Лицевой нерв при лабиринтите. Диагностика лабиринтитов
Добавил пользователь Евгений Кузнецов Обновлено: 08.11.2025
Лабиринтит. Течение и лечение лабиринтита.
Лабиринтит — это сводный термин, применяемый для различных нарушений — вестибулярного нейронита, идиопатического лабиринтита и вирусного лабиринтита. Вестибулярный нейронит характеризуется единичным или повторными эпизодами истинного системного головокружения длительностью от нескольких часов до нескольких дней, которое часто сопровождается рвотой в начале приступа. Когда кроме головокружения отмечается снижение слуха, можно предположить, что в процесс вовлечен весь лабиринт. Для этого нарушения используется термин лабиринтит. Несмотря на вышеописанные различия данных нарушений, большинство отоневрологов, отологов и неврологов используют либо термин «вестибулярный нейронит», либо «лабиринтит» при обоих типах нарушений, независимо от наличия слуховых симптомов. У пациентов с указанной патологией головокружение может усиливаться при определенных движениях головы, причем конкретных для каждого пациента.
Мнение о том, что изолированное вирусное поражение является причиной острого или эпизодического головокружения, спорно. Многие специалисты предпочитают термин «острая периферическая вестибулопатия» или «рецидивирующая периферическая вестибулопатия». В острой фазе заболевания отмечается сильнейшее системное головокружение, которое начинается внезапно, без видимых причин. Головокружение всегда сопровождается тошнотой и рвотой без нарушения слуха или слабости лицевой мускулатуры.
Течение лабиринтита и прогноз. Прогноз, как правило, хороший. По крайней мере, у 90% больных отмечается один единственный приступ в жизни без формирования неврологического дефицита.

Профилактика лабиринтита. Специфическая профилактика острых воспалительных поражений внутреннего уха не разработана. Необходима адекватная антибактериальная терапия инфекционных заболеваний среднего уха, чтобы предотвратить распространение процесса на внутреннее ухо.
Терапевтическая тактика при лабиринтите. Головокружение, обусловленное лабиринтитом, лечат симптоматическими средствами. Группы лекарственных средств перечислены в таблице.
Большинство препаратов, эффективно используемых при головокружении, не относятся к средствам для подавления вестибулярных импульсов, так называемым средствам «вестибулярной супрессии». Трудно предсказать, какой препарат будет эффективен у конкретного больного, т. к. не ясен ни механизм действия лекарств, ни причина заболевания. Известно, что препарат бетасерк не вызывает седации и способствует вестибулярной адаптации организма. Импульсы от первичной афферентной вестибулярной системы можно прямо или косвенно подавить через ингибиторную часть основной эфферентной вестибулярной системы. Вероятно, отчасти эффективность препаратов можно объяснить их влиянием на другие сенсорные системы, например, на проприоцептивные или зрительные импульсы, воздействующие на вестибулярные ядра ствола.
Многие из применяемых средств подобраны эмпирически. Проводилось всего несколько контролируемых исследований, касающихся результатов лечения этими препаратами больных с установленной периферической вестибулярной дисфункцией. Препараты, назначаемые больным лабиринтитом, также применяются для профилактики укачивания у здоровых людей, для лечения болезни Меньера.
Гистаминергические средства — наиболее широко применяемым препаратом этой группы для лечения и профилактики головокружения различного генеза является бетасерк (бетагистина дигидрохлорид). Являясь оригинальным антагонистом Н3-гистаминовых рецепторов, бетасерк избирательно улучшает кровоток, усиливает микроциркуляцию и нормализует давление эндолимфы во внутреннем ухе. Действуя центрально на вестибулярные ядра ствола головного мозга, нормализует импульсацию с периферических рецепторов. Бетасерк не влияет на артериальное давление и хорошо переносится, поэтому может применяться длительно даже у пожилых пациентов. Бетасерк не вызывает седации, создавая благоприятные условия для вестибулярной реабилитации организма. Бетасерк эффективен как в монотерапии, так и в сочетании с другими препаратами, однако, следует избегать одновременного приема с антигистаминными препаратами, т. к. действия этих препаратов разнонаправлены.
Антигистаминные средства — это препараты, используемые наиболее часто для лечения головокружения. Обычно назначают меклозина гидрохлорид в дозе 50 мг три раза в сутки. Основным побочным эффектом этого средства является его снотворное действие. Во избежание этого рекомендуется начинать прием препарата с более низких доз —12,5 мг два-три раза в сутки, и наращивать дозу постепенно.
Для борьбы с системным головокружением применяются антигистаминные препараты-антагонисты Н1-рецепторов. Возможно, блокаторы Н1-рецепторов, эффективные для лечения укачивания, действуют как центральные антагонисты ацетилхолина (АХ), как, например, скополамин. Прекрасным препаратом также является прометазин — фенотиазин с самым сильным эффектом блокирования АХ. Начальная доза составляет 25 мг три раза в сутки. Если отмечается сонливость, то дозу уменьшают до 12,5 мг три раза в сутки.
Информация на сайте подлежит консультации лечащим врачом и не заменяет очной консультации с ним.
См. подробнее в пользовательском соглашении.
Лицевой нерв при лабиринтите. Диагностика лабиринтитов
В части случаев лабиринтита парез лицевого нерва является симптомом, сопровождающим хронический гнойный средний отит; при некоторых же формах лабиринтита (некротический лабиринтит) парез лицевого нерва является лабиринтогенным и основным симптомом, характеризующим указанную форму лабиринтита.
Только как исключение наблюдаются некротические лабиринтиты без пареза лицевого нерва.
Диагноз тимпаногенного лабиринтита в типичных случаях не представляет трудностей. В большинстве же случаев, когда неизвестно не только начало лабиринтита, но и начало среднего отита и патогенез последнего, необходимо использовать все методы исследования. При распознавании тимпаногенного лабиринтита необходимо:
1) решить вопрос, имеется ли воспалительное заболевание внутреннего уха или какое-либо иное сходное заболевание лабиринта невоспалительного характера или заболевание центральной нервной системы;
2) установить тимпаногенную природу лабиринтита;
3) выяснить форму тимпаногенного лабиринтита.
При функциональном исследовании у этих больных обнаруживается глухота, не возбудим ость лабиринта на калорическую пробу, а при вращательной пробе—укороченный нистагм с обеих сторон (10—12 секунд).

Однако точно такой же симптомокомплекс, но при отсутствии пареза лицевого нерва наблюдается при так называемом излечении лабиринтита после диффузного гнойного воспаления, т. е. когда из полостей лабиринта исчезает гной и в них разрастается соединительная и костная ткань.
Нужно все же иметь в виду, что в некоторых случаях секвестрации лабиринта, когда процесс локализуется не в области горизонтального полукружного канала, или улитки, может отсутствовать симптом пареза лицевого нерва. В этих случаях на помощь клинике приходит рентгенологическое исследование, которое может указать на наличие деструкции в области пирамиды и лабиринта.
Нередко, однако, окончательный диагноз приходится ставить во время производства радикальной операции уха и и здесь же решать вопрос о необходимости вскрытия лабиринта. При обнаружении экзостозов можно подтвердить клинический диагноз лабиринтной компенсации.
Прогноз при этих заболеваниях нужно рассматривать в отношении опасности для жизни и перспектив восстановления функции внутреннего уха. Сам лабиринтит опасности для жизни не представляет.
При наличии таких мощных методов терапевтического воздействия, как антибиотики, опасность перехода гнойного процесса из среднего уха на лабиринт, а из последнего — на содержимое черепа наблюдается значительно реже, чем это имело место в период до антибиотиков. Однако и сейчас при хронических гнойных средних отитах иногда латентно или остро развиваются лабирннтиты, которые вызывают внутричерепные осложнения (чаще всего менингит и абсцесс мозжечка), и в этом их опасность для жизни. Что касается восстановления функции внутреннего уха, то оно всегда остается сомнительным.
Стойкую полную глухоту с выпадением функции вестибулярного аппарата дают только диффузные гнойные и некротические лабирннтиты; серозные лабирннтиты оставляют стойкое, правда только частичное, поражение всех отделов внутреннего уха.
Предупреждение возникновения лабиринтитов сводится к профилактике средних отитов; при наличии же упорно длящегося заболевания применяется постоянное медикаментозное лечение и своевременное радикальное оперативное вмешательство.
а) Терминология:
1. Синоним:
• Подострый лабиринтит
2. Определение:
• Подострое воспалительное или инфекционное заболевание пространств внутреннего уха (ВУ), заполненных жидкостью:
о Вторичные изменения перепончатого лабиринта ВУ обусловлены воспалительным процессом
б) Визуализация:
1. Общая характеристика:
• Лучший диагностический критерий:
о МРТ T1 С+: контрастирование (от легкого до умеренного) пространств ВУ, в норме заполненных жидкостью

(Слева) При аксиальной МРТ Т1 ВИ С+ FS у годовалого мальчика с перенесенным менингитом и нейросенсорной тугоухостью определяется патологическое контрастирование базального завитка улитки с обеих сторон, сопоставимое с менингогенным лабиринтитом.
(Справа) При аксиальной МРТ Т2 ВИ FSE у пациента с двухсторонним лабиринтитом определяется гиперинтенсивная жидкость (норма) в улитке с обеих сторон. Наличие жидкости с типичным или слегка гипоинтенсивным сигналом позволяет отличить лабиринтит от объемного образования.
2. КТ при лабиринтите:
• КТ в костном окне:
о Острая и подострая фаза: норма
о Гнойный процесс: оссифицирующий лабиринтит (ОЛ):
- Фиброз, затем (недели-годы) оссификация
3. МРТ при лабиринтите:
• Т1 ВИ:
о Сигнал часто в норме
о При тяжелом диффузном перепончатом лабиринтите возможно легкое ↑ сигнала
о При интралабиринтном кровоизлиянии: ↑ сигнал в ВУ
• Т2 ВИ:
о Острая/подострая фаза: гиперинтенсивная жидкость (норма) в ВУ:
- Т2 позволяет отличить перепончатый лабиринтит от интралабиринтной шванномы (гипоинтенсивная жидкость ВУ)
• Т1 ВИ С+:
о Острая/подострая фаза: возможна норма
о Ограниченное/распространенное контрастирование (от легкого до умеренного) пространств улитки, преддверия и полукружных каналов, в норме заполненных жидкостью
о Контрастирование может обнаруживаться и после исчезновения симптоматики
4. Рекомендации по визуализации:
• Лучший метод визуализации:
о Классические клинические проявления: лучевая диагностика не нужна
о Атипичные проявления: тонкосрезовая MPT (Т1 С-,Т1 С+,Т2)

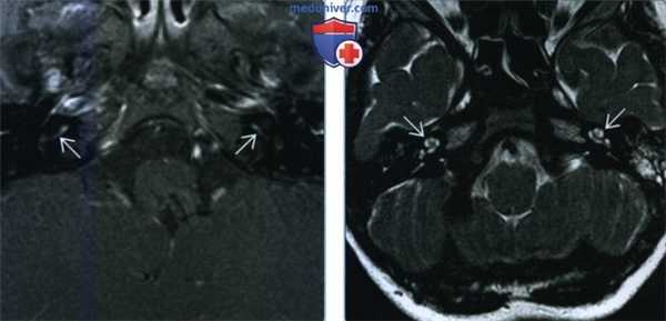
(Слева) При аксиальной МРТ Т1 ВИ С+ у пациента с внезапно возникшим головокружением и тугоухостью на фоне вирусного лабиринтита определяется патологическое контрастное усиление завитков улитки и преддверия.
(Справа) При аксиальной МРТ Т1 ВИ С+ определяется контрастирование улитки и внутреннего слухового канала у пациента с двухсторонним отомастоидитом, оталгией, параличом ЧН VII и тугоухостью. Барабанный сегмент ЧН VII в этом примере тимпаногенного лабиринтита также утолщен и накапливает контраст.
в) Дифференциальная диагностика лабиринтита:
1. Оссифицирующий лабиринтит:
• КТ в костном окне: оссификация перепончатого лабиринта
• МРТ Т1 С+: контрастирование ВУ в ранней фазе
• MPT Т2: замещение нормальной гиперинтенсивной жидкости в ВУ гипоинтенсивным сигналом
2. Интралабиринтная шваннома:
• МРТ Т1 С+: более интенсивное и ограниченное контрастное усиление, чем при лабиринтите
• МРТ Т2: ограниченное понижение сигнала = зона контрастного усиления
3. Интралабиринтное кровоизлияние:
• Нарушение свертываемости или травма в анамнезе
• МРТ Т1: гиперинтенсивный преконтрастный сигнал
г) Патология:
1. Общая характеристика:
• Этиология:
о Возможен серозный или гнойный лабиринтит
о Этиология контрастного усиления ВУ на МРТ:
- Нарушение васкуляризации лабиринта — неоваскуляризация интралабиринтной перегородки
- Начинается в подострой фазе, сохраняется месяцами
2. Микроскопия:
• Гнойный лабиринтит → оссифицирующий лабиринтит
• Ранняя хроническая фаза: стадия фиброза, пролиферация фибробластов
• Поздняя фаза: стадия оссификации (ОЛ)
д) Клинические особенности:
1. Проявления:
• Типичные признаки/симптомы:
о Внезапное появление нейросенсорной тугоухости (НСТУ), головокружения и звона в ушах
• Классификация лабиринтита:
о Вирусный лабиринтит:
- Острая односторонняя НСТУ ± заболевания верхних дыхательных путей
- При классических проявлениях лучевая диагностика не требуется
- Возможно гематогенное распространение
о Бактериальный лабиринтит:
- Часто прогрессирует, приводя к постоянной НСТУ
- Менингогенный: двухсторонний; вследствие менингита:
Главная причина приобретенной глухоты у детей
Распространение происходит от дна ВСК через решетчатую пластинку — преддверие или канал улиткового нерва → улитка или водопровод улитки — базальный завиток улитки
- Тимпаногенный: односторонний; вследствие бактериального отомастоидита:
Острый бактериальный отомастоидит → прямое распространение через круглое или овальное окно
о Посттравматический/послеоперационный: односторонний; вследствие бактериального отомастоидита:
- Кровоизлияние обычно приводит к накоплению контраста
- Заживление — грануляционная ткань ± ОЛ
о Аутоиммунный: очень редкий, связанный с системным заболеванием
2. Демография:
• Любой возраст
• Эпидемиология: вирусный >> бактериальный лабиринтит
3. Течение и прогноз:
• При вирусном лабиринтите слух часто восстанавливается:
о Тугоухость может рецидивировать и приводить к неработоспособности
• Для бактериального менингита типична стойкая НСТУ
4. Лечение:
• Вирусная этиология: стероиды, вестибулярные супрессанты, вестибулярная тренировка
• Бактериальные: топические и внутривенные антибиотики:
о Хирургическое вмешательство при тяжелом заболевании
е) Список использованной литературы:
1. Salzman KL et al: Intralabyrinthine schwannomas: imaging diagnosis and classification. AJNR Am J Neuroradiol. 33(1):104-9, 2012
Лабиринтит
Лабиринтит — воспалительное поражение структур внутреннего уха, возникающее в результате проникновения в него инфекции или являющееся следствием травмы. Клиника лабиринтита включает вестибулярные нарушения (головокружение, расстройство равновесия и координации) и симптомы поражения органа слуха (шум в ухе, снижение слуха). Диагностические мероприятия при подозрении на лабиринтит заключаются в проведении отоскопии, рентгенологического исследования, КТ, аудиометрии, электрокохлеографии, импедансометрии, вестибулометрии, электронистагмографии, калорической и прессорной пробы, лабораторных исследований для выявления возбудителя. Лечение лабиринтита может быть медикаментозным и хирургическим. В дальнейшем многим перенесшим лабиринтит пациентам необходима слуховая реабилитация: кохлеарная имплантация или слухопротезирование.
МКБ-10
Общие сведения
Внутреннее ухо представляет собой заполненный эндолимфой костный лабиринт, состоящий из улитки, преддверия и полукружных канальцев. В улитке находятся звуковоспринимающие клетки слухового анализатора. Преддверие и три полукружных канальца снабжены рецепторами вестибулярного анализатора, отвечающего за равновесие и ощущение расположения собственного тела в пространстве. Воспалительные изменения внутреннего уха при лабиринтите приводят к поражению рецепторного аппарата обоих анализаторов, что клинически проявляется сочетанием слуховых и вестибулярных нарушений.
Причины и патогенез возникновения лабиринтита
Вследствие внутреннего расположения лабиринта его инфицирование с развитием лабиринтита возможно только при распространении микроорганизмов или их токсинов из других инфекционных очагов. Наиболее часто причиной лабиринтита бывает средний отит. В костных структурах улитки и преддверия имеются окна, которые закрыты соединительнотканными мембранами. Таким образом внутреннее ухо отделено от барабанной полости среднего уха. При воспалении среднего уха происходит набухание и инфильтрация мембран, в результате чего они становятся проницаемы для микробных токсинов, проникающих из барабанной полости и обуславливающих серозное воспаление внутреннего уха. Развивающийся серозный лабиринтит приводит к повышению давления внутри лабиринта, что может сопровождаться прорывом соединительнотканных мембран окон в барабанную полость. Через возникшие отверстия во внутреннее ухо попадают патогенные микроорганизмы, вызывающие развитие гнойного лабиринтита.
Инфекционные агенты и их токсины через внутренний слуховой проход могут проникнуть во внутреннее ухо из полости черепа. Причиной лабиринтита в таких случаях является менингит, который в свою очередь может быть обусловлен менингококковой и пневмококковой инфекцией, гриппом, корью, туберкулезом, скарлатиной, сыпным тифом. Общие инфекционные заболевания (эпидемический паротит, простой и опоясывающий герпес, сифилис) могут стать причиной лабиринтита вследствие гематогенного заноса инфекции.
Возникновение лабиринтита возможно в результате проникновения инфекции через поврежденную барабанную перепонку при травмах уха. Лабиринтит может наблюдаться не только при прямых повреждениях — ранениях острыми предметами или травмировании перепонки инородным телом уха. Тупые черепно-мозговые травмы височно-теменной области, приводящие к переломам пирамиды височной кости и разрыву барабанной перепонки, также могут стать причиной лабиринтита.
Классификация лабиринтита
Клиническая отоларингология использует расширенную классификацию лабиринтита, основанную на нескольких критериях. По характеру возбудителя лабиринтит подразделяют на вирусный, бактериальный (специфический и неспецифический), грибковый.
В зависимости от механизма возникновения выделяют: тимпаногенный лабиринтит — вызван проникновением инфекции из среднего уха; менингогенный лабиринтит — возникает в следствие распространения инфекции с оболочек головного мозга при менингите; гематогенный лабиринтит — является результатом заноса инфекции в сосуды лабиринта с током крови; травматический лабиринтит — представляет собой инфекционное осложнение травмы уха или черепа.
По типу развившегося во внутреннем ухе воспаления лабиринтит классифицируют как серозный, гнойный и некротический. Серозный лабиринтит характеризуется выраженными экссудативными изменениями с увеличением количества эндолимфы, появлением в ней фибрина и клеток крови. При гнойном лабиринтите происходит лейкоцитарная инфильтрация, стихание воспаления сопровождается образованием грануляций. Некротический лабиринтит возникает, когда происходит нарушение кровоснабжения того или иного участка лабиринта за счет тромбоза или сдавления ветвей слуховой артерии. Некротический лабиринтит может наблюдаться в результате травмы с повреждением артерии или при сдавлении сосудов из-за выраженной отечности.
По распространенности воспалительного процесса различают диффузный и ограниченный лабиринтит.
По характеру течения лабиринтит бывает острый и хронический. Острый серозный лабиринтит характеризуется стиханием воспаления через 2-3 недели. Острый гнойный лабиринтит может иметь затяжное течение или перейти в хроническую форму. Хронический лабиринтит отличается постепенным развитием симптоматики; возможно его латентное, практически бессимптомное, течение.
Симптомы лабиринтита
Вестибулярные нарушения проявляются головокружением, возникновением спонтанного нистагма, расстройством координации движений и равновесия (вестибулярная атаксия), вегетативными нарушениями. Головокружение при лабиринтите носит системный характер. Пациенты жалуются на чувство вращения окружающих предметов или своего собственного тела в определенном направлении. В некоторых случаях лабиринтита системное головокружение сочетается с несистемным, при котором пациент отмечает неустойчивость и неуверенность при ходьбе, но не может определить направление падения.
При остром лабиринтите или обострении хронического лабиринтита головокружение возникает в виде приступов, продолжительность которых варьирует от 2-3 минут до нескольких часов. Во время приступа интенсивное головокружение сопровождается тошнотой и рвотой, усиливающимися при движении; отмечается повышенное потоотделение, бедность или гиперемия лица. Хронический лабиринтит вне обострения характеризуется периодически возникающим головокружением длительностью до нескольких минут. Характерный для лабиринтита спонтанный нистагм отличается тем, что изменяет свое направление в течение заболевания.
Расстройство равновесия у пациентов с лабиринтитом проявляется в различной степени от незначительного отклонения тела в положении стоя или при ходьбе, до падений и невозможности самостоятельного передвижения. Характерна неустойчивость в позе Ромберга. При этом отклонение или падение возможно в разные стороны в зависимости от поворотов головы. Нарушения координации выявляются при проведении пальце-носовой пробы, в ходе которой промахивание происходит в направлении медленного компонента нистагма.
Вегетативные нарушения, отмечающиеся при лабиринтите, включают изменение цвета кожных покровов (бледность или покраснение), рвоту, тошноту, брадикардию или тахикардию, дискомфорт в сердечной области. Выраженные вегетативные симптомы могут наблюдаться в период между обострениями хронического лабиринтита.
Нарушения слуха связаны с раздражением и гибелью звуковоспринимающих рецепторов. В первом случае отмечается шум в ухе, во втором — снижение или потеря слуха. При серозном лабиринтите тугоухость носит обратимый характер. При гнойном лабиринтите массовая гибель слуховых рецепторов приводит к стойким нарушениям слуха вплоть до глухоты.
Осложнения лабиринтита
Основные осложнения лабиринтита связаны с переходом воспаления на расположенные вблизи лабиринта структуры. Распространение воспалительного процесса из внутреннего уха в фаллопиев канал, где проходит лицевой нерв, приводит к возникновению периферического неврита лицевого нерва. Инфицирование сосцевидного отростка вызывает развитие мастоидита, распространением гнойного воспаления на височную кость — петрозита. Проникновение инфекции в полость черепа при гнойном лабиринтите вызывает появление отогенных осложнений: менингита, энцефалита, абсцесса головного мозга.
Диагностика лабиринтита
В зависимости от этиологии лабиринтита его диагностику отоларинголог осуществляет совместно с отоневрологом, неврологом, инфекционистом, травматологом или венерологом. Проводится отоскопия и микроотоскопия, в ходе которых могут быть выявлены характерные для среднего отита изменения барабанной перепонки или ее травматическая перфорация. Выполняется прицельная рентгенография или КТ височной кости. Травмы являются показанием для рентгенографии и КТ черепа. При подозрении на инфекционный процесс в полости черепа проводится МРТ головного мозга, при необходимости — люмбальная пункция.
Исследование слуха при лабиринтите включает: аудиометрию, исследование с камертоном, пороговую аудиометрию, акустическую импедансометрию, электрокохлеографию, исследование слуховых ВП, отоакустическую эмиссию, промонториальный тест. Исследование вестибулярной функции у пациентов с лабиринтитом осуществляется отоларингологом или вестибулологом. Оно заключается в проведении вестибулометрии, прессорной (фистульной) пробы, стабилографии, калорической пробы. С целью выявления скрытого, не заметного при визуальном осмотре, нистагма используется видеоокулография и электронистагмография.
Установление специфического возбудителя инфекции, ставшей причиной лабиринтита, осуществляется при помощи ИФА, РИФ и ПЦР-диагностики. При наличие выделений из уха производится и бактериологическое исследование. Для диагностики врожденного сифилиса проводят RPR-тест. В ходе диагностики лабиринтит необходимо дифференцировать с абсцессом мозжечка, атаксией, болезнью Меньера, кохлеарным невритом, невриномой слухового нерва, отосклерозом.
Лечение лабиринтита
Медикаментозная терапия лабиринтита требует комплексного подхода. Она включает назначение антибактериальных и противовоспалительных препаратов, медикаментов, улучшающих кровообращение внутреннего уха, нейропротекторов, гипосенсибилизирующих средств. Купирование приступов головокружения при лабиринтите производится вестибулолитиками.
Тимпаногенный гнойный лабиринтит подлежит хирургическому лечению, которое заключается в проведении санирующей операции на среднем ухе, лабиринтотомии или пластики фистулы лабиринта. Если лабиринтит сопровождается мастоидитом или петрозитом, соответственно производится мастоидотомия или вскрытие пирамиды височной кости. При наличие внутричерепных осложнений лабиринтита показана лабиринтэктомия (удаление лабиринта) с дренированием полости черепа.
Стойкие нарушения слуха в результате перенесенного лабиринтита нуждаются в коррекции с помощью слухопротезирования или путем проведения слуховосстанавливающей операции (кохлеарной имплантации). С целью выбора оптимальной для пациента методики слуховой реабилитации необходима консультация сурдолога и слухопротезиста.
Прогноз лабиринтита
Острый серозный лабиринтит при своевременном лечении оканчивается полным выздоровлением пациента с восстановлением как вестибулярной, так и слуховой функции. Гнойный лабиринтит приводит к стойким вестибулярными и слуховыми нарушениям. Со временем после перенесенного лабиринтита происходит адаптация механизмов равновесия за счет здорового лабиринта второго уха, функций коры головного мозга, работы зрительного анализатора, проприоцептивной и тактильной чувствительности. Однако утраченные в результате лабиринтита функции слухового анализатора не восстанавливаются, пациент теряет слух на пораженное ухо.
Неврит лицевого нерва ( Лицевой паралич , Паралич Белла )
Неврит лицевого нерва (паралич Белла) – это воспалительное поражение нерва, иннервирующего мимические мышцы одной половины лица. В результате в этих мышцах развивается слабость, приводящая к снижению (парез) или полному отсутствию (паралич) мимических движений и появлению асимметрии лица. Симптомы неврита лицевого нерва зависят от того, какой именно участок нерва оказался вовлеченным в патологический процесс. В связи с этим различают центральный и периферический неврит лицевого нерва. Типичная клиника лицевого неврита не вызывает сомнений в постановке диагноза. Однако для исключения вторичного характера заболевания необходимо проведение инструментального обследования.
Лицевой нерв проходит в узком костном канале, где возможно его ущемление (туннельный синдром) при воспалительных процессах или нарушении кровоснабжения. Более предрасположены к возникновению неврита лицевого нерва люди с анатомически узким каналом или с особенностями строения лицевого нерва. Причиной развития лицевого неврита может стать переохлаждение области шеи и уха, особенно под воздействием сквозняка или кондиционера.
Классификация
Различают первичный неврит лицевого нерва, развивающийся у здоровых людей после переохлаждения (простудный лицевой неврит), и вторичный — в результате других заболеваний. К заболеваниям, при которых может развиться неврит лицевого нерва, относятся: герпетическая инфекция, эпидемический паротит («свинка»), отит (воспаление среднего уха), синдром Мелькерсона-Розенталя. Возможно травматическое повреждение лицевого нерва, его поражение при нарушении мозгового кровообращения (ишемический или геморрагический инсульт), опухоли или нейроинфекции.
Симптомы неврита лицевого нерва
Обычно неврит лицевого нерва развивается постепенно. В начале возникает боль позади уха, через 1-2 дня становится заметна асимметрия лица. На стороне пораженного нерва сглаживается носогубная складка, опускается уголок рта и лицо перекашивается в здоровую сторону. Пациент не может сомкнуть веки. Когда он пытается это сделать, его глаз поворачивается вверх (симптом Белла). Слабость мимических мышц проявляется невозможностью осуществить движения ими: улыбнуться, оскалиться, нахмурить или поднять бровь, вытянуть губы трубочкой. У пациента с невритом лицевого нерва на больной стороне широко раскрыты веки и наблюдается лагофтальм («заячий глаз») - белая полоска склеры между радужной оболочкой и нижним веком.
Происходит снижение или полное отсутствие вкусовых ощущений на передней части языка, также иннервируемой лицевым нервом. Возможно появление сухости глаза или слезотечения. В некоторых случаях развивается симптом «крокодиловых слез» - на фоне постоянной сухости глаза у пациента во время приема пищи происходит слезотечение. Наблюдается слюнотечение. На стороне неврита лицевого нерва может повыситься слуховая чувствительность (гиперакузия) и обычные звуки кажутся больному более громкими.
Клиническая картина неврита может быть различной в зависимости от места поражения лицевого нерва. Так при патологии ядра лицевого нерва (например, при стволовой форме полиомиелита) у больных наблюдается только слабость мышц лица. При локализации процесса в мосту головного мозга (например, стволовой инсульт) в него вовлекается не только корешок лицевого нерва, а и ядро отводящего нерва, иннервирующего наружную мышцу глаза, что проявляется сочетанием пареза лицевой мускулатуры со сходящимся косоглазием. Нарушения слуха в сочетании с симптомами лицевого неврита наблюдаются при поражении лицевого нерва на выходе из ствола головного мозга, поскольку происходит сопутствующее поражение слухового нерва. Такая картина часто наблюдается при невриноме в области внутреннего слухового входа.
Если патологический процесс находится в костном канале пирамиды височной кости до места выхода поверхностного каменистого нерва, то мимический паралич сочетается с сухостью глаза, нарушением вкуса и слюноотделения, гиперакузией. При возникновении неврита на участке от места отхождения каменистого нерва до отхождения стремянного нерва вместо сухости глаза наблюдается слезотечение. Неврит лицевого нерва на уровне его выхода из шилососцевидного отверстия черепа на лицо проявляется только двигательными нарушениями в мышцах лица.
Выделяют синдром Ханта — герпетическое поражение коленчатого ганглия, через который проходит иннервация наружного слухового прохода, барабанной полости, ушной раковины, неба и миндалин. В процесс вовлекаются и расположенные рядом двигательные волокна лицевого нерва. Заболевание начинается с сильных болей в ухе, отдающих в лицо, шею и затылок. Наблюдаются высыпания герпеса на ушной раковине, в наружном слуховом проходе, на слизистой оболочке глотки и в передней части языка. Характерны парез мимических мышц на стороне поражения и нарушение восприятия вкуса на передней трети языка. Возможно появление звона в ушах, понижение слуха, возникновение головокружений и горизонтального нистагма.
Неврит лицевого нерва при эпидемическом паротите сопровождается симптомами общей интоксикации (слабость, головная боль, ломота в конечностях), повышением температуры и увеличением слюнных желез (появлением припухлости за ухом). Неврит лицевого нерва при хроническом отите возникает в результате распространения инфекционного процесса из среднего уха. В таких случаях парез мимических мышц развивается на фоне стреляющих болей в ухе. Синдром Мелькерсона-Розенталя является наследственным заболеванием с приступообразным течением. В его клинике сочетается неврит лицевого нерва, характерный складчатый язык и плотный отек лица. Двусторонние невриты лицевого нерва встречаются лишь в 2% случаев. Возможно рецидивирующее течение неврита.
Осложнения
В ряде случаев, особенно при отсутствии адекватного лечения, неврит лицевого нерва может привести к развитию контрактур мимических мышц. Это может произойти через 4-6 недель от момента заболевания, если двигательные функции мимических мышц полностью не восстановились. Контрактуры стягивают пораженную сторону лица, вызывая дискомфорт и непроизвольные мышечные сокращения. При этом лицо больного выглядит так, будто парализованы мышцы на здоровой стороне.
Диагностика
Клиническая картина неврита лицевого нерва настолько яркая, что диагноз не вызывает затруднений у невролога. Дополнительные обследования (МРТ или КТ головного мозга) назначаются для исключения вторичной природы неврита, например опухолевых или воспалительных процессов (абсцесс, энцефалит).
Применяется электронейрография, электромиография и вызванные потенциалы лицевого нерва для определения места расположения патологического процесса, степени поражения нерва и динамики его восстановления в ходе лечения.
Лечение неврита лицевого нерва
Консервативное лечение
Массаж и лечебную физкультуру для пораженных мышц начинают со второй недели заболевания. Нагрузку постепенно увеличивают. Для улучшения проводимости с конца второй недели назначают антихолинэстеразные препараты (неостигмин, галантамин) и бендазол. Применяется ультразвук или фонофорез гидрокортизона. При медленном восстановлении нерва назначают препараты, улучшающие обменные процессы в нервной ткани (метандиенон). В отдельных случаях возможно проведение электронейростимуляции.
Если полного восстановления лицевого нерва в течение первых 2-3-х месяцев не произошло, назначают гиалуронидазу и биостимуляторы. При появлении контрактур производят отмену антихолинэстеразных препаратов, назначают толперизон.
Хирургическое лечение
Проводят пластику лицевого нерва путем аутотрансплантации. Как правило, трансплантат берут с ноги пациента. Через него к мышцам на пораженной половине лица подшивают 2 веточки лицевого нерва со здоровой стороны. Таким образом нервный импульс со здорового лицевого нерва передается сразу на обе стороны лица и вызывает естественные и симметричные движения. После операции остается небольшой рубец около уха.
Прогноз и профилактика
Прогноз неврита лицевого нерва зависит от его локализации и наличия сопутствующей патологии (отит, паротит, герпес). В 75% случаев происходит полное выздоровление, но при длительности заболевания более 3-х месяцев полное восстановление нерва встречается значительно реже. Наиболее оптимистичен прогноз, если поражение лицевого нерва произошло на выходе его из черепа. Рецидивирующие невриты имеют благоприятный прогноз, но каждый следующий рецидив протекает более тяжело и длительно.
Предупреждение травм и переохлаждений, адекватное лечение воспалительных и инфекционных заболеваний уха и носоглотки позволяют избежать развитие неврита лицевого нерва.
Читайте также:
