Лучевая анатомия (КТ, МРТ анатомия) селезенки
Добавил пользователь Евгений Кузнецов Обновлено: 30.01.2026
На рентгенограмме грудной клетки в передней проекции оцениваются положение и размеры сердца. Положение сердца зависит от величины угла наклона, образованного длинником сердца и поперечником грудной клетки. Сердце может занимать косое (угол наклона равен 45°), вертикальное (более 45°) и горизонтальное (менее 45°) положение в зависимости от типа строения грудной клетки и положения диафрагмы. В первые годы жизни сердце у большинства детей занимает горизонтальное положение, к 3 годам оно принимает косое положение, которое сохраняется у большинства взрослых людей. Однако для большого числа подростков и для людей астенического сложения характерно вертикальное положение сердца. У людей гиперстенической конституции положение сердца чаще бывает горизонтальным.
Количественная оценка поперечника сердца проводится с помощью определения сердечно-легочного коэффициента (СЛК) — процентного отношения поперечника сердца к поперечнику грудной клетки, измеренному на уровне правой половины купола диафрагмы.
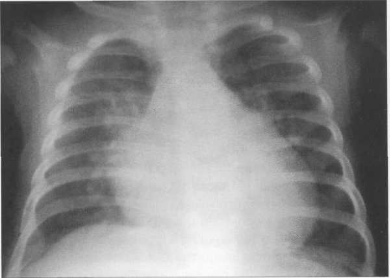
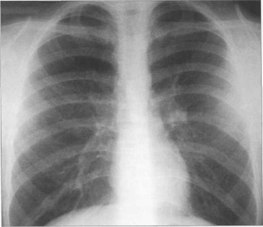
У новорожденных сердце имеет относительно большую величину, СЛК у них может достигать 58% (рис. 9.22). У более старших детей и у взрослых СЛК составляет 44—48%, для большого числа подростков характерны небольшие размеры сердца (СЛКменее 40%) (рис. 9.23),улюдей пожилого возраста поперечные размеры сердца увеличиваются, СЛК у них, как правило, более 50%.

Рис. 9.22. Рентгенограмма грудной клетки ребенка 3 месяцев. Задняя проекция.

Рис. 9.23. Рентгенограмма грудной клетки подростка. Передняя проекция.

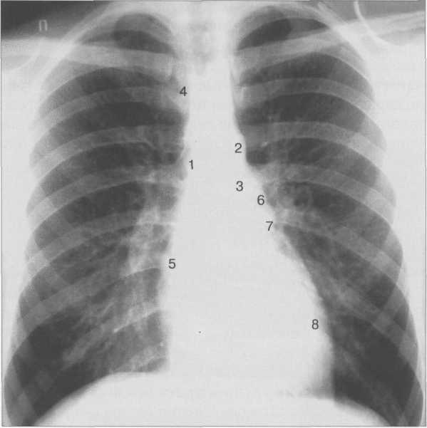
Рис. 9.24. Рентгенограмма грудной клетки. Передняя проекция.
1 — восходящая часть аорты; 2 — дуга аорты; 3 — нисходящая часть аорты; 4— верхняя полая вена; 5 — правое предсердие; 6 — легочный ствол; 7 — ушко левого предсердия; 8 — левый желудочек.
Состояние отдельных полостей сердца и крупных сосудов оценивается с помощью анализа краеобразующих дуг сердца (рис. 9.24).
Если сердце занимает косое положение, то ‘/3 его расположена справа, 2 /, — слева; расстояние от правого края позвоночника до наиболее удаленной точки правого контура сердца составляет 15—20 мм.
Правый контур образован двумя дугами: восходящая часть аорты и правое предсердие. Точка их пересечения носит название правого атриовазального угла. Протяженность первой и второй дуг должна быть одинаковой. У новорожденных правый желудочек имеет относительно большие размеры, поэтому протяженность второй дуги больше (см. рис. 9.22).
Левый контур образуют 4 дуги: дуга аорты, легочный ствол, ушко левого предсердия, левый желудочек. В детском возрасте (приблизительно до 7 лет) протяженность дуги легочного ствола преобладает над протяженностью дуги аорты, в дальнейшем протяженность дуг становится одинаковой. У подростков и людей астенического сложения дуга легочного ствола выпрямленная или выпуклая (см. рис. 9.23), у взрослых она, как правило, вогнутая. Левая граница сердца на уровне левого желудочка находится на уровне среднеключичной линии или на 1 см кнутри от нее.

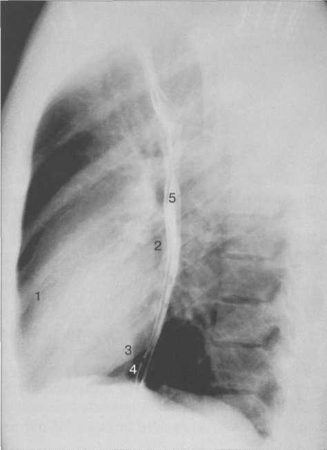
Рис. 9.25. Рентгенограмма грудной клетки. Левая боковая проекция.
1 — правый желудочек; 2 — левое предсердие; 3 — левый желудочек; 4 — нижняя полая вена; 5 — пищевод.
В левой боковой проекции (рис. 9.25) передний контур сердца образован правым желудочком. Задний контур сердца в верхнем отделе образован левым предсердием, которое вплотную прилежит к пищеводу, в нижнем отделе — левым желудочком, кзади от которого виден контур нижней полой вены. Правый желудочек образует с передней грудной стенкой угол, вершина которого находится на уровне наибольшего глубинного диаметра сердца. Протяженность прилегания правого желудочка к передней грудной стенке и левого желудочка к диафрагме должны быть одинаковыми.
КТ АНАТОМИЯ СЕРДЦА
КТ-исследование позволяет получать поперечные (аксиальные) сечения сердца. Стандартная пошаговая КТ и даже спиральная КТ не получили распространения для исследования морфологии и функции сердца. Более тщательный анализ внутрисердечных структур возможен с помощью многослойной спиральной КТ (МСКТ) в условиях внутривенного контрастирования. КТ-изображения сердца и сосудов на различных уровнях представлены на рис. 9.34.

Рис. 9.34. КТ сердца и сосудов.
1 — правый желудочек; 2 — левый желудочек; 3 — правое предсердие; 4 — левое предсердие; 5 — межжелудочковая перегородка; 6 — межпредсердная перегородка; 7 — верхняя полая вена; 8 — восходящая часть аорты; 9 — нисходящая часть аорты; 10 — легочный ствол; 11 — правая легочная артерия; 12 — диафрагма; 13 — легочные вены.
МСКТ в условиях внутривенного болюсного контрастирования позволяет визуализировать коронарные артерии (МСКТ-коронарография). Анализ состояния коронарных артерий выполняется сначала на аксиальных срезах (рис. 9.35). В постпроцессинговой обработке изображений используются различные виды реконструкций: многоплоскостные реформации (MPR), проекция максимальной интенсивности (MIP), трехмерные (VRT) (рис. 9.36).
Наиболее распространенным методом оценки состояния сосудов сердца является селективная катетерная коронарография. Метод заключается в пункции под местной анестезией крупной артерии (чаще всего, бедренной или лучевой), подведении специально сформированного катетера к устью коронарной артерии и селективного болюсного введения контрастирующего вещества последовательно в левую, а затем в правую коронарную артерии.

Рис. 9.35. МСКТ-коронарограммы. Поперечные срезы.
Здесь и на рис. 9.36:
LM — ствол левой коронарной артерии, LAD — левая передняя нисходящая артерия, LCX — левая огибающая артерия, RCA — правая коронарная артерия.

Рис. 9.36. МСКТ-коронарограммы.
а, б — VRT-реконструкции; в — проекция максимальной интенсивности; г — многоплоскостная реформация.

Рис. 9.37. Левая коронарная артерия. Правая косая проекция.
Здесь и на рис. 9.38—9.46:
1 — левая коронарная артерия; 2 — проксимальная треть передней нисходящей артерии; 3 — первая диагональная ветвь передней нисходящей артерии; 4 — дистальная часть передней нисходящей артерии; 5 — септальная ветвь передней нисходящей артерии; 6 — проксимальная часть огибающей артерии; 7 — первая маргинальная ветвь огибающей артерии; 8 — промежуточная артерия; 9 — дистальная часть огибающей артерии; 10 — проксимальная часть правой коронарной артерии; 11 — ветвь синусного узла правой коронарной артерии; 12 — ветвь острого края правой коронарной артерии; 13 — бифуркация правой коронарной артерии; 14 — правая левожелудочковая ветвь правой коронарной артерии; 15 — задняя нисходящая ветвь правой коронарной артерии.

Фиксация изображения коронарных артерий производится последовательно в нескольких плоскостях.
На рис. 9.37—9.41 изображены левая и правая коронарные артерии и их ветви при равномерном типе коронарного кровообращения в обычной последовательности проекций.
На следующих рисунках представлены два типа коронарного кровообращения — правый и левый и характеризующиеся неравномерным развитием правой коронарной и огибающей (ветвь левой коронарной артерии) артерий. При левом типе отмечается выраженная периферия огибающей артерии при значительной гипоплазии правой коронарной артерии. При правом типе чаще всего хорошо развита маргинальная ветвь и гипоплазирована основная ветвь огибающей артерии. Периферия правой коронарной и, в особенности, правая левожелудочковая ветвь значительно выражены и превосходят огибающую по размерам зоны кровоснабжения.
Рис. 9.42-9.44 — левый тип коронарного кровообращения.
Рис. 9.45 и 9.46 — правый тип коронарного кровообращения.

Рис. 9.42. Левая коронарная артерия. Правая косая проекция.
Рис. 9.43. Левая коронарная артерия. Проекция «паук».
Рис. 9.44. Правая коронарная артерия. Левая косая проекция.
Рис. 9.45. Левая коронарная артерия в правой косой проекции.

Рис. 9.46. Правая коронарная артерия в переднезадней проекции.
МРТ АНАТОМИЯ СЕРДЦА
МРТ позволяет получать изображения сердца в поперечной (аксиальной), фронтальной (корональной) и сагиттальной плоскостях (ортогональные сечения). Поскольку анатомические оси сердца и магистральных сосудов (за исключением аорты в нисходящем отделе и полых вен) не совпадают со стандартными ортогональными плоскостями исследования, общепринятыми при исследованиях других органов и систем организма, для МРТ-исследования сердечно-сосудистой системы разработаны дополнительные наклонные срезы (двухкамерное сечение, четырехкамерное сечение, сечение по короткой оси левого желудочка).

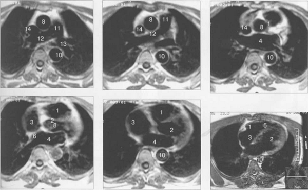
Рис. 9.47. МРТ сердца. Аксиальная плоскость.
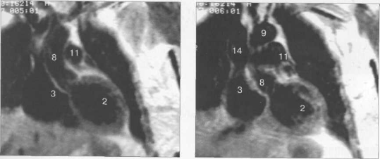
Здесь и на рис. 9.48—9.52:
I — правый желудочек, 2 — левый желудочек, 3 — правое предсердие, 4 — левое предсердие, 5 — межжелудочковая перегородка, 6 — межпредсердная перегородка, 7 — задняя стенка левого желудочка, 8 — восходящая часть аорты, 9 — дуга аорты, 10 — нисходящая часть аорты, 11 — легочный ствол, 12 — правая легочная артерия. 13 — левая легочная артерия, 14 — верхняя полая вена, 15 — нижняя полая вена, 16 — трахея.


Рис. 9.48. MPT сердца. Сагиттальная плоскость.

Рис. 9.49. МРТ сердца. Двухкамерные сечения.

Рис. 9.50. МРТ сердца. Фронтальные сечения.

Рис. 9.51. МРТ сердца. Сечения по короткой оси левого желудочка.

Рис. 9.52. МРТ сердца. Четырехкамерные сечения.
На рис. 9.47—9.52 представлены Т1-ВИ наиболее часто используемых МР-сечений сердца.
Лучевая анатомия (КТ, МРТ анатомия) селезенки
Лучевые методы обследования селезенки
а) Эмбриогенез, анатомия и физиология. Селезенка развивается из дорсального мезогастрия и обычно совершает поворот влево, удерживаясь в поддиафрагмальной области связками брюшины, прикрепляющими ее к диафрагме, брюшной стенке, желудку (желудочно-селезеночная связка), и почке (селезеночно-почечная связка). Селезенка чаще всего представляет собой единичный орган, хотя могут встречаться и другие варианты.
Добавочная селезенка (одна или большее количество) обнаруживается в общей популяции с частотой до 30%; она обычно представляет собой небольшое шаровидное образование, расположенное около ворот селезенки. Добавочная селезенка может увеличиваться в размерах, особенно после спленэктомии, имитируя новообразование либо обусловливая рецидив заболевания крови.
Селезенка может отсутствовать при рождении (аспления) либо состоять из нескольких не связанных между собой фрагментов (полиспления). Существует множество вариантов развития селезенки, сочетающихся с аномалиями развития сердечно-сосудистой системы, интерпозицией внутренних органов и другими патологическими изменениями, часто весьма серьезными и угрожающими жизни.
В редких случаях при избыточной длине брыжейки селезенка может располагаться в любых отделах брюшной полости, в т.ч. и в тазу («блуждающая» селезенка), что обусловливает риск ее повреждения либо перекрута брыжейки с развитием инфаркта.
Селезенка является наиболее крупным органом лимфатической системы, размер которого у разных людей (и даже у одного и того же человека при различном кровенаполнении, питании и гидратации) варьирует. Обычно объем селезенки составляет 100-250 см 3 при среднем значении 1 50 куб. см. Значение вычисляемого индекса селезенки (длина, умноженная на ширину и толщину) свыше 480 см 3 означает спленомегалию. В среднем длина селезенки может доходить до 12 см, а ширина и толщина до 7 см и 4 см соответственно.
б) Вопросы лучевой диагностики. Селезенка имеет уникальную тканевую структуру и состоит из красной и белой пульпы, что обусловливает ее характерный вид при лучевых исследованиях. Белая пульпа образована лимфоидной тканью, а красная - сосудами и селезеночными тяжами (скоплениями клеток, разделенными синусоидами). В связи с большим количеством кровеносных сосудов красная пульпа быстро накапливает контраст, из-за чего структура селезенки становится неоднородной в артериальную фазу КТ- либо МР-исследования. Эту особенность можно ошибочно принять за патологические изменения, однако данный феномен не определяется при исследованиях без контрастного усиления либо в отсроченную фазу.
КТ является методом выбора для оценки изменений со стороны селезенки при острых состояниях (травме, выраженной болевой симптоматике). Для оценки объемных образований селезенки и при некоторых метаболических заболеваниях (например, гемохроматозе) дополнительно может использоваться МРТ. Селезенка характеризуется относительно длинным временем релаксации Т1 и Т2, вследствие чего выглядит гипоинтенсивной по отношению к паренхиме печени на Т1 ВИ и гиперинтенсивной на Т2 ВИ. При накоплении в ткани селезенки железа интенсивность сигнала от нее может в значительной степени снижаться.
(Слева) На аксиальной КТ в артериальную фазу контрастного усиления определяется выраженная неоднородность структуры селезенки в результате быстрого накопления контраста в сосудистых синусоидах (красной пульпе), что не должно ошибочно приниматься за патологический процесс.
(Слева) На аксиальной КТ с контрастом в венозную фазу селезенка выглядит однородной. (Слева) На аксиальной Т1 ВИ МР томограмме (А) визуализируется неизмененная селезенка, несколько гипоинтенсивная по отношению к паренхиме печени. На Т2 ВИ МР томограмме (В) сигнал от селезенки в норме слегка более интенсивен, чем от печени.
(Справа) На аксиальной КТ с контрастным усилением визуализируется «объемное образование» в хвосте поджелудочной железы, имеющее одинаковую плотность с селезенкой (добавочная селезенка), которое можно ошибочно принять за первичную (например, нейроэндокринную) опухоль поджелудочной железы. Медиальная поверхность селезенки, а также аксиальные срезы на трех различных уровнях. Селезенка может иметь различный размер и форму даже у одного и того же человека в зависимости от гидратации и питания. С медиальной стороны селезенки часто имеется участок, выбухающий в промежуток между желудком и почкой. Селезеночная артерия и вена, располагающиеся в селезеночно-почечной связке, проходят параллельно телу поджелудочной железы. Хвост поджелудочной железы также проникает в ворота селезенки через селезеночно-почечную связку. В желудочно-селезеночной связке находятся короткие артерии желудка и левая желудочно-сальниковая артерия, кровоснабжающие желудок и верхнюю часть селезенки.
в) Патологические изменения селезенки. Спленомегалия - очень распространенное состояние, которое может быть обусловлено множеством различных причин, традиционно делящихся на пять основных групп в зависимости от этиологии: изменения застойного характера, заболевания крови, воспалительные и инфекционные заболевания, опухоли и инфильтративные изменения.
Поскольку селезенка выполняет функцию «фильтра» крови, в ней часто обнаруживаются метастазы при посмертном исследовании пациентов, погибших от рака. Тем не менее, при лучевых исследованиях метастазы в селезенке выявляются редко, за исключением лейкоза и лимфомы.
Многочисленные новообразования селезенки представляют собой в т. ч. доброкачественные опухоли (гемангиомы, лимфангиомы), однако из-за схожих лучевых признаков редко появляется возможность их специфической диагностики.
Киста селезенки является одной из чаще всего встречающихся находок; тем не менее, на основании методов лучевой диагностики невозможно отличить первичную врожденную кисту (имеющую эпителиальную выстилку) от приобретенной кисты, обусловленной инфарктом, инфекцией или травмой. При этом кисты редко имеют клиническое значение.
Множественные очаги в селезенке обычно являются проявлением гранулематоза, как инфекционного характера (гистоплазмоз или туберкулез), так и неинфекционного (саркоидоз). В гранулемах селезенки часто обнаруживаются обызвествления.
Хвост поджелудочной железы часто пролабирует в ворота селезенки через селезеночно-почечную связку. При этом инфекционный или опухолевый процесс в области хвоста поджелудочной железы легко может распространяться в паренхиму селезенки, что приводит, например, к формированию внутриселезеночной псевдокисты. И, наоборот, опухоль или добавочная селезенка могут имитировать образование хвоста поджелудочной железы.
Относительно частой причиной острой боли в верхних отделах живота слева является инфаркт селезенки. Зона инфаркта выглядит как четко ограниченный участок, часто клиновидной формы, вплотную прилежащий к капсуле селезенки, практически не усиливающийся после введения контраста. В группе риска инфаркта селезенки находятся пациенты с серповидноклеточной анемией и сердечно-сосудистой патологией, например, фибрилляцией предсердий. Пациенты с левожелудочковым устройством вспомогательного кровообращения особенно подвержены инфарктам в результате эмболии.
Селезенка часто повреждается при тупой травме и проникающих ранениях, при у этом у большей части детей и взрослых пациентов с разрывами селезенки восстановление происходит без хирургического вмешательства; однако при наличии признаков экстравазации контраста на КТ либо при нестабильности состояния может потребоваться операция или чрескатетерная эмболизация.
Спленоз - состояние, характеризующееся диссеминацией ткани селезенки по брюшной полости, например, в результате ее травматического разрыва, - можно спутать с полиспленией либо вторичным поражением брюшины (канцероматозом). Тем не менее, наличие факта травмы в анамнезе, отсутствие нормальной селезенки и контрастное усиление фрагментов, идентичное ткани селезенки, позволяет сделать точное заключение.
(Слева) На аксиальной КТ с контрастным усилением у пациента с неходжкинской лимфомой визуализируются многочисленные увеличенные верхние внутрибрюшные лимфатические узлы. Спленомегалия часто является результатом застойных изменений, заболеваний крови, воспалительных (инфекционных) заболеваний, опухолевых или инфильтративных процессов.
(Справа) На аксиальной КТ с контрастом у другого пациента определяется спленомегалия, обусловленная застойными явлениями в результате цирроза (печени) и портальной гипертензии; визуализируется также пупочная вена с признаками реканализации. (Слева) На аксиальной КТ с контрастным усилением в селезенке определяются два очага, больший из которых имеет плотность, близкую к плотности воды, а также тонкую четкую стенку, что типично для простой кисты. Меньший очаг имеет бугристые края и содержимое более высокой плотности, что позволяет заподозрить лимфангиому селезенки.
(Справа) На КТ у пациента с неходжкинской лимфомой определяется выраженное увеличение селезенки, в структуре которой визуализируется гетерогенный, гиподенсный, дискретный неопластический очаг. Определяется также лимфоидная инфильтрация надпочечника и лимфатических узлов во всех отделах брюшной полости. (Слева) На аксиальной КТ с контрастным усилением у пациента с сердечной недостаточностью и жалобами на боль в животе визуализируется устройство вспомогательного желудочкового кровообращения; определяются также клиновидные участки в паренхиме селезенки, вплотную примыкающие к ее капсуле, не накапливающие контраст - изменения, типичные для инфаркта селезенки.
(Справа) На аксиальной КТ с контрастным усилением у пациента после ДТП визуализируется «сторожевой» сгусток около селезенки, а также большое количество геморрагического содержимого в брюшной полости. Обратите внимание на активную экстравазацию крови с плотностью, аналогичной крови в сосудистом русле.
г) Дифференциальная диагностика патологии селезенки:
1. Спленомегалия:
Частые:
• Цирроз (печени) и портальная гипертензия
• Застойная сердечная недостаточность
• СПИД
• Гемоглобинопатии
• Лейкоз
• Саркоидоз
• Мононуклеоз
• Миелопролиферативные заболевания
• Травма селезенки
Менее частые:
• Первичные опухоли селезенки
• Системные инфекции, абсцесс
• Окклюзия селезеночной вены
• Инфаркт селезенки
• Малярия
• Сосудистые коллагеновые заболевания: ревматоидный артрит, склеродермия, дерматомиозит, узелковый периартериит
• Болезни накопления: амилоидоз, гликогеноз
• Пелиоз
2. Множественные кальцинаты селезенки:
Частые:
• Гистоплазмоз
• Туберкулез
• Обызвествление стенки аорты и аневризмы
• Pneumocystis jiroveci
• Инфаркт селезенки
• Киста селезенки
Менее частые:
• Эхинококковая (гидатидная) киста
• Излеченный абсцесс
3. Солидное образование (образования) селезенки:
Частые:
• Травма селезенки
• Инфаркт селезенки
• Метастазы в селезенке и лимфома
• Артефакт перфузии
Менее частые:
• Саркоидоз
• Инфаркт и абсцесс селезенки
• Опухоли селезенки
• Пелиоз
4. Кистозные образования селезенки:
Частые:
• Приобретенная или врожденная киста селезенки
• Травма селезенки
• Инфаркт селезенки
Менее частые:
• Метастазы в селезенке и лимфома
• Инфицирование селезенки и абсцесс
• Опухоли селезенки
• Псевдокиста поджелудочной железы
5. Диффузное повышение плотности селезенки:
Частые:
• Гемохроматоз
• Инфаркт селезенки: серповидноклеточная анемия
Менее частые:
• Оппортунистические инфекции
• Использование торотраста
Редактор: Искандер Милевски. Дата публикации: 17.2.2020
Информация на сайте подлежит консультации лечащим врачом и не заменяет очной консультации с ним.
См. подробнее в пользовательском соглашении.
Рентгенограмма, КТ, МРТ, УЗИ при спленомегалии и гиперспленизме
а) Терминология:
1. Аббревиатуры:
• Спленомегалия (СМ)
• Гиперспленизм (ГС)
2. Определения:
• СМ: увеличение селезенки, обусловленное большим количеством различных причин
• ГС: синдром, проявляющийся спленомегалией и панцитопенией при нормальной либо повышенной функции костного мозга
б) Визуализация:
1. Общая характеристика:
• Лучший диагностический критерий:
о Увеличение объема селезенки, выбухание ее медиального края
• Размер:
о Не существует единогласно признанных абсолютных пороговых размеров селезенки при спленомегалии, различные источники предполагают разные варианты измерений
о В норме селезенка имеет длину не больше 13 см:
- Ширина и толщина обычно составляют не больше 6 и 8 см соответственно
о Индекс селезенки (результат умножения длины на ширину и толщину) в норме составляет 120-480 куб. см
о Масса селезенки: значение индекса селезенки, умноженное на 0,55:
- В норме вес селезенки составляет 100-250 г
о При спленомегалии передне-задний размер селезенки превышает 2/3 передне-заднего размера брюшной полости
• Морфология:
о При спленомегалии контуры селезенки часто изменяются: полюса становятся скругленными, медиальный край начинает выбухать
2. Рентгенологические данные:
• Рентгенография:
о Если селезенка не увеличена в размерах, на рентгенограммах она обычно не визуализируется
о При спленомегалии край селезенки обнаруживается ниже уровня двенадцатого ребра
о При выраженном увеличении селезенки желудок может смещаться кнутри
о Определяется смещение селезеночного изгиба ободочной кишки, который обычно располагается спереди и с внутренней стороны от селезенки

(Слева) На корональной КТ с контрастным усилением определяется умеренно выраженное увеличение селезенки с наличием множественных гиподенсных узлов в ее паренхиме. Позднее у этого же пациента была выявлена внутригрудная лимфаденопатия; при биопсии селезенки подтвердился саркоидоз.
(Справа) На аксиальной Т2 ВИ МР томограмме определяется выраженное снижение интенсивности сигнала от печени, селезенки и костного мозга у пациента с гемосидерозом, обусловленным множественными переливаниями крови.
3. КТ при спленомегалии и гиперспленизме:
• Причиной спленомегалии обычно становится фактор, принадлежащий к одной из нескольких групп
• Застойные:
о Недостаточность правых отделов сердца: кардиомегалия, расширение вен печени, нижней полой вены и пассивный застой в печени
о Портальная гипертензия: увеличение селезенки, варикозное расширение вен, «сморщивание» печени с наличием узлов, асцит и другие признаки портальной гипертензии
о Окклюзия либо тромбоз селезеночной или воротной вены, часто в результате панкреатита либо опухолей поджелудочной железы
о Серповидноклеточная болезнь:
- В острой фазе: диффузное снижение плотности селезенки и спленомегалия
- В хронической фазе: возникновение аутоинфарктов небольшого объема, обызвествление селезенки
• Гематологические:
о Истинная полицитемия
о Лейкоз
о При миелофиброзе спленомегалия обусловлена экстрамедуллярным гемопоэзом:
- Может сочетаться с другими признаками экстрамедуллярного гемопоэза, например, с наличием мягкотканных образований около позвоночного столба
о Гемоглобинопатии могут приводить к развитию спленомегалии (талассемия) либо к инфаркту и сморщиванию селезенки (серповидноклеточная болезнь)
о Острый инфаркт селезенки выглядит как участок клиновидной или округлой формы в ее паренхиме
• Воспалительные/инфекционные:
о Мононуклеоз
о Гепатит: спленомегалия обусловлена наличием вирусов в крови либо циррозом (печени) в сочетании с портальной гипертензией
о СПИД: спленомегалия при СПИД может отражать хроническую вирусемию либо быть проявлением оппортунистических инфекций или лимфомы
о Внутривенная наркомания: СМ обусловлена хроническим минимально выраженным сепсисом
о Туберкулез и гистоплазмоз: множественные гиподенсные гранулемы в острой стадии, в которых по мере стихания остроты процесса возникают обызвествления
о Саркоидоз: многичисленные мелкие гиподенсные гранулемы в селезенке, возможно, в сочетании с верхней внутрибрюшной лимфаденопатией и увеличением печени, в паренхиме которой обнаруживаются аналогичные очаги (гранулемы)
о Сосудистые коллагеновые или аутоиммунные заболевания:
- Ревматоидный артрит, склеродермия и др.
- Синдром Фелти: ревматоидный артрит, спленомегалия и гранулоцитопения
о Малярия: одна из наиболее распространенных причин спленомегалии во всем мире
• Образования, оказывающие объемное воздействие:
о Чаще всего не являются причиной спленомегалии, а приводят к смещению неизмененной ткани селезенки
о Кисты: встречаются часто, однако обычно не приводят к спленомегалии
о Лимфома и метастазы являются относительно частыми причинами спленомегалии (особенно лимфома, при которой в селезенке могут обнаруживаться дискретные гиподенсные очаги)
о Первичные опухоли селезенки не являются типичной причиной спленомегалии
• Болезни накопления и инфильтративные заболевания:
о Вторичный гемохроматоз:
- Увеличение плотности печени и селезенки при КТ без контрастного усиления (вследствие отложения железа в клетках ретикулоэндотелиальной системы)
о Первичный гемохроматоз:
- Плотность селезенки при первичном гемохроматозе остается нормальной (в отличие от плотности печени)
о Амилоидоз:
- КТ с контрастным усилением либо нативная КТ: диффузное (либо на ограниченном участке) снижение плотности
о Болезни накопления гликогена (например, болезнь Гоше)

(Слева) На аксиальной КТ с контрастом визуализируется в значительной степени увеличенная селезенка с множественными нечеткими гиподенсными очагами, разбросанными по всей паренхиме. Эти изменения обусловлены лимфомой, также имеет место генерализованная лимфаденопатия.
(Справа) На аксиальной КТ с контрастным усилением у пациента с неходжкинекой лимфомой определяется спленомегалия и выраженная лимфаденопатия. Аналогично могут проявляться и другие (доброкачественные) процессы, например, саркоидоз.
4. МРТ при спленомегалии и гиперспленизме:
• Портальная гипертензия:
о Тельца Гамна-Гэнди (или сидеротические узелки) выглядят как множественные мелкие (3-8 мм) очаги пониженной интенсивности сигнала на Т1 и Т2 ВИ:
- Обусловлены отложениями гемосидерина в первичных очагах микрокровоизлияния
• Гемохроматоз:
о Вовлеченные при гемохроматозе органы, в т. ч. селезенка, дают типичный гипоинтенсивный сигнал на Т1 и Т2 ВИ с эффектом потери сигнала на in-phase последовательностях градиентного эха
о При первичном гемохроматозе селезенка имеет нормальный размер и сигнальные характеристики; поражаются обычно печень и поджелудочная железа
о При вторичном гемохроматозе чаще всего происходит поражение печени, селезенки, костного мозга и лимфатических узлов
• Серповидноклеточная болезнь:
о Селезенка из-за отложения железа выглядит гиподенсной во всех последовательностях
• Болезнь Гоше: проявляется очаговыми поражениями на ограниченном участке, которые могут выглядеть как гипер-, так и гипоинтенсивными на Т2 ВИ
• Инфаркт:
о Клиновидные участки с измененными сигнальными характеристиками, варьирующимися в зависимости от времени, прошедшего с начала сосудистой катастрофы, а также наличия (отсутствия) геморрагической трансформации:
- Инфаркт с геморрагической трансформацией в острую фазу характеризуется гиперинтенсивным сигналом на Т1 ВИ
- В хроническую фазу наблюдается тенденция к снижению интенсивности сигнала на Т1 ВИ и повышению интенсивности сигнала на Т2 ВИ
• Экстрамедуллярный гемопоэз:
о Может проявляться очагами гиперинтенсивного на Т1 и Т2 ВИ сигнала и увеличением селезенки, в структуре которой обнаруживаются однородно усиливающиеся узелки

(Слева) На аксиальной КТ в артериальную фазу контрастного усиления у пациента с циррозом (печени) и портальной гипертензией определяются изменения внешнего вида селезенки в виде «муарового узора», обусловленные неравномерным контрастным усилением, которые исчезают в портально-венозную фазу. Это вариант нормы часто более выражен у пациентов с циррозом печени и портальной гипертензией.
(Справа) На сонограмме у пациента с гранулематозной микобактериальной авиум-внутриклеточной инфекцией визуализируется увеличенная селезенка с множественными гипоэхогенными очагами. На УЗИ гранулематозные абсцессы выглядят как четко отграниченные гипоэхогенные образования (обычно в сочетании со спленомегалией).
5. УЗИ при спленомегалии и гиперспленизме:
• Серошкальное УЗИ:
о Спленомегалия с неизмененной эхогенностью селезенки:
- Инфекция, застой (портальная гипертензия), серповидноклеточная болезнь на ранних стадиях
- Врожденный сфероцитоз, гемолиз, синдром Фелти
- Болезнь Уилсона, полицитемия, миелофиброз, лейкоз
о Спленомеглаия с гиперэхогенной паренхимой селезенки:
- Лейкоз, изменения после химиотерапии и лучевой терапии
- Малярия, туберкулез, саркоидоз, полицитемия
- Врожденный сфероцитоз, тромбоз воротной вены, гематома, метастазы
о Спленомегалия с гипоэхогенной паренхимой селезенки:
- Лимфома, множественная миелома, хронический лимфолейкоз
- Застойные явления, обусловленные портальной гипертензией, неказеозная гранулематозная инфекция
о Серповидноклеточная болезнь: сразу же после секвестрации могут обнаруживаться периферические гипоэхогенные участки
о Болезнь Гоше: множественные дискретные очаги с четкими контурами (фиброз либо инфаркт)
6. Рекомендации по визуализации:
• Лучший метод диагностики:
о КТ с контрастным усилением и мультипланарными реформациями
в) Дифференциальная диагностика спленомегалии и гиперспленизма:
1. Другие объемные образования в верхнем левом квадранте:
• Например, опухоли желудка, почки, надпочечника
2. Травма селезенки:
• Паренхиматозная или подкапсульная гематома может приводить к увеличению селезенки
• Диагноз обычно устанавливается на основании данных лучевых методов исследования и наличия факта травмы в анамнезе
3. Инфекции и абсцесс селезенки:
• Пиогенный (обусловленный бактериальной флорой) абсцесс:
о Гиподенсное кистозное образование с неравномерно утолщенной стенкой, накапливающей контраст, возможно, с включениями газа внутри и левосторонним гидротораксом (экссудативным левосторонним плевритом) реактивного характера
• Грибковое поражение селезенки (вызываемое, например, грибами рода Candida, Aspergillus, Cryptococcus):
о Множественные гиподенсные очаги (либо единичный очаг) различного размера, возможно, с незначительным периферическим контрастным усилением
• СПИД: лневмоцистная, микобактериальная (например, авиум-внутриклеточная) инфекция:
о Гиподенсные очаги в селезенке на ограниченном участке, возможно, с обызвествлениями
г) Патология. Общая характеристика:
• Этиология:
о СМ застойного характера:
- Застойная сердечная недостаточность, цирроз (печени), кистозный фиброз, тромбоз воротной вены, секвестрация при серповидноклеточной болезни
о Новообразования: лейкоз, лимфома, метастазы, первичные опухоли, саркома Капоши
о Болезни накопления: болезнь Гоше, Нимана-Пика, гаргоилизм, амилоидоз, гемохроматоз, гистиоцитоз
о Инфекции: гепатит, малярия, мононуклеоз, туберкулез, брюшной тиф, висцеральный лейшманиоз, шистосомоз, бруцеллез
о Гемолитическая анемия: гемоглобинопатии, врожденный сфероцитоз, первичная нейтропения, тромбоцитопеническая пурпура
о Экстрамедуллярный гемопоэз: остеопетроз, миелофиброз
о Коллагеновые заболевания: системная красная волчанка, ревматоидный артрит, синдром Фелти
о Наиболее типичными причинами массивной спленомегалии являются лимфома, хронический миелолейкоз, экстрамедуллярный гемопоэз, миелофиброз и болезнь Гоше
д) Клинические особенности:
1. Проявления спленомегалии и гиперспленизма:
• Наиболее частые признаки/синдромы:
о У многих пациентов никакой симптоматики не обнаруживается, тем не менее, спленомегалия может обусловливать боль в животе либо появление пальпируемого образования в верхних отделах живота слева
о Признаки и симптомы часто зависят от причины спленомегалии
2. Течение и прогноз:
• Осложнения:
о Разрыв селезенки, шок, летальный исход
• Гиперспленизм обычно является результатом спленомегалии:
о Из-за повышения функции селезенки она извлекает из циркулирующей крови неизмененные эритроциты, лейкоциты и тромбоциты
о В случаях массивной спленомегалии из кровотока могут быть извлечены до 90% тромбоцитов
3. Лечение спленомегалии и гиперспленизма:
• Варьирует в зависимости от состояния, на фоне которого возникла спленомегалия
• При осложнениях и при наличии симптоматики - спленэктомия
е) Диагностическая памятка. Советы по интерпретации изображений:
• Необходимо обращать внимание на изменения, которые могли бы объяснить спленомегалию, например, признаки цирроза (печени) и портальной гипертензии
ж) Список использованной литературы:
1. Manenti A et al: Splenomegaly Secondary to Myeloproliferative Neoplasms and Portal Hypertension. Clin Lymphoma Myeloma Leuk. ePub, 2014
Лучевая анатомия селезенки. КТ, МРТ и ультразвуковая анатомия
Селезенка располагается в брюшной полости, занимая задненаружный отдел левой подреберной области, между диафрагмой и желудком. Положение селезенки не постоянно. К грудной клетке селезенка прилежит в области, ограниченной IX и XI ребрами, располагаясь продольной осью параллельно им.
В селезенке различают две поверхности: выпуклую диафрагмальную (наружную) и вогнутую висцеральную (внутреннюю). На последней находится продольная борозда — ворота селезенки, где располагаются сосуды и нервы. Диафрагмальная и висцеральная поверхности разделены краями — верхним и нижним. Края и поверхности селезенки сходятся, образуя концы — передний (обращенный вниз и вперед клевой реберной дуге) и задний (направленный вверх и назад к позвоночнику). Селезенка граничит вверху, сзади и снаружи с диафрагмой, отделяющей ее от левого легкого, спереди и медиально — со сводом и телом желудка, медиально и сзади—с левой почкой и иногда с левым надпочечником, снизу — с поперечной ободочной кишкой, диафрагмально-кишечной связкой и хвостом поджелудочной железы. Селезенка почти полностью, за исключением ворот, покрыта брюшиной. Под серозной оболочкой расположена соединительно-тканная капсула, которая содержит эластические и гладкомышечные волокна.
От нее в толщу селезенки направляются тяжи, анастомозирующие между собой и образующие перекладины (трабекулы), которые составляют основу селезенки. Между трабекулами находится пульпа селезенки, которая представляет собой ретикулярную ткань, выполненную форменными элементами крови — лимфоцитами и лейкоцитами (белая пульпа) и эритроцитами (красная пульпа). Кровь поступает в селезенку по селезеночной артерии, оттекает по селезеночной вене. Форма и размеры селезенки вариабельны и непостоянны, что связано в основном с ее кровенаполнением.
УЛЬТРАЗВУКОВАЯ АНАТОМИЯ СЕЛЕЗЕНКИ
При ультразвуковом исследовании для оценки размеров селезенки используют измерение ее длины (расстояние между передним и задним концами), ширины (расстояние между верхним и нижним краями) и толщины (расстояние между наружной и внутренней поверхностями на уровне ворот). Сведения о средних размерах селезенки в зависимости от возраста представлены в табл. 11.4.
Таблица 11.4 Средние размеры селезенки в зависимости от возраста
| Возраст | Длина, мм | Ширина, мм | Толщина, мм |
| Новорожденные | 50 | 30 | 10 |
| 1 ГОД | 70-80 | 40 | 20 |
| 8 лет | 80 | 50 | 20 |
| 12 лет | 100-110 | 60 | 25 |
| Взрослые | 100-120 (до 140) | 70-80 | 30-50 (до 60) |

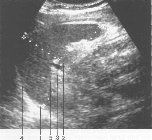
Рис. 11.23. УЗИ селезенки, продольное сканирование.
1 — длина селезенки; 2 — толщина селезенки; 3 — селезеночная вена в воротах селезенки; 4 — верхняя (диафрагмальная) поверхность; 5 — нижняя поверхность.
Для изучения размеров селезенки (в том числе в динамике) предложено определять селезеночный индекс, величина которого является произведением расстояния от ворот селезенки до ее переднего полюса и толщины органа на уровне ворот. В норме селезеночный индекс не превышает 20 см 2 .
Селезеночная вена в норме визуализируется в виде анэхогенной полосы, диаметр ее не зависит от возраста, но обычно не превышает 7 мм.
Паренхима селезенки имеет однородную мелкозернистую структуру, обладает эхогенностью ниже печени, но несколько выше чем у коркового вещества почки. Капсула селезенки представлена в виде линейного гиперэхогенного слоя, интенсивность которого увеличивается с возрастом за счет склерозирования, что особенно заметно у пациентов старше 60 лет (рис. 11.23).
КТ АНАТОМИЯ СЕЛЕЗЕНКИ
Брюшинный покров селезенки при КТ не дифференцируется. Фиброзная капсула селезенки тесно сращена с покрывающей ее висцеральной брюшиной снаружи. Разделить брюшину и фиброзную капсулу, так же как отделить фиброзную капсулу от паренхимы органа, невозможно. Наружная поверхность селезенки прилежит к реберной части диафрагмы.
В норме селезенка проецируется между IX и XI ребрами и соответствует уровню Thx_X[.
Форма селезенки индивидуальна и может меняться с возрастом. Различают два основных варианта ее формы: овальную (короткую и широкую), которая чаще встречается у детей, и длинную (узкую), наиболее характерную для взрослых.
На внутренней поверхности селезенки, в центральной ее части, по продольной оси находятся ворота селезенки длиной 50—60 мм и шириной 20—30 мм.
КТ исследование селезенки проводится, как правило, при исследовании брюшной полости и забрюшинного пространства. За 15—20 мин до исследования пациент выпивает 200 мл 3% раствора контрастирующего препарата и еще 200—300 мл — непосредственно перед ним. Исследование выполняют в краниокаудальном направлении — от Th]X до ThXI1 грудного позвонков при толщине срезов 8 мм и томографическом шаге 10 мм.
По мере выполнения срезов в каудальном направлении, размер изображения селезенки увеличивается и достигает максимума на уровне ThXI.
Максимальная длина селезенки составляет 100 мм и измеряется между передним и задним концами. Толщина органа может достигать 50 мм и определяется между наружной и внутренней поверхностями на уровне ворот.
Контуры селезенки обычно ровные четкие, структура гомогенная, плотность колеблется от 40 до 50 HU.
На более каудальных сканах изображение селезенки постепенно уменьшается и исчезает на уровне середины левой почки (нижний край ThXII).
Селезеночная вена образуется в области ворот селезенки из многочисленных вен, выходящих из пульпы селезенки. Эти мелкие веточки при КТ, как правило, не дифференцируются. От ворот селезенки вена направляется вправо параллельно заднему контуру ПЖ, располагаясь ниже одноименной артерии. Она пересекает переднюю поверхность аорты тотчас над верхней брыжеечной артерией и сливается с верхней брыжеечной веной, образуя воротную вену.
На аксиальных срезах селезеночная вена определяется в виде ровной четкой поперечной полосы по заднему контуру ПЖ. Она может проходить вдоль края ПЖ, частично в ее паренхиме, или даже пересекать ПЖ в области хвоста.
Основным источником кровоснабжения органа является селезеночная артерия. В большинстве случаев она отходит от чревного ствола, являясь самой крупной его ветвью.
Селезеночная артерия располагается позади верхнего края тела ПЖ, затем над ним, а на границе тела и хвоста переходит на переднюю поверхность железы и входит в поджелудочно-селе-зеночную связку, которая не видна при КТ. Диаметр начального отдела артерии — 7—10 мм, по мере отделения боковых ветвей и приближения к селезенке ее ствол сужается. Основной ствол селезеночной артерии в воротах селезенки делится на две ветви: верхнюю и нижнюю. В ряде случаев она делится на 3—4 ветви.
В дальнейшем артериальные ветви в паренхиме или даже до погружения их в паренхиму распадаются на более мелкие ветви последующих порядков. Анастомозы между внутриорганными артериями селезенки редки и имеют небольшой диаметр. В норме селезеночная артерия представлена также полосой, ширина которой в 1,5—2 раза меньше, чем у вены.
Для лучшей дифференцировки селезенки от окружающих тканей, а также для улучшения визуализации изменений в самом органе проводится внутривенное болюсное контрастирование. Так как исследование селезенки проводится совместно с исследованием других органов брюшной полости, контрастирующий препарат вводится в объеме 80—120 мл со скоростью 3— 4 мл/с.
При этом в гиподенсных зонах плотность может сохраняться на исходном уровне или незначительно повышаться (до 70 HU). В гиперденсных участках плотность возрастает в 2,5— 3,5 раза. В эту фазу состояние паренхимы и ее изменения не оцениваются.
В венозную фазу паренхима селезенки вновь становится гомогенной, ее плотность выравнивается и может колебаться от 80 до 115 HU.
Патологические изменения целесообразно искать именно в венозную фазу, когда гомогенная паренхима хорошо отличается от патологических изменений.
Фиброзная капсула селезенки достаточно прочна, эластична и растяжима, что позволяет органу менять свой объем и предотвращает разрывы при травмах, подкапсульных гематомах и кистах.
Контрастирование помогает и в определении объема органа. Для этого обязательным условием является неподвижность сканируемого объекта, что достигается задержкой дыхания на глубоком вдохе и проведением исследования в режиме спиральной КТ.
К порокам и вариантам развития относятся полное отсутствие селезенки, дистопия, блуждающая селезенка, изменения формы и наличие добавочных долек селезенки, которые могут быть отшнурованы.
Добавочные дольки селезенки, как и незавершенное развитие, являются наиболее часто встречающейся аномалией развития. Внутренняя поверхность селезенки, ее верхний полюс, ворота или хвост ПЖ, реже область нижнего полюса или большой сальник являются местами прицельного исследования при поиске одной или нескольких добавочных долек селезенки.
Незавершенное развитие селезенки наиболее часто проявляется в виде частично неслив-шихся участков.
МРТ АНАТОМИЯ СЕЛЕЗЕНКИ
Неизмененная селезенка на Т1-ВИ имеет несколько большее время релаксации, чем паренхима печени, и характеризуется изоинтенсивным сигналом, более низким по сравнению с сигналом от печени. На Т2-ВИ селезенка имеет подчеркнуто высокую интенсивность сигнала и визуализируется как структура с более высокой интенсивностью сигнала по сравнению с печеночной паренхимой. Интенсивность сигнала селезенки соответствует параметрам кортикального слоя почек (см. рис. 11.9—11.12).

Рис. 11.24. MPT брюшной полости в аксиальной плоскости на уровне надпочечников.
а-Т1-ВИ;б-Т2-ВИ.
1 — аорта; 2 — нижняя полая вена; 3 — селезеночная артерия; 4 — общая печеночная артерия; 5 — чревный ствол; 6 — левый надпочечник; 7 — правый надпочечник; 8 — левая почка; 9 — желчный пузырь; 10 — Бертиниевы столбы левой почки.
Сосуды ворот селезенки хорошо видны во всех импульсных последовательностях (рис. 11.24). Селезеночная вена определяется как структура продолговатой формы, которая зачастую имеет горизонтальное расположение (см. рис. 11.12). Селезеночная вена используется в качестве ориентира для локализации хвоста и тела поджелудочной железы, которые располагаются кпереди от нее (см. рис. 11.12, 11.14). В области ворот внутриселезеночные сосуды видны как разветвляющиеся продолговатые структуры.
Лучевая анатомия печени. КТ, МРТ и ультразвуковая анатомия печени
Печень расположена в верхнем отделе брюшной полости под диафрагмой, преимущественно справа. У новорожденных она относительно больше, чем у детей старшего возраста, и занимает от 1/2 до 2 /3 брюшной полости.
Серповидная связка делит печень на правую и левую доли. Верхнезадняя поверхность печени выпуклая, нижняя — слегка вогнутая. На нижней поверхности печени имеются три борозды: левая, правая и поперечная. В левой борозде находится круглая связка, передний отдел правой борозды является ложем для желчного пузыря, в заднем лежит нижняя полая вена (НПВ); в поперечной борозде (ворота печени) располагаются печеночная артерия, воротная вена и общий желчный проток. Борозды делят печень на 4 доли: правую, левую, квадратную и хвостатую. Левая борозда ограничивает нижнюю поверхность левой доли, правая — нижнюю поверхность правой доли, между правой и левой бороздами располагается средний участок разделенный поперечной бороздой на передний (квадратная доля) и задний (хвостатая доля) отделы.
Большая часть задней и нижней поверхности печени лишена брюшинного покрова и прикреплена к диафрагме. Под брюшиной находится фиброзная оболочка печени — глиссонова капсула. Она распространяется вглубь всего органа, захватывая и печеночные дольки. В прослойках ее проходят желчные ходы, ветви печеночной артерии и воротной вены.
Каждая из долей печени состоит из сегментов, количество, расположение, величина и форма которых индивидуальны. Характерной особенностью сегмента является его относительная самостоятельность: в сегмент входит ветвь воротной вены и ветвь печеночной артерии, а из него выходит желчный проток. Наиболее часто в печени выделяют 8 сегментов.
Сосуды печени включают в себя систему печеночных артерий, систему печеночных вен и внутрипеченочную часть системы воротной вены. К печени кровь притекает по общей печеночной артерии (20%), отходящей от чревной артерии, и по воротной вене (80%), собирающей кровь от непарных органов брюшной полости через верхнюю и нижнюю брыжеечные вены — пищевого канала, селезенки, поджелудочной железы и желчного пузыря. В воротах печени общая печеночная артерия и воротная вена разделяются на правую и левую долевые ветви, которые затем многократно делятся и образуют соответственно артери-олы и венулы. Венулы и артериолы переходят в капилляры — синусоиды долек, по которым течет смешанная кровь — в ткани печени существуют артериовенозные анастомозы. От слияния синусоидов образуются центральные вены долек, из которых кровь оттекает в систему печеночных вен и затем в нижнюю полую вену.
Желчный пузырь и желчные протоки снабжаются кровью из пузырной артерии, являющейся ветвью печеночной артерии. Венозная кровь оттекает в печеночную вену.
Лимфатическая система печени состоит из глубоких и поверхностных лимфатических сосудов, которые анастомозируют между собой и вливаются в лимфатические узлы ворот печени, в печеночные, верхние желудочные и околоаортальные лимфатические узлы. Лимфатические сосуды желчных протоков направляются в печеночные и верхние брыжеечные лимфатические узлы. Лимфатические сосуды желчного пузыря образуют две сети — глубокую и поверхностную, которые несут лимфу к лимфатическим узлам шейки пузыря и к узлам, лежащим вдоль общего желчного протока.
Иннервация печени осуществляется печеночными ветвями блуждающих нервов и печеночного сплетения симпатической нервной системы. Внепеченочные желчные протоки и желчный пузырь иннервируются ветвями печеночного сплетения.
РЕНТГЕНОАНАТОМИЯ ПЕЧЕНИ
При рентгенологическом исследовании печень определяется под диафрагмой в виде интенсивной тени, приблизительно треугольной формы. Контур ее верхней поверхности совпадает с изображением правой половины диафрагмы. Однако при наличии слоя жира между диафрагмой и выстилающей ее брюшиной появляется возможность получить раздельное изображение контуров нижней поверхности диафрагмы и верхней поверхности печени.
Наружный контур правой доли печени определяется благодаря прослойке жира между мышцами грудной и брюшной стенок и пристеночным листком брюшины.
Передний край печени соответствует нижнему контуру ее тени, который особенно хорошо выявляется при томографическом исследовании. Небольшая выемка в области нижнего контура соответствует вырезке желчного пузыря.
Если левая доля печени удлинена, то ее наружная часть в виде треугольной тени определяется слева между диафрагмой и сводом желудка.
МРТ АНАТОМИЯ ПЕЧЕНИ
На МРТ-изображениях границы долей и сегментов печени определяются по расположению печеночных борозд, сосудов и ложа желчного пузыря. Три наиболее крупные печеночные вены используются для идентификации долевых и межсегментарных борозд, которые и разделяют доли и сегменты печени (рис. 11.9—11.11). Средняя печеночная вена располагается в междолевой борозде, разделяющей правую и левую доли печени (см. рис. 11.9).

Рис. 11.9. МРТ брюшной полости в аксиальной плоскости на уровне печеночных вен.
1 — аорта; 2 — пищевод; 3 — непарная вена; 4 — полунепарная вена; 5 — спинной мозг; 6 — нижняя доля правого легкого; 7 — нижняя полая вена; 8 — правая печеночная вена; 9 — средняя печеночная вена; 10 — левая печеночная вена; 11 — левый желудочек сердца; 12 — ветви правой воротной вены; 13 — селезенка.

Рис. 11.10. МРТ брюшной полости в аксиальной плоскости на уровне пищеводно-желудочного перехода.
1 — аорта; 2 — пищеводно-желудочный переход; 3 — непарная вена; 4 — полунепарная вена; 5 — ножка диафрагмы; 6 — нижняя доля правого легкого; 7 — нижняя полая вена; 8 — правая печеночная вена; 9 -средняя печеночная вена; 10 — желудок; 11 — селезенка.

Рис. 11.11. МРТ брюшной полости в аксиальной плоскости на уровне печеночных вен.
1 — аорта; 2 — желудок; 3 — хвостатая доля печени; 4 — левая ветвь воротной вены; 5 — передние сегменты правой доли печени; 6 — задние сегменты правой доли печени; 7 — нижняя полая вена; 8 — правая печеночная вена; 9 — правая ветвь воротной вены; 10 — левая доля печени; 11 — селезенка; 12 — диафрагма.
Правая печеночная вена расположена в правой межсегментарной борозде, которая отделяет друг от друга передние и задние сегменты правой доли печени (рис. 11.12, 11.13). Левая печеночная вена располагается в левой межсегментарной борозде и разделяет внутренний и наружный сегменты левой доли печени (см. рис. 11.9). Серповидная связка также может использоваться в качестве ориентира, разделяющего внутренний и наружный сегменты левой доли печени.
Хвостатая доля печени располагается кзади и кнаружи относительно нижней полой вены (см. рис. 11.12). Кровоснабжение хвостатой доли осуществляется ветвями как правой, так и левой печеночных артерий и воротной вены. Венозный дренаж происходит в НПВ.
Паренхима печени имеет короткое время релаксации на Т1- и Т2-ВИ. На Т1-ВИ неизмененная печеночная ткань характеризуется средней интенсивностью сигнала, схожей с таковой поджелудочной железы, но более высокой интенсивностью по сравнению с сигналом коркового вещества почек, селезенки и мышц.
На Т2-ВИ паренхима печени характеризуется низкой интенсивностью сигнала, которая соответствует таковой мышц, схожей или более низкой по сравнению с интенсивностью сигнала поджелудочной железы, и значительно более низкой интенсивностью сигнала по сравнению с селезенкой и почками (рис. 11.14—11.16). На Т1- и Т2-ВИ печень имеет однородную структуру.
Интенсивность сигнала сосудов печени зависит от скорости кровотока и от того, какая импульсная последовательность использовалась. На SE-импульсных последовательностях без внутривенного контрастирования печеночные сосуды видны как образования с низкой интенсивностью сигнала либо как зоны, не дающие сигнала. На градиентных импульсных последовательностях сосуды характеризуются высокой интенсивностью сигнала по сравнению с печеночной паренхимой, что в некоторых случаях позволяет выявлять внутрисосудистые образования или тромбы.

Рис. 11.12. МРТ брюшной полости в аксиальной плоскости на уровне поджелудочной железы.
1 — аорта; 2 — нижняя полая вена; 3 — селезеночная вена; 4 — хвост поджелудочной железы; 5 — желудок; 6 — селезенка; 7 — толстая кишка; 8 — задние сегменты правой доли печени; 9 — задние сегменты ветви правой воротной вены; 10 — передние сегменты ветви правой воротной вены; 11 — медиальные сегменты левой доли печени; 12 — латеральные сегменты левой доли печени; 13 — левый надпочечник; 14 — верхний полюс левой почки.

Рис. 11.13. МРТ брюшной полости в аксиальной плоскости на уровне внутрипеченочных ветвей воротной вены.
1 — аорта; 2 — нижняя полая вена; 3 — селезеночная вена; 4 — тело поджелудочной железы; 5 — желудок; 6 — селезенка; 7 — левый надпочечник; 8 — правый надпочечник; 9 — задние сегменты ветви правой воротной вены; 10 — медиальные сегменты левой доли печени; 11 — верхний полюс левой почки.

Рис. 11.14. МРТ брюшной полости на уровне ворот селезенки.
1 — аорта; 2 — нижняя полая вена; 3 — левая желудочная артерия; 4 — селезеночная артерия; 5 — желудок; 6 — селезенка; 7 — толстая кишка; 8 — хвост поджелудочной железы.

Рис. 11.15. МРТ брюшной полости в аксиальной плоскости на уровне желчного пузыря.
1 — аорта; 2 — нижняя полая вена; 3 — селезеночная вена; 4 — верхняя брыжеечная артерия; 5 — желчный пузырь; 6 — левый надпочечник; 7 — правый надпочечник; 8 — левая почка; 9 — кортикальный слой левой почки.

Рис. 11.16. MPT брюшной полости в аксиальной плоскости на уровне головки поджелудочной железы.
1 — аорта; 2 — нижняя полая вена; 3 — верхняя брыжеечная артерия; 4 — верхняя брыжеечная вена; 5 -головка поджелудочной железы; 6 — верхний полюс правой почки; 7 — левая почка; 8 — левая почечная артерия; 9 — общий желчный проток.
Читайте также:
- Методика пульсоксиметрии у новорожденного. Рекомендации
- Плоскоклеточный рак альвеолярного гребня - лучевая диагностика
- Кровообращение новорожденного. Как течет кровь у новорожденного?
- Местная анестезия при бронхографии. Недостатки местной анестезии трахеи и бронхов
- Клиника перелома кости. Диагностика
