Лучевая диагностика метастаза в стенку тонкой кишки и лимфомы тонкой кишки
Добавил пользователь Евгений Кузнецов Обновлено: 31.01.2026
Рак тонкого кишечника - злокачественное опухолевое поражение отделов тонкого кишечника: двенадцатиперстной, тощей или подвздошной кишки. Рак тонкого кишечника проявляет себя диспепсическими расстройствами (тошнотой, рвотой, метеоризмом, спастическими болями в животе), похуданием, кровотечениями, кишечной непроходимостью. Диагностика рака отделов тонкого кишечника может проводиться с помощью ФГДС, рентгенографии, капсульной эндоскопии, колоноскопии, сцинтиграфии ЖКТ, томографии, эндоскопической биопсии, лапароскопии. Лечение рака тонкого кишечника заключается в резекции пораженного участка кишки, иссечении регионарных лимфоузлов и брыжейки, наложении энтероэнтероанастомоза.
Общие сведения
В структуре злокачественных опухолей пищеварительного тракта рак тонкого кишечника составляет 1-2%. Среди новообразований тонкого кишечника в гастроэнтерологии чаще встречается рак 12-перстной кишки (около 50% случаев); реже – рак тощей кишки (30%) и рак подвздошной кишки (20%). Рак тонкого кишечника – заболевание, поражающее преимущественно мужчин в возрасте старше 60 лет.
Причины рака тонкого кишечника
В большинстве случаев рак тонкого кишечника развивается на фоне хронических ферментативных или воспалительных заболеваний ЖКТ (целиакии, дуоденита, язвенной болезни, энтерита, болезни Крона, неспецифического язвенного колита, дивертикулита) или эпителиальных доброкачественных опухолей кишечника. Преобладающее поражение 12-перстной кишки объясняется раздражающим действием желчи и сока поджелудочной железы на начальный отдел тонкого кишечника, а также его активным контактом с канцерогенами, поступающими в пищеварительный тракт с пищей.
Случаи спорадического или семейного аденоматозного полипоза являются факторами повышенного риска развития рака тонкого кишечника. Вероятность возникновения рака тонкого кишечника выше у курильщиков, лиц, подвергшихся радиационному облучению, страдающих алкогольной зависимостью; людей, в чьем рационе преобладают животные жиры, консервированные продукты, жареная пища.
Существует определенная взаимная зависимость между раком толстой кишки и опухолевым поражением тонкого кишечника.
Классификация рака тонкого кишечника
По характеру роста опухолевой ткани различают экзофитный и эндофитный рак тонкого кишечника. Экзофитные опухоли растут в просвет кишки, вызывая ее сужение и развитие кишечной непроходимости; макроскопически могут напоминать полип или цветную капусту. Эндофитные формы рака инфильтрируют стенку тонкого кишечника в глубину, сопровождаясь кишечным кровотечением, перфорацией и перитонитом.
По гистологической структуре злокачественные опухоли тонкого кишечника чаще представлены аденокарциномой; реже в онкологической практике встречаются саркомы, карциноид, лимфома кишечника.
Согласно клинико-анатомической классификации по международной системе TNM, в развитии рака тонкого кишечника выделяют стадии:
- Tis - преинвазивный рак
- T1 – опухолевая инвазия подслизистого слоя кишки
- Т2 – опухолевая инвазия мышечного слоя кишки
- ТЗ – опухолевая инвазия субсерозного слоя кишки или забрюшинного пространства на участке не более 2-х см
- Т4 – прорастание опухолью висцеральной брюшины, неперитонизированных участков протяженностью более 2-х см, прилежащих к кишке структур или органов.
- N0 и M0 – отсутствие регионарного и отделенного метастазирования
- N1 – метастатическое поражение регионарных лимфоузлов (панкреатодуоденальных, пилорических, печеночных, брыжеечных).
- Ml – наличие отдаленных метастазов в брюшину, печень, сальник, легкие, почки, кости, надпочечники.
Симптомы рака тонкого кишечника
Проявления рака тонкого кишечника характеризуются полиморфизмом, что связано с вариабельностью локализации, гистологии и размеров опухоли. В начальных стадиях беспокоят периодически повторяющиеся спастические боли в животе, неустойчивость стула (поносы и запоры), метеоризм, тошнота и рвота. Отмечается интоксикация, прогрессирующее снижение массы тела, что связано, как с пониженным питанием, так и с ростом опухоли.
Деструктивные процессы при раке тонкого кишечника могут приводить к развитию кишечного кровотечения, перфорации кишечной стенки, попаданию содержимого в брюшную полость и перитониту. Экзофитный рост опухолей часто сопровождается обструктивной кишечной непроходимостью с соответствующей клиникой. При сдавливании опухолью соседних органов может развиваться панкреатит, желтуха, асцит, ишемия кишечника.
Иногда отмечается сращение опухоли с соседними кишечными петлями, мочевым пузырем, толстым кишечником, сальником с образованием единого малоподвижного конгломерата. При изъязвлении и распаде рака тонкого кишечника могут возникать кишечные свищи.
Диагностика рака тонкого кишечника
Диагностический алгоритм при раке тонкого кишечника различной локализации имеет свои особенности. Так, в распознавании опухолей 12-перстной кишки ведущую роль играет фиброгастродуоденоскопия и контрастная рентгеноскопия. Для диагностики опухолей терминального отдела подвздошной кишки информативными могут быть колоноскопия и ирригоскопия.
Важную роль в диагностике рака тонкого кишечника играет рентгенография пассажа бария, позволяющая выявить препятствия на пути продвижения контрастного препарата, участки стенозов и супрастенотического расширения кишки. Ценность эндоскопических исследований заключается в возможности проведения биопсии для последующей морфологической верификации диагноза. Определенный диагностический интерес может представлять проведение селективной ангиографии брюшной полости.
С целью выявления метастазов и прорастания рака тонкого кишечника в органы брюшной полости выполняется УЗИ (печени, поджелудочной железы, почек, надпочечников), МСКТ брюшной полости, рентгенография грудной клетки, сцинтиграфия костей. В неясных случаях целесообразно проведение диагностической лапароскопии.
Рак тонкого кишечника необходимо дифференцировать от туберкулеза кишечника, окклюзии мезентериальных сосудов, доброкачественных опухолей тонкого кишечника, болезни Крона, дистопии почки, забрюшинных опухолей, у женщин – от опухолей придатков и матки.
Лечение рака тонкого кишечника
При операбельности рака тонкого кишечника наиболее эффективно проведение широкой резекции пораженного участка кишки и лимфоузлов, иссечение брыжейки. Протяженность тонкого кишечника позволяет выполнять радикальное удаление опухоли в границах здоровых тканей. Целостность ЖКТ восстанавливается путем наложения энтероэнтероанастомоза (тонкой кишки в тонкую) или энтероколоанастомоза (тонкой кишки в толстую).
При раке 12-перстной кишки показана дуоденэктомия, иногда с дистальной резекцией желудка или резекцией поджелудочной железы (панкреатодуоденальная резекция). При запущенном раке тонкого кишечника, не позволяющем осуществить радикальную резекцию, производится наложение обходного анастомоза между непораженными петлями кишки. Хирургический этап лечения рака тонкого кишечника дополняется химиотерапией; этот же метод может являться единственным способом лечения неоперабельных опухолей.
Прогноз и профилактика рака тонкого кишечника
Отдаленный прогноз при раке тонкого кишечника определяется стадиальностью процесса и гистологической структурой новообразования. При локализованных опухолевых процессах без регионарных и отдаленных метастазов радикальная резекция позволяет достичь 35—40% выживаемости в течение последующего 5-летнего периода.
Профилактика рака тонкого кишечника требует своевременного удаления доброкачественных опухолей кишки, наблюдения у гастроэнтеролога пациентов с хроническими воспалительными процессами ЖКТ, отказ от курения, нормализацию питания.
Лучевая диагностика метастаза в стенку тонкой кишки и лимфомы тонкой кишки
Рентгенограмма, КТ, ПЭТ при лимфоме тонкой кишки
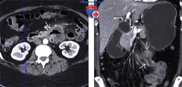
Лимфома тонкой кишки у мужчины 70 лет.
(а) При КТ с контрастированием визуализируется циркулярная инфильтрирующая опухоль (стрелки) тонкой кишки с аневризматическим расширением вовлеченного просвета.
(б) При ПЭТ-КТ с использованием 18F-FDG выявляется гиперметаболизм лимфомы тонкой кишки (стрелки). Множественные лимфомы тонкой кишки у мужчины 34 лет.
При КТ в коронарной проекции визуализируется циркулярное утолщение стенки (белые стрелки) в области терминального отдела подвздошной кишки с легким, гомогенным накоплением контрастного вещества.
Отмечается аневризматическое расширение вовлеченного сегмента. Выявляются множественные увеличенные лимфатические узлы (белые указатели) брыжейки.
Спаянные лимфатические узлы пережимают лимфатический сосуд (черные указатели) с образованием «симптома сэндвича».
Также сегментарное утолщение стенки отмечается в тощей кишке (черная стрелка). Визуализируется кишечно-кишечная инвагинация.
Было установлено, что опухоли тощей кишки и терминального отдела подвздошной кишки представляют собой лимфому Беркитта. Лимфома тонкой кишки (диффузная крупноклеточная В-клеточная лимфома) у мужчины 66 лет.
(а) На прицельной рентгенограмме при пассаже бария по тонкой кишке выявляется неравномерное утолщение складок кишки (стрелки).
(б) При КТ с контрастированием в коронарной проекции визуализируется сегментарное циркулярное утолщение стенки (стрелки) вовлеченного сегмента тонкой кишки с гомогенным накоплением контрастного вещества.
Лимфома желудочно-кишечного тракта может быть как первичной, так и вторичной. Первичная лимфома ЖКТ является самым распространенным проявлением экстранодальной лимфомы и составляет 30-40% случаев. При первичных желудочно-кишечных лимфомах самым часто вовлекаемым органом является желудок (60-75%). Вторым по частоте поражения органом является тонкая кишка — около 20% случаев.
Вторичная лимфома желудочно-кишечного тракта как правило обусловлена диссеминированным поражением лимфатических узлов со вторичным вовлечением тонкой кишки. Лимфомы тонкой кишки обычно представлены В-клеточными лимфомами, в большинстве случаев — диффузными крупноклеточными В-клеточными лимфомами (ДКВЛ). Другим частым типом лимфомы тонкой кишки является экстранодальная лимфома из клеток краевой зоны, ассоциированная со слизистыми оболочками (MALT-лимфома). Т-клеточные лимфомы не характерны, однако все чаще встречаются среди пациентов, страдающих целиакией (Bautista-Quach et al., 2012).
При В-клеточных лимфомах тонкой кишки чаще поражается терминальный отдел подвздошной кишки, что предположительно обусловлено широкой представленностью в нем лимфоидной ткани, в то время как при Т-клеточных лимфомах чаще вовлекается тощая кишка (Chang и Menias, 2013). К клиническим признакам лимфомы тонкой кишки относятся боль в животе, анемия, потеря веса и пальпируемое объемное образование брюшной полости.
Лимфома тонкой кишкиа характеризуется большим разнообразием рентгенологических проявлений. Чаще всего она представляет собой циркулярно инфильтрирующую опухоль, которая может сопровождаться аневризматической дилатацией пораженного просвета. При КТ с контрастированием отмечается циркулярное утолщение стенки с легким или умеренным гомогенным накоплением контрастного вещества.
Аневризматическая дилатация тонкой кишки возникает в результате деструкции вегетативных нервных сплетений собственной пластинки, приводящей к снижению тонуса гладкой мускулатуры. Необходима дифференциальная диагностика с инфильтративным типом аденокарциномы, при котором аневризматическое расширение кишки не отмечается. При лимфоме тонкой кишки обычно отсутствует десмопластическая реакция. К другим вариантам лимфомы тонкой кишки относятся единичные или множественные узловые или полиповидные образования.
При этих узловых и полиповидных поражениях необходимо проводить дифференциальный диагноз с карциноидом, ГИСО или метастатическим поражением. Лимфома брыжейки может вовлекать тонкую кишку вторично. Такие опухоли лучше всего визуализируются при КТ с контрастированием. ПЭТ-КТ при лимфоме тонкой кишки достаточно широко применяют для первоначального определения стадии, прогноза и ответа на лечение.
а) Терминология:
• Метастатическое поражение тонкой кишки, обусловленное первичной опухолью внекишечной локализации
• Первичная лимфома тонкой кишки:
о Ограничена кишкой ± брыжеечными лимфоузлами
• Вторичная лимфома:
о Вовлечение селезенки, печени, грудных лимфоузлов
б) Визуализация метастаза в стенку тонкой кишки и лимфомы:
• Метастазы в стенке тонкой кишки
• Наиболее часто первичная опухоль-злокачественная меланома:
о Метастазы меланомы - образования в стенке кишечника и брыжейке тонкой кишки, накапливающие контраст
о Имеют вид «мишени», могут обусловливать инвагинацию
• Метастазы рака легкого и молочной железы
о Являются скиррозными опухолями
о Обусловливают преимущественно обструкцию просвета
• Интраперитонеальные метастазы опухолей яичника, ЖКТ
о Метастазы в серозной оболочке приводят к формированию спаек с фиксацией петель тонкой кишки и функциональной обструкции
• Лимфома тонкой кишки
• Циркулярная форма: новообразование (-я) в виде «сосиски»:
о Редко бывают обструктивными, могут обусловливать аневризматическую дилатацию
• Полиповидная форма: поражения в виде «бычьего глаза» или «мишени»
• Поражение брыжейки: объемные образования тонкой кишки и увеличение лимфоузлов
(Слева) На аксиальной КТ с контрастным усилением у мужчины 58 лет с известной злокачественной меланомой визуализируется одно из нескольких мягкотканных образований в брыжейке. Метастазы, вероятно, стали причиной инвагинации.
(Справа) На аксиальной КТ с контрастом у этого же пациента, выполненной спустя пять месяцев после обнаружения инвагинации длинного сегмента, определяется один из метастазов в стенке кишечника, ставший ее причиной. (Слева) На аксиальной КТ с контрастным усилением у мужчины 46 лет с известной неходжкинской лимфомой определяется распространенное мультифокальное утолщение стенки кишечника и аневризматическая дилятация просвета подвздошной кишки.
(Справа) На корональной КТ с контрастным усилением у этого же пациента определяется распространенная лимфаденопатия брыжейки, а также обрастание брыжеечных сосудов, но без обструкции кишечника либо сосудов. Также визуализируются множественные очаги лимфомы.
в) Дифференциальная диагностика:
• Первичный рак тонкой кишки:
о Солитарное образование, обструкция просвета
• Инфекционные и воспалительные причины:
о Повышенное контрастное усиление слизистой оболочки и подслизистый отек
г) Клинические особенности:
• Метастазы: чаще обусловлены меланомой, затем раком легкого, молочной железы и других органов. Могут возникать спустя годы после удаления первичной опухоли
• Лимфома составляет половину злокачественных опухолей тонкой кишки:
о Возникает у пациентов со сниженным иммунитетом (например, у реципиентов трансплантатов, ВИЧ-инфицированных), а также страдающих целиакией
Опухоли тонкого кишечника
Опухоли тонкого кишечника – новообразования различной гистологической структуры, поражающие любой из отделов тонкой кишки. Симптомы заболевания зависят от расположения опухоли и могут включать боли в животе, интоксикацию, анемию, кахексию, чередование запоров и поносов, кровотечения, явления кишечной непроходимости. Для установления характера и локализации опухолевого поражения используют эндоскопическое исследование с биопсией, УЗИ органов брюшной полости, рентгенологические методики, диагностическую лапароскопию. Лечение опухолей тонкого кишечника хирургическое, при необходимости дополненное химиотерапией.
Опухоли тонкого кишечника – группа доброкачественных либо злокачественных новообразований, поражающих двенадцатиперстную, подвздошную и тощую кишку. Опухоль, локализованная в тонкой кишке, прижизненно диагностируется крайне редко, так как не имеет яркой симптоматики и успешно маскируется под другие заболевания. Несмотря на то, что тонкая кишка представляет собой 3/4 всей длины пищеварительного тракта и более 90% его площади, опухоли этой части ЖКТ встречаются лишь в 0,5-3,5% случаев. Злокачественные опухоли тонкой кишки диагностируются еще реже и составляют 0,01% всей онкопатологии тонкого кишечника.
Редкую встречаемость злокачественных новообразований тонкой кишки связывают с особенностями ее строения и функционирования: активная перистальтика и щелочная среда препятствуют застою содержимого и размножению бактерий, а кишечная стенка выделяет различные защитные и противоопухолевые агенты, инактивирующие канцерогенные вещества. Опухоли тонкой кишки практически никогда не диагностируются у детей, а у взрослых пик выявляемости приходится на возраст 40-50 лет, не зависит от пола. Доброкачественные новообразования чаще поражают двенадцатиперстную и подвздошную кишку, а злокачественные – дистальные отделы подвздошной и начальные отделы тощей кишки. Среди доброкачественных опухолей в тонкой кишке чаще встречаются полипы, из злокачественных – рак.
Причины
Точные причины перерождения нормальных клеток кишечника в опухолевые пока неизвестны. Врачи выделяют ряд предрасполагающих к этому заболеванию факторов. К ним относят семейный аденоматозный полипоз (практически в 100% случаев приводит к малигнизации); генетическую предрасположенность (эпизоды обнаружения опухолей тонкого кишечника у близких родственников); хронические воспалительные заболевания пищеварительного тракта (болезнь Крона); синдром Пейтца-Егерса; целиакию; пожилой возраст; нарушения питания, особенно преобладание в пище белка и жира, недостаток клетчатки.
Семейный полипоз приводит к формированию аденокарциномы (чаще всего в ДПК) в одном случае на 1700 пациентов. Пациенты с семейным полипозом должны проходить ежегодное эндоскопическое обследование, а при выявлении полипов и другой патологии им проводится биопсия. Наследственное заболевание Пейтца-Егерса – это гиперпигментация кожи, ассоциированная с полипами желудка и кишечника. Злокачественная опухоль тонкой кишки (аденокарцинома) развивается в одном из таких полипов в 2,5% случаев. Следует учитывать, что полипы тонкого кишечника достаточно сложно диагностировать, поэтому динамическое наблюдение за такими пациентами затруднено. Полипоз желудочно-кишечного тракта предрасполагает к злокачественным новообразованиям не только кишечника, но и других органов.
Болезнь Крона увеличивает риск опухоли тонкого кишечника более чем в сто раз, а малигнизация обычно происходит уже в молодом возрасте. Всем пациентам с этой патологией, имеющим межкишечные свищи и стриктуры, плохо поддающиеся лечению, рекомендуют проводить резекцию пораженных участков для предупреждения формирования аденокарциномы тонкой кишки.
Такая опухоль тонкой кишки, как лимфома, чаще развивается у пациентов на фоне иммунодефицита или иммуносупрессии (СПИД, лечение после трансплантации органов, химиотерапия, воздействие ионизирующего излучения), а также при наличии системных заболеваний, целиакии и др.
Классификация
Новообразование может расти как в просвет кишечника (экзофитный рост), так и инфильтрировать стенку кишки (эндофитный рост). Эндофитные опухоли тонкого кишечника имеют более неблагоприятный прогноз, так как длительное время никак не проявляются. С течением времени рост опухоли становится смешанным – поражается стенка кишки на большом протяжении, а сама опухоль перекрывает просвет пищеварительной трубки.
По гистологическому строению опухоли тонкого кишечника весьма полиморфны: эпителиальные и неэпителиальные, карциноиды, лимфоидные, вторичные и опухолеподобные процессы. По характеру процесса новообразования делятся на доброкачественные и злокачественные. К доброкачественным эпителиальным опухолям относят аденомы (ворсинчатую, тубулярную, тубулярно-ворсинчатую); к злокачественным - муцинозную и простую аденокарциному, перстневидноклеточный рак, недифференцированные и неклассифицируемые формы рака. Доброкачественные неэпителиальные опухоли – лейомиома, лейомиобластома, неврилеммома, липома, гемангиома, лимфангиома. К злокачественным принадлежит лейомиосаркома.
К карциноидам относятся аргентаффинные, неаргентаффинные и смешанные новообразования. Лимфоидные опухоли представлены лимфосаркомой, ретикулосаркомой, лимфогранулематозом и лимфомой Беркитта. К опухолеподобным процессам причисляют гамартомы (ювенильный полипоз, синдром Пейтца-Егерса), гетеротопии (из ткани желудка, поджелудочной железы, бруннеровских желез, доброкачественные лимфоидные полипы и гиперплазии, эндометриоз).
Симптомы опухолей тонкого кишечника
Коварство новообразований в том, что они длительное время никак не проявляются, либо в клинической картине преобладают симптомы, характерные для других заболеваний (язвенной болезни желудка и ДПК, холецистита, аднексита и др.). У 75% пациентов опухоли тонкого кишечника обнаруживаются только после смерти, в остальных случаях новообразование обычно диагностируется на запущенной стадии, когда перекрывается просвет кишечника и возникает клиника кишечной непроходимости.
Первым проявлением доброкачественных опухолей тонкого кишечника может быть боль. Пациенты описывают боли как неопределенные, локализованные в области пупка или слева от него, в подвздошной области. Боль обычно возникает при прорастании новообразованием стенки кишечника и распространении процесса на брюшину и другие органы. Кроме того, больного могут беспокоить отрыжка, метеоризм, нестабильность стула, потеря аппетита, исхудание, умеренное повышение температуры тела.
Не существует симптомов, по которым можно было бы определить тип опухоли, однако для некоторых доброкачественных новообразований более характерны те или иные клинические проявления. Например, для полипов тонкой кишки типично развитие клиники кишечной непроходимости (обусловленной инвагинацией) на фоне общего благополучия. При отсутствии лечения в дальнейшем кишечная непроходимость неоднократно повторяется. Лейомиомы могут достигать огромных размеров, перекрывая просвет кишки и сдавливая окружающие органы. Часто поверхность лейомиомы изъязвляется, приводя к хроническим кишечным кровотечениям и анемии. Гемангиомы тонкой кишки – наиболее редкая доброкачественная опухоль ЖКТ (0,3% всех новообразований пищеварительного тракта). Кавернозные гемангиомы даже маленького размера часто приводят к кровотечениям, а крупные образования – к непроходимости кишечника.
В клинической картине доброкачественных опухолей тонкого кишечника выделяют три периода: латентный (симптомы отсутствуют), продромальный (появляются неопределенные и неспецифичные жалобы), период выраженных клинических проявлений (возникают различные осложнения – кишечная непроходимость, перфорация кишки, кровотечение).
Злокачественные опухоли могут иметь как общие проявления (истощение, интоксикация, бледность кожи и слизистых), так и местные симптомы, которые зависят от локализации и размеров опухоли. Наиболее значимым проявлением злокачественного новообразования обычно является болевой синдром, с течением времени боль постепенно нарастает, становится невыносимой. Кроме того, пациент предъявляет жалобы на тошноту, рвоту, изнуряющую изжогу. В начальных стадиях злокачественной опухоли поносы чередуются с запорами, в терминальном периоде развивается клиника непроходимости кишечника, перфорации полого органа (связанной с распадом опухоли).
Все новообразования кишечника сопровождаются кахексией, анемией, интоксикацией. Анемия связана не только с постоянными кровотечениями, но и с нарушением всасывания питательных веществ в пораженном кишечнике, необходимых для нормального кроветворения. Обычно выраженная клиника указывает не только на запущенную стадию болезни, но и на метастазирование опухоли в лимфоузлы и другие органы.
Диагностика
Пациенты с описанными выше симптомами чаще всего впервые обращаются к гастроэнтерологу, и именно от этого специалиста зависит своевременное выявление опухоли тонкого кишечника. Первое, с чего начинается диагностический поиск – рентгенологическое обследование. На обзорной рентгенографии органов брюшной полости опухоль визуализируется как дефект заполнения кишечной трубки. Для уточнения локализации и размеров новообразования может потребоваться рентгенография пассажа бария по тонкому кишечнику. Для повышения качества исследования иногда используется одновременное введение газа в брюшную полость (двойное контрастирование) – это позволяет лучше визуализировать опухолевый конгломерат, выявить даже небольшие новообразования и четко определить их локализацию.
При поражении тонкого кишечника предпочтительно провести консультацию врача-эндоскописта, который определится с дальнейшей тактикой обследования пациента. Интестиноскопия не только позволит визуализировать опухоль при ее экзофитном росте, но и даст возможность проведения эндоскопической биопсии, забора материала для точной дооперационной диагностики. При подозрении на новообразование начальных отделов тонкой кишки эндоскопическое исследование проводится с помощью модифицированного фиброгастроскопа, а при поражении дистальных отделов (подвздошной кишки) – фиброколоноскопом.
При возникновении затруднений помочь установить правильный диагноз может диагностическая лапароскопия. Во время данного исследования производится осмотр внутренних органов и регионарных лимфоузлов, выявление опухоли тонкого кишечника, оценка степени ее распространенности на окружающие органы и сосуды, биопсия новообразования.
Обязательным при наличии опухоли тонкого кишечника является УЗИ органов брюшной полости, забрюшинного пространства, надключичных областей. Дополнить картину заболевания поможет магнитно-резонансная и компьютерная томография органов брюшной полости и средостения, при возможности - однофотонная эмиссионная компьютерная томография внутренних органов. Общий анализ крови, анализ кала на скрытую кровь помогут выявить даже незначительные кровотечения.
Лечение опухолей тонкого кишечника
На начальном этапе пациент может находиться в отделении гастроэнтерологии. При подтверждении диагноза вырабатывается тактика дальнейшего лечения в отделении хирургии либо онкологии. Лечение доброкачественных опухолей тонкого кишечника – только хирургическое. Удаление полипов тонкой кишки может быть произведено во время эндоскопического исследования. Более крупные доброкачественные новообразования удаляются путем их клиновидной резекции либо сегментарной резекции кишечника.
При определенных типах злокачественных новообразований может быть проведена химиотерапия, уменьшающая размеры опухоли перед оперативным вмешательством (либо облегчающая состояние пациента с инкурабельной опухолью). Химиотерапия может быть использована и после операции – для улучшения прогноза и профилактики метастазирования. На начальных стадиях заболевания производится резекция части тонкого кишечника с брыжейкой и регионарными лимфоузлами, при распространении процесса на окружающие органы – паллиативная операция (наложение обходного анастомоза). В развитых странах активно внедряются лапароскопические методики удаления опухолей тонкого кишечника.
Прогноз и профилактика
Прогноз при наличии опухоли тонкого кишечника зависит от многих факторов. Вовремя диагностированные и удаленные доброкачественные опухоли тонкой кишки имеют благоприятный прогноз. Основной критерий прогноза при злокачественных новообразованиях – распространенность процесса по классификации TNM. Прогноз значительно ухудшается при выявлении метастазов, прорастании опухоли в окружающие ткани, жировую клетчатку, сосуды. Также имеется четкая зависимость между высоким уровнем раково-эмбрионального антигена и рецидивированием опухоли – даже опухоли небольших размеров без метастазов практически всегда рецидивируют, если этот показатель значительно повышен. Доказано, что если опухоль не рецидивировала в течение пяти лет после проведенного лечения, то возврата опухолевого процесса уже не возникнет.
Профилактика опухолей тонкого кишечника включает в себя комплекс мероприятий по улучшению и оздоровлению образа жизни (отказ от курения, алкоголя, правильное питание с употреблением достаточного количества клетчатки, поддержание хорошей физической формы и нормального веса), а также регулярные обследования всех людей из группы риска после 50 лет и своевременное удаление доброкачественных новообразований кишечника.
Рентгенограмма, КТ при раке тонкой кишки
а) Определение:
• Первичная аденокарцинома тонкой кишки (исключая двенадцатиперстную):
о Рак двенадцатиперстной кишки имеет больше общих черт с раком желудка
о Рак тонкой кишки больше напоминает карциному ободочной кишки
б) Визуализация:
1. Общая характеристика:
• Лучший диагностический критерий:
о Объемное образование, обусловливающее циркулярное или эксцентрическое сужение просвета, инвагинацию или обструкцию
• Локализация:
о В тощей кишке в пределах 30 см от связки Трейтца:
- В подвздошной кишке (меньше 15%)
о В двенадцатиперстной кишке (если относить ее к тонкой) рак возникает чаще всего (более 50%)
2. Рентгенография при раке тонкой кишки:
• Рентгеноскопия (энтероклизма):
о Инфильтративный тип опухоли характеризуется возникновением поражений по типу «огрызка яблока» или циркулярных:
- Четко отграниченное, циркулярное сужение просвета на коротком участке
- Неравномерное сужение просвета, подрытые края, возможно наличие язвы
- Узкая ригидная стриктура с престенотической дилатацией - Полиповидная опухоль на широком основании: растет в виде небольшой бляшки
о Полипоидная аденокарцинома на ножке (встречается редко)

(Слева) На аксиальной КТ с контрастным усилением у женщины 47 лет определяется опухолевидное утолщение стенки проксимальных отделов тощей кишки.
(Справа) На корональной КТ с контрастом у этой же пациентки определяется утолщение стенки тощей кишки на ограниченном участке. Обратите внимание, что просвет двенадцатиперстной кишки и желудка растянут и заполнен жидкостью из-за обструкции кишечника, обусловленной опухолью. При исследовании резектата, полученного во время операции, подтвердилась аденокарцинома.
3. КТ при раке тонкой кишки:
• Циркулярные, язвенные поражения или отдельно лежащее узловое образование
• Циркулярное утолщение стенки, возможно, с инвазией в брыжейку
• Мягкотканное объемное образование, возможно, в сочетании с сужением просвета и обструкцией
• Часто имеет место инвагинация
• Возможно увеличение брыжеечных лимфоузлов, периваскулярная инвазия
• Опухоль умеренно накапливает контрастное вещество на КТ
• Возможно наличие метастазов в печени, брюшине, яичниках
4. Рекомендации по визуализации:
• Лучший метод диагностики:
о Рентгеноскопия или КТ после введения контрастного вещества в тонкую кишку посредством клизмы, КТ с мультипланарным реформатированием

(Слева) На рентгенограмме, полученной во время исследования пассажа бариевой взвеси по тонкой кишке, определяется стриктура терминальных отделов подвздошной кишки в виде «огрызка яблока» с сужением просвета, деструкцией слизистой оболочки и подрытыми краями. Эти изменения являются классическими признаками первичного рака тонкой кишки.
(Справа) На рентгенограмме, выполненной во время исследования пассажа контраста по тонкой кишке, визуализируется объемное образование В тощей кишки с наличием характерных признаков первичного рака тонкой кишки: узловидно утолщенных складок, деструкции слизистой оболочки и сужения просвета. Определяется дилатация отделов кишечника, расположенных выше уровня опухоли.
в) Дифференциальная диагностика рака тонкой кишки:
1. Метастазы в стенке тонкой кишки и лимфома:
• Лимфома:
о Массивное объемное образование, сужение просвета или аневризматическая дилатация
о Обычно сочетается с массивной брыжеечной лимфаденопатией
• Метастазы:
о Обычно от меланомы, рака легкого, молочной железы или шейки матки
о У пациентов с выявленной ранее раковой опухолью обычно обнаруживаются множественные метастазы
2. ГИСО тонкой кишки:
• Крупное, более экзофитное образование с центральным некрозом
• Слизистая оболочка может быть изъязвлена или интактна
• Может обнаруживаться кавитация, а также аневризматическая дилатация просвета
3. Карциноидная опухоль:
• Гиперваскулярное подслизистое объемное образование с инвазией в брыжейку
• Первичную опухоль часто выявить сложнее, чем метастазы
• Новообразование брыжейки: кальцификация и десмопластическая реакция
• Чаще возникаете подвздошной кишке 4. Болезнь Крона:
• Поражает обычно дистальные отделы подвздошной кишки с утолщением стенки на протяженном участке
• Контрастное усиление слизистой оболочки, подслизистый отек
• Чередование пораженных и сохранных сегментов кишки, изменения со стороны всех слоев стенки, свищи, затеки, трещины
г) Патология. Общая характеристика:
• Этиология:
о Наиболее вероятно, развивается из аденомы, как и колоректальный рак
• Генные изменения:
о Мутации в ключевых генах-регуляторах (KRAS и ТР53)
• Ассоциированные патологические изменения:
о Целиакия взрослых, болезнь Крона, синдром Пейтца-Егерса, полипозы, врожденный неполипозный колоректальный рак:
- Все эти заболевания связаны с повышением частоты возникновения рака тонкой кишки
- Врожденные синдромы связаны с повышением риска возникновения приблизительно в 100 раз
д) Клинические особенности:
1. Проявления рака тонкой кишки:
• Наиболее частые признаки/симптомы:
о Боль в животе/признаки обструкции, или их сочетание (90%) о Признаки кровотечения, анемии
2. Демография:
• Возраст: преимущественно старшая возрастная группа (50-70 лет)
• Пол: М > Ж (1,4:1)
• Эпидемиология:
о Распространенность: 0,5-3 на 100 000 человек
о 2/3 всех опухолей тонкой кишки являются злокачественными
о Злокачественные опухоли тонкой кишки составляют - Рак (25-40%), карциноид (30-40%), ГИСО (10-15%), первичная лимфома тонкой кишки (10-15%)
о Рак ободочной кишки возникает в 50 раз чаще, чем рак тонкой
3. Течение и прогноз:
• Осложнения:
о Обструкция тонкой кишки, инвагинация, желудочно-кишечное кровотечение, перфорация (редко)
о Метастазы в печени, легких, костях, головном мозгу
• Прогноз:
о Пятилетняя выживаемость: при раке тощей кишки составляет 46%, при раке подвздошной кишки-20%
4. Лечение:
• Резекция (локализованный), химиотерапия (распространенный)
Читайте также:
