Лимфома Ходжкина
Добавил пользователь Валентин П. Обновлено: 03.11.2025
Лимфома Ходжкина — это злокачественное заболевание лимфатической системы , части иммунной системы . Лимфатическая система состоит из органов и тканей; в нее входят лимфатические узлы , лимфатические сосуды, миндалины, костный мозг , селезенкаитимус (вилочковая железа). Эти ткани вырабатывают, хранят или переносят белые клетки крови — лимфоциты , — задачей которых является борьба с инфекциями и заболеваниями.
В лимфатическую систему входят:
- Лимфа: бесцветная водянистая жидкость, переносящая белые клетки крови, лимфоциты, по лимфатической системе. Лимфоциты защищают организм от некоторых видов инфекций.
 - Лимфатические сосуды: сеть тонких трубок, собирающих лимфу из разных частей тела и возвращающих ее в кровоток.
 - Лимфатические узлы: небольшие бобовидные образования, фильтрующие лимфу и накапливающие белые клетки крови, которые отвечают за сопротивляемость организма инфекциям и заболеваниям. Лимфатические узлы находятся вдоль сети лимфатических сосудов, расположенных по всему телу. Скопления лимфатических узлов находятся на шее, в подмышечной области, брюшной и тазовой полостях, в паховой области.
 - Селезенка: орган, производящий лимфоциты, фильтрующий кровь, хранящий клетки крови и уничтожающий старые клетки крови. Селезенка расположена в левой части брюшной полости возле желудка.
 - Тимус (вилочковая железа): орган, в котором лимфоциты растут и размножаются. Тимус расположен в области грудной клетки за грудиной.
 - Миндалины: два небольших образования лимфатической ткани в задней части горла. Миндалины вырабатывают лимфоциты.
 - Костный мозг: мягкая губчатая ткань в середине крупных костей. Костный мозг вырабатывает белые и красные кровяные тельца, а также тромбоциты.
 - Пейеровы бляшки: небольшие участки лимфатической ткани, расположенные в тонкой кишке.
 
Лимфомы бывают двух видов: лимфома Ходжкина и неходжкинская лимфома. 
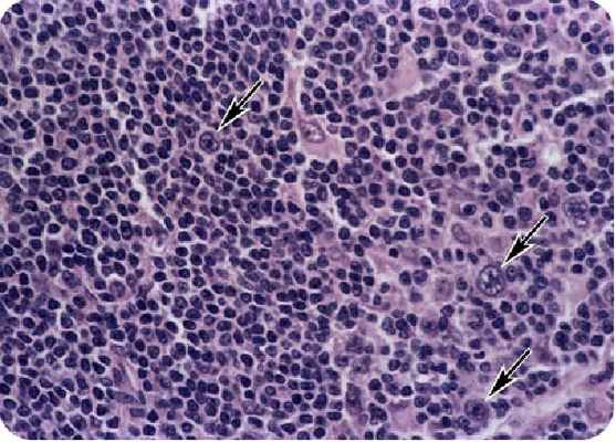
Основное различие между лимфомой Ходжкина и неходжкинской лимфомой состоит в том, на какой вид лимфоцитов распространяется заболевание. Если результаты исследований показывают наличие аномальной клетки, называемой клеткой Березовского-Штернберга-Рид, лимфому относят к лимфоме Ходжкина. Эта клетка отличается тем, что имеет два ядра, чем напоминает «глаза совы».
 
Лимфатическая система состоит из органов и тканей, в том числе лимфатических узлов, лимфатических сосудов, миндалин, костного мозга, селезенки и тимуса.
Клетки Березовского-Штернберга-Рид отличаются тем, что имеют два ядра, чем напоминают «глаза совы». В случае обнаружения клеток Березовского-Штернберга-Рид лимфому относят к лимфоме Ходжкина.
У лимфомы Ходжкина выделяют два основных подвида: 
- Классическая лимфома Ходжкина — самый распространенный тип
 - Нодулярная лимфома Ходжкина с лимфоидным преобладанием
 
Определение вида лимфом Ходжкина имеет большое значение, поскольку их лечение может отличаться.
Существует 4 вида классической лимфомы Ходжкина.
- С лимфоидным преобладанием
 - С нодулярным склерозом
 - Смешанноклеточная форма
 - С лимфоидным истощением
 
Определение конкретного вида лимфомы Ходжкина помогает врачам назначить каждому пациенту оптимальное лечение. Классические лимфомы Ходжкина лечатся одинаково. Лечение нодулярной лимфомы Ходжкина с лимфоидным преобладанием может отличаться.
Насколько распространена лимфома Ходжкина?
Ежегодно в США диагностируется около 6000–7000 новых случаев лимфомы Ходжкина. Около 10–15% случаев приходится на детей и подростков.
Каковы причины и факторы риска развития лимфомы Ходжкина у детей?
Причины и факторы риска:
- Возраст: в детском возрасте лимфома Ходжкина чаще всего возникает у подростков 15–19 лет. Это заболевание также чаще встречается у молодых людей или взрослых старше 50 лет.
 - Вирусные инфекции: с лимфомой Ходжкина связан вирус Эпштейна-Барр (ВЭБ).
 - Ослабленный иммунитет: у человека с ослабленным иммунитетом вероятность развития лимфомы Ходжкина возрастает. Иммунодефицит может быть вызван наследственным заболеванием, приемом лекарственных препаратов, подавляющих иммунную систему, либо наличием вируса иммунодефицита человека (ВИЧ).
 - Семейный анамнез: лимфома Ходжкина у ближайших родственников (брата, сестры или родителя) немного увеличивает риск.
 
Признаки и симптомы лимфомы Ходжкина
Самый распространенный симптом лимфомы Ходжкина — безболезненные, увеличенные лимфатические узлы в области шеи, груди, подмышечных впадинах или паховой области. 
Другие распространенные симптомы:
- Уменьшение массы тела более чем на 10% в течение 6 месяцев.
 - Обильное потоотделение в ночное время (настолько сильное, что приходится менять постельное белье или пижаму).
 - Температура выше 38 ºC в течение 3 или более дней подряд по неизвестной причине.
 - Необъяснимый кашель или одышка
 
Диагностика лимфомы Ходжкина
- Медицинский осмотр и изучение истории болезни
 - Анализы крови и другие методы диагностической визуализации 
 - Исследования костного мозга
 - Исследования для обнаружения возможного распространения рака.
 
При подозрении на лимфому Ходжкина обязательно проведение биопсии , поскольку окончательный диагноз ставится после изучения ткани под микроскопом.
Медицинский осмотр и изучение истории болезни
На приеме педиатр обычно проводит осмотр и записывает историю болезни. В ходе осмотра врач проверит общие показатели здоровья и наличие каких-либо уплотнений или необычных изменений лимфатических узлов. Пальпируя брюшную полость, врач проверяет, не увеличены ли в размере селезенка и печень.
Анализы крови
Анализы крови: общий клинический анализ крови (ОКАК) и биохимический анализ крови . ОКАК показывает число эритроцитов , лейкоцитов , тромбоцитов , гематокрита и гемоглобина . Биохимический анализ крови показывает количество определенных веществ, выделяемых в кровь органами и тканями организма. Количество вещества выше или ниже нормы может являться признаком заболевания. Большая часть показателей крови при лимфоме Ходжкина остается в норме, однако иногда у пациентов может наблюдаться повышенный уровень СОЭ (скорость оседания эритроцитов) или уровень СРБ (С-реактивный белок). У некоторых пациентов на момент постановки первоначального диагноза может наблюдаться низкий уровень альбумина. 
Рентгенография и другие методы диагностической визуализации
Рентгенография грудной клетки показывает сердце, легкие, лимфатические узлы, диафрагму, позвоночник, ребра, ключицы и грудину. Примерно в двух третях случаев лимфомы Ходжкина развивается новообразование в области средостения в грудной клетке, заметное на рентгенограмме.
Биопсия
Чтобы взять образец ткани из увеличенного лимфатического узла, хирург проводит биопсию. Морфологи изучают ткань под микроскопом и ставят диагноз.
Вид биопсии зависит от расположения предполагаемого рака.
- Эксцизионная биопсия: удаление всего лимфатического узла или уплотнения ткани. Этот вид биопсии является предпочтительным, поскольку морфолог может рассмотреть рисунок лимфатического узла, что облегчает постановку диагноза.
 - Инцизионная биопсия: удаление части уплотнения, лимфатического узла или образца ткани.
 - Толстоигольная биопсия: удаление небольших кусочков ткани или части лимфатического узла с помощью широкой иглы.
 - Тонкоигольная пункционно-аспирационная биопсия: удаление ткани или части лимфатического узла с помощью тонкой иглы.
 
Если лимфома Ходжкина затрагивает лимфатические узлы, расположенные глубоко в груди и нет возможности взять образец из других, более доступных, лимфатических узлов, биопсия может выполняться с помощью медиастиноскопа (тонкого трубчатого инструмента, применяемого для исследования и взятия образцов тканей и лимфатических узлов в области между легкими).
Анализ ткани, полученной в результате биопсии
Морфолог изучит ткань под микроскопом, чтобы обнаружить опухолевые клетки. Для классической лимфомы Ходжкина характерно наличие клеток Березовского-Штернберга-Рид. При обнаружении аномальных клеток морфолог проведет дополнительное исследование ( иммуногистохимию ) ткани под микроскопом, проверяя наличие конкретных маркеров, имеющихся на раковых клетках. После подтверждения опухоли результатами биопсии врачи проведут дополнительные исследования, чтобы определить стадию заболевания. Стадия определяет, распространился ли рак на другие части тела и, если да, то каков объем метастазов и насколько далеко они распространились.
Определение стадии при лимфоме Ходжкина немного отличается, поскольку лимфатические узлы по всему телу связаны между собой, следовательно, рак зачастую обнаруживается в нескольких местах. Определение стадии лимфомы Ходжкина зависит от следующих факторов:
- Количество пораженных областей лимфатических узлов
 - Признаки и симптомы заболевания у пациента
 - Является ли опухоль массивной
 - Распространилась ли лимфома за пределы лимфатической системы 
 
| Стадия | Место обнаружения рака | 
|---|---|
| Стадия 1 | В одном или в нескольких лимфатических узлах, расположенных в одной группе лимфатических узлов  |  
| Стадия 2 | В двух или более группах лимфатических узлов с одной стороны диафрагмы (выше ИЛИ ниже тонкой мышцы под легкими, помогающей в процессе дыхания и отделяющей грудную клетку от брюшной полости)  |  
| Стадия 3 | В группах лимфатических узлов выше И ниже диафрагмы  |  
| Стадия 4 | В областях тела, которые не являются частью системы лимфатических узлов, например в печени или легких.  В легких, печени, костном мозге. Опухоль распространилась в эти области из более отдаленных мест организма.  |  
К обозначению стадии также добавляются буквы «A» или «B».
A означает, что у пациента не наблюдаются симптомы «B».
B добавляется, если у пациента наблюдается хотя бы один из симптомов, указанных ниже.
- Обильное потоотделение в ночное время
 - Необъяснимый жар с температурой выше 38 °C, который сохраняется в течение 3 дней подряд
 - Уменьшение общей массы тела более чем на 10% за последние 6 месяцев
 
E используется в случаях, если рак обнаружен вне лимфатической системы в одном органе или области.
Ниже перечислены возможные процедуры диагностической визуализации для определения стадии во время постановки первоначального диагноза.
Пункция и биопсия костного мозга
Пункция и биопсия костного мозга могут выполняться для того, чтобы проверить, распространилась ли опухоль на костный мозг. В некоторых случаях для получения этой информации достаточно диагностической визуализации и такая процедура не требуется.
Группы риска
Группа риска определяется при постановке диагноза и учитывается при планировании лечения. Врачи определяют группу риска в зависимости от признаков, симптомов и стадии развития опухоли. При лимфоме Ходжкина все группы риска имеют одинаковый прогноз, если они получают соответствующее лечение с учетом группы. Вот почему так важно точно определить группу риска, правильно установив стадию заболевания.
- Низкая
 - Промежуточная
 - Высокая
 
Лечение лимфомы Ходжкина
Химиотерапия
Основным методом лечения лимфомы Ходжкина является химиотерапия. Подход к лечению детей и взрослых различается. Задача состоит в том, чтобы использовать минимально необходимый объем терапии для лечения. Использование меньшего объема терапии помогает избежать долговременных и отдаленных последствий лечения.
Наиболее распространенная схема лечения лимфомы Ходжкина у взрослых — это ABVD. Как правило, данный метод не используется для детей, поскольку многие курсы этой комбинации с высокой вероятностью могут в дальнейшем вызвать серьезные долговременные нарушения работы сердца. ABVD представляет собой комбинацию четырех лекарственных препаратов: Adriamycin® (доксорубицина), блеомицина, винбластина и дакарбазина (ДТИК).
В настоящее время в онкологических центрах используется несколько лекарственных препаратов в различных комбинациях для лечения лимфомы Ходжкина у детей. Успех в лечении достигается за счет того, что различные препараты по-разному борются с опухолью. При таком подходе используется меньшее количество каждого препарата, что помогает предотвращать побочные эффекты, в том числе долговременные и отдаленные последствия.
Ниже указаны распространенные комбинации лекарственных препаратов для химиотерапии, используемые при лечении болезни Ходжкина у детей в США.
- BEACOPP: блеомицин, этопозид, доксорубицин (Adriamycin®), циклофосфамид, винкристин (Онковин), прокарбазин и преднизон
 - Stanford V: доксорубицин, винбластин, хлорметин, винкристин, блеомицин, этопозид и преднизон.
 
Ниже указаны распространенные комбинации лекарственных препаратов для химиотерапии, используемые в Европе.
- OEPA: винкристин (онковин), этопозид, преднизон и доксорубицин
 - COPDAC: циклофосфамид, винкристин, преднизон и дакарбазин
 
Онкологические центры находятся в постоянном поиске наиболее эффективных методов лечения рака и уменьшения побочных явлений и могут добавлять новые или исключать из употребления применяемые лекарственные препараты.
Различные группы совместных исследований в области детской онкологии разработали протоколы лечения лимфомы Ходжкина у детей. Эти группы обмениваются информацией, совершенствуя методы лечения. Их протоколы лечения высокоуспешны. Это Детская онкологическая группа (Children’s Oncology Group (COG)), ассоциация St. Jude-Stanford-Dana Farber и Европейская рабочая группа по лимфомам Ходжкина у детей (European Network for Pediatric Hodgkin Lymphoma Group, EuroNet-PHL).
Лучевая терапия
Для лечения пациента может также потребоваться лучевая терапия. В прошлом стандартный план лечения каждого пациента включал в себя прохождение лучевой терапии после окончания химиотерапии. В настоящее время назначение лучевой терапии зависит от ответа болезни на лечение.
Риск-адаптированная терапия
Врачи выбирают планы терапии в зависимости от группы риска. Схемы, применяемые в большинстве случаев, указаны ниже.
- Группа низкого риска: 2 курса химиотерапии
 - Группа промежуточного риска: 4 курса химиотерапии
 - Группа высокого риска: 6 курсов химиотерапии
 - Все пациенты с лимфомой Ходжкина, как правило, начинают с 2 курсов химиотерапии продолжительностью около 8 недель.
 - Затем пациентам проводят диагностическую визуализацию, как правило ПЭТ, для определения ответаопухолина лечение. Ответ на лечение определяет необходимость лучевой терапии .
 
Пациентам с хорошим ответом на лечение лучевая терапия может не потребоваться.
Пациентам, у которых не получен положительный ответ на лечение, после окончания химиотерапии, как правило, назначается курс лучевой терапии.
Другие методы лечения
В некоторых случаях пациентам могут назначаться другие дополнительные методы лечения. Они перечислены ниже.
Таргетная терапия и иммунотерапия
Таргетная терапия используется в некоторых случаях лимфомы Ходжкина. Примеры препаратов для таргетной терапии: брентуксимаб,ведотини пембролизумаб. Несколько других препаратов находятся в стадии изучения. 
Трансплантация гемопоэтических клеток
Если лимфома Ходжкина не отвечает на лечение или рецидивирует после лечения, может назначаться трансплантация гемопоэтических клеток (иногда называемая трансплантацией костного мозга или стволовых клеток).
Хирургическая операция
Хирургическое вмешательство, как правило, не используется при лимфоме Ходжкина, за исключением случаев нодулярной лимфомы Ходжкина с лимфоидным преобладанием, когда возможно удалить злокачественные лимфатические узлы.
Лечение обычно занимает 2–6 месяцев. Продолжительность лечения зависит от группы риска лимфомы. 
Лимфома Ходжкина
Лимфома Ходжкина (лимфогранулематоз, болезнь Ходжкина) – это опухолевое заболевание лимфатической системы, которым болеют люди любого возраста. Заболеваемость в России составляет 2,3 на 100 000 населения. Среди всех лимфом у детей, лимфома Ходжкина составляет около 40%. В возрастной группе до 12 лет чаще болеют мальчики, у подростков соотношение лимфомы Ходжкина у мальчиков и девочек примерно одинаково.
Клиническая картина
На ранних стадиях лимфома Ходжкина не имеет специфических признаков, а первым ее проявлением обычно становится увеличение лимфатических узлов. В 60-75% случаев процесс начинается в шейно-надключичных лимфатических узлах. Как правило, увеличение периферических лимфатических узлов не сопровождается нарушением самочувствия больного.
У 15-20% больных лимфома Ходжкина начинается с увеличения лимфатических узлов средостения. Это увеличение может быть случайно обнаружено при флюорографии или проявиться в поздние сроки, когда размеры конгломерата значительны, кашлем, одышкой и симптомами сдавления верхней полой вены (отечность и синюшность лица, одышка), реже – болями за грудиной.
Начинаясь в лимфатических узлах, патологический процесс может распространяться практически на все органы, сопровождаться различно выраженными симптомами интоксикации. Преимущественное поражение того или иного органа или системы и определяет клиническую картину заболевания.
Помимо лимфатических узлов, наиболее часто лимфома Ходжкина поражает легочную и костную ткань. Поражения легких могут не сопровождаться выраженными клиническими симптомами, а вовлечение в процесс костей проявляется болями, рентгенологическая диагностика обычно запаздывает.
Поражение печени из-за больших компенсаторных возможностей этого органа обнаруживается поздно. Печень обычно увеличивается, повышается активность щелочной фосфатазы, снижается альбумин сыворотки.
В период развернутых проявлений лимфомы Ходжкина возможно поражение всех лимфоидных органов и всех органов и систем организма.
Частые симптомы заболевания:
- лихорадка при лимфоме Ходжкина многообразна. Довольно часто встречаются ежедневные кратковременные подъемы температуры. Они начинаются с озноба, заканчиваются проливным потом, но обычно легко переносятся больным. Лихорадка на первых порах купируется приемом жаропонижающих препаратов; 
 - большая или меньшая потливость отмечается почти всеми больными. Проливные ночные поты, заставляющие менять белье, часто сопровождают периоды лихорадки и указывают на тяжелое течение заболевания. Часто одним из симптомов заболевания является похудание. 
 - кожный зуд бывает приблизительно у 25-35% больных лимфомой Ходжкина. Его выраженность весьма различна: от умеренного зуда в областях увеличенных лимфатических узлов до распространенного дерматита с расчесами по всему телу. Такой зуд очень мучителен для больного лимфомой Ходжкина, лишает его сна, аппетита, приводит к психическим расстройствам. 
 - резкое снижение массы тела; 
 
Диагностика
Диагноз "лимфома" устанавливается исключительно при гистологическом исследовании лимфатических узлов, полученных в результате операции (биопсия пораженных лимфатических узлов или опухоли). Полученный материал направляют на гистологическое и иммуногистохимическое исследование.
Клиническая стадия определяется согласно классификации Ann Arbor:
- I – поражение одной области или двух смежных лимфатических узлов (I), расположенных по одну сторону диафрагмы или наличие одного экстранодального инфильтрата (1Е); 
 - II – поражение двух и более лимфатических узлов несмежных групп, расположенных по одну сторону диафрагмы (II) или то же в сочетании с экстранодальным инфильтратом; 
 - III – поражение лимфатической системы по обе стороны диафрагмы (III), которое может сочетаться с локализованным вовлечением одного экстралимфатического органа или ткани (IIIE), или с вовлечением селезенки (IIIS), или с поражением того и другого (IIIES); 
 - IV – диффузное или диссеминированное поражение одного или более экстралимфатических органов или тканей в сочетании или без вовлечения лимфатических узлов; 
 
При подтверждении диагноза необходима госпитализация в специализированный стационар для комплексного обследования пациента и определения тактики дальнейшего лечения. Такое обследование включает в себя: клинический и биохимические анализы крови, определение группы крови и резус-фактора, ультразвуковое исследование периферических лимфатических узлов и органов брюшной полости, рентгенография грудной клетки, томограмма носоглотки, компьютерная томография грудной клетки и органов брюшной полости, ПЭТ в режиме «все тело», миелосцинтиграфия и остеосцинтиграфия.
Лечение
Длительность и объемы лечения зависят от стадии заболевания и наличия биологической активности процесса. Кроме того, подбор методик лечения основывается на индивидуальных особенностях больного: общее состояние, возраст, факторы риска, наследственная предрасположенность.
Общими условиями лечения пациента с лимфомой Ходжкина являются:
- проведение полихимиотерапии в соответствии со стадией и группой риска в специализированном стационаре с соблюдением принципов сопроводительной терапии; 
 - проведение лучевой терапии в специализированных радиологических центрах. 
 
Химиотерапия предполагает применение противоопухолевых препаратов, действие которых направлено на уничтожение клеток лимфы. Обычно врачи клиники применяют сочетание препаратов, которые пациенту нужно принимать несколько дней с последующим перерывом (обычно – несколько недель). Такой период принято называть циклом лечения.
Благодаря перерыву организм пациента оправляется от возможных побочных эффектов до начала очередного приема препаратов. Весь курс лечения длится от двух до шести месяцев, в зависимости от стадии заболевания. В течение всего времени пациент проходит регулярные осмотры. Что касается сеанса лучевой терапии, то его проводят в специально оборудованном помещении клиники. В ходе процедуры пациент не испытывает никаких неприятных ощущений.
В настоящее время лифмома Ходжкина является одним из наиболее курабельных злокачественных новообразований. Прогноз лечения зависит от стадии заболевания. А также от строго соблюдения временного промежутка между курсами лечения и рекомендаций лечащего врача.
Лимфома Ходжкина
Наверняка Вы задаётесь вопросом: что же теперь делать?
Подобный диагноз всегда делит жизнь на «до» и «после». Все эмоциональные ресурсы пациента и его родных брошены на переживания и страх. Но именно в этот момент необходимо изменить вектор «за что» на вектор «что можно сделать». Очень часто пациенты чувствуют себя безгранично одинокими вначале пути. Но вы должны понимать - вы не одни.
Предлагаем вашему вниманию краткий, но очень подробный обзор Лимфомы Ходжкина.
Его подготовили высоко квалифицированные специалисты Отдела лекарственного лечения злокачественных новообразований МРНЦ имени А.Ф. Цыба и Отдела лекарственного лечения опухолей МНИОИ имени П.А. Герцена – филиалов ФГБУ «НМИЦ радиологии» Минздрава России под редакцией заведующих отделами, д.м.н. ФАЛАЛЕЕВОЙ Н.А. и д.м.н. ФЕДЕНКО А.А.
Филиалы и отделения, где лечат лимфому Ходжкина
МНИОИ им. П.А. Герцена – филиал ФГБУ «НМИЦ радиологии» Минздрава России.
Отдел лекарственного лечения опухолей
Заведующий отделом, д.м.н. ФЕДЕНКО Александр Александрович
тел: 8 (494) 150 11 22
МРНЦ им. А.Ф. Цыба – филиал ФГБУ «НМИЦ радиологии» Минздрава России.
Отдел лекарственного лечения злокачественных новообразований
Заведующая отделом, д.м.н. ФАЛАЛЕЕВА Наталья Александровна
тел: 8 (484) 399 – 31-30
Лимфомы
Лимфомы, подразделяются на две большие группы: лимфому Ходжкина и неходжкинские лимфомы.
Лимфома Ходжкина , носит имя врача, впервые ее описавшего - Томаса Ходжкина.
Лимфома Ходжкина была первой - еще задолго до появления иммунофенотипирования и создания современной классификации опухолей кроветворной и лимфоидной систем, морфологически и клинически распознаваемой злокачественной опухолью. Лимфома Ходжкина стала первым злокачественным заболеванием, при котором больные имели шанс на полное излечение еще в те времена, когда в арсенале врача- онколога была лишь лучевая терапия. Интересно, что принципы стадирования (=установление степени распространения опухоли в организме), прогнозирования течения заболевания и ответа на терапию, планирования лекарственного и лучевого лечения для всех вариантов лимфом берут начало имеенно от лимфомы взяты из ЛХ.

К факторам, предрасполагающим развитию лимфомы Ходжкина
К факторам, предрасполагающим развитию ЛХ относиться:
- Вирус Эпштейн-Барр.
 - Прием лекарственных препаратов, подавляющих иммунитет.
 - Перенесенное ранее лечение (химио- или лучевая терапия).
 - Наследственность: вероятность заболеть несколько выше у людей, чьи близкие родственники перенесли ЛХ.
 - ВИЧ-инфекция.
 
Клиническая картина лимфомы Ходжкина
Как правило, одним из первых симптомов заболевания ЛХ является безболезненное увеличение одного или нескольких лимфатических узлов, обычно на шее, реже в подмышечных областях, в паху. Отмечается медленно увеличение размеров увеличенных лимфатических узлов. В ряде случае рост лимфатических узлов происходит в местах недоступных для осмотра, чаще всего это область грудной клетки (средостение), в этих случаях увеличенные узлы могут сдавливать соседние органы (трахеи, бронхи), вызывать кашель, затруднение дыхания. Одновременно с увеличением лимфатических узлов могут наблюдаться: повышение температуры тела, снижение веса, ночные поты, общая слабость, утомляемость, эти симптомы обязательно учитываются как наличие -симптомов при определении стадии заболевания.
Следует обратить внимание на то, что описанные выше симптомы не являются специфичными именно для ЛХ. Но если они появились, это серьезный повод обратиться к врачу. Чем раньше будет поставлен правильный диагноз, тем выше шанс на полное излечение.
Диагноз лимфомы Ходжкина
Для подтверждения диагноза лимфомы Ходжкина необходимо обнаружить характерные опухолевые клетки, для этого проводят биопсию, затем иммуноморфологическое исследование пораженного лимфатического узла или другой ткани. Современные программы лечения
Обследование лимфомы Ходжкина
Для выбора программы лечения необходимы следующие методы исследования:
· Общий клинический и биохимический анализы крови.
· Для определения распространенности заболевания проводят исследования необходимые исследования: рентгенография органов рудной клетки, компьютерная томографию, ультразвуковое исследование, МРТ (магнитно-резонансная томография).
· К самым современным методам диагностики относят ПЭТ/КТ (это комбинация двух методов - позитронно-эмиссионной томографии и компьютерной томографии, позволяющим оценивать активность опухолевого процесса, более точно определять распространенность заболевания, оценивать эффективность лечения.
· Для выявления поражения костного мозга проводится цитологическое, иммунологическое и морфологическое исследования образца.
Лечение лимфомы Ходжкина
Современные возможности терапии позволяют полностью излечить 80-95% заболевших, даже при большой распространенности процесса добиться длительной и стойкой ремиссии. Лечение представляет собой длительный и сложный процесс с использованием комплексных подходов, и сопровождается нередко развитием осложнений разной степени выраженности и побочными эффектами. План лечения определяется в каждом случае индивидуально и зависит от стадии заболевания, факторов прогноза, наличия общих симптомов. Тактика для конкретного больного зависит также от его возраста и общего состояния здоровья.
Лечение проводится при участии нескольких врачей, в том числе онкогематолога, специалиста по лучевой терапии, а в некоторых случаях – трансплантолога (врача, занимающегося пересадкой костного мозга). Как правило, для лечения ЛХ используют лекарственные противоопухолевые препараты или их комбинации с лучевой терапией.
При возникновении рецидивов заболевания и при отсутствии ответа опухоли на программу лечения возможен переход к назначению противоопухолевых препаратов в больших дозах (высокодозная терапия) с последующей трансплантацией костного мозга для восстановления кроветворения или лечение препаратами, относящимися к биологической группе моноклональных антител –анти CD30-антител (Брентуксимаб ведотин) и анти PD1-антител (Ниволумаб, Пембролизумаб), так называемая иммунотерапия ЛХ .
Филиалы и отделения Центра, в которых лечат лимфому Ходжкина
ФГБУ «НМИЦ радиологии» Минздрава России обладает всеми необходимыми технологиями лучевого, химиотерапевтического и хирургического лечения, включая расширенные и комбинированные операции. Все это позволяет выполнить необходимые этапы лечения в рамках одного Центра, что исключительно удобно для пациентов.
Отдел лекарственного лечения злокачественных новообразований МРНЦ имени А.Ф. Цыба – филиал ФГБУ «НМИЦ радиологии» Минздрава России
Заведующая отделом, д.м.н. ФАЛАЛЕЕВА Наталья Александровна
8 (484) 399 – 31-30, г. Обнинск, Калужской области
Отдел лекарственного лечения опухолей МНИОИ имени П.А. Герцена –филиал ФГБУ «НМИЦ радиологии» Минздрава России
Заведующий отделом, д.м.н. ФЕДЕНКО Александр Александрович
Лимфома Ходжкина: лечение и диагностика
Лимфома Ходжкина лечение, симптомы, признаки, прогноз
Содержание:
Лимфома Ходжкина (лимфогранулематоз, ЛГМ, болезнь Ходжкина), является одним из видов лимфом. Это заболевание поражает лимфатическую систему, которая состоит из лимфатических узлов, которые объединены между собой кровеносными сосудами. Возникая в одной группе лимфоузлов, злокачественные клетки могут распространяться на другие группы, а на более поздних стадиях заболевания – на внутренние органы.

Причины возникновения лимфомы Ходжкина
Причины возникновения болезни Ходжкина до настоящего времени остаются не совсем ясными. Ряд исследований указывает на определенную наследственную предрасположенность к лимфогранулематозу, в других проводится параллель между этим заболеванием и рядом вирусных инфекций, а точнее вируса Эпштейна-Барр. Фрагменты генома этого вируса обнаруживаются в 20-50 % исследованных биопсий. Тем не менее, не существует абсолютных доказательств, что именно вирус Эпштейна-Барр является причиной развития болезни.
Болеют лимфогранулематозом чаще мужчины, чем женщины.
Первый пик заболеваемости приходится на возраст 20-29 лет, затем после 55 лет вероятность заболеть постепенно повышается.
Как развивается лимфогранулематоз? Симптомы лимфомы Ходжкина

Чаще всего первыми симптомами является безболезненное увеличение лимфатических узлов на фоне полного здоровья. Иногда увеличенные лимфатические узлы могут давить на близлежащие сосуды или органы и вызывать отеки, кашель или затруднение дыхания. Но чаще всего узлы в грудной клетке обнаруживаются во время рентгенографии грудной клетки.
В подавляющем большинстве случаев распространение болезни на ранних этапах происходит предсказуемо – контактным путем поражаются соседние группы лимфатических узлов. Селезенка чаще поражена у больных с вовлечением лимфатических узлов ниже диафрагмы. После вовлечения в опухолевый процесс селезенки резко возрастает риск распространения опухоли вместе с током крови в другие органы (гематогенная диссеминация).
Поражение печени, костей, костного мозга, почек и других органов и тканей редко встречается у больных на момент постановки диагноза, и обычно наблюдается на фоне распространенного опухолевого процесса и симптомов интоксикации (повышенная температура тела, сильная ночная потливость, потеря веса, аппетита).
Диагностика лимфогранулематоза

Основным подтверждением диагноза является нахождение в биоптате пораженного узла клеток Березовского-Рида-Штернберга.
Это большие по размеру клетки (по сравнению с лимфоцитами) с несколькими ядрами. Специфических изменений лабораторных показателей при лимфоме Ходжкина не наблюдается.
Показатели изменяются как следствие изменений, вызванных заболеванием:
- увеличивается скорость оседания эритроцитов (это характерно для всех иммунных и воспалительных процессов);
 - пониженное число лимфоцитов в крови (вызвано основной причиной лимфомы – затруднением роста и размножения лимфоцитов);
 - снижение количества красных клеток крови (вызвано влиянием заболевания на процесс формирования кровяных клеток).
 
Все эти проявления не представляют исключительные признаки только одного заболевания, а присущи очень многим, поэтому анализ крови при диагностике лимфомы Ходжкина не является определяющим.
Методы инструментальной диагностики, такие как ультразвуковая и рентгеновская диагностика (включая применение компьютерной томографии) используются в качестве вспомогательных для уточнения локализации и размеров поражённых лимфатических узлов или внутренних органов.
Лечение лимфомы Ходжкина

Стандартной схемой лечения болезни Ходжкина является в настоящее время схема ABVD.
В схему ABVD включены такие препараты, которые назначают внутривенно в первый и четырнадцатый дни.
- Дакарбазин – 375 мг/м2;
 - Блеомицин – 10 мг/м2;
 - Доксорубицин по 25 мг/м2;
 - Винбластин – 6 мг с интервалом в две недели между курсами.
 
А на пятнадцатый день после последнего введения препарата начинают следующий цикл лечения.
Результаты международных исследований показывают, что для распространенных форм лимфогранулематоза с неблагоприятным прогнозом предпочтительнее может быть лечение по схеме ВЕАСОРР в режиме с эскалацией дозы.
В схему ВЕАСОРР входят следующие препараты для внутривенного введения:
- в первый день – Циклофосфамид по 650 мг/м2 и Доксорубицин по 25 мг/м2;
 - затем в первый, второй и третий дни назначают Этопозид по 100 мг/м2;
 - в восьмой день Блеомицин по 10 мг/м2 и Винкристин по 1,4 мг/м2.
 
- с первого по седьмой дни – Прокарбазин по 100 мг/м24;
 - Преднизолон по 40 мг/м2 в течение двух недель.
 
И очередной курс начинают через семь дней после последнего применения преднизолона или на двадцать второй день от начала курса.
Лучевая терапия всегда проводится после завершения химиотерапии.
Реабилитация и возможные осложнения

Благодаря развитию медицины, в настоящее время лечение лимфомы Ходжкина осуществляется достаточно успешно: около 70 % достигают пятилетней ремиссии и поэтому необходимо уделять особое внимание осложнениям, которые ухудшают качество жизни и иногда даже приводят к гибели пациента.
Инфекционные заболевания
Прежде всего, необходимо помнить о повышенной восприимчивости таких пациентов к инфекционным заболеваниям, особенно это относится к больным после спленэктомии. Рекомендуется раннее начало антибактериальной терапии при признаках инфекции.
Лучевой пульмонит
Частым осложнением лучевой терапии на область средостения являются постлучевые пульмониты с исходом в пневмофиброз. Самостоятельным фактором, приводящим к фиброзированию легочной ткани, а также фактором, потенцирующим воздействие облучения, является применение блеоцина, входящего в схемы АВVD и BEACOPP. Поэтому суммарная доза блеоцина не должна превышать 200 мг/м2. Применение кортикостероидов и антибактериальная терапия достаточно эффективны в лечении пульмонитов у этой категории больных.
Бесплодие
Серьезным осложнением химиотерапии является бесплодие, развивавшееся более чем у половины больных, получавших лечение по схеме МОРР и ее аналогам (СОРР, LVPP и др.). При использовании схемы ABVD частота стойкой азооспермии или аменореи значительно снизилась, тем не менее, на Западе для мужчин считается желательной криоконсервация спермы перед началом лечения.
Вторичные злокачественные образования
Наиболее серьезной проблемой является развитие вторичных злокачественных новообразований.
Достаточно сказать, что через 17 лет после окончания первичного лечения смертность от индуцированных опухолей (лейкозы, неходжкинские лимфомы, солидные опухоли) превышает смертность от собственно лимфогранулематоза. При этом лейкозы и системные заболевания в первую очередь связывают с последствиями лучевой терапии, а солидные опухоли наиболее часто развиваются в облученных органах и тканях.
Именно развитие поздних осложнений ведет к постоянному поиску оптимальных режимов лечения больных в зависимости от факторов прогноза.
Целью поиска является максимально возможное уменьшение дозы химиопрепаратов и лучевой терапии без потери эффективности лечения.
Лимфома Ходжкина

Лимфома Ходжкина — одна из разновидностей лимфом, злокачественных заболеваний. Их особенность в том, что рост злокачественного образования начинается из лимфоидной ткани. Болезнь локализуется в лимфоузлах и довольно долго не захватывает костный мозг. По сути, к лимфомам Ходжкина относится целая группа заболеваний — на них приходится 40% от всех лимфом. Визуально или другими простыми способами отличить две группы между собой невозможно. Но ходжкинские заболевания определяются по анализу — в процессе обследования у больного находятся специфические клетки Березовского-Штернберга-Рида.
Группы риска
Это заболевание встречается относительно часто — оно стабильно занимает 9-10 место среди всех онкологий (по статистике РФ). Чаще всего им страдают мужчины, а наиболее рискованные возраста — это период с 20 до 30 лет, а также возраст старше 60. Пик заболеваемости наблюдается в возрастной группе 16-34 года.
Симптомы
К первым симптомам лимфомы Ходжкина относят слабость, потливость (усиливается в ночное время), высокую температуру (38 градусов и выше). Поскольку эти признаки есть у простуды и гриппа, люди часто не относятся к ним серьезно. Но дальше картина усугубляется: больной начинает терять вес, его лимфатические узлы увеличиваются. Они становятся плотными и при пальпации не вызывают болезненных ощущений.

К другим симптомам лимфомы Ходжкина также относят:
- Боль в лимфоузлах при употреблении алкоголя.
 - Сильный зуд без особенной причины и более активная реакция организма на укусы насекомых (по сравнению с тем, что было раньше).
 - Трудности с дыханием, глотанием.
 - Набухание вен на уровне шеи, головы.
 
Последние два признака лимфомы Ходжкина сопровождают уже более серьезные стадии, поэтому не заметить их невозможно. Если не начать лечение в этот момент, то дальше развиваются более серьезные проблемы: кишечная непроходимость, увеличение селезенки, проблемы с почками и т. д. Могут развиться почечная и сердечная недостаточность. На фоне ослабленного организма часто присоединяются инфекции — причем их возбудители будут абсолютно не опасны для здорового человека.
Причины
Как и в случае с другими онкологическими заболеваниями, точные причины лимфомы Ходжкина у детей и взрослых установить нельзя. Но есть несколько теорий. Первая предполагает, что все дело в генетике — то есть роль играет семейная наследственность. Вторая говорит о том, что лимфому этого типа могут вызывать некоторые тяжелые инфекции, которые пациент перенес ранее. А третья теория сводится к тому, что лимфоциты меняются спонтанно, под действием разных стимуляторов.
Поскольку точных причин никто не знает, специфической профилактики в данном случае быть не может — к сожалению, от этого заболевания не застрахован никто.
Стадии
По одной из популярных и распространенных классификаций выделяют четыре стадии лимфомы Ходжкина (и нулевую). Мы опишем не их признаки, а то, как чувствует себя больной на каждой стадии:

- 0-я. Человек чувствует и ведет себя так, как будто он абсолютно здоров.
 - I-я. Пациент может вести вполне адекватный образ жизни, но он немного ослаблен, поэтому физический труд ограничен.
 - II-я. Уже заметна сильная утомляемость, человек не может сам себя обслуживать, ему трудно передвигаться. Около половины дня больной может проводить в постели.
 - III-я. При этой стадии пациент много лежит (более половины суток) и нуждается в постоянном уходе. Ему тяжело активничать и выполнять даже привычные действия.
 - IV-я. На этом этапе пациенты наиболее тяжелые. Они постоянно лежат или сидят, крайне быстро устают и даже общаться могут с трудом и недолго.
 
Какие процессы происходят в организме на каждой стадии лимфомы Ходжкина, пациенту объяснит врач — проявлений и их деталей существует немало. Все начинается с поражения лимфоузлов или некоторых органов (например, селезенки) — и дальше опухоль начинает распространяться, постепенно захватывая организм.
Диагностика

Своевременная диагностика лимфомы Ходжкина крайне важна — чем раньше будет поставлен правильный диагноз, тем больше шансов у больного на выздоровление.
Чтобы уточнить все детали, пациенту назначают:
Рентген грудной клетки, КТ, МРТ, ПЭТ, УЗИ. Исследуются разные органы, а во многих случаях и все тело.
Пункция и биопсия тканей пораженных лимфоузлов или органов.
Разные анализы, которые помогают выяснить, нет ли дополнительных проблем — например, ВИЧ, вирусного гепатита или чего-то еще.
Не всегда диагноз можно поставить быстро: нередко требуются дополнительные обследования и консилиум врачей, которые коллективно решают, с чем имеют дело — особенно это актуально для нестандартных случаев, которые встречаются довольно часто.
Лечение

Чтобы лечение лимфомы Ходжкина было максимально эффективным, оно назначается индивидуально и в зависимости от стадии. На ранних стадиях заболевания обычно используется радиотерапия (лучевая). Обычно требуется около месяца лечения и потом возможна ремиссия. На более серьезных стадиях добавляется химиотерапия — ее длительность и виды препаратов разные, многое зависит от пациента. Также могут назначаться гормональные препараты.
В сложных ситуациях пациентам показано хирургическое вмешательство — удаление опухоли, селезенки и т. д. Решение об операции принимается на основе действующих клинических рекомендаций при лимфоме Ходжкина — для этого есть конкретные предпосылки.
Большую роль для выздоровления играет правильное питание при лимфоме Ходжкина. Оно должно быть сбалансированным, с достаточным количеством витаминов, но без тяжелой для организма пищи. Приветствуется дробное и частое питание, которое всегда будет разнообразным.
Если вы наблюдаете у себя или своих близких симптомы опасной болезни либо точно знаете, что она уже есть, консультация в АО «Медицина» поможет определиться с дальнейшим планом действий. Наши онкологи всегда рады ответить на вопросы и оказать квалифицированную помощь.
Прогноз
На ранних стадиях заболевания выживаемость пациентов при правильном лечении составляет до 90%, а десятилетняя — до 80%. Начиная с третьей стадии, эти проценты снижаются. При стадии «А» пятилетняя выживаемость составляет свыше 80%, а при стадии «Б» — уже около 60%. На IV стадии эти цифры снижаются до 45%.
Легче всего переносят лимфому Ходжкина молодые пациенты, болезнь у которых обнаружена на ранней стадии, — обычно для них прогнозы хорошие.
Вопросы и ответы
Насколько опасна лимфома Ходжкина?
Как и любая другая онкология, она очень опасна, особенно на поздних стадиях. Но при раннем обнаружении недуга шансы на стойкую и длительную ремиссию очень высоки — вот почему не стоит игнорировать первые признаки болезни.
Есть ли профилактика лимфомы Ходжкина?
Специальной профилактики для лимфомы Ходжкина нет. Но врачи постоянно говорят о том, что здоровый образ жизни — правильное питание, умеренная двигательная активность, отказ от вредных привычек — повышает иммунитет, а потому является косвенной профилактикой любой болезни.
Нужно ли наблюдаться у врача, если болезнь вылечили?
Да, сначала пациенты в ремиссии наблюдаются каждые три месяца, затем каждые полгода, а после этого — каждый год. При таком графике удается вовремя словить рецидив и начать лечение, которое поможет пациенту, если заболевание вернулось.
Читайте также:
