Гриппозная пневмония. Пневмония с положительной реакцией Вассермана.
Добавил пользователь Валентин П. Обновлено: 22.11.2025
- Аденовирусы как причина болезней, классифицированных в других рубриках (B97.0);
- Заболевания, связанные с гриппом (J09 , J10.0 , J11.0);
- Пневмонии уточненные/ неуточненные по иному возбудителю или морфологии (J12.1 - J18.9);
- Пневмонит, вызванный твердыми веществами и жидкостями (J69);
- Интерстициальная легочная болезнь, неуточненная (J84.9);
- Легочные осложнения анестезии в период беременности (O29.0);
- Аспирационный пневмонит, вследствие анестезии во время процесса родов и родоразрешения (O74.0);
- Легочные осложнения вследствие применения анестезии в послеродовом периоде (O89.0);
- Врожденная пневмония (P23.0, Р23.8, Р23.9);
- Неонатальный аспирационный синдром неуточненный (P24.9);
- Тяжелый острый респираторный синдром (SARS) неуточненный (U04.9).
Этиология и патогенез
Аденовирусы (Ads) относятся к ДНК-содержащим вирусам. Семейство Adenoviridae состоит из четырех родов (Mastadenovirus, Atadenovirus, Aviadenovirus и Siadenovirus) и включает аденовирусы человека, животных и птиц (у человека аденовирусы вызывают заболевания, животные и птицы выступают их естественными хозяевами).
Аденовирусы человека ( Mastadenovirus) играют неодинаковую роль в инфекционной патологии:
1. Острую инфекцию дыхательной системы и глаз (бронхит, пневмония, конъюнктивит) вызывают аденовирусы серотипов 3, 7, 14, 21, 34, 35 группы B, серотипы 1, 2, 4 группы C.
2. Фатальная пневмония вызывается серотипами 3, 7, 14, 21, 30. Встречается крайне редко, чаще у новорожденных.
3. В развитии тяжелых пневмоний, бронхитов и бронхиолитов у больных с хроническими заболеваниями и иммунодефицитным состоянием (в том числе и ВИЧ-инфицированных) установлена роль аденовирусов серотипов 34, 35, 7, 11 группы B, серотипов 1, 2, 5, 21 группы C и серотипа 31 группы A. Кроме того, у последних изолированы аденовирусы серотипов 8, 22, 29, 30, 37, 43, 44, 45, 46, 47 группы D.
Цитопатогенное действие вирусов в эпителиальных клетках обуславливает развитие дегенеративных процессов, в тяжелых случаях - некроза эпителия.
Эпидемиология
Факторы и группы риска
Для иммунокомпетентных пациентов:
- возраст младенческий или ранний школьный;
- взрослые люди в закрытых коллективах (призывники, заключенные, дома престарелых);
- дети в детских садах и школах;
- наличие хронических заболеваний бронхолегочной и/или сердечно-сосудистой систем;
- беременность (б еременные женщины имеют более высокий риск развития пневмонии, чем другие женщины).
Для иммунокомпрометированных пациентов:
- ВИЧ инфекция;
- операция трансплантации;
- применение иммуносупрессоров;
- лучевая терапия;
- тяжелые ожоги;
- недостаток питания (истощение);
- некоторые заболевания кожи.
Клиническая картина
Клинические критерии диагностики
сопутствующие бронхит, бронхиолит, конъюктивит, "классическая" клиника бронхопневмонии с относительно медленным развитием
Cимптомы, течение
Развивается и протекает как типичная вирусная бронхопневмония с дебютом в виде бронхита, бронхиолита.
В случае развития пневмонии на фоне бронхита состояние больного ухудшается, нарастают интоксикация и одышка, усиливается кашель. В легких перкуторный звук - коробочный (вследствие развития эмфиземы ), при аускультации выслушиваются сухие и разнокалиберные влажные хрипы.
Наиболее тяжело болеют дети раннего возраста. Отличительной особенностью является более частое присоединение конъюнктивита . В целом аденовирусному заболеванию свойственно длительное волнообразное течение.
Вопрос наличия изолированных вирусных пневмоний является спорным и признается не всеми авторами, поскольку, как правило, к заболеванию почти сразу же присоединяется бактериальная инфекция.
Диагностика
Пневмония обычно распознается на основании характерной клинической картины болезни - совокупности ее легочных и внелегочных проявлений, а также рентгенологической картины.
2. Компьютерная томография высокого разрешения применяется в сомнительных случаях.
3. Фибробронхоскопия или другие методы инвазивной диагностики выполняются при подозрении на туберкулез легких при отсутствии продуктивного кашля; при "обструктивной пневмонии" на почве бронхогенной карциномы, аспирированного инородного тела бронха и т.д.
Лабораторная диагностика
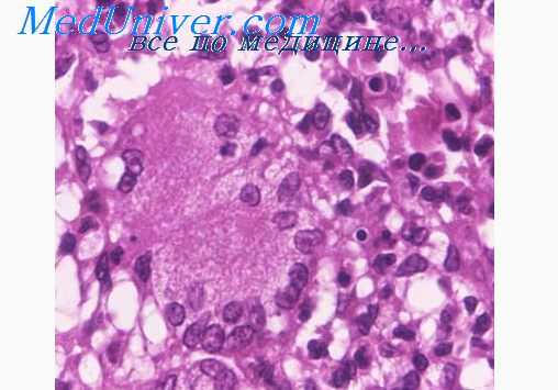
1. Биопсия ткани и микроскопия мокроты. Наблюдается гистологическая картина облитерирующего бронхиолита. Отмечаются специфические для аденовирусов вирусные и интрацитоплазматические внутриядерные включения с положительным иммуногистохимическим окрашиванием. Внутриядерные включения окружены ореолом, что может препятствовать визуализации ядерной мембраны, в результате чего изображение может быть нечетким. Подобное "нечеткое" изображение клеток является классическим для аденовирусной инфекции.
2. Культура: аденовирус является стабильным в обычной вирусной транспортной среде, в том числе в образцах из носоглотки, образцах мокроты и нефиксированных биопсийных образцах. Вероятность обнаружения повышается, если образцы собраны в начале заболевания и своевременно отправлены в охлажденном или замороженном виде в соответствующую лабораторию.
Многие серотипы аденовирусов могут быть выделены в культуре клеток, обычно использующихся в диагностических вирусологических лабораториях, но несколько типов (40 и 41) не растут в привычных культуральных средах. Первичные человеческие эмбриональные клетки почек поддерживают рост многих требовательных серотипов аденовирусов, но дополнительные затраты в этом случае могут оказаться непомерно высокими.
3. Серология. Серопозитивные по аденовирусу пациенты встречаются довольно часто. В возрасте 4 лет примерно половина всех детей имеет положительные титры к аденовирусам. К 10 годам их количество стремится к 100%. В результате серологические тесты наименее полезны в клинических условиях.
Если серологический диагноз необходим, первичные сыворотки должны быть исследованы как можно раньше и только в сравнении с сыворотками, полученными через 2-4 недели. Четырехкратный рост титров у выздоравливающих является диагностическим. Серотипирование используется, как правило, в области эпидемиологии и исследований и обычно не используется в клинической практике.
5. Клинический анализ крови. Данные анализа не позволяют сделать вывод о потенциальном возбудителе пневмонии. Лейкоцитоз более 10-12х10 9 /л указывает на высокую вероятность бактериальной инфекции, а лейкопения ниже 3х10 9 /л или лейкоцитоз выше 25х10 9 /л являются неблагоприятными прогностическими признаками.
6. Биохимические анализы крови не дают специфической информации, но могут указать на поражение ряда органов (систем) с помощью обнаруживаемых отклонений.
7. Определение газового состава артериальной крови необходимо для пациентов с явлениями дыхательной недостаточности. В обязательном порядке осуществляется мониторинг SpO2 у младенцев.
8. Исследование плевральной жидкости проводится при наличии плеврального выпота и условий безопасного проведения пункции (визуализация на латерограмме свободно смещаемой жидкости с толщиной слоя больше 1 см).
Следующие лабораторные исследования предлагаются как для диагностики аденовирусной пневмонии, так и для оценки других диагнозов и дифференциальной диагностики при остром респираторном заболевании (включая пневмонию):
Дифференциальный диагноз
Дифференциальный диагноз необходимо проводить со следующими заболеваниями и патологическими состояниями:
1. Туберкулез легких.
2. Новообразования: первичный рак легкого (особенно так называемая пневмоническая форма бронхиолоальвеолярного рака), эндобронхиальные метастазы, аденома бронха, лимфома.
3. Тромбоэмболия легочной артерии и инфаркт легкого.
4. Иммунопатологические заболевания: системные васкулиты, волчаночный пневмонит, аллергический бронхолегочный аспергиллез, облитерирующий бронхолит с организующейся пневмонией, идиопатический легочный фиброз, эозинофильная пневмония, бронхоцентрический гранулематоз.
5. Прочие заболевания и патологические состояния: застойная сердечная недостаточность, лекарственная (токсическая) пневмопатия, аспирация инородного тела, саркоидоз, легочный альвеолярный протеиноз, липоидная пневмония, округлый ателектаз.
В дифференциальной диагностике пневмонии наибольшее значение придается тщательно собранному анамнезу.
При остром бронхите и обострении хронического бронхита в сравнении с пневмонией менее выражена интоксикация. При рентгенологическом исследовании не выявляются очаги затемнения.
Туберкулезный экссудативный плеврит может начинаться так же остро, как и пневмония: укорочение перкуторного звука и бронхиальное дыхание над областью коллабированного к корню легкого могут имитировать долевую пневмонию. Ошибки позволит избежать тщательная перкуссия, выявляющая книзу от притупления тупой звук и ослабленное дыхание (при эмпиеме — ослабленное бронхиальное дыхание). Осуществить дифференциацию помогают плевральная пункция с последующим исследованием экссудата и рентгенограмма в боковой проекции (выявляется интенсивная тень в подмышечной области).
В отличие от нейтрофильного лейкоцитоза при долевой (реже очаговой) пневмонии гемограмма при экссудативном плеврите туберкулезной этиологии, как правило, не изменена.
В отличие от долевых и сегментарных пневмоний при туберкулезном инфильтрате или очаговом туберкулезе обычно отмечается менее острое начало заболевания. Пневмония разрешается в ближайшие 1,5 недели под влиянием неспецифической терапии, в то время как туберкулезный процесс не поддается такому быстрому воздействию даже при туберкулостотической терапии.
Для милиарного туберкулеза характерна тяжелая интоксикация с высокой лихорадкой при слабо выраженных физикальных симптомах, поэтому требуется его дифференциация с мелкоочаговой распространенной пневмонией.
Острая пневмония и обструктивный пневмонит при бронхогенном раке могут начинаться остро на фоне видимого благополучия, нередко после охлаждения отмечаются лихорадка, озноб, боль в грудной клетке. Однако при обструктивном пневмоните кашель чаще сухой, приступообразный, впоследствии с отделением небольшого количества мокроты и кровохарканьем. В неясных случаях уточнить диагноз позволяет только бронхоскопия.
При вовлечении в воспалительный процесс плевры, происходит раздражение заложенных в ней окончаний правого диафрагмального и нижних межреберных нервов, которые также участвуют в иннервации верхних отделов передней брюшной стенки и органов брюшной полости. Это обусловливает распространение болей на верхние отделы живота.
При их пальпации ощущается болезненность, особенно в области правого верхнего квадранта живота, при поколачивании по правой реберной дуге происходит усиление болей. Больных пневмонией нередко направляют в хирургические отделения с диагнозом аппендицита, острого холецистита, прободной язвы желудка. В этих ситуациях осуществить диагностику помогает отсутствие у большинства больных симптомов раздражения брюшины и напряжения брюшных мышц. Следует, однако, учитывать, что и этот признак не является абсолютным.
Осложнения
Экссудативный плеврит проявляется выраженной тупостью и ослаблением дыхания на пораженной стороне, отставанием нижней части грудной клетки на пораженной стороне при дыхании.
Абсцедирование характеризуется нарастающей интоксикацией, появляется обильный ночной пот, температура приобретает гектический характер с суточными размахами до 2 о С и более. Диагноз абсцесса легкого становится очевидным в результате прорыва гнойника в бронх и отхождения большого количества гнойной зловонной мокроты. О прорыве гнойника в плевральную полость и осложнении пневмонии развитием пиопневмоторакса могут свидетельствовать резкое ухудшение состояния, нарастание боли в боку при дыхании, значительное усиление одышки и тахикардии, падение АД.
В появлении отека легких при пневмонии важную роль играет токсическое повреждение легочных капилляров с повышением сосудистой проницаемости. Появление сухих и особенно влажных хрипов над здоровым легким на фоне усиления одышки и ухудшения состояния больного свидетельствует об угрозе развития отека легких.
Признаком возникновения инфекционно-токсического шока следует считать появление стойкой тахикардии, особенно свыше 120 ударов в 1 минуту. Развитие шока характеризуется сильным ухудшением состояния, появлением резкой слабости, в некоторых случаях - снижением температуры. Черты лица больного заостряются, кожа приобретает серый оттенок, усиливается цианоз, значительно нарастает одышка, пульс становится частым и малым, АД падает ниже 90/60 мм рт.ст., прекращается мочеотделение.
Лица, злоупотребляющие алкоголем, чаще подвержены психозу на фоне пневмонии. Он сопровождается зрительными и слуховыми галлюцинациями, двигательным и психическим возбуждением, дезориентацией во времени и пространстве.
Перикардиты в настоящий момент являются редкими осложнениями.
Лечение
При выборе лечения следует исходить из следующих фактов:
1. Вирусные пневмонии, как правило, осложняются бактериальной инфекцией на 3-4 сутки. При идентификации сопутствующего бактериального возбудителя, акцент лечения автоматически смещается в сторону антибактериальной терапии.
2. Аденовирусные пневмонии у иммунокомпетентных лиц протекают клинически легко (за исключением младенцев с сопутствующим бронхиолитом) и не требуют рутинного применения специальных противовирусных препаратов.
3. Клинические исследования, однозначно доказывающие выгоду применения противовирусных препаратов у иммунокомпетентных пациентов, недостаточны и носят характер клинических отчетов.
Таким образом, у иммунокомпрометированных пациентов возможно и целесообразно применение следующих препаратов:
- рибаверин в/в;
- цидовифир;
- специфический иммуноглобулин в/в.
Прогноз
В группе риска по неблагоприятному исходу состоят иммунокомпрометированные пациенты, пожилые пациенты, младенцы (хотя фатальная аденовирусная пневмония у новорожденных также большая редкость).
У реципиентов аденовирусная инфекция развивается, как правило, в первые 3 месяца после трансплантации. Предполагается, что развитие заболевания чаще всего происходит вследствие реактивации латентной инфекции. Летальность, ассоциированная с этим вирусом, среди реципиентов достигает 50%.
Госпитализация
Показания к госпитализации:
1. Возраст старше 70 лет, выраженный инфекционно-токсический синдром (частота дыхательных движений составляет более 30 в 1 мин., АД ниже 90/60 мм рт.ст., температура тела выше 38,5 о С).
2. Наличие тяжелых сопутствующих заболеваний (хронические обструктивные заболевания легких, сахарный диабет, застойная сердечная недостаточность, тяжелые заболевания печени и почек, хронический алкоголизм, токсикомания и другие).
3. Подозрение на вторичную пневмонию (застойная сердечная недостаточность, возможные тромбоэмболия легочных артерий, аспирация, и другое).
4. Развитие таких осложнений, как плеврит, инфекционно-токсический шок, абсцедирование, нарушения сознания.
5. Социальные показания (отсутствует возможность организовать необходимый уход и лечение на дому).
6. Неэффективность амбулаторной терапии в течение 3 дней.
При легком течении и благоприятных бытовых условиях лечение пневмоний может осуществляться на дому, но основная масса больных пневмонией нуждается в стационарном лечении.
Больных с долевыми и другими пневмониями и выраженным инфекционно-токсическим синдромом следует экстренно госпитализировать. Выбор места лечения и (частично) прогноз может быть выполнен согласно шкал оценки состояния PORT (PSI), CURB-65/CRB-65.
Шкала PORT
У всех без исключения пациентов с внебольничной пневмонией рекомендуется изначально определить, есть ли повышенный риск осложнений и смерти у пациента (класс II-V) или нет (класс I).
Шаг 1. Стратификация пациентов на класс риска I и классы риска II-V
Гриппозная пневмония. Пневмония с положительной реакцией Вассермана.
Сывороточные реакции при вирусной инфекции. Грипп. Оспа. Аденовирусные инфекции.
Очень ценные услуги при дифференциальной диагностике могут оказать сывороточные реакции, но и здесь не всегда возможно строгое разграничение. Реакция холодовой агглютинации очень типична для вирусной пневмонии: она встречается приблизительно в 50% случаев. Но эта реакция не патогномонична для вирусной пневмонии: ее находят также при родственных вирусных заболеваниях, а именно — при гепатите, легочном инфильтрате с положительной реакцией Вассермана и др. Положительный результат серологических реакций на сифилис при легочном инфильтрате с большой степенью вероятности говорит именно за RW — положительный инфильтрат. Однако неспецифические реакции на сифилис встречаются также при инфекционном мононуклеозе, вирусном гепатите, кори, краснухе.
Реакция с гетерофильными антителами (Пауль—Буннеля) почти патогномонична для инфекционного мононуклеоза, но более слабо выраженные реакции наблюдаются также при вирусной пневмонии, вирусном гепатите, краснухе и других вирусных заболеваниях.
Все же при большом числе вирусных заболеваний описанные симптомы отсутствуют. Ставить диагноз, исходя из общей, характерной для вирусных болезней симптоматологии, невозможно.
Вирусные заболевания без типичных для вирусных поражений общих симптомов. Банальная простуда «common cold infection» англосаксов, вызываемая фильтрующимся вирусом, протекает с раздражением слизистых оболочек верхних дыхательных путей, часто со значительной температурной реакцией. Длительность в большинстве случаев 1—3 дня. Типичные для гриппа симптомы отсутствуют.

Грипп (вирус инфлюэнцы А и В), диагноз которого должен, по-видимому, ставиться только в период эпидемических вспышек, характеризуется следующими признаками: легкий конъюнктивит, покраснение слизистой зева в виде полос, рефлекторный кашель (как выражение трахеита), часто herpes labialis, лейкопения (выраженная только через 1—2 дня после начала), тяжелое чувство недомогания, боли в конечностях, в большинстве случаев легко клинически констатируемый бронхит. В сравнительно немногих случаях наблюдаются осложнения: гриппозные отиты, гриппозная пневмония, миокардит.
В неясных случаях, особенно в начале эпидемии, может оказаться ценной проба Херста (Hirst), которой определяется способность гриппозного вируса агглютинировать куриные эритроциты.
Оспа (Variola) отличается от других экзантемных болезней появлением высыпания одновременно со снижением температур ы (при кори, например, сыпь выступает одновременно со вторым повышением температуры).
Типичные оспенные пузырьки не представляют трудностей для распознавания. Диагностические ошибки вкрадываются иногда при дифференцировании с аластрим (особо легкая форма оспы) и с вариолоидом (абортивная форма оспы у привитых), а также с ветряной оспой. При всех этих трех формах дело не доходит до нагноения пузырьков и поэтому остаются только незначительные рубцы. С помощью пробы Пауля (Paul) легкие формы оспы можно отличить от ветряной сспы: при смазывании роговицы кролика содержимым оспенного пузырька появляются типичные для оспы тельца Гуарниери (Guarnieri) (внутриклеточные включения).
В последнее время наблюдались эпидемии и отдельные случаи аденовирусных инфекций. Поражаются преимущественно дети и военнослужащие, но также и взрослое гражданское население. В рекрутских школах заболевает большой процент рекрутов (в армии США до 50%), что сделало желательным проведение прививок против этого самого по себе безвредного заболевания. Известны различные типы (1—8), клинически, однако, трудно различимые друг от друга. Начало острое. Часто на первый план выступают головные боли. Температура длится от 2 до 8 дней, тип лихорадки постоянный или ремиттирующий. Важным характерным признаком являются катаральные явления (покраснение зева с похожими на пузырьки возвышениями, ринит) без кашля (Glander, Harnack и Lippelt).
Типичны также значительный конъюнктивит и опухание лимфатических узлов, которые особенно заметны на шее, но наблюдаются и в других местах. При надавливании они мало болезненны. Картина может сопровождаться болями в теле и менингеальными явлениями; описаны также кожные экзантемы. В одном из наших случаев была очень выраженная кореподобная сыпь. Картина крови: в большинстве случаев лейкопения с увеличением числа палочкоядерных клеток. РОЭ почти всегда умеренно ускорена. Диагноз подтверждается пробой с нейтрализацией.
Информация на сайте подлежит консультации лечащим врачом и не заменяет очной консультации с ним.
См. подробнее в пользовательском соглашении.
До настоящего времени не решено окончательно, существует ли первичная пневмония, обусловленная вирусом гриппа. Все снова и снова описываются остро протекающие и оканчивающиеся летально гриппозные пневмонии, при которых на вскрытии не находят никаких бактерий и которые, следовательно, должны быть отнесены к вирусным инфекциям. Собственно гриппозные пневмонии — это вторичные бактериальные пневмонии, вызываемые пневмококками, стафило- и стрептококками, возникающие на фоне гриппозной инфекции. В то время как раньше в качестве возбудителей наибольшую роль играли пневмококки, в настоящее время при пневмониях почти исключительно находят стафилококков, что показала также и гриппозная эпидемия 1957 г.
Псевдолюэтические бронхопневмонии с положительной реакцией Вассермана (Fanconi — Hegglin): характеризуются они одновременным с инфекцией дыхательных путей наличием неспецифических люэтических реакций. Такие формы пневмонии отнюдь нередки. Хотя между длительностью инфильтрата и длительностью положительной псевдолюэтической реакции имеется тесный параллелизм, все же реакции могут оставаться положительными дольше или становиться положительными только через несколько дней после появления инфильтрата. Течение болезни очень постепенное. Продолжительность ее колеблется от недель до месяцев. Главным симптомом может быть кашель. Перкуторно укорочение находят редко, но при аускультации выслушиваются типичные, обильные крупнопузырчатые, в большинстве не звучные, реже звучные влажные хрипы, так что аускультативные данные приходится дифференцировать почти исключительно только от бронхоэктазов. Температура в большинстве субфебр ильная, очень часто нормальная. РОЭ умеренно ускорена; картина крови не характерна. Рентгенологически имеются типичные полосчато-пятнистые очаги без какой-либо излюбленной локализации. В легких случаях имеется только усиленный легочный рисунок, иногда легочных очагов вообще не определяется.
Инфекция в этих случаях ограничивается бронхами, трахеей и иногда проявляется только очень длительным ларингитом. Участие корней легких может быть значительным и у молодых лиц стоять на первом плане (Fanconi). Нередки групповые заболевания. Прогноз всегда хороший. Дифференцировать надо прежде всего от туберкулезных инфильтратов. Длительность процесса и симптоматология заставляют думать о специфическом процессе, но при учете положительных псевдолюэтических реакций дифференциацию провести легко. Нетрудно также всегда исключить сифилис, если вообще учитывается возможность псевдолюэтической пневмрнии. Обратное спонтанное развитие люэтической реакции подтверждает правильность диагноза. Имеются указания, что при этих инфильтратах реакция Мейнике (Meinicke) всегда отрицательна, это дало бы возможность отличать их от сифилитических, если бы не наблюдались несомненные псевдолюэтические инфильтраты с положительной реакцией Мейнике.

Сифилис легких встречается редко. Наиболее Застое его проявление — неплотные круглые очаги затемнения, более или менее хорошо отграниченные.
Было бы неправильным при положительной реакции Вассермана и одновременном раличии легочного инфильтрата начинать антилюэтическое лечение до окончательного установления диагноза. К сожалению, реакция спонтанно становится отрицательной иногда только спустя недели или даже месяцы.
Febris monocytaria eosinophilica (Magrassi — Leonardi). При редких легочных инфильтратах, которые ничем рентгенологически не отличаются от настоящих вирусных пневмоний, в картине крови наблюдается при умеренном лейкоцитозе увеличение эозинофилов до 30% и типичных моноцитов до 25%. Отграничение от вирусной пневмонии производится на основе этой картины крови.
Аденовирусные инфекции составляют приблизительно около 10—20% всех пневмонических инфильтратов. Общие симптомы инфекций, вызываемых аденовирусами (до сего времени выделено 18 различных типов, клинически, однако, не различимых), дают важнейшие указания для диагноза. Особенно часто заболевают призывники. Около 5% призывников, проходящих обучение, переболевают аденовирусной инфекцией. Остро появившееся лихорадочное состояние с температурой около 39°, головные боли, рвота, менингизм (по-видимому, более выраженный, чем при других заболеваниях), фарингит, часто конъюнктивит, увеличение лимфатических узлов (почему эта болезнь раньше называлась адено-фарингоконъюнктивальной лихорадкой) предшествуют появлению пневмонического инфильтрата. Наблюдаются поносы, небольшой кашель. Лейкоцитоз около 10000, РОЭ умеренно ускорена. Длительность лихорадки в среднем 2—3 дня. Положительный результат реакции связывания комплемента с нарастанием титра (не ранее второй недели болезни), нахождение вируса в кале (Kaufmann с сотрудниками) подтверждают диагноз. Инфильтрат обычно не очень плотный, данные аускультации, в общем, незначительны.
Пневмонии могут вызываться также другими вирусами. Всем известна коревая пневмония, которая обычно легко диагностируется при учете типичной экзантемы. Труднее распознать пневмонии при инфекционном мононуклеозе, erythema exsudativum multiforme, эпидемическом гепатите, хориоменингите, если не думать об основных болезнях.
Вирусные пневмонии. Диагностика вирусных пневмоний.
Так называемые вирусные пневмонии (первичная атипичная пневмония) приобрели теперь гораздо большее значение, чем это можно было предполагать при первом выделении их в конце 30-х годов нашего века (Horsfall и Reimann). Отличить их от бактериальных форм пневмонии сравнительно легко, но от острых атипичных случаев туберкулеза часто трудно.
Начало болезни не острое, скорее постепенное. Болезнь часто развивается в течение нескольких дней, всегда без потрясающих ознобов, только изредка с герпесом, без красного «пневмонического» лица; аускультативные данные значительно менее выражены, притулление вначале вряд ли выявляется. Влажных хрипов часто нет, что не дает повода думать о пневмонии и ведет к ложному диагнозу. Лейкоцитоз редко превышает 10 000—12 000, токсическая зернистость неитрофилов только намечается и никогда не достигает такой степени, как при бактериальных пневмониях. РОЭ умеренно ускорена. Иногда прощупывается селезенка. Лихорадка может быть типа continua, но чаще интермиттирующая. Рентгенологически инфильтрат не очень плотный, скорее вуалеподобный, чаще сливного характера.
Это выявляется иногда лучше при просвечивании в определенных положениях, чем на рентгенограмме. Редко, но наблюдаются также милиарные вирусные пневмонии (Loffler и Moeschlin). Вирусная пневмония завершается в 5—10 дней, она не уступает сульфаниламидам и пенициллину, но хорошо поддается тетрациклину.

Для диагноза существенны следующие критерии.
1) Реакция холодовои агглютинации; появляется на 7-й день болезни, может держаться несколько недель. Титр выше 1 : 256 патологичен. Реакцию холодовои агглютинации можно считать специфической для вирусной пневмонии. Слегка повышенный титр встречается также при родственных вирусных заболеваниях (монону-клеоз, эпидемический гепатит и т. д.) и, редко, при гемолитической анемии. Следует отметить, однако, что холодовые агглютинины появляются только приблизительно в половине всех случаев вирусных пневмоний.
2) Лимфоцитарная реакция; появляется также только после 7—10-го дня болезни. Лимфоциты большого размера, богаты плазмой, почти не отличаются от форм при инфекционном мононуклеозе, но в процентном отношении их всегда меньше (вряд ли когда более 50%).
3) Часто встречаются агглютинины против стрептококков группы MG.
4) Способ заражения: передается от человека к человеку как бы по цепочке в отличие от Q-лихорадки, которая распространяется веерообразно.
Вирусом вызывается также пситтакоз (попугайная болезнь). Течение в большинстве очень тяжелое, общее состояние сильно нарушено, особенно сильны головные боли. Сульфаниламиды и пенициллин почти бесполезны. Лейкоцитоза нет. К этому диагнозу мысль склоняется, если установлена возможность переноса возбудителя волнистыми попугаями; подозрение подкрепляется положительной реакцией связывания комплемента. При lymphogranuloma inguinale, которую, впрочем, легко исключить, эта реакция также положительна. Meyer нашел, что штаммы вирусов, сходные с вирусом попугаев, встречаются не только у попугаев, но и у многих других птиц. Он предложил поэтому сохранить наименование «пситтакоз» только для инфекций, передаваемых исключительно попугаями, а в остальных случаях применять более общий термин «орнитоз». Орнитозы передаются главным образом голубями, но также курами и другими видами птиц. Орнитоз, в общем, гораздо доброкачественнее пситтакоза. Удивительно, что известны почти исключительно только спорадические случаи, хотя, по-видимому, имеются все условия для эндемий. Инкубация 10—14 дней. В первые дни часты сильные головные боли, в 25% случаев — носовые кровотечения.
Температура обычно колеблется около 39°. Аускультативные признаки легочной инфильтрации могут появиться только через несколько дней.
Рентгенологически описаны плотные неправильной формы затемнения. Обычно умеренный лейкоцитоз, через несколько дней чаще лейкопения, выраженный сдвиг влево РОЭ умеренно ускорена. В зависимости от клинической картины различают гриппозные, тифозные и пневмонические формы. Диагноз основывается на клиническом течении, возможности контакта и прежде всего на положительном результате реакции связывания комплемента (1 : 16 и более). Однако воспользоваться этой реакцией можно только спустя 10—14 дней от начала болезни. Brand также нашел положительную реакцию Вассермана в 28% на 144 случая орнитоза. Еще не ясно, почему некоторые эндемии, вызванные преимущественно инфицированными волнистыми попугаями, протекают очень тяжело, а вызванные орнитозным вирусом, который по своим свойствам не отличается от вируса, дающего тяжелые формы, протекают вполне доброкачественно. С клинической точки зрения поэтому дифференциация пситтакоза (попугайной болезни) от орнитоза вполне показана.
Вирусная пневмония (J12)
Вирусная пневмония является вариантом пневмонии, которую ранее называли атипичной. В прошлом все пневмонии называли атипичными, если бактериальный возбудитель не мог быть выявлен с помощью бактериологии и если пневмония не поддавалась лечению антибиотиками.
Клинические проявления различных вирусных пневмоний практически не отличаются друг от друга и от смешанных вирусно-бактериальных пневмоний, что делает невозможной только клиническую диагностику. Однако точная и ранняя диагностика этиологического агента важна, так как в некоторых случаях определяет необходимость специфической противовирусной терапии и отказ от эмпирической антибактериальной терапии.
Вирусный возбудитель пневмонии даже в настоящее время не может быть выявлен у 50-80% пациентов с характерными симптомами.
Как ДНК-, так и РНК-вирусы являются причиной вирусных пневмоний. Наиболее часто встречаемые:
- Adenoviridae (аденовирусы);
- Coronaviridae (коронавирусы);
- Bunyaviridae (арбовирусы), например, Hantavirus;
- Orthomyxoviridae (ортомиксовирусы), например, вирус гриппа;
- Papovaviridae (полиомавирусы), например, JC вирус, вирус BK;
- Paramyxoviridae (парамиксовирусы) - вирус парагриппа (PIV), респираторно-синцитиальный вирус (RSV), метапневмовирус человека (hMPV), вирус кори;
- Picornaviridae (пикорнавирусы) - энтеровирусы, вирус Коксаки, ЕСНО-вирус, энтеровирус 71, риновирусы;
- Reoviridae (ротавирус);
- Retroviridae (ретровирусы) - вирус иммунодефицита человека, лимфотропный вирус человека типа 1 (HTLV-1).
Причины внебольничных вирусных пневмоний: вирус гриппа, респираторно-синцитиальный вирус, аденовирус, вирус парагриппа, коронавирус, риновирусы и человеческий метапневмовирус.
Для иммунокомпрометированных пациентов этиологическими факторами также являются:
- вирус простого герпеса первого типа (ВПГ-1) и вирус простого герпеса второго типа (ВПГ-2), также называемые вирусом герпеса человека первого типа (ВГЧ-1) и вирусом герпеса человека второго типа (ВГЧ-2);
- вирусы герпеса типов 6, 7, 8;
- вирус ветряной оспы (ВВО);
- цитомегаловирус (CMV);
- вирус Эпштейна-Барр (EBV).
Возраст пациента и состояние его иммунного статуса позволяют предположить вероятного возбудителя вирусных пневмоний (представлены ниже в порядке убывания значимости).
Вирусы, обычно вызывающие пневмонию у детей:
- респираторно-синцитиальный вирус;
- вирусы гриппа А и В;
- вирус парагриппа;
- аденовирус;
- метапневмовирус человека;
- коронавирус;
- вирус кори (у невакцинированных детей).
Вирусы, обычно вызывающие пневмонию у иммунокомпетентных взрослых:
- вирусы гриппа А и В;
- аденовирус;
- респираторно-синцитиальный вирус;
- вирус парагриппа;
- коронавирус;
- вирус ветряной оспы.
Вирусы, обычно вызывающие пневмонию у пациентов с ослабленным иммунитетом:
- цитомегаловирус;
- вирус простого герпеса;
- грипп;
- респираторно-синцитиальный вирус;
- вирус парагриппа;
- аденовирус;
- вирус ветряной оспы.
Полного понимания патофизиологии и патогенеза вирусных заболеваний в настоящее время не существует. После инфицирования большинство респираторных вирусов, как правило, размножаются в эпителии верхних дыхательных путей и могут вторично инфицировать легкие, распространяясь с секретом или кровью. Тяжелая пневмония может привести к обширной консолидации (вплоть до сублобарной, двусторонней) очагов воспаления легких. У некоторых пациентов отмечались кровавый выпот Выпот - скопление жидкости (экссудата или транссудата) в серозной полости.
и диффузные альвеолярные повреждения.
На типы вирусов гриппа А и В приходится более 50% всех внебольничных вирусных пневмоний у взрослых. Вирус гриппа является самым серьезным этиологическим фактором для развития пневмоний у пожилых больных.
Исследования показали различную частоту других вирусов, вызывающих внебольничную пневмонию: RSV - 1-4%, аденовирусы - 1-4%, PIV - 2-3%, hMPV - 0-4%, коронавирус - 1-14% от диагностированных случаев пневмонии с типированным возбудителем.
RSV является наиболее распространенным в этиологии вирусных пневмоний у младенцев и детей. Кроме того, RSV становится все более важным патогеном у пожилых людей. Он является второй, наиболее часто упоминаемой, причиной пневмонии у пожилых людей (вызывает 2-9% госпитализаций и большинство случаев смерти от пневмонии в США в данной группе населения).
Парагриппозные инфекции являются вторым наиболее распространенным вирусным заболеванием, после RSV-инфекций, у младенцев.
Аденовирус составляет 10% причин пневмоний у детей. Различные серотипы аденовирусов отвечают по существу за непрерывные эпидемии острых респираторных заболеваний в закрытых коллективах (новобранцы, студенты, детские сады, детские дома, дома престарелых).
- младенцы и пожилые пациенты;
- младенцы без грудного вскармливания;
- беременные женщины (вирусы гриппа, ветряной оспы, кори);
- иммунокомпрометированные пациенты (ВИЧ-инфекция, врожденные дефекты иммунитета, реципиенты органов, пациенты, получающие иммуносупрессивную терапию);
- пациенты с отягощенным преморбидным фоном (пороки и заболевания легочной и сердечно-сосудистой системы);
- люди в закрытых коллективах;
- социально неблагополучные группы населения (недостаток питания, несоблюдение правил гигиены и прочее).
лихорадка, озноб, ринит, миалгия, головная боль, астения, непродуктивный кашель, физикальные признаки пневмонии.
Клинические проявления вирусной пневмонии значительно варьируют в зависимости от возбудителя, возраста пациентов, состояния их иммунной системы, преморбидного фона Преморбидный фон - предшествующее и способствующее развитию болезни состояние организма
и прочего.
Рентгенологические признаки, позволяющие различать пневмонии различной этиологии, отсутствуют.
Общая рентгенологическая симптоматика вирусных пневмоний:
2. RSV-пневмонии обычно свойственны неоднородные двусторонние альвеолярные инфильтраты и интерстициальные изменения (похожие на картину при гриппе).
3. Аденовирусная пневмония обычно протекает с диффузными, двусторонними и неоднородными инфильтратами в виде матового стекла (на компьютерной томографии высокого разрешения), выявляемыми чаще в нижних долях. Она также может проявляться долевой консолидацией, которая является редкостью для вирусных пневмоний.
4. Парагриппозная пневмония проявляется скудно. Инфильтраты в легких носят характер интерстициальных или смешанных альвеолярно-интестициальных, в зависимости от стадии процесса.
5. Метапневмовирусная пневмония характеризуется как односторонним, так и двусторонним инфильтративным процессом с равным количеством интерстициальных и интерстициально-альвеолярных инфильтратов.
6. Коронавирусная пневмония характеризуется очагами консолидации, особенно выраженными на периферии и в субплевральных областях нижних зон.
8. Вирус простого герпеса может вызывать очаговые поражения, которые начинаются как маленькие узелки в центре доли. По мере прогрессирования болезни, узелки сливаются с образованием обширных центродолевых инфильтратов.
10. Пневмония, вызванная хантавирусом, характеризуется интерстициальным отеком с быстрым развитием центральных, "плотных" альвеолярных инфильтратов и (возможно) плеврита. Центральная локализация инфильтратов позволяет отличать ее от острого респираторного дистресс-синдрома, при котором изменения смещены к периферии легких.
Компьютерная томография высокого разрешения рекомендуется в сомнительных случаях и для дифференциальной диагностики с другими процессами. Характерным признаком является симптом "матового стекла".
Развитие диагностических методов привело к значительному улучшению способности обнаруживать вирусы в дыхательных путях. Тем не менее, обнаружение вирусных патогенов не всегда означает активное заболевание. Например, выявление вирусов герпеса может означать только их носительство, без развития активного заболевания. Точно так же, респираторно-синцитиальный вирус и цитомегаловирус могут быть обнаружены среди других известных (в том числе бактериальных) патогенов у здоровых носителей.
Вирусологические тесты в большинстве случаев являются основой этиологически точного диагноза. Комплекты быстрых тестов (панели) для обнаружения антигена могут давать результаты в течение нескольких часов, что делает их полезными в приемных покоях. Чувствительность и специфичность этих комплектов колеблется между 80% и 95%. Наибольшую роль, помимо ИФА-тестов (ELISA), играют ПЦР ПЦР - полимеразная цепная реакция
и иммунофлюоресцентные реакции.
Культуральный метод. Вирусная пневмония может быть диагностирована путем выделения и идентификации возбудителя в культуре. Идентификация вируса производится с учетом характерных цитопатических изменений и прямых и обратных реакций иммунофлюоресценции. Данный метод по разным причинам невыгоден при RSV, hMPV и коронавирусной инфекции.
1. Бактериальные пневмонии. Дифференциальная диагностика бактериальных и вирусных пневмоний проводится в первую очередь. Она представляет большую сложность с учетом относительно низкого процента выявления возбудителя при внебольничных пневмониях и значимого количества смешанных бактериально-вирусных пневмоний. Необходимость дифдиагностики диктуется необходимостью применения антибактериальной терапии при бактериальных пневмониях и полной ее необоснованностью при вирусных.
2. Вирусные бронхиты и бронхиолиты (особенно у младенцев и лиц с хронической обструктивной болезнью легких).
2. Развитие острого респираторного дистресс-синдрома.
3. Миокардиты (являются редким осложнением для большинства вирусных пневмоний).
4. Гематогенная диссеминация инфекции у иммунокомпрометированных пациентов.
Медикаментозная терапия при вирусных пневмониях
| Вирус | Лечение | Профилактика и поддерживающая терапия |
| Вирус гриппа | Амантадин Ремантадин | Вакцина против гриппа Химиопрофилактика: амантадин, ремантадин, занамивир, осельтамивир |
| Респираторно-синцитиальный вирус | Рибавирин | Специфический иммуноглобулин (Palivizumab) |
| Вирус парагриппа | Рибавирин | |
| Вирус простого герпеса | Ацикловир | |
| Вирус ветряной оспы | Ацикловир | Специфический иммуноглобулин против ветряной оспы |
| Аденовирус | Рибавирин | |
| Вирус кори | Рибавирин | Противокоревой иммуноглобулин |
| Цитомегаловирус | Ганцикловир Foscarnet | Иммуноглобулин в/в |
Следует иметь в виду, что в большинстве случаев такие препараты как рибавирин (ингаляторно) или иммуноглобулин IgG (в/в) оправданы только у пациентов с тяжелым течением инфекции или нарушениями иммунитета.
В целом же лечение сводится к симптоматическому и поддерживающему и включает в себя по показаниям:
- оксигенотерапию;
- респираторную поддержку;
- бета-агонисты при бронхоспазме;
- ацикловир, если у пациентов с ветряной оспой или герпесом имеются подозрения в отношении пневмонии;
- ганцикловир и в/в IgG при цитомегаловирусной пневмонии у пациентов с ослабленным иммунитетом;
- изоляцию;
- антибиотики - при доказанной бактериальной суперинфекции.
Смертность
1. В группе пожилых пациентов, пневмония, связанная с гриппом, имеет непропорционально высокий уровень смертности по отношению как к другим пневмониям, так и к другим возрастным группам.
2. У здоровых детей смертность при RSV-пневмонии составляет 0,5-1,7%. У детей с иммунодефицитом - 22-44%. У взрослых иммунокомпрометированных пациентов RSV-пневмония связана со смертностью в 11-78% (в зависимости от тяжести поражения иммунитета).
3. Аденовирусная инфекция всегда характеризовалась низкой смертностью во всех возрастных группах иммунокомпетентных людей (однако во время вспышки в одном из закрытых коллективов в 2009 г. уровень смертности оказался неожиданно высоким - до 18%). Смертность от аденовирусной пневмонии и ее осложнений в группе иммунокомпрометированных взрослых составляет в среднем 56%.
4. Парагриппозная пневмония традиционно характеризуется низким уровнем смертности у лиц без нарушения иммунитета. В группе иммунокомпрометированных пациентов смертность колеблется в пределах 15-73% в зависимости от тяжести нарушений иммунитета.
5. Пневмония, связанная с метапневмовирусом человека смертельна для иммунокомпрометированных пациентов в 50-80%. Данные по здоровым пациентам неизвестны.
6. Из всех умерших от ветряной оспы, пневмония, связанная с ней, является причиной смерти в 25% случаев. Неблагоприятный исход особенно вероятен во втором и третьем триместре беременности и при иммунодефицитных состояниях, когда уровень смертности колеблется от 18 до 53%.
7. Пневмония развивается при кори только в 6,5%, но в 60% приводит к летальному исходу у детей. Процент традиционно выше у пациентов с иммунной патологией.
8. Цитомегаловирусная и герпесная пневмонии связаны со смертельным исходом только у лиц с недостаточностью иммунитета.
9. Хантавирусные пневмонии встречаются крайне редко и характеризуются высоким уровнем смертности среди здоровых лиц - до 35%.
Госпитализация безусловно показана пациентам группы риска и пациентам с дыхательной недостаточностью.
Допустимо использовать шкалы PORT, CURB-65, CRB-65 с целью выбора места лечения.
Профилактика
- вакцинация для тех инфекций, для которых это возможно;
- соблюдение правил санитарии и гигиены;
- химиопрофилактика в очагах по показаниям.
Читайте также:
