Лечение болезни Альцгеймера. Симптоматическая терапия болезни Альцгеймера.
Добавил пользователь Евгений Кузнецов Обновлено: 19.12.2025
Болезнь Альцгеймера — это прогрессирующая форма нейродегенеративного расстройства, приводящего к нарушению нейронных связей и отмиранию клеток головного мозга. Указанные изменения вызывают слабоумие и потерю дееспособности. Заболевание чаще всего встречается у лиц преклонного возраста, но зафиксированы случаи и среди молодых людей.
Признаки болезни Альцгеймера: рассеянность, постоянные провалы в памяти (пациент забывает, куда положил свои вещи, что покупал, где живет), повторение одних и тех же рассказов, нарушение концентрации внимания, раздражительность, сонливость или бессонница, проблемы с устной и письменной речью.
Диагностировать патологию помогает сбор анамнеза. Специалист назначает проведение аппаратных исследований: ПЭТ, ЭЭГ, КТ или МРТ. Дополнительно проводят лабораторные исследования: анализ крови, генно-молекулярный анализ.
Альцгеймер относится к неизлечимым видам болезней. Терапия состоит из приема медикаментов в сочетании с психосоциальной методикой поддержания и стабилизации пациента.

Причины возникновения
Факторы, вызывающие деменции, остаются загадкой, и до сегодняшнего дня ученые не определили точную причину, дающую толчок развитию заболевания. Доподлинно известно только то, что у человека нарушаются обменные процессы в коре головного мозга. Из-за этого происходит накопление вредных веществ — бета-амилоидов (сенильных бляшек) и тау-белка.
Вышеперечисленные предположения стали основой трех теорий, которые объясняют этиологию развития патологии.
- Холинергическая гипотеза утверждает, что деменции начинают образовываться из-за снижения синтеза ацетилхолина, именно он несет ответственность за передачу соответствующих импульсов из коры головного мозга в мышечные структуры. Гипотеза подвергается критике из-за того, что восстановление уровня содержания основного вещества в организме человека не препятствует развитию патологии.
- Амилоидная гипотеза настаивает на том, что причина возникновения дегенерации тканей начинается с отложения бета-амилоидных пептидов. Они выполняют защитную функцию. При нарушении процесса обмена полезные вещества превращаются в компоненты, которые наносят вред.
- Теория Тау рассматривает последовательность в цепочке нарушений, связанных с отклонениями в структуре тау-белка, который начинает проявлять несвойственную ему функциональность и уничтожает нейроны.
Не стоит исключать и генетическую предрасположенность: если у кого-то из близких родственников имелся в анамнезе такой диагноз, то велика вероятность его появления и у наследника.
Мнение эксперта
Автор: Георгий Романович Попов
Врач-невролог, кандидат медицинских наук
Болезнью Альцгеймера страдают по большей части люди пожилого возраста от 65 лет. Чем старше человек, тем выше шанс развития данного заболевания. В возрастной группе от 80 до 85 лет насчитывается до 40% пострадавших. Такой вид деменции носит дегенеративный характер и не поддается лечению. Процесс разрушения клеток мозга в скором времени проявится в виде слабоумия, а самолечение без профессионального осмотра может усугубить положение.
Диагностировать болезнь самостоятельно на раннем этапе не предоставляется возможным. А откладывание похода к врачу может отрицательно сказаться на состоянии больного из-за высокой скорости развития этого вида деменции. Для точного определения диагноза необходимо применение специальной аппаратуры и консультации врачей-неврологов. Специально подготовленные тесты помогут установить причины заболевания и сформировать оптимальный курс лечения. Такие условия предлагает Юсуповская больница. Качественная помощь от ведущих врачей позволит сдерживать патологические процессы, что даст больному возможность вести нормальный образ жизни.
Симптомы и признаки болезни Альцгеймера
Признаки Альцгеймера прогрессируют медленно. Первые симптоматические проявления деменции появляются задолго до подтверждения диагноза. Выделяют четыре стадии недуга.
- Предеменция. Обнаруживается сложно, так как ее можно ошибочно принять за стресс. Человек испытывает чувство усталости, снижается память (больной не может запомнить список из нескольких наименований, плохо усваивает информацию), исчезает интерес к жизни, появляется замкнутость и апатия.
- Ранняя деменция. Симптоматика осложняется дефектами речи: забываются названия предметов быта, снижается скорость речи, сокращается словарный запас, происходит путаница похожих слов, ухудшается почерк. Именно в это время больной обращается в клинику.
- Умеренная деменция. Характеризуется затруднениями в построении логических связей. Человек одевается не по погоде, теряется в пространстве, не помнит, как дойти домой, не знает свой адрес, забывает родных и себя самого. Появляется плаксивость, агрессия, нарушается долговременная память.
- Тяжелая деменция. Человек полностью деградирует, он не способен управлять физиологическими процессами в организме, не в состоянии самостоятельно принимать пищу.
С таким диагнозом при правильном уходе человек может дожить до глубокой старости. В России и в зарубежных странах для таких пациентов существуют специальные клиники и пансионаты, где больным помогают адаптироваться, вспомнить элементарные навыки самообслуживания.
Признаки болезни Альцгеймера на ранней стадии
Ранние симптомы болезни Альцгеймера не всегда заметны, чаще на них не обращают внимания. К ним относят:
- речевые изменения — фразы плохо связываются между собой, язык становится бедным, а разговор пустым;
- длительный сон — значительно усугубляет проблемы с памятью, очень важно при таком заболевании, чтобы ночной сон длился не более 6-7 часов;
- поведенческие изменения — у человека меняется характер, привычки, возникают трудности с принятием решения и планированием дня;
- нечувствительность к боли — сильную болезненность пациент описывает как легкий дискомфорт;
Признаки болезни Альцгеймера в пожилом возрасте
Люди преклонного возраста часто скрывают наличие проблем со здоровьем, поэтому стоит обратить внимание на:
- кратковременную память: как часто пожилые люди забывают информацию, теряют вещи или не помнят, где они лежат;
- бессонницу ночью и сонливость днем;
- нетвердую походку;
- утрату интереса к привычным и любимым занятиям: рыбной ловле, вязанию, вышиванию;
- проблемы с разговорной и письменной речью: значимые слова замещаются местоимениями, мозг теряет способность четко мыслить — отмечаются пространные размышления;
- изменения в характере: излишняя подозрительность, нервозность, навязчивые поучения;
- гипертрофированное чувство доверчивости и наивность толкают больных Альцгеймером на необдуманные поступки (могут отдавать деньги мошенникам);
- неаккуратный внешний вид.
На первых этапах развития недуга пожилые люди не требуют постоянного контроля и внимания. Когда симптоматика прогрессирует, а признаки деменции усугубляются, пациентам необходим специальный уход.
Симптомы болезни Альцгеймера у молодых
Склонность к развитию заболевания можно определить после прохождения молекулярно-генетического анализа. Научно доказано существование пяти основных участков в геноме человека, провоцирующих проблемы с обменом веществ и несущих смерть нейронам. Они располагаются на 1, 12, 14, 19 и 21 хромосомах. Мутационные изменения на этих участках способствуют накоплению отрицательного амилоида и тау-белка.
У ребенка с генными аномалиями такого плана часть мозга, отвечающая за память, меньше на 6%, чем у здорового малыша. Со временем эта часть уменьшается до критической отметки.
Наличие синдрома Дауна у ребенка значительно увеличивает риск развития Альцгеймера, симптоматика обнаруживается не сразу в связи со спецификой первичного заболевания. Такие дети изначально отстают в развитии, у них плохая память, внимание, низкая адаптация.
У детей с синдромом Дауна быстрей происходит старение организма, соответственно, изменения в области головного мозга выступают подстегивающим фактором. Практически у всех таких детей по достижению 40 лет диагностируется Альцгеймер.
Признаки Альцгеймера у женщин
По статистическим данным женская часть населения больше подвержена сенильному слабоумию, чем мужчины, большинство из которых просто не доживают до 70-80 лет. У женщин после менопаузы снижается выработка эстрогена, который способствует регулировке метаболизма в мозге. Поэтому их организм больше склонен к накапливанию отрицательных веществ, несущих смерть нейронам.
Признаки Альцгеймера у мужчин
Ранние признаки болезни Альцгеймера у представителей полов отличаются:
- женщины испытывают проблемы с памятью, вниманием, реакцией, логическими связями между предметами;
- мужчины первоначально сталкиваются с речевыми отклонениями и затруднениями в движениях и моторике.
Эти данные предоставила исследовательская группа на Международной конференции в Торонто. Было обследовано более 1000 человек, посмертная экспертиза которых указала на некоторые расхождения в симптоматике.
Прогноз болезни Альцгеймера
Значительная часть пациентов живет от 5 до 14 лет. Поэтому очень важно выявить патологию на раннем этапе развития, что поможет увеличить срок жизни до максимально возможной отметки.
С помощью специальных методик и лекарственных препаратов можно сдерживать аномальные изменения в тканях головного мозга и улучшить качество жизни.
Диагностика
Стоит выделить основные методы обследования пациентов с подозрением на сенильное слабоумие.
- Нейропсихологические тесты. Они заключаются в выполнении определенных действий, направленных на способность запоминания, пересказ прочитанного, несложные вычисления. Проверяется степень ориентирования во времени и пространстве.
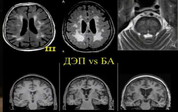
- Магнитно-резонансная томография (МРТ) предоставляет более точные данные, определяет зоны и площадь поражения участков в головном мозге, а именно присутствие бляшек, структурные нарушения. Для установления динамики дегенеративных нарушений МРТ проводят до трех раз с перерывами в месяц.
- Компьютерная томография (КТ) — назначается редко и только тогда, когда площадь поражения отчетливо заметна.
- Позитронно-эмиссионная томография (ПЭТ) — современный способ диагностики, с его помощью можно выявить заболевание на стадии предеменции.
- Электроэнцефалография (ЭЭГ) — назначается по необходимости.
- Лабораторные процедуры — сдается анализ крови (общий, биохимический), а также выявляется наличие генных мутаций.
Специалисты отмечают, что при наличии сопутствующих недугов — сахарного диабета, высокого уровня холестерина в крови, артериальной гипертензии — течение Альцгеймера прогрессирует более стремительно.
Лечение
Доступные методы терапии не могут излечить Альцгеймер, они способны лишь улучшить качество жизни больного, снизить симптоматические проявления.
Чаще всего назначают мемантин и антихолинэстеразные средства. С их помощью можно поддержать защиту нейронов от гибели. Есть несколько побочных эффектов: сильные приступы головной боли, головокружение, галлюцинации.
Ингибиторы холинэстеразы никак не показали себя, кроме того, что на фоне их приема происходит снижение веса, появление гастрита и мышечных спазмов. Они не замедляют течение недуга и не укрепляют здоровье.
Если поведение пациента агрессивное и антисоциальное, то ему назначают антипсихотики, но их стоит принимать только в крайних случаях. По данным медицинских исследований, их прием может привести к двигательным расстройствам, снижению когнитивной функции, также они в разы повышают смертность.
К психосоциальным методам лечения стоит отнести арт-лечение, которое направлено на полное расслабление. Такая терапия помогает пациенту успокоиться, снижает агрессию, улучшает концентрацию и настрой.
Профилактика и прогноз
Болезнь Альцгеймера в преклонном возрасте прогрессирует медленно — от 5 до 14 лет, если обнаруживается раньше (в 40 лет), развивается стремительно. В этом случае третий-четвертый этап наступает на второй год после подтверждения диагноза. Однако правильно подобранное лечение может продлить жизнь такого больного до 10 лет.
Замедлить развитие симптоматических проявлений помогу следующие мероприятия:
- здоровый образ жизни;
- качественное и сбалансированное питание;
- занятия спортом (лечебная гимнастика, йога, бег, пешие прогулки, плавание);
- интеллектуальный труд.
Ученые доказали: чем выше показатели IQ, тем больше количество устойчивых нейронов. Человеку с генетической предрасположенностью следует тренировать память, мышление, логику. В этом хорошо помогают ребусы, головоломки, кроссворды, живое общение, наличие интересов. Стоит начать играть в шахматы.
Следует полностью пересмотреть свою жизнь, отказаться от вредных привычек, отдавать предпочтение здоровой пище (с высоким содержанием Омега-3), следить за весом и уровнем холестерина в крови.
Болезнь Альцгеймера - симптомы и лечение
Что такое болезнь Альцгеймера? Причины возникновения, диагностику и методы лечения разберем в статье доктора Поляковой Татьяны Акимовны, невролога со стажем в 13 лет.
Над статьей доктора Поляковой Татьяны Акимовны работали литературный редактор Елена Бережная , научный редактор Сергей Федосов
Определение болезни. Причины заболевания
Болезнь Альцгеймера — это хроническое нейродегенеративное заболевание, с медленным началом и значительным ухудшением с течением времени. В 70 % случаев болезнь Альцгеймера приводит к деменции.

Этиология. Факторы риска
Заболевание на данный момент изучено плохо. Предполагается, что в 70% случаев болезнь Альцгеймера объясняется генетическими причинами, например недавно обнаружено, что риск развития заболевания выше у женщин с аллелем APOE ε4 (мутация в гене MGMT) [15] . С реди других факторов риска — черепно-мозговые травмы, депрессия, эндокринные заболевания в анамнезе (гипотиреоз), эстрогенная недостаточность у женщин.
Сопутствующие заболевания
Исследования последних лет показывают, что усиливают предрасположенность к болезни Альцгеймера гипертония, гиперлипидемия, гипергомоцистеинемия, сахарный диабет, метаболический синдром, инсулинорезистентность, заболевания сердца, а также наличие в истории болезни инсульта [1] .
Статистические данные
Болезнь Альцгеймера — наиболее распространённая форма деменции, она встречается в 60–70 % случаев. В мире деменцией страдают около 50 миллионов человек, каждый год выявляется 10 миллионов новых случаев [12] .
В развитых странах болезнь Альцгеймера является одним из наиболее дорогостоящих заболеваний. В России затраты на содержание больных деменцией составляют 74,8 млрд рублей в год [2] .
Распространённость и факторы риска
Заболевание более распространено среди женщин. Предположительно, это связано со следующими факторами:
- продолжительность жизни женщин больше, чем мужчин, а возраст — самый значимый фактор риска развития болезни Альцгеймера;
- риск развития болезни увеличивается на 70 % для людей с депрессией, у женщин она встречается чаще;
- более низкий уровень образования связан с повышенным риском деменции, в некоторых странах у женщин уровень образования ниже, чем у мужчин;
- при беременности часто возникают гипертонические расстройства, они связаны с повышенным риском ухудшения когнитивных функций даже спустя десятилетия после беременности [13] .
При обнаружении схожих симптомов проконсультируйтесь у врача. Не занимайтесь самолечением - это опасно для вашего здоровья!
Симптомы болезни Альцгеймера
Признаки болезни Альцгеймера на ранней стадии часто ошибочно принимаются за нормальные признаки старения.
Кратковременная потеря памяти — наиболее распространенный ранний симптом болезни Альцгеймера, который выражается в том, что больному трудно запоминать последние события. В трети случаев заболевание можно распознать по изменениям поведения.
По мере усугубления болезни возникают следующие симптомы:
- проблемы с речью;
- дезориентация;
- перепады настроения;
- потеря мотивации;
- снижение критики;
- больные не в состоянии вспомнить нужное слово, и им приходится заменять его другим (парафазии), однако они хорошо повторяют сказанное.
- со временем возникают затруднения при назывании предметов (аномии).
- уже на ранней стадии возникают трудности с пониманием сложных грамматических структур (семантическая афазия), к которому затем присоединяется отчуждение смысла слова. [3]
Важный признак болезни Альцгеймера — нарушение способности справляться с повседневностью. При заболевании возникают проблемы с самообслуживанием и поведенческие расстройства.
Признаки болезни Альцгеймера у мужчин и женщин
Признаки болезни Альцгеймера у женщин и мужчин схожи, однако у женщин она чаще сопровождается депрессией.
Патогенез болезни Альцгеймера
Существуют отличительные патоморфологические признаки болезни Альцгеймера: амилоидные (сенильные) бляшки — это внеклеточные отложения в виде скопления фрагмента белка, называемые бета-амилоидом; нейрофибриллярные клубочки — скрученные микроскопические нити тау-белка внутриклеточной локализации. Происходит потеря связи между клетками мозга, ответственными за память, обучение и общение. Эти соединения, или синапсы, передают информацию из клетки в клетку. Важная роль в патогенезе принадлежит воспалительному процессу, связанному с активацией микроглии, которая инициируется накоплением амилоида. [1]
Патофизиология болезни Альцгеймера:

Макроскопически выявляется диффузная атрофия головного мозга с уменьшением объёма извилин и расширением боковых борозд, наиболее выраженная в височно-теменной области.
У значительной части больных цереброваскулярная патология может инициировать или усиливать дегенеративный процесс, связанный с отложением амилоида или другими характерными для заболевания изменениями.
Классификация и стадии развития болезни Альцгеймера
Типичный фенотип болезни Альцгеймера — сочетание выраженных мнестических нарушений гиппокампального типа с акустико-мнестической афазией, зрительно-пространственными нарушениями и апраксией. [3]
Три атипичных фенотипа болезни Альцгеймера (неамнестических):
- с ведущим афатическим дефектом (логопенический вариант первичной прогрессирующей афазии);
- с доминирующими зрительно-пространственными нарушениями (задняя корковая афазия);
- преимущественно с дизрегуляторными нарушениями (лобный вариант болезни Альцгеймера).
Заболевание также подразделяется на формы с ранним началом, зачастую с положительным семейным анамнезом (до 65 лет) и поздним началом (старше 65 лет). Они отличаются патогенезом, генетическими факторами и разной скоростью прогрессирования.

Три стадии болезни Альцгеймера:
Первая (предеменция, ранняя деменция): больные обслуживают себя сами, но им нужна помощь для решения финансовых вопросов, приготовления пищи и т. д.
Вторая (умеренная деменция): зависимость от посторонней помощи растет — больные не способны самостоятельно одеться, осуществить гигиенические процедуры, долго оставаться дома без присмотра.
Третья (тяжёлая деменция): больные не могут выполнить ни одно из привычных повседневных действий без помощи других людей.
Переход от одной стадии к другой коррелирует со снижением оценки по MMSE (Краткая шкала психического статуса), которая является надежным инструментом для отслеживания динамики заболевания.
Осложнения болезни Альцгеймера
Продолжительность жизни людей с болезнью Альцгеймера после установления диагноза обычно колеблется от трех до десяти лет. Более четырнадцати лет после установления диагноза живут менее 3% больных. Уменьшение выживаемости связано с тяжелыми когнитивными нарушениями, снижением уровня физической активности, частыми падениями и нарушениями в неврологическом статусе. Сопутствующие соматические заболевания также влияют на продолжительность и качество жизни при болезни Альцгеймера. Пневмония и обезвоживание — наиболее частые непосредственные причины смерти, вызванной болезнью Альцгеймера. Кроме того, чем старше возраст, тем выше общий возраст выживаемости. У мужчин прогноз менее благоприятен по сравнению с женщинами.
Диагностика болезни Альцгеймера
Трудности ранней диагностики болезни Альцгеймера во многом объясняются "маскированным" характером заболевания в этот период, когда отсутствуют явные внешние признаки деменции. Для постановки диагноза, определения тактики ведения пациента необходимо выявить характер и выраженность когнитивных нарушений.
Нейропсихологический тест
Основной метод оценки когнитивных функций — нейропсихологическое обследование, которое проводит врач, обученный данным методам исследования. В некоторых странах практикуется обследование больных их родственниками с помощью шкал для оценки когнитивных функций: монреальской когнитивной шкалы, Адденбрукской, шкала краткого исследования психических функций MMSE.
Биомаркеры болезни Альцгеймера
Молекулярная диагностика на ранней стадии заболевания также создаёт перспективы для раннего назначения лечения болезни Альцгеймера. Определение биомаркеров в плазме является менее инвазивной альтернативой для диагностики болезни Альцгеймера. Биомаркеры классифицируются на биомаркеры накопления амилоида и биомаркеры нейродегенерации. Основные биомаркеры отражают патологию амилоида (внеклеточное накопление Aβ1-40/1-42) или внутриклеточные включения нейрофибриллярных клубочков (гиперфосфорилированного тау). [4] [5]
Согласно рекомендациям 4-го Канадского консенсуса по диагностике и лечению деменции и рациональному использованию биомаркеров для диагностики болезни Альцгеймера и других деменций (CCCDTD4, 2011): [6]
1. Определение биомаркеров цереброспинальной жидкости не рекомендуются для диагностики болезни Альцгеймера с типичной клинической картиной (2А уровень).
2. Исследование биомаркеров не рекомендуется для скрининга здоровых людей с целью оценки риска развития болезни Альцгеймера в будущем (уровень 1В).
3.Биомаркеры цереброспинальной жидкости можно рассматривать в особых случаях, когда есть атипичные признаки или диагностические трудности при дифференциальной диагностике лобного варианта болезни Альцгеймера от лобно-височной деменции, а также случаи первично прогрессирующей афазии как следствие болезни Альцгеймера или лобно-височной дегенерации (уровень 2В).
МРТ и КТ головного мозга
Современные методы нейровизуализации — магнито-резонансная томография и компьютерная томография головного мозга — позволяют расширить диагностические возможности прижизненной диагностики болезни Альцгеймера.
МРТ и КТ проводят для выявления поддающихся лечению причин деменции и нарушений, которые могут усугубить симптомы. Структурные изменения по данным магнитно-резонансной томографии являются более прогностически значимыми для дальнейших изменений в когнитивной сфере, чем биомаркеры цереброспинальной жидкости. По данным магнитно-резонансной томографии, признаки цереброваскулярного заболевания, такие как лейкоареоз и множественные подкорковые лакунарные инфаркты, чаще наблюдаются у пациентов с болезнью Альцгеймера, чем в контрольной группе. [7] Асимметричная атрофия медиальных отделов височной доли также не исключает сосудистую деменцию.

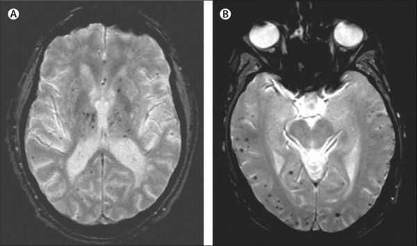
Описана смешанная модель патогенеза болезни Альцгеймера, которая предполагает взаимодействие церебральной амилоидной ангиопатии с сосудистыми факторами на ранних стадиях патологического процесса. Предполагается, что синергия между накоплением амилоида и цереброваскулярной патологией может инициировать дальнейшую дисфункцию нейронов и нейродегенерацию. [8] В этом отношении церебральные микрокровоизлияния, выявляемые в режиме Т2 градиентного эхо на магнитно-резонансной томографии, являются дополнительным и доступным диагностическим маркером, повышающим диагностическую значимость лейкоареоза и свидетельствующим в пользу церебральной амилоидной ангиопатии или гипертонической микроангиопатиии, особенно в случаях смешанной патологии и тяжелого когнитивного дефицита.
Локализация церебральных микрокровоизлияний является дифференциально-диагностическим признаком ведущего патологического процесса. В случае болезни Альцгеймера наблюдается корковая локализация микрокровоизлияний, в случае дисциркуляторной энцефалопатии или сосудистой деменции будут визуализироваться микрокровоизлияния в глубинных отделах мозга. [9] [10]

Одним из наиболее перспективных методов диагностики болезни Альцгеймера является позитронно-эмиссионная томография с лигандом, который связывается с амилоидом (PiB), однако накопление амилоида и захват соответствующего лиганда нарастают на стадии умеренных когнитивных нарушений, но после конверсии в деменцию дальнейшего накопления не происходит. [11]
Лечение болезни Альцгеймера
Болезнь Альцгеймера пока не поддается лечению. Но благодаря группе новых препаратов и симптоматическому лечению Альцгеймера можно сделать так, что снижение интеллекта больных будет более постепенным.
Лекарства
К таким средствам относятся:
- ингибиторы холинэстеразы (донепезил, ривастигмин, галантамин)
- блокаторы NMDA-глутаматных рецепторов (акатинол-мемантин).
Облегчение расстройств психики и поведения, сопровождающих болезнь Альцгеймера
С целью лечения сопутствующих расстройств психики и поведения используются также антидепрессанты и нейролептики.
Поддерживающие методы
Существуют и нелекарственные методы воздействия — тренировки интеллектуальных функций. Нейропсихологическая реабилитация позволяет стимулировать к развитию новых нейронный сетей, обучая рабочие нервные клетки.
Специальная диета при болезни Альцгеймера не требуется: питание не влияет на развитие заболевания.
Прекращение лечения
Причиной для прекращения приёма антидементных препаратов может стать выраженная брадикардия, но это осложнение возникает крайне редко.
Рекомендации для ухаживающих за близкими с болезнью Альцгеймера
При уходе за больным человеком важно организовать для него безопасное и удобное пространство.
Также важно внимательно выбирать обувь и одежду.

Такими занятиями могут быть:
- прогулки;
- общение с домашними животными;
- уход за растениями;
- наблюдения за рыбками в аквариуме;
- прослушивание радиопередач и музыки;
- творчество, например лепка и живопись;
- чтение книг, при невозможности это могут делать близкие люди вслух.
Ухаживая за больным, не следует игнорировать своё здоровье. Пациенту нужно обеспечить нормальное питание, режим, активный образ жизни — это в полной мере относится и к близким больного человека.
Где обеспечивают уход при болезни Альцгеймера
Государственных специализированных пансионатов по уходу за людьми с болезнью Альцгеймера в нашей стране пока нет.
Прогноз. Профилактика
С увеличением осведомлённости общества о деменции будет расти и потребность в помощи по уходу, понадобятся значительные затраты для её организации. Пока же преобладает в основном неформальная помощь в семьях. Усилия по улучшению качества и доступности помощи потребуют вложений в меры первичной профилактики, и возможно, это позволит контролировать "эпидемии" деменций в разных регионах мира. В качестве основных мишеней первичной профилактики рассматриваются улучшение образования и устранение сосудистых факторов риска.
Профилактика
На сегодняшний день одной из основных целей профилактики является создание различных новых форм внебольничной помощи пациентам пожилого и старческого возраста с целью улучшения диагностики когнитивных нарушений разной степени тяжести, более раннее выявление заболеваний. С такой целью в развитых странах созданы клиники памяти, Альцгеймеровские центры. [2]
Человек с деменцией обращен в прошлое. Больных надо аккуратно «тормошить» и в интеллектуальном плане, и в двигательном. Неподвижность плохо влияет на мозг. Лучший способ сохранить разум, это, как ни странно, даже не интеллектуальная деятельность, а двигательная активность. Именно в этом случае в мозге создаются условия, которые способствуют образованию новых связей между нейронами и укреплению мозгового резерва, что впоследствии противодействует развитию деменции.
Недавно было обнаружено, что вероятность развития болезни Альцгеймера у пожилых людей на 40 % ниже, если они хотя бы раз вакцинировались от гриппа . Защитное действие вакцины сохранялось в течение 4 лет. Причины этого пока неясны. Есть три версии:
- предотвращая или облегчая течение гриппа, вакцина препятствует развитию системного воспаления, которое способствует развитию болезни Альцгеймера;
- вакцина влияет на иммунные клетки мозга, и они лучше справляются с нарушениями, связанными с болезнью Альцгеймера;
- люди, которые вакцинируются, лучше заботятся о своём здоровье, что в целом снижает риск болезни Альцгеймера [16][17] .
Продолжительность жизни
В среднем люди с болезнью Альцгеймера живут 3 – 11 лет после выявления заболевания, но некоторые — 20 лет и более. Продолжительность жизни зависит от степени нарушений при постановке диагноза [14] .
Юридические вопросы
Требования для признания гражданина недееспособным раскрываются в статье 29 Гражданского кодекса РФ. Потеря дееспособности компенсируется больному человеку установлением опёки. Опекун "восполняет" утраченные возможности гражданина, признанного недееспособным, и действует в его интересах.
Процедура признания гражданина недееспособным описана в 31 главе Гражданского процессуального кодекса РФ, в статьях 281–285.
Лечение болезни Альцгеймера. Симптоматическая терапия болезни Альцгеймера.
Лечение болезни Альцгеймера препаратами с нейропротекторными свойствами. К сожалению, в настоящее время не найдено средств, которые эффективно замедляют нейродегенеративный процесс при болезни Альцгеймера. Однако в разработке уже находятся несколько препаратов для продления жизни нейронов и замедления клинического прогрессирования заболевания.
1. Образование свободных радикалов может вызвать гибель нейронов при болезни Альцгеймера. Изучение применения антиоксидантной терапии паркинсонизма депренилом и токоферолом показало, что L-депренил способен уменьшать скорость прогрессирования экстрапирамидных симптомов при болезни Паркинсона примерно на 50%. Вероятно, препарат обладает эффектом нейропротекции, уменьшая образование свободных радикалов.
Проводятся клинические испытания по использованию L-депренила при болезни Альцгеймера.
2. Роль воспаления в патогенезе болезни Альцгеймера. Ретроспективные исследования больных ревматоидным артритом, принимавших нестероидные противовоспалительные средства, показали, что у них реже встречается болезнь Альцгеймера. Двойное слепое исследование применения индометадина в группе пациентов с болезнью Альцгеймера с плацебо-контролем показало, что этот препарат значительно замедляет прогрессирование болезни Альцгеймера.
Следующим шагом является определение роли иммуносупрессии в лечении болезни Альцгеймера.

3. Эстрогены могут улучшать когнитивные функции у пожилых женщин. Предполагается, что дополнительное назначение эстрогенов у женщин в постменопаузальном периоде может способствовать более позднему началу болезни Альцгеймера. Потенциальная польза терапии эстрогенами у женщин с повышенным риском болезни Альцгеймера или с уже развившейся болезнью в настоящее время изучается.
Симптоматическая терапия нарушений памяти и когнитивных функций при болезни Альцгеймера.
Такрин — это единственный одобренный в Соединенных Штатах препарат для лечения симптомов болезни Альцгеймера. Симптоматическое улучшение наступает более чем у 40% больных, которые переносят лечение препаратом в его максимальной дозе, составляющей 160 мг/сут. Потенциально такрин может вызывать нежелательные побочные эффекты и поэтому крайние важным является предварительное разъяснение преимуществ и недостатков этого средства родственникам больного.
1. Обоснование холинергической терапии болезни Альцгеймера такрином. Прогрессирование болезни Альцгеймера связано с прогрессирующей гибелью нейронов в базальных ядрах Минерта — первичных холинергических ядрах головного мозга. В результате снижается уровень ацетилхолина в проекционных областях коры, связанных с этими ядрами. Такрин является активным ингибитором ацетилхолинэстеразы в ЦНС.
Блокирование этого энзима ведет к повышению уровня ацетилхолина в головном мозге. Использование препарат та у некоторых больных приводит к значительному улучшению памяти и востановлению когнитивных функций.
2. Категории больных, подлежащих лечению такрином. Исследования показали, что больные с деменцией легкой или умеренной степени хорошо реагируют на такрин. Это относится к пациентам с оценкой 10—26 баллов по результатам теста MMSE (Mini-Mental State Exam — мини-тест состояния ментальных функций). Такие больные обычно еще способны выражать свои мысли словами и выполнять тесты с использованием карандаша и бумаги.
Память и мышление у них нарушены, но, тем не менее, их контакт с врачом еще возможен. Опекуны таких больных должны быть ответственными людьми, которые бы гарантировали, что больной принимает препарат четыре раза в сутки.
3. Категории больных, не подлежащих лечению такрином. Такрин не назначают больным, диагноз деменции которых остается спорным. Его не применяют также на ранних стадиях деменции или, наоборот, в далеко зашедших случаях заболевания. Так как известно гепатотоксическое действие такрина, он противопоказан больным с заболеваниями печени.
Такрин применяют с большой осторожностью у больных с пептической язвой желудка или сердечной недостаточностью, потому что теоретически препарат может вызвать обострение этих состояний.
4. Оценка эффективности лечения. Важно, чтобы врач совместно с опекуном больного определили состояние когнитивных функций больного на момент начала лечения. Врач беседует с пациентом, задавая ему различные вопросы и оценивая с их помощью состояние памяти, ориентации и познавательных функций. Еще лучше для этих целей подходит упомянутый выше тест MMSE, который позволяет с большей точностью определить когнитивный дефицит.
Анамнез заболевания со слов опекуна больного помогает определить возможности больного в самообслуживании. В двух крупных клинических испытаниях такрина одним из критериев эффективности было мнение опекунов, которые оценивали изменения в когнитивном статусе своих подопечных на фоне применения препарата. Результаты наблюдения опекунами больных в оценке эффективности лечения по значимости не уступали данным физикального обследования больных и результатам нейропсихологического тестирования до и после лечения такрином.
5. Порядок применения такрина. Прием такрина рекомендовано начинать с 10 мг четыре раза в сутки в течение шести недель. Затем каждые шесть недель увеличивать дозу на 10 мг четыре раза в сутки до достижения максимальной дозы 40 мг четыре раза в сутки. При появлении побочных эффектов дневную дозу препарата постепенно снижают.
Информация на сайте подлежит консультации лечащим врачом и не заменяет очной консультации с ним.
См. подробнее в пользовательском соглашении.
Болезнь Альцгеймера - синонимы, диагностика, лечение, прогноз
Синонимы: первичная дегенеративная деменция, пресенильная и сенильная деменция = деменция, тип Альцгеймера
Определение болезни Альцгеймера. Необратимое, прогрессирующее, дегенеративное заболевание мозга с типичными неврологическими изменениями (накоплением сенильных бляшек и клубков утолщенных спиралевидно извивающихся нейрофибрилл в тканях мозга), клинически - с утратой когнитивных способностей (память, мышление)
Эпидемиология. Наиболее частый вид деменции, в нашей стране более 1 млн больных, рост количества заболевших вследствие увеличения продолжительности жизни, так как это возрастное заболевание: риск развития у лиц старше 65 лет составляет 2-6%, у лиц старше 85 лет - 25-33%.
Этиопатогенез болезни Альцгеймера:
- Генетические факторы: 4-й тип аполипопротеина Е, пресенилин-1. Изменения в 4-й и 21-й хромосомах при пресенильном варианте болезни Альцгеймера; амилоидная теория
- Патологические отложения: амилоидные бляшки, нейрофибриллярные клубки в тканях мозга —> дегенерация нервных клеток
- Увеличение продукции предшественника амилоидного бета-протеина; интрацеребральное отложение гиперфосфорилированного тау-протеина
- Холинергический дефицит (снижение уровня ацетилхолина, а также серотонина и норадреналина), переизбыток глутамата
- Аутоиммунный процесс
- Церебральный дефицит адреналина
Факторы риска: возраст, 4-й тип аполипопротеина Е
К декомпенсации основных пусковых механизмов могут привести, например, перемена места жительства, уединение, оперативное вмешательство (наркоз) и эмоциональные нагрузки.
Классификация болезни Альцгеймера:
• Ранняя форма (в период до 65 лет), поздняя форма (после 65 лет)
• Наследственно обусловленные случаи (лишь около 5%)
Основные симптомы болезни Альцгеймера:
• В начале - затяжные расстройства кратковременной памяти, нарушения абстрактного мышления, сокращение инициативности и стимулов
• Ранние симптомы некогнитивной сферы: дискретные изменения поведения, пассивность, эмоциональная замкнутость, лабильность настроения, снижение добросовестности и небрежность во всем, беспомощность
• На следующей стадии появляются нарушения кортикальных функций и неврологические симптомы: амнезия, амнестическая афазия (проблемы выбора слов), акалькулия (неспособность считать), апраксия, прозопагнозия (неспособность узнавать лица); нарушения поведения (двигательная активность —> «убегание»); нарушение восприятия, пищевого поведения; изменения ритма дня и ночи, симптоматика бреда
Важно: На ранней стадии можно наблюдать значительное сходство клинической картины с картиной депрессии («депрессивная псевдодеменция»).
Значительные проблемы дифференциальной диагностики: наблюдение и лечение антидепрессантами.


Диагностика болезни Альцгеймера
Согласно МКБ-10:
- снижение памяти (объективно, оценка степени тяжести)
- потеря интеллектуальных способностей (снижение способности высказывать суждения и мыслить)
- снижение контроля аффекта, стимулов, социального поведения (раздражительность, апатия)
- разрушение высших кортикальных функций (афазия, апраксия)
- минимальная продолжительность - 6 мес.
Диагностика:
- нейропсихологические исследования: рейтинговые шкалы, такие как Mini Mental Status Test (MMST), DemTec, тест на определение времени по часам
- лабораторные исследования: в ликворе (спинномозговая жидкость) повышение тау-протеина, снижение А-бета-пептида, исключение сифилиса нервной системы, ВИЧ-инфекции, гипотиреоза, гиповитаминоза
- ЭЭГ: замедление ритма
- МРТ: атрофия (прежде всего в области гиппокампа)
NINCDS-ADRDA клинико-диагностические критерии болезни Альцгеймера (Mc Khannet al.)
I. Сомнительные признаки болезни Альцгеймера:
• Наличие документированного (например, по результатам психологического теста MMST) прогрессирующего дементного синдрома с дефицитами в двух и более сферах познания
• Непрерывно прогрессирующее ослабление памяти и других когнитивных функций
• Отсутствие расстройства сознания
• Замедленное развитие заболевания в возрасте между 40 и 90 годами, преимущественно в возрасте после 65 лет
• Исключение иных заболеваний (болезней мозга или системных заболеваний), способных вызвать развитие деменции
II. Вероятные признаки болезни Альцгеймера:
• Прогрессирующее ухудшение специфических когнитивных функций, таких как речь (афазия), двигательные способности (апраксия) или восприятие (агнозия)
• Странности в поведении и неспособность справляться с различными бытовыми видами деятельности
• Наличие подобных заболеваний в семейном анамнезе, особенно имеющих невропатологическое подтверждение
• Следующие результаты инструментальных исследований: ликвор - без патологии, ЭЭГ - без патологии или содержит неспецифические изменения (например, замедление ритма), указание на атрофию мозга при КТ с увеличением при исследовании продольного среза
III. Достоверные признаки болезни Альцгеймера:
• Диагноз может быть поставлен на основании одного дементного синдрома при отсутствии других заболеваний, которые могут быть причиной деменции, при наличии основных признаков инициации, картины болезни или клинического течения
• Также при наличии другого системного заболевания или болезни мозга, которая сама по себе способна вызвать развитие деменции, но не рассматривается в качестве единственной причины
• Если при исключении других возможных причин заболевания присутствует только прогрессирующий тяжелый когнитивный дефицит, то он должен подвергнуться тщательному изучению
Диагностические критерии болезни Альцгеймера по МКБ-10:
• Наличие деменции
• Постепенное начало с медленно прогрессирующим слабоумием
• Отсутствие клинических указаний или специальных данных обследования, указывающих на наличие системного заболевания или заболевания мозга, которые могли бы спровоцировать развитие деменции
• Отсутствие внезапного апоплектического начала или указания на неврологический очаг
Важно: Типичный пациент чувствует себя вполне здоровым, не жалуется на забывчивость, старается быть незаметным, «обычным», избегает отвечать на вопросы, обращается к врачу не по собственной инициативе. Болезнь Альцгеймера - диагноз исключения. Подтвердить диагноз возможно только неврологически.
Дифференциальная диагностика болезни Альцгеймера
• Депрессивная псевдодеменция: наиболее часто фигурирует в дифференциальной диагностике, но не обладает патогномо-ничными признаками • Сосудистая деменция: волнообразное течение, очаговые симптомы поражения нервной системы; на МРТ множественные микроинфаркты
• Другие органические процессы мозговой деятельности, ведущие к деменции, такие как болезнь Пика, болезнь Паркинсона, болезнь Крейтцфельдта-Якоба, хорея Гентингтона, прогрессирующий паралич и др. • Гидроцефалия с нормальным давлением
• Корсаковский синдром: амнезия, конфабуляции, нарушения глазодвигательных функций и походки
• Легкие когнитивные расстройства; при «доброкачественной» возрастной забывчивости забываются, прежде всего, определенные «вещи» и «предметы»; при болезни Альцгеймера забываются, прежде всего, «происшествия» и «события».
Лечение болезни Альцгеймера
• Медикаментозная терапия:
- антидементные препараты, блокаторы ацетилхолинэстеразы (галантамин, донепезил, ривастигмин) или антагонист рецепторов К-метил-О-аспартата (NMDA) мемантин
- при наличии депрессии возможно применение антидепрессантов
- при состоянии беспокойства, замешательства и расстройствах сна возможно применение (атипичных) нейролептиков
Важно: Антидементные препараты замедляют прогрессирование болезни, но не излечивают.
Антидементные препараты
| Действующее вещество | Торговое название | Механизм действия | Суточная доза | Побочные действия | Показания |
| Донепезил | Арисепт | Улучшение сигнальной трансдукции посредством ацетилхолина | 5-10 мг | Потеря аппетита, тошнота, рвота, диарея, потеря массы тела | Болезнь Альцгеймера легкой и средней степени тяжести |
| Галантамин | Реминил | Улучшение сигнальной трансдукции посредством ацетилхолина | 16-24 мг | Потеря аппетита, тошнота, рвота, диарея, потеря массы тела | Болезнь Альцгеймера легкой и средней степени тяжести |
| Ривастигмин | Экселон | Улучшение сигнальной трансдукции посредством ацетилхолина | 6-12 мг | Потеря аппетита, тошнота, рвота, диарея, потеря массы тела | Болезнь Альцгеймера легкой и средней степени тяжести |
| Мемантин | Акатинол Мемантин | Нормализация сигнальной трансдукции посредством глутамата | 10-20 мг | Беспокойство, расстройство сна | Болезнь Альцгеймера средней и тяжелой степени |
| Гинкго двулопастный | Танакан, Билобил | Нейтрализация вредных продуктов обмена веществ, повышение выброса медиаторов, улучшение перфузии | 120-240 мг | Тошнота, головные боли | Расстройства памяти и концентрации внимания при психоорганическом синдроме |
• Немедикаментозное лечение:
- тренинг когнитивных способностей
- психосоциальная помощь
- поведенческая терапия
Болезнь Альцгеймера: причины, диагностика, лечение
Этиология и встречаемость болезни Альцгеймера. Приблизительно 10% лиц старше 70 лет имеет деменцию, и почти половина из их страдают болезнью Альцгеймера (AD, MIM №04300). Болезнь Альцгеймера — панэтническая, генетически разнородная болезнь; менее 5% больных имеют семейную форму болезни с ранним началом 15-25% имеют семейную форму с поздним началом и у 75% — спорадическая форма болезни.
Приблизительно у 10% семейные формы имеют аутосомно-доминантный тип наследования проявлений болезни Альцгеймера; у остальных — многофакторное наследование.
Последние исследования показывают, что при болезни Альцгеймера происходят дефекты метаболизма бета-АРР, вызывающие дисфункцию и гибель нейронов. В соответствии с этой гипотезой мутации, связываемые с аутосомно-доминантной формой болезни Альцгеймера с ранним началом, повреждают ген АРР, ген пресенилин 1 (PSEN1) и ген пресенилин 2 (PSEN2).
Распространение мутаций в этих генах высоковариабельно, в зависимости от критериев включения в анализ; 20-70% больных с ранней аутосомно-доминантной формой болезни Альцгеймера имеют мутации в PSEN1, от 1-2% — в АРР и менее 5% - в PSEN2.
Менделирующие причины поздней формы болезни Альцгеймера неизвестны; тем не менее, как семейная, так и спорадическая форма болезни Альцгеймера с поздним началом сильно сцеплена с аллелем e4 в гене АРОЕ. Частота аллеля e4 составляет от 12 до 15% у здоровых членов контрольной группы по сравнению с 35% среди всех пациентов с болезнью Альцгеймера и 45% среди пациентов с деменцией в семейном анамнезе.

Патогенез болезни Альцгеймера
bАРР подвергается расщеплению эндопротеазами, производя пептиды с нейротрофическим и нейропротективным действием. Расщепление bAPP в пределах эндосомально-лизосомного компартмента создает карбоксил-терминальный пептид из 40 аминокислот (Аb40); функция пептида Аb40 неизвестна.
В отличие от этого, расщепление bАРР в пределах эндоплазматического ретикулума или аппарата Гольджи приводит к образованию карбоксил-терминального пептида длиной из 42 или 43 аминокислот (Аb42/43). Аb42/43 легко образует агрегаты, in vitro показана его нейротоксичность, возможно, она есть и in vivo.
Пациенты с болезнью Альцгеймера имеют значимое увеличение числа агрегатов Аb42/43 в мозге. Мутации в АРР, PSEN1 и PSEN2 увеличивают относительное или абсолютное производство Аb42/43. Около 1% всех случаев болезни Альцгеймера происходит у пациентов с синдромом Дауна, имеющим избыточную экспрессию АРР (ген АРР находится в хромосоме 21) и, таким образом, пептида Аb42/43. Роль аллеля e4 гена АРОЕ очевидна, но механизм его участия неизвестен.
Болезнь Альцгеймера — нейродегенеративное заболевание ЦНС, особенно повреждающее холинергические нейроны гиппокампа, ассоциативные области новой коры и другие лимбические структуры. Нейропатологические изменения включают атрофию коры мозга, внеклеточные невритические бляшки, внутринейрональное спутывание нейрофибрилл и накопление амилоида в стенках церебральных артерий.
Невритические бляшки содержат много различных белков, включая Аb42/43 и АроЕ. Спутанность нейрофибрилл формируется преимущественно за счет гиперфосфорилированного белка т; белок х помогает поддерживать целостность нейронов, аксональный транспорт и полярность, обеспечивая сборку и устойчивость микрофибрилл.
Фенотип и развитие болезни Альцгеймера
Болезнь Альцгеймера характеризуется прогрессивной утратой познавательных функций, включая кратковременную память, абстрактную аргументацию, концентрацию, речь, визуальное восприятие и визуально-пространственную функцию. Начинаясь с небольших нарушений памяти, болезнь Альцгеймера часто первоначально напоминает доброкачественную «забывчивость».
Некоторые пациенты осознают свои познавательные проблемы и становятся расстроенными и озабоченными, другие часто ничего не подозревают. В конечном счете, больные не в состоянии работать и нуждаются в постоянном внешнем контроле. При этом социальный этикет и поверхностный разговор часто удивительно хорошо сохраняются.
В конце болезни у большинства пораженных развиваются ригидность, мутизм, неуправляемость, они становятся лежачими больными. Другие симптомы, связанные с болезнью Альцгеймера, включают ажитированное поведение, социальную отчужденность, галлюцинации, судороги, миоклонус и паркинсоноподобную симптоматику. Смерть обычно происходит вследствие нарушения питания, инфекций или патологии сердца.
Помимо возраста начала, ранняя и поздняя формы болезни Альцгеймера клинически неразличимы. Мутации в PSEN1 вызывают полностью пенетрантную и обычно быстропрогрессирующую болезнь, со средним возрастом начала в 45 лет. Мутации в АРР также полностью пенетрантны, вызывают болезнь Альцгеймера, протекающую подобно поздней форме; возраст начала колеблется от 40 до 60 лет.
Мутации в PSEN2 могут быть не полностью пенетрантны и обычно приводят к медленно прогрессирующей болезни с началом в 40-75 лет. В отличие от ранней формы, поздняя форма болезни Альцгеймера развивается в возрасте после 60-65 лет; длительность болезни обычно от 8 до 10 лет, хотя диапазон колеблется от 2 до 25 лет.
Как для поздней, так и для вызванной мутациями в АРР болезни Альцгеймера, аллель e4 гена АРОЕ выступает дозозависимым модификатором возраста начала; т.е. возраст начала болезни изменяется обратно пропорционально количеству копий аллеля e4.
Особенности фенотипических проявлений болезни Альцгеймера:
• Возраст начала: вторая половина жизни
• Деменция
• бета-амилоидные бляшки
• Спутанность нейрофибрилл
• Амилоидная ангиопатия

За исключением больных в семьях, передающих мутации, связанные с болезнью Альцгеймера, у больных с деменцией окончательный диагноз болезни Альцгеймера можно установить только на вскрытии; тем не менее при строгом соблюдении диагностических критериев клиническое подозрение на болезнь Альцгеймера подтверждается при неврологическом обследовании в 80-90% случаев. Точность клинического подозрения возрастает до 97%, если пациент гомозиготен по аллелю ?4 гена АРОЕ.
Поскольку никакого эффективного лечения при болезни Альцгеймера не существует, терапия нацелена на симптоматическую помощь в улучшении поведенческих и неврологических проблем. Приблизительно 10-20% больных имеют незначительное замедление познавательного спада, если в начале болезни получают лечение препаратами, увеличивающими холинергическую активность.
Риск наследования болезни Альцгеймера
Наиболее важные факторы риска болезни Альцгеймера — старческий возраст, наличие заболевания в семейном анамнезе, женский пол и синдром Дауна. В западных популяциях эмпирический риск развития болезни Альцгеймера в течение всей жизни составляет 5%. Если у пациента есть родственник первой степени родства с болезнью Альцгеймера, развившейся после 65 лет, его риск заболеть болезнью Альцгеймера возрастает в 3-6 раз.
Если у пациента имеется сибс (брат или сестра) с болезнью Альцгеймера, развившейся до 70 лет, и больной родитель, риск повышается в 7-9 раз. Как диагностический тест предрасположенности у лиц, нуждающихся в оценке признаков и симптомов, напоминающих деменцию, может быть использовано тестирование гена АРОЕ, однако его не следует применять для прогностического обследования у бессимптомных людей.
Пациенты с синдромом Дауна имеют повышенный риск болезни Альцгеймера. После 40 лет почти у всех у них обнаруживают нейропатологические признаки болезни Альцгеймера, и приблизительно 50% снижение познавательных функций.
Для семей, передающих аутосомно-доминантную форму болезни Альцгеймера, каждый член семьи имеет 50% риск унаследовать мутацию, вызывающую болезнь. За исключением некоторых мутаций гена PSEN2, генетическое консультирование облегчают полная пенетрантность и сравнительно одинаковый возраст начала в пределах семьи. К настоящему времени доступно клиническое тестирование ДНК для генов АРР, PSEN1 и PSEN2; такое ДНК-исследование можно предлагать только в контексте генетического консультирования.
Пример болезни Альцгеймера. Л.В. — пожилая женщина с деменцией. За восемь лет до смерти она и ее семья обратили внимание на снижение у Л.В. краткосрочной памяти. Первоначально они приписывали эту забывчивость «старости»; тем не менее ее когнитивные способности продолжали прогрессивно снижаться, что нарушило способность водить машину, делать покупки, присматривать за собой.
У больной не было признаков, напоминающих болезнь щитовидной железы, недостаточность витаминов, опухоли мозга, лекарственной интоксикации, хронической инфекции, депрессии или нарушения мозгового кровообращения; магнитно-резонансная томография (МРТ) мозга выявила рассеянную атрофию коры. Брат больной, ее отец и два других родственника по отцовской линии умерли на седьмом десятилетии жизни на фоне деменции.
Невролог объяснил Л.В. и ее семье, что нормальное старение не связано с выраженным ухудшением памяти или поведения и предположил клинический диагноз семейной деменции, возможно, болезни Альцгеймера. Подозрение на болезнь Альцгеймера подтверждено определением генотипа АроЕ: е4/е4. Состояние больной быстро ухудшалось в течение следующего года, и она умерла в возрасте 82 лет. Вскрытие подтвердило диагноз болезни Альцгеймера.
Видео этиология, патогенез болезни Альцгеймера (деменции)
Редактор: Искандер Милевски. Дата обновления публикации: 18.3.2021
Читайте также:
