные изменения коры головного мозга по данным МРТ, лишь у 1 больной отмечался выраженный гемипарез и умственная отсталость тяжелой степени. Именно у этой пациентки был наиболее ранний дебют эпилептических приступов (в возрасте 2 месяцев). По мнению Vigevano и соавт. (1997), степень неврологических нарушений у больных ГМЭ может быть различной: от глубокой инвалидизации до легких, часто незаметных без специального нейропсихологического тестирования. Сhugani H.T. и соавт. (1993) также установили, что тяжесть клинических нарушений коррелирует со сроками дебюта эпилептических приступов.
Таблица 1. Характеристика обследованных нами больных гемимегалэнцефалией.
Полуторагодовалой благовещенке московские хирурги хотят удалить одно полушарие мозга
Маленькой благовещенке Арине Худайбердиевой предстоит операция на головном мозге. Вот уже неделю девочка вместе с мамой и папой находится в Москве. Красот столичных семья не видела. У них одна цель — спасти малышку любой ценой. Диагноз звучит пугающе — «гемимегалэнцефалия», когда одно полушарие мозга больше другого. Семья получила квоту на лечение в клинике имени Бурденко, и сейчас кроху готовят к серьезному хирургическому вмешательству. Врачи хотят полностью удалить поврежденное полушарие мозга.
Операция будет бесплатной, но анализы, обследования и последующая реабилитация стоят денег. Семейные накопления с московскими ценами тают без следа. Без поддержки неравнодушных людей многодетной семье очень трудно бороться за жизнь своего ребенка.
В московскую клинику имени Бурденко Аришу вместе с мамой положили 23 ноября. Им предстоит нелегкое испытание — операция на головном мозге. Но другого пути нет. Приступы эпилепсии, которые провоцирует поврежденное полушарие мозга, не дают ребенку нормально развиваться, их нужно купировать. А значит, без хирургического вмешательства не обойтись. И это страшит. Еще пугает то, что семье может не хватить средств, чтобы какое-то время находиться в Москве. Столичная жизнь — штука дорогая.
— Когда мы поступали, врачей приемного отделения не устроили анализы, которые мы привезли с собой, назначили сдавать заново, причем за деньги — два анализа крови стоят почти 5 тысяч рублей, — рассказала по телефону Анна Кугит, мама Арины Худайбердиевой, которой в среду исполнился 1 год 5 месяцев. — Без них нас не госпитализировали. Зачем тогда нужно было сдавать их дома, травмировать ребенка? У нас вены проблемные, ищут почти час. Что будет дальше, я не знаю. Но мамы в очереди говорят, что в Москве все за деньги, хотя это не афишируется. Когда врач пришел нас осматривать, мой муж так и спросил: «Сколько еще мы будем должны?» На что тот ответил, что мы по квоте приехали, поэтому за нас заплатит государство. Но мало в это верится. Тот же платный наркоз стоит от 5 до 10 тысяч рублей, а желательно делать его, он легче переносится.
Узнать о тех, кто еще нуждается в поддержке — моральной и материальной, можно из нашей рубрики «Поможем вместе» .
Платные обследования, анализы, дорога, ночевки в комнатах отдыха семье за неделю обошлись в 60 тысяч рублей. Повезло еще, что в Москве есть друзья, которые на время приютили, и большую часть суммы собрали неравнодушные амурчане. Перед сложной операцией ребенку проводили МРТ в Санкт-Петербурге. Свои отчеты по сбору средств и тратам на лечение Анна Кугит публикует на специально созданной странице в «Одноклассниках». Им скрывать нечего. Многодетная семья живет, как рядовые амурчане, — небогато. Сейчас добытчиком является только отец, потому что мама сидит с малышкой в декрете, а старшие сын и дочь — студенты ссузов. «Муж сейчас пытается найти работу в Москве, не знаю, без московской прописки возьмут его или нет», — делится Аня.
Рождения маленькой Аринки в семье благовещенцев Анны и Нурмухаммета ожидали долго. Их старшим сыну и дочери сейчас 18 и 16 лет. Беременность была желанной, УЗИ показывало нормальное развитие плода. Малышка должна была родиться крупненькой — весом четыре килограмма. Но во время родов неожиданно зажало голову крохи. Эта родовая травма привела к серьезным последствиям — кровоизлиянию в головной мозг. На третьей неделе жизни у Арины случились первые судороги.
В августе врачи Российской детской клинической больницы в Москве сделали ребенку МРТ и поставили диагноз «порок развития головного мозга: гемимегалэнцефалия, нейрокутанный синдром, симптоматическая эпилепсия». Приступы эпилепсии не дают малышке нормально развиваться. Она пытается ходить, сидеть, «читать» книжки, но очередной приступ отбрасывает все успехи крохи назад. Операция, которую проведут нейрохирурги клиники имени Бурденко на головном мозге, должна избавить девочку от них и помочь развиваться. Ее нужно успеть сделать до двух лет, чтобы здоровое полушарие взяло на себя функции поврежденного.
— Ариша сейчас приболела, простыла немного в дороге. Поэтому с датой операции врачи пока определяются. Однозначно она будет и, вероятно, самая страшная — если полушарие сильно повреждено, его удаляют все. Честно сказать, очень переживаю за доченьку. Как подумаю о том, что нас ждет, на голове шевелятся волосы, — признается мама маленькой Арины.
Помочь семье девочки можно, перечислив деньги по данным реквизитам:
Получатель Кугит Анна Владимировна
Номер карты Сбербанка 4276 8030 2902 0720
Счет получателя 40817810303000199097
Банк получателя: Отделение № 8636 Сбербанка России г. Благовещенск
ИНН получателя 280115163093
БИК получателя 040813608
Корр/счет 30101810600000000608
Код подразделения банка по месту ведения счета карты 7086360114
Деньги также можно перевести на абонентский счет телефона: 8 924 674 20 61.
Нарушения развития коры головного мозга
При МРТ в СПб мы прицельно ищем аномалии коры головного мозга при эпилепсии и отставании в развитии. Нарушения развития коры может быть изолированной аномалией развития, либо сочетаться с другими нарушениями развития, такими как нарушения регионализации. Нарушения развития коры определяются при МРТ головного мозга и могут быть разделены на:
Нарушения пролиферации и дифференциации – микроцефалия, мегалэнцефалия
Нарушения миграции – агирия-пахигирия (лиссэнцефалия), полимикрогирия, гетеротопии
Нарушения организации коры – микродисгенезии
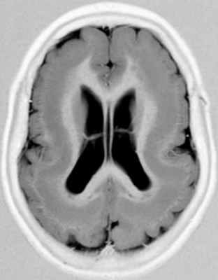
Мегалэнцефалия представляет собой увеличение одного или обоих полушарий мозга. При мегалэнцефалии при МРТ наблюдается увеличенный боковой желудочек с соответствующей стороны, кора утолщена и не разделена на извилины (агирия), белое вещество не миелинизировано.
![gheterotopia_fig1]()
МРТ. Т1-зависимая корональная томограмма. Агирия.
Гетеротопии. В ходе эмбриогенеза нейроны могут не достичь своего места в коре. Большинство нарушений миграции имеет доминантное, связанное с Х-хромосомой, происхождение. Аномалии могут быть локальными и диффузными. Диффузные гетеротопии локализуются перивентрикулярно. Серое вещество по данным МРТ скапливается только вокруг боковых желудочков, не затрагивая области вокруг III и IV желудочков. В четверти случаев гетеротопии сопутствуют аномалии мозолистого тела и мозжечка.
Если нейроны совсем не достигают коры, то возникает лиссэнцефалия. Если только часть нейронов не достигает её, то возникают субкортикальные гетеротопии, видимые при МРТ в виде узлов или полосы («двойная» кора). Клиническая симптоматика обычно негрубая – небольшое отставание развития, пирамидные знаки и, иногда, дизартрия.
![gband_heterotopia_fig2a]()
МРТ. Т1-зависимая аксиальная томограмма. “Двойная кора”.
Очаговые (фокальные, узловые) гетеротопии принято ещё называть гамартомами. Они встречаются как самостоятельная аномалия или как проявление туберозного склероза. На МРТ сигнал от узлов типичный для серого вещества и они типично не контрастируются гадолинием. Это позволяет отличать их от субэпендимальных узлов при туберозном склерозе. Особым вариантом гамартомы является гипоталамическая гамартома. Она расположена в области серого бугра, между ножкой гипофиза и сосочковыми телами. Гипоталамическая гамартома имеет экзофитный тип роста и достигает 12 мм. Клинически бывает бессимптомной, либо проявляется ранним созреванием, акромегалией и особым видом парциальной эпилепсии – судорогами в виде навязчивого смеха, а также психическими нарушениями. На Т1-зависимых МРТ гипоталамическая гамартома изоинтенсивна белому веществу, на Т2-зависимых МРТ немного гиперинтенсивнее его. Образование однородное, имеет четкий контур. Масс-эффект выражается в смещении воронки гипофиза. В отличие от астроцитомы той же локализации гамартома не вовлекает перекрест зрительных нервов. Труднее отличить гамартому от менингиомы, но последняя усиливается при контрастировании. Редко встречается ганглиоглиома гипоталамуса. Она содержит кисты, иногда микрокальцинаты (что видно при КТ) и примерно в половине случаев усиливается при контрастировании. Также редко встречаются липомы гипоталамуса, которые имеют характерный для жировой ткани сигнал.
Лиссэнцефалия – это общий термин, под которым понимают нарушение формирования борозд. Крайнее проявление ее – полное отсутствие извилин – агирия. Серое вещество имеется, но оно не разделено бороздами. Агирия может быть локальной, обычно этот тип наблюдается в височной доле.
Аномально малое число извилин в связи с неполными бороздами называется пахигирией. Обычно, она также локальная, извилины широкие и сглаженные. Сочетание участков пахигирии и агирии называют лиссэнцефалией I типа. При МРТ определяется утолщение коры, вертикальные Сильвиевы борозды и часто выпрямленные гиппокампы. Клинические проявления укладываются в различные формы (синдромы Миллера – Декера, Нормана – Робертса и т.д.), проявляющиеся в первый год жизни. Тип II отличается нарушением структуры самой коры, которая пронизана сосудами и фиброглиальными пучками. Этот тип сочетается с гидроцефалией и неполной миелинизацией. Характерно клиническое проявление в виде синдрома Уокера – Варбурга.
Полимикрогирия – множественные неглубокие извилины. Часто сочетается с гетеротопией серого вещества и гемимегалэнцефалией. Считается, что патогенез полимикрогирии связан с ишемическим некрозом пятого слоя коры до 20 недели эмбриогенеза. Часть случаев связана с врождённой цитомегаловирусной инфекцией.
Кроме того полимикрогирия может входить в состав синдром Экарди (Aicardi) -Х-связанной доминантной патологией. Он протекает в виде спазмов и хориоретинопатии. При МРТ часто выявляются гипоплазия мозжечка, агенезия или недоразвитие мозолистого тела, кисты ЗЧЯ и средней линии, папилломы сосудистого сплетения.
![gaicardi_syndrome_fig1a]()
МРТ. Т1-зависмая сагиттальная томограмма. Синдром Экарди.
МРТ. Т1-зависимая корональная томограмма. Полимикрогирия.
Микродисгенезии коры ответственны за некоторые варианты экстратемпоральной эпилепсии и, по-видимому, за некоторые психические патологии. Только иногда микродисгенезии дают изменения на макроскопическом уровне, которые выявляются при МРТ.
Корковые аномалии лучше видны в высоких полях, чем в открытом МРТ. МРТ СПб дает возможность исследовать методом МРТ в разных центрах, но столь сложные патологии мы советуем искать только в специализированных центрах.
Читайте также:



