Коррекция hallux valgus - лучевая оценка
Добавил пользователь Евгений Кузнецов Обновлено: 08.11.2025
Эндопротез, артродез мелких суставов кисти и стопы - лучевая оценка
а) Терминология:
• Мелкие протезы могут быть использованы для замещения костей или суставов в кистях или стопах:
о Используется множество материалов; могут быть металлические компоненты, но большая часть представлена силиконом
(Слева) Рентгенография в ЗП проекции: лучезапястная артропластика. Компоненты установлены корректно; ножка протеза лучевой кости выступает в лучевую кость, а ножка протеза запястья выступает в тело третьей кости запястья. Дистальная часть локтевой кости резецирована. Подвывих происходит вследствие нестабильности связок у пациента с РА, что часто приводит к несостоятельности протеза.
(Справа) Рентгенография в ЗП проекции: гомогенная плотность ладьевидной и полулунной костей. Силиконовые импланты, оба с подвывихом, и сопутствующий массивный остеолиз, вовлекающий множество прилегающих костей. (Слева) Рентгенография в ЗП проекции: сращение первого пястно-фалангового сустава и выраженное смещение силиконового протеза локтевой кости у пациента с РА. Силиконовые ножки лучезапястных протезов нечетко визуализируются в лучевой и третьей запястной костях при несостоятельной артропластике запястья.
(Справа) Рентгенография в ЗП проекции: сращение костей запястья на стороне лучевой кости, включая ладьевидную, трапециевидную и трапецию, предпринятое по поводу остеоартрита вследствие травмы. Так как установка имплантов запястья имеет неблагоприятный прогноз, артродез является методом выбора у некоторых пациентов.
б) Визуализация:
• Силиконовые протезы имеют повышенную плотность на рентгенограмме в сравнении с прилегающей остеопоротичной костью:
о С ровным контуром, однородной структурой; повторяет форму кости, но не содержит трабекул
• Перелом петли при артропластике по Swanson сложно визуализировать:
о Вторичный признак: прерывистость, особенно между телом и ножкой импланта
о Резкие изменения в расположении по оси или смещение фаланги, таким образом, что ножка протеза внутри фаланги больше не может быть прикреплена к телу импланта
о Высокий риск несостоятельности, особенно у пациентов с РА (26-34%)
• Перипротезный перелом: следует следить за зонами с ↑ риском:
о Лучезапястная артропластика: ножка протеза выступает в тонкое тело третьей пястной кости
о Артропластика по Swanson: ножка протеза выступает в фалангу и/или тело пястной/плюсневой кости; подвывих также повышает риск развития перелома
• Дислокация протеза:
о Импланты, удерживаемые только за счет формы (кости запястья, мениски височно-нижнечелюстного сустава), могут смещаться при любой повышенной нагрузке или движении
о Ножка протеза при артропластике по Swanson может выходить из фаланги без перелома; удлиненный треугольник протеза визуализируется в мягких тканях
• Болезнь частиц:
о Возможно развитие остеолиза в областях наличия частиц
о MPT: ↓ силиконовый имплант; синовит, отек костного мозга/кисты
Коррекция hallux valgus - лучевая оценка
а) Определения:
• Hallux valgus - хорошо укоренившийся ошибочный термин:
о Понятие вальгусный относится к деформации в вертикальной плоскости, отклонение верхушки медиально
о Hallux valgus представляет собой деформацию первого плюсне-фалангового сустава в горизонтальной плоскости, отклонение верхушки медиально:
- Правильный термин: hallux abductus
о В некоторых источниках использован термин hallux abductovalgus
• Metatarsus primus varus также является неверным термином:
о Понятие варусный относится к деформации в вертикальной плоскости, отклонение верхушки латерально
о Metatarsus primus varus - это деформация первого плюсне-фалангового сустава в горизонтальной плоскости, отклонение верхушки латерально
о В некоторых источниках использован термин metatarsus primus adductus
1. Общая характеристика:
• Локализация:
о Остеотомия первой плюсневой кости: проксимальная или дистальная
о Остеотомия первой проксимальной фаланги

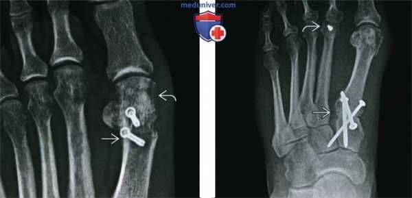
(Слева) Рентгенография в ПЗ проекции: пластика по Silver. Эта простая бурсэктомия (резекция медиального выступа головки первой плюсневой кости) не повлияла на деформирующую силу на первом пальце. У пациента варусное отклонение первой кости плюсны (>10° между первой и второй плюсневыми костями) и рецидивирующий hallux valgus.
(Справа) Рентгенография в ПЗ проекции, тот же пациент после остеотомии первой проксимальной фаланги и первой кости плюсны: теперь определяется ятрогенное укорочение первого пальца, что может привести к механической метатарзалгии.
2. Рентгенография после коррекции hallux valgus:
• Операция Silver (бурсэктомия): иссечение медиального костного выступа головки первой плюсневой кости:
о Как правило, в сочетании с каким-либо типом коррекционной остеотомии
• Остеотомии первой плюсневой кости: реконструкция плюсневой кости для улучшения сочленения плюсне-фалангового сустава:
о Фиксация при остеотомии может быть выполнена спицами Киршнера или винтами
о Остеотомия Chevron: V-образная в сагиттальной плоскости
о Остеотомия Scarf: Z-образная в сагиттальной плоскости
о Клиновидная остеотомия проксимальной части плюсневой кости:
- Боковое замыкание или медиальное открытие клина
о Метод Ludloff: косое направление остеотомии, 30° по отношению к горизонтальной плоскости:
- Проксимальный край тыльный, дистальный - подошвенный
о Метод Mitchell: L-форма в аксиальной плоскости:
- Латеральный кортикальный слой «вырезан»
- Дистальный фрагмент перемещен латеральнее
о Серповидная остеотомия:
- В двух проекциях, позволяет производить ротацию первой плюсневой кости
• Метод Keller: бурсэктомия + резекция проксимальной части первой проксимальной фаланги
• Метод Lapidus: бурсэктомия + артродез первого предплюсне-плюсневого сустава
3. Рекомендации по визуализации:
• Лучший метод визуализации:
о Рентгенография
• Протокол исследования:
о Рентгенография в ПЗ проекции, рентгенография в боковой проекции с нагрузкой
4. Радионуклидные исследования:
• Остеосцинтиграфия:
о Может визуализироваться снижение кровотока в головке первой плюсневой кости, но резко развивается симптомный остеонекроз

(Слева) Рентгенография в ПЗ проекции: бурсэктомия и шевронная остеотомия с боковым смещением головки первой плюсневой кости через участок остеотомии. Шевронная остеотомия нечетко визуализируется при ПЗ рентгенографии, так как имеет V-образную форму в сагиттальном сечении.
(Справа) Рентгенография в ПЗ проекции: остеотомия первой плюсневой кости в сочетании с артродезом предплюсне-плюсневого сустава, выполненная для коррекции гиперподвижности первого пальца стопы и варусной деформации первой плюсневой кости. Укорачивающая остеотомия головки второй плюсневой кости была также выполнена для коррекции деформации стопы Мортона.
в) Патология. Макроскопические и хирургические особенности:
• Компоненты мягких тканей, с которыми проводят манипуляции, как правило, не видны на рентгенограммах:
о Модифицированный метод McBride: мобилизация приводящей мышцы большого пальца стопы с целью коррекции расположения сесамовидной кости
о Пликация медиальной капсулы
о Мобилизация латеральной капсулы
г) Клинические особенности:
1. Послеоперационные осложнения:
• Hallux varus: вследствие мобилизации боковой капсулы сустава и/или боковой сесамоидэктомии
• Рецидив Hallux valgus: вследствие неполной коррекции фонового состояния, приводящего к деформации
• Повреждение сухожилия:
о Редко визуализируется повреждение длинного разгибателя большого пальца стопы
• Персистирующее смещение сесамовидной кости
• Дорсифлексия первого плюсне-фалангового сустава
• Укорочение первой плюсневой кости
• Механическая метатарзалгия:
о Перенос нагрузки с первой плюсневой кости на вторую плюсневую кость
о Визуализируется после хирургического укорочения первой плюсневой кости или когда развивается послеоперационная дорсифлексия первой плюсневой кости
о Приводит к болезни фрейберга, нестабильности второй плюсневой кости, стрессовому перелому головки или шейки второй плюсневой кости
• Остеомиелит:
о Развивается редко
о Следует искать эрозии, очаговую остеопению, перелом кортикального слоя, резорбцию вокруг спиц Киршнера, винтов
• Остеонекроз головки первой плюсневой кости
• Псевдоартроз или неудачные попытки артродеза
2. Операции по жизненным показаниям:
• Дополнительная остеотомия для улучшения сочленения
• Артродез первого плюсне-фалангового сустава или первого пястно-запястного сустава
д) Диагностическая памятка. Рекомендации по отчетности:
• Необходимо описать остаточную деформацию, характер заживления после остеотомии
• Следует быть внимательным в отношении признаков механической нагрузки на вторую плюсневую кость
• Необходимо следить за неправильным расположением сесамовидных костей
Hallux valgus ( Вальгусная деформация первого пальца стопы )
Hallux valgus – это заболевание, при котором первый палец стопы деформируется на уровне плюснефалангового сустава и отклоняется кнаружи. Патология сопровождается прогрессирующим артрозоартритом первого плюснефалангового сустава. Болезнь развивается постепенно и обычно усугубляется с возрастом. Проявляется болями при ходьбе, возможны ночные боли. При выраженной деформации возникает ограничение движений в I плюснефаланговом суставе. Диагноз выставляется на основании клинических признаков и данных рентгенографии. Лечение на ранних стадиях консервативное, симптоматическое. При значительной деформации выполняется хирургическая коррекция.
МКБ-10


Общие сведения
Hallux valgus – вальгусная деформация первого пальца стопы в плюснефаланговом суставе. Вследствие деформации палец отклоняется кнаружи под углом к остальным. Заболевание широко распространено в травматологии и ортопедии, выявляется у женщин в 10 раз чаще, чем у мужчин. Предполагается, что причиной такой разницы является слабость связочного аппарата у представительниц слабого пола, а также ношение неудобной узкой обуви на высоких каблуках. Патология широко распространена, диагностируется у лиц всех возрастов.
Причины
Основной причиной развития Hallux valgus обычно является недостаточность соединительной ткани, которая может проявляться поперечным плоскостопием, чрезмерной подвижностью суставов, варикозной болезнью, повышенной растяжимостью связок, фасций и кожи. Выявляется наследственная предрасположенность – как правило, у ближайших родственников больных (мам или бабушек) также есть данная деформация.
Остальные факторы: высокие каблуки, хождение в неудобной узкой, тесной или короткой обуви – вторичны и лишь способствуют формированию Hallux valgus. Вторая группа причин развития патологии – врожденные деформации стоп, травмы и некоторые другие патологии. В частности, в эту группу входит ряд заболеваний, при которых наблюдается нарушение нервной регуляции мышц голени и стопы (например, полиомиелит).
Патогенез
Наряду со слабостью связок определенную роль в развитии Hallux valgus играет неравномерное натяжение мышц, приводящих и отводящих I палец, а также генетическая склонность к образованию экзостоза по внутренней поверхности головки I плюсневой кости. При формировании деформации неравновесие в натяжении мышц еще больше усугубляется, плюснефаланговый сустав становится нестабильным.
Внутренняя поверхность сустава постоянно раздражается при контакте с обувью, в результате чего смещение головки I плюсневой кости дополняется образованием костного нароста, что еще больше усугубляет деформацию. Из-за изменения формы стопы происходит перераспределение нагрузки – область головок III и II плюсневых костей постоянно перенагружается во время ходьбы. Это приводит к возникновению болей и формированию артроза не только в области I, но и в области II и III плюснефаланговых суставов.
Классификация
Степень выраженности патологии определяют с учетом двух величин: угла между II и I плюсневыми костями (Intermetatarsal angle) и угла, под которым I палец отклонен по отношению к I плюсневой кости (Hallux valgus angle). Степени Hallux valgus:
- 1 степень – угол между плюсневыми костями менее 12 градусов, угол отклонения I пальца менее 25 градусов.
- 2 степень – величина угла колеблется от 12 до 18 градусов, I палец отклоняется более чем на 25 градусов.
- 3 степень – угол между костями плюсны составляет более 18 градусов, угол отклонения первого пальца достигает более 35 градусов.
Симптомы Hallux valgus
Пациенты жалуются на боль в области I плюснефалангового сустава. Боль усиливается после продолжительной ходьбы или длительного пребывания на ногах и уменьшается в покое. Возможны ночные боли, особенно после значительной нагрузки на стопу. Болевой синдром может значительно различаться как по характеру, так и по силе – от ощущения дискомфорта (обычно на ранних стадиях) до резкой жгучей или постоянной ноющей боли.
Выраженность болей не всегда четко коррелирует с тяжестью артроза и величиной деформации, хотя при значительном смещении головки I плюсневой кости симптоматика обычно более яркая. По мере развития деформации стопа все больше теряет нормальную форму, расширяется и уплощается, I палец «ложится» на II, нередко возникают сопутствующие деформации II пальца (молоткообразный палец).
Все перечисленное в сочетании с «шишкой» в проекции I плюснефалангового сустава существенно влияет на внешний вид стопы. Поэтому, наряду с болью, причиной обращения пациентов с Hallux valgus к ортопедам зачастую становится косметический дефект и проблемы при подборе обуви. Особенно часто подобные жалобы предъявляют молодые женщины.
Диагностика
Диагноз Hallux valgus выставляется травматологом-ортопедом. При установлении диагноза и определении степени выраженности патологии специалист ориентируется на данные внешнего осмотра и результаты визуализационных методик. Применяются следующие методы исследования:
- Внешний осмотр. Стопа распластана. Выявляется видимая деформация и незначительная или умеренная гиперемия в проекции I плюснефалангового сустава. Первый палец отклонен кнаружи под углом к остальным. Пальпация безболезненна или нерезко болезненна, по внутренней поверхности I плюснефалангового сустава определяется костный экзостоз и уплотнение кожи. Движения обычно ограничены, при максимальном разгибании I пальца может возникать боль.
- Рентгенография стопы. Является основным диагностическим методом при Hallux valgus. Рентгенолог производит специальные измерения, на основании которых определяет степень патологии. Наряду со степенью деформации при изучении рентгеновских снимков оценивают выраженность артрозных изменений. О наличии артроза свидетельствует сужение суставной щели, деформация суставной площадки, краевые разрастания и остеосклероз субхондральной зоны.
- Томография. Применяется в отдельных случаях. При необходимости детализировать перечисленные изменения пациента направляют на КТ стопы. По показаниям назначают МРТ стопы для исследования мягких тканей.

Рентгенография стопы. Вальгусная девиация первого пальца стопы, с увеличением угла отклонения 1-го пальца и угла между осями 1-й и 2-й плюсневых костей.
Лечение Hallux valgus
Консервативная терапия
Заболевание невозможно устранить без операции. Тем не менее, на ранних стадиях болезни у молодых пациентов, а также при любых степенях деформации в старческом или пожилом возрасте рекомендуется консервативное лечение. Основными целями являются устранение болевого синдрома и предотвращение прогрессирования болезни. Лечение осуществляется в условиях амбулаторного приема. При болях используют противоспалительные и согревающие мази. В период ремиссии применяют:
- индуктотермию;
- озокерит;
- фонофорез с гидрокортизоном;
- электрофорез с новокаином или тримекаином.
При наличии признаков воспаления больного направляют на УВЧ или магнитотерапию. Пациентам советуют снизить вес (при излишней массе тела). Следует оптимизировать нагрузку: выполнять комплекс упражнений для укрепления связок и мышц стопы, по возможности исключить длительное стояние и ходьбу. Необходимо использовать специальную ортопедическую обувь применять вкладыши, чтобы устранить чрезмерное давление на область I плюснефалангового сустава и предотвратить дальнейшее вальгусное отклонение I пальца.
Хирургическое лечение Hallux valgus
При неэффективности консервативной терапии показано оперативное лечение, проводимое в условиях стационара. Существует около 300 вариантов операций при Hallux valgus. Все методики можно разделить на 3 группы:
- На мягких тканях. Эффективны только при I степени деформации. Возможно использование методики Сильвера, при которой отсекается сухожилие приводящей мышцы I пальца, или операции Мак-Брайда, при которой это сухожилие перемещается. Цель лечения – восстановить равномерность тяги приводящей и отводящей мышц.
- На костных и мягкотканных структурах. Нередко перечисленные хирургические операции выполняются в сочетании с иссечением костного нароста и подкожной слизистой сумки в области I плюснефалангового сустава (операция Шеде).
- На костях. При лечении II и III степени Hallux valgus выбор делается между двумя методами: шевронной и Scarf остеотомией. При шевронной остеотомии удаляют небольшой V-образный фрагмент в дистальной части I плюсневой кости. При Scarf остеотомии выполняют Z-образный разрез (распил) практически на всем протяжении I плюсневой кости, а затем «сдвигают» фрагменты с тем, чтобы устранить угол между I и остальными плюсневыми костями. Отломки фиксируют винтами.
Реабилитация
В послеоперационном периоде больному сразу разрешают дозированно нагружать ногу в специальном ортезе, который обязателен для ношения в течение 6 недель. В этот период рекомендуют чаще держать ногу в возвышенном положении и избегать перегрузок. В последующем следует носить широкую обувь, выполнять специальный комплекс ЛФК и проводить самомассаж свода стопы с использованием теннисного мяча.
Прогноз
Прогноз определяется стадией заболевания. При незначительной деформации и отсутствии выраженных артрозных изменений консервативная терапия и соблюдение врачебных рекомендаций позволяют устранить болевой синдром, существенно замедлить развитие болезни. На поздних стадиях перечисленные меры неэффективны, однако операция обеспечивает хороший функциональный и косметический результат. При несоблюдении рекомендаций врача в отдаленном периоде после вмешательства возможны рецидивы.
Профилактика
Профилактические меры включают подбор удобной обуви, сокращение периодов стояния и длительной ходьбы. Людям, имеющим предрасположенность к данному заболеванию (выявленное поперечное плоскостопие, наличие Hallux valgus у ближайших родствеников) следует использовать ортопедические стельки, отказаться от обуви на высоком каблуке, выполнять специальные комплексы упражнений.
а) Визуализация:
• Операция Silver (бурсэктомия): иссечение медиального костного выступа головки первой плюсневой кости:
о Как правило, в сочетании с каким-либо типом коррекционной остеотомии
• Остеотомии первой плюсневой кости: реконструкция плюсневой кости для улучшения сочленения плюсне-фаланговых и предплюсне-плюсневый суставов:
о Остеотомия Chevron: V-образная в сагиттальной плоскости
о Остеотомия Scarf: Z-образная в сагиттальной плоскости
о Клиновидная остеотомия проксимальной части плюсневой кости
• Метод Keller: бурсэктомия + резекция проксимальной части первой проксимальной фаланги
• Метод Lapidus: бурсэктомия + артродез первого предплюсне-плюсневого сустава
(Слева) Рентгенография в ПЗ проекции: пластика по Silver. Эта простая бурсэктомия (резекция медиального выступа головки первой плюсневой кости) не повлияла на деформирующую силу на первом пальце. У пациента варусное отклонение первой кости плюсны (>10° между первой и второй плюсневыми костями) и рецидивирующий hallux valgus.
(Справа) Рентгенография в ПЗ проекции, тот же пациент после остеотомии первой проксимальной фаланги и первой кости плюсны: теперь определяется ятрогенное укорочение первого пальца, что может привести к механической метатарзалгии. (Слева) Рентгенография в ПЗ проекции: бурсэктомия и шевронная остеотомия с боковым смещением головки первой плюсневой кости через участок остеотомии. Шевронная остеотомия нечетко визуализируется при ПЗ рентгенографии, так как имеет V-образную форму в сагиттальном сечении.
(Справа) Рентгенография в ПЗ проекции: остеотомия первой плюсневой кости в сочетании с артродезом предплюсне-плюсневого сустава, выполненная для коррекции гиперподвижности первого пальца стопы и варусной деформации первой плюсневой кости. Укорачивающая остеотомия головки второй плюсневой кости была также выполнена для коррекции деформации стопы Мортона.
б) Патология:
• Компоненты мягких тканей, с которыми проводят манипуляции, как правило, не видны на рентгенограммах
в) Клинические особенности:
• Послеоперационные осложнения:
о Hallux varus: вследствие мобилизации боковой капсулы сустава и/или боковой сесамоидэктомии
о Рецидив hallux valgus: вследствие неполной коррекции фонового состояния, приводящего к деформации
о Дорсифлексия первого плюсне-фалангового сустава
о Механическая метатарзалгия (значительно укороченная первая плюсневая кость)
о Остеомиелит
о Остеонекроз головки первой плюсневой кости
• Персистирующее смещение сесамовидной кости
г) Диагностическая памятка:
• Необходимо описать остаточную и новую деформацию, характер заживления после остеотомии
• Следует быть внимательным в отношении признаков механической нагрузки на вторую плюсневую кость
• Необходимо следить за неправильным расположением сесамовидных костей
Операция при Hallux valgus
Операция при Hallux valgus – хирургическое вмешательство для устранения деформации в области первого плюснефалангового сустава. Показанием к операции является косметический дефект, болевой синдром, прогрессирование деформации, натоптыши и другие патологические проявления Hallux valgus. Существует большое количество методик для коррекции данной деформации, способ вмешательства выбирается индивидуально с учетом выраженности патологии и других факторов. Операция производится планово в условиях ортопедического или травматологического отделения. В послеоперационном периоде обычно проводится иммобилизация.
Виды операции
Существует множество различных техник устранения деформации при Hallux valgus. Выбор методики осуществляется травматологом или ортопедом с учетом выраженности патологии, возраста пациента, сопутствующих изменений соседних отделов стопы. Основные типы оперативных вмешательств, применяемые в современной травматологии и ортопедии, включают:
- Простое удаление выступающего фрагмента кости (операции типа Шеде). Вмешательство носит название экзостэктомии, показано при нерезко выраженной деформации.
- Операцию при Hallux valgus, в ходе которой производится восстановление связок, окружающих I плюснефаланговый сустав.
- Резекционную артропластику. Заключается в иссечении головки I плюсневой кости.
- Артродез. Суставные поверхности иссекаются, сустав фиксируется и становится неподвижным.
- Артропластику. Поверхности сустава заменяются синтетическими имплантатами.
Возможно также исправление деформации путем остеотомии. Суть вмешательства заключается в удалении фрагмента одной или нескольких костей. Чаще всего удаляют небольшой участок I плюсневой кости, реже – фрагмент основной фаланги I пальца. Иногда применяют методику, предусматривающую удаление участков обеих костей, в отдельных случаях иссекают фрагмент клиновидной кости (кости предплюсны, с которой соединяется I плюсневая кость). Частичное удаление кости производится для устранения углового смещения. После иссечения костного фрагмента отломки фиксируют в анатомически правильном положении.
Методика проведения
Хирургическое вмешательство производят в плановом порядке. Перед госпитализацией пациента обследуют, назначают общие анализы, выполняют рентгенограммы первого плюснефалангового сустава. В качестве метода обезболивания используют местную или проводниковую анестезию. Общий наркоз применяют редко. Разрез выполняют по тыльной поверхности стопы над областью поражения. Для удаления костных структур используют небольшое долото. После проведения запланированных хирургических мероприятий рану ушивают, устанавливают резиновый выпускник.
После операции
Обычно после операций при Hallux valgus осуществляют фиксацию конечности гипсовой или пластиковой лонгетой. Продолжительность иммобилизации может значительно варьироваться, зависит от типа проведенного хирургического вмешательства. Срок выписки определяется наличием отека, состоянием послеоперационной раны и общим состоянием пациента. Швы снимают на 10-12 сутки. В последующем рекомендуют выбирать удобную обувь, отказаться от ношения обуви на высоком каблуке, выполнять специальные упражнения.
Читайте также:
