Лучевая диагностика гиперфлексионной травмы шейного отдела позвоночника
Добавил пользователь Евгений Кузнецов Обновлено: 28.11.2025
Лучевая диагностика гиперфлексионной травмы шейного отдела позвоночника
а) Определения:
• Повреждения, возникающие вследствие избыточного сгибания шейного отдела позвоночника в сочетании с осевой компрессией или избыточного сгибания в сочетании с дистракцией/сдвигом
б) Визуализация:
1. Общие характеристики гиперфлексионной травмы шейного отдела позвоночника:
• Наиболее значимый диагностический признак:
о Фокальный кифоз, компрессионный перелом передней колонны или перелом каудо-вентрального угла тела позвонка
о Фокальный кифоз, увеличение расстояния между остистыми отростками, дистракционное повреждение, подвывих или вывих в дугоотростчатых суставах
• Локализация:
о Наиболее часто - средне- или нижнешейный отдел позвоночника
• Гиперфлексионная травма в сочетании с аксиальной компрессией:
о Кифотическая деформация позвоночника на уровне повреждения
о Может быть увеличено расстояние между соседними остистыми отростками (веерообразное расхождение)
о Сглаживание переднего края верхней замыкательной пластинки с клиновидной деформацией переднего отдела тела позвонка (наиболее легкое повреждение)
о Косо-фронтальный перелом в области передне-нижнего отдела тела позвонка с ретролистезом тела нижележащего позвонка (сгибательный перелом каудо-вентрального угла):
- Тяжелое, нестабильное повреждение
о ± дистракционное повреждение дугоотростчатых суставов
• Гиперфлексионная травма в сочетании с дистракцией или сдвигом:
о Кифотическая деформация на уровне повреждения
о Увеличено расстояние между соседними остистыми отростками (веерообразное расхождение)
о ± сглаживание переднего края верхней замыкательной пластинки
о Диастаз (>2 мм), подвывих (смещение < 50%), верховой или сцепившийся вывих дугоотростчатых суставов с антелистезом:
- Переднее смещение на 100% ширины тела позвонка = «флотирующий» позвонок
3. Рекомендации по визуализации:
• Наиболее оптимальный метод диагностики:
о Тонкосрезовая (< 1 мм) спиральная КТ с сагиттальной и фронтальной реконструкцией
• Протокол исследования:
о КТ наиболее информативна в отношении оценки морфологии перелома, повреждений дугоотростчатых суставов
о МРТ (особенно в режимах STIR и GRE) - для оценки состояния мягкотканных образований, спинного мозга
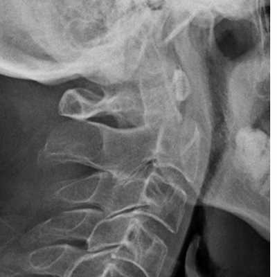
(Слева) Рентгенограмма в боковой проекции: снижение высоты переднего отдела межтелового пространства С6-С7, расширение межостистого промежутка и дистракционное повреждение дугоотростчатых суставов (смещение суставных поверхностей относительно друг друга > 50%).
(Справа) КТ, сагиттальный срез: на уровне боковой колонны шейного отдела позвоночника определяется диастаз и расширение суставной щели суставной пары С6-С7 (> 2 мм), свидетельствующее о наличии связочного повреждения. (Слева) На сагиттальной КТ-ангиограмме у пациента с травмой шейного отдела позвоночника определяется перелом каудо-вентрального угла тела С6. Также здесь виден перелом в области задних элементов позвоночника.
(Справа) Т1-ВИ, сагиттальная проекция: признаки флексионной травмы шейного отдела позвоночника на уровне С6 в виде перелома каудо-вентрального угла тела позвонка и разрыва ППС. В заднем отделе эпидурального пространства видна гематома. (Слева) На сагиттальном Т2 TSE у пациента с флексионным переломом каудо-вентрального угла тела С6 позвонка отмечается патологическое усиление сигнала и нарушение целостности передней покровной пластинки позвонка. Распространенная эпидуральная гематома привела к тяжелой компрессии спинного мозга. Обратите внимание на признаки отека вентральных и дорзальных паравертебральных тканей.
(Справа) На сагиттальном D-ВИ отмечается усиление сигнала, связанное с крупной гематомой в заднем отделе эпидурального пространства, и относительно нормальный диффузионный сигнал шейного отдела спинного мозга.
в) Дифференциальная диагностика:
1. Взрывной перелом:
• Оскольчатый перелом тела позвонка с разнонаправленным смещением фрагментов
2. Флексионно-ротационное повреждение:
• Типичны односторонний подвывих или перелом суставных отростков
3. Хлыстовая травма:
• Преимущественно связочное повреждение
г) Патология:
1. Общие характеристики:
• Этиология:
о Гиперфлексия в сочетании с компрессией:
- Форсированное сгибание шейного отдела позвоночника в сочетании с аксиальной нагрузкой, вектор которой располагается несколько кпереди от позвоночного столба
- Первичное повреждение передней и (затем) средней колонны:
Компрессионный перелом, перелом каудо-вентрального угла
Ретролистез на уровне повреждения, сужение спинномозгового канала и сдавление спинного мозга
о Гиперфлексия в сочетании с дистракцией или сдвигом:
- Форсированное сгибание шейного отдела позвоночника в сочетании с краниально направленным вектором нагрузки, который практически перпендикулярен туловищу
- Первичное повреждение задней и (затем) средней колонн:
Увеличение межостистого промежутка вследствие разрыва межостистых связок
Дистракционное повреждение дугоотростчатых суставов, ведущее к подвывиху или вывиху
При более значительном травмирующем воздействии развивается двусторонний сцепившийся вывих с антелистезом позвонка
Разрыв ЗПС
• Сочетанные травмы:
о Нестабильность позвоночника
о Повреждение спинного мозга, радикулопатия
о Закрытая черепно-мозговая травма, политравма
2. Стадирование, степени и классификация гиперфлексионной травмы шейного отдела позвоночника:
• Предложено множество различных классификационных схем повреждений шейного отдела позвоночника
• Holdsworth (1970):
о Единая система классификации повреждений шейного, грудного и поясничного отдела позвоночника, учитывающая роль связочного аппарата
о Механизмы повреждения: флексия, флексия-ротация, экстензия, вертикальная компрессия, прямой сдвиг
- Стабильные и нестабильные повреждения
о Потеря высоты тела позвонка >50% рассматривается как признак связочного повреждения и нестабильности
• Marar (1974):
о Корреляция между неврологической симптоматикой и механизмом травмы
о Отсутствие рекомендаций по лечению:
- 1 группа: полное повреждение спинного мозга (двусторонние вывихи и взрывные переломы)
- 2 группа: центральное повреждение спинного мозга (экстензионная травма)
- 3 группа: передний синдром спинного мозга (вертикальная компрессия и переломы каудо-вентрального угла)
- 4 группа: частичный моторный дефицит при сохранении чувствительности (односторонний вывих)
- 5 группа: синдром Броун-Секара
• Allen (1982):
о Выделяет шесть основных механизмов травмы, основанных на действии четырех векторов травмирующей силы (флексия, экстензия, компрессия, дистракция)
о Риск неврологического дефицита растет с увеличением стадии каждого из типов повреждений
о Позволяет хорошо прогнозировать неврологические исходы травмы:
- Компрессия в сочетании со сгибанием
- Вертикальная компрессия
- Дистракция в сочетании со сгибанием
- Компрессия в сочетании с разгибанием
- Дистракция в сочетании с разгибанием
- Латеральное сгибание
• Moore (2006):
о Морфологическая классификации, построенная на теории четырехколонного строения шейного отдела позвоночника (передняя колонна, задняя колонна, правая боковая колонна, левая боковая колонна)
о Повреждениям каждой колонны (ее костных и связочных структур) соответствуют определенная балльная оценка:
- Число баллов может составлять от 0 до 20, 20 - это наихудший показатель
• Vaccaro (2007):
о Классификация повреждения субаксиальных сегментов шейного отдела позвоночника
о Учитываеттри основные характеристики (морфология повреждения, состояние диско-связочного комплекса (ДСК), неврологический статус)
о Более высокая балльная оценка (5 и более) = более тяжелое повреждение, требующее хирургического лечения
о Морфология:
- Отсутствие патологии = 0
- Компрессия =1
- Модификатор для компрессии - взрывное повреждение = + 1=2
- Дистракция = 3:
Подвывих в дугоотростчатых суставах, гиперэкстензионное повреждение
- Ротация/смещение = 4:
Вывих в дугоотростчатых суставах, нестабильный перелом каудо-вентрального угла, выраженное флексионно-компрессионное повреждение
о ДСК:
- Интактный = 0
- Неопределенный = 1:
Изолированное расширение межостистого промежутка, по данным МРТ- только изменение сигнала
- Разрыв = 2:
Расширение межтелового пространства, подвывих и вывих в дугоотростчатых суставах
о Неврологический статус:
- Норма = 0
- Корешковая симптоматика = 1
- Полное повреждение спинного мозга = 2
- Неполное повреждение спинного мозга = 3
- Продолжающаяся компрессия спинного мозга в условиях неврологического дефицита = + 1
• Стабильность:
о Под нестабильностью понимают «нарушение способности позвоночника в условиях физиологических нагрузок поддерживать нормальные анатомические взаимоотношения между позвонками, препятствующее повреждению или ирритации спинного мозга и его корешков или развитию деформации и болевого синдрома» White (1976)
о Пять и более баллов = нестабильность:
- Разрушение передних элементов либо нарушение их функции = 2
- Разрушение задних элементов либо нарушение их функции = 2
- Относительное смещение в сагиттальной плоскости > 3,5 мм = 2
- Относительная ротация в сагиттальной плоскости > 11° = 2
- Положительная проба с растяжением = 2
- Повреждение спинного мозга = 2
- Повреждение корешков = 1
- Патологическое снижение высоты межпозвонкового диска = 1
- Ожидаемое усугубление имеющейся картины при нагрузках = 1
(Слева) КТ, сагиттальный срез: клиновидный взрывной перелом тела С7 позвонка, сопровождающийся подвывихом С6, расширением межтелового пространства между этими двумя позвонками и смещением пластинки дуги.
(Справа) На сагиттальном STIR МР-И отмечается отек костного мозга, связанный с переломами С7 и Т1 позвонков, и выраженный отек превертебральных мягких тканей. В заднем отделе эпидурального пространства видна гематома, умеренно сдавливающая спинной мозг. Признаков кровоизлияния в вещество спинного мозга нет. (Слева) КТ-ангиограмма: типичные признаки тяжелого гиперфлексионного повреждения шейного отдела позвоночника в виде подвывиха С5 с переломом кранио-вентрального угла тела С6 и значительным расширением межостистого промежутка, отражающим разрыв межостистых связок.
(Справа) Сагиттальная КТ-ангиограмма: картина сцепившегося вывиха С5 с переломом вершины верхнего суставного отростка С6. Позвоночная артерия на видимом участке выглядит нормально. (Слева) Т2 TSE, сагиттальная проекция: нарушение целостности кортикальных пластинок С6 и С7 позвонков, характеризующееся низким сигналом. На этом же уровне видны признаки паренхиматозного кровоизлияния и отека спинного мозга, посттравматическая грыжа диска. Также здесь отмечается распространенный отек задних паравертебральных мягких тканей.
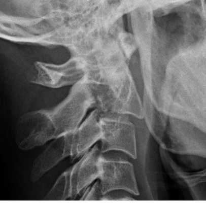
(Справа) На аксиальном GRE МР-И у пациента с флексионной травмой шейного отдела позвоночника видно массивное паренхиматозное кровоизлияние в центральной части спинного мозга, характеризующееся в этом режиме низкой интенсивностью сигнала. Такая картина является плохим прогностическим признаком возможности полноценного функционального восстановления. (Слева) Рентгенограмма в боковой проекции: расширение промежутка между остистыми отростками С6 и С7. Нижний суставной отросток С6 находится впереди верхнего суставного отростка С7.
(Справа) КТ, аксиальный срез: пациент с тяжелой флексионной травмой шейного отдела позвоночника с подвывихом позвонков видны признаки оскольчатого перелома тела и задних элементов позвонка со смещением суставных отростков. (Слева) Т2-ВИ, сагиттальная проекция: признаки антелистеза С7 с расхождением остистых отростков С7-Т1 отеком межостистой связки и спинного мозга.
(Справа) КТ, сагиттальный срез: признаки подвывиха нижнего суставного отростка С7 относительно верхнего суставного отростка Т1. (Слева) КТ, сагиттальный срез: у пациента с флексионной травмой шейного отдела позвоночника определяется взрывной (вследствие аксиальной нагрузки) перелом тела С7 со смещением задне-верхнего края тела позвонка в спинномозговой канал. Расширения межостистого промежутка, которое позволило бы предположить наличие связочного повреждения, нет.
(Справа) STIR МР-И, сагиттальная проекция: признаки отека костного мозга на фоне взрывного перелома тела С7 с небольшим смещением фрагмента в спинномозговой канал и сглаживанием вентральной границы дурального мешка. Сигнал спинного мозга не изменен. Отек мягких тканей по задней поверхности связан с сопутствующим переломом С2 (не показан).
д) Клинические особенности:
1. Клиническая картина:
• Наиболее распространенные симптомы/признаки
о Боль, нарушение функции после травмы шейного отдела позвоночника ± радикулопатия, миелопатия
2. Течение заболевания и прогноз:
• Варьирует и зависит от степени неврологического дефицита
• Может наблюдаться ускорение дегенеративных изменений
3. Лечение:
• Иммобилизация, тракция позвоночника, спондилодез
• Хирургическая декомпрессия при повреждении спинного мозга
• Применение метилпреднизолона в лечении острой травмы спинного мозга не рекомендуется
е) Список использованной литературы:
1. Berry C et al: Compressive flexion and vertical compression injuries of the subaxial cervical spine. Semin Spine Surg. 25(1): 36-44, 2013
2. Aarabi В et al: Management of acute traumatic central cord syndrome (ATCCS). Neurosurgery. 72 Suppl 2:1 95-204, 2013
3. Gelb DE et al: Initial dosed reduction of cervical spinal fracture-dislocation injuries. Neurosurgery. 72 Suppl 2:73-83, 2013
4. Hadley MN et al: Introduction to the Guidelines for the Management of Acute Cervical Spine and Spinal Cord Injuries. Neurosurgery 72 Suppl 2:5-16, 2013
5. Ivancic PC: Neck injury response to direct head impact. Accid Anal Prev. 50:323-9, 2013
6. Walters BC et al: Guidelines for the management of acute cervical spine and spinal cord injuries: 2013 update. Neurosurgery. 60 Suppl 1:82-91, 2013
7. Ivancic PC: Head-first impact with head protrusion causes noncontiguous injuries of the cadaveric cervical spine. Clin J Sport Med. 22(51:390-6, 2012
8. Dusseldorp JR et al: Unrecognized ligamentous instability due to high-energy, low-velocity mechanism of injury. J Clin Neurosci. 17(1): 139—41,2010
9. Hoit DA et al: Angiographic detection of carotid and vertebral arterial injury in the high-energy blunt trauma patient. J Spinal Disord Tech. 21 (4):259-66, 2008
10. Miyanji F et al: Acute cervical traumatic spinal cord injury: MR imaging findings correlated with neurologic outcome-prospective study with 100 consecutive patients. Radiology. 243(3):820-7, 2007
11. Bono CM et al: Measurement techniques for lower cervical spine injuries: consensus statement of the Spine Trauma Study Group. Spine (Phila Pa 1976). 31(5):603-9, 2006
МРТ, КТ гиперфлексионной травмы шейного отдела позвоночника
а) Терминология:
• Повреждения, возникающие вследствие избыточного сгибания шейного отдела позвоночника в сочетании с осевой компрессией или избыточного сгибания в сочетании с дистракцией/сдвигом
б) Визуализация гиперфлексионной травмы шейного отдела позвоночника:
• Гиперфлексия с компрессией:
о Форсированное сгибание шейного отдела позвоночника в сочетании с аксиальной нагрузкой, вектор которой расположен несколько кпереди от позвоночного столба
о Первичное повреждение передней и (затем) средней колонн
• Гиперфлексия с дистракцией:
о Форсированное сгибание шейного отдела позвоночника с краниально ориентированным вектором силы, который практически перпендикулярен телу
о Первичное повреждение задней и (затем) средней колонн
о Фокальная кифотическая деформация, увеличение расстояния между остистыми отростками, дистракционное повреждение, подвывих или вывих в дугоотростчатых суставах
• Наиболее часто повреждения локализуются на уровне средне- или нижнешейного отдела позвоночника:
• Наиболее информативный метод диагностики:
о Тонкосрезовая (< 1 мм) спиральная КТ с сагиттальной и фронтальной реконструкцией
о МРТ (особенно в режимах STIR и GRE) для оценки состояния мягкотканных образований, спинного мозга
(Слева) На сагиттальной схеме показана флексионная травма С4-С5 сегмента с развитием подвывиха, разрывом межпозвонкового диска, травматической грыжей диска, разрывом связок, сдавлением спинного мозга и эпидуральным кровоизлиянием.
(Справа) Т2-ВИ, сагиттальная проекция: тяжелая флексионная травма шейного отдела позвоночника с подвывихом С5 позвонка, сгибательной деформацией, тяжелым сдавлением спинного мозга и его отеком. Обратите внимание на признаки разрыва задних связок. (Слева) КТ, сагиттальный срез с КУ: пациент с флексионной травмой шейного отдела позвоночника, нижний суставной отросток С6 располагается впереди верхнего суставного отростка С7 Б («сцепившийся вывих»).
(Справа) КТ, аксиальный срез с КУ: пациент с флексионной травмой шейного отдела позвоночника с «сцепившимся вывихом», нижние суставные отростки С6 располагаются впереди верхних суставных отростков С7 (такая рентгенологическая картина носит название признака «обнаженных фасеток» или признака «гамбургера»).
в) Дифференциальная диагностика:
• Взрывной перелом
• Флексионно-ротационное повреждение
• Хлыстовая травма
г) Патология:
• Нестабильность позвоночника
• Травма спинного мозга, радикулопатия
• Нередкое сочетание с закрытой черепно-мозговой травмой, политравма
д) Клинические особенности гиперфлексионной травмы шейного отдела позвоночника:
• Иммобилизация, тракция позвоночника, спондилодез
• Хирургическая декомпрессия при повреждении спинного мозга
• Применение метилпреднизолона в лечении острой травмы спинного мозга не рекомендуется
Лучевая диагностика гиперфлексионно-ротационного повреждения шейного отдела позвоночника
а) Определения:
• Гиперэкстензионная травма шейного отдела позвоночника, возникающая при эксцентрично действующем векторе силы, вызывающем ротацию позвоночника и асимметричные повреждения
1. Общие характеристики:
• Наиболее значимый диагностический признак:
о Асимметричный гиперэкстензионный характер повреждений задней колонны
• Локализация:
о Ниже уровня С2, наиболее часто — С6 и С7
• Перелом суставных отростков:
о Простой или вдавленный/оскольчатый перелом
о Переломы верхних суставных отростков чаще бывают связаны с радикулопатией
• Перелом суставной колонны:
о Простой или вдавленный/оскольчатый перелом
о Может распространяться на пластинку дуги
• Сочетание переломов корней дуг и пластинок дуг с одной и той же стороны = травматическая сепарация суставной колонны шейного позвонка:
о Нестабильное повреждение
• На уровне повреждения может наблюдаться в той или иной степени выраженная ротация позвоночника
2. МРТ при гиперфлексионно-ротационном повреждении шейного отдела позвоночника:
• Т1-ВИ:
о Позволяет выявить изменение анатомии позвоночника, однако не дает возможности увидеть сам перелом
• STIR:
о Отек мягких тканей
о Отек костного мозга на фоне контузии кости, перелома
3. Рекомендации по визуализации:
• Наиболее оптимальный метод диагностики:
о Тонкосрезовая (< 1 мм) спиральная КТ с сагиттальной и фронтальной реконструкцией
• Протокол исследования:
о Рентгенография должна включать косые проекции, позволяющие оценить анатомию межпозвонковых суставов, суставных колонн
о Наиболее информативным методом диагностики переломов является КТ
о МРТ (особенно в режиме STIR) применяется для оценки состояния связочных структур и спинного мозга

(Слева) КТ, аксиальный срез: односторонний перелом суставной колонны С6, распространяющийся на пластинку дуги.
(Справа) КТ, сагиттальный срез: у этого же пациента отмечается распространение перелома суставной колонны на одноименную пластинку дуги.
1. Гиперфлексионное повреждение шейного отдела позвоночника:
• Повреждение задней колонны обычно более или менее симметрично
• Чаще осложняется повреждением спинного мозга
• Ротационная деформация отсутствует
2. Гиперфлексионно-ротационное повреждение шейного отдела позвоночника:
• Чаще наблюдаются дистракционные повреждения задней колонны: подвывихи и вывихи дугоотростчатых суставов
• Ротационная деформация более заметна
3. Повреждение в результате бокового сгибания:
• Имеет место перелом тела позвонка
г) Патология. Общие характеристики:
• Этиология:
о Форсированное разгибание шейного отдела позвоночника
о Эксцентрично действующий вектор силы приводит к асимметричному распределению аксиальной нагрузки или сдвигу и асимметричным повреждениям дугоотростчатых суставов, суставных колонн и дуг позвонков:
- Простой или оскольчатый перелом суставных отростков, суставных колонн
- Перелом пластинок дуг
о При более тяжелых повреждениях может иметь место ротационный листез позвонка
• Сочетанные травмы:
о Ротационная нестабильность
о Радикулопатия

(Слева) На фронтальном КТ-срезе у пациента с гиперэкстензионно-ротационным повреждением шейного отдела позвоночника виден односторонний оскольчатый перелом правой суставной колонны С7 с незначительным смещением фрагментов.
(Справа) КТ, аксиальный срез: перелом правой суставной колонны и пластинки дуги С6, приводящий к травматической сепарации суставной колонны.
г) Клинические особенности:
1. Клиническая картина:
• Наиболее распространенные симптомы/признаки:
о Боль, функциональные нарушения после травмы шейного отдела позвоночника
о Радикулопатия
о Повреждение спинного мозга встречается нечасто
2. Течение заболевания и прогноз:
• Варьируют в зависимости от выраженности неврологического дефицита
• Может иметь место ускоренное развитие дегенеративных изменений
3. Лечение:
• Варианты, риски, осложнения:
о Иммобилизация и тракционное лечение:
- Консервативное лечение неэффективно в 0-50% случаев
о Спондилодез, ± декомпрессия
Судебно-медицинская диагностика механизма гиперфлексионно-гиперэкстензионной травмы шейного отдела позвоночника и спинного мозга
библиографическое описание:
Судебно-медицинская диагностика механизма гиперфлексионно-гиперэкстензионной травмы шейного отдела позвоночника и спинного мозга / Баринов Е.Х., Исаченков П.В. // Мат. VI Всеросс. съезда судебных медиков. — М.-Тюмень, 2005. — С. 42.
код для вставки на форум:
В настоящее время довольно много работ иностранных авторов посвящены изучению механизма «хлыстовых» повреждений шейной части позвоночника, которые наблюдаются чаще всего при автомобильных травмах (Billig, 1956, Cammack, 1957, Volobra, 1964, Rituccii G., Falzig, 1966).
По данным американских экспертов в США ежегодно свыше 1 млн. человек подвергаются гиперфлексионно-гиперэкстензионной травме шеи (ГГТШ). Примерно 25% всех случаев ГГТШ заканчивается хроническими болями и потерей трудоспособности (Скоромец А. А., Новосельцев С. В., 2002).
Внезапное движение нефиксированной головы, приводящее к гиперфлексионно-гиперэкстензионной травме шеи (ГГТШ), чаще всего возникает в результате резкого торможения или ускорения движения автомобиля в момент автодорожного столкновения, реже – в спорте, на производстве, в быту или вследствие других причин (La Rocca H., 1978). Особенно часто ГГТШ возникает в ситуации, когда водитель автомашины не успевает вовремя затормозить и врезается в стоящий впереди автомобиль (Castro W. H. M., Schilgen M., Meyer S., 1997). Передний автомобиль смещается кпереди, а у сидящих в нем людей голова по инерции вначале откидывается назад, а затем совершает форсированное сгибание. Это двухэтапное («хлыстовое») движение и является причиной повреждения шеи. У людей, сидящих в заднем автомобиле, движения головы происходят в обратной последовательности, но также способны вызвать повреждение шеи. При лобовых или боковых столкновениях автомобилей ГГТШ возникает реже. Исходя из трех механизмов действия травмирующей силы, можно сделать вывод, что при столкновении спереди и сзади деформации будут развиваться во фронтальной плоскости, т. к. удар происходил в сагиттальной плоскости. При боковых ударах деформации происходят в сагиттальном плане, поскольку удар пришелся во фронтальной плоскости.
Травмирование тканей шеи в большей степени происходит при растяжении, чем при сдавлении (чтобы вызвать повреждение шейных позвонков, при растяжении в среднем необходима сила всего в 160-360 кг, а при сдавлении – 1350-1800 кг) (Yogandan N., Pintar F. A., Kleinberger M., 1999). Тяжесть повреждения зависит от соотношения инерционных масс двух сегментов тела (с одной стороны головы и верхнешейного отдела позвоночника, с другой стороны нижнешейного отдела туловища), а также величины и направленности ускорения (West D. H., Gough J. P., Harper T. K., 1993). Повреждения обычно возникают в результате превышения так называемого физиологического лимита движений для шейного отдела позвоночника.
Но иногда повреждение шеи происходит в том случае, когда амплитуда сгибания или разгибания не превышает нормальный объем движений. Биомеханический анализ показывает, что шея при ГГТШ не просто разгибается или сгибается, а совершает более сложное движение. Перед форсированным сгибанием голова компенсаторно смещается вперед (за счет частичного разгибания в верхнешейном отделе), а перед экстензией компенсаторно смещается назад, при этом отмечается небольшое сгибание в верхнешейном отделе. Наиболее значительное повреждение может возникать именно в точках максимального вытягивания или ретракции.
M.M. Panjabi, K. Abumi, J. Duranceau, J. Crisco (1988) экспериментальным путем установили, что критическая величина ускорения, вызывающая повреждение шейного отдела, неодинакова на разных уровнях: она минимальна на уровне C V -C VI (4g) и максимальна на уровне C II -C III (10g). По мнению этих авторов, повреждение мягкотканевых образований как в верхнешейном, так и особенно в нижнешейном отделах, вызванное растяжением передних элементов позвоночно-двигательного сегмента, происходит в момент флексии верхнеешейного отдела и экстензии средне- и нижнешейного отдела. При дальнейшей экстензии шейного отдела, которая происходит путем взаимного скольжения фасеточных суставов в нижнешейном отделе позвоночника, мягкие ткани страдают в меньшей степени, так как это движение чаще всего происходит в физиологических пределах. Однако поскольку лимит экстензии этого отдела позвоночника ограничен, при дальнейшем увеличении нагрузки возникают разрыв связок, компрессионные переломы позвонков и основания черепа.
Повреждение корешков в межпозвонковых отверстиях происходит вследствие резкого изменения градиента давления во время форсированного сгибания и переразгибания. Площадь позвоночного канала при гиперэкстензии уменьшается за счет внедрения желтой связки, при гиперфлексии увеличивается, поэтому в результате внезапных движений возникают колебания давления, которые также могут повреждать ткани шейного отдела.
Помимо гиперфлексионно-гиперэкстензионного механизма повреждения, являющегося основным в 70% случаев ГГТШ, повреждение может происходить в результате скручивания шеи при резком повороте туловища вокруг своей оси (ротационный механизм) (Gately M.S., 1968). При этом неизбежно возникают боковые смещения головы, которые приводят к сдавлению суставных поверхностей на ипсилатеральной стороне (в фазе гиперэкстензии) и растяжению капсулы сустава на противоположной стороне (в фазе гиперфлексии). При наличии ротации головы в момент травмы ГГТШ часто бывает более тяжелой (Radanov B.P., Di Stefano G., 1995).
Последствия травмы зависят и от степени сокращения мышц шеи во время травмы. При неожиданном столкновении мышцы обычно расслаблены, благодаря чему размах колебаний головы максимален, в силу этого при гиперэкстензии повреждаются передние связки и мышцы, а при гиперфлексии – задние связки и мышцы. Если при столкновении у пострадавшего произошло напряжение мышц, то колебательные движения головы ограничиваются, но при этом увеличивается риск повреждения позвонков и межпозвонковых дисков. Если пострадавший успел частично среагировать на столкновение, но его мышцы сократились недостаточно, чтобы существенно ограничить колебания головы, то в результате сочетания компрессии и растяжения в фазе сгибания может возникнуть задний пролапс межпозвонкового диска. Однако если пострадавший успевает втянуть голову в плечи, травма обычно бывает менее значительной.
Следует подчеркнуть, что нет прямой зависимости тяжести ГГТШ от степени повреждения автомобиля: ГГТШ чаще наблюдается у пассажиров легко или умеренно поврежденного автомобиля. Место, которое занимал в машине пострадавший, не оказывает существенного влияния на тяжесть травмы. При пользовании ремнями безопасности риск ГГТШ несколько повышается, но их способность предотвращать другие повреждения существенно перекрывает в сумме этот негативный эффект (Левин О. С., Макаров Г В, 2002).
Анатомо-физиологические особенности краниоцервикальной области – высокая мобильность, обилие мелких суставов с тонкими и эластичными капсулами и менисками, способными ущемляться в суставных капсулах, наличие унковертебральных сочленений, более низкая по сравнению с другими отделами позвоночника прочность и упругость шейных межпозвонковых дисков, относительно малая прочность некоторых связок, а также значительное количество небольших мышц с различными точками прикрепления – создают условия для возникновения широкого спектра повреждений. При ГГТШ могут пострадать любые структуры шейного отдела: позвонки, межпозвонковые диски и суставы, мышцы, связки, сосуды, нервы. ГГТШ может приводить и к повреждению спинного и головного мозга – при патоморфологическом исследовании у больных с ГГТШ выявляются дистрофические изменения проводящих путей, нейронов латерального вестибулярного ядра, красного ядра. При сильной травме возможно растяжение внутренней сонной, а также позвоночной артерий с развитием небольших аневризм или тромбозов артерий (Прохорский А.М., 1975).
похожие статьи
Возможные ошибки при определении давности тупой травмы шеи / Бадяева Е.Е. // Избранные вопросы судебно-медицинской экспертизы. — Хабаровск, 2019. — №18. — С. 49-50.
Особенности повреждений шеи при сдавлении плечом и предплечьем / Подпоринова Е.Э. // Матер. IV Всеросс. съезда судебных медиков: тезисы докладов. — Владимир, 1996. — №2. — С. 14-15.
Закрытая тупая травма спинного мозга / Пиголкин Ю.И., Мамрова Г.П. // Матер. IV Всеросс. съезда судебных медиков: тезисы докладов. — Владимир, 1996. — №1. — С. 103-104.
К судебномедицинской характеристике повреждений позвоночника / Джигора С.Т., Кабаков Б.З. // Судебно-медицинская экспертиза. — М., 1966. — №3. — С. 7-12.
Травма шейного отдела позвоночника

Рентгенограмма. Подвывих в шейном отделе позвоночника. Цветовая обработка изображения.
Половина всех случаев переломов позвоночника приходится на шейный отдел. Многие травмы шейного отдела позвоночника угрожают жизни пациента для жизни пациента. Поэтому они требуют неотложных мероприятий.
Классификация
Переломы верхнешейного отдела:
- перелом кольца С1, вызванный падением
- боковое смещение боковых масс свыше 7 мм, разрыв поперечной связки и нестабильность

Перелом С1 Джефферсона. Рентгенография через открытый рот. С обеих сторон расширено расстояние от нижних площадок ножек С2 до боковых масс С1. Боковые массы С1 смещены латерально и перестают быть в линию с боковыми массами С1.
Перелом зуба может симулировать аномалия развития, известная как третий мыщелок.

аномалия развития – третий мыщелок
- в сагиттальной плоскости: передне-заднее расстояние больше 4 мм, что обусловлено повреждением поперечной связки
- ротационная: асимметрия зубовидного отростка по отношению к боковым массам С1 и уменьшение расстояния в суставах между боковыми массами С1 и С2
Переломы зубовидного отростка:
- Тип I – выше основания отростка (встречаются редко, стабильны)
- Тип II – в основании отростка (обычно нестабильны). У детей до 6 лет эпифизарная линия может напоминать перелом.
- Тип III – распространение перелома на тело

Перелом С2. Рентгенограмма в боковой проекции. Кольцо незамкнуто вследствие смещения зубовидного отростка назад.
Перелом повешенного (нестабильны)
- Травматический спондилолистез С2-С3
- Перелом обеих ножек С2 со смещением тела С2 на С3

Перелом С2 «повешенного». Рентгенограмма в боковой проекции. Смещение тела С2 вперед, отрыв задних элементов.
Переломы нижнешейного отдела:
По сгибательному механизму
- Компрессионный перелом тел позвонков
- Повреждение
Все диагностические исследования проводятся после иммобилизации и первичного клинического обследования. Показаниям к лучевой диагностике служат боли, неврологическая симптоматика, сопутствующая травма головы и дизориентированность пациента. Выявление у пациента плегии и полного выпадения чувствительности, либо выявление синдрома Броун-Секара указывает на тяжелое повреждение спинного мозга костными элементами.
Обследование начинается со стандартной рентгенографии в 3 проекциях – боковой, передне-задней (прямой) и через рот.

Схема. Ход рентгеновского луча и расположение кассеты с пленкой при снимке через рот.
Если пациент находится в бессознательном состоянии, то рентгенография через рот невыполнима и заменяется КТ.
КТ является методом выбора для оценки костного повреждения. Однако более полную информацию о состоянии спинного мозга даёт МРТ.

КТ. Перелом тела С2 (красные стрелки).
Особую категорию составляют пациенты, у которых, несмотря на наличие неврологической симптоматики, не выявляется изменений при рентгенографии или КТ. Число таких пациентов составляет около 10%. Среди различных механизмов подобных травм наиболее вероятна кратковременная компрессия спинного мозга задней продольной связкой и дисками, либо, жёлтой связкой и пластиной дуги. Посколько резкие сгибания и разгибания наблюдаются при высокой подвижности в сегментах, такие травмы более вероятны в шейном отделе позвоночника. Спондилолиз усугубляет эту ситуацию, приводя к центральному синдрому спинного мозга. В этих случаях необходимой является МРТ позвоночника. Характерными находками, которые мы часто видим при травмах при МРТ в СПб, являются отёк спинного мозга и гематома, причём последняя при МРТ позвоночника плохим прогностическим фактором в отношении восстановления неврологического дефицита. К наиболее тяжелым осложнениям шейной травмы относится расслоение магистральных артерий, определяемое по МРТ, МРА или КТ и КТА. В высоком поле такой вид травм лучше виден чем в открытом МРТ. МРТ СПб позволяет выбирать место МРТ, однако, острая травма шейного отдела позвоночника требует высокоспециализированного нейрохирургического отделения
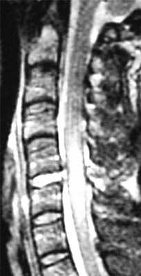
МРТ шейного отдела позвоночника. Острая травма. Компрессия спинного мозга, отек и контузия. Сагиттальная Т2-взвешенная МРТ.

МРТ шейного отдела позвоночника. Аксиальная Т2-взвешенная МРТ. Кровоизлияние в спинной мозг.

МРТ шейного отдела позвоночника. Т2-взвешенная сагитальная МРТ. Острая травма с повреждением задних элементов позвонков и отеком спинного мозга.

МРТ шейного отдела позвоночника. Острая травма. Отёк спинного мозга. Сагиттальная Т2-взвешенная МРТ.
Читайте также:
- Рентгенограмма, КТ, МРТ при нейрофиброматозе
- Острое отравление нефротоксическими ядами. Механизмы токсической острой почечной недостаточности
- Модификаторы канцерогенеза. Активаторы развития раковой опухоли.
- Влияние блуждающего нерва на сердце. Симпатическая регуляция сердца
- Синдром Лемье — Нимех: синдром Шарко-Мари-Тута, нефрит и глухота
