Лечение хронической систолической сердечной недостаточности - мочегонные средства
Добавил пользователь Евгений Кузнецов Обновлено: 26.11.2025
Моксонидин и рилменидин в большинстве клинических рекомендаций рассматриваются как антигипертензивные препараты третьего или четвертого ряда. В некоторых клинических рекомендациях они не упоминаются вовсе.
Относительно небольшая роль стимуляторов центральных имидазолиновых рецепторов в лечении больных с сердечно-сосудистыми заболеваниями, в первую очередь, определяется ограниченной доказательной базой и результатами неудачного исследования MOXCON.
Первые антигипертензивные средства в большинстве случаев относились к препаратам, влияющим на симпатический отдел вегетативной нервной системы, и были весьма эффективны для снижения уровня артериального давления. Однако в последующем такие средства не получили широкого распространения из-за большого числа побочных эффектов.
В настоящее время роль применения β-блокаторов в качестве антигипертензивных средств также уменьшилась, учитывая результаты мета-анализа [1], в ходе которого была отмечена менее высокая эффективность их использования по сравнению с антигипертензивными препаратами, относящимися к другим классам, для снижения риска развития инсульта. В настоящее время и α-адреноблокаторы применяют гораздо реже. Прежде всего, из-за высокой частоты развития таких побочных эффектов, как постуральная артериальная гипотония и артериальная гипотония, развивающаяся во время физических нагрузок. Кроме того, полученные в ходе выполнения исследования ALLHAT (Antihypertensive and Lipid-Lowering Treatment to Prevent Heart Attack Trial) [2] данные позволяли предположить, что применение α-адреноблокаторов сопровождается увеличением риска развития сердечной недостаточности у больных с артериальной гипертонией.
Какие же имеются антигипертензивные препараты для специфического воздействия на активность симпатического отдела вегетативной нервной системы при эссенциальной артериальной гипертонии или артериальной гипертонии, обусловленной болезнью почек? Должны ли препараты центрального действия, которые подавляют симпатическую активность, т.е. препараты, связывающиеся с имидазолиновыми рецепторами — моксонидин и рилменидин, применяться у больных с эссенциальной артериальной гипертонией?
Применение таких препаратов приводит к подавлению влияния симпатического отдела вегетативной нервной системы на сердце, почки и сосуды мышц. В целом прием таких препаратов не сопровождается побочными эффектами, которые были характерны для их предшественника — клонидина. Особенно важно, что пропуск в приеме таких средств не сопровождается рикошетным повышением АД, которое отмечалось после пропуска приема клонидина.
Тем не менее, на сегодняшний день моксонидин и рилменидин в большинстве клинических рекомендаций рассматриваются как антигипертензивные препараты третьего или четвертого ряда. В некоторых клинических рекомендациях они не упоминаются вовсе. По мнению экспертов [3], роль препаратов, относящихся к такому классу, может измениться, особенно при лечении больных с артериальной гипертонией, связанной с ожирением, при которой подавление симпатических импульсов к скелетным мышцам, может уменьшить выраженность резистентности к инсулину [4].
Очевидно, что главным препятствием к более широкому использованию моксонидина и рилменидина остается отсутствие данных о влиянии их применения на частоту развития неблагоприятных клинических исходов, которую можно надежно оценить только в ходе выполнения крупных рандомизированных клинических исследований.
Следует также отметить, что не во всех случаях снижение концентрации норадреналина в крови может сопровождаться положительным влиянием на риск развития осложнений сердечно-сосудистых заболеваний. Известно, что в начале лечения хронической сердечной недостаточности (ХСН) ингибиторами ангиотензинпревращающего фермента и β-блокаторами может отмечаться отрицательное влияние на гемодинамику или функцию почек.
Таким образом, начальное воздействие на концентрацию норадреналина в крови должно быть осторожным. Результаты международного многоцентрового рандомизированного плацебо-контролируемого исследования MOXCON (Moxonidine Congestive Heart Failure) подтверждают такое мнение.
Напомним, что исследование MOXCON [5] было разработано для проверки гипотезы о том, что прием моксонидина (препарат с замедленным высвобождением действующего вещества по 0,25—1,25 мг 2 раза в сутки) по сравнению с плацебо в дополнение к приему ингибиторов ангиотензинпревращающего фермента, диуретиков и/или сердечных гликозидов приведет к снижению общей смертности больных с ХСН, которая соответствует II—IV функциональному классу по классификации NYHA. Критерием исключения из исследования был прием β-блокаторов в течение месяца до рандомизации.
Исследование MOXCON было прекращено досрочно в начале 1999 г. в связи с получением данных о более высокой смертности в группе активной терапии по сравнению с группой плацебо. В целом из 1973 больных, включенных в исследование, 82 больных умерли: в группе моксонидина и группе плацебо 53 и 29 больных соответственно (p=0,002). Таким образом, неожиданно существенное снижение концентрации норадреналина в крови на 40—50% уже в течение первых 2—3 недель за счет приема моксонидина сопровождалось статистически значимым увеличением смертности больных более чем на 50%. Причем увеличение смертности отмечалось преимущественно в течение первых 4 недель после начала терапии. Полученные результаты позволили считать, что слишком выраженное и быстрое уменьшение симпатической стимуляции сердца может приводить к ухудшению прогноза больных с ХСН [6].
Диуретики в современной терапии хронической сердечной недостаточности
Распространенность сердечной недостаточности в европейской популяции составляет от 0,4 до 2%. Частота ее быстро увеличивается с возрастом. В отличие от других распространенных сердечно-сосудистых заболеваний, смертность от сердечной недостаточности, скорректированная по возрасту, также повышается. Если не удается установить причину сердечной недостаточности, то прогноз неблагоприятный. Около половины больных с этим диагнозом умирают в течение 4 лет, а среди пациентов с тяжелой сердечной недостаточностью летальность в течение 1 года превышает 50% [1]. К числу основных достижений в изучении сердечной недостаточности можно отнести установление патогенетической роли нейрогуморальных систем, которое позволило коренным образом пересмотреть подходы к лечению этого состояния. В настоящее время большое внимание уделяется не только купированию симптомов, но и профилактике прогрессирования сердечной недостаточности и смерти. С этой целью чаще всего используют ингибиторы ангиотензинпревращающего фермента (АПФ) и β-адреноблокаторы. Среди последних доказанной эффективностью у больных сердечной недостаточностью обладают карведилол, метопролол и бисопролол. Хотя блокаторы нейрогуморальных систем улучшают прогноз больных сердечной недостаточностью и задерживают ее прогрессирование, они обычно не оказывают непосредственного влияния на клинические проявления этого состояния. Более то-го, неосторожное применение β-адреноблокаторов при декомпенсации сердечной недостаточности может при-вести к нарастанию симптомов за счет отрицательного инотропного действия, в то время как ингибиторы АПФ нередко вызывают артериальную гипотонию. В связи с этим назначение блокаторов нейрогуморальных систем не отменяет необходимость в использовании стандартных средств, прежде всего диуретиков. Важность адекватной диуретической терапии демонстрирует следующее наблюдение.
Больной В., 48 лет, инженер, обратился в клинику в феврале 2006 года с жалобами на одышку при ходьбе по ровному месту, приступы удушья, возникающие в положении лежа, сердцебиения, выраженные отеки ног, периодически тупые ноющие боли в области сердца, не снимающиеся нитроглицерином, тяжесть в правом подреберье. Одышка появилась около 2 лет назад. Первоначально она возникала только при подъеме по лестнице, однако постепенно нарастала. Иногда беспокоили боли в области сердца, не связанные с физической нагрузкой. При обследовании по месту жительства АД 125/80 мм рт. ст. Уровень общего холестерина сыворотки 152 мг/дл. На ЭКГ блокада левой ножки пучка Гиса. При эхокардиографии выявлена умеренная дилатация левого желудочка и снижение фракции выброса до 43%. Диагностированы ИБС, стенокардия II функционального класса, атеросклероз с поражением коронарных артерий. Проводилась терапия изосорбида динитратом в дозе 20 мг два раза в день и эналаприлом в дозе 5 мг/сут без особого эффекта. Ухудшение состояния с лета прошлого года: усилилась одышка, появились приступы сердечной астмы, утомляемость, отеки ног, увеличение живота, уменьшилось количество выделяемой мочи. Кардиолог в поликлинике расценил развитие сердечной недостаточности как следствие ИБС. От госпитализации больной отказался. К терапии были добавлены дигоксин в дозе 0,25 мг/сут, фуросемид по 40 мг через день, доза эналаприла увеличена до 10 мг/сут. В результате лечения самочувствие улучшилось: уменьшились одышка и отеки, улучшился сон, увеличился диурез.
Спустя 2-3 месяца вновь отмечено ухудшение состояния. Беспокоила одышка при небольшой физической нагрузке, определялись распространенные отеки, асцит. Больной ежедневно принимал фуросемид по 80 мг, однако добиться существенного увеличения диуреза не удавалось. На фоне активной диуретической терапии наблюдалось снижение уровня калия до 3,2 ммоль/л. Доза эналаприла была увеличена до 20 мг/сут, но затем ее пришлось снизить из-за артериальной гипотонии (90/55 мм рт. ст.). После присоединения спиронолактона в дозе 100 мг/сут отеки несколько уменьшились, однако выраженная одышка, приступы сердечной астмы и склонность к гипокалиемии сохранялись.
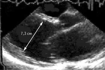
При поступлении в клинику состояние средней тяжести. Ортопноэ. Цианоз лица. Выраженные отеки ног. В легких выслушиваются незвонкие мелкопузырчатые хрипы в нижних отделах легких. Частота сердечных сокращений 92 в минуту. АД 110/70 мм рт. ст. Тоны сердца глухие, систолический шум на верхушке сердца. Живот увеличен в объеме за счет свободной жидкости. Размер печени по Курлову 10/4-10-8 см. Селезенка не увеличена. На ЭКГ блокада левой ножки пучка Гиса. При рентгенографии выявлено увеличение сердца в размерах, усиление легочного рисунка за счет застоя жидкости. При эхокардиографии обнаружены дилатация всех камер сердца (диастолический размер левого желудочка 7,3 см) и снижение фракции выброса левого желудочка до 23% (рис. 1). Уровень калия крови — 3,3 ммоль/л, общего холестерина сыворотки — 128 мг/дл, холестерина липопротеидов низкой плотности 82 мг/дл.

Рис. 1. Выраженная дилатация левых камер сердца на эхокардиограмме
Таким образом, у больного была выявлена картина дилатационного поражения сердца, которое характеризовалось значительным ухудшением насосной функции левого желудочка и тяжелой сердечной недостаточностью, рефрактерной к проводимой терапии. При отсутствии артериальной гипертонии и порока сердца в таких случаях в первую очередь следует исключать ИБС и алкогольную кардиомиопатию. Диагноз атеросклероза коронарных артерий представлялся маловероятным, учитывая отсутствие стенокардии и инфаркта миокарда в анамнезе, а также основных факторов риска, хотя исключить этот диагноз можно только с помощью коронарной ангиографии. По словам больного и его родственников, алкоголь практически не употребляет. Возможными причинами дилатационного поражения сердца являются также миокардит, эндокринные (гипотиреоз, акромегалия), системные (саркоидоз, наследственный гемохроматоз, системная склеродермия), нейромышечные заболевания, лучевая терапия, прием антрациклинов. Данных в пользу указанных заболеваний получено не было. Следует отметить, что исключить миокардит на основании клинической картины сложно, однако выполнение биопсии миокарда не представлялось возможным. Диагностирована дилатационная кардиомиопатия, хроническая сердечная недостаточность III функционального класса.
В клинике проводилось внутривенное введение дигоксина и фуросемида, увеличены дозы эналаприла до 20 мг/сут и спиронолактона до 150 мг/сут. В последующем фуросемид был заменен на торасемид (Диувер) в дозе 20 мг/сут. В результате лечения значительно уменьшились одышка и размеры печени, прекратились приступы сердечной астмы, практически полностью прошли отеки. Уровень калия повысился до 4 ммоль/л. После выписки продолжал прием дигоксина в дозе 0,25 мг/сут, торасемида в дозе 20 мг 2-3 раза в неделю, эналаприла в дозе 20 мг/сут. Спиронолактон был постепенно отменен. При этом уровень калия оставался нормальным. При применении торасемида отсутствовала проблема срочного диуреза, развивавшегося в первые 2 ч после приема фуросемида. Начата терапия карведилолом в дозе 3,125 мг два раза в сутки, которую постепенно увеличили до 25 мг два раза в сутки. При амбулаторном обследовании через 2 месяца состояние остается стабильным. Беспокоит умеренно выраженная одышка, однако отеки отсутствуют. При эхокардиографии выявлено уменьшение диастолического размера левого желудочка до 6,5 см и увеличение фракции выброса до 32%.
Дилатационная кардиомиопатия - это тяжелое заболевание сердечной мышцы, которое обычно характеризуется прогрессирующим течением. Этиология его остается неизвестной, поэтому лечение предполагает применение патогенетических средств, позволяющих уменьшить проявления сердечной недостаточности и задержать ее прогрессирование. В терминальной стадии показана трансплантация сердца. Всем больным следует назначать ингибиторы АПФ и β-адреноблокаторы, однако при нарастании застойной сердечной недостаточности ключевое значение имеет адекватная диуретическая терапия. В руководстве Европейского общества кардиологов по диагностике и лечению сердечной недостаточности содержатся следующие рекомендации по применению диуретиков [1]:
При наличии задержки жидкости, сопровождающейся застоем крови в легких или периферическими отеками, диуретики являются необходимым компонентом симптоматического лечения сердечной недостаточности. Их применение приводит к быстрому уменьшению одышки и увеличению толерантности к физической нагрузке (класс рекомендации I, уровень доказанности А),
В контролируемых рандомизированных исследованиях влияние диуретиков на симптомы и выживаемость больных не изучалось. Диуретики следует всегда назначать в комбинации с ингибиторами АПФ и β-адреноблокаторами (класс рекомендации I, уровень доказанности С).
Таким образом, эксперты рекомендуют назначать диуретики всем больным сердечной недостаточностью II-IV функционального класса. Влияние мочегонных средств на выживаемость таких пациентов не изучалось в длительных контролируемых исследованиях, однако их проведение нецелесообразно и неэтично, учитывая явный симптоматический эффект препаратов этой группы. Кроме того, протоколы всех исследований ингибиторов АПФ и β-адреноблокаторов у больных застойной сердечной недостаточностью предполагали обязательное применение стандартных средств, прежде всего диуретиков. В связи с этим монотерапия ингибитором АПФ или β-адреноблокатором обоснована только у больных с бессимптомной дисфункцией левого желудочка, например, после инфаркта миокарда.
При легкой сердечной недостаточности могут быть назначены тиазидные диуретики, однако по мере прогрессирования нарушений кровообращения обычно требуется применение петлевого диуретика. В эквивалентных дозах все петлевые диуретики вызывают сопоставимое увеличение диуреза. Снижение их эффективности может быть связано с ухудшением функции почек или нарушением всасывания фуросемида в желудочно-кишечном тракте. Возможные подходы к преодолению резистентности к петлевым диуретикам включают в себя увеличение их дозы, внутривенное введение (в том числе путем непрерывной инфузии), присоединение тиазида или спиронолактона (особенно при наличии гипокалиемии несмотря на прием ингибитора АПФ). В рекомендациях Европейского общества кардиологов (2005 г.) указано, что при снижении эффективности фуросемида его можно заменить на торасемид, так как биодоступность последнего не снижается у больных сердечной недостаточностью. Приведенное наблюдение подтверждает, что применение торасемида позволяет улучшить результаты лечения тяжелой сердечной недостаточности.
Главным преимуществом торасемида (Диувера) является высокая биодоступность, которая в разных исследованиях составляла 79-91% и превосходила таковую фуросемида (53%) [2]. Высокая и предсказуемая биодоступность определяет "надежность" диуретического действия торасемида. Торасемид обладает достаточно длительным периодом полувыведения (3-5 ч), в то время как длительность периода полувыведения фуросемида, буметанида и пиретанида составляет около 1 ч [2]. Благодаря этому торасемид действует длительнее фуросемида. Торасемид биотрансформируется в печени с образованием нескольких метаболитов. Только 25% дозы выводится с мочой в неизмененном виде (против 60-65% при приеме фуросемида и буметанида). В связи с этим фармакокинетика торасемида существенно не зависит от функции почек, в то время как период полувыведения фуросемида увеличивается у больных почечной недостаточностью. Этот факт имеет важное значение, так как при наличии выраженного застоя крови по большому кругу кровообращения функция почек обычно ухудшается. Действие торасемида, как и других петлевых диуретиков, начинается быстро. При внутривенном введении оно достигает пика в течение 15 мин. Доза торасемида 10-20 мг эквивалента 40 мг фуросемида. При увеличении дозы (до 200 мг) наблюдалось линейное повышение диуретической активности.
К настоящему времени опубликованы результаты ряда контролируемых клинических исследований торасемида, в которых его сравнивали с фуросемидом. Например, в самом крупном исследовании TORIC (Torasemide In Congestive Heart Failure) изучали эффективность и безопасность торасемида 10 мг/сут и фуросемида 40 мг/сут или других диуретиков у 1377 больных хронической сердечной недостаточностью II-III функционального класса [3]. Торасемид по эффективности имел достоверные преимущества перед фуросемидом/другими диуретиками. Так, функциональный класс по NYHA уменьшился у 45,8 и 37,2% больных двух групп соответственно (р=0,00017; рис. 2). Более того, лечение торасемидом привело к 2-кратному снижению летальности больных по сравнению с контролем (с 4,5 до 2,2%; р<0,05).
Рис. 2. Эффективность и безопасность торасемида и фуросемида в исследовании TORIC (% больных)
Как и все петлевые диуретики, торасемид действует на восходящую часть петли Генле, где он ингибирует реабсорбцию натрия и хлоридов. В отличие от фуросемида, торасемид блокирует также эффекты альдостерона и, соответственно, в меньшей степени усиливает экскрецию калия [1]. Это препятствует развитию гипокалиемии, которая является одним из главных побочных эффектов петлевых и тиазидных диуретиков, что подтверждает и наше наблюдение. В острых пробах увеличение доз торасемида сопровождалось линейным ростом диуреза и экскреции натрия и хлоридов, в то время как сходные изменения выведения калия выявлены не были [1]. В клинических исследованиях торасемид оказывал минимальное влияние на сывороточный уровень калия, который оставался стабильным даже при длительном применении препарата в дозах 5-20 мг. В исследовании TORIC частота гипокалиемии при лечении торасемидом была значительно ниже, чем при использовании других диуретиков (р=0,013).
Блокада рецепторов альдостерона под действием торасемида не только снижает риск развития гипокалиемии, но теоретически может препятствовать прогрессирующему ремоделированию левого желудочка. M.Yamato и соавт. [6] в рандомизированном открытом 6-месячном исследовании сопоставили эффективность торасемида и фуросемида у 50 больных хронической сердечной недостаточностью II-Ш функционального класса, которые не ответили на лечение фуросемидом в низкой дозе и ингибиторами АПФ. Пациентов основной группы переводили на торасемид в дозе 4-8 мг/сут, в то время как больные группы сравнения продолжали прием фуросемида в прежней дозе (20-40 мг/сут). Терапия торасемидом в течение 6 мес привела к снижению конечного диастолического размера (р<0,005) и индекса массы миокарда левого желудочка (р<0,005), улучшению параметров его наполнения в диастолу, а также снижению концентрации натрийуретического пептида (р<0,001) и увеличению активности ренина (р<0,005) и альдостерона (р<0,001) плазмы. В группе фуросемида сходные изменения отсутствовали. По мнению авторов, они могли объясняться блокадой рецепторов альдостерона под действием торасемида.
Целесообразность присоединения карведилола - неселективного β-адреноблокатора, оказывающего также блокирующее действие на a1-адренорецепторы - к терапии мочегонными средствами, сердечными гликозидами и ингибиторами АПФ была продемонстрирована в исследовании COPERNICUS, в которое были включены 2289 пациентов с фракцией выброса левого желудочка менее 25% [7]. Длительность терапии карведилолом (целевая доза 25 мг два раза в сутки) или плацебо составляла в среднем 10,4 мес. В группе карведилола риск смерти от любых причин снизился на 35% (р=0,00013), а смерти или госпитализации - на 24% (р<0,001). Результаты лечения были сопоставимыми в различных подгруппах больных, в том числе с недавно развившейся декомпенсацией сердечной недостаточности. Благоприятный эффект карведилола проявлялся уже в первые несколько недель после начала терапии.
Лечение хронической систолической сердечной недостаточности - мочегонные средства
Вазодилататоры при хронической систолической сердечной недостаточности
Цель терапии вазодилататорами (сосудорасширяющими средствами) — снизить сопротивление, которое желудочек встречает при сокращении, увеличивая тем самым эффективность работы желудочка при любой степени сократимости миокарда.
Нагрузка на желудочек уменьшается за счет снижения систолического артериального давления, а также за счет уменьшения размера желудочка, что ослабляет натяжение его стенки при любом развиваемом давлении.
Кроме того, вазодилататоры используются для уменьшения давления заполнения, коррекции симптомов легочного застоя и для борьбы с неадекватной вазоконстрикцией, которая в конце концов приводит к ухудшению состояния больных с застойной сердечной недостаточности.
Препараты группы нитратов (например, изосорбида динитрат; 10-40 мг 3 раза в день) в течение долгого времени оставались частью стандартной терапии пациентов с симптомами застойной сердечной недостаточности.
Нитраты по преимуществу расширяют венозное русло, уменьшая явления легочного застоя, и применяются внутривенно при остром застое в легких. Прямые артериальные дилататоры празозин (Minipress, минипресс; 1-5 мг 2-3 раза в день) и гидралазин (Apresoline, апресолин; 10-50 мг 4 раза в день) могут облегчить симптомы, обусловленные низким выбросом, за счет разгрузки ЛЖ.

Использование комбинации гидралазина и изосорбида динитрата приводило к снижению смертности. Однако при длительном приеме данных медикаментов возможно ослабление их эффектов.
Было установлено, что назначение ингибиторов ангиотензинпревращающего фермента (АПФ) способствует уменьшению симптоматики и снижает смертность в большей степени, чем прием прямых вазодилататоров у больных как с легкой, так и с выраженной застойной сердечной недостаточностью.
Их применение также предотвращает переход бессимптомной дисфункции ЛЖ в явную сердечную недостаточность и развитие многих других осложнений со стороны сердечно-сосудистой системы у больных со сниженной фракцией выброса и недавними инфарктами.
Следовательно, пациенты с широким спектром клинических проявлений — от бессимптомной дисфункции ЛЖ до выраженной или декомпенсированной застойной сердечной недостаточности — должны получать терапию ингибиторами АПФ (такими как каптоприл — Capoten, капотен; 6,25-25 мг 3 раза в день или эналаприл — Vasotec, вазотек; 2,5-40 мг в день в один или два приема) при отсутствии специфических противопоказаний.
Препараты нового класса — прямые блокаторы рецепторов ангиотензина — оказывают такой же гемодинамический эффект, как и ингибиторы АПФ, но их побочное действие гораздо слабее. Эти лекарственные средства способны обеспечить более полную блокаду эффектов ангиотензина II, чем ингибиторы АПФ, поскольку последние не подавляют независимые от АПФ пути образования ангиотензина II, тогда как прямые блокаторы рецепторов ангиотензина блокируют любой эффект ангиотензина II.
Преимущества использования этих лекарств в лечении пациентов с сердечной недостаточностью сейчас изучаются.
Блокаторы кальциевых каналов, как правило, не рекомендуются для лечения пациентов с сердечной недостаточностью, однако недавно установлено, что амлодипин является безопасным антигипертензивным средством для таких пациентов.
Видео этиология, патогенез сердечной недостаточности систолической, диастолической, лево- и правожелудочковой
Редактор: Искандер Милевски. Дата обновления публикации: 18.3.2021
При лечении пациента с хронической застойной сердечной недостаточностью необходимо попытаться прежде всего воздействовать на любую возможно обратимую причину данного синдрома. Коррекция гипертензии уменьшит избыточную нагрузку на сердце.
У больных с ишемической кардиомиопатией в плохо сокращающемся, но жизнеспособном миокарде, который снабжается кровью пораженными сосудами, возможно улучшение систолической функции после выполнения чрескожной внутрисосудистой коронарной ангиопластики (ЧВКА) или после операции шунтирования.
Таким образом, хотя больных со сниженной функцией ЛЖ и относят, как правило, к группе высокого операционного риска при проведении реваскуляризационных вмешательств, существенные преимущества таких вмешательств преобладают над риском. Клапанозамещающие или клапаносохраняющие операции у пациентов с застойной сердечной недостаточностью, развившейся вследствие патологии клапанов, также могут остановить прогрессирование желудочковой дисфункции.
Нужно упомянуть, что в соответствии с последними данными иммуносупрессивная терапия, направленная на лечение миокардитов вирусной или другой воспалительной этиологии, неэффективна.
После исчерпания этих возможностей нужно перейти к долгосрочным терапевтическим мероприятиям с целью стабилизации процесса. Крайне важны программы просвещения больных. Все пациенты с застойной сердечной недостаточностью должны получить подробные инструкции в отношении ограничений в диете (2 г в натрия день, низкое содержание жиров (холестерина) по показаниям), регулярного выполнения физических упражнений и правильного приема и возможных побочных эффектов лекарственных препаратов.

Как больные, так и члены их семей должны быть проинформированы об опасных жалобах и симптомах, появление которых требует госпитализации; члены семьи могут принять участие в программах обучения методам доврачебной реанимации.
Медикаментозная терапия застойной сердечной недостаточности достигла значительных успехов в течение последнего десятилетия. В настоящее время действие большинства эффективных препаратов направлено на прерывание порочного круга несостоятельной периферической адаптации и прогрессирующей нейрогуморальной активации.
Препараты другого типа действия все еще применяются как часть симптоматической терапии, хотя они и не приводят к увеличению продолжительности жизни. Ниже представлен обзор наиболее важных групп лекарственных препаратов.
Физическая подготовка при сердечной недостаточности. Все больше данных свидетельствует о пользе применения программ физической подготовки в терапии пациентов с сердечной недостаточностью. Выполнение в течение 12 недель стандартных тренировочных упражнений в объеме 70-80 % от пиковой аэробной мощности повышает способность пациентов с сердечной недостаточностью переносить физическую нагрузку. Недавние исследования показали, что регулярные физические упражнения меньшей интенсивности (< 50 % от пиковой аэробной мощности) приносят аналогичный эффект при более низких величинах внутрисердечного давления.
Необходимо проведение широкомасштабных исследований для оценки влияния длительных физических тренировок на показатели заболеваемости и смертности пациентов с сердечной недостаточностью.
Пациенты с сердечной недостаточностью, вызванной диастолической дисфункцией, должны быть обследованы для выявления таких обратимых причин, как поражения клапанов и ишемическая болезнь сердца. Лечение гипертензии может привести к обратному развитию гипертрофии ЛЖ и увеличению податливости его стенок. Как и при терапии систолической дисфункции, очень важен контроль потребления натрия и неуклонное следование режиму приема препаратов. Использование мочегонных средств с целью уменьшения легочного застоя и периферических отеков должно проводиться под тщательным наблюдением; избыточный диурез может еще больше снизить заполнение камер сердца. Сосудорасширяющие и инотропные препараты обычно не играют роли в лечении этих больных, так как у них объем желудочка находится в пределах от низкого до нормального и систолическая функция сохранена. К фармакологическим средствам, полезным при диастолической дисфункции, относят бета-блокаторы и блокаторы кальциевых каналов (например, пропранолол, 160-240 мг в день в несколько приемов, или верапамил, 120-360 мг в день в несколько приемов). Эти препараты удлиняют время заполнения желудочков, улучшают растяжимость стенок и снижают потребность миокарда в кислороде.
Состояние некоторых больных с гипертрофической обструктивной кардиомиопатией (идиопатический гипертрофический субаортальный стеноз) улучшается после хирургического иссечения части перегородки, вызывающей обструкцию (миоэктомия). В настоящее время исследуется двухкамерная кардиостимуляция как средство влияния на последовательность сокращения желудочка с целью уменьшения препятствия оттоку крови.

Мочегонные средства при хронической систослической сердечной недостаточности
Отеки голеней и (или) легочный застой часто служат ранними проявлениями сердечной недостаточности. Диуретики уменьшают симптомы застоя, развивающиеся в результате задержки жидкости и воды, и снижают повышенное внутрисердечное давление.
У больных со слабо и умеренно выраженными проявлениями заболевания начальная терапия тиазидным диуретиком (гидрохлоротиазид 25-50 мг ежедневно) будет способствовать уменьшению симптоматики. Лечение пациентов с более выраженными клиническими проявлениями обычно включает в себя применение петлевых диуретиков (например, фуросемид — Lasix, лазикс; 40-300 мг в день, общая доза и кратность введения зависят от клинического статуса и функции почек).
Если достигнутый диурез неадекватен, эффективность может быть повышена с помощью параллельного приема тиазидного диуретика или метолазона (Zaroxolyn, Diulo, Metenix; зароксолин, диуло, метеникс; 5-20 мг в день). Использование ингибитора альдостерона спиронолактона (Аldactone, альдактон; 25-200 мг в 1-2 приема ежедневно) также может усилить эффект через более длительный период времени. Внутривенные формы препаратов следует использовать у пациентов в состоянии декомпенсации, когда нарушено всасывание лекарств, принимаемых внутрь.
Применение мочегонных препаратов — часть стандартной терапии больных с застойной сердечной недостаточностью, однако оценка их эффективности должна сочетаться с учетом возможных побочных реакций. Избыточный диурез может привести к снижению сердечного выброса, что обусловит возникновение симптомов низкого кровотока и усугубит нарушение функции почек, проявляющееся возрастанием концентрации креатинина в сыворотке крови.
Кроме того, длительный прием диуретиков может вызвать электролитные нарушения, такие как гипокалиемия, которая способна провоцировать или усиливать летальные нарушения ритма, особенно у больных с риском смерти от аритмии или принимающих сердечные гликозиды. Терапия диуретиками должна выполняться под постоянным контролем концентрации калия и магния. Как только избыток жидкости выведен из организма, дозу мочегонных препаратов можно уменьшить или использовать лекарство периодически, чтобы избежать гиповолемии, гипокалиемии и гипомагниемии.
Инотропные средства при хронической систолической сердечной недостаточности
Применение инотропных лекарственных средств основывается на представлении о сниженной сократимости миокарда и возможности ее улучшения.
Сердечные гликозиды группы дигиталиса, которые повышают содержание кальция внутри клетки посредством блокады Nа+,К+-АТФазы поверхностной мембраны, увеличивают сердечный выброс и понижают периферическое сосудистое сопротивление при недостаточности желудочка.
В настоящее время препараты этой группы являются единственными имеющимися в наличии медикаментозными средствами для длительной пероральной терапии, и их полезные эффекты суммируются с таковыми у сосудорасширяющих средств, например ингибиторов АПФ.
Выявлено, что применение дигоксина (Lanoxin, ланоксин; 0,125-0,500 мг один раз в день, дозировка зависит от состояния почек) способствует уменьшению выраженности симптомов застойной сердечной недостаточности и особенно показано у больных с сопутствующей суправентри-кулярной тахикардией. Отмена дигоксина у пациента, длительно лечившегося этим препаратом, может спровоцировать состояние декомпенсации. Дигоксиновая интоксикация расценивается как потенциально летальная и не всегда соответствует концентрации препарата в крови.

Больные, получающие дигоксин, должны находиться под постоянным наблюдением, что особенно важно, так как интоксикация усугубляется гипокалиемией, а большинство пациентов одновременно принимают мочегонные препараты. Существует эффективное средство лечения интоксикации дигоксином в виде фрагментов антител. При использовании других пероральных инотропных препаратов уровень смертности превосходит таковой при приеме плацебо. В настоящее время изучаются и новые экспериментальные медикаментозные средства.
У больных в поздней стадии заболевания, рефрактерной к другим формам лечения, паллиативный эффект может оказать внутривенная терапия инотропными препаратами. К таковым относятся бета-агонисты добутамин (Dobutrex, добутрекс; 2-10 мкг/кг х мин) и допамин (Intropin, интропин; 2-5 мкг/кг х мин) и ингибитор фосфодиэстеразы III (ФДЭ III) милринон (Primacor, примакор; 50 мкг/кг болюсом в течение 10 мин, после чего капельно 0,375-0,5 мкг(кг х мин); дозирование в зависимости от клиренса креатинина).
Механизм действия всех трех препаратов в конечном итоге сводится к увеличению внутрисердечной концентрации циклического АМФ (цАМФ): бета-агонисты повышают его продукцию, а ингибиторы фосфодиэстеразы снижают его деградацию. Влияние этих препаратов на потребление кислорода миокардом зависит от соотношения их эффектов, направленных на увеличение сократимости, с одной стороны, и уменьшение давления заполнения, с другой.
бета-Агонисты увеличивают частоту сердечных сокращений и сократимость в непропорционально большей степени по сравнению с их воздействием на давление заполнения и, таким образом, повышают потребность миокарда в кислороде. Ингибиторы ФДЭ III вызывают дилатацию артерий и вен и дают лишь умеренный инотропный эффект, не приводя поэтому к значительному увеличению потребления кислорода. Возможно одновременное назначение милринона и добутамина, что позволит снизить дозу последнего. Вазодилатация при приеме милринона ограничивает его использование у больных с низким артериальным давлением; этот препарат также противопоказан при почечной недостаточности значительной степени.
Видео фармакологические, побочные эффекты инотропов дигоксина, добутамина, милринона
Читайте также:
