Глиосаркома на МРТ
Добавил пользователь Евгений Кузнецов Обновлено: 02.11.2025
Глиосаркома – согласно классификации ВОЗ от 2016 года, является первичным (в большинстве случаев) новообразованием IV степени злокачественности и наиболее редким гистологическим вариантом глиобластомы, характеризующаяся идентичным агрессивным ростом, резистентностью к химио- и лучевой терапии и имеющая худший прогноз. Данный тип опухоли представлен бинарной клеточной структурой, глиальной и саркоматозной (мезенхимальной\соединительнотканной), при этом глиальный компонент идентичен классической глиобластоме, саркоматозный - по мнению ряда авторов является следствием злокачественной трансформации пролиферирующих опухолевых сосудов, однако существуют цитогенетические и молекулярные доказательства моноклонального происхождения как глиального, так и мезенхимального компонентов.
Частота встречаемости глиосарком составляет от 1% до 8% от всех злокачественных глиом, пик встречаемости 4-6 декады жизни с преобладанием мужской популяции, с медианой выживаемости около 9 месяцев. Глиосаркомы имеют общие и практически не отличимые визуализационные характеристики в сравнении с классическими глиобластомами и в большинстве случаев диагноз устанавливается после иммуногистохимического исследования. Стоит отметить, что глиосаркома обладает более высокой тенденцией к экстракраниальному метастазированию (наблюдаются в 30% случаев), последние включают висцеральные органы и спинной мозг.

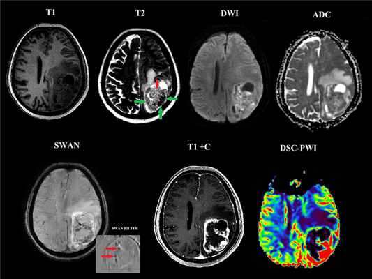
МРТ исследования головного мозга и DSC-перфузия. В левой теменной области интрааксиальное кистозно-солидное образование, с близким прилежанием к ТМО, окруженное выраженной зоной перифокального отека и масс-эффектом. При анализе Т2 последовательности, данная опухоль характеризуется наличием двухкомпонентной структуры, гипоинтенсивной более плотной (зеленые стрелки) и гиперинтенсивной (красная стрелка) клеточной. Отмечается выраженное и гетерогенное накопление парамагнетика опухолью на постконтрастных изображениях, а так же наличия диспластически расширенных сосудов с кровоизлияниями в структуре данной массы на последовательностях SWAN. На перфузионных картах образование демонстрирует высокие значения относительного мозгового кровотока опухоли (превышающие нормальные значения в 7-8 раз).

Глиосаркома (послеоперационный препарат), окраска гематоксилином и эозином, увеличение х10. Глиальная часть демонстрирует выраженный ядерный полиморфизм и клеточную атипию. Саркоматозная часть представлена веретеновидной формы клетками с ретикулиновыми волокнами (соединительная (мезенхимальная) ткань).

Маркер GFAP (cпецифичный глиальный фибриллярный кислый белок) – демонстрирует характерную выраженную экспессию в глиальной части опухоли (желтая стрелка) и полное отсутствие экспрессии в саркоматозной (красная стрелка). Кроме того в данном микропрепарате стоит отметить отчетливое преобладание саркоматозной части над глиальной.

N.В.! В зависимости от количества саркоматозной и глиальной ткани отмечаются вариации, при этом если саркоматозная ткань преобладает, то опухоль подобна метастазу (хорошо отграниченная и плотная), в случае превалирования астроцитарного(нейроглиального) компонента опухоль идентична классической глиоблатоме (Louis DN, Ohgaki H).
Глиосаркома должна быть включена в дифференциальный ряд любой опухоли, которая, по-видимому, является интрааксиальной, но при этом «интимно» прилежит к твердой мозговой оболочки и демонстрирует гетерогенные визуализационные характеристики на T2-взвешенных изображениях.
Компания MEDTRADE имеет большой опыт в поставке высокотехнологичного оборудования. От подбора и проектирования, до ввода в эксплуатацию и обучения персонала. Радиологическое оборудование представлено в разделах: Рентген аппараты и Компьютерные томографы. Вас также могут заинтересовать Магнитно-резонансные томографы.
Глиосаркома
Глиосаркома - вариант глиобластомы (наряду с эпителиоидной и гигантоклеточной глиобластомами), выделяемый в текущей классификации опухолей ЦНС ВОЗ (2016) [9]. Являются высокозлокачественными (IV степень злокачественности по ВОЗ) первичными интрааксиальными новообразованиями как с глиальным, так и с мезенхимальным компонентами.
Терминология
Источником подавляющего большинства глиосарком являются астроцитомы IV степени злокачественности по ВОЗ (глиобластомы). Реже источниками данной опухоли являются эпендимомы или олигодендроглиомы; в этих случаях их можно обозначить "эпендимосаркома" и "олигосаркома" соответственно [9].
Эпидемиология
Наибольшая частота наблюдается у людей в возрасте примерно 60 лет, с предрасположенностью у мужчин (М:Ж = 1.8:1) [1, 9]. В большинстве случаев опухоли первичные, однако у пациентов с резекцией глиобластомы или краниальной лучевой терапией в анамнезе возможно появление вторичных.
Патология
Глиосаркомы очень схожи с глиобластомами, за исключением наличия саркоматозного компонента. Несмотря на сочетание глиального и мезенхимального компонентов, имеются основания полагать, что их источником является солитарная клетка-предшественница [9].
Наиболее распространенной локализацией являются большие полушария, с некоторой предрасположенностью к височным долям.
Макроскопические признаки
Варьируют в зависимости от относительного содержания саркоматозной и астроцитарной составляющих. Если саркоматозной ткани больше, то опухоль больше похожа на метастазы, хорошо ограниченная и плотная. В случае превалирования астроцитарного компонента опухоль идентична глиобластоме [9].
Микроскопические проявления
Микроскопически данный тип опухоли имеет и астроцитарный компонент (как и глиобластома), так и саркоматозный, с различной степенью дифференцировки клеток, обычно с эпителиальным компонентом с образованием плоскоклеточных или железоподобных структур. Иногда встречается дифференцировка клеток в другие типы тканей (хрящевую, костную, жировую, мышечную) [9].
Иммунофенотипические особенности
Иммуногистохимические особенности являются отражением бифазного микроскопического строения, которое заключается в наличии астроцитарного (GFAP-положительный) и саркоматозного компонентов.
Генетика
Большинство глиосарком содержат IDH дикого типа. Однако, могут иметься мутации в TP53 и PTEN, а также делеция CDKN2A. Амплификация гена EGFR обычно отсутствует [9].
Диагностика
В своих проявлениях глиосаркомы очень схожи с глиобластомами. Представляют собой обширные периферически распложенные образования с возможностью прямой инвазии в твердую мозговую оболочку или с наличием реактивного утолщения ТМО (дуральный хвост) 6.
Компьютерная томография
На КТ глиосаркомы могут выглядеть как круглые, дольчатые, гиперденсные, солидные, четко ограниченные образования (из-за наличия саркоматозного компонента [5]). Могут относительно равномерно накапливать контрастное вещество; возможно наличие перитуморального отека.
- Т1: гетерогенное и гипоинтенсивное объемное образование;
- Т2: гетерогенные сигнальные характеристики вследствие наличия некротического или геморрагического компонентов;
- Т1 С+ (Gd): тонкое, нерегулярное кольцевидное накопление контрастного вещества [8].
Ангиография
Возможно наличие смешанного кровоснабжения опухоли - из дуральных и пиальных артерий [3]. Также возможно наличие раннего кортикального венозного дренажа, нерегулярных опухолевых сосудов и заметной сосудистой сети с четко определенными границами опухоли.
Лечение и прогноз
Прогноз неблагоприятный, как и у всех глиобластом. Возможно экстракраниальное метастазирование (в 30% случаев).
Глиосаркома на МРТ
Глиосаркома на МРТ
а) Терминология:
• Редкий вариант глиобластомы с глиальным и мезенхимальным компонентами
• Может быть первичной или вторичной (саркоматозный рост в рецидивирующей глиобластоме [МГБ])
б) Визуализация:
• Гетерогенно контрастируемое объемное образование с инвазией твердой мозговой оболочки, ± вовлечением костей черепа
• Может быть неотличима от МГБ
• Височные > теменные > лобные > затылочные доли
• Объемное образование гетерогенной структуры за счет наличия геморрагического, некротического компонентов
• Гетерогенный характер контрастирования по типу неравномерного толстого кольца вокруг центрального некроза
в) Дифференциальная диагностика глиосаркомы:
• Глиобластома (МГБ)
• Метастатическое поражение
• Гемангиоперицитома
• Злокачественная менингиома
(а) На рисунке коронального среза показано периферически локализованное объемное образование с инвазией в твердую мозговую оболочку и прилегающие кости черепа.
Образование имеет гетерогенную структуру за счет некротического компонента. Указанные признаки характерны для глиосаркомы. За счет инфильтративного характера роста опухоли также наблюдается вовлечение мозолистого тела.
Инвазия в твердую мозговую оболочку с возможным вовлечением костей черепа помогает отличить этот вариант глиобластомы (МГБ) от типичной МГБ.
(б) МРТ, постконтрастное Т1-ВИ, аксиальный срез: в лобной доле определяется толстое периферийное контрастирование гетерогенного объемного образования с его инвазией в твердую мозговую оболочку, что характерно для глиосаркомы. (а) МРТ, Т2-ВИ, аксиальный срез: у мужчины 57 лет в правой лобной доле определяется гетерогенное объемное образование.
(б) МРТ, постконтрастное Т1 -ВИ, режим подавления сигнала от жира, аксиальный срез: у тою же пациента определяется неоднородный ободок контрастирования вокруг центральной области понижения сигнала вследствие некроза. При отсутствии вовлечения твердой мозговой оболочки глиосаркома неотличима от типичной МГБ.
Обе эти опухоли IV степени злокачественности по классификации ВОЗ (grade IV) объединяет неблагоприятный прогноз.
г) Патология:
• Предполагается, что саркоматозные компоненты развиваются из измененных сосудистых компонентов МГБ
• Степень злокачественности IV по классификации ВОЗ (grade IV)
д) Клиническая картина глиосаркомы:
• Наиболее частые симптомы при манифестации: головная боль, судорожный синдром, очаговые неврологические симптомы
• Обычно пятое или шестое десятилетие жизни
• Прогноз неблагоприятный, средняя выживаемость 6-12 месяцев
• Часто экстракраниальные метастазы (15-30%)
• Лечение: хирургическое с последующей адъювантной лучевой терапией, химиотерапией
е) Диагностическая памятка:
• Предполагайте глиосаркому при обнаружении периферического объемного образования с инвазией в твердую мозговую оболочку
Глиобластома головного мозга
Глиобластома головного мозга – злокачественное образование, отличающееся агрессивным развитием. Редкая патология, среди онкологических больных диагностируется 1 раз на 1000 случаев. Свое начало опухоль берет в клетках головного мозга, которые называются глии. На фоне нарушения их деятельности начинается активное деление клеток, в том числе и в рядом расположенных – именно так развивается злокачественный процесс. Чаще всего глиобластома локализуется в височной и лобной частях головного мозга, но иногда диагностируется в мозжечке, спинном мозге и стволе головного мозга.

Различают 3 вида злокачественной опухоли:
- глиосаркома – образование представляет собой скопление саркоматозных компонентов;
- гигантоклеточная глиобластома – характеризуется наличием клеток с множественными ядрами;
- мультиформная глиобластома – отличается быстрым некрозом, потому что опухоль усиленно снабжается кровью.
Также классифицируется глиобластома на первичную и вторичную. В первом случае речь идет о стремительно развивающейся опухоли (максимум за 3 месяца до критического состояния), чаще диагностируется у мужчин старшего возраста. Вторичная глиобластома формируется из доброкачественных опухолей, чаще выявляется у женщин среднего, старшего возрастов.
Конкретных причин развития злокачественного процесса в клетках головного мозга нет, но врачи выделяют несколько провоцирующих факторов:
- мутации на клеточном уровне врожденного характера;
- радиоактивное облучение;
- вирусные заболевания – цитомегаловирус, герпес шестого типа, полимавирус;
- наличие в анамнезе синдрома Туркота;
- ранее диагностированный туберозный склероз;
- нейрофиброматоз в анамнезе.
Симптомы, признаки глиобластомы головного мозга
Симптомы глиобластомы проявляются рано, поэтому диагностировать ее на ранней стадии не представляет трудностей. Врачи выделяют несколько первичных признаков заболевания:
- головные боли, которые не снимаются даже сильными обезболивающими препаратами;
- спонтанные головокружения;
- тошнота и рвота вне зависимости от приема пищи или употребления алкогольных напитков;
- подавленное настроение без видимых причин для этого.
По мере роста глиобластома начинает оказывать давление на определенные участки головного мозга и клиническая картина становится более расширенной. Добавляются специфические симптомы:
- судороги;
- ухудшение остроты зрения и слуха;
- галлюцинации;
- проблемы с координацией;
- паралич конечностей;
- нарушение речи.
Сначала симптомы глиобластомы появляются периодически, больной отмечает повышенную сонливость, быструю утомляемость, понижение работоспособности. Затем признаки глиобластомы беспокоят в постоянном режиме, что означает активный рост образования.
Онкология головного мозга (глиобластома): методы диагностики
Важно выявить проблему на ранней стадии развития, тогда шансы на выздоровления повышаются в разы. Как только появляются первичные симптомы глиобластомы, стоит обратиться за помощью к специалистам для прохождения полноценного обследования. При подозрении на глиобластому врачи назначают КТ головного мозга – это современный метод лучевой диагностики. Врач сможет оценить состояние кровотока даже в самых мелких кровеносных сосудах головного мозга. Выполняется с применением контрастного вещества, которое вводится в периферическую вену.
КТ головного мозга является информативным методом диагностирования глиобластомы, потому что эта процедура:
- дает послойное изображение всех структур головного мозга;
- выполняется быстро и доступна каждому пациенту;
- не требует сложной подготовки перед началом исследования;
- помогает оценить размеры, локализацию, форму и степень распространенности опухоли головного мозга.
При подозрении на опухоль головного мозга, врачи используют при обследовании пациента и другие диагностические процедуры:
- магнитно-резонансная томография – информативна при глиобластоме спинного мозга, помогает оценить состояние структур центральной нервной системы;
- биопсия – забор небольшого фрагмента опухоли для дальнейшего гистологического исследования в лабораторных условиях;
- спектроскопия магнтино-резонансного вида – дает возможность получить данные о протекающих обменных процессах в клетках головного мозга;
- люмбальная пункция – для лабораторного исследования берется жидкость спинного мозга;
- электроэнцефалография – специальным оборудованием снимаются данные об активности головного мозга.
Все вышеперечисленные диагностические мероприятия проводятся при выраженной клинической картине.
Лечение глиобластомы головного мозга
Если глиобластома головного мозга диагностирована на 4 стадии развития, то лечение будет нецелесообразным. Врачи назначают поддерживающую терапию, чтобы облегчить симптомы при глиобластоме и на некоторое время продлить жизнь больного. Но на остальных 3 стадиях лечение может дать отличные результаты. Чаще всего назначают:
- . Хирург может удалить опухоль полностью или частично, важно не повредить здоровые ткани головного мозга или сделать это минимально и тогда шансы на полное восстановление здоровья и возврат к активной жизни очень большие.
Хирургическое вмешательство показано и на 3 стадии заболевания, но выполняется оно в качестве паллиативного лечения. Врач осуществляет шунтирование, что позволяет стабилизировать внутричерепное давление и сохранить функциональность головного мозга.
- Химиотерапия и лучевая. Практикуются только в качестве дополнительного лечения после операции по удалению глиобластомы головного мозга. Если пациент находится в возрасте до 65 лет, то ему показана химиотерапия, более старшим рекомендуют лучевую. Побочные эффекты достаточно выраженные, но врачам хорошо известно, как с ними бороться. Такое лечение минимизирует вероятность развития рецидива.
Иногда глиобластома локализуется в труднодоступных местах головного мозга и тогда врачи могут отказаться от проведения хирургического вмешательства.
Инновационный метод лечения в рамках клинического исследования.
Команда врачей НМИЦ радиологии во главе с А.Д. Каприным в составе 20 человек (нейрохирурги, анестезиологи, реаниматологи, кардиохирурги, перфузиологи сразу пяти научных медицинских институтов) провели первую в мире процедуру изолированной перфузии головного мозга пациентке с диагнозом «глиобластома». За счет особого строения и структуры тканей головного мозга опухоли данной локализации, к которым в том числе относят глиобластомы, крайне сложно поддаются лечению. Суть инновационного метода заключается в том, что во время медицинской манипуляции головной мозг кровоснабжается отдельно от тела с помощью аппарата искусственного кровообращения. На этом этапе к органу доставляются концентрированные дозы химиопрепарата, губительные для опухоли, но безопасные для самого органа. После того, как токсичность снижается, орган вновь подключается к общей системе кровообращения.
Прогнозы заболевания
Болезнь имеет крайне неблагоприятные прогнозы, хотя многое зависит от классификации глиобластомы головного мозга. Если врачами была проведена операция по удалению опухоли, то выживаемость составляет максимум 5 лет, но чаще 1-2 года. Если лечение будет полностью отсутствовать, то продолжительность жизни пациента сокращается до 3 месяцев.
Полное выздоровление возможно, если глиобластома была диагностирована на 1 и 2 стадии развития. Но это зависит от того, полностью или частично была удалена опухоль, были ли повреждены здоровые ткани головного мозга.
Глиобластома – агрессивная болезнь, которая может поражать разные части головного мозга. Но отчаиваться не стоит! Во-первых, симптомы новообразования специфичны, во-вторых, ранняя стадия отлично лечится путем операции и дальнейшей терапии. Нужно лишь вовремя обратиться для обследования в клинику – врачи воспользуются современными методами диагностики и смогут сохранить жизнь пациенту.
Филиалы и отделения, в которых лечат глиобластому головного мозга
МНИОИ им. П.А. Герцена – филиал ФГБУ «НМИЦ радиологии» Минздрава России.
Отделение нейроонкологии
Заведующий – к.м.н. ЗАЙЦЕВ Антон Михайлович
Отдел лучевой терапии
Заведующий - д.м.н. ХМЕЛЕВСКИЙ Евгений Витальевич
Лечение глиосаркомы за рубежом
Глиосаркома – это агрессивная злокачественная опухоль центральной нервной системы. Она быстро распространяется на другие области ЦНС через спинномозговую жидкость. Новообразование является подвидом глиобластомы. Оно преимущественно локализуется в головном мозге. Без своевременной диагностики прогнозы неутешительные. Как справляются с этой патологией за границей и куда чаще всего обращаются пациенты, чтобы противостоять недугу – читайте в статье международной медицинской платформы MediGlobus.
Слушать статью:
Как диагностируют глиосаркому головного мозга за границей?

Глиосаркома относиться к редким злокачественным опухолям ЦНС, состоящим из глиального и саркоматозного компонентов. На ее долю приходится менее 0,6% первичных новообразований мозга и около 2% всех глиобластом.
Заболевание преимущественно возникает у пациентов 40-60 лет. Мужчины страдают от недуга чаще, чем женщины. К основным симптомам патологии относиться головная боль, головокружения, судороги, нарушение памяти и мышления.
Для диагностики глиосаркомы назначают комплекс обследований, который включает магнитно-резонансную или компьютерную томографии, а также ПЭТ-КТ, биопсию и лабораторные тесты. Диагноз подтверждает микроскопическое исследование биоптата – небольшого количества клеток новообразования.
На МРТ глиосаркома имеет нечеткие границы и при контрастировании выглядит светлее, чем другие области. Она возникает рядом с поверхностью головного мозга и примыкает к его оболочке. Также возможна локализация раковых клеток в спинном мозге.
Для организации онкологического обследования за границей, обращайтесь к врачам-координаторам MediGlobus. Наши специалисты подберут оптимальную программу диагностики в клинике, подходящей под Ваши требования.
Преимущества медицинской помощи при глиосаркоме за рубежом
Быстрая и точная диагностика глиосаркомы. Такие опухоли способны стремительно увеличиваться в размерах. Чтобы предупредить их распространение, необходимо как можно быстрее провести обследования. Благодаря передовому медицинскому оборудованию (МРТ 3 Тесла, ПЭТ-КТ), точность постановки диагноза за границей превышает 99%. При этом на получение результатов нужно менее 3-4 дней.
Доступ к передовым методам лечения. За границей используют классические и передовые методики борьбы с глиосаркомами. Здесь есть радиохирургические системы Кибер-Нож, Гамма-Нож и роботы да Винчи. Они позволяют безопасно для пациентов удалять злокачественные образования, расположенные в сложнодоступных местах.
Врачи с многолетним опытом борьбы с глиосаркомами. Здесь практикуют доктора, которые провели сотни успешных операций на мозге. Они активно используют в своей работе роботизированные установки, системы нейронавигации и эндоскопическую технику. Подобное оборудование снижает операционные риски для пациентов, сокращает срок реабилитации и увеличивает эффективность лечения.
За рубежом онкопациентами занимается мультидисциплинарная команда врачей, среди которых онкологи, нейрохирурги, радиологи, химиотерапевты и т.д. Для каждого больного они вместе разрабатывают персональный план лечения, который соответствует международным протоколам.
Читать: ТОбзор 4 уникальных методов борьбы с раком мозга
Какие методы доступны за границей для лечения глиосаркомы?

Глиосаркома – агрессивная опухоль и одной операции для борьбы с ней недостаточно. Программа онкотерапии недуга предполагает комплексный подход. Первоначальным лечением является операция. Ее выполняют открытым и малоинвазивным путем. Выбор техники проведения вмешательства обусловлен локализацией и размерами новообразования.
Для удаления крупных глиосарком прибегают к краниотомии – вскрытию черепной коробки с последующей резекцией патологических клеток. После удаления максимального объема раковых клеток отверстие закрывается пластиной и накладываются швы.
При мелких глиосаркомах операцию проводят при помощи эндоскопического оборудования или робота да Винчи. Через крошечные разрезы и отверстия в черепе хирурги удаляют новообразования с минимальными рисками осложнений. Примерно в 97% случаев такие операции проходят без побочных эффектов в виде неврологического дефицита.
После резекции глиосаркомы назначают лучевую или/и химическую терапии, а также таргетные препараты. Радиотерапия рекомендована большинству пациентов с данной онкопатологией. Длительность и режим облучения или химии рассчитывается для каждого пациента в индивидуальном порядке.
За границей доступны установки для радиотерапии последнего поколения, в частности RapidArc. Такие системы дают возможность разрушать опухоль, не затрагивая здоровые ткани. Благодаря прицельному воздействию длительность сеанса сокращается, а интенсивность облучения остается на высоком уровне.
Глиосаркомы начальной стадии поддаются лечению при помощи радиохирургии Гамма-Нож и Кибер-Нож. Онкоклетки удается разрушить всего за одну процедуры. При этом нет необходимости в инвазивном вмешательстве, наркозе и госпитализации. Пациент покидает клинику в тот же день.
Читать: Эффективные методы лечения глиобластомы
Выживаемость при глиосаркоме головного мозга
Относительная 3-летняя выживаемость при глиосаркоме составляет около 10%. Однако этот показатель варьирует в зависимости от многих факторов. Это – характеристики опухоли, возраст и состояние здоровья онкобольного, а также ответ на лечение. Согласно данным критериям, прогнозы следующие:
Средняя продолжительность жизни пациентов младше 50 лет составляет 15-20 месяцев по сравнению с 7 месяцами для тех, кому на момент постановки диагноза было больше 50-ти.
Прогноз выживаемости больных, которые не подвергались хирургическому вмешательству, составляет всего 4 месяца. После иссечения образования средний показатель жизни увеличивается до 7–11 месяцев.
Пациенты с глиобластомой 4 степени, не получившие адъювантной лучевой терапии, живут примерно 4 месяца. У больных, прошедших радиотерапию данный показатель увеличивается примерно на 10 месяцев.
Ведущие специалисты по борьбе с глиосаркомой за границей
Профессор Тунч Октенолу
Нейроонколог Университетского госпиталя Коч. Он специализируется на минимально инвазивной и радиационной хирургии головного мозга. В своей практике активно применяет Кибер-Нож. Опыт работы доктора Октенолу превышает 25 лет.
Доктор Уриэль Вальд
Ведущий нейрохирург Израиля. Он возглавляет отделение нейрохирургии в клинике Ассута. Доктор специализируется на малоинвазивной хирургии рака мозга у детей и взрослых. Опыт его работы превышает 30 лет.
Доктор Бартоломе Оливер
Топ-специалист Испании по нейрохирургии. Он занимает должность главы нейрохирургического отделения клиники Текнон. Доктор выполняет операции на головном мозге при помощи эндоскопического и роботизированного оборудования. Он ежегодно проводит более 200 хирургических вмешательств у пациентов всех возрастов. Опыт работы Бартоломе Оливера превышает 45 лет.
Профессор Даг Москопп
Именитый нейрохирург Германии. Он заведует нейрохирургическим отделением клиники Вивантес. Доктор вместе с другими специалистами издал “Справочник по нейрохирургии”. Он проводит микрохирургические операции на позвоночнике и мозге, а также занимается консервативным лечением внутричерепных опухолей. Опыт работы доктора превышает 30 лет.
Где лечат глиосаркому за рубежом?
Для борьбы с глиосаркомой медицинские туричты выбирают крупные онкоцентры и ведущие клиники Турции, Германии, Испании, Израиля, Кореи и Китая. Особой популярностью пользуются следующие медицинские учреждения:
Клиника Медистейт
Читать о клинике →

Университетский госпитал Коч
Читать о клинике →

Больница Текнон
Читать о клинике →

Униклиника Наварры
Читать о клинике →

Госпиталь СунЧонХян
Читать о клинике →

Медицинский центр Ихилов
Читать о клинике →

Университетская клиника Кельна
Читать о клинике →

Онкологический центр Фуда
Читать о клинике →

Резюме
Глиосаркома – агрессивная редкая опухоль центральной нервной системы. Она характеризуется стремительным прогрессированием и неблагоприятными прогнозами. Мужчины страдают от этого недуга больше, чем женщины. Пик заболеваемости приходится на возраст 40-60 лет.
Основой лечения глиосаркомы считается резекция. Для удаления новообразования используют как открытые техники, так и минимально инвазивные. Выбор способа удаления глиосаркомы зависит от ее размеров и локализации. Крупные новообразования удаляют посредством краниотомии, а мелкие – эндоскопически или роботизировано. После операции назначают радиотерапию и химию. На начальной стадии глиосаркомы возможно удаление Кибер- или Гамма-Ножом.
Средняя 3-летняя выживаемость при глиосаркоме составляет около 10%. Этот показатель зависит от характеристик опухоли, реакции на лечение, возраста и состояния здоровья пациента.
Лидерами в области нейрохирургии за границей считаются такие медицинские центры, как: Медистейт, Коч, Текнон, Вивантес, Фуда, СунЧонХян, Ихилов, Шиба, униклиника Кельна. В этих учреждениях практикуют лучшие специалисты по нейрохирургии: доктор Уриэль Вальд, Бартоломе Оливер, Даг Москопп, Тунч Октенолу.
Чтобы поехать на лечение глиосаркомы за границу, заполняйте форму обратной связи. Мы перезвоним вам в самые кратчайшие сроки. Наши координаторы помогут с выбором доктора, клиники и организацией поездки.
Читайте также:
