Лучевая диагностика спондилоартропатии
Добавил пользователь Владимир З. Обновлено: 23.11.2025
Язвенный колит, или неспецифический язвенный колит (НЯК) — это хроническое воспалительное заболевание слизистой кишечника, которое преимущественно поражает толстый кишечник, но так же имеет внекишечные проявления.
Эпидемиология
Обычно язвенный колит возникает в возрасте 15-40 лет, чаще у мужчин, второй пик заболеваемости отмечается в возрастной группе старше 50 лет. Считается, что в патогенезе играет роль сочетание геннетических факторов и воздействие окружающей среды, хотя заболевание относится к идиопатическим. Курение увеличивает риск возникновения болезни.
Клинические проявления
Клинические проявления включают частую (хроническую) диарею, иногда с прожилками крови; ложные позывы к дефекации; боль в животе и лихорадку (от 37 до 39 градусов в зависимости от тяжести заболевания).
Патофизиология
В отличии от болезни Крона, которая характеризуется трансмуральным сегментарным распространением воспалительного процесса, язвенный колит обычно ограничен подслизистой и слизистой оболочкой. Хроническое течение связанно с существенным увеличением риска озлокачествления, до 0,5-1% в год после 10 лет течения.
Диагноз часто устанавливается эндоскопически, биопсиией.
- первичный склерозирующий холангит
- феномен мойя-мойя
- колоректальный рак
- увеит и иридоциклит
- узловатая эритема и гангренозная пиодермия
- серонегативные спондилоартропатии
Диагностика
Поражение начинается как правило от прямой кишки - зубчатой линии и распространяется в проксимальном направлении. Если поражается только прямая кишка, то такое заболевание называется язвенным проктитом. При тяжелой форме толстая кишка атонична, с выраженной дилатацией, усиливающейся в результате развития синдрома избыточного бактериального роста, что приводит к одному из самых опасных осложнений язвенного колита - острой токсической дилатации толстой кишки (токсический мегаколон).
Обзорная рентгенография брюшной полости
Позволяет диагностировать токсический мегаколон (>5 см в поперечной ободочной кишке), который наблюдается у 3-5% больных с неспецифическим язвенным колитом.
Ирригоскопия
Ирригоскопию опасно выполнять у пациентов с токсическим мегаколоном в связи с риском перфорации.
Характерными рентгенологическими признаками неспецифического язвенного колита является: потеря гаустрации, уменьшение просвета толстой кишки, неравномерность рисунка слизистой оболочки обусловленная мелкими изъязвлениями("пушистый вид"). Впоследствии, при исследовании толстой кишки могут обнаруживаться псевдополипы. При длительном течении неспецифического язвенного колита, возникает сужение просвета толстой кишки и ее ригидность, симптом "шланга" или "водопроводной трубы".
Компьютерная томография
Компьютерная томография отражает те же изменения, что и ирригоскопия позволяя лучше визуализировать стенки толстой кишки, дистальные отделы подвздошной кишки и позволяя выявлять такие осложнения как перфорация или формирующиеся абсцессы. Однако важно отменить что КТ не чувствительна на ранних стадиях поражения слизистой.
Воспалительные псевдополипы могут быть видны при достаточно крупных размерах при хорошо растянутой толстой кишке. Так же могут быть видны эрозии слизистой и истончение стенок.
В поперечном сечении воспаленные и утолщенные стенки толстой кишки имеют трехслойный вид "мишени", в виде колец разной интенсивности, за счет "разделения" анатомических слоев стенки. Внутреннее кольцо - слизистая оболочка (усиливающаяся при введения контраста), за которой следует кольцо подслизистой оболочки, с низкой плотностью, обусловленное ее отеком и жировой инфильтрацией, затем внешний слой, представляющий собственную мышечную оболочку, так же усиливающуюся при введения контраста.
При хроническом течении в области прямой кишки могут определяется подслизистая пролиферация жировой ткани (признак жирового галло); экстрамуральная пролиферация жировой ткани, ведущая к утолщению параректальной клетчатки и расширению пресакрального пространства.
Стриктуры встречаются часто и не всегда являются признаком озлакочествления, в основном они указывают на утолщение мышечной пластинки слизистой оболочки и частично отвечают за формирование признака "водопроводной трубы".
Частичное утолщение стенки более 1,5 см и локальная потеря разделения слоев может указывать на колоректальный рак и является показанием к проведению эндоскопического исследования.
Магнитно-резонансная томография
Наиболее выраженные изменения включают утолщение стенки и повышение контрастного усиления. Средняя толщина стенки при язввенном колите варьирует от 4,7 до 9,8 мм. Стенка толщиной менее 3 мм расценивается как не измененная, от 3 до 4 мм как возможно измененная и более 4 мм как пораженная. Другие проявления включают потерю гаустрации и пролиферацию околокишечной жировой клетчатки.
Сложности диагностики
Приблизительно в 10-15% процентах случаев начальные проявления по типу язвенного колита могут в дальнейшем последующем прогрессировать в болезнь Крона.
Дифференциальный диагноз
основной дифференциальный диагноз проводится с болезнью Крона
Кроме того необходимо проводить дифференциальный диагноз с:
Недифференцированный спондилит
Междисциплинарное взаимодействие неврологов и ревматологов позволило выявить редкую причину болевого синдрома.

Одной из самых частых жалоб, с которой сталкиваются в клинической практике врачи-неврологи, являются жалобы на боли в спине. Согласно статистическим данным, до 80% населения хотя бы раз в своей жизни сталкивались с подобным синдромом. В большинстве случаев боль является вертеброгенной и обусловлена остеохондрозом позвоночника. Однако встречаются и редкие причины, диагностика которых требует более длительного и тщательного обследования пациентов.
Одной из редких причин болевого синдрома является спондилоартропатия.
Спондилоартропатии это - группа воспалительных заболеваний соединительной ткани, развивающаяся у генетически предрасположенных лиц. Вероятность развития данной группы заболеваний увеличивает носительство антигена HLA-B27, однако встречаются и HLA-B27 – негативные формы. Отличительным признаком этих заболеваний является поражение позвоночника, крестцово-подвздошных сочленений и периферических суставов.
К спондилоартропатиям относят:
- анкилозирующий спондилит;
- некоторые формы псориатического артрита;
- постинфекционные артриты;
- энтеропатические артриты;
- недифференцированную спондилоартропатию.
Распространённость спондилоартропатии составляет 5—12 на 1000 населения. Данная группа заболеваний является одной из редких причин болевого синдрома в спине, поэтому не всегда специалистам удаётся установить правильный диагноз и назначить лечение.
Пример из клинической практики нашего отделения.
Пациент М., 53 года, 18.03.2019 экстренно госпитализирован в 1 неврологическое отделение КБ№1 с жалобами на интенсивные боли в нижне-грудном и поясничном отделах позвоночника с иррадиацией по задней поверхности левой ноги до большого пальца (до 10 баллов по ВАШ), невозможность стоять и ходить из-за болей.
По данным анамнеза: Боли в поясничном и нижне-грудном отделах позвоночника беспокоят с января 2019 г. Пациент расценил данную ситуацию как заболевание почек, выполнялось УЗИ почек - без патологии. Обращался к неврологу, был установлен диагноз дорсопатии, получал НПВС, мидокалм - без эффекта. В связи с усилением болей вызвал бригаду СМП, доставлен в неврологическое отделение одного из крупных Московских стационаров. В стационаре была выполнена МРТ грудного и поясничного отделов позвоночника, на которой выявлены грыжи дисков L4/L5, L5/S1, спондилез, спондилоартроз. Выполнялась рентгенография костей таза: артроз лонного сочленения. Двусторонний коксартроз 1-2 ст. Проводилось комплексное лечение - анальгетики, миорелаксанты, нейролептики, витамины группы В, физиотерапия - без существенного клинического эффекта. Выписан. Сразу после выписки отметил усиление болей, распространение их до большого пальца левой стопы. Обратился в поликлинику. Учитывая выраженный болевой синдром, направлен на экстренную госпитализацию в КБ №1.
Состояние при поступлении: Общее состояние: удовлетворительное. Кожные покровы: обычной окраски, влажность нормальная. Отеки отсутствуют. Дыхание через нос свободное. Аускультативно везикулярное. Пульс: 72 уд. в мин., удовлетворительного наполнения, ритмичный. АД 140/90 мм рт.ст. Тоны сердца: ритмичны. Язык чистый. Пальпация живота безболезненна. Дизурических расстройств нет.
Неврологический статус: В сознании, контактен, ориентирован. Тревожен, фиксирован на собственных ощущениях. Менингеальных знаков нет. Глазные щели D=S. Зрачки D=S. Фотореакции живые. Движения глазных яблок не ограничены. Нарушений чувствительности на лице нет. Лицо симметрично. Нистагма нет. Слух не нарушен. Глотание, фонация не нарушены. Язык по средней линии. Парезов нет. Сухожильные рефлексы живые, S=D. Патологических рефлексов не выявляется. Чувствительность не нарушена. Дефанс, болезненность при пальпации паравертебральных мышц в грудном и поясничном отделах. Симптом Ласега отрицательный с 2-х сторон.
Лабораторные обследования:
В анализах крови – повышение уровня С-реактивного белка (43.43 мг/л), СОЭ (50 мм/час).
Анализ мочи – без патологии.
Инструментальные обследования:
На МРТ поясничного отдела позвоночника выявлены дегенеративные изменения, малая грыжа межпозвонкового диска L5-S1 4 мм, спондилоартроз в дугоотростчатых суставах, выраженный на уровне L4-L5 с периартикулярной кистой слева и признаками воспалительного процесса в периартикулярных мягких тканях, спондилез.
На МРТ грудного отдела позвоночника выявлены умеренные дегенеративные изменения, артроз реберно-позвоночных суставов, протрузии межпозвонковых дисков TH7-Th9, TH4- TH5, спондилез.
На МРТ тазобедренных суставов - признаки сакроилеита, более выраженного справа.
Обращало на себя внимание несоответствие клинической картины (выраженные боли до 10 баллов по ВАШ) и изменений на МРТ (малая грыжа L5-S1 4мм), неэффективность стационарного лечения в предыдущую госпитализацию, повышение показателей воспаления (С-РБ, СОЭ).
Пациент был консультирован ревматологом. Предположен воспалительный генез заболевания. Зачастую спондилоартропатии ассоциированы с урогенитальной инфекцией, однако выявить специфического возбудителя по анализам крови и при исследовании простатического сока в данном случае не удалось. Анализ на HLA-B27 – отрицательный.
Был поставлен диагноз: Недифференцированный периферический спондилит, HLA-B27 – негативная форма, активность высокая. Двусторонний сакроилеит 1-2 ст., с поражением грудного, поясничного отделов позвоночника (спондилит, синдесмофиты), ФН -2.
Начата гормональная терапия глюкокортикостероидами (Дексазон 12 мг в сутки), и антибактериальная терапия Ципрофлоксацином 500 мг х 2 раза/сут. На фоне гормональной и антибактериальной терапии отмечалась положительная динамика в виде уменьшения болевого синдрома до 1-2 баллов по ВАШ. Пациент выписан с улучшением и рекомендациями по продолжению антибактериальной терапии сроком до 3-х месяцев с последующей консультацией ревматолога.
Таким образом, междисциплинарное взаимодействие неврологов и ревматологов позволило выявить редкую причину болевого синдрома, установить правильный диагноз и назначить лечение.
Лучевая диагностика спондилоартропатии
Лучевая диагностика спондилоартропатии
а) Терминология:
1. Синонимы:
• Прежнее наименование-серонегативная спондилоартропатия
2. Определения:
• Серонегативный (РФ-отрицательный) воспалительный артрит и энтезопатия с поражением позвоночника и крестцово-подвздошных суставов:
о Архетипом заболевания является анкилозирующий спондилит (АС)
• Энтезопатия: воспаление в зонах прикрепления связок и сухожилий (энтезы)
• Синдесмофит: оссификат паравертебральных связок или межпозвонкового диска, соединяющий два смежных тела позвонков
б) Визуализация:
1. Общие характеристики:
• Наиболее значимый диагностический признак:
о Эрозии или анкилоз КПС
• Локализация:
о Первичное поражение КПС
о Могут поражаться весь позвоночник, межпозвонковые диски, синовиальные суставы
о Поражаются суставы как аксиального, так и периферического отделов скелета:
- Псориатический артрит: поражение кистей > стоп
- Реактивный артрит: поражение стоп > кистей
о Поражение зон прикрепления сухожилий и связок (энтезы)
2. Рентгенологические данные спондилоартропатии:
• Эрозивный артрит крестцово-подвздошных суставов:
о Изменения обнаруживаются в первую очередь в нижней трети суставов
о Эрозии формируются сначала на подвздошной стороне сустава о Наиболее ранний признак: потеря четкости контура субхондральной костной пластинки
о Множественные небольшие эрозии, «зубчатый нож»
о Костный блок является поздним признаком заболевания
о Двустороннее симметричное поражение: анкилозирующий спондилит, артрит на фоне воспалительных заболеваний кишечника
о Двустороннее асимметричное поражение: реактивная артропатия, псориатический артрит
• Краевые эрозии тел позвонков:
о Заострение переднего края тела позвонков
о Прогрессирование с формированием краевых эрозий
о Заживление эрозии со склерозированием кости приводит к появлению симптома «сияющего угла» (повреждение Романуса)
• Оссификация паравертебральных связок:
о Может быть гипертрофической, чаще встречается при псориатической и реактивной артропатии
о От спондилофитов оссификаты отличаются тем, что они берут начало от срединной части тел позвонков, а не от замыкательных пластинок
• Оссификация наружных волокон фиброзного кольца:
о При многоуровневом поражении придает позвоночнику вид «бамбуковой палки», чаще встречается при АС
о Фактор риска переломов
• Воспалительный артрит синовиальных суставов:
о Позвоночник и периферические суставы
о Эрозии нередко прогрессируют вплоть до формирования костного анкилоза
о Эрозии + периостальная реакция в зонах прикрепления сухожилий и связок
о Может наблюдаться атлантоаксиальный подвывих
• Кифотическая деформация
• Переломы:
о На уровне синдесмофитов и/или тел позвонков
о Нередко видны плохо вследствие остеопении, деформации позвоночника
о Нестабильны, обычно сопровождаются повреждением всех колонн позвоночника
• Ускоренное дегенеративное поражение межпозвонковых дисков:
о Наблюдается на уровне неблокированных сегментов позвоночника и связано с их перегрузкой
о Может напоминатьдисцитили поражение на фоне нейропатии
• Остеопения
3. КТ при спондилоартропатии:
• Костная КТ:
о Высокочувствительный метод ранней диагностики эрозий крестцово-подвздошных суставов
о Информативна в отношении диагностики переломов
4. МРТ при спондилоартропатии:
• Т1-ВИ:
о Низкая интенсивность сигнала костного мозга в области краевых эрозий тел позвонков и эрозий КПС
о Эрозии суставов и анкилоз
• Т2-ВИ:
о Высокая интенсивность сигнала костного мозга на ранней стадии формирования краевых эрозий тел позвонков и эрозий КПС
о Высокая интенсивность сигнала замыкательных пластинок при наличии очагов Андерссона воспалительного типа
• STIR:
о Высокая интенсивность сигнала костного мозга на ранней стадии формирования краевых эрозий тел позвонков и эрозий КПС
• Т1-ВИ с КУ:
о Выраженное контрастное усиление сигнала в активную стадию заболевания
• Обнаружение костного мозга в межтеловых пространствах (поздняя стадия болезни), сохранение просвета спинномозгового канала
5. Радиоизотопные исследования:
• Костная сцинтиграфия:
о Положительный результат трехфазовой сцинтиграфии в активную стадию заболевания
6. Рекомендации по визуализации:
• Первичным методом диагностики ранних стадий сакроилиита, связанного со спондилоартропатией аксиального скелета, является МРТ
• МРТ/КТ в сочетании другсдругом используются для оценки состояния костных структур и спинного мозга при травмах
(Слева) КТ, сагиттальный срез: у пациента с практически тотальным анкилозом позвоночника виден свежий перелом Т12 позвонка. Обратите внимание на сросшиеся дугоотростчатые суставыостистые отростки и тонкие синдесмофиты спереди. Видны признаки легкой клиновидной деформации тел L1 и L2 позвонков, давность которой оценить сложно.
(Справа) КТ, фронтальный срез: у этого же пациента виден перелом тела позвонка. Обратите внимание на признаки интерстициального фиброза легких и выраженную остеопению костей. (Слева) КТ, сагиттальный срез поясничного отдела позвоночника: трехколонный/типа Шанса перелом на уровне межпозвонкового диска L4-L5, продолжающийся в косом направлении через тело и задние элементы L4.
(Справа) Т1-ВИ, сагиттальная проекция, пациент с АС: трехколонное повреждение позвоночника с дистракцией фрагментов тела L4. Передняя оссификация определяется в виде линии низкой интенсивности. Оссифицированные межпозвонковые диски характеризуются высокой интенсивностью сигнала, связанной с жировой инфильтрацией костного мозга. (Слева) КТ, аксиальный срез: у пациента с реактивной артропатией отмечается анкилозирование левого реберно-позвоночного сустава и эрозивные изменения правого реберно-поперечного сустава. Признаки оссификации видны и в области передней продольной связки.
(Справа) На рентгенограмме в прямой проекции пациента с псориатическим артритом визуализируются выраженные боковые паравертебральные оссификаты связок. ДИСГ характеризуется аналогичной рентгенологической картиной, однако не сопровождается поражением крестцово-подвздошных суставов.
в) Дифференциальная диагностика:
1. Ревматоидный артрит:
• Поражение КПС встречается нечасто
• Первичное поражение шейного отдела позвоночника
• Формирование костного анкилоза не характерно
2. Ювенильный идиопатический артрит:
• Манифестация заболевания в возрасте младше 18 лет
• Нарушение роста позвонков с формированием костного блока
• Манифестация анкилозирующего спондилита в юношеском возрасте обычно ограничена анкилозированием КПС, периферическими энтезопатиями
3. Инфекционный сакроилиит:
• Одностороннее поражение
4. Диффузный идиопатический скелетный гиперостоз (ДИСГ):
• Равномерная оссификация паравертебральных связок
• Крестцово-подвздошные суставы интактны
5. Терапия ретиноидами:
• Равномерная оссификация паравертебральных связок
• Крестцово-подвздошные суставы интактны
(Слева) КТ, фронтальный срез: у пациента с АС отмечается выраженное склерозирование обоих КПС, анкилоз КПС справа, и эрозивные изменения слева.
(Справа) КТ, фронтальный срез: у пациента со спондилоартропа-тией аксиального скелета отмечается склерозирование верхних замыкательных пластинок и углов тел L4 и L5 позвонков, представляющее собой воспалительные изменения при анкилозирующем спондилите (поражения Рома нуса). (Слева) КТ, фронтальный срез шейного отдела позвоночника: перелом на уровне тела С5. Проксимальный отдел позвоночника смещен кзади, что свидетельствует о разгибательном механизме травмы у данного пациента. Обратите внимание на признаки типичной передней оссификации позвоночника при АС и выраженную кальцификацию межпозвонковых дисков.
(Справа) КТ, сагиттальный срез грудного отдела позвоночника: у пациента с АС визуализируются вертикально ориентированные синдесмофиты Б, признаки кальцификации межпозвонковых дисков 50 и распространенной оссификации надостистой связки. (Слева) Т2-ВИ, сагиттальная проекция: типичная картина ложного сустава позвоночника у пациента с длительно существующим АС. В области тела и межпозвонкового диска определяется косо ориентированная зона усиления интенсивности сигнала с четкими краями.
(Справа) КТ, сагиттальный-срезе: случай длительно существующего анкилозирующего спондилита с передними синдесмофитами. На нижнегрудном уровне видны косо ориентированная линия перелома с угловой деформацией 50 и небольшое количество газа.
г) Патология:
1. Общие характеристики:
• Этиология:
о Псориатический артрит: сочетается с псориатическими кожны ми изменениями, однако может предшествовать их появлению
о Реактивный артрит: развивается после перенесенной бактериальной инфекции, например, венерического заболевания или дизентерии
о Также может развиваться на фоне язвенного колита или болезни Крона
• Генетика:
о Имеется четкая связь с гаплотипом HLA-B27:
- HLA-B27 положителен у 95% пациентов с АС, 80% пациентов с болезнью Рейтера и 50% пациентов с псориазом
- Также HLA-B27 положителен у 6-8% здоровых людей
- Псориатический артриту HLA-B27 отрицательных пациентов не сопровождается поражением позвоночника
- Спондилоартропатия развивается у 1-2% людей с антигеном HLA-B27
• Сочетанные изменения:
о Увеиты, ириты, конъюнктивиты могут встречаться при любых формах заболевания
о АС: воспалительные заболевания кишечника, аортит, фиброз верхних долей легких, сыпь
о Реактивный артрит: уретрит/цервицит, баланит, боль в области пяточной кости
о Периферический артрит:
- АС, реактивный артрит: предрасположенность к поражению нижних конечностей: тазобедренные, коленные суставы, подошвенный апоневроз
- Псориатический артрит: предрасположенность к поражению суставов кистей
о Вторичный амилоидоз, ведущий к развитию нефропатии
• РФ(-), повышение СОЭ
2. Стадирование, степени и классификация спондилоартропатии:
• Подразделяется на пять типов:
о Анкилозирующий спондилит
о Реактивная спондилоартропатия (именовавшаяся ранее синдромом Рейтера)
о Спондилоартропатия, ассоциированная с воспалительными заболеваниями кишечника
о Псориатическая спондилоартропатия
о Недифференцированная спондилоартропатия (нСпА)
3. Макроскопические и хирургические особенности:
• АС: распространенный анкилоз позвоночника сопровождается высоким риском переломов
4. Микроскопия:
• Энхондральная оссификация межпозвонковых дисков
• Воспалительные изменения синовиальной оболочки, субхондральной костной ткани, менее выраженные, чем при РА
(Слева) Т1-ВИ, сагиттальная проекция: деформация заднего листка дурального мешка вследствие формирования здесь небольших карманов (задние дивертикулы твердой мозговой оболочки). Края тел позвонков заострены, межпозвонковые диска кальцифицированы, что является отражением длительно существующего анкилозирующего спондилита. Изменение формы дурального мешка, что мы наблюдаем в данном случае, может сопровождаться клиникой синдрома конского хвоста.
(Справа) Т2-ВИ, сагиттальная проекция: у пациента с хроническим анкилозирующим спондилитом отмечается дольчатая деформация заднего края дурального мешка. В дистальном отделе дурального мешка не видно ни одного нормального корешка спинного мозга, что связано с хроническим арахноидитом, сопровождающим воспалительный процесс при АС. (Слева) TSE FS МР-И, аксиальная проекция: множественные дорзальные дивертикулы и ремоделирование задних элементов позвонка с дислокацией большинства корешков кзади.
(Справа) На TSE FS МР-И пациента с АС и синдромом конского хвоста видно, что большая часть корешков спинного мозга смещена кзади и спаяна со стенками дорзальных дивертикулов твердой мозговой оболочки. (Слева) На сагиттальном Т2 TSE FS МР-И отмечается заострение краев тел позвонков и диффузная кальцификация межпозвонковых дисков на фоне длительно существующего АС. Корешки спинного мозга спаяны с задним листком твердой мозговой оболочки. Механизм, лежащий в основе наблюдаемых изменений, до конца не понятен. Возможно, эти изменения связаны с явлениями воспаления в области задних элементов позвоночника в активную фазу заболевания.
(Справа) Т2-ВИ, аксиальная проекция: признаки сращения корешков спинного мозга с деформированным задним листком дурального мешка. Дорзальные дивертикулы твердой мозговой оболочки распространяются в направлении ремоделированной пластинки дуги позвонка.
д) Клинические особенности:
1. Клиническая картина спондилоартропатии:
• Наиболее распространенные симптомы/признаки
о Первым проявлением заболевания обычно становится сакроилиит:
- Боль в нижней части спины, наиболее выраженная в утренние часы
о Патологический перелом:
- Риск переломов возрастает при многоуровневом анкилозировании позвоночника
- Переломы нередко возникают на фоне неадекватной по силе травме
- Нестабильные, в пожилом возрасте сопровождаются высоким числом осложнений
- Наиболее частая локализация - шейно-грудные или грудо-поясничные переходные сегменты
- Могут выявляться уже в отсроченном с момента травмы периоде, сопровождаться клиникой нестабильности или ложного сустава (поражение Андерссона невоспалительного типа)
о Другие симптомы/признаки
- Утомляемость, субфебрилитет
- Редко-синдром конского хвоста (вследствие развития синовиальных кист)
о Синдром конского хвоста как позднее проявление ассоциированного с АС адгезивного арахноидита
2. Демография:
• Возраст:
о Ранний и средний взрослый возраст
• Пол:
о Все типы заболевания чаще встречаются у мужчин
• Эпидемиология:
о Заболевание встречается в популяции с частотой 0,1-1%:
- Наиболее низкая заболеваемость отмечается в популяциях экваториальной Африки
о Заболевание нередко протекает в легкой форме и остается недиагностированным
3. Течение заболевания и прогноз:
• Большинство случаев заболевания протекают легко и ограничиваются поражением КПС
• В некоторых случаях в течение нескольких лет заболевание прогрессирует с формированием распространенного анкилоза позвоночника
• Нередко можно отметить периоды обострения и ремиссии
4. Лечение спондилоартропатии:
• Эффективным и быстродействующим методом лечения является назначение ингибиторов ТНФ-α
• Также часто применяются НПВС
е) Диагностическая памятка. Советы по интерпретации изображений:
• Обращайте внимание на исчезновение четкости контуров субхондральных костных пластинок КПС как наиболее ранний признак заболевания
• Если КПС интактны, диагноз серонегативной спондилоартропатии на основании лучевых признаков выставить нельзя
Болезнь Бехтерева (анкилозирующий спондилит)
Обслуживание на двух языках: русский, английский.
Оставьте свой номер телефона, и мы обязательно перезвоним вам.
Информацию из данного раздела нельзя использовать для самодиагностики и самолечения. В случае боли или иного обострения заболевания диагностические исследования должен назначить только лечащий врач. Для постановки диагноза и правильного назначения лечения следует обращаться к Вашему лечащему врачу.


В Клиническом госпитале на Яузе проводится экспертная диагностика (рентген, МРТ, анализы) и эффективное комплексное лечение болезни Бехтерева с применением современных методов (в том числе, биологических генно-инженерных препаратов, гемокоррекции). Это обеспечивает быстрое купирование болей в спине и восстановление подвижности позвоночника.
- До 2% населения России страдают болезнью Бехтерева
- До 90% точность МРТ в выявлении анкилозирующего спондилита
- Около 70% пациентов с болезнью Бехтерева достигают стойкой ремиссии при своевременном лечении
Что такое болезнь Бехтерева
Серонегативные спондилоартропатии - воспалительные заболевания соединительной ткани, которые предположительно имеют инфекционное происхождение. Развиваются у людей с генетической предрасположенностью и у пациентов с поражением позвоночника, периферических и крестцово-подвздошных сочленений. К серонегативным спондилоартропатиям относится анкилозирующий спондилоартрит (болезнь Бехтерева). Истинная частота заболеваемости не известна из-за отсутствия четких диагностических критериев и малосимптомности течения, особенно у женщин. Развивается преимущественно в возрасте от 20 до 40 лет.
Причины развития болезни Бехтерева

Точные причины развития болезни Бехтерева до сих пор неизвестны. Как и при других ревматических заболеваниях, в основе лежит неправильная работа иммунной системы. Защитные функции организма направлены против клеток и тканей организма и таким образом вызывают воспалительные реакции. Анкилозирующий спондилит относится к числу аутоиммунных заболеваний.
Специалисты связывают его в конкретных случаях с генетическим наследованием. Наследственная предрасположенность лежит в основе возникновения болезни Бехтерева. Если у одного из родителей есть болезнь Бехтерева, риск заболевания ребенка оценивается от 4 до 15%.
Факторы, провоцирующие спондилоартрит
Факторы риска, способствующие развитию спондилоартрита:
- частые переохлаждения;
- инфекционные заболевания;
- гормональные нарушения;
- хроническое воспаление кишечника;
- воспалительное заболевание мочеполовых органов.
Причиной также может стать травма тазобедренного отдела или позвоночного столба.
Варианты спондилоартропатий
С учетом локализации и проявления клинической картины, выделяются следующие варианты заболевания:
- Центральная. В 50% случаев поражается позвоночник (чаще поражается крестцово-подвздошные сочленения, также поражаются поясничный, грудной и шейный отделы позвоночника).
- Периферическая. Развивается в молодом возрасте до 40 лет. Суставы
- могут выстрелить после инфекции, так называемая болезнь Рейтера. Болезнь
- затрагивает не только позвоночный столб, но и колени, голеностопы, тазобедренные суставы (чаще поражаются суставы нижних конечностей) и локтевые суставы (может и вовсе без позвоночника протекать).
При проведении дополнительных исследований отдельно были выделены внескелетные проявления. Это осложнение длительного течения заболевания без должного лечения. В процесс вовлекаются чаще всего почки, развивается IgA-васкулит.
Симптомы болезни Бехтерева и их особенности
Характерной особенностью патологического процесса на ранних стадиях является отсутствие клинической картины. Основные симптомы болезни Бехтерева включают боли в спине, сообщают о появлении дискомфорта во второй половине ночи.
Общие ранние признаки также включают:
- случайные боли в бедре, колене и плече;
- боль в пятке, изменение походки;
- боли или дискомфорт в одном или нескольких сухожилиях;
- повышенная усталость при достаточном отдыхе;
- потеря веса при постоянном потреблении калорий;
- боль при кашле или чихании.
Начиная с крестцово-подвздошных суставов, боль распространяется в обе ноги (бедро) и ягодицы. Дискомфорт в ягодицах чередуется с левой и правой стороны. Болезнь Бехтерева является хроническим заболеванием и часто протекает в виде вспышек. Пациенты испытывают периоды сильного дискомфорта и затухания. Со временем болезнь Бехтерева может прогрессировать, позвоночник становится более жестким и деформируется.
Возможные осложнения
Постепенно болезнь Бехтерева приводит к изменению осанки и двигательных функций. Поясничный отдел позвоночника сглаживается, грудной отдел позвоночника все больше изгибается, образуется горб. Для компенсации шея вытягивается, а тазобедренный и коленный суставы сгибаются. Из-за образования горба позвоночника поле зрения может быть ограничено при взгляде прямо. Большие суставы (бедро, колено, плечо, локоть) могут частично перемещаться. У 20 % пациентов возникают дальнейшие нарушения в организме:
- поражаются глаза (радужная оболочка);
- возникают сердечно-сосудистые заболевания или воспаление большой
- артерии тела (аортит);
- возможно воспаление суставов (артрит) пальцев рук, ног или сухожилий (энтезит);
- наблюдается снижение плотности костной ткани (остеопения) до потери костной массы (остеопороз);
- развиваются симптомы в кишечнике, предполагается связь с хроническими воспалительными заболеваниями, болезнью Крона или язвенным колитом.
Не редкость – осложнения со стороны нервной системы. В запущенных формах
присутствует высокий риск нарушения работы внутренних органов.
Этапы диагностики и лечения болезни Бехтерева
Необходима комплексная продолжительная терапия. На всех этапах обследования и терапии необходимо соблюдать преемственность: отделение ревматологии (стационар) – поликлиника – санаторий.
Первичная консультация специалиста
При подозрении на болезнь Бехтерева, медицинский работник может с помощью некоторых клинических тестов определить, насколько подвижен позвоночник и есть ли боль в крестцово-подвздошных суставах.
Для подтверждения диагноза назначается тест по признакам Шобера для:
- поясничного отдела;
- грудного (оценка сгибания по бокам);
- шеи (козелок-стена),
- грудного (дыхательная экскурсия),
- КПС (симптом Кушелевского, разведение ног в стороны).
Позволяет судить о подвижности поясничного и грудного отделов позвоночника, а также суставов. Пациент наклоняется вперед, стараясь дотянуться до ног кончиками пальцев рук. Врач измеряет, насколько возможно сгибание, используя предварительно нанесенные метки на коже.
Комплексная диагностика
Другие диагностические мероприятия:
- лабораторные исследования (СОЭ, СРБ (С-реактивный белок), HLA-B27, инфекции);
- обследование на наличие внесуставных очагов (общий анализ крови, ЭКГ, флюорография, колоноскопия, осмотр офтальмолога).
Существует ряд причин, влияющих на своевременную диагностику. К ним относятся:
- Клиническое и возрастное разнообразие развития заболевания.
- Легкая степень тяжести и разнообразие клинических симптомов в начале заболевания, особенно в детском возрасте.
- Отсутствие патогномоничных лабораторных признаков болезни.
- Территориальное удаление места жительства пациента от диагностических центров.
Индивидуальный план лечения
Индивидуально составляется программа лечебной гимнастики. Упражнения выполняются каждый день. Для укрепления мышечного корсета необходима ходьба на лыжах и плавание.
Фармакологические методы лечения
В обязательном порядке назначаются лекарственные препараты: терапией первой линии являются НПВП, далее индивидуальный подбор генно-инженерной терапии. Принимать лекарственные препараты следует только по назначению врача. Специалист подбирает дозировку с учетом особенностей организма пациента и сложности течения заболевания.
- НПВС. Для купирования болей на начальном этапе развития заболевания врач назначает нестероидные противовоспалительные средства (НПВС) (ибупрофен, диклофенак, мелоксикам, напроксен, нимесулид, целекоксиб, эторикоксиб). Данные препараты рекомендовано назначать долгими курсами, но в минимально необходимой дозировке. Это связано с тем, что они способствуют наступлению и поддержанию ремиссии заболевания, и тем самым снижают риск развития неподвижности позвоночника. НПВС необходимо назначать с осторожностью при заболеваниях желудочно-кишечного тракта, почек, печени, а также лицам с повышенным риском сердечно-сосудистых осложнений.
- Гормонотерапия и сульфасалазин. При недостаточной эффективности НПВС целесообразно локальное (внутрисуставное, околосуставное, в область энтезисов) введение глюкокортикостероидных гормонов (дексаметазон, дипроспан). При периферической форме заболевания (с поражением в первую очередь суставов конечностей) эффективно использование сульфасалазина. Однако данный базисный препарат практически не влияет на прогрессирование поражения позвоночного столба.
- Генно-инженерные биологические препараты. Если при тяжелом течении болезни не удается подавить активность вышеназванными средствами, показано назначение биологических (генно-инженерных) препаратов — ингибиторов ФНОα (инфликсимаб, этанерцепт, адалимумаб, голимумаб, цертолизумаб пэгол) или ингибиторов интерлейкина 17 (секукинумаб). Данные лекарственные средства показали высокую эффективность и значительное улучшение прогноза при анкилозирующем спондилите.
Немедикаментозные методы лечения
Особое значение при болезни Бехтерева имеют немедикаментозные методы лечения — физиотерапевтическое лечение, лечебная физическая культура, экстракорпоральная гемокоррекция, реабилитационные мероприятия. На тяжелых стадиях заболевания возможно рассмотрение вопроса о хирургическом лечении.
Важным аспектом лечения является своевременная коррекция сердечно-сосудистых факторов риска (курение, гипертония, повышенный холестерин), а также профилактика остеопороза (препараты кальция и витамина Д).
Рекомендован массаж, рефлексотерапия и магнитотерапия только при отсутствии воспалительной активности. Пациентам с болезнью Бехтерева также назначаются азотные, сероводородные и радоновые ванны.
Инновационные методы терапии
- Внутритканевая электростимуляция (ВТЭС). Используются импульсы низкочастотного тока. Стимулирует самовосстановление пораженных тканей, улучшается кровоснабжение, уходят боли.
- Ударно-волновая терапия (УВТ). Применяется для предотвращения кальцификации тканей и фиброзирования. Улучшается микроциркуляция крови, усиливаются регенерирующие процессы, восстанавливаются функции связок и мышц.
- Фотодинамическая терапия. С помощью светового излучения запускаются биохимические реакции. Снижается боль и отечность, восстанавливаются двигательные функции.
Организация спального места
Пациенты с болезнью Бехтерева должны спать только на ровной твердой поверхности без подушки для предотвращения развития позы гордеца или просителя.
Прогноз
Полностью излечиться от болезни Бехтерева невозможно. Но при соблюдении врачебных рекомендаций и грамотно подобранной терапии прогрессирование патологического процесса можно остановить. Пациенты должны постоянно наблюдаться у врача и проходить лечение в стационарных условиях в период обострения.
Профилактика и диета
Здоровый образ жизни может положительно повлиять на течение заболевания. Для пациентов с болезнью Бехтерева важны регулярные физические упражнения.
- сохранить подвижность;
- снизить лишний вес;
- укрепить мышцы;
- улучшить кровообращение и дыхательную функцию.
Рекомендованные врачом упражнения, следует регулярно выполнять дома. Виды спорта выбираются в зависимости от того, насколько далеко продвинулось состояние. При ревматических заболеваниях благоприятны легкие виды спорта, которые не сильно напрягают суставы и позвоночник, такие как плавание, езда на велосипеде или пешие прогулки.
Правильное питание играет важную роль во многих ревматических заболеваниях. Вспышки заболеваний и дискомфорт при болезни Бехтерева можно облегчить с помощью соответствующей диеты. В число запрещенных продуктов входят животные жиры (жирное мясо, колбасы, сало, яичные желтки).
Людям с болезнью Бехтерева следует по возможности воздерживаться от курения.
Употребление никотина подавляет действие лекарств, но самое главное, что курение даже у совершенно здоровых пациентов вызывает деструкцию хрящевой ткани, снижение минеральной плотности кости. Курящим пациентам часто требуются более высокие дозы препаратов.
Что можно употреблять в пищу:
- рыбу (сельдь, лосось, форель);
- молочные продукты;
- фрукты и овощи.
Свежие овощи и фрукты содержат витамины и микроэлементы, обладающие антиоксидантным действием. Они могут улавливать радикалы кислорода, участвующие в воспалительных процессах в организме.
Статистика и этиология заболевания

Анкилозирующий спондилит является одной из наиболее распространенных форм спондилоартропатий. Во многих случаях заболевание имеет легкие симптомы, что значительно затрудняет диагностику и делает невозможным соответствующую статистику.
Ранее считалось, что болезнь Бехтерева встречается у мужчин в 3 раза чаще, чем у женщин. Эта ошибка связана с более легкими симптомами у женщин, чем у мужчин, что касается окостенения или затвердевания позвоночника. Первые симптомы обычно появляются в возрасте от 20 до 25 лет и только в 5% случаев после 40 лет.
Начало заболевания тесно связано с HLA-B27, антигеном, который играет важную роль в функции иммунной системы. По этой причине предполагается, что это наследственная патология.
Наблюдение
Ревматолог и ортопед следят за состоянием пациента на протяжении всего лечения. Для контроля эффективности проводимой терапии врач выполняет регулярную диагностику с применением оборудования последнего поколения. При необходимости лечение корректируется.
Почему мы
- Врачи. Прием ведет высококвалифицированный врач-ревматолог с большим опытом работы в России и за рубежом.
- Безопасность. Лучевая диагностика на передовых цифровых системах Philips позволяет получить высокоточные изображения позвоночника по всей длине при минимальном рентгеновском облучении или без него (МРТ).
- Комплексный подход. Лечение болезни Бехтерева проводится при тесном сотрудничестве между разными специалистами нашего медицинского центра (ревматологами, ортопедами, спинальными хирургами, зарубежными консультантами).
- Инновации. Возможность эффективного лечения тяжелых форм заболевания новейшими генно-инженерными биологическими препаратами, методами экстракорпоральной гемокоррекции.
- Индивидуальный подход Специалисты составляют индивидуальный план лечения для каждого пациента, соответствующий активности заболевания, и осуществляют постоянное наблюдение, своевременно корректируя терапию.
- Эффективность. Быстрое купирование болей в спине, сохранение подвижности позвоночника, предупреждение развития тяжелых инвалидизирующих осложнений.
Почему хондропротекторы реально помогают?
Цены на услуги Вы можете посмотреть в прайсе или уточнить по телефону, указанному на сайте.
Цены на услуги ревматолога
- Стандартные консультации
- Прием (осмотр, консультация) врача-ревматолога первичный 3 900 руб.
- Прием (осмотр, консультация) врача-ревматолога повторный 3 600 руб.
- Консультации экспертов
- Прием (осмотр, консультация) врача-ревматолога Бородина О.О. 7 000 руб.
- Телеконсультации
- Удаленная консультация врача-ревматолога первичная 2 500 руб.
- Удаленная консультация врача-ревматолога повторная 2 500 руб.
- Эндоскопия
- Капсульная эндоскопия 50 000 руб.
Внимание! Цены на сайте могут отличаться.
Пожалуйста, уточняйте актуальную стоимость у администраторов по телефону.
Наши специалисты:

БородинОлег Олегович Врач-ревматолог
Прием пациентов с 16 лет
Стоимость приема: 7000 ₽
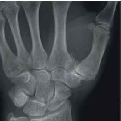
Дифференциальная диагностика заболеваний кисти
Рентгенография – отек мягких тканей вокруг суставов, остеопороз, сужение суставных щелей, краевые эрозии, субхондральные кисты и подвывихи, деформации кистей; вовлечение подтаранного сустава, эрозия заднего бугорка пяточной кости; эрозия дистальной части ключицы, краевые эрозии головки плечевой кости, субакромиальный бурсит; остеоартрит тазобедренных суставов с сужением суставных щелей; синовит коленного сустава, препателлярный бурсит; атланто-аксиальные подвывихи, эрозия зуба и остистых отростков.

Ревматоидный артрит. Эрозии головок метакарпальных костей. Сужение средних суставов пальцев.
УЗИ – бурсит, синовиальная пролиферация, теносиновит
МРТ – отек и гиперплазии синовиальной ткани, паннус, истончение хрящевой ткани, субхондральные кисты и эрозии, отек костного мозга, выпот в полость сустава.
2. Острый эрозивный остеоартрит (острое воспаление) – отрицательный ревматоидный фактор, типично у женщин в постменопаузальном периоде
Рентгенография: эрозивный остеоартрит в острой фазе с поражением дистальных и проксимальных межфаланговых суставов – субхондральные и центральные эрозии, но нет краевых эрозий; остеоартроз в хронической фазе (субхондральный склероз, остеофиты) и анкилоз

Остеартрит с типичным поражением первого карпо-метакарпального сустава. Сужение суставной щели. Остеофиты, субхондральный склероз.
МРТ : типичные центральные эрозии фаланг, яркие на Т2-ВИ (“крылья чайки”), нет отека мягких тканей
3. Спондилоартропатии (серонегативные спондилоартритиды): псориатический артрит и синдром Рейтера (реактивный артрит), системная красная волчанка
Рентгенография: при синдроме Рейтера – поражение дистальных суставов по типу несимметричного олигоартрита, энтезит; при псориазе – краевые костные эрозии, периостит и поражение большого пальца стопы (“слоновая кость”) вследствие избыточного костеобразования; при системной красной волчанке – неэрозивные деформирующий артриты пальцев кистей и стоп с подвывихами

Псриатический артрит. Поражение дистальных фаланг с эрозиями и костной формацией ( палец).
УЗИ: дактилит – отек пальцев (“сосискообразные”) вследствие теносиновита и синовита
МРТ: симметричный сакроилеит при синдроме Рейтера и несимметричный сакроилеит при псориазе; артрит и подвывихи межфаланговых суставов; симметричный полиартрит при системной красной волчанке, миозит (в том числе с кальцинатами) и остеонекроз, особенно, головки бедренной кости
4. Артропатия при дегидратации кальция пирофосфата
Рентгенография: остеофиты, субхондальные кисты, нет эрозий
5. Подагра – типично гиперурикемия и возраст старше 40 лет
Рентгенография: типично поражается 1 метатарзо-фаланговый сустав, выявляются тофусы
Читайте также:
