КТ при добавочном устье верхнечелюстной пазухи
Добавил пользователь Евгений Кузнецов Обновлено: 30.01.2026
НИО гибридных технологий лучевой медицины Первого МГМУ им. И.М. Сеченова Минздрава России, Москва, Россия, 119991
Лучевая диагностика одонтогенного верхнечелюстного синусита
Журнал: Вестник оториноларингологии. 2017;82(2): 46‑50
Цель исследования — проанализировать возможности таких методов лучевой диагностики, как рентгенография, мультиспиральная компьютерная томография (МСКТ) и конусно-лучевая компьютерная томография (КЛКТ) в диагностике одонтогенного верхнечелюстного синусита, а также описать изменения верхнечелюстных синусов, выявляемые с помощью вышеуказанных методов. Были обследованы 166 пациентов с верхнечелюстным синуситом в возрасте от 21 до 81 года, всем пациентам было проведено рентгенологическое исследование. Выявлена низкая эффективность проекционных методов рентгенографии. Применение компьютерной томографии позволило из 166 обследованных пациентов у 110 (66,2%) больных верифицировать диагноз, определить рентгенологические признаки одонтогенной этиологии выявленных изменений и грамотно подобрать дальнейшую тактику лечения. МСКТ и КЛКТ является наиболее информативными методами в диагностике изменений верхнечелюстных синусов одонтогенной этиологии.
Несмотря на значительный прогресс стоматологической помощи населению, в последние годы отмечается увеличение заболеваемости одонтогенным верхнечелюстным синуситом (ОВЧС), что связано со стремительным развитием интервенционной стоматологии [1, 2]. ОВЧС занимает одно из ведущих мест среди воспалительных процессов одонтогенной этиологии [1—4]. Связь ОВЧС с заболеванием зубов зачастую недооценивается специалистами, особенно если она не является очевидной, а зачастую ОВЧС рассматривается как риногенный, что может приводить к неправильному ведению пациентов. В первую очередь это касается хронических форм одонтогенного синусита при относительно бессимптомном его течении [4—8].
По данным отечественных и зарубежных исследователей, ОВЧС составляет не менее 5—8% от общего числа воспалительных заболеваний челюстно-лицевой области [9, 10]. Это объясняется тем, что очаги хронической одонтогенной инфекции не всегда удается установить при визуальном осмотре полости рта. Также они могут быть сопутствующими при риногенной форме синусита и усугублять его течение. Нередко хронический ОВЧС выявляется случайно при рентгенологическом исследовании костей лицевого черепа по поводу другой патологии [5, 7].
Частой причиной развития ОВЧС являются ошибки в эндодонтическом лечении зубов и стоматологической имплантации — проведение инструментов для обработки корневых каналов (корневые иглы, дрильборы, каналонаполнители, пульпэкстракторы), а также пломбировочного материала и импланта за верхушку корня зуба в полость пазухи. Реже инородными телами в полости синусов являются фрагменты корней зубов [1, 2, 5, 12]. К причинам развития ОВЧС также относят инфицирование пазухи при оперативном вмешательстве с перфорацией дна полости верхнечелюстного синуса: наиболее часто (до 80%) при случайном вскрытии пазухи при экстракции и кюретаже лунки после экстракции первого и второго моляров верхней челюсти, реже — при резекции верхушки корня, цистэктомии, удалении ретинированных зубов, секвестрэктомии, подсадке зубного имплантата, удалении новообразования этой области [1, 10, 15].
Ведущая роль в диагностике ОВЧС по-прежнему остается за лучевыми методами исследования. Традиционно для оценки околоносовых синусов, в том числе верхнечелюстных, применяется рентгенография в носо-подбородочной проекции, обзорные рентгенограммы черепа в прямой и боковых проекциях. Для визуализации зубов используются ортопантомография или внутриротовая контактная рентгенография, которые не позволяют достоверно оценить состояние верхнечелюстных синусов [11—14]. С внедрением современных высокотехнологичных методов лучевой диагностики — мультиспиральной компьютерной томографии (МСКТ), конусно-лучевой компьютерной томографии (КЛКТ), магнитно-резонансной томографии (МРТ) — многие врачи стали отказываться от классических рентгенологических методик ввиду их малой информативности [12—14]. При этом в протоколы описания околоносовых синусов не всегда включаются данные о состоянии альвеолярного отростка, зубов верхней челюсти [11, 13]. Это может привести к несвоевременной диагностике и различным местным и общим осложнениям у таких пациентов [15, 16].
Цель исследования — определение возможностей современных лучевых методов исследования — МСКТ и КЛКТ — в диагностике воспалительных изменений верхнечелюстных синусов (ВЧС) одонтогенной этиологии.
Пациенты и методы
В период с 2013 г. по 2015 г. в отделении лучевой диагностики УКБ № 1 Первого МГМУ им. И.М. Сеченова были обследованы 166 пациентов с верхнечелюстными синуситами различной этиологии. У 110 больных (66,2%) была подтверждена одонтогенная этиология заболевания. Анализ распределения больных в соответствии с возрастом и полом показал, что из обследованных больных с ОВЧС большинство — 91 (54,8%) человек — были в молодом и зрелом возрасте от 21 года до 60 лет. Пациентов старше 60 лет было 19 (11,4%) человек, средний возраст пациентов составил 48 лет (от 21 до 81 года). Преобладали лица женского пола (62 (37,3%) женщины и 48 (28,9%) мужчин) трудоспособного возраста.
Сопоставление клинических проявлений одонтогенного ВЧС и рентгенологической картины позволило условно объединить пациентов в две группы: 66 (39,7%) пациентов с острым воспалительным процессом в верхнечелюстном синусе имели соответствующие клинические симптомы заболевания, а 44 (26,5%) пациента жалоб со стороны верхнечелюстных синусов не предъявляли (воспалительный процесс в верхнечелюстном синусе был хроническим).
Комплексное рентгенологическое исследование проводилось во всех случаях. Всем больным была выполнена компьютерная томография (МСКТ или КЛКТ): МСКТ — 76 (45,8%) пациентам, КЛКТ — 90 (54,2%) пациентам. 122 (73,5%) пациентам была выполнена рентгенография околоносовых синусов в носо-подбородочной, полуаксиальной проекциях. Для уточнения состояния зубов верхней челюсти проводилась ортопантомография (n=166, 100%) и внутриротовая контактная рентгенография (n=12, 7,3%).
При оценке и анализе диагностических изображений критериями одонтогенного синусита были следующие признаки: наличие инородного тела металлической плотности, соответствующего пломбировочному материалу или имплантату в полости синуса; глубокий кариес и признаки периодонтита премоляров и моляров верхней челюсти; разрушение нижней костной стенки верхнечелюстных синусов в области патологически измененных зубов.
Результаты и обсуждение
Анализ результатов методов лучевой диагностики позволил выявить признаки ОВЧС в 110 (66,2%) из 166 случаев. 66 (39,7%) пациентов имели характерные клинические симптомы заболевания (головная боль, субфебрильная температура, нарушение сна, ощущение тяжести в соответствующей половине лица при наклоне головы кпереди, заложенность носа только с одной стороны); эти больные были направлены на лучевое обследование оториноларингологами. Остальные 44 (26,5%) человека жалоб со стороны верхнечелюстных синусов не предъявляли; ранее они были направлены на обследование стоматологами и челюстно-лицевыми хирургами по следующим показаниям: 22 (13,2%) пациента — для уточнения стоматологического статуса, 12 (7,3%) пациентов — перед дентальной имплантацией, 10 (6%) пациентов — для послеоперационного контроля после хирургических вмешательств на верхней челюсти. В этих случаях выявленное воспаление верхнечелюстного синуса было диагностической находкой.
Как известно, острое одонтогенное воспаление верхнечелюстного синуса развивается в течение 1—3 дней. Достаточно часто причиной является воспалительный процесс верхней челюсти (острый или обострение хронического). К таким состояниям относят осложнения кариеса зубов, периодонтиты, периостит, остеомиелит, а также нагноение кист зубов или гранулем [7, 8].
Характерными жалобами пациентов с острым верхнечелюстным синуситом были: затруднение носового дыхания, ринорея, потеря обоняния, головная и лицевая боль, ощущение тяжести в соответствующей половине лица при наклоне головы кпереди, субфебрильная лихорадка, а также ночной кашель и нарушение сна. Одонтогенный синусит в отличие от риногенного имеет следующие отличительные признаки: изолированное поражение одного из верхнечелюстных синусов, боль в зубе или в пародонтальных тканях, предшествующая заболеванию, нарушение конфигурации лица в результате отека мягких тканей щеки и боль при пальпации переднелатеральной стенки верхнечелюстной пазухи.
При остром синусите на рентгенограммах определялась утолщенная слизистая оболочка, затемнение и уровень жидкости. При хроническом синусите отмечалось снижение прозрачности синуса.
При оценке и анализе диагностических изображений критериями одонтогенного синусита были следующие признаки: наличие инородного тела металлической плотности, соответствующего пломбировочному материалу или импланту в полости синуса; глубокий кариес и признаки периодонтита премоляров и моляров верхней челюсти; разрушение нижней костной стенки верхнечелюстных синусов в области патологически измененных зубов, а также частичная адентия верхней челюсти в зоне, соответствующей изменениям верхнечелюстного синуса.
При рентгенологическом исследовании у 44 (26,5%) пациентов с острым верхнечелюстным синуситом на обзорной рентгенограмме определялись утолщенная слизистая оболочка и/или субтотальное затемнение с горизонтальным уровнем жидкости. У 78 (47%) пациентов отмечалось тотальное снижение прозрачности синуса, из них у 38 (22,8%) пациентов в полости синуса были обнаружены инородные тела металлической плотности (соответствующие пломбировочному материалу). Однако низкая контрастность жидкости и мягких тканей, суммация теней затрудняли объективную оценку полученных рентгенограмм. Для дополнительной оценки состояния зубов верхней челюсти всем пациентам выполнялась ортопантомография, которая не позволяла достоверно судить о состоянии верхнечелюстных синусов, а у 13 (7,8%) пациентов — точно интерпретировать изменения в области верхушек зубов верхней челюсти (вследствие отражения проекционного наслоения сложных анатомических структур).
По результатам нашего исследования у 24 (14,5%) пациентов были обнаружены признаки хронического периодонтита в области премоляров и моляров верхней челюсти (рис. 1). Глубокий кариес был диагностирован у 4 (2,4%) пациентов, кисты верхней челюсти в области корней премоляров и моляров визуализировались в 6 (3,6%) случаях.

Рис. 1. КЛКТ. Панорамная (а) и мультипланарные реконструкции правого (б) и левого (в) верхнечелюстных синусов пациента М., 37 лет. Диагноз: двусторонний одонтогенный хронический верхнечелюсной синусит. Отмечаются КТ-признаки хронического гранулематозного периодонтита зубов 1.8, 2.7, 2.8 (в виде очагов деструкции у верхушек корней, округлой формы, с четкими ровными контурами). Нижние костные стенки синусов истончены, не прослеживаются в области периодонта зубов 1.8 и 2.8 (указаны стрелками). В нижнем отделе правого верхнечелюстного синуса определяется пристеночное мягкотканное образование гомогенной структуры с полицикличным верхним контуром. Левый верхнечелюстной синус субтотально заполнен мягкотканным содержимым гомогенной структуры с округлым верхним контуром.
Пломбировочный материал был обнаружен у 38 (22,8%) пациентов (рис. 2). Из них у 34 (20,4%) больных в подслизистом слое нижней стенки синуса, у 4 (2,4%) — в верхнем отделе у медиальной стенки синуса (рис. 3). У 8 (4,8%) пациентов диагностированы ошибки стоматологической имплантации: верхушка импланта была погружена в полость синуса, что стало причиной развития хронического одонтогенного верхнечелюстного синусита, а также осложнений в виде хронического полисинусита (n=4; 2,4%).

Рис. 2. МСКТ. Коронарная (а) и сагиттальная (б) реконструкции правого верхнечелюстного синуса пациента К., 29 лет. Диагноз: правосторонний одонтогенный хронический верхнечелюстной синусит. Корни зубов 1.6, 1.7 и 1.8 погружены в полость верхнечелюстного синуса. Состояние после эндодонтического лечения зубов 1.6 и 1.7, с выведением пломбировочного материала за верхушку небного корня 1.7. В области корней зубов 1.6 и 1.7 отмечается разрежение костной ткани с нечеткими неровными контурами (рентгенологические признаки гранулирующего периодонтита). В нижнем отделе синуса определяется пристеночное мягкотканное образование с полицикличным контуром, костные стенки синуса в данной области не прослеживаются.

Рис. 3. КЛКТ. Сагиттальная реконструкция, правый верхнечелюстной синус. Пациент У., 48 лет. Диагноз: правосторонний одонтогенный хронический верхнечелюстной синусит. Зубы 1.6 и 1.7 после эндодонтического лечения, отмечается выведение пломбировочного материала за верхушки корней зуба 1.6 (материал располагается в костной ткани альвеолярного отростка и в подслизистом слое синуса). Определяется разрежение костной ткани в области корней 1.6 и 1.7, костная стенка синуса в данной области не прослеживается (стрелка). В нижнем отделе синуса определяется утолщение слизистой оболочки до 10 мм, в верхнемедиальном отделе синуса визуализируется инородное тело неправильной формы металлической плотности (соответствует фрагментам пломбировочного материала).
В нашем исследовании у 30 (18,1%) пациентов наблюдалось отсутствие зубов верхней челюсти в зоне, соответствующей изменениям верхнечелюстного синуса, что также позволяло судить об одонтогенности верхнечелюстного синусита.
Выводы
1. Высокотехнологичные методы лучевой диагностики (МСКТ или КЛКТ) являются необходимой составляющей комплексной диагностики ОВЧС.
2. Применение компьютерной томографии (МСКТ или КЛКТ) позволяет определить причину ОВЧС и, таким образом, выбрать правильную тактику ведения пациентов.
3. МСКТ или КЛКТ должны быть рекомендованы пациентам до и после эндодонтического лечения зубов и стоматологической имплантации, а также при хирургических вмешательствах на верхней челюсти с целью своевременного выявления возможных патологических изменений верхнечелюстных синусов (в том числе бессимптомных).
Конфликт интересов: авторы статьи подтвердили отсутствие финансовой поддержки/конфликта интересов, о которых необходимо сообщить.
КТ при добавочном устье верхнечелюстной пазухи
а) Терминология:
1. Синонимы:
• Добавочное устье верхнечелюстной пазухи
• Добавочное устье пазухи
• Дополнительное устье верхнечелюстной пазухи
• Дополнительное отверстие
• Питающее отверстие
• Синдром двух отверстий
2. Определение:
• Добавочные отверстия между пазухой и носовой ямкой
б) Визуализация:
• Лучший диагностический критерий:
о Дополнительное отверстие в медиальной стенке верхнечелюстной пазухи кроме основного устья
• Локализация:
о Медиальная стенка верхнечелюстной пазухи:
- Воронка или область переднего либо заднего носового родничка:
Передний родничок: снизу и спереди от крючковидного отростка
Задний родничок: между задним краем крючковидного отростка и небной костью
• Размер:
о Обычно • Морфология:
о Овальная: может варьировать

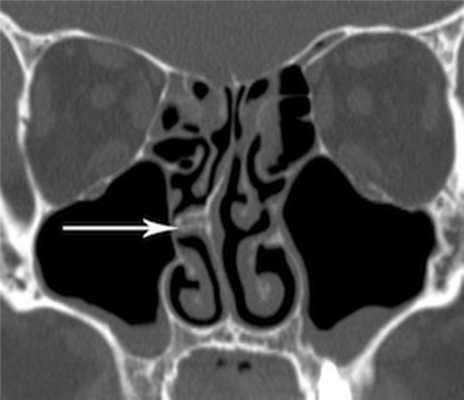
(Слева) На аксиальной КЛКТ справа и слева визуализируются добавочные устья ниже уровня соответствующих крючковидных отростков. Основные устья находятся на другом уровне и не видны на этом срезе.
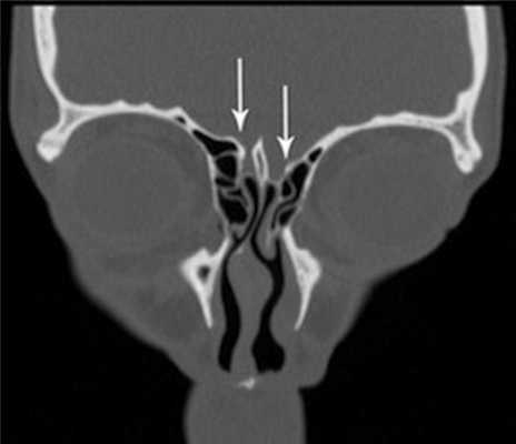
(Справа) На корональной КЛКТ у этого же пациента визуализируются дополнительные устья справа и слева. Основные устья на этом срезе не видны. Обратите внимание на субтотальное снижение пневматизаци левой верхнечелюстной пазухи.
1. Рекомендации по визуализации:
• Лучший метод визуализации:
о КЛКТ или КТ в костном окне:
- Вариант развития:
Отверстие в стенке между носовой ямкой и верхнечелюстной пазухой на корональных и аксиальных изображениях
В остальном архитектура носовых раковин, крючковидных отростков не нарушена
- Хирургический дефект:
Устье обычно большего размера
Полное или частичное отсутствие других анатомических структур (носовых раковин, крючковидных отростков) или нарушение их морфологии
• Выбор протокола:
о Аксиальные и корональные срезы:
- КТ без КУ в костном окне
- КЛКТ
в) Дифференциальная диагностика добавочного устья верхнечелюстной пазухи:
1. Хирургический дефект:
• Хронический синусит в анамнезе
• Отверстие обычно больше
2. Деструкция стенки злокачественной опухолью:
• Ищите мягкотканный компонент возле устья
г) Патология:
1. Общая характеристика:
• Сопутствующие изменения:
о Верхнечелюстной синусит
о Циркуляция слизи в пазухе: из основного устья обратно в пазуху через добавочное отверстие
о Возле дефекта может выявляться злокачественная опухоль
2. Классификация:
• Переднее и заднее добавочное устье

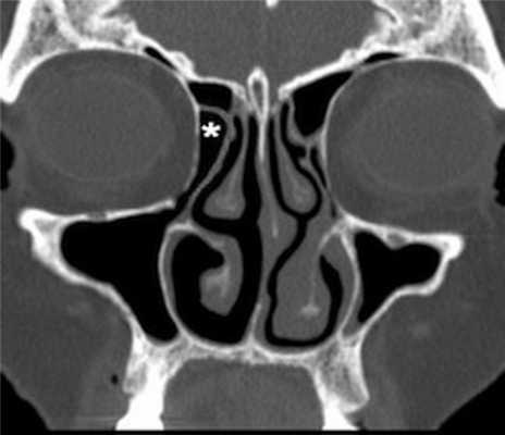
(Слева) На корональной КЛКТ (реконструкция) визуализируется добавочное переднее устье.
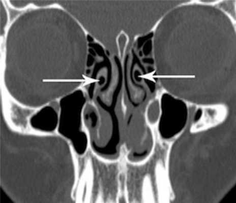
(Справа) На корональной КЛКТ визуализируются добавочные устья В, расположенные за основными. Картина сопоставима с таковой после хирургического вмешательства по поводу хронического синусита. Определяется утолщение слизистой оболочки В обеих верхнечелюстных пазух, обусловленное хроническим воспалением.
д) Клинические особенности:
2. Течение и прогноз:
• Симптоматика может отсутствовать
• Добавочное отверстие может быть причиной или следствием гайморита
• Может обуславливать рециркуляцию слизи, вышедшей через основное устье
3. Лечение:
• При рециркуляции слизи - резекция кости между устьями с формированием единственного отверстия
е) Диагностическая памятка:
1. Следует учесть:
• Тонкая стенка может быть неразличима из-за эффекта усреднения объема
• Костное «окно», прикрытое слизистой оболочкой (напр., родничок), - норма
2. Советы по интерпретации изображений:
• Устье должно обнаруживаться и на корональных, и на сагиттальных изображениях
1. Синонимы:
• Муцинозная ретенционная псевдокиста, феномен задержки слизи
2. Определения:
• Скопление слизи в мягкотканной выстилке околоносовой пазухи в результате обструкции железы внутри выстилки
• Элевация дна пазухи вследствие накопления слизи
• Не имеет эпителиальной выстилки («псевдокиста»)
б) Визуализация:
1. Общая характеристика:
• Лучший диагностический критерий:
о Куполообразное объемное образование в пазухе без кортикальной пластинки, не деформирующее стенку пазухи
• Локализация:
о Преимущественно дно или стенка верхнечелюстной пазухи
о Дно основной пазухи > решетчатая > лобная пазуха
• Размер:
о Киста может иметь крайне малые размеры или занимать большую часть пазухи
• Морфология:
о Куполообразная; может быть множественной

(Слева) На сагиттальной КЛКТ (реконструкций) визуализируется большое куполообразное объемное образование без кортикальной пластинки с плотностью мягких тканей (гиперденсное относительно воздуха), сопоставимое с муцинозной ретенционной псевдокистой верхнечелюстной пазухи. Край пазухи возле кисты интактен.
(Справа) На аксиальной КЛКТ (реконструкция) визуализируется муцинозная ретенционная псевдокиста, занимающая всю камеру правой верхнечелюстной пазухи на этом уровне. Важно не спутать перегородку в пазухе с кортикальной пластинкой на периферии образования. Обратите внимание на утолщение слизистой оболочки камер левой верхнечелюстной пазухи.
2. Визуализация муцинозной ретенциозной псевдокисты околоносовой пазухи:
• Лучший метод визуализации:
о Периапикальные или панорамные рентгенограммы при псевдокисте верхнечелюстной пазухи
о КЛКТ или КТ в костном окне при псевдокистах большого размера или расположенных в других околоносовых пазухах:
- КТ, если имеется малейшее сомнение в интактности краев пазухи
• Выбор протокола:
о Протокол не выбирается; обычно случайная находка
3. МРТ при муцинозной ретенциозной псевдокисты околоносовой пазухи:
• Т1 ВИ:
о Промежуточный сигнал-сигнал низкой интенсивности
• Т2 ВИ:
о Сигнал высокой интенсивности
4. Особенности визуализации:
• Куполообразное рентгеноконтрастное объемное образование со стороны дна/стенки пазухи
• Обычно не сочетается с утолщением слизистой оболочки
• Кортикальная пластинка вокруг псевдокисты отсутствует
• Края пазухи возле псевдокисты интактны и не смещены

(Слева) На периапикальной рентгенограмме задних отделов верхней челюсти справа, не содержащей зубов, на фоне воздуха визуализируется куполообразное затемнение в верхнечелюстной пазухе. Край пазухи возле затемнения интактен. Обратите внимание на наложение скулового отростка.
(Справа) На корональной КЛКТ (реконструкция) визуализируется куполообразная ретенционная псевдокиста в правой верхнечелюстной пазухе. Кортикальная пластинка на периферии псведокисты отсутствует, края пазухи интактны.
в) Дифференциальная диагностика муцинозной ретенциозной псевдокисты околоносовой пазухи:
1. Синусит:
• Более генерализованное утолщение слизистой оболочки
• Выраженное полиповидное утолщение слизистой оболочки может отчасти напоминать муцинозную ретенционную псевдокисту
2. Радикулярная киста, пролабирующая в пазуху:
• С кортикальной пластинкой/рентгеноконтрастным «гало» на периферии
• Связана с корнем (корнями) кариозного зуба или с дефектом на месте недавно удаленного зуба
• Отсутствует твердая пластинка у вершины связанного с кистой зуба
3. Зубная киста, пролабирующая в пазуху:
• Окружена кортикальной пластинкой
• Связана с коронкой импактного зуба
• Зуб смещен в пазуху
4. Локальный мукозит:
• Местное утолщение мягких тканей
• На широком основании; форма не куполообразная
5. Антрохоанальные полипы:
• Могут также располагаться в области крыши пазухи
6. Злокачественное новообразование в пазухе:
• Деструкция стенок пазухи
7. Мукоцеле:
• Тотальное затемнение пазухи
• Обструкция устья
• Смещение краев пазухи
1. Общая характеристика:
• Этиология:
о Неизвестна
2. Макроскопические и хирургические особенности:
• Жидкость в слизистой оболочке пазухи, отек
1. Проявления:
• Типичные признаки/симптомы:
о Обычно отсутствуют
• Другие признаки/симптомы:
о Смутное чувство заложенности или распирания носа/пазух
о Неявная болевая симптоматика
2. Демография:
• Возраст:
о Любой
• Пол:
о Немного чаще встречается у мужчин
3. Течение и прогноз:
• Разрываясь, псевдокиста обычно самостоятельно разрешается
4. Лечение:
• Обычно не требуется
1. Следует учесть:
• Стенки пазухи возле кисты интактны
2. Советы по интерпретации изображений:
• Вокруг псевдокисты отсутствует кортикальная пластинка
3. Заключение:
• Псевдокиста обычно не имеет клинического значения
• Оцените проходимость остиомеатальнога комплекса в случае крупной псевдокисты
ж) Список использованной литературы:
1. Giotakis El et al: Cysts of the maxillary sinus: a literature review. Int Forum Allergy Rhinol. 3(9):766-71, 2013
Редактор: Искандер Милевски. Дата публикации: 3.5.2022
Информация на сайте подлежит консультации лечащим врачом и не заменяет очной консультации с ним.
См. подробнее в пользовательском соглашении.
1. Аббревиатуры:
• Гипоплазия/аплазия лобной пазухи (ГЛП/АЛП)
• Гипоплазия/аплазия верхнечелюстной пазухи (ГВП/АВП)
2. Синонимы:
• Недоразвитие/отсутствие некоторых пазух и/или носовых ямок (НЯ)
3. Определение:
• Недоразвитие или отсутствие лобной пазухи (пазух) (ЛП), ячеек решетчатого лабиринта [пазухи (пазух)], сфеноидальной пазухи (пазух) или верхнечелюстной пазухи (пазух) (ВП) и/или НЯ
1. Общая характеристика:
• Лучший диагностический критерий:
о Маленькая пазуха или отсутствие ее просвета вследствие уменьшения расстояния между нескперозированными костными краями:
- В маленькой полости часто обнаруживается утолщенная слизистая оболочка
• Локализация:
о Возможно вовлечение одной или нескольких пазух и НЯ
о Частота:
- Лобная > решетчатая > основная > верхнечелюстная
- ГВП встречается чаще, АВП реже
- ГЛП варьирует, нередко встречается АЛП
• Размер:
о Уменьшение размеров или отсутствие пазухи:
- Объем верхнечелюстной пазухи в норме: 15 мл:
Высота: - 33 мм
Ширина: 23-25 мм
Передне-задний размер: 34 мм
- Объем ЛП в норме наиболее вариабелен среди всех пазух
о ВП присутствуют при рождении и полностью формируются
приблизительно к трем годам
о Решетчатые пазухи присутствуют при рождении и полностью формируются примерно к трехлетнему возрасту
о Сфеноидальные пазухи появляются в возрасте около трех лет и полностью формируются примерно к двенадцати годам жизни
о ЛП появляются в возрасте около трех лет и полностью формируются приблизительно к двенадцатилетнему возрасту
• Морфология:
о ГВП: пазуха меньшего размера, но обычной формы
о АВП: полное отсутствие пазухи

(Слева) На сагиттальной КЛКТ (реконструкция) у пациента с гипоплазией верхнечелюстных пазух определяется также аплазия сфеноидальных и лобных пазух.
(Справа) На корональной КЛКТ (реконструкция) у этого же пациента не видны лобные пазухи с обеих сторон, что позволя ет сделать вывод об аплазии. Гипоплазия/аплазия лобных пазух наблюдается чаще по сравнению с другими околоносовыми пазухами.
2. Рентгенография при гипоплазии и аплазии околоносовой пазухи:
• Рентгенологические признаки:
о Дно ВП выше дна носовой полости
о Отсутствие пневматизации альвеолярного отростка вокруг вершин корней задних зубов верхней челюсти
о Другие пазухи меньше, чем в норме
3. КТ при гипоплазии и аплазии околоносовой пазухи:
• КЛКТ и КТ в костном окне:
о Маленькая ВП или ее отсутствие:
- Утолщение слизистой оболочки в маленькой пазухе
о Маленький крючковидный отросток/воронка или их отсутствие
о Маленькая НЯ или ее отсутствие (редко)
о 4 из 5 следующих изменений со стороны ВП в корональной плоскости:
- Дно пазухи выше дна полости носа
- Маленькая пазуха овальной формы
- Крупная глазница овальной формы
- Внутренний край пазухи снаружи от внутреннего края глазницы
- Наружный край пазухи изнутри от средней линии глазницы
о Маленькая ВП или ее отсутствие:
- Пазуха не выступает за пределы глазницы
о Маленькая СП или ее отсутствие:
- Пневматизация тела сфеноидальной кости выражена минимально или отсутствует
4. Рекомендации по визуализации:
• Лучший метод визуализации:
о КЛКТ или КТ в костном окне
• Выбор протокола:
о В зону сканирования включайте все околоносовые пазухи и НЯ

(Слева) На корональной КЛКТ в нижней части изображения визуализируется дно гипопластической ВП, находящееся выше дна носовых ямок. Утолщена слизистая оболочка обеих верхнечелюстных пазух. Решетчатые пазухи отсутствуют.
(Справа) На корональной КЛКТ определяется гипоплазия обеих ВП и аплазия левой решетчатой пазухи.
в) Дифференциальная диагностика гипоплазии и аплазии околоносовой пазухи:
1. Хронический риносинусит:
• Склерозированные стенки пазухи и сужение ее просвета
2. Одонтогенная киста/новообразование:
• Объемное образование, окружающее пазуху и направленно смещающее ее край:
о Край выбухает в просвет пазухи
3. Фиброзная дисплазия:
• Окружает ≥1 околоносовую пазуху:
о Край смещен, но остается интактным
• Нарушена картина трабекулярной кости
4. Синдром немой пазухи:
• Обструкция устья верхнечелюстной пазухи:
о Прогрессирующее уменьшение пазухи
о Отрицательное давление на фоне обструкции
о Гипоглобус
о Западение медиальной и верхней стенок вовнутрь
5. Болезнь Гоше:
• Расширение пространств, содержащих костный мозг, с соответствующим увеличением объема кости:
о Сдавление пазух избыточным объемом костной ткани
о «Пенистая» картина костной ткани, обусловленная многочисленными расширенными пространствами, заполненными костным мозгом

(Слева) На аксиальной КЛКТ (реконструкция) у этого же пациента определяется гипоплазия верхнечелюстных пазух. Обе сфеноидальные пазухи ИЯ выглядят рудиментарными, что сопоставимо с их выраженной гипоплазией.
(Справа) На корональной КЛКТ (реконструкция) у этого же пациента определяется выраженное недоразвитие обеих сфеноидальных пазух. Гипоплазия/аплазия сфеноидальных пазух встречается реже, чем решетчатых или лобных.
1. Общая характеристика:
• Этиология:
о ГВП/АВП: нарушение развития
о Уменьшение пазухи также может быть обусловлено травмой, облучением, операцией, новообразованием, системным заболеванием
о Синдром немой пазухи: вторичное приобретенное уменьшение объема пазухи
- Вероятно, за счет обструкции устья и отрицательного давления в пазухе
- Часто сочетается с гипоглобусом и энофтальмом
• Генетика:
о В большинстве случаев ГВП или АВП не являются врожденными
о Могут сочетаться с различными врожденными генетическими заболеваниями (синдромами)
• Сопутствующие нарушения:
о Отсутствие или гипоплазия других околоносовых пазух:
- Наиболее редко ВП
о Множественные нарушения развития:
- Нижнечелюстно-лицевой дизостоз (синдром Тричера Коллинза)
- Черепно-лицевой дизостоз (болезнь Крузона)
- Ключично-черепная дисплазия
- Акроцефалосиндактилия (синдром Аперта)
- Талассемия
- Серповидноклеточная анемия
- Кретинизм
- Расщелина неба
- Гемифациальная микросомия (синдром Гольденхара)
- Остеопетроз (болезнь Альберса Шенберга)
- Пикнодизостоз
- Трисомия 21 (синдром Дауна)
- Верхнечелюстно-нижнечелюстная дисплазия (синдром Биндера)
- Прогрессирующая диафизарная дисплазия (болезнь Камурати-Энгельмана)
- Генерализованный кортикальный гиперостоз (болезнь ван Бухема)
- Остеодистрофия (синдром Мелника-Нидлза)
- Краниометафизарная дисплазия
- Краниодиафизарная дисплазия
- Синдром «эльфийского лица» (синдром Вильямса-Бойрена)
- Волосо-зубо-костная дисплазия
- Гомозиготные мутации дельта F508 при муковисцидозе
2. Градации, классификация гипоплазии и аплазии околоносовой пазухи:
• Тип 1:
о Легкая - умеренная гипоплазия пазухи
о Правильно сформированный крючковидный отросток
о Хорошо выраженная воронка
о Вариабельное утолщение слизистой оболочки пазухи
• Тип 2:
о Существенная гипоплазия пазухи
о Гипоплазия крючковидного отростка
о Плохо выраженная воронка или ее отсутствие
о Тотальное снижение пневматизации пазухи за счет мягких тканей
• Тип 3:
о Глубокая гипоплазия пазухи или аплазия:
- Пазуха выглядит как неглубокая щель в латеральной стенке НЯ
о Выраженная гипоплазия или отсутствие крючковидного отростка
3. Макроскопические и хирургические особенности:
• Уменьшение или отсутствие ВП и крючковидного отростка
1. Проявления:
• Типичные признаки/симптомы:
о Часто случайная находка
о Обструкция носа
о Постназальный затек
о Головная боль
• Другие признаки/симптомы:
о Асимметрия лица
о Гипогпобус
о Энофтальм
о Утолщение слизистой оболочки/синусит
• Клинический профиль:
о Может быть локальным проявлением распространенного процесса
2. Демография:
• Возраст:
о Гипо-/аплазию лучше всего можно оценить после 18 лет
3. Течение и прогноз:
• Возникает во время формирования пазухи
4. Лечение:
• В большинстве изолированных случаев не требуется
• Зависит от сопутствующих нарушений
1. Следует учесть:
• Хронический склерозирующий риносинусит
• Решетчато-верхнечелюстную пазуху
• Сопутствующий синдром или системное нарушение
2. Советы по интерпретации изображений:
• Отметьте расположение нижнего края ВП относительно дна полости носа
• Укажите размер и форму пазухи (маленькая и овальная)
• Укажите размер и форму ипсилатеральной глазницы (большая и овальная)
• Отметьте, если внутренний край пазухи находится снаружи от внутреннего края глазницы
• Отметьте, если наружный край пазухи находится с внутренней стороны от срединной линии глазницы (на уровне воронки)
• Оцените морфологию/наличие воронки и крючковидного отростка
• Оцените проходимость устья верхнечелюстной пазухи
• Оцените другие околоносовые пазухи на предмет гипо-/аплазии
3. Заключение:
• Отметьте отсутствие крючковидного отростка, т.к. в этом случае меняются оперативные доступы при эндоскопическом вмешательстве
ж) Список использованной литературы:
1. Martinez-Capoccioni G et al: Silent sinus syndrome an acquired condition and the essential role of otorhinolaryngologist consultation: a retrospective study EurArchOtorhinolaryngol. 273(10)3183-8, 2016
2. Angulo-Perez G et al: [Prevalence, location and tomographic severity of chronic rhinosinusitis in adult patients with common variable immunodeficiency.] Rev Alerg Mex. 62(1):15-21, 2015
3. Demir UL et al: Anatomical correlation between existence of concha bullosa and maxillary sinus volume. Surg Radiol Anat. 37(9): 1093-8, 2015
4. Gogmen G et al: Effect of septal deviation, concha bullosa and Haller's cell on maxillary sinus's inferior pneumatization; a retrospective study. Open Dent J. 9:282-6, 2015
5. Selcuk OT et al: Do altitude and climate affect paranasal sinus volume? J Craniomaxillofac Surg. 43(7): 1059-64, 2015
6. Chrcanovic BR et al: Maxillary sinus aplasia. Oral Maxillofac Surg. 14(3): 187-91, 2010
7. Guven DG et al: Combined aplasia of sphenoid, frontal, and maxillary sinuses accompanied by ethmoid sinus hypoplasia. J Craniofac Surg. 21 (5):1431-3, 2010
8. Whyte MP et al: Dysosteosclerosis presents as an "osteoclast-poor" form of osteopetrosis: comprehensive investigation of a 3-year-old girl and literature review. J Bone Miner Res. 25(11):2527-39, 2010
9. Nagasao T et al: A rare case of congenital unilateral hypoplasia of the nose. J Plast Reconstr AesthetSurg. 62(9):e305-8, 2009
10. Song SY et al: Volume and distances of the maxillary sinus in craniofacial deformities with midfacial hypoplasia. Otolaryngol Head Neck Surg. 141 (5):614-20, 2009
Отделение оториноларингологии ФГБУ "Клиническая больница №1" Управления делами Президента РФ, Москва;
Московский научно-практический центр оториноларингологии Департамента здравоохранения Москвы
Алгоритм оценки компьютерной томографии перед проведением эндоскопических операций на околоносовых пазухах
Компьютерная томография околоносовых пазух (КТ ОНП) является не только методом диагностики хронических синуситов, но и основным инструментом при планировании этапов и техники вмешательств с применением эндоскопического эндоназального доступа. В связи со значительной вариабельностью анатомии синоназальной области и близким расположением критических анатомических структур предоперационная оценка данных КТ ОНП должна проводиться рутинно и по определенному плану. Для облегчения предоперационной оценки данных КТ разработан план, состоящий из 10 обязательных этапов, позволяющий определить основные хирургические ориентиры и избежать осложнений.
По аналогии с пилотами, проводящими обязательную проверку готовности к полету по контрольной карте, ринохирургам перед операцией необходимо провести тщательный анализ данных компьютерной томографии (КТ) пациента, чтобы избежать катастрофы [1]. Учитывая высокую вариабельность строения синоназальной области, близкое расположение критических анатомических структур, отсутствие постоянных ориентиров и сложную пространственную ориентацию при использовании эндоскопического доступа, крайне важно заранее спланировать этапы операции, определив хирургические ориентиры и мысленно построив 3D-модель анатомии полости носа конкретного пациента [2]. Вышеуказанные причины также диктуют необходимость проведения предоперационной оценки КТ по определенному плану, чтобы по разным причинам ничего не упустить из виду. Основная цель предоперационной оценки снимков заключается не в уточнении диагноза и определении объема хирургического лечения (это должно быть сделано ранее), а планировании этапов и техники вмешательства c учетом анатомических особенностей пациента [3]. Оценка данных КТ по так называемой предоперационной контрольной карте должна проводиться независимо от наличия или отсутствия интраоперационной навигационной системы. Только в последнем случае предпочтительно это делать непосредственно на аппарате навигационной системы [4].
Требования к компьютерной томографии
Компьютерная томография околоносовых пазух (КТ ОНП) выполняется на мультиспиральном компьютерном томографе. Исследование должно быть выполнено после проведенного консервативного лечения, лучше непосредственно перед операцией.
Зачастую к нам приходят пациенты с пленкой, на которой помещено несколько срезов КТ ОНП в двух или трех проекциях в одном из режимов. Этого может быть достаточно лишь для уточнения локализации патологического процесса, но неприемлемо для планирования операции. Для качественной оценки КТ ОНП перед операцией необходимо визуализировать мельчайшие структуры синоназальной области и их соотношение между собой. Для этого оптимально производить КТ-сканирование с расстоянием между срезами не более 2 мм в аксиальной проекции с последующей многоплоскостной реконструкцией изображений в коронарной и сагиттальной проекциях [5]. Для этого изображения необходимо хранить на электронных носителях и оценивать посредством современных компьютерных программ для просмотра снимков: eFilm, K-Pacs, ClearCanvas Workstation (для Windows), Osirix (для Mac) и др. Для оценки изображений оптимально использовать несколько режимов: костный для лучшей визуализации костных структур, и мягкотканный, где лучше определяются мягкотканные структуры [6]. В случае тотального затемнения полости носа и ОНП для улучшения визуализации костных структур необходимо увеличить контрастность.
С развитием эндоскопической хирургии ОНП и переходом от минимально инвазивных подходов к расширенным становится все более очевидна необходимость разработки списка обязательных этапов оценки КТ ОНП непосредственно перед вмешательством. Приведенные в литературе особенности предоперационной оценки КТ ОНП в большинстве случаев не имеют системности, описывают недостаточно этапов или рассчитаны на рентгенологов [7, 8]. Наиболее подробный алгоритм предоперационной оценки КТ ОНП разработан в Университетской клинике г. Граца (Австрия) для внутреннего использования.
Алгоритм оценки КТ ОНП
В Клинической больнице №1 УДП РФ на основании обзора литературы и анализа данных 470 компьютерных томограмм разработан оптимальный алгоритм оценки КТ ОНП перед эндоскопическими операциями на ОНП, включающий 10 этапов:
1. Определение достоверности данных КТ.
Это первый основополагающий этап оценки КТ ОНП при всех видах операций, который является простым и очевидным, однако часто опускается хирургами:
а) соответствие ФИО пациента на снимке;
б) определение соответствия маркировки правой и левой сторон (определяется методом сопоставления данных КТ и результатов риноскопии). Это — одна из распространенных причин ошибочной диагностики и ошибочного проведения операции на неправильной стороне;
в) соответствие результатов КТ данным осмотра пациента и анамнеза;
г) дата выполнения исследования.
Если с момента исследования прошло много времени, его результаты могут значительно отличаться от интраоперационных данных [9].
Дальнейшие этапы оценки производятся сначала в коронарной, а затем в аксиальной проекции, в направлении спереди назад, правая и левая стороны раздельно. Важно определять симметричность анатомических особенностей правой и левой сторон полости носа. Число этапов оценки КТ может меняться в зависимости от объема хирургического вмешательства.
2. Оценка положения перегородки носа:

а) наличие деформации (искривления, шипов, гребней, пневматизации костной части, перфорации), препятствующей доступу к околоносовым пазухам (рис. 1); Рисунок 1. Деформация перегородки носа. КТ, коронарная проекция. Стрелкой указан костный шип перегородки носа справа, создающий препятствие при эндоскопической операции.
б) наличие расщелины твердого неба и ее связи с перегородкой носа.
3. Характеристика средних носовых раковин:
а) наличие средних носовых раковин, их размер и симметричность;
б) наличие деформаций средних носовых раковин (concha bullosa, парадоксальная средняя носовая раковина, гипоплазия);
в) в аксиальной проекции — форма основной пластинки средней раковины. Она может проходить как перпендикулярно перегородке носа, так и под углом к ней [10, 11];
г) наличие свободного пространства между средней раковиной и перегородкой носа на всем протяжении.
4. Характеристика крючковидного отростка:

а) тип прикрепления крючковидного отростка: к орбитальной стенке с формированием слепого кармана, основанию черепа, средней носовой раковине (рис. 2). Рисунок 2. Тип прикрепления крючковидного отростка. КТ, коронарная проекция. Звездочкой обозначен крючковидный отросток, прикрепляющийся к медиальной стенке орбиты и создающий слепой карман или recessus terminalis. От типа прикрепления крючковидного отростка зависит путь дренирования лобных пазух [12];

б) расстояние между свободным краем крючковидного отростка и орбитальной стенкой, наличие втяжения крючковидного отростка в верхнечелюстную пазуху, плотное его прилегание к орбитальной стенке, гипертрофия или пневматизация крючковидного отростка (рис. 3). Рисунок 3. Строение крючковидного отростка. КТ, коронарная проекция. Стрелками обозначены пневматизированные крючковидные отростки с двух сторон, значительно отстающие от бумажной пластинки. От данных параметров зависит способ резекции крючковидного отростка [13].
5. Характеристика решетчатой воронки и верхнечелюстной пазухи:
а) объем верхнечелюстной пазухи: нормальный, увеличенный, гипоплазия, наличие дефектов и деформаций ее стенок;
б) уровень дна верхнечелюстной пазухи относительно дна полости носа: выше, вровень, ниже;
в) состояние и размер естественного соустья, его расположение относительно нижнего края средней раковины, верхнего края нижней раковины и нижней стенки орбиты;

г) наличие клеток Галлера (рис. 4); Рисунок 4. Строение остиомеатального комплекса. КТ, коронарная проекция. Слева — крючковидный отросток прикрепляется к основанию черепа (лобная пазуха слева дренируется в решетчатую воронку), справа — к медиальной стенке орбиты (лобная пазуха справа дренируется медиально от крючковидного отростка). Клетки Галлера слева сужают соустье с левой верхнечелюстной пазухой.
д) уровень прохождения инфраорбитального нерва;

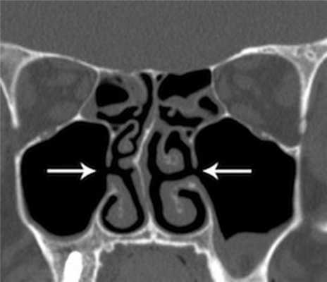
е) наличие дефектов слизистой оболочки в области передней и задней фонтанеллы (рис. 5); Рисунок 5. Дефекты медиальных стенок верхнечелюстных пазух. КТ, коронарная проекция. Стрелками указаны дефекты слизистой оболочки в области задних фонтанелл.
При наличии дополнительного соустья с верхнечелюстной пазухой важно соединить его с естественным соустьем [14];
ж) наличие соустья в среднем носовом ходе после перенесенного вмешательства. Определить, было ли включено естественное соустье во вновь сформированное.
6. Оценка строения медиальной и нижней стенок орбиты:

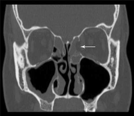
а) целостность медиальной и нижней стенок орбиты, наличие участков пролабирования содержимого орбиты в полость носа или верхнечелюстную пазуху либо распространения патологического процесса из полости носа в орбиту (рис. 6). Рисунок 6. Дефект медиальной стенки орбиты. КТ, коронарная проекция. Стрелкой показан значительный дефект бумажной пластинки слева с пролабированием содержимого орбиты в решетчатый лабиринт, заполненный полипозной тканью. При тотальном полипозе наличие незамеченного дефекта бумажной пластинки может иметь серьезные последствия [15];
б) форма бумажной пластинки: прямая или изогнутая;
в) расположение нижней стенки орбиты относительно нижнего края средней раковины в области проекции соустья с верхнечелюстной пазухой;
г) расстояние между средней раковиной и бумажной пластинкой в области передних решетчатых клеток относительно задних (ширина решетчатого лабиринта).
7. Оценка передних клеток решетчатого лабиринта, лобного кармана и лобной пазухи:

а) наличие клеток Agger nasi и степень их пневматизации (рис. 7); Рисунок 7. Клетки Agger nasi. КТ, коронарная проекция. Стрелки указывают на гиперпневматизированные клетки Agger nasi.

б) наличие решетчатой буллы, степень ее пневматизации, наличие ретробуллярного и супрабуллярного карманов (латерального синуса). Достигает ли булла основания черепа. Расстояние между медиальной стенкой буллы и вертикальной пластинкой средней раковины (рис. 8); Рисунок 8. Передние клетки решетчатого лабиринта. КТ, коронарная проекция. Видны клетки решетчатых булл (1) с двух сторон и супрабуллярные карманы, составляющие sinus lateralis (2).
в) наличие клеток, способствующих сужению лобного кармана;
г) определение путей дренирования лобной пазухи по месту прикрепления крючковидного отростка и относительно лобных решетчатых клеток. На аксиальных срезах определить локализацию лобного кармана — латеральная или медиальная. Определить угол между ходом лобного кармана и горизонтальной плоскостью;

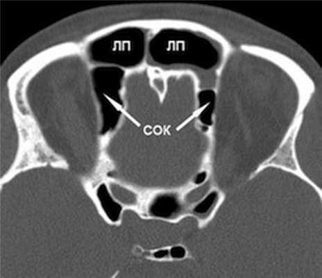
д) наличие супраорбитальных клеток решетчатого лабиринта, степень их пневматизации, расположение относительно лобного кармана (рис. 9); Рисунок 9. Супраорбитальные клетки решетчатого лабиринта. КТ, аксиальная проекция. Видны лобные пазухи (ЛП) и супраорбитальные клетки (СОК) решетчатого лабиринта с двух сторон.
е) наличие пневматизации перегородки между лобными пазухами [1, 15].
8. Оценка задних клеток решетчатого лабиринта:
а) число воздушных клеток;
б) вертикальный и горизонтальный размер решетчатого лабиринта;
в) наличие и размер верхней носовой раковины;

г) наличие клетки Оноди (рис. 10). Рисунок 10. Задние клетки решетчатого лабиринта. КТ, коронарная проекция. Клиновидная пазуха. Звездочкой обозначена клетка Оноди слева. Определить наличие выступа канала зрительного нерва вдоль клетки Оноди.
Отдельно следует выделить симптом «черного пятна» — присутствие пузырьков воздуха или отдельных воздушных клеток решетчатого лабиринта при тотальном затемнении ОНП или симптом «черного ореола» — наличие воздуха между участками затемнения и стенками пазух. Данные симптомы могут являться важнейшими ориентирами при тотальном затемнении ОНП [15].
9. Оценка клиновидной пазухи:

а) степень пневматизации: вертикальный и горизонтальный размеры пазухи (рис. 11); Рисунок 11. Гиперпневматизация клиновидной пазухи. КТ, аксиальная проекция. Одна из внутрипазушных перегородок (1) прикрепляется к выступу канала сонной артерии слева (2).
б) наличие дигисценций в области верхней стенки;
в) наличие выступов каналов зрительных нервов и внутренних сонных артерий, их выраженность, наличие дигисценций, выраженность зрительно-сонного углубления;
г) расположение соустья с клиновидной пазухой относительно верхней раковины и заднего конца средней раковины;
д) наличие межпазушных перегородок, возможное их прикрепление к выступам канала сонной артерии или зрительного нерва;
е) толщина стенки кливуса.
10. Оценка анатомии основания черепа:
а) строение обонятельной ямки по Keros: I, II, III, IV [16]; угол наклона латеральной ламеллы продырявленной пластинки [17]. Расстояние между клетками решетчатого лабиринта и латеральной ламеллой продырявленной пластинки;

б) уровень основания черепа в области переднего отдела решетчатого лабиринта, его симметричность (рис. 12). Рисунок 12. Строение обонятельной ямки. КТ, коронарная проекция. Стрелками указаны асимметричные уровни основания черепа в области решетчатой пластинки. Состоятельность основания черепа на всем протяжении. На саггитальном срезе — его форма;
в) наличие пневматизации crista gali;
г) локализация передних решетчатых артерий, их уровень относительно основания черепа;
д) высота основания черепа в задних отделах решетчатого лабиринта относительно горизонтальной пластинки средней раковины. Решетчато-верхнечелюстное соотношение — отношение вертикального размера задних клеток решетчатого лабиринта к вертикальному размеру верхнечелюстных пазух. Выявлена обратная зависимость: чем больше вертикальный размер верхнечелюстной пазухи, тем ниже расположена крыша решетчатого лабиринта в задних отделах и наоборот [8]. Этот параметр особенно важен, поскольку при работе в области задних клеток решетчатого лабиринта инструменты изначально находятся ближе к основанию черепа за счет угла наклона головы пациента.
Заключение
Развитие эндоскопической хирургии околоносовых пазух и основания черепа требует усовершенствования способов диагностики и оценки КТ ОНП для обеспечения качественного и безопасного вмешательства. Если ранее казалось достаточным оценить данные КТ на пленке, то сегодня крайне важно применять современные компьютерные технологии для просмотра и оценки данных КТ. Учитывая высокий риск ятрогенных осложнений при выполнении так называемых расширенных вмешательств на ОНП, перед каждым вмешательством необходимо тщательно оценивать данные КТ ОНП по стандартному плану для планирования операции и выявления «опасных» анатомических зон.
Читайте также:
- Как наложить шину фиксирующую палец
- Ведение пациентов с сердечной недостаточностью. Ведение пациентов с терминальной СН
- Тактика при травме сосудов грудной полости. Сортировка пациентов
- Плевральные сращения. Значение плевральных сращений при искусственном пневмотораксе
- Рентгенограмма, КТ при множественной миеломе челюсти
