Лейкоз - лимфома Беркитта - диагностика
Добавил пользователь Дмитрий К. Обновлено: 23.11.2025
Лимфома – это злокачественное заболевание, которое характеризуется поражением лимфатических узлов и внутренних органов, в которых скапливаются «опухолевые» лимфоциты.
Акции
Полное обследование на онкологические заболевания для мужчин и женщин.
Онкоконсилиум может потребоваться как при лечении в «СМ-Клиника», так и пациентам других медицинских учреждений с целью получения альтернативного мнения.
«СМ-Клиника» предоставляет своим пациентам предоперационное обследование со скидкой до 72%!
Консультация врача-хирурга по поводу операции бесплатно!
Содержание статьи:
Лимфома (lymphoma) – злокачественная опухоль клеток иммунитета.При ней лимфоциты увеличиваются до гигантских размеров, бесконтрольно делятся и поражают лимфатическую систему: лимфоузлы, костный мозг, вилочковую железу.
От других онкологических заболеваний лимфома отличается диссеминацией по всему организму: с током лимфы переродившиесязлокачественныеклетки попадают во внутренние органы и критически нарушают их работу. Болезнь долго течет бессимптомно, а когда начинает проявляться, то часто весь организм уже поражен.
Большинство лимфом характеризуется прогрессирующим течением и высокой злокачественностью с метастазированием. Тем не менее при раннем их выявлении благоприятный прогноз достигает ~90%.
Статистические данные о лимфомах:
- Ежегодно в России выявляют около 25 000 пациентов с раком данного типа – это 4% от всех онкобольных.
- Мужчины болеют чаще, чем женщины.
- Возрастной пик заболеваемости – 30-34 года и после 60 лет.
- В группе риска – больные с артритом двух и более суставов.
- Провоцирующий фактор – дефицит селена в организме.
- Есть предположение, что окрашивание волос чаще 1 раза в месяц темной краской увеличивают риск развития лимфомы на 26%.
- Считается что витамин Д обладает защитными свойствами против лимфомы.
- Благодаря современным методикам и препаратам за последние 10 лет смертность от лимфом в России снизилась на 27%.
Виды лимфом
Различают две основные группы заболевания – лимфому Ходжкина и неходжкинские лимфомы. Они развиваются из разного типа клеток, отличаются характером течения и по-разному реагируют на терапию.
Лимфома Ходжкина (ЛГМ) – лимфогранулематоз, злокачественная гранулема.ХарактеризуетсяпоражениемВ-лимфоцитов. Отличается агрессивным течением, при этом хорошо поддается лечению Источник:
И.И. Яковцова, В.Д. Садчиков, В.М. Садчикова, О.В. Долгая, С.В. Данилюк, А.Е. Олейник Лимфома Ходжкина: эволюция клинических классификаций // Вестник проблем биологии и медицины, 2013, №3, т.2 (103), с.62-69 .
Неходжкинские лимфомы (НХЛ)поражают не только В-, но и Т-лимфоциты. Всего выделено 30 подтипов.Большинство из них менее агрессивно, но и труднее лечится.
Классификация неходжкинских лимфом в соответствии с 4-й редакцией ВОЗ 2008 года:
- В-лимфобластная НХЛ;
- болезнь тяжелых цепей;
- В-клеточный пролимфоцитарный лейкоз;
- волосатоклеточный лейкоз;
- диффузная В-крупноклеточая НХЛ;
- лейкоз Беркитта;
- НХЛ из клеток мантийной зоны;
- лимфоплазмоцитарная НХЛ;
- медиастинальная диффузная В-крупноклеточая НХЛ;
- нодальная В-клеточная НХЛ маргинальной зоны;
- первичная экссудативная НХЛ;
- плазмоклеточная плазмоцитома/миелома;
- селезеночная НХЛ маргинальной зоны;
- фолликулярная НХЛ;
- хронический лимфолейкоз;
- экстранодальная В-клеточная НХЛ маргинальной зоны;
- Т-лимфобластная НХЛ;
- агрессивный NK-клеточный лейкоз;
- анапластическая крупноклеточная НХЛ с первичным поражением кожи;
- анапластическая крупноклеточная НХЛ с первичным системным поражением;
- ангиоиммунобластная Т-клеточная НХЛ;
- гепатолиенальная Т-клеточная НХЛ;
- грибовидный микоз Сезари;
- неуточненная периферическая Т-клеточная НХЛ;
- Т-клеточная панникулитоподобная НХЛ подкожной клетчатки;
- Т-клеточный лейкоз;
- Т-клеточный лейкоз из больших гранулярных лимфоцитов;
- Т-клеточный пролимфоцитарный лейкоз;
- экстранодальная NK/T-клеточная лимфома назального типа;
- энтеропатическая Т-клеточная НХЛ.
По характеру поражения и патогенезу все лимфомы делятся на 3 основные группы:
- агрессивные – для них характерно быстрое развитие с ярко выраженной симптоматикой;
- экстранодальные – первичное поражение формируется не в лимфатических узлах, а сразу во внутренних органах;
- индолентные – отличаются своим медленным и благоприятным течением; могут не требовать терапии, иногда достаточно регулярно наблюдаться у врача.
Для каждого вида лимфом существует особая схема лечения.
Стадии лимфом
В зависимости от распространенности опухоли определяют стадию патологического процесса. В соответствии с международной классификацией AnnArborвыделяют 4 стадии заболевания:
- На 1-й стадии в лимфомный процесс может быть вовлечена одна группа лимфатических узлов.
- На 2-й допускается вовлечение двух и более групп по одну сторону от диафрагмы.
- На 3-й стадии опускается поражение лимфатических узлов по обе стороны диафрагмы.
- На 4-й стадии в процесс вовлекаются внутренние органы – мозг, сердце, печень, селезенка, желудок, кишечник.
Каждую стадию дополнительно маркируют титрами А и Б. Титр А указывает на отсутствие ключевых симптомов – лихорадки, сильной ночной потливости и резкого снижения веса. Титр Б указывает, что такие проявления есть.
Причины возникновения лимфом
Единого причинного фактора развития заболевания не выделено. На данный момент ученые считают, что патпроцесс запускается комплексом причин. К ним относят:
- наследственную предрасположенность;
- регулярные контакты с токсинами и канцерогенами;
- вирус герпеса, гепатита, хеликобактер пилори и другие инфекционные заболевания;
- аутоиммунные и иммунодефицитные состояния;
- повторяющиеся пневмонии;
- иммуноподавляющую терапию после пересадки почек, стволовых леток и т. д.;
- операции по вставке грудных имплантатов (предположительно).
Симптомы
Помимо основных симптомов – лихорадки, сильной ночной потливости и резкого снижения веса – для патологии характерны:
- слабость и повышенная утомляемость;
- повышение температуры;
- потеря веса;
- увеличение лимфатических узлов (часто, но не всегда; при этом они безболезненны и не уменьшаются в результате лечения антибиотиками, как при инфекционных заболеваниях).
Иногда возможен кожный зуд. При поражениях опухолью грудной клетки возможны затрудненное дыхание, одышка и кашель. При локализации новообразования в брюшной полости наблюдают расстройства пищеварения, тошноту, рвоту, распирающие боли в животе и нижней части спины. При поражении костного мозга больные жалуются на боли в костях.Если в патологию вовлечены лицевые и черепные структуры, есть жалобы на головные боли и распирающие боли в лице и шее.
Диагностика лимфом
Диагноз ставят по результатам микроскопического исследования биоптата – образца лимфоидной ткани. По результатам дифференциальной биопсии определяют тип опухоли.
Чтобы выявить опухоли в разных частях тела, применяют методы лучевой диагностики: рентгенографию, сцинтиграфию, магниторезонансную, позитронно-эмиссионную и компьютерную томографию. При необходимости уточнить некоторые особенности патпроцесса назначают лабораторные анализы крови – иммуноферментотипирование методом проточной цитометрии, молекулярно-генетические и цитогенетические исследования Источник:
Wang HW, Balakrishna JP, Pittaluga S, Jaffe ES Diagnosis of Hodgkin lymphoma in the modern era // Br J Haematol. 2019 Jan;184(1):45-59. doi: 10.1111/bjh.15614. Epub 2018 Nov 8 .
Методы лечения
Наиболее распространенные методы лечения лимфом:
- лучевая терапия;
- химиотерапия;
- радиотерапия;
- биологическая терапия;
- трансплантация стволовых клеток;
- хирургическое вмешательство.
Они применяются как в виде отдельных курсов, так и в комплексе. Выбор лечебной схемы зависит от вида опухоли и общего состояния больного.
Лечебная тактика
Индолентные лимфомы могут не требовать лечения, а только наблюдения онкогематолога. Терапия показана при первых признаках прогрессирования патпроцесса. При локализованных опухолях достаточно радиотерапевтического облучения пораженных структур. При генерализованных формах показана химиотерапия.
При агрессивном течении заболевания одна из наиболее эффективных лечебных схем – химиотерапия по протоколу СНОР в сочетании с иммунотерапевтическимипрепаратами из группы моноклональных антител. При высокоагрессивных видах опухолей может быть назначена высокодозная химиотерапия в сочетании с трансплантацией кроветорных стволовых клеток.
Лечение отдельных типов лимфом
Основной метод лечения лимфомы Ходжкина ЛГМ– химиотерапия. Противоопухолевые цитотоксины назначают в разных лекарственных формах. Химиотерапия носит цикличный характер – медикаментозные курсы чередуются с периодами реабилитации Источник:
Sermer D, Pasqualucci L, Wendel HG, Melnick A, Younes A Emerging epigenetic-modulating therapies in lymphoma // Nat Rev Clin Oncol. 2019 Aug;16(8):494-507.doi: 10.1038/s41571-019-0190-8 .
Радиотерапия – излучение высокой мощности – в качестве самостоятельного лечения ЛГМ может быть оправдана в отдельных случаях – когда в процесс вовлечена одна, максимум две группы лимфатических узлов. Чаще ее назначают в комплексе с химиотерапией. На поздних стадиях заболевания метод показан в качестве паллиативного лечения.
Биологические препараты – моноклональные антитела – при лечении лимфомы применяют для активизации иммунной системы. Лучевую терапию проводят регионарно, в области вовлеченных в онкологический процесс лимфоузлов.
В некоторых случаях при лечении ЛГМ оправдано удаление селезенки. Если увеличенные лимфатические узлы сдавливают соседние органы,может быть показано их иссечение.
При рецидивах заболевания, а также с целью уничтожения раковых клеток, на которые не действуют стандартные дозировки лучевой и химиотерапии, назначают высокие терапевтические дозы, разрушающие вместе с опухолью ткани костного мозга. После такого курса показана трансплантация органа. Взятые заранее собственные либо донорские стволовые клетки формируют новую иммунную систему.
Хорошие результаты в лечении НХЛ демонстрирует также комбинация лучевой и химиотерапии. В некоторых случаях успешно применяют инновационную техникулюмбально-пункционного введения противоопухолевых антител.
НХЛ с агрессивным течением плохо поддаются лечению. Наиболее эффективный метод борьбы с этим заболеванием – пересадка костного мозга.
Прогнозы
Прогноз для пациентов с лимфомами зависит от стадии процесса, возраста и состояния больного, а также от результатов терапии. При лимфоме Ходжкина пациенты молодого возраста на ранних стадиях,как правило, полностью выздоравливают. У 8 из 10 удается добиться устойчивой ремиссии. Пятилетняя выживаемость при 1-й стадии составляет 95%, при 4-й – 65%.
При НХЛ селезенки, лимфоузлов и слизистых средняя пятилетняя выживаемость – порядка 70%. При НХЛ ЖКТ, слюнных желез, глазных орбит средняя пятилетняя выживаемость – около 60%. Менее благоприятный прогноз у агрессивных НХЛ молочных желез, яичников, ЦНС и костей – пятилетняя выживаемость в среднем меньше 30%.
Клинические рекомендации после лечения лимфом и профилактика
Избегайте факторов риска – интоксикаций и контакта с канцерогенами. Вакцинируйтесь, а если заболели инфекционной болезнью – не занимайтесь самолечением.
При первых признаках лимфомы обращайтесь к врачу. Ежегодно проходите профилактические медосмотры, придерживайтесь правильного питания и старайтесь вести здоровый образ жизни.
Источники:
Михайлов Алексей Геннадьевич оперирующий онколог, врач высшей квалификационной категории, к.м.н. стаж: 21 год
Информация в статье предоставлена в справочных целях и не заменяет консультации квалифицированного специалиста. Не занимайтесь самолечением! При первых признаках заболевания необходимо обратиться к врачу.
Лимфома Беркитта
Лимфома Беркитта является агрессивной В-клеточной лимфомой, возникающей у детей и взрослых. Выделяют эндемическую (африканскую), спорадическую (неафриканскую) и связанную с иммунодефицитом формы.
Классическая лимфома Беркитта эндемична в Центральной Африке и составляет 30% лимфом у детей в США. Эндемичная форма, как правило, манифестирует увеличением нижней челюсти и костей лицевого черепа.
При спорадической лимфоме Беркитта чаще поражаются внутрибрюшные лимфоузлы, в основном в области брыжейки тонкой кишки и илеоцекальной складки. Опухоль может вызывать кишечную непроходимость. Также могут поражаться экстранодальные участки, такие как мозг или другие паренхиматозные органы. У взрослых заболевание может иметь обширный и генерализованный характер, часто с массивным поражением печени, селезенки и костного мозга. При диагностировании или рецидиве лимфомы часто уже имеется поражение центральной нервной системы (ЦНС).
Лимфома Беркитта является наиболее быстро растущей опухолью человека; при патоморфологическом исследовании определяется высокая пролиферативная активность, моноклональная пролиферация В-клеток, картина «звездного неба» – доброкачественные макрофаги, поглощающие апоптотические малигнизированные лимфоциты. На ФДГ-ПЭТ (фтордезоксиглюкоза-позитронной эмиссионной томографии) опухоли проявляются высоко метаболичными. Характерно наличие транслокации гена C-myc на 8 хромосоме и тяжелой цепи иммуноглобулина на 14 хромосоме. Эндемическая форма заболевания тесно связана с вирусом Эпштейна – Барр Инфекционный мононуклеоз Инфекционный мононуклеоз вызывается вирусом Эпштейна – Барр (ЭБВ, герпесвирус человека тип 4), проявлениями заболевания является общая слабость, лихорадка, фарингит и увеличение лимфатических. Прочитайте дополнительные сведенияДиагностика лимфомы Беркитта
Биопсия лимфоузлов или костного мозга
Гистологический диагноз основывается на результатах биопсии лимфоузла или другого очага опухолевого поражения, например костного мозга. В редких случаях как для диагностики, так и для лечения необходимо выполнение лапароскопии.
Стадирование включает в себя визуализацию опухоли с помощью ФДГ-ПЭТ/КТ. В случае, если этот метод недоступен, вместо него может быть выполнена КТ грудной клетки, брюшной полости и таза. Пациентам следует также выполнить биопсию костного мозга, цитологию спинномозговой жидкости и лабораторные исследования с определением лактатдегидрогеназы (ЛДГ). В связи со стремительным ростом опухоли все обследования необходимо выполнять в максимально короткие сроки.
Лечение лимфомы Беркитта
В связи с быстрым ростом этих опухолей лечение должно быть начато в максимально короткие сроки. Применение интенсивного альтернирующего режима, включающего циклофосфамид, винкристин, доксорубицин, метотрексат, ифосфамид, этопозид и цитарабин (CODOX-M/IVAC) плюс ритуксимаб, позволяет излечить > 80% детей и взрослых
В случае удаления опухоли до начала лекарственного лечения (например, из-за развития кишечной непроходимости), проведение агрессивной химиотерапии тем не менее обязательно, однако потребуется меньше циклов. В конце лечения у пациентов должен определяться полный метаболический ответ, подтвержденный ПЭТ, или полный ответ, подтвержденный КТ, вместе с отрицательными результатами биопсии костного мозга. Результат плохой у 20% пациентов с неудачной индукционной терапией или рецидивом (как правило, в первые 12 месяцев). Следует рассмотреть возможность сальвадж-терапии или применения клинических подходов.
Дополнительная информация
Ниже приводится англоязычный ресурс, предоставляющий информацию для врачей, а также содействие и информацию для пациентов. Сервис The manual не несет ответственности за содержание этого ресурса.
Leukemia & Lymphoma Society предоставляет образовательные ресурсы для медицинских работников
Авторское право © 2022 Merck & Co., Inc., Rahway, NJ, США и ее аффилированные лица. Все права сохранены.
Иммунофенотипическая характеристика опухолевых клеток в костном мозге при лимфоме/лейкозе Беркитта: возможности дифференциальной диагностики с острым лимфобластным лейкозом
Иммунофенотипирование бластов в костном мозге (КМ) является одним из основных методов дифференциальной диагностики лимфомы / лейкоза Беркитта (ЛБ) и острого лимфобластного лейкоза из В-линейных предшественников (ВП-ОЛЛ). Однако определение поверхностной экспрессии тяжелых и легких цепей иммуноглобулинов может быть затруднено. Поэтому целью исследования стало формирование дополнительных иммунофенотипических критериев дифференциальной диагностики ЛБ и ВП-ОЛЛ. Проведено ретроспективное сравнение данных иммунофенотипирования клеток КМ пациентов с верифицированными диагнозами ЛБ и ВП-ОЛЛ. Исследуемую группу составил 21 пациент с ЛБ с наличием бластов в КМ, а группу сравнения – 84 ребенка с ВП-ОЛЛ. Был определен ряд особенностей иммунофенотипа ЛБ, который может помочь при оценке результатов проточной цитометрии КМ при дифференциальной диагностике В-клеточных лейкозов. Было показано, что по экспрессии различных поверхностных маркеров ЛБ существенно отличается от ВП-ОЛЛ, поэтому даже при неоднозначном или негативном результате определения экспрессии поверхностного иммуноглобулина М дифференциальная диагностика этих двух нозологий возможна при комплексной оценке иммунофенотипа. В частности, при ЛБ для опухолевых клеток характерно отсутствие экспрессии миелоидных маркеров и CD34.
При обнаружении бластных клеток с таким фенотипом необходимо обратить пристальное внимание на долю CD20-позитивных клеток, которая достоверно выше при ЛБ, чем при ВП-ОЛЛ. Полученный алгоритм анализа данных при использовании порогового уровня в 87 % CD20-позитивных бластов позволил в исследованной нами выборке абсолютно точно отделить все случаи ЛБ от ВП-ОЛЛ.
Ключевые слова
Об авторах
ФГБУ «Национальный научно-практический центр детской гематологии, онкологии и иммунологии им. Дмитрия Рогачева» Минздрава России;
Россия
Россия, 117997 Москва, ул. Саморы Машела, 1;
ГБУЗ Свердловской области «Областная детская клиническая больница № 1»; ГАУЗ Свердловской области «Институт медицинских клеточных технологий»;
Россия
Россия, 620149 Екатеринбург, ул. Серафимы Дерябиной, 32;
Россия, 620026 Екатеринбург, ул. Карла Маркса, 22, корп. А
ФГБУ «Национальный научно-практический центр детской гематологии, онкологии и иммунологии им. Дмитрия Рогачева» Минздрава России;
Россия
Россия, 117997 Москва, ул. Саморы Машела, 1;
ФГБУ «Национальный научно-практический центр детской гематологии, онкологии и иммунологии им. Дмитрия Рогачева» Минздрава России;
Россия
Россия, 117997 Москва, ул. Саморы Машела, 1;
ФГБУ «Национальный научно-практический центр детской гематологии, онкологии и иммунологии им. Дмитрия Рогачева» Минздрава России;
Россия
Россия, 117997 Москва, ул. Саморы Машела, 1;
ГБУЗ Свердловской области «Областная детская клиническая больница № 1»; ГАУЗ Свердловской области «Институт медицинских клеточных технологий»;
Россия
Россия, 620149 Екатеринбург, ул. Серафимы Дерябиной, 32;
Россия, 620026 Екатеринбург, ул. Карла Маркса, 22, корп. А
ФГБУ «Национальный научно-практический центр детской гематологии, онкологии и иммунологии им. Дмитрия Рогачева» Минздрава России;
Россия
Россия, 117997 Москва, ул. Саморы Машела, 1;
ФГБУ «Национальный научно-практический центр детской гематологии, онкологии и иммунологии им. Дмитрия Рогачева» Минздрава России;
Россия
Россия, 117997 Москва, ул. Саморы Машела, 1;
ФГБУ «Национальный научно-практический центр детской гематологии, онкологии и иммунологии им. Дмитрия Рогачева» Минздрава России;
Россия
Россия, 117997 Москва, ул. Саморы Машела, 1;
ФГБУ «Национальный научно-практический центр детской гематологии, онкологии и иммунологии им. Дмитрия Рогачева» Минздрава России;
Россия
Россия, 117997 Москва, ул. Саморы Машела, 1;
Список литературы
1. Kelemen K., Braziel R.M., Gatter K. et al. Immunophenotypic variations of Burkitt lymphoma. Am J Clin Pathol 2010; 134:127–38. DOI: 10.1309/AJCP93LJPTRQPDKR.
2. Клинические рекомендации по диагностике и лечению лимфомы Беркитта. II Конгресс гематологов России, 2014. [Clinical recommendations for the diagnosis and treatment of Burkitt’s lymphoma. II Hematology Congress in Russia, 2014. (In Russ.)].
3. Martinez A., Ponzoni M., Agostinelli C. et al. International Extranodal Lymphoma Study Group. Primary bone marrow lymphoma: an uncommon extranodal presentation of aggressive non-Hodgkin lymphomas. Am J Surg Pathol 2012;36(2):296–304. DOI: 10.1097/PAS.0b013e31823ea106.
4. Dalla-Favera R., Bregni M., Erikson J. et al. Human c-myc onc gene is located on the region of chromosome 8 that is translocated in Burkitt lymphoma cells. Proc Natl Acad Sci USA 1982; 79(24):7824–7. PMID: 6961453.
5. Schmitz R., Young R.M., Ceribelli M. et al. Burkitt lymphoma pathogenesis and therapeutic targets from structural and functional genomics. Nature 2012;490(7418):116–20. DOI: 10.1038/nature11378.
6. Love C., Sun Z., Jima D. et al. The genetic landscape of mutations in Burkitt lymphoma. Nat Genet 2012;44(12):1321–5. DOI: 10.1038/ng.2468.
7. Richter J., Schlesner M., Hoffmann S. et al. Recurrent mutation of the ID3 gene in Burkitt lymphoma identified by integrated genome, exome and transcriptome sequencing. Nat Genet 2012;44(12):1316–20. DOI: 10.1038/ng.2469.
8. McGowan P., Nelles N., Wimmer J. et al. Chang Differentiating between Burkitt lymphoma and CD10+ diffuse large B-cell lymphoma: the role of commonly used flow cytometry cell markers and the application of a multiparameter scoring system. Am J Clin Pathol 2012;137(4):665–70. DOI: 10.1309/AJCP3FEPX5BEEKGX.
9. Coche D., Bergues B., Harrivel V., Guillaume N. Biphenotypic acute leukaemia with Burkitt-like cytology. Ann Biol Clin (Paris) 2009;67:437–40. DOI: 10.1684/abc.2009.0337.
10. Bene M., Castoldi G., Knapp W. et al. Proposals for the immunological classification of acute leukemias. European Group for the Immunological Characterization of Leukemias (EGIL). Leukemia 1995;9(10):1783–6. PMID: 7564526.
11. Kelemen K., Braziel R.M., Gatter K. et al. Immunophenotypic Variations of Burkitt Lymphoma. Am J Clin Pathol 2010;134:127–38. DOI: 10.1309/AJCP93LJPTRQPDKR.
12. Zweig M.H., Campbell G. Receiveroperating characteristic (ROC) plots: a fundamental evaluation tool in clinical medicine. Clin Chem 1993;31:561–77. PMID: 8472349.
13. Obuchowski N.A. ROC analysis. Am J Roentgenol 2005;184:364–72. DOI: 10.2214/ajr.184.2.01840364.
14. Weinstein S., Obuchowski N.A., Lieber M.L. Clinical evaluation of diagnostic tests. Am J Roentgenol 2005;184:14–9. DOI: 10.2214/ajr.184.1.01840014.
16. Lee R.V., Braylan R.C., Rimsza L.M. A CD58 expression decrease as nonmalignant B cells mature in bone marrow and is frequently overexpressed in adult and pediatric precursor B-cell acute lymphoblastic leukemia. Am J Clin Pathol 2005;123(1):119–24. PMID: 15762287.
17. Попов А.М., Вержбицкая Т.Ю., Цаур Г.А. и др. Аберрации иммунофенотипа, применимые для мониторинга минимальной остаточной болезни методом проточной цитометрии при CD10-позитивном остром лимфобластном лейкозе из В-линейных предшественников. Иммунология 2010;6:299–304. [Popov A.M., Verzhbitskaya T.Yu., Tsaur G.A. et al. Immunophenotype aberrations useful for minimal residual disease monitoring by flow cytometry in CD10-positive B-precursor acute lymphoblastic leukemia. Immunologiya = Immunology 2010;6:299–304. (In Russ.)].
Рецензия
Для цитирования:
For citation:
Контент доступен под лицензией Creative Commons Attribution 4.0 License.
Неходжкинские лимфомы
Неходжкинские лимфомы лечение, симптомы, признаки, прогноз.
Содержание:
Лимфомы – это вид злокачественных опухолей, которые поражают лимфатическую систему. Неходжкинские лимфомы включают в себя все лимфомы, кроме лимфомы Ходжкина. Эта группа заболеваний очень неоднородна и включает в себя очень разные по характеру течения, по своему строению и характеристикам.

В структуре онкологической заболеваемости доля неходжкинских лимфом (лимфосарком) составляет примерно 3 %. В Беларуси этот показатель несколько ниже.
Стоит отметить, что за последние 10 лет наблюдается увеличение заболеваемости НХЛ во многих странах мира, в том числе и в Беларуси. Если в 2001 год наблюдалось 470 случаев, то в 2010 году уже 638, т.е. заболеваемость выросла в 1,4 раза.
Как возникает неходжкинская лимфома?
В настоящее время считается, что лимфома возникает, когда здоровые лимфатические клетки по разным причинам останавливают свое развитие на различных этапах. Из них формируются опухолевые клетки различных типов лимфом.
Лимфомы, возникающие из Т- и В-линий лимфоцитов, а также из клеток различной степени дифференцировки, имеют уникальный набор антигенов (иммунофенотип). Определение иммунофенотипа наряду с определением морфологических характеристик широко используется в диагностике. Эта процедура осуществляется при помощи панели диагностических моноклональных антител.
Причины возникновения неходжкинских лимфом
На данный момент причины возникновения большинства видов неходжкинских лимфом остаются неясными, но для некоторых форм лимфом установлена связь с различными факторами.
1. Снижение иммунитета (иммунодефицит)
Значительно повышен риск развития заболевания при иммунодефицитных состояниях различной природы (включая ВИЧ-инфекцию, ряд аутоиммунных заболеваний и наследственных синдромов с иммунодефицитной составляющей и др.).
2. Вирусные заболевания
В ряде случаев доказана роль вирусов в развитии лимфосарком – вируса Эпштейн-Барр для эпидемической лимфомы Беркитта, а также вируса Т-клеточной лейкемии/лимфомы в развитии ряда Т-клеточных лимфом с эндемическим характером распространения.
3. Некоторые бактериальные инфекции
Важным фактором риска развития MALT-лимфомы желудка в настоящее время считают кампиллобактериоз. Подтверждением этому служит то, что антибактериальное лечение, направленное против Helicobacter pylori, во многих случаях (до 70 %) вызывает регрессию лимфомы желудка.
4. Внешнее воздействие
Ряд физических и химических факторов также может способствовать развитию неходжкинских лимфом.
- факторы окружающей среды (ионизирующая радиация, диоксин);
- лекарственные препараты (цитостатическая терапия);
- лучевая терапия.
Диагностика и симптомы неходжкинской лимфомы
Во время диагностики, прежде всего, исследуется уникальный иммунофенотип злокачественных клеток. Это исследование проводится с помощью имуннологических методов и позволяет установить линейную принадлежность клеток (Т- или В-), а также степень их дифференцировки (предшественники или зрелые клетки).
К сожалению, выявить лимфосаркому на ранней стадии удается редко.
Чаще всего первым симптомом является увеличение лимфатических узлов, но т.к. это заболевание может протекать по-разному и с различными симптомами, оно может выявляться врачами самых разных специальностей.
При индолентных лимфосаркомах отмечается медленное увеличение нескольких групп лимфатических узлов.
Более агрессивные лимфомы (лимфота Беркитта, лимфобластная лимфома) прогрессируют очень быстро и общие симптомы появляются раньше.
Также симптомы зависят от локализации опухоли. Например, первым проявлением лимфомы тонкой кишки может стать кишечная непроходимость или перфорация стенки кишки.
Лимфома может быть диагностирована при:
- биопсии миндалины;
- при гастроскопии;
- исследовании ЦНС;
- дерматологом при биопсии кожи;
- при выполнении общего анализа крови.
Потеря массы тела, лихорадка неясного происхождения, необъяснимое ухудшение общего состояния также могут быть первыми симптомами неходжкинской лимфомы.
Течение заболевания

Прогрессирование лимфомы в значительной мере определяется морфологией и иммунологией клетки, положившей начало опухолевому росту.
Так, если клетка трансформировалась в злокачественную на раннем этапе своего развития и не успела покинуть костный мозг, то в результате имеется картина преимущественно костно-мозговых опухолей (острый лимфобластный лейкоз, лимфобластная лимфома).
В тех случаях, когда родоначальницей опухолевого клона становится более зрелая клетка лимфоидного ряда, в процессе созревания покинувшая костный мозг, поражение исходно локализуется в периферических лимфоидных органах и характеризуется более благоприятным течением.
Виды неходжкинских лимфом



Индолентные лимфомы отличаются, как правило, медленным ростом, длительным течением (годами), а также тем, что излечение больных практически невозможно даже в случаях достижения полной регрессии опухоли.
Агрессивные лимфомы (промежуточной и высокой степени злокачественности) характеризуются быстрым ростом, низкой выживаемостью в отсутствие лечения (месяцы и даже недели), высокой чувствительностью к химиолучевым воздействиям и возможностью излечения у значительного числа больных.
Неходжкинская лимфома лечение

Тактика лечения больных НХЛ зависит от вида опухоли, ее локализации.
Основным методом лечения неходжкинских лимфом является химиотерапия и лучевая терапия.
Лечение проводится короткими курсами с интервалом 2-3 недели.
В ходе лечения наблюдают реакцию опухоли на препараты, оценивают ее регрессию и при необходимости корректируют режим лечения.
Хирургическое лечение применяют очень ограниченно и только при определенных типах лимфом (например, при лимфомах желудочно-кишечного тракта), но даже в этих ситуациях его дополняют другими методами.
Развитие молекулярной биологии, революционно расширившее наши представления о развитии лимфом и наши диагностические возможности, в значительно меньшей мере повлияли на терапевтические подходы.
В настоящее широко применяяется лишь один ритуксимаб (антиCD20) в лечении В-клеточных лимфом.
Длительное течение индолентных лимфом и отсутствие симптомов (исключая лимфаденопатию) у большинства больных на момент постановки диагноза делают возможной выжидательную тактику.
Лечение начинают при появлении клинической симптоматики (симптомов интоксикации или симптомов, связанных с локальным ростом/инвазией опухолевых узлов).
Лечение химиотерапией требует обязательной реабилитации, соблюдения диеты и режима отдыха.
В случаях, когда имела место быть высокодозная химиотерапия проводят трансплантацию стволовых гемопоэтических клеток.
Лейкоз - лимфома Беркитта - диагностика
Лейкоз - лимфома Беркитта - диагностика
Лейкоз - лимфома Беркитта (KILL): лимфома Беркитта; WF: лимфома из маленьких нерасщепленных (noncleaved) клеток.
Лимфома Беркитта существует в двух клинических формах: эндемической и спорадической. Эндемическая лимфома Беркитта распространена в Экваториальной Африке, где составляет около половины всех лимфом у детей. В крови примерно у 95 % заболевших определяются антитела к вирусу Эпштейна — Барр. Наиболее частая локализация опухолей — челюсти, забрюшинная область, яичники.
Спорадическая лимфома Беркитта наблюдается во многих странах мира, преобладает у лиц первых двух декад жизни. Менее часто у заболевших выявляются в крови антитела к вирусу Эпштейна — Барр (около 20 %). Наиболее частая локализация — брюшная полость с преимущественным поражением подвздошной и слепой кишки. На втором месте по частоте поражения — яичники.

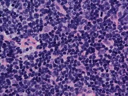
Морфологический субстрат как при эндемической, так и при спорадической лимфоме Беркитта совершенно однотипен и весьма характерен. Опухолевый инфильтрат представлен диффузным разрастанием небольших или средних размеров клеток с округлыми ядрами, глыбчатым хроматином, мелкими ядрышками (2—5) и узким ободком цитоплазмы. Последняя интенсивно базофильна и пиронинофильна.
Клетки тесно прилежат друг к другу («слипчивые»), создавая в гистологических препаратах темный фон, на котором многочисленные макрофаги с широкой светлой цитоплазмой, содержащей апоптотические опухолевые клетки, смотрятся как звезды на ночном небе (картина «звездного неба»). Митозы многочисленные.
Помимо лимфомы Беркитта с классической морфологической картиной, встречаются случаи с плаз-моцитарной дифференцировкой и атипичные (Бер-киттоподобные). Для первых характерны признаки плазматизации опухолевых клеток (эксцентрическая базофильная цитоплазма). Атипический подвариант отличается ядерным полиморфизмом (различной величиной и формой ядер).

Иммунофенотип лимфомы Беркитта: TdT-, CD5-, CD10+, CD19+, CD20+, CD22+, CD23-, CD43+, sIgM+, BCL-2-, BCL-6+, Ki-67+ (почти 100 % клеток). Лимфома Беркитта имеет фолликулярное происхождение: CD10+, BCL-6+.
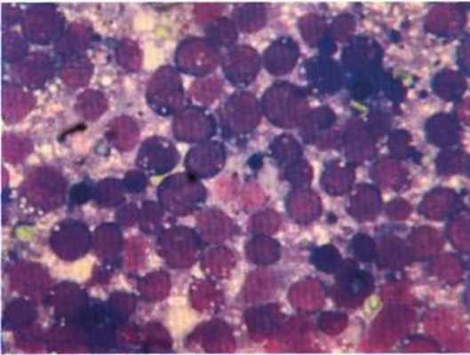
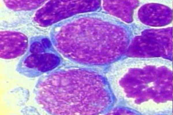
Цитологическая характеристика лимфомы Беркитта. Данный вариант характеризуется мономорфной популяцией бластных клеток среднего размера (9— 14 мкм) с несколькими неотчетливыми маленькими ядрышками (до 5) или одним отчетливым небольшим ядрышком, узким ободком интенсивно базофильной и вакуолизированной цитоплазмы (иногда цитоплазма видна лишь в виде «козырька»). Характерны наличие большого количества фигур митозов, присутствие макрофагов с признаками фагоцитоза апоптотических телец. В цитологических препаратах отмечается «синдром склеивания» опухолевых клеток.
Дифференциальную диагностику лимфомы Беркитта по результатам иммуногистохимического исследования проводят с лимфобластными лимфомами В- и Т-клеточной природы. Атипичный подвариант лимфомы Беркитта дифференцируют с диффузной В-крупноклеточной лимфомы.
Редактор: Искандер Милевски. Дата обновления публикации: 18.3.2021
Читайте также:
