Лучевая диагностика газа в желчных протоках
Добавил пользователь Евгений Кузнецов Обновлено: 18.12.2025
Выявление заболеваний желчного пузыря, в том числе и воспалительных, является прерогативой традиционной рентгенографии, сцинтиграфии и ультразвукового исследования (УЗИ).
Клиническая больница № 1, Медицинский центр
Управления делами Президента РФ,
Главный клинический госпиталь МВД РФ,
РГМУ, Москва
Последние десятилетия ознаменовались прогрессом в лучевой диагностике. Одновременно развивается широкий спектр методов медицинской визуализации. Врачу поликлинического звена уже трудно оценивать их эффективность при конкретных нозологических формах. Типичным примером являются больные холециститом, которые нередко направляются для проведения компьютерной и магнитно-резонансной томографии.
Выявление заболеваний желчного пузыря, в том числе и воспалительных, является прерогативой традиционной рентгенографии, сцинтиграфии и ультразвукового исследования (УЗИ). В неотложной практической радиологии инструментальное обследование чаще всего ограничивается УЗИ, которое вполне адекватно отвечает на вопросы о состоянии стенок желчного пузыря, его содержимом, функции и окружающих структурах.
Проведение компьютерной томографии (КТ) желчного пузыря и желчевыводящих путей показано при нетипичной клинической картине, а также с целью дифференциальной диагностики заболевания и его осложнений.
Семиотические признаки поражения желчного пузыря, по данным КТ, аналогичны УЗИ семиотике его заболеваний. Симптомокомплекс холецистита индивидуален и неспецифичен. Острый холецистит в первую очередь характеризуется утолщением стенок пузыря и узловатостью его контуров. Однако утолщение стенок также встречается при циррозе печени, гепатите, портальной гипертензии, асците, панкреатите, почечной недостаточности и другой патологии. Обычно при остром холецистите наблюдается утолщение стенок до 3-5 мм и более, что обусловлено интрамуральным воспалением и отеком. Некоторую помощь в визуализации воспалительных изменений желчного пузыря играет внутривенное введение йодсодержащих контрастных препаратов. При этом достаточно вводить около 50 мл неионного препарата (ультравист, омнипак) с концентрацией 300-350 мгI/мл от руки и проводить сканирование в равновесной фазе.
Субсерозный отек может манифестироваться в виде тонкого, около 1 мм, гиподенсивного наружного края вокруг более плотного внутреннего слоя стенок пузыря. Интрамуральный отек крайне редко выявляется при КТ. При этом внутренняя слизистая оболочка и наружная серозная разделены гиподенсивным слоем, что получило название симптома «сэндвича».
Растяжение желчного пузыря до 5 см в диаметре и более — другой семиотический признак острого холецистита. Он также определяется при диабете, токсическом гепатите, окклюзии холедоха опухолью. Однако для перечисленных состояний утолщение стенок желчного пузыря нехарактерно.
Плохая визуализация стенок желчного пузыря и явления перихолецистита, по мнению большинства ученых, являются самыми важными и достоверными КТ признаками острого воспаления. Перивезикулярное изменение денситометрических показателей паренхимы печени до жидкостного уровня свидетельствуют о наличии воспаления и отека.
Камни желчного пузыря — возможно, самый неспецифический признак острого холецистита. Во-первых, наличие конкрементов может не сопровождаться острым воспалением, а во-вторых, КТ существенно уступает УЗИ в чувствительности при их выявлении.
Визуализация камней напрямую зависит от их химического состава, включающего три компонента: желчные пигменты, холестерин и кальций. Количество кальция играет определяющую роль в чувствительности КТ. При этом визуализируются только около 60% смешанных камней.
В последние годы опубликовано немало работ об использовании КТ для планирования ударно-волновой литотрипсии. Проблема в том, что около 14% пациентов с камнями желчного пузыря, выявляющихся на рентгенограммах, не могут быть кандидатами для литотрипсии из-за пигментного состава конкрементов. Аналогичная ситуация складывается по отношению к холестериновым камням, которые могут быть лизированы с помощью пероральной терапии хено- и урсодезоксихолевой кислотой. Почти 33% пациентов с камнями желчного пузыря, выявляющихся на рентгенограммах, показана консервативная терапия.
КТ более полезна при диагностике осложнений острого холецистита, поскольку в ряде случаев визуализирует перивезикулярные паренхиматозные изменения лучше, чем УЗИ. По данным литературы, до 25-30% острых холециститов осложняются эмпиемой, гангреной и перфорацией. Возникновение гангренозного холецистита можно предполагать при локальном скоплении жидкости рядом с желчным пузырем, утолщении стенок и перивезикулярном отеке. Флегмонозное перивезикулярное абсцедирование сопровождается уплотнением содержимого с денситометрическими показателями, превышающими плотность желчи. При этом конкременты вне пузыря свидетельствуют о его перфорации. Эти камни могут приводить к эрозии стенок и фистулообразованию окружающих полых органов, таких как двенадцатиперстная кишка (наиболее часто), толстая кишка и холедох. Прямым признаком эрозии желчевыводящих путей является аэрохолия, выявляемая при КТ. Описываются явления частичной тонкокишечной непроходимости, связанные с проникновением камней в тощую кишку.
Эмпиема желчного пузыря выявляется при КТ крайне редко, так как гной имеет тот же коэффициент абсорбции, что и желчь. В то же время геморрагический холецистит диагностируется легко ввиду значительного повышения показателей плотности содержимого, особенно на фоне перивезикулярного отека и жидкости.
Единственным патогномоничным признаком острого холецистита является газ в полости желчного пузыря, что свидетельствует об эмфизематозном характере воспалительного процесса. КТ лучше других методов лучевой диагностики выявляет наличие газа.
Хронический холецистит чаще попутно попадает в поле зрения врача компьютерной томографии при исследовании других органов брюшной полости.
К семиотическим признакам хронического холецистита относятся: неравномерное утолщение стенок желчного пузыря, повышение денситометрических показателей, наличие в нем конкрементов. Пузырь чаще сокращен вокруг камней, а не расширен. Нередко наблюдается его деформация и перегибы.
«Фарфоровый» желчный пузырь — нетипичное проявление хронического холецистита, связанное с пристеночной кальцинацией слизистой оболочки или гладкой мускулатуры органа. Актуальность КТ повышается ввиду частого сочетания «фарфорового» желчного пузыря и карциномы.
КТ может быть полезной у больных с затянувшейся лихорадкой, болями в животе и изменениями печеночных проб.
Таким образом, КТ не является методом выбора при обследовании больных с острым и хроническим холециститом. Однако нередко она позволяет получить дополнительную информацию, имеющую принципиальное значение для определения тактики лечения таких пациентов.
Лучевая диагностика газа в желчных протоках
а) Терминология:
1. Синонимы:
• Пневмобилия, аэробилия
2. Определения:
• Газ в желчевыделительной системе, в желчных протоках или желчном пузыре
б) Визуализация:
1. Общая характеристика:
• Основные диагностические признаки:
о Яркие эхогенные очаги линейной/ветвящейся формы по ходу печеночных триад, сопровождающиеся реверберацией/«грязными» тенями
• Локализация:
о Чаще всего наблюдается во внутрипеченочных желчных протоках, хотя также встречается во внепеченочных желчных протоках и желчном пузыре
2. УЗИ при газе в желчных протоках:
• УЗИ в черно-белом режиме:
о Газ в просвете внутрипеченочных желчных протоков:
- Яркие эхогенные очаги линейной формы по ходу печеночных триад
- Не смещаются вниз под действием гравитации: в положении пациента на спине в желчных протоках левой доли > правой доли печени
- Отбрасывает «грязную» тень: тени с акустическим шумом, отбрасываемые отражающими звук объектами (газ)
- При больших количествах газа-артефакты типа реверберации
- Подвижность газа, лучше всего выявляемая при изменении положения тела пациента
о Газ в просвете внепеченочных желчных протоков:
- Линейные эхогенные очаги, отбрасывающие «грязную» тень
- В просвете внепеченочных желчных протоков, прилегающих к крупным структурам в воротах печени
о Газ в просвете желчного пузыря:
- Лентовидный эхогенный слой в верхней (в зависимости от положения тела пациента) части желчного пузыря
- Просвет желчного пузыря скрывается интенсивной реверберацией

(Левый) На поперечном УЗ срезе через левую долю печени по ходу желчных протоков определяются множественные линейные эхогенные зоны, некоторые из них отбрасывают акустическую тень; такая картина отражает наличие газа в желчных протоках.
(Правый) На поперечном УЗ срезе через левую долю печени визуализируются линейные эхогенные очаги, отбрасывающие «грязную» акустическую тень; такие изменения вызваны наличием газа во внутрипеченочных желчных протоках.
3. КТ при газе в желчных протоках:
• КТ с контрастным усилением:
о Линейные/тубулярные участки газовой плотности, прилегающие к хорошо контрастируемым ветвям и крупным стволам воротной вены
- Могут выявляться в просвете желчных протоков (внутрипеченочных и/или внепеченочных) или в желчном пузыре
о Газ в желчных протоках чаще локализуется центрально, в отличие от газа в воротной вене, для которого характерна более периферическая локализация
4. Рентгенологические изменения:
• Симптом «сабли»: мечевидный просвет в правой параспинальной области
5. Рентгеноскопия:
• Дефекты заполнения: округлые, тогда как конкременты имеют угловатую/фацетированную форму
6. МРТ при газе в желчных протоках:
• При Т2 магнитной резонансной холангиопанкреатографии - гипоинтенсивные дефекты заполнения (аналогичные конкрементам)
• При Т1 МРТ в режиме последовательности градиент-эхо определяются структуры с отсутствием сигнала, сопровождающиеся артефактами магнитной восприимчивости
7. Рекомендации по визуализации:
• Оптимальный метод визуализации:
о Ультразвуковое исследование, КТ
• Рекомендации по методике проведения исследования:
о Для оценки подвижности газа исследуйте пациента в положении лежа на спине и в косых положениях тела
о Для наилучшей визуализации артефактов реверберации и акустических теней сфокусируйте датчик на соответствующем уровне

(Левый) На поперечном УЗ срезе правой доли печени определяется несколько эхогенных очагов В линейной формы, отбрасывающих «грязную» акустическую тень, что соответствует картине газа в желчных протоках.
(Правый) На поперечном УЗ срезе правой доли печени визуализируются несколько эхогенных очагов линейной формы, отбрасывающих «грязную» акустическую тень, что соответствует изменениям, возникающих при наличии газа в желчных протоках.
в) Дифференциальная диагностика газа в желчных протоках:
1. Газ в воротной вене:
• Ветвистые эхогенные очаги на периферии паренхимы печени в просвете ветвей воротной вены
• При цветовой допплерографии определяются острые направленные в обе стороны пики, накладывающиеся на обычное изображение воротной вены
2. Конкременты/сладж внутрипеченочных протоков:
• Эхогенные очаги, отбрасывающие плотную акустическую тень
• В зоне печеночной триады или в полости расширенных внутрипеченочных протоков
3. Кальциноз печеночной артерии:
• Кальцинированная артериальная стенка отображается в виде двойной гиперэхогенной линии, сопутствующей ветвям воротной вены
• Акустические тени различных размеров по всему объему печени
г) Патология. Общая характеристика:
• Этиология:
о Перенесенные ранее вмешательства на желчных путях, ятрогенные причины:
- Эндогенная ретроградная холангиопанкреатография ± сфинктеротомия
- Желчно-тонкокишечный анастомоз
- Наличие внутреннего стента или наружного дренажа желчных путей
о Желчепузырно-тонкокишечный/холедохо-тонкокишечный свищ:
- Затянувшийся острый холецистит ± осложнившийся желчнокаменной непроходимостью
- Перфоративная язва двенадцатиперстной кишки
- Распадающаяся злокачественная опухоль желчевыделительной системы (например, карциномы желчного пузыря)
о Газообразующая инфекция желчных путей:
- Эмфизематозный холецистит
- Острый бактериальный холангит
о Рецидивирующий пиогенный холангит
д) Клинические особенности. Течение и прогноз:
• В большинстве случаев состояние проходит самостоятельно
• Прогноз зависит от этиологии состояния
е) Список использованной литературы:
1. Shah РА et al: Hepatic gas: widening spectrum of causes detected at CT and US in the interventional era. Radiographics. 31 (5): 1403-13, 2011
2. Sherman SC et al: Pneumobilia: benign or life-threatening, i Emerg Med. 30(2):147-53, 2006
3. Okuda К et al: Sonographic features of hepatic artery calcification in chronic renal failure. Acta Radiol. 44(2): 151-3, 2003
4. Rubin JM et al: Clean and dirty shadowing at US: a reappraisal. Radiology. 181(1):2316, 1991
а) Определение:
• Редкая форма острого холецистита, обусловленная вторичным инфицированием газообразующей микрофлорой
1. Общая характеристика:
• Лучший диагностический критерий:
о Иррегулярные скопления газа в стенке желчного пузыря (ЖП) или включения газа в его просвете, обусловливающие появление уровней «жидкость-газ» в желчном пузыре
• Размер:
о Объем газа варьирует от нескольких пузырьков до распространенных интрамуральных и внутрипросветных включений
2. Лучший диагностический метод:
• Нативная КТ или КТ с контрастным усилением
• Рентгенография не должна применяться при подозрении на эмфизематозный холецистит
3. Рентгенологические данные:
• Рентгенография:
о Включения газа в просвете желчного пузыря (округлой формы) или в его стенке (неправильной, вытянутой формы):
- На рентгенограммах в положении пациента стоя или на латерограммах могут обнаруживаться уровни «жидкость-газ»
о Чувствительность метода в диагностике эмфизематозного холецистита низкая: признаки заболевания обнаруживаются только в 45% случаев (в одной серии):
- В случаях, когда признаки эмфизематозного холецистита удается обнаружить на рентгенограммах, заболевание обычно характеризуется более тяжелым течением

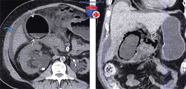
(Слева) На аксиальной КТ без контрастного усиления у пожилой женщины, страдающей сахарным диабетом, в утолщенной стенке и в просвете желчного пузыря определяются включения газа. Обратите внимание на выраженные воспалительные изменения жировой ткани вокруг желчного пузыря, а также асцит..
(Справа) На корональной КТ без контрастного усиления у этой же пациентки определяется газ в стенке желчного пузыря и рядом с ним, что свидетельствует о перфорации. Эмфизематозный холецистит характеризуется высоким риском возникновения гангрены и перфорации стенки.
4. КТ признаки эмфизематозного холецистита:
• Лучший метод идентификации газа в просвете желчного пузыря и в его стенке, характеризующийся стопроцентной чувствительностью:
о Может также обнаруживаться газ в перихолецистическом абсцессе или свободный газ в брюшной полости (при перфорации)
о Редко - при ишемии стенки желчного пузыря - появляется газ в воротной вене
о Распространение газа в другие отделы билиарной системы подозрительно на тяжелую форму инфекции
• Желчные камни обнаруживаются приблизительно у 50% пациентов: акалькулезный холецистит связан с более высоким риском
• Другие изменения аналогичны таковым при неосложненном холецистите:
о Утолщение стенки желчного пузыря больше 3 мм
о Увеличение желчного пузыря больше 5 см по короткой оси
о Наличие свободной жидкости около стенки желчного пузыря и инфильтрация окружающей его жировой ткани
о Деформация, язвы, отсутствие контрастного усиления стенки желчного пузыря вследствие гангрены
5. МРТ признаки эмфизематозного холецистита:
• Включения газа в просвете и стенке желчного пузыря выглядят как участки выпадения сигнала во всех пульсовых последовательностях:
о «Плавающие» участки выпадения сигнала - пузырьки газа в проксимальных отделах желчного пузыря (в отличие от конкрементов, располагающихся в дистальных отделах)
о «Ободок» низкой сигнальной интенсивности вокруг желчного пузыря, обусловленный включениями газа в его стенке
о Включения газа обусловливают возникновение артефактов восприимчивости и неоднородности на границе ткани и газа
• Неравномерное утолщение стенки с гиперинтенсивными на Т1 и Т2 ВИ включениями свидетельствует об интрамуральном геморрагическом некрозе
• Другие изменения аналогичны таковым при неосложненном холецистите:
о Конкременты с низкой интенсивностью сигнала (на Т1 и Т2 ВИ) в зависимых отделах желчного пузыря, особенно в шейке или пузырном протоке
о Утолщение стенки больше 3 мм, увеличение желчного пузыря > 5 см, жидкость возле его стенки
6. УЗИ признаки эмфизематозного холецистита:
• Включения газа в стенке желчного пузыря выглядит высокоэхогенными, отражают ультразвук и дают плотную и «грязную» заднюю акустическую тень:
о Тень не анэхогенна (как это наблюдается в случае желчных конкрементов); характеризуется промежуточной эхогенностью
о Эхогенные отражающие включения ассоциированы с артефактами «дребезжания сигнала» или «хвоста кометы»
• Пузырьки газа в просвете желчного пузыря должны быть подвижными на УЗИ в режиме реального времени и могут «вскипать», напоминая пузырьки газа в шампанском (симптом «шампанского»):
о При изменении положения пациента включения газа могут смещаться
• Холелитиаз (у 50% пациентов), утолщение стенки желчного пузыря, свободная жидкость возле него, повышение эхогенности перипузырной жировой ткани, обусловленное воспалением
• УЗИ характеризуется высокой специфичностью, но низкой чувствительностью в диагностике эмфизематозного холецистита:
о Эхогенные включения газа в желчном пузыре могут быть ошибочно интерпретированы как газ в кишечнике; камни, содержащие газ; или «фарфоровый» желчный пузырь

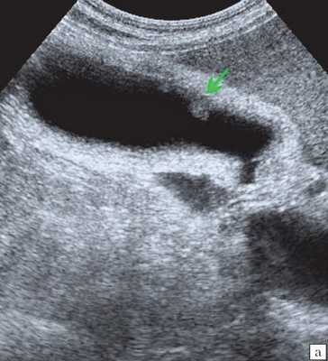
(Слева) На сонограмме у мужчины 79 лет с жалобами на боль в правом подреберье определяется утолщение стенки желчного пузыря, в передней стенке визуализируется эхогенный участок вытянутой формы. Обратите внимание на «грязную» заднюю акустическую тень - сонографический артефакт, характерный для газа.
(Справа) На поперечной сонограмме у этого же пациента определяются интрамуральные включения газа дающие «грязную» акустическую тень. Обратите внимание на инфильтрированный сальник, вплотную прилежащий к желчному пузырю, и слой небольших камней. При патоморфологическом исследовании подтвердился гангренозный холецистит.
в) Дифференциальная диагностика эмфизематозного холецистита:
1. Гангренозный холецистит:
• Отсутствие эктопических включений газа в просвете или стенке желчного пузыря
• УЗИ: асимметричное утолщение стенки желчного пузыря, изъязвление стенки, наличие в его просвете мембран и неоднородного содержимого (отслоившаяся слизистая):
о Сонографический симптом Мерфи не определяется у трети пациентов
• КТ с контрастным усилением: ↓ накопления контраста или отсутствие контрастного усиления отдельных участков стенки ЖП
2. Холангит, вызываемый газообразующей микрофлорой:
• Пневмобилия очень редко обнаруживается при восходящем холангите и может быть обусловлена газообразующей микрофлорой или наличием свищевого хода между желчным протоком и тонкой кишкой
• Изменения, позволяющие предположить холангит: обструкция, обусловленная камнем в общем протоке, расширение желчных протоков и утолщение их стенок, повышение плотности желчи
• За исключением газа в просвете желчного пузыря не должно определяться каких-либо иных его патологических изменений
3. Абсцесс печени, вызванной газообразующей микрофлорой:
• Многокамерное скопление жидкости в печени, окруженное «ободком», накапливающим контраст; множественные сателлитные абсцессы и снижение плотности печени возле абсцесса, обусловленное отеком
• Газ внутри абсцесса на УЗИ выглядит так же, как газ любой другой локализации: «яркие», эхогенные включения, отражающие ультразвук, с «грязной» акустической тенью
4. Газ в билиарном дереве после сфинктеротомии или формирования билиарно-энтерического анастомоза:
• Ключевые моменты в диагностике: обнаружение анастомоза между желчным протоком и тонкой кишкой, а также данные анамнеза
• Пневмобилия, газ в желчном пузыре в этой ситуации является нормой и не означает инфицирование
5. Газ в забрюшинном пространстве:
• Газ в забрюшинном пространстве может быть проявлением различных заболеваний, в т. ч. язвы двенадцатиперстной кишки с прободением, эмфизематозного пиелонефрита, эмфизематозного панкреатита
6. Желчный пузырь, заполненный камнями:
• Желчный пузырь может частично не визуализироваться на УЗИ, при этом задняя акустическая тень имитирует включения газа
• Отличительными признаками являются наличие комплекса «стенка-сигнал-тень» и «чистая» задняя акустическая тень
7. «Фарфоровый» желчный пузырь:
• Плотная и «чистая» задняя акустическая тень на УЗИ (в отличие от «грязной» тени при наличии газа)
• На УЗИ могут также обнаруживаться кальцинаты в передней и задней стенке желчного пузыря
8. Газ в просвете кишечника в правом верхнем квадранте:
• Включения газа в кишечнике возле предполагаемого местоположения желчного пузыря могут имитировать эмфизематозный холецистит на УЗИ
• Отличительным признаком является обнаружение перистальтики кишечника при исследовании в режиме реального времени

(Слева) На КТ без контрастного усиления у пожилого мужчины с ишемической болезнью сердца и сахарным диабетом, предъявляющего жалобы на боль в животе, визуализируются включения газа в стенке и просвете желчного пузыря. Обратите внимание на свободный газ в брюшной полости - признак перфорации желчного пузыря. При патоморфологическом исследовании подтвердился трансмуральный некроз желчного пузыря, были выявлены также грам-отрицательные палочковидные бактерии.
(Справа) На продольной сонограмме желчного пузыря у пожилого мужчины, страдающего сахарным диабетом, определяется отек стенки желчного пузыря с наличием интрамуральных включений газа - характерные изменения для эмфизематозного холецистита.
г) Патология:
1. Общая характеристика:
• Этиология:
о Инфицирование желчного пузыря газообразующими микроорганизмами, такими как Clostridium welchii (в 1/3 случаев) и Escherichia coli:
- Часто также происходит инфицирование микроорганизмами следующих родов: Staphylococcus, Streptococcus, Pseudomonas, Enterococcus, Klebsiella
о Осложнение острого калькулезного или акалькулезного холецистита вторичной инфекцией
о Желчные конкременты имеются приблизительно у 50% пациентов
• Предполагаемый патогенез заболевания: частично связан с нарушением кровотока в пузырной артерии:
о Предрасполагающие факторы:
- Нарушение кровообращения вследствие атеросклероза пузырной артерии
- Холелитиаз
- Снижение иммунитета у пациентов с сахарным диабетом, у людей преклонного возраста:
Вплоть до 50% пациентов, у которых обнаруживается эмфизематозный холецистит, страдают сахарным диабетом
- Первичное или вторичное инфицирование газообразующей микрофлорой
2. Стадирование, градация и классификация:
• Градация основана на распределении газа в желчном пузыре:
о Стадия 1: газ в просвете желчного пузыря
о Стадия 2: газ в стенке желчного пузыря
о Стадия 3: газ в перихолецистическом пространстве
3. Макроскопические и хирургические особенности:
• Гангрена и некроз желчного пузыря
4. Микроскопия:
• Обширный геморрагический некроз
• Диффузный отек
• Кистовидные участки в стенке желчного пузыря: «карманы», заполненные газом
• Абсцессы в стенке желчного пузыря
• Облитерирующий эндартериит
д) Клинические особенности:
1. Проявления эмфизематозного холецистита:
• Наиболее частые признаки/симптомы:
о Симптомы у большинства пациентов аналогичны таковым при неосложненном холецистите:
- Боль в правом подреберье, субфебрилитет, тошнота, рвота, лейкоцитоз
о Клинические проявления могут быть атипичными, минимальными или смазанными, особенно у пациентов, страдающих сахарным диабетом, или у пожилых людей, что может приводить к несвоевременной диагностике и запоздалому лечению
• Другие признаки/симптомы:
о Септический шок, обусловленный грам-негативными микроорганизмами, и перитонит при перфорации
• Лабораторные данные:
о Лейкоцитоз, легкая или умеренно выраженная гипербилирубинемия, обусловленная гемолизом, индуцированным клостридиальной инфекцией
2. Демография:
• Возраст:
о 50-70 лет
• Пол:
о Чаще у мужчин
• Эпидемиология:
о Составляет 1% всех случаев острого холецистита
о Чаще обнаруживается у пациентов с акалькулезным холециститом
о Возникает преимущественно на фоне сахарного диабета, чаще обусловлен клостридиальной инфекцией
о Предрасполагающий фактор: снижение кровотока в пузырной артерии вследствие атеросклероза
3. Течение и прогноз:
• Высокий риск гангрены, перфорации и сепсиса при отсутствии лечения:
о Некроз и гангрена обнаруживаются в 75% случаев во время оперативного вмешательства
о Перфорация выявляется в 20% случаев (риск перфорации в пять раз выше, чем при неосложненном холецистите)
• Уровень смертности (15-25%) обусловлен в основном высокой частотой возникновения гангрены и перфорации стенки ЖП
4. Лечение:
• Экстренная холецистэктомия: радикальный способ лечения:
о Открытая или лапароскопическая
о Из-за распространенного воспаления в области ямки желчного пузыря высок риск отказа от лапароскопической техники и перехода к открытой холецистэктомии
• Холецистостомия как временная мера перед выполнением холецистэктомии может быть применима у пациентов из группы высокого риска, которым противопоказано экстренное хирургическое вмешательство
• Парентеральное введение антибиотиков (адъювантная терапия)
• Гипербарическая оксигенация гипотетически рассматривается как метод адъювантной терапии
е) Диагностическая памятка. Следует учесть:
• На УЗИ необходимо дифференцировать эмфизематозный холецистит от других часто встречающихся состояний, которые могут имитировать это заболевание, в т.ч. калькулезный холецистит, «фарфоровый» желчный пузырь, а также газ в кишечнике
ж) Список использованной литературы:
1. Revzin MV et al: The gallbladder: uncommon gallbladder conditions and unusual presentations of the common gallbladder pathological processes. Abdom Imaging. Epub ahead of print, 2014
Холелитиаз
Предрасполагающими факторами являются повышенное содержание в желчи холестерина, нарушение содержания солей и фосфолипидов, застой и инфекция.
- Гемолитические заболевания: серповидноклеточная анемия, талассемия, наследственный сфероцитоз
- Холестаз: киста холедоха, болезнь Кароли, полное парентеральное питание, цирроз
- Нарушения метаболизма: ожирение, муковисцидоз, диабет, гиперлипидемия, беременность
- Кишечная мальабсорбция: болезнь Крона, бариатрическая хирургия, резекция подвздошной кишки
Генетика
- Семейная заболеваемость среди некоторых этнических групп: американские индейцы навахо, пима, чиппева.
Эпидемиология
- Наибольшая распространенность среди женщин с ожирением на пятом десятилетии жизни.
- У новорожденных редко, за исключением случаев предрасположенности, таких, как врожденная обструкция желчных протоков, обезвоживание, инфекция, гемолитическая анемия.
- У детей более старшего возраста сопутствует серповидноклеточной анемии, муковисцидозу, гемолитической анемии, болезни Крона.
Возраст
- Пик заболеваемости: пятое—шестое десятилетие жизни, увеличивается с возрастом
Пол

Патология
Макроскопические особенности
- 80% холестериновые камни, по определению содержащие > 50% холестерина
- 20% пигментированные камни, содержащие холестерин и кальция карбонат/билирубинат
- Пигментированные конкременты черного цвета встречаются при гемолитических расстройствах и циррозе
- Пигментированные конкременты коричневого цвета формируются при хронических бактериальных или паразитарных инфекциях, чаще в желчных протоках, чем в желчном пузыре
Микроскопические особенности
- Признаки острого/хронического воспаления стенки желчного пузыря различной степени выраженности.
Клинические проявления
Боли или дискомфорт в правом верхнем квадранте живота после приема жирной пищи.
Бессимптомная случайная находка при лучевом исследовании. Осложнения включают в себя острый или хронический холецистит, холедохолитиаз, холангит, панкреатит, желчнокаменную кишечную непроходимость и рак желчного пузыря.
Радиологические находки:
Ультразвуковое исследование (УЗИ):
- Высокоэхогенные структуры в просвете желчного пузыря дают интенсивную однородную акустическую тень.
- Подвижны, смещаются под действием гравитации.
- Ложноотрицательные результаты ультразвукового исследования: маленький сократившийся желчный пузырь, заполненный конкрементами, мелкие конкременты, эктопия/атипичное расположение желчного пузыря, пациент с ожирением/ неконтактный
Варианты УЗ‐картины
Скопление в ямке желчного пузыря ярких эхосигналов с акустической тенью, представляющих собой заполненный конкрементами желчный пузырь, может быть ошибочно принято за луковицу двенадцатиперстной кишки. Симптом двойной дуговой тени или симптом «стенка‐эхо‐ тень»: две эхогенных изогнутых линии, разделенные эхо‐прозрачной полосой (передняя стенка желчного пузыря, желчь, эхосигнал в виде изогнутой линии от конкремента, и тень позади него. Не отбрасывающие тени конкременты желчного пузыря (конкременты < 5 мм). Неподвижный фиксированный конкремент или неподвижный конкремент в шейке желчного пузыря.
Лучевая диагностика патологии желчного пузыря и желчевыводящих путей

Революционные изменения в экспертной диагностике. Безупречное качество изображения, молниеносная скорость работы, новое поколение технологий визуализации и количественного анализа данных УЗ-сканирования.
Введение
Заболевания желчного пузыря - это особый раздел в современной медицине, которому специалисты уделяют повышенное внимание 8. С одной стороны, патология желчного пузыря (например, полипы), может протекать совершенно бессимптомно, но имеет тенденцию к малигнизации 4. С другой стороны, некоторые заболевания, такие как конкременты желчного пузыря и желчевыводящих путей, сопровождаются сильными приступами болей и могут привести к тяжелым осложнениям. В результате длительного давления камнем на слизистую оболочку пузыря в ней могут возникнуть язвы и пролежни, образоваться дивертикулоподобные выпячивания, внутренние и наружные желчные свищи, перфоративные отверстия с развитием подпеченочного или поддиафрагмального абсцессов, желчного перитонита. Перемещение желчных камней может сопровождаться закупоркой пузырного протока, водянкой желчного пузыря или его эмпиемой. При обтурации камнем выходного отдела общего желчного протока наступает механическая желтуха. Длительное нахождение камня в желчных протоках и присоединение инфекции ведут к развитию холангита. Выпадение крупного желчного камня из желчного пузыря в кишку через образовавшееся соустье может привести к непроходимости кишечника [1, 3, 5-8, 10-12]. Поэтому своевременная диагностика заболеваний желчного пузыря и протоковой системы имеет очень важное значение.
Образование желчи в печени - процесс непрерывный, однако поступление ее в кишечник в норме происходит преимущественно в процессе пищеварения. Это обеспечивается резервуарной функцией желчного пузыря и его ритмическими сокращениями с последовательным расслаблением сфинктера Люткенса и далее сфинктера Одди, расположенного в месте впадения общего желчного протока в кишку (рис. 1).

1 - дно желчного пузыря;
2 - пузырный проток;
3 - собственная печеночная артерия;
4 - воротная вена;
5 - желудочно-печеночная связка;
6 - левая доля печени;
7 - хвостатая доля печени;
8 - нижняя полая вена;
9 - хвостатый отросток;
10 - шейка желчного пузыря;
11 - правая доля печени;
12 - тело желчного пузыря;
13 - квадратная доля печени.
Натощак желчный пузырь содержит 30-80 мл желчи, но он может концентрировать печеночной желчи в 5-10 раз больше. При застое желчи в пузыре ее количество может увеличиваться. У женщин желчный пузырь в состоянии функционального покоя имеет несколько больший объем, чем у мужчин, но сокращается быстрее. С возрастом сократительная функция желчного пузыря снижается.
Ультрасонография является одним из самых информативных и доступных инструментальных методов диагностики заболеваний желчного пузыря 9.
Акустические свойства ультразвука позволяют выявлять мельчайшие эхогенные структуры, находящиеся в желчном пузыре.
С помощью УЗИ значительно сокращается время диагностического поиска. В отличие от компьютерной томографии (КТ) и магнитно-резонансной томографии (МРТ) при УЗИ врач-исследователь сам непосредственно участвует в получении изображения, что имеет свои плюсы и минусы. Положительной является возможность более целенаправленного и детального исследования изучаемого объекта. Отрицательная сторона - качество изображения и его расшифровка в значительной степени зависят от опыта исследователя и правильности применяемых им методик.
Полипы в желчном пузыре имеются у 6% всего населения. В 80% случаев полипы в желчном пузыре отмечаются у рожавших женщин в возрасте после 30 лет. Так как полипы клинически себя никак не проявляют, диагностика их чаще всего случайна и происходит при проведении УЗИ у пациента по совершенно другим причинам 7.
Хотя причины появления полипов на стенках в желчного пузыря не установлены, а симптомы неочевидны, известны четыре типа таких образований. Наиболее часто по статистике в желчном пузыре у пациентов сегодня встречаются следующие типы [4, 5, 9].
Воспалительный полип желчного пузыря - является своего рода воспалительной реакцией самой слизистой оболочки желчного пузыря, проявляется у пациента в виде различных разрастаний грануляционной внутренней ткани пораженного органа.
Нередко врачи также ставят диагноз аденомы желчного пузыря. Так происходит потому, что это своего рода доброкачественная опухоль в виде полиповидного разрастания железистой ткани желчного пузыря больного.
Также следует отметить папиллому или полипоз желчного пузыря у некоторых пациентов. Такая папиллома представляет собой доброкачественную опухоль слизистой оболочки пузыря в виде различных по виду и структуре своеобразных папиллом или сосочковых разрастаний.
К самому распространенному типу относят так называемый холестериновый полип желчного пузыря, который представляет собой возвышение слизистой оболочки пузыря с холестриновыми отложениями на ней. Холестероз достаточно часто встречается среди пациентов, направленных на операцию с клиническим диагнозом "полипы" или "полипоз желчного пузыря", по некоторым данным от 42 до 95% случаев.
Ультрасонография является эффективным средством выявления полиповидной формы холестероза 10. Традиционной считается следующая сонографическая характеристика холестериновых полипов: неподвижные гиперэхогенные структуры, которые не дают акустической тени и прикрепляются к стенке желчного пузыря. Контуры таких образований, как правило, ровные, а размеры таких образований различны, чаще не превышают 10 мм (рис. 2).

a) Одиночный полип в желчном пузыре (гиперэхогенное пристеночное неподвижное образование, с ровными контурами, без акустической тени).

б) Одиночный полип в желчном пузыре.

в) Полиповидно-сетчатая форма холестероза, полипы размерами до 5 мм, повышенной эхогенности.

г) Одиночный полип в желчном пузыре.
Однако, по некоторым данным, размеры холестериновых полипов могут быть более 20 мм. Кроме того, полипы больших размеров (в 7% от общего числа) могут иметь пониженную эхогенность и фестончатый контур.
Мелкие холестериновые включения, образующие диффузную сеточку в толще подслизистого слоя размерами 1-2 мм, выглядят как локальное утолщение или уплотнение стенки желчного пузыря и в некоторых случаях (см. рис. 2) вызывают реверберацию (эхографический симптом "хвост кометы").
При распространенном холестерозе визуализируются множественные гиперэхогенные образования, дающие картину "земляничного" желчного пузыря (рис. 3).

а) Множественные полипы в желчном пузыре, картина "земляничного" желчного пузыря.

б) В режиме цветного допплеровского картирования кровоток не регистрируется.
Характер ножки полипа традиционно учитывается в онкологической практике как признак, ассоциированный со злокачественной природой образования. Вероятность возможной малигнизации больше, если у него имеется широкое основание, а не тонкая ножка. Однако необходимо принимать во внимание возможность ложноположительной диагностики широкого основания при полипах больших размеров из-за их ограниченной смещаемости в просвете желчного пузыря. Дрожание, напоминающее пламя свечи, наблюдается у полипов небольших размеров и вытянутой формы, и указывает на их тонкую ножку 7.
Желчнокаменная болезнь (cholelithiasis; калькулезный холецистит) - заболевание, обусловленное наличием конкрементов в желчном пузыре и желчных протоках. Частота образования желчных камней увеличивается с возрастом, достигая 45-50% у женщин старше 80 лет. У мужчин желчные камни встречаются в 3-5 раз реже, у детей - крайне редко. Только в 20% случаев желчные камни существуют бессимптомно ("немые" конкременты) [5].
Существует два основных механизма образования желчных камней: печеночнообменный и пузырно-воспалительный. Печеночно-обменный механизм заключается в формировании желчных камней вследствие таких факторов, как несбалансированное питание с преобладанием в рацио не грубодисперсных животных жиров (свиного, бараньего, говяжьего) в ущерб растительным; нейроэндокринные нарушения, например, связанные с дисфункцией эндокринной системы возрастного характера и гипофункцией щитовидной железы; поражения печеночной паренхимы токсического и инфекционного генеза; гиподинамия и застой желчи. В результате печень продуцирует литогенную желчь, т. е. способную образовывать холестериновые или смешанные камни. При пузырно-воспалительном механизме желчные камни формируются под влиянием воспалительного процесса в желчном пузыре, приводящего к физико-химическим сдвигам в составе желчи (дисхолии). Изменение рН желчи в кислую сторону, характерное для любого воспаления, приводит к уменьшению защитных свойств коллоидов, в частности белковых фракций желчи, переходу мицеллы билирубина из взвешенного состояния в кристаллическое. При этом образуется первичный кристаллизационный центр с последующим наслоением других ингредиентов желчи, слизи, эпителия и др.
Желчные камни - плотные образования, количество которых может составлять от одного до нескольких тысяч, размер - до нескольких сантиметров в диаметре, масса - до 30 г и более. В желчном пузыре чаще встречаются камни округлой формы, в общем желчном протоке - эллипсоидной или продолговатой, во внутрипеченочных протоках ветвистой. В зависимости от состава различают холестериновые, пигментно-холестериновые, холестериново-пигментно-известковые, пигментные и известковые камни; на распиле они имеют пигментное ядро и слоистое строение.
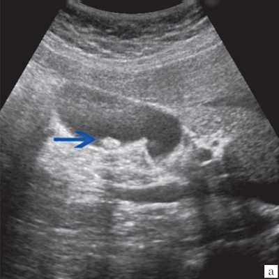
Клиническая картина желчнокаменной болезни многообразна [5-6, 10]. Условно выделяют хроническую болевую, хроническую рецидивирующую, диспептическую, стенокардитическую и ряд других клинических форм. Характерным ультразвуковым признаком конкремента в желчном пузыре является его акустическая тень. Такая тень возникает из-за высокой плотности камня по сравнению с мягкими тканями. Наличие или отсутствие тени помогает отличить камень от полипа желчного пузыря (рис. 4).

а) Одиночный конкремент желчного пузыря (подвижная гиперэхогенная структура, дающая четкую теневую дорожку).
Читайте также:
- Головокружение вестибулярного происхождения. Тошнота и рвота при раздражении лабиринта
- Примеры периферической экссудативной геморрагической хориоретинопатии, симулирующей меланому хориоидеи
- Отек заглоточного пространства - лучевая диагностика
- Врожденное расщепление позвоночника. Причины расщепления позвоночника эмбриона
- Механизм дивергенции и конвергенции внутриклеточных сигналов
