Лучевая диагностика эмфизематозного пиелонефрита
Добавил пользователь Евгений Кузнецов Обновлено: 07.01.2026
В группе инфекционно-воспалительных заболеваний выделительной системы пиелонефрит почек встречается одинаково часто у взрослых и детей. Бактериальная инфекция поражает все структурные отделы: лоханки, чашечки, перанхиму. Патология протекает в острой или в хронической форме. Пиелонефрит коварен своей скрытностью и способностью маскироваться под простуду, цистит, гастрит, радикулит. В молодом возрасте чаще болеют женщины, но с возрастом соотношение смещается в сторону мужчин из-за проявления возрастных проблем с предстательной железой. Согласно статистике, пиелонефрит почек диагностируется у 20% населения.
Симптомы и признаки пиелонефрита
Для заболевания характерно острое начало с сильным недомоганием. По этой причине общее состояние пациента напоминает простуду. Дальше пиелонефрит симптомы может варьировать, что зависит от формы болезни. В перечне находятся:
Один из характерных признаков – моча при пиелонефрите с резким запахом из-за развития инфекции. Состояние пациента может ухудшаться также отрыжкой, мышечной слабостью и появлением отеков. Кожные покровы на фоне интоксикации организма бледные.
Причины возникновения и развития недуга
Проявляет пиелонефрит причины бактериального характера. Инфекция может попасть через мочеиспускательный канал даже при несоблюдении правил гигиены. В этом аспекте пиелонефрит у женщин встречается в 6 раз чаще, чем у мужчин. Это связано с анатомическими особенностями – короткая и широкая уретра. Редко возбудителем становится какая-то одна бактерия. Чаще всего при анализах обнаруживается ряд возбудителей (стафилококки, кишечная палочка, протей, энтерококк, клебсиелла). Причинами развития болезни могут стать и следующие патологические состояния:
- мочекаменная болезнь в анамнезе;
- опухоли в мочеполовой системе;
- заболевания кишечника;
- нерегулярный отток мочи;
- ослабленный иммунитет;
- сахарный диабет;
- аденома предстательной железы.
Пути заражения бактериями
Возникает пиелонефрит у женщин в ряде случаев из-за недостаточной гигиены половых органов. Опасно и состояние задержки мочи, которая создает благоприятную среду для развития патогенной микрофлоры. Аналогично пагубное воздействие имеет нарушение кровотока в почке. Наиболее часто встречается именно восходящий путь инфицирования – от уретры, мочевого пузыря и выше по направлению к почкам.
Факторы риска
Риск, что острый пиелонефрит перейдет в хронический достаточно высокий. Это может случиться при неправильной постановке диагноза и ошибочном лечении. В группе риска заболевания постоянно находятся дети до 7 лет, женщины любого возраста, а также пожилые мужчины в возрасте от 55 лет. Для развития недуга должно совпасть несколько факторов. Одним из них является наличие системных заболеваний. Любые инфекционные очаги в организме тоже повышают риски стать пациентом с диагнозом острый пиелонефрит. Часто предшествующим фактором становится цистит. В некоторых случаях может развиваться пиелонефрит при беременности, поскольку почки испытывают повышенную нагрузку. Это опасное состояние, которому подвержена 1 из каждых 10 женщин. Факторами риска могут быть также:
- врожденные аномалии органов (уретра, почки, мочевой пузырь);
- операции в области мочевыделительной системы;
- установка катетера в мочевой пузырь;
- травма спинного мозга;
- выпадения матки;
- СПИД.
Осложнения заболевания
Ряд осложнений, которые могут возникнуть у пациентов любого возраста и пола, следующий:
- почечная недостаточность;
- заражение крови (сепсис);
- гнойное поражение почки (карбункул);
- эмфизематозный пиелонефрит;
- гипертонические приступы;
- рубцевание почки;
- ксантогрануломатоз почки.
Когда следует обратиться к врачу
Пиелонефрит симптомы проявляет схожие с другими патологическими состояниями, что осложняет его диагностику. Боли в области почек – один из симптомов, который должен насторожить и стать поводом для обращения к доктору. Диагностикой и лечением занимается уролог в АО «Медицина» (клиника академика Ройтберга) в центре Москвы. Обследоваться необходимо как при острых состояниях, так и при затяжном протекании болезни. Хорошо маскируется хронический пиелонефрит под длительную простуду, гинекологические заболевания. Обратиться к врачу необходимо и при проблемах с оттоком мочи. Невыясненная причина этого факта является постоянным очагом для возникновения бактериальной инфекции. О ее начале может свидетельствовать резкий и неприятный запах мочи. Может агрессивно проявлять пиелонефрит симптомы и лечение в таких случаях должно начинаться незамедлительно. Это поможет избежать структурных изменений в почках. Появление кровяных включений, повышение уровня белка в анализе мочи, почечные колики – также причины для визита к урологу.
Подготовка пациента к посещению врача
Посещению врача предшествует подготовка с соблюдением ряда правил. За 12 часов до визита нужно исключить любые приемы пищи, включая употребление алкоголя и курение. За сутки до осмотра рекомендуется уменьшить количество потребляемой жидкости для снижения нагрузки на почки. Желательно не принимать никакие медикаменты. Если в этом есть острая необходимость, значит, об этом обязательно надо поставить в известность доктора перед приемом.
Диагностика пиелонефрита
На приеме доктор собирает данные о состоянии пациента, проводит общий осмотр. Анализы при пиелонефрите помогают подтвердить диагноз. Назначение делает врач. Анализы мочи и крови (общие клинические) – первые в списке. Дополнительные инструментальные исследования требуются для уточнения текущего состояния выделительной системы пациента и внутренних органов: компьютерная томография, рентгенография. Они позволяют выявить хронический пиелонефрит даже спустя несколько лет после заболевания. В АО «Медицина» (клиника академика Ройтберга) на м. Маяковская можно пройти полное обследование. Пациентам доступны все виды исследований: лабораторные анализы, КТ, МРТ, УЗИ, рентген, сцинтиграфия, ангиография.
Лечение заболевания почек
Пиелонефрит лечение требует комплексного характера. Терапия применяется медикаментозная и физиотерапевтическая. Тактика лечения подбирается урологом индивидуально. Назначаются антибиотики при пиелонефрите в острой стадии для подавления бактериальной инфекции. На первом месте стоит необходимость восстановления оттока мочи и поиска причины нарушения уродинамики. Также показаны диета при пиелонефрите и постельный режим. Спустя 3-5 суток после начала комплексной терапии степень проявления симптомов снижается.
Хроническая стадия заболевания полностью не излечивается по причине структурных изменений в почках. Ремиссия периодически сменяется обострениями, которые лечатся по принципу острого пиелонефрита. Во время ремиссии обязательно нужно соблюдать диету и не забывать о поддерживающей терапии.
Домашние средства лечения
Народная медицина не стоит в стороне, предлагая различные сборы трав и отвары из них. Бытует мнение, что прекрасным средством является березовый сок. Рекомендуется ежедневно выпивать по 200 мл утром натощак. Сок должен быть натуральным, а не из магазинной банки. Предостережение: людям с мочекаменной болезнью этот метод противопоказан. В сезон арбузов можно спасаться от недуга этими сладкими большими ягодами. Они отлично выводят лишнюю жидкость из организма, налаживают работу почек. В арбузный день диеты другие жидкости, кроме воды, употреблять нельзя. Разгрузку таким способом можно проводить после окончания периода обострения.
Почечный сбор из шалфея, ромашки и календулы, листьев березы и брусники обладает бактерицидными свойствами, позволяя подавить развитие инфекции и воспаление. Хороший эффект оказывает отвар толокнянки. Достаточно залить кипятком 1 ст.л. травы, настоять и принимать 3 раза в день перед едой по 2 ст.л. С толокнянкой делают еще спиртовую настойку. Для ее приготовления необходимо взять 2 ст.л. травы на 100 мл водки. Смешать и настоять в течение 2 недель. Принимать по 15 капель после еды. Курс лечения составляет 2 месяца. Обратите внимание, что любые рецепты и советы народной медицины надо согласовывать с лечащим врачом.
Мифы и опасные заблуждения в лечении пиелонефрита
Самое большое заблуждение, что любые болезни почек должны сопровождаться сильной болью. Это один из возможных симптомов, но он может не всегда носить выраженный характер. Латентное течение недуга (хроническое и бессимптомное) может обнаружиться случайно на УЗИ или КТ при обследовании по другим каким-то причинам. Скачки давления, лихорадка, недомогание, общая слабость редко воспринимаются серьезно, чтобы записываться на прием именно к урологу.
Если возникает пиелонефрит у мужчин, то почистить почки пивом нельзя, хотя многие уверены в обратном. Это еще одно большое заблуждение. Пиво не несет никакой пользы почкам. А вот переохлаждаться нельзя – это правда. Это приводит к восходящим воспалительным процессам.
Профилактика – лучшая защита
Лечение пиелонефрита у женщин часто связано с гинекологическими заболеваниями, которые могут возникать из-за переохлаждения. Соблюдение двигательной активности и режима питания окажут благоприятное воздействие и на мужчин. Если заболевание в хронической форме, нужно не допускать обострение пиелонефрита. Общие для всех меры профилактики дополнят следующие пункты:
- соблюдение правил гигиены;
- контроль вторичных инфекционных очагов (кариес, тонзиллит);
- прохождение профилактических осмотров;
- регулярное употребление свежих овощей и фруктов;
- периодически нужно сдавать анализ мочи.
Как записаться на прием к урологу
На сайте клиники доступна функция записи на прием. В специальной форме нужно указать свои контактные данные и специализацию врача. После отправки администратор перезвонит и уточнит детали записи на прием.
Для диагноза пиелонефрит лечение требуется в обязательном порядке вне зависимости от стадии болезни. Самое главное – беречь себя и выполнять рекомендации доктора.
Лучевая диагностика эмфизематозного пиелонефрита
Лучевая диагностика эмфизематозного пиелонефрита
а) Терминология:
• Эмфизематозный пиелонефрит
б) Определение:
• Некротизирующая, продуцирующая газ инфекция почек
в) Визуализация:
• Лучший диагностический критерий:
о Газ в паренхиме почки на КТ
1. Рентгенологические признаки эмфизематозного пиелонефрита:
• Рентгенография:
о Газ в паренхиме почки, возможно - в околопочечном пространстве
2. КТ при эмфизематозном пиелонефрите:
• КТ без контрастирования:
о Скопление газа в паренхиме, в чашечках и лоханке на КТ
о Классификация по Wan и др.:
- Первый тип: разрушение паренхимы с отсутствием жидкости:
о Полосчатое/пестрое скопление газа в паренхиме почки; возможно скопление газа под капсулой или в околопочечном пространстве
- Второй тип: скопления жидкости в почке или в околопочечном пространстве:
Скопление газа в виде пузырьков; возможно наличие газа в лоханке
о Классификация по Huang и Tseng:
- 1 класс: газ только в собирательной системе (эмфизематозный пиелит)
- 2 класс: ограниченное скопление газа в паренхиме почки
- 3А класс: газ/абсцесс в околопочечном пространстве
- 3В класс: газ/абсцесс в околоободочном или в собственно забрюшинном пространствах
- 4 класс: двусторонний эмфизематозный пиелонефрит
• КТ с контрастированием:
о Снижение контрастирования пораженной паренхимы почки
3. УЗИ при эмфизематозном пиелонефрите:
• Исследование в режиме серой шкалы:
о Эхогенные очаги в паренхиме почки и/или собирательной системе
о «Грубая акустическая тень»; кольцевидные артефакты
4. Рекомендации по визуализации:
• Лучший метод визуализации:
о КТ для постановки диагноза и классификации

(Слева) КТ без контрастирования, аксиальная проекция: большое скопление газа В в правой почке. Этот признак характерен для эмфизематозного пиелонефрита. Скопления жидкости нет. КТ-метод выбора для постановки диагноза и оценки распространения газа.
(Справа) УЗИ правой почки в сагиттальной плоскости: у этого же пациента визуализируются эхо-сигналы в паренхиме почки, ассоциированные с «грубой акустической тенью».
г) Дифференциальная диагностика эмфизематозного пиелонефрита:
1. Эмфизематозный пиелит:
• Наличие газа в лоханке и чашечках, отсутствие его в паренхиме
• Наблюдают при диабете (в 50% случаев) и обструкции мочевыводящих путей
• Более благоприятный прогноз, чем при эмфизематозном пиелонефрите
2. Перфорация язвы двенадцатиперстной кишки:
• Иногда газ «очерчивает» почку
3. Ятрогенное повреждение:
• Диагностические (например, ретроградная пиелография, цистоскопия) или лечебные манипуляции (например, нефростомия, эмболизация)

(Слева) КТ без контрастирования, аксиальная проекция: у женщины 69 лет с сахарным диабетом, поступившей с лихорадкой и болью в боку, выявлены крупные скопления газа и жидкости в паренхиме почки слева. Такая картина характерна для абсцесса, продуцирующего газ, сформировавшегося вследствие наличия эмфизематозного пиелонефрита.
(Справа) Рентгенография в переднезадней проекции: у этой же пациентки имеется нелинейное скопление газа , очерчивающее нижний полюс левой почки.
д) Патология:
1. Общая характеристика:
• Этиология:
о Наиболее частый патоген:
- Escherichia coli: в 69% случаев
о Факторы риска:
- Сахарный диабет (более 90% случаев)
- Обструкция мочевыводящих путей
2. Стадирование, степени дифференцировки и классификация:
• Классификация основана на распространении газа при визуализации
3. Макроскопические и хирургические признаки:
• Некроз паренхимы почки и тканей вокруг нее; абсцессы
е) Клинические особенности:
1. Клиническая картина эмфизематозного пиелонефрита:
• Наиболее частые признаки/симптомы:
о Лихорадка, озноб, боль в боку, апатичность, спутанность сознания
о Осложнения: септический шок
о Лабораторные данные: гипергликемия, тромбоцитопения, пиурия
2. Демография:
• Возраст:
о Средний возраст: 60 лет
• Пол:
о Чаще болеют женщины
3. Течение и прогноз:
• Состояние, угрожающее жизни
• Общая смертность составляет 11-50%
• Наивысший показатель смертности при типе 1 (36-69%) и классе 4 (50%)
4. Лечение эмфизематозного пиелонефрита:
• Восполнение водного и электролитного баланса; антибиотикотерапия
• Чрескожное дренирование
• Нефрэктомия
ж) Диагностическая памятка. Следует учесть:
• Для постановки диагноза и определения тактики ведения пациента следует использовать КТ
Эмфизематозный пиелонефрит

Эмфизематозный пиелонефрит (ЭП) — тяжелое инфекционное заболевание, поражающее почечную паренхиму, при котором газообразующие бактерии за счет спиртового брожения глюкозы превращают ее в газ, накапливающийся в некротизированных очагах и распространяющийся в околопочечную и забрюшинную клетчатку.
Этиология
Факторы риска, обусловливающие высокую летальность пациентов:
– тромбоцитопения;
– острая почечная недостаточность;
– нарушения сознания;
– обструкция мочевыводящих путей (мочекаменная болезнь и др.);
– иммунокомпрометированные лица;
– шок;
– гиперкреатининемия > 140 мкмоль/л.
Патогенез
Исследования Huang и Tseng выявили неотъемлемые звенья патогенеза заболевания:
– наличие бактерий, способных образовывать газ;
– высокий уровень тканевой глюкозы;
– нарушение иммунного ответа;
– ишемия паренхимы почек.
Классификация
Существуют две основные классификации ЭП, основанные на данных компьютерной томографии. Первая классификация Вана и соавт. [1] включает в себя два различных типа заболевания:
А. I тип ( ~ 33 % случаев):
– поражается более одной трети почки;
– пузыреобразные или линейные скопления газа, располагающиеся от мозгового до коркового слоя;
– полное отсутствие скоплений жидкости в некротизированных полостях (отсутствует эффективный иммунный ответ);
– более агрессивная быстро прогрессирующая форма с крайне неблагоприятным прогнозом (летальность ~ 70 %).
Б. II тип ( ~ 66 % случаев):
– патологический процесс затрагивает менее одной трети почки;
– те же газовые полости, но меньшего размера и с экссудативной жидкостью;
– более благоприятный прогноз (летальность ~ 20 %).
Другая классификация, предложенная Huang и Tseng [2], все формы заболевания делит на 5 классов:
– класс I: газ в собирательной системе почек (эмфизематозный пиелит);
– класс II: газ в внутрипочечной паренхиме;
– класс IIIa: выход газа в околопочечное пространство;
– класс IIIb: выход газа в паранефральное пространство;
– класс IV: двусторонний эмфизематозный пиелонефрит.
Клинические проявления
– Симптомы тяжелого пиелонефрита (озноб, лихорадка, вялость сознания, боль с напряжением в проекции почек спереди и в реберно-позвоночном углу), неподдающиеся лечению
– Позитивные бактериологические тесты крови и мочи
– Уросепсис
– Шок
Часто имеются тяжелые сопутствующие нарушения:
– неконтролируемая гипергликемия;
– ацидоз;
– обезвоживание;
– электролитный дисбаланс.
Диагностика
Самые ценные методы для установления диагноза — это компьютерная томография органов брюшной полости (ОБП) с бактериологическим исследованием мочи и крови. Обзорная урограмма и УЗИ ОБП также могут помочь в верификации диагноза.
Компьютерная томография
Основные задачи КТ диагностики: выявление наличия, объема и расположения газа (внутрипочечное или в окружающих почки пространствах). Определение степени поражения паренхимы почки и степени распространения в окружающие ткани может быть полезно для выбора тактики лечения. Хотя и бесконтрастные снимки дают отличные результаты, возможно использование контраста, если нет противопоказаний, для лучшего описания внутриренального расположения газа. Основные диагностические находки у лиц с ЭП:
– увеличенные почки с разрушенной паренхимой;
– маленькие пузырьковидные или линейные радиально направленные вдоль пирамид скопления газа;
– некротизированные очаги с горизонтальным уровнем жидкости и газовыми пузырями над ним;
– газ, распространяющийся через фасцию Героты в забрюшинное пространство.
Рисунок 1 | Компьютерная томограмма органов брюшной полости в аксиальной проекции без контрастирования. В паренхиме и околопочечном прострастве обеих почек массивные скопления газа, больше справа.
Рисунок 2 | А . На обзорной урограмме видны характерные для ЭП скопления газа различных локализаций: длинная белая стрелка — внутриренальное скопление; короткие белые стрелки — субкапсулярные скопления; черные стрелки — периренальные скопления газа.
В. Аксиальная компьютерная томография с контрастированием демонстрирует значительные скопления газа в паренхиме почек и околопочечном пространстве.
Обзорная урография (ОУ)
Полученная урограмма отлично визуализирует наличие газа в паренхиме или околопочечном пространстве, причем с увеличением объема газа увеличивается чувствительность метода. На обзорной урограмме иногда наблюдается искривление позвоночника в сторону пораженной почки и отсутствие тени поясничной мышцы на этой стороне. Обструкция рентген-позитивными камнями тоже легко поддается диагностике при при помощи ОУ. При отсутствии КТ возможно проведение экскреторной урографии, но с осторожностью, так как у многих пациентов имеется почечная недостаточность.
Ультразвуковая диагностика
Использование УЗИ у лиц с ЭП затруднена рядом факторов: большинство пациентов страдают ожирением, многие имеют вздутие живота, из-за чего бывает трудно дифференцировать газ из кишечника с газом в некротизированных почках. Несмотря на все трудности диагностики, ЭП может быть заподозрен у пациентов со следующими находками:
– увеличенные в размерах почки;
– высокоамплитудные эхо-сигналы в почечном синусе и/или почечной паренхиме, связанные с «грязным» затемнением;
– почка вообще может и не визуализироваться из-за деструкции и замещении газом, следует дифференцировать с кишечными газами.
В целом ультразвуковая диагностика с вероятностью 50 % может дать неправильные диагнозы у пациентов с 1 и 2 классами заболевания.
Рисунок 3 | УЗИ левой почки пациентки 50 лет с СД и ЭП. Увеличенная левая почка с нарушенной кортикомедуллярной дифференцировкой и линейными воздушными тенями в нижнем сегменте.
Дифференциальный диагноз
Лечение
Все пациенты должны быть госпитализированы в реанимационное отделение. Основное лечение на первоначальном этапе включает в себя стабилизацию гемодинамики, нормализацию уровня глюкозы и внутривенную антибиотикотерапию. В ходе лечения может понадобиться вентиляционная поддержка и постоянный контроль сахара крови и функции почек. После стабилизации состояния пациента следует решить, требуется ли чрескожное дренирование или экстренная нефрэктомия.
Антибиотикотерапия (АБТ)
В связи с тем, что наиболее частыми возбудителями ЭП являются грам-отрицательные микроорганизмы, начинать АБТ следует начинать с ингибиторов бета-лактамаз, фторхинолонов, цефалоспоринов и аминогликозидов. Аминогликозиды следует применять с осторожностью по отношению к пациентам с нарушенной почечной функцией. После получении данных антибиотикограммы, следует провести коррекцию лечения согласно резистентности возбудителей. При получении из проб более 1 микроорганизма возможно применение комбинированных или 2-х и более антибиотиков с учетом чувствительности каждого возбудителя.
Чрескожное дренирование (ЧД)
Впервые ЧД был предложен, как альтернативный нефрэктомии метод у клинически трудных пациентов, которые не перенесли бы операцию. На сегодняшний день ЧД наиболее распространенный метод лечения ЭП. ЧД показано при локализованных формах с сохраненной функционирующей тканью почки. Для процедуры лучше всего использовать дренажные трубки диаметром более 14 Fr и проводить ее под контролем КТ. При использовании трубок 14+ Fr промывание не требуется, но при необходимости орошения следует его проводить раствором антибиотика [11]. Дренажи должны быть установлены до тех пор, пока на контрольном снимке КТ не будет полного исчезновения газа и разрешения очагов воспаления. После установки дренажа пациентам в 13 % случаев требовалась нефрэктомия. Это были пациенты, у которых лекарственная терапия была неэффективна и по результатам радиоизотопных исследований обнаруживались нефункционирующие почки. Ряд авторов предлагают проводить дренирование всем пациентам перед удалением почки.
Нефрэктомия
Согласно исследованиям 1898–1982 гг. использование только медикаментозного лечения сопровождалось высоким процентом смертности (75–78 %), в то время как при использовании хирургических методов (ЧД и нефрэктомия) в 1898–1970 гг. смертность составила 42 %, а в 1970–1982 гг. вовсе 11 %. На этапе современной медицины нефрэктомия является методом выбора, но как и у любого оперативного вмешательства для ее проведения имеются четкие показания. Показания к нефрэктомия включают в себя:
– полная утрата почкой своей функции;
– обширная деструкция почечной паренхимы;
– класс IIIa и IIIb по классификации Huang и Tseng;
– наличие двух или более факторов риска (см. факторы риска для пациентов).
Нефрэктомия может быть простой или радикальной, из открытого или лапароскопического доступа.
Рисунок 4 | Лечебный алгоритм для типичных и особых групп пациентов с симптомами ЭП.
Случай эмфизематозного пиелонефрита у пациентки с сахарным диабетом, потребовавший нефрэктомии

Пациентка Т. 70 лет в августе 2017 года, находясь на лечении в терапевтическом отделении ЦРБ, была переведена в урологическое отделение города.
Жалобы
При поступлении жаловалась на повышение температуры до 38,0°C, постоянные распирающие и тянущие боли в поясничной области слева, а также общую слабость.
Пациентка повышенного питания: масса тела — 95 кг, рост — 165 см, ИМТ — 34,89 (ожирение первой степени).
Анамнез
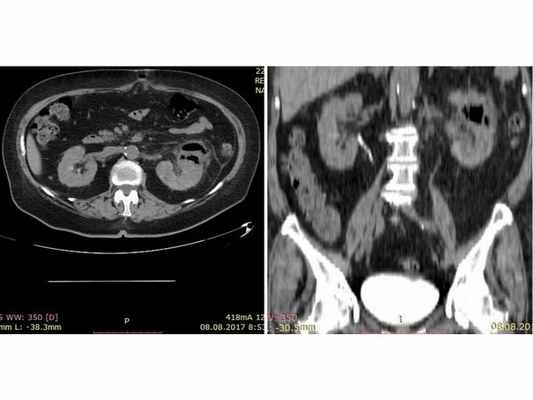
Считает себя больной с мая 2017 года, когда впервые возникли болевые ощущения в левой половине живота и повышение температуры до 39,0°C. Проходила лечение у терапевта и хирурга ЦРБ, но динамика была отрицательной: интенсивность болей в животе нарастала, и к июлю месяцу они стали нестерпимыми, приобрели распирающий характер, что заставило пациентку настоять на оперативном лечении, так как у неё было желание "разорвать живот, чтобы выпустить боль". 17 июня госпитализирована в хирургическое отделении ЦРБ. На следующий день пациентке проведено УЗИ органов брюшной полости и почек: выявлены косвенные признаки патологии сигмовидной кишки и слабовыраженные диффузные изменения паренхимы почек. 19 июня выполнена диагностическая лапаротомия: патологии органов брюшной полости не выявлено. 24 июня пациентка переведена в отделение терапии ЦРБ. Проводилась антибактериальная (цефтриаксон, левофлоксацин, моксифлоксацин, метронидазол) и инфузионная терапия, но без стойкого эффекта — боли в пояснице слева сохранялись, температура повышалась до 38,0°C. 7 августа выполнено УЗИ почек: визуализируются умеренные диффузные изменения паренхимы левой почки, а также объёмное образование левой почки неоднородного характера с пузырьками газа, которое распространяется на околопочечную клетчатку, размерами 50*40*40 мм (вероятно, абсцесс). Для дальнейшего лечения 8 августа переведена в урологическое отделение города.
Помимо прочего, пациентка в течение 10 лет страдает сахарным диабетом 2 типа. В последнее время имела место гликемия в пределах 11-14 ммоль/л, по этому поводу проводится инсулинотерапия.
Обследование
Общее состояние средней степени тяжести. Кожный покров и видимые слизистые оболочки бледные, чистые. Периферические лимфатические узлы не пальпируются. Грудная клетка принимает участие в акте дыхания. Дыхание везикулярное, хрипов нет. ЧДД — 20 в минуту. Тоны сердца приглушены, ритм правильный. ЧСС — 82 в минуту. АД — 130/90 мм рт.ст. Живот увеличен за счёт подкожной жировой клетчатки, не вздут, несколько болезненный в области послеоперационного рубца. Печень не увеличена, селезёнка на пальпируется. Область почек визуально не изменена. Симптом поколачивания слева положительный. Наружные половые органы соответствуют возрасту и полу.
Диагноз
Острый эмфизематозный пиелонефрит и паранефрит слева (класс 3А по Huang и Tseng). Сахарный диабет 2 типа, инсулинотерапия, декомпенсация.

Результат мультиспиральной КТ: видны изменения левой почки, характерные для эмфизематозного пиелонефрита, функция левой почки отсутствует
Диагностика и лечение пиелонефрита
Пиелонефрит – это заболевание почек воспалительного характера, главной причиной которого является инфекция (попадание, рост микроорганизмов в мочевыделительной системе).
В большинстве случаев развитие воспаления вызывают бактерии E.Coli (кишечная палочка). Также возбудителями могут быть стафилококк, синегнойная палочка и другие бактерии.
Заболевание сопровождается выраженными болевыми ощущениями в поясничной области, повышением температуры тела, тяжёлым общим состоянием и ознобом.
Пиелонефрит может протекать как в острой, так и хронической форме.


Врачи-урологи нашего центра
Заместитель главного врача по медицинской части, врач-уролог
Кандидат медицинских наук, врач-уролог высшей квалификационной категории
Заведующий отделением урологии, врач-уролог
Отзывы пациентов:
Отличный Врач.
Обратился к Сергею Владимировичу с проблемами простаты и полового органа, за короткое время он вылечил меня, и плюс ко всему поддерживал меня морально. Спасибо огромное, что такие специалисты есть у нас. Побольше бы таких высококвалифицированных специалистов в нашей стране.
Рекомендую.
Врач назначил лечение, которое помогло уже на следующий день. Огромное спасибо! Все анализы за полторы недели стали хорошими! Сергей Владимирович все очень подробно рассказал, прокомментировал каждый анализ, дал рекомендации и качественно ответил на все вопросы!
Хотелось бы выразить слова благодарности Сергею Владимировичу, который является высококлассным специалистом, обладающим широким спектром знаний в своей области медицинской деятельности.
Консультации, а также действия предпринятые по выявлению и лечению были оперативны,
Бесконечно благодарен Сергею Владимировичу за оказанную помощь не только в лечебном аспекте, но и в моральном.
Спасибо!
Хочу выразить огромную благодарность Сергею Владимировичу. Специалист высокого уровня, очень вежливый, добрый, отзывчивый и внимательный, что является важной чертой настоящего врача! Врач должен быть не только профессионалом в своем врачебном деле, но и в первую очередь, он должен быть понимающим человеком. Сергей Владимирович полностью вникает в твою проблему, выслушивает все подробности , дает полезные советы, которые помогают не только физически, но и морально. Благодаря врачу, я переосмыслил важность профилактического осмотра. Сергей Владимирович молодой, современный и очень перспективный доктор. Смело могу посоветовать отправляться к нему на прием, вас примут по высшему разряду, назначат лечение и вы обязательно выздоровеете!
Великолепная работа - это когда проблема решается через сутки! Добавьте к Такому отличному результату незабываемое докторское обаяние и замечательное чувство юмора - и получите не только хорошее самочувствие, но и прекрасное настроение, потому что, оказывается, всё гораздо проще, чем Вы думали.
Браво! Благодарю за оказанную помощь в такие короткие сроки!
Хочу выразить огромную признательность Вадиму Вячеславовичу за его чуткость, внимательность, отзывчивость и терпение в лечении моего сына Илии. Доктор проявил себя не только как профессиональный врач, но и как замечательный человек! Хочу пожелать Вадиму Вячеславовичу крепкого здоровья, терпения, счастья и радости! А нам, пациентам — таких внимательных докторов! С глубоким уважением, Екатерина
Я и мои близкие выражаем бесконечную благодарность Тылту Виктору Семеновичу за прекрасные результаты лечения, которые с полным основанием можно назвать мечтой, воплощенной в жизнь. Спасибо, доктор, что Вы есть и помогаете людям своим высоким мастерством и талантом. К радости пациентов и их родственников Вы не только чудесный врач, но и очень приятный в общении человек. Пусть всем Вашим профессиональным начинаниям сопутствует успех и всяческое благополучие! Всего самого светлого Вам в жизни и удачи в любимом увлечении!
Была на приеме у доктора Тылту Виктора Семёновича и осталась очень довольна. Не секрет, что к врачам многие ходят накрученными, начитанными интернет, чем раздражают врачей, к которым приходят на приём. Но Виктор Семёнович, прежде всего, человек с большой буквы! Внимательно выслушал, успокоил, расшифровал анализы, прочитал снимки и все спокойным, ровным голосом объяснил. Настоящий профессионал! Если будет необходимость, то буду обязательно обращаться именно к этому врачу. И вам рекомендую!
Сегодня был в данном медицинском центре в первый раз. По совету друга искал именно Вадима Вячеславовича. Не пожалел, что пришел именно к нему. Врач принял раньше времени, изначально был доброжелателен, вежлив и располагал к общению. В ходе опроса, сразу объяснил что у меня, какими лабораторными анализами необходимо удостовериться в правильности первичного диагноза. При этом врач не был настроен, чтобы «поиметь» с меня как можно больше денег, а напротив, объяснил какие анализы мне нужно сдавать, а на какие даже не стоит тратиться. Внимательно меня посмотрел в смотровой, взял все необходимые анализы быстро и безболезненно. Приду к нему на повторный прием через неделю. Врач как специалист мне очень понравился. Побольше было бы таких врачей в нашем здравоохранении. Я в полном восторге! Буду пользоваться услугами только данного медицинского центра, и буду советовать только его всем своим родственникам, друзьям и знакомым. Считаю, что мне повезло, что я попал именно сюда. А профессионализм Вострикова В. В. выше всяких похвал!
От чистого сердца хочу поблагодарить врача уролога Тылту Виктора Семеновича за его умение, знание, опыт и доброжелательность по отношению к пациентам. Отдельная благодарность от всей нашей семьи (меня и двоих детей) за помощь в решении очень серьезной проблемы со здоровьем у моего мужа. С Вашей, Виктор Семенович, помощью мы успели во время оказать мужу медицинскую помощь! Советую всем данного Врача!
Читайте также:
