КТ при абсцессе жевательного пространства
Добавил пользователь Евгений Кузнецов Обновлено: 12.12.2025
Ограниченный воспалительный процесс в полости рта или жевательном пространстве с гнойным расплавлением.
- Первичное распространение обычно в область щеки (к жевательным мышцам), в подъязычную и подчелюстную области
- Распространение на нёбо, полость рта или лицо встречается реже
- Вторичное распространение в около- и заглоточное пространство («опасное» пространство) и средостение
- Часто вызван (3-гемолитическим стрептококком.
- Первичное распространение на жевательное пространство, медиальную крыловидную мышцу и мягкое нёбо
- Вторичное распространение - как при одонтогенном абсцессе.
Клинические проявления
Абсцесс обычно имеет следующие симптомы:
- Часто зубная боль или лечение зубов в анамнезе
- Признаки воспалительного процесса (повышение температуры тела, уровня С-реактивного белка и СОЭ)
- У большинства пациентов наблюдается тризм и ограничение открывания рта
- Уплотнение тканей лица
- Часто неэффективная пероральная антибактериальная терапия в анамнезе.
Признаки абсцесса полости рта на КТ и МРТ снимках
Что бы обнаружить абсцесс полости рта, диагностика должна включать в себя несколько исследований, а именно:
Методы выбора
Применяют ли КТ для диагностики абсцесса полости рта
- Асимметричное мягкотканное образование с нечеткими контурами, инфильтрирующее расположенные рядом структуры
- Часто один или несколько очагов распада
- Выраженное усиление после введения контрастного вещества, иногда в виде кольцевидной структуры
- Часто сопутствующий шейный лимфаденит.
Что покажут снимки МРТ полости рта при абсцессе
- Высокая интенсивность сигнала на Т2-взвешенном изображении
- Низкая интенсивность сигнала на Т1 -взвешенном изображении
- Интенсивное усиление после введения гадолиния, особенно в режиме подавления сигнала от жировой ткани
- Кольцо усиления с нечеткими контурами
- Для остеомиелита нижней челюсти характерен отек костного мозга и усиление сигнала от костномозговой полости.
Отличительные признаки
- Полосовидная имбибиция подкожной жировой ткани
- Очаги распада
- Типичная клиническая картина
- Сопровождается острым гнойным верхушечным периодонтитом, особенно моляров
- Деструкция нижней челюсти в связи с сопутствующим остеомиелитом.
Что хотел бы знать лечащий врач
Заболевания, имеющие симптомы абсцесса полости рта
Флегмона
- Диффузная инфильтрация тканей, усиливающаяся после введения контрастного вещества
- Отсутствие кольцевидного усиления стенки абсцесса
Опухоли (преимущественно фибросаркома и рабдомиосаркома)
- Четкие границы с незначительной перифокальной реакцией или без нее
- Объемное образование повышенной плотности, гиперинтенсивное, наблюдаются деструктивные изменения
Односторонняя гипертрофия мышц
- Увеличение мышц без типичного усиления после введения контрастного вещества
Лечение абсцесса полости рта
- Вскрытие и дренирование, пункция и аспирация
- Парентеральная антибактериальная терапия (например, пенициллин) показана при остеомиелите.
Врачи каких специальностей диагностируют и лечат абсцесс полости рта
- Челесно-лицевой хирург (осмотр и операция по вскрытию абсцесса)
Прогноз
- Прогноз благоприятный после вскрытия, дренирования и парентеральной антибактериальной терапии
- В редких случаях может потребоваться повторное хирургическое вмешательство для дополнительного дренирования
Возможные осложнения и последствия
- В отсутствие лечения могут развиваться вторичные абсцессы, флегмона, некротический фасциит или медиастинит.

КТ с контрастированием: абсцесс дна полости рта справа с распространением под нижнюю челюсть. Абсцесс примыкает с правой стороны к телу нижней челюсти, определяется как образование со сниженной плотностью в центре, окруженное усиленной стенкой. Поднижнечелюстная железа смещена кзади (стенка абсцесса интактна, инфильтрация в данном случае отсутствует).

Абсцесс дна полости рта, расположенный справа около средней линии. КТ с контрастированием: объемное образование с типичным снижением плотности в центре, окруженное усиленной стенкой. Мелкий абсцесс слева, примыкающий к нервно- сосудистому пучку, с сопутствующим отеком поднижнечелюстных мягких тканей.
Абсцесс околочелюстной
Околочелюстной абсцесс - это образование воспалительного гнойного очага в тканях челюстно-лицевой зоны лица. Проявляется локальной припухлостью, покраснением и флюктуацией (зыблением) кожи над очагом воспаления, асимметрией лица, затруднением и болезненностью глотания, явлениями интоксикации. Может развиться в разлитое воспаление – флегмону, с вовлечением в процесс окологлоточной и подглазничной области, шеи. Лечение всегда хирургическое – вскрытие и дренирование полости абсцесса.
МКБ-10
Общие сведения
Абсцесс околочелюстной – ограниченный очаг гнойного воспаления тканей челюстно-лицевой зоны. При отсутствии лечения абсцессов начинается гнойный распад и гнойное расплавление соседних тканей.
Причины околочелюстного абсцесса
Абсцесс вызывает стрептококковая и стафилококковая микрофлора, наиболее частой причиной являются заболевания зубов и воспалительные процессы в челюстно-лицевой зоне. Фурункулез, ангина, тонзиллит при хроническом течении осложняются околочелюстными абсцессами. Повреждения кожи и слизистой в области рта, занос инфекции во время стоматологических процедур могут спровоцировать абсцесс околочелюстной зоны.
Общие инфекционные заболевания, протекающие по типу сепсиса, в результате распространения микроорганизмов кровью и лимфой, вызывают множественные абсцессы в различных органах и тканях, в том числе и абсцессы околочелюстной зоны. Абсцесс околочелюстной зоны может возникнуть из-за травм лица. Во время военных действий и стихийных бедствий из-за отсутствия первой помощи, вывихи и переломы челюстей часто осложняются абсцессами. Околоверхушечные и перикоронарные очаги воспаления и пародонтальные карманы при обострениях могут спровоцировать абсцесс челюсти из-за резорбции костной ткани.
Симптомы околочелюстного абсцесса
Формированию абсцесса предшествует зубная боль как при периодонтите. Надкусывание в пораженной зоне усиливает болевые ощущения. Далее присоединяется плотный отек с формированием болезненного уплотнения. Для абсцесса, развивающегося под слизистой оболочкой, характерна яркая гиперемия и выпячивание пораженного очага. Иногда отмечается асимметрия лица.
При отсутствии терапии ухудшается общее состояние пациента: повышается температура тела, наблюдается отказ от пищи. После самопроизвольного вскрытия абсцесса боль стихает, контуры лица принимают нормальные очертания, общее самочувствие стабилизируется. Но из-за благоприятных условий для микроорганизмов в полости рта, процесс хронизируется, поэтому его самопроизвольное вскрытие не говорит об излечении.
При краткосрочных ослаблениях иммунной системы околочелюстные абсцессы обостряются. Возможно хроническое гноетечение из свищевых ходов, оно сопровождается неприятным запахом изо рта и заглатыванием гнойных масс. Происходит сенсибилизация организма продуктами распада, обостряются аллергические заболевания.
Для абсцессов дна полости рта характерна гиперемия в подъязычной зоне с быстрым образованием инфильтрата. Разговор и прием пищи становятся резко болезненными, отмечается гиперсаливация. Снижается подвижность языка, он слегка приподнимается кверху, чтобы не соприкасаться с формирующимся абсцессом. По мере увеличения припухлости, ухудшается общее состояние. При самопроизвольном вскрытии гной распространяется в окологлоточную область и шею, что ведет к возникновению вторичных гнойных очагов.
Абсцесс неба чаще возникает как осложнение периодонтита верхнего второго резца, клыка и второго премоляра. Во время формирования абсцесса наблюдается гиперемия и болезненность твердого нёба, после выбухания боль становится интенсивнее, прием пищи затрудняется. При самопроизвольном вскрытии гнойное содержимое распространяется на всю площадь твердого неба с развитием остеомиелита небной пластины.
Если возникает абсцесс щеки, то в зависимости от локализации и глубины, припухлость и покраснение могут быть более выражены с наружной стороны или со стороны слизистой полости рта. Болезненность очага умеренная, при работе мимических мышц боль усиливается. Общее состояние практически не страдает, но абсцесс щеки опасен распространением на соседние отделы лица еще до вскрытия гнойника.
Абсцесс языка начинается с болезненностью в толще языка, язык увеличивается в объеме, становится малоподвижным. Речь, жевание и глотание пищи резко затруднены и болезненны. Иногда при абсцессе может возникнуть чувство удушения.
Диагностика
Диагноз ставят на основании визуального осмотра стоматолога и жалоб пациента. Иногда в ходе опроса выясняется, что имели место быть фурункулы лицевой зоны, имеются хронические инфекционные заболевания. До визита к врачу рекомендуется принимать анальгетики, полоскать полость рта антисептическими растворами, самостоятельный прием антибиотиков недопустим. Конечной целью лечения является полная ликвидация инфекционного процесса и восстановление нарушенных функций в максимально короткий срок.
Лечение околочелюстного абсцесса
Схема лечения зависит от стадии заболевания, от вирулентности микроорганизма и от особенностей ответной реакции со стороны макроорганизма. Локализация абсцессов околочелюстной зоны, возраст пациента и наличие сопутствующих заболеваний существенно влияют на принципы лечения. Чем больше осложняющих факторов, тем интенсивнее должна быть терапия.
В период лечения абсцессов околочелюстной зоны рекомендуется соблюдать диету с преобладанием протертых супов и пюре. Если наблюдается стойкий отказ от пищи прибегают к внутривенному введению белковых растворов. При наличии сформировавшегося абсцесса показано его вскрытие с последующим дренированием полости. В остальных случаях прибегают к антибиотикотерапии, и только при ее нецелесообразности ставится вопрос о хирургическом лечении.
Антибиотики назначают в виде инъекций или в таблетированных формах, дополнительно проводят курс витаминотерапии. Показаны иммуностимуляторы и дезинтоксикационная терапия. Полоскание полости рта теплыми растворами фурацилина и соды снимает отечность и предотвращает распространение инфекции. При наличии ярко-выраженного болевого синдрома применяют анальгетики. При вовремя начатой комплексной терапии прогноз обычно благоприятный, выздоровление наступает в течение 6-14 дней.
Паратонзиллярный абсцесс
Паратонзиллярный абсцесс – острое гнойное воспаление околоминдаликовой клетчатки. Основные симптомы заболевания – односторонние болевые ощущения «рвущего» характера, усиливающиеся при глотании, повышенное слюноотделение, тризм, резкий запах изо рта, интоксикационный синдром. Диагностика основывается на сборе анамнестических сведений и жалоб больного, результатах фарингоскопии, лабораторных и инструментальных методах исследования. В терапевтическую программу входит антибактериальная терапия, промывание ротовой полости антисептическими средствами, хирургическое опорожнение абсцесса, при необходимости – абсцесстонзиллэктомия.
Термин «паратонзиллярный абсцесс» используется для обозначения финальной стадии воспаления – образования гнойной полости. Синонимические названия – «флегмонозная ангина» и «острый паратонзиллит». Заболевание считается одним из наиболее тяжелых гнойных поражений глотки. Более чем в 80% случаев патология возникает на фоне хронического тонзиллита. Чаще всего встречается у лиц в возрасте от 15 до 35 лет. Представители мужского и женского пола болеют с одинаковой частотой. Для данной патологии характерна сезонность – заболеваемость увеличивается в конце осени и в начале весны. В 10-15% паратонзиллит приобретает рецидивирующее течение, у 85-90% больных обострения наблюдаются чаще одного раза в год.
Причины паратонзиллярного абсцесса
Основная причина развития – проникновение патогенной микрофлоры в ткани, окружающие небные миндалины. Паратонзиллярный абсцесс редко диагностируется в качестве самостоятельного заболевания. Пусковыми факторами являются:
- Бактериальные поражения глотки. Большинство абсцессов околоминдаликовых тканей возникает в виде осложнения острого тонзиллита или обострения хронической ангины, реже – острого фарингита.
- Стоматологические патологии. У некоторых пациентов болезнь имеет одонтогенное происхождение – причиной становится кариес верхних моляров, периостит альвеолярных отростков, хронический гингивит и пр.
- Травматические повреждения. В редких случаях формирование абсцесса в прилегающих к миндалине тканях происходит после инфицирования ран слизистой оболочки этой области.
В роли возбудителей обычно выступают Streptococcus pyogenes, Staphylococcus aureus, несколько реже – Escherichia coli, Haemophilus influenzae, различные пневмококки и клебсиеллы, грибы рода Candida. К факторам, увеличивающим риск развития патологии, относятся общее и местное переохлаждение, снижение общих защитных сил организма, аномалии развития миндалин и глотки, табакокурение.
Патогенез
Паратонзиллярный абсцесс в большинстве случаев осложняет течение одной из форм тонзиллита. Образованию гнойника верхней локализации способствует наличие более глубоких крипт в верхней части миндалины и существование желез Вебера, которые активно вовлекаются в процесс при хронической ангине. Частые обострения тонзиллита приводят к формированию рубцов в районе устьев крипт и небных дужек – происходит сращение с капсулой миндалины. В результате нарушается дренирование патологических масс, создаются условия для активного размножения микрофлоры и распространения инфекционного процесса внутрь клетчатки. При одонтогенном происхождении заболевания патогенная микрофлора проникает в околоминдаликовые ткани вместе с током лимфы. При этом поражение небных миндалин может отсутствовать. Травматический паратонзиллит является результатом нарушения целостности слизистой оболочки и проникновения инфекционных агентов из полости рта непосредственно вглубь тканей контактным путем.
Классификация
В зависимости от морфологических изменений в полости ротоглотки выделяют три основные формы паратонзиллярного абсцесса, которые также являются последовательными стадиями его развития:
- Отечная. Характеризуется отечностью околоминдаликовых тканей без выраженных признаков воспаления. Клинические симптомы зачастую отсутствуют. На этом этапе развития заболевание идентифицируется редко.
- Инфильтрационная. Проявляется гиперемией, местным повышением температуры и болевым синдромом. Постановка диагноза при этой форме происходит в 15-25% случаев.
- Абсцедирующая. Формируется на 4-7 день развития инфильтрационных изменений. На этой стадии наблюдается выраженная деформация зева за счет массивного флюктуирующего выпячивания.
С учетом локализации гнойной полости принято выделять следующие формы патологии:
- Передняя или передневерхняя. Характеризуется поражением тканей, расположенных над миндалиной, между ее капсулой и верхней частью небно-язычной (передней) дужки. Наиболее распространенный вариант болезни, встречается в 75% случаев.
- Задняя. При этом варианте абсцесс формируется между небно-глоточной (задней) дужкой и краем миндалины, реже – непосредственно в дужке. Распространенность – 10-15% от общего числа больных.
- Нижняя. В этом случае пораженная область ограничена нижним полюсом миндалины и латеральной стенкой глотки. Наблюдается у 5-7% пациентов.
- Наружная или боковая. Проявляется образованием абсцесса между боковым краем небной миндалины и стенкой глотки. Наиболее редкая (до 5%) и тяжелая форма патологии.
Симптомы паратонзиллярного абсцесса
Первый симптом поражения околоминдаликовой клетчатки – резкая односторонняя боль в горле при глотании. Только в 7-10% случаев отмечается двухстороннее поражение. Болевой синдром довольно быстро становится постоянным, резко усиливается даже при попытке глотнуть слюну, что является патогномоничным симптомом. Постепенно боль приобретает «рвущий» характер, возникает иррадиация в ухо и нижнюю челюсть. Одновременно развивается выраженный интоксикационный синдром – лихорадка до 38,0-38,5° C, общая слабость, ноющая головная боль, нарушение сна. Умеренно увеличиваются нижнечелюстные, передние и задние группы шейных лимфоузлов. Наблюдается стекание слюны с угла рта в результате рефлекторной гиперсаливации. У многих пациентов определяется гнилостный запах изо рта.
Дальнейшее прогрессирование приводит к ухудшению состояния больного и возникновению тонического спазма жевательной мускулатуры – тризму. Этот симптом является характерным для паратонзиллярного абсцесса. Наблюдаются изменения речи, гнусавость. При попытке проглатывания жидкая пища может попадать в полость носоглотки, гортань. Болевой синдром усиливается при повороте головы, вынуждая больного держать ее наклоненной в сторону поражения и поворачиваться всем телом. Большинство пациентов принимают полусидячее положение с наклоном головы вниз или лежа на больном боку.
У многих больных на 3-6 день происходит самопроизвольное вскрытие полости абсцесса. Клинически это проявляется внезапным улучшением общего состояния, снижением температуры тела, незначительным уменьшением выраженности тризма и появлением примеси гнойного содержимого в слюне. При затяжном или осложненном течении прорыв происходит на 14-18 день. При распространении гнойных масс в окологлоточное пространство вскрытие гнойника может не наступить вовсе, состояние больного продолжает прогрессивно ухудшаться.
Осложнения
К наиболее частым осложнениям относятся диффузная флегмона шеи и медиастинит. Они наблюдаются на фоне перфорации боковой стенки глотки и вовлечения в патологический процесс парафаренгиального пространства, откуда гнойные массы распространяются в средостение или к основанию черепа (редко). Реже встречается сепсис и тромбофлебит пещеристого синуса, возникающий при проникновении инфекции в мозговой кровоток через миндаликовые вены и крыловидное венозное сплетение. Аналогичным образом развиваются абсцессы головного мозга, менингит и энцефалит. Крайне опасное осложнение – аррозивное кровотечение вследствие гнойного расплавления кровеносных сосудов окологлоточного пространства.
Из-за наличия ярко выраженной патогномоничной клинической картины постановка предварительного диагноза не вызывает трудностей. Для подтверждения отоларингологу обычно достаточно данных анамнеза и результатов фарингоскопии. Полная диагностическая программа включает в себя:
- Сбор анамнеза и жалоб. Зачастую абсцесс образуется на 3-5 день после излечения острой спонтанной ангины или купирования симптомов хронической формы болезни. Врач также акцентирует внимание на возможных травмах области ротоглотки, наличии очагов инфекции в ротовой полости.
- Общий осмотр. Многие пациенты поступают в медицинское учреждение с вынужденным наклоном головы в больную сторону. Выявляется ограничение подвижности шеи, увеличение регионарных лимфатических узлов, гнилостный запах из ротовой полости и фебрильная температура тела.
- Фарингоскопия. Наиболее информативный метод диагностики. Позволяет визуально определить наличие флюктуирующего шаровидного выпячивания околоминдаликовой клетчатки, покрытого гиперемированной слизистой оболочкой. Часто на его поверхности имеется небольшой участок желтоватого цвета – зона будущего прорыва гнойных масс. Образование может вызывать асимметрию зева – смещение язычка в здоровую сторону, оттеснение небной миндалины. Локализация гнойника зависит от клинической формы патологии.
- Лабораторные тесты. В общем анализе крови отмечаются неспецифические воспалительные изменения – высокий нейтрофильный лейкоцитоз (15,0×10 9 /л и более), увеличение СОЭ. Выполняется бактериальный посев для идентификации возбудителя и определения его чувствительности к антибактериальным средствам.
- Аппаратные методы визуализации. УЗИ области шеи, КТ шеи, рентгенография мягких тканей головы и шеи назначаются с целью дифференциальной диагностики, исключения распространения патологического процесса в парафарингеальное пространство, средостение и т. д.
Патологию дифференцируют с дифтерией, скарлатиной, опухолевыми заболеваниями, аневризмой сонной артерии. В пользу дифтерии свидетельствует наличие грязно-серого налета на слизистых оболочках, отсутствие тризма и обнаружение палочек Леффлера по данным бак. посева. При скарлатине выявляются мелкоточечные кожные высыпания, в анамнезе присутствует контакт с больным человеком. Для онкологических поражений характерно сохранение нормальной температуры тела или незначительный субфебрилитет, отсутствие выраженного болевого синдрома, медленное развитие симптоматики. При наличии сосудистой аневризмы визуально и пальпаторно определяется пульсация, синхронизированная с ритмом сердца.
Лечение паратонзиллярного абсцесса
Основная цель лечения на стадии отека и инфильтрации – уменьшение воспалительных изменений, при образовании абсцесса – дренирование полости и санация очага инфекции. Из-за высокого риска развития осложнений все терапевтические мероприятия осуществляются только в условиях стационара. В план лечения входит:
- Медикаментозная терапия. Всем пациентам назначают антибиотики. Препаратами выбора являются цефалоспорины II-III поколения, аминопенициллины, линкозамиды. После получения ре зультатов бактериального посева схему лечения корректируют с учетом чувствительности возбудителя. В качестве симптоматической терапии применяют жаропонижающие, обезболивающие и противовоспалительные препараты, иногда проводят инфузионную терапию. Для полоскания ротовой полости используют растворы антисептиков.
- Оперативные вмешательства. При наличии сформировавшегося гнойника в обязательном порядке выполняют вскрытие паратонзиллярного абсцесса и дренирование полости под регионарной анестезией. При рецидивирующем течении хронической ангины, повторных паратонзиллитах или неэффективности предыдущей терапии осуществляют абсцесстонзиллэктомию – опорожнение гнойника одновременно с удалением пораженной небной миндалины.
Прогноз и профилактика
Прогноз при паратонзиллярном абсцессе зависит от своевременности начала лечения и эффективности проводимой антибиотикотерапии. При адекватной терапии исход заболевания благоприятный – полное выздоровление наступает спустя 2-3 недели. При возникновении внутригрудных или внутричерепных осложнений прогноз сомнительный. Профилактика заключается в своевременной санации гнойных очагов: рациональном лечении ангины, кариозных зубов, хронического гингивита, воспаления аденоидных вегетаций и других патологий, прохождении полноценного курса антибактериальной терапии.
Заглоточный абсцесс
Заглоточный абсцесс — это гнойное воспаление расположенной в заглоточном пространстве клетчатки. Возникает в результате травмирования глотки или распространения гноеродных микроорганизмов из находящегося в носоглотке или ухе инфекционного очага. Заглоточный абсцесс проявляется интенсивной болью в горле, приводящей к нарушению глотания и отказу от пищи; гнусавостью или охриплостью голоса, затруднением дыхания, повышением температуры тела, увеличением шейных и затылочных лимфоузлов. Диагностика заболевания осуществляется с применением фарингоскопии, бакпосева мазка из зева, ПЦР-диагностики, RPR-теста. Лечение большинства заглоточных абсцессов - это хирургическое вскрытие и дренирование. Оно проводится на фоне системной комплексной терапии антибактериальными, противовоспалительными и гипосенсибилизирующими препаратами.
Наибольшую склонность к образованию заглоточного абсцесса имеют дети в возрасте до 4 лет. Это обусловлено имеющимися у них особенностями строения заглоточного пространства: большой рыхлостью клетчатки и наличием в ней лимфатических узлов, которые после 6-ти лет полностью атрофируются. Самая высокая заболеваемость заглоточным абсцессом отмечается среди детей от 2 месяцев до 1 года. Во взрослом возрасте заглоточный абсцесс встречается достаточно редко и обычно является следствием травматического повреждения глотки. Однако современная отоларингология отмечает увеличение числа случаев заглоточного абсцесса у взрослых пациентов.
Причины
Причиной возникновения заглоточного абсцесса в детском возрасте чаще всего является инфекция. Первичным очагом инфекции может быть гнойный отит, мастоидит, осложнившийся паротит, фарингит, ринит, синусит, тонзиллит. Распространение инфекционного процесса в заглоточное пространство происходит по лимфатическим путям с поражением заглоточных лимфатических узлов. Благоприятствующим этому фактором является ослабленное состояние организма ребенка, сниженный иммунитет, наличие диатеза или рахита. У детей заглоточный абсцесс может развиваться на фоне острых инфекционных заболеваний: ОРВИ, кори, скарлатины, дифтерии, гриппа. В редких случаях он является осложнением аденотомии или тонзиллэктомии.
Во взрослом возрасте на первое место среди причин формирования заглоточного абсцесса выходит травматический фактор. Повреждение глотки может произойти рыбной костью, грубой пищей, инородным предметом. Травматизация глотки возможна при проведении гастроскопии, бронхоскопии, установке назогастральной трубки и эндотрахеальном наркозе.
Заглоточный абсцесс у взрослых может возникать как осложнение тяжелой ангины. В некоторых случаях он оказывается вызван специфической микрофлорой и является следствием туберкулеза или сифилиса, протекающих с поражением шейного отдела позвоночника. В таких случаях говорят о «холодном» заглоточном абсцессе. Риск развития заглоточного абсцесса повышен у пациентов с хроническими заболеваниями и сниженным иммунитетом, при наличие сахарного диабета, злокачественной опухоли, ВИЧ-инфекции.
Заглоточный абсцесс классифицируется в зависимости от расположения. Выделяют следующие виды заглоточных абсцессов:
- эпифарингеальный — расположенный выше небной занавески;
- мезофарингеальный — локализующийся между корнем языка и краем небной занавески;
- гипофарингеальный — находящийся ниже корня языка;
- смешанный — занимающий несколько анатомических зон.
Симптомы заглоточного абсцесса
Заглоточный абсцесс характеризуется острым началом с повышением температуры тела до 39-40 °С и нарушением общего состояния. Развитие заглоточного абсцесса на фоне уже имеющегося инфекционного заболевания проявляется резким ухудшением состояния пациента и появлением новых симптомов. Дети становятся плаксивыми и беспокойными, происходит нарушение сна, характерен отказ от еды, а у детей грудного возраста — нарушение сосания.
Одним из первых признаков формирования заглоточного абсцесса является боль в горле. Больные отмечают усиление боли во время глотания, затруднение при проглатывании пищи. Боль в горле часто настолько сильно выражена, что пациенты отказываются от еды. При расположении заглоточного абсцесса в верхнем отделе глотки наблюдается нарушение носового дыхания, у взрослых и детей старшего возраста появляется гнусавость голоса. Если заглоточный абсцесс локализуется в среднем или нижнем отделе глотки, то появляется охриплость голоса и затрудненное дыхание, могут возникать приступы удушья. Наблюдается одышка с затрудненным вдохом (инспираторная). В вертикальном положении пациента отмечается усугубление нарушений дыхания из-за стекания гноя вниз и перекрытия им просвета трахеи. Может появляться клокотание в горле, что чаще всего происходит в период сна.
Заглоточный абсцесс сопровождается лимфаденитом регионарных лимфатических узлов. Боковые верхнешейные и затылочные лимфоузлы становятся припухлыми и болезненными. Типично вынужденное положение пациента: его голова запрокинута назад и повернута в ту сторону, где располагается заглоточный абсцесс. Во многих случаях на стороне заглоточного абсцесса отмечается отек участка шеи, расположенного позади угла нижней челюсти.
Распространение инфекции из заглоточного абсцесса по верхним дыхательным путям может привести к появлению бронхопневмонии. Нарушение дыхательной функции способствует развитию застойной пневмонии. Реже наблюдается гематогенное распространение инфекции в полость черепа с возникновением абсцесса головного мозга или гнойного менингита. В отдельных случаях при заглоточном абсцессе рефлекторно может произойти остановка сердечной деятельности.
Грозным осложнением заглоточного абсцесса является асфиксия — удушье в результате перекрытия просвета дыхательных путей. Асфиксия может возникнуть из-за выраженного отека гортани или при самопроизвольном вскрытии заглоточного абсцесса с излитием в просвет гортани большого количества гнойных масс. При вскрытии абсцесса в заглоточное пространство гной по рыхлой клетчатке распространяется на крупные сосуды шеи или просачивается в средостение. Поражение сосудов может стать причиной аррозивного кровотечения, тромбоза яремной вены или флебита. Проникновение инфекции в средостение вызывает развитие гнойного медиастинита, который быстро приводит к возникновению сепсиса.
Заглоточный абсцесс диагностируется отоларингологом на основании данных, полученных в ходе осмотра пациента и проведения фарингоскопии. При осмотре обращает на себя внимание вынужденное положение головы пациента, локальный отек в области шеи, увеличение лимфатических узлов и их болезненность при пальпации. Фарингоскопия выявляет локальную инфильтрацию на задней стенке глотки и опухолевидную припухлость шаровидной формы. Пальцевое исследование глотки определяет болезненность в месте припухлости и наличие симптома флюктуации, свидетельствующего о том, что образование представляет собой скопление жидкого гноя.
Клинический анализ крови говорит о наличии воспалительного процесса: отмечается лейкоцитоз и повышение СОЭ до 40 мм/ч. Микроскопия и бактериологическое исследование мазка из зева позволяют определить вид возбудителя, ставшего причиной заглоточного абсцесса. Чаще всего это гемолитические стрептококки, золотистые стафилококки, клебсиела, анаэробный и эпидермальный стафилококки, кишечная палочка. Возможна туберкулезная или сифилитическая этиология абсцесса. В связи с этим проводят ПЦР-диагностику сифилиса и туберкулеза, RPR-тест, анализ мокроты на микобактерии туберкулеза.
Для выявления сопутствующих заболеваний уха и носоглотки, которые возможно стали причиной формирования заглоточного абсцесса, может потребоваться отоскопия, риноскопия, УЗИ и рентгенография околоносовых пазух, рентгенография позвоночника в шейном отделе.
Лечение заглоточного абсцесса
Выявленный заглоточный абсцесс подлежит хирургическому вскрытию и дренированию. В месте наибольшего выбухания делают разрез абсцесса скальпелем или остроконечными ножницами. В разрез вводят наконечник электрического отсоса и отсасывают гной. Важно сразу же после вскрытия заглоточного абсцесса быстро произвести отсасывание гноя, чтобы избежать его попадания в дыхательные пути. Для предупреждения затекания гноя в дыхательные пути в момент вскрытия абсцесса некоторые авторы рекомендуют предварительно производить его пункцию и отсасывать гной. В некоторых случаях после вскрытия заглоточного абсцесса края произведенного разреза слипаются, тогда прибегают к их повторному раздвиганию с использованием желобоватого зонда или щипцов Гартмана.
Низко расположенные абсцессы, сопровождающиеся затеком гноя в область шеи, вскрывают через наружный хирургический доступ. Разрез производят по передне-боковой поверхности шеи параллельно краю грудино-ключично-сосцевидной мышцы.
При наличие симптомов сдавления дыхательных путей с нарушением дыхания введение дыхательной трубки (интубация) противопоказано. В таких случаях неотложная помощь с целью восстановления дыхательной функции заключается в проведении крикотомии — разреза на передней поверхности шеи с формированием отверстия в гортанном хряще, через которое осуществляется дыхание. Для ликвидации гипоксии, возникшей из-за нарушений дыхания, дополнительно показана оксигенотерапия.
Вскрытие заглоточных абсцессов сифилитической или туберкулезной природы не проводится из-за опасности вторичного инфицирования. Лечение таких абсцессов заключается в их повторных пункциях с введением противотуберкулезных и противосифилитических препаратов непосредственно в абсцесс. Одновременно с этим назначается общая противотуберкулезная и противосифилитическая терапия.
Хирургическое лечение заглоточного абсцесса осуществляется в сочетании с системной антибактериальной терапией и санацией всех имеющихся в носоглотке или ухе инфекционных очагов. Назначаются также жаропонижающие и противовоспалительные средства (парацетамол, ибупрофен, нимесулид) и гипосенсибилизирующие препараты (дезлоратадин, лоратадин, фенспирид), поливитамины. До и после вскрытия абсцесса пациенту необходимо тщательно выполаскивать горло растворами антисептиков.
Своевременное выявление и вскрытие заглоточного абсцесса в большинстве случаев является залогом благоприятного исхода заболевания. При развитии осложнений прогноз заболевания серьезный. Пациент может погибнуть от асфиксии, остановки сердца, сепсиса, аррозивного кровотечения. Однако в современной развитой медицине такие случаи встречаются крайне редко.
Наилучшей профилактикой развития заглоточного абсцесса является ранняя диагностика и корректное лечение лор-заболеваний, своевременное проведение хирургической санации гнойных очагов. Важное значение в профилактике заглоточного абсцесса травматического генеза имеет правильное проведение диагностических и лечебных процедур, связанных с введением в глотку эндоскопа или дыхательной трубки; аккуратное удаление инородных тел глотки; тщательное соблюдение техники оперативных вмешательств на структурах носоглотки (удаление опухолей глотки и аденоидов, тонзиллэктомия).
КТ при абсцессе жевательного пространства
а) Терминология:
1. Аббревиатура:
• Абсцесс жевательного пространства (ЖП)
2. Определение:
• Абсцесс в ЖП, обусловленный одонтогенной инфекцией моляра или стоматологической процедурой
б) Визуализация:
1. Общая характеристика:
• Лучший диагностический критерий:
о КТ с КУ: скопление жидкости с контрастирующейся стенкой в ЖП + остеомиелит задних отделов тела нижней челюсти
• Локализация:
о Нижняя часть ЖП возле задних отделов тела и ветви нижней челюсти
• Размер:
о Ранний абсцесс: часто небольшое (1 см) скопление жидкости возле нижней челюсти
о Тяжелый запущенный абсцесс: несколько сантиметров размером; полностью заполняет ЖП и распространяется за его пределы
• Морфология:
о Овоидная или округлая
о При прорыве в прилежащие глубокие пространства лица абсцесс может принимать неправильную форму с неровными контурами

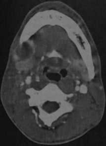
(Слева) На аксиальной КТ с КУ определяется большой многокамерный абсцесс внутреннего ЖП с вовлечением крыловидных мышц. Обратите внимание на утолщение и отек жевательной мышцы в наружном жевательном пространстве. У этого пациента 21 года девять месяцев назад был удален моляр слева, после чего появилась оталгия в сочетании с тризмом, неверно расцененные как проявления синдрома ВНЧС.
(Справа) На аксиальной КТ с КУ у этого же пациента определяется дальнейшее распространение абсцесса внутреннего ЖП в и отек жевательной мышцы.
2. КТ при абсцессе жевательного пространства:
• КТ с КУ:
о Патологический очаг в ЖП со сдавлением окологлоточного пространства в направлении спереди/снаружи-кзади/кнутри
о Очаг жидкостной плотности с толстым контрастирующимся «ободком» в жевательных мышцах = абсцесс ЖП:
- Отек и контрастирование прилежащих мышц без сопутствующей жидкости = миозит
- «Мутные» соседние жировые пластинки = целлюлит
о Линейные уплотнения в подкожной клетчатке и утолщение кожи помогают отличить злокачественную опухоль от инфекции
• КЛКТ и КТ в костном окне:
о Остеомиелит задних отделов тела и ветви нижней челюсти + инфекция 2-го или 3-го моляра:
- Остеомиелит нижней челюсти: деструкция кортикальной пластинки + периостальная реакция; отличительный признак - секвестрация
- Инфекция моляров: «лунка» или просветление вокруг корня моляра ± свищевой ход от зуба в соседние мягкие ткани с перфорацией кортикальной пластинки
• КТА:
о При распространении процесса в окологлоточное или заглоточное пространство возможен спазм проксимального сегмента внутренней сонной артерии (ВСА)
3. МРТ при абсцессе жевательного пространства:
• Т1 ВИ
о Сигнал низкой интенсивности возле нижней челюсти
• Т2 ВИ:
о Очаги с сигналом высокой интенсивности (абсцессы ЖП)
• Т1 ВИ С+:
о Очаге сигналом низкой интенсивности, окруженный контрастирующейся стенкой (абсцессЖП)
о Может быть виден свищевой ход от нижней челюсти
• МРА:
о При распространении абсцесса из ЖП в окологлоточное или заглоточное пространство может наблюдаться спазм ВСА
4. Сцинтиграфия:
• Остеосцинтиграфия:
о Может использоваться для оценки ответа остеомиелита нижней челюсти на антибиотикотерапию
5. Интраоральная или панорамная рентгенография:
• Часто обнаруживается апикальная рарефикация, связанная с нежизнеспособным кариозным зубом, ± секвестрация и периостальная реакция
6. Рекомендации по визуализации:
• Лучший метод визуализации:
о КТ с КУ - предпочтительный метод при подозрении на инфекцию:
- Чувствительность МРТ к инфекциям зубов и остеомиелиту ниже
• Выбор протокола:
о У пациента с острой инфекцией, тризмом и ограничением подвижности челюсти лучший метод диагностики - КТ с КУ в мягкотканном и костном окне:
- Малое время сканирования важно для исследования пациентов в тяжелом состоянии
- Позволяет оценить размер полости абсцесса в мягких тканях
- Позволяет выявить причинный зуб и оценить распространенность остеомиелита при отсутствии артефактов от зубной амальгамы или металла

(Слева) На аксиальной КТ в костном окне у этого же пациента определяется периостальная реакция, характерная для остеомиелита нижней челюсти.
(Справа) На корональной КТ с КУ у этого же пациента определяется многокамерный абсцесс внутреннего жевательного пространства в сочетании с отеком и утолщением жевательной мышцы в наружном жевательном пространстве.
в) Дифференциальная диагностика абсцесса жевательного пространства:
1. Гипертрофия жевательной мышцы:
• Симптоматика: жевание одной стороной, дисфункция ВНЧС или скрежетание зубами по ночам
• Визуализация: одностороннее увеличение жевательных мышц:
о Отсутствие очаговых скоплений жидкости с контрастирующимся «ободком» или признаков целлюлита, миозита, фасцита
2. Атрофия жевательной мышцы:
• Симптоматика: поражение нижнечелюстной ветви ЧМН V
• Визуализация: атрофия жевательных мышц на стороне поражения; при этом на противоположной стороне мышцы выглядят увеличенными
3. Целлюлит и флегмона жевательного пространства:
• Симптоматика: отек и боль в области ЖП (как и при абсцессе ЖП)
• Визуализация: отек, целлюлит, миозит ± фасцит ЖП в отсутствие очаговых скоплений жидкости с контрастирующимся «ободком»
4. Остеорадионекроз нижней челюсти:
• Симптоматика: лучевая терапия головы и шеи в течение последнего года
• Визуализация: пермеативно-деструктивный фокус в нижней челюсти:
о Может сочетаться с отеком мягких тканей
о Редко жидкость с контрастирующейся стенкой:
- Может потребоваться игольная аспирация для исключения инфекции
5. Саркома жевательного пространства:
• Симптоматика: опухоль щеки каменистой плотности ± поражение ЧМН V
• Визуализация: инфильтративная опухоль ЖП с выраженным контрастированием и минимальными изменениями кожи и мягких тканей в смежных отделах:
о Отсутствие признаков целлюлита, миозита, фасцита, которые могли бы свидетельствовать об инфекции
6. Дегенеративное заболевание ВНЧС:
• Симптоматика: боль в ВНЧС, тризм или другие признаки дисфункции ВНЧС
• Визуализация: дегенеративные изменения ВНЧС:
о Отсутствие абсцесса ЖП

(Слева) На аксиальной КТ с КУ определяется абсцесс внутреннего жевательного пространства слева с вовлечением нижнего края медиальной крыловидной мышцы и воспалением жевательной мышцы. Этот пациент 22 лет с инфекцией моляра, не отвечающей на антибиотикотерапию, предъявляет жалобы на боль, отек и тризм.
(Справа) На аксиальной КТ с КУ у этого же пациента определяется распространение абсцесса книзу в левое поднижнечелюстное пространство. Также наблюдается реактивная лимфаденопатия II уровня.
г) Патология:
1. Общая характеристика:
• Этиология:
о Инфекция зубов (моляров) или стоматологические вмешательства, приводящие к остеомиелиту задних отделов тела нижней челюсти с возникновением дефекта кортикальной пластинки и прорывом гноя в ЖП
• Анатомия:
о Ткани ЖП окружены поверхностным листком глубокой фасции шеи
о Содержимым ЖП являются жевательные мышцы; задние отделы тела, ветвь и мыщелок нижней челюсти; и V3, входящий в нижнечелюстное отверстие
о Спереди к ЖП примыкают 2-й и 3-й моляр
о Височная ямка фактически представляет надскуловое ЖП
о Подвисочная ямка: носоглоточное ЖП + заверхнечелюстная жировая подушка (верхние отделы заднего щечного пространства)
2. Макроскопические и хирургические особенности:
• Кистозный очаг неправильной формы, заполненный вязкой бело-зеленой жидкостью (гноем), окруженной толстой стенкой из фиброзной соединительной ткани
• Отек окружающих тканей
д) Клинические особенности:
1. Проявления:
• Типичные признаки/симптомы:
о Основной симптом: тризм
о Другие признаки/симптомы:
- Лихорадка, лейкоцитоз
- Отек и болезненность щеки
- Плохое состояние зубов, экстракция 2-го или 3-го моляра, вмешательство на корневых каналах
- Болезненность и ограничение открывания рта затрудняют физикальное исследование
- КТ с КУ становится важнейшей частью обследования пациента при нарушении открывания рта
• Другие признаки/симптомы:
о Начальные проявления (напр., боль в ВНЧС и тризм) могут клинически имитировать дисфункцию ВНЧС
2. Демография:
• Возраст:
о У детей чаще наблюдается периостальная реакция; накостница рыхло прикреплена
о У пациентов старшего возраста более вероятны медикаментозные осложнения → повышенная подверженность остеомиелиту
• Эпидемиология:
о Частая причина поражения ЖП
о В странах с доступными антибиотиками и стоматологической помощью поражение ЖП возникает редко
о При недоступности антибиотиков и стоматологической помощи одонтогенный абсцесс ЖП становится распространенной проблемой
3. Течение и прогноз:
• Пероральная антибиотикотерапия не подходит при инфекции ЖП
• После завершения перорального приема антибиотиков клинически возникает рецидив заболевания
• Дренирование скоплений гноя позволяет быстро добиться излечения
4. Лечение:
• Удаление пораженного моляра (моляров)-метод первой линии
• Ранний абсцесс: агрессивная внутривенная антибиотикотерапия
• В большинстве случае требуется дренирование в сочетании с внутривенной антибиотикотерапией
• При остеомиелите нижней челюсти может потребоваться поднадкостничное дренирование, удаление секвестров, продленная внутривенная антибиотикотерапия
е) Диагностическая памятка:
1. Следует учесть:
• Вопросы рентгенологу при абсцессе ЖП:
о Присутствует ли остеомиелит нижней челюсти:
- При остеомиелите необходимо расширенное хирургическое вмешательство и длительная антибиотикотерапия
о Имеются ли абсцессы в других пространствах, кроме жевательного:
- Хирургу необходимо установить отдельный дренаж в каждое из пораженных пространств или рассечь фасцию между ними
о Поражено ли надскуловое жевательное пространство:
- Инфекция обычно распространяется краниально, т.к. поверхностный листок глубокой фасции шеи плотно прикреплен к нижнему краю нижней челюсти, что мешает каудальному распространению
2. Советы по интерпретации изображений:
• Дифференцируйте целлюлит ЖП с абсцессом
• При наличии неявной жидкости выполните КТ с КУ в отсроченной фазе:
о На мультидетекторном КТ сбор данных может быть завершен раньше, чем контраст достигнет стенки абсцесса
о В этом случае абсцесс можно пропустить
Читайте также:
