Метастатические опухоли желчных путей - диагностика
Добавил пользователь Владимир З. Обновлено: 29.01.2026
Рак желчного пузыря — редкое онкологическое заболевание, не сравнимое с частотой поражения желчного пузыря хроническим воспалительным процессом.
Отдельной статистики по раку пузыря нет, он учитывается в группе злокачественных опухолей внепечёночных желчных путей, которыми в 2013 году в России заболело 1122 мужчины и 2180 женщин, что составило менее 1% от всех злокачественных опухолей. В Европейском союзе на это заболевание приходится не более 5 случаев на 100 тысяч населения. Ежегодный прирост заболеваемости незначительный — чуть более 1%, но за последнее десятилетие болеть раком стало на 12% больше россиян. Единичные случаи рака встречаются у детей и молодых людей, но основную группу составляют больные старше 50 лет.
Парадоксально, но онкологическая статистика, которая уже половину столетия с большим тщанием учитывает всё российские злокачественные опухоли, о группе «желчный пузырь и внепечёночные желчные протоки» не знает смертности и выявления по стадиям процесса.
Несмотря на значительный прогресс в диагностике опухолей и в высокотехнологичной хирургии желчных протоков, слабым местом является именно диагностика рака — заболевание, как правило, выявляется в запущенной стадии, когда лечебные мероприятия ограничены тяжестью состояния больного.
Факторы риска
Не существует более или менее стройной единой теории развития рака желчного пузыря. Предполагают как канцерогенное действие некоторых компонентов желчи, так и пролиферацию — усиленное клеточное деление клеток слизистой желчного пузыря на фоне хронического воспаления, поддерживаемого скапливающимися в нём камнями. При хроническом холецистите нередко выявляются полипы слизистой, а начало любому полипу и раку даёт повышенное против нормального деление клеток эпителия слизистой.

В одной работе даже была выведена закономерность риска рака желчного пузыря в зависимости от диаметра находящихся в нём камней. При камнях от 2 до 3 см риск возрастал почти в два с половиной раза, при камне более 3 см диаметром — в десять. Насколько это верно, судить трудно, потому что в желчном пузыре может быть не один-два камня, а много больше и все разного калибра. Тем не менее, раздражение и даже травмирование слизистой оболочки камнями возможно, хотя большинство страдающих калькулёзным холециститом не болеют раком желчного пузыря.
Есть предположение, что развитию рака способствует застой желчи и воспаление протоков в печени, заболевания поджелудочной железы. Не исключается роль питания, в частности избыток жиров и углеводов при недостаточном объёме клетчатки, а также ожирение и, естественно курение. Отмечена более высокая заболеваемость работников металлургической промышленности и некоторых вредных производств, где используются β-нафтиламин и бензидин. Почему женщины болеют чаще, тоже не объяснено, предполагается связь с гормонами.
Можно ли предотвратить рак желчного пузыря?
Эффективных методов профилактики не существует. Снизить риск заболевания помогает здоровое питание: в рационе должны преобладать фрукты и овощи, злаки, бобовые, рыба и птица. Нужно ограничить красное и обработанное мясо, полуфабрикаты, фастфуд.
С таким фактором риска, как желчнокаменная болезнь, ситуация неоднозначна. С одной стороны, камни в желчном пузыре повышают риск рака. В то же время, даже у людей, страдающих желчнокаменной болезнью, злокачественные опухоли развиваются не так часто, а холецистэктомия — не самая простая операция, она несет определенные риски.
Классификация по стадиям
Более чем в 85% случаев опухоль желчного пузыря представляет собой аденокарциному. Она развивается из железистых клеток слизистой оболочки, вырабатывающих слизь. Примерно 6% составляют папиллярные аденокарциномы. Они реже распространяются в печень и, как правило, характеризуются более благоприятным прогнозом для пациента. В 1–2% случаев встречаются муцинозные аденокарциномы.
Другие типы рака желчного пузыря: плоскоклеточный, аденосквамозный, мелкоклеточный. Рак желчного пузыря делят на пять основных стадий:
- Стадия 0: «рак на месте», ограниченный слизистой оболочкой. Такие опухоли не вызывают симптомов, обнаружить их очень сложно. Обычно рак на 0 стадии диагностируют по результатам биопсии, после удаления желчного пузыря по поводу желчнокаменной болезни.
- Стадия 1: опухоль, которая не распространяется на мышечный слой стенки желчного пузыря и не прорастает в соседние органы.
- Стадия 2: опухоль проросла в мышечный слой стенки желчного пузыря и находящуюся под ним соединительную ткань, но все еще не прорастает за пределы органа.
- Стадия 3: опухоль проросла за пределы желчного пузыря, либо раковые клетки распространились в близлежащие лимфатические узлы.
- Стадия 4: опухоль проросла в сосуды печени, либо в 2 и более соседних органа, либо раковые клетки распространились в лимфатические узлы, находящиеся довольно далеко от желудка, либо имеются отдаленные метастазы.
Если рак находится на стадии 1 или 2, его называют локализованным. Такие опухоли могут быть удалены хирургически.

Симптомы рака желчного пузыря
Вначале, когда рак ограничен только стенкой желчного пузыря, практически нет типичных и постоянных симптомов. Большинство пациентов, вспоминая свои ощущения уже после диагностирования рака, говорят о болях в правом подреберье, но отличить болевой синдром от обычных проявлений хронического холецистита не представляется возможным.
Когда опухоль выходит за пределы органа в сторону печени, к нижнему краю которой и прилегает желчный пузырь, из-за прорастания капсулы печени, пронизанной нервными окончаниями, появляются постоянные боли в правом подреберье. Нарушение оттока желчи провоцирует тошноту и рвоту, а при передавливании шейки пузыря и блокировке оттока желчи, развивается желтуха со светлым калом и тёмной мочой. Желчные пигменты попадают в кровеносное русло и раздражают кожные рецепторы. Тогда уже могут появиться общая интоксикация и температура.
Биохимические показатели крови меняются на поздних стадиях, когда присутствует визуальная симптоматика, а опухолевых маркёров на рак желчного пузыря не существует.
Как выявляют рак желчного пузыря
Чаще всего рак желчного пузыря — случайная находка при обследовании по другому поводу. В настоящее время в стандартную диспансеризацию взрослого населения включено УЗИ органов брюшной полости. Иногда опухоль случайно обнаруживают при регулярном наблюдении страдающего хроническим холециститом пациента или при морфологическом исследовании удалённого из-за хронического холецистита пузыря.
Очень редко раковая опухоль бывает в виде полиповидного выроста, у одного из десяти, у большинства же опухоль «распластана» по стенке, что обозначается, как диффузный рост. В половине случаев рак располагается в области дна желчного пузыря, и одинаково часто в теле и шейке. При выявлении у восьми из десяти пациентов опухоль уже выходит за пределы стенки желчного пузыря, распространяясь на ткань печени.
Неоценимую роль в диагностике рака желчного пузыря оказывают магнитно-резонансная томография (МРТ) или компьютерная томография (КТ), а также специальные эндоскопические исследования с контрастными веществами, комбинированное с эндоскопией УЗИ.

Лечение рака желчного пузыря
Когда рак выявляют при исследовании удалённого по поводу холецистита желчного пузыря, и опухоль прорастает далее мышечной оболочки, необходимо выполнить вторую — уже радикальную — резекцию печени. Если же опухоль не дошла до мышечного слоя, то повторной операции не требуется.
Если во время операции по поводу хронического холецистита выявляется рак, то выполняется стандартная операция — удаляется желчный пузырь, прилежащая к нему часть печени и лимфатические узлы, не частями, а единым блоком. При большой опухоли, выходящей за пределы пузыря, удаляется часть правой доли и портальной вены. К сожалению, только каждый десятый больной сможет пережить последующие пять лет.

Когда до операции планируется очень большая резекция печени, то на первом этапе целесообразно выполнить химиоэмболизацию, которая помогает сохранению части печени. Иногда перед операцией прибегают к удалению избыточного объёма желчи — дренированию пузыря. После радикальной операции целесообразно провести послеоперационную профилактическую химиотерапию.
Рак желчного пузыря встречается нечасто, но наши онкологи обладают достаточным диагностическим и лечебным опытом, позволяющим помочь пациенту на любой стадии заболевания.
Прогноз выживаемости
Прогноз при онкопатологиях оценивают по показателю пятилетней выживаемости — он обозначает процент пациентов, которые остались живы в течение пяти лет с момента постановки диагноза.
Пятилетняя выживаемость при раке желчного пузыря:
- На стадии 0 — 80%.
- На стадии I — 50%.
- На стадии II — 28%.
- На стадии III — 7–8%.
- На стадии IV — 2–4%.
Нужно понимать, что эти показатели — всего лишь статистика, подсчитанная на большом количестве людей. Она не сможет точно предсказать, что произойдет с конкретным пациентом. Кроме того, эти данные всегда являются немного устаревшими, потому что подсчет пятилетней выживаемости требует наблюдения за пациентом в течение, как минимум пяти лет. Этот показатель невозможно подсчитать для людей, у которых рак был диагностирован вчера, на прошлой неделе или даже в прошлом году. При этом онкология не стоит на месте, сегодня возможностей для лечения рака больше, чем пять лет назад. Мы уверены, что помочь можно всегда.
Метастазы рака в печень
Метастазами называют вторичные очаги, которые возникают, когда раковые клетки из основной, «материнской», опухоли отрываются и мигрируют с током крови или лимфы в разные части тела. Метастазы могут возникать в разных органах. Зачастую их обнаруживают в печени.
Если опухоль изначально развивается из печеночной ткани, возникает первичный рак печени. Метастатический рак называют вторичным — он всегда происходит из других органов. Большинство злокачественных опухолей печени — вторичный рак.
Мне поставили метастазы в печени с первичным очагом в кишечнике. Очень надеялся, что успеем пролечить кишечник, но не успели — я долго тянул с бумагами в другой клинике. Так вот, когда они обнаружились — у меня, естественно, опустились руки, и я уже мысленно представил себе оставшиеся недели. Благо, в современное обезболивание я верю, а в то, что с поражениями в печени можно выжить — не верилось. Так оно и было бы, если бы я не попал к доктору Пылёву. Он нашёл выход. И это меня спасло.
Не помню точное название операции — оно очень длинное, с какими-то индексами, но, по сути, как Андрей Львович объяснил мне на пальцах — на моё счастье, три очага образовались в одной доле печени. На моё несчастье — в той что больше, а значит, важнее. Просто взять и отрезать её нельзя. Оставшийся кусок не выдержит нагрузки.
Решение состояло из двух операций. Первая — он как-то перенаправил кровоток в печени таким образом, чтобы меньшая часть печени получала больше крови чем та, что больше. За счет этого, малая доля начала расти! И значит, стала принимать на себя всё больше нагрузки. Чуть меньше чем через месяц она уже была такого размера, которого хватает на почти нормальную работу печени как органа.
Второй операцией он удалил заражённую долю. И малая теперь работает в одиночку, но адаптируется к нагрузкам.
Не думал, конечно, что мне в жизни придётся обо всём этом узнать, а тем более испытать на себе. Но, как сказал доктор, ещё недавно такие операции не проводились совсем. Вот уже прошло полгода после первоначального диагноза. Я думаю, их у меня не было бы, если бы не моя удача — попасть к этим докторам.
Хватит ли вообще каких-то слов, чтобы выразить благодарность от меня и детей? Не думаю. Но всё равно, спасибо им.
Откуда раковые клетки метастазируют в печень?
Метастатический рак печени часто происходит из легких, желудка, толстой и прямой кишки, молочных желез, пищевода, поджелудочной железы.
При раке легких, желудка и колоректальном раке метастазы в печени обнаруживаются в 50% случаев, при раке груди, меланоме — в 30% случаев.
Редко в печень метастазируют злокачественные опухоли матки и яичников, глотки, полости рта, мочевого пузыря, почек. Метастазы в печени при раке головного мозга практически не встречаются.

Почему многие опухоли метастазируют в печень?
Печень — один из самых больших органов. Она выполняет важные функции: очищает кровь от токсинов, вырабатывает желчь, производит разные белки, ферменты, хранит запасы гликогена, который является источником энергии.
Через печень проходит огромное количество крови — примерно 1,5 литра в минуту. Около 30–35% крови поступает по артериям, остальные 70–75% — по воротной вене от кишечника. Внутри печени находятся особые синусоидные капилляры (синусоиды), в которых кровоток замедляется, артериальная кровь смешивается с венозной, вместе они возвращаются к сердцу по нижней полой вене.
Такая особенная система кровоснабжения печени способствует распространению раковых клеток.

Прежде чем основать собственную «колонию» — метастатическую опухоль — в печени, раковой клетке приходится проделать длинный путь. Она должна оторваться от материнской опухоли, проникнуть в кровеносный или лимфатический сосуд, совершить путешествие по организму и осесть в печеночной ткани. Она может погибнуть (и многие раковые клетки погибают) на любом этапе.
До определенного момента материнская опухоль и иммунитет сдерживают рост метастазов. Мигрировавшие раковые клетки либо неактивны, либо размножаются очень медленно. Затем начинается их бурный рост. Ученым до конца не известно, почему это происходит. По мере того как раковых клеток в метастазе становится больше, они начинают вырабатывать факторы роста, которые стимулируют рост новых сосудов, питающих опухоль.
Как проявляются метастазы рака в печень? При каких симптомах нужно обратиться к врачу?
На ранних стадиях, как и при многих злокачественных опухолях, метастазы рака в печени никак себя не проявляют. Со временем очаги увеличиваются, начинают мешать кровотоку и оттоку желчи. Работа печени нарушается, возникают различные симптомы:
- Слабость, утомляемость, снижение работоспособности.
- Снижение веса вплоть до крайней степени истощения — кахексии.
- Ухудшение аппетита вплоть до анорексии.
- Тошнота, рвота.
- Землистый цвет кожи или желтуха.
- Тупые боли под правым ребром. Чувство тяжести, распирания, давления.
- Увеличение живота из-за водянки (асцита).
- Расширенные вены под кожей живота (зачастую картина весьма характерна: вены расходятся во все стороны от пупка и напоминают «голову медузы»).
- Сосудистые звездочки на коже.
- Учащение сердцебиения.
- Повышение температуры.
- Кожный зуд.
- Нарушение работы кишечника, вздутие живота.
- Кровотечения в пищеводе.
- Гинекомастия (увеличение и нагрубание молочных желез у мужчин).
Такие расстройства встречаются не только при раке печени. Конечно, нет поводов для паники, если из этого списка вас беспокоит только слабость, повышенная температура и вздутие живота.
Самые грозные симптомы, которые должны стать поводом для немедленного визита к врачу: упорная рвота: более 1 дня, более 2-х раз в день, рвота с кровью, быстрая необъяснимая потеря веса, стул черного цвета, сильное увеличение живота, желтуха.
Метастазы в любом органе, в том числе в печени, могут стать причиной постоянных мучительных болей.
Как диагностируют метастазы рака в печень?
Обследование может включать разные исследования и анализы:
- УЗИ печени — простой и доступный метод диагностики, его часто используют для скрининга. Но он не всегда помогает найти метастазы и получить о них нужную информацию.
- Методы визуализации: мультиспиральная КТ, МРТ, ПЭТ, ангиография (исследование, во время которого в сосуды вводят контрастное вещество). Помогают не только обнаружить метастазы в печени, но и оценить их размеры, количество, расположение, характер роста, обнаружить нагноение и распад, распространение в соседние ткани и органы.
- Зачастую для того чтобы назначить эффективное лечение, врачу нужно знать, какое строение опухолевая ткань имеет на микроскопическом уровне, насколько сильно раковые клетки отличаются от нормальных. Для этого проводят биопсию: фрагмент опухолевой ткани получают при помощи иглы (тонкоигольная аспирационная биопсия) или специального инструмента — трепана (кор-биопсия, трепанобиопсия). Процедуру проводят под контролем УЗИ.
- Анализы крови, в частности, на уровень печеночных ферментов, помогают понять, насколько сильно нарушена работа печени.
«Во время биопсии в опухоль втыкают иглу. Могут ли из-за этого раковые клетки отрываться и метастазировать?»
Это миф. Биопсия не повышает риск метастазирования.
Зачастую во время обследования сначала выявляют метастазы в печени, а затем начинают искать первичную опухоль. Задачу облегчает биопсия: зная, как выглядят под микроскопом раковые клетки, врач может понять, из какого органа они происходят.
Как лечат метастазы в печени?
Тактика лечения будет зависеть от некоторых факторов:
- Количество метастазов: являются ли они одиночными или множественными.
- Тип рака.
- Выраженность нарушений работы печени и других органов.
Основные методы лечения — те же, что и при других онкологических заболеваниях. Одиночные метастазы (или несколько небольших) можно удалить хирургическим путем. Проводят долевую, сегментарную, атипичную резекцию (удаление части органа).
Назначают курсы химиотерапии, лучевой терапии.
Врачи «Евроонко» в Москве применяют современный метод лечения метастатического рака печени, который часто практикуется в зарубежных клиниках — чрескожную чреспеченочную радиочастотную аблацию (РЧА).
Результаты лечения
3C — уменьшение метастазов после радиочастотной аблации (РЧА)
3D — результат терапии через 6 месяцев
Во время процедуры в метастаз вводят специальную иглу-электрод и подают через неё радиоволны, которые уничтожают раковые клетки. В итоге происходит контролируемый асептический некроз опухоли без повреждения окружающих здоровых тканей. Это позволяет значительно повысить выживаемость и снизить риск рецидива.
РЧА уникальна тем, что её можно применять повторно, если в печени выявлены новые метастазы. Методику успешно применяют при первичном раке печени, когда одновременно имеется цирроз и высокий риск печеночной недостаточности.
Например, мы смогли добиться стойкой ремиссии и, возможно, полного выздоровления у одной пациентки, у которой был диагностирован рак молочной железы с одиночными метастазами в печени. Врачи клиники «Евроонко» в Москве выполнили радикальную мастэктомию и долевую резекцию печени, которые были дополнены курсом химиотерапии.
Также хороший результат был достигнут у пациента с раком толстой кишки и пятью небольшими метастазами в разных долях печени. Мы выполнили резекцию (удалили часть кишки), провели курс химиотерапии и радиочастотную аблацию печени.
Лечение метастазов рака в печень имеет некоторые сложности. Например, метастатический рак часто не реагирует на препараты, которые помогали против первичной опухоли. Приходится подбирать оптимальную терапию, комбинировать разные виды лечения. Плохо реагируют метастазы в печени и на системную химию. Наилучший эффект дает введение препаратов в печеночную артерию.
Химиопрепараты помогают замедлить рост метастазов, уменьшить их количество, продлить жизнь больного и избавить от мучительных симптомов. На ранних стадиях курс химиотерапии снижает риск метастазирования. В случаях, когда это необходимо, наши врачи применяют имплантируемые венозные и артериальные порт-системы, регионарную инфузию химиопрепаратов внутриартериально.
Лучевая терапия при метастазах рака в печень помогает избавиться от боли, но не увеличивает продолжительность жизни.
Эмболизация — перспективный метод лечения метастазов в печени и других злокачественных опухолей, который применяется в отделении интервенционной онкологии и эндоваскулярной хирургии. Суть метода состоит в том, что в сосуд, питающий опухоль, вводят специальный препарат, который нарушает приток крови.
Наиболее эффективна химиоэмболизация, когда в сосуд вводят микросферы, которые выделяют химиопрепарат. Химиоэмболизация в настоящее время — «золотой стандарт» лечения в случаях, когда не удается выполнить хирургическое удаление опухоли или трансплантацию.
Во время химиоэмболизации достигается двойной эффект. Микросферы перекрывают кровоток, лишая опухоль необходимых веществ, а выделяющийся химиопрепарат атакует опухолевые клетки.
В «Евроонко» доступны все существующие препараты для химиоэмболизации.
Восстановление печени после удаления метастаза
Если после хирургического лечения по поводу метастазов в печени при 4 стадии рака в органе больше не обнаруживаются раковые клетки, врач порекомендует делать снимки (УЗИ, КТ или МРТ) и сдавать анализы (на уровень альфа-фетопротеина, веществ, которые характеризуют функцию печени) раз в 3–6 месяцев в течение первых двух лет, затем — раз в 6–12 месяцев. Это помогает вовремя обнаружить рецидив или возможные побочные эффекты лечения.
Ускорить восстановление печени и всего организма помогает здоровая диета, физическая активность в соответствии с рекомендациями врача.
Какие могут возникать осложнения? Когда нужны экстренные меры?
Опухоль в печени может сдавить воротную вену, нижнюю полую вену, желчные протоки. В последнем случае нарушается отток желчи. Содержащийся в ней токсичный продукт распада гемоглобина — билирубин — начинает поступать в кровь. Кожа, склеры и слизистые оболочки окрашиваются в желтый цвет — возникает механическая желтуха. Это состояние опасно тем, что билирубин токсичен для головного мозга и других органов, сильное повышение его уровня может привести к гибели. Кроме того, из-за механической желтухи невозможно выполнить операцию и провести курс химиотерапии.
Отток желчи восстанавливают хирургическим путем, под контролем УЗИ (пункционная холангиография) или рентгенотелевидения. Дренирование бывает двух видов:
- Наружное — желчь выводится наружу.
- Наружно-внутреннее: часть желчи выводится наружу, часть — в просвет кишечника.
Если опухоль сдавливает несколько желчных протоков в разных частях печени, устанавливают несколько дренажей. Врачи «Евроонко» применяют современный метод одномоментного стентирования. При этом наружный дренаж оставляют всего на 1–2 дня, либо можно обойтись вовсе без него.
Каковы прогнозы при метастазах рака в печень?
Пациентов, которые поступают в клиники «Евроонко» с таким диагнозом, в первую очередь волнует вопрос: «можно ли вылечить метастазы в печени при раке 4 стадии?». Эффективность лечения будет зависеть от типа рака, его молекулярно-генетических характеристик, местоположения и степени злокачественности опухоли. Большинство пациентов, после того как у них впервые выявлены метастазы в печени, живут в течение 6–18 месяцев. При раке толстой и прямой кишки, после больших циторедуктивных операций прогноз более благоприятен.
Если метастазы имеются не только в печени, но и в других частях тела, например, метастазы в печени и костях, прогноз ухудшается. Но и при этом возможно хирургическое лечение.
Врачи «Евроонко» имеют большой опыт в комбинированном лечении метастазов в печени. Благодаря этому мы можем существенно продлевать жизнь пациентов. Самые лучшие результаты удается получать, когда в печень метастазирует рак толстой кишки. У нас разработаны четкие критерии, руководствуясь которыми, иногда мы можем воздержаться от хирургического лечения, если очаги обнаружены в обеих долях печени. В таких случаях лечение начинается с курса химиотерапии.
Если метастазы в печени возникли при опухоли легкого, поджелудочной железы, желудка и др., удаление части печени как самостоятельный метод лечения малоэффективно, но оно может хорошо работать в сочетании с химиотерапией.
Если одновременно имеются метастазы в печени и лимфатических узлах, это существенно ухудшает прогноз. Пятилетняя выживаемость снижается примерно в два раза. Но и в этом случае все еще возможно лечение.
Где лечить метастазы печени в России?
Многие российские пациенты, столкнувшись с этим страшным диагнозом — «рак с метастазами» — считают, что это приговор, и ничего сделать уже нельзя, либо эффективную помощь получить можно, но лишь за границей. На самом деле в России доступны все современные технологии и препараты. Современную квалифицированную помощь можно получить в клиниках «Евроонко».
| Подробнее о лечении в «Евроонко» | |
| Скорая помощь для онкологических больных | от 12 100 руб |
| Паллиативная терапия в Москве | от 35 000 руб в сутки |
| Консультация онколога | от 5 100 руб |
| Приём химиотерапевта | 6 900 руб |
Мы считаем, что помочь можно всегда, и поэтому беремся за лечение пациентов с онкологическими заболеваниями на любой стадии. Наши доктора имеют большой опыт, проводят сложные инвазивные процедуры и хирургические вмешательства, химиотерапию по международным протоколам. Мы знаем, как помочь.
Список литературы:
[1] The prognostic value of tumor cells blood circulation after liver surgery for cancer lesions — Patiutko IuI, Tupitsyn NN, Sagaĭdak IV, Podluzhnyĭ DV, Pylev AL, Zabezhinskiĭ DA. — Khirurgiia (Mosk). 2011;(6): 22–6.
[2] Surgical and combined treatment of multiple and bilobar metastatic affection of the liver. — Patiutko IuI, Sagaĭdak IV, Pylev AL, Podluzhnyĭ DV. — Khirurgiia (Mosk). 2005;(6): 15–9.
[4] Десятилетняя выживаемость больных злокачественными опухолями печени после хирургического лечения — Ю. И. Патютко, А. Л. Пылёв, И. В. Сагайдак, А. Г. Котельников, Д. В. Подлужный, М. Г. Агафонова. — Анналы хирургической гепатологии 2010.
[5] Surgical and combined treatment of patients with metastatic liver and lymph nodes invasion by colorectal cancer — Patiutko IuI, Pylev AL, Sagaĭdak IV, Poliakov AN, Chuchuev ES, Abgarian MG, Shishkina NA. — Khirurgiia (Mosk). 2010;(7): 49–54.
Метастатические опухоли желчных путей - диагностика
Лучевая диагностика метастазов в билиарную систему и лимфому желчевыводящих путей
а) Визуализация:
• Метастазы в желчном пузыре:
о КТ: полиповидное образование или узел в просвете желчного пузыря, или утолщение его стенки на ограниченном участке
о Меланома чаще всего характеризуется гиперинтенсивным сигналом на Т1 ВИ и гипоинтенсивным сигналом на Т2 ВИ
о УЗИ: неподвижное полиповидное образование, обычно больше 1,5 см, возможно, сочетающееся с утолщением стенок желчного пузыря возле него:
- Меланома обычно описывается как гиперэхогенное образование, не дающее акустической тени
- При цветовой допплерографии в метастазах меланомы чаще всего обнаруживаются признаки наличия кровотока различной степени выраженности
• Лимфома желчного пузыря:
о Лимфома высокой степени злокачественности часто выглядят как объемное образование большого размера, чаще всего имеющее низкую плотность и однородную структуру, в то время как лимфома низкой степени злокачественности проявляется лишь легким утолщением стенки
о Повсеместно обнаруживаются другие признаки лимфомы, включая увеличение лимфатических узлов и спленомегалию
• Метастатическое поражение желчных протоков:
о Изменения неотличимы от таковых при холангиокарциноме и включают утолщение стенок желчных протоков, наличие дискретного мягкотканного образования в области ворот печени, а также обструкцию и расширение проксимальных желчных протоков
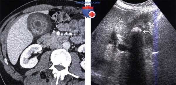
(Слева) На аксиальной КТ с контрастным усилением у пациента, страдающего меланомой, визуализируется метастаз в желчном пузыре, а также крупный вторичный очаг округлой формы в нижней доле левого легкого. Меланома чаще всего дает метастазы в желчный пузырь.
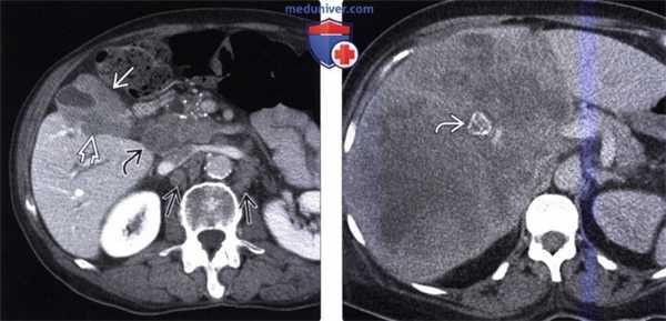
(Справа) На сонограмме (цветовая допплерография) в желчном пузыре визуализируется округлый гипоэхогенный узел с признаками наличия кровотока внутри него. В этом случае доказан метастаз меланомы, хотя изменения могут быть обусловлены также раком желчного пузыря или большим полипом. (Слева) На аксиальной КТ с контрастным усилением у пациента с желтухой, предъявляющего жалобы на снижение веса тела, в желчном пузыре визуализируются камни и мягкотканное образование. Обратите также внимание на выраженную лимфаденопатию. И объемное образование, и увеличение лимфо узлов обусловлены неходжкинской лимфомой.
(Справа) На корональной КТ с контрастным усилением визуализируется плохо различимый мягкотканный узел в общем желчном протоке, стенка проксимальных протоков утолщена и интенсивно накапливает контраст. Эти изменения могут быть вызваны холангиокарциномой, но в этом случае обусловлены метастазом рака толстой кишки.
б) Патология:
• Метастазы в желчном пузыре встречаются редко и составляют меньше 5% всех злокачественных опухолей этой локализации:
о Около 50-67% всех случаев вторичного поражения желчного пузыря обусловлены меланомой, также часто метастазирующей в легкие и почки
о У большинства пациентов с метастазами в ЖП наблюдается диссеминированное опухолевое поражение других органов
о Метастазы в желчном пузыре редко могут обусловливать холецистит вследствие обструкции пузырного протока или приводить к появлению желтухи
• Лимфома составляет только 0,1 % злокачественных опухолей ЖП:
о Практически во всех случаях поражение желчного пузыря является вторичным, первичная лимфома желчного пузыря -исключительно редкое заболевание
• Вторичное поражение желчных протоков происходит редко и наблюдается преимущественно при раке толстой кишки за счет распространения опухоли вдоль поверхностей, выстланных эпителием
Рак желчных протоков
Рак желчных протоков, или холангиокарцинома — редкая разновидность злокачественных опухолей. С ней сложно бороться, потому что она часто диагностируется на поздних стадиях, находится в «неудобных» местах, откуда ее очень трудно удалить хирургически.
Сеть желчных протоков в виде дерева находится по всей печени, постепенно они объединяются в сегментарные протоки, потом в два долевых, а те образуют общий печеночный проток. Соединяясь с протоком желчного пузыря, последний переходит в общий желчный проток, который называется холедохом. Злокачественная опухоль может возникнуть в любой части этого «дерева».
Типы рака желчных протоков
Рак желчных протоков классифицируют в зависимости от того, в каком месте находится злокачественная опухоль, и какое гистологическое строение она имеет (из каких типов клеток состоит).
Гистологические типы
Чаще всего злокачественная опухоль развивается из клеток, выстилающих желчные протоки. Такие опухоли называются аденокарциномами. Их диагностируют в 90–95% случаев. Намного реже встречаются другие гистологические типы:
- плоскоклеточный рак;
- лимфомы — опухоли из лимфоидной ткани;
- саркомы — опухоли из соединительной ткани.
В печени часто встречаются метастатические опухоли. Они состоят из клеток, характерных для других типов рака (так как первичная опухоль находится в другом органе), и лечебная тактика будет отличаться от той, что показана при гепатоцеллюлярном раке (раке печени) или холангиокарциноме. Поэтому важно проводить дифференциальную диагностику. Врачи в «Евроонко» установят точный диагноз и назначат оптимальное лечение.
Классификация в зависимости от места локализации
Желчные протоки бывают двух типов: одни находятся внутри печени, другие за её пределами. В зависимости от того, в каких из них возникла злокачественная опухоль, выделяют внутрипеченочные и внепеченочные холангиокарциномы.
В свою очередь, рак внепеченочных желчных протоков делится на две разновидности:
- Проксимальные (гилюсные) холангиокарциномы расположены ближе к печени, до образования общего желчного протока. Это наиболее распространенная локализация — она встречается примерно в 60% случаев.
- Дистальные холангиокарциномы (представленные раком холедоха) встречаются в 20% случаев. Они находятся ближе к двенадцатиперстной кишке. Зачастую до операции бывает сложно разобраться, где именно находится такая опухоль: в желчных протоках или головке поджелудочной железы.
На злокачественные опухоли внутрипеченочных желчных протоков приходится около 20% случаев. Такой тип рака бывает сложно отличить от новообразований печени — гепатоцеллюлярной карциномы.
Причины развития заболевания
Злокачественные опухоли развиваются в результате мутаций, которые возникают в клетках. Назвать точную причину этих мутаций в каждом конкретном случае невозможно. Существуют факторы риска — условия, которые повышают вероятность развития заболевания. Например, известно, что мужчины болеют чаще, чем женщины, а средний возраст людей, у которых диагностирую рак желчных протоков — 65 лет.
Воспаление
Первичный склерозирующий холангит — редкое заболевание, при котором в желчных путях развивается воспаление и происходит процесс рубцевания. Его причины неизвестны, но доказано, что он повышает риск рака. Злокачественные опухоли развиваются у 5–10% людей, страдающих первичным склерозирующим холангитом.
Аномалии развития желчных протоков
У некоторых людей с рождения имеются выпячивания на стенке общего желчного протока — кисты холедоха. Иногда их симптомы возникают в раннем детстве, а в некоторых случаях заболевание многие годы себя не проявляет. В 30% случаев оно приводит к раку.
Синдром Кароли — редкая наследственная патология, при которой происходит расширение внутрипеченочных желчных протоков, и в них могут развиваться злокачественные опухоли.
Паразитарные заболевания

Риск рака желчных протоков повышается при некоторых хронических паразитарных заболеваниях. Например, одним из факторов риска является описторхоз — патология, вызванная плоскими червями рода Opisthorchis. Возбудитель распространен на территории Юго-Восточной Азии, а также в России, Украине, Казахстане. Заражение происходит при употреблении в пищу зараженной рыбы.
Другие факторы риска
Вероятность развития рака желчных путей повышают следующие факторы:
- Желчнокаменная болезнь. Камни раздражают слизистую оболочку желчных протоков, вызывают воспаление, в результате которого может пройти злокачественное перерождение.
- Хронические вирусные гепатиты B и C.
- Цирроз. При этой патологии нормальная ткань печени погибает и замещается рубцовой. Цирроз может развиваться в результате вирусных гепатитов или чрезмерного употребления алкоголя.
- Хронический язвенный колит. У таких людей несколько повышена вероятность развития рака желчных протоков, так как в 10% случаев при неспецифическом язвенном колите также обнаруживается первичный склерозирующий холангит.
В качестве потенциальных факторов риска заболевания рассматривают неалкогольную жировую болезнь печени, чрезмерное употребление алкоголя, лишни вес, сахарный диабет, курение, хронический панкреатит, воздействие радона, асбеста, диоксинов.
Симптомы онкопатологии желчевыводящих протоков
На ранних стадиях зачастую опухоль не проявляется какими-либо признаками. Обычно симптомы возникают, когда нарушается отток желчи. Кроме того, клиническая картина зависит от локализации злокачественной опухоли. При раке внутрипеченочных желчных протоков симптомы развиваются намного позже, зачастую когда опухоль успевает сильно распространиться в организме.
Основные проявления рака желчных протоков:
- Механическая желтуха — состояние, при котором нарушается отток желчи, в кровь поступает токсичный продукт распада гемоглобина — билирубин, и из-за этого кожа и слизистые оболочки окрашиваются в желтый цвет.
- Кожный зуд также возникает из-за повышения уровня билирубина в крови.
- Темная моча и светлый стул — эти симптомы возникают из-за того, что желчь не может попасть в кишечник, и организм пытается снизить уровень билирубина в крови, выводя его через почки.
- Боль в животе — локализуется в верхней части справа.
- Снижение аппетита.
- Потеря веса без видимой причины.
- Повышение температуры тела.
- Тошнота и рвота.
Рак желчных путей — довольно редкое заболевание. Если вас беспокоят симптомы из данного списка, это еще не говорит о том, что у вас злокачественная опухоль. Чаще всего такие проявления свидетельствуют о других заболеваниях печени, желчного пузыря и поджелудочной железы. Тем не менее, в каждом случае нужно исключать онкологические патологии. Посетите врача и пройдите обследование.
Стадии патологии
Как и все злокачественных опухоли, рак в желчных протоках классифицируют по стадиям в соответствии с общепринятой международной системой TNM. Категория T обозначает размеры и распространение первичной опухоли, N — вовлечение в процесс регионарных лимфатических узлов, M — наличие отдаленных метастазов.
В упрощенном виде стадии можно описать следующим образом:
- Стадия I: опухоль находится в пределах желчного протока и не распространяется на соседние ткани.
- Стадии II–III: раковые клетки распространяются в окружающие ткани, регионарные лимфоузлы.
- Стадия IV: имеются отдаленные метастазы.
Классификации по стадиям для отдельных локализаций рака (внутрипеченочных, внепеченочных желчных протоков) имеют свои особенности.

Кроме того, злокачественные опухоли желчных протоков делят на резектабельные и нерезектабельные. Первые можно полностью удалить хирургическим путем, вторые успели слишком сильно распространиться или находятся в труднодоступном месте.
Пути метастазирования
Так как симптомы длительное время отсутствуют, зачастую злокачественные новообразования желчных протоков диагностируют на поздних стадиях, когда опухоль успевает прорасти в окружающие ткани, распространиться в лимфатические узлы, дать отдаленные метастазы. Чаще всего такие опухоли метастазируют в легкие, кости, распространяются по поверхности брюшины — тонкой пленки из соединительной ткани, которая выстилает брюшную полость и покрывает внутренние органы.
Методы диагностики
На данный момент нет скрининговых тестов, с помощью которых можно было бы массово обследовать людей и выявлять злокачественные опухоли желчных путей на ранних стадиях. Чаще всего диагноз устанавливают после того, как пациент обращается к врачу с жалобами, а опухоль успевает прорасти в окружающие ткани, распространиться в лимфатические узлы и дать отдаленные метастазы.
Ультразвуковое обследование

УЗИ — наиболее доступный и простой метод диагностики, с помощью которого можно обнаружить злокачественные новообразования в органах брюшной полости. При подозрении на опухоль желчных протоков могут быть выполнены два разных вида ультразвуковой диагностики:
- Трансабдоминальное УЗИ — процедура, хорошо знакомая многим людям. Исследование проводят специальным датчиком через стенку живота.
- ЭндоУЗИ — процедура, которую выполняют во время эндоскопии. Миниатюрный ультразвуковой датчик находится на конце эндоскопа, который врач вводит в двенадцатиперстную кишку. Это помогает подвести датчик максимально близко к опухоли и лучше оценить ее положение, размеры, степень распространения в соседние ткани.
Холангиография
Холангиография — рентгенографическое исследование, во время которого желчные пути заполняют специальным контрастным раствором, в результате чего их контуры становятся хорошо видны на снимках. Этот метод диагностики применяют, чтобы обнаружить заблокированные опухолью протоки и определиться с тактикой лечения.
Применяют два вида холангиографии:
- Эндоскопическая ретроградная холангиопанкреатография (ЭРХПГ). Врач вводит эндоскоп в двенадцатиперстную кишку, затем заводит в желчный проток тонкий катетер и вводит контрастный раствор.
- Чрескожная чреспеченочная холангиография — более инвазивная процедура, её проводят, когда нет возможности выполнить ЭРХПГ. Желчные протоки прокрашивают с помощью специальной иглы, введенной через кожу.
Во время холангиографии можно установить стент, провести биопсию.
Биопсия
Самый надежный способ диагностировать злокачественную опухоль — получить ее фрагмент и изучить под микроскопом. Если в образце ткани обнаружены опухолевые клетки, можно практически со стопроцентной вероятностью диагностировать злокачественные новообразования. Для этого проводят биопсию. Она может быть выполнена разными способами: во время холангиографии или с помощью специальной иглы, которую вводят в опухоль под контролем ультразвука или компьютерной томографии.

Томография
Компьютерная томография и МРТ, в том числе с применением контрастирования, помогают лучше оценить размеры, расположение и степень распространения опухоли, разобраться, возможно ли хирургическое вмешательство, отличить доброкачественные новообразования от злокачественных.
Диагностическая лапароскопия
Диагностическая лапароскопия — хирургическое вмешательство, во время которого в стенке живота делают прокол и вводят через него специальный инструмент с видеокамерой — лапароскоп. С помощью него хирург осматривает брюшную полость. При необходимости через дополнительные проколы можно ввести другие инструменты.
Лапароскопия дает возможность оценить стадию рака желчных протоков, спланировать тактику хирургического лечения, провести биопсию, обнаружить поражение брюшины — канцероматоз.
Лечение
Лечебная тактика при раке желчных протоков зависит от размеров, расположения, стадии опухоли, сохранности функции печени, общего состояния и сопутствующих заболеваний пациента.
Хирургические методы
Хирургическое удаление опухоли — единственный метод лечения, который дает возможность полностью избавиться от рака. Проведение радикального хирургического вмешательства возможно лишь в случаях, когда опухоль диагностирована на ранней стадии и имеет небольшие размеры. К сожалению, такие ситуации встречаются относительно редко.
Вид операции определяется локализацией очага:
- При новообразованиях внутрипеченочных протоков показана обширная (удаление целой доли) или экономная резекция печени. При этом оставшаяся часть органа продолжает выполнять свои функции.
- При новообразованиях внепеченочных протоков, включая опухоли холедоха, удаляют пораженную часть протоков, а также часть печени, желчный пузырь, лимфатические узлы, часть поджелудочной железы и двенадцатиперстной кишки. Такие операции зачастую очень сложны и грозят серьезными осложнениями. Их должны выполнять хирурги, которые специализируются на таких вмешательствах и имеют опыт их проведения.
- Если обнаружен один небольшой узел, но функция печени сильно нарушена, например, из-за цирроза, показана трансплантация. Проблема в том, что зачастую сложно найти донора.
Паллиативные операции
Если радикальное вмешательство невозможно, и у пациента имеется механическая желтуха, проводят паллиативные операции: наружное и наружно-внутреннее дренирование, установку стентов в желчные протоки. Врачи «Евроонко» обладают большим опытом проведения таких вмешательств.
Радиотерапия
Лучевая терапия может быть назначена до или после хирургического лечения, чтобы уменьшить размеры опухоли, предотвратить рецидив. На поздних стадиях ее применяют самостоятельно с целью паллиативного лечения и для борьбы с симптомами. Чаще всего применяют облучение из внешнего источника. Такая процедура напоминает рентгенографию, но во время нее используют более мощное излучение.

В некоторых случаях применяется внутрибилиарная брахитерапия: в желчные пути вводят на короткое время зонд, который служит источником излучения.
Химиотерапия
Химиопрепараты, как и лучевую терапию, назначают до и после хирургического лечения, самостоятельно на поздних стадиях, а также ими дополняют трансплантацию печени. Применяется как системная химиотерапия, так и специальные процедуры:
- Внутриартериальная химиотерапия — введение растворов препаратов в печеночную артерию. Так как в общий кровоток попадает лишь небольшая часть химиопрепарата, можно применять более высокие дозы без риска серьезных побочных эффектов.
- Химиоэмболизация — процедура, во время которой в сосуд, питающий опухоль, помимо химиопрепаратов, вводят микроскопические эмболизирующие частицы. Они перекрывают просвет мелких сосудов и нарушают приток к опухолевой ткани кислорода, питательных веществ.

Химиолучевое лечение
В некоторых случаях химиотерапию сочетают с лучевой терапией. За счет этого достигается более эффективное уничтожение раковых клеток, но химиолучевая терапия несет более высокие риски побочных эффектов.
Средняя пятилетняя выживаемость среди всех пациентов, у которых был диагностирован рак желчных протоков, составляет 8%. Такой низкий показатель связан с тем, что зачастую опухоли диагностируют на поздних стадиях, многие из них имеют «неудобное» расположение, и из-за этого их сложно удалить.
Прогноз пятилетней выживаемости на разных стадиях:
- Если опухоль находится в пределах желчных протоков и не распространяется глубже: 24%.
- Если опухоль проросла в окружающие ткани или распространилась в регионарные лимфатические узлы: 6%.
- Если имеются отдаленные метастазы: 1%.
Прогноз при опухолях желчных протоках не самый благоприятный. С такими типами рака очень сложно бороться. Но это не означает, что нужно опускать руки. В «Евроонко» применяются наиболее современные методы лечения. Мы всегда знаем, чем можно помочь, и для нас нет безнадежных больных.
Профилактика
На многие факторы риска заболевания, такие как возраст, врожденные патологии, аномалии желчных протоков, повлиять нельзя. Тем не менее, существуют некоторые способы снизить риски:
а) Определение:
• Злокачественное эпителиальное новообразование, возникающее в слизистой оболочке желчного пузыря
б) Визуализация:
1. Общая характеристика:
• Лучший диагностический критерий:
о Объемное образование большого размера, полностью замещающее желчный пузырь и распространяющееся в печень
о Полиповидное образование в просвете желчного пузыря
о Асимметричное утолщение стенки желчного пузыря (диффузное или ограниченное)
2. Рентгенография:
• ЭРХПГ:
о Применимость метода ограничена, поскольку желчный пузырь обычно не визуализируется
о Позволяет обнаружить обструкцию общего печеночного протока и расширение внутрипеченочных протоков

(Слева) На аксиальной КТ с контрастным усилением определяется рак желчного пузыря с инвазией в печень и нисходящую часть двенадцатиперстной кишки. Такие опухоли, если признаются резектабельными, однозначно требуют выполнения расширенной холецистэктомии и радикальной резекции.
(Справа) На аксиальной КТ с контрастным усилением визуализируется объемное образование в ямке желчного пузыря, прорастающее в печень. Во многих случаях, в том числе и в этом, место происхождения опухоли сложно определить.
3. КТ признаки рака желчного пузыря:
• Точность КТ в диагностике рака желчного пузыря колеблется от 84% до 92%
• Внутрипросветное полиповидное образование желчного пузыря (приблизительно в 20% случаев), неправильное (ограниченное или диффузное) утолщение стенки желчного пузыря (20-30% случаев), полное замещение желчного пузыря опухолью (2/3 случаев):
о В случае если образование заполняет желчный пузырь и прорастает в печень, его становится сложно отличить от первичной опухоли печени
о При инвазии ворот печени новообразование желчного пузыря сложно дифференцировать с опухолью Клацкина (холангиокарциномой)
о Если рак желчного пузыря проявляется утолщением стенки, особенно, диффузным, его сложно дифференцировать с хроническим холециститом; необходимо обращать внимание на неравномерное утолщение стенки, наличие метастазов и увеличенных локальных и регионарных лимфоузлов:
- Утолщенная стенка желчного пузыря при контрастировании выглядит «двухслойной»: наружный слой не накапливает контраст и остается гиподенсным, в то время как плотность внутреннего слоя увеличивается (гиперемия)
- Может содержать кальцинаты (возможно, конкременты) и кистозный компонент (что характерно преимущественно для муцинозных опухолей)
• Часто приводит к инвазии печени и поражает структуры в области ее ворот
• Во многих случаях опухоль приводит к массивной лимфадено-патии ворот печени и увеличению парааортальных лимфатических узлов
• Чаще всего метастазирует в печень (контактным путем или по кровеносным сосудам) и брюшину (обычно происходит поражение сальника в верхнем правом квадранте)
• Могут обнаруживаться камни с включениями извести или «фарфоровый» желчный пузырь
4. МРТ признаки рака желчного пузыря:
• МР-признаки, отражающие морфологию опухоли, идентичны таковым при КТ
• Рак желчного пузыря обычно характеризуется гипоинтенсивным сигналом на Т1 ВИ, сигналом от промежуточной до высокой интенсивности на Т2 ВИ, и не накапливает контраст на Т1 ВИ с контрастным усилением
• МРТ имеет значение в определении стадии Т; чувствительность метода в обнаружении инвазии печени на ранних стадиях слегка выше по сравнению с КТ
• В злокачественных опухолях желчного пузыря часто обнаруживается рестрикция диффузии
5. УЗИ признаки рака желчного пузыря:
• Асимметричное утолщение стенки желчного пузыря или дискретное полиповидное образование желчного пузыря средней эхогенности, неоднородной структуры:
о Образование может полностью замещать желчный пузырь, затрудняя определение места происхождения опухоли
о Часто обнаруживается инвазия печени; стенка желчного пузыря, которая в норме является эхогенной и отделяет опухоль от печени, не визуализируется
• Опухоль не должна смещаться при изменении положения пациента
• Сочетается с желчными камнями и «фарфоровым» желчным пузырем
• При цветовой допплерографии в опухоли обнаруживается кровоток:
о Но и отсутствие кровотока не позволяет исключить злокачественный процесс при наличии подозрительного утолщения стенки или объемного образования
6. Радионуклидная диагностика:
• Гепатобилиарная сцинтиграфия: отсутствие заполнения желчного пузыря может имитировать холецистит
• ПЭТ/КТ: в большинстве случаев рак желчного пузыря накапливает ФДГ, но роль этого метода в оценке изменений перед оперативным вмешательством остается не до конца изученной:
о Позволяет выявить скрытые метастазы, что приводит к изменению тактики ведения приблизительно в 20% случаев
7. Рекомендации по визуализации:
• Лучший диагностический метод:
о УЗИ, КТ с контрастным усилением, МРТ

(Слева) На аксиальной КТ с контрастным усилением определяется распространенное круговое утолщение стенки желчного пузыря, которое проспективно было расценено как проявление ксантогранулематозного холецистита. Тем не менее, во время оперативного вмешательства обнаружился рак желчного пузыря.
(Справа) На сонограмме визуализируется объемное образование в ямке желчного пузыря и конкрементдающий акустическую тень. Образование не отделено от прилежащих отделов печени. На КТ (томограммы не продемонстрированы) была обнаружена локальная инвазия рака желчного пузыря в центральные отделы печени.
в) Дифференциальная диагностика рака желчного пузыря:
1. Осложненный или хронический холецистит:
• Сокращенный, гиперемированный желчный пузырь с утолщенной стенкой, в котором часто обнаруживаются конкременты, возможно, в сочетании с перипузырным абсцессом
• Может быть ошибочно принят за рак желчного пузыря при лучевых методах визуализации
2. Ксантогранулематозный холецистит:
• Редкий воспалительный процесс желчного пузыря, характеризующийся накоплением макрофагов, нагруженных липидами, и разрастанием фиброзной ткани
• Для дифференциальной диагностики с карциномой желчного пузыря требуется гистологическое исследование
3. Метастазы в желчном пузыре/ямке желчного пузыря:
• Меланома может напрямую метастазировать в слизистую оболочку желчного пузыря; метастазы меланомы выглядят как внутрипросветное объемное образование или утолщение стенки желчного пузыря на ограниченном участке
• Вторичное поражение (инвазия) желчного пузыря может быть обусловлено гепатоцеллюлярным раком и другими опухолями печени
• Некоторые опухоли, особенно злокачественные новообразования ЖКТ и лимфома, могут метастазировать в лимфатические узлы ворот печени, имитируя тем самым картину метастазов рака желчного пузыря
4. Полип желчного пузыря:
• Фиксированное объемное образование в слизистой оболочке желчного пузыря, умеренно эхогенное, в котором может обнаруживаться кровоток при допплерографии
• Риск злокачественности прямо пропорционален размеру полипа: большинство полипов размером меньше одного сантиметра характеризуются низким риском злокачественности
5. Аденомиоматоз:
• Ограниченное или диффузное утолщение стенки желчного пузыря с артефактом типа «хвоста кометы»
• Редко может выглядеть как дискретное объемное образование в области дна желчного пузыря

(Слева) На аксиальной КТ с контрастным усилением определяется выраженное неравномерное утолщение стенки желчного пузыря, непосредственная инвазия печени, а также перипанкреатическая/портокавальная и забрюшинная лимфаденопатия. Увеличение лимфатических узлов этих групп является типичным проявлением рака желчного пузыря.
(Справа) На аксиальной КТ с контрастным усилением визуализируется большое гиподенсное образование в печени. Это образование может быть опухолью печени, однако желчный камень в его центре и невозможность визуализации желчного пузыря позволяют предположить, что образование представляет собой рак желчного пузыря с инвазией печени.
г) Патология:
1. Общая характеристика:
• Этиология:
о Факторы риска связаны в основном с хроническим воспалительным процессом: холелитиаз, хронический холецистит, хроническая сальмонеллезная инфекция, «фарфоровый» желчный пузырь, полипы желчного пузыря, аномалии панкреатобилиарного соустья, наблюдаемые при кистах холедоха, ожирение:
- В 70-90% рак желчного пузыря сочетается с холелитиазом:
Риск рака желчного пузыря ↑ с увеличением размеров конкрементов (при конкрементах > 3 см риск развития рака 10 х) и длительности желчнокаменной болезни
- Выраженность связи между «фарфоровым» желчным пузырем и раком желчного пузыря является спорной; риск рака выше, если стенка желчного пузыря содержит отдельные кальцинаты неправильной формы
- Полипы размером > 2 см ассоциированы с наибольшим риском рака желчного пузыря
- Аномалии панкреатобилиарного соустья (впадение ППЖ непосредственно в ОЖП) увеличивают риск развития рака желчного пузыря даже при отсутствии кист холедоха:
Самый высокий риск развития рака желчного пузыря выявлен среди населения стран Азии
• Генетические нарушения:
о Последовательность «аденома-карцинома» при раке желчного пузыря прослеживается хуже, чем при раке толстой кишки
- В развитии опухоли могут также играть роль мутации генов KRAS и CTNNB1, возможна семейная предрасположенность
• Сопутствующие патологические изменения:
о Язвенный колит, редко - болезнь Крона
о Первичный склерозирующий холангит
о Семейный полипоз толстой кишки
2. Стадирование, градации и классификация рака желчного пузыря:
• Стадирование по Невину (Nevin):
о Стадия I: рак, ограниченной слизистой оболочкой
о Стадия II: поражение слизистой и мышечной оболочки
о Стадия III: поражение серозной оболочки
о Стадия IV: поражение всех слоев стенки и лимфоузлов пузырного протока
о Стадия V: инвазия печени, метастазы в отдаленных органах, лимфоузлах
• Стадирование по TNM:
о Предпочтительная система стадирования: точнее соотносится с прогнозом, особенно стадия Т (лучшая корреляция с прогнозом и лечением)
о Имеет место выраженная взаимосвязь между стадией Т и метастазами в отдаленные органы и лимфатические узлы
о Опухоли на стадии Т1 ограничены собственной пластинкой или мышечным слоем стенки желчного пузыря
о Т2: распространение опухоли в околомышечную соединительную ткань (но не в серозную оболочку)
о Т3: выход опухоли за пределы стенки желчного пузыря и распространение в серозную оболочку, печень и другие органы, расположенные поблизости
о Т4: инвазия главного ствола воротной вены, печеночной артерии или двух органов (структур) за пределами печени
3. Микроскопия:
• В 90% случаев опухоль желчного пузыря - аденокарцинома
• Реже встречаются плоскоклеточный рак, аденосквамозный рак, мелкоклеточный рак, лимфома, саркома
д) Клинические особенности:
1. Проявления:
• Наиболее частые признаки/симптомы:
о У большинства пациентов какой-либо симптоматики не возникает, а опухоль обнаруживается случайно при патоморфологическом исследовании после холецистэктомии, выполненной по поводу желчнокаменной болезни или холецистита
- До 50% рака желчного пузыря выявлено случайно
о Могут отмечаться следующие симптомы: боль в правом подреберье, отсутствие аппетита, тошнота, рвота, снижение веса тела, желтуха
• Клинический профиль:
о Повышение уровня ракового эмбрионального антигена и СА 19-9 (недостаточно чувствительный и специфичный признак)
о Повышение уровня билирубина и щелочной фосфатазы при билиарной обструкции
2. Демография:
• Возраст:
о Обычно наблюдается у пожилых (средний возраст 65 лет)
• Пол:
о М:Ж= 1:3
• Эпидемиология:
о Распространенность рака желчного пузыря варьирует в широких пределах в зависимости от местности (страны, континента) и соответствует распространенности холелитиаза и инфекций билиарного тракта:
- Самая высокая заболеваемость в Южной Америке и Азии
о Является наиболее часто встречающейся злокачественной опухолью билиарного тракта и шестой по распространенности раковой опухолью желудочно-кишечного тракта:
- Заболеваемость: 1-2 случая на сто тысяч человек
- 6500 летальных исходов в год (в США)
- Встречается в девять раз чаще по сравнению с холангио-карциномой внепеченочных желчных протоков
3. Течение и прогноз:
• Контактное метастазирование в печень, метастазирование в лимфоузлы ворот печени и парааортальные лимфоузлы, гематогенное распространение в печень и брюшину
• Прогноз крайне неблагоприятен: пятилетняя выживаемость - 4%:
о У 75% пациентов на момент установления диагноза имеются метастазы
о Средняя выживаемость на стадиях I-III составляет 12 месяцев
о Средняя выживаемость на стадии IV- б месяцев
4. Лечение:
• Опухоль на стадии I или II (Т1-Т2, N0, М0) можно удалить хирургически и тем самым добиться излечения, опухоль на стадии III (Т3 или Т1-Т2, N1) обычно (но не всегда) нерезектабельна; опухоли на стадии IV (Т4 или N2 или М1) практически всегда нерезектабельны
• Стадия Т является определяющей в выборе операции:
о Т1: простая холецистэктомия
о Т2: расширенная холецистэктомия (удаление желчного пузыря и участков печени вокруг ямки желчного пузыря)
- Если опухоль выявляется случайно, необходима повторная операция для оценки остаточной опухоли (Т2 и Т3)
о Т3 и Т4: расширенная холецистэктомия ± последующая резекция (печени, толстой кишки и др.) при местной инвазии
• При местной инвазии/метастазах опухоль считается нерезектабельной, лечение заключается в стентировании (при папиллярной или билиарной обструкции) и системной химиотерапии
е) Диагностическая памятка. Следует учесть:
• При крупном образовании, замещающем желчный пузырь и прорастающим печень, следует заподозрить рак желчного пузыря
• Увеличение лимфоузлов ворот печени и парааортальных лимфатических узлов или канцероматоз, особенно в правом верхнем квадранте, также позволяют предположить рак желчного пузыря
Читайте также:
- Признаки растяжения капсулы и адгезивного капсулита плечевого сустава на артрограмме
- Импедансная энцефалография. Транскраниальная ультразвуковая допплерография (ТКДГ)
- Лечение переломов и вывихов полулунной кости
- Рентгенограмма, КТ, МРТ при аплазии, гипоплазии зубовидного отростка
- Осложнения задней шейной декомпрессии межпозвоночного отверстия и ламинэктомии
