Лучевая диагностика дегенеративного заболевания суставов кранио-вертебрального сочленения
Добавил пользователь Евгений Кузнецов Обновлено: 18.12.2025
Краниовертебральный переход представляет собой область сочленения позвоночника и затылочной кости черепа. Из-за анатомических особенностей, здесь часто возникают дегенеративно-дистрофические заболевания, воспалительные процессы, которые требуют лечения. МРТ краниовертебрального перехода — это безальтернативный метод быстрой, бесконтактной визуализации местных тканей. Назначается в рамках первичной диагностики или для целей верификации, подтверждения патологического процесса.
Методика позволяет визуализировать разные анатомические структуры:
- Кости черепа, позвонки шейного отдела.
- Мышцы.
- Локальный связочный аппарат.
- Сосуды.
- Мозговые структуры.
- Спинной мозг.
МРТ краниовертебрального перехода не создает лучевой нагрузки на организм, не доставляет дискомфорта, не причиняет боли. Потому процедуру можно проводить неоднократно, так часто, как того требует клиническая ситуация. Возрастных ограничений также нет. Методика полностью безопасна.
Заболевания краниовертебрального перехода
Что показывает МРТ краниовертебрального перехода, зависит от конкретного клинического случая. Методика позволяет визуализировать ткани этой анатомической области. В том числе:
Часть затылочной кости. Основание черепа.
Первые позвонки шейного отдела позвоночника.

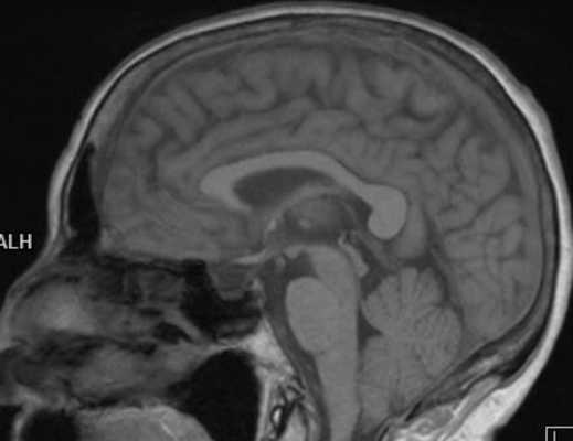
МРТ головного мозга в сагиттальной плоскости. Миндалины мозжечка пролабируют в большое затылочное отверстие (аномалия Арнольда-Киари). Спинной мозг обычной формы и размеров, контуры его ровные, четкие. Структура спинного мозга неоднородная за счет наличия на уровне тел С1-С3 позвонков в зоне сканирования в области центрального канала кистозного включения (сирингогидромиелическая киста). Признаков перифокального отека вещества спинного мозга не выявлено.
По результатам процедуры, можно обнаружить аномалии развития, патологии костно-мышечных структур, сосудов, нервных тканей. Вот лишь некоторые возможные заболевания и изменения:
- Платибазия. Изменение анатомической структуры черепа, уплощение его основания. Может быть врожденной аномалией или приобретенным патологическим процессом, осложнением рахита, остеопороза и прочих состояний.
- Базилярная импрессия. Частая разновидность патологического процесса. Характеризуется выпиранием части второго позвонка шейного отдела, сдавливанием нервных тканей, сосудов. Процесс сопровождается болями, головокружением, прочими неврологическими симптомами.
- Смещения позвонков. В результате травмы или особенностей развития организма пациента.
- Вывихи. Развиваются как итог механического воздействия, резкого изменения положения шеи и головы.
- В данной области встречаются и переломы. Нарушение анатомической целостности костных структур нужно визуализировать как можно быстрее, поскольку возможны осложнения. Медлить с лечением нельзя.
- Аномалия Арнольда-Киари. Изменение нормального анатомического положения продолговатого мозга и мозжечка. Врожденный патологический процесс, порок развития. Снимки краниовертебральной зоны позволяют оценить тяжесть расстройства, спланировать лечение.
- Подвывихи.
- Сращение позвонков.
- Нарушения со стороны мягких тканей, повреждения и аномалии сосудов, спинного мозга.
МРТ показывает полную картину анатомической области, позволяет быстро оценить состояние.

МРТ краниовертебрального перехода. Краниовертебральный угол уменьшен до 125 гр. Угол Богарта увеличен до 127 гр. Зубовидный отросток С2 позвонка расположен на уровне линии Чемберлена. Признаки диспластических изменений краниовертебрального перехода — платибазия.
МРТ краниовертебрального перехода, как делают?
При обследовании церебральных структур, области краниовертебрального перехода важна мощность аппарата. Исследование проводится на высокопольных томографах закрытого типа, мощностью 1.5 Тл. Такой аппарат может выявить патологические изменения на самых ранних стадиях, когда симптомы только-только появляются.
Процедура проходит без дискомфорта и неприятных ощущений:
- Пациент прибывает в медицинское учреждение в оговоренное время.
- Проходит в кабинет, оставляет все металлические предметы, электронику, банковские карты в специально отведенном для этого хранилище.
- Обследуемый ложится на специальный стол, кушетку.
- Ассистент врача фиксирует голову, надевает наушники, чтобы громкий шум аппарата не создавал дискомфорта.
- В течение 10-20 минут рекомендовано лежать неподвижно. Все движения приводят к тому, что изображения искажаются, качество изображений ухудшается. Если требуется более тщательная визуализация, время обследования пропорционально увеличивают.
На этом диагностика заканчивается. Еще спустя 20-30 минут человек получает результаты на руки. В том числе протокол обследования, заключение рентгенолога, снимки в напечатанном или оцифрованном формате.
Показания и противопоказания к МРТ краниовертебрального перехода
Основания для МРТ краниовертебрального перехода — это локальные аномалии костно-мышечных структур, нервных тканей. Все возможные симптомы, которые указывают на предположительный патологический процесс. Среди конкретных показаний:
- Регулярные головные боли. Возможны при компрессии местных сосудов, нервных тканей. Явно указывают на расстройства.
- Головокружения. Нарушения ориентации в пространстве, координации движений. Результат поражения мозжечка, который близко расположен.
- Тошнота, рвота без видимой причины.
- Аномальная метеочувствительность. Вегетативные расстройства, связанные с переменой погоды, климатических условий.
- Приступы болевых ощущений в шейной области, затылке. Возможны воспалительные, дистрофические, дегенеративные расстройства, которые лучше всего лечатся на ранних стадиях и без коррекции создают риски.
- Нарушения слуха. Звон и шум в ушах, расстройства восприятия шумовых раздражителей.
- Нистагм. Быстрое непроизвольное движение глаз в разные стороны. Явный признак поражения нервной системы.
- Обмороки. Нарушения сознания, особенно повторяющегося характера. Свидетельствуют в пользу нарастающих явлений ишемии, гипоксии.
- Ишемические атаки. Преходящие нарушения церебрального кровотока. Связаны с недостаточным снабжением головного мозга. Встречаются при поражении шейного отдела позвоночника, позвоночных артерий.
- Атаксия: нарушения координации движений, связанное с поражением вестибулярного аппарата, экстрапирамидной системы.
- Расстройства зрительного восприятия при резких поворотах головы. Мерцание мушек, простейшие зрительные галлюцинации в виде точек (фотопсии), геометрических фигур, линий.
- Подозрительные результаты прочих диагностических мероприятий. Имеет смысл уточнить состояние пациента. Подтвердить или опровергнуть предполагаемый диагноз.
- Подготовка к лечению. В том числе оперативному. Нужно уточнить характер патологического процесса, точную локализацию нарушения.
- Оценка качества проведенной терапии. В рамках исследования динамики расстройства.
Перечень показаний примерный. В некоторых случаях, МРТ краниовертебрального перехода назначают при явных признаках врожденных аномалий у детей младшего возраста. На нарушения указывает группа признаков:
- Неправильный прикус.
- Нарушения подвижности головы и шеи.
- Заметные деформации.
Показания к магнитно-резонансной томографии касаются предположительных патологий шейного отдела позвоночника, головного мозга и нервных структур.
Противопоказания к магнитно-резонансной томографии малочисленны. МРТ полностью безопасная методика. Процедуру можно рекомендовать, в том числе и детям, поскольку нет рентгеновского излучения. Все же основания для отказа есть. Среди таковых:
- Беременность. На любом сроке. Есть исключение. Томографию шейного отдела позвоночника, краниовертебрального перехода можно пройти, если на это есть разрешение акушера-гинеколога.
- Масса тела свыше 130-150 кг. По объективным причинам. Есть вероятность, что томограф окажется мал для пациента.
- Проведению краниовертебрального исследования препятствует фобия замкнутого пространства. При условии, что используется аппарат закрытого типа.
- Наличие металлических компонентов в организме пациента.
- Установленный кардиостимулятор.
- Невозможность лежать неподвижно на протяжении всего периода обследования. Если двигаться, снимки будут смазанными, нечеткими. Образуются т. н. артефакты, которые снизят качество изображений. Потому метод не годится для пациентов в острых психозах, с выраженными гиперкинезами. По крайней мере, до момента, пока состояние не нормализуется.
Большая часть противопоказаний — это относительные факторы. Как только положение приходит в норму, можно провести и само обследование.
Подготовка к МРТ краниовертебрального перехода
Специальная подготовка к МРТ не требуется. Достаточно прибыть в клинику к назначенному времени.
Расшифровка МРТ головного мозга с краниовертебральным переходом
Расшифровкой результатом томографии занимается врач-рентгенолог. Он подробно описывает все изменения, выдает свое заключение. Снимки повторно смотрит лечащий специалист, делает выводы и ставит диагноз с учетом заключения врача-рентгенолога. По необходимости назначает дополнительные обследования.

МРТ шейного отдела позвоночника в сагиттальной плоскости. Имеется смещение тела С7 позвонка кпереди относительно тела Th1 позвонка. Тело С7 позвонка без признаков отека костного мозга. Отмечается компрессионный перелом тела Th1 позвонка, преимущественно за счет неровности передне-верхней замыкающей пластинки. Спинной мозг однородной структуры.
МРТ краниовертебрального перехода — это безопасный и эффективный метод диагностики заболеваний позвоночника, нервных структур, сосудов, головного мозга.
МРТ краниовертебрального перехода что показывает
Краниовертебральный переход − это место соединения черепа с шейным отделом позвоночника. МРТ краниовертебрального перехода делают с целью изучения всех его структур:
- костей;
- суставов;
- связок;
- сосудов;
- мышц и жировой клетчатки;
- спинного и продолговатого мозга, мозжечка.

Область краниовертебрального перехода: C1 − первый шейный позвонок (атлант), C2 − второй шейный позвонок (аксис).
Кости, относящиеся к данной анатомической области:
- затылочная;
- первый шейный позвонок (атлант);
- второй шейный позвонок (аксис).
Атланто-затылочный сустав является бездисковым и обеспечивает кивательные и незначительные боковые движения головы.
Соединение атланта и аксиса формируется тремя мелкими бездисковыми суставами и дает возможность совершать вращательные движения головой. Стабилизируют эти сочленения связки и мышцы. Внутри позвонков расположен костный канал, в котором проходит сосудисто-нервный пучок.
Патологии этой области имеют очень разнообразные симптомы, а внедрение МРТ-диагностики позволяет четко определить причину проблемы. Данный метод − единственный способ четко визуализировать связочный аппарат.
Аномалии краниовертебрального перехода
Врожденные появляются при воздействии на плод в период его развития неблагоприятных факторов или генетических отклонений.
Приобретенные могут появиться в результате:
- травм (иногда родовых);
- аутоиммунных процессов (ревматоидный артрит, болезнь Бехтерева);
- дегенеративных заболеваний (остеопороз, артроз);
- инфекционных заболеваний (остеомиелит, туберкулез);
- опухолей и метастазов.

Опухоль краниовертебральной области (обозначена стрелкой)
Платибазия
Достаточно частая аномалия, характеризующаяся уплощением основания черепа. Может быть врожденной или приобретенной в результате рахита, остеопороза, длительной внутричерепной гипертензии в раннем возрасте и других причин.
Платибазия I и II степени определяется только на МРТ и может не иметь клинических проявлений. При III степени уменьшается объем задней черепной ямки и появляются неврологические симптомы:
- распирающие головные боли;
- тошнота, рвота;
- боль в глазных яблоках;
- колебания артериального давления;
- приливы жара и холода.
Базилярная импрессия
Часто сочетается с платибазией. Это выпячивание зубовидного отростка аксиса в большое затылочное отверстие, что приводит к сдавлению нервов, сосудов, нарушению оттока спинномозговой жидкости. Проявляться может только к 15 − 25 годам.
Ее клинические проявления:
- онемение конечностей, нарушение координации;
- затруднение глотания;
- боль в шее и затылке, особенно при поворотах головы;
- глазодвигательные нарушения;
- изменение чувствительности кожи лица;
- снижение слуха;
- осиплость голоса.
Данная аномалия бывает как врожденной, так и приобретенной на фоне таких заболеваний, как остеопороз, болезнь Педжета, остеомиелит, гиперпаратиреоз, опухоли.

На МРТ краниовертебрального перехода − платибазия и базилярная импрессия при несовершенном остеогенезе
Ассимиляция атланта
Врожденная аномалия − сращение первого шейного позвонка с затылочной костью. Это может приводить к компрессии спинного мозга и ущемлению продолговатого мозга. Кроме того, данное состояние приводит к развитию патологической подвижности в нижней части шейного отдела позвоночника и перегрузке межпозвонковых дисков, вызывая их дегенерацию.
Для данного заболевания характерно длительное бессимптомное течение и манифестация в зрелом возрасте, когда снижаются компенсаторные возможности нервной ткани. Наиболее частые проявления ассимиляции атланта:
- скачки артериального давления;
- нарушения сна;
- приступы головной боли;
- гипертонус мышц шеи;
- расстройства речи, осиплость голоса;
- тошнота, потливость, тахикардия;
- затруднение глотания, поперхивание во время еды;
- тугоухость, головокружение.
У детей эта аномалия обычно диагностируется не ранее 9 − 10 лет.
МРТ-диагностика позволяет дифференцировать ассимиляцию атланта от рассеянного склероза, остеохондроза, арахноидита, абсцесса и опухоли.
Атланто-аксиальная дислокация
Это нарушение соотношения между первым и вторым шейным позвонками. Чаще всего − это смещение атланта вперед по отношению к аксису.
Не является самостоятельным заболеванием, а появляется как следствие травм и некоторых патологий (ревматоидное поражение, несовершенный остеогенез, болезнь Марфана, травмы).
На КТ и рентгенографии за счет наложения других костных структур (сосцевидный отросток, нижняя челюсть) диагностика может быть неверной, поэтому вывихи часто диагностируют спустя несколько лет после травмы. За это время позвонки жестко фиксируются в неправильном положении, что делает невозможным их безоперационное вправление.
Для выбора тактики лечения важна следующая классификация:
- Нестабильная (вывих атланта).
- Стабильная (застарелый вывих):
- без компрессии спинного мозга;
- с компрессией спинного мозга.
При данной патологии принципиально важно оценить состояние связочного аппарата, что позволяет сделать только магнитно-резонансная томография.
Аномалия Арнольда-Киари
Это врожденный порок развития, при котором мозжечок и продолговатый мозг расположены атипично (в позвоночном канале).
До появления метода МРТ диагностика данной патологии вызывала большие затруднения, так как другие способы лучевой диагностики не дают четкой визуализации этих структур. В 80% случаев аномалия Арнольда-Киари сочетается с сирингомиелией (множественные кисты в спинном мозге), которая тоже диагностируется только на МРТ.
МРТ краниовертебрального перехода, как делают
Во время процедуры пациент лежит на кушетке, расположенной внутри магнитного контура. Для получения качественных снимков необходимо сохранять неподвижное положение тела. Контакт с врачом поддерживается по специальной аудиосвязи. Томография длится около 15 минут и переносится очень комфортно. Перед процедурой нужно будет снять все металлические украшения и детали одежды, выложить банковские и другие магнитные карты. После окончания сканирования врач делает описание снимков в течение 20 минут, а получить результаты можно в любом удобном формате.
Показания и противопоказания к МРТ краниовертебрального перехода
Жалобы пациентов, имеющих патологию этой области могут быть очень разнообразны. В некоторых случаях возможно бессимптомное течение, клинические признаки могут проявиться в зрелом возрасте после травмы или инфекционного заболевания, сопровождающегося сильным кашлем.
У детей можно предположить краниовертебральную аномалию при наличии:
- неправильной посадки головы;
- ограничении подвижности в шейном отделе позвоночника;
- врожденной кривошеи;
- низкой границе роста волос на затылке;
- неправильного прикуса;
- стридора (свистящего шумного дыхания) или других дыхательных расстройств.
Симптомы, при которых необходимо проведение МРТ краниовертебральной области у лиц любого возраста:
- приступообразные боли в шейно-затылочной области;
- атаксия − нарушение точности и ловкости движений при сохранении мышечной силы, отсутствие равновесия в положении стоя и при ходьбе;
- ухудшение слуха, головокружения;
- нарушения в работе глазодвигательных мышц, нистагм (неконтролируемые колебательные движения глазных яблок);
- повторные обмороки;
- транзиторные ишемические атаки;
- нарушение зрения при поворотах головы.
Не распознанные вовремя аномалии краниовертебральной зоны могут создавать высокий риск серьезных осложнений при любой легкой травме. В данном случае ранняя диагностика помогает избежать фатальных последствий.
Противопоказанием для проведения МРТ-диагностики являются:
- наличие ферромагнитных металлов в теле пациента;
- установленные кардиостимуляторы, инсулиновые помпы, слуховые импланты и сосудистые клипсы на артериях мозга;
- беременность в первом триместре;
- невозможность сохранять неподвижное положение в замкнутом пространстве в течение 15 минут;
- вес пациента более 130 кг.
Подготовка к МРТ краниовертебрального перехода
Нет необходимости проведения какой-либо особой подготовки. Непосредственно перед процедурой необходимо сообщить врачу существовании имплантов или инородных тел, предоставить результаты ранее проведенных исследований (при их наличии).
Расшифровка МРТ головного мозга с краниовертебральным переходом
Магнитно-резонансное обследование позволяет определить, есть ли компрессия ствола мозга и области его перехода в спинной мозг. В норме отверстие затылочной кости имеет достаточный диаметр для правильного положения сосудисто-нервных образований и свободной циркуляции спинномозговой жидкости.
При патологиях этой зоны возможно сужение спинномозгового канала, перегибы ствола мозга, приводящие к нарушению кровообращения и оттока спинномозговой жидкости.
После проведения процедуры сканирования, врач подробно описывает все анатомические структуры и обнаруженные отклонения. Получить снимки и заключение можно в любом удобном формате.
МРТ краниовертебрального перехода − наиболее надежная и безопасная диагностика при подозрении на патологию данной области.
Лучевая диагностика дегенеративного заболевания суставов кранио-вертебрального сочленения
Рентгенограмма, КТ дегенеративных изменений краниовертебрального сочленения
а) Терминология:
• Поражение суставов КВС, связанное с повреждением хряща
б) Визуализация дегенеративного поражения краниовертебрального сочленения:
• Латеральные атлантоаксиальные суставы > атлантозубовидный сустав > атлантозатылочные суставы:
о Поражение латерального атлантоаксиального сустава обычно одностороннее
• Сужение суставной щели, субхондральный склероз, остеофиты
• Различной выраженности коллапс боковых масс
• Недостаточность связочного аппарата + гипертрофия связок
• Остеохондральные тела (косточки)
• Дегенеративный паннус:
о Различные изменения МР-сигнала субхондральных тканей
• Протокол исследования:
о Оптимальным скрининговым методом является рентгенография через открытый рот
о КТ используется как наиболее информативный метод предоперационного планирования
о Для оценки стабильности позвоночника используется рентгенография в боковой проекции или КТ в положении сгибания/разгибания
(Слева) На рентгенограмме зубовидного отростка в прямой проекции через открытый рот видны признаки остеоартроза (ОА) правого атлантоаксиального сустава в виде выраженного сужения суставной щели и формирования крупного остеофита. Обратите внимание, что суставная щель сужена неравномерно, в большей степени выражено сужение в наружном отделе сустава. Сравните этот сустав с противоположным нормальным сочленением.
(Справа) КТ, аксиальный срез: признаки выраженного дегенеративного поражения атлантодентального сочленения в виде сужения суставной щели, формирования небольших субхондральных кист, склероза и остеофитов. Также видны гипертрофические костные изменения на фоне ОА атлантоаксиального сустава. (Слева) КТ, фронтальный срез: случай выраженного дегенеративного поражения атлантоаксиальных сочленений. Поражены оба атлантоаксиальных сочленения, однако поражение это асимметрично (слева > справа). Значительные в размерах остеофиты (слева) видны как со стороны медиального, так и латерального края сустава.
(Справа) КТ, сагиттальный срез: случай тяжелою дегенеративного поражения латерального атлантоаксиального сочленения. Суставная щель его значительно сужена, имеет место выраженный склероз, изменение формы суставных поверхностей и формирование остеофитов. Обратите внимание на снижение высоты боковой массы атланта.
в) Дифференциальная диагностика:
• Ревматоидный артрит:
о Двустороннее симметричное поражение
о Остеопения, эрозии
о Отсутствие субхондрального склероза, остеофитов
• Пирофосфатная артропатия:
о Атлантозубовидный сустав
о Выраженная минерализация
г) Клинические особенности:
• Ж>М
• Увеличение заболеваемости с возрастом
• Боль: в затылочной области, шейно-затылочной области, односторонняя:
о Головная боль
о Локальная болезненность ± крепитация
• Ограничение движений шеи, особенно ротации
• Миелопатия: нередко сопровождает подвывихи позвонков либо развивается на фоне объемного воздействия гипертрофированных связок и синовиальных оболочек
а) Терминология:
1. Аббревиатура:
• Дегенеративное заболевание сустава (ДЗС)
2. Синонимы:
• Остеоартроз (ОА)
• Остеоартрит:
о Некорректный термин; ОА не является воспалительным процессом
3. Определение:
• Патология суставов, обусловленная повреждением хряща
б) Визуализация:
1. Общая характеристика:
• Лучший диагностический критерий:
о Сужение суставного пространства, субхондральный склероз, остеофиты
• Локализация:
о Преимущественно срединный атланто-аксиальный сустав:
- Поражение изолированное или сочетается с ОА боковых атланто-аксиальных суставов
о Поражение боковых атланто-аксиальных суставов нетипично:
- Обычно одностороннее:
Асимметричный двухсторонний ОА встречается реже
Двухстороннее поражение (вторичный ОА, часто на фоне травмы и ее последствий)
о Атланто-затылочные суставы поражаются наиболее редко

(Слева) На корональной МРТ (Т1 ВИ) определяются признаки ОА бокового атланто-аксиального сустава в виде сужения суставного пространства и наличия остеофитов. Определяется распространенный сигнал низкой интенсив ности в субхондральной кости со стороны обоих компонентов сустава.
(Справа) На сагиттальной MPT (Т2 ВИ) определяются признаки поздней стадии ОА бокового атланто-аксиальною сустава в виде сужения суставного пространства и остеофитов у края сустава. Определяется распространенный сигнал, напоминающий отек, смешанный с очаговым сигналом низкой интенсивности в субхондральной кости.
2. Рентгенография при дегенеративном заболевании суставов кранио-вертебрального сочленения:
• Сужение суставного пространства
• Субхондральный склероз
• Остеофиты
• Значительное разрушение хряща и ослабление субхондральной кости может привести к коллапсу боковой массы:
о Снижение высоты боковой массы приводит к инвагинации шейных позвонков в полость черепа
• Могут присутствовать субхондральные кисты различного размера: о Большие кисты зубовидного отростка увеличивают риск перелома
• Типичны сопутствующие дегенеративные изменения ниже осевого позвонка
3. КТ при дегенеративном заболевании суставов кранио-вертебрального сочленения:
• Отражает изменения на рентгенограммах и обеспечивает лучшую детализацию
• Лучше визуализируются костно-хрящевые тела:
о Размер варьирует
о Обнаруживаются в карманах на периферии сустава
• Обызвествления поперечной связки лучше всего видны на КТ:
о Типичный признак ОА
о Неспецифический
4. МРТ при дегенеративном заболевании суставов кранио-вертебрального сочленения:
• Наиболее применимый метод для исключения другой патологии и оценки состояния спинного мозга
• Вариабельные изменения сигнала в субхондральной кости:
о Напоминающие отек:
- Снижение интенсивности сигнала на Т1 ВИ
- Повышение интенсивности сигнала на последовательностях, чувствительных к жидкости
о Склероз/фиброз:
- Снижение интенсивности сигнала на Т1 ВИ и на последовательностях, чувствительных к жидкости
о Возможен смешанный сигнал в субхондральной кости
• Гипертрофия связок и капсулы
• Слабость связок вследствие коллапса боковых масс
• Костно-хрящевые тельца
• Дегенеративный паннус (гипертрофия синовальной оболочки):
о Опухолеподобная картина
о Изоинтенсивный сигнал на Т1 ВИ
о Сигнал от изо- до гиперинтенсивного на Т2 ВИ
о Кистозные очаги гипоинтенсивны на Т1 ВИ и гиперинтенсивны на Т2 ВИ
о Объемное воздействие со сдавлением спинного мозга
5. Сцинтиграфия:
• Осгеосцинтиграфия:
о Одностороннее очаговое накопление:
- Даже при использовании ОФЭКТ может потребоваться КТ для дифференциальной диагностики атланто-затылочного и атланто-аксиального поражения
6. Внутрисуставные инъекции С1-С2:
• Диагностические или терапевтические
• Под контролем рентгеноскопии или КТ
• Заднебоковой доступ позволяет избежать повреждения позвоночных артерий
• Возможно затемнение в проекции контралатерального сустава
7. Рекомендации по визуализации:
• Лучший метод визуализации:
о Рентгенография С2 через открытый рот: лучший скрининговый метод
о КТ оптимальна для предоперационной оценки:
- КТ с корональными и сагиттальными реконструкциями позволяет добиться наилучшей визуализации
о Сгибательные/разгибательные боковые рентгенограммы и КТ могут использоваться для оценки стабильности
(Слева) На сагиттальной реформатированной КТ в костном окне определяется уменьшение атланто-дентального расстояния в сочетании с остеофитами на вершине. Отсутствие минерализации и наличие остеофитов позволяет исключить болезнь накопления пирофосфата кальция.
(Справа) На сагиттальной МРТ (Т1 ВИ) по средней линии визуализируется большая костная структура над телом С1, предаавляющая собой крупный остеофит у края осевого сустава. Распространенный сигнал низкой интенсивности в зубовидном отростке - нетипичная находка.
в) Дифференциальная диагностика дегенеративного заболевания суставов кранио-вертебрального сочленения:
1. Ревматоидный артрит у взрослых людей:
• Двухстороннее симметричное распределение
• Остеопения: ключевой признак:
о Околосуставная или генерализованная
• Часто присутствуют эрозии
• Нет субхондрального склероза, остеофитов, свободных тел:
о Дегенеративные изменения могут обнаруживаться при неактивном ревматоидном артрите с развитием вторичного ОА
• Ожидаемое поражение других суставов:
о Чаще всего суставов кистей и стоп
о Совет: ищите поражение височно-нижнечелюстных суставов на рентгенограммах шейного отдела позвоночника
2. Болезнь накопления кальция пирофосфата:
• Осевой сустав поражается чаще, чем боковые атланто-аксиальные суставы
• Распространенная минерализация в суставе или рядом с ним:
о Аморфные минеральные включения в суставе
о Кальцинаты в поперечной связке и суставной капсуле
• Псевдоопухоль (частая находка) может имитировать паннус
• Субкортикальные кисты, особенно зубовидного отростка, многочисленнее, чем в случае ОА, и могут быть намного больше
• Ограниченное формирование остеофитов
3. Псевдоопухоль:
• МР-картина напоминает паннус
• КТ помогает в дифференциальной диагностике; нет сужения суставного пространства, субхондрального склероза, остеофитов
• Может являться изолированным проявлением болезни накопления пирофосфата кальция
(Слева) На сагиттальной МРТ (Т2 ВИ) неотчетливо визуализируются тело С1 и остеофит. Определяется утолщение поперечной связки и гипертрофия синовиальной оболочки, что приводит к легкому объемному воздействию.
(Справа) На корональной реформатированной КТ в костном окне определяются признаки двухстороннего симметричного ОА боковых атланто-аксиальных суставов (нетипичная картина). В этом случае изменения, вероятно, обусловлены повышением нагрузки на суставы вследствие перелома зубовидного отростка без сращения. Определяются также признаки легкого ОА атланто-затылочных суставов.
г) Патология. Общая характеристика:
• Уменьшение количества протеогликанов и коллагена в хряще приводит к снижению его амортизирующей способности
• Продолжающееся ослабление ведет к повреждению хряща, генерализованному истончению, трещинам, появлению дефектов, захватывающих хрящ частично или на всю толщину:
о Изменения обычно не обнаруживаются напрямую на изображениях:
- Сужение суставного пространства-сопутствующая лучевая находка
- Тонкий хрящ данных суставов не допускает прямую оценку
о Изначально обнаруживается отек и разволокнение; могут определяться признаки восстановления хрящевой ткани
о Дефектные участки суставного хряща часто заполнены фиброзно-хрящевой тканью
• Потеря хряща приводит к снижению амортизационной способности и повышению нагрузки на субхондральную кость
• Реакция субхондральной кости на нагрузку: гиперваскуляризация, микроскопические переломы трабекул, формирование новой костной ткани:
о Гиперваскуляризация: изменения на МРТ, напоминающие отек
о Вновь сформированная костная ткань выглядит как субхондральный склероз
о Микроскопические переломы трабекул приводят к коллапсу кости
о Могут обнаруживаться аваскулярные костные очаги
• У края сустава гиперваскуляризация способствует избыточному разрастанию хряща, а затем костной ткани с формированием остеофитов
д) Клинические особенности:
1. Проявления:
• Типичные признаки/симптомы: о Боль:
- Односторонняя (на стороне поражения)
- С иррадиацией в затылок или шейно-затылочную область
- Болезненность при надавливании
- Крепитация
- Головная боль, особенно в заушной области
• Другие признаки/симптомы:
о Лимитация подвижности шейного отдела позвоночника, особенно ротации:
- Ограничение бокового сгибания в результате сопутствующего поражения ниже уровня осевого позвонка
о Миелопатия:
- Вследствие подвывиха в суставе или объемного воздействия срединного атланто-аксиального паннуса
2. Демография:
• Возраст:
о Заболеваемость повышается с возрастом:
- Шестое десятилетие: 5,4%
- Девятое десятилетие: 18,2%
• Пол:
о Ж>М
3. Течение и прогноз:
• Сочетается с ОА другой локализации:
о Чаще всего с ОА шейного отдела позвоночника ниже уровня осевого позвонка, поясничного отдела позвоночника, тазобедренных, коленных суставов
4. Лечение:
• Обычно консервативное:
о Нестероидные противовоспалительные препараты
о Мягкий воротник
• Инъекции стероидов с диагностической и терапевтической целью:
о Диагностика: подтверждение источника боли в суставе
о Лечение: облегчение симптомов от нескольких недель до месяцев
• Хирургическое лечение (слияние) при подвывихе и неврологической симптоматике
• Операция (декомпрессия и слияние) при наличии симптомов миелопатии, обусловленной паннусом:
о Со временем слияние даже в отсутствие других методов лечения может приводить к регрессу паннуса
о Декомпрессия обычно выполняется трансоральным доступом, слияние-задним
е) Диагностическая памятка. Следует учесть:
• Предполагайте ОА у пожилых пациентов с необъяснимой головной болью, особенно в заушной, затылочной, шейно-затылочной области
Лучевая диагностика дегенеративных изменений краниовертебрального сочленения
а) Терминология:
1. Сокращения:
• Дегенеративное поражение сустава (ДПС)
2. Синонимы:
• Остеоартроз (ОА)
• Остеоартрит:
о Термин выходит из обращения, поскольку ОА не является воспалительным процессом
3. Определения:
• Поражение сустава, связанное с повреждением суставного хряща
1. Общие характеристики дегенеративного поражения краниовертебрального сочленения:
• Наиболее значимый диагностический признак:
о Сужение суставной щели, субхондральный склероз, остеофиты
• Локализация:
о Наиболее часто - центральный атлантозубовидный сустав
- Может поражаться изолированно либо сопровождаться поражением латеральных атлантоаксиальных сочленений
о Поражение латеральных атлантоаксиальных сочленений встречается относительно нечасто:
- Поражение этих суставов обычно одностороннее:
Асимметричный двусторонний ОА встречается менее часто
Двустороннее поражение может быть вторичным, нередко вследствие травмы или ее последствий
о Поражение атлантозатылочных суставов встречается наименее часто
2. Рентгенологические данные дегенеративного поражения краниовертебрального сочленения:
• Сужение суставной щели
• Субхондральный склероз
• Остеофиты
• Выраженное поражение суставного хряща и изнашивание субхондральной кости может привести к коллапсу латеральных масс позвонка:
о Снижение высоты латеральных масс приводит к проседанию черепа
• Могут наблюдаться различных размеров субхондральные кисты:
о Крупные кисты зубовидного отростка увеличивают риск развития перелома
• Нередко наблюдаются сочетанные дегенеративные изменения и субаксиальных сегментов шейного отдела позвоночника
3. КТ при дегенеративном поражении краниовертебрального сочленения:
• Аналогичны рентгенологическим изменениям с тем лишь дополнением, что КТ позволяет более детально оценить имеющиеся изменения
• Лучше позволяет визуализировать свободные остеохондральные суставные тела (мыши):
о Различных размеров
о Обнаруживаются в заворотах суставной сумки по периферии суставов
• КТ является наиболее информативным методом визуализации оссификации поперечной связки атланта
о Нередкая находка при ОА
о Является неспецифичным признаком
4. МРТ при дегенеративном поражении краниовертебрального сочленения:
• МРТ наиболее информативна для исключения других причин развития наблюдаемых изменений и оценки состояния спинного мозга
• Вариабельные изменения сигнала субхондральной кости:
о Напоминающие отек костного мозга:
- Снижение интенсивности сигнала в Т1 -режиме
- Усиление интенсивности сигнала в режимах исследования, чувствительных к жидкостному компоненту
о Склероз/фиброз:
- Снижение интенсивности сигнала в Т1-режиме и режимах исследования, чувствительных к жидкостному компоненту
о Смешанные характеристики сигнала субхондральной кости
• Гипертрофия капсульно-связочного аппарата
• Недостаточность связочного аппарата вследствие коллапса боковых масс
• Остеохондральные суставные тела (мыши)
• Дегенеративный паннус (гипертрофированная синовиальная оболочка):
о Напоминает опухоль
о Изоинтенсивный сигнал в Т1 -режиме о Изо- или гипоинтенсивный сигнал в Т2-режиме
о Гипоинтенсивные в Т1 - и гиперинтенсивные в Т2-режиме кистозные очаги
о Объемное воздействие, приводящее к компрессии спинного мозга
4. Радиоизотопные исследования:
• Костная сцинтиграфия:
о Фокальное одностороннее усиление захвата изотопа:
- Даже при наличии ОФЭКТ с целью дифференциальной диагностики поражения атлантозатылочных и атлантоаксиальных сочленений может быть показана КТ
5. Блокада атлантоаксиального сочленения:
• Диагностическая и лечебная
• Под флюороскопическим или КТ-контролем
• Использование задне-наружного доступа во избежание повреждения позвоночных артерий
• В противоположный сустав возможно введение контраста
6. Рекомендации по визуализации:
• Наиболее оптимальный метод диагностики:
о Наиболее информативным скрининговым методом является рентгенография в прямой проекции через открытый рот
о КТ считается наиболее оптимальным методом предоперационного планирования:
- Наиболее информативными являются фронтальные и сагиттальные КТ-реконструкции
о Для оценки стабильности КВС используется рентгенография в боковой проекции или КТ в положении сгибания/разгибания

(Слева) Т1-ВИ, фронтальная проекция: хорошо видны признаки ОА латерального атлантоаксиального сустава. Суставная щель его сужена и выглядит несколько удлиненной на фоне имеющихся остеофитов. Сигнал субхондральной кости обеих суставных поверхностей снижен.
(Справа) Т2-ВИ, сагиттальный срез: картина выраженного дегенеративного поражения латерального атлантоаксиального сустава. Суставная щель его сужена. По краям суставных поверхностей видны остеофиты, костная ткань характеризуется усилением сигнала, напоминающим отек, вперемешку с субхондральными фокусами низкого сигнала.
в) Дифференциальная диагностика дегенеративного поражения краниовертебрального сочленения:
1. Ревматоидный артрит (РА) взрослых:
• Двустороннее и симметричное поражение
• Ключевой особенностью является остеопения:
о Периартикулярная и/или генерализованная
• Часто встречаются костные эрозии
• Отсутствие субхондрального склероза, остеофитов, суставных тел:
о Дегенеративные изменения могут наблюдаться при отсутствии активности ревматоидного процесса и являются вторичными
• Поражение других суставов:
о Наиболее часто - поражение суставов кистей и стоп
о На рентгенограммах шейного отдела позвоночника обращайте внимание на признаки поражения височно-нижнечелюстных суставов
2. Пирофосфатная артропатия (ПА):
• Атлантодентальный сустав поражается значительно чаще атлантоаксиальных суставов
• Выраженная минерализация внутри- и околосуставных тканей:
о Пятнистые аморфные кристаллические массы в полости сустава
о Кальцификация поперечной связки атланта и капсулы суставов
• Частой находкой является псевдоопухоль, которая может напоминать дегенеративный паннус
• Субкортикальные кисты, особенно в области зубовидного отростка, встречаются в большем количестве, чем при ОА, и значительно большего размера
• Остеофиты также могут формироваться, но в ограниченном объеме
3. Псевдоопухоль:
• МР-картина напоминает паннус
• С целью дифференциальной диагностики используется КТ:
о Отсутствие сужения суставной щели, субхондрального склероза и остеофитов
• Может быть единственным проявлением ПА
г) Патология. Общие характеристики:
• Снижение содержания в хрящевой ткани протеогликанов и коллагена приводит к ухудшению амортизационных свойств хряща
• Постоянные нагрузки приводят к повреждению хряща, выражающемуся в его истончении, появлении трещин и частичных или полнослойных дефектов:
о Изменения эти обычно напрямую не обнаруживаются доступными методами лучевой диагностики:
- Характерной находкой является сужение суставной щели
- Суставной хрящ этих суставов обычно изначально достаточно тонкий, что не позволяет напрямую оценивать его изменения
о На начальных стадиях отмечается отек и волокнистая перестройка хряща, могут быть признаки текущих репаративных процессов
о Дефекты суставного хряща часто замещаются волокнистым хрящом
• Потеря суставного хряща приводит к ухудшению амортизационных свойств суставной поверхности и увеличению нагрузки на подлежащую субхондральную кость
• В ответ на это в субхондральной кости формируются новые сосуды, развиваются микропереломы и начинается новообразование костной ткани:
о Сосудистая реакция обусловливает появление МР-картины, напоминающей отечные изменения
о Новообразование кости приводит к субхондральному склерозу
о Микропереломы становятся причиной коллапса костной ткани
о Могут наблюдаться участки аваскулярного некроза кости
• По краям суставных поверхностей сосудистая реакция приводит к избыточному росту хрящевой ткани, которая трансформируется в костную и в конечном итоге формирует краевые остеофиты

(Слева) КТ, сагиттальный срез: сужение атлантодентального интервала, сопровождающееся формированием остеофита на вершине зубовидного отростка. Отсутствие минерализации мягких тканей и наличие остеофитов позволяет исключить в качестве причины наблюдаемых изменений ПА.
(Справа) Т1-ВИ, сагиттальная проекция: достаточно крупное костное образование, расположенное выше тела С1. Это образование представляет собой крупный остеофит, расположенный у края срединного атлантоаксиального сочленения. Распространенное снижение интенсивности сигнала костного мозга в области зубовидного отростка представляет собой зону отека.
1. Клиническая картина дегенеративного поражения краниовертебрального сочленения:
• Наиболее распространенные симптомы/признаки:
о Боль:
- Односторонняя, соответствующая стороне поражения
- Иррадиация боли в затылочную или подзатылочную область
- Локальная болезненность
- Крепитация
- Возможна головная боль, особенно заушной локализации о Внутрикостные дегенеративные кисты зубовидного отростка и ретродентальный синовит (псевдопаннус) - являются факторами риска перелома зубовидного отростка:
- У пациентов старческого возраста с переломами зубовидного отростка внутрикостные кисты зубовидного отростка находят в восемь раз чаще, а синовит в пять раз чаще, чем у аналогичных пациентов при отсутствии переломов зубовидного отростка
• Другие симптомы/признаки:
о Ограничение движений шейного отдела позвоночника, особенно ротации:
- Ограничение бокового сгибания шейного отдела позвоночника связано с сочетанным дегенеративным поражением субаксиальных сегментов
о Миелопатия:
- Развивается на фоне подвывиха позвонков или объемного воздействия паннуса, формирующегося в области атлантодентального сустава
2. Демография:
• Возраст:
о Частота заболевания возрастает с увеличением возраста:
- Шестое десятилетие жизни: 5,4%
- Девятое десятилетие жизни: 18,2%
• Пол:
о Ж>М
3. Течение заболевания и прогноз:
• Сочетается с дегенеративным поражением других суставов:
о Наиболее частыми локализациями являются субаксиальные сегменты шейного отдела позвоночника, поясничный отдел позвоночника, тазобедренный и коленный суставы
4. Лечение дегенеративного поражения краниовертебрального сочленения:
• Обычно консервативное:
о Нестероидные противовоспалительные препараты о фиксация мягким воротником
• Локальное введение глюкокортикоидов: с диагностической и терапевтической целью:
о Позволяет подтвердить, что источником болевого синдрома является именно сустав
о Терапевтический эффект может сохраняться несколько недель или месяцев
• При наличии подвывиха или неврологической симптоматики показано хирургическое лечение (спондилодез)
• При развитии миелопатии, связанной с формированием паннуса, показано оперативное лечение в объеме декомпрессии и последующего спондилодеза:
о Выполнение одного только спондилодеза со временем приводит к регрессированию паннуса
о Декомпрессия обычно достигается из трансорального доступа, а спондилодез выполняется задний

(Слева) Т2-ВИ: тело С1 и остеофит визуализируются достаточно плохо, зато хорошо видна утолщенная поперечная связка и гипертрофированная синовиальная оболочка, несколько деформирующие дуральный мешок.
(Справа) КТ, фронтальный срез: картина двустороннего симметричного дегенеративного поражения латеральных атлантоаксиальных суставов, что встречается нечасто. В данном случае это связано скорее всего с избыточной подвижностью суставов на фоне несросшегося перелома зубовидного отростка. Атлантозатылочные суставы также с признаками умеренных дегенеративных изменений.
е) Диагностическая памятка. Следует учесть:
• Не забывайте о возможности дегенеративного поражения КВС у пожилых пациентов с необъяснимой головной болью, особенно в заушной, затылочной или шейно-затылочной области
Читайте также:
