Лучевая диагностика рака предстательной железы
Добавил пользователь Владимир З. Обновлено: 30.01.2026
Лучевая терапия с середины 20 века стала рассматриваться в качестве альтернативы классическому хирургическому методу и активно изучаться. Ведь при большинстве операций не удается избежать повреждений сосудистых и нервных структур, находящихся рядом с предстательной железой. Это приводит к осложнениям: недержанию мочи (после операции от этого страдает каждый 5-й пациент) и импотенции.
Облучение опухоли простаты способствует достижению длительного контроля над ней и даже излечению от заболевания, помогает избежать неприятных побочных эффектов.
Методики лучевой терапии при раке простаты
В медицинской практике применяются различные «лучевые методики» лечения рака предстательной железы, имеющие свои особенности и ограничения.
Классическая лучевая терапия
Многочисленные исследования, посвященные лучевой терапии простаты, показали, что для стойкого излечения от опухоли необходимо воздействие высокой дозы излучения (100Гр-140Гр).
При дистанционной лучевой терапии сложно обеспечить ее точное подведение к пораженной простате. Это, с одной стороны, приводит к тому, что у одних больных не удается достигнуть стойкого контроля над опухолью, а у других — излечение сопровождается повреждением прилегающих к предстательной железе органов – прямой кишки, мочевого пузыря.

Брахитерапия
Брахитерапия — один из самых востребованных радиологических методов, так называют облучение с высокой избирательностью подведения дозы.

Его основная особенность — предстательная железа, пораженная опухолевым процессом, облучается «изнутри», источники излучения вводятся в железу.
Это позволяет бороться с опухолью высокими дозами (100Гр-140Гр и выше), избегая повышенного риска лучевого поражения здоровых тканей.


Стереотаксическое облучение предстательной железы
Стереотаксическое облучение — самый молодой метод высокоточной лучевой терапии рака предстательной железы. Такое облучение осуществляется на специализированных ускорителях, которые снабжены сложными «системами наведения» лучевого пучка на мишень, в данном случае – предстательную железу. Обычно, лечение состоит из 4-6 сеансов стереотаксиса.
Оно может выполняться даже больным с серьезной сопутствующей патологией, например, перенесшим инфаркт миокарда, с облитерирующими заболеваниями сосудов и т.д.

Дозы облучения, как правило, ниже, чем при высокодозной брахитерапии. Поэтому стереотаксическая лучевая терапия чаще используется при лечении пациентов с наиболее благоприятно протекающим ранним раком предстательной железы.
Опыт НИИ онкологии им. Н.Н. Петрова
НИИ онкологии им. Н.Н. Петрова — одно из ведущих лечебных учреждений России, занимающееся излечением от рака предстательной железы.
Институтом накоплен опыт хирургического и лекарственного лечения, проведено более 400 сеансов высокодозной брахитерапии рака предстательной железы, десятки сеансов стереотаксической лучевой терапии. Лечение осуществляется в рамках государственной федеральной программы, бесплатно для граждан России.
Лучевая терапия простаты – один из приоритетов института онкологии: его специалистами разрабатываются оптимальные алгоритмы лечения с помощью брахитерапии и стереотаксической лучевой терапии, а также сочетание «дистанционных лучей» и брахитерапии.


Авторская публикация:
НОВИКОВ СЕРГЕЙ НИКОЛАЕВИЧ
радиолог, онколог, радиотерапевт
ведущий научный сотрудник, заведующий отделением
НИИ онкологии им Н.Н. Петрова
Что вам необходимо сделать
Если вы хотите узнать побольше о бесплатных возможностях ФБГУ НМИЦ онкологии им. Н.Н. Петрова Минздрава России, получить очную или заочную консультацию по диагностике и лечению, записаться на приём, ознакомьтесь с информацией на официальном сайте.
Если вы хотите общаться с нами через социальные сети, обратите внимание на аккаунты в ВКонтакте и Одноклассники.
Лучевая диагностика рака предстательной железы
Методы обследования рака предстательной железы
а) Терминология:
1. Аббревиатура:
• Рак предстательной железы (РПЖ)
2. Синоним:
• Аденокарцинома предстательной железы
б) Визуализация:
1. Общая характеристика:
• Важнейшие диагностические критерии:
о МРТ: Периферическая зона (ПЗ): при Т2-темный очаг с ограниченной диффузией; центральная зона: признак «растертого угля» на Т2-ВИ
• Локализация:
о ПфЗ: 70-80%; переходная зона (ПЗ): 20-25%; центральная зона (ЦЗ): 1-5%
• Прицельная биопсия под МРТ контролем и сочетанным МРТ-УЗИ контролем в перспективе улучшает выявление рака предстательной железы высокого риска, однако снижает вероятность обнаружения рака низкого риска по сравнению со стандартной биопсией
2. УЗИ при раке предстателььной железы:
• Серошкальное ультразвуковое исследование:
о Трансректальное ультразвуковое исследование (ТРУЗИ) — метод выбора при выполнении прицельной биопсии для верификации РПЖ, но дает плохие результаты при выявлении и стадировании рака; также используется для УЗ контроля при местной терапии:
- Биопсия под ТРУЗ контролем рассматривается как «слепая» или «неприцельная», поскольку она обычно не нацелена на конкретный очаг
о Классический РПЖ представляет собой гипоэхогенный очаг в ПфЗ; опухоли центральной зоны трудно обнаружить вследствие неоднородности при доброкачественной гиперплазии предстательной железы (ДГПЖ):
- В настоящее время, в связи с более ранним выявлением рака с помощью ПСА, исследования показали, что гипоэхогенные очаги не являются патогномоничными для рака, как считалось ранее
- РПЖ может быть гипоэхогенным (60-70%), изоэхогенным/невидимым (30-40%), редко гиперэхогенным с/без асимметричного выпячивания капсулы или неровности контуров
- Вероятность, что гипоэхогенный очаг является РПЖ, составляет 17-57%
• Цветовая допплерография:
о РПЖ может быть гиперваскулярным; однако отсутствие васкуляризации не исключает Cr, а другие доброкачественные заболевания (например, простатит) также могут быть гиперваскулярными
• Энергетическая допплерография:
о Не имеет преимуществ перед цветовой допплерографией
(Левый) На поперечном ТРУЗ срезе визуализируется гипоэхогенный очаг в левой ПфЗ с выбуханием капсулы и узлами, прорастающими в прилежащую жировую клетчатку и левый сосудисто-нервный пучок (СНП). В правой ПфЗ визуализируется более мелкий очаг.
(Правый) При цветовой допплерографии соответствующей области в образовании левой ПфЗ визуализируется локальная гиперваскуляризация. Очаг в правой ПфЗ имеет умеренную васкуляризацию При простатэктомии подтвержден мультифокальный РПЖ (аденокарцинома 5+5 по Глисону) с левосторонним экстрапростатическим распространением и лимфогематогенной и периневральной инвазией. (Левый) На поперечном ТРУЗ срезе визуализируются гипоэхо-генные новообразования в правой и левой ПфЗ, прорас тающие кверху в семенные пузырьки (СП) и основание мочевого пузыря с левосторонним выбуханием капсулы и неровностью контуров.
(Правый) На поперечном ТРУЗ срезе на немного более высоком уровне (основания и семенных пузырьков) визуализируется гиперваскуляризация в соответствующих гипоэхогенных очагах правой и левой ПфЗ и СП. Двусторонняя инвазия в СП была подтверждена при простатэктомии. СП инвазия (стадия Т3В) корреллирует с повышенным риском рецидива после лечения. (Левый) На поперечном ТРУЗ срезе визуализируется локализованная гипоэхогенная область в левой ПфЗ с небольшим выпячиванием контура.
(Правый) При цветовой допплерографии на том же уровне визуализируется гиперваскуляризация в этой области. При гистологическом исследовании после прицельной биопсии был диагностирован локализованный простатит.
3. КТ при раке предстателььной железы:
• Неточный метод выявления рака предстательной железы
• Glazer и соавт. выявили, что опухолевидное контрастирование ПфЗ позволяет заподозрить низкодифференцированный рак (≥Глисон 4 + 3)
• Оценить местное/отдаленное распространение только у пациентов с опухолями среднего и высокого риска:
о Клиническая стадия >Т2b или 3 (по разным классификациям), Глисон >8, ПСА> 10 или 20, или вероятность поражения лимфатических узлов > 20% (на основе номограмм)
4. МРТ при раке предстателььной железы:
• МРТ-наиболее чувствительный метод диагностики рака предстательной железы и установки стадии по Системе Отчетности и Данных Визуализации Предстательной Железы (PI-RADS) от 1 до 5
• Рак предстательной железы лучше всего визуализируется на Т2-ВИ и ДВИ:
о Атипичный низкоинтенсивный сигнал на Т2ВИ при высокоинтенсивном сигнале от ПфЗ в норме, с соответствующим снижением диффузии:
- Дифференцирование темных очагов при Т2 в ПфЗ: кровоизлияние, при биопсии, изменения при гормональной терапии, простатит, атрофия, фиброз
о Признак «растертого угля» в ПЗ: локализованный, однородный очаге низкоинтенсивным сигналом и нечеткими контурами вТ2-режиме
• Т1-ВИ: до введения контраста: исключить кровоизлияние после биопсии; в контрастную фазу: участок гиперваскуляризации, соответствующий очагу, выявленному на Т2/ДВИ
• МРТ используется для стадирования:
о Т-стадии: в пределах органа ( ТЗ); признаки экстрапростатического распространения: выступающий контур предстательной железы, неровные или нечеткие границы, стирание прямокишечно-предстательного угла, асимметрия или инвазия в сосудисто-нервный пучок, семенной пузырек или стенку мочевого пузыря
о Вовлечение тазовых и забрюшинных лимфатических узлов
о Остеобластические метастазы: низкоинтенсивный сигнал как на Т1-ВИ, так и на Т2-ВИ
• Постбиопсийные изменения (например, кровоизлияние, воспаление) могут затруднить интерпретацию МР томограмм предстательной железы при постановке стадии; интервал между биопсией и проведением МРТ с целью установления стадии должен составлять не менее 6 недель
5. Радионуклидная диагностика:
• Сцинтиграфия костей:
о Сканирование костей с Тс-99m МДФ является стандартным методом диагностики костных метастазов: чувствительность 62-89%, специфичность 57%; отражает реакцию остеобластов в компактном веществе кости, не выявляет раннего поражения костного мозга
о Следует выполнять только пациентам с опухолью высокого риска или симптомами поражения костей: клиническая стадия ≥Т2с или 3 (разные классификации), Глисон ≥8, ПСА>10 или 20 или симптомы поражения костей
о ОФЭКТ (однофотонная эмиссионная КТ) с Тс-99m МДФ обладает большей чувствительностью (92%) и специфичностью (82%)
• ПЭТ-КТ:
о Основная роль ПЭТ-КТ заключается в начальном установлении стадии и оценке биохимических рецидивов заболевания; не используется в диагностике или постановке Т-стадии
о ПЭТ-КТ с 18F-ФДГ: ограниченное применение вследствие относительно низкого метаболизма глюкозы при большинстве типов РПЖ
о ПЭТ-КТ с 18F-фторидом натрия (NaF): для выявления костных метастазов; более высокая диагностическая точность, однако, возможно, более дорогой метод, чем сцинтиграфия + ОФЭКТ
о ПЭТ-КТ с 11С-холином: ограниченная доступность, требует наличия циклотрона в клинике; возможность выявления опухоли в неувеличенных лимфоузлах и раннего вовлечения костного мозга; применяется при подозрении на рецидив заболевания
6. Рекомендации по визуализации:
• Важнейшие методы визуализации:
о МРТ-наиболее чувствительный метод диагностики рака предстательной железы и установления стадии
о ТРУЗ-метод выбора при биопсии предстательной железы
(Левый) При Т2-режиме в переходной зоне (ПЗ) с признаками железистой и стромальной гиперплазии визуализируется неоднородный сигнал. На Т2-ВИ в передней ПЗ визуализируется гомогенное низкоинтенсивное образование с нечеткими контурами, согласующееся с признаком «растертого угля». Обратите внимание на узел ДГПЖ с гладкими темными краями и однородно гиперинтенсивную ПЗ в Т2-режиме, а также сосудисто-нервные пучки.
(Правый) Локализованный гомогенный очаг с нечеткими контурами и низкоинтенсивным сигналом на Т2-ВИ соответствует локальной гиперваскуляризации на цветовой карте. (Левый) Локализованный очаг с нечеткими контурами и низкоинтенсивным сигналом на Т2-ВИ и гиперваскуляризацией в переднем отделе ПЗ с ограниченной диффузией.
(Правый) На соответствующей ИКД карте визуализируется низкоинтенсивный сигнал. При прицельной биопсии этого очага под сочетанным МР-УЗИ контролем верифицирована аденокарцинома 4+4 по Глисону. (Левый) На поперечном ТРУЗ срезе в левой ПЗ визуализируется мелкий округлый гипоэхогенный очаг. При прицельной биопсии этого очага под сочетанным МР-УЗИ контролем верифицирована доброкачественная ткань. Имеются распространенные кальцинаты в ПфЗ.
(Правый) На поперечном ТРУЗ срезе у другого пациента в левой ПЗ визуализируется более крупное гипоэхогенное образование (выделено красным). При гистологическом исследовании после прицельной биопсии под сочетанным МР-УЗИ контролем верифицирована аденокарцинома 4+5 по Глисону
в) Дифференциальная диагностика рака предстательной железы:
1. Доброкачественная гиперплазия предстательной железы:
• Гиперплазия ПЗ и периуретральных желез; гетерогенное, узловое увеличение железы ± кистозная дегенерация, кальцинаты
2. Простатит:
• Острый и хронический простатит может имитировать рак предстательной железы
• ПфЗ: может вызывать ↓ сигнал на Т2ВИ и карте измеряемого коэффициента диффузии (ИКД); также может быть гиперваскулярной
3. Атрофия:
• В норме при старении или хроническом воспалении
• Обычно клиновидные очаги ↓ Т2 сигнала и умеренно ↓ ИКД на картах указывают на потерю железистой ткани (однако обычно сигнал не такой низкий, как при раке)
4. Фиброз:
• Может развиваться в исходе воспалительного процесса, при визуализации имеет клиновидную или лентовидную форму с низкоинтенсивным сигналом на Т2-ВИ
5. Простатическая интраэпителиальная неоплазия (ПИН):
• Дисплазия эпителиального слоя предстательной железы
• Тактика ведения низкодифференцированной ПИН является спорной; диагноз РПЖ при повторной биопсии аналогичен таковому у мужчин, у которых при исходной биопсии изменения не выявлены
6. Атипия (или атипическая мелкоацинарная пролиферация [АМАП]):
• Описательный термин: когда результаты тонкоигольной биопсии, очень подозрительны на РПЖ, но не удовлетворяют критериям РПЖ
• При других отрицательных показателях требуется повторная биопсия в динамике, так как примерно у 40% мужчин с атипией при повторной биопсии будет диагностирован РПЖ
(Левый) На поперечном трансректальном УЗ срезе среднего отдела предстательной железы визуализируется едва различимый ограниченный гипоэхогенный очаг в правой ПфЗ. Кальцинированные амилоидные тельца с акустическим затенением по краю хирургической капсулы указывают на границу между центральной зоной и ПфЗ. Правый сосудисто-нервный пучок не изменен.
(Правый) На соответствующем УЗ срезе с цветовой допплерографией в гипоэхоген-ном очаге правой ПфЗ визуализируется локальная гиперваскуляризация При прицельной биопсии этого участка верифицирована аденокарцинома 3+3 по Глисону (Левый) На аксиальном КТ срезе с контрастированием визуализируется крупное новообразование, неоднородно накапливающее контраст, с очагами некроза. Мочевой пузырь отделен, а прямая и сигмовидная кишка смещены опухолью в латеральном направлении. При гистологическом исследовании верифицирована веретеноклеточная синовиальная саркома.
(Правый) На поперечном трансректальном УЗ срезе в левой ПЗ визуализируется локализованное гипоэхогенное образование (частично выделено желтой пунктирной линией). Разметка соответствует ходу иглы при биопсии. При гистологическом исследовании после биопсии под МР-УЗИ контролем верифицирована аденокарцинома 4+4 по Глисону (Левый) На аксиальном Т3 МР срезе визуализируется увеличенная предстательная железа, в левой ПфЗ которой расположен очаг с нечеткими контурами и экстрапростратическим распространением, прорастающий в левый СНП. Обратите внимание на гиперплазированную переходную зону, сдавливающую ПфЗ, и сигнал неоднородной интенсивности от костного мозга со значительно гипоинтенсивной правой вертлужной впадиной, что соответствует распространенным костным метастазам (подтвержденным позднее при сцинтиграфии костей).
(Правый) На фронтальном Т2-МР срезе у этого же пациента визуализируется образование в левой ПфЗ с экстра простатическим распространением в левую мышцу, поднимающую задний проход; рак предстательной железы 3-й стадии.
г) Патология:
1. Общая характеристика:
• Этиология:
о Неизвестна: вклад вносят возраст, гормоны, окружающая среда и генетические факторы
• Наиболее распространенная некожная злокачественная опухоль в западном мире, вторая по распространенности причина смерти от рака среди мужчин
2. Стадирование, степени и классификации рака предстательной железы:
• Стадирование на основе TNM-классификации, уровня ПСА в момент постановки диагноза и шкалы Глисона
• Оценка по шкале Глисона: два параметра; первый - преобладающее гистологическое строение [в первом биоптате]; второй-гистологическая картина во втором биоптате; каждое значение варьирует от 1 до 5 (от наименее до наиболее злокачественного)
• Т-классификация:
о Т1: клинически локализованная (опухоль не пальпируется при пальцевом ректальном исследовании (ПРИ))
о Т2: опухоль ограничена предстательной железой
о Т3: местное распространение за пределы капсулы предстательной железы
о Т4: Несмещаемая опухоль или опухоль, прорастающая в соседние структуры (кроме семенных пузырьков): наружный сфинктер уретры, прямую кишку, мочевой пузырь, мышцы, поднимающие задний проход и/или стенку малого таза
• N-классификация: N0: метастазы в [региональных] лимфоузлах отсутствуют, N1: имеются метастазы в региональных лимфоузлах
• М-классификация: МО: отсутствуют отдаленные метастазы, М1: метастазы в нерегиональных лимфатических узлах, костях или другой локализации
3. Микроскопия:
• 95% опухолей-ацинарная аденокарцинома
г) Клинические особенности:
1. Проявления рака предстательной железы:
• Основные симптомы:
о Ранние стадии: бессимптомное течение, повышенный уровень ПСА при скрининге
о Поздние: нарушения мочеиспускания, гематоспермия, гематурия, боль/дискомфорт в области таза, недержание мочи, эректильная дисфункция, боли в костях, в редких случаях -прямокишечная непроходимость
о В целом, большинство специалистов согласны с необходимостью выполнения биопсии предстательной железы под ТРУЗ контролем при изменениях во время ректального исследования или повышении ПСА (>4,0 нг/мл):
- Осложнения тонкоигольной биопсии под ТРУЗ контролем: сепсис (1 -4%), гематурия (чаще всего), ректальное кровотечение, вазовагальный криз, гематоспермия
• Диагностика: патологоанатомическое исследование
• Современные методы выявления рака предстательной железы: ПРИ, уровень ПСА в сыворотке крови, биопсия под ТРУЗ контролем ± МРТ
2. Демография:
• Возраст:
о Средний возраст при постановке диагноза - 66 лет, редко • Этническая принадлежность:
о Афроамериканцы > не испаноговорящие европейцы > азиаты и латиноамериканцы
3. Эпидемиология:
о Гетерогенное заболевание, и большинство мужчин с раком предстательной железы (РПЖ) в конечном итоге умирают от других причин
4. Течение и прогноз:
• Пятилетняя относительная выживаемость:
о Локализованный в предстательной железе (стадии I и II по AJCC): почти 100%
о Региональное поражение (III и IV стадии по AJCC без отдаленных метастазов): почти 100%
о Отдаленные метастазы (другие типы рака IV стадии по AJCC = поздние стадии): 28%
• Несмотря на большие объем опухоли и значения ПСА при диагностике, рак ПЗ реже сопровождается инвазией в семенные пузырьки, экстрапростатическим и лимфо- и гематогенным распространением
5. Лечение рака предстательной железы:
• Сложная тактика ведения вследствие трудности точного стадирования и прогноза скорости прогрессирования заболевания
• Разновидности лечения: динамическое наблюдение, таргетированная местная терапия, радикальная простатэктомия, различные формы лучевой терапии, гормональная терапия, химиотерапия, комбинированное лечение
д) Диагностическая памятка. Советы по интерпретации изображений:
• Классическое описание гипоэхогенного очага предстательной железы при РПЖ имеет меньшую ценность в эпоху ПСА, когда рак диагностируют на ранних стадиях; более 30-40% РПЖ не визуализируются при ТРУЗИ
е) Список использованной литературы:
1. Trabulsi EJ et al: Enhanced transrectal ultrasound modalities in the diagnosis of prostate cancer. Urology. 76(51:1025-33, 2010
2. Trabulsi E, Halpern E, Gomella L. Ultrasonography and Biopsy of the Prostate. In Campbell-Walsh Urology (10th ed., pp. 2735-2747). Philadelphia:Saunders.
3. Harvey Q et al: Applications of transrectal ultrasound in prostate cancer. Br J Radiol. 85 Spec No 153-17, 2012
4. Onur R et al: Contemporary impact of transrectal ultrasound lesions for prostate cancer detection. J Urol. 172(2):512-4,2004
5. Wollin DA et al: Guideline of Guidelines: Prostate Cancer Imaging. BJU Int. ePub, 2015
6. Bouchelouche К et al: Advances in imaging modalities in prostate cancer. Curr Opin Oncol. ePub, 2015
а) Терминология:
1. Синонимы:
• Карцинома предстательной железы
2. Определение:
• Злокачественное перерождение предстательной железы
• Более чем 95% опухолей являются аденокарциномой
1. Общая характеристика:
• Лучший диагностический критерий:
о Трансректальное УЗИ: гипоэхогенный очаг в периферической зоне (ПЗ)
о Мультипараметрическая МРТ (мпМРТ): очаг с низкой интенсивностью сигнала (ИС) в ПЗ
• Локализация:
о В 70% случаев - в ПЗ, 20-25% - в транзиторной (переходной) зоне (ТЗ), 5-10% - в центральной зоне (ЦЗ).
2. УЗИ при раке предстательной железы:
• Трансректальное УЗИ (ТРУЗИ):
о Гипоэхогенный очаг в ПЗ
о Основное назначение метода:
- Оценка размера предстательной железы
- Визуальный контроль при проведении биопсии
- Визуальный контроль при брахитерапии
о Ограничения метода:
- Точность метода - 62%
- Ложноотрицательные результаты: злокачественная опухоль более чем в 40% случаев визуализируется изоэхогененно и в 1-5% случаев-гиперэхогененно
- Ложноположительные результаты: гипоэхогенно может визуализироваться простатит
о Цветное допплеровское картирование и энергетическая допплерография повышают точность метода
3. КТ при раке предстательной железы:
• Роль в обнаружении и стадировании РПЖ ограничена:
о Плохое разрешение при визуализации мягких тканей не позволяет выделить анатомические зоны предстательной железы
• Основное назначение метода:
о Оценка распространения заболевания
о Оценка наличия лимфаденопатии
о Обнаружение метастазов в костях (остеобластических)
4. МРТ при раке предстательной железы:
• Т1-ВИ:
о Визуальная картина нормальной предстательной железы:
- Низкая интенсивность сигнала с плохой дифференциацией переходной зоны (ПЗ) и транзиторной зоны (ТЗ)
о Визуализация ПЗ: изоинтенсивна по отношению к окружающей ткани предстательной железы
о Преимущество метода: высокая интенсивность сигнала при наличии кровоизлияния после биопсии (за счет метгемоглобина)
• Т2-ВИ:
о Визуальная картина нормальной предстательной железы:
- Переходная зона (ПЗ):
70% объема железы
Гомогенный сигнал высокой интенсивности
- Транзиторная зона (ТЗ):
5% объема железы; окружает проксимальный отдел простатической уретры
Увеличена при ДГПЖ; гетерогенный сигнал: «организованный хаос»
- Центральная зона (ЦЗ):
25% объема железы
Конусовидное образование с низкой интенсивностью сигнала, окружающее семявыносящие протоки
о Визуальная картина РПЖ:
- Переходная зона (ПЗ):
Очаг с низкой интенсивностью сигнала, ограниченный предстательной железой
Низкоинтенсивное объемное образование с экстра капсулярным распространением (ЭКР)
- Транзиторная зона (ТЗ):
Очаг линзовидной формы с нечетким контуром («размазанный» контур) и гомогенным низкоинтенсивным сигналом
Наличие инвазии передней фибромускулярной стромы
о Преимущества метода:
- Высокая чувствительность к опухолевой ткани
- Оценка ЭКР:
Выпячивание капсулы предстательной железы
Нарушение капсулы предстательной железы
Облитерация прямокишечно-простатического угла
Асимметрия/обрастание сосудисто-нервного пучка
Несимметричные участки низкоинтенсивного сигнала в семенных пузырьках
о Ограничения метода:
- Ложноположительные результаты: при наличии кровоизлияния после проведенной биопсии, при наличии простатита, фиброза, после радиотерапии
- Опухолевые образования в транзиторной зоне (ТЗ) трудно дифференцировать от окружающих тканей железы
• ДВИ:
о Визуальная картина нормальной предстательной железы:
- ПЗ: гомогенный сигнал высокой интенсивности на ИКД карте
о Визуальная картина РПЖ:
- Фокус с высокой интенсивностью сигнала на ДВИ (b> 800/1000 с/мм 2 ) и низкой интенсивностью сигнала на ИКД карте
о Преимущества метода:
- Оценка агрессивности опухоли (значение ИКД коррелирует с показателем Глисона)
- Специфичность Т2-ВИ выше при совместном получении ДВИ
о Ограничения метода:
- Низкое пространственное разрешение; восприимчивость к движению и неоднородности магнитного поля
- Значения ИКД зависят от напряженности поля и параметра b
• Постконтрастное Т1-ВИ:
о Визуальная картина РПЖ:
- Качественный (визуальный) анализ: раннее гиперконтрастирование; быстрое вымывание контрастного вещества
- Полуколичественный анализ: кривая III типа (увеличение с последующим снижением) наиболее характерна для злокачественного новообразования
- Количественный анализ: увеличение Ktrans (константа передачи); увеличение Кер (константа скорости рефлюкса)
о Преимущества метода:
- Повышенная диагностическая точность в сочетании с Т2-ВИ и ДВИ
- Более точная оценка ЭКР в сочетании с Т2-ВИ
- Обнаружение рецидива опухоли
о Ограничения метода:
- Ложноположительные результаты: при простатите в ПЗ и ДГПЖ в ТЗ
- Метод недостаточно стандартизован для сбора и анализа данных
• МР-спектроскопия:
о Преобладающие в предстательной железе химические соединения:
- Цитрат (2,60 м.д.)
- Креатин (3,04 м.д.)
- Холин (3,20 м.д.)
о Визуальная картина РПЖ:
- Снижение уровня цитрата; повышение уровня холина
- Увеличение соотношения холин + креатин/цитрат
о Преимущества метода:
- Высокая специфичность
- Оценка агрессивности опухоли
о Ограничения метода:
- Увеличение общего времени исследования
- Требуется высокая квалификация специалиста
5. Радионуклидная диагностика:
• Остеосцинтиграфия:
о Повышенное поглощение метастазами в костях
о Локализация: кости таза, грудной и поясничный отделы позвоночника, ребра
о Показания:
- Показатель Глисона≥8; простатспецифический антиген (ПСА)≥20 нг/мл; Т>3
- Распространенный РПЖ и боли в костях
- Последующее наблюдение после окончания терапии
• ПЭТ:
о ПЭТ с 18F-фтордезоксиглюкозой (ФДГ):
- Метод недостаточен для обнаружения и стадирования опухоли (скудное поглощение препарата опухолью, помехи от экскреции препарата в мочевой пузырь)
о ПЭТ с 11C-холином; 18F-фторхолином:
- Метод играет роль в проведении повторных исследований у пациентов с биохимическим рецидивом (ПСА-рецидив) после проведенного лечения
о ПЭТ со 111-индия капромаб пендетид (ProstaScint):
- Стадирование: потенциальная роль метода в обнаружении метастазов в лимфатических узлах
- Выявление рецидива заболевания
6. Рекомендации по визуализации:
• Лучший инструмент для визуализации:
о мпМРТ:
- Выявление (рак ПЗ): чувствительность-81%, специфичность-91%
- Стадирование: отрицательное прогностическое значение для ЭКР-95%
- Активное наблюдение
- Визуальный контроль при проведении биопсии
- Последующее наблюдение после окончания терапии
• Советы по протоколу исследования:
о Многопланарная мпМРТ:
- Использовать Т1-ВИ с высоким разрешением совместно с:
ДВИ
Динамической МРТ с контрастированием
Мр-спектроскопией
- Использовать тазовую фазированную катушку и эндоректальную катушку
- Использовать магнит мощностью 1,5-3,0Т
- Исследование проводить по прошествии не менее 6 недель после биопсии
(Слева) Т2-ВИ, аксиальный срез через верхушку предстательной железы: гипоинтенсивный очаг в периферической зоне левой доли. Визуализируется зона широкого контакта очага с капсулой и ее выпячивание.
(Справа) МРТ, постконтрастное Т1-ВИ (после инъекции гадолиния), аксиальный срез: раннее очаговое накопление контраста, которое соответствует очагу на Т2-ВИ. Вследствие опухолевого ангиогенеза РПЖ обычно проявляется большей скоростью вымывания контраста, чем окружающая его железистая ткань. (Слева) МРТ с получением ДВИ (b=1500 с/мм 2 ), аксиальный срез: визуализируется объемное образование в периферической зоне левой доли в виде выраженного очага гиперинтенсивности.
(Справа) ИКД карта ДВИ, аксиальный срез: объемное образование в периферической зоне левой доли в виде выраженного очага гипоинтенсивности. Исследование биоптата подтвердило, что образование является аденокарциномой, показатель Глисона равен 7 (3 + 4). При радикальной простатэктомии было выявлено экстракапсулярное распространение. (Слева) Т2-ВИ, аксиальный срез через середину предстательной железы: линзовидное гипоинтенсивное объемное образование с нечеткими границами («размазанные», нечеткие контуры) в передней правой части тран-зиторной зоны, которое соответствует подтвержденной результатами биопсии аденокарциноме предстательной железы. Транзиторная зона в 20-25% является источником РПЖ, дифференцировать который от узелков доброкачественной гиперплазии предстательной железы может оказаться затруднительно.
(Справа) ИКД карта ДВИ, аксиальный срез: визуализируется опухоль в тран-зиторной зоне в виде гипоинтенсивного объемного образования.
1. Доброкачественная гиперплазия предстательной железы (ДГПЖ):
• Стромальная ДГПЖ: округлые узелки с прерывистыми краями; низкая интенсивность сигнала на Т2-ВИ
2. Рак мочевого пузыря:
• Опухолевое образование дна мочевого пузыря может имитировать РПЖ
3. Простатит:
• Низкоинтенсивный сигнал на Т2-ВИ: вытянутая/клинообразная структура с нечетким контуром
• Расположение: долевое; диффузное
(Слева) На рисунке сагиттального среза предстательной железы показана опухолевая инвазия в окружающие ткани, включая прямую кишку и семенные пузырьки.
(Справа) МРТ, Т2-ВИ, коронарный срез: нормальный серповидный правый семенной пузырек с высокой интенсивностью сигнала. Несмотря на наличие инвазии опухоли с низкой интенсивностью сигнала в левый семенной пузырек, небольшой сегмент левого семенного пузырька остается невовлеченным. (Слева) МРТ, Т2-ВИ, аксиальный срез: большая опухоль предстательной железы (РПЖ) в периферической зоне правой доли в виде объемного образования с низкой интенсивностью сигнала. Обратите внимание на экс-тракапсулярное распространение в оболочку правого сосудисто-нервного пучка. Оценка экстракапсулярного распространения важна для планирования лечения.
(Справа) КТ с контрастированием, аксиальный срез запущенной опухоли: накапливающее контраст объемное образование в предстательной железе с облитерацией жировой клетчатки между данным образованием и мочевым пузырем. Также имеется паховая лимфоаденопатия. (Слева) КТ с контрастированием, аксиальный срез: визуализируется забрюшинная лимфаденопатия и склерозированные метастазы в позвоночнике.
(Справа) Остеосцинтиграфия: множественные метастазы преимущественно в поясничном отделе позвоночника и костях таза. В результате оттока крови из простатического венозного сплетения в позвоночное венозное сплетение, нижележащие отделы позвоночника являются типичной локализацией поражения. Метастазы в кости, как правило, остеобластические.
1. Общая характеристика:
• Этиология:
о Возрастные, гормональные, экологические и генетические факторы
3. Макроскопические и хирургические признаки:
• Более 95% опухолей являются аденокарциномой
• Распространение опухоли:
о Гематогенное:
- Вены простатического сплетения впадают во внутренние подвздошные вены и сообщаются с позвоночным венозным сплетением
- Крестцовый и поясничный отделы позвоночника являются наиболее частым местом расположения костных метастазов (остеобластических)
о Лимфогенное:
- Первичный отток осуществляется во внутренние подвздошные лимфатические узлы, затем в забрюшинные лимфатические узлы
о Контактное:
- Распространение в семенные пузырьки, мочевой пузырь, прямую кишку
д) Клинические особенности:
1. Клиническая картина рака простаты:
• Наиболее частые признаки/симптомы:
о Симптоматика:
- Бессимптомное течение
- Симптомы со стороны мочевыделительной системы: затрудненное мочеиспускание, императивные позывы к мочеиспусканию, учащенное мочеиспускание
- Боли в костях, обусловленные метастазами
о Отклонения от нормы при пальцевом ректальном исследовании
• Лабораторные показатели:
о Повышенный уровень ПСА:
- Нормальный уровень: менее 4,0 нг/мл (отрицательное прогностическое значение- 85%)
- Повышение уровня ПСА неспецифично для РПЖ
- Скорость нарастания ПСА: скорость повышения уровня ПСА во времени
- Плотность ПСА: отношение уровня сывороточного ПСА к объему предстательной железы
• Скрининг:
о ПСА-скрининг имеет наибольшее значение для мужчин в возрасте 55-69 лет:
- Рекомендуется совместное принятие решения врачом и пациентом
о Предпочтительно проводить скрининг каждые два года
2. Демография:
• Возраст:
о Риск увеличивается с возрастом; заболевание редко встречается в возрасте до 50 лет
о Средний возрастной показатель на момент постановки диагноза; 68 лет
• Этнические особенности:
о Наиболее высокий риск у афроамериканцев, чуть меньше - у европейцев
• Эпидемиология:
о Пожизненный риск: один из шести мужчин (для развитых стран)
о Является наиболее распространенным видом среди злокачественных опухолей внекожных локализаций
о Занимает второе место в структуре онкологической заболеваемости мужчин после рака легкого
3. Течение и прогноз:
• Осложнения:
о Обструкция выходного отверстия мочевого пузыря и в редких случаях обструкция прямой кишки о Обструктивная уропатия, уремия, патологические переломы
• Прогноз:
о Определяется согласно одной из трех групп риска (низкий, средний, высокий) в зависимости от уровня ПСА, показателя Глисона и клинической стадии
4. Лечение рака предстательной железы:
• Варианты, риски, осложнения:
о Хирургическое:
- При локализованном РПЖ с низким и средним риском
- Радикальная простатэктомия, тазовая лимфаденэктомия
- Риски: эректильная дисфункция, дисфункция мочевого пузыря
о Лучевая терапия:
- При распространенном РПЖ с высоким риском
- Дистанционная лучевая терапия, брахитерапия
- Риски: эректильная дисфункция, дисфункция мочевого пузыря
о Криотерапия, высокоинтенсивный сфокусированный ультразвук (ВСУ)
о Гормональная терапия, химиотерапия (при распространенном заболевании)
• Важнейшим фактором, влияющим на выбор тактики лечения, является наличие или отсутствие экстракапсулярного распространения опухоли
е) Диагностическая памятка:
1. Следует учесть:
• мпМРТ для определения стадии РПЖ
2. Советы по интерпретации изображений:
• Т2-ВИ: очаг с низкой интенсивностью сигнала в периферической зоне (ПЗ)
3. Советы по отчетности:
• Система отчетности и анализа данных визуализации предстательной железы PI-RADS (Prostate Imaging Reporting and Data System):
о Развитие стандартизованной системы для сбора, интерпретации данных и составления отчетов по данным мпМРТ
Рак предстательной железы: почему возникает, симптоматика, методы диагностики и лечения
Согласно данным множества исследований, отмечается неуклонный рост случаев обнаружения первичного рака предстательной железы (РПЖ). В России это заболевание находится на 4-м месте среди всей онкологии, выявляемой во время профосмотров. Опережает его рак шейки матки, молочной железы и губы. В западных странах рак простаты составляет 25% от всех онкологических заболеваний.
Что такое рак простаты?
РПЖ представляет собой злокачественное новообразование, которое развивается из тканей предстательной железы.
Предстательная железа, или простата, – мужской репродуктивный орган, по размерам схожий с каштаном. Он находится под мочевым пузырем и охватывает передний отдел мочеиспускательного канала.

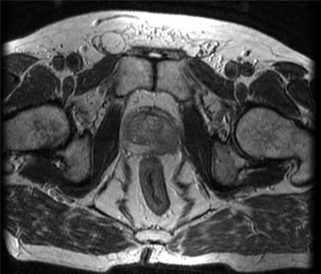
Рис. 1. МРТ (Т2-взвешенные изображения) картина поражения левой доли предстательной железы.
Разновидности рака предстательной железы
В 95% случаев РПЖ развивается из эпителиальных клеток собственных желез (их называют «ацинусы»), из которых сформирована периферическая часть предстательной железы. Эта форма болезни называется «ацинарная аденокарцинома». В остальных 5% случаев диагностируется интрдуктальная разновидность, для которой характерно более агрессивное течение.
Важная характеристика аденокарциномы – степень ее дифференцировки, которая выявляется при гистологическом исследовании биоптата или биоматериала, полученного в ходе операции. Дифференцировка сегодня выражается шкалой Глисона (Gleason), в соответствии с которой присваивается сумма баллов: от 6 (самый благоприятный прогноз) до 10 (самый неблагоприятный вариант).
Характерные признаки заболевания
Риск развития РПЖ растет с возрастом: средний показатель в этой категории заболевших – 68 лет. Существуют также факторы риска, то есть то, что повышает шанс появления онкологического заболевания. Современной медициной не выявлены достоверные факторы, которые приводят к повышению риска развития РПЖ (какие-либо препараты, характер рациона, вредные привычки, плохая экология и др.). Поэтому основным фактором остается возраста, а также возрастной гормональный дисбаланс (между эстрогенами и андрогенами).
Симптоматика, первые признаки
На ранних стадиях злокачественная опухоль обычно не проявляет себя. Кроме аденокарциномы, у людей с повышенным риском развития РПЖ почти всегда присутствуют сопутствующие патологии (простатит, аденома простаты), и они могут давать симптоматику. Чаще всего встречаются следующие симптомы:
- частое мочеиспускание, включая ноктурию (то есть учащение позывов в ночное время);
- трудности при мочеиспускании;
- ощущение, что мочевой пузырь опорожнен не полностью;
- боль при мочеиспускании;
- гематурия, то есть кровяные включения в моче;
- гемоспермия – при эякуляции наличие примесей крови в сперме;
- костные боли, появляющиеся при метастазировании РПЖ в скелет.
Таким образом, чем выше стадия, тем больше вероятность проявления симптоматики. Чаще всего РПЖ обнаруживается во время профилактического обследования (оно рекомендовано всем мужчинам старше 40-ка лет). Такое обследование включает в себя:
- ;
- пальцевое ректальное исследование;
- определение ПСА (простат-специфического антигена).
ПСА – это маркер, используемый для раннего выявления РПЖ. Он достаточно чувствителен и специфичен, чтобы заподозрить наличие рака на начальной стадии. Кроме ПСА, анализу могут подвергаться его производные – индекс здоровья простаты, плотность ПСА, соотношение свободного ПСА и общего.
Методы диагностики
Основа диагностики РПЖ – биопсия предстательной железы, иными словами, морфологическая верификация.
Показания к биопсии:
- Уровень ПСА выше нормального. Следует отметить, что верхняя граница нормы (4 нг/мл) может быть понижена для относительно молодых мужчин (возраст 40-50 лет) до 2-2,5 нг/мл.
- Подозрительные изменения очагового характера (гипоэхогенные очаги), выявленные при УЗИ (или ТРУЗИ) либо МРТ. Сейчас рекомендуется делать биопсию после МРТ, а не до нее, потому что это улучшает толкование изменений. Важно: делать МРТ лучше в специализированном учреждении, специалисты которого имеют нужный опыт, а диагностическое оборудование – специализированное ПО (то есть мультипараметрическая МРТ).
- Обнаруженные в ходе пальцевого исследования очаговые изменения.
Важно! Если уровень ПСА ниже верхней допустимой границы, это не всегда говорит о том, что РПЖ отсутствует. Примерно 25% случаев заболеваемости отмечаются на фоне нормальных значений этого показателя. Поэтому решение о необходимости проведения биопсии должно приниматься после комплексного обследования, которое включает все виды диагностики.
Варианты биопсии простаты:
- Стандартная, или трансректальная мультифокальная. Такая биопсия делается обычно амбулаторно. Выполняется через прямую кишку, в ходе процедуры берут не менее 6-ти биоптатов (лучше 10-12). Недостаток этого вида биопсии – вероятность пропустить РПЖ, если он имеет малые размеры и локализуется в определенных зонах предстательной железы.
- Промежностная. Проводится обычно по расширенной методике (сатурационная процедура). В ходе нее беру гораздо больше биоптатов – от 20-ти. Такая биопсия показана тем, кому проводились стандартные биопсии, но они не выявили РПЖ, при этом риск развития заболевания сохраняется. Еще одно показание: планирование органосохраняющего лечения (фокальная терапия, брахитерапия). Недостатки методики – необходимость обеспечения пациенту спинальной анестезии, использования специализированного оборудования, стационарные условия проведения. Однако именно такая биопсия дает возможность наиболее точно выявить характер патологических изменений.
- Fusion. Это современная разновидность биопсии предстательной железы, при которой используется современное оборудование и данные МРТ, проведенной заблаговременно. Широкое применение такой методики сейчас ограничено ввиду отсутствия в лечебных учреждениях нужного оборудования.


Рис. 2 А., 2 Б. Фьюжн-биопсия. Мастер-класс в НМИЦ онкологии им. Н.Н. Петрова
Стадии рака предстательной железы
Стадирование РПЖ и определение группы риска рецидивирования после возможной терапии производятся после гистологической верификации заболевания.
Стадирование при стандартном подходе подразумевает остеосцинтиграфию и МРТ органов малого таза. Магнитно-резонансная томография нужна, чтобы выявить степень локального распространения процесса в зоне простаты (прорастание в семенные пузырьки, выход новообразования за капсулу железы), а также определить, есть ли поражение регионарных лимфоузлов.

Рис. 3. Пути распространения рака предстательной железы в лимфоузлы таза.
В случае необходимости дополнительно проводится КТ органов груди или брюшной полости.
Цель проведения остеосцинтиграфии – выявление возможного поражения опухолью костей скелета.
Могут назначиться дополнительные исследования – рентгенография (прицельная), УЗИ, урофлоуметрия.
Группа риска определяется, исходя из уровня ПСА на момент до начала терапии, суммы Глисона, согласно данным биопсии, и клинической стадии болезни. Группа риска может быть низкой, промежуточной и высокой. Ее определение крайне важно, чтобы выбрать оптимальный метод лечения.
ПСА от 10 до 20 нг/мл
ПСА более 20 нг/мл
сумма Глисона 6
сумма Глисона 7
Методики лечения
В соответствии с результатами многоцентрового проспективного рандомизированного исследования ProtecT (2016) лучевая терапия и хирургическое лечения демонстрируют раную противоопухолевую эффективность и обеспечивают надежный контроль над заболеванием у большинства (более 90%) больных раком предстательной железы с низким и промежуточным риском рецидива заболевания. В настоящее время решающим фактором при выборе противоопухолевого лечения у этой категории больных является безопасность терапии и снижение риска осложнений.
Рассмотрим основные виды терапии: хирургическое лечение, брахитерапия, стереотаксическое облучение, сочетанная лучевая терапия.
Хирургическое вмешательство
РПЭ, или радикальная простатэктомия, представляет собой хирургическое вмешательство по удалению предстательной железы, а также окружающей клетчатки и лимфоузлов. При такой операции с железой единым блоком удаляют семенные пузырьки и участок канала уретры.

Рис. 4. ПЭТ-КТ изображения больного М. с поражением тазовых лимфоузлов
РПЭ различается по виду доступа и степени инвазивности:
- Открытая. Проводится двумя основными видами доступа: промежностным и позадилонным.
Позадилонный доступ предполагает разрез в нижней части живота, через который удаляется простата и местные ткани.
Промежностная методика – это открытый способ, при котором небольшой надрез делается в зоне между анусом и кожно-мышечным мешком, то есть мошонкой. Методика позволяет удалить простату, но при ее применении нельзя также удалить неблагоприятные ткани и узлы, расположенные около железы. Если после проведения промежностной операции в органах малого таза обнаружатся раковые клетки, нужно будет дополнительно делать лимфаденэктомию. Сейчас промежностная методика применяется крайне редко.
- Лапароскопическая. Основные доступы: через предбрюшинное пространство или брюшную полость. Для выполнения операции делается несколько небольших разрезов на передней стенке живота. Через них в предбрюшинное пространство или брюшную полость вводят специальные манипуляторы и удаляют предстательную железу, жировую клетчатку малого таза, а также регионарные лимфатические узлы.
Лапароскопическая методика – наиболее щадящая. Врач имеет доступ к пораженному органу через маленький разрез внизу живота. В него вводится камера и все нужные хирургу инструменты. Камера подает на экран изображение органов малого таза, благодаря чему врач полностью контролирует процесс, а пациент получает минимум вреда. При таком способе минимизированы кровопотери, посторонние органы почти не травмируются, эректильная функция сохраняется частично или полностью и т. д.
Рассмотрим также наиболее распространенные осложнения, которые могут возникнуть после операции на простате:
- Недержание мочи. Это осложнение возникает в 95% случаев сразу после снятия с мочевого пузыря пациента специального катетера. Далее в 45% случаев это осложнение проходит через 6 месяцев после удаления РПЖ. В 15% случаев недержание сохраняется до 1 года.
- Потеря эректильной функции – полная или частичная. Существенно снизить такое осложнение врачам удается при проведении лапароскопической простатэктомии. При такой методике минимизировано повреждение нервных стволовых клеток органов малого таза. Если после хирургического вмешательства наблюдается расстройство эректильной функции, то пациенту прописывается курс медикаментозной терапии и наружных препаратов, расширяющих сосуды.
Брахитерапия
Брахитерапия представляет собой введение в ткани источников излучения. Эта методика – самая «молодая» среди способов лечения РПЖ. Сегодня это один из наиболее востребованных методов облучения простаты, обеспечивающий очень высокую избирательность подведения дозы. Основная особенность брахитерапии заключается в том, что простата облучается изнутри – источник облучения вводится непосредственно в нее. Такой метод дает возможность применять высокие дозы (100-140 Гр и более), при этом избегая высокого риска лучевого поражения не подверженных раку тканей.
Стремительный рост клинического применении брахитерапии, по сравнению с хирургическими вмешательствами, обуславливается высокой эффективностью, которая сопоставима с простатэктомией, при гораздо более низкой частоте возникновения осложнений.
Различают 2 вида брахитерапии, в зависимости от способа введения источника излучения в железу и его мощности:
- высокомощная, для которой характерно кратковременное введение источника излучения высокой мощности в ткани;
- низкомощная – источник низкой мощности устанавливается на все время лечения.
При проведении низкомощностной брахитерапии в ткани простаты вживляется источник излучения и остается в них до полного распада. Долгое время при РПЖ именно этот вид брахитерапии применялся чаще всего. Наиболее часто для выполнения терапии используется изотоп радиоактивного йода, то есть I125.
Согласно многочисленным исследованиям, брахитерапия низкой мощности обеспечивает не очень высокую точность облучения. Это объясняется смещением источника излучения, изменением формы и размеров простаты, затрагиванием прилежащих здоровых органов. Ввиду этого низкомощностная методика показана в основном пациентам с самыми начальными стадиями, когда опухоль небольшая и не выходит за пределы железы. Такая брахитерапия имеет и другие существенные недостатки. Первый – это высокая частота осложнений, возникающих со стороны мочевыводящих путей, может даже возникнуть острая задержка мочи и необходимость эпицистостомы, то есть формирования надлобкового мочепузырного свища, на долгий срок. В основе осложнений – отек предстательной железы из-за того, что в ней остается несколько сотен зерен (инородных тел). Кроме того, радиоактивные зерна, если они долго находятся в организме, представляют собой источники излучения, представляющие определенную опасность для других людей. Из-за этого контакт пациента с родными ограничен (нельзя близко общаться с маленькими детьми).

Рис. 5. Высокомощностная (высокодозная) брахитерапия
Самая современная методика внутритканевой терапии – высокомощностная брахитерапия. Источники излучения автоматически загружаются и извлекаются. Эта лучевая терапия обладает принципиальным плюсов – высокой точностью облучения, достигаемой путем введения игл под контролем специального УЗ-аппарата. Одновременно в автоматическом режиме рассчитываются дозы и возможность быстрой корректировки плана лучевого лечения. Источник излучения находится в организме пациента временно, поэтому уровень осложнений – самый низкий, по сравнению со всеми радикальными методиками терапии РПЖ, включая низкодозную разновидность брахитерапии.
Технологические особенности методики позволяют предлагать ее большинству больных, вне зависимости от размеров злокачественного новообразования и его распространенности за пределы простаты. Кроме того, высокомощностная брахитерапия – это «золотой стандарт» при комбинированном лечении, то есть одновременном использовании с дистанционным облучением у больных с неблагоприятными характеристиками новообразования.
Самый большой недостаток высокомощностной методики – высокие требования, касающиеся квалификации медицинского персонала, а также необходимость использования высокотехнологичного оборудования. Этим объясняется малая распространенность метода в России.
Противопоказания к брахитерапии подразделяются на общие и урологические. Самые частые урологические противопоказания – это серьезные нарушения процесса мочеиспускания:
Нужно отметить, что большой объем простаты, который имеет значение для низкодозной брахитерапии (50-60 см 3 ), почти не ограничивает возможности лечения в режиме высокомощностной методики.
- отдаленные метастазы;
- злокачественные опухоли, инфекции и воспаления мочевого пузыря;
- злокачественные опухоли, инфекции и воспаления прямой кишки;
- непереносимость анестезии;
- отсутствие прямой кишки ввиду предшествующих операций.
Данные противопоказания относятся не только к брахитерапии, но и к другим методикам лучевой терапии РПЖ.
Стереотаксическое облучение
СТЛТ (стереотаксическая лучевая терапия) – высокоточная методика лечения очага РПЖ высокими дозами ионизирующего излучения.

Рис. 6. Стереотаксический лучевой ускоритель
Сегодня СТЛТ при раке простаты реализуется несколькими основными методами, каждый из которых обладает своими особенностями, плюсами и минусами:
Читайте также:
- Отравление уксусной кислотой ( эссенцией ). Патогенез ( механизм ) отравления уксусной кислотой.
- Инфекции, вызванные кишечной палочкой
- Жидкость в брюшной полости. Осмотр живота при жидкости в брюшной полости
- Механизм повышения проницаемости наружной мембраны митохондрий (МОМР)
- Механические протезы клапанов сердца
