Лентигиноз центролицевой Турена
Добавил пользователь Евгений Кузнецов Обновлено: 27.01.2026
Появление пятнышек на открытых частях тела может вызвать беспокойство. Это не только приносит дискомфорт с косметической стороны, но заставляет задуматься о других расстройствах органов и систем. Что это такое и заразно ли оно, проявление ли это какого-то заболевания внутренних органов и как его лечить попробуем разобраться далее.
Лентиго что это такое?
Лентиго, являясь разновидностью плоского невуса, относится к доброкачественным пигментным поражениям кожи округлой формы образующимися за счет отложения меланина в дерме и базальном слое эпидермиса. Оно представляет собой мелкие гиперпигментированные пятнышки коричневатого цвета от светлого до темного оттенка, которые могут появляться у людей независимо от возраста, солнечного воздействия и фототипа на любом участке тела на коже и слизистых, диаметр пигментных пятен приблизительно от 1,5 до 3 см. Лентиго может быть врожденным или приобретенным. Врожденные лентиго наследуются по аутосомно-доминантному признаку. Если лентиго очень много, то такое патологическое состояние называется лентигиноз.

Причины возникновения лентиго
1. Появление лентиго связано с избыточной инсоляцией, которая может спровоцировать неконтролируемое деление меланоцитов. Это специальные клетки кожи, вырабатывающие вещество меланин, которое обуславливает появление загара. Они защищают кожу от ожогов и общего перегревания организма.
2. Неравномерное распределение повышенной концентрации пигментов в верхнем слое кожи, которое обуславливает появление доброкачественного новообразования, может возникать по различным причинам. Среди них можно выделить:
• Эндокринные нарушения, в частности при беременности, климаксе, нарушение работы надпочечников и щитовидной железы;
• Заболевания желудочно-кишечного тракта;
• Нарушение обменных процессов из-за недостаточности полезных витаминов и минералов;
• Воспалительные процессы в коже различного генеза.
3. Мутации в генах.
Виды лентиго
Лентиго классифицируют следующим образом
• Солнечное лентиго
К появлению новообразований этого типа склонны люди с очень бледной, чувствительной или тонкой кожей. Появление этих доброкачественных новообразований свидетельствует о первых признаках фотостарения кожи. Излюбленная локализация лентиго – участки кожи, которые больше всего поддаются солнечному облучению: руки, шея, лицо. Солнечное лентиго не является заболеванием, это косметический дефект кожи.

• Простое или юношеское лентиго
Это наиболее распространенная форма, появление которой не связано с инсоляцией или старением кожи. Проявляется новообразование в раннем детстве или сразу после появления ребенка на свет. Юношеское лентиго проявляется пигментными пятнами на любом участке кожи и слизистых, диаметр которых, как правило, не превышает 5 мм.

• Старческое лентиго
Синоним – печеночные пятна. Локализуется обычно на открытых частях тела и проявляется в старческом возрасте у тех, кто не защищал кожу от солнца в молодости. Пятна плоской формы имеют нечеткие границы, диаметр до 1 см.

• Лентиго в виде чернильных пятен или ретикулярное меланотическое лентиго
Характеризуется хаотичным распределением новообразований каплевидной формы. Появление такого кожного дефекта ученые связывают с наличием родственных связей с древними кельтами. Локализация поражения традиционная – открытые солнцу участки кожи. Отличие от других видов – у пациента может быть всего одно такое чернильное пятно.

• PUVA-лентиго
Лентигиноз слизистых оболочек или генитальный лентигиноз
Характеризуется множественными плоскими пигментными пятнами светлого цвета с ровными границами локализующихся на слизистых.
• Наследственный или врожденный лентиго
Вместе с тем, лентиго может быть и врожденным. В связи с этим выделяют:
• Центральный лентигиноз Турена или лентигиноз центролицевой дизрафический
Поражает лицо: спинку носа, кайму губ, лоб, реже щеки, слизистые не поражаются. Новообразования при этом виде патологии напоминают родинки или узелки. При этом синдроме наблюдаются серьезные психические и неврологические осложнения: умственная отсталость, эпилептические приступы с недержанием испражнений, а также дизрафическим статусом (готическое небо, деформация черепа, отсутствие резцов, вдавленная грудь). Это наследственное нарушение характерно для детей младшего возраста, наследуется по аутосомно-доминантному типу.
• Периорифициальный лентигиноз. Так же известен как синдром Пейтца—Егерса-Турена. Характерен для раннего детского возраста. Мелкие пятна округлой формы с четкими границами диаметром от 1 до 4 мм локализуются вокруг рта, и могут переходить на его слизистую, или даже поражать конъюнктиву, иногда могут быть на других участках кожи и слизистых. Сочетается с полипозом желудочно-кишечного тракта. Наследуется по аутосомно-доминантному типу. Бывают случаи неполной мутации гена, когда встречаются пигментные пятна без полипоза, и наоборот.
• Синдром L.E.O.P.A.R.D . Это редкое наследственное заболевание, передающееся по аутосомно-доминантному типу, сочетающее в себе комплекс дисморфогенетических расстройств и кожных проявлений. Характеризуется множественными лентиго диаметром от 1,5 до 3,0 см, пятна плоские или слегка возвышающиеся над уровнем кожи, нарушениями ритма сердца, гипертелоризмом, стенозом клапана легочной артерии, крипторхизмом, гипоспадией, задержкой роста и глухотой.

Синдром Маккюне—Олбрайта или наследственная остеодистрофия. Включает триаду симптомов: гиперпигментация, фиброзный остеит и эндокринные дисфункции. Чаще обнаруживается у женского пола. Сразу после рождения появляются пятна цвета «кофе с молоком», которые локализуются на туловище, крестце, ягодицах, конечностях, лбе, задней поверхности шеи, волосистой части головы и затылке. Также могут отмечаться эпидермальные невусы и кожные миксомы. Присутствуют симптомы гипопаратиреоза из-за невосприимчивости тканей к паратгормону, задержка умственного развития, нарушение со стороны костей скелета, нарушение минерального обмена.
Клиническая картина лентиго
Пятна при лентиго не доставляют беспокойства больному: они не изъязвляются и не болят. Пациент может отмечать смену пигментации пятна от более светлого до более темного оттенка. Иногда такое явление не обусловлено никакими определенными явлениями, а иногда может быть связано с воздействием ультрафиолетового излучения на кожу.
Иногда участок гиперпигментации может уплотняться или становиться выпуклым. Это может быть признаком перехода доброкачественного процесса в злокачественный. Пациенту необходимо срочно обратиться к специалисту для проведения соответствующей диагностики.
Диагностика лентиго
Диагностика лентиго не требует применения особых инструментальных методов. Диагноз ставится дерматологом на основе осмотра больного и сведений анамнеза последнего.
Для детального осмотра контуров и структуры поверхности пятна гиперпигментации используют дерматоскопию – фотографирование новообразования в большом разрешении при хорошем освещении.
Основным инструментальным методом исследования является биопсия. Этот метод необходим в том случае, если специалист имеет веские сомнения на счет доброкачественного происхождения гиперпигментации. На гистологическом препарате можно будет рассмотреть, есть ли признаки атипии клеток, что будет свидетельствовать об злокачественности новообразования.
Для того чтобы полностью исключить из диагноза злокачественный процесс, специалист назначит пациенту анализ крови на белковые онкомаркеры. Свидетельствовать об изменении характера меланомы из поверхностного в вертикальный будет повышение фактора роста фибробластов и фактор роста сосудов. Эти показатели также можно установить при анализе венозной крови.
С этой же целью некоторым больным может быть показана конфокальная лазерная сканирующая микроскопия (КЛСМ). Этот метод подразумевает получение изображения послойного среза кожных покровов. Специалист оценивает полученные изображения оптических срезов в вертикальных и горизонтальных плоскостях. На них можно точно оценить структуру и состояние клеток и сосудов.
Противопоказаний для проведения всех вышеперечисленных методов не существует. Они абсолютно безопасны для всех групп пациентов.
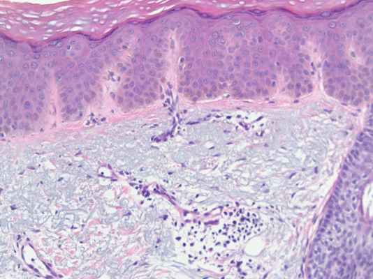
Гистологическая картина лентиго
Лентиго при рассмотрении через микроскоп оказывается утолщением эпидермиса. На препарате можно увидеть удлиненные эпидермальные отростки, возле сосочков которых размещены меланоциты, соприкасающиеся верхушками и боками. По своей форме отростки эпидермиса очень напоминают дубинку, однако, могут принимать вид эксцентрично (от центра к периферии) расположенных пальцеподобных выростов.

простое лентиго
Гистопрепарат покажет, что кроме гиперплазии эпидермиса лентиго характеризуется повышенной пигментацией базального слоя. На границе дермы и эпидермиса наблюдается увеличение количества меланоцитов без признаков атипизма (изменения их структуры) и потери пигмента. Количество меланоцитов, которые аномально поделились, разное во всех участках новообразования. Вместе с тем, для этих клеток не характерно образование гнездовидных скоплений, что и является главным критерием их отличия от невуса.
У самых верхних слоев на препарате можно заметить лимфоцитарную инфильтрацию сосудов. Здесь же могут находиться меланофоры (содержат пигмент меланин, отличаются от меланоцитов способностью перемещать его по клетке).
Дифференциальная диагностика лентиго
Для установления наиболее эффективного метода лечения лентиго необходимо дифференцировать с рядом схожих по клинике и проявлениям новообразований на коже. К ним можно отнести:
• Веснушки – множественные, округлые мелкие пятна светло-коричневой окраски. Располагаются преимущественно на лице или верхнем плечевом поясе. Становятся более темными при интенсивной инсоляции;
• Родимые пятна проявляются при рождении ребенка;
• Невусы, или родинки;
• Хлоазмы – симметричные пигментации желтовато-бурого оттенка, которые имеют хаотичную локализацию в области лба, висков, щек и век;
Появление лентиго ассоциировано с озлакачествлением процесса. Это доброкачественное новообразование может со временем перерасти в меланому или немеланомный рак кожи. Отличительной чертой меланомы, как злокачественного процесса, является появление небольшого возвышения на участке гиперпигментации, который неравномерен по степени окраски у разных краев.
Пациенты с этой патологией отмечают зуд, жжение или покалывание в области кожного дефекта, что совершенно не характерно для лентиго. Вокруг меланомы отмечается появление покраснения в виде венчика, а также выпадение волос с поверхности пятна. Для исключения этого диагноза пациенту проводится биопсия. В гистологическом препарате обнаруживается изменение (атипия) меланоцитов.
Лечение лентиго
Эффективное лечение лентиго сводится к трем основным компонентам:
1. Ежедневное отбеливание кожного дефекта при помощи специальных лекарственных средств;
2. Регулярное использование специальных защитных от солнца средств;
3. Применение косметологических процедур для усиления десквамации (отшелушивания) эпидермального покрова или использование методики фотодеструкции клеток, которые содержат меланин. Подробно лечение всех видов пигментации описано тут.
Для отбеливания лентиго рекомендуют использовать арбутин, азелаиновую кислоту или экстракт солодки. Все эти вещества содержат в своем составе аскорбиновую и койевую кислоты, а также гидрохинон и ретиноиды. В современных средствах гидрохинон содержится в низких количествах из-за его гибельного влияния на меланоциты. Остальные компоненты не вызывают побочных эффектов и хорошо переносятся любым организмом.
Одним из методов хирургического лечения лентиго является вырезание его с поверхности кожи. Этот метод показан в случае, если новообразование имеет тенденцию к рецидиву. С этой целью хирург захватывает и часть непораженных тканей, чтобы полностью предотвратить его повторное появление. Оставшийся рубец можно будет удалить при помощи пластики.
Для тех, кто хочет избавиться от лентиго без шрама подойдет метод лазерной терапии. Лазерный луч направляется точно на новообразование, а здоровые ткани не повреждаются, и потому послеоперационных осложнений нет. Приборы для лечения новообразований при помощи лазера позволяют регулировать не только мощность луча, но и глубину, и ширину проникновения под кожу.
Лазерная деструкция абсолютно безболезненна и не требует применения местных анестетиков. Во время процедуры пациент может почувствовать лишь легкое жжение. Сразу же после удаления новообразования на окружающей коже может возникнуть легкое покраснение. Если же человек склонен к аллергическим реакциям, то не исключено появление незначительной пигментации на месте проведения вмешательства.
Перед проведением процедуры пациенту обязательно проводится ряд анализов с целью определения тех или иных противопоказаний для использования лазерной деструкции.
Если специалистом было точно установлено, что у пациента доброкачественное новообразование – лентиго, а не меланома, то можно попробовать прибегнуть к методу фототерапии. Его суть сводится к воздействию на проблемный участок кожи лучом интенсивного света. Это должно стимулировать ткань к синтезу коллагена. Таким образом происходят регенеративные процессы, которые способствуют омоложению кожи за счет уменьшения ее уплотнения.
Срединные химические пилинги эпидермального покрова подходят для пациентов со светлыми новообразованиями, поскольку помимо удаления пигмента в области лентиго процедура осветляет и здоровые ткани.
Наследственный лентигиноз
Наследственный лентигиноз кожи (lentiginosis gereditaria) может быть врождённым (системным), центролицевым и периорифициальным.
Врождённый (системный) лентигиноз
Врождённый (системный) лентигиноз наследуется аутосомно-доминантно.
Клиническая картина характеризуется обильными высыпаниями в виде мелких (до 0,5 см в диаметре) округлых коричневых пятен, слегка приподнимающихся под кожей (лентиго), местами сливающихся, расположенных диссеминированно по всему кожному покрову (туловище, конечности), однако лицо обычно не поражается.
Описаны случаи сочетания системного лентигиноза. с олигофренией, врождённой глухотой, пороком сердца и умеренно выраженным status dysrhaphicus (частичная синдактилия, расщепление задних отростков нижних грудных и верхних поясничных позвонков - синдром Кейпюта-Римойна-Конигсмарка).
Центролицевой лентигиноз (синоним: синдром Турена)
Тип наследования аутосомно-доминантный.
Этиология и патогенез заболевания изучены недостаточно. Возможно, заболевание является абортивным вариантом врождённого системного лентигиноза.
Клиническая картина развивается на первом году жизни, характеризуется высыпаниями типа лентиго на коже носа, щек, шеи. Слизистые оболочки не поражены.
Характерно сочетание высыпаний со следующими стигмами: готическим нёбом, отсутствием резцов, костными дефектами (деформация черепа, spina bifida, вдавленная грудь), а также гипертрихозом, умственной отсталостью, эпилептиформными судорогами, энурезом и др.
Выявление комплекса указанных стигм в совокупности с лентигинозом лица является основанием для установления диагноза этого заболевания.
Периорифициальный лентигиноз (синоним: синдром Пейтца-Егерса)
Тип наследования аутосомно-доминантный.
Этиология и патогенез заболевания изучены недостаточно.
Клиническая картина характеризуется появлением сразу после рождения или несколько позже высыпаний типа лентиго, веснушек на слизистой оболочке полости рта (щеках, деснах, твёрдом небе), губах, а также на коже лица вокруг рта, в области заднепроходного отверстия, реже на кистях и стопах. Иногда наблюдается гиперпигментация ногтей.
Позднее (в возрасте 10-30 лет) развивается полипоз кишечника (чаще тонкой кишки) и желудка в виде аденоматозных гамартом, склонных к озлокачествлению.
Клинически отмечаются боли в кишечнике, кровь в кале, возможны кризисы с кишечной непроходимостью, вторичная анемия, кахексия. Возможна дистрофия волос и ногтей.
При гистологическом исследовании в эпидермисе обнаруживают увеличение количества меланоцитов и меланофоров.
Дифференциальная диагностика
Периорифициальный лентигиноз дифференцируют от центролицевого лентигиноза главным образом на основании свойственных ему поражений желудочно-кишечного тракта и наличия гиперпигментации на слизистых оболочках (на ранних стадиях), а также отсутствия характерных для центролицевого лентигиноза стигм в виде костных и других дефектов развития.
Наследственные формы лентигиноза, особенно системного, дифференцируют от мастоцитоза (пигментная крапивница), для которого характерны симптом Унны и скопление лаброцитов, выявляемое при гистологическом исследовании поражённой кожи, а также веснушек.
Приобретённый лентигиноз в отличие от наследственного развивается обычно на фоне нарушений функции печени в более позднем возрасте и, как правило, не сопровождается аномалиями развития.
Реклама, размещённая на сайте «Ваш дерматолог», является одним из источников его финансирования.
Наличие рекламы медицинских центров, лекарств, методов лечения, нельзя расценивать как рекомендацию владельца сайта к их посещению, приобретению или применению.
Последнее обновление страницы: 28.07.2014 Обратная связь Карта сайта
© NAU. При цитировании и копировании материалов убедительная просьба делать активную ссылку на сайт «Ваш дерматолог»
Представленная на сайте информация не должна использоваться для самостоятельной диагностики и лечения
и не может служить заменой очной консультации врача - дерматолога.
Наследственный лентигиноз (lentiginosis gereditaria)
Наследственный лентигиноз кожи может быть врожденным (системным), центролицевым и периорифициальным.
Врожденный (системный) лентигиноз наследуется аутосомно-доминантно. Клиническая картина характеризуется обильными высыпаниями в виде мелких (до 0,5 см в диаметре) округлых коричневых пятен, слегка приподнимающихся под кожей (лентиго), местами сливающихся, расположенных диссеминированно по всему кожному покрову (туловище, конечности), однако лицо обычно не поражается.
Описаны случаи сочетания системного лентигиноза олигофренией, врожденной глухотой, пороком сердца и умеренно выраженным status dysrhaphicus (частичная синдактилия, расщепление задних отростков нижних грудных и верхних поясничных позвонков — синдром Кейпюта — Римойна — Конигсмарка).
Центролицевой лентигиноз (син.: синдром Турена). Тип наследования аутосомно-доминантный. Этиология и патогенез заболевания изучены недостаточно. Возможно, заболевание является абортивным вариантом врожденного системного лентигиноза. Клиническая картина развивается на первом году жизни, характеризуется высыпаниями типа лентиго на коже носа, щек, шеи. Слизистые оболочки не поражены. Характерно сочетание высыпаний со следующими стигмами: готическим небом, отсутствием резцов, костными дефектами (деформация черепа, spina bifida, вдавленная грудь), а также гипертрихозом, умственной отсталостью, эпилептиформными судорогами, энурезом и др. Выявление комплекса указанных стигм в совокупности с лентигинозом лица является основанием для установления диагноза этого заболевания.
![]() |
Периорифициальный лентигиноз (син.; синдром Пейтца — Егерса). Тип наследования аутосомно-доминантный. Этиология и патогенез заболевания изучены недостаточно. Клиническая картина характеризуется появлением сразу после рождения или несколько позже высыпаний типа лентиго, веснушек на слизистой оболочке полости рта (щеках, деснах, твердом небе), губах, а также на коже лица вокруг рта (рис. 98), в области заднепроходного отверстия, реже на кистях и стопах. Иногда наблюдается гиперпигментация ногтей. Позднее (в возрасте 10—30 лет) развивается полипоз кишечника (чаще тонкой кишки) и желудка в виде аденоматозных гамартом, склонных к озлокачествлению. Клинически отмечаются боли в кишечнике, кровь в кале, возможны кризисы с кишечной непроходимостью, вторичная анемия, кахексия. Возможна дистрофия волос и ногтей.
При гистологическом исследовании в эпидермисе обнаруживают увеличение количества меланоцитов и меланофоров.
Дифференциальная диагностика. Периорифициальный лентигиноз дифференцируют от центролицевого лентигиноза главным образом на основании свойственных ему поражений желудочно-кишечного тракта и наличия гиперпигментации на слизистых оболочках (на ранних стадиях), а также отсутствия характерных для центролицевого лентигиноза стигм в виде костных и других дефектов развития.
Наследственные формы лентигиноза, особенно системного, дифференцируют от мастоцитоза(пигментная крапивница), для которого характерны симптом Унны и скопление лаброцитов, выявляемое при гистологическом исследовании пораженной кожи, а также веснушек.
Приобретенный лентигиноз в отличие от наследственного развивается обычно на фоне нарушений функции печени в более позднем возрасте и, как правило, не сопровождается аномалиями развития.
Генодерматозы, характеризующиеся гиперпигментацией
Группа наследственных заболеваний, проявляющихся гиперпигментацией кожи, неоднородна. Гиперпигментация может иметь пятнистый, сетчатый, диффузный характер, а также сопровождаться изменениями в других органах и тканях. Для удобства проведения дифференциальной диагностики заболевания этой группы можно классифицировать следующим образом: 1) наследственный лентиги-ноз (системный, центролицевой, периорифициальный); 2) веснушки; 3) меланизм; 4) сетчатые гиперпигментации (симметричная ак-ропигментация Дохи — Комая, сетчатая пигментная дерматопатия Хаусса — Оберста — Лена); 5) пигментные невусы; 6) синдромы и заболевания, включающие гиперпигментацию как один из основных симптомов: недержание пигмента, синдром Лешке, синдром Вербова, синдром Олбрайта.
Гиперпигментация может быть неосновным симптомом при следующих наследственных заболеваниях: синдроме Луи-Бар, экто-дермальной гидротической дисплазии, синдроме Фелти, синдроме Блума, нейрофиброматозе Реклингхаузена, детской прогерии, синдроме Берлина, синдроме Ван-Богарта — Озе.
В ряде случаев дифференциальную диагностику проводят с рядом приобретенных заболеваний: пигментной крапивницей, меланозом кожи, приобретенным лентигинозом, болезнью Аддисона.
Наследственный лентигиноз (lentiginosis gereditaria)
Наследственный лентигиноз кожи может быть врожденным (системным), центролицевым и периорифициальным.
Врожденный (системный) лентигиноз наследуется аутосом-но-доминантно. Клиническая картина характеризуется обильными высыпаниями в виде мелких (до 0,5 см в диаметре) округлых коричневых пятен, слегка приподнимающихся под кожей (лентиго), местами сливающихся, расположенных диссеминированно по всему кожному покрову (туловище, конечности), однако лицо обычно не поражается. Описаны случаи сочетания системного лентигиноза. с олигофре-Ыей, врожденной глухотой, пороком сердца и умеренно выражением status dysrhaphicus (частичная синдактилия, расщепление задних отростков нижних грудных и верхних поясничных поз-врнков — синдром Кейпюта — Римойна — Конигсмарка).
Центролицевой лентигиноз (син.: синдром Турена). Тип насле-д^вания аутосомно-доминантный. Этиология и патогенез заболева-н^я изучены недостаточно. Возможно, заболевание является абортивным вариантом врожденного системного лентигиноза. Клиническая картина развивается на первом году жизни, характеризуется высыпаниями типа лентиго на коже носа, щек, шеи. Слизистые оболочки не поражены. Характерно сочетание высыпаний со следующими стигмами: готическим небом, отсутствием резцов, костными дефектами (деформация черепа, spina bifida, вдавленная грудь), а также гипертрихозом, умственной отсталостью, эпилептиформными судорогами, энурезом и др. Выявление комплекса указанных стигм в совокупности с лентигинозом лица является основанием для установления диагноза этого заболевания.
Периорифициальный лентигиноз (син.: синдром Пейтца — Егер-са). Тип наследования аутосомно-доминантный. Этиология и патогенез заболевания изучены недостаточно. Клиническая картина характеризуется появлением сразу после рождения или несколько позже высыпаний типа лентиго, веснушек на слизистой оболочке полости рта (щеках,, деснах, твердом небе), губах, а также на коже лица вокруг рта , в области заднепроходного отверстия, реже на кистях и стопах. Иногда наблюдается гиперпигментация ногтей. Позднее (в возрасте 10—30 лет) развивается полипоз кишечника (чаще тонкой кишки) и желудка в виде аденоматозных гамартом, склонных к озлокачествлению. Клинически отмечаются боли в кишечнике, кровь в кале, возможны кризисы с кишечной непроходимостью, вторичная анемия, кахексия. Возможна дистрофия волос и ногтей.
При гистологическом исследовании в эпидермисе обнаруживают увеличение количества меланоцитов и меланофоров.
Дифференциальная диагностика. Периорифициальный лентигиноз дифференцируют от центролицевого лентигиноза главным образом на основании свойственных ему поражений желудочно-кишечного тракта и наличия гиперпигментации на слизистых оболочках (на ранних стадиях), а также отсутствия характерных для центролицевого лентигиноза стигм в виде костных и других дефектов развития.
Наследственные формы лентигиноза, особенно системного, диф ференцируют от мастоцитоза (пигментная крапивница), для которо го характерны симптом Унны и скопление лаброцитов, выявляемое при гистологическом исследовании пораженной кожи, а также вес-нушек.
Приобретенный лентигиноз в отличие от наследственного развивается обычно на фоне нарушений функции печени в более позднем возрасте и, как правило, не сопровождается аномалиями развитая.
Генодерматозы, характеризующиеся гиперпигментацией
Группа наследственных заболеваний, проявляющихся гиперпигментацией кожи, неоднородна. Гиперпигментация может иметь пятнистый, сетчатый, диффузный характер, а также сопровождаться изменениями в других органах и тканях. Для удобства проведения дифференциальной диагностики заболевания этой группы можно классифицировать следующим образом: 1) наследственный лентигиноз (системный, центролицевой, периорифициальный); 2) веснушки; 3) меланизм; 4) сетчатые гиперпигментации (симметричная акропигментация Дохи — Комая, сетчатая пигментная дерматопатия Хаусса — Оберста — Лена); 5) пигментные невусы; 6) синдромы и заболевания, включающие гиперпигментацию как один из основных симптомов: недержание пигмента, синдром Лешке, синдром Вербова, синдром Олбрайта.
Гиперпигментация может быть неосновным симптомом при следующих наследственных заболеваниях: синдроме Луи-Бар, эктодермальной гидротической дисплазии, синдроме Фелти, синдроме Блума, нейрофиброматозе Реклингхаузена, детской прогерии, синдроме Берлина, синдроме Ван-Богарта — Озе.
В ряде случаев дифференциальную диагностику проводят с рядом приобретенных заболеваний: пигментной крапивницей, меланозом кожи, приобретенным лентигинозом, болезнью Аддисона.
17.2.2.1. Наследственный лентигиноз (lentiginosis gereditaria)
Наследственный лентигиноз кожи может быть врожденным (системным), центролицевым и периорифициальным.
Врожденный (системный) лентигиноз наследуется аутосомно-доминантно. Клиническая картина характеризуется обильными высыпаниями в виде мелких (до 0,5 см в диаметре) округлых коричневых пятен, слегка приподнимающихся под кожей (лентиго), местами сливающихся, расположенных диссеминированно по всему кожному покрову (туловище, конечности), однако лицо обычно не поражается.
Описаны случаи сочетания системного лентигиноза олигофренией, врожденной глухотой, пороком сердца и умеренно выраженным status dysrhaphicus (частичная синдактилия, расщепление задних отростков нижних грудных и верхних поясничных позвонков — синдром Кейпюта — Римойна — Конигсмарка).
Центролицевой лентигиноз (син.: синдром Турена). Тип наследования аутосомно-доминантный. Этиология и патогенез заболевания изучены недостаточно. Возможно, заболевание является абортивным вариантом врожденного системного лентигиноза. Клиническая картина развивается на первом году жизни, характеризуется высыпаниями типа лентиго на коже носа, щек, шеи. Слизистые оболочки не поражены. Характерно сочетание высыпаний со следующими стигмами: готическим небом, отсутствием резцов, костными дефектами (деформация черепа, spina bifida, вдавленная грудь), а также гипертрихозом, умственной отсталостью, эпилептиформными судорогами, энурезом и др. Выявление комплекса указанных стигм в совокупности с лентигинозом лица является основанием для установления диагноза этого заболевания.
![]() |
Периорифициальный лентигиноз (син.; синдром Пейтца — Егерса). Тип наследования аутосомно-доминантный. Этиология и патогенез заболевания изучены недостаточно. Клиническая картина характеризуется появлением сразу после рождения или несколько позже высыпаний типа лентиго, веснушек на слизистой оболочке полости рта (щеках, деснах, твердом небе), губах, а также на коже лица вокруг рта (рис. 98), в области заднепроходного отверстия, реже на кистях и стопах. Иногда наблюдается гиперпигментация ногтей. Позднее (в возрасте 10—30 лет) развивается полипоз кишечника (чаще тонкой кишки) и желудка в виде аденоматозных гамартом, склонных к озлокачествлению. Клинически отмечаются боли в кишечнике, кровь в кале, возможны кризисы с кишечной непроходимостью, вторичная анемия, кахексия. Возможна дистрофия волос и ногтей.
При гистологическом исследовании в эпидермисе обнаруживают увеличение количества меланоцитов и меланофоров.
Дифференциальная диагностика. Периорифициальный лентигиноз дифференцируют от центролицевого лентигиноза главным образом на основании свойственных ему поражений желудочно-кишечного тракта и наличия гиперпигментации на слизистых оболочках (на ранних стадиях), а также отсутствия характерных для центролицевого лентигиноза стигм в виде костных и других дефектов развития.
Наследственные формы лентигиноза, особенно системного, дифференцируют от мастоцитоза(пигментная крапивница), для которого характерны симптом Унны и скопление лаброцитов, выявляемое при гистологическом исследовании пораженной кожи, а также веснушек.
Приобретенный лентигиноз в отличие от наследственного развивается обычно на фоне нарушений функции печени в более позднем возрасте и, как правило, не сопровождается аномалиями развития.
Веснушки (ephelides)
Тип наследования аутосомно-доминантный. Веснушки наблюдаются чаще у блондинов и голубоглазых людей. Обычно они проявляются в возрасте 3—5 лет на участках кожи, доступных воздействию инсоляции, в виде мелких желтовато-коричневых пятнышек.
При гистологическом исследовании в коже выявляют нормальное количество меланоцитов, но в части из них образуются увеличенные меланосомы, усиленно вырабатывающие меланин.
Дифференциальная диагностик а. Веснушки следует отличать от наследственного лентигинозана основании больших размеров элементов при лентигинозе, более раннего их появления (на 1-м году жизни) и характерного сочетания с аномалиями развития, чего не наблюдается при веснушках. Гистологически при веснушках в отличие от лентигиноза обнаруживают нормальное количество меланоцитов.
Меланизм (melanism)
Меланизм наследуется аутосомно-доминантно. Проявляется с первых дней жизни в виде постепенно (с годами) усиливающейся, но все же умеренно выраженной диффузной гиперпигментации на участках кожи, подверженных давлению, натяжению, а также в складках кожи, аногенитальной области и др. Возможен меланоз твердой мозговой оболочки.
Дифференциальная диагностика. Меланизм дифференцируют от меланоза кожиприобретенного характера, основными отличительными признаками которого являются возникновение в более поздний период (у взрослых) и большая интенсивность гиперпигментации. Нередко в анамнезе имеются указания на контакт с углеводородами. Известную ценность при подозрении на меланизм представляют сведения об аналогичных изменениях кожи у родственников больного.
При дифференциации от болезни Аддисона (хроническая недостаточность надпочечников) следует иметь в виду, что, кроме гиперпигментации (бронзовая кожа), захватывающей, и слизистые оболочки, при болезни Аддисона наблюдаются слабость, утомляемость, адинамия, гипотония, снижение уровня сахара в крови, а также основного обмена и др., что не характерно для меланизма.
Читайте также:


