КТ брюшной полости при туберкулезе
Добавил пользователь Владимир З. Обновлено: 12.12.2025
Компьютерная томография (КТ) с контрастом — высокоточный метод диагностики, который предполагает введение в организм пациента специального йодсодержащего препарата. Контраст вводится непосредственно во время сканирования исследуемой зоны внутривенно с помощью инжектора (специального насоса). Вещество задерживает рентгеновские лучи, что позволяет более точно визуализировать мягкие ткани, артерии и вены, «окрашивая» их изнутри в ответ на воздействие рентгеновского излучения.
Препарат нетоксичен, безопасен для организма пациента и выводится в течение суток.
На сканах КТ с контрастом отчетливо просматриваются границы тканей различной морфологии, видны малейшие структурные отклонения от нормы — изображения получаются более детализированными, а информативность исследования повышается.
Дополнительное контрастирование необходимо только в определенных ситуациях, например, когда есть необходимость в первичной дифференциальной диагностике новообразований (при подозрении на онкологию), мониторинге результатов лечения онкологии (хирургического вмешательства, химеотерапии), при оценке сосудистого русла и проходимости вен. Целесообразность компьютерной томографии с контрастом сможет уточнить ваш лечащий врач. При некоторых заболеваниях щитовидной железы и почек, при беременности введение контрастного препарата осуществляется по жизненным показаниям.
Сосуды — артерии и вены — возможно исследовать только на КТ с контрастом. Перед операциями на сосудах, при наличии выраженных патологических изменений, таких как мальформации, стеноз, атеросклеротические бляшки, данный вид диагностики считается «золотым стандартом».
Когда проводится КТ с контрастом?
Чаще всего КТ с контрастом назначается лечащим врачом, либо пациент проходит обследование, чтобы контролировать изменение размера новообразования после проведенного лечения или ход восстановления после перенесенного хирургического вмешательства.
Однако бывают ситуации, когда во время обзорной компьютерной томографии без контраста врач-рентгенолог замечает подозрительное уплотнение или новообразование. В этом случае для уточнения результатов первого обследования, размеров новообразования и его специфики, пациенту рекомендуют пройти повторную КТ с контрастом.
Поскольку препарат безопасен, то при отсутствии противопоказаний пройти КТ с контрастом можно без направления врача.
КТ с контрастом отдается предпочтение в следующих ситуациях:
- Обследование сосудистой системы и глубоких вен — на трехмерных посрезовых томограммах врач-рентгенолог осматривает сосуды на предмет повреждений, мальформаций, стеноза (патологического сужения просвета), атеросклеротических бляшек, кальцификатов. КТ сосудов с контрастом называют «ангиографией». Исследование обладает важной прогностической ценностью, поскольку позволяет своевременно обнаружить предикторы инсульта, тромбоз и опухоли, которые сдавливают сосуды.
- При подозрении на онкологию / для оценки динамики роста опухоли / для оценки результатов хирургического удаления опухоли или химиотерапии — компьютерная томография с контрастом позволяет обнаружить даже небольшие злокачественные опухоли. Раковые клетки могут расти и делиться, когда получают достаточное количество кислорода и питательных веществ. Поэтому кровообращение в месте растущей опухоли как правило более интенсивное, а текстура ткани более плотная, но бывает и обратная ситуация, когда метастазы гиповаскулярны по отношению к окружающим тканям . На сканах КТ с контрастом у онкологии особенный «рисунок», а сама опухоль окрашена в более светлый цвет. Врач-рентгенолог сможет оценить размер новообразование и дать первичное дифференцированное заключение, то есть отличить раковую опухоль от кисты, доброкачественной липомы и др. Для уточнения диагноза пациенту в этом случае также необходимо сдать образец ткани на лабораторное гистологическое исследование (биопсию).
КТ с контрастом всегда назначается при подозрении на онкологию:
- Органов брюшной полости (печени, почек, кишечника, желчного пузыря);
- Органов грудной клетки (легких, гортани, сердца, средостения);
- Головного мозга;
- Мягких тканей опорного аппарата (мышц, связок).
- При подозрении на метастазы — КТ с контрастом позволяет выявить злокачественные клетки, мигрировавшие от очага онкологии в другие органы и ткани по кровотоку и лимфатическим сосудам.
- При заболеваниях, в результате которых поражены мягкие ткани и внутренние органы — КТ головного мозга, КТ шеи (при диагностике лимфоузлов), КТ брюшной полости лучше всего делать с контрастом.
- Неясная или сложная клиническая картина — для уточнения результатов других исследований.
Что показывает КТ с контрастом
КТ головного мозга с контрастом проводится пациентам, перенесшим инсульт. Обследование рекомендуется проходить сразу после проявления первых признаков острого нарушения мозгового кровообращения при гемморагическом инсульте. Последствия ишемического инсульта оценивают через 4-5 часов. На КТ головы с контрастом более ясно и отчетливо чем на МРТ визуализируются опухоли и сосудистые патологии, в том числе аневризмы, мальформации, каверномы, гемангиомы.
КТ шеи с контрастом позволяет исследовать лимфоузлы, опухоли мягких тканей шеи и гортани.
На КТ органов грудной клетки с контрастом визуализируют грудную аорту. Обследование покажет тромбоэмболию легочной артерии (ТЭЛА) и опухоли легких. Для оценки дыхательного органа при туберкулезе и пневмонии достаточно сделать КТ без контраста.
КТ брюшной полости с контрастом рекомендована в преобладающем большинстве случаев. Помимо патологий внутренних органов (мочекаменной-, желчекаменной болезни, панкреатита, увеличенных лимфоузлов), диагностика покажет брюшную аорту и другие артерии живота, посттравматические нарушения и опухоли: печени, почек, поджелудочной железы, селезенки.
КТ малого таза с контрастом проводится с целью обследования лимфатических узлов, однако для исследования внутренних органов предпочтение отдается другим методам — УЗИ, МРТ и др.
КТ мягких тканей с контрастом показывает опухоли — врач-рентгенолог сможет оценить размер новообразования и уточнить его специфику, однако для правильной постановки диагноза следующее заключение должен дать врач-гистолог.
КТ-ангиография с контрастом
Компьютерная томография сосудистого русла или КТ-ангиография — это основное исследование, которое позволяет оценить проходимость и функциональность сосудов. Наиболее востребовано сканирование аорты, коронарного кровотока, шеи и головы. Именно это обследование позволяет выявить предынсультные факторы риска и проводится пациентам с симптомами острого нарушения мозгового кровообращения, при подозрении на инсульт.
КТ-ангиография показывает повреждения сосудистых и венозных стенок, опухоли, мальформации, аневризмы, холестериновые бляшки, отложения солей кальция, стеноз, тромбоз — любые патологические нарушения кровотока. КТ-ангиография проводится только с контрастом, поскольку без «окрашивания» исследование неинформативно. Обследование также назначается пациентам перед хирургическими вмешательствами, в частности, перед операциями на сосудах, например, по удалению мальформаций.
Какие бывают препараты для контрастирования?
Сегодня в медицинских учреждениях применяются различные ионные и неионные препараты, содержащие в своем составе йод. Именно йод делает сканы более контрастными и насыщенными, а вред от его попадания в организм отсутствует. Эффективное количество контрастного вещества рассчитывается исходя из веса пациента.
В нашем центре применяется нетоксичный и абсолютно безопасный неионный контрастный препарат «Омнипак», который быстро и практически безболезненно вводится болюсным способом с помощью инжектора. В случае с КТ брюшной полости пациенту дают дополнительно выпить контраст.
Пациентам с эндокринными заболеваниями щитовидной железы, в частности гипертиреозом, следует проконсультироваться с эндокринологом — введение йодсодержащего препарата может быть крайне нежелательно. Также необходимо удостовериться в отсутствии аллергии на йод — основного компонента контраста. Но прежде чем делать домашнюю тест-пробу, будьте осторожны — у некоторых пациентов даже при нанесении йода на сгиб локтя может быть непредсказуемая реакция, вплоть до анафилактического шока.
Подготовка к КТ с контрастом
КТ без контраста не требует специальной подготовки. Перед сканированием с контрастированием следует придерживаться следующего алгоритма:
- Убедиться в отсутствии аллергии на йод.
- Ознакомиться с перечнем абсолютных и относительных противопоказаний к КТ с контрастом.
- Не более чем за 10 дней перед диагностикой проверить функциональность почек (именно они отвечают за выведение препарата из организма), сдав анализ крови на креатинин.
- Пациентам с заболеваниями щитовидной железы (особенно гипертиреозом) и сахарным диабетом — проконсультироваться с эндокринологом.
- Не менее чем за 3 часа до исследования — воздержаться от приемов пищи.
Подробнее об алгоритме подготовки к КТ малого таза и КТ брюшной полостис контрастом читайте по ссылкам на соответствующих страницах нашего сайта.
Как проводится КТ с контрастом
Пациент приходит на обследование в удобной одежде, снимает металлические украшения и съемные медицинские устройства, после чего ложится на кушетку. Рентгенолаборант устанавливает шприц-инжектор для введения контраста. Препарат начинает действовать, циркулируя по кровеносной системе, затем начинается сканирование, которое длится менее 1 минуты.
Стол томографа перемещается внутрь рамы (гентри), на которой установлены ряды чувствительных датчиков, регистрирующих ответ тканей и внутренних органов сканируемой зоны. Датчики вращаются по траектории спирали. В нашем центре процедура КТ с контрастом (МСКТ) проводится на современном мультиспиральном томографе Siemens Somatom go.Now со сниженной лучевой нагрузкой.
Всего за несколько секунд томограф делает множество посрезовых сканов. Изображения в высоком разрешении обрабатываются на компьютере — создается трехмерная модель-реконструкция внутренних органов и сосудов. Исследование записывается на DVD-диск.
Процедура КТ с контрастом длится 15-20 минут с учетом введения препарата.
После КТ с контрастом
Некоторые пациенты переживают накануне исследования. Не стоит бояться КТ с контрастированием — исследование проходит быстро и в большинстве случаев абсолютно без дискомфорта. После введения контраста пациент ощущает по всему телу тепло — это нормальная реакция организма, на быстрое введение жидкости в сосудистое русло. Чтобы контрастный препарат выводился из организма быстрее, после обследования рекомендовано пить больше воды. Препарат выводится естественным путем в течение 1-2 суток.
Сразу после КТ с контрастом пациент получает на диске запись исследования в отличном качестве. Врач-рентгенолог подготовит заключение и отправит пациенту на электронную почту.
КТ брюшной полости при туберкулезе
а) Терминология:
1. Аббревиатура:
• Туберкулез (ТБ)
2. Определение:
• Инфекция, обусловленная микобактериями туберкулеза
б) Визуализация:
1. Общая характеристика брюшной полости при туберкулезе:
• Ключевые диагностические признаки:
о Чаще в брюшной полости при туберкулезе поражаются лимфатические узлы, брюшина, органы мочеполовой системы и желудочно-кишечного тракта:
- Чаще всего имеет место внутрибрюшная лимфаденопатия (2/3 всех случаев)
- Органы мочеполовой системы - излюбленная локализация туберкулезной инфекции
2. Рекомендации по визуализации:
• Наилучший метод диагностики:
о КТ с внутривенным контрастированием
3. Рентгенография:
• Часто не выявляется никаких признаков заболевания легких: (рентгенограммы легких или КТ могут быть абсолютно нормальными)
(Слева) На аксиальном срезе при КТ с контрастным усилением у молодой женщины, больной СПИДом, выявлена брыжеечная и забрюшинная лимфаденопатия. В некоторых из увеличенных лимфоузлов видны центральные некротические казеозные массы низкой плотности характерные для микобактериальной инфекции.
(Справа) На аксиальном КТ срезе определяется большое кистозное объемное образование в воротах печени и в области головки поджелудочной железы — конгломерат увеличенных лимфоузлов с изменениями по типу казеозного некроза в результате микобактериальной инфекции (М. tuberculosis). (Слева) На аксиальном КТ срезе визуализируется полость и распространенные (в нескольких долях) изменения по типу бронхоальвеолярной инфекции легких, типичные для активной формы туберкулеза. Эта пациентка — молодая женщина, студентка из Азии, приехавшая на учебу «по обмену».
(Справа) На аксиальном срезе у этой же пациентки определяется утолщение стенки слепой кишки в сочетании с регионарной брыжеечной лимфаденопатией, что типично для кишечной и внутриузловой локализации ТБ. (Слева) На аксиальном КТ срезе видно уменьшенную в размерах, нефункционирующую и частично обызвествленную почку (нефрокальциноз) - типичное проявление хронической туберкулезной почечной инфекции. У пациента в анамнезе имеется туберкулез легких.
(Справа) При аксиальной КТ выявлены обызвествленные в результате успешного противотуберкулезного лечения гранулемы в забрюшинных и позадиножковых лимфоузлах. Левая почка тотально обызвествлена и нефункциональна, аутонефрэктомия произошла вследствие хронического туберкулеза почки. Мелкие фокальные обызвествления также имеют место и в надпочечниках.
4. КТ брюшной полости при туберкулезе:
• Лимфаденопатия (туберкулезный лимфаденит):
о Выраженность может варьировать от увеличения количества не измененных в размерах лимфоузлов до огромных конгломератов:
- Обычно в процесс вовлекаются брыжеечные и парапанкреатические лимфоузлы
- Различные группы лимфатических узлов поражаются одновременно
о Увеличенные лимфоузлы с некрозом в виде гиподенсного участка в центре и гиперденсным, усиливающимся при контрастировании «ободком» по периферии (40-60%):
- Типичные черты казеозного некроза
- Возможен также смешанный тип усиления
о При лечении узлы обызвествляются: ТБ, безусловно, наиболее частая причина обызвествления брыжеечных лимфоузлов
• Туберкулезный перитонит:
о Три основных типа при визуализации: экссудативный, «сухой» и спаечный:
- Экссудативный тип: большое количество свободной или осумкованной жидкости (выпота):
Плотность выпота больше чем у воды в результате содержания в нем белка/клеток
Распространенный асцит с перегородками или фиброзными тяжами
- «Сухой» тип: утолщение брыжейки и сальника, спаечный процесс в брюшной полости и казеозный некроз лимфоузлов
- Спаечный тип: дискретные объемные образования в сальнике, спутанные, «спаянные» между собой петли кишечника. Может быть выявлен локальный отграниченный асцит
о Чувствительность КТ в выявлении туберкулезного перитонита около 69%:
- Сложно отличить от канцероматозного
- При канцероматозе чаще выявляются отдельные включения в брюшине или нетипично утолщенный большой сальник
• Туберкулез ЖКТ:
о Илеоцекальная область поражается более чем в 90% случаев:
- Данная область ЖКТ содержит большое количество жировой ткани и является самым частым местом копростаза
- Слепая кишка и терминальные отделы подвздошной кишки обычно стягиваются (конусообразная слепая кишка) вследствие неравномерного утолщения илеоцекального клапана и медиальной стенки слепой кишки
- Регионарная лимфаденопатия с казеозным некрозом в центре лимфоузлов
о Редко в процесс вовлекается желудок и проксимальные отделы тонкого кишечника:
- Желудок: поражается антральный отдел и дистальные отделы тела. Часто туберкулез данной локализации может симулировать хроническую пептическую язву
- Двенадцатиперстная кишка: утолщение стенки и сужение просвета
• Туберкулез печени и селезенки:
о Мелкоузловой тип:
- Многочисленные узелки 0,5-2,0 мм в диаметре, которые могут (не обязательно) иметь дискретный характер (намного чаще выглядят гиподенсными при КТ, чем гиперэхогенными на УЗИ)
- На КТ может проявляться исключительно гепатоспленомегалией
о Макроузловой тип:
- КТ:
Острая стадия: гиподенсные очаги с нечетко очерченными более плотными краями
Хроническая стадия: возникновение туберкулем с обызвествлениями в структуре
ТБ и гистоплазмоз-наиболее частые причины обызвествленных гранулем
- МРТ:
Т1-ВИ: гипоинтенсивный сигнал, небольшое увеличение размера, изменение структуры по ячеистому типу
Т2-ВИ: гиперинтенсивный сигнал от узла с менее интенсивным «ободком» (по сравнению с паренхимой печени) по периферии
Повышение интенсивности «ободка» после введения контраста (препаратов гадолиния)
• Туберкулез надпочечников:
о Одностороннее (10%) или двухстороннее (90%) поражение
о Острая стадия: увеличенные надпочечники (часто выглядят как дискретные объемные образования с центральным некрозом)
о Хроническая стадия: уменьшенные в размерах надпочечники с множественными микрокальцинатами и пониженным сигналом во всех МР-последовательностях
о Может привести к надпочечниковой недостаточности (самая частая причина в развивающихся странах)
• Туберкулез почек:
о В 75% случаев характерно одностороннее поражение
о КТ:
- Самая частая КТ-находка-обызвествление почек:
Пораженная часть почки может стать нефункциональной; полное отсутствие функции почки и тотальное обызвествление паренхимы = нефрокальциноз
- Ранней находкой является сосочковый некроз (особенно в области верхнего полюса)
- Локальные гиподенсные участки низкой плотности, множественные гиподенсные узлы или дискретный абсцесс
- Утолщение уротелия, казеозный дебрис, стриктуры чашечек и почечного синуса, которые могут привести к гидронефрозу
о Внутривенная урография: симптом «изъеденной молью» почечной чашечки в результате эрозий и продолжающегося некроза сосочков:
- Стриктуры почечной лоханки, синуса
- Застойные явления в чашечках и гидронефроз с неправильными краями и дефектами наполнения вследствие наличия казеозных масс (дебрис)
- Неравномерные зоны контрастного усиления вследствие паренхиматозной кавитации
• Туберкулез мочеточников:
о Обычно возникает вторично при туберкулезе почек
о Утолщение стенки мочеточника со стриктурами наиболее часто в его дистальной трети
о «Скрученный»/неравномерно утолщенный мочеточник в результате стриктур, обусловленных хроническим спаечным процессом
• Туберкулез мочевого пузыря:
о Уменьшение объема мочевого пузыря с утолщением его стенки, изъязвлением и дефектами наполнения
о При выраженных изменениях рубцово измененный мочевой пузырь значительно уменьшен в размерах, неправильной формы, с обызвествлениями в стенке
• Туберкулез органов женской половой системы:
о Имеет тенденцию к поражению фаллопиевых труб (в 94%):
- Бактериальный сальпингит со стриктурами ± непроходимость
о Может поражать эндометрий, который деформируется, приобретает неправильные контуры при УЗИ
• Туберкулез мужских половых органов:
о Поражение семенных пузырьков или предстательной железы, реже яичек
о Может напоминать гнойный абсцесс с/без кальцинатов
• Туберкулез поджелудочной железы:
о Проявляется как объемное образование, похожее на рак (казеозно измененные парапанкреатические лимфоузлы, поражающие поджелудочную железу):
- УЗИ: четко очерченные гипоэхогенные поражения
- КТ: гиподенсное объемное образование (обычно в панкреатической головке) чаще всего без сужения панкреатического протока или прорастания в сосуды
в) Дифференциальная диагностика изменений брюшной полости при туберкулезе:
1. Перитонит:
• Нетуберкулезный перитонит
• Метастазы по брюшине и лимфома
• Мезотелиома
2. Милиарные очаговые поражения печени:
• Метастазы в печени и лимфома
• Оппортунистические инфекции печени
• Саркоидоз
3. Крупноузловое поражение печени:
• Метастазы в печени и лимфома
• Абсцесс печени
• Первичные злокачественные опухоли печени
4. Поражение илеоцекальной области:
• Амебиаз
• Болезнь Крона
• Первичная опухоль слепой кишки
5. Лимфаденит:
• Метастазы или лимфома
• Болезнь Уиппла
• Авиум-микобактериальная внутриклеточная инфекция
6. Поражение почек:
• Сосочковый некроз
• Переходноклеточный рак почки
• Другие инфекции (например, пиелонефрит, ксантогранулематозный пиелонефрит)
7. Поражение надпочечников:
• Метастазы в надпочечниках и лимфома
• Первичная опухоль надпочечников
• Кровоизлияние в надпочечник
8. Поражение мочевого пузыря:
• Шистосомоз мочевого пузыря
• Цистит, обусловленный приемом цитоксана
• Обызвествления мочевого пузыря в результате облучения
• Рак мочевого пузыря с обызвествлениями
г) Патология:
1. Общая характеристика:
• Этиология:
о Первичную инфекцию вызывают микобактерии туберкулеза
о Туберкулез внутрибрюшной локализации обычно возникает на фоне ТБ легких:
- При рентгенографии грудной клетки у 2/3 пациентов в внутрибрюшным ТБ не выявляется патологических изменений
- Только у 15% пациентов имеется активный процесс
о Другие способы распространения инфекции при внутри-брюшном туберкулезе:
- Проглатывание инфицированного материала (например, мокроты)
- Гематогенный перенос активной или латентной инфекции
- Прямое распространение из инфицированных тканей
2. Микроскопия:
• Характерные казеозные гранулемы
• Микроскопия и культивация микобактерий
д) Клинические особенности поражения брюшной полости при туберкулезе:
1. Проявления:
• Наиболее частые признаки/симптомы:
о Внутрибрюшная форма ТБ часто проявляется лихорадкой, потерей веса и болями в животе
о Отрицательные результаты рентгенографии легких или отрицательные кожные пробы не исключают внелегочный туберкулез:
- Могут (не обязательно) иметься доказательства легочного туберкулеза
- Туберкулиновый тест может быть положительным (не обязательно):
Отрицательные результаты возможны при тяжелых, истощающих, подавляющих иммунитет формах заболевания
• Другие признаки/симптомы:
о Туберкулез надпочечников:
- Проявления адиссоновой болезни (надпочечниковая недостаточность, гипотония и электролитные нарушения)
о Туберкулез ЖКТ:
- Обычно дает мало симптомов (или не дает вообще), например, при частичной обструкции
2. Демография:
• Эпидемиология:
о Всплеск заболеваемости ТБ:
- Чаще у пациентов с иммуносупрессией (особенно у пациентов со СПИДом)
- Связан с лекарственно устойчивыми штаммами М. tuberculosis
- Предположительно 1/3 всего населения в мире инфицирована ТБ
• Факторы риска туберкулеза:
о Скопроментированность иммунитета (при СПИД, у реципиентов трансплантантов, при приеме иммуносупрессивных препаратов)
о Низкий уровень благосостояния, асоциальный образ жизни, алкоголизм, проживание в странах третьего мира (развивающихся), тюремное заключение
3. Лечение туберкулеза брюшной полости:
• Хирургическое при экстренных проявлениях, угрожающих жизни
• 6-9 мес. комбинированный курс противотуберкулезного лечения:
о Обычно применяются рифампин, изониазид, пиразинамид и этамбутол
о Схема лечения зависит от резистентности возбудителя
е) Список использованной литературы:
1. Prapruttam D et al: Tuberculosis-the great mimicker. Semin Ultrasound CT MR. 35(3): 195-214, 2014
Лучевые изменения брюшной полости при туберкулезе
а) Визуализация изменений брюшной полости при туберкулезе:
• Самая частая локализация в брюшной полости: лимфатические узлы, брюшина, органы мочеполовой системы и желудочно-кишечного тракта:
о Наиболее распространена внутрибрюшная лимфаденопатия
• Лимфаденопатия (туберкулезный лимфаденит):
о Увеличенные лимфатические узлы с гиподенсным участком некроза в центре и гиперденсным, усиливающимся при контрастировании «ободком» по периферии
о Лимфоузлы часто обызвествляются после лечения
• Туберкулезный перитонит:
о Различного объема свободная или осумкованная жидкость (асцит) с инфильтрацией сальника. Могут быть выявлены дискретные объемные образования
• Туберкулез ЖКТ:
о В 90% случаев поражается илеоцекальная область
о Асимметричное утолщение стенки илеоцекального клапана и медиальной стенки слепой кишки
(Слева) При аксиальной КТ с контрастом у пожилого человека без какой-либо симптоматики были выявлены обызвествления в брыжеечных лимфоузлах, которые обычно обнаруживаются у пожилых лиц с микобактериальной кишечной инфекцией, чаще всего в результате употребления непастеризованного молока.
(Справа) При аксиальной КТ с контрастным усилением у пациента с трансплантированной печенью (реципиента) визуализируется выраженное утолщение сальнике, брюшины и брыжейки, а также увеличение брыжеечных лимфоузлов. Также имеется ограниченный асцит (не показан). Туберкулезом пациент был первично заражен в своей родной стране, впоследствии произошла реактивация заболевания с проявлениями в виде туберкулезного перитонита. (Слева) Эта рентгенограмма кишечника, полученная у иммигранта из Индии 25 лет, демонстрирует деформацию терминальных отделов подвздошной и слепой кишки с асимметричным утолщением и уплотнением стенки кишечника, обусловленными туберкулезной инфекцией.
(Справа) На корональных изображениях при КТ с контрастом у этого же пациента визуализируется неравномерное утолщение стенки слепой кишки, которая имеет конусообразный вид (у пациента диагностирован туберкулезный колит).
• Туберкулез надпочечников:
о Острый: увеличение надпочечников (обычно выглядят как отдельно расположенные объемные образования адреналовой области с центральным некрозом)
о Хронический: уменьшение надпочечников с множественными мелкими кальцинатами и гипоинтенсивным сигналом во всех МР-последовательностях
• Туберкулез почек:
о Обызвествления в почках самая частая находка при КТ (50%) о Папиллярный некроз-очень частая ранняя находка
о Локальные клиновидные гиподенсные зоны, мелкие гиподенсные узелки или абсцесс почки
о Утолщение уротелия, казеозный дебрис, стриктуры чашечек и почечного синуса, которые могут привести к гидронефрозу
• Туберкулез печени и селезенки:
о Гепатоспленомегалия в сочетании с гиподенсными узлами различного размера
б) Клинические особенности:
• Чаще всего заболевание начинается с лихорадки, потери веса и болей в области живота
• Могут выявляться (или не выявляться) признаки туберкулеза легких:
о Отрицательные результаты при рентгенографии грудной клетки или при накожных пробах не исключают внелегочной локализации туберкулеза
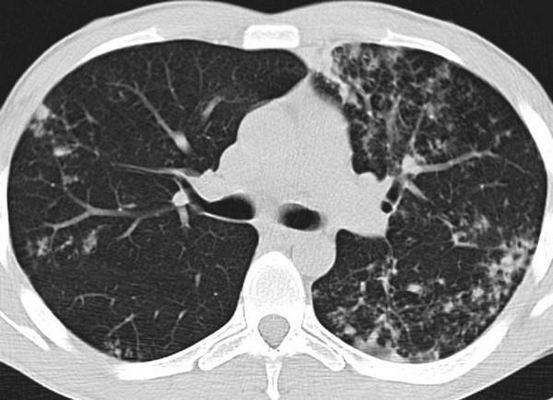
КТ легких при туберкулезе
Туберкулез — это инфекционное заболевание, поражающее легкие (преимущественно) и другие внутренние органы: средостение, желудок, мышцы. Основной причиной развития туберкулеза является низкий иммунный статус, при котором микобактериальная инфекция (палочка Коха) способна вызвать обширный инфильтративно-воспалительный процесс.
Туберкулез передается воздушно-капельным путем и считается потенциально летальным заболеванием. До XX века болезнь была неизлечима, а диагностировать ее (до изобретения рентгена) могли только на поздней стадии по внешним признакам — кашлю с кровью, пожелтению кожных покровов, визуальной деформации костей и лимфоузлов (формированию бугорков). Сегодня диагностика туберкулеза на ранних стадиях с выявлением любых изменений легочной ткани и осложнений (в том числе фиброзно-кавернозного процесса) возможна на КТ.
Интересный факт: итальянка Симонетта Веспуччи, изображенная на картинах Сандро Боттичелли «Портрет молодой женщины», «Весна» и «Рождение Венеры» умерла в возрасте 23 лет от туберкулеза. На картине «Рождение Венеры» видно, что у натурщицы опущено левое плечо — так бывает при туберкулезном поражении плечевого пояса.

Сегодня туберкулез поддается успешному лечению. В медицине сложилась отдельная специалность фтизиатрия (в пер. с греч. «лечение чахотки»). Фтизиатр — это врач, который лечит туберкулез. В некоторых странах существует специальность «фтизиохирургия» (хирургическое лечение туберкулеза). В России и на постсоветском пространстве хирургическим лечением туберкулеза занимаются специалисты разных специальностей: торакальные хирурги (туберкулез легких), ортопеды (костно-суставной туберкулез), гинекологи и урологи (туберкулез органов мочеполовой системы). Важным условием является наличие смежной специализации в области фтизиатрии. Туберкулез — серьезное заболевание, которое требует прецизионной диагностики и особого лечения.
В этой статье мы расскажем о причинах, видах и симптомах туберкулеза, рассмотрим характерную КТ-картину заболевания.
Туберкулез: причины и этиология заболевания
Туберкулез — инфекционное заболевание человека и животных, вызываемое различными микобактериями из группы Mycobacterium tuberculosis complex (палочки Коха). Инфицированность этими бактериями довольно широко распространена, особенно среди жителей мегаполисов: палочки Коха могут жить в уличной и домашней пыли до 1 года, а в тепле, при высокой влажности и без света — более 5 лет. Носителем микобактерий теоретически может быть практически каждый человек, однако в норме иммунитет человека в состоянии подавить инфекцию. Болезнь развивается при низком иммунном статусе. Люди являются основным носителем туберкулезных бактерий, а внутренние органы, и особенно легкие, — благоприятной средой.
Сегодня лишь 5-10% инфицированных заболевают туберкулезом в течение жизни. Риск возрастает в том случае, если у больного в анамнезе есть:
- Сахарный диабет;
- Язвенная болезнь желудка;
- ВИЧ-инфекция.
Туберкулезом чаще всего заболевают курящие и пьющие люди, дети и подростки. Также болезнь развивается в тяжелых социальных условиях, при переработках, стрессе, безработице.
Микроскопические капли жидкости с палочками Коха могут находиться и циркулировать с воздухом в помещении. В этой связи заболевание легко переносится воздушно-капельным путем. Особенно заразны больные с туберкулезными кавернами в легких, поскольку вирусная нагрузка на организм таких пациентов особенно велика. Но заразность туберкулеза также варьируется в зависимости от конкретного вида возбудителя (наиболее опасными считаются некоторые штаммы M. tuberculosis) и стадии инфекции.
Врачи выделяют три стадии туберкулеза:
- Первичная;
- Латентная;
- Активная.
Туберкулез не передается на первичной стадии. Палочки вида M. tuberculosis провоцируют развитие туберкулеза, протекающего преимущественно в латентной стадии — без острых и ярко выраженных симптомов. Иногда на второй стадии у больного возникают кашель, субфебрильная температура, лихорадка. Однако заразность туберкулеза быстро снижается в течение 14 дней с момента начала эффективного лечения.
Иммунная система организма человека только спустя 3 недели после инфицирования и активного размножения микобактерий начинает подавлять их рост. Происходит это прежде, чем проявляются клинические симптомы заболевания. Однако в это время в легких формируются гранулемы с казеозными и некротическими очагами. В такой форме туберкулез может жить в организме человека годами.
Согласно мнению экспертов ВОЗ, в среднем каждый невылеченный пациент может заразить от 10 до 15 человек в течение
Симптомы туберкулеза
К наиболее распространенным симптомам туберкулеза, если болезнь протекает не бессимптомно, относятся:
- Кашель;
- Температура (>37 градусов);
- Потеря веса;
- Лихорадка, ночной пот.
Диагностировать туберкулез самостоятельно невозможно, как и догадаться о заражении микобактериями. Обычно пациенты жалуются на «в целом плохое самочувствие».
Кашель при туберкулезе – регулярный, наиболее интенсивный утром после пробуждения, непродуктивный, с желтой или зеленой мокротой. На более поздней стадии кашель усиливается, становится продуктивным, в нем появляются примеси крови (но только при кавернозном туберкулезе из-за гранулематозного повреждения сосудов или присоединившейся грибковой инфекции).
Диагностика туберкулеза возможна по результатам рентгенографического обследования, цианобактериальных мазков, кожной пробы. Прецизионная диагностика туберкулезных поражений легочной ткани (локализация, плотность инфильтратов) возможна только на компьютерной томографии.

Виды туберкулеза легких: КТ-картина
КТ легких не показывает конкретного возбудителя туберкулезной инфекции из класса микобактерий, однако показывает изменения в легких которые не видны на обычном рентгене или флюорографии из-за сравнительно низкой разрешающей способности последних, неполного обзора, эффекта наложения теней, который искажает результаты диагностики.
По специфической КТ-картине рентгенологи определяют следующие виды туберкулеза:
- Туберкулез внутригрудных лимфатических узлов (синдром инфильтрации корня легкого и синдром полициклически измененного корня легкого) — бактериальное поражение лимфатических узлов грудной клетки и средостения, поражение легких при этом отсутствует.
- Милиарный туберкулез (синдром милиарной диссеминации) — характеризуется наличием множественных просовидных бугорков в легких, расположенных сравнительно равномерно.
- Диссеминированный туберкулез легких —множественные очаги туберкулеза в обоих легких имеют разную величину и расположены диффузно.
- Очаговый туберкулез —характеризуется наличием одиночных или множественных очагов до 1 см в диаметре. Если очагов несколько, то расположены они в одном месте.
- Инфильтративный туберкулез легких —характеризуется наличием бронхо-пневмонического воспаления, формирования участка инфильтрации легочной ткани, более 1 см в диаметре.
- Кавернозный туберкулез легких —характеризуется формированием полости деструкции, распада легочной ткани в следствии запущенного инфекционного процесса, так называемой каверны круглой или овальной формы.
- Фиброзно-кавернозный туберкулез —наряду с кавернами в легких присутствуют признаки фиброза, который является агрессивной ответной реакцией организма на воспаление и деформирует матрикс легкого в легких формируются туберкулезные рубцы).
Заболевание может протекать в острой или хронической форме.
Первичный туберкулезный комплекс (ранняя стадия заболевания) характеризуется наличием очага или их группы в легких, увеличением лимфоузлов. На КТ с одной или, чаще всего с обеих сторон в долях легких визуализируются уплотнения – сравнительно более светлого цвета, чем вся легочная паренхима, имеют специфическую, отличную от легочного матрикса, сосудов и бронхов форму.

Ежегодная профилактическая флюорография — быстрое, доступное и, безусловно, полезное обследование. Но данный рентгенографический метод, изобретенный в первой половине XX века с наибольшей вероятностью покажет туберкулез «в общем» и на более поздних стадиях. Поэтому более предпочтительным методом диагностики туберкулеза сегодня считается скрининговая низкодозная КТ легких (МСКТ легких).
Преимущества КТ перед другими рентгенологическими методами обследования:
- Показывает изображение аксиальной плоскости, позволяет воссоздать детализированную аутентичную 3D-модель легких больного, что недоступно при флюорографии и рентгене;
- Позволяет достоверно оценить плотность, размер, форму инфильтратов; определить объем туберкулезного поражения легких;
- Расширяет возможности внутривенного контрастирования для оценки мягких тканей, грудных артерий, лимфоузлов;
- Есть возможность денситометрической обработки изображения.
Текст подготовил
Котов Максим Анатольевич, главный врач центра КТ «Ами», кандидат медицинских наук, доцент. Стаж 20 лет
- Котов М.А. Опыт применения компьютерной томографии в диагностике заболеваний органов дыхания у детей / Материалы X Невского радиологического Форума (НРФ-2018). – СПб., 2018, Лучевая диагностика и терапия. 2018. № 1 (9). — С. 149.
- Панов А.А. Пневмония: классификация, этиология, клиника, диагностика, лечение, 2020.
- Бова А.А. Пневмонии: этиология, патогенез, клиника, диагностика, 2016.
- Chl Hong, M.M Aung , K. Kanagasabai , C.A. Lim , S. Liang , K.S Tan. The association between oral health status and respiratory pathogen colonization with pneumonia risk in institutionalized adults, 2018.
- Yang-Pei Chang, Chih-Jen Yang, Kai-Fang Hu, A-Ching Chao, Yu-Han Chang, Kun-Pin Hsieh, Jui-Hsiu Tsai, Pei-Shan Ho, Shen-Yang Lim. Risk factors for pneumonia among patients with Parkinson's disease: a Taiwan nationwide population-based study, 2016.
- Клинические рекомендации по диагностике, лечению и профилактике тяжелой внебольничной пневмонии у взрослых. Министерство здравоохранения РФ, 2019.
Мы перезвоним, подберём удобное для записи время и ответим на вопросы.
Оператор обрабатывает входящие заявки с 8:00 до 22:00
Нажимая на кнопку, вы даете согласие на обработку персональных данных в соответствии с Федеральным законом от 27.07.2006 г. № 152-ФЗ «О персональных данных».
Если вы оставили ее с 8:00 до 22:00, мы перезвоним вам для уточнения деталей в течение 15 минут.
Лучевая нагрузка: как ее уменьшить и сколько можно делать КТ?
Компьютерная томография основана на ионизирующем рентгеновском излучении. Сканирование на томографе с возможностью построения 3D-реконструкций внутренних органов, сосудов и костей — высокоточный метод обследования, предпочтительный в ряде сложных ситуаций: после инсультов, при пневмониях, подозрении на онкологию. Однако такое обследование нельзя проходить часто.
В этой статье мы разберем, в чем заключается вред рентгеновского излучения и как уменьшить его влияние, если норма допустимого была превышена.
Чем вредно ионизирующее (рентгеновское) облучение?
По данным актуальных исследований библиотек РИНЦ и PubMed, а также в соответствии с действующими нормами радиационной безопасности населения РФ (НРБ), не рекомендуется облучается более чем на 15-20 мЗв в год. На новых КТ-аппаратах (МСКТ), в зависимости от исследуемых зон, это около 5-8 сканирований. На аппаратах старого образца из-за меньшего количества чувствительных датчиков, срезов и большего времени сканирования лучевая нагрузка выше.
После КТ радиоактивные элементы не сохраняются и не накапливаются в организме человека. X-ray лучи сканируют только зону интереса, и это длится 30-45 секунд.
Организм человека содержит необходимые ему химические элементы — водород, железо, калий и др. Распад этих элементов — тоже в своем роде является радиоактивным процессом, который происходит ежесекундно, на протяжении всей жизни человека. Некоторое количество радиации человек получает из атмосферы, воды, от природных радионуклидов. Это называется естественным радиационным фоном.
Доза радиации, полученная пациентом в рамках медицинских обследований не велика — это справедливо как для рентгена, так и для КТ. Однако организм каждого человека по-разному реагирует на воздействие x-ray излучения: если одни пациенты сравнительно легко переносят лучевую нагрузку, равную 50 мЗв, то для других аналогичной по воздействию будет нагрузка 15 мЗв.
Поскольку норма относительна, а порог, при котором негативного воздействия гарантированно не произойдет, отсутствует, принято считать, все виды исследований с применением ионизирующего излучения потенциально вредны. Организм взрослого человека более резистентен к радиации, а дети более чувствительны. Однако у некоторых пациентов имеются отягчающие факторы в анамнезе или индивидуальные особенности организма.
Например, по одним данным считается, что у годовалого ребенка, которому проводится КТ брюшной полости, пожизненный риск онкологии возрастает на 0,18%. Однако если ту же процедуру проходит взрослый или пожилой человек, то этот риск будет существенно ниже. Считается, что регулярное дозированное рентгеновское облучение даже полезно, поскольку организм адаптируется к лучевой нагрузке, и его защитные силы возрастают.
По данным другого исследования, проводимого на когортной группе детей в период с 1996 по 2010 гг. в США, «ежегодно по стране 4 миллиона детских компьютерных томографов головы, живота / таза, грудной клетки или позвоночника вызовут 4870 случаев рака. Этот процент уменьшится, если сократить количество исследований, доза облучения в которых превышает 20 мВз».*
*“The use of computed tomography in pediatrics and the associated radiation exposure and estimated cancer risk”, 2013 (Diana L Miglioretti , Eric Johnson, Andrew Williams, Robert T Greenlee)
Избыток радиации может стать спусковым механизмом для онкологии, дегенеративных нейрозаболеваний (болезнь Альцгеймера, болезнь Паркинсона). Беременным женщинам (даже если факт беременности еще не подтвержден, но существует вероятность вынашивания плода на данный момент) противопоказано дополнительное радиационное воздействие, то есть делать КТ в этот период можно только по жизненным показаниям, из-за риска тератогенного воздействия ионизирующего излучения на формирующийся плод.
Большинство медиков сегодня склоняются к мнению, что польза целесообразной компьютерной томографии несомненно превышает вред, однако уровень лучевого воздействия на организм, даже с целью медицинской диагностики, следует сводить к минимуму. Например, для наблюдения изменений легочных лимфоузлов или камней в почках диагностические изображения могут быть получены при дозе на 50-75 % ниже, чем при использовании стандартных протоколов. То есть в некоторых случаях могут быть применены низкодозные КТ-протоколы.
Читайте также:
- Наследственные причины отслоения ногтя (онихолизиса)
- Профилактика отогенного менингита. Борьба с ушным менингитом
- Связи базальных ганглиев: двигательная петля, когнитивная петля, лимбическая петля, глазодвигательная петля
- Рентгенограмма, КТ при полипе двенадцатиперстной кишки
- Лучевая диагностика болезни Крона
