Лучевые признаки перибронхиального интерстициального фиброза (ПИФ)
Добавил пользователь Валентин П. Обновлено: 31.10.2025
Когда заживление протекает неправильно, могут возникать рубцовые изменения, приводящие к тому, что орган не может функционировать в полном объеме.
Соответственно, фиброз легких представляет собой рубцовые изменения ткани легких. Количество клеток, способных насыщать кровь кислородом, уменьшается. Следовательно, снижается дыхательная эффективность — развивается дыхательная недостаточность, приводящая к интоксикации, сначала при нагрузке, при усугублении течения заболевания — в покое, а далее — даже во сне. Рубцовая ткань в легких не только обладает пониженными функциональными свойствами, но и служит прекрасной средой для развития присоединенных инфекций, например, таких как бактериальная (пневмококковая или стафилококковая) пневмония.
Фиброз легких — это исход воспаления тканей во время интерстициального (то есть с поражением межклеточной соединительной ткани) заболевания легких. К причинам развития подобного заболевания могут относиться травмы легких, высокая загрязненность окружающей среды, курение, вдыхание наркотических веществ, плесени, органической, асбестовой, кварцевой и угольной пыли, инфекционные, аутоиммунные, вирусные заболевания и их осложнения — бронхит, туберкулез, пневмония, COVID-19 и многое другое.
Еще недавно синонимом самих интерстициальных заболеваний был пневмофиброз, но, к счастью, было установлено, что не все варианты таких заболеваний легких являются фиброзирующими.
Самый сложный и практически не поддающийся лечению — первичный, или идиопатический фиброз легких — быстро прогрессирующее фиброзирующее заболевание легких, причина которого неизвестна.
Симптомы фиброза легких
Легочный фиброз характеризуется симптомами одышки и сухого кашля (редко продуктивного — с мокротой) при физической нагрузке, непрекращающейся болью в области грудной клетки, быстрой утомляемостью на фоне затрудненного дыхания, похудением без изменения диеты. При аускультации легких (выслушивании с помощью фонендоскопа) выявляются ранние (в фазе вдоха) инспираторные, то есть дыхательные хрипы, чаще всего локализующиеся в нижних задних зонах легких.
Фиброз может развиваться как в одном легком, так и в двух одновременно. Также возможны очаговая и тотальная формы фиброза. При тотальной форме зачастую требуется оперативное вмешательство, так как поражена большая часть легких. При очаговой форме изменения носят локальный характер.
КТ-диагностика фиброза легких
Золотой стандарт диагностики фиброза легких — компьютерная томография высокого разрешения. КТ-диагностика легочного фиброза позволяет достоверно выявить степень поражения легких, определить локализацию рубцовой ткани. Этот метод диагностики признан одним из самых чувствительных неинвазивных методов выявления легочного фиброза. Так, проведенные сравнительные исследования уже в 1990 году показали, что фиброз легких с помощью компьютерной томографии в режиме высокого разрешения (КТВР) был обнаружен в 91% случаев и только в 39% — с использованием рентгенографии органов грудной клетки.
При наличии фиброза легких в серьезной стадии на КТ виден паттерн (термин, принятый для обозначения патологических признаков в медицине) так называемого «сотового» легкого — это состояние видно на сканах как однотипные, расположенные в несколько рядов кисты, содержащие воздух, в пораженных частях одного или обоих легких. На ранних стадиях легочного фиброза подобная картина не наблюдается, поэтому потребовался поиск признаков на КТ, позволяющих выявить болезнь в ее начале. Одним из таких признаков оказалось наличие на снимках картины «матового стекла» — очагов незначительного уплотнения легочной ткани. Также специфические признаки фиброза у пациента можно обнаружить при проведении КТ легких с функциональными пробами. Так, один из признаков — субплевральное усиление периферического легочного интерстиция — ранее считался признаком отсутствия патологии. Подобные изменения практически невозможно отследить при помощи других методов аппаратной диагностики.
На данный момент точность методов КТ-диагностики растет благодаря введению новых протоколов исследований и тщательного изучения результатов многочисленных исследований. При этом ведущая роль в диагностическом процессе отводится врачу-рентгенологу, который трактует видимые изменения как легочный фиброз или его отсутствие. Поиск ранних лучевых признаков фиброзирующей болезни легких — ключевой момент для своевременного назначения противофибротической терапии.
Также именно мультисрезовая КТ при поставленном диагнозе используется для оценки скорости прогрессирования заболевания, выявления благоприятного и неблагоприятного типов фиброзных изменений, успеха лечения и правильности подбора терапевтический препаратов.
Лучевые признаки перибронхиального интерстициального фиброза (ПИФ)
а) Терминология: 
• Перибронхиальный интерстициальный фиброз (ПИФ): повреждение дыхательных путей, обусловленное вдыханием или аспирацией 
• Наиболее типичные причины: гиперчувствительный пневмонит (ГП) и гастроэзофагеальная рефлюксная болезнь (ГЭРБ)
б) Визуализация: 
• Рентгенография: 
о Диффузные ретикулонодулярные изменения 
о Центральное и перибронховаскулярное (80%) распределение 
о Структурные нарушения 
о Небольшие центральные кольцевидные тени 
• КТ: 
о Утолщение стенок бронхов и тракционные бронхоэктазы 
о «Географические» участки «матового стекла» 
о Диффузная «мозаичная» картина и воздушные «ловушки» 
о Минимально выраженное «сотовое легкое» 
о Распределение: 
- Преимущественно центральное, с поражением нижних долей
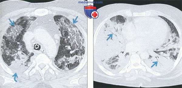
 (Слева) На аксиальной КТВР у пациента с перибронхиальным интерстициальным фиброзом определяется утолщение перибронхиальных тканей наряду с деформацией бронховаскулярных пучков и «мозаичной» картиной легочной ткани. 
(Справа) На аксиальной экспираторной КТВР у этого же пациента определяется «географическая» или «мозаичная» картина, обусловленная заболеванием периферических дыхательных путей. Обратите внимание на небольшой диаметр легочных сосудов в участках со сниженной плотностью. Наиболее типичными причинами перибронхиального интерстициального фиброза являются гиперчувствительный пневмонит и гастроэзофагеальная рефлюксная болезнь. (Слева) На аксиальной КТВР у пациента с перибронхиальным интерстициальным фиброзом определяется утолщение перибронховаскулярных тканей на фоне тракционных бронхоэктазов и слабо выраженной «мозаичной» картины. Обратите внимание на воздушные «ловушки» в пределах легочных долек. 
(Справа) На корональной КТ без КУ у этого же пациента визуализируются множественные участки «матового стекла» с преимущественно перибронховаскулярной локализацией. Обратите внимание на асимметричную «мозаичную» картину и очаги в виде «дерева в почках» в верхней доле правого легкого на ограниченном участке. 
в) Дифференциальная диагностика: 
• Гиперчувствительный пневмонит (2-я группа) 
• Хронический гиперчувствительный пневмонит «летнего» типа 
• Респираторный бронхиолит-интерстициальнэя болезнь легких 
• Саркоидоз 
• Идиопатический легочный фиброз 
• Неспецифическая интерстициальная пневмония
г) Патология: 
• Сочетанная воспалительная и фибротическая реакция 
• Поражение субплевральных отделов легких 
• Гистологическая картина неотличима от хронического гиперчувствительного пневмонита (2-я группа) без гранулем
д) Клинические особенности: 
• Некурящие женщины среднего возраста (40-50 лет) 
• Хронический кашель и медленно прогрессирующее диспноэ 
• Длительность обычно >1 года
Редактор: Искандер Милевски. Дата обновления публикации: 11.1.2022
Лучевые признаки интерстициальной пневмонии с аутоиммунными проявлениями
а) Терминология: 
• Интерстициальная пневмония, подтвержденная гистологически или на основании данных КТВР/КТ, не отвечающая ревматологическим критериям специфического заболевания соединительной ткани (ЗСГ), но с клиническими, серологическими, и морфологическими критериями аутоиммунного заболевания 
• Термин предложен рабочей группой Европейского Респираторного Общества и Американского Торакального Общества в 2015 году в связи с отсутствием соответствующей общепринятой терминологии
б) Визуализация: 
• Неспецифическая интерстициальная пневмония: ретикулярные изменения и/или «матовое стекло» с апикально-базальным градиентом 
• Организующаяся пневмония: двухсторонние участки консолидации или «матового стекла» с преимущественным поражением нижних субплевральных отделов легких 
• Лимфоидная интерстициальная пневмония: «географические» участки «матового стекла» или ретикулярные изменения; кисты легких 
• Обычная интерстициальная пневмония: «сотовое легкое» в субплевральных отделах с апикально-базальным градиентом
 (Слева) На аксиальной КТВР у женщины 55 лет с интерстициальной пневмонией с аутоиммунными проявлениями визуализируются множественные участки «матового стекла» в обоих легких с апикально-базальным градиентом. Пациентка не отвечает ревматологическим критериям какого-либо аутоиммунного заболевания. Тем не менее, у нее обнаруживаются антинуклеарные и анти-EJ антитела. 
(Справа) На аксиальной КТВР у этой же пациентки определяются двухсторонние участки «матового стекла» с преимущественным поражением базальных отделов, а также слабо выраженные тракционные бронхоэктазы. (Слева) На аксиальной КТВР у этой же пациентки в положении пациента лежа на животе сохраняются затемнения в виде «матового стекла» с преобладающей локализацией в базальных отделах. 
(Справа) На микрофотографии с малым увеличением (окраска гематоксилин-эозином) образца тканей, полученных у этой же пациентки, определяется легкое утолщение стенок альвеола, сопоставимое с целлюлярной неспецифической интерстициальной пневмонией (на ранней стадии) наряду с участками неизмененной легочной паренхимы. Обратите внимание на выраженную нодулярную лимфоидную гиперплазию, являющуюся морфологическим критерием интерстициальной пневмонии с аутоиммунными проявлениями. 
в) Дифференциальная диагностика интерстициальной пневмонии с аутоиммунными проявлениями: 
• Неспецифическая интерстициальная пневмония 
• Организующаяся пневмония 
• Лимфоидная интерстициальная пневмония 
• Идиопатический легочный фиброз 
• Заболевание соединительной ткани, ассоциированное с интерстициальным заболеванием легких
г) Клинические особенности: 
• Критерии: 
о Признаки интерстициальной пневмонии на КТВР/КТ или открытая биопсия легкого в анамнезе, и 
о Исключение альтернативных диагнозов и 
о Несоответствие критериям заболевания соединительной ткани и 
о Как минимум один признак из двух или трех основных (клинических, серологических, морфологических) 
• Отсутствует рекомендованная схема терапии; лечение назначается индивидуально
Видео изменения на КТ при интерстициальной пневмонии
а) Терминология:
1. Аббревиатура: 
• Перибронхиальный интерстициальный фиброз (ПИФ)
2. Синонимы: 
• Центрилобулярный фиброз 
• Идиопатическая бронхиолоцентрическая интерстициальная пневмония 
• Перибронхиолярная метаплазия
3. Определение: 
• Специфический вариант фиброза мембранозных и респираторных бронхиол 
• Реакция на различные внешние воздействия: 
о Гиперчувствительный пневмонит (ГП) (2-я группа) 
о Гастроэзофагеальная рефлюксная болезнь (ГЭРБ): 
- Грыжа пищеводного отверстия диафрагмы 
- Системный склероз на фоне общей вариабельной иммунной недостаточности (ОВИН) 
о Патологическая реакция на лекарственный препарат 
о Ингаляционное повреждение (пары химикатов) 
о Хроническая/рецидивирующая инфекция 
о Курение (<50%); может способствовать поражению дыхательных путей
б) Визуализация:
1. Общая характеристика: 
• Лучший диагностический признак: 
о Центральное и бронховаскулярное распределение
2. Рентгенография легких при перибронхиальном интерстициальном фиброзе: 
• Возможна норма 
• Характерные патологические изменения: 
о Утолщение стенок бронхов 
о Центральные кольцевидные тени 
о Структурные нарушения

 (Слева) На аксиальной КТ без КУ у пациента с перибронхиальным интерстициальным фиброзом определяется утолщение перибронховаскулярных тканей наряду с тракционными бронхоэктазами и воздушными «ловушками». Была выполнена криобиопсия, подтвердился перибронхиальный интерстициальный фиброз. 
(Справа) На аксиальной КТ без КУ у пациента с перибронхиальным интерстициальным фиброзом определяется утолщение перибронховаскулярных тканей. Края бронховаскулярных пучков неровные. Определяются также структурные нарушения и слабо выраженные участки «матового стекла» с нечеткими границами в верхней доле левого легкого. 
3. КТ легких при перибронхиальном интерстициальном фиброзе: 
• Чувствительность выше по сравнению с рентгенографией: 
о Предпочтительный метод визуализации 
• Ключевые находки: 
о Утолщение перибронховаскулярного интерстиция: 
- Утолщение стенок дыхательных путей 
о Тракционные бронхо- и бронхиолоэктазы 
о Ретикулярные изменения: 
- Во многих случаях сочетаются с «матовым стеклом» 
о «Сотовое легкое» (минимальные изменения) 
о «Географические» участки «матового стекла»: 
- Плохо отграниченные центрилобулярные очаги 
- «Матовое стекло» в сочетании с ретикулярными изменениями может приводить к появлению картины «сумасшедшей исчерченности» 
о «Мозаичная» картина легочной паренхимы: чередование участков различной плотности: 
- Воздушные «ловушки»: 
Мультилобулярные, «географические» 
- Вторичная вазоконстрикция: 
Гиповентиляция альвеол дистальнее зоны бронхиальной обструкции 
• Распределение: 
о Преимущественно центральное; поражение нижних долей
4. Рекомендации по визуализации: 
• Лучший метод диагностики: 
о КТВР/тонкосрезовая КТ

 (Слева) На аксиальной КТВР у пациента с перибронхиальным интерстициальным фиброзом определяется утолщение пе-рибронховаскулярных тканей наряду с неравномерным расширением дыхательных путей и тракционными бронхоэктазами, сопоставимыми с легким интерстициальным фиброзом. Обратите внимание на разбросанные воздушные «ловушки». 
(Справа) На корональной КТВР у этого же пациента определяются асимметричные структурные нарушения в верхней доле левого легкого, двухсторонняя «мозаичная» картина, утолщение стенок бронхов и тракционные бронхоэктазы. 
в) Дифференциальная диагностика перибронхиального интерстициального фиброза:
2. Хронический гиперчувствительный пневмонит «летнего» типа: 
• Наиболее типичная форма ГП в Японии 
• Реакция гиперчувствительности на Trichosporon asahii или Trichosporon mucoides 
• Рентгенография грудной клетки: диффузные ретикулонодулярные изменения
3. Респираторный бронхиолит-интерстициальное заболевание легких: 
• Практически все пациенты-курильщики 
• Поражение бронхиол в сочетании с кашлем, диспноэ, и «нежными» хрипами в конце выдоха над базальными отделами обоих легких 
• Прием кортикостероидов или отказ от курения обычно способствуют разрешению заболевания 
• Плохо отграниченные центрилобулярные очаги в верхних долях, легкое утолщение стенок бронхов, ретикулярные изменения с преимущественной локализацией в нижних долях, центрилобулярная эмфизема
4. Саркоидоз: 
• Высокий уровень спонтанных ремиссий 
• Перибронховаскулярное распределение, субплевральные очаги, лимфаденопатия 
• Преимущественное поражение верхних долей 
• При отсутствии симптомов лечение не показано
5. Идиопатический легочный фиброз: 
• Предполагается связь с курением 
• Преимущественное поражение средних и нижних отделов легких 
• Субплевральные ретикулярные изменения, тракционные бронхоэктазы, «сотовое легкое» 
• «Матовое стекло» менее типично 
• Прогноз неблагоприятный
6. Неспецифическая интерстициальная пневмония: 
• Ретикулярные изменения и «матовое стекло» в базальных отделах 
• Лимфоцитарная инфильтрация вокруг дистальных бронхиол: 
о В большинстве случаев плазматические клетки, эозинофилы, нейтрофилы отсутствуют 
о Лимфоцитарная инфильтрация и фиброз альвеолярных перегородок 
о Структурные нарушения 
о «Сотовое легкое»

 (Слева) На аксиальной КТВР у пациента с перибронхиальным интерстициальным фиброзом определяются двухсторонние асимметричные перибронховаскулярные участки снижения пневматизации в виде «матового стекла», центральные и периферические ретикулярные изменения. При наличии фиброза признаки структурных нарушений обычно выражены незначительно. В периферических отделах обоих легких визуализируются плохо отграниченные центрилобулярные очаги. 
(Справа) На аксиальной КТВР у этого же пациента определяется утолщение стенок бронхов и перибронховаскулярные участки консолидации с симптомом «воздушной бронхографии». 
г) Патология:
1. Общая характеристика: 
• Этиология: 
о Сочетанная воспалительная и фибротическая реакция 
о Большинство пациентов не являются курильщиками 
о Типичная этиология: 
- Япония: реакция гиперчувствительности на Trichosporon asahii или Trichosporon mucoides
2. Микроскопия: 
• Обособленная картина интерстициального фиброза: 
о Интерстициальный фиброз в сочетании с воспалением различной степени выраженности 
• Бронхиолоцентрический характер: 
о Центрилобулярное хроническое воспаление бронхиол: 
- Поражаются мембранозные и респираторные бронхиолы 
- Поражение интерстиция дистальных ацинусов 
о Утолщение перибронховаскулярного интерстиция 
о Отсутствие гранулем, эозинофилов; или гранул в цитоплазме, содержащих темный пигмент 
• Тракционные бронхо- и бронхиолоэктазы 
• Утолщение стенок дыхательных путей 
• Поражение субплевральных отделов 
• Микроскопическое «сотовое легкое» (в отдельных случаях) 
• Метаплазия эпителия бронхиол (ламбертоз): 
о Дистальное распространение респираторного эпителия в альвеолы 
• Гистологическая картина аналогична ГП: 
о Гранулемы отсутствуют: 
- Картина неотличима от хронического ГП (2-я группа) без гранулем
д) Клинические особенности:
1. Проявления: 
• Типичные признаки/симптомы: 
о Хронический кашель и медленно прогрессирующее диспноэ: 
- Обычно длительность > 1 года 
- Информация о воздействии причинного агента во многих случаях остается неизвестной даже после установления радиологического или патологического диагноза 
о Исключение ГП: 
- Уточнение рабочего и семейного анамнеза, хобби 
о Хроническая или рецидивирующая аспирация: 
- Необходимо исключить ГЭРБ 
- «Немая» бессимптомная аспирация 
- Может имитировать астму 
• Другие признаки/симптомы: 
о Дыхательная недостаточность, выраженная в различной степени 
о Рестриктивные изменения 
о Снижение ФЖЕЛ и форсированного объема выдоха в 1 секунду (ФОВ1) 
о Остаточный объем легких: снижение или норма 
о Десатурация при физической нагрузке 
о Снижение скорости тока газов в периферических дыхательных путях
2. Демография: 
• Женщины среднего возраста (40-50 лет)
3. Течение и прогноз: 
• Прогноз не определен в связи с недостатком наблюдений 
• Гистологические индикаторы неблагоприятного прогноза: 
о Степень выраженности фиброза: 
- Распространение фиброза на легочную паренхиму 
- «Сотовое легкое» 
о Фибробластические очаги организующейся ткани в дыхательных путях 
• Прогностические индикаторы КТВР: 
о Для пациентов с «сотовым легким» и тракционными бронхоэктазами характерна более низкая выживаемость 
• Течение заболевания: 
о Заболевание может прогрессировать несмотря на прекращение воздействия антигена 
о Более агрессивное течение (по сравнению с ГП) 
о Выживаемость выше по сравнению с идиопатическим легочным фиброзом 
о Высокий уровень смертности, если не выполнена трансплантация легкого
4. Лечение перибронхиального интерстициального фиброза: 
• Для диагностики требуется трансбронхиальная криобиопсия: 
о Для исключения саркоидоза, идиопатического легочного фиброза, респираторного бронхиолита-интерстициального заболевания легких 
• Эффективность лечения кортикостероидами находится под вопросом 
• Не определена роль противовоспалительных препаратов
е) Диагностическая памятка:
1. Следует учесть: 
• Перибронхиальный интерстициальный фиброз у любого пациента с ГП 
• Для установления диагноза требуется наличие клинических и лучевых признаков, и функциональных нарушений 
• При установлении гистопатологического диагноза хронического ГП (2-я группа) пациента необходимо обследовать на предмет перибронхиального интерстициального фиброза: 
о Уровень лимфоцитов при бронхоальвеолярном лаваже 
2. Советы по интерпретации изображений: 
• Рентгенография органов грудной клетки: 
о Перибронхиальные затемнения 
о Структурные нарушения 
• КТ: 
о Центральное и перибронховаскулярное распределение 
о Ретикулярные изменения 
о «Матовое стекло» 
о Воздушные «ловушки»
1. Аббревиатуры: 
• Острая интерстициальная пневмония (ОИП) 
• Диффузное альвеолярное повреждение (ДАП) 
• Острый респираторный дистресс-синдром (ОРДС)
2. Синоним: 
• Синдром Хаммена-Рича
3. Определение: 
• Идиопатическая интерстициальная пневмония неизвестной этиологии с гистологическими признаками ДАП, характеризующаяся быстрым прогрессированием дыхательной недостаточности 
• Критерии ОИП: 
о Острая респираторная симптоматика, приводящая к выраженной гипоксии и, в большинстве случаев, к острой дыхательной недостаточности 
о Рентгенография органов грудной клетки: затемнения в обоих легких 
о Отсутствие известной причины (инфекции, заболевание соединительной ткани, травма, застойная сердечная недостаточность, токсическое воздействие лекарств, и т.д.) 
о Гистологическая картина ДАП 
• ОРДС и ОИП не являются эквивалентными понятиями: ОИП-идиопатическая форма ОРДС, но не у всех пациентов с ОРДС возникает ОИП
1. Общая характеристика: 
• Лучший диагностический признак: 
о Диффузное затемнение всех отделов легочных полей на рентгенограмме 
о Обширные симметричные зоны «матового стекла» в сочетании с тракционными бронхоэктазами на КТ
2. Рентгенография легких при острой интерстициальной пневмонии: 
• Неспецифические диффузные двухсторонние и симметричные неоднородные затемнения 
• Без излюбленной локализации: поражаются все отделы легких 
• ИВЛ в анамнезе 
• Плевральный выпот/утолщение перегородок встречаются реже, чем при кардиогенном отеке 
• «Сотовое легкое» наблюдается редко (в поздней стадии)

 (Слева) На аксиальной КТ с КУ у мужчины 50 лет с отрой интерстициальной пневмонией(ранняя фаза) определяются диффузные участки снижения пневматизации в виде «матового стекла» в обоих легких на фоне утолщения междольковых перегородок (картина «сумасшедшей исчерченности»). 
(Справа) На аксиальной КТ с КУ у этого же пациента определяются обширные диффузные зоны «матового стекла» на фоне утолщения междольковых перегородок (картина «сумасшедшей исчерченности»). Обратите внимание, что лучевая картина напоминает отек легких, инфекцию, и диффузное альвеолярное кровотечение. 
3. КТ легких при острой интерстициальной пневмонии:
• Чувствительность КТ выше по сравнению с рентгенографией
• Общие признаки: 
о Преобладающие изменения: участки «матового стекла» и консолидации: 
- Распространенность: >50% легкого; «географическая» картина (2/3); диффузное поражение (1/3) 
- Часто изменения со стороны некоторых легочных долек отсутствуют («географическая» картина) 
- Распределение: 
Нижние отделы легких (40%) 
Верхние отделы легких (15%) 
- Симметричное поражение (типичное) 
- Может наблюдаться во всех гистологических фазах ОИП; отражает острое воспаление или фиброз 
- Более распространенные изменения в виде «матового стекла» (без тракционных бронхоэктазов) характеризуются лучшим прогнозом 
о Консолидация: 
- Поражение - Также наблюдается во всех гистологических фазах ОИП 
- Более выраженные изменения по типу «матового стекла» без тракционных бронхоэктазов прогностически могут быть более благоприятны 
о ОИП может прогрессировать с появлением изменений в субплевральных отделах легких, напоминающих фибротическую идиопатическую интерстициальную пневмонию: 
- Ретикулярные изменения и/или «сотовое легкое» в субплевральных отделах с апикально-базальным градиентом, тракционные бронхоэктазы
• Ранняя (экссудативная) фаза: 
о Двухсторонние участки «матового стекла» и/или консолидации 
о Передне-задний градиент 
о Расширение бронхов в участках с плотностью «матового стекла» может быть обусловлено тракционными бронхоэктазами или являться обратимым 
о Плевральный выпот (часто)
• Поздняя фаза (организации): 
о Грубые ретикулярные изменения 
о «Матовое стекло» и ретикулярные изменения: 
- Диффузные (чаще всего) 
- Просветления в гравитационно независимых отделах («сотовое легкое»/буллы) считаются связанными с фиброзом в зонах, менее защищенных от баротравмы (по сравнению с участками консолидации) 
- «Сотовое легкое» в субплевральных отделах нижних долей позволяет предположить обострение скрытого интерстициального заболевания легких, а не ОИП 
о Тракционные бронхоэктазы: 
- Поражение центральных > периферических дыхательных путей: 
Преимущественно сегментарных и субсегментарных 
- Выраженность тракционных бронхоэктазов обычно не сочетается с тяжестью ретикулярных изменений или «сотового легкого» 
- Прогноз менее благоприятный 
- Сохраняются длительное время 
о Структурные нарушения
• Осложнения: пневмония, абсцесс, пневмоторакс, пневмомедиастинум, интерстициальная эмфизема легких
• Последствия ОИП: 
о Гиподенсные фокусы, кисты легких, ретикулярные изменения, структурные нарушения в гравитационно независимых отделах легких
4. Рекомендации по визуализации: 
• Лучший метод диагностики: 
о КТ для оценки диффузного поражения легких

 (Слева) На аксиальной КТ с КУ у мужчины 57 лет с острой интерстициальной пневмонией (ранняя стадия) визуализируются множественные участки «матового стекла» и консолидации. Обратите внимание на нарастание выраженности изменений по направлению к задним отделам легких, где находятся наиболее обширные участки консолидации. 
(Справа) На аксиальной КТ с КУ у этого же пациента в базальных отделах легких определяются обширные участки консолидации с симптомом «воздушной бронхографии», наиболее выраженные в дорзальных отделах легких (передне-задний градиент). 
в) Дифференциальная диагностика острой интерстициальной пневмонии:
1. Острый респираторный дистресс-синдром: 
• Известная причина (явная или опосредованная) 
• Консолидация >«матовое стекло» 
• «Сотовое легкое» реже встречается при ОРДС 
• Чаще протекает бессимптомно, интактные участки легочной ткани могут быть обширнее, чем при ОИП 
• Чаще наблюдается утолщение перегородок
2. Пневмоцистная пневмония: 
• Симметричные зоны «матового стекла» 
• Иммуносупрессия, СПИД, длительная терапия кортикостероидами
3. Обострение интерстициального заболевания легких: 
• Редкое состояние: 
о Критерии: диспноэ в течение месяца, появление диффузных затемнений в легких, нарастание гипоксемии (минимум 10 мм рт. ст.), отсутствие признаков инфекции или сердечной недостаточности 
• Диффузные «географические» участки «матового стекла» на фоне характерной картины идиопатического легочного фиброза 
• «Сотовое легкое» выражено значительнее по сравнению с «матовым стеклом» 
• Прогноз неблагоприятный
4. Диффузное альвеолярное кровотечение: 
• Диффузные участки «матового стекла», во многих случаях разрешающиеся в ретикулярные изменения 
• Могут обнаруживаться признаки легочного фиброза, обычно только при повторных эпизодах 
• Анемия и кровохарканье (80%)
5. Гидростатический отек легких: 
• Двухсторонние альвеолярные затемнения 
• Кардиомегалия 
• Плевральный выпот 
• Сердечная недостаточность в анамнезе
6. Десквамационная интерстициальная пневмония: 
• Менее выраженная симптоматика; ИВЛ не требуется 
• Интенсивное курение 
• Диффузные зоны «матового стекла», отсутствие тракционных бронхоэктазов
7. Инвазивная муцинозная аденокарцинома: 
• Диффузные участки «матового стекла» в обоих легких 
• Отсутствие признаков фиброза (структурных нарушений, тракционных бронхоэктазов) 
• Постепенное начало и прогрессирующие течение, ИВЛ не требуется

 (Слева) На аксиальной КТ с КУ у этого же пациента три месяца спустя определяется разрешение затемнений в легких с исходом в ретикулярные изменения. Зоны фиброза обычно располагаются в гравитационно независимых отделах легких, которые, как предполагается, более подвержены баротравме по сравнению с участками консолидации в дорзальных отделах легких. 
(Справа) На аксиальной КТ с КУ у этого же пациента (в поздней стадии) определяется разрешение участков консолидации легочной ткани с формированием ретикулярных изменений и тяжей неправильной формы. 
1. Общая характеристика: 
• Этиология: 
о Идиопатическое заболевание 
• Временная однородность позволяет предположить, что патологические изменения обусловлены единовременным воздействием 
• ОИП не является патологическим диагнозом 
• ДАП - гистологическое проявление ОИП, но может наблюдаться и при других заболеваниях: 
о Инфекции (22%): 
- Mycoplasma pneumoniae, вирусы, легионеллы, пневмоцисты 
о Трансплантация костного мозга (17%) 
о Обострение идиопатического легочного фиброза (16%) 
о Заболевания соединительной ткани (16%): системная красная волчанка, ревматоидный артрит 
о Лекарственно-индуцированное поражение (10%): блеомицин, бусульфан, кармустин, гемцитабин, крэк-кокаин, метотрексат, нитрофурантоин 
о Токсины (<5%): двуокись азота, паракват, хлор, кислород (в токсической концентрации) 
о Аспирация
2. Микроскопия: 
• Острая экссудативная фаза (первая неделя): 
о Отек 
о Геморрагическая жидкость в воздушных пространствах 
о Некроз пневмоцитов 1 типа 
о Гиалиновые мембраны [не обнаруживаются при обычной интерстициальной пневмонии (ОИП) или криптогенной организующейся пневмонии] 
• Пролиферативная фаза (после второй недели): 
о Пролиферация пневмоцитов 2 типа 
о Преобладание фибробластов над коллагеном 
• Фибротическая фаза: 
о Фиброз альвеол и интерстиция (в некоторых случаях тяжелый) 
• Преобладание фибробластов над коллагеном (в отличие от ОИП)
1. Проявления: 
• Типичные признаки/симптомы: 
о Гриппоподобные симптомы за 7-14 дней до появления развернутой клинической картины: головная боль, миалгия, боль в горле, недомогание, сухой кашель, лихорадка 
о Гипоксемия: среднее парциальное давление кислорода 45 мм рт. ст. 
о ОИП часто предполагают у пациентов с пневмонией, плохо поддающейся антибиотикам 
о Острый дебют (1-3 недели): 
- У 50% пациентов симптоматика развивается в течение недели после дебюта заболевания 
- У 25% пациентов заболевание характеризуется индолентным течением, симптоматика развивается в течение 30 дней после дебюта 
- Быстро прогрессирует с развитием дыхательной недостаточности; часто требуется ИВЛ 
- В 90% случаев отвечает клиническим критериям ОРДС 
• Другие признаки/симптомы: 
о Пальцы в виде «барабанных палочек» свидетельствуют о предшествующем интерстициальном заболевании легких
2. Демография: 
• Возраст: 
о Средний возраст: 50-55 лет 
• Пол: 
о М = Ж
3. Течение и прогноз: 
• Прогноз неблагоприятный, уровень смертности обычно >50%, большинство пациентов погибают в течение двух месяцев после дебюта заболевания 
• У выживших пациентов возможно полное восстановление дыхательной функции: 
о Часто наблюдается стабильная персистирующая рестриктивная картина 
о Возможен рецидив (редко)
4. Лечение острой интерстициальной пневмонии: 
• Эффективное лечение отсутствует 
• Эффективность кортикостероидов варьирует (обычно низкая) 
• Основной остается поддерживающая терапия: 
о Средняя продолжительность ИВЛ 30 дней
е) Диагностическая памятка. Следует учесть: 
• ОИП у пациентов с быстрым развитием респираторной симптоматики и дыхательной недостаточности в отсутствие явной причины или предрасполагающего заболевания, и с обширными симметричными затемнениями в виде «матового стекла» на диагностических изображениях
Видео симптомы матового стекла, консолидации на рентгенограмме, КТ в дифференциации интерстициальной пневмонии
Читайте также:
