Лечение хориокарциномы и ее прогноз
Добавил пользователь Владимир З. Обновлено: 20.11.2025
Карцинома синоним рака, оба названия равноправны, россияне предпочитают использовать термин «рак», введенный в оборот Клавдием Галеном через 6 столетий после «карциномы», придуманной 24 века назад Гиппократом из-за внешней схожести опухоли молочной железы с ракообразным.
Что такое карцинома?
Карцинома — злокачественное новообразование, развивающееся в эпителиальной ткани, поэтому поражаются кожа и органы, где есть слизистые оболочки: легкие, ЖКТ, мочеполовые, суставы, протоки и даже сосуды. В головном мозге и лимфоузлах, крови и жировой ткани, мышцах и костях развиваются другие злокачественные новообразования, но не рак.
Карцинома не саркома, не меланома, не лейкоз и не лимфома. В коже развиваются плоскоклеточная и базальноклеточная карциномы, и совсем не похожая на рак меланома. Локализация одна, а морфология и закономерности течение, подходы к лечению, особенно лекарственному, очень разные. В ткани лимфатического узла первично развивается только лимфоидная опухоль, но в лимфоузлы могут заноситься раковые клетки, формируя метастазы.
Причины возникновения карциномы
Большинство карцином возникает спонтанно, неблагоприятной наследственностью обусловлены меньше 10%. Злокачественный процесс следствие мутаций ДНК клетки при неадекватной иммунной защите от перерождения на фоне регулярного воздействия канцерогенов:
- Доказано канцерогенное действие курения, особенно для бронхиального плоскоклеточного рака легкого, молочной и поджелудочной желез, мочевого пузыря. Продукты горения табака — химические канцерогены, как асбест, свинец и другие металлы.
- Мощнейший инициатор перерождения клеток — алкоголь.
- Фактор риска рака — излучение: ультрафиолетовое и ионизирующее. В большинстве случаев излучение приводит к возникновению злокачественного новообразования в месте воздействия: солнце вредит коже, радиоактивный йод —щитовидной железе.
- Биологические факторы — внутриклеточные вирусы папилломы и гепатита способствуют мутациям в слизистых половых органов, ротовой полости и печени.
- Неадекватная продукция гормонов тоже может переключить клетку на злокачественное перерождение.
Для большинства карцином не определен окончательный список факторов риска, много пробелов в описании процесса злокачественной трансформации, ясно одно — в патогенезе участвует много факторов, большую часть из которых современная наука пока не знает.

Симптомы карциномы
Клиническая картина определяется локализацией, так в молочной железе безболезненный опухолевый узел достигает внушительных размеров до обнаружения. Также происходит и в желудке — и достаточно места для роста, и растягивается не вовлеченная в опухолевый процесс стенка органа, нивелируя уменьшение желудочного объема.
При раке поджелудочной железы крошечное новообразование способно заблокировать общий желчный проток и вызвать тяжелейшую желтуху с печеночной недостаточностью. При минимальном опухолевом поражении шейки мочевого пузыря симптомы появятся рано и ярко — с нарушением мочеиспускания.
Эпителиальное опухолевое образование не болит, оттого и не заметно пока не случится сдавление крупного сосудисто-нервного пучка, не перекроется просвет органа, мешая движению пищевых масс или биологических жидкостей, то есть пока не нарушится функционирование органа.
Органы, поражаемые карциномой
Самая часто встречающаяся злокачественная патология кожная — 12,6%, чуть реже заболевает толстая кишка и почти столько же молочная железа, каждый десятый случай обусловлен раком легкого, на долю предстательной железы приходится меньше 7% новообразований, на желудок — 5,9%, остальные органы имеют долю меньше 5%.
У россиянок лидирует патология молочной железы — каждый пятый случай, второе место у кожного рака с 14,6%, замыкает тройку карцинома матки с 8% долей. Почти 40% злокачественных процессов у женщин диагностируется в органах репродуктивной системы, на новообразования всей половой системы приходится чуть больше 18%.
У российских мужчин превалирует злокачественный процесс в легком — 17%, в простате — 15%, каждый десятый случай обусловлен новообразованием кожи. Ровно четверть всех мужских карцином развивается в органах мочеполовой системы.
Виды карциномы
В зависимости от вида клеток, ставших источником злокачественной трансформации, карциномы классифицируют на несколько десятков морфологических видов, часто встречаются железистые (аденокарцинома), плоскоклеточные, перстневидно-клеточные, светлоклеточные, базальноклеточные.
Каждый орган состоит из определенных клеточных пластов, так в щитовидной железе есть фолликулярные, папиллярные, медуллярные и плоскоклеточные структуры, но перстневидно-клеточный рак в щитовидке невозможен, потому что там нет перстневидных клеток.
В одном органе новообразование может развиться из нескольких видов клеток, так в легком встречается плоскоклеточная, крупноклеточная, мелкоклеточная и аденокарцинома. В одном узле могут встречаться разные виды клеточных популяций и в любом наборе, тогда карциному называют «смешанной», если не удается определить превалирующую популяцию клеток. Для выбора лекарственного лечения важно знать точную морфологическую структуру, таргетные препараты действуют на определенный вид клеточной популяции.
Степени карциномы
Вне зависимости от морфологического вида опухоли злокачественные процессы классифицируют по степени агрессивности, благоприятно текущий вид — высокодифференцированное новообразование. Наиболее агрессивные формы — малодифференцированные и крайняя степень злокачественности — недифференцированные. Средняя степень злокачественности обозначается как умеренно дифференцированная.
На фоне химиотерапии степень дифференцировки может измениться, поскольку погибают особенно чувствительные к лекарствам популяции, выжившие клетки размножаются и постепенно становятся основным клеточным пулом. К примеру, при метастатической стадии рака молочной железы химиотерапия уничтожает низкодифференцированные клетки, а популяции высокой дифференцировки выживают, если в них достаточно рецепторов эстрогенов, то будет эффективна гормонотерапия.
Методы диагностики карциномы
Диагностика злокачественного процесса обусловлена локализацией новообразования. Принципиально разное выявление процесса в желудочно-кишечном тракте и молочной железе, при первом ведущий метод диагностики — эндоскопический, при втором — рентгеновская визуализация. При любом процессе обязательна биопсия с последующей морфологической диагностикой, только гистология позволяет установить окончательный диагноз и начать лечение.
Методы лечения
Без хирургической операции вылечить карциному невозможно, даже при очень высокой чувствительности к лекарствам и при полной регрессии в результате облучения. Без удаления первоисточника злокачественного роста нельзя гарантировать отсутствие рецидива — на некотором расстоянии от опухоли в сосудах и около нервов остаются активно делящиеся раковые клетки. В некоторых клинических ситуациях, например, при распространенном раке пищевода сопоставимы результаты выживаемости при операции и химиолучевом лечении, тем не менее, после операции выживаемость на несколько процентов выше, а статистический процент — это жизни многих людей.
Иногда неоперабельный вариант заболевания с помощью предоперационной химиотерапии удается перевести в технически удаляемый. К сожалению, новообразования не всех локализаций позитивно реагируют на химиотерапию, опухоли матки, легких, печени, почек мало чувствительны к цитостатикам. Не все новообразования чувствительны к облучению, так при раке прямой кишки лучевая терапия входит в программу комплексного лечения, но ЛТ совершенно бесперспективна при такой же по структуре опухоли поперечно-ободочной кишки.
Для повышения эффективности лекарственной терапии малочувствительных новообразований прибегают к доставке химиопрепарата непосредственно к опухолевому узлу с долговременной задержкой лекарства в сосудистой сети органа за счёт перекрытия оттока крови из органа, достигаемой временной эмболизацией сосудов. Особенно результативна химиоэмболизация при процессах в печени, панкреатической и почечно-клеточной карциномах.

Возможные осложнения
Повреждение тканей агрессивно растущей злокачественной опухолью может привести к кровотечению из-за распада. Кровотечение частое осложнение новообразований желудка и кишки, особенно прямой, легочной карциномы, поверхностных мягкотканых узлов.
В полом органе деструкция стенки может осложниться её перфорацией, тогда в брюшную полость попадает микрофлора, пищевые или каловые массы, желчь или моча, и развивается фатальный перитонит.
Перекрытие просвета трубчатого органа или протока прекращает движение пищевых масс или биологических жидкостей, вызывая смертельное осложнение:
- в кишке — кишечную непроходимость с невыносимым болевым синдромом и тяжелейшей интоксикацией;
- в желудке — стеноз выходного отверстия с частыми рвотами и медленной гибелью от голода;
- закупорка бронха приводит к активации воспаления с распадом инфицированного участка легкого и прорывом гнойника в плевральную полость с её эмпиемой;
- непроходимость мочеточника блокирует функционирование почки, дальше наступает почечной недостаточность с уремией;
- в общем желчном протоке, сдавленном лимфоузлами с метастазами или опухолью поджелудочной железы, прекращается ток желчи, она всасывается в кровь и развивается механическая желтуха;
- в мочевом пузыре или уретре блокада оттока мочи приводит к её острой задержке с последующей функциональной недостаточностью почек.
При кишечном новообразовании могут формироваться свищевые ходы, вызывающие септическое состояние и местное гнойное расплавление.
Любое осложнение требует принятия срочных мер, как правило, хирургических, вынуждая отказаться от продолжения лекарственной и лучевой терапии.
Профилактика
При генетически обусловленных злокачественных новообразованиях налажена система активного медицинского наблюдения за носителями мутантных генов и наследственных синдромов. При очень высокой вероятности малигнизации проводятся профилактические операции. Все родственники больных, страдающих генетическими раковыми синдромами, должны пройти генетическое обследование.
Среди всех онкологических пациентов носителей наследственных злокачественных синдромов немного — от 3% до 10%. В большинстве случаев заболевание — результат неожиданных генетических сбоев из-за неправильного образа жизни: вредных привычек, неадекватного питания, нарушения режима сна, отказа от физической активности.
Онкологическая наука зачастую не знает конкретной причины развития спонтанного злокачественного новообразования, но определилась в отношении бытовых канцерогенов, предлагая отказаться от курения и злоупотребления алкоголем, длительного пребывания на открытом солнце.
Прогноз
Онкологи не пытаются предсказывать конкретное течение заболевания пациента, потому что наблюдали десятки очень похожих новообразований у пациентов при абсолютной несхожести судеб. У больных встречаются очень похожие аденокарциномы, почти «близнецы» по распространению и морфологии, но болезни всё равно текут по-разному и реакция на лечение неодинакова, поэтому говорят, что «у каждого больного свой рак и второго такого не было и нет». При 3 стадии выживаемость хуже, чем при 2, но у конкретного больного, начавшего лечение на 3 стадии, жизнь может быть более продолжительной, чем у пациента с диагностированной 1 стадией.
Последние крупнейшие клинические исследования поставили под сомнение ведущую роль в прогнозе распространенности новообразования на момент выявления, первостепенное значение приобретают биологические характеристики, определяющие скорость роста клеточной популяции, активность деления и способность к выработке механизмов защиты от противоопухолевых лекарств — клеточная структура, степень дифференцировки и молекулярные типы.
Чтобы навсегда вылечить новообразование 3 стадии и не погибнуть от метастазов при 1 стадии важно подобрать адекватную и строго индивидуальную терапию, учитывающую не только стандартные подходы, но и биологические особенности клеточной популяции. В нашей Клинике программы терапии опираются на современную науку и технологии, все подходы индивидуальны и обоснованы.
Лечение хориокарциномы и ее прогноз
Хориокарцинома - клиника, диагностика, стадии
Вопросам лечения хориокарциномы сейчас уделяется большое внимание. Она характеризуется очень высокой чувствительностью к цитостатикам и относится к небольшой группе солидных опухолей, которые излечиваются даже когда образуют метастазы. Вместе с тем в 100% случаев заболевания хориокарциномой в крови появляется онкомаркер ХГЧ, что позволяет проводит лечение под контролем показателя, надежно отражающего состояние опухоли.
Наиболее часто опухоль развивается при беременности, осложненной полным или частичным пузырным заносом (в Великобритании примерно в 1 случае на 1400 беременностей, протекающих без патологии). Однако в редких случаях она может возникать, если беременность протекает нормально, или после ее окончания, а также при внематочной беременности.
Вероятнее всего, большинство, если не все, карциномы, возникающие при беременности, фактически представляют собой метастазы недиагносцированной плацентарной карциномы. При недостаточно тщательном обследовании плаценты эту небольшую опухоль часто можно не заметить. Хориокарцинома в большей степени распространена среди азиатских женщин, чем среди женщин проживающих в Европе и США. Она чаще возникает у «пожилых» беременных (в возрасте более 40 лет).
Патогенез хориокарциномы хориокарциномы
Опухоль состоит из малигнизированных синцитиотрофобластов и цитотрофобластов, продуцирующих ХГЧ. После удаления пузырного заноса многократные повторные определения уровня ХГЧ в плазме крови дают возможность контролировать его полноту. В некоторых случаях уровень HCG снижается более медленно, чем это следует ожидать исходя из периода его существования в плазме (каждые 24-36 ч его содержание должно уменьшаться наполовину).
Это позволяет предполагать спонтанную регрессию опухоли. Иногда в результате продолжающегося локального роста опухоли или в результате метастазирования уровень ХГЧ продолжает оставаться высоким.
Традиционно трофобластомогенные опухоли подразделяют на три группы: пузырный занос, инвазивный пузырный занос и истинная хориокарцинома. Такая классификация основана на морфологических характеристиках клеток. Однако после разработки количественного метода анализа ХГЧ этой классификации уже не придерживаются, поскольку в основном диагностика проводится в соответствии с данными этого анализа, и крайне редко используются образцы опухолевой ткани.
Поэтому сейчас лучше пользоваться термином «трофобластомогенная опухоль беременности». Прогноз в основном определяется уровнем митотической активности, выраженностью морфологических аномалий клеток и степенью распространения опухоли.
Хотя опухоль развивается в матке локально, она может распространяться на миометрий или даже на серозную оболочку влагалища, что иногда приводит к массивным внутриматочным или внутрибрюшинным кровотечениям. Наблюдаются отдаленные метастазы гематогенной природы, главным образом в легкие, печень и головной мозг. Образование метастазов зависит от особенностей протекания беременности: они наблюдаются в 1 случае из 20 беременностей, осложненных пузырным заносом, но возникают крайне редко при нормальной или внематочной беременности.

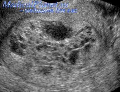
УЗИ при пузырном заносе
Диагностика и стадии хориокарциномы
Необходимо обращать самое пристальное внимание на появление вагинальных кровотечений во время беременности или после ее окончания. У некоторых пациенток наблюдаются симптомы ложной беременности или преэклампсии. Ультразвуковое обследование позволяет уверенно поставить диагноз пузырного заноса до наступления родов. В Великобритании женщины после удаления пузырного заноса или с повышенным уровнем ХГЧ в сыворотке подлежат постановке на учет в специальном центре (Charing Cross Hospital, London in the South and Sheffield in the North).
В дальнейшем пациентка находится под постоянным наблюдением, и образцы ее крови и/или мочи регулярно отсылаются в центр для анализа. При периодическом обследовании проводится анализ крови на b-ХГЧ, КТ грудной и брюшной полости. Полезным оказывается УЗИ газовой области.
Важно оценить степень риска последствий заболевания, поскольку выбор оптимальной тактики лечения проводится с учетом возможного риска проявления лекарственной устойчивости. К числу важнейших прогностических факторов относятся: возраст больной (пожилые пациентки реагируют хуже), величина интервала между предыдущей беременностью и началом химиотерапии, исходный уровень ХГЧ, наличие метастазов (крайне неблагоприятный прогноз бывает при метастазах в головном мозгу). Необходимо также выяснить, проходила ли пациентка курс химиотерапии в прошлом.

Редактор: Искандер Милевски. Дата обновления публикации: 18.3.2021
Хорионкарцинома ( Хорионэпителиома )
Хорионкарцинома – это трофобластическая опухоль, развивающаяся в результате злокачественной трансформации эпителия хориона. Клиника хорионкарциномы характеризуется кровянистыми, серозными или гнойными выделениями из половых путей, болями внизу живота; при метастазировании – симптоматикой со стороны соответствующих органов. Диагностика хорионкарциномы требует определения уровня ХГ и трофобластического глобулина в крови, проведения гистологического анализа соскоба, УЗИ. Лечение хорионкарциномы может включать химиотерапию, хирургическое вмешательство.
МКБ-10

Общие сведения
Хорионкарцинома (или хорионэпителиома) относится к злокачественным формам трофобластической болезни, которая встречается 0,5-8,3 случаях на 1000 родов. Чаще всего развитию хорионкарциномы предшествует пузырный занос (40% наблюдений), аборт (25%), роды (22,5%), внематочная беременность (2,5%). Реже встречаются тератогенные хорионкарциномы, не связанные с беременностью. В редких случаях возможно одновременное сочетание пузырного заноса и хорионкарциномы. Хорионкарцинома чаще диагностируется у жительниц азиатского региона.

Причины хорионкарциномы
Вопрос о причинах развития хорионкарциномы, как других форм трофобластической болезни, требует дальнейшего изучения. В качестве ведущего этиопатогенетического звена рассматривается вирусная трансформация трофобласта, иммунодепрессивное действие гормонов беременности (ХГ, прогестерона, эстрогенов), метаболические нарушения, иммунологический конфликт, дефицит белка, повышение ферментативной активности гиалуронидазы.
К категориям риска по развитию хорионкарциномы относят:
- беременных старше 40 лет;
- повторнобеременных;
- женщин, имеющих в анамнезе аборты, самопроизвольное прерывание беременности, внематочную беременность;
- пациенток, перенесших пузырный занос.
Патанатомия
Хорионкарцинома формируется из структур трофобласта, синцитиальной ткани ворсин хориона, иногда – из зародышевых клеток гонад. По макроскопической структуре хорионкарцинома представляет темную геморрагическую массу мягкой консистенции с зонами изъязвлений и распада. При микроскопическом исследовании хорионкарциномы определяется беспорядочная пролиферация ткани трофобласта, отсутствие стромы, сосудов и ворсин хориона; наличие клеток Лангханса и синцитиальных элементов.
Обычно хорионкарцинома располагается в теле матки (в зоне предшествующей имплантации эмбриона), где может иметь субмукозную (83%), интрамуральную – (5, 6%) или субсерозную (7%) локализацию. При внематочной форме первичные очаги хорионкарциномы могут выявляться в яичниках и маточных трубах (1-4%); головном мозге, легких, влагалище (17%).
Классификация
По месту развития первичного очага в клинической гинекологии выделяют ортотопную, гетеротопную и тератогенную хорионкарциному. При ортотопной хорионкарциноме опухоль локализуется в месте предшествующей имплантации плодного яйца – матке, трубах, брюшной полости. По мере своего прогрессирования хорионкарцинома прорастает и метастазирует во влагалище, параметрий, большой сальник, мочевой пузырь, прямую или сигмовидную кишку, легкие.
Хорионкарцинома с гетеротопной локализацией изначально выявляется вне зоны имплантации эмбриона, чаще – в стенках влагалища, легких, головном мозге. Тератогенная хорионкарцинома не связана с предшествующей беременностью и относится к смешанным опухолям эмбрионального генеза. Расположение тератогенных хорионкарцином экстрагонадное - в эпифизе, легких, средостении, желудке, забрюшинном пространстве, мочевом пузыре.
В стадировании хорионкарциномы придерживаются классификации ВОЗ, выделяя IV стадии:
- I – локализация хорионкарциномы ограничивается маткой
- II – рост опухоли распространяется за пределы матки, но ограничивается половыми органами
- III – выявляются метастазы в легкие
- IV стадия - выявляются метастазы других органах, кроме легких.
Симптомы хорионкарциномы
Хорионкарцинома может развиваться одновременно с беременностью, вскоре после окончания гестации или возникать спустя несколько лет после беременности. Вначале у 80% пациенток появляются кровянистые выделения различной интенсивности и длительности. Специфично периодическое самостоятельное прекращение кровотечений и неэффективность раздельного лечебно-диагностического выскабливания.
Кровотечение, как правило, начинается вскоре после медаборта, родов, выкидыша; иногда – после длительной задержки месячных или в межменструальный промежуток. Наряду с кровяными выделениями при хорионкарциноме возможно выделение серозных или гнойных белей, связанных с некрозом или инфицированием опухолевого узла. Нередко выявляется нагрубание молочных желез с выделением из сосков молозивоподобного секрета.
Осложнения
Повторяющиеся кровотечения приводят к анемизации; интоксикация сопровождается лихорадкой и ознобами. При прорастании опухолевыми массами тела матки отмечается появление болевого синдрома внизу живота и пояснице. О наличии метастазов в легкие свидетельствуют кашель и кровохарканье; в головной мозг – неврологические симптомы (ухудшение зрения, головная боль, головокружение, двигательные нарушения). При хорионкарциноме чаще происходит метастатическое поражение легких (45-50%), влагалища (35%), придатков, шейки матки, головного мозга. В яичниках при хорионкарциноме нередко выявляются текалютеиновые кисты.
Диагностика
Поскольку симптомы хорионкарциномы малоспецифичны, важное значение придается объективной диагностике. При изучении анамнеза учитывается связь с предшествующей беременностью, пузырным заносом. Для оценки объективного статуса производится:
- Осмотр на кресле. Гинекологическое исследование позволяет обнаружить наличие синюшных узлов, прорастающих во влагалище; при развитии хорионкарциномы на фоне беременности отмечается увеличение размеров матки по сравнению с гестационным сроком.
- Лучевые методы. Посредством УЗИ органов малого таза выявляется увеличение матки, наличие в матке мелкокистозной ткани, двусторонние текалютеиновые кисты. Опухолевый узел хорионкарциномы может иметь размеры от нескольких сантиметров до размеров головы взрослого человека. С уточняющей целью применяется гистерография – рентгеновское исследование матки.
- РДВ. Проведение диагностического выскабливания полости матки с гистологическим исследованием соскоба бывает не всегда информативным, поскольку микропрепараты часто содержат сгустки крови, некротизированные ткани эндометрия и единичные элементы трофобласта. За хорионкарциному свидетельствует обнаружение атипичных клеток синцитиотрофобласта в соскобе. Возможно проведение цитологического исследования мазков-отпечатков с пораженных тканей влагалища, вульвы, шейки матки, а также биопсии этих участков.
Хорионкарциному бывает сложно дифференцировать от трофобластической опухоли плацентарной площадки и инвазивного пузырного заноса, которые также отличаются инфильтрирующим ростом. Типичным диагностическим признаком хорионкарциномы служит определение повышенного содержания ХГЧ, АФП и трофобластического β-глобулина в сыворотке крови, которые избыточно продуцируются опухолью. С помощью рентгенографии, томографии легких и КТ головного мозга определяется наличие метастазов хорионкарциномы в отдаленных органах.
Лечение хорионкарциномы
К хирургическому лечению хорионкарциномы прибегают при угрожающем кровотечении, риске перфорации матки, септических состояниях, неэффективности химиотерапии, значительном поражении матки и яичников. Рекомендуемым объемом вмешательства служит удаление матки: гистерэктомия (при отсутствии метастазов у молодых женщин) или пангистерэктомия (у женщин старше 40 лет). Удаление хорионкарциномы в дальнейшем дополняется химиотерапевтическим лечением. Критерием излеченности служит нормализация уровня ХГ в трех анализах, выполненных с интервалом в 1 неделю.
Прогноз и профилактика
Во время ремиссии необходим регулярный контроль за титром ХГ (1 раз в 2 недели в течение 3-х месяцев, далее – 1 раз в 6 месяцев в течение 2-х лет); проведение рентгенографии легких (каждые 3 месяца в течение года). Длительно, не менее чем на 1 год, пациентке назначается гормональная контрацепция КОК.
Пациенткам с пузырным заносом, имеющим высокий риск трансформации в хорионкарциному, показано проведение профилактической химиотерапии. Наличие метастазов снижает возможность излечения до 70%. При хорионкарциноме яичников, которая плохо откликается на химиотерапию, прогноз практически всегда неблагоприятный.
Хориокарцинома
Хориокарцинома относится к трофобластическим опухолям. Она считается крайне злокачественным новообразованием из-за склонности к быстрому росту и активному метастазированию. В то же время хориокарцинома успешно поддается терапии при даже в запущенных случаях. После проведения курса лечения репродуктивная функция у большинства молодых пациенток остается сохранной.
Общая информация
Хориокарцинома — одна из разновидностей трофобластической болезни. В основе этой группы заболеваний лежат патологические изменения в процессах роста и развития трофобласта — внешней оболочки зародыша. Трофобластические опухоли относятся к редким злокачественным новообразованиям. Они всегда ассоциированы с беременностью (с нормальной, патологической или прерванной). Они могут начаться как во время вынашивания плода, так и в послеродовом периоде (в сроки от нескольких дней до нескольких лет). Хориокарцинома также может развиться при внематочной беременности или после аборта.
Первоначально нормальный трофобласт представлен лишь одним слоем клеток, который образует первичные ворсинки. Трофобласт необходим для нормальной имплантации зародыша в стенку матки. Ворсины выделяют особые протеолитические ферменты, разрушающие слизистый покров матки в месте внедрения плодного яйца. Начиная со второй недели с момента оплодотворения, трофобласт преобразуется в двухслойную пластинку. В дальнейшем к нему изнутри прирастает мезодерма, и образуются вторичные, а затем и третичные ворсины.
С этого периода (начало-конец 3-й недели внутриутробного развития) он становится хорионом — ворсинчатой оболочкой, ответственной за маточно-плацентарную циркуляцию и питание плода. Ворсины погружаются в специальные полости в эндометрии матки и, омываясь кровью разрушенных сосудов матери, получают все необходимые питательные вещества.
О трофобластической болезни говорят в случаях, когда описанные процессы нарушаются и начинается активная пролиферация элементов трофобласта, а затем и его злокачественное перерождение. При этом происходят последовательные изменения начиная от простого пузырного заноса до хориокарциномы.
Причины и механизм развития
До сих пор отсутствует единая теория происхождения трофобластических злокачественных новообразований. В настоящее время доминирующей является иммунологическая теория, согласно которой основная роль в патогенезе развития хориокарциномы отводится иммунным факторам. По своей сущности зародыш и его оболочки являются чужеродным генетическим материалом, а организм матери запускает защитную иммунную реакцию в ответ на имплантацию плодного яйца в полость матки.
Среди факторов риска выделяют:
- высокий паритет родов — заболеванию более подвержены повторнородящие женщины;
- аборты в анамнезе;
- белковая недостаточность в рационе;
- гормональные сбои, сопровождающиеся нарушением менструального цикла;
- прием оральных контрацептивов;
- вирусные инфекции;
- сопутствующие аутоиммунные и генетические заболевания.
В большинстве случаев хориокарцинома расположена в теле матки, в области прикрепления зародыша. Реже она обнаруживается в месте патологической имплантации при внематочной беременности — в фаллопиевых трубах, яичнике или брюшной полости. Первичное новообразование характеризуется агрессивным ростом и отличается глубоким прорастанием в маточную стенку или в придатки. С прогрессированием заболевания возможна перфорация органа. Клетки опухоли активно продуцируют хорионический гонадотропин (ХГ). Повышение его уровня в моче и крови является одним из диагностических критериев заболевания.
Основной путь метастазирования хориокарциномы — гематогенный. Вместе с током крови злокачественные клетки попадают в различные органы. Чаще всего поражаются легкие, головной мозг, влагалище и печень, реже — почки, надпочечники, желудочно-кишечный тракт.
Клиническая картина
Ранний и ведущий признак заболевания — маточные кровотечения различной интенсивности и выраженности (от скудных мажущих до профузных, представляющих угрозу для жизни). Этот симптом встречается у 50-98% пациенток и не должен быть оставлен без должного внимания. Любые патологические маточные кровотечения у женщин с репродуктивным анамнезом следует рассматривать как возможное проявление хориокарциномы.
Еще один признак — увеличение объема матки, не соответствующее сроку гестации. Уже на 4-5 неделе беременности размеры матки могут становиться больше нормы. К симптомам заболевания также можно отнести постоянную тошноту, многократную рвоту и поздний гестоз.
Признаки метастазирования практически не выражены, что еще больше затрудняет диагностику хориокарциномы. При поражении головного мозга возможно появление неврологической симптоматики в виде головной боли, нарушения движений и чувствительности в конечностях, рвоты, судорог. Метастазы в легких могут сопровождаться дыхательной недостаточностью (одышка, синюшность носогубного треугольника) и сухим надсадным кашлем, который сопровождается кровохарканьем. Поражение влагалища и вульвы может сопровождаться образованием безболезненных опухолевых узлов насыщенного багрового цвета.
Важную роль в выявлении заболевания играет правильно и детально собранный акушерско-гинекологический анамнез. После беседы с пациенткой проводится гинекологический осмотр с помощью зеркал, двуручное исследование и забор мазков. Среди методов лабораторно-инструментальной диагностики применяются:
- определение концентрации ХГ и плацентарного лактогена в сыворотке крови;
- трансвагинальное УЗ-исследование и контрастная компьютерная томография органов малого таза;
- МРТ репродуктивной системы и рядом расположенных анатомических структур.
Обязательно проводятся рутинные исследования в виде общих анализов крови, мочи, электрокардиограммы, определения гормонального статуса. Для поиска отдаленных метастазов используются методы визуализации: рентгенография, контрастная компьютерная и магнитно-резонансная томография органов грудной клетки, брюшной полости, головного мозга.
Лечение
План лечения хориокарциномы зависит от ее морфологических характеристик, локализации и распространенности, выраженности клинических симптомов и уровня ХГ. Основной метод лечения — химиотерапевтический. Он может использоваться как самостоятельно, так и в комплексе с хирургическим лечением или лучевой терапией.

Выбор химиотерапевтического режима определяется индивидуально. Стандартная химиотерапия первой линии состоит из двух препаратов — метотрексата и лейковорина. Они обладают цитотоксическим действием на опухолевые клетки, способствуя их гибели. Лечение продолжается до стабилизации концентрации ХГ. В дальнейшем проводятся сеансы профилактической химиотерапии в количестве до 3-4.
При обнаружении признаков нечувствительности хориокарциномы к лечению, схему меняют. Достоверными критериями резистентной опухоли является плато или увеличение концентрации ХГ в нескольких последовательно проведенных анализах в течение 10-14 дней.
Еще один метод лечения — хирургический. В последнее время оперативные вмешательства используются весьма ограниченно — предпочтение отдается комбинированной химиотерапии. Из хирургических способов лечения применяется органосохраняющая операция, предполагающая иссечение только злокачественного новообразования. Она может проводиться пациенткам детородного возраста в следующих случаях:
- перфорация хориокарциномой маточной стенки и последующим внутрибрюшным кровотечением;
- резистентность хориокарциномы к химиотерапевтическому лечению;
- отсутствие гематогенного метастазирования.
При больших размерах хориокарциномы может быть проведена экстирпация матки вместе с придатками. После иссечения хориокарциномы возможно проведение курсов химиотерапии. Их необходимость определяется по результатам еженедельного контроля концентрации ХГ в сыворотке крови. При наличии отдаленных метастазов также проводится химиотерапия по имеющимся схемам.
В состав комплексной терапии обязательно добавляют симптоматическое лечение: обезболивающие, противовоспалительные, антибактериальные, спазмолитические средства, глюкокортикостероиды, мочегонные препараты. Лечение пациенток проводится только в узкоспециализированных стационарах с участием нескольких врачей (онкогинеколог, химиотерапевт, невролог или нейрохирург, врач-терапевт, пульмонолог).
При своевременном лечении прогноз благоприятный. Хориокарцинома и ее отдаленные метастазы хорошо поддаются химиотерапии. По завершению курса лечения полного выздоровления удается добиться в подавляющем большинстве случаев (90%).
Все пациентки, имеющие в анамнезе трофобластическую опухоль, подлежат диспансерному наблюдению не менее 5 лет. Кратность профилактических осмотров определяется лечащим врачом. В первый год их количество может составлять 3-4, в дальнейшем контрольные осмотры назначают 1 раз в год.
Холангиокарцинома
Холангиокарцинома – это злокачественная опухоль желчных протоков. Симптомы заболевания в основном связаны с холестазом (желтуха, кожный зуд), также у больных могут возникать боли в правом подреберье, резкая потеря массы тела. Для постановки диагноза используют УЗИ органов брюшной полости, компьютерную томографию (КТ), позитрон-эмиссионую томографию (ПЭТ), магнитно-резонансную томографию (МРТ), чрескожную холангиографию, определение онкомаркеров в крови. Основной метод лечения холангиокарциномы – оперативный. Химиотерапия и радиотерапия используются в комплексе с хирургическим методом или в качестве паллиативного лечения.



Холангиокарцинома – злокачественное новообразование, которое развивается из клеток эпителия желчных протоков. Встречается на всех континентах, но больше распространена в Юго-Восточной Азии. Частота выявления холангиокарциномы в странах Европы и Северной Америки - 1-3 случая на 100 тысяч населения, в Японии – 5,5 случаев, в Израиле около 7 случаев. Холангиокарцинома составляет приблизительно 3% от всех злокачественных заболеваний желудочно-кишечного тракта.
Несмотря на то, что опухоль встречается не очень часто, проблема эта достаточно актуальна. Прогноз при данной патологии очень неблагоприятный. На сегодняшний день излечение холангиокарциномы возможно только при выявлении процесса на ранних стадиях. Первичную диагностику чаще всего проводит врач гастроэнтеролог, так как именно к нему сначала обращаются пациенты. Лечением занимаются хирурги и онкологи.
Причины холангиокарциномы
Этиология холангиокарциномы до конца не выяснена. К факторам риска относят желчнокаменную болезнь, врожденные пороки развития желчевыводящих путей. Высокую заболеваемость в странах Азии объясняют распространенностью на этой территории паразитарных заболеваний, таких как описторхоз и клонорхоз.
Многие специалисты отмечают увеличение частоты злокачественных опухолей желчевыводящих путей у пациентов с первичным склерозирующим холангитом, хроническими воспалительными заболеваниями кишечника, такими как болезнь Крона или неспецифический язвенный колит. Также холангиокарциному связывают с воздействием токсических веществ, например диоксида тория, который используют в качестве рентгенконтрастного препарата. Связь между гепатитом С и холангиокарциномой до конца не установлена.
Предположительно, опухоли формируются из-за повреждения клеток эпителия желчевыводящих путей (механического либо токсического). По гистологической структуре большая часть из них является аденокарциномой (опухоль, развивающаяся из железистой ткани), только 10% идентифицируют, как сквамозокарциному (плоскоклеточный рак). По своей структуре холангиокарцинома плотная, железистого строения, белого цвета, иногда мало отличается от участков, пораженных склерозирующим холангитом.
По локализации различают следующие виды холангиокарциномы: внутрипеченочные, внепеченочные в области бифуркации общего желчного протока (наиболее частая локализация), внепеченочные дистальные опухоли, возникающие на отрезке между фатеровым сосочком и верхним краем поджелудочной железы.
Кроме того, для классификации используют систему TNM, где T (tumor) определяет глубину прорастания опухоли, N (nodulus) – наличие или отсутствие метастазов в региональных лимфатических узлах, M (metastasis) – наличие или отсутствие отдаленных метастазов.
Размеры и степень распространения опухолевого процесса:
- Tx – опухоль невозможно оценить;
- T0 – признаков, свидетельствующих о наличии опухоли, нет;
- Tis – карцинома либо опухоль in situ (на месте);
- T1 – опухоль ограничивается пределами желчных протоков, прорастает в слой гладких мышц и в фиброзный;
- T2a – распространение опухоли за пределы желчных протоков и окружающей их ткани;
- T2b – распространение опухоли на близлежащие печеночные ткани;
- T3 – распространение опухоли на печеночные артерии и воротную (портальную) вену;
- T4 – прорастание опухолью печеночных протоков либо вовлечение в процесс близлежащих вен и артерий.
Вовлечение лимфатических узлов: Nx – невозможно оценить степень вовлечения регионарных лимфоузлов в процесс; N0 – отсутствуют какие-либо метастазы в регионарных лимфоузлах; N1 – есть метастазы в разных регионарных лимфоузлах, которые располагаются вдоль вен, желчных протоков и артерий брюшной полости; N2 – поражены лимфоузлы вдоль верхних мезентеральных артерий либо вдоль чревной артерии, вблизи других органов брюшной полости. Оценка метастазов: Mx – неизвестно или невозможно определить, есть ли метастазы; M0 – метастазов у пациента нет; M1 – выявлены отдаленные метастазы.
По характеру роста холангиокарциному классифицируют следующим образом:
- инфильтративная (проявляется диффузным прорастанием стенок пузыря и окружающих тканей);
- полиповидная (растет в просвет протоков, часто имеет тонкую ножку);
- экзофитная (прорастает на внешнюю сторону желчных протоков);
- смешанная (имеет характеристики всех вышеперечисленных типов).

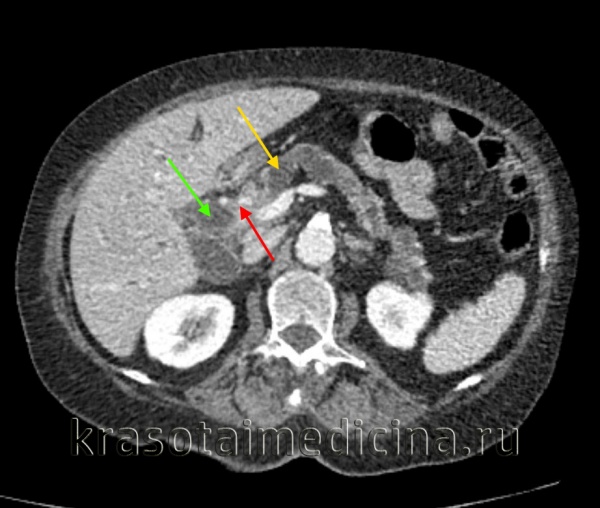
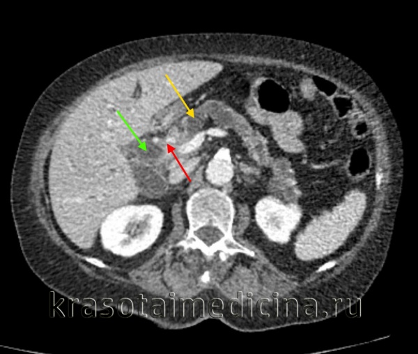
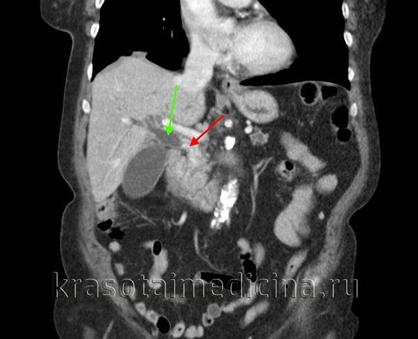
КТ ОБП. Внутрипротоковая холангиокарцинома (опухоль Клацкина) холедоха (красная стрелка). Расширенный холедох (зеленая стрелка). Расширенный главный панкреатический проток (желтая стрелка).
Симптомы холангиокарциномы
Первые симптомы обычно связаны с непроходимостью желчных протоков. Больной обращается с жалобами на пожелтение кожных покровов, зуд. Часто наблюдается потемнение мочи и обесцвечивание каловых масс. Из-за нарушения усвоения жиров пациенты теряют вес. Снижение массы тела также может быть связано с отсутствием аппетита, тошнотой, рвотой, раковой интоксикацией. На поздних стадиях заболевания появляются боли в правом подреберье.
Холангиокарцинома может осложняться холангитом (воспалением желчных протоков). У больных повышается температура, появляются симптомы лихорадки. Если опухоль возникла на фоне склеротических процессов или при желчнокаменной болезни, отмечается ухудшение состояния пациента. Усиливаются боли, желтушность, зуд, появляется слабость, тошнота, снижение аппетита.
Симптомы холангиокарциномы не являются специфическими. Поставить диагноз исключительно на основе анамнеза и осмотра практически невозможно. Для уточнения данных используются инструментальные и лабораторные методы:
- Биохимические анализы. Обычные биохимические пробы печени дают информацию о степени нарушения функции этого органа, но не позволяют провести точную диагностику холангиокарциномы. В крови выявляют повышение билирубина за счет прямой фракции, щелочной фосфатазы. Аланинаминтрансфераза и аспартатаминотрансфераза, уровень альбуминов обычно в пределах нормы.
- Онкомаркеры. Большее значение для диагностики холангиокарциномы имеют специфические маркеры онкологических заболеваний. У больных выявляют антиген СА 19-9, хотя повышенный уровень его может наблюдаться и при раке поджелудочной железы или холангите. Значительное повышение антигена до 100 U/ml и больше у пациентов с хроническим холангитом, скорее всего, свидетельствует в пользу холангиокарциномы. Иногда можно выявить повышение карциноэмбрионального антигена; альфа-фетопротеин в пределах нормы.
- Эхография. Чаще всего для диагностики холангиокарциномы на начальном этапе обследования используют УЗИ печени и желчного пузыря. Этот метод позволяет выявить опухоли большого размера, расширение протоков на некоторых участках. Допплерометрия сосудов печени определяет изменения в кровотоке, которые свидетельствуют о наличии новообразования. Опухоли маленького размера часто не визуализируются.
- Томография. Компьютерная томография (КТ) желчевыводящих путей несколько более информативна. Она помогает выявить увеличение лимфатических узлов, увидеть опухоли меньшего размера. МСКТ органов брюшной полости определяет уровень обструкции желчных путей. Усовершенствованная позитронно-эмиссионная томография дает возможность увидеть опухоли размером меньше 1 сантиметра узлового типа. Но с помощью этой методики трудно выявить инфильтрационные формы холангиокарциномы.
- Контрастная рентгенография. Для уточнения диагноза используют и некоторые рентгенографические методы исследования. Эндоскопическая ретроградная холецистография проводится с целью выявления места обструкции, патологических изменений в области фатерова сосочка. Метод позволяет взять материал для гистологического анализа. Чрескожная чреспеченочная холангиография проводится перед оперативным вмешательством. Она помогает выявить холангиокарциному в месте бифуркации общего желчного протока.
- МРТ. Наиболее информативным методом на сегодняшний день является магнитно-резонансная томография (МРТ) печени и желчных путей. Метод неинвазивный, не требует введения контраста, следовательно, достаточно безопасный. МРТ печени позволяет увидеть желчные протоки и сосудистые структуры в трехмерном изображении, выявить опухоли небольшого размера, правильно оценить степень поражения, определить тактику операции и дальнейший прогноз для пациента.
Заболевание приходится дифференцировать с острыми вирусными гепатитами, лептоспирозом, холангитом, камнями или склеротическими процессами в желчном пузыре, циррозом печени, раком головки поджелудочной железы.

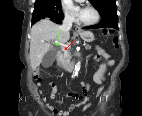
КТ ОБП (этот же пациент). Опухоль Клацкина холедоха (красная стрелка). Расширенный просвет холедоха до зоны обструкции (зеленая стрелка).
Лечение холангиокарциномы
Основной метод лечения холангиокарциномы – оперативный, хотя он показан не во всех случаях. Если размеры опухоли небольшие, и она не прорастает стенки желчных протоков, проводится холедохотомия. В более сложных ситуациях показана резекция доли печени (лобэктомия). Крупная опухоль с поражением близлежащих структур требует более радикального вмешательства. В таких случаях проводят операцию Уиппла: удаляется часть печени, желудка и двенадцатиперстной кишки, желчный пузырь с протоками, поджелудочная железа и регионарные лимфатические узлы.
Консервативное лечение холангиокарциномы осуществляют после хирургического вмешательства или в тех случаях, когда операцию выполнить невозможно (паллиативная терапия). Оно включает химиотерапию и лучевую терапию. Для химиотерапии чаще всего используют 5-фторурацил. Также проводят курсы с гемцитабином, цисплатином.
Прогноз при холангиокарциноме неблагоприятный. В среднем выживаемость пациентов составляет 14 месяцев. Если опухоль выявлена вовремя, благодаря лечению жизнь пациента можно продолжить до трех и даже до пяти лет. Но поскольку в начальной стадии заболевание проходит практически бессимптомно, случаи ранней диагностики редки.
Основа профилактики холангиокарциномы – адекватное лечение тех болезней, которые могут привести к злокачественному перерождению. Это камни в желчном пузыре, склеротические процессы, гельминтозы, хронические воспалительные заболевания толстого кишечника.
Читайте также:
