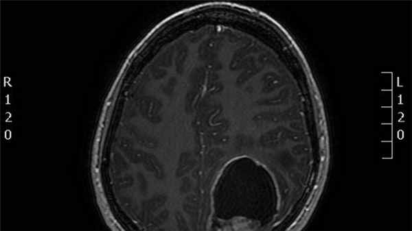
Инфратенториальная эпендимома на МРТ
Добавил пользователь Евгений Кузнецов Обновлено: 29.01.2026
Эпендимомы возникают из эпендимальных клеток, выстилающих желудочки мозга и центральный канал СМ. Они могут располагаться по всей длине нервной трубки.
- интракраниальная локализация: составляют ≈5-6% внутричерепных глиом, в 69% бывают у детей, составляя 9% педиатрических мозговых опухолей
- спинальная локализация: ≈60% глиом СМ, в 96% случаев встречаются у взрослых, особенно в области конечной нити
Табл. 14-46. Средний возраст в момент диагностирования
Локализация (у 101 пациента)
Все больные (возраст)
Эпендимомы обладают способностью распространяться по нервной трубке по ликворным путям; этот процесс называется обсеменением, что приводит к возникновению «потерянных» mts в 11% случаев. Частота mts возрастает по мере повышения степени злокачественности опухоли. В редких случаях имеет место системное распространение.
- неанапластическая (низкая степень злокачественности)
- папиллярная: «классическое поражение» ГМ и СМ. Метастазирование возможно вплоть до 30%. Темные небольшие ядра. 2 варианта вида цитоплазмы:
- дифференциация вдоль глиальной линии: образуются периваскулярные псевдорозетки
- кубические клетки образуют эпендимальные канальцы вокруг центральных кровеносных сосудов (истинные розетки)
- миксопапиллярная эпендимома : отдельная форма, встречается только в области конечной нити. Папиллярная эпендимома с микрокистозными вакуолями и слизистым содержимым
- субэпендимома
- анапластическая: плеоморфизм, многоядерность, гигантские клетки, митозы, сосудистые изменения, участки некроза (иногда при большей выраженности анапластических изменений используют термин эпендимобластома, но этот термин должен быть оставлен для отдельного вида опухолей, редких примитивных нейроэктодермальных опухолей у детей). Влияет ли степень анаплазии на исходы пока неясно
Внутричерепные эпендимомы
- часто возникают в дне IV желудочка
- существует потенциальная угроза распространения по нервной трубке
- молодые пациенты имеют худший прогноз
- лечение: максимальная резекция с последующей ЛТ
Обычно это хорошо отграниченные и доброкачественные опухоли (хотя встречаются и злокачественные эпендимомы). Они часто возникают в дне IV желудочка (в 60-70% случаев располагаются инфратенториально, всегда вблизи IV желудочка; на их долю приходится 25% от всех опухолей области IV желудочка). Эпендимомы ЗЧЯ у детей часто являются анапластическими, при этом имеется больший риск распространения по нервной трубке. Хотя гистологически они не выглядят такими злокачественными, как медуллобластомы, они имеют худший прогноз из-за того, что они имеют тенденцию врастать в obex , что препятствует их полному удалению.
Субэпендимомы: для них типично расположение в передних отделах боковых желудочков или в задней части IV желудочка, выраженная роль субэпендимарных глиальных клеток. Нередко обнаруживаются на аутопсиях, подлежат хирургическому лечению в редких случаях.
Клинические данные
Большинство из них связаны с наличием объемного образования в ЗЧЯ, сопровождающимся повышением ВЧД:
- Г/Б: 80%
- Т/Р: 75%
- атаксия или вертиго: 60%
- припадки: при супратенториальной локализации только в ≈30% случаев; это составляет только 1% больных с внутричерепными опухолями, которые проявили себя припадками
Диагностика
КТ/МРТ : обычно обнаруживают объемное образование в дне IV желудочка, часто с окклюзионной ГЦФ. Рентгенологически может быть трудно отличить от медуллобластомы (МБС); могут помочь следующие признаки:
- калицификаты часто встречаются в эпендимомах, но редко ( <10%) в МБС
- МБС: обычно возникают из крыши IV желудочка (из его вершины, фастигиума), который покрывает опухоль («симптом банана»); сравните с эпендимомами, которые имеют тенденцию врастать в IV желудочек со дна
- эпендимомы (в отличие от МБС) имеют негомогенную структуру на МРТ в Т1 режиме
- экзофитный компонент в эпендимомах имеет тенденцию давать высокий сигнал на МРТ в Т2 режиме (у МБС он только немного гиперинтенсивный)
Миелография : миелография с ворорастворимым КВ обладает такой же чувствительностью для определения mts , как и МРТ с гадолиниумом. Также при этом можно сделать цитологическое исследование ЦСЖ для определения стадии опухоли.
Хирургическая резекция
Цель операции: максимальное удаление интракраниальной части опухоли без неврологического дефицита. Если имеется значительная инвазия опухоли в дно IV желудочка, то удалить ее тотально невозможно. После операции производят ЛП/миелографию для исключения возможных mts . 10 мл ЦСЖ направляют на цитологическое исследование, чтобы определить количество злокачественных клеток (если они в ней есть) (ее можно также использовать в качестве способа контроля эффективности лечения).
Доступ к образованиям IV желудочка осуществляется путем срединной субокципитальной краниоэктомии.
Лучевая терапия
Эпендимомы являются вторыми по радиочувствительности после медуллобластом. ЛТ назначают после хирургического удаления опухоли (выживание улучшается после проведения ЛТ в послеоперационном периоде: выживание 50% пациентов было на 2 года больше при проведении ЛТ, чем без нее; при этом количество пациентов, имевших 5-летний срок выживания увеличивается с 20-40% до 40-80%):
- 45-48 Гр на ложе опухоли (в случае рецидива назначают еще дополнительно 15-20 Гр)
- спинальная ЛТ: в большинстве случаев проводится, если там есть mts или получена позитивная цитология ЦСЖ (однако, проведение ЛТ с профилактической целью считается спорным)
- ЛТ небольшими дозами по всей протяженности СМ (средняя доза ≈30 Гр)
- повышенная доза на ту область, где обнаружен mts
Химиотерапия
Для вновь диагностированных случаев имеет небольшое значение. В случае рецидива ХТ может задержать развитие опухоли на короткое время.
Оперативная летальность: 20-50% в ранних сериях; в более современных: 5-8%.
При тотальной резекции первичной интракраниальной опухоли и проведении последующей краниоспинальной ЛТ (как это описано выше) срок 5-летнего выживания составляет 41%. У молодых пациентов выживание хуже (в педиатрической группе срок 5-летнего выживания составляет 20-30%, по сравнению с почти 80% у взрослых). За исключением эпендимобластом, наличие злокачественных признаков в эпендимомах не обязательно является признаком худшего прогноза.
Риск возникновения рецидивов наиболее высок у пациентов с частичной резекцией опухоли.
Эпендимома
Эпендимома - опухоль головного мозга входящая в широкую группу глиальных опухолей, чаще возникающих из оболочки выстилающей желудочки головного мозга или центральный канал спинного мозга. Эпендимомы встречаются в ~5% случаев нейроэпителиальных опухолей, ~10% опухолей головного мозга у детей и до 33% опухолей головного мозга у детей младше 3х лет.
Эпендимомы могут возникнуть в любом месте, но чаще локализуются [11]:- задняя черепная ямка: 60%
- супратенториальная эпендимома: 30%
- спинной мозг: 10%
Данная публикация посвящена эпендимомам головного мозга, эпендимомы спинного мозга будут рассматриваться отдельно (статья нуждается в переводе).
Эпидемиология
Гендерная предрасположенность отсутствует [3].
Клиническая картина
Клиническая картина может варьировать в зависимости от локализации. Начальными симптомами и признаками, как и при других опухолях IV желудочка, чаще всего являются проявления связанные с повышением внутричерепного давления. Другие симптомы включают атаксию [7], судороги или фокальный неврологический дефицит [2,5].
Сочетанная патология
нейрофиброматоз 2 типа
Классификация
Эпендимомы являются опухолями II степени по ВОЗ, причем более гистологически агрессивные опухоли относят к IIIй степени (анапластическая эпендимома), однако достоверность гистологических признаков и прогностическое значение противоречивы, и в последнее время в подразделении эпендимом используют молекулярные маркеры [11].
- WHO grade I
- субэпендимома
- миксопапиллярная. эпендимома
- эпендимома - 9391/3
- папиллярная эпендиомома
- светлоклеточная эпендиома
- удлиннённоклеточные эпендиома
- RELA fusion-positive
- анапластическая эпендимома
Диагностика
Большинство эпендимом головного мозга (60%) локализуются в задней черепной ямке (инфратенториально), возникая в области дна 4го желудочка, особенно у детей 7. В остальных случаях (40%) локализуясь супратенториально составляют вплоть до половины интрапаренхиматозных случаев [7].
Эпендимомы задней черепной ямки обладая пластичностью распространяются через отверстия Лушка и Мажанди. Данный признак может быть визуализировать при КТ и МРТ.
Эпендимома обычно представлена гетерогенным образованием с зонами некроза, кальцинатами, кистозной трансформацией и зачастую кровоизлияниями.
Интрапаренхиматозные поражения (как правило супратенториальные) обычно имеют более крупные размеры и вариабельность в проявлениях [7].- грубые кальцификаты (50%)
- кистозные зоны (50%)
- солидный компонент изо- и гиподенсивной плотности
- гетерогенное контрастное усиление
- кровоизлияния вариабельные
- T1
- солидный компонент эпендимомы обычно имеет изо- или гипоинтенсивный сигнал по отношению к белому веществу [7]
- гиперинтенсивный сигнал по отношению к белому веществу
- является более надежной последовательностью в дифференциально диагностике опухолевого поражения, чем бесконтрастные Т1 ВИ (но менее надежные чем Т1 с парамагнетиками)
- фокусы цветения за счет кровоизлияния или кальцификатов
- гетерогенное усиление
- полезно в разграничении опухоли от вазогенного отека и неизмененной паренхимы
- ограничение диффузии в солидном компоненте, особенно при анапластичпеском варианте
- интерпретация требует осторожности, поскольку может изменяться за счет кровоизлияний или кальцинатов
- повышение пика холина в соответствии с клеточностью опухоли
- снижение пика N-ацетиласпартата
- повышенное отношение холин/креатинин
- липиды и лактат повышаются при наличии дегенеративных изменений
Дифференциальный диагноз
- схожая эпидемиология, особенно в области 4го желудочка
- возникает в области червя
- контрастное усиление более гомогенное
- кальцинаты встречаются реже
- менее пластичные (не распространяются в отверстия)
- встречается в более старшем возрасте
- обычно не усиливается после введения контрастного вещества
- у детей чаще локализуется в области треугольников (задних рогов) боковых желудочков
- у взрослых локализуется в четвертом желудочке
- более яркое и гомогенное контрастное усиление
- слабо выраженный отек прилежащей паренхимы
- NB может быть гетерогенной и инвазировать головной мозг
- может иметь схожие проявления
- встречается в более старшем возрасте
- затруднено дифференцирование с интрапаренхиматозной супратенториально эпендимомой
- встречается в более старшем возрасте
- локализуется парааксиально в белом веществе
- возникает в/прилегая к прозрачной перегородке
- менее яркое контрастное усиление
- Сильные головные боли. Приступ возникает резко и не купируется приемом обезболивающих медикаментов.
- Чувство тошноты, позывы к рвоте. После рвоты состояние пациента не улучшается, облегчение не наступает.
- Нарушение равновесия, потеря координации движений.
- Приступы судороги, онемение конечностей.
- классическая;
- миксопапиллярная;
- анапластическая эпендимома;
- субэпендимома;
- эпендимобластома.
- нарушение походки, сбои координации движений;
- приступы судорог;
- чувство тошноты и позывы к рвоте;
- проблемы со зрением (потеря остроты, туман перед глазами).
- Супратенториальная область составляет верхние две трети головного мозга. Он включает в себя головной мозг, а также боковые и третий желудочки.
- Инфратенториальная область составляет нижнюю треть головного мозга. Он включает ствол головного мозга, мозжечок и четвертый желудочек.
- Субэпендимома (Степень I): этот тип является медленно растущим и доброкачественным; возникает вблизи желудочка.
- Миксопапиллярная эпендимома (степень I): этот тип обычно медленно растет и доброкачествен; он находится в позвоночнике.
- Эпендимома (Степень II): наиболее распространенный, этот тип обычно доброкачественный и обнаруживается вдоль желудочков либо в инфратенториальной области, либо в позвоночнике. Этот тип далее классифицируется на основе того, как клетки выглядят под микроскопом, как папиллярная эпендимома, светлоклеточная эпендимома или таницитная эпендимома.
- RELA-положительный результат слияния (степень II или III): это новое обозначение, добавленное в 2016 году. Этот тип характеризуется молекулярной аномалией, RELA, которая способствует образованию и росту опухоли. Этот тип опухоли находится в супратенториальной области.
- Анапластическая эпендимома (Степень III): это самые быстрорастущие эпендимомы, которые являются злокачественными. Обычно они локализуются в инфратенториальной области.
- Компьютерная томография (КТ)
- Магнитно-Резонансная Томография (МРТ)
- Биопсия
- разновидность операции;
- степень сложности клинического случая;
- общее состояние больного;
- другие факторы.
- Лечение у высококвалифицированных врачей, знающих свое дело до мелочей.
- Применение современных продвинутых технологий.
- Использованием лекарств от ведущих мировых производителей.
- Малоинвазивная хирургия и минимальный травматизм при операциях.
- Самое выгодное соотношение цены и качества.
- Комфортное пребывание в клинике и трепетная забота о пациенте.
Текущая версия (на октябрь 2017 года) является адаптированным переводом публикации Maxime St-Amant, Frank Gaillard et al. Ependymoma [13].
Эпендимомы
![Эпендимомы]()
Эпендимомы – редкие опухоли, исходящие из эпендимы – оболочки выстилающей изнутри желудочки головного мозга и центральный канал спинного мозга. Из этого следует, что в подавляющем большинстве случаев эпендимомы расположены в желудочковой системе и в спинном мозге интрадурально. Значительно реже эпендимомы встречаются вне желудочковой системы, непосредственно в веществе головного мозга. Отличительной чертой этих образований является то, что они лучше отграничены от мозгового вещества в сравнении с большинством других внутримозговых опухолей. Из этого следует, что задачей нейрохирурга является максимально радикальное удаление опухоли, как в случае интракраниальной локализации, так и при локализации эпендимомы в спинном мозге. В случае невозможности радикального удаления, возможно проведение последующей лучевой терапии.
Эпендимомы возникают из эпендимальных клеток, выстилающих желудочки мозга и центральный канал спинного мозга. Они могут располагаться по всей длине нервной трубки.
Частота:
Интракраниальная локализация: составляют ≈5-6% внутричерепных глиом, в 69% бывают у детей, составляя 9% педиатрических мозговых опухолей.
Спинальная локализация: ≈60% глиом спинного мозга, в 96% случаев встречаются у взрослых, особенно в области конечной нити.
Средний возраст пациентов в момент диагностирования опухоли:
Интракраниальная локализация: взрослые - 17 лет, дети - 5 лет.
Инфратенториальная локализация: взрослые - 14 лет, дети - 4 года.
Супратенториальная локализация: взрослые - 22 года, дети - 6 лет.
Спинальная локализация: 40 лет.
Интрамедуллярная локализация: 47 лет.
Каудальная часть: 32 года.
Эпендимомы обладают способностью распространяться по нервной трубке по ликворным путям, этот процесс называется обсеменением, что приводит к возникновению «потерянных» метастазов в 11% случаев. Частота метастазирования возрастает по мере повышения степени злокачественности опухоли. В редких случаях имеет место системное распространение.
Патология
1. Неанапластическая (низкая степень злокачественности)
2. Папиллярная: «классическое поражение» ГМ и СМ. Метастазирование возможно вплоть до 30%.
3. Миксопапиллярная эпендимома: отдельная форма, встречается только в области конечной нити. Папиллярная эпендимома с микрокистозными вакуолями и слизистым содержимым.
5. Анапластическая: плеоморфизм, многоядерность, гигантские клетки, митозы, сосудистые изменения, участки некроза (иногда при большей выраженности анапластических изменений используют термин эпендимобластома, но этот термин должен быть оставлен для отдельного вида опухолей, редких примитивных нейроэктодермальных опухолей у детей). Влияет ли степень анаплазии на исходы пока неясно.
Внутричерепные эпендимомы
1. Часто возникают в дне IV желудочка
2. Существует потенциальная угроза распространения по нервной трубке
3. Молодые пациенты имеют худший прогноз
4. Лечение: максимальная резекция с последующей лучевой терапией.
Обычно это хорошо отграниченные и доброкачественные опухо- ли (хотя встречаются и злокачественные эпендимомы). Они часто возникают в дне IV желудочка (в 60-70% случаев располагаются инфратенториально, всегда вблизи IV желудочка, на их долю приходится 25% от всех опухолей области IV желудочка). Эпендимомы задней черепной ямки у детей часто являются анапластическими, при этом имеется больший риск распространения по нервной трубке. Хотя гистологически они не выглядят такими злокачественными, как медуллобластомы, они имеют худший прогноз из-за того, что они имеют тенденцию врастать в obex(задвижку), что препятствует их полному удалению. Субэпендимомы: для них типично расположение в передних отделах боковых желудочков или в задней части IV желудочка, выраженная роль субэпендимарных глиальных клеток. Нередко обнаруживаются на аутопсиях, подлежат хирургическому лечению в редких случаях.
Клинические данные
Симптомы
Большинство из них связаны с наличием объемного образования в задней черепной ямке, сопровождающимся повышением внутричерепного давления:
3. Атаксия или вертиго: 60%
4. Припадки: при супратенториальной локализации только в ≈30% случаев; это составляет только 1% больных с внутричерепными опухолями, которые проявили себя припадками.
Диагностика
КТ/МРТ:
Обычно обнаруживают объемное образование в дне IV желудочка, часто с окклюзионной гидроцефалией.
Рентгенологически может быть трудно отличить от медуллобластомы, могут помочь следующие признаки:
1. Калицификаты часто встречаются в эпендимомах, но редко (<10%) в медуллобластомах
2. Медуллобластомы обычно возникают из крыши IV желудочка (из его вершины, фастигиума), который покрывает опухоль («симптом банана»), эпендимомы имеют тенденцию врастать в IV желудочек со дна
3. Эпендимомы имеют негомогенную структуру на МРТ в Т1 режиме
4. Экзофитный компонент в эпендимомах имеет тенденцию давать высокий сигнал на МРТ в Т2 режиме (у медуллобластом он только немного гиперинтенсивный)
Миелография
Миелография с водорастворимым контрастным веществом обладает такой же чувствительностью для определения метастаз, как и МРТ с гадолиниумом. Также при этом можно сделать цитологическое исследование цереброспинальной жидкости для определения стадии опухоли.
Лечение
Хирургическая резекция
Цель операции: максимальное удаление интракраниальной части опухоли без неврологического дефицита. Если имеется значительная инвазия опухоли в дно IV желудочка, то удалить ее тотально невозможно. После операции производят лучевую терапию и миелографию для исключения возможного метастазирования. 10 мл цереброспинальной жикдкости направляют на цитологическое исследование, чтобы определить количество злокачественных клеток (если они в ней есть), ее можно также использовать в качестве способа контроля эффективности лечения.
Лучевая терапия
Эпендимомы являются вторыми по радиочувствительности после медуллобластом. Лучевую терапию назначают после хирургического удаления опухоли (выживание улучшается после проведения лучевой терапии в послеоперационном периоде: выживание 50% пациентов было на 2 года больше при проведении лучевой терапии, чем без нее, при этом количество пациентов, имевших 5-летний срок выживания увеличивается с 20-40% до 40- 80%)
Исходы
Оперативная летальность: 5-8%. При тотальной резекции первичной интракраниальной опухоли и проведении последующей краниоспинальной лучевой терапии срок 5-летнего выживания составляет 41%. У молодых пациентов выживание хуже (в педиатрической группе срок 5-летнего выживания составляет 20-30%, по сравнению с почти 80% у взрослых). За исключением эпендимобластом, наличие злокачественных признаков в эпендимомах не обязательно является признаком худшего прогноза.
Эпендимома
![]()
«Лечение эпендимомы спинного мозга или структур головного мозга — это задача для онкологов, к которой надо подходить сугубо комплексно. Поскольку химиотерапия при этом диагнозе не может быть использована как самостоятельный метод лечения, к ней присоединяется наша качественная томотерапия — метод, который зарекомендовал себя в мире и теперь действует в Украине».
Что такое эпендимома?
Эпендимома — новообразование центральной нервной системы, состоит из эпендимальной ткани желудочковой системы мозга (из клеток, расположенных в заполненном жидкостью пространстве головного и спинного мозга). Эпендимома может быть как доброкачественной, так и злокачественной опухолью. Локализуется преимущественно в задней черепной ямке.
Эпендимомы занимают около 8% всех внутричерепных опухолей, относятся к ряду глиом. Заболевание поражает людей всех возрастов, но преимущественно встречается у детей до пяти лет. Как правило, 65% диагностируемых случаев заболеваний приходится на детский период. Эпендимома занимает третье место среди общего числа всех церебральных опухолей у детей.
Эпендимома склонна к метастазированию по ликворным путям, не распространяется за пределы центральной нервной системы. Наиболее часто метастазы развиваются в спинном мозгу. Эффективность лечения зависит от структуры опухоли, степени тяжести, наличия метастаз в организме. Согласно статистике, протекание болезни у детей тяжелее, чем у взрослых пациентов.
Эпендимома у детей
Эпендимома может быть обнаружена в любом возрасте, но наиболее распространены случаи развития болезни у детей. В среднем эпендимома занимает лидирующие позиции по частоте среди всех внутричерепных опухолей у детей. В одинаковом количестве болезнь поражает людей мужского и женского пола.
Причины заболевания у детей не известны, но высокая вероятность развития онкологического заболевания возникает при длительном воздействии канцерогенов, химических веществ и радиоактивных паров на организм.
Симптомы
В зависимости от локализации и типа опухоли отмечаются симптомы:
Первичным этапом диагностики эпендимомы у детей является обследование у невролога. После сбора анамнеза и проверки рефлексов врач назначает компьютерную томографию и магнитно-резонансную томографию. Современные методы визуализации структур головного мозга позволяют точно определить наличие опухоли, форму и распространение.
![эпендимома]()
Типы эпендимомы
Существует несколько основных видов эпендимом, которые отличаются степенью доброкачественности и процессом протекания.
Эпендимома бывает:
Классическая эпендимома локализуется в желудочках головного мозга. Опасность заключается в высокой вероятности блокады путей ликвора при стремительном росте новообразования. Обладает второй степенью злокачественности.
Миксопапиллярная эпендимома — доброкачественное новообразование, которое локализуется в области конуса спинного мозга или конского хвоста. Для тканей опухоли миксопапиллярного типа характерны слизистая дистрофия и формирование слизистых кист. Пациенты с миксопапиллярной эпендимомой имеют преимущественно благоприятный прогноз. Носит первую степень злокачественности, что характеризуется медленным ростом, отсутствием метастаз и чувствительностью к лечению.
Анапластическая эпендимома является злокачественным новообразованием. Опухоль склонна к быстрому росту, агрессивному течению болезни и метастазированию раковых клеток по ликворным путям. Анапластическая эпендимома имеет 3 степень злокачественности.
Субэпендимома развивается из субэпендимальной глии и состоит из эпендимальных клеток. Имеет форму узла, наиболее часто локализуется в желудочковой системе мозга. Развивается медленно, не склонна к метастазированию. Характерны мелкие скопления раковых клеток. Субэпендимома имеет первую степень злокачественности и сравнительно благоприятный прогноз.
Эпендимобластома встречается крайне редко и является злокачественным новообразованием. Опухоль развивается преимущественно у детей младшего возраста, характеризуется агрессивным течением, тяжелыми последствиями и высокой склонностью к рецидивам.
Эпендимома желудочков головного мозга
Опухоль состоит из эпендимальной ткани желудочковой системы головного мозга. Новообразование формируется из эпендимоцитов. Опухоль головного мозга чаще встречается у детей до пятилетнего возраста, но в редких случаях может быть диагностирована у пациентов среднего возраста. Также в детском возрасте чаще встречаются новообразования злокачественного характера (анапластическая эпендимома).
Эпендимома зачастую локализуется в четвертом желудочке головного мозга, откуда склонна прорастать в область мозжечка и ствол головного мозга. Такой рост новообразования называется инфратенториальным.
В 25% клинических случаев эпендимома развивается в зоне боковых желудочков головного мозга, прорастая в область третьего желудочка. И в 15% случаев опухоль диагностируется в канале спинного мозга.
Симптоматика заболевания зависит от места локализации опухоли. Соответственно при развитии эпендимомы желудочков головного мозга возникают:
Эпендимома спинного мозга
Эпендимома позвоночника развивается из клеток, расположенных в заполненном жидкостью пространстве между головным и спинным мозгом. Новообразование чаще бывает доброкачественным, но в 15% встречается опухоль злокачественного характера. Эпендимома поражает взрослых и детей. Особенно распространена у пациентов, достигших 6 лет. Заболевание с локализацией в спинном мозгу является редким, чаще опухоль развивается в черепной ямке, распространяясь на спинной мозг метастазами.
Симптоматика болезни зависит от места локализации опухоли. При новообразовании в спинном мозгу основными признаками являются сильные боли в спине, нарушения координации движений и контроля мочевого пузыря, проблемы при ходьбе.
Эпендимома вне зависимости от характера требует своевременного лечения, так как даже доброкачественная опухоль при активном росте оказывает давление на жизненно важные структуры спинного или головного мозга. В качестве лечебной терапии онкологического заболевания применяется хирургическое вмешательство, химиотерапия или лучевая терапия.
Эпендимома конского хвоста
Область конского хвоста — анатомическая структура, являющаяся пучком корешков четырех нижних спинномозговых нервов. Новообразования в зоне конского хвоста встречаются редко и составляют не более 2% от всех случаев развития эпендимомы.
Новообразования проявляются сильною болью в спине с иррадиацией в область ягодиц и ног. Сильный дискомфорт ощущается в лежачем положении. Помимо боли явным симптомом заболевания является потеря чувствительности конечностей в виде периферического пареза.
Диагностика эпендимомы
Заболевание требует своевременной и тщательной диагностики на ранней стадии. Первичным методом является посещение невролога. Врач проводит комплексный осмотр пациента, изучает анамнез и выслушивает жалобы. После ряда обязательных процедур на проверку рефлексов невролог выдает направление на сдачу анализов.
Лечение эпендимомы в Израиле
![эпендимома]()
Врачи клиники Ассута используют широкий спектр эффективных клинических подходов к лечению эпендиомы – выполняют операции на спинном и головном мозге, используют лучевую терапию и системные химиопрепараты, в том числе и таргетные. Для каждого пациента составляется индивидуальная терапевтическая схема, включающая максимальное подходящие методы.
Пациенты размещаются в комфортных палатах и получают круглосуточную поддержку и сопровождение сотрудников международного отдела клиники на всех этапах лечения.
О заболевании
Эпендимомы — опухоли, возникающие из эпендимальных клеток, могут возникать в головном или спинном мозге.Когда эти опухоли возникают в головном мозге, они обычно описываются как возникающие либо в супратенториальной, либо в инфратенториальной области мозга.
Эпендимомы делятся на следующие основные виды:
Методы лечения эпендимомы
Выбор методов лечения зависит от степени и причины заболевания, возраста и общего состояния пациента, а также от его личной переносимости тех или иных процедур. Наиболее распространенным хирургическим лечением эпендимомы является трепанация черепа и хирургическое удаление, а наиболее распространенным нехирургическим лечением является стереотаксическая радиохирургия.
Хирургия
В клинике Ассута опытные нейрохирурги используют самые передовые хирургические методы для лечения эпендимом. Стандартным хирургическим лечением этих опухолей является хирургия опухоли головного мозга. Для хирургического удаления опухоли нейрохирург выполняет трепанацию черепа, обеспечивая доступ к опухоли.
Исход операции во многом зависит от объема резекции опухоли. Полная резекция является целью, но иногда опухоль прилегает к критическим структурам или находится слишком близко к ним, что делает полную резекцию невозможной. Вместо этого выполняется субтотальная резекция. Наши нейрохирурги удаляют как можно больше опухоли, сохраняя при этом близлежащие структуры и общую функцию.
Резекция опухоли может устранить гидроцефалию. В противном случае нейрохирург может установить шунт для отведения спинномозговой жидкости, восстановления нормального внутричерепного давления и облегчения симптомов.
Химиотерапия и лучевая терапия
Адъювантное лечение с лучевой терапией используется для лечения остаточной опухоли и рецидива опухоли. Однако врачи избегают лучевой терапии у детей младше трех лет из-за риска негативного воздействия на развивающийся мозг. Вместо этого для этих маленьких детей можно использовать химиотерапию, а затем лучевую терапию, когда они станут старше.
Лучевую терапию можно проводить различными способами, одним из которых является стереотаксическая радиохирургия – неинвазивный, высокоточный способ доставки излучения к опухолевым клеткам.
Как проходит диагностика
Диагностический процесс в клинике Ассута делится на три ключевых этапа – консультация врача, диагностические исследования и консилиум, и обычно занимает три дня
Неврологический осмотр обычно проводится, чтобы выявить конкретные признаки заболевания и установить симптомы. Этот экзамен включает оценку слуха, движений глаз, обоняния, чувствительности, двигательной функции, глотания, равновесия и координации. Врач также изучается историю болезни и собирает полный анамнез, после чего назначает инструментальные методы обследования, которые проводятся на следующий день.
В этот день проводятся все исследования, которые назначит врач. Ключом к диагностике эпендимом является визуализация. Компьютерная томография (КТ) и магнитно-резонансная томография (МРТ) могут показать опухоль и окружающую ткань головного мозга. МРТ является визуализирующим исследованием выбора, потому что оно дает превосходную детализацию опухоли и может потребоваться проведение на голове и позвоночнике для обнаружения метастазов. В любом исследовании можно использовать контрастное усиление для улучшения изображения опухоли.
Для того, чтобы на 100% подтвердить диагноз требуется биопсия. Но образец биопсии почти всегда берется во время операции по удалению опухоли.Когда результаты обследования готовы, собирается медицинский консилиум, на котором эксперты смежных специальностей рассматривают клинический случай и принимают решение о том, каким именно будет лечение. После чего лечащий врач беседует с пациентом, оглашает ему прогноз и рассказывает о преимуществах и рисках выбранных методов.
Сколько стоит лечение в Израиле
Стоимость лечения зависит от ряда факторов, среди которых:
Примерная стоимость обсуждается на этапе подготовки к поездке, точная цена оглашается после завершения диагностики в клинике.
В любом случае, что цены на медицинские услуги в Израиле примерно на 20-30% ниже, чем в странах Европы, при этом уровень медицины Израиля не хуже, чем в Германии, Австрии или Великобритании. Высочайшие стандарты в медицине и низкие цены за медицинские услуги делают Израиль одним из наиболее популярных направлений на карте медицинского туризма.
Преимущества
К преимуществам эндопротезирования в клинике Ассута можно отнести следующие аспекты:
Многие пациенты, прошедшие лечение в клинике Ассута, делятся своими впечатлениями с другими. Отзывы о лечении в Израиле вы можете прочитать и на нашем сайте. Если же вас заинтересовало лечение в клинике Ассута или у вас имеются какие-либо вопросы касательно лечения и пребывания в больнице, то связаться с нашими консультантами можно, отправив заявку на сайте.
Читайте также:




