КТ при остеосаркоме височно-нижнечелюстного сустава (ВНЧС)
Добавил пользователь Владимир З. Обновлено: 30.10.2025
а) Терминология:
1. Аббревиатура: 
• Остеосаркома (ОС)
2. Определение: 
• Злокачественная опухоль кости, способная продуцировать остеоид или незрелую костную ткань
б) Визуализация:
1. Общая характеристика: 
• Лучший диагностический критерий: 
о Деструкция кости с агрессивной периостальной реакцией ± формированием опухоли 
• Локализация: 
о Нижняя > верхняя челюсть: 
- В челюстно-лицевой области чаще всего поражается тело и угол нижней челюсти; поражение мыщелка возникает редко 
о Часто наблюдается инвазия соседних мягких тканей и анатомических структур 
• Морфология: 
о Очаг деструкции с формированием остеоида
2. Рентгенография при остеосаркоме височно-нижнечелюстного сустава (ВНЧС): 
• Рентгенонегативное, склеротическое или смешанное поражение 
• Плохо отграниченный участок деструкции в мыщелке с эрозией кортикальной пластинки 
• Иногда с периостальной реакцией: в виде «волос, вставших дыбом» или спикул (лучей) перпендикулярно кортикальной пластинке: 
о Возможна также слоистая периостальная реакция

 (Слева) На аксиальной КТ в костном окне на уровне сигмовидной вырезки справа визуализируется остеосаркома ветви и мыщелка нижней челюсти. Кортикальные пластинки утолщены, определяется лучистая периостальная реакция вокруг пораженных участков кости. Обратите внимание на асимметричный отек мягких тканей жевательного пространства и щеки справа. 
(Справа) На аксиальной КТ с КУ у этого же пациента визуализируется опухоль, смещающая околоушную железу кзади и кнаружи, и вероятно, прорастающая в нее. Опухоль распространяется в правую верхнечелюстную пазуху. 
3. КТ при остеосаркоме височно-нижнечелюстного сустава (ВНЧС): 
• КТ с КУ: 
о Умеренное контрастирование солидного компонента 
• КЛКТ и КТ в костном окне: 
о Опухоль часто разрушает кортикальную пластинку и прорастает в окружающие мягкие ткани, формируя объемное образование 
о Мыщелок может выглядеть увеличенным с «пятнистой» картиной костной ткани
4. МРТ при остеосаркоме височно-нижнечелюстного сустава (ВНЧС): 
• Сигнал неоднородной интенсивности на Т1 и Т2
5. Рекомендации по визуализации: 
• Лучший метод визуализации: 
о КТ для определения степени поражения кости, деструкции костной ткани, оценки остеоидного матрикса 
о МРТ для оценки поражения мягких тканей и интрамедуллярного распространения, отношения опухоли к мягкотканным структурам
в) Дифференциальная диагностика остеосаркомы височно-нижнечелюстного сустава (ВНЧС):
1. Метастатическое поражение ВНЧС: 
• Картина может быть аналогичной ОС 
• Уточните анамнестические данные о первичной опухоли
2. Хондросаркома ВНЧС: 
• Предполагайте при наличии рентгеноконтрастных участков в опухоли 
• Рентгеноконтрастные включения чаще всего выглядят как дуги или завитки
3. Аневризматическая костная киста ВНЧС: 
• Быстро увеличивается, приводит к появлению боли

 (Слева) На аксиальной КТ в костном окне визуализируется большая агрессивная остеосаркома со стороны наружного края ветви нижней челюсти. Определяется лучистая периостальная реакция, виден остеоидный матрикс. 
(Справа) На корональной КТ в костном окне у этого же пациента определяется лучистая периостальная реакция со стороны внутреннего и наружного края ветви с «пятнистой» деструкцией и увеличением мыщелка. 
г) Патология:
1. Общая характеристика: 
• Этиология: 
о Остеосаркома ВНЧС может возникать после облучения лица
2. Классификация: 
• Выделяют несколько вариантов в зависимости от локализации, клинических проявлений, степени клеточной атипии 
• Чаще всего встречается традиционный (классический) тип ОС
д) Клинические особенности:
1. Проявления: 
• Типичные признаки/симптомы: 
о Аналогичны артрогенной дисфункции ВНЧС: уменьшение объема движений, ограничение боковой подвижности, приобретенные нарушения окклюзии, боль в ВНЧС, головная боль 
• Другие признаки/симптомы: 
о Отек преаурикулярной области
2. Демография: 
• Возраст: 
о Средний: 35 лет 
о Возникает в среднем на 10 лет позже, чем ОС длинных костей 
• Пол: 
о М:Ж=2:1: 
- Согласно некоторым исследованиям, чаще заболевают женщины 
• Эпидемиология: 
о Только 5-6% ОС поражают челюсти; редко наблюдается вовлечение мыщелка
3. Течение и прогноз: 
• ОС челюстей менее агрессивны, чем ОС длинных костей: 
о ОС челюстей позже метастазируют 
о Прогноз лучше при отсутствии парестезии, малых размерах опухоли, отсутствии опухолевых клеток в крае резектата, более высокой степени дифференцировки, молодом возрасте
4. Лечение: 
• Полная резекция с широким краем 
• Лучевая терапия или химиотерапия обычно используются с целью контроля метастазирования или как паллиативные методы
е) Диагностическая памятка:
1. Следует учесть: 
• Метастатическое поражение при отсутствии агрессивной периостальной реакции 
• Радиационно-индуцированную саркому, если пациент ранее подвергался лучевой терапии
2. Советы по интерпретации изображений: 
• Агрессивная периостальная реакция - признак ОС
ж) Список использованной литературы: 
1. Uchiyama Y et al: MRI in a case of osteosarcoma in the temporomandibular joint. Dentomaxillofac Radiol. 43(2):20130280, 2014 
2. Wang S et al: Osteosarcoma of the jaws: demographic and CT imaging features. Dentomaxillofac Radiol. 41(1):37-42, 2012 
3. dos Santos DT et al: Osteosarcoma of the temporomandibular joint: report of 2 cases. OralSurg Oral Med Oral Pathol Oral Radiol Endod. 94(5):641-7, 2002 
4. Bennett JH et al: Osteosarcoma of the jaws: a 30-year retrospective review. Oral Surg Oral Med Oral Pathol Oral Radiol Endod. 90(3):323-32, 2000
Компьютерная томография височно-нижнечелюстного сустава
КТ ВНЧС представляет собой неинвазивный метод диагностики, который основан на рентгеновском излучении. Характеризуется высоким уровнем информативности и небольшой дозой облучения, но проходить это обследование можно строго по назначению лечащего врача.
Патологии ВНЧС характеризуются нехарактерными симптомами, что усложняет процесс диагностики заболеваний. Пациент может испытывать повышенную чувствительность зубного ряда, боли в голове и нетипичную пульсацию в висках, что может указывать на целый ряд проблем. Все это может стать следствием некорректной диагностики и неправильного лечения. Характерный пример – это удаление зуба при непонятных причинах его сильной чувствительности. Чтобы этого избежать, используется компьютерная томография ВНЧС, которая позволяет дать максимально точную картину исследуемых участков.

Содержание
Особенности обследования
КТ височно-нижнечелюстного сустава позволяет получать снимки с послойным отображением внутренних структур. Сама суть метода основывается на способности тканей к накоплению и отражению электромагнитных волн. Излучаемые частицы способны достаточно глубоко проникать в слои организма пациента, что и дает отличные информативность результатов обследования.
КТ проводится с помощью специального аппарата – томографа. Он состоит из нескольких составляющих:
- ПК, который обрабатывает полученную информацию от аппарата. В итоге данные преображаются в 2D или 3D-снимки.
- Стол с выдвижным механизмом, на котором располагается пациент. Обратите внимание, что максимальный вес, который он может выдержать – это 160 кг, поэтому есть определенные ограничения к проведению процедуры для лиц с избыточным весом.
- Рентгеновские трубки. В зависимости от аппарата, их может быть до 64 штук. От их количества зависит длительность всего обследования.
- Гентри – это подвижная часть томографического оборудования.
Томография ВНЧС основывается на воздействии большого количества потоков рентген-лучей на исследуемую область. Датчики, размещенные на выдвижном столе (под телом больного), фиксируют накопление фотонов тканями человеческого организма. Вращение рентгеновских трубок позволяет проанализировать исследуемые участки во всем объеме.
В каких случаях проводится КТ?
Томография височно-нижнечелюстного сустава назначается при наличии следующих заболеваний и патологических состояний:
- Вывихи и подвывихи суставной головки.
- Анкилоз. Эта патология характеризуется практически полным отсутствием подвижности сустава. Происходит это по причине разросшейся соединительной ткани.
- Артрит, синовит и другие воспалительные заболевания.
- Посттравматические артропатии, которые отличаются нарушением функций суставов.
- Различные новообразования.
- Различные аномалии лицевого черепа ВНЧС. В частности, компьютерная томография используется для диагностики гипоплазии – недостаточного развития.
- Дегенеративные процессы, происходящие в суставах, которые практически не поддаются терапии. Отмирание костных структур может быть вызвано естественными возрастными изменениями или различными системными заболеваниями.
- Синдром Мебиуса, который диагностируется сразу же после рождения ребенка. Эта патология характеризуется отсутствием подвижности сустава, что является следствием разрастанием венечного отростка.
- Выявление последствий переломов и прочих травм.
- Болевой синдром в лицевой области.
- Проблемы с пережевыванием пищи, нарушение речи и закладывание в ушах.
Помимо этого, обследование показано тем пациентам, у которых открытие рта сопровождается характерным щелчком и наличием болей неясного происхождения, которые отдают в отдельные части головы.

Основные противопоказания
Компьютерная томография основывается на использовании рентгенологического облучения, поэтому есть противопоказаний к проведению этой процедуры. Кроме того, во время обследования пациент должен сохранять полную неподвижность в течение определенного временного промежутка.
В связи с этим, КТ противопоказана в следующих случаях:
- Избыточный вес обследуемого. Выдвижной стол может выдержать не более 160 кг.
- Измененное сознание пациента. Оно может быть вызвано алкогольным или наркотическим опьянением, либо различными психическими расстройствами.
- Детский возраст до 3 лет. При обследовании организм получает определенную дозу облучения, но особенно сильно это влияние происходит для детского организма. Могут замедлиться процессы обмена веществ и другие негативные последствия.
- Период вынашивания плода. Доказано, что рентген-лучи негативно сказываются на развитии ребенка.
Что касается беременности, то здесь важно одно уточнение. Если обследование нужно по причине жизненной необходимости и нет других альтернатив, то врач может принять положительное решение о проведении процедуры. Он должен оценить степень риска для плода, чтобы потенциальная польза для здоровья матери была не больше, чем вероятный вред для ребенка.
Правила подготовки
Подготовительные процедуры к КТ челюсти и ВНЧС зависят от того, будет ли использоваться контраст. Если да, то подготовка будет несколько основательнее, чем при обычном КТ.
Пациент должен сдать биохимию крови, чтобы узнать уровень мочевины и других важных показателей. Также стандартная процедура заключается в аллергической пробе, которая позволяет узнать реакцию организма на препарат, содержащий йод. В день самого обследования нужно воздержаться от еды и питья.
Если же речь идет о стандартной компьютерной томографии, то определенных правил подготовки к ней нет. Перед процедурой нужно будет снять с себя все металлические предметы (слуховой аппарат, серьги, украшения и т.д.).
Как проходит компьютерная томография височно-нижнечелюстного сустава?
Пациент ложится на специальный выдвижной стол аппарата. Специалист контролирует весь процесс обследования из соседнего помещения.
При включении томографа, стол заезжает внутрь самого аппарата. Его работа может сопровождаться шумом – это абсолютно нормально, поэтому нужно сохранять неподвижное состояние. Любое действие (открытие рта, поворот головы и т.д.) должно производиться только по команде врача.
Пациентам, страдающим от тревожных состояний или клаустрофобии, дается седативное средство перед процедурой. Делается это на случай возникновения панической атаки у человека.
Если у пациента резко ухудшится состояние внутри аппарата, он может сообщить об этом специалисту по встроенному микрофону.
КТ ВНЧС – что показывает обследование?
При проведении КТ, предполагаемая патология или дефект становятся хорошо видны на мониторе компьютера. Изображение может быть получено в нескольких проекциях – аксиальной, фронтальной или сагиттальной.
Полученный снимок может определить следующие виды отклонений:
- Изменение размеров суставной щели.
- Отклонения суставного диска.
- Изменение костных структур.
- Наличие новообразований.
- Смещение головок сустава.

Что лучше – МРТ или КТ?
Говоря об исследовании патологий ВНЧС, многие задаются вопросом, что выбрать МРТ или КТ? Для начала стоит отметить, что обе эти методики подходят для обследования состояния височно-нижнечелюстного сустава. И МРТ, и КТ, имеют свои преимущества и недостатки, поэтому однозначно ответить на вопрос о том, что лучше, достаточно проблематично.
МРТ лучше с точки зрения отсутствия определенных противопоказаний к ее проведению. Объясняется это тем, что в основе этого метода не лежит рентгеновское излучение, которое негативно влияет на организм человека при превышении допустимой дозы.
Говоря же именно об обследовании ВНЧС, то МРТ больше подходит для изучения суставных поверхностей (участков сочленения двух частей, покрытых хрящом). Что же касается изучения самого сустава, то в большинстве случаев назначает именно компьютерная томография. К тому же, стоимость КТ ниже, чем МРТ.
Разновидности обследования
КТ ВНЧС может проводиться с закрытым и открытым ртом, в зависимости от конкретного клинического случая. Во время проведения процедуры могут использоваться различные варианты этого обследования:
- Траснаксиальная методика. Это стандартная процедура (через ось тела). В ходе ее проведения получается порядка 25 снимков, идущих параллельно глазной ямке. Можно визуализировать отдельно левый и правый сустав.
- Саггитальное сканирование. Оно проводится строго параллельно ушной раковине. Ведется оценка состояния ВНЧС в трех фазах, т.е. пациента просят закрыть рот, приоткрыть его наполовину и полностью.
- Объемный 3D-режим. Получается пространственное изображение правого и левого сустава.
Как правило, во время диагностики используется комбинация из вышеуказанных вариантов обследования для получения наиболее точной картины.

Основные преимущества компьютерной томографии в диагностике патологий ВНЧС
- Идентичность съемки сустава с обеих сторон.
- Максимально точное воссоздание формы суставных поверхностей во всех плоскостях.
- Изучение состояния жевательных мышц и суставного диска.
- Отсутствие всяческих искажений, мешающих постановке диагноза.
- Минимальная доза облучения.
- Быстрая процедура обследования.
Те сведения и снимки, которые получается в результате КТ, имеют очень большую диагностическую ценность при составлении грамотной схемы лечения дисфункции височно-нижнечелюстного сустава, в протезировании и исправлении прикуса, а также при плановых хирургических вмешательствах (как подготовительная процедура).
Где можно сделать компьютерную томографию двух челюстей и ВНЧС в Санкт-Петербурге?
Диагностический рентген-центр «ЛУЧ» приглашает вас пройти компьютерную томографию 3D, которая успешно применяется для диагностики патологий ВНЧС. Объемность реконструкции исследуемой области придает диагностике необходимую точность и высокий уровень детализации.
Все это возможно, благодаря современному оборудованию нашего рентген-центра. Мы прекрасно понимаем, насколько важен правильно поставленный диагноз, поэтому тщательно подходим к выбору персонала.
Для наших клиентов возможна запись результатов исследования на цифровой носитель и курьерская доставка по Санкт-Петербургу. Чтобы записаться к нам на прием, нужно оставить онлайн-заявку на сайте, либо позвонить по указанному номеру телефона.
КТ при остеосаркоме височно-нижнечелюстного сустава (ВНЧС)
КТ при остеоме височно-нижнечелюстного сустава (ВНЧС)
а) Определение: 
• Определение: доброкачественная медленно растущая костеобразующая опухоль, характеризующаяся пролиферацией компактной и губчатой кости
1. Общая характеристика: 
• Лучший диагностический критерий: 
о Хорошо отграниченное образование с плотностью кости, отходящее от мыщелка, шейки мыщелка, верхних отделов ветви 
• Локализация: 
о Практически всегда обнаруживается в области лица и черепа 
о Преимущественно в околоносовых пазухах 
о Остеомы челюстей относительно нетипичны, редко наблюдается поражение ВНЧС: 
- Другие зоны: вырезка нижней челюсти ниже шейки мыщелка, венечный отросток, суставная ямка 
• Размер: 
о Варьирует, некоторые остеомы ВНЧС >2 см в поперечнике 
• Морфология 
о Шаровидная форма; на широком основании или на ножке
2. Рентгенография при остеоме височно-нижнечелюстного сустава (ВНЧС): 
• Хорошо отграниченное рентгеноконтрастное образование кости, накладывающееся на мыщелок (соседние отделы ВНЧС) или отходящее от него на ножке 
• ± кортикальная пластинка на периферии

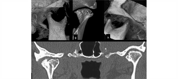
 (Слева) На корональной КЛКТ на наружной поверхности шейхи левого мыщелка определяется компактная остеома, образованная плотной костью. Опухоль имеет широкое основание, ровные округлые симметричные контуры. 
(Справа) На аксиальной КЛКТ у этого же пациента определяется остеома исходящая из кортикальной пластинки, в остальном имеющей нормальную толщину и плотность. Опухоль симметрична, форма мыщелка в остальном не нарушена. 
3. КТ при остеоме височно-нижнечелюстного сустава (ВНЧС): 
• КТ в костном окне: 
о Однородное, хорошо отграниченное объемное образование кости высокой плотности (рентгеноконтрастное): 
- С нормальной трабекулярной картиной
4. МРТ при остеоме височно-нижнечелюстного сустава (ВНЧС): 
• Т1 ВИ: 
о Гипоинтенсивный сигнал; возможен гиперинтенсивный сигнал в желтом костном мозге в центре 
• Т2 ВИ: 
о Сигнал гипоинтенсивный или соответствует костному мозгу о Может обнаруживаться гипоинтенсивный «ободок» из кортикальной кости
5. Рекомендации по визуализации: 
• Лучший метод визуализации: 
о КТ в костном окне или КЛКТ с реформатированием в сагиттальной и корональной плоскостях для оценки отношения опухоли к компонентам ВНЧС
в) Дифференциальная диагностика остеомы височно-нижнечелюстного сустава (ВНЧС):
1. Остеохондрома ВНЧС: 
• Опухоль с хрящевой «шапочкой» и энхондральной оссификацией глубоких отделов: 
о Происходит из участков нижней челюсти, покрытых хрящом: суставных поверхностей мыщелкового отростка, венечного отростка 
о Остеома возникает на периостальных поверхностях 
• Остеохондрома сохраняет трабекулярную картину мыщелка
2. Гиперплазия мыщелка: 
• Увеличение мыщелка, сохраняющего свою исходную форму: 
о Остеома имеет ножку или фестончатый край

 (Слева) На корональной КЛКТ определяется большая остеома в области шейки и головки левого мыщелка, представленная преимущественно плотной кортикальной костью. Кортикальная пластинка шейки мыщелка остается различимой, что помогает отличить остеому от остеохондромы. 
(Справа) На аксиальной КЛКТ у этого же пациента визуализируется крупная остеома шейки нижней челюсти с фестончатыми краями, находящаяся скорее на широком основании, чем на ножке. 
1. Общая характеристика: 
• Этиология: 
о Травма 
о Врожденные и приобретенные эндокринные заболевания 
о Хроническое воспаление или инфекция 
• Сопутствующие нарушения: 
о Синдром Гарднера (семейный аденоматозный полипоз): 
- Множественные остеомы длинных костей, черепа, челюстей 
- Предзлокачественный колоректальный полипоз 
- Множественные эпидермоидные кисты или кисты сальных желез 
- Импактные постоянные или сверхкомплектные зубы
2. Градации, классификация остеомы височно-нижнечелюстного сустава (ВНЧС): 
• Компактная («слоновая кость») остеома: 
о Высокодифференцированная плотная зрелая кость с плохо выраженным костным мозгом 
• Губчатая остеома: 
о Пластинчатые трабекулы, большое количество костного мозга
3. Микроскопия: 
• Кость не изменена; может обнаруживаться нормальная кортикальная пластинка 
• Остеома покрыта надкостницей, не имеет капсулы
1. Проявления: 
• Типичные признаки/симптомы: 
о Обычно бессимптомная случайная лучевая находка 
о Симптоматика напоминает дисфункцию ВНЧС: ограничение подвижности и (в редких случаях) боль 
• Другие признаки/симптомы: 
о Асимметрия лица и отек при увеличении опухоли 
о Ипсилатеральный открытый прикус при поражении мыщелка 
о Отклонение нижней челюсти
2. Демография: 
• Возраст: 
о ВНЧС: 24-74 года, преимущественно четвертое десятилетие 
• Пол: 
о М=Ж при поражении ВНЧС
3. Течение и прогноз: 
• Медленный рост, отсутствие симптоматики до достижения больших размеров
4. Лечение: 
• Эксцизия или кондилэктомия 
• Ортодонтическая коррекция при любых нарушениях смыкания зубов 
• О рецидивах не сообщается
е) Диагностическая памятка. Следует учесть: 
• Синдром Гарднера при множественных остеомах
ж) Список использованной литературы: 
1. Nojima K et al: Multidisciplinary treatment of peripheral osteoma arising from mandibular condyle in patient presenting with facial asymmetry. Bull Tokyo Dent Coll. 55(1):39-47, 2014 
2. Almeida LE et al: Giant mandibular condyle osteoma. J Craniofac Surg. 22(31:1147-9, 2011
1. Аббревиатура: 
• Хондросаркома (ХС)
2. Синоним: 
• Хондрогенная саркома
3. Определение: 
• Злокачественная опухоль из клеток хряща 
• Может возникать в центре или на периферии кости (паростальная ХС), или в мягких тканях
1. Общая характеристика: 
• Лучший диагностический критерий: 
о Кальцинаты в виде завитков в мыщелке и вокруг него ± лучистая периостальная реакция 
• Локализация: 
о Преимущественно длинные кости, таз, ребра 
о Только 1-2% ХС возникают в области головы и шеи 
о Венечный отросток поражается чаще, чем мыщелковый 
• Размер: 
о Варьирует, обычно > 2 см 
• Морфология: 
о Неправильная форма 
о Четкие края с кортикальной пластинкой/нечеткие края 
о При поражении надкостницы лучистая периостальная реакция перпендикулярно поверхности кости

 (Слева) На аксиальной КТ без КУ определяется ХС правого мыщелка, снаружи от которого видны множественные плотные включения в отсутствие явного объемного образования. Внутренний край мыщелка склерозирован. Обратите внимание, насколько правый мыщелок отличается от неизмененного левого. 
(Справа) На корональной реформатированной КТ без КУ у этого же пациента в мягких тканях визуализируется кольцевидный кальцинат с гиподенсным центром. Определяется деструкция стенок суаавной ямки и большого крыла клиновидной кости. Мыщелок увеличен. 
2. Рентгенография при хондросаркоме височно-нижнечелюстного сустава (ВНЧС): 
• Рентгенологические признаки: 
о Картина варьирует в зависимости от выраженности обызвествления опухоли 
о Могут обнаруживаться внутриопухолевые кальцинаты в виде «облака» с обызвествленными завитками и дугами: 
- В центре каждого рентгеноконтрастного участка часто обнаруживается просветление
3. КТ при хондросаркоме височно-нижнечелюстного сустава (ВНЧС): 
• КТ в костном окне: 
о Неконтрастирующееся объемное образование с кальцината-ми в виде хлопьев вокруг мыщелка и в суставном пространстве ± деструкция кости 
о Часто наблюдается эрозия суставной ямки с поражением подвисочной ямки, височной кости, средней черепной ямки 
о Расширение суставного пространства 
о Мыщелок может выглядеть увеличенным и удлиненным: 
- Медленно растущая опухоль мыщелка может приводить к увеличению суставной ямки 
о Объемное образование в мягких тканях
4. МРТ при хондросаркоме височно-нижнечелюстного сустава (ВНЧС): 
• Т1 ВИ: 
о Сигнал низкой-промежуточной интенсивности по сравнению с серым веществом: 
- Гипоинтенсивные очаги в опухоли могут быть отражать кальцинаты 
• Т2 ВИ: 
о Гиперинтенсивный сигнал 
о Гипоинтенсивные очаги (кальцинаты) обнаруживаются реже, чем на КТ 
• Т1 ВИ С+: 
о Неравномерно контрастирующееся образование: 
- Часто обнаруживаются «завитки» из контрастирующихся линий в матриксе опухоли
5. Рекомендации по визуализации: 
• Лучший метод визуализации: 
о КТ в костном окне или КЛКТ для оценки распространенности опухоли, инвазии соседних структур, внутриопухолевых каль-цинатов 
о МРТ для анализа распространенности поражения костного мозга и вовлечения соседних тканей 
• Выбор протокола: 
о Сагиттальные, корональные, аксиальные реформатированные изображения ВНЧС и окружающих структур
6. Сцинтиграфия: 
• Остеосцинтиграфия: 
о Центральная ХС: повышенное накопление радиофармпрепарата 
о Периферическая ХС: отдельные метаболически активные участки 
о Сцинтиграфия всего тела: 
- Выявление метастазов 
- Отсутствие накопления позволяет исключить злокачественное перерождение остеохондромы

 (Слева) На сагиттальной МРТ (Т1 ВИ) у этого же пациента вокруг мыщелка визуализируется многокамерное объемное образование, вовлекающее суставную ямку и большое крыло клиновидной коои. 
(Справа) На аксиальной MPT (Т1 ВИ С+ FS) у этого же пациента определяется обширное контрааное усиление солидного объемного образования, окружающего мыщелок, что позволяет исключить его воспалительный характер. 
в) Дифференциальная диагностика хондросаркомы височно-нижнечелюстного сустава (ВНЧС):
1. Синовиальный хондроматоз: 
• Рентгеновские и гистологические признаки могут имитировать ХС 
• Дифференциальная диагностика основана на клинических и рентгенологических проявлениях: 
о ХС: деструкция и инвазия
2. Болезнь накопления кальция пирофосфата дигидрата: 
• Кристаллы в суставе и околосуставных структурах 
• Обызвествления в суставном пространстве и дегенеративное заболевание ВНЧС 
• Острые приступы; боль, отек преаурикулярной области, тризм, отклонение нижней челюсти
3. Метастатическое поражение: 
• Рентгенонегативный участок деструкции мыщелка у пациента с первичной злокачественной опухолью 
• Поражение ВНЧС обычно сочетается с метастазами в нижней челюсти или в других костях 
• Рентгеноконтрастные метастазы могут имитировать ХС: 
о Метастазы рака молочной железы 
о Метастазы рака предстательной железы
4. Остеосаркома: 
• Редко поражает ВНЧС 
• Обычно обусловливает деструкцию 
• Характеризуется вариабельной рентгеновской картиной: рентгенонегативное, рентгеноконтрастное, смешанное поражение 
• Возможна лучистая периостальная реакция

 (Слева) На аксиальной МРТ (Т2ВИ FS) у пациента с ХС левого ВНЧС определяется мягкотканный компонент с неоднородным, но в целом высокоинтенсивным Т2 сигналом, типичным для хондроидных опухолей. Точечные гипоинтенсивные очаги отражают внутриопухолевые кальцинаты. 
(Справа) На корональной МРТ (Т1ВИС+ FS) у этого же пациента определяется интенсивное накопление контраста в объемном образовании сустава, что подтверждает его солидную структуру и позволяет исключить жидкость в суставе, растягивающую капсулу. 
1. Общая характеристика: 
• Сопутствующие нарушения: 
о Синдром Маффуччи: низкороспость, недоразвитие мышц, многочисленные энхондромы; возможно формирование множественных ХС 
• ХС образуется из хряща в тканях, в норме его не содержащих, или возникает в хрящевой «шапочке» экзостоза/энхондромы 
• Предшественниками ХС могут становиться рудиментарные остатки мультипотентных мезенхимальных клеток
2. Стадирование, классификация хондросаркомы височно-нижнечелюстного сустава (ВНЧС): 
• Классификация: 
о Первичная ХС из недифференцированных клеток надхрящницы 
о Вторичная ХС из измененных клеток энхондромы или остеохондромы 
о Редкая мезенхимальная ХС из примитивных мезенхимальных клеток 
• Альтернативная классификация ХС: 
о Светлоклеточная 
о Дедифференцированная 
о Миксоидная 
о Мезенхимальная 
• Классификация Эванса: 
о Градация осуществляется на основании относительной выраженности целлюлярности, атипии, плеоморфизма 
о Степень I (низкая степень злокачественности): хондроидный матрикс с разбросанными включениями хондроцитов с практически нормальными ядрами и без фигур митоза 
о Степень II: выше уровень целлюлярности и меньшее количество хондроидного матрикса, увеличение количества фигур митоза, многоядерность, гиперхромные везикулярные ядра 
о Степень III (высокая степень злокачественности): хондроциты неправильной формы в миксоидном матриксе, увеличение выраженности плеоморфизма ядер
3. Макроскопические и хирургические особенности: 
• Твердая голубовато-белая, жемчужно-прозрачная опухоль с гранями или фестончатыми краями 
• Белые или желтоватые пятнышки («песчинки»), соотносящиеся с обызвествленными или оссифицированными участками опухоли
4. Микроскопия: 
• Гиперцеллюлярная опухоль, состоящая из хондроцитов с гиперхромными плеоморфными ядрами и выраженными ядрышками 
• В гиалиновом матриксе могут формироваться кальцинаты, напоминающие завитки 
• Гиалиновый тип: солидный межклеточный матрикс; миксоидный или смешанный тип: муцинозный/желеобразный матрикс 
• Гистологическая картина может перекрываться с доброкачественными хондроидными опухолями, что позволяет спутать с ними ХС
1. Проявления: 
• Типичные признаки/симптомы: 
о Отек преаурикулярной области 
• Другие признаки/симптомы: 
о Отклонение нижней челюсти 
о Нарушение окклюзии 
о Боль в преаурикулярной области 
о Боль при жевании 
о Возможна тугоухость 
о Ограничение объема движений
2. Демография: 
• Возраст: 
о Средний: 50 лет: 
- Рамки: 11-75 лет 
• Пол: 
о Ж:М = 2:1 
• Эпидемиология: 
о ХС мыщелка встречается чаще, чем остеосаркома, но остается очень редкой опухолью
3. Течение и прогноз: 
• Местные рецидивы в ВНЧС не зависят от стадии опухоли: 
о Прогностические факторы: 
- Несоответствующее хирургическое лечение 
- Локализация и распространенность опухоли: 
Пятилетняя выживаемость = 90% при ХС I ст. 
Пятилетняя выживаемость = 50% при ХС II и III ст. 
• Малая частота метастазирования: о В легкие и позвонки 
• Гибель наступает вследствие местного рецидива и инвазии основания черепа 
• Отдаленные метастазы могут появляться спустя >2 десятилетия: 
о Индикаторы прогноза: размер, локализация, степень злокачественности, резектабельность опухоли
4. Лечение: 
• Хирургическое (широкая эксцизия), т.к. опухоль является местно агрессивной 
• ± лучевая терапия и/или химиотерапия 
• Иногда иммунотерапия, криохирургия
1. Следует учесть: 
• Доброкачественные хондрогенные опухоли сложно отличить от хондрогенных опухолей низкой степени злокачественности: диагноз часто основывается на лучевых признаках: 
о Нечеткие края с инфильтрацией кортикальной или трабекулярной кости типичнее для ХС
2. Советы по интерпретации изображений: 
• Затемнения в виде дуг и завитков с просветлениями в центре типичнее для ХС
КТ височно-нижнечелюстного сустава
Томография височно нижнечелюстного сустава (КТ ВНЧС) – современный рентгенологический метод послойной визуализации строения области височно-нижнечелюстного сустава. Для получения данных используется минимально возможная доза облучения, гарантирующая полную безопасность.
Пройти обследование в Москве можно в медицинском холдинге «СМ-Клиника». Во всех центрах установлено новейшее диагностическое оборудование зарубежных производителей, соответствующее всем стандартам качества. Опытные специалисты с высокой точностью оценят результаты и подскажут дальнейшие шаги.

Компьютерная томография в «СМ-Клиника» это
Цель КТ височно-нижнечелюстного сустава
КТ височно нижнечелюстного сустава позволяет выявить любые отклонения в структуре костных и хрящевых тканей, оценить состояние суставной капсулы и работоспособность окружающих мышц и сухожилий.
Методика помогает в постановке следующих диагнозов:
- аномалии суставного диска;
- артрит и артроз височно-нижнечелюстного сустава;
- скопление жидкости (кровь, гной) в суставной полости;
- новообразования костей и рядом расположенных мягких тканей;
- вывих или подвывих сустава;
- перелом костей верхней и нижней челюстей;
- субхондральные кисты;
- травматические повреждения костей, суставной полости и мягких тканей.
Большую ценность КТ ВНЧС представляет при планировании реконструктивных операций на челюстях после сложного удаления зубов или лечения гнойно-воспалительных и онкологических процессов, так как позволяет с высокой точностью определить анатомическое расположение всех структур.
Показания к КТ височно-нижнечелюстного сустава
Обследование можно пройти по собственному желанию или по назначению врача. Основными показаниями могут служить:
- болезненность и хруст в суставе при разговоре, приеме пищи и открывании рта;
- дискомфорт в данной области;
- отек и онемение щеки на стороне поражения и подбородка;
- неправильный прикус;
- трудности с пережевыванием пищи любого характера;
- недавно полученные травмы и повреждения;
- аномалии и пороки развития данной анатомической области;
- расстройства речи и акта глотания.
Также обследование проводится при некоторых стоматологических вмешательствах с целью оценки риска от операции. Методика в некоторых ситуациях показана и перед протезированием зубов (для создания идеального анатомически правильного протеза) и предупреждения появления аномального прикуса.
Как проходит КТ височно-нижнечелюстного сустава
Результаты проведения процедуры:
 
Обследование состоит из следующих этапов:
1. Размещение пациента на выдвижной кушетке. 2. Фиксация головы и конечностей. Подобные действия исключают любые движения пациента, которые могут исказить данные и снизить диагностическую ценность исследования. 3. Надевание защитных наушников. Они необходимы для предохранения органов слуха от громкого шума, издаваемого томографом. 4. Само обследование.
В томографе установлены камера, динамики и микрофон. С помощью данных средств коммуникации всегда поддерживается связь с врачом, который тщательно отслеживает общее состояние. Для дополнительной безопасности имеется кнопка остановки (ее располагают у руки пациента), которой можно воспользоваться при плохом самочувствии: в этом случае исследование прекратится.
 
Оборудование
 
 
 
 
 
 
В «СМ-Клиника» результаты КТ ВНЧС вы получите в течение двух часов (в сложных случаях – в течение суток).
По результатам КТ вы можете сразу получить направление к узким специалистам и в тот же день записаться на прием.
Подготовка к КТ ВНЧС
Специальная подготовка к обследованию не требуется. Непосредственно перед обследованием рекомендуется убрать цепочки и все металлические изделия (сережки, заколки). Одежда снимается только при наличии в ней металлических или рентгенконтрастных предметов. Также нельзя с собой брать телефон, ключи и банковские карты. Рентгеновское излучение может привести их в негодность.
 
Полезная информация
Основные преимущества КТ ВНЧС
КТ височно нижнечелюстного сустава – современный неинвазивный метод диагностики, исключающий любые риски для здоровья. Главными его достоинствами являются:
- возможность точного и послойного исследования мягких тканей и костных структур;
- небольшая продолжительность процедуры (от 2 до 20 минут);
- полная безопасность;
- безболезненность;
- отсутствие длительной предварительной подготовки;
- возможность записи полученных данных на флеш-накопитель или на диск для последующего предоставления лечащему врачу или для самостоятельного просмотра.
Все врачи холдинга «СМ-Клиника» стремятся создать максимально комфортные условия во время процедуры и обеспечить абсолютную безопасность.
Противопоказания к компьютерной томографии
КТ височно-нижнечелюстного сустава без экстренных обстоятельств не проводится при следующих состояниях:
- беременность (на любом сроке);
- наличие несъемных металлических предметов в зоне исследования (протезы, спицы и т. п.);
- психические нарушения с потерей контроля над собой (показано введение седативных средств);
- татуировки с применением красителей, содержащих металлы (в зоне проекции сустава).
Также процедура не выполняется при тяжелом или крайне тяжелом общем состоянии пациента.
Компьютерная томография в Москве
КТ ВНЧС – это полностью безопасная и безболезненная процедура, позволяющая обнаружить любые патологические изменения!
Пройти обследование в Москве можно в одном из медицинских центров холдинга «СМ-Клиника». Компания уже более 18 лет предлагает свои услуги, имеет в арсенале компетентных специалистов и новейшее диагностическое и лечебное оборудование. Качество подкреплено международными стандартами и обилием положительных отзывов довольных клиентов.
Все эксперты центра ведут не только практическую, но и научную жизнь, регулярно посещают конференции и проводят собственные исследования, направленные на совершенство методов обследования и терапии.
Записаться на КТ височно нижнечелюстного сустава и уточнить цену можно по телефону, указанному на сайте, или посредством заполнения контактной формы. Сотрудники кол-центра ответят на любые вопросы, подробно расскажут о процедуре и подберут наиболее удобное время для вашего визита.
После получения результатов можно посетить узкоспециализированного специалиста (стоматолога, челюстно-лицевого хирурга, ортопеда), который составит дальнейший план лечебно-диагностических мероприятий.
Запись на КТ височно-нижнечелюстного сустава
Раннее выявление серьезных заболеваний ВНЧС даст Вам возможность избавиться от недуга в короткие сроки, а во многих случаях – без хирургического вмешательства.
Узнать подробности проведения процедуры, цены КТ височно-нижнечелюстного сустава и записаться на обследование Вы можете по телефону:
Читайте также:
- Лучевые признаки перибронхиального интерстициального фиброза (ПИФ)
- Возбудитель первичного амебного менингоэнцефалита. Диагностика амебного менингоэнцефалита. Лечение амебного менингоэнцефалита.
- Обследование глаз
- Нарушения обмена пирувата
- Состояние голода и насыщения. Чувство голода. Чувство насыщения. Гиперфагия. Афагия.
