Лучевая анатомия (КТ, МРТ анатомия) забрюшинного пространства
Добавил пользователь Евгений Кузнецов Обновлено: 26.11.2025
МРТ — это современный, неинвазивный метод диагностики заболеваний внутренних органов. Методика обеспечивает высокое разрешение изображения, более точно визуализируются мягкие ткани забрюшинного пространства. Методика не несет никакой лучевой нагрузки, поскольку основа МРТ заключается не в ионизирующем излучении, а во влиянии электромагнитных волн на клетки организма. Исследование можно проводить неоднократно, неопределенно часто пациентам любого возраста. Исходя из того, что показывает мрт забрюшинного пространства, врачи выставляют диагноз или подтверждают его, начинают лечение.
Способ подходит для первичной диагностики и подтверждения/опровержения гипотез о состоянии пациента, вероятном патологическом процессе.
Какие органы входят в МРТ забрюшинного пространства?
МРТ брюшного и забрюшинного пространства направлено на определение состояния нескольких органов, по результатам диагностики визуализируют:
- Почки. С помощью магнитно-резонансной томографии удается диагностировать структурные изменения. Аномалии развития, воспалительные процессы, изменение нормального расположения в забрюшинном пространстве.
- Лимфатические узлы. Что особенно важно при первичном обследовании на онкологию, выявлении метастаза злокачественной опухоли.
- Надпочечники. Парный орган эндокринной системы. Из-за особенностей анатомии, строения, трудно визуализируются прочими способами. МРТ позволяет получить детальную картину изменений надпочечников.
- Аорта и нижняя полая вена. В рамках диагностики структурных патологий.
- Мочеточники. Часть мочевыделительного тракта. Из-за малого диаметра и особенностей строения, визуализируются с трудом. Томография — основной способ диагностики патологических процессов.
- Двенадцатиперстная кишка (частично). При параллельном обследовании органов брюшной полости картина становится более полной и понятной.
- В районе брюшной полости и забрюшинного пространства располагаются ответвления крупных сосудов.

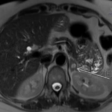
МРТ почек и надпочечников в аксиальной плоскости. Левый надпочечник увеличен в размерах за счет наличия кистозно-солидного образования, неправильно овальной формы
Почки имеют нормальную форму и положение. Толщина почечной паренхимы и кортико-медуллярная дифференцировка сохранены. Паренхима почек однородная. Чашечно-лоханочная система и мочеточники не расширены. Паранефральная жировая клетчатка не изменена, без признаков отека.
Магнитно-резонансная томография показывает анатомическое, структурное состояние органов и систем. Судить об их функциональной состоятельности можно только косвенно. Чтобы получить полную картину, назначают дополнительные инструментальные и лабораторные методики.
Какие заболевания покажет МРТ забрюшинного пространства?
По итогам магнитно-резонансной томографии можно обнаружить патологии воспалительного характера, повреждения внутренних органов, новообразования, инфекционные нарушения. Перечень заболеваний обширный, в него входят:
- Инфекционно-воспалительные процессы со стороны органов брюшной полости и забрюшинного пространства: нефриты, пиелонефриты, панкреатиты, поражение кишечника.
- Аутоиммунные поражения органов и структур этой локализации: гломерулонефрит и пр.
- Онкология. Злокачественные и доброкачественные опухоли. МРТ даже с контрастным усилением бывает не всегда дает точного ответа на вопрос, каково происхождение неоплазии, насколько она злокачественна. Показана процедура биопсии. Образец ткани используются для дальнейшего лабораторного исследования, оценки структуры и строения опухоли, степени ее злокачественности.
- Сосудистые аномалии: аневризмы брюшного отдела аорты, воспалительные процессы.
- Врожденные дефекты органов. Структурные аномалии.
- Травмы. МРТ — обследование, которое позволяет проверить состояние мягких тканей и окружающих костных структур. Методика информативна, требует всего пары десятков минут на проведение, потому практикуется в качестве одной из первых мер диагностики травм и повреждений внутренних органов. Остальные методы проверки состояния органов и тканей назначаются по потребности, на усмотрение специалиста.

МРТ почек в корональной плоскости.
При параллельной визуализации структур брюшной полости, проверяют печень, желудок на предмет все тех же воспалительных процессов, анатомических изменений, новообразований.
Показания к МРТ забрюшинного пространства
МРТ забрюшинного пространства назначается в качестве первичной меры диагностики или же в спорных случаях, чтобы поставить точку в вопросе и выставить верный диагноз.
- Болевые ощущения в брюшной полости справа или слева. Особенно, если они возникают внезапно или продолжаются длительное время, регулярно дают о себе знать.
- Тошнота, рвота.
- Расстройства пищеварения. Есть вероятность, что изменения есть в желудке и/или кишечнике. МРТ позволяет поставить диагноз или же направляет врача.
- Нарушения мочеиспускания. Задержка, болезненность в процессе и после него, изменение оттенка урины, слишком обильное или скудное количество мочи в сутки.
- Проведение МРТ показано при вероятных кровотечениях в области брюшины и забрюшинного пространства.
- список показаний входят травмы и повреждения мягких тканей, органов. В таком случае исследование проводится экстренно. Времени мало.
- Подозрения на онкологию различной локализации. Злокачественные или доброкачественные опухоли. Точку в вопросе призвана поставить биопсия с дальнейшей гистологией образца в лаборатории. Чтобы получить больше информации, врачи назначают МРТ с контрастным усилением.
- Предоперационная подготовка. Чтобы определиться с масштабами вмешательства, спланировать хирургическое лечение, разработать доступ к пораженной области.
- Изучение результатов проведенного лечения. Как оперативного, так и консервативного. Как вариант — когда проведено удаление опухоли (тотальное или субтотальное, в части). МРТ в подобных случаях позволяет выявить рецидив на самой ранней стадии. Наличие данных на снимках за повторный рост — основание продолжать специфическое лечение. МРТ назначается как мера изучения динамики, вторичной профилактики онкологии. Проводится 1 раз в 3-6-12 месяцев. По усмотрению врача.
Полученные по итогам изображения позволяют выявить все возможные структурные патологии на ранней стадии. Это плюс, поскольку многие расстройства эффективно корректируются только на начальном этапе.
Проводить томографию можно не всегда. Процедура хорошо переносится, безопасна даже для детей, имеет минимум противопоказаний, но они есть. Среди оснований для отказа от МРТ:
- Боязнь замкнутого пространства. Клаустрофобия препятствует диагностике, поскольку спокойно лежать пациент не сумеет. Возможность сохраняется, но нужно обследоваться на аппарате с широким тоннелем. Чтобы не было ощущения закрытости.
- Диагностическое мероприятие невозможно провести, если в организме присутствуют металлические компоненты: пластины, клипсы, инсулиновая помпа и пр. Вопрос остается открытым, все зависит от сплава, его характеристик. Об особенностях своего организма нужно сообщать врачу заранее.
- Избыточная масса тела, свыше 120-130 килограммов. Опять же противопоказание не абсолютное. Вопрос решается в индивидуальном порядке.
- Наличие в организме электронных устройств, кардиостимулятора. Есть вероятность выхода их строя и опасных последствий для жизни человека с больным сердцем.
- Беременность. Особенно в начальную фазу, в первый триместр. Возможность пройти МРТ решает врач-гинеколог. По общему правилу, если показания действительно есть, присутствуют подозрения на опасные патологические процессы, специалисты могут рекомендовать МРТ забрюшинной области.
- Психические расстройства. исключающие адекватность. До момента выхода в ремиссию, возвращения трезвого рассудка.
- Гиперкинезы, которые мешают нормально и неподвижно лежать.
МРТ — безопасная методика. Противопоказания чаще всего относительные. После коррекции состояния или в индивидуальном порядке, можно пройти обследование.
МРТ забрюшинного пространства с контрастом
МРТ с контрастным усилением — отдельный вид. Позволяет диагностировать рак, отграничить злокачественные опухоли от доброкачественных и неопухолевых объемных образований.
В качестве контрастного вещества используют препарат на основе гадолиния. Он не создает нагрузки на печень, почки, сердце, выводится в течение суток. Также почти не провоцирует аллергии даже у пациентов, склонных к реакциям.
Контраст вводят внутривенно: струйно или капельно. МРТ проводят параллельно вливанию средств через капельницу или спустя несколько минут от введения средства в организм.
Вещество накапливается в измененных тканях. Благодаря контрастной методике, врачи могут определить размеры неоплазии, оценить происхождение, структуру, воздействие на соседние ткани и органы. Также спрогнозировать характер дальнейшего течения патологического процесса. Все же точку в вопросе ставит гистология. Точные данные можно получить после анализа образца измененных тканей. Тем же способом выявляют метастазы и вторичные опухолевые очаги в регионарных лимфоузлах.
МРТ с контрастированием имеет еще несколько специфических противопоказаний:
- Аллергические реакции. Непереносимость контрастирующего средства.
- Тяжелые заболевания сердца.
- Дыхательная недостаточность в декомпенсированной стадии.
- Печеночная и почечная недостаточность.
- Проведенное менее суток назад исследование с введением вещества для контрастирования. КТ или рентгена. При введении нового контраста, возможна интоксикация организма. Поэтому выжидают 24 часа.
Исследование органов и систем с контрастным усилением проводят по потребности.
Подготовка к МРТ забрюшинного пространства
Подготовка к томографии начинается за 3-е суток до обследования.
- Требуется ограничить рацион. Исключить из него продукты, которые способны спровоцировать избыточное образование кишечного газа. Сюда относят свежий хлеб, выпечку, газированные напитки, некоторые овощи (капуста, чеснок, лук), фрукты (виноград), жирную кисломолочную продукцию.
- Накануне нужно принять ветрогонное средство. Это поможет устранить остатки кишечного газа.
- Вечером проводят очищение кишечника. Можно воспользоваться препаратами для разведения или микроклизмой.
- За несколько часов до обследования нельзя есть. Потому следует отказаться от пищи утром. Процедура проводится натощак. Как делают МРТ забрюшинного пространства?
МРТ проходит по стандартной схеме. Нужно:
- Подойти в назначенное время в клинику.
- Перед процедурой, как только человек вошел в кабинет — оставить все запрещенные предметы в специально отведенном месте. Металлические предметы, часы и украшения, электронику, банковские карты.
- Лечь на кушетку. Весь период нужно находиться в неподвижном состоянии. Магнитное поле позволяет четко визуализировать органы и ткани. Но при движениях картинка становится смазанной, теряет четкость.
- Спустя 20-40 минут процедура заканчивается.
После процедуры МРТ забрюшинной полости, врачи оценивают изображения, готовят описание. На руки люди получают заключение рентгенолога, протокол диагностики. Также специалисты дают снимки в оцифрованном или печатном формате. С результатами нужно обратиться к своему врачу.
Лучевая анатомия (КТ, МРТ анатомия) забрюшинного пространства
Лучевая анатомия забрюшинного пространства
а) Анатомия и эмбриология. Париетальная брюшина отделяет брюшную полость от забрюшинного пространства. Забрюшинное пространство содержит органы брюшной полости, расположенные между париетальной брюшиной и поперечной фасцией. Оно разделено на три отдела двумя хорошо выраженными фасциальными листками - почечной и забрюшинной фасциями.
Околопочечное пространство ограничено почечной фасцией (фасцией Героты) и содержит почки, надпочечники, проксимальные отделы мочеточников, большое количество жировой клетчатки. Околопочечные пространства не сообщаются между собой через среднюю линию живота.
Околоободочное пространство содержит поджелудочную железу, двенадцатиперстную кишку, толстую кишку (восходящую и нисходящую) и вариабельное количество жировой ткани.
Собственно забрюшинное клетчаточное пространство содержит только жировую ткань и не содержит органов; по бокам оно сообщается с предбрюшинной клетчаткой.
Передняя почечная фасция отделяет околопочечное пространство от околоободочного, а задняя почечная фасция - околопочечное пространство от собственно забрюшинного.
Забрюшинная фасция разделяет околоободочное и собственно забрюшинное пространства; околоободочное пространство имеет боковую протяженность.
Почечная фасция замыкает околопочечное пространство, которое напоминает перевернутый конус с вершиной в подвздошной ямке.
Книзу от околопочечного пространства (в области таза) путем слияния околоободочного и собственно забрюшинного пространств образуется единое подпочечное забрюшинное пространство, которое непосредственно сообщается с предпузырной клетчаткой (Ретция). В связи с тем, что конус почечной фасции открывается каудально, околопочечная клетчатка сообщается с подпочечным забрюшинным пространством. Таким образом, все три отдела забрюшинного пространства сообщаются между собой в нижней части брюшной полости и области таза.
Все тазовые отделы забрюшинного пространства (околопузырное и околопрямокишечное пространства) сообщаются друг с другом, что имеет клиническое значение в случаях кровотечения или опухоли в области таза, а также при внебрюшинном разрыве мочевого пузыря.
Почечная и околоободочная фасции - многослойные листки, которые могут расслаиваться, образовывая потенциальные полости, служащие путями распространения быстро расширяющихся скоплений жидкости или воспалительного процесса (например, кровотечение или острый панкреатит). Расслоение передней почечной фасции формирует «позадибрыжеечную полость», которая может продолжаться через срединную линию; расщепление задней почечной фасции формирует «позадипочечную полость», которая продолжается через срединную линию кпереди.
Знание данного принципа имеет решающее значение для понимания путей возникновения патологических процессов околоободочного пространства (острый панкреатит может распространяться к задней поверхности почки) и путей распространения жидкости в собственно забрюшинном пространстве или позадипочечной области на боковую или даже переднюю часть стенки живота.
Три основных отдела забрюшинного пространства: околоободочное пространство (желтое), околопочечное пространство (фиолетовое) и собственно забрюшинное пространство (синее). Внутрифасциальные полости (зеленые) — потенциальные пространства, возникающие в результате воспалительных процессов, которые расслаивают двухслойные листки почечной и забрюшинной фасций. Синоним собственно забрюшинного пространства - предбрюшинный жир, который расположен вдоль боковой и передней брюшных стенок. Схема сагиттального среза через правую почку: три отдела забрюшинного пространства. Обратите внимание на слияние передней и задней почечных фасций примерно на уровне гребня подвздошной кости. Каудальнее расположено только единое подпочечное забрюшинное пространство.
б) Методы визуализации и показания. Мультипланарная КТ и МРТ идеально подходят для визуализации анатомии и патологических изменений забрюшинного пространства. Использование внутривенного контрастирования позволяет упростить распознавание патологии и фасциальных ориентиров; его следует применять при отсутствии противопоказаний.
в) Подходы к патологии забрюшинного пространства:
1. Околопочечное пространство. Патологические процессы в околопочечном пространстве, как правило, возникают вследствие заболевания почек. Частые патологические процессы - кровоизлияние, инфекция, воспаление и опухоль.
Почечная фасция - очень прочная и, как правило, сдерживает большую часть первичных заболеваний почек в пределах околопочечного пространства, а также обычно исключает внедрение большинства других процессов и вовлечение околопочечного пространства.
Околопочечная клетчатка неравномерно и непоследовательно разделена околопочечными перегородками, из-за чего околопочечная жидкость находится в камерах, что может быть неверно принято за подкапсульную жидкость. Околопочечные перегородки также являются каналами для входа или выхода из околопочечного пространства жидкости, в том числе при инфильтрирующих заболеваниях (опухолях).
Околопочечная жидкость может представлять собой кровь, мочу, гной или продукт воспаления околопочечной клетчатки. Кровоизлияние часто возникает из-за травмы, а также может быть следствием приема антикоагулянтов, разрушения почки опухолью или васкулитов. Гной или воспаление, как правило, появляются вследствие пиелонефрита, который может быть связан с абсцессом. Моча в околопочечном пространстве (уринома) может появиться в результате травмы с разрывом собирательной системы почки, и в случае отсутствия препятствия оттока мочи в мочевой пузырь она, как правило, быстро рассасывается.
Острый мочевой затек может возникать при обструкции мочеточника конкрементом вследствие разрыва форникального аппарата почек (форникса).
Почечноклеточный рак (ПКР) встречают часто, и почечная фасция, как правило, ограничивает опухоль, предотвращая ее внедрение в смежные структуры. Метастазирование может происходить лимфогенным или гематогенным путями через почечную или нижнюю полую вены, что служит важным компонентом визуализации и стадирования опухоли.
2. Околоободочное пространство. Патологические процессы в околоободочном пространстве встречаются часто. Например, острый панкреатит, приводящий к парапанкреатической инфильтрации и/или скоплению жидкости, которая распространяется по всему околоободочному пространству, часто поражает двенадцатиперстную кишку, а также восходящий и нисходящий отделы толстой кишки, которые расположены в этой анатомической области.
Распространение воспаления, как правило, ограничено сзади передней почечной фасцией, а по бокам-забрюшинной фасцией. Утолщение этих листков - надежный признак наличия панкреатита, который во всем остальном может быть скрытым при визуализации. Околопочечное пространство, как правило, не вовлекается в процесс при остром панкреатите, что иногда приводит к появлению необычного околопочечного «свечения» жировой плотности, тогда как другие отделы забрюшинного пространства и листки инфильтрированы.
Вентральное (переднее) распространение воспаления или опухоли из околоободочного пространства не ограничено каким-либо фасциальным барьером, кроме париетальной брюшины. Формирование корня брыжейки и брыжейки поперечной ободочной кишки происходит вентральнее трети двенадцатиперстной кишки и поджелудочной железы, и патологические процессы из этих органов могут легко проникать в брыжейку, не пересекая анатомических границ. Некоторые авторы рассматривают пространства, заключенные между листками брыжейки, как «подбрюшинное пространство», подчеркивая отсутствие целостного разделения между внутрибрюшинной клетчаткой и забрюшинным пространством.
Перфорация язвы двенадцатиперстной кишки может приводить к распространению внепросветного газа и жидкости в одно или более пространств, в том числе околоободочное пространство (так как луковица двенадцатиперстной кишки является внутрибрюшинной структурой) и даже околопочечное пространство, поскольку оно открывается в области почечной ножки и сообщается с околоободочным пространством.
(Слева) КТ с контрастированием, аксиальная проекция: нормальные передняя и задняя почечные фасции, которые сливаются с образованием латеральной фасции. Обратите внимание, что нормальная фасция очень тонкая.
(Справа) КТ с контрастированием, аксиальная проекция: жидкость от панкреатита, распространяющаяся вдоль забрыжеечной области , образованной слоями передней почечной фасции, и започечной области образованной слоями собственно забрюшинного пространства. Жидкость также распространяется вдоль латеральной фасции. (Слева) Бесконтрастная КТ, аксиальная проекция: у пациента после травмы боковой области живота выявлены сжатие и смещение левой почки вследствие крупной субкапсулярной гематомы почки. Также визуализирована гематома собственно забрюшинного пространства. Обратите внимание на отсутствие уровня гематокрита жидкости, обнаружение этого признака связано с кровотечением на фоне терапии антикоагулянтами.
(Справа) КТ с контрастированием, аксиальная проекция, артериальная фаза: выявлено кровоизлияние, расслаивающее вдоль левую внутрифасциальную полость и околопочечное пространство вследствие локализованного разрыва аневризмы брюшной аорты. (Слева) КТ с контрастированием, аксиальная проекция: выявлена жидкость от подострого панкреатита в левом околоободочном пространстве. Обратите внимание, что нисходящая ободочная кишка также находится в околоободочном пространстве и частично окружена жидкостью.
(Справа) КТ с контрастированием, аксиальная проекция: определяется жидкость от острого панкреатита, рассекающая правую сторону околоободочного пространства . Жидкость граничит с восходящей ободочной кишкой (также в околоободочном пространстве) и рассекает вдоль проксимальный отдел брыжейки поперечной ободочной кишки . (Слева) КТ с контрастированием, аксиальная проекция: у пациента со сниженным гематокритом выявлены гематома внутри обеих поясничных мышц. Обратите внимание на уровень гематокрита жидкости внутри гематом вследствие кровотечения на фоне терапии антикоагулянтами.
(Справа) КТ с контрастированием, аксиальная проекция: выявлены гидронефроз слева и задержка нефрограммы вследствие обструкции проксимальных отделов мочеточника. Обструкция возникла вследствие ретроперитонеального фиброза (РПФ), который визуализирован в виде парааортальной мягкотканной обоючки ; в отличие от лимфомы, РПФ не оттесняет аорту от позвоночника.
3. Собственно забрюшинное пространство. Патологические процессы, возникающие в собственно забрюшинном пространстве, наблюдаются редко, в основном, они представлены кровоизлияниями и опухолями.
«Забрюшинное кровоизлияние» - неточный термин, так как большинство спонтанных коагулопатических кровоизлияний возникает в пределах брюшной стенки, фасциальных футляров подвздошно-поясничной мышцы и прямой мышцы живота. Только тогда, когда кровоизлияние выходит за пределы этих фасциальных футляров, оно проникает в забрюшинное пространство. Гематомы влагалища прямой мышцы живота проникают во внебрюшинные тазовые пространства через дефект в каудальном (подпупочном) участке влагалища.
Позвоздошно-поясничное кровоизлияние часто распространяется в один или во все отделы забрюшинного пространства, преимущественно вдоль главных фасциальных листков. Признаками коагулопатического кровоизлияния служат: кровотечение, не соответствующее степени повреждения, множественные участки кровотечения, а также наличие симптома «гематокрита» (уровень раздела жидкость клеточные элементы и тканевые фрагменты) в гематоме.
Забрюшинные саркомы (наиболее часто липосаркома) часто развиваются в пределах одного отдела забрюшинного пространства, и место возникновения можно определить с помощью относительного влияния опухоли на различные органы и структуры, такие как почки, толстая кишка и магистральные сосуды. Большинство липосарком содержит в себе некоторое количество жира и кажутся инкапсулированными, что позволяет произвести их иссечение, несмотря на то, что довольно часто заболевание рецидивирует.
Наиболее вероятная опухоль забрюшинного пространства в случае вовлечения в процесс забрюшинных лимфатических узлов - неходжкинская лимфома (НХЛ). НХЛ часто приводит к распространенной лимфаденопатии. Вовлечены, как правило, мезентериальные и забрюшинные лимфатические узлы, которые, сливаясь, оттесняют аорту и нижнюю полую вену кпереди от позвоночника. Поражение забрюшинных лимфатических узлов часто происходит также при злокачественных опухолях органов малого таза, таких как предстательная железа, прямая кишка и шейка матки.
Другая большая, хотя и редкая группа первичных опухолей забрюшинного пространства-опухоли нейрогенного происхождения, включающие опухоли нервных оболочек, ганглионеврому, нейробластому и др. Они часто имеют визуальные признаки умеренно усиленного образования с четкими границами без признаков роста из лимфатических узлов или брюшной полости. Фактически многие из них образуются вдоль симпатических стволов, в то время как другие составляют часть синдрома-нейрофиброматоза, который может поражать множество нервов спинномозговых сплетений или верхнего подчревного сплетения.
Крупные сосуды, аорта и нижняя полая вена (НПВ) располагаются в забрюшинном пространстве; их, как правило, визуализируют как структуры, расположенные внутри позадибрыжеечного листка. Несмотря на то, что первичное поражение НПВ встречают редко, она может стать локализацией первичной опухоли (саркомы) либо метастазирования рака почки или надпочечника. Более распространены аномалии эмбриогенеза НПВ. Около 10% популяции имеет какие-либо аномалии суб- и супракардинальных эмбриональных вен, как правило, на уровне или ниже уровня почечных вен, что приводит к вариациям строения (удвоение НПВ, ретроаортальная и кольцевидная почечная вена).
Несмотря на то, что это редко имеет клиническое значение (имеет ограниченное отношение к хирургическим и интервенционным операциям), такие аномалии могут ошибочно принимать за патологические состояния, наиболее часто-за увеличенные забрюшинные лимфатические узлы.
Аневризма брюшной аорты - серьезная угроза здоровью, и ее разрыв, как правило, приводит к смертельному исходу. Точная диагностика и тщательная визуализация размера и формы аневризмы позволяют провести эффективное малоинвазивное профилактическое лечение путем эндоваскулярного стентирования.
Ретроперитонеальный (забрюшинный) фиброз (РПФ)-воспалительное заболевание, которое может быть ошибочно принято за злокачественный процесс, так как он вовлекает аорту и НПВ, часто приводя к смещению и сжатию мочеточников. РПФ может быть как изолированным процессом, так и компонентом системного аутоиммунного заболевания.
Лучевая анатомия (КТ, МРТ анатомия) брюшной стенки
Позвонки поясничного отдела позвоночника покрыты и скреплены передней продольной связкой, а ножки диафрагмы тесно скреплены с ней, как и начальные отделы поясничных мышц, также берущих начало от поперечных отростков. Подвздошная мышца берет начало от подвздошной ямки таза и внедряется в сухожилие поясничной мышцы, образуя подвздошно-поясничную мышцу, прикрепляющуюся к малому вертелу. Квадратная мышца поясницы берет начало от гребня подвздошной кости и прикрепляется к XII ребру и поперечным отросткам позвонков поясничного отдела. Волокна диафрагмы и поперечной мышцы живота переплетаются. Поясничная мышца и квадратная мышца поясницы проходят кзади от диафрагмы под медиальной и латеральной дуговыми связками. Апоневрозы внутренней и наружной косых мышц и поперечной мышцы живота двухслойные и переплетаются между собой, покрывая прямую мышцу и образуя влагалище прямой мышцы и белую линию. Примерно на середине расстояния между пупком и симфизом задняя стенка влагалища прямой мышцы заканчивается, и единственной структурой между прямой мышцей живота и париетальным листком брюшины остается поперечная фасция. Рисунок передней брюшной стенки с видом изнутри. Пупочные связки являются остатками пупочных артерий плода и аллантоиса (урахус). Серповидная связка является остатком пупочной вены. Все эти структуры сливаются в области пупка. Поперечная фасция выстилает мышечную стенку живота. Эпигастральные сосуды расположены между поперечной фасцией и париетальным листком брюшины.
а) Мышцы передней брюшной стенки:
• В группу включены три плоских мышцы (наружная и внутренняя косые мышцы и поперечная мышца живота), расположенные в латеральной части брюшной стенки, и одна важная мышца лентовидной формы (прямая), идущая вертикально в области средней линии живота:
о Комплекс из мышц и апоневрозов (листовидных сухожилий) служит корсетом, поддерживающим и защищающим органы брюшной полости
о Функции мышц передней брюшной стенки:
- Поддержка и защита органов брюшной полости
- Сгибание/скручивание туловища и сохранение позы
- Увеличение внутрибрюшного давления при дефекации, мочеиспускании и родах
- Стабилизация таза при ходьбе и в положении сидя
• Наружная косая мышца:
о Наиболее крупная и поверхностная из трех плоских мышц, идущая в нижнемедиальном направлении в боковом отделе брюшной стенки
о Начало: наружная поверхность V-XII ребер
о Прикрепление: к белой линии живота, гребню подвздошной кости и лобковой кости посредством широкого апоневроза, также формирующего наружное паховое кольцо
• Внутренняя косая мышца:
о Средняя из трех плоских мышц брюшной стенки (расположена глубже наружной косой мышцы), идущая в верхнемедиальном направлении
о Начало: задний листок грудопоясничной фасции, гребень подвздошной кости и паховая связка
о Прикрепление: к задней поверхности X - XII ребер, белой линии живота посредством широкого апоневроза и лобковой кости
• Поперечная мышца живота:
о Наиболее глубокая из трех плоских мышц (глубже наружной/ внутренней косых мышц живота), идущая в поперечном направлении
о Начало: шесть нижних хрящей ребер, грудопоясничная фасция, гребень подвздошной кости и паховая связка
о Прикрепление: к белой линии живота посредством широкого апоневроза, лобковой кости
о Поперечная фасция расположена глубже этой мышцы
• Прямая мышца живота:
о Парные мышцы по обе стороны от средней линии (разделены белой линией живота), идущие в вертикальном направлении:
- Боковая граница мышц обозначается как полулунная линия
- В прямую мышцу живота вдаются 3-4 фиброзных тяжа (придают мышце вид кубиков)
о Начало: лобковый симфиз и гребень лобковой кости
о Прикрепление: к мечевидному отростку и хрящам V-VII ребер
• Пирамидальная мышца является вторым мелким мышечным пучком, расположенным кпереди от нижнего отдела прямой мышцы живота, но не имеющим клинического значения
• Влагалище прямой мышцы живота:
о Влагалище прямой мышцы живота: плотная фиброзная оболочка, покрывающая прямую мышцу и сформированная апоневрозами трех плоских мышц:
- Во влагалище прямой мышцы живота проходят верхние и нижние эпигастральные сосуды
о Большая часть влагалища прямой мышцы живота имеет переднюю (апоневрозы наружной/внутренней косой мышц) и заднюю (апоневрозы внутренней косой/поперечной мышц живота) стенки:
- Задняя стенка исчезает на уровне ровно между пупком и лобковым симфизом (обозначается как дугообразная линия)
• Белая линия живота является фиброзным швом, тянущимся от мечевидного отростка к лобковой кости и сформированным перекрывающимися волокнами апоневрозов плоских мышц:
о Формирует центральную переднюю область прикрепления мышц брюшной стенки
• Поперечная фасция:
о Лежит глубже мышц брюшной стенки и выстилает всю брюшную стенку, отделена от париетального листка брюшины слоем внебрюшинной жировой клетчатки
Грудопоясничная (пояснично-спинная) фасция является плотным фиброзным футляром, заключающим в себя квадратную мышцу поясницы и разгибатели спины. Грудопоясничная фасция состоит из трех слоев (переднего, среднего и заднего), при этом квадратная мышца поясницы расположена между передним и средним листками, а разгибатели спины расположены между средним и задним листками. Передний листок с латеральной стороны является продолжением апоневроза поперечной мышцы живота, в то время как задний листок является продолжением апоневрозов внутренней косой и поперечной мышц живота. Два аксиальных среза, полученных при КТ молодого мужчины с развитой мышечной тканью. Обратите внимание, как апоневрозы косых и поперечной мышц окружают прямую мышцу живота, формируя влагалище прямой мышцы, и затем продолжают свой ход, формируя белую линию и входя в нее. Апоневрозы косых и поперечной мышц живота сливаются с грудопоясничной фасцией и входят в нее, а она окружает околопозвоночные мышцы и квадратную мышцу поясницы. Восемь срезов, полученных у молодого мужчины при КТ с контрастированием. Влагалище прямой мышцы живота сформировано апоневрозами косых и поперечной мышц живота, также формирующих белую линию, являющуюся центральной передней областью прикрепления передних мышц. Подкожная ткань состоит из двух слоев—поверхностного слоя жировой клетчатки (фасция Кампера) и мембранозного глубокого слоя (фасция Скарпы), продолжающихся до промежности. Грудопоясничная фасция окружает квадратную мышцу поясницы и параспинальные мышцы и формирует важную заднюю область прикрепления мышц стенки живота. Апоневрозы представляют собой плоские сухожилия, берущие начало от мышц. Мышцы передней брюшной стенки берут начало, в том числе, от гребня подвздошной кости и нижнего отдела грудопоясничной фасции. Поперечная фасция лежит глубже мышц брюшной стенки и выстилает всю стенку, но при визуализации обычно не обнаруживается. Наблюдаются признаки прикрепления мышц к гребню подвздошной кости. Нижние эпигастральные артерии и вены проходят под прямыми мышцами и отходят от нижних подвздошных сосудов в глубине таза. Наружные подвздошные сосуды проходят на поверхности подвздошно-поясничных мышц. Подвздошно-поясничная мышца покидает полость живота, проходя под паховой связкой. Подвздошно-поясничная мышца проходит кпереди от головки и шейки бедренной кости и прикрепляется к малому вертелу бедренной кости. Прямая мышца живота прикрепляется к лобковой кости. МРТ, Т2-ВИ в режиме HASTE (без подавления сигнала от жира): показана нормальная структура внутренней/внешней косых и поперечной мышц живота. Обратите внимание на то, каким образом апоневрозы этих мышц хорошо визуализируются на МРТ и выглядят так, будто идут в медиальном направлении, окружают прямую мышцу живота и впоследствии сливаются в области белой линии. На МРТ хорошо визуализируются апоневрозы косых и поперечной мышц живота в точке их слияния с грудопоясничной фасцией, окружающей околопозвоночные мышцы и квадратную мышцу поясницы. Восемь срезов через стенку живота, полученных при КТ с контрастированием. Прямые мышцы берут начало от лобковой кости и прикрепляются к мечевидному отростку и хрящам V-VII ребер. Головные концы косых и поперечной мышц прикрепляются, в том числе, к нижним ребрам и хрящам ребер. Влагалище прямой мышцы живота содержит верхние и нижние эпигастральные артерии, анастомозирующие между собой приблизительно на уровне пупка. Наблюдаются признаки прикрепления косых и поперечной мышц живота к нижним ребрам. Показано прикрепление каудальных концов косых и поперечной мышц к гребню подвздошной кости. Аорта входит в брюшную полость позади срединной дуговой связки — объединенных ножек диафрагмы. Надпочечники лежат непосредственно латеральнее ножек. Поясничная мышца берет начало от поперечных отростков и тел позвонков поясничного отдела. После объединения с подвздошной мышцей в полости таза она проходит под паховой связкой и прикрепляется к малому вертелу бедренной кости. Квадратная мышца поясницы берет начало от гребня подвздошной кости, подвздошно-поясничной связки и поперечных отростков позвонков поясничного отдела. Квадратная мышца поясницы проходит позади диафрагмы под латеральной пояснично-реберной дугой (не визуализируется). Разгибатели спины расположены по каждую сторону от остистых отростков, стабилизируют позвоночник. Восемь корональных срезов, полученных при КТ с контрастированием, картина нормальной стенки живота. На первой томограмме обратите внимание на схождение прямых мышц с двух сторон в центральной области к белой линии. Прямые мышцы идут в вертикальном направлении, проходят книзу и прикрепляются к лобковой кости. На более заднем срезе определяются три «плоских» мышцы, расположенных близко между собой в виде слоев (наружная косая, внутренняя косая, поперечная мышцы живота). Обратите внимание на прикрепление этих мышц к ребрам на более высоком уровне. На более заднем срезе в поле обзора появляется подвздошная мышца. Подвздошная мышца заполняет ямку подвздошной кости и образует латеральную стенку брюшной полости и полости таза. Вместе с подвздошной и поясничной (подвздошно-поясничной) мышцами имеет вид растущей книзу в полость таза и прикрепляется к малому вертелу бедренной кости. На слегка более заднем срезе в поле обзора попадает поясничная мышца. Обратите внимание, как поясничная и подвздошная мышцы сливаются и формируют подвздошно-поясничную мышцу, играющую важную роль в сгибании бедра. Обратите внимание на локализацию срединной дуговой связки, являющейся объединением ножек диафрагмы. При КТ с контрастированием с двух сторон визуализируются крупные фрагменты поясничных мышц, являющихся длинными, плотными мышцами, лежащими сразу латеральнее позвоночного столба и в дистальном отделе сливающимися с подвздошными мышцами с образованием подвздошно-поясничного комплекса. Подвздошные мышцы берут начало от поперечных отростков тел позвонков Th 12-L5 и прикрепляются к малому вертелу бедренной кости, играя важную роль в сгибании бедра и латеральном сгибании позвоночника. На слегка более заднем срезе в область визуализации попадают квадратные мышцы поясницы; эти мышцы прилежат к поперечным отросткам поясничных позвонков и расположены над поясничными мышцами. На более заднем срезе при КТ с контрастированием визуализируются разгибатели спины, играющие важную роль в стабилизации позвоночника. Также визуализируется слияние апоневрозов плоских мышц для последующего соединения с грудопоясничной фасцией.
б) Мышцы заднего отдела брюшной стенки:
• Включают поясничные (большую и малую), подвздошную мышцы и квадратную мышцу поясницы
• Большая поясничная мышца: длинная крупная веретенообразная мышца, лежащая непосредственно латеральнее позвоночного столба:
о Начало: поперечные отростки и тела позвонков Th12-L5
о Прикрепление: к малому вертелу бедренной кости (проходит позади паховой связки)
о Функция: сгибание бедра в тазобедренном суставе и латеральное сгибание позвоночника
о 60% популяции имеют малую поясничную мышцу, идущую кпереди от большой поясничной мышцы и берущую начало от позвонков Th12/L1
• Подвздошная мышца: крупная пластинка мышечной ткани треугольной формы, расположенная по ходу латерального края поясничной мышцы:
о Начало: верхний отдел вертлужной ямки
о Прикрепление: к малому вертелу бедренной кости (после соединения с сухожилием подвздошной мышцы)
о Функция: подвздошно-поясничная мышца осуществляет сгибание бедра
• Квадратная мышца поясницы: плотная мышца, расположенная вблизи поперечных отростков позвонков поясничного отдела и поверх поясничных мышц:
о Начало: гребень подвздошной кости и поперечные отростки позвонков поясничного отдела
о Прикрепление: к XII ребру и поперечным отросткам позвонков L1-L4
о Функция: стабилизация положения туловища и таза при дыхании и ходьбе и латеральное сгибание туловища
• Фасциальные листки покрывают мышцы задней стенки живота и отделяют их от париетального листка брюшины:
о В группу входят фасция поясничной мышцы, покрывающая большую поясничную мышцу, и грудопоясничная фасция, покрывающая квадратную мышцу поясницы и глубокие мышцы спины
Клинические особенности патологии брюшной стенки
Первые три аксиальных среза полученные при бесконтрастной КТ у пожилой женщины, получающей антикоагулянты. Определяется спонтанное внебрюшинное кровоизлияние и кровоизлияние в брюшной стенке. Прямые мышцы увеличены за счет кровоизлияния во влагалище прямой мышцы. Кровоизлияние «протекло» через неполную заднюю стенку влагалища прямой мышцы и распространилось во внебрюшинные отделы таза. Обратите внимание на ячеисто-жидкостные уровни в кровоизлиянии, называемые признаком гематокрита, указывающим на коагулопатическое кровотечение. Внебрюшинные пространства живота сообщаются в каудальной части с внебрюшинными пространствами таза, включая околопузырное пространство. Томограммы пожилой женщины с выступающим животом, имитирующим вентральную грыжу. Во фронтальной плоскости определяются признаки ожирения и газ в толстой кишке ниже уровня лобкового симфиза. Первые два аксиальных среза, полученных при КТ у этой же пациентки: определяется растянутая и удлиненная тонкая брюшная стенка, что приводит к протрузии содержимого живота вперед и каудально (паннус). На этой томограмме толстая кишка визуализируется в паннусе ниже лобкового симфиза. Хотя при поверхностной оценке эти изменения могут быть спутаны с грыжей, в этом случае дефект брюшной стенки отсутствует. КТ с контрастированием, аксиальный срез: мелкая вентральная грыжа, содержащая короткий сегмент тонкой кишки. Обратите внимание на фекализированный вид тонкой кишки в грыже (содержит гетерогенные фекальные массы), а также на расширенные петли кишечника в брюшной полости проксимальнее грыжи, соответствующие обструкции тонкой кишки. КТ с контрастированием, объемный рендеринг, сагиттальный срез: у этого же пациента хорошо визуализируется ущемленная вентральная грыжа с умеренным расширением более проксимального отдела тонкой кишки, наличие этих признаков является абсолютным показанием к хирургическому лечению. МРТ, Т2-ВИ, аксиальный срез: выраженное расширение и обструкция поперечно-ободочной кишки с резким сужением при входе толстой кишки в узкую вентральную грыжу средней линии. Два аксиальных среза полученные при КТ пожилой женщины: вентральная грыжа послеоперационного рубца, возникшая после лапаротомии. Дефект передней брюшной стенки (по белой линии) позволяет выпячиваться толстой кишке и жировой ткани сальника. Прямые мышцы, белая линия и апоневрозы истончены и растянуты. На латеральном изображении в боковой проекции, полученном после бариевой клизмы у этой же пациентки, определяется грыжевое выпячивание толстой кишки в подкожно-жировую клетчатку при отсутствии вышележащих мышц. Два аксиальных среза, полученные при КТ с контрастированием выполненной у женщины пожилого возраста; паховая грыжа привела к обструкции тонкой кишки. Участок тонкой кишки сместился в паховый канал, что привело к обструкции кишечника. Отслеживание пассажа бариевого контраста по тонкому кишечнику у этой же пациентки позволяет определить участок расширенной тонкой кишки, заключенной в паховом канале и вызывающей обструкцию кишечника. КТ с контрастированием, аксиальный срез: крупная грыжа спигелевой линии в нижнем квадранте, содержащая петли расширенной и обтурированной тонкой кишки. КТ с контрастированием, аксиальный срез: у этого же пациента определяется покрытие грыжи лишь наружной косой мышцей и ее апоневрозом. Четыре аксиальных среза полученных у пациента с грыжей спигелевой линии: хорошо определяется соотношение грыжи с мышцами стенки живота. Обратите внимание, что грыжа (на этом изображении видна лишь частично) начинается между левыми внутренней и наружной косыми мышцами. КТ с контрастированием, более каудальный срез: нисходящая кишка, сместившаяся в подкожно-жировую клетчатку и покрытая лишь наружной косой мышцей и ее апоневрозом. Сравните локализацию левосторонней спигелевой грыжи с сохранными мышцами правой стенки живота. КТ с контрастированием, последний, наиболее каудальный срез: определяется смещение толстой кишки через дефект в апоневрозе внутренней косой и поперечной брюшных мышц. КТ с контрастированием, аксиальный срез: крупная левосторонняя поясничная грыжа, содержащая правый отдел толстой кишки. Обратите внимание на наличие хирургических клипс в правой почечной ямке. Такую поясничную грыжу связывают с разрезом в этой области при нефрэктомии. Бесконтрастная КТ, корональный срез: определяется классическая картина поясничной грыжи, содержащей участки правой доли печени и правого отдела толстой кишки. Бесконтрастная КТ, корональный срез: определяется поясничная грыжа классической локализации в заднебоковом отделе туловища (вблизи апоневрозов косых и поперечной мышц), содержащая участки необтурированной толстой кишки и правой доли печени.
а) Клиническое значение:
• В фасциальных футлярах прямой и подвздошно-поясничной мышцы часто локализуются спонтанные кровотечения у пациентов, страдающих коагулопатиями
о Отсутствие задней стенки влагалища прямой мышцы живота ниже дугообразной линии позволяет кровотечению из прямой мышцы распространяться в полость таза
• Ожирение и недостаточная физическая активность приводят к атрофии мышц брюшной стенки:
о Паннус (panniculus): слабая стенка живота и избыток подкожно-жировой клетчатки могут имитировать как клиническую, так и визуализационную картину вентральной грыжи
о Приводит к частому возникновению грыж брюшной стенки, в особенности после хирургических вмешательств на брюшной стенке
• Врожденные слабые точки апоневрозов предопределяют иную частую локализацию наружных грыж:
о Вентральная грыжа: через врожденные дефекты апоневрозов, формирующих белую линию живота по средней линии
о Грыжа спигелевой линии: возникает латеральнее прямой мышцы живота ниже пупка через дефект апоневроза внутренней косой и поперечной мышц живота:
- Апоневроз наружной косой мышцы живота часто не поражается; грыжевой мешок может быть межмышечным
о Поясничная грыжа: во врожденной слабой точке непосредственно над гребнем подвздошной кости = нижний поясничный треугольник (петитов)
Подготовка к КТ забрюшинного пространства

Если пациенту долгое время не могут поставить окончательный диагноз, то вероятней всего врач отправит его на компьютерную томографию. Чаще всего делают КТ забрюшинного пространства. Исследование позволяет визуализировать состояние внутренних органов, получить их детальную проекцию. КТ определяет даже небольшие патологические изменения. Благодаря этому врач сможет понять, что происходит с больным и вовремя скорректировать лечение. Однако, чтобы получить достоверные данные, требуется правильная подготовка к КТ забрюшинного пространства.
Что показывает КТ забрюшинного пространства

Компьютерная томография – современный диагностический метод, отличающейся точностью. Это многослойное рентгеновское сканирование, которое позволяет выявить острые, хронические патологии забрюшинного пространства и брюшной полости.
- Органы ЖКТ – печень, желчный пузырь, селезенку, толстый и тонкий кишечник, поджелудочную железу.
- Органы забрюшинного пространства – мочевой пузырь, почки, надпочечники, мочеточники, вегетативные, нервные сплетения, лимфатические узлы, грудной проток.
Процедура позволяет выявить следующие нарушения в работе организма:
- онкологические процессы (в том числе и на ранних стадиях);
- скопление жидкости в брюшном и забрюшинном пространстве;
- кровоизлияния;
- абсцесс;
- наличие инородных тел;
- аномалии развития;
- камни;
- дисфункцию внутренних органов;
- воспаление, инфекционные процессы;
- кисты, другие новообразования;
- нарушения проходимости протоков.
Важно: Компьютерная томография один из самых надежных методов исследования, помогающий при подготовке больного к оперативному вмешательству, контроле динамики лечения, диагностике острых состояния неизвестной этиологии.
Подготовка к процедуре

Пациенты, проходящие компьютерную томографию впервые, далеко не всегда знают, как подготовиться к КТ забрюшинного пространства. Если это сделать неправильно, результаты исследования могут быть искажены, что недопустимо.
О мерах подготовки уведомляет лечащий врач. Они представляют собой несколько несложных правил:
- За 2-3 дня до процедуры отказаться от газообразующих продуктов питания (например, свежи фруктов, овощей, кисломолочных продуктов, сдобы, бобовых, газированных напитков).
- За 4-5 до диагностики соблюдать голод. Пить можно только негазированную, очищенную воду. Чай, кофе, сладкие напитки употреблять нежелательно (главное, исключить добавление сливок и молока).
- Если пациент нервничает перед процедурой, можно принять успокоительное средство.
Важно: Компьютерную томографию нельзя делать в течение 24 часов после УЗИ, рентгена, флюорографии. Рекомендуется делать перерыв между исследованиями в течение 3-5 дней.
С собой на обследование необходимо взять медицинскую документацию, которая позволит доктору сопоставить новые результаты диагностики с имеющимися данными. Дополнительно можно предоставить выписки, заключения, анализы.
Как подготовка к исследованию влияет на результат
Пренебрежение правилами подготовки к компьютерной томографии может серьезно повлиять на достоверность данных исследования. Искажение многослойных снимков влечет за собой постановку неправильного диагноза. В результате пациенту понадобится проходить повторное исследование. Как следствие, лечение заболевания не будет начато несвоевременно, что может грозить ухудшением общего состояния и самочувствия.

Качество диагностики искажают:
- Несоблюдение правил диеты. Пациент позволяет себе употреблять продукты питания, усиливающие газообразование и перистальтику кишечника.
- Инородные металлические предметы в теле, которые нет возможности удалить (например, пластины, клапаны).
- Неспособность пациента сохранять неподвижность во время процедуры (проблема может наблюдаться при наличии у пациента психических расстройств, нервных тиков).
При проведении КТ нужно исключить любые проявления стресса. Если у пациента не получается успокоиться самостоятельно, ему необходимо принять успокоительное средство.
Важно: Детям компьютерная томография проводится под наркозом.
Особенности подготовки к КТ забрюшинного пространства с контрастом
Компьютерная томография с применением контраста позволяет получить детализированное изображение здоровых и патологически измененных тканей. Контраст усиливает видимость нормальных и аномальных структур за счет содержания в составе йода, который улучшает эффект рентгеновских лучей.
Подготовка к КТ с контрастом включает несколько этапов:
- Нужно сдать анализы на азот мочевины, креатинин и СКФ (если пациент старше 60 лет, у него есть хронические заболевания почек или гипертония).
- За 48 часов до исследования нужно исключить из рациона газообразующие продукты.
- Вечером, накануне процедуры, следует выпить раствор Урографина, приготовленный по инструкции.
- Утром повторить прием контрастного вещества.
- Обязательно оденьтесь в свободную, удобную одежду без металлических элементов.
- Оставшееся вещество следует выпить в кабинете врача (приблизительно за 30 минут до исследования).
- Перед тем, как лечь на стол томографа, снимите украшения (цепочки, кольца, пирсинг).
Важно: Компьютерная томография с контрастом проводится строго натощак.
Если в процессе употребления контрастного раствора пациент почувствовал жжение в желудке, тошноту, головокружение, ему следует немедленно прекратить прием препарата и сообщить о появившихся симптомах врачу. Недомогание, как правило, сигнализирует об аллергической реакции. В этом случае больному показан подбор альтернативного метода диагностики.
Противопоказания к исследованию

Компьютерная томография – безопасный диагностический метод, не вредящий здоровью человека. Однако существует ряд противопоказаний, когда проведение томографии нежелательно, а именно:
- беременность и лактация;
- острые воспалительные процессы;
- запущенная форма сахарного диабета;
- аллергические реакции (на йодсодержащие препараты, используемые при КТ с контрастом);
- серьезные патологии печени, почек, сердца.
С осторожностью делают контраст пациентам, имеющим:
- аллергию на морепродукты;
- астму;
- аллергию на лекарственные препараты.
Категориям пациентов, у которых обнаружены противопоказания, лучше воздержаться от прохождения КТ любого вида. Врач назначит альтернативные методы исследования. Это может быть УЗИ брюшной полости, колоноскопия, фиброгастроскопия.
Расшифровкой данных исследования занимается врач-рентгенолог. Результаты исследования пациент получает спустя 24 часа. На руки выдаются готовое заключение, пленка с наиболее информативными КТ-снимками.
Читайте также:
