Гепатоспленомегалия. Причины гепатоспленомегалии.
Добавил пользователь Евгений Кузнецов Обновлено: 28.11.2025
Гепатомегалия – синдром, характеризующийся увеличением размеров печени. Причиной могут быть вирусные гепатиты, инфекционный мононуклеоз, алкогольная болезнь, цирроз, патология накопления (гемохроматоз), синдром Бадда-Киари (тромбоз печеночных вен), жировая дистрофия, онкологические, сердечно-сосудистые и другие заболевания. Основные проявления – чувство тяжести, болезненность в правом подреберье, признаки сдавления соседних органов, диспепсические нарушения. Диагностика основана на результатах печеночных проб, УЗИ органов брюшной полости, МСКТ, пункционной биопсии печени и других методов. Лечение определяется причиной синдрома.

Общие сведения
Гепатомегалия – патологический синдром, заключающийся в истинном увеличении печени (размер по правой среднеключичной линии превышает 12 см или левая доля пальпируется в эпигастральной области). В норме печень мягкой консистенции, легко прощупывается под реберной дугой. При различных заболеваниях размеры органа могут значительно увеличиваться, структура становиться более плотной. Гепатомегалия может быть обусловлена дистрофическими изменениями печеночных клеток (при гепатозах), лимфомакрофагальной инфильтрацией (в случае острого или хронического гепатита), формированием узлов и фиброзированием (при циррозе), застоем крови (при поражении вен печени, констриктивном перикардите, сердечной недостаточности) или очаговыми изменениями (при абсцессах, опухолях, кистах). Данный синдром зачастую является ведущим, определяющим клиническую картину. Гепатомегалия – не самостоятельное заболевание, а признак определенной патологии.

Причины гепатомегалии
Увеличение размеров печени может встречаться при многих болезнях. Одни из наиболее распространенных этиологических факторов – заболевания сосудистого русла органа. Чаще гепатомегалия развивается при поражении воротной и печеночных вен вследствие тромбообразования, синдрома Бадда-Киари, гораздо реже – при поражении печеночной артерии.
Второй по значимости группой причин являются инфекционно-вирусные поражения, следствием которых может быть повреждение паренхимы печени, воротной вены и желчных протоков (при вирусных гепатитах, инфекционном мононуклеозе, амебном абсцессе, гнойном тромбофлебите воротной вены, неспецифическом холангите вследствие холедохолитиаза). Гепатомегалия является характерным признаком неопластического процесса (онкологической патологии). Первичное опухолевое повреждение печени встречается довольно редко, чаще развивается метастатическое поражение; из доброкачественных опухолей могут выявляться аденомы и гемангиомы печени.
Гепатомегалия также возникает при дегенеративных поражениях ткани печени (стеатогепатоз, стеатогепатит неалкогольного генеза, вторичные изменения при патологии сердечно-сосудистой системы), амилоидозе, действии гепатотоксических веществ (алкоголя, лекарственных препаратов, некоторых синтетических и природных соединений). Реже причиной гепатомегалии является врожденная патология, аутоиммунные, эндокринные заболевания (сахарный диабет, эндокринопатии при беременности) и травматическое повреждение печеночной ткани (травмы печени).
Классификация
Наиболее часто гастроэнтерологи используют этиологическую классификацию данного синдрома. В зависимости от заболеваний, вызвавших увеличение печени, различают гепатомегалии вследствие нарушения кровообращения, расстройства обмена веществ, первичных болезней печени, инфильтративных процессов в органе, некоторых гематологических заболеваний и локальных поражений.
Также при верификации диагноза учитывается анатомо-морфологическая классификация гепатомегалий: поражение паренхимы, желчных протоков, соединительной ткани или сосудистой сети. Для проведения дифференциального диагноза в классификации отражают, сочетается ли данный симптом со спленомегалией (увеличением селезенки), желтухой или асцитом.
В зависимости от степени увеличения органа выделяют гепатомегалию умеренную (незначительное изменение размеров и структуры, не укладывающееся в показатели нормы), выраженную (увеличение на 10 см от нормы) и диффузную (более чем на 10 сантиметров). Отдельной формой является парциальная гепатомегалия, когда печень увеличивается неравномерно - только ее часть или одна доля.
Симптомы гепатомегалии
Симптомы увеличения размеров печени определяются основным заболеванием. Умеренная гепатомегалия, развивающаяся при острых вирусных инфекциях и нарушениях питания у детей, может никак не проявляться. При достижении печенью значительных размеров возможен дискомфорт в правом подреберье, болезненные ощущения, усиливающиеся при движениях. Характерны также кожный зуд, высыпания, диспепсические жалобы (тошнота, нарушение стула, метеоризм), неприятный запах изо рта.
В случае гепатомегалии на фоне вирусного гепатита определяется уплотнение паренхимы печени, что легко выявляется даже при пальпации. Увеличение печени сопровождается желтушностью склер и кожных покровов, явлениями интоксикации. При своевременном эффективном лечении синдром может регрессировать. Гепатомегалия при циррозе печени возникает вследствие повреждения гепатоцитов и формирования на их месте соединительной ткани. Характерно значительное уплотнение органа, постоянная боль в правом подреберье, землистый оттенок кожи, склонность к кровотечениям.
Увеличение печени вследствие первичного неопластического поражения возникает довольно редко, при этом ведущими симптомами являются: гепатоспленомегалия, боль, диспепсические расстройства, желтуха, отеки и асцит. При вторичном (метастатическом) поражении симптомы гепатомегалии обычно менее выражены, чем признаки первичного опухолевого роста. В случае доброкачественных образований печени увеличение органа обычно является первым и ведущим признаком. При достижении образованием значительных размеров возможно асимметричное увеличение живота, признаки сдавления соседних органов.
Особенностью гепатомегалии при дегенеративных изменениях (жировой болезни печени) является скудная симптоматика, редкое развитие тяжелого поражения. Обычно данное заболевание является диагностической находкой при обращении пациента по другим причинам. При амилоидозе печень может достигать существенных размеров, ее структура плотная, край ровный, болезненности при пальпации нет.
Гепатомегалия при заболеваниях сердца развивается в случае правожелудочковой недостаточности; синдром быстро прогрессирует, что приводит к растяжению капсулы органа и выраженной боли. Размеры печени изменчивы и при успешном лечении основного заболевания уменьшаются.
В случае токсического повреждения гепатоцитов увеличение печени может быть единственным признаком, реже сочетается с зудом, желтушностью склер и кожи, умеренным изменением лабораторных показателей. При травматическом повреждении печеночной ткани гепатомегалия на фоне тяжелого общего состояния пациента сопровождается признаками внутрибрюшного кровотечения и геморрагического шока. Прогрессируют артериальная гипотензия и тахикардия, гипоксия; при пальпации печень резко болезненна.
Диагностика гепатомегалии
Определение увеличения размеров печени не составляет труда – с этой целью проводится пальпация и перкуссия, а также УЗИ органов брюшной полости. Необходимо установление причин данного синдрома.
Дифференциальная диагностика гепатомегалии в гастроэнтерологии начинается с исключения вирусной этиологии. Детально изучается анамнез (были ли переливания крови или ее компонентов, гемодиализ и другие неблагоприятные эпидемиологические факторы). В лабораторных анализах при вирусных гепатитах определяется повышение активности аминотрансфераз, причем преимущественно АЛТ. Достоверным методом диагностики является обнаружение специфических иммуноглобулинов и генетического материала возбудителя путем полимеразной цепной реакции (ПЦР). Для оценки степени гистологической активности проводится пункционная биопсия.
С целью исключения аутоиммунной природы гепатомегалии определяется уровень циркулирующих аутоантител. Чаще данная патология развивается у женщин до 25 лет и в постменопаузальном периоде и может сопровождаться такими признаками, как боли в суставах (артралгии), гломерулонефрит и лихорадка.
Цирротическая этиология гепатомегалии подтверждается анамнестическими указаниями на употребление алкоголя или заболевания печени, повышенным уровнем гамма-глобулинов в крови, активности щелочной фосфатазы и аминотрансфераз, низким уровнем протромбина и альбумина в сыворотке. При УЗИ органов брюшной полости выявляется диффузная неоднородность паренхимы печени, а также увеличение диаметра портальной и селезеночной вен.
Диагностика сосудистых причин гепатомегалии (обструкции печеночных вен) основана на результатах ультразвуковой допплерографии, нижней каваграфии, пункционной биопсии печени и радиоизотопного сканирования. Для исключения опухолевого поражения проводится МСКТ органов брюшной полости.
Лечение гепатомегалии
Основные направления лечения гепатомегалии зависят от ее причины. Терапия включает диетическое питание (стол №6), подразумевающее частые приемы пищи, отказ от жирных, жареных блюд, избытка простых углеводов и достаточное поступление витаминов, белка и микроэлементов.
С целью защиты и восстановления функционирования печеночных клеток назначаются гепатопротекторы (эссенциальные фосфолипиды, препараты растительного происхождения, витамины и аминокислоты). При острых гепатитах также проводится дезинтоксикационная и специфическая противовирусная терапия. При хронических гепатитах используются интерфероны и иммуномодуляторы.
Кардиогенная гепатомегалия хорошо регрессирует при назначении лечения, устраняющего сердечную недостаточность по большому кругу кровообращения. В случае тромбоза воротной вены ведущей является тромболитическая и антикоагулянтная терапия, при остром тромбозе показана трансплантация печени. При абсцессе проводится антибактериальная или антипаразитарная терапия, пункция полости и наружное дренирование. В лечении амилоидоза применяются преднизолон и колхицин.
Гепатомегалия неопластической этиологии требует проведения химиотерапии, лучевых методов или хирургического удаления опухоли (в зависимости от типа первичного очага). При доброкачественных новообразованиях оперативное лечение необходимо при достижении гепатомегалией значительных размеров и нарушении работы близлежащих органов.
Прогноз и профилактика гепатомегалии
Прогноз определяется причиной синдрома и степенью повреждения гепатоцитов, обратимостью процесса. Прогностически неблагоприятны гепатомегалии при циррозе печени, токсическом повреждении, первичном неопластическом процессе. Умеренное увеличение органа при общих заболеваниях, в том числе вирусных инфекциях, транзиторная гепатомегалия у детей характеризуются быстро регрессирующим течением. Профилактика заключается в предупреждении заболеваний, которые могут стать причиной увеличения печени.
Спленомегалия
Спленомегалия — вторичный патологический синдром, который проявляется увеличением размеров селезенки. Увеличение органа невоспалительного генеза сопровождается ноющей болью, чувством распирания в левом подреберье. При инфекционных процессах возникает лихорадка, резкая боль в подреберье слева, тошнота, диарея, рвота, слабость. Диагностика основывается на данных физикального осмотра, УЗИ, сцинтиграфии селезенки, обзорной рентгенографии и МСКТ брюшной полости. Тактика лечения зависит от основного заболевания, которое привело к спленомегалии. Назначают этиотропную терапию, при необратимых изменениях и значительном увеличении органа выполняют спленэктомию.

Спленомегалия – аномальное увеличение селезенки. Синдром не является самостоятельной нозологической единицей, а возникает вторично, на фоне другого патологического процесса в организме. В норме селезенка весит около 100-150 г и не доступна для пальпации, т. к. полностью скрыта под реберным каркасом. Пальпаторно определить орган удается при его увеличении в 2-3 раза. Спленомегалия может являться индикатором серьезных болезней, ее распространённость в общей популяции составляет 1-2%. У 5-15% здоровых детей определяется гипертрофия селезенки ввиду несовершенства иммунной системы. Синдром может встречаться у людей всех возрастов. В равной степени поражает лиц женского и мужского пола.
Причины спленомегалии
Селезенка является важной составляющей иммунной системы. Повышение функциональной активности, увеличение скорости кровотока и размеров органа сопровождает большое количество заболеваний как инфекционной, так и неинфекционной природы. К основным причинам развития данной патологии относят:
- Инфекционные заболевания. Увеличение размеров происходит в результате повышенной иммунной нагрузки на орган при бактериальных (сифилис, туберкулез), вирусных (ВИЧ, цитомегаловирус, вирус Эпштейна–Барр), грибковых (бластомикоз, гистоплазмоз), паразитарных (шистосомоз, эхинококкоз), протозойных (малярия, лейшманиоз) острых и хронических инфекциях.
- Аутоиммунные заболевания. Гиперплазия развивается при повышении фагоцитарной функции селезенки, активации ретикулоэндотелиальной системы на фоне аутоиммунных болезней (ревматоидный артрит, системная красная волчанка, узелковый периартериит).
- Миелопролиферативные болезни. Спленомегалия формируется при злокачественной трансформации костномозговых клеток, что сопровождается их избыточной пролиферацией и нарушением гемопоэза в т. ч. в селезенке. К данным состояниям можно отнести истинную полицитемию, миелолейкоз, миелоидную метаплазию.
- Новообразования различной этиологии. Увеличение органа может быть связано с доброкачественными и злокачественными образованиями селезенки, опухолями кроветворной системы (лимфома, острый и хронический лейкоз) и с метастазированием из других очагов (рак легкого, рак печени).
- Гематологические расстройства. Синдром развивается на фоне повышения функциональной нагрузки на селезенку при наследственных и приобретенных заболеваниях крови (гемолитическая анемия, талассемия, циклический агранулоцитоз и др.).
- Нарушения обмена веществ. Спленомегалия возникает в результате инфильтрации паренхимы макрофагами, липидами или другими метаболитами при приобретённых и наследственных нарушениях обмена веществ (фенилкетонурия, болезнь Вильсона, синдром Зольвегера, гликогенозы и др.).
- Нарушение кровообращения. При нарушении оттока крови по венозному руслу в результате застойных явлений происходит рост сосудистой ткани, увеличивается число эритроцитов, повышается давление в портальной системе, развивается гипертрофия органа. К данному состоянию может привести тромбоз селезеночной вены, перекручивание сосудистой ножки селезенки.
В гастроэнтерологии синдром классифицируется в зависимости от этиологии и патогенеза. Выделяют две формы спленомегалии, имеющие различную природу и клинические проявления:
- Воспалительная. Возникает на фоне бактериальной, вирусной, протозойной, грибковой инфекции (острый вирусный гепатит, краснуха, туберкулез, сальмонеллез, малярия и др.). Проявляется яркой клинической картиной и общей интоксикацией организма.
- Невоспалительная. Развивается в результате различных заболеваний неинфекционной природы (анемии, амилоидоз, цирроз печени, лейкозы). В данном случае более выраженными являются симптомы основного заболевания, клинические проявления со стороны селезенки носят стертый характер.
Симптомы спленомегалии
Клиническая картина зависит от исходной патологии, причин и степени увеличения органа. В большинстве случаев на первый план выходят симптомы первичного заболевания. Воспалительные спленомегалии сопровождаются повышением температуры тела до фебрильных значений, тошнотой, рвотой, послаблением стула, выраженной слабостью. Болезненные ощущения часто носят острый режущий характер и локализуются в области левого подреберья.
При невоспалительной этиологии заболевания температура тела нормальная или субфебрильная. Возникает тупая ноющая или давящая боль в левом подреберье слабой интенсивности. Общие симптомы интоксикации отсутствуют или слабо выражены. Синдром спленомегалии сопровождается появлением бледности кожных покровов с синеватым оттенком, снижением аппетита, уменьшением работоспособности. Часто отмечается одновременное увеличение размеров селезенки и печени - гепатоспленомегалия. В этом случае к основным симптомам присоединяется чувство тяжести и распирания в подреберье справа.
Осложнения
К наиболее серьезным осложнениям спленомегалии относится разрыв селезенки. Данное состояние сопровождается массивным кровотечением и приводит к развитию геморрагического шока, а при отсутствии экстренных мер - к летальному исходу. Нарушение функции селезенки может сочетаться с внутриорганным разрушением форменных элементов крови, возникновением гиперспленизма, который сопровождается лейкопенией, анемией, тромбоцитопенией. В результате нарушается свертываемость крови, снижается иммунная функция организма, развивается гипоксия. Данное состояние может привести к жизнеугрожающим последствием (шок, кровотечение).
Диагностика
Первичная диагностика заключается в консультации гастроэнтеролога. Во время физикального осмотра специалист пальпаторно определяет патологически увеличенный орган, перкуторно - изменённую селезеночную тупость. С помощью изучения анамнеза жизни и заболевания врач может предположить причину, повлекшую развитие спленомегалии. Для подтверждения диагноза и проведения дифференциальной диагностики назначают следующие инструментальные исследования:
- УЗИ селезёнки. Позволяет определить размеры и форму органа. Выявляет травмы, воспалительные процессы, новообразования и аномалии развития селезенки.
- Обзорная рентгенография брюшной полости. На снимках определяется увеличение селезенки и смещение близлежащих анатомических структур (желудка, кишечника). При рентгеноскопии селезенка подвижна и участвует в акте дыхания.
- МСКТ брюшной полости. Современный метод исследования, который позволяет получить детальное изображение органа. При локализации первичного заболевания в брюшной полости (опухоль, эхинококковая киста) данный способ помогает определить причину спленомегалии.
- Сцинтиграфия селезенки. С помощью радиоизотопного исследования можно определить функциональное состояние и очаговые изменения селезеночной паренхимы. Одновременно часто проводится сцинтиграфия печени, что может помочь в поиске причины болезни.

При ярко выраженной клинической картине с симптомами интоксикации назначают ОАК, биохимический анализ крови, ОАМ. Спленомегалию дифференцируют с доброкачественными и злокачественными образованиями, абсцессом, кистой селезенки.
Лечение спленомегалии
Тактика лечения основана на поиске и устранении причинного заболевания. При инфекционных процессах терапия проводится с учетом возбудителя болезни (антибактериальные, противовирусные, противопротозойные препараты и др.). При аутоиммунной патологии назначают гормональные средства. При гематологических заболеваниях и новообразованиях применяют противоопухолевые препараты, лучевую и химиотерапию, пересадку костного мозга. Воспалительные спленомегалии с выраженными симптомами интоксикации требуют проведения дезинтоксикационной, противовоспалительной терапии. Симптоматически назначают витамины и минеральные комплексы, обезболивающие препараты.
При больших размерах селезенки, некоторых болезнях накопления (амилоидоз, болезнь Гоше и др.), гиперспленизме, тромбозе воротной и селезеночной вен выполняют удаление органа (спленэктомию). Диета при спленомегалии предполагает отказ от жаренных, копченных, консервированных блюд, алкогольных напитков. Рекомендовано сократить употребление сдобной выпечки, грибов, кофе, шоколада, газированных напитков. Следует отдавать предпочтение нежирным сортам мяса (крольчатина, говядина), овощам (перец, капуста, свекла), крупам, фруктам и ягодам (цитрусовые, бананы, яблоки, малина и др.). Из напитков рекомендуется употреблять некрепкий чай, морсы и компоты собственного приготовления.
Прогноз и профилактика
Спленомегалия - синдром, который может свидетельствовать о серьезных заболеваниях и потому требует проведения тщательной диагностики. Дальнейшие перспективы зависят от первоначальной патологии. Прогнозирование последствий заболевания не представляется возможным из-за многофакторности данного состояния. Профилактика заключается в предупреждении развития патологии, которая приводит к формированию спленомегалии. С этой целью рекомендовано ежегодное диспансерное наблюдение, своевременное лечение острых процессов в организме и санация хронических очагов воспаления.
Гепатоспленомегалия ( Гепатолиенальный синдром )
Гепатоспленомегалия – вторичный патологический синдром, который сопровождает течение многих заболеваний и характеризуется значительным одновременным увеличением в размерах печени и селезенки. Клинические проявления зависят от патологии, которая привела к этому состоянию, общие признаки – тяжесть в подреберьях и эпигастрии, болезненность живота при пальпации. Диагностика основана на обнаружении больших размеров селезенки и печени при клиническом обследовании, проведении УЗИ и МРТ органов брюшной полости. Специфического лечения гепатоспленомегалии не существует, данный синдром разрешается на фоне терапии основного заболевания.
МКБ-10

Гепатоспленомегалия, или гепатолиенальный синдром, является одним из клинических проявлений разных патологических состояний. Чаще всего значительное увеличение печени и селезенки обнаруживается при скрининговом осмотре или обследовании пациента по поводу других заболеваний. Гепатоспленомегалия – не отдельная нозологическая единица, а лишь синдром определенной патологии. Чаще всего она встречается в возрастной группе до 3-х лет – это обусловлено увеличившейся частотой внутриутробных инфекций и онкопатологии у детей. Достаточно часто при наличии гепатоспленомегалии у пациента не обнаруживается других клинических проявлений какого-либо заболевания. Подобные случаи требуют длительного наблюдения, своевременных повторных обследований для выявления вызвавшей гепатоспленомегалию патологии.
Причины гепатоспленомегалии
Привести к гепатоспленомегалии могут заболевания гепатобилиарной системы или патология других органов. В норме край печени может пальпироваться и у здоровых людей, он острый, ровный и эластичный. При патологии свойства печеночного края меняются: при сердечно-сосудистых заболеваниях он становится округлым и рыхлым; при онкологических – твердым, бугристым. Нижний край селезенки в норме не пальпируется.
У новорожденных детей наиболее частой причиной гепатоспленомегалии является гемолитическая болезнь, у детей младшего возраста – внутриутробные инфекции и онкологическая патология. у взрослых причиной гепатомегалии могут быть различные патологические состояния. Чаще всего это:
- поражение ткани печени (острое или хроническое диффузное воспаление, формирование регенеративных узлов, фиброз, внутри- или внепеченочный холестаз, опухоли, кисты и т. д.)
- сердечно-сосудистые заболевания (хроническая сердечная недостаточность на фоне ИБС, гипертонии и пороков сердца, констриктивный перикардит, эндофлебит печеночных вен)
- паразитарные инвазии. У пациентов с гепатоспленомегалией часто обнаруживаются различные инфекционные заболевания (малярия, лейшманиоз, бруцеллез, мононуклеоз)
- аномалии сосудов печени и портальной системы.
- гемобластозы. Весьма вероятно развитие данного синдрома и при заболеваниях крови (лейкозы, тяжелые анемии, лимфогранулематоз)
- болезни накопления (гепатозы различной этиологии, гемохроматоз, амилоидоз)
В начале основного заболевания может быть увеличена только селезенка (при патологии системы крови) или только печень (при гепатитах и других заболеваниях печеночной ткани). Сочетанное поражение этих двух органов обусловлено общей системой кровоснабжения, иннервации и лимфооттока. Именно поэтому при тяжелых заболеваниях изначально может регистрироваться только гепатомегалия либо спленомегалия, а по мере прогрессирования патологии неизбежно поражаются оба этих органа с формированием гепатоспленомегалии.
Симптомы гепатоспленомегалии
Симптоматика гепатоспленомегалии во многом определяется фоновым заболеванием, которое привело к увеличению печени и селезенки. Изолированная гепатоспленомегалия характеризуется чувством тяжести и распирания в правом и левом подреберье, определением округлого образования, выступающего из-под реберной дуги (край печени или селезенки). При наличии какой-либо патологии, приводящей к гепатоспленомегалии, пациент предъявляет характерные для этого заболевания жалобы.
Быстрое увеличение печени характерно для вирусных гепатитов, онкопатологии. Выраженная болезненность печеночного края во время пальпации присуща воспалительным заболеваниям печени и злокачественным новообразованиям, а при хронической патологии появляется во время обострения либо из-за присоединения гнойных осложнений.
Значительное увеличение селезенки возможно при циррозе, тромбозе селезеночной вены. Характерным симптомом тромбоза является развитие желудочно-кишечного кровотечения на фоне выраженной спленомегалии. При варикозном расширении вен пищевода размеры селезенки, наоборот, значительно сокращаются на фоне кровотечения (это связано с уменьшением давления в системе воротной вены).
Заподозрить гепатоспленомегалию гастроэнтеролог может при обычном осмотре: во время проведения пальпации и перкуссии выявляются увеличенные размеры печени и селезенки. Такой простой метод исследования, как перкуссия (выстукивание), позволяет дифференцировать опущение органов брюшной полости от их истинного увеличения.
В норме при перкуссии печени ее верхняя граница определяется на уровне нижнего края правого легкого. Нижняя граница начинается от края Х ребра (по правой переднеподмышечной линии), далее проходит по краю реберной дуги справа, по правой парастернальной линии - ниже реберной дуги на два сантиметра, по срединной линии – на 5-6 см ниже мечевидного отростка, границы печени не выходят за левую парастернальную линию. Поперечный размер составляет 10-12 см, постепенно сужаясь к левому краю до 6-8 см.
Перкуссия селезенки может представлять определенные трудности из-за ее малых размеров и тесного соседства с желудком и кишечником (наличие газа в этих органах затрудняет выстукивание). В норме селезеночная тупость определяется между IX и XI ребром, составляет около 5 см в поперечнике, длинник не должен превышать 10 см.
Пальпация органов брюшной полости является более информативным методом. Следует помнить о том, что за увеличенную печень можно принять опухоль правой почки, толстой кишки, желчного пузыря. Эмфизема легких, поддиафрагмальный абсцесс, правосторонний плеврит могут провоцировать гепатоптоз, из-за чего нижний край органа будет пальпироваться значительно ниже края реберной дуги, хотя истинные размеры при этом не будут увеличены. Пальпация селезенки должна производиться в положении на правом боку. Имитировать спленомегалию могут опущение левой почки, опухоли и кисты поджелудочной железы, новообразования толстой кишки.
Консультация гастроэнтеролога показана всем пациентам, у которых выявлена гепатоспленомегалия. Диагностический поиск направлен на определение заболевания, которое привело к увеличению печени и селезенки. Он включает:
- Лабораторные исследования. Клинические анализы крови, биохимические пробы печени позволяют выявить поражение печеночной ткани, гематологические заболевания, вирусные гепатиты и другие инфекционные и паразитарные заболевания.
- Инструментальную визуализацию.УЗИ органов брюшной полости, МРТ печени и желчевыводящих путей, МСКТ органов брюшной полости позволяют не только точно диагностировать степень увеличения печени и селезенки при гепатоспленомегалии, но и обнаружить сопутствующую патологию других органов брюшной полости.
- Пункционную биопсию печени. В сложных диагностических ситуациях под местным обезболиванием производится прокол ткани печени тонкой иглой и забор материала для гистологического исследования. Данная методика является инвазивной, но позволяет точно установить диагноз при поражении печени.
- Ангиографию. Предполагает введение в сосуды печени и селезенки рентгенконтрастного вещества с последующей оценкой их архитектоники и портального кровотока.
- Другие пункции и биопсии. При подозрении на гематологическую патологию производится пункция костного мозга и биопсия лимфатических узлов.
Сочетание гепатоспленомегалии с изменениями печеночных проб говорит о поражении паренхимы печени, болезнях накопления. Обнаружение лимфомиелопролиферативных процессов, изменений в общем анализе крови указывает на гематологическую патологию. Характерные симптомы и клиника поражения сердечно-сосудистой системы позволяет заподозрить застойную сердечную недостаточность.

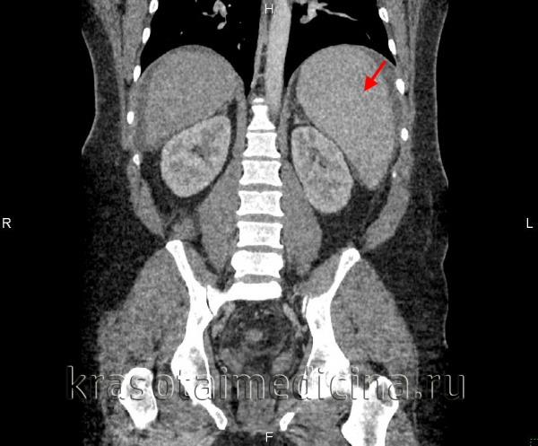
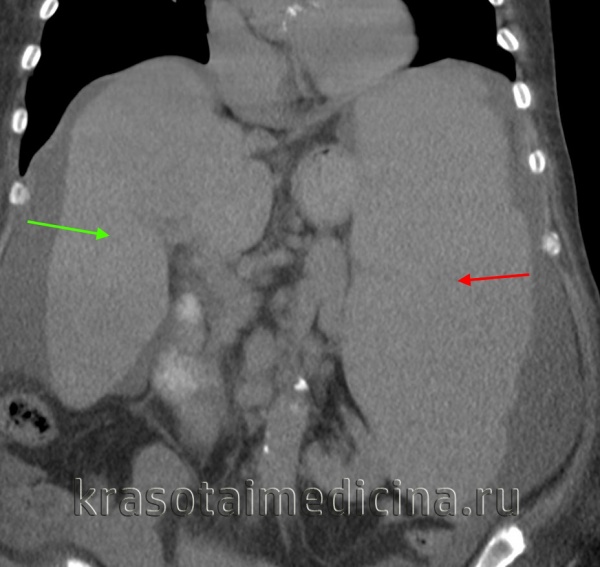
КТ ОБП. Диффузное увеличение печени (зеленая стрелка) и более выраженное увеличение селезенки (красная стрелка).
Лечение гепатоспленомегалии
При обнаружении изолированной гепатоспленомегалии, отсутствии других клинических проявлений и изменений в анализах осуществляется наблюдение за пациентом в течение трех месяцев. Если за это время размеры печени и селезенки не уменьшатся, пациент с гепатоспленомегалией должен быть госпитализирован в отделение гастроэнтерологии для тщательного обследования и определения тактики лечения. Мероприятия при гепатоспленомегалии направлены на лечение основного заболевания, также проводится симптоматическая терапия.
Для улучшения состояния пациента осуществляется дезинтоксикационная терапия – она позволяет вывести из организма ядовитые продукты обмена, которые накапливаются при нарушении функции печени. Желчегонные препараты, спазмолитики и гепатопротекторы облегчают состояние больного с гепатоспленомегалией и улучшают качество его жизни. Патогенетической терапией гепатитов является применение противовирусных и гормональных препаратов. При гематологических заболеваниях может назначаться химиотерапия, проводиться пересадка костного мозга.
Гепатоспленомегалия - грозный синдром, который требует обязательного обращения за высококвалифицированной медицинской помощью. Прогноз зависит от основного заболевания, на фоне которого развился гепатолиенальный синдром. Прогнозирование дальнейшего развития гепатоспленомегалии практически невозможно из-за многофакторности формирования этого состояния. Профилактика заключается в предупреждении развития заболеваний, которые могут привести к увеличению печени и селезенки.
Гепатоспленомегалия
Гепатоспленомегалия (гепатолиенальный синдром) представляет собой клинический признак некоторых инфекционных и соматических патологий, который характеризуется одновременным воспалением тканей селезенки и печени, увеличением их размеров и нарушением функциональной деятельности, что обусловлено общей системой иннервации, кровоснабжения и лимфо-оттока этих органов.
Причины гепатоспленомегалии

Возникновение данного патологического состояния может быть спровоцировано:
- заболеваниями гепато-билиарной, сердечной и сосудистой систем;
- злокачественными и инфекционно-воспалительными процессами;
- гемолитической болезнью;
- поражением печеночной паренхимы, ассоциированное с холестатическим синдромом, фиброзными изменениями, формированием опухолевидных образований и регенеративных узлов;
- паразитарными инвазиями;
- аномалиями сосудов портальной системы;
- гемобластозами;
- гемохроматозом;
- амилоидозом;
- гепатозами.
Симптомы
Клинические проявления гепатоспленомегалии определяет фоновый патологический процесс. В большинстве случаев пациенты жалуются на:
- чувство распирания и тяжести в подреберье;
- тошноту (вплоть до рвоты);
- отсутствие аппетита;
- общее недомогание;
- появлением выступающего из-под изгиба ребер образования;
- выраженные болезненные ощущения при ощупывании.
- желудочно-кишечное кровотечение.
Методы диагностики
Обнаружить гепатоспленомегалию не сложно – достаточно выполнить физикальный осмотр пациента, включающий пальпацию и перкуссию. Для клинического разграничения заболеваний, вызывающих данный синдром используют результаты:
1. Сбора анамнеза.
2. Консультаций гастроэнтеролога, инфекциониста, гематолога, онколога.
3. Инструментального обследования, включающего:
- ультра-сонографию брюшных органов;
- магниторезонансную томографию печени и желчных протоков;
- мульти-спиральную компьютерную томографию брюшной полости;
- ангиографию.

4. Лабораторных исследований:
- – для оценивания состояния кроветворной системы и выявления воспалительных маркеров; на печеночный комплекс; – для выявления специфических антител, действующих против инфекционных возбудителей;
- гистологического анализа биоптатов печени и лимфоузлов, полученных путем пункционной биопсии;
- цитологического анализа пунктата костного мозга;
- молекулярно-биологического анализа – для выявления генома вирусов, патогенных бактерий и паразитов.
Лечение
При гепатоспленомегалии пациент находится под медицинским наблюдением 3 месяца. Лечебные мероприятия направлены на устранение основного патологического процесса – с этой целью проводится симптоматическая и патогенетическая терапия, включающая применение:
- дезинтоксикационных, противовирусных и гормональных средств;
- спазмолитиков;
- желчегонных препаратов;
- гепато-протекторов.
Гематологические патологии требуют проведения химиотерапии, пересадки костного мозга.
Причины, симптомы, лечение и профилактика гепатоспленомегалии у ребенка

Гепатоспленомегалия – это совокупность клинических и лабораторно-инструментальных данных, обусловленных факторами, под воздействием которых возникают стойкие патологические изменения в печени и селезенке. Эти изменения происходят на всех уровнях регуляции, начиная от клеточного и заканчивая органным. Это приводит к изменению структуры органов, нарушению их функционирования.
Гепатоспленомегалия у ребенка встречается чаще, чем у взрослого человека. Это обусловлено анатомо-физиологическими особенностями детского организма.
Что такое гепатоспленомегалия у ребенка?
Гепатоспленомегалия у детей – синдром, характеризующийся увеличением печени и селезёнки. Эти органы связаны с воротной веной, у них общий источник нервной регуляции, пути лимфообращения, что объясняет сочетанное вовлечение этих органов в процесс.
Гепатоспленомегалия у детей возникает в острый период заболевания, расценивается как кратковременная физиологическая реакция на воспалительный процесс без последующей хронизации. В случае же продолжительного повреждения разрастается соединительная ткань. Это ведет к нарушению структуры и функций органа.
Данная патология не выступает самостоятельной нозологической единицей, а встречается в виде синдрома при соматических заболеваниях.
Причины гепатоспленомегалии у детей
Гепатоспленомегалия бывает врождённой и приобретённой.
Причины развития гепатоспленомегалии представлены ниже:
- Инфекционные заболевания (инфекционный мононуклеоз, бруцеллез, малярия, сифилис, альвеококкоз);
- Обменные нарушения (болезни накопления);
- Болезни крови (гемолитические анемии, лейкозы, лимфогранулематоз)
- Иммуноопосредованные состояния;
- Заболевания желчевыводящих путей, фиброзные изменения печени (гепатит, цирроз печени);
- Амилоидоз;
- Аномалии развития и кисты в селезенке;
- Изменение кровотока в системе воротной вены.
К часто встречающимся причинам относят гемолитическую болезнь новорожденных, наследственные патологии обмена веществ, инфекционные заболевания, заболевания вен селезенки, воротной вены.
Кроме того, гепатоспленомегалия бывает в норме у новорожденных детей. Такое состояние требует постоянного наблюдения.
Симптомы
Клиническая картина долгое время может иметь бессимптомное течение. Часто гепатолиенальный синдром встречается у детей первых трех лет жизни и обусловлен инфекционными процессами.
Главный симптом – непосредственно увеличение селезенки и печени. Увеличение органов имеет разную степень. Оно может быть незначительное, что редко выявляется, поскольку не тревожит пациента и не проявляется яркой клинической симптоматикой.
Умеренная гепатоспленомегалия и резко выраженная вызывают ряд симптомов, с которыми родители обращаются к врачу. К ним относятся следующие:
- увеличение печени и селезенки, выявляемое при физикальном обследовании;
- появление болей в правом и левом подреберьях;
- тянущие боли;
- увеличение лимфатических узлов;
- носовые кровотечения;
- желтуха (иктеричность кожных покровов, изменение цвета мочи);
- асцит.
Выделяют три степени изменений органов.
Кроме того, по течению гепатоспленомегалия классифицируется как:
- Острая (не более одного месяца);
- Подострая (до трех месяцев);
- Хроническая.
Диагностика заболевания основывается на следующих данных:
- Жалобы.
- Анамнез жизни и заболевания.
- Физикальное обследование (пальпация, перкуссия).
- ОАК.
- ОАМ для выявления сопутствующих патологий и хронических заболеваний.
- Серодиагностика при подозрении на инфекционную природу гепатоспленомегалии.
- Биохимический анализ крови.
- Определение сывороточных маркеров фиброза (гиалуроновая кислота, матриксные металлопротеиназы).
- УЗИ брюшной полости с цветным дуплексным картированием.
- МРТ.
- Фиброэластография.
- Биопсия печени с последующим гистологическим исследованием биоптата.
- КТ.
Лечение гепатоспленомегалии у детей
Гепатоспленомегалия – не самостоятельное заболевание, поэтому лечение, в первую очередь, должно быть симптоматическим, а после проведения тщательного обследования – этиопатогенетическим, направленным на конкретную причину, повлекшую за собой увеличение органов.
2. Антибактериальные препараты;
3. Гормональная терапия;
7. Проведение внутривенной инфузионной терапии для устранения явлений интоксикации;
8. Противоглистные лекарственные препараты;
9. Спазмолитическая, обезболивающая терапия (НПВС, наркотические анальгетики);
Медикаментозное лечение назначается исключительно после проведения диагностических процедур и строго по показаниям врача.
Кроме того, небольшой процент составляют хирургические вмешательства. Проведение операции пациенту показано при развитии гнойных абсцессов в печени с целью их дренирования, при патологии желчевыводящей системы, требующей хирургического лечения.
Гепатоспленомегалия у детей без установленной этиологии и другой симптоматики на момент обследования требует амбулаторного наблюдения.
В случае же появления дополнительных симптомов и сохранения увеличения органов на протяжении более 3 месяцев необходима госпитализация ребенка в стационар.
Профилактика
Профилактические мероприятия гепатолиенального синдрома неспецифичны. К ним относят:
- контроль родителями состояния здоровья ребенка;
- соблюдение правил личной гигиены;
- ведение здорового образа жизни;
- профилактика сезонных заболеваний (ОРВИ, грипп);
- продолжительные прогулки на свежем воздухе;
- рациональное питание;
- проведение процедур, направленных на повышение иммунитета;
- раннее обращение к врачу и лечение заболеваний у ребенка;
- ограничение эмоциональных нагрузок.
Гепатоспленомегалия у ребенка: код по МКБ-10
Таким образом, гепатолиенальный синдром развивается при патологических процессах в печени и может быть признаком опасных для ребенка заболеваний. Его своевременная диагностика необходима для того, чтобы скорректировать терапию и тактику ведения пациента, таким образом улучшив прогноз заболевания.
Читайте также:
- Соматосенсорная обратная связь. Стимуляция спинальных мотонейронов
- Пробы с дозированными физическими нагрузкам. Спирография с физической нагрузкой
- Пищевое отравление ботулинотоксином (Clostridium botulinum) и его лечение
- Обзор сниженного эритропоэза
- Гликогеноз Кори, Андерсена, Мак-Ардла. Болезнь Херса, Томсона, Таруи
