Лучевая диагностика сегментарной верхнечелюстной одонтодисплазии зубов
Добавил пользователь Евгений Кузнецов Обновлено: 29.10.2025
НИО гибридных технологий лучевой медицины Первого МГМУ им. И.М. Сеченова Минздрава России, Москва, Россия, 119991
Лучевая диагностика одонтогенного верхнечелюстного синусита
Журнал: Вестник оториноларингологии. 2017;82(2): 46‑50
Цель исследования — проанализировать возможности таких методов лучевой диагностики, как рентгенография, мультиспиральная компьютерная томография (МСКТ) и конусно-лучевая компьютерная томография (КЛКТ) в диагностике одонтогенного верхнечелюстного синусита, а также описать изменения верхнечелюстных синусов, выявляемые с помощью вышеуказанных методов. Были обследованы 166 пациентов с верхнечелюстным синуситом в возрасте от 21 до 81 года, всем пациентам было проведено рентгенологическое исследование. Выявлена низкая эффективность проекционных методов рентгенографии. Применение компьютерной томографии позволило из 166 обследованных пациентов у 110 (66,2%) больных верифицировать диагноз, определить рентгенологические признаки одонтогенной этиологии выявленных изменений и грамотно подобрать дальнейшую тактику лечения. МСКТ и КЛКТ является наиболее информативными методами в диагностике изменений верхнечелюстных синусов одонтогенной этиологии.
Несмотря на значительный прогресс стоматологической помощи населению, в последние годы отмечается увеличение заболеваемости одонтогенным верхнечелюстным синуситом (ОВЧС), что связано со стремительным развитием интервенционной стоматологии [1, 2]. ОВЧС занимает одно из ведущих мест среди воспалительных процессов одонтогенной этиологии [1—4]. Связь ОВЧС с заболеванием зубов зачастую недооценивается специалистами, особенно если она не является очевидной, а зачастую ОВЧС рассматривается как риногенный, что может приводить к неправильному ведению пациентов. В первую очередь это касается хронических форм одонтогенного синусита при относительно бессимптомном его течении [4—8].
По данным отечественных и зарубежных исследователей, ОВЧС составляет не менее 5—8% от общего числа воспалительных заболеваний челюстно-лицевой области [9, 10]. Это объясняется тем, что очаги хронической одонтогенной инфекции не всегда удается установить при визуальном осмотре полости рта. Также они могут быть сопутствующими при риногенной форме синусита и усугублять его течение. Нередко хронический ОВЧС выявляется случайно при рентгенологическом исследовании костей лицевого черепа по поводу другой патологии [5, 7].
Частой причиной развития ОВЧС являются ошибки в эндодонтическом лечении зубов и стоматологической имплантации — проведение инструментов для обработки корневых каналов (корневые иглы, дрильборы, каналонаполнители, пульпэкстракторы), а также пломбировочного материала и импланта за верхушку корня зуба в полость пазухи. Реже инородными телами в полости синусов являются фрагменты корней зубов [1, 2, 5, 12]. К причинам развития ОВЧС также относят инфицирование пазухи при оперативном вмешательстве с перфорацией дна полости верхнечелюстного синуса: наиболее часто (до 80%) при случайном вскрытии пазухи при экстракции и кюретаже лунки после экстракции первого и второго моляров верхней челюсти, реже — при резекции верхушки корня, цистэктомии, удалении ретинированных зубов, секвестрэктомии, подсадке зубного имплантата, удалении новообразования этой области [1, 10, 15].
Ведущая роль в диагностике ОВЧС по-прежнему остается за лучевыми методами исследования. Традиционно для оценки околоносовых синусов, в том числе верхнечелюстных, применяется рентгенография в носо-подбородочной проекции, обзорные рентгенограммы черепа в прямой и боковых проекциях. Для визуализации зубов используются ортопантомография или внутриротовая контактная рентгенография, которые не позволяют достоверно оценить состояние верхнечелюстных синусов [11—14]. С внедрением современных высокотехнологичных методов лучевой диагностики — мультиспиральной компьютерной томографии (МСКТ), конусно-лучевой компьютерной томографии (КЛКТ), магнитно-резонансной томографии (МРТ) — многие врачи стали отказываться от классических рентгенологических методик ввиду их малой информативности [12—14]. При этом в протоколы описания околоносовых синусов не всегда включаются данные о состоянии альвеолярного отростка, зубов верхней челюсти [11, 13]. Это может привести к несвоевременной диагностике и различным местным и общим осложнениям у таких пациентов [15, 16].
Цель исследования — определение возможностей современных лучевых методов исследования — МСКТ и КЛКТ — в диагностике воспалительных изменений верхнечелюстных синусов (ВЧС) одонтогенной этиологии.
Пациенты и методы
В период с 2013 г. по 2015 г. в отделении лучевой диагностики УКБ № 1 Первого МГМУ им. И.М. Сеченова были обследованы 166 пациентов с верхнечелюстными синуситами различной этиологии. У 110 больных (66,2%) была подтверждена одонтогенная этиология заболевания. Анализ распределения больных в соответствии с возрастом и полом показал, что из обследованных больных с ОВЧС большинство — 91 (54,8%) человек — были в молодом и зрелом возрасте от 21 года до 60 лет. Пациентов старше 60 лет было 19 (11,4%) человек, средний возраст пациентов составил 48 лет (от 21 до 81 года). Преобладали лица женского пола (62 (37,3%) женщины и 48 (28,9%) мужчин) трудоспособного возраста.
Сопоставление клинических проявлений одонтогенного ВЧС и рентгенологической картины позволило условно объединить пациентов в две группы: 66 (39,7%) пациентов с острым воспалительным процессом в верхнечелюстном синусе имели соответствующие клинические симптомы заболевания, а 44 (26,5%) пациента жалоб со стороны верхнечелюстных синусов не предъявляли (воспалительный процесс в верхнечелюстном синусе был хроническим).
Комплексное рентгенологическое исследование проводилось во всех случаях. Всем больным была выполнена компьютерная томография (МСКТ или КЛКТ): МСКТ — 76 (45,8%) пациентам, КЛКТ — 90 (54,2%) пациентам. 122 (73,5%) пациентам была выполнена рентгенография околоносовых синусов в носо-подбородочной, полуаксиальной проекциях. Для уточнения состояния зубов верхней челюсти проводилась ортопантомография (n=166, 100%) и внутриротовая контактная рентгенография (n=12, 7,3%).
При оценке и анализе диагностических изображений критериями одонтогенного синусита были следующие признаки: наличие инородного тела металлической плотности, соответствующего пломбировочному материалу или имплантату в полости синуса; глубокий кариес и признаки периодонтита премоляров и моляров верхней челюсти; разрушение нижней костной стенки верхнечелюстных синусов в области патологически измененных зубов.
Результаты и обсуждение
Анализ результатов методов лучевой диагностики позволил выявить признаки ОВЧС в 110 (66,2%) из 166 случаев. 66 (39,7%) пациентов имели характерные клинические симптомы заболевания (головная боль, субфебрильная температура, нарушение сна, ощущение тяжести в соответствующей половине лица при наклоне головы кпереди, заложенность носа только с одной стороны); эти больные были направлены на лучевое обследование оториноларингологами. Остальные 44 (26,5%) человека жалоб со стороны верхнечелюстных синусов не предъявляли; ранее они были направлены на обследование стоматологами и челюстно-лицевыми хирургами по следующим показаниям: 22 (13,2%) пациента — для уточнения стоматологического статуса, 12 (7,3%) пациентов — перед дентальной имплантацией, 10 (6%) пациентов — для послеоперационного контроля после хирургических вмешательств на верхней челюсти. В этих случаях выявленное воспаление верхнечелюстного синуса было диагностической находкой.
Как известно, острое одонтогенное воспаление верхнечелюстного синуса развивается в течение 1—3 дней. Достаточно часто причиной является воспалительный процесс верхней челюсти (острый или обострение хронического). К таким состояниям относят осложнения кариеса зубов, периодонтиты, периостит, остеомиелит, а также нагноение кист зубов или гранулем [7, 8].
Характерными жалобами пациентов с острым верхнечелюстным синуситом были: затруднение носового дыхания, ринорея, потеря обоняния, головная и лицевая боль, ощущение тяжести в соответствующей половине лица при наклоне головы кпереди, субфебрильная лихорадка, а также ночной кашель и нарушение сна. Одонтогенный синусит в отличие от риногенного имеет следующие отличительные признаки: изолированное поражение одного из верхнечелюстных синусов, боль в зубе или в пародонтальных тканях, предшествующая заболеванию, нарушение конфигурации лица в результате отека мягких тканей щеки и боль при пальпации переднелатеральной стенки верхнечелюстной пазухи.
При остром синусите на рентгенограммах определялась утолщенная слизистая оболочка, затемнение и уровень жидкости. При хроническом синусите отмечалось снижение прозрачности синуса.
При оценке и анализе диагностических изображений критериями одонтогенного синусита были следующие признаки: наличие инородного тела металлической плотности, соответствующего пломбировочному материалу или импланту в полости синуса; глубокий кариес и признаки периодонтита премоляров и моляров верхней челюсти; разрушение нижней костной стенки верхнечелюстных синусов в области патологически измененных зубов, а также частичная адентия верхней челюсти в зоне, соответствующей изменениям верхнечелюстного синуса.
При рентгенологическом исследовании у 44 (26,5%) пациентов с острым верхнечелюстным синуситом на обзорной рентгенограмме определялись утолщенная слизистая оболочка и/или субтотальное затемнение с горизонтальным уровнем жидкости. У 78 (47%) пациентов отмечалось тотальное снижение прозрачности синуса, из них у 38 (22,8%) пациентов в полости синуса были обнаружены инородные тела металлической плотности (соответствующие пломбировочному материалу). Однако низкая контрастность жидкости и мягких тканей, суммация теней затрудняли объективную оценку полученных рентгенограмм. Для дополнительной оценки состояния зубов верхней челюсти всем пациентам выполнялась ортопантомография, которая не позволяла достоверно судить о состоянии верхнечелюстных синусов, а у 13 (7,8%) пациентов — точно интерпретировать изменения в области верхушек зубов верхней челюсти (вследствие отражения проекционного наслоения сложных анатомических структур).
По результатам нашего исследования у 24 (14,5%) пациентов были обнаружены признаки хронического периодонтита в области премоляров и моляров верхней челюсти (рис. 1). Глубокий кариес был диагностирован у 4 (2,4%) пациентов, кисты верхней челюсти в области корней премоляров и моляров визуализировались в 6 (3,6%) случаях.

Рис. 1. КЛКТ. Панорамная (а) и мультипланарные реконструкции правого (б) и левого (в) верхнечелюстных синусов пациента М., 37 лет. Диагноз: двусторонний одонтогенный хронический верхнечелюсной синусит. Отмечаются КТ-признаки хронического гранулематозного периодонтита зубов 1.8, 2.7, 2.8 (в виде очагов деструкции у верхушек корней, округлой формы, с четкими ровными контурами). Нижние костные стенки синусов истончены, не прослеживаются в области периодонта зубов 1.8 и 2.8 (указаны стрелками). В нижнем отделе правого верхнечелюстного синуса определяется пристеночное мягкотканное образование гомогенной структуры с полицикличным верхним контуром. Левый верхнечелюстной синус субтотально заполнен мягкотканным содержимым гомогенной структуры с округлым верхним контуром.
Пломбировочный материал был обнаружен у 38 (22,8%) пациентов (рис. 2). Из них у 34 (20,4%) больных в подслизистом слое нижней стенки синуса, у 4 (2,4%) — в верхнем отделе у медиальной стенки синуса (рис. 3). У 8 (4,8%) пациентов диагностированы ошибки стоматологической имплантации: верхушка импланта была погружена в полость синуса, что стало причиной развития хронического одонтогенного верхнечелюстного синусита, а также осложнений в виде хронического полисинусита (n=4; 2,4%).

Рис. 2. МСКТ. Коронарная (а) и сагиттальная (б) реконструкции правого верхнечелюстного синуса пациента К., 29 лет. Диагноз: правосторонний одонтогенный хронический верхнечелюстной синусит. Корни зубов 1.6, 1.7 и 1.8 погружены в полость верхнечелюстного синуса. Состояние после эндодонтического лечения зубов 1.6 и 1.7, с выведением пломбировочного материала за верхушку небного корня 1.7. В области корней зубов 1.6 и 1.7 отмечается разрежение костной ткани с нечеткими неровными контурами (рентгенологические признаки гранулирующего периодонтита). В нижнем отделе синуса определяется пристеночное мягкотканное образование с полицикличным контуром, костные стенки синуса в данной области не прослеживаются.

Рис. 3. КЛКТ. Сагиттальная реконструкция, правый верхнечелюстной синус. Пациент У., 48 лет. Диагноз: правосторонний одонтогенный хронический верхнечелюстной синусит. Зубы 1.6 и 1.7 после эндодонтического лечения, отмечается выведение пломбировочного материала за верхушки корней зуба 1.6 (материал располагается в костной ткани альвеолярного отростка и в подслизистом слое синуса). Определяется разрежение костной ткани в области корней 1.6 и 1.7, костная стенка синуса в данной области не прослеживается (стрелка). В нижнем отделе синуса определяется утолщение слизистой оболочки до 10 мм, в верхнемедиальном отделе синуса визуализируется инородное тело неправильной формы металлической плотности (соответствует фрагментам пломбировочного материала).
В нашем исследовании у 30 (18,1%) пациентов наблюдалось отсутствие зубов верхней челюсти в зоне, соответствующей изменениям верхнечелюстного синуса, что также позволяло судить об одонтогенности верхнечелюстного синусита.
Выводы
1. Высокотехнологичные методы лучевой диагностики (МСКТ или КЛКТ) являются необходимой составляющей комплексной диагностики ОВЧС.
2. Применение компьютерной томографии (МСКТ или КЛКТ) позволяет определить причину ОВЧС и, таким образом, выбрать правильную тактику ведения пациентов.
3. МСКТ или КЛКТ должны быть рекомендованы пациентам до и после эндодонтического лечения зубов и стоматологической имплантации, а также при хирургических вмешательствах на верхней челюсти с целью своевременного выявления возможных патологических изменений верхнечелюстных синусов (в том числе бессимптомных).
Конфликт интересов: авторы статьи подтвердили отсутствие финансовой поддержки/конфликта интересов, о которых необходимо сообщить.
Лучевая диагностика сегментарной верхнечелюстной одонтодисплазии зубов
Рентгенограмма, КТ при сошлифовывании зубов (абразии)
а) Терминология:
• Синонимы:
о Повреждение зубной щеткой
о Повреждение зубной нитью
• Определение:
о Патологическое стирание структур зуба из-за внешнего механического воздействия (использования зубной щетки, зубной нити, зубочисток и т.д.)
б) Визуализация:
• Локализация:
о Поверхность коронки зуба, подверженная длительному механическому воздействию
о Повреждение зубной щеткой: лицевая сторона шеечной части резцов, клыков и премоляров верхней челюсти
о Более выраженное на противоположной стороне от доминирующей руки
• Форма:
о Зависит от механики движений и причинного агента
о Зубная щетка: горизонтальные выемки на лицевой поверхности шеечной части зуба
о Зубная нить: узкие полулунные просветления на межпроксимальных поверхностях шеечной части зуба
о Зубочистки, кламмеры; откусывание ниток, открывание зубами заколок для волос, удержание зубами швейных иголок и булавок, раскусывание семечек подсолнуха/тыквы, удержание зубами курительной трубки: дефект в форме причинного агента
• Визуализация:
о Изменения обычно клинически очевидны
о Периапикальные рентгенограммы позволяют оценить глубину дефектов, если они находятся на проксимальных поверхностях
о КЛКТ позволяет оценить глубину дефектов на лицевых поверхностях, но не показана для их диагностики

(Слева) На сагиттальной КЛКТ визуализируется абразивный дефект с лицевой стороны шейки клыка верхней челюсти, скорее всего, обусловленный неправильным использованием зубной щетки.
(Справа) На 3D КЛКТ у женщины 42 лет, имеющей привычку грызть семечки арбуза с детства, визуализируются абразивные дефекты в виде выемок на передних зубах нижней челюсти. Обратите внимание, что коронки передних зубов верхней челюсти, возможно, имели аналогичные дефекты и были восстановлены.
в) Дифференциальная диагностика сошлифовывания зубов (абразии):
• Кариес:
о Кариес (V класс): деминерализация и размягчение эмали и дентина
о Плотность пограничной зоны поражения/зуба варьирует
• Подготовленная полость:
о При отсутствии накпадки/вставки, подготовленная полость может выглядеть как сошлифованный участок
о Обычно более симметрична и четко отграничена
• Абфракция:
о Считается следствием воздействия на зубы сил, направленных на изгиб
о Глубокие, узкие клиновидные дефекты
о Часто поражается задняя поверхность одного заднего зуба
о Распространенность выше у пациентов с бруксизмом
• Эрозия:
о Плоские блюдцеобразные дефекты
о Употребление кислых продуктов или рефлюкс в анамнезе
• Аттриция:
о В сравнении с нарушениями, возникающими в результате удержания в зубах курительной трубки или других объектов:
о Изменения резцовых краев зубов обычно более генерализованные и однородные
г) Клинические особенности:
• Этиология:
о Длительное использование твердых предметов для чистки зубов или удержание их зубами
о Повреждение зубной щеткой вследствие неправильных движений ею взад-вперед, использования жестких щеток, избыточного давления
о Абразивная зубная паста может ускорять сошлифовывание
о Повреждение зубной нитью вследствие избыточного или неправильного ее применения; приводит к более глубоким дистальным дефектам (большее давление), чем мезиальным
о Дефекты коронки ограничены эмалью
• Симптомы:
о Чувствительность вследствие обнажения дентина
о Из-за отложения вторичного дентина обнажение пульпы наблюдается редко
• Лечение:
о Отказ от причинной привычки
о Закрытие абразивных дефектов материалами для восстановления зубов
а) Терминология:
1. Аббревиатура:
• Сегментарная верхнечелюстная одонтодисплазия (СВО)
2. Синонимы:
• Гемимаксиллофациальная дисплазия
• HATS: одностороннее увеличение нижней челюсти и лица, асимметрия лица, аномалии зубов, изменения кожи
3. Определение:
• Аномалия развития костей неизвестной этиологии с односторонним поражением верхней челюсти, зубов, десны возле них
б) Визуализация:
1. Общая характеристика:
• Лучший диагностический критерий:
о Одностороннее увеличение верхней челюсти в сочетании с аномалиями зубов и вертикальным расположением трабекул
• Локализация:
о Верхняя челюсть: одностороннее поражение, правая и левая стороны поражаются с одинаковой частотой
о Может распространяться от клыкового возвышения до бугристости

(Слева) На сагиттальной реформатированной КЛКТ у восьмилетней девочки определяется плотности верхней челюсти слева с наличием вытянутых просветлении, вероятно, представляющих собой питающие каналы. Определяется патологическая резорбция временного клыка и первого моляра. Изменения сопоставимы с сегментарной верхнечелюстной одонтодисплазией (СВО).
(Справа) На корональной КЛКТ у этой же пациентки определяется ↑ ширины верхней челюсти слева. Формирующийся первый левый премоляр смещен в сторону неба и имеет меньший размер, чем правый. Второй премоляр отсутствует. Первый временный моляр слева больше, чем справа.
2. Рентгенография при сегментарной верхнечелюстной одонтодисплазии:
• Интраоральная рентгенография:
о Повышение плотности альвеолярной кости верхней челюсти, вертикальное расположение и огрубление трабекул; кость может выглядеть как «матовое стекло»
о В плотной кости могут обнаруживаться тонкие вертикальные просветления, вероятно, представляющие собой питающие каналы
о Зубы могут отсутствовать (часто премоляры) или иметь патологически измененные корни, возможна задержка формирования корней
о Возможна значительная патологическая резорбция временных зубов, имеющих больший размер по сравнению с зубами на другой стороне
3. КТ при сегментарной верхнечелюстной одонтодисплазии:
• КЛКТ:
о Позволяет оценить распространение поражения в сторону щеки и неба
о Может обнаруживаться уменьшение размеров верхнечелюстной пазухи
в) Дифференциальная диагностика сегментарной верхнечелюстной одонтодисплазии:
1. Фиброзная дисплазия:
• Одностороннее поражение костной ткани верхней или нижней челюсти
• Кость может принимать вид «матового стекла»
• Зубы обычно присутствуют, не поражены
• Распространенность поражения прогрессирует
2. Регионарная одонтодисплазия:
• Местная патология зубов, выглядящих «призрачными»
• Поражение прилежащей костной ткани отсутствует
3. Сегментарная гемифациальная гиперплазия:
• Не связана с уплотнением кости или вертикальным расположением трабекул
• Возможно увеличение зубов, преждевременное выпадение молочных зубов
4. Десневой фиброматоз:
• Увеличение (гиперплазия) десны ±синдромальные проявления
• Обычно генерализованная патология
• Поражение кости, связанной с десной, отсутствует

(Слева) На кадрированной панорамной рентгенограмме у женщины 26 лет определяется повышение плотности альвеолярной кости в области премоляров верхней челюсти справа. Визуализируется просветление между первым моляром и клыком, подозрительное на расщелину. О наличии расщелин сообщалось и в других случаях заболевания. Оба премоляра отсутствуют.
(Справа) На фотографии у этой же пациентки видна расщелина угла рта на фоне гиперпигментации лица. Эти нарушения часто сочетаются с СВО. Также наблюдается гипертрихоз.
г) Патология:
1. Общая характеристика:
• Этиология:
о Неизвестна; существует несколько теорий:
- Внутриутробные нарушения развития, врожденный дефект первой и второй жаберных дуг, вирусное или бактериальное инфекционное поражение верхнечелюстной ветви ЧМН V
2. Классификация сегментарной верхнечелюстной одонтодисплазии:
• Выделяют два основных типа:
о Тип I (классический): поражение зубов, альвеолярного отростка, десны без вовлечения лица
о Тип II (кожный): поражение зубов, альвеолярного отростка, десны с вовлечением лица:
- Подразделяется на четыре формы: гипертрихотическую, пигментную, эритематозную, комиссуральный дефект
3. Макроскопические и хирургические особенности:
• Толстые, грубые трабекулы незрелой ретикулярной кости; отсутствие пластинчатой кости; остеобласты/остеокласты вокруг трабекул
• Фиброз и расширение пульпы временных зубов
д) Клинические особенности:
2. Демография:
• 5-27 лет; диагноз обычно устанавливается в первом десятилетии жизни
• М > Ж; согласно некоторым данным, М=Ж
3. Течение и прогноз:
• Не прогрессирует, прогноз великолепный
4. Лечение сегментарной верхнечелюстной одонтодисплазии:
• Удаление зубов, не поддающихся восстановлению; ортодонтическое лечение и/или протезирование зубов с целью восстановления их формы и функции
• Возможна успешная установка имплантов в измененную кость, однако без гарантии результата
е) Диагностическая памятка. Следует учесть:
• Окончательное лечение нужно отложить до завершения роста скелета
ж) Список использованной литературы:
1. Agrawal A et al: Segmental odontomaxillary dysplasia. J Indian Soc Pedod Prev Dent. 32(1):83-6, 2014
2. Rai S et al: Unilateral segmental odontomaxillary dysplasia: a rare entity of 3 cases and review. Indian J Dent Res. 25(1): 102-6, 2014
3. Gonzalez-ArriagadaWAetal: Segmental odontomaxillary dysplasia: report of 3 cases and literature review. Head Neck Pathol. 6(2): 171—7, 2012
РЕНТГЕНОЛОГИЯ | НАУЧНАЯ СТАТЬЯ
Рентгенологические признаки одонтогенного синусита. Краткий обзор литературы
Статья посвящена диагностике одонтогенного верхнечелюстного синусита с использованием современных низкодозных томографических методик, которые не так давно вошли в повседневную практику стоматологии. Уделяется внимание этиологическим факторам и рентгенологическим проявлениям верхнечелюстного синусита, ассоциированного с заболеваниями зубов по данным КЛКТ. Дается оценка эффективности классических методов исследования.
Ключевые слова:
КЛКТ, одонтогенный верхнечелюстной синусит, симптомы, рентгенологические признаки
Конусно-лучевая компьютерная томография (КЛКТ) за последние несколько лет получила стремительное распространение в России. Если еще пять —семь лет назад КЛКТ-диагностика имелась в арсенале единичных частных клиник, в основном в Москве или Санкт-Петербурге, то на сегодняшний день метод фактически внедрен в практику. Повсеместное внедрение КЛКТ позволило значительно повысить диагностическую точность и серьезным образом расширить диагностические возможности на стоматологическом приеме. Однако несмотря на улучшающееся материально-техническое оснащение стоматологических учреждений, по-прежнему остро стоит вопрос нехватки квалифицированных врачей — лучевых диагностов со специализацией в челюстно-лицевой радиологии. Именно этот фактор ограничивает диагностическую глубину анализа КЛКТ-данных врачами-стоматологами, что является одной из причин недостаточной диагностики смежной патологии, в том числе непосредственно связанной с заболеваниями зубов. В то же самое время недостаточные знания лор-врачей об особенностях течения, диагностики и современных возможностях лечения периапикальных воспалительных заболеваний зубов часто приводят к неверной трактовке причин заболевания или же к уже запоздалому и, как правило, избыточному лечению путем устранения не только причинного зуба, но и порой совершенно здоровых или как минимум неэтиогенных зубов. Ситуация, когда пациент с хроническим одонтогенным синуситом на протяжении многих месяцев перемещается между стоматологом и лор-врачом без установления этиологии процесса, в нашей стране, увы, не редкость. С учетом сказанного выше понимание базовых принципов клинической и лучевой диагностики ассоциированных с зубами верхнечелюстных синуситов представителями обеих смежных специальностей имеет большое значение в повышении выявления такой патологии, а также адекватности лечения и способности наладить эффективное междисциплинарное взаимодействие. Ассоциированный с зубами верхнечелюстной синусит является предметом изучения как клиницистов, так и радиологов десятилетиями. И несмотря на это, проблема все еще очень актуальна, в том числе и в России. По данным различных исследований, частота ассоциированных с зубами синуситов в настоящее время составляет, по разным данным, от 10 до 40% [1] среди всех бактериальных синуситов и от 10 до 12% среди верхнечелюстных синуситов [2]. Хроническая симптоматика с вовлечением синусов является одной из самых частых причин обращения к врачам [3]. Средняя длительность симптомов может сильно варьировать. В исследовании (Longhini A.B. et al, 2011) на основе изучения истории заболевания 21 пациента с хроническим одонтогенным синуситом она варьировала в диапазоне от одного месяца до 15 лет и в среднем составила 2,6 года [10]. Клинические проявления довольно сильно варьируют от бессимптомных до выраженной боли. По данным исследования 67 пациентов с одонтогенным верхнечелюстным синуситом (Shanbhag S. et al, 2013) было выявлено, что наиболее распространенными клиническими проявлениями являлись боль в области верхнечелюстного синуса (88%), постназальный дренаж (64%), верхнечелюстная боль в зубах (39%). При этом рентгенологически были выявлены периапикальные абсцессы (18%), периодонтальные абсцессы (9%) и в 36% случаев очевидных рентгенологических изменений выявлено не было. 77% случаев синусита имели униполярный характер. Односторонний тип поражения в большинстве случаев является диагностическим критерием одонтогенного синусита.
С момента появления лучевой диагностики внутриротовые снимки зубов присутствовали в арсенале врачей-стоматологов, позже появились панорамные снимки зубных рядов. Оба эти метода в ряде случаев могут нести информацию о состоянии прилежащих к зубам верхней челюсти синусах. Однако как показывают недавние сравнительные исследования диагностической эффективности периапикальной рентгенографии и КЛКТ в диагностике периапикальной патологии дистальных моляров верхней челюсти и смежной патологии верхнечелюстных синусов, выполненные на основе анализа 145 пациентов (Shahbazian M. et al, 2013), лишь 3% ассоциированных с зубами синуситов, диагностированных на КЛКТ, были отмечены на внутриротовых рентгенограммах [4]. Частота выявления периапикальных изменений дистальных моляров верхней челюсти, по данным периапикальной рентгенографии, составила 40% от выявленных при КЛКТ. При этом по данным того же исследования частота «интимной» близости между периапикальной зоной вторых и третьих моляров и прилежащим к ним синусом составила 50 и 45% случаев соответственно. Похожие результаты (4,3% от общего диагностированного на КТ числа синуситов) были выявлены при сравнении эффективности панорамной рентгенографии и КТ в исследовании (Maestre-Ferrin L. et al, 2011) на 30 пациентах [8]. Интересное наблюдение также было сделано в исследовании Longhini A.B. [10], в ходе которого лишь в 67% случаев первичная КТ-диагностика выявляла одонтогенную этиологию синусита, в то время как при повторном ретроспективном анализе тех же томограмм в 100% случаев была обнаружена патология зубов, ассоциированных с пораженными синусами.
С учетом того, что информативность панорамной рентгенографии в части диагностики начальных признаков периодонтита моляров и премоляров верхней челюсти значительно уступает КЛКТ, следует сделать вывод, что КЛКТ является на сегодняшний день оптимальным и наиболее эффективным методом в диагностике ассоциированных с зубами синуситов и контроле эффективности этиотропного лечения в стоматологической практике.
КЛКТ-картина при одонтогенных синуситах представляет собой сочетание ряда признаков. Для того чтобы лучше понять характер этих изменений, необходимо коротко рассказать о томографической картине синусов в норме. Слизистая придаточных пазух носа, равно как и ячеек решетчатой кости, в обычных условиях не визуализируется с помощью доступных томографических методик. Визуально замыкательная кортикальная пластинка стенок синуса непосредственно граничит с пневматизированным пространством синуса.
ГБОУ ВПО «Курский государственный медицинский университет» Минздрава России, ул. Карла Маркса, 3, Курск, Российская Федерация, 305041
кафедра лучевой диагностики и терапии Курского государственного медицинского университета Минздрава России, Курск, Россия, 305000
Изменения костной стенки верхнечелюстной пазухи и жировой клетчатки в лучевой диагностике одонтогенных синуситов
Журнал: Российская ринология. 2015;23(3): 49‑53
В статье проанализированы результаты 114 рентгеновских компьютерных томографий и 10 магнитно-резонансных томографий пациентов с одонтогенными верхнечелюстными синуситами. У 63,2% больных определялось асимметричное повышение денситометрических показателей ретромаксиллярной клетчатки, у 14% — уменьшение ее объема, у 8,8% — сочетание истончения и уплотнения жировой ткани, у 0,8% — расширение прилегающей жировой клетчатки. При магнитно-резонансном исследовании у 80% пациентов определялось асимметричное снижение интенсивности сигнала от клетчатки. Истончение ретромаксиллярной жировой клетчатки выявлялось в 30% случаев. Утолщение костных стенок верхнечелюстной пазухи определялось у 21% больных в костном режиме программы просмотра изображений и у 30,7% — в мягкотканном режиме программы просмотра изображений.
Диагностика верхнечелюстных синуситов одонтогенной природы является актуальной проблемой оториноларингологии, стоматологии и челюстно-лицевой хирургии, так как их возникновение является следствием заболевания и лечения зубов и челюстей [1]. В структуре синуситов, по мнению ряда исследователей, доля одонтогенных синуситов составляет от 14 до 24% [2, 3].
Распространенность различных форм кариеса среди трудоспособного населения и неудовлетворительная организация стоматологической службы делают эту проблему не только медицинской, но и экономической и социальной.
Рентгеновская компьютерная томография (РКТ) является оптимальным вариантом исследования альвеолярного отростка, полости носа, околоносовых пазух и окружающих мягких тканей при подозрении на одонтогенную природу синусита. Несмотря на высокую лучевую нагрузку, проведение РКТ позволяет одномоментно дать оценку состояния костей лицевой зоны и определить их анатомические особенности, выявить связь с «причинным» зубом, уточнить локализацию инородного включения и степень воспалительных изменений слизистой. В случаях длительного воспаления в сочетании с перепломбировкой канала оперативное удаление материала является единственным действенным методом лечения, для планирования которого необходимо знать пространственную анатомию [4]. Эти данные можно получить при проведении РКТ.
При прогрессировании синусита в зависимости от характера воспаления изменяется толщина прилежащей костной стенки: при острых гнойных процессах возникает остеопороз, при хронических рецидивирующих процессах — остеосклероз, при осложненных формах — остеомиелит и деструкция костной стенки [5].
Изменяется и ретромаксиллярная (ретроантральная) клетчатка как структура, интимно расположенная к трансформированной костной стенке. Анатомически она представлена большей частью крылонебного отростка жирового тела щеки, расположена в подвисочном пространстве и крылонебной ямке. Жировое тело, которое прилежит к верхней и нижней челюстям, служит проводником воспалительных процессов одонтогенного происхождения, первично развивающихся в челюстях [6].
Магнитно-резонансная томография (МРТ) позволяет выявить более «тонкие» изменения в мягких тканях. При подозрении на раннюю стадию грибкового синусита рекомендуется использовать МРТ как метод, наиболее чувствительный к инвазии костной стенки [7]. Но данный метод имеет ряд недостатков: «недостоверность» пространственной анатомии костных структур, трудности выявления костных стенок одонтогенных кист, пломбировочного материала, артефакты от металлических конструкций, а также высокую частоту гипердиагностики и др., которые серьезно ограничивают его применение [8].
Цели исследования — изучить варианты изменения жировой клетчатки и заднебоковой костной стенки верхнечелюстной пазухи и определить дифференциально-диагностическую ценность изменений ретромаксиллярной жировой клетчатки и задней костной стенки верхнечелюстной пазухи у больных одонтогенным гайморитом по данным РКТ и МРТ.
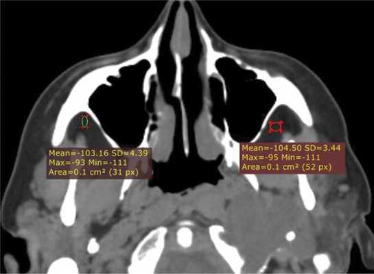
Нами был проведен анализ результатов 114 РКТ и 10 МРТ пациентов с одонтогенным верхнечелюстным синуситом. РКТ-исследование проходило в отделении компьютерной томографии Курской областной клинической больницы (КОКБ) на рентгеновских компьютерных томографах фирмы «General Electric» (США) моделей NXI и VCT в аксиальной и коронарной проекциях. МРТ-исследование — на томографах фирмы «General Electric» моделей SIGNA PROFILE 0,2 Т и SIGNA OVATION 0,35 Т в аксиальной, сагиттальной и коронарной проекциях. Измерения производились с помощью программы просмотра диагностических изображений RadiAnt DICOM Viewer инструментами line и ellipse.
Результаты
Изучены результаты РКТ и МРТ 70 мужчин и 54 женщин в возрасте от 12 до 75 лет. Одонтогенный верхнечелюстной синусит выявлен справа в 73 случаях, слева — у 47 больных, у 4 пациентов обнаружена двусторонняя локализация процесса.
У 72 (63,2%) больных на РКТ определялось уплотнение (асимметричное повышение денситометрической плотности) ретромаксиллярной клетчатки. Рентгенологические проявления одонтогенного синусита были в виде: деструкций альвеолярного отростка (n=14), грибковых поражений (n=10), одонтогенных кист (n=6), в 6 случаях определялся пломбировочный материал. Причем у 2 больных изменения были обнаружены на контралатеральной стороне одонтогенного поражения (у одного пациента биопсия подтвердила рак альвеолярного отростка, у другого — фиброзно-отечные полипы). Асимметричное утолщение костной стенки в костном окне программы просмотра имелось в 22 (19,3%) случаях, в мягкотканном — в 30 (26,3%) случаях.
У 16 (14%) больных на РКТ наблюдалось истончение (уменьшение толщины) ретромаксиллярной клетчатки, причем одонтогенный верхнечелюстной синусит в этом случае выявлялся в виде: одонтогенных кист (n=6) и грибковых синуситов (n=2). Утолщение костной стенки в костном окне было выявлено в 1 случае, в мягкотканном окне — в 3 случаях.
У 10 (8,8%) больных на РКТ отмечалось сочетание истончения и уплотнения жировой ткани. Причинами синусита в 8 случаях была деструкция альвеолярного отростка и в 2 случаях — одонтогенные кисты. Утолщение костной стенки в костном окне было выявлено в 1 случае, в мягкотканном окне — в 2 случаях.
У 1 (0,8%) больного на РКТ определялось расширение прилегающей жировой клетчатки (одонтогенная внутрикостная киста распространялась в переднюю стенку и не соприкасалась с задней стенкой верхнечелюстной пазухи). Толщина стенок при просмотре в мягкотканом и костном режимах симметрична.
При МРТ-исследовании у 8 (80%) больных определялось асимметричное снижение интенсивности сигнала в режиме Т1 от ретромаксиллярной клетчатки, а ее истончение выявилось в 3 (30%) случаях. Изменений со стороны костной стенки у этих больных не выявлено.
Для одонтогенных гайморитов характерна односторонность поражения: 96,5% по данным РКТ и 100% по данным МРТ.
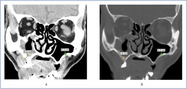
Воспалительные изменения слизистой оболочки верхнечелюстной пазухи, существующие в течение длительного времени, вовлекают в процесс костную стенку. На компьютерных томограммах отмечается утолщение костной стенки в костном режиме и появление «оптического эффекта» — уплотнение стенки в 1,5—3 раза за счет отека надкостницы — при просмотре в мягкотканом режиме (рис. 1, а, б) [9]. При одностороннем процессе, характерном для одонтогенного поражения, на контралатеральной интактной стороне такого эффекта не определяется.

Рис. 1. Рентгеновская компьютерная томограмма околоносовых пазух. Коронарная проекция: мягкотканное окно (а) и костное окно (б).
В костном режиме программы просмотра изображений утолщение костных стенок верхнечелюстной пазухи определялось в 21% случаев (рис. 2, 3), что указывает на хронический характер воспаления. «Оптический эффект» в мягкотканном режиме программы просмотра диагностических изображений определялся у 30,7% больных, что указывает на вовлечение надкостницы.

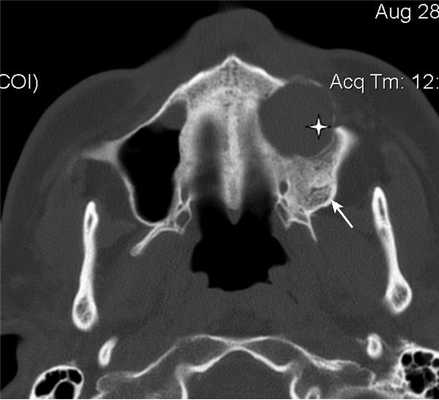
Рис. 2. Рентгеновская компьютерная томограмма околоносовых пазух. Аксиальная проекция, костное окно.

Рис. 3. Рентгеновская компьютерная томограмма околоносовых пазух. Аксиальная проекция, костное окно.
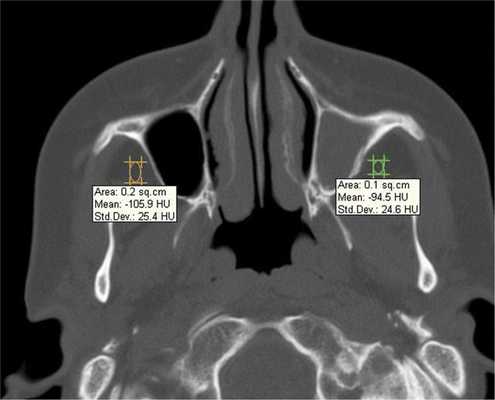
При воспалительных изменениях в ретроантральной жировой клетчатке верхнечелюстной пазухи на РКТ повышаются денситометрические значения ее плотности [10]. При одностороннем процессе отмечается выраженная асимметричность значений плотностей (рис. 4).

Рис. 4. Рентгеновская компьютерная томограмма околоносовых пазух. Аксиальная проекция, костное окно.
В 63,2% случаев на РКТ при выявлении одонтогенного верхнечелюстного синусита отмечалось уплотнение жировой клетчатки. Исследователи связывают это с переходом воспалительной инфильтрации пристеночной слизистой по периваскулярным пространствам к ретромаксиллярной клетчатке [7, 11, 12].
Остальные варианты — истончение (15,2%) и сочетание истончения и уплотнения (17,8%) жировой ткани встречается реже. Эти дистрофические изменения жировой клетчатки являются ответом на длительно текущее, расположенное по соседству воспаление.
Расширение клетчатки, которое встретилось у 1 больного, контактно не связанное с кистой, вероятно, является вариантом фенотипа.
При МРТ жировая ретроантральная клетчатка имеет высокие значения интенсивности сигнала в режимах Т1 и Т2. При локальном отеке клетчатки интенсивность сигнала меняется [12].
МРТ — более чувствительный метод диагностики изменений жировой клетчатки.
Клинический пример 1
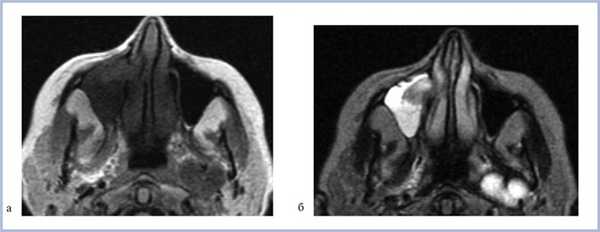
Больной Л., 44 года, 15 лет назад терапевтическое лечение 16-го зуба с последующей перепломбировкой; 5 лет назад было осуществлено удаление 16-го зуба. В настоящее время больной обратился за помощью в ЛОР-отделение по поводу давящих болей в верхнечелюстной области справа. Больному была выполнена РКТ верхнечелюстных пазух (рис. 5, а, б), которая показала, что правая пазуха тотально заполнена мягкотканным содержимым и высокоплотным пломбировочным материалом. Отмечается утолщение костных стенок правой верхнечелюстной пазухи и прилежащей ретромаксиллярной клетчатки (–52 HU справа, –86 HU слева)

Рис. 5. Рентгеновская компьютерная томограмма верхнечелюстных пазух. Аксиальная проекция: костное окно (а), мягкотканное окно (б).
Клинический пример 2
Больная Б., 43 года, проходила исследование в отделении компьютерной томографии КОКБ по поводу объемного образования среднего уха. В качестве случайной находки выявлена правосторонняя одонтогенная киста (рис. 6, а, б; 7).

Рис. 6. Магнитно-резонансная томограмма верхнечелюстных пазух, изображения в режимах Т1 (а) и Т2 (б), аксиальная проекция.

Рис. 7. Контрольная рентгеновская компьютерная томограмма в аксиальной проекции, мягкотканный режим.
РКТ и МРТ позволяют единовременно произвести сканирование полости носа и придаточных пазух, при этом получив информацию не только о состоянии костных структур воздушных полостей, но и мягких тканей.
МРТ более чувствительна к диагностике изменений мягких тканей.
Костная стенка реагирует на воспалительные процессы в пазухах изменением толщины. В зависимости от вовлечения надкостницы толщина может изменяться в различных режимах (окнах) программы просмотра.
Прилежащая ретромаксиллярная клетчатка реагирует на воспалительные процессы в пазухах изменением толщины и плотности, в зависимости от длительности воспаления.
Рекомендуется выполнение РКТ придаточных пазух носа для поиска костных нарушений и выявления изменений клетчатки при подозрении на одонтогенный характер поражения. Выполнение МРТ целесообразно для выявления изменений ретромаксиллярной клетчатки на ранних стадиях.
Читайте также:
