Лучевая анатомия (КТ, МРТ анатомия) матки
Добавил пользователь Евгений Кузнецов Обновлено: 21.01.2026
В те времена, когда медицина базировалась преимущественно на результатах физикального обследования человека, наименее доступным оставался головной мозг, скрытый черепной коробкой. Применение компьютерной и магнитно-резонансной томографии совершило переворот в медицине, позволив объективно оценивать состояние вещества головного мозга. Эти методы объединены понятием нейровизуализации. Их использование позволяет ответить на вопрос: есть ли изменения и где они локализуются, оценить состояние ликворсодержащей системы и прилегающих к патологическому очагу тканей и, наконец, определить природу патологического процесса. Ответить на поставленные вопросы невозможно без знания нормальной лучевой анатомии головного мозга. С учетом особенностей морфологии и физиологии головного мозга отдельно описана лучевая анатомия задней черепной ямки и структур, лежащих выше намета мозжечка.
Из лучевых методов диагностики в настоящее время достаточно широко применяются ультразвуковое исследование головного мозга (нейросонография), КТ, МРТ. Эти методы, имея свои достоинства и недостатки, взаимно дополняют друг друга. В отделении лучевой диагностики многопрофильной больницы наиболее целесообразно применение всех вышеперечисленных методик. Решение о выборе метода в каждом конкретном случае принимается коллегиально врачом-клиницистом и врачом лучевой диагностики.
Достоинствами нейросонографии являются доступность, простота применения, возможность использования у постели больного, отсутствие необходимости в специальной предварительной подготовке. Однако результаты нейросонографии существенно зависят от профессионализма исследователя, качества применяемой аппаратуры. Высока степень субъективности оценки получаемых данных. Несмотря на это, УЗИ головного мозга до сих пор является основным методом диагностики у новорожденных и детей раннего возраста.
КТ позволяет выявить изменения, более точно оценить динамику патологического процесса. Из особенностей КТ следует отметить действие ионизирующего излучения на пациента во время исследования, а у детей раннего возраста и у лиц, находящихся в состоянии психомоторного возбуждения — необходимость применения анестезиологического пособия.
М РТ становится все более доступным методом лучевой диагностики, позволяя наиболее полно оценить процессы развития мозга, выявить изменения, провести дифференциальную диагностику и уточнить динамику течения заболевания. Это единственный метод, позволяющий наблюдать за процессами миелинизации головного мозга, дифференцировать стадии геморрагического процесса. Однако проведение МРТ требует специального оборудования для обследования больных, находящихся в реанимации, занимает много времени, в ряде случаев диктует необходимость применения анестезиологического пособия.
AHATОMO-ФИЗИ0Л0ГИЧЕСКИЕ ОСОБЕННОСТИ МОЗГА НОВОРОЖДЕННОГО
Головной мозг новорожденного относительно велик, его масса не превышает 10% от массы тела, в то время как у взрослого человека она составляет 2—2,5%. Крупные борозды и извилины выражены очень хорошо, но имеют малую глубину. Мелких борозд мало, они появляются только в первые годы жизни. Размеры лобной доли меньше, чем у взрослых, а затылочной, наоборот, больше. Мозжечок развит слабо, характеризуется малой толщиной, небольшими размерами полушарий и поверхностными бороздами. Боковые желудочки крупные, представляются растянутыми. Твердая мозговая оболочка у новорожденных тонкая, ее наружный листок на большой площади сращен с костями черепа. Венозные пазухи тонкостенные и уже, чем у взрослых. Мягкая и паутинная оболочки мозга тонкие, субдуральное и субарахноидальное пространство узкие. Цистерны, расположенные на основании мозга, напротив, относительно крупные. Водопровод мозга шире, чем у взрослых. К моменту рождения мозг содержит около 88% воды, к 2 годам этот показатель снижается до 82%. Это совпадает с растущей концентрацией липидов. Процесс миелинизации (формирования миелиновой мембраны вокруг аксона) к моменту рождения не завершен. Наиболее миелинизированы проводящие пути спинного и продолговатого мозга.
Развитие нервных путей и окончаний идет центростремительно, в цефалокаудальном направлении и поэтапно, в строгом соответствии с биологическим возрастом ребенка. Базаль-ные ганглии составляют гораздо большую часть мозга у недоношенного ребенка, чем у доношенного, и развиваются раньше коры головного мозга и белого вещества.
Ткань субэпендимального терминального матрикса, расположенного первоначально над головкой и телом хвостатого ядра, в основном снабжается кровью артерией Гейбнера (Heubner) с дополнительным кровоснабжением из конечных ветвей латеральных стриарных и хорио-идных артерий. Артерия Гейбнера и хориоидные артерии имеют особенно большой диаметр у недоношенных. В 80% случаев интравентрикулярные геморрагии связаны с терминальным матриксом. Субэпендимальный матрикс содержит незрелую сосудистую сеть, которая начиная с 32-й недели гестации преобразуется во вполне развитое капиллярное ложе. В это время роль артерии Гейбнера снижается до кровоснабжения маленькой области головки хвостатого ядра.
ЛУЧЕВОЕ ИССЛЕДОВАНИЕ МОЗГА НОВОРОЖДЕННОГО Ультразвуковая анатомия головного мозга новорожденного
Нейросонография, благодаря своей простоте, доступности и качеству получаемого изображения, является оптимальной методикой для выявления структурных изменений головного мозга детей на раннем этапе обследования.
Как при всяком ультразвуковом исследовании, все видимые структуры головного мозга по эхогенности можно подразделить на гипер-, гипо-, изо- и анэхогенные. Наиболее яркими — гиперэхогенными — выглядят кости черепа. Сосудистые сплетения желудочков также гипер-эхогенны. Особенно хорошо лоцируются сплетения боковых желудочков, которые, распространяясь в теле, височном роге и области треугольника, при сканировании в сагиттальной плос-
кости формируют «фигуру перстня» (рис. 1.1). При исследовании во фронтальной и аксиальной плоскостях сплетения отчетливо визуализируются в виде ярких линейных структур на фоне анэхогенной — темной — спинномозговой жидкости в желудочках (рис. 1.2). Форма и симметричность сосудистых сплетений имеют большое диагностическое значение. Утолщение одного из них по отношению к другому позволяет заподозрить внутрижелудочковое кровоизлияние (ВЖК I у доношенных детей). Кисты сосудистых сплетений также являются нередкими находками у новорожденных — 3% по данным T.Riebel (1992).
Червь мозжечка, стенки мозговых артерий определяются как гиперэхогенные образования. Ярким выглядит и рисунок борозд, обусловленный мягкой мозговой оболочкой. Само серое вещество выглядит гипоэхогенным, и яркие борозды контурируют извилины большого мозга, формируя рисунок коры. В виде гипоэхогенных образований представлены полушария мозжечка и стволовые структуры. Подкорковые ядра имеют несколько большую акустическую плотность по сравнению с окружающим белым веществом. При получении срединного изображения в сагиттальной плоскости отчетливо визуализируется гипоэхогенное мозолистое тело, четко отграниченное от серого вещества коры гиперэхогенной поясной бороздой. Здесь же определяются структуры, расположенные строго по средней линии: III желудочек, водопровод мозга, IV желудочек. Пространства, заполненные спинномозговой жидкостью, а именно желудочки мозга, большая цистерна, субарахноидальные пространства по конвекситальной поверхности мозга, видны как анэхогенные образования. Исключением являются цистерны основания мозга, которые при сканировании в аксиальной плоскости формируют типичный гиперэхогенный рисунок. Эти пространства, содержащие спинномозговую жидкость, становятся гиперэхогенными вслед-

Рис. 1.1. Нейросонография. Изображения головного мозга в сагиттальной плоскости: а — срединно-сагиттальный срез; б — парасагиттальный срез через тела боковых желудочков.
I — поясная борозда; 2 — мозолистое тело; 3 — межжелудочковое отверстие; 4 — сосудистое сплетение нижнего рога; 5 — клубок сосудистого сплетения; 6 — III желудочек; 7 — височная доля; 8 — лобная доля; 9 — теменная доля; 10 — инфундибулярный карман; 11 — водопровод среднего мозга; 12 — четверохол-мная цистерна; 13 — IV желудочек; 14 — мозжечок; 15 — межталамическая спайка.

Рис. 1.2. Нейросонография. Изображения головного мозга в корональной плоскости: а — через передние рога боковых желудочков; б — через структуры задней черепной ямки.
1 — передний рог бокового желудочка; 2 — мозолистое тело; 3 — латеральная щель мозга; 4 — островок; 5 — лобная доля; 6 — височная доля; 7 — чешуя височной кости; 8 — III желудочек; 9 — цистерна промежуточного паруса; 10 — четверохолмная цистерна; 11 — охватывающая цистерна; 12 — намет мозжечка; 13 — червь мозжечка; 14 — полушария мозжечка; 15 — затылочная кость.
ствие пульсации расположенных в них артерий артериальный круг большого мозга. При этом значительно улучшается визуализация гипоэхогенных структур среднего мозга — пластины четверохолмия, ножек мозга, водопровода, который представлен двумя тонкими короткими полосками, параллельными друг другу.
Рисунок базальных цистерн формирует расположенная над одноименной пластиной четверохолмная цистерна, которая сзади ограничена верхними отделами червя мозжечка, а по бокам — краями вырезки намета мозжечка. Огибая с обеих сторон средний мозг, она переходит в охватывающую цистерну, которая располагается между латеральными краями среднего мозга и пара-гиппокампальными извилинами, сливаясь затем между ножками мозга в межножковую цистерну. В передней части межножковой цистерны расположена изоэхогенная мозгу воронка гипофиза с рисунком инфундибулярного кармана III желудочка в виде двух тонких гиперэхогенных полосок с анэхогенным промежутком между ними, который соответствует изображению спинномозговой жидкости III желудочка. Кпереди от межножковой цистерны располагается перекрест зрительных нервов, также окруженный ликвором супраселлярной цистерны. Цистерна латеральной щели отделяет задние отделы лобной доли от передних отделов височной доли.
Ультразвуковое исследование проводится в режиме реального времени и позволяет визуализировать пульсирующие сосуды головного мозга. При сканировании в аксиальной плоскости в области охватывающей цистерны можно увидеть заднюю мозговую артерию, латеральнее воронки гипофиза отмечаются поперечные сечения внутренних сонных артерий, между ножками мозга — поперечник базилярной артерии (БА). При сканировании во фронтальной плоскости
в проекции латеральных щелей мозга отчетливо визуализируются пульсирующие средние мозговые артерии, а в передних отделах межполушарной щели — передние мозговые артерии.
Следует отметить, что при чрезродничковом сканировании у детей первого месяца жизни перивентрикулярное белое вещество в проекции треугольников боковых желудочков может выглядеть гиперэхогенным. Это изображение в литературе носит название перивентрикулярного «halo» [Grant E., 1983], или околотреугольникового «blush» [Di Pietro M.A., 1986]. Эти феномены пытаются объяснить большим содержанием макромолекул воды в мозге новорожденного из-за незавершенного процесса миелинизации, а также возможными артефактами отражения ультразвукового луча от сосудистых сплетений, расположенных в треугольниках боковых желудочков. Данное изображение следует дифференцировать от гипоксически-ишемического поражения белого вещества — перивентрикулярной лейкомаляции, которое на раннем этапе характеризуется гиперэхогенными зонами, чаще всего в районе передних рогов и треугольников боковых желудочков. Ведущую роль при этом играет неврологическая симптоматика.
При нейросонографии обязательно измеряют ширину внутренних ликворсодержащих пространств. Чаще всего в практической деятельности пользуются схемой измерений, которая была предложена M.S.Leven (1985). Измерения осуществляются при сканировании во фронтальной плоскости на уровне отверстий Монро. Здесь измеряют ширину боковых желудочков — как расстояние от средней линии до самой латеральной точки желудочка (13 мм), косой размер — как дистанцию между самой выпуклой и самой вогнутой точками передних рогов (2—3 мм), и ширину III желудочка (до 5 мм). Допускается незначительная (в пределах 2 мм) асимметрия боковых желудочков. Между передними рогами может лоцироваться полость прозрачной перегородки (cavum septi pellucidi), ширина которой у доношенного ребенка не должна превышать 2 мм. У недоношенных детей она, как правило, шире и требует мониторирования, так как в случае ее роста, из-за сдавливания отверстий Монро, может развиться бивентрикулярная гидроцефалия.
Картина мозга новорожденного при КТ и МРТ значительно отличается от картины мозга детей других возрастных периодов и взрослых.
КТ-анатомия мозга новорожденного
Поскольку мозг новорожденного содержит относительно много воды и мало липидов, то плотность мозговой ткани новорожденного при КТ меньше и повышается с возрастом (табл. 1.1).
Разница в плотности между белым и серым веществом в любом возрасте более 10 HU должна рассматриваться как патология. Большая цистерна мозга у новорожденных имеет значительные размеры и составляет от 2 мм до 9—10 мм, в зависимости от индивидуальных особенностей. На
Плотность мозговой ткани при компьютерной томографии в различные возрастные
Лучевая анатомия (КТ, МРТ анатомия) матки
а) Терминология:
1. Синонимы:
• Cervix uteri
2. Определения:
• Каудальный сегмент матки, который сообщается с влагалищем
б) Анатомия шейки матки:
На сагиттальном срезе шейки матки показано ее взаимоотношение с другими анатомическими образованиями таза. Цервикальный канал сообщается с полостью матки на уровне внутреннего зева матки и с просветом влагалища на уровне наружного зева матки. Фиброзномышечная строма шейки матки является продолжением миометрия, а эпителий шейки матки продолжается в эндометрий. На уровне наружного зева матки цилиндрический эпителий цервикального канала переходит в плоский эпителий эктоцервикса; это место называется сквамозноцилиндрическим соединением. На поперечном срезе шейки матки прослеживается типичная зональная анатомия, которая формирует картину, напоминающую мишень. На рисунке видны также маточно-крестцовые и кардинальные связки, которые являются основой поддерживающего аппарата шейки матки.
1. Обзор:
• Фиброзно-мышечный трубчатый отдел матки, расположенный между телом матки и влагалищем:
о Начинается от перешейка матки (нижняя суживающаяся часть тела матки) и выдается в верхнюю часть влагалища
• Два сегмента:
о Надвлагалищный сегмент: расположен краниальнее влагалища:
- Включает внутренний зев матки - вход в полость матки
- Задняя поверхность покрыта брюшиной
- Называется также portio supravaginalis
о Влагалищный сегмент (эктоцервикс): переходит в своды влагалища:
- Включает наружный зев матки - вход во влагалище
- Часть шейки матки, которая переходит во влагалище, называется portio vaginalis
- Окружен сводами влагалища
• В центральной части шейки матки расположен цервикальный канал:
о Вместе с полостью матки и просветом влагалища образует единый канал
• Размер шейки матки:
о Длина у небеременных женщин составляет 2,5-3 см
о В период беременности длина шейки матки достигает 6 см
о Диаметр в типичных случаях равен 3-4 см
• Артериальное кровоснабжение: имеет двойной источник:
о Нисходящая ветвь маточной артерии
о Верхние ветви влагалищной артерии
• Венозный отток:
о Венозное сплетение параметрия → маточные вены → внутренние подвздошные вены
• Лимфатический отток:
о Наружные подвздошные лимфоузлы (через лимфатические пути в широкой связке матки)
о Внутренние подвздошные лимфоузлы
о Пресакральные лимфоузлы
• Иннервация осуществляется из нижнего подчревного (тазового) сплетения
• Поддерживающие связки:
о Лобково-шеечные связки:
- Тянутся от передней поверхности шейки матки к лобковому симфизу
о Кардинальные связки (поперечные связки шейки матки):
- Тянутся от латерального края шейки и влагалищ к боковой стенке таза
о Маточно-крестцовые связки:
- Тянутся от задней поверхности шейки и влагалища к крестцу
• Возрастные изменения:
о До 5-го десятилетия жизни шейка матки под влиянием гормональной стимуляции увеличивается в объеме, затем постепенно уменьшается
о До наступления менархе: шейка и тело матки имеют примерно одинаковые размеры
о Под влиянием гормональной стимуляции в период полового созревания тело матки значительно увеличивается в размере:
- На шейку матки у женщины до наступления менопаузы приходится относительно меньшая часть матки
о После менопаузы доля шейки матки от общего размера матки возрастает, так как тело матки постепенно атрофируется
2. Гистологическое строение шейки матки:
• Цервикальный канал выстлан однослойным цилиндрическим реснитчатым эпителием, клетки которого секретируют слизь:
о Эпителий организован в ряд мелких V-образных складок (пальмовидные складки)
о Клетки расположены на тонкой базальной мембране
• Эктоцервикс выстлан многослойным плоским эпителием, который переходит в слизистую оболочку влагалища
• Сквамозно-цилиндрическое соединение: ПЗ между плоским и цилиндрическим эпителием:
о Расположено вблизи наружного зева матки, но точная локализация соединения вариабельна, что связано с постоянным изменением формы этого анатомического отдела о Является местом развития рака шейки матки
• Строма содержит значительное количество соединительной ткани, в которой много эластических волокон, переплетающихся с пучками гладкомышечных клеток:
о Внеклеточный матрикс содержит коллаген, эластин, про-теогликаны
о Клеточный компонент содержит гладкомышечные клетки и фибробласты
о В каудальном (влагалищном) отделе шейки матки содержится больше соединительной ткани, в то время как в проксимальном ее отделе больше гладкомышечных клеток
о Постепенное уменьшение содержания коллагена в период беременности позволяет шейке матки «размягчиться» и расшириться, чтобы через нее произошло изгнание плода
• Секрет, образуемый многочисленными эндоцервикальными железами, дренируется в цервикальный канал:
о При обструкции протоков этих желез они расширяются, превращаясь в наботовы кисты
в) Лучевая анатомия шейки матки:
1. Обзор:
• УЗИ матки, как правило, включает также оценку шейки матки:
о Это относительно недорогой метод, получивший широкое распространение
• МРТ является более информативной методикой:
о Обеспечивает превосходную контрастность мягких тканей и возможность мультипланарной реконструкции изображения
о Является предпочтительным методом исследования при стадировании рака шейки матки
2. Анатомические взаимоотношения:
• Положение шейки матки:
о Флексия характеризует положение тела матки относительно шейки:
- У большинства женщин матка находится в положении антефлексии
о Версия характеризует направление оси шейки матки относительно влагалища:
- У большинства женщин матка находится в положении антеверсии
• Шейка матки расположена экстраперитонеально
На Т2-ВИ матки в сагиттальной плоскости прослеживается типичная зональная анатомия шейки матки. Слизистый секрет в цервикальном канале дает гиперинтенсивный сигнал, а эпителий слизистой оболочки цервикального канала - сигнал промежуточной интенсивности. Внутренний слой стромы шейки матки гипоинтенсивен из-за богатого фиброзного компонента. Наружный слой стромы шейки матки, состоящий из гладкомышечной ткани, дает сигнал промежуточной интенсивности. На Т2-ВИ в аксиальной плоскости показан поперечный срез шейки матки, на котором она в норме имеет вид мишени. Нарушение целостности внутреннего слоя стромы шейки матки наблюдается при инфильтрирующем раке шейки матки. На Т1-ВИ FS с контрастированием в аксиальной плоскости, проходящей через шейку матки, можно увидеть нормальную картину контрастного усиления. Эпителиальная выстилка цервикального канала накапливает контрастное вещество в большей степени, чем строма, которая кажется сравнительно гипоинтенсивной. Внутренний и наружный слои стромы шейки матки трудно разграничить.
3. МРТ анатомия шейки матки:
• Т1-ВИ: дает однородный сигнал промежуточной интенсивности
• Т2-ВИ: зональная анатомия аналогична таковой тела матки:
о Слизистый секрет, выделяемый в цервикальный канал, дает гиперинтенсивный сигнал
о Эпителиальная выстилка цервикального канала также гиперинтенсивна:
- Эпителий эндоцервикса переходит в эндометрий
- Пальмовидные складки на сканах высокого разрешения имеют вид обособленных зон, дающих сигнал промежуточной интенсивности
о Внутренний отдел стромы шейки матки имеет сигнал низкой интенсивности, обусловленный значительной долей фиброзной и эластической ткани:
- Продолжается в ПЗ тела матки
о Возможно наличие выраженного в той или иной степени наружного слоя гладкомышечных клеток, дающего сигнал промежуточной интенсивности:
- Переходит в наружные слои тела матки
о Зональная анатомия шейки матки не претерпевает существенных изменений на протяжении менструального цикла
• Т1-ВИ с контрастированием: слизистая оболочка цервикального канала проявляет большее контрастное усиление, чем строма шейки матки
• Наботовы кисты выявляют более чем у 50% женщин:
о Представляют собой закупоренные и расширившиеся цервикальные железы
о В типичных случаях не вызывают какой-либо симптоматики и обнаруживаются случайно
о На Т1 -ВИ дают сигнал низкой интенсивности, на Т2-ВИ -сигнал высокой интенсивности, не накапливают контрастное вещество, хотя интенсивность сигнала от них может варьировать
При ТВУЗИ шейки матки в продольной плоскости удается различить типичное для нее многослойное строение, о котором говорилось ранее при описании МРТ шейки матки. Секрет в цервикальном канале имеет вид центрально расположенной анэхогенной полоски. Эпителий, выстилающий цервикальный канал, слегка гиперэхогенен. Внутренний слой стромы гипоэхогенный, в то время как наружный ее слой - эхогенный. При ТВУЗИ в поперечной плоскости шейка матки также напоминает мишень. Оценить состояние шейки матки с помощью обычного УЗИ не трудно, хотя «видимость» ее несколько ограничивается при размещении датчика в сводах влагалища.
4. УЗИ анатомия шейки матки:
• Состояние шейки матки можно оценить как при ТАУЗИ, так и при эндовагинальном УЗИ
• С помощью УЗИ можно исследовать зональную анатомию шейки матки:
о Жидкость в цервикальном канале: анэхогенная линейная структура:
- В цервикальном канале иногда можно увидеть эхогенные очаги, обусловленные попавшим туда воздухом
о Слизистая оболочка цервикального канала: гиперэхогенная полоса внутри шейки матки:
- Переходит в эхогенный эндометрий
о Внутренняя строма шейки матки: гипоэхогенная полоса, расположенная посередине:
- Продолжается в ПЗ тела матки
о Наружная строма шейки матки: слабоэхогенная наружная полоса:
- Продолжается в наружный слой миометрия тела матки
Нормальный вид шейки матки при КТ с контрастным усилением в сагиттальной плоскости. Усиление сигнала от эпителиальной выстилки цервикального канала более выражено, чем от подлежащей стромы шейки матки. Внутренний и наружный слои стромы трудно разграничить. Жидкость/секрет в цервикальном канале имеет вид центрально расположенной гиподенсивной полоски. При КТ с контрастным усилением в аксиальной плоскости, проходящей через шейку матки, последняя имеет типичный вид мишени; эпителий цервикального канала при контрастировании усиливается, в то время как строма шейки матки гиподенсивна. С другой стороны, накопление контрастного вещества в шейке матки по сравнению с ее телом равномерно снижено.
5. КТ анатомия шейки матки:
• Не является рутинным методом исследования матки
• Нативная КТ: шейка имеет однородную структуру и по рентгеновской плотности соответствует мягким тканям
• КТ с контрастным усилением: шейка может напоминать мишень, хотя изображение ее вариабельно:
о Секрет или жидкость, содержащиеся в цервикальном канале, гиподенсивны
о Слизистая оболочка цервикального канала: интенсивно накапливает контрастное вещество
о Внутренний отдел стромы шейки: контрастируется слабо
о Наружный отдел стромы: умеренное контрастирование (усиление)
о Шейка матки по сравнению с телом матки часто слабее накапливает контрастное вещество
• КТ с контрастным усилением - эффективный метод стадирования рака шейки матки
г) Особенности лучевой анатомии шейки матки:
1. Рекомендации по проведению лучевых исследований:
• УЗИ: изображение шейки матки при эндовагинальном УЗИ может оказаться неполным, если датчик располагается в своде влагалища:
о В таких случаях следует слегка подтянуть датчик, чтобы можно было визуализировать шейку матки полностью
• МРТ: наиболее информативным методом для оценки зональной анатомии является мультипланарная реконструкция Т2-ВИ:
о Т1-ВИ с контрастированием особенно информативны при подозрении на рак шейки матки
2. Возможные ошибки:
• При обычной КТ возможны случаи гипердиагностики заболеваний шейки матки:
о Нормальная шейка матки может выглядеть увеличенной и контрастироваться в той или иной степени
д) Клинические особенности:
1. Клиническое значение:
• Шейка матки в период беременности выступает в роли сфинктера, который удерживает плод в полости матки
• Является каналом, по которому сперматозоиды проникают в матку для оплодотворения яйцеклетки
• Шейка матки и эндоцервикальная слизь препятствуют распространению инфекции в восходящем направлении и поддерживают стерильность эндометрия
2. Заболевания шейки матки:
• Шейка матки подвержена ряду заболеваний:
о Стеноз шейки матки
о Несостоятельность шейки матки
о Цервицит
о Полип шейки матки
о Железистая гиперплазия шейки матки
о Доброкачественные опухоли:
- Наботовы кисты (встречаются очень часто)
- Миомы
о Первичные злокачественные опухоли:
- Рак шейки матки
- Злокачественная аденома
- Другие редкие опухоли
о Метастатические опухоли (встречаются редко)
е) Эмбриологические особенности. Ключевые события эмбрионального периода:
• Матка и верхняя часть влагалища образуются из парного парамезонефрального (мюллерова) протока:
о Они образуются латеральнее от мезонефральных протоков в период между 6-й и 7-й неделями беременности
• Каудальные части парамезонефральных протоков сливаются по средней линии:
о Из слившихся каудальных частей формируется верхний отдел влагалища и матка (тело и шейка)
о Неслившиеся верхние части парамезонефральных протоков открываются в брюшную полость, и из них формируются маточные трубы
о Нарушение процесса слияния приводит к АРМП:
- Удвоение шейки матки
- Перегородка шейки матки
Лейомиома матки.
Лейомиома матки (фиброид матки) — это доброкачественное новообразования миометрия и наиболее распространенное доброкачественное солидное образование матки. Обычно данная находка редко приводит к диагностической дилемме. Также существует множество консервативных и хирургических методов лечения.
Эпидемиология.
Миома встречается у 25% женщин репродуктивного возраста 1 и особенно часто среди африканских женщин. Миома — гормончувствительное новообразование (например, стимулируется эстрогенами). Очень редко встречается в препубертатном периоде, но обычно быстро растут во время беременности и уменьшаются в размерах в менопаузе 1.
Часто протекает бессимптомно и выявляется случайно. Признаки и симптомы, связанные с патологией матки:
- вагинальное кровотечение.
- боль.
- бесплодие.
- ощутимые массы.
Лейомиома матки — новообразование, преимущественно, из гладкомышечных клеток с различным количеством волокнистой соединительной ткани. Лейомиома — это доброкачественное новообразование, которая может проявляться в виде одиночных и множественных узлов (в большинстве случаев — 85%)8, значительно варьируясь в размере.
Патология классифицируют по локализации и типу распространенности в органе.
Лейомиома внутри матки.
- интрамуральная лейомиома (наиболее распространенная).
- субсерозная лейомиома.
- субмукозная лейомиома.
Лейомиома вне матки.
- широкой связки лейомиома.
- лейомиома шейки.
- паразитарные лейомиома 7.
- диффузный лейомиоматоз матки.
Субсерозная и субмукозная лейомиома могут быть на ножке, также лейомиома вне матки часто имитирует, при визуализации, патологию придатков. Любой фиброид может подвергнуться атрофии, внутреннему кровоизлиянию , фиброзу и кальцинозу.
Лейомиомы — типы дегенерации.
- гиалиновые дегенерации — фокусное или обобщенное (это наиболее распространенный тип дегенерации ( может произойти в ~ 60 % случаев) 6).
- кистозной дегенерации : ~ 4 %
- миксоидную дегенерация: как правило, считается редкостью , хотя сообщалось выше, 50 % у некоторых авторов 14.
- красная дегенерация/карнификация — в следствии геморрагического инфаркта (чаще во время беременности/клиника: острые боли в животе).
Гистологическая классификация.
- липолейомиома матки.
- миксоидная лейомиома матки.
Лучевая диагностика.
Рентгенография.
Кальцификация по типу попкорн в области дает основания предположить диагноз.
УЗИ органов малого таза.
- ультразвуковое исследование используется для выявления и контроля роста фиброида
- неосложненные лейомиомы обычно гипоэхогенные, редко изоэхогенные и еще реже гиперэхогенные по сраавнению с нормальной миометрием.
- кальцификация — эхогенные очаги, дающий тень.
- кистозные участки некроза или дегенерации визуализируются.
Компьютерная томография.
- на КТ фиброиды, обычно, соответствует плотности мягкой ткани, но также может быть с периферической и центральной кальцификацией.
- кальцификации, как правило, искажают галдкие контуры матки.
- усиление структуры разнообразна.
Магнитно-резонансная томография.
МРТ обычно не требуется для диагностики, сложных или проблемных случаев. Однако, наиболее точный метод для обнаружении патологии, уточнения локализации и выявления отличительных черт миомы.
Характеристики сигнала.
Недегенерированная лейомиома и кальцификация имеет интенсивность сигнала от низкой до средней в сравнении с нормальным миометрием.
Повышенный сигнал на Т1 не характерен, но гиперинтенсивный ободок в центре миоматозного узла характерен для красной дегенерации (карнификации), причиной которой является венозный тромбоз.
Недегенерированная лейомиома и кальцификация имеет высокую интенсивность сигнала в сравнении с нормальным миометрием.
Чаще в зоне гиперваскулиризации очаг отека (очаг пустоты).
Лейомиомы, которые подверглись кистозной дегенерации или некроза могут иметь переменную интенсивность, но как правило, имеют гиперинтенсивный сигнал.
Гиалиновая дегенерация визуализируется гипоинтенсивно на Т2.
Кистозная дегенерация с интрамуральным отеком всегда на Т2 гиперинтенсивная.
Т1 с контрастом.
При введении контраста отмечается вариабельное повышение сигнала.
Явный гиперинтенсивный сигнал, но с постепенным увеличением сигнала по мере введения, характерно для миксоидной лейомиомы.
Дифференциальная диагностика.
-лейомиосаркома, но трансформация в лейомиосаркому встречается крайне редко, также
к сожалению, нет четких признаков изображения, с которыми надежно возможно отдифференцировать доброкачественные лейомиомы от редких лейомиосарком.
— опухоли гладких мышц матки — переход в злокачественную форму редко.
— липолейомиомы матки: больше содержание жира (иногда считается, как вариант лейомиомы).
1. Murase E, Siegelman ES, Outwater EK et-al. Uterine leiomyomas: histopathologic features, MR imaging findings, differential diagnosis, and treatment. Radiographics. 19 (5): 1179-97. Radiographics (full text) — Pubmed citation
2. Lee JK, Stanley RJ, Heiken JP. Computed body tomography with MRI correlation. Lippincott Williams & Wilkins. (1998) ISBN:0781702917. Read it at Google Books — Find it at Amazon
3. Abramson S, Gilkeson RC, Goldstein JD et-al. Benign metastasizing leiomyoma: clinical, imaging, and pathologic correlation. AJR Am J Roentgenol. 2001;176 (6): 1409-13. AJR Am J Roentgenol (full text) — Pubmed citation
4. Mark AS, Hricak H, Heinrichs LW et-al. Adenomyosis and leiomyoma: differential diagnosis with MR imaging. Radiology. 1987;163 (2): 527-9. Radiology (abstract) — Pubmed citation
5. Weinreb JC, Barkoff ND, Megibow A et-al. The value of MR imaging in distinguishing leiomyomas from other solid pelvic masses when sonography is indeterminate. AJR Am J Roentgenol. 1990;154 (2): 295-9. AJR Am J Roentgenol (abstract) — Pubmed citation
6. Ueda H, Togashi K, Konishi I et-al. Unusual appearances of uterine leiomyomas: MR imaging findings and their histopathologic backgrounds. Radiographics. 1999;19 Spec No : S131-45. Radiographics (full text) — Pubmed citation
7. Cohen DT, Oliva E, Hahn PF et-al. Uterine smooth-muscle tumors with unusual growth patterns: imaging with pathologic correlation. AJR Am J Roentgenol. 2007;188 (1): 246-55. doi:10.2214/AJR.05.1070 — Pubmed citation
8. Wilde S, Scott-barrett S. Radiological appearances of uterine fibroids. Indian J Radiol Imaging. 19 (3): 222-31. doi:10.4103/0971-3026.54887 — Free text at pubmed — Pubmed citation
9. Weinreb JC, Barkoff ND, Megibow A et-al. The value of MR imaging in distinguishing leiomyomas from other solid pelvic masses when sonography is indeterminate. AJR Am J Roentgenol. 1990;154 (2): 295-9. AJR Am J Roentgenol (abstract) — Pubmed citation
10. Okamoto Y, Tanaka YO, Nishida M et-al. MR imaging of the uterine cervix: imaging-pathologic correlation. Radiographics. 23 (2): 425-45. doi:10.1148/rg.232025065 — Pubmed citation
11. Kawakami S, Togashi K, Konishi I et-al. Red degeneration of uterine leiomyoma: MR appearance. J Comput Assist Tomogr. 18 (6): 925-8. — Pubmed citation
12. Hamm B, Baert AL, Beinder E( et-al. MRI and CT of the Female Pelvis. Springer Verlag. (2010) ISBN:3642060897. Read it at Google Books — Find it at Amazon
13. Dähnert W. Radiology Review Manual. Lippincott Williams & Wilkins. (2011) ISBN:1609139437. Read it at Google Books — Find it at Amazon
14. Low G, Rouget AC, Crawley C. Case 188: Intravenous leiomyomatosis with intracaval and intracardiac involvement. Radiology. 2012;265 (3): 971-5. doi:10.1148/radiol.12111246 — Pubmed citation
15. Casillas J, Joseph RC, Guerra JJ. CT appearance of uterine leiomyomas. Radiographics. 1990;10 (6): 999-1007. doi:10.1148/radiographics.10.6.2259770 — Pubmed citation
Нормальная анатомия матки и влагалища на снимках КТ и МРТ
Какой метод диагностики нормальной матки и влагалища выбрать: КТ, МРТ, УЗИ
Методы выбора
Что покажет МРТ нормальной матки и влагалища
- три четкие зоны на Т2-взвешенном изображении: гиперинтенсивный эндометрий, гипоинтенсивный внутренний слой миометрия или соединительная зона и наружный слой миометрия с промежуточной интенсивностью сигнала
- Гиперинтенсивная слизь в полости матки на Т2-взвешенном изображении
- Внутриматочные сгустки, появляющиеся в секреторной фазе, создают сигнал высокой интенсивности на Т1-взвешенном изображении
Миометрий:
- увеличение интенсивности сигнала и толщины в первой половине цикла
Соединительная зона:
- толщиной около 5 мм, гипоинтенсивная, лучше отграничена во вторую фазу цикла
Эндометрий:
- очень тонкий сразу после менструации, утолщается к середине цикла (10-14 мм)
- выраженное усиление эндометрия и наружного слоя миометрия после введения КВ
Матка в постменопаузе:
- истончение эндометрия, отсутствие зоны соединения и низкая интенсивность сигнала от миометрия.
Шейка матки:
- трех- или четырехслойная на Т2-взвешенном изображении - очень гиперинтенсивная слизь в цервикальном канале (пролиферативная фаза), гиперинтенсивная слизистая оболочка, гипоинтенсивный внутренний слой стромы и гиперинтенсивный наружный слой стромы
- Неоднородный сигнал промежуточной интенсивности от параметрия на Т2-взвешенном изображении.
Влагалище:
- тонкая трубка на Т2-взвешенном изображении
- W- или Н-образная форма в поперечном сечении
- cлизь в просвете влагалища создает сигнал очень высокой интенсивности, а слизистая оболочка гиперинтенсивна
- cигнал от среднего (мышечного) слоя имеет низкую интенсивность
- влагалище окружено гиперинтенсивной околовлагалищной (паравагинальной) клетчаткой.
Скопление жидкости в брюшной полости:
- небольшое количество жидкости в дугласовом пространстве, особенно во время овуляции, является нормой.

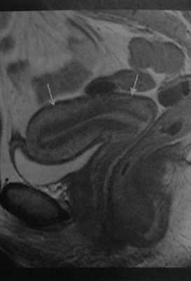
Нормальная матка у женщины 34 лет в первой фазе менструального цикла. Сагиттальная Т2-взвешенная МРТ. Зональная анатомия матки: наружный слой миометрия с промежуточной интенсивностью сигнала (стрелка с открытым наконечником), гипоинтенсивный внутренний слой миометрия (зона соединения) и гиперинтенсивный эндометрий. Шейка матки (стрелка): умеренно или незначительно гиперинтенсивная строма, гиперинтенсивная слизистая оболочка и слизь в просвете цервикального канала.

Влагалище женщины 30 лет в первой фазе менструального цикла. Сагиттальное Т2-взвешенное изображение. Зональная анатомия: гиперинтенсивная околовлагалищная клетчатка (стрелка с открытым наконечником), гипоинтенсивный мышечный слой и внутренний слой гиперинтенсивной слизистой оболочки. Верхняя треть влагалища: передний и задний своды (стрелки).
Что покажет МРТ матки и яичников

Магнитно-резонансная томография матки (или МРТ шейки матки) - это составная часть комплексного обследования МРТ малого таза у женщин. Ее качественное проведение требует применения высокопольного томографа с мощностью магнита 1.5 Тесла и выше. Основная задача сканирования - точно показать особенности анатомии матки, включая трубы матки, внутренний зев матки, ткани тела матки, внешние полости матки, яичники. Принцип работы магнитно-резонансного томографа базируется на явлении ядерно-магнитного резонанса. Он возникает внутри аппарата МРТ под воздействием сильного магнитного поля и радиочастотных импульсов, когда протоны атомов водорода в клетках тканей начинают колебательные движения. Этот резонанс улавливает сканер, оцифровывает данные и переводит их в трехмерные изображения - томограммы.
Показания
МРТ матки и яичников является экспертной формой сканирования и в медицинских центрах СПб применяется чаще всего, когда данные УЗИ или гинекологического осмотра показали тревожные симптомы, и пациентке нужно пройти дообследование.
Что показывают снимки МРТ матки
Данное исследование особенно эффективно для выявления:
- различных форм рака матки, включая рак тела матки, саркомы матки, аденокарциномы, железисто-плоскоклеточный рак, плоскоклеточный рак;
- доброкачественных новообразований, включая миому матки, лейомиому матки, фибромиому;
- полипозные опухоли матки, полипы;
- аденомиоза матки и эндометриоза матки;
- кистозных образований;
- двурогой матки.
Его также применяют для оценки качества проведенной операции. Процедура МРТ после удаления матки нацелена на оценку степени заживления тканей и наличия остаточных раковых клеток, если резекция или удаление проводились в связи с раком матки.
Некоторые репродуктивные центры рекомендуют провести МРТ матки перед ЭКО, чтобы оценить состояние энометрия пациентки и спрогнозировать успешность процедуры оплодотворения.
Еще врачи в ходе МРТ матки и яичников могут оценить состояние рубца на матке после Кесарева сечения и составить прогноз успешности беременности и угрозы разрыва шва при изменении размеров матки в ходе периода вынашивания.
| аденомиоз матки на МРТ | рак шеи матки на МРТ | киста яичников на МРТ |
МРТ малого таза с фокусом на яичники
В ходе МРТ обследования органов малого таза врач может увидеть, как выглядят яичники пациентки, и провести дифференциальную диагностику таких заболеваний, как: кисты яичника и придатков, поликистоз, цистаденома яичника, фибротекома, рак яичников.
МРТ матки с контрастом
МРТ с контрастом при обследовании органов малого таза применяется в случаях, когда есть подозрения на опухоль, или в анамнезе женщины есть онкологический диагноз. Процедура контрастного усиления - это введение специального контрастного вещества на базе солей гадолиния в вену пациентки. Контраст имеет свойство улучшать тканевую контрастность и накапливаться в зонах объемных образований. По типу его накопления и сбрасывания рентгенолог может судить о злокачественности новообразования и степени инвазии опухоли в соседних тканях. Сам контрастный препарат гипоаллергенен и выводится из организма естественным путем в течение 24-48 часов.



МРТ опухолей матки
Одна из основных причин назначения МРТ малого таза с контрастом - дифференциальная диагностика опухолей матки. В ходе МРТ матки с контрастированием врач также может дифференцировать различные типы кист. Киста матки и яичников может иметь разные причины развития, содержимое и локализоваться в разных местах. Так, дермоидная киста (лат. dermis - кожа) на МРТ снимках имеет округлую форму, ее стенки утолщены, она наполнена клетками, которые должны были стать кожным покровом или его составляющими (волосы и ногтевые пластины). Эндометриоэдальная киста располагается в эндометрии (лат. endometrium) — внутренней слизистой оболочке тела матки. Эта киста на МРТ снимках имеет неравномерные стенки, округлую форму, внутри возможны включения от 2 до 3 мм. Возникает такая киста путем вбрасывания железистой ткани из матки в яичники и локализуется она, как правило, с одной стороны.
Кроме того, МР диагностика с контрастом - это приоритетный способ неинвазивной диагностики различных солидных образований от фибром до раковых поражений и метастазов.
Подготовка к процедуре
Перед МРТ матки и яичников рекомендуется выполнить некоторые подготовительные предписания, которые позволяют добиться наиболее точных результатов исследования. Чтобы снизить перистальтику кишечника, за 2-3 суток следует исключить из рациона газостимулирующие продуты - кисло-молочные продукты, бобовые, капусту, газированные напитки, пиво. За пять-шесть часов необходимо отказаться от приема пищи. Для лучшей визуализации мочевого пузыря лучше всего за час до исследования выпить два стакана воды. В большинстве случаев обследование матки требует ее проведения в определенные дни цикла. Интервал во многом зависит от целей диагностики, однако следует помнить, что МРТ малого таза у женщин не проводят в период менструации.
Как делают МРТ матки
Сама процедура сканирования не требует особых усилий от пациентки. Женщина должна записаться на диагностику, прийти в медицинский центр и оформить все документы. В комнате подготовки к обследованию нужно будет снять с тела все металлические предметы и выложить из карманов все электронные устройства. В МРТ кабинете женщину попросят лечь на диагностический стол и задвинут его внутри томографа. Само сканирование может проводиться с помощью катушки Body, ее накладывают поверх живота. Самое важно для качественной диагностики - это полная неподвижность обследуемой. Так рентгенолог сможет получить четкие сканы. Длительность обследования без контраста составляет 15-20 минут. МРТ матки и яичников с контрастом займет 40-50 минут.
Безопасность процедуры

Поскольку МРТ не подразумевает использование ионизирующего облучения, в ходе исследования организм женщины не получает никакой лучевой нагрузки. Поэтому это томографическое обследование безопасно проводить даже беременным женщинам. Число МР-сканирований, которые возможно делать в течение одного дня, не ограничено, их можно совмещать с другими видами аппаратной диагностики - УЗИ, рентгенографией, КТ.
Противопоказания
Несмотря на свою безопасность, МРТ имеет ряд ограничений, которые связаны с использованием сильного магнитного поля или контрастного вещества. Абсолютным ограничением к томографии будет:
- наличие в теле пациента металла;
- наличие электронных имплантов типа кардиостимуляторов и инсулиновых помп, в паспорте которых нет пометки, что они совместимы с МРТ.
Контрастирование добавляет дополнительные противопоказания:
- аллергия на элементы контраста;
- почечная недостаточность.
МРТ матки с контрастом при беременности не проводится, поскольку побочные эффекты введения препарата на развитие плода до конца не изучены.
МРТ матки при беременности
Бесконтрастную МРТ матки иногда назначают беременным женщинам. Она проходит по двум протоколам:
Читайте также:
