КТ, МРТ при лангергансоклеточном гистиоцитозе височной кости
Добавил пользователь Дмитрий К. Обновлено: 21.01.2026
Диагностика гистиоцитоза из клеток Лангерганса по КТ, МРТ головы
а) Терминология:
1. Синонимы:
• Гистиоцитоз из клеток Лангерганса (ГКЛ):
о Несколько нозологий (эозинофильная гранулема, болезнь Хэнд-Шулер-Кристиана, болезнь Леттерера-Сиве и «гистиоцитоз X») в настоящее время объединены под единым названием гистиоцитоза из клеток Лангерганса (ГКЛ):
2. Определение гистиоцитоза из клеток Лангерганса (ГКЛ):
• Гистиоцитоз из клеток Лангерганса (ГКЛ) в настоящее время понимается как опухолевое заболевание:
о Активация соматических мутаций гена BRAF, клональная пролиферация ГКЛ
о Воспалительная миелоидная неоплазия
• Разделяется на три группы (в зависимости от количества поражений, вовлеченной в процесс системы органов):
о Унилокальная (локализованная) форма - 10% случаев
- Ограничена одной или несколькими костями, могут поражаться легкие
о Мультифокальная моносистемная форма:
- 20% случаев
- Хроническое рецидивирующее течение
- Поражение многих костей, ретикулоэндотелиальной системы, гипофиза/гипоталамуса
о Мультифокальная мультисистемная форма:
- 10% случаев
- Фульминантное течение (часто летальный исход)
б) Визуализация:
1. Общие характеристики гистиоцитоза из клеток Лангерганса (ГКЛ):
• Лучший диагностический критерий:
о Свод черепа: литический дефект кости свода черепа с четкими скошенными краями
о Основание черепа (наиболее часто сосцевидный отросток височной кости): «географический» характер деструкции ± мягкотканное объемное образование
о Мозг: утолщение и контрастное усиление воронки, отсутствие «яркого пятна» задней доли гипофиза на Т1-ВИ
• Локализация:
о Свод черепа
- Наиболее часто поражаемый участок скелета:
Лобная, теменные кости > височные, затылочная кости
- Также сосцевидный отросток височной кости, нижняя челюсть, глазница, кости лицевого черепа
о Головной мозг: гипофиз/воронка, гипоталамус:
- Редко: сосудистое сплетение, лептоменинкс, базальные ганглии, белое вещество (БВ) мозжечка и паренхима головного мозга
• Размеры:
о Кости мозгового и лицевого черепа: могут расти, срастаться
о Воронка гипофиза: небольшие поражения вследствие ранней эндокринной дисфункции (центральный несахарный диабет)
• Морфология:
о Вариабельный внешний вид литических дефектов костей («географический» внешний вид черепа)
о Характер мягкотканных образований варьирует: разрозненные ↔ инфильтративные

(Слева) КТ с контрастированием, корональный срез: у пятилетнего мальчика с хронической левосторонней отореей и кондуктивной тугоухостью определяется мягкотканное объемное образование в сочетании с деструкцией сосцевидного отростка теменной кости. Обратите внимание на четкие контуры дефекта кости и смещение слуховой косточки.
(Справа) КТ с контрастированием, аксиальный срез: у ребенка с медленно растущим объемным образованием в области правой щеки визуализируется объемное образование в виде мягкотканного компонента, расположенного в нижних отделах жевательного пространства. Обратите внимание на лизис наружных отделов ветви нижней челюсти.
2. КТ признаки гистиоцитоза из клеток Лангерганса (ГКЛ):
• Бесконтрастная КТ:
о Свод черепа:
- Литический дефект, «скошенный» край (внутренняя пластинка > наружная пластинка)
- Мелкое мягкотканное объемное образование, отсутствие периостальной реакции
о Сосцевидный отросток височной кости:
- Деструкция кости, часто двусторонний характер, мягкотканное объемное образование
• КТ с контрастированием:
о Свод черепа/сосцевидный отросток: накапливающее контраст мягкотканное образование в литическом дефекте
о Мозг: контрастное усиление, утолщение ножки гипофиза ± объемное образование или контрастное усиление гипоталамуса
3. МРТ признаки гистиоцитоза из клеток Лангерганса (ГКЛ):
• Т1-ВИ:
о Мягкотканное объемное образование в участке литического поражения кости (± укорочение Т1 вследствие содержащих липиды гистиоцитов)
о Головной мозг:
- Гипофиз/воронка: отсутствие «яркого пятна» задней доли гипофиза, утолщение его ножки ± мягкотканное объемное образование
• Т2-ВИ:
о Поражения черепа, сосцевидных отростков, глазниц/костей лицевого черепа: мягкотканное объемное образование слабо гиперинтенсивного сигнала
о Головной мозг:
- Воронка/гипоталамус: слегка гиперинтенсивный сигнал
- ± гиперинтенсивные поражения БВ мозжечка (аутоиммунно-опосредованная демиелинизация)
• FLAIR:
о Редко: гиперинтенсивная демиелинизация белого вещества
• Постконтрастные Т1-ВИ:
о Череп, сосцевидный отросток, глазница/лицевой череп: накапливающее контраст мягкотканное объемное образование (отграниченное или инфильтративное)
о Головной мозг:
- Воронка: утолщение, интенсивное контрастное усиление ножки гипофиза
- Паренхима: накапливающие контрастное вещество объемные образования в сосудистом сплетении, лептоменинкс и базальных ганглиях
4. Радионуклидная диагностика:
• Остеосцинтиграфия:
о Tc-99m: вариабельные изменения (холодный ↔ теплый очаг)
• ПЭТ:
о F-18 ФДГ: ↑ поглощения в пролиферативных поражениях, ↓ поглощения в дистрофически измененных поражениях
5. Рекомендации по визуализации:
• Лучший инструмент визуализации:
о Череп: бесконтрастная КТ (КТ с контрастированием при поражении сосцевидного отростка)
о Головной мозг: МРТ с контрастным усилением
• Совет по протоколу исследования:
о Череп: КТ с использованием костного алгоритма; включая корональные и сагиттальные реформации
о МРТ головного мозга:
- МРТ гипофиза: малое поле обзора, тонкие срезы, отсутствие интервала между срезами, сагиттальные и корональные Т1-ВИ с контрастным усилением:
При «нормальной» MPT-картине у пациента с несахарным диабетом при первичном исследовании повторите его через 2-3 месяца

(Слева) МРТ, Т1-ВИ, сагиттальный срез: у семилетней девочки с центральным несахарным диабетом в структуре гипоталамуса визуализируется мягкотканное объемное образование. Обратите внимание на отсутствие нормального очага укорочения Т1 в гипофизе (задней доли), что часто обнаруживается у детей с несахарным диабетом.
(Справа) МРТ, постконтрастное Т1-ВИ, режим подавления сигнала от жира, корональный срез: у этого же ребенка отмечается контрастное усиление узлового образования гипоталамуса. Утолщение стебля гипофиза является наиболее частым признаком вовлечения в процесс ЦНС при гистиоцитозе из клеток Лангерганса (ГКЛ)..
в) Дифференциальная диагностика гистиоцитоза из клеток Лангерганса (ГКЛ):
1. Литические поражения костей свода черепа:
• Оперативное вмешательство (трепанационное отверстие, шунт, хирургический дефект)
• Эпидермальная киста
• Дермальная киста
• Лептоменингеальная киста
• Метастазы
2. Деструктивные процессы в височной кости:
• Тяжелый мастоидит: при инфекционном поражении костный лабиринт обычно сохранен
• Рабдомиосаркома: часто выявляются увеличенные ипсилатеральные шейные лимфатические узлы
3. Утолщение, контрастное усиление гипоталамуса/воронки гипофиза:
• Герминома
• Питуицитома
• Метастазы
• Лимфоцитарный гипофизит
• Нейросаркоидоз
г) Патология:
1. Общие характеристики гистиоцитоза из клеток Лангерганса (ГКЛ):
• Генетика:
о Патологическая пролиферация гистиоцитов имеет клональный характер
о Активирующие мутации гена BRAF
о Активация сигнального пути ERK в миелоидном ростке-основной/универсальный драйвер ГКЛ
• Ассоциированные аномалии:
о ↑ риска ГКЛ: семейный анамнез заболевания щитовидной железы, недостаточная иммунизация, использование пенициллина, воздействие растворителей
2. Стадирование и классификация гистиоцитоза из клеток Лангерганса (ГКЛ):
• Ранее состояние относили к одному из трех «перекрывающихся» форм:
о Эозинофильная гранулема:
- Локализованная, наиболее часто (70%)-свод черепа о Болезнь Хэнд-Шулер-Кристиана:
- Хроническая дессиминированная форма, мультифокальный характер (20%)
о Болезнь Леттерера-Сиве:
- Острая диссеминированная форма, манифестирует в возрасте < 2-х лет ± поражение скелета (10%)
• На данный момент ГКЛ классифицируется в соответствии с факторами риска: молодой возраст, мультифокальное поражение, полиорганная недостаточность, рецидивирование
3. Макроскопические и хирургические особенности:
• Опухолевое объемное образование желтого, серого или коричневого цвета
4. Микроскопия:
• Моноклональность клеток Лангерганса:
о Для постановки диагноза необходимо обнаружение CD1а и гранул Бирбека
• Накопление CD1A(+)/CD207(+) мононуклеарных фагоцитов в гранулематозных поражениях

(Слева) МРТ, постконтрастное Т1-ВИ, режим подавления сигнала от жира, сагиттальный срез: у пятилетнего мальчика с хроническими головными болями и несахарными диабетом определяется гетерогенно накапливающее контрастное вещество поражение центральных отделов основания черепа. Обратите внимание на утолщение и смещение воронки гипофиза.
(Справа) МРТ, FLAIR, аксиальный срез: у шестилетнего мальчика с нарушением поведения, в белом веществе мозжечка определяются сливные гиперинтенсивные зоны демиелинизации. Обратите внимание на вовлечение в процесс ядер отводящих нервов.
д) Клиническая картина:
1. Проявления гистиоцитоза из клеток Лангерганса:
• Наиболее частые признаки/симптомы:
о Свод черепа: боль, объемное образование под кожей волосистой части головы, костный дефект
о Деструкция сосцевидного отростка: боль, хронический наружный отит, объемное образование под кожей волосистой части головы позади уха
о Позадиглазничное объемное образование: экзофтальм ± болезненная офтальмоплегия
о Вовлечение в процесс воронки гипофиза: центральный несахарный диабет ± зрительные нарушения ± дисфункция гипоталамуса
• Клинический профиль:
о Ребенок младше двух лет с несахарным диабетом ± литическим поражением свода черепа
2. Демография:
• Возраст:
о ГКЛ обычно манифестирует в возрасте < 2-х лет
• Пол:
о М: Ж = 2:1
• Этническая принадлежность:
о Наиболее часто среди европеоидов
• Эпидемиология:
о 4 на 1000000
о Пиковый возраст манифестации-один год (изолированная форма), 2-5 лет (мультифокальная форма)
о Обратно пропорциональная зависимость между тяжестью поражения и возрастом
о В 50% случаев гистиоцитоза из клеток Лангерганса (ГКЛ) наблюдается моностозный характер поражений
о Семейный гистиоцитоз из клеток Лангерганса (ГКЛ) - в < 2% случаев
о Наиболее частым проявлениями ГКЛ являются литические поражения костей (наблюдаются у 80-95% детей с ГКЛ)
2. Течение и прогноз:
о Вариабельны, зависят от возраста начала заболевания и степени поражения
о Мультифокальный и системный гистиоцитоз из клеток Лангерганса (ГКЛ): смертность может достигать 18%
• Редко происходят спонтанные кровоизлияния → эпидуральная гематома
3. Лечение гистиоцитоза из клеток Лангерганса:
• Варианты терапии зависят от симптомов, локализации поражений и степени тяжести заболевания:
о Наблюдение, иссечение/выскабливание, склеротерапия/инъекция, лучевая терапия/химиотерапия
• Одиночная эозинофильная гранулема имеет наиболее благоприятный прогноз, часто наблюдается спонтанная ремиссия:
о Болевой синдром: выскабливание
о Бессимптомное течение: наблюдение
• Гистиоцитоз из клеток Лангерганса (ГКЛ) у пациентов с несахарным диабетом: оральный или назальный прием вазопрессина ± химиотерапия и лучевая терапия
е) Диагностическая памятка:
1. Обратите внимание:
• Предполагайте ГКЛ у пациента с атаксией, объемными образованиями сосудистого сплетения и демиелинизирующим процессом в мозжечке
2. Советы по интерпретации изображений:
• Череп- участок скелета, наиболее часто поражаемый при ГКЛ
• Утолщение и контрастное усиление ножки гипофиза являются наиболее частым проявлением ГКЛ
КТ, МРТ при лангергансоклеточном гистиоцитозе височной кости
1. Аббревиатура:
• Лангергансоклеточный гистиоцитоз (ЛКГ)
2. Синонимы:
• Гистиоцитоз из дендритных клеток (ГДК) височной кости, гистиоцитоз X, эозинофильная гранулема, болезнь Хенда-Шюллера-Крисчена, болезнь Леттерера-Сиве, болезнь Абта-Леттерера-Сиве, болезнь Хашимото-Прицкера
3. Определение:
• Пролиферация дендритных клеток (гистиоцитов), образующих гранулемы в любом органе, в том числе в височных костях
1. Общая характеристика:
• Лучший диагностический критерий:
о Хорошо отграниченное литическое поражение костей, обычно в сочетании с контрастирующимся мягкотканным образованием
• Локализация:
о Чешуя и сосцевидный отросток височной кости > вершина пирамиды

(Слева) При аксиальной КТ в костном окне у двухлетней девочки с двухсторонней отореей определяются хорошо отграниченные деструктивные поражения (ЛКГ) сосцевидного отростка и чешуи височной кости с обеих сторон. Снижена пневматизация полости среднего уха с обеих сторон на фоне практически полной деструкции слуховых косточек. Агрессивная периостальная реакция, типичная для метастатической нейробластомы, в этом случае не выражена.
(Справа) При аксиальной МРТ Т1 С+ FS определяется ЛКГ с накоплением контраста и распространением в среднюю черепную ямку, кавернозный синус, внутренний слуховой канал. Слуховые косточки погружены в опухоль.
2. КТ при лангергансоклеточном гистиоцитозе височной кости:
• КТ в костном окне:
о Различные литические «штампованные» поражения:
- Обычно с «географической» деструкцией сосцевидного отростка и/или чешуи височной кости
- Возможно поражение вершины пирамиды, слуховой капсулы, ± слуховых косточек
о Литические поражения со скошенными краями:
- Чаще в своде черепа
- Также возможны склеротические изменения (чаще в основании черепа)
о Возможна диффузная деструкция височных костей
3. МРТ при лангергансоклеточном гистиоцитозе височной кости:
• Т1 ВИ:
о Замещение костного мозга височной кости
о Гипо- или изоинтенсивное (по сравнению с мышцами) поражение височной кости ± мягкотканный компонент
- ± ↑ T1 сигнал (макрофаги, нагруженные липидами)
- ± Продукты распада крови в мягкотканном образовании
• Т2 ВИ:
о Изо- или гиперинтенсивное мягкотканное образование
о Могут присутствовать уровни «жидкость-жидкость»
• Т1 ВИ С+ FS:
о Интенсивное неравномерное контрастирование мягких тканей:
- Хорошо отграниченное или с нечеткими краями
о ± интракраниальное распространение при поражении твердой оболочки
4. Рекомендации по визуализации:
• Лучший метод визуализации:
о КТ в костном окне ± МРТ С+

(Слева) При аксиальной КТ в костном окне определяется четко очерченный литический очаг деструкции в левой височной кости, обусловленный ЛКГ, с поражением слуховой капсулы (которая редко подвергается эрозии в большинстве ситуаций).
(Справа) При аксиальной МРТ Т1 С+ FS определяется распространенное контрастирование левой височной кости вследствие поражения ЛКГ с вовлечением окружающих экстракраниальных мягких тканей. Обратите внимание на «запертую» жидкость в задних отделах сосцевидного отростка.
в) Дифференциальная диагностика лангергансоклеточного гистиоцитоза височной кости:
1. Коалесцентный отомастоидит:
• Острая инфекция среднего уха и ячеек сосцевидного отростка
• Прогрессирующая резорбция костных перегородок сосцевидного отростка
2. Рабдомиосаркома височной кости:
• Саркома мягких тканей из рабдомиобластов
• Инвазивное неоднородное мягкотканное образование у детей, обычно с деструкцией костей
3. Метастазы в височной кости:
• Деструктивное поражение височной кости (например, при нейробластоме)
1. Общая характеристика:
• Этиология:
о Патология изучена не до конца; пролиферация гистиоцитов и инфильтрация:
- Неопластическая или воспалительная
• Сопутствующие патологические изменения:
о Заболевания гипоталамуса-гипофиза:
- Симптомы несахарного диабета:
MPT Т1: отсутствие гиперинтенсивного сигнала в задних отделах гипофиза
Утолщенная, контрастирующаяся воронка
о Церебральные нарушения:
- Со стороны головного мозга, мозжечка, мозгового ствола
2. Стадирование, классификация лангергансоклеточного гистиоцитоза височной кости:
• Старая классификация: три группы:
о Эозинофильная гранулема
о Болезнь Хенда-Шюллера-Крисчена
о Болезнь Абта-Леттерера-Сиве
• Новая классификация на основании факторов риска:
о Мультифокальное поражение, молодой возраст, полиорганная дисфункция, рецидив заболевания
3. Микроскопия:
• Электронная микроскопия: гранулы Бирбека и вытянутые включения в цитоплазме в виде «теннисной ракетки»
д) Клинические особенности:
1. Проявления:
• Типичные признаки/симптомы:
о Кондуктивная тугоухость ± оторея
2. Демография:
• Возраст:
о ЛКГ височных костей обычно проявляется на первом десятке лет жизни:
- Возраст проявления обратно пропорционален тяжести заболевания
3. Течение и прогноз:
• При унифокальном поражении височной кости излечение 90%
• Мультифокальный и системный ЛКГ: смертность до 18%
4. Лечение:
• Зависит от симптомов, локализации, распространенности болезни
е) Список использованной литературы:
1. Chevallier КМ et al: Differentiating pediatric rhabdomyosarcoma and Langerhans cell histiocytosis of the temporal bone by imaging appearance. AJNR Am J Neuroradiol. 37(6):1185-9, 2016
2. Modest MC et al: Langerhans cell histiocytosis of the temporal bone: A review of 29 cases at a single center. Laryngoscope. 126(8): 1899-904, 2015
3. Nabavizadeh SA et al: CT and MRI of pediatric skull lesions with Fluid-Fluid Levels. AJNR Am J Neuroradiol. 35(3):604-8, 2014
4. Radhakrishnan R et al: Petrous apex lesions in the pediatric population. Pediatr Radiol. 44(3):325-39; quiz 323-4, 2014
5. Coleman MA et al: Bilateral temporal bone langerhans cell histiocytosis: radiologic pearls. Open Neuroimag J. 7:53-7, 2013
2. Синонимы:
• Эозинофильная гранулема, гистиоцитоз X, болезнь Хенда-Шюллера-Крисчена, болезнь Леттерера-Сиве
3. Определения:
• ЛКГ: спектр заболеваний, вызываемых неопластической клональной пролиферацией дендритных клеток CD1a, CD207 и S100 (+)
• Моносистемное (монофокальное или мультифокальное) или мультисистемное заболевание:
о Чаще всего поражаются кости и кожа
о Более тяжелый прогноз: к органам высокого риска относятся печень, селезенка, костный мозг
о Другие органы: лимфоузлы, гипофиз, тимус, желудочно-кишечный тракт, ЦНС
о Область головы и шеи: основание черепа, височная кость, краниофациальная область
1. Общая характеристика:
• Лучший диагностический критерий:
о Четко отграниченное географическое литическое поражение основания черепа/височной кости + контрастируемое мягкотканное объемное образование
• Локализация:
о Сосцевидный отросток височной кости - обычная локализация поражения в области головы и шеи:
- Реже поражается верхушка пирамиды
о Поражение лобных и теменных костей встречается чаще, чем поражение основания черепа
о Возможно поражение верхней и нижней челюстей и тел позвонков
о Монофокальные поражения - 50-75% случаев; мультифокальные моносистемные - 10-20% случаев; все остальные - мультифокальные/мультисистемные случаи
• Размеры:
о Варьируют от мелких дефектов «типа пробойника» до тотальных диффузных поражений кости
• Морфология:
о Чаще наблюдается отграниченное деструктивное поражение
2. Рентгенологическая картина:
• Рентгенография:
о Литическое поражение кости с краями, измененными «типа пробойника»
о Иногда при поражении черепа наблюдается кольцевидный дефект («пуговичный секвестр»)

(Слева) При КТ с КУ в аксиальной проекции определяется обширное поражение с выраженными изменениями мягких тканей (ЛКГ). Патологический процесс распространяется в носоглотку, а также в правое и левое носоглоточные жевательные пространства.
(Справа) При КТ с КУ в аксиальной проекции (срез проходит выше предыдущего) определяется крупное, относительно гомогенно контрастируемое объемное образование центральной части основания черепа и височной кости (ЛКГ). Объемное образование вызвало обширную деструкцию правой височной кости, крыла клиновидной кости и ската затылочной кости.
3. КТ при лангергансоклеточном гистиоцитозе основания черепа:
• КТ с КУ:
о Вариабельно контрастируемое мягкотканное объемное образование, сопровождающееся деструкцией сосцевидного отростка
о Может поражать прилегающую твердую мозговую оболочку
• КТ в костном окне:
о Проявления поражения кости разнообразны, как правило, наблюдаются литические изменения:
- В большинстве случаев: резко отграниченные изменения «типа пробойника»
- «Географическая» деструкция костной ткани сосцевидного отростка височной кости: деструкция капсулы уха и слуховых косточек
- Литические изменения со скошенными краями, ± склероз (обычно наблюдаемые изменения черепа)
4. МРТ при лангергансоклеточном гистиоцитозе основания черепа:
• Т1ВИ:
о Изо- или гипоинтенсивные изменения кости ± мягкотканное объемное образование
о Усиление сигнала при пролиферативном ЛКГ вследствие нагруженных липидами макрофагов
• Т2ВИ:
о Гипер- или изоинтенсивное объемное образование
о Изредка в толще мягкотканного образования определяются продукты распада крови
• МРТ в режиме STIR:
о Изменения аналогичны наблюдаемым при Т2ВИ
о С целью диагностики мультифокального заболевания выполняется МРТ в режиме STIR всего тела:
- Наиболее чувствительный метод диагностики костного и экстраскелетного ЛКГ
- Возможности дифференцировки активного и резидуального ЛКГ ограничены
• Т1ВИ МРТ с КУ:
о Гетерогенное интенсивно контрастируемое мягкотканное объемное образование
о Края четкие или же инфильтративные ± внутричерепное по-ражение/контрастирование твердой мозговой оболочки
5. Сцинтиграфия:
• Сканирование кости: в большинстве случаев наблюдается усиленный захват радиофармпрепарата, изредка-ослабленный захват или отсутствие захвата
• ПЭТ/КТ: исследование с флюородеоксиглюкозой высокочувствительно при активном ЛКГ (усиление захвата радиофармпрепарата)
6. Рекомендации по визуализации:
• Лучший метод визуализации:
о При КТ в костном окне определяется «географическое» поражение височной кости/основания черепа
о МРТ с гадолиниевым усилением - наилучший метод оценки распространенности поражения мягких тканей и внутричерепных структур
о КТ с КУ или МРТ помогают дифференцировать воспалительные поражения сосцевидного отростка от ЛКГ
• Рекомендации по протоколу исследования:
о МРТ с КУ и подавлением сигнала от жира

(Слева) При КТ в аксиальной проекции определяется объемное образование верхушки пирамиды левой височной кости, вызывающее фестончатость ушной капсулы (ЛКГ). Передний край объемного образования прилежит к каменистому сегменту внутренней сонной артерии.
(Справа) При МРТ Т1 с КУ в аксиальной проекции у этого же пациента с ЛКГ наблюдается однородное контрастирование объемного образования верхушки пирамиды височной кости. Видно, что к объемному образованию прилегает каменистый сегмент внутренней сонной артерии.
в) Дифференциальная диагностика лангергансоклеточного гистиоцитоза основания черепа:
1. Острый сливной отомастоидит:
• Острое развитие заболевания; эффективность антибиотиков
• Утрата трабекул, дефекты кортикального слоя, изменения обычно менее обширны чем при ЛКГ
• При отсутствии абсцесса мягкотканный компонент отсутствует
2. Рабдомиосаркома:
• Агрессивное одностороннее мягкотканное объемное образование, вызывающее деструкцию кости
• Чаще поражает верхушку пирамиды височной кости и среднее ухо, чем сосцевидный отросток
• Для дифференцировки от ЛКГ может потребоваться биопсия
3. Приобретенная холестеатома:
• Перфорация барабанной перепонки в сочетании с выявляемым при отоскопии объемным образованием белого цвета
• Деструкция кости распространяется на слуховые косточки и щиток; обычно менее обширна, чем при ЛКГ
• Не контрастируется; + ограничение диффузии
4. Врожденная холестеатома:
• При отоскопии позади барабанной перепонки определяется объемное образование белого цвета
• Не контрастируется; + ограничение диффузии
5. Холестериновая гранулема:
• В анамнезе: перенесенная ранее хроническая инфекция уха
• Чаще поражает верхушку пирамиды височной кости и среднее ухо, чем сосцевидный отросток
• Гиперинтенсивна при МРТ Т1
6. Фиброзная дисплазия:
• Изменения в литическую фазу могут напоминать ЛКГ
• Как правило, вызывает утолщение кости и появление зон ослабления сигнала типа матового стекла

(Слева) При МРТ Т1 с КУ в сагиттальной проекции в центральной области основания черепа определяется крупное неравномерно контрастируемое образование, распространяющееся в турецкое седло (ЛКГ). Обратите внимание на интракраниальное распространение патологического процесса в переднюю ямку через клиновидную площадку и поражение воронки гипофиза.
(Справа) При МРТ Т1 с КУ в корональной проекции у пациента с ЛКГ определяются объемные образования обеих височных костей. Слева новообразование неправильной формы прорастает твердую мозговую оболочку, тогда как справа распространяется только до ее поверхности. Справа видны неравномерно контрастируемые увеличенные шейные лимфоузлы.
1. Общая характеристика:
• Генетика:
о Моноклональность патологических клеток Лангерганса
о >50% являются носителями мутации BRAF
2. Стадии, классификация лангергансоклеточного гистиоцитоза основания черепа:
• При ЛКГ тактика лечения и прогноз определяются локализацией поражения, а также характером заболевания - моносистемным или мультисистемным:
о Молодой возраст, мультифокальное поражение, полиорганная дисфункция, рецидив
о Органы низкого риска поражения: кожа, кости, легкие, лимфоузлы, желудочно-кишечный тракт, гипофиз и центральная нервная система
о Органы высокого риска: печень, селезенка и костный мозг
• Раньше заболевание относили к одной из трех частично совпадающих нозологических форм:
о Монофокальный ЛКГ (эозинофильная гранулема)
о Болезнь Хенда-Шюллера-Крисчена:
- Мультифокальное поражение костей, кожи, внутренних органов и головного мозга
о Болезнь Леттерера-Сиве:
- Острое молниеносное диссеминированное полиорганное заболевание, поражающее печень, селезенку, лимфатическую систему, легкие и кости
3. Микроскопия:
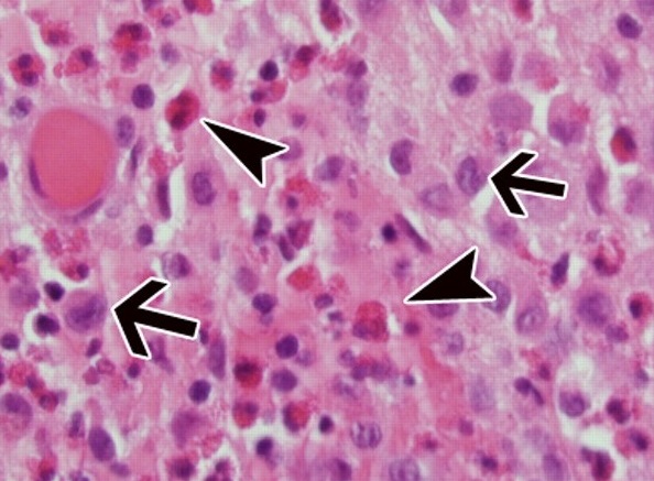
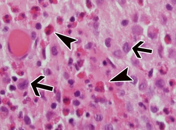
• Активный патологический процесс: гранулема, дендритные клетки Лангерганса преобладают над воспалительными клетками
• Последующие стадии: макрофаги > клетки Лангерганса + фиброзные и ксантоматозные изменения
• Гранула Бирбека: классическая органелла в форме «теннисной ракетки», выявляемая при электронной микроскопии почти в 40% клеток Лангерганса:
о Диагностическое значение в настоящее время невысоко из-за появления методик окрашивания иммуноспецифических маркеров (CD1a, CD207, протеин S100)
1. Проявления:
• Типичные признаки/симптомы:
о Отологическая симптоматика может оказаться лишь первым проявлением заболевания:
- Манифестация отологическими нарушениями в 25% случаев
- Кондуктивная тугоухость и оторея:
Причиной отореи становится вторичная инфекция, вызывающая развитие грануляционной ткани
• Другие признаки/симптомы:
о Оталгия, головокружение
о Наружный/средний отит
о Отек постаурикулярной области
о Паралич лицевого нерва, сенсоневральная тугоухость
о Полип уха, развивается вследствие эрозии стенки наружного слухового прохода
о При поражении глазницы развивается экзофтальм и птоз
• Клинический профиль:
о Ребенок или подросток мужского пола с оталгией, отореей и объемным образованием заушной области
2. Демография:
• Возраст:
о В 90% случаев возраст на момент дебюта младше 15 лет
о Моносистемный, монофокальный (70% случаев); максимум приходится на возраст 5-15 лет
о Моносистемный, мультифокальный (20% случаев); максимум приходится на возраст 1 -5 лет
о Мультисистемный с поражением органов высокого риска (10% случаев); максимум приходится на возраст 0-2 лет
• Пол:
о М:Ж=2:1
• Эпидемиология:
о Редкое заболевание (0,2-2,0 случая на 10000 детей)
о В 70% случаев развивается поражение головы и шеи:
- Частота двустороннего поражения достигает 45% случаев
о Наиболее частым проявлением заболевания является поражение костей (80-95% детей с ЛКГ)
3. Течение и прогноз:
• Частота излечения монофокального поражения височной кости составляет 90%
• Сначала резорбируется мягкотканный компонент, затем происходит реоссификация лизированной кости
• Может развиваться местный рецидив
4. Лечение:
• Моносистемное заболевание:
о Монофокальное поражение кости: динамическое наблюдение или кюретаж и местная инъекция стероидов
о Мультифокальное поражение костей или риск поражения центральной нервной системы: химиотерапия и стероиды в течение 6-12 месяцев
• Мультисистемное заболевание (± поражение органов высокого риска): полихимиотерапия в течение 12 месяцев
е) Диагностическая памятка:
1. Следует учесть:
• Следует заподозрить ЛКГ при наличии деструктивного поражения височной кости, не реагирующего на лечение антибиотиками и установку тимпаностомических трубок
2. Рекомендации по отчетности:
• Большое значение имеет дифференциальная диагностика ЛКГ и рабдомиосаркомы
Гистиоцитоз X ( Гистиоцитоз из клеток Лангерганса , Легочная эозинофильная гранулема )
Гистиоцитоз Х – это системное заболевание, характеризующееся образованием специфических клеточных гранулем в различных органах и тканях. Наиболее типичные клинические проявления включают кожные высыпания, кашель, односторонний экзофтальм. Также наблюдаются выпадение зубов, увеличение периферических лимфатических узлов, признаки несахарного диабета (полиурия, полидипсия). Диагноз верифицируется путем гистологического исследования кожи, легких или лимфатических узлов. В качестве лечения применяются противовоспалительные препараты (глюкокортикостероиды), химиотерапевтические средства. В случае выраженного поражения легких производится трансплантация органа.
МКБ-10



Общие сведения
Гистиоцитоз Х (гистиоцитоз из клеток Лангерганса, легочная эозинофильная гранулема) – системная патология, при которой происходит активная пролиферация клеток Лангерганса в тканях легких, костей, центральной нервной системы, ретикуло-эндотелиальной системы (в печени, селезенке, лимфатических узлах). Течение заболевания варьирует в зависимости от формы и может быть доброкачественным со спонтанной ремиссией или быстропрогрессирующим с высокой вероятностью летального исхода. Распространенность гистиоцитоза составляет 5 на 1 000 000 человек. Преимущественно страдают дети, подростки, взрослые в возрасте 20-30 лет. Гистиоцитоз встречается только у представителей белой расы, чаще у мужчин (соотношение с женщинами 2:1).

Причины
На сегодняшний день точная причина гистиоцитоза неизвестна. Предполагается роль иммунной аутоагрессии, вызванной инфицированием вируса герпеса 6-го типа. До сих пор ведутся научные дебаты о наследственной природе заболевания. У 50% пациентов в патологических клетках Лангерганса была обнаружена соматическая мутация гена V600E, кодирующего внутриклеточный сигнальный белок BRAF. Табакокурение рассматривается как один из основных факторов риска (более 90% больных являются курильщиками). Подтверждением этого служит тот факт, что симптоматика уменьшается после прекращения курения даже без применения какого-либо лечения.
Патогенез
Механизм развития гистиоцитоза изучен недостаточно. Основным звеном патогенеза считается накопление в тканях дендритных клеток (клеток Лангерганса, или гистиоцитов). Дендритные клетки синтезируются в костном мозге и мигрируют в дерму, паренхиму легких, ретикулоэндотелиальную систему и т.д. Их основная функция заключается в поглощении антигенов, поступающих из окружающей среды, и презентации Т и В-лимфоцитам для формирования иммунного ответа. После контакта с гистиоцитами лимфоциты начинают выделять провоспалительные цитокины и медиаторы, повышающие активность гистиоцитов и придающие им высокую подвижность.
При гистиоцитозе по неизвестным причинам у дендритных клеток нарушается процесс апоптоза (запрограммированной клеточной гибели). В сочетании с выделяемыми лимфоцитами факторами роста это приводит к их интенсивной пролиферации с последующим слиянием с эозинофилами. В результате образуются гигантоклеточные гранулемы, которые постепенно начинают замещать нормально функционирующую ткань того или иного органа. Присутствие большого количества Т-лимфоцитов в гранулемах позволяет предположить наличие специфического антигена.
Классификация
По локализации очагов выделяют моносистемную форму с единичным или множественным поражением одной анатомической области и мультисистемную форму с признаками нарушения функции органов или без них. Традиционно различают следующие клинические формы:
- Диссеминированная (первично-острая, болезнь Абта—Леттерера—Сиве). Течение напоминает тяжелую системную инфекцию. Характеризуется быстрой генерализацией процесса, прогрессированием легочной недостаточности и высокой частотой летальности. Чаще возникает у детей от 6 месяцев до 2 лет.
- Первично-хроническая (болезнь Хенда—Шюллера—Крисчена). Течение также системное, но более благоприятное, различные органы вовлекаются постепенно. Типична триада Крисчена – несахарный диабет, односторонний экзофтальм и деструкция плоских костей черепа. Встречается у детей и подростков.
- Эозинофильная гранулема(болезнь Таратынова). Наиболее доброкачественный вид. Преимущественная локализация гранулем - кости и легкие. В большинстве случаев развивается у взрослых.

Симптомы гистиоцитоза
Клиническая картина крайне разнообразна. Заболевание начинается с появления общей слабости, повышения температуры тела, которая в основном бывает субфебрильной, но может достигать 40°С. Возможны диспепсические нарушения – тошнота, рвота, диарея. Кожа покрывается зудящими очагами гиперемии с чешуйками или корочками. Иногда наблюдаются геморрагические элементы, длительно незаживающие язвы. Высыпания присутствуют на коже головы, наружного слухового прохода, в области естественных складок (паховой, подмышечной). Увеличиваются лимфатические узлы по всему телу.
Возникает одышка, упорный сухой кашель и боли в грудной клетке. Затруднение дыхания может беспокоить только во время физической нагрузки или присутствовать даже в покое. Присоединяются тупые боли или тяжесть в правом подреберье из-за увеличения печени (гепатомегалии). При выраженном поражении печени кожа приобретает желтушный оттенок. Увеличение селезенки сопровождается болью в левом подреберье. Некоторые пациенты испытывают боль в костях. Деструкция костей глазницы ведет к образованию экзофтальма, чаще одностороннего. Боль в ухе ошибочно диагностируется как бактериальный или грибковый отит и безуспешно лечится антибактериальными и противогрибковыми препаратами. Остеолизис нижней челюсти приводит к периодонтитам и выпадению зубов.
При длительном течении гистиоцитоза больной начинает терять вес. В тяжелых случаях встречаются признаки костномозговой недостаточности – анемический синдром (бледность кожи, головокружение, учащенное сердцебиение), склонность к кровотечениям, сниженная сопротивляемость к инфекциям. Формирование гистиоцитарных гранулем в задней доле гипофиза вызывает угнетение выработки антидиуретического гормона. В результате развивается симптоматика несахарного диабета – сухость во рту, постоянная жажда (полидипсия) и повышенное мочеотделение (полиурия).
Осложнения
Широкая вариативность клинической картины при гистиоцитозе обусловливает разнообразие осложнений. Наиболее характерными считаются патологические переломы костей, особенно компрессионный перелом позвоночника. Типичные осложнения со стороны легких – легочная артериальная гипертензия вследствие диффузного фиброза легочной ткани, спонтанный пневмоторакс из-за разрыва тонкостенных булл. Массивная инфильтрация печени вызывает цирроз с печеночно-клеточной недостаточностью. К редким осложнениям относятся неблагоприятные последствия дефицита антидиуретического гормона (несахарного диабета) в виде гиперосмолярной гипогидратации, проявляющейся двигательным беспокойством, мышечными судорогами, нарушением сознания, вплоть до глубокой комы.
Диагностика
Пациентами с гистиоцитозом занимаются различные врачи – гематологи, пульмонологи, педиатры. Профиль специальности зависит от возраста больного и преимущественно пораженного органа. При общем осмотре отмечаются цианоз (синюшность) губ, участие в дыхании вспомогательной мускулатуры (при дыхательной недостаточности). При аускультации легких выслушивается жесткое дыхание, сухие хрипы по всем легочным полям. Дополнительное обследование включает:
- Лабораторные тесты. В общем анализе крови обнаруживаются ускорение скорости оседания эритроцитов, иногда эозинофилия и панцитопения (уменьшение эритроцитов, тромбоцитов и лейкоцитов). В биохимии крови может прослеживаться увеличение печеночных ферментов (АЛТ, АСТ) и повышение осмолярности плазмы. При печеночной недостаточности изменяются показатели коагулограммы (удлинение протромбинового времени, гипофибриногенемия). В анализе мочи наблюдается низкая относительная плотность (гипостенурия).
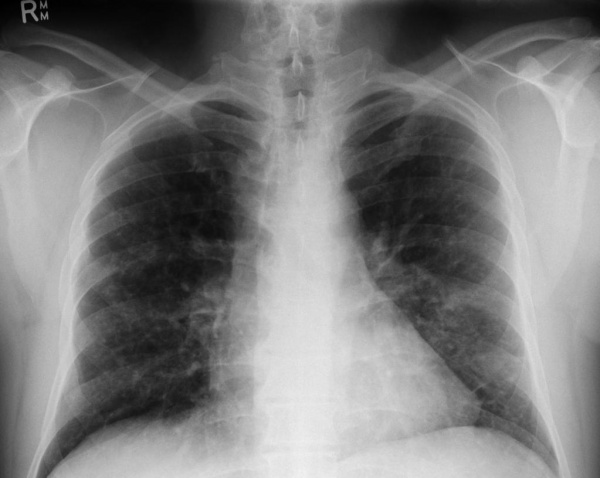
- Инструментальные исследования. При рентгенографии скелета находят очаги деструкции и остеолизиса, особенно выраженные в плоских костях черепа и длинных трубчатых костях. На рентгенограмме органов грудной клетки видны двусторонние мелкоочаговые затемнения (узелки, буллы), усиление легочного рисунка. Для более точной визуализации легочной ткани назначается компьютерная томография легких высокого разрешения, позволяющая определить их ячеистую деформацию. Результаты измерения функции внешнего дыхания (спирографии) показывают ухудшение диффузионной емкости легких.
- Верифицирующие тесты. Позволяют достоверно установить диагноз гистиоцитоза. При гистологическом исследовании биоптата (чаще кожи, лимфатических узлов или легких) выявляется избыточное количество гигантских клеток Лангерганса с эозинофильной цитоплазмой, бобовидной формой ядра, отсутствием ядрышек. Для идентификации поверхностных специфических маркеров гистиоцитоза (CD 1а и лангерина) проводится иммуногистохимический анализ.
Дифференциальный ряд включает большое количество нозологий и зависит от клинических симптомов гистиоцитоза. Кожные высыпания нужно дифференцировать с экземой, псориазом, атопическим дерматитом. Поражение легких следует отличать от туберкулеза, саркоидоза, лимфогранулематоза. Генерализованный гистиоцитоз дифференцируют с гематологическими заболеваниями (гемофагоцитарный синдром, острый лейкоз). Очаги деструкции костей требуют исключения гиперпаратиреоза, множественной миеломы, остеомиелита.

Рентгенография легких. Диффузные двусторонние узловые затемнения и небольшие кисты в верхней и средней доле
Лечение гистиоцитоза
Пациенты обязательно должны быть госпитализированы в стационар. При тяжелой дыхательной недостаточности показаны ингаляции кислорода или перевод на искусственную вентиляцию легких. При наличии признаков костномозговой недостаточности прибегают к переливанию компонентов крови и применению гранулоцитарного колониестимулирующего фактора.
Этиотропной терапии гистиоцитоза Х не существует. Наиболее важный этап в лечении – отказ от курения. Прекращение курения вызывает улучшение клинической, лабораторной, рентгенологической картины. В качестве патогенетической терапии используют глюкокортикостероиды (преднизолон, метилпреднизолон), химиотерапевтические средства (винбластин, меркаптопурин, этопозид).
Для лечения несахарного диабета назначается заместительная гормональная терапия аналогами вазопрессина (десмопрессин) в виде интраназального спрея или в таблетированной форме. При небольших остеолитических очагах выполняют кюретаж, при выраженной инфильтрации костей – резекцию или дистанционную гамма-терапию. При массивном деструктивном процессе в легочной ткани проводится трансплантация легких.
Прогноз и профилактика
Течение и прогноз при гистиоцитозе Х определяется формой заболевания. Первично-острая форма характеризуется быстропрогрессирующим течением с неблагоприятным прогнозом. Смерть наступает в 70-80% случаев от легочно-сердечной недостаточности. Первично-хроническая форма и эозинофильная гранулема имеют более доброкачественное течение. Риск летальности составляет 15% и 1,5% соответственно. Иногда происходит спонтанное выздоровление. Так как причина развития гистиоцитоза неизвестна, эффективных методов профилактики не разработано. Уменьшить риск возникновения и рецидива может отказ от табакокурения.
1. Доброкачественное течение гистиоцитоза Х/ Шихнебиев Д.А., Эседов Э.М., Джалилова Л.М.// Клиническая медицина. – 2002 - №7.
2. Роль дерматолога в диагностике гистиоцитоза из клеток Лангерганса/ Мошкалова И.А.// Учебные записки СПбГМУ им. акад. И.П. Павлова. - 2001, т. VIII, №4.
4. Легочный гистиоцитоз Х — современные представления, диагностика и тактика лечения/ Корнев Б.М., Коган Е.А., Попов Е.Н. и др.// Терапевтический архив - 2003 - №5.
Гистиоцитоз Лангерганса – симптомы, диагностика, лечение

Выпускник медицинского факультета УЛГУ. Интересы: современные медицинские технологии, открытия в области медицины, перспективы развития медицины в России и за рубежом.
- Запись опубликована: 01.04.2022
- Reading time: 5 минут чтения
Гистиоцитоз клеток Лангерганса — гетерогенная группа заболеваний, характеризующаяся чрезмерным ростом гистиоцитов — клеток, принадлежащих иммунной системе.
В странах Европы ежегодно диагностируются сотни новых случаев гистиоцитоза. Патология классифицируется как онкологическое заболевание. В его основе лежит клональная пролиферация гистиоцитов (клеток Лангерганса). Причина заболевания не известна, клиническая картина часто не характерна, поэтому лечение затруднено.
Гистиоцитоз – что это?
Гистиоцитоз клеток Лангерганса (LCH) — редкое заболевание неясной этиологии, при котором наблюдается чрезмерная пролиферация и аномальная дифференцировка клеток Лангерганса. Клетки Лангерганса — защитные клетки кожи, иммуногистохимически и морфологически напоминающие дендритные клетки. Они несут совместную ответственность за правильное функционирование иммунной системы. Физиологически клетки Лангерганса находятся в небольшом количестве в коже и внутренних органах.
Предполагается, что неконтролируемый рост клеток Лангерганса возникает в результате аномального иммунного ответа организма или после воздействия пока еще неизвестных стимуляторов.
В ходе заболевания наблюдаются узловые поражения различных размеров, разрушающие посредством инфильтрации структуры тканей и органов. У взрослых чаще всего поражаются кости, легкие, кожа и гипофиз. У детей гистиоцитоз дополнительно затрагивает лимфопоэтические органы (лимфоузлы, селезенку), нервную и пищеварительную системы.
Заболевание может протекать в любом возрасте, но 75% случаев гистиоцитоза диагностируются до 10 лет. Мужчины болеют в 4 раза чаще, чем женщины.
Классификация гистиоцитоза
Современная классификация делит нарушения из спектра гистиоцитоза на 5 групп. Гистиоцитоз клеток Лангерганса (LCH) относится к группе L вместе с болезнью Эрдхейма-Честера (ECD), неопределенным клеточным гистиоцитозом (ICH), внекожной ювенильной ксантогранулемой (extra-cutaneus JXG), а также смешанными формами LCH и ECD.
Из-за клональной природы гиперплазии очаги классифицируются как раковые заболевания, хотя иногда клиническое течение предполагает иной патогенетический механизм.
Гистиоцитоз может затрагивать любой орган или систему. По этому признаку патологию квалифицируют следующим образом:
- Односистемный гистиоцитоз (SS-LCH – односистемный LCH). С одно- или мультифокальным вовлечением одного органа или системы: костей (один или несколько очагов в одной кости и множественных очагов в нескольких костях), кожи, центральной нервной системы (гипоталамуса, гипофиза), легких, других органов, например, щитовидной железы, кишечника.
- Мультисистемныйгистиоцитоз (MS-LCH – мультисистемный LCH). Заболевание поражает более одного органа или системы.
Легкие могут быть вовлечены в обе формы заболевания: изолированную или мультисистемную.
Наблюдаемые симптомы заболевания — результат накопления аномальных клеток в тканях и органах и продолжающегося воспалительного процесса. Клиническая картина зависит от возраста больного, локализации и степени поражения органов. Треть случаев течение гистиоцитоза протекает бессимптомно.
К общим симптомам относятся:
Изменения костей в виде костных дефектов чаще всего отмечаются в черепе, лопатках, ребрах, позвонках и бедренных костях. У некоторых больных над дефектом образуется болезненное возвышение мягких тканей, а изменения в орбитальной области могут быть причиной экзофтальма — смещения глазных яблок вперед.
Поражения кожи чаще всего выглядят как темно-коричневые твердые узелки с тенденцией к самопроизвольному стиханию. Изменения в полости рта: подвижность зубов, гипертрофия и болезненность десен, язвы на губах, языке, щеках.
У взрослых изменения в легких часто изолированы. Часто больных беспокоят:
При физикальном осмотре дыхательной системы могут присутствовать особенности пневмоторакса (скопление воздуха в плевральной полости), глушение альвеолярного шума.
Изменения в центральной нервной системе становятся причиной когнитивных и поведенческих расстройств. Могут присутствовать различные очаговые симптомы. Вовлечение гипофиза провоцирует гормональные нарушения, несахарный диабет (с поражением задней доли гипофиза). Иногда наблюдается увеличение шейных лимфатических узлов.
Таблица 1. Частота встречаемости симптомов у больных с гистиоцитозом
| Симптомы | Процент больных |
| Вовлечение костной системы | 77-80% |
| Кожные поражения | 25-39% |
| Лимфаденопатия | у 19% детей (чаще при сосуществовании изменений в костной системе) |
| Поражение слизистой оболочки | 13% |
| Инфильтраты в пределах центральной нервной системы | 6% |
| Инфильтраты в пищеварительной системе | 13% |
Это заболевание иногда может навсегда повредить ткани и органы, что приводит к их аномальной функции, сохраняющейся после окончания лечения (гормональные дефициты, легочный фиброз, нейродегенеративный синдром). Отсутствие лечения на достаточно ранней стадии заболевания значительно повышает вероятность возникновения опасных нарушений в рамках естественного течения болезни.
Симптомы при поражении органов
Рассмотрим симптомы, характерные для отдельных органов и систем.
- Поражение костей. Чаще всего это литическое изменение кости с часто пальпируемой или даже видимой опухолью вокруг и над измененной костью и болью. Изменения в костях не всегда болезненны, поэтому могут обнаруживаться случайно. В случае вовлечения позвоночника может образоваться плоский позвонок. При поражении костей черепа часто наблюдаются изменения в ухе. Костные изменения в нижней челюсти приводят к потере зуба.
- Поражение уха. Рецидивирующий средний отит, нарушение слуха, фонетические расстройства, боль, головокружение.
- Поражение кожи. Папулезные и/или эритематозные поражения, местами желто-коричневые, местами шелушащиеся, иногда это небольшие комочки розового или кожного цвета, гнойнички и/или везикулы. Частая локализация поражений – волосистая кожа головы, заушная область, складки тела, вокруг ануса и на туловище, реже конечности.
- Поражение кроветворной системы. Показатели крови показывают дефицит железа, лейкоциты ниже 4,0×109 или тромбоциты ниже 100×109.
- Поражение дыхательной системы. Кашель, нарушения дыхания, спонтанный пневмоторакс, цианоз. Возможно и бессимптомное течение. Последствия поражения дыхательных путей: постоянное повреждение и дыхательная недостаточность.
- Вовлечение пищеварительной системы. Неспецифические желудочные симптомы — метеоризм, боль в животе, аномальный стул.
- Поражение печени. Увеличение печени. Симптомы дисфункции органов: гипербилирубинемия, гипоальбуминемия, коагулопатия или асцит. Поражение печени может сопровождаться вовлечением селезенки. Одно из наиболее тяжелых осложнений — склерозирующий холангит.
- Вовлечение центральной нервной системы. Несахарный диабет, образующийся в результате инфильтрации задней части гипофиза. Может опережать появление других клинических проявлений. Иногда обнаруживается после окончания терапии, что может свидетельствовать о прогрессировании заболевания. Гистиоцитоз — частый диагноз, сопровождающий несахарный диабет неясной этиологии.
- Инфильтрация внутри черепа. Связана с более высоким риском развития нейродегенеративных синдромов и воспалительных синдромов с неясным патогенезом, приводящих к постоянному повреждению ЦНС. Один из первых симптомов этих изменений — нарушения памяти, влияющие на успеваемость или эффективность работы.
Диагностика и лечение гистиоцитоза
Диагностика гистиоцитоза из клеток Лангерганса основывается на гистопатологическом исследовании, наличии характерных симптомов и визуализационных тестах. Поскольку гистиоцитоз редкое заболевание, проявляющееся широким спектром клинических симптомов, постановка диагноза часто затягивается.
Перед началом лечения выполняются грейдинговые анализы (анализы крови и мочи, УЗИ, рентген, иногда КТ, МРТ, ПЭТ – решение о конкретном обследовании принимает онколог). Это дает возможность правильно оценить форму заболевания, что является основой для правильного подбора лечения. Слишком поверхностная или неполная диагностика приводит к неправильной оценке стадии патологии и соответственно влияет на прогноз и на качество жизни пациента после онкологического лечения.
Лабораторные анализы включают:
- анализ показателей периферической крови; и мочи (суточный анализ); ; .
Отклонения в результатах анализов зависят от локализации заболевания.
Визуальные тесты используются для оценки отдельных органов и систем, которые могут быть охвачены процессом заболевания.
- Рентгеновская или компьютерная томография легких. Выявляет изменения в дыхательной системе. Осмотр скелета позволяет визуализировать остеолитические очаги.
- УЗИ брюшной полости. Может показать поражение печени или селезенки.
- Магнитно-резонансная томография. Используется для диагностики структур головного мозга.
- ПЭТ-сканирование. Позитронно-эмиссионная томография — наиболее детальное обследование, способное выявлять очаги заболевания, не видимые при других визуальных тестах.
Рекомендуется проведение молекулярных тестов, определяющих возникновение характерных мутаций. Можно воздержаться от выполнения биопсии только при расположении очагов в центральной нервной системе, если нет возможности безопасно собрать материал, и при однозначных результатах томографических тестов.
У пациентов с симптомами LCH в гистиоцитах часто (66%) обнаруживается наличие мутаций в гене BRAF V600E. Вышеуказанная мутация обнаруживается и в аналогичном процентном соотношении у пациентов с болезнью Эрдхаима-Честера.
Подтверждает диагноз гистопатологическое исследование среза пораженной ткани, выявляющее наличие клеток Лангерганса, экспрессирующих поверхностные антигены CD1a, CD207 (лангерин) и нейропротеин S-100.
Лечение односистемной кожной формы зависит от степени поражения. Назначается местное лечение, заключающееся в применении глюкокортикостероидов, мехлорэтамина или фототерапии. Поскольку возникают спонтанные ремиссии, отдельные очаги требуют только наблюдения.
Для больных с единичным костным очагом часто единственно лечение — биопсия очага поражения, иногда возникает необходимость в выскабливании очага и местном введении стероида или применении лучевой терапии.
Показания к системному лечению:
- односистемные мультифокальные и мультисистемные заболевания;
- изменения костей черепа и позвоночника (повышенный риск вовлечения центральной нервной системы);
- вовлечение органов высокого риска, т.е. костного мозга, селезенки, печени.
Для лечения часто используется винбластин (противоопухолевый препарат) в комбинации с преднизолоном, в некоторых случаях с 6-меркаптопурином. Курс лечения обычно длится 12 месяцев.
Если реакция на это лечение неудовлетворительна, наблюдается прогрессирование заболевания, используются другие цитостатики, например, цитарабин, кладрибин, винкристин, метотрексат или меркаптопурин.
При обнаружении мутации, на основе результата молекулярного теста, применяются таргетные методы лечения, значительно улучшающие прогноз в самых тяжелых случаях.
Гистиоцитоз – прогноз излечения
Прогноз при гистиоцитозе клеток Лангерганса у детей и взрослых может быть разным. Заболевание может исчезнуть спонтанно или перейти в диссеминированную форму, опасную для жизни.
В односистемной форме прогноз хороший, в случае мультисистемной формы он зависит от пораженных органов. Значительно ухудшает прогноз вовлечение центральной нервной системы, костного мозга, печени и селезенки.
Читайте также:
- Инфекционный эндокардит - симптомы, лечение, рекомендации
- Механизмы действия анестетиков. Холенцефалическое действие анестезии
- Задержка внутриутробного развития плода. Эхографические признаки задержки развития плода
- Симптомы гастроэзофагеального рефлюкса (ГЭРБ) и его лечение
- Лекарства вызывающие гиперпролактинемию и гипопролактинемию
