Лучевая диагностика травмы поджелудочной железы
Добавил пользователь Владимир З. Обновлено: 26.11.2025
а) Терминология:
1. Сокращения:
• Интерстициальный отечный панкреатит (interstitial edematous pancreatitis-IEP), панкреонекроз (necrotizing pancreatitis-NP)
• Острое скопление секрета поджелудочной железы (acute pancreatic fluid collection — APFC), ± инфекция
• Очаг острого некроза (acute necrotic collection - ANC), ± инфекция
2. Определения:
• Острый воспалительный процесс в поджелудочной железе, сопровождающийся вариабельным поражением местных тканей и отдаленных органов и систем
б) Визуализация:
1. Общая характеристика:
• Основные диагностические признаки:
о Увеличенная поджелудочная железа, перипанкреатическое скопление жидкости, отек и облитерация слоев жировой клетчатки
• Размеры:
о Очаговое или диффузное утолщение
2. УЗИ при остром панкреатите:
• УЗИ в черно-белом режиме:
о При легком течении панкреатита УЗИ-симптоматика может быть не выражена или отсутствовать вовсе
о Увеличенная гипоэхогенная поджелудочная железа: интерстициальный отек
о Размытость контуров поджелудочной железы: отек железы и перипанкреатический экссудат
о Гетерогенность эхо-текстуры: интрапанкреатический некроз или кровоизлияние
о Абсцесс поджелудочной железы или очаги инфекционного поражения: с помощью УЗИ подтверждаются с трудом; толстостенные, чаще всего анэхогенные структуры, внутри которых определяются эхосигналы и детрит
о Конкременты желчного пузыря или желчных протоков
• Цветовая допплерография:
о Информативна при диагностике псевдоаневризм и воротно-селезеночного венозного тромбоза

(Левый) На поперечном УЗ срезе брюшной полости визуализируется гетерогенная гипоэхогенная поджелудочная железа, что соответствует картине интерстициального отечного панкреатита. Спереди от тела поджелудочной железы определяется ги-поэхогенная перипанкреатическая жидкость, соответствующая острому скоплению секрета поджелудочной железы.
(Правый) У этого же пациента при КТ с контрастным усилением визуализируется гетерогенная низкоконтрастная поджелудочная железа, что соответствует картине интерстициального отечного панкреатита. Тело поджелудочной железы окружено зоной перипанкреатического отека; кроме того, в области хвоста железы определяется скопление секрета поджелудочной железы.
3. КТ при остром панкреатите:
• Очаговое или диффузное увеличение поджелудочной железы, нечеткость ее контуров, инфильтрация перипанкреатической жировой клетчатки
• Гомогенное или слегка гетерогенное усиление контраста (интерстициальный отечный панкреатит); очаговые или диффузные участки отсутствия контрастирования (некроз)
• Осложнения:
о Перипанкреатические очаги (острые скопления секрета поджелудочной железы и очаги острого некроза) не имеют четко выраженной стенки о Поздние очаги имеют четкую контрастную стенку: псевдокисты-на месте скоплений секрета поджелудочной железы; отграниченный некроз - на месте очагов острого некроза
о Псевдоаневризма: кистозное сосудистое образование, контрастируемое также, как и прилегающие кровеносные сосуды
о Тромбоз воротной/селезеночной вен: контрастирования тромбированных вен не происходит
о Инфекция: наличие газа, за исключением случаев толстокишечного свища и проведения инвазивных вмешательств
4. МРТ при остром панкреатите:
• Т2-ВИ с подавлением жира
о Очаги, зоны некроза: гиперинтенсивны
о Перипанкреатический отек, инфильтрация жидкости: гиперинтенсивны
• Т1-ВИ с контрастным усилением
о Контрастирование: гомогенное или слегка гетерогенное (интерстициальный отечный панкреатит) по сравнению с очаговыми или диффузными участками отсутствия контрастирования (некроз)
о Окклюзии сосудов: дефекты заполнения или отсутствие контрастирования сосудов
• МР холангиопанкреатография:
о Расширенный или неизмененный главный проток поджелудочной железы (main pancreatic duct-MPD)
о Конкременты желчного пузыря, холедохолитиаз: дефекты заполнения желчного пузыря или общего желчного протока
5. Рекомендации по визуализации:
• Оптимальный метод визуализации:
о КТ с контрастным усилением
• Рекомендации по методике проведения исследования:
о УЗИ-оптимальный метод диагностики холелитиаза при остром панкреатите неясной этиологии
о КТ с контрастным усилением - наиболее информативный метод оценки распространенности воспаления, выявления некроза и осложнений в поздние фазы заболевания
о МРТ-наиболее информативный метод диагностики холедохолитиаза (МР холангиопанкреатография); также это исследование проводится пациентам, которым невозможно провести КТ с контрастным усилением

(Левый) На поперечном срединном УЗ срезе в ложе поджелудочной железы определяется гетерогенное скопление, содержащее нежидкостные фрагменты, что указывает на развитие некроза поджелудочной железы и перипанкреатических тканей.
(Правый) У этого же пациента при КТ с контрастным усилением на поперечной томограмме наблюдается полное отсутствие контрастирования тела и хвоста поджелудочной железы, что характерно для панкреонекроза. Также определяется пери панкреатическое скопление жидкости, содержащее нежидкостные фрагменты, это указывает на острый некроз перипанкреатических тканей и формирование очага острого некроза.
в) Дифференциальная диагностика острого панкреатита:
1. Инфильтративный рак поджелудочной железы:
• Гетерогенное гипоэхогенное образование неправильной формы
• Резкая обструкция и расширение протока поджелудочной железы
• Метастазы в регионарных лимфоузлах: лимфоузлы ворот селезенки и ворот печени
• Инвазия в соседние органы: двенадцатиперстную кишку, желудок, печень, брыжейку
2. Лимфома и метастазы:
• Узловатая массивная поджелудочная железа, увеличенная вследствие инфильтрации
• Забрюшинная лимфаденопатия
• Перипанкреатический инфильтрат (облитерация жировых прослоек)
3. Аутоиммунный панкреатит:
• Очаговое или диффузное увеличение в размерах
• Сужение протока поджелудочной железы
• Отсутствие кальцинатов или скоплений жидкости
4. Перфоративная язва двенадцатиперстной кишки:
• При пенетрации язвы может развиться инфильтрация переднего параренального пространства, симулирующая панкреатит
• • Может вызывать поражение головки поджелудочной железы
5. «Шоковая» поджелудочная железа:
• Инфильтрация перипанкреатической и брыжеечной жировой клетчатки после эпизода падения артериального давления (например при тупой травме)
• Сама поджелудочная железа выглядит неизмененной или диффузно увеличена в размерах

(Левый) На поперечном УЗ срезе определяется увеличенная гипоэхогенная поджелудочная железа, что характерно для острого панкреатита. Спереди от железы определяется скопление жидкости. Наличие и распространенность некроза оценить трудно.
(Правый) У того же пациента при КТ с контрастным усилением на поперечной томограмме большая часть поджелудочной железы не контрастируется, что указывает на развитие некроза; в хвосте железы определяется остаточная жизнеспособная ткань. Граница между передним краем поджелудочной железы и очагом острого некроза различима с трудом.
г) Патология:
1. Общая характеристика:
• Этиология:
о Алкоголь/конкременты желчных путей/метаболические нарушения/инфекция/травма/употребление наркотиков/эндоскопическая ретроградная холангиопанкреатография
о Патогенез: развивается вследствие рефлюкса ферментов поджелудочной железы, желчи, содержимого двенадцатиперстной кишки и повышения давления в протоках:
- Блокада главного или терминального протока поджелудочной железы
- Отек, спазм; недостаточность сфинктера Одди
• Генетика:
о Наследственный панкреатит: аутосомно-доминантный, неполная пенетрантность
• Сопутствующая патология:
о Нарушения эмбриогенеза:
- Кольцевидная поджелудочная железа: нарушение миграции и слияния вентрального зачатка железы с дорсальным
- Разделенная поджелудочная железа (pancreas divisum): вентральный и дорсальный зачатки железы не слились; относительная обструкция малого сосочка
2. Макроскопические и хирургические особенности:
• Увеличение размеров железы, некроз, скопление жидкости
3. Микроскопия:
• Интерстициальный отечный панкреатит
о Отек, застой, лейкоцитарные инфильтраты
• Острый геморрагический панкреатит
о Деструкция ткани, некроз жировой клетчатки и кровоизлияния
д) Клинические особенности:
1. Проявления острого панкреатита:
• Наиболее частые жалобы/симптомы:
о Острое начало, боли в эпигастрии, обычно иррадиирующие в спину
о Болезненность, повышение температуры тела, тошнота, рвота
• Клинический профиль:
о Диагноз ставится на основании минимум двух из трех приведенных ниже признаков:
- Боли в животе, характерные для панкреатита
- Уровень липазы или амилазы >3 раза превышает норму
- При КТ с контрастным усилением, МРТ или УЗИ выявляются изменения, соответствующие острому панкреатиту
о Другие: гипергликемия, повышение активности лактатдеги-дрогеназы (lactate dehydrogenase-LDH), лейкоцитоз, гипо-кальциемия, снижение гематокрита, повышение азота мочевины крови (blood urea nitrogen-BUN)
2. Демография:
• Возраст:
о Обычно у молодых и пациентов среднего возраста
• Пол:
о Мужчины > женщины
3. Течение и прогноз:
• Пересмотренная Атлантская классификация острого панкреатита: ранняя фаза 1 недели:
о Ранняя фаза: тяжесть заболевания определяется исключительно клиническими параметрами (шкалы тяжести органной недостаточности APACHE II, Ranson, Marshall, синдром системной воспалительной реакции организма)
о Поздняя фаза: тяжесть состояния, кроме клинической картины, определяется результатами лучевых/морфологических исследований
• Клиническая: тяжесть определяется наличием органной недостаточности; три степени:
о Легкая: местные или системные осложнения отсутствуют, отсутствует органная недостаточность; обычно разрешается в раннюю фазу; летальные исходы очень редки
о Средней тяжести: транзиторная органная недостаточность (длительностью о Тяжелая: персистирующая органная недостаточность (длительностью >48 часов)
• Лучевые исследования: индекс тяжести по результатам КТ (СТ severity index-CTSI): балльная система оценки, основанная на распространенности некроза и выделяющая пять стадий (А-Е)
• Осложнения:
о Скопления секрета поджелудочной железы эволюционируют в псевдокисты, очаги острого некроза - в очаги отграниченного некроза (walled-off necrosis-WON); оба этих патологических образования могут инфицироваться
о ЖКТ: кровоизлияния, инфаркты, обструкция, кишечная непроходимость
о Желчные пути: механическая желтуха
о Сосудистые нарушения: псевдоаневризма, воротно-селезеночный венозный тромбоз, кровотечение
о Диссеминированное внутрисосудистое свертывание (disseminated intravascular coagulation-DIC), шок, почечная недостаточность
4. Лечение острого панкреатита:
• Интерстициальный отечный панкреатит: консервативное лечение; голод (nothing by mouth — NPO); декомпрессия желудка через зонд; анальгетики, антибиотики
• Осложненный интерстициальный отечный панкреатит: инфицированные или вызывающие обструкцию скопления экссудата требуют дренирования (хирургическим, эндоскопическим или чрескожным путем)
• Панкреонекроз: необходимость вмешательства определяется индексом тяжести по результатам КТ; инфицированный очаг некроза требует дренирования (хирургического/через катетер)
е) Диагностическая памятка:
1. Следует учесть:
• Исключите другую патологию, которая может вызывать «перипанкреатическую инфильтрацию»
2. Советы по интерпретации изображений:
• Массивная, неравномерно увеличенная поджелудочная железа в сочетании с облитерацией перипанкреатической жировой клетчатки, перипанкреатическими скоплениями жидкости и очагами некроза и формирующимися абсцессами
ж) Список использованной литературы:
1. Banks PA et al: Classification of acute pancreatitis-2012: revision of the Atlanta classification and definitions by international consensus. Gut. 62(1):102-11, 2013
2. Thoeni RF: The revised atlanta classification of acute pancreatitis: its importance for the radiologist and its effect on treatment. Radiology. 262(3):751-64, 2012
3. O'Connor OJ et al: Imaging of acute pancreatitis. AJR Am J Roentgenol. 197(2):W221-5, 2011
4. Balthazar EJ: Acute pancreatitis: assessment of severity with clinical and CT evaluation. Radiology. 223(3):603-13, 2002
Лучевая диагностика травмы поджелудочной железы
а) Визуализация травмы поджелудочной железы:
• КТ:
о Обычно присутствуют вторичные признаки повреждения поджелудочной железы: инфильтрация перипанкреатического жира, наличие жидкости возле края поджелудочной железы (ПЖ), утолщение параренальной фасции, перипанкреатическая гематома
о Ушиб поджелудочной железы: нечетко отграниченный участок низкой плотности в месте повреждения (нелинейной формы, как разрыв)
о Разрыв поджелудочной железы: «щель» (линия), проходящая через ПЖ
о Полный разрыв: разделение ПЖ на две части
о КТ не является чувствительным методом диагностики повреждений панкреатического протока, но обычно позволяет сделать предположение о нарушении его целостности
• МПТ: МРХПГ (возможно, также с введением секретина) является методом, применимым для определения разрыва протока
• ЭРХПГ: лучший метод диагностики повреждений протока поджелудочной железы (ППЖ):
о О пересечении протока поджелудочной железы (ППЖ) протока свидетельствует резкий его «обрыв» или экстравазация контраста
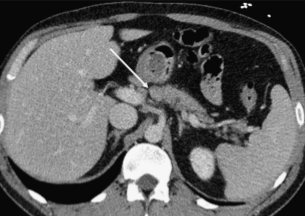
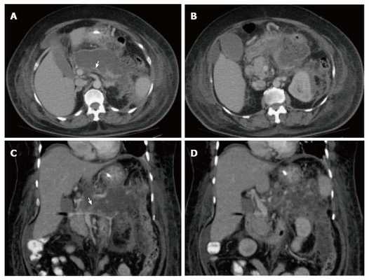
(Слева) На аксиальной КТ с контрастным усилением определяется нечетко различимый разрыв поджелудочной железы с наличием жидкости в сальниковой сумке, а также в забрюшинном пространстве.
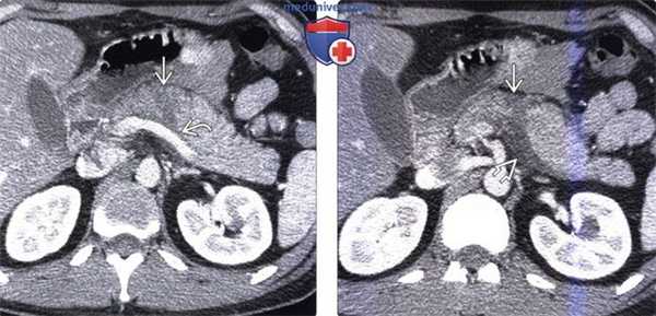
(Справа) На аксиальной КТ с контрастным усилением у этого же пациента визуализируется жидкость (панкреатический сок) позади поджелудочной железы, распространяющаяся вдоль селезеночной вены. Практически во всех случаях также присутствуют вторичные признаки травмы, такие как жидкость около поджелудочной железы, гематома и инфильтрация жировой ткани, позволяющие сделать правильное заключение. (Слева) На аксиальной КТ с контрастным усилением определяется разрыв поджелудочной железы на уровне шейки. Целостность панкреатического протока нарушена. Была выполнена операция, удалены хвост и тело поджелудочной железы.
(Справа) На аксиальной КТ с контрастным усилением, выполненной 48 часов спустя от момента получения травмы, определяется разрыв поджелудочной железы и псевдокиста в сальниковой сумке. Скопление жидкости обусловлено утечкой жидкостного содержимого из разорванного панкреатического протока.
б) Патология:
• Причиной повреждения поджелудочной железы может стать как проникающее ранение, так и тупая травма:
о Повреждение поджелудочной железы при тупой травме обычно возникает в результате сдавливания живота спереди и сзади
• Повреждения поджелудочной железы ассоциированы с политравмой и практически никогда не бывают изолированными
в) Клинические особенности:
• Повреждения поджелудочной железы в результате тупой травмы часто бывают клинически «немыми» и не распознаются при первичном обследовании
• Клинические проявления часто обусловлены травматическим панкреатитом и включают в себя боль вверху живота и вздутие живота
• Уровень амилазы и липазы повышен у 90% пациентов, однако может быть в норме непосредственно после получения травмы
• Лечение при проникающих повреждениях заключается в экстренной лапаротомии
о Повреждение I и II степени по классификации Американской ассоциации хирургов травмы (AAST): консервативное лечение
о Повреждение III, IV, V степени (AAST): оперативное лечение, в т.ч. резекция ПЖ
Оценка травм поджелудочной железы и их КТ диагностика
Травмы поджелудочной железы составляют менее 10 % всех травм брюшной полости. Большая часть повреждений этого органа — результат тупой травмы живота. Удар об рулевое колесо во время столкновений транспортных средств, травмы от ремня безопасности и повреждения, связанные с огнестрельным оружием, являются распространенными причинами травм поджелудочной железы у взрослых. В то же время у детей наиболее распространенной причиной травмы поджелудочной железы является удар об велосипедную ручку или прямой удар. Спортивные травмы и падения на верхнюю часть живота являются менее распространенными причинами. Дети более восприимчивы к травме поджелудочной железы, по сравнению со взрослыми, из-за меньших защитных возможностей брюшной жировой клетчатки.
Селезенка, левая почка и дистальный отдел двенадцатиперстной кишки могут быть повреждены вместе с телом и хвостом поджелудочной железы в результате тупой травмы, приходящейся на левую половину живота. Печень, желчный пузырь и правая почка могут быть одновременно повреждены при травме правой половины живота.
В целом, последствия травмы поджелудочной железы лучше всего оцениваются с помощью КТ с наложением срезов и последующей реконструкцией.
Жалобы и клиническая диагностика
Травма поджелудочной железы часто упускается из виду. В первые 2–3 часа после травмы больной может вообще ни на что не жаловаться, а после — иметь жалобы, которые не отражают истинной тяжести его состояния.
Физикальное обследование тоже зачастую малоэффективно, потому что ранние клинические признаки травмы неясны при осмотре. Визуально у больного могут определяться кровоподтеки в боковых и/или периумбиликальной областях, при пальпации возможна болезненность в эпигастрии. Но все эти признаки не патогномоничны и не говорят о повреждении поджелудочной железы однозначно
Повышенные уровни сывороточной амилазы и липазы также имеют ограниченную ценность, поскольку этот симптом может наблюдаться при других повреждениях органов брюшной полости, к тому же повышение может отсутствовать в течение 6 ч после травмы. И все же стойкое повышение этих двух показателей может указывать на патологические процессы в поджелудочной железе.
Важно. Ранняя диагностика и лечение повреждений поджелудочной железы имеют решающее значение. Пациенты, которые подвергаются оперативному вмешательству в течение 24 часов, имеют более низкую смертность.
Очевидно, что необходима высокая степень клинической настороженности, чтобы повреждения поджелудочной железы не оставались незамеченными. Если в анамнезе встречаются тупые травмы верхней части живота и повышенные уровни сывороточных ферментов, стоит задуматься о повреждении поджелудочной железы.
Визуализация
Мультиспиральная КТ (МСКТ) обладает чувствительностью, приближающейся к 80 %, и является основным методом визуализации, используемым при оценке пациентов с травмами. МСКТ чувствительна в 91 % случаев и специфична в 90 % при выявлении повреждений протоков поджелудочной железы, а полученные изображения МСКТ с использованием контраста во время портально-венозной фазы и вовсе являются наиболее точными в случае обнаружения повреждений паренхимы и протоков поджелудочной железы. Изображения МСКТ могут быть полезны при определении глубины разрывов поджелудочной железы и повреждения протоков.
Результаты МСКТ при травмах поджелудочной зависят от времени: иногда результаты визуализации не информативны в течение 6–12 ч после травмы. Повреждение поджелудочной железы может быть скрыто помехами, связанными с повреждением соседнего органа или близким наложением фрагментов поврежденной поджелудочной железы. Постепенное развитие перипанкреатического воспаления, отека железы и забрюшинной клетчатки становится заметным при последующих МСКТ.
Таким образом, повторное сканирование через 12–24 ч обычно полезно для пациентов с серьезным подозрением на повреждение поджелудочной. Последующие компьютерные томографии часто выполняются пациентам с одновременными повреждениями нескольких органов брюшной полости, поэтому внимание к поджелудочной железе на этих сканированиях может помочь обнаружить ранее не диагностированные повреждения поджелудочной железы.
Классификация повреждений поджелудочной железы
Шкала повреждений органов (Organ Injury scale — OIS) Американской ассоциации хирургии травм (AAST) по тяжести повреждений поджелудочной железы является наиболее широко принятой системой классификации повреждений поджелудочной железы (таблица 1).
Таблица 1. Шкала AAST OIS (American Association for the Surgery of Trauma) для травм поджелудочной железы.

В то же время система оценки OIS описывает повреждение поджелудочной железы с точки зрения анатомического расположения и вовлечения протока, но не учитывает состояние пациента, что имеет высокую прогностическую ценность для клинического исхода. Криге и соавторами опубликована шкала оценки смертности от травм поджелудочной железы (Pancreatic injury mortality score, PIMS) (таблица 2), которая учитывает такие переменные, как: возраст > 55 лет; шок при поступлении, масштаб травмы поджелудочной железы и сопутствующие заболевания. Повреждение протока не может быть визуализировано на МСКТ, но может быть выведено на основе глубины разрыва паренхимы поджелудочной железы.
Таблица 2. Шкала PIMS

Расшифровка:
— 0–4 балла — низкий риск летального исхода;
— 5–9 баллов — средний риск летального исхода;
— 10 и более баллов — высокий риск летального исхода.
Модифицированная КТ-градация повреждения поджелудочной железы, предложенная Wong и соавторами (таблица 3), — еще одна система, используемая для определения повреждения протоков. Эта оценка основана на наличии или отсутствии разрывов поджелудочной железы, месте разрывов и глубине разрывов. Травмы класса А описывают разрыв, включающий менее 50 % толщины поджелудочной железы, обычно без повреждения протока; травмы класса В и С происходят слева или справа от верхней брыжеечной артерии, соответственно включают более 50 % толщины поджелудочной железы и обычно сопровождаются повреждением протока.
Таблица 3. КТ классификация травм поджелудочной железы

Результаты МСКТ при травмах поджелудочной железы
На КТ поджелудочной железы при травмах OIS I и II степени проявляются слабо контурирующие «потухшие» участки на фоне нормальной паренхимы или очаговое или диффузное расширение поджелудочной железы. Незначительная контузия (I степень) (изображение 1) включает одну анатомическую область поджелудочной железы, при II степени травмы (изображение 2) задействуется более одной анатомической области поджелудочной железы.

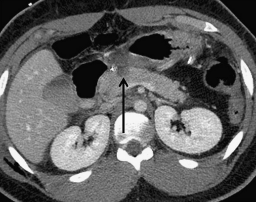
Изображение 1. Сорокадвухлетний мужчина с травмой поджелудочной железы. Изображение показывает небольшую гиподенсную область в передней части головки поджелудочной железы (стрелка), указывая на травму I степени.

Разрывы поджелудочной железы, наблюдаемые при III (изображение. 3) и IV (изображение 4) степенях, представляют собой линейные расщелины, перпендикулярные длиннику поджелудочной железы и заполненные жидкостью или кровью (изображение 5). Если есть четкое разделение паренхимы, возможно, присутствует разрыв поджелудочной железы. Наиболее распространенным местом разрыва поджелудочной железы является тело или головка поджелудочной железы. Поверхностные образования включают менее 50 % толщины железы, в то время как разрывы включают более 50 % железы и имеют высокую частоту сопутствующих травм. Разрыв поджелудочной железы может быть пропущена или недооценен даже при МСКТ из-за наложения фрагментов разрыва.
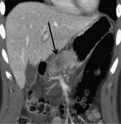
Изображение 3. 30-летняя женщина получила травму живота во время ДТП. Изображение МСКТ показывает линейный гиподенсный участок перпендикулярно длиннику поджелудочной железы в области хвоста (белая стрелка), что указывает на разрыв хвоста III степени.

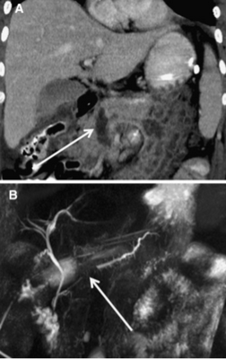
Изображение 4. 55-летний мужчина после удара бейсбольной битой по животу. На МСКТ-снимке (А) обнаружена большая рваная рана головки поджелудочной железы (стрелка), затрагивающая более 50 % толщины паренхимы и указывающая на высокую вероятность повреждения протока.
На магнитно-резонансной холангиопанкреатографии (В) у того же пациента подтверждается повреждение протока (стрелка).

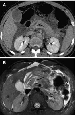
Изображение 5. Разрыв поджелудочной железы IV степени у 41-летнего мужчины, пострадавшего в результате ДТП. На МСКТ (А) показан линейный разрыв (стрелка) в головке поджелудочной железы справа от верхней брыжеечной вены.
На МРТ (В) изображение того же пациента демонстрирует разрыв в головке поджелудочной железы (стрелка).
Иногда нормальные морфологические расщелины поджелудочной железы, заполненные жиром, окружающим интрапанкреатические сосуды, могут быть неправильно истолкованы как разрыв тканей железы (изображение 6).

Изображение 6. Панкреатическая расщелина (стрелка) может быть ошибочно принята за разрыв поджелудочной железы, часто наблюдается в месте соединения головки и тела и содержит жировую ткань.
Интрапанкреатические гематомы также считаются весьма специфическим признаком травм поджелудочной железы и на МСКТ проявляются как скопление жидкости или крови внутри паренхимы, либо в пределах разрыва или расширения пространства между фрагментами железы и/или в области перипанкреатической ткани (изображение 7).

Изображение 7. Гематома поджелудочной железы у 32-летнего мужчины, попавшего в автомобильную аварию. На МСКТ-изображении показана большая гематома (стрелка) в головке поджелудочной железы. Отсутствует активная экстравазация из близлежащих брыжеечных сосудов.
Травма поджелудочной железы V класса (изображение 8) включает в себя серьезное повреждение поджелудочной железы и связана с множественными травмами других органов.Такие пациенты, как правило, гемодинамически нестабильны и имеют высокий риск летального исхода.
Вместо заключения
МСКТ — не единственный метод визуализации. В процессе диагностики большой интерес представляют МР-холангиопанкреатография, МРТ и ЭРХПГ. О них расскажем в следующий раз.
МСКТ же обладает исключительной ценностью в случае с травмой поджелудочной железы благодаря скорости, возможности быстрого и подробного обзора органов брюшной полости и эффективному выявлению тяжелых повреждений поджелудочной железы и других органов.
ЭРХПГ, КТ, МРТ, УЗИ при травме поджелудочной железы
а) Визуализация:
1. Общая характеристика:
• Лучший диагностический критерий:
о Увеличение и неоднородная структура поджелудочной железы с наличием жидкости (гематомы) возле нее у пациента с травмой в анамнезе
• Локализация:
о Чаще всего повреждаются следующие отделы поджелудочной железы (в порядке уменьшения частоты): тело, головка, хвост
2. Рентгенография:
• ЭРХПГ:
о При ушибе поджелудочной железы патологических изменений не обнаруживается
о ЭРХПГ лучше всего позволяет идентифицировать повреждение панкреатического протока:
- При пересечении панкреатического протока обнаруживается внезапный его «обрыв» или экстравазация контраста

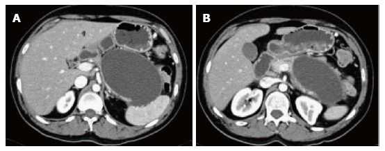
(Слева) На аксиальной КТ с контрастным усилением определяется гиподенсный участок (разрыв) в средних отделах тела поджелудочной железы. Обратите внимание на небольшое количество жидкости позади поджелудочной железы поблизости от селезеночной вены.
(Справа) На аксиальной КТ с контрастным усилением у этого же пациента на более каудальном уровне также определяется разрыв поджелудочной железы; жидкость возле ее края становится более очевидной. У некоторых пациентов наличие жидкости позади поджелудочной железы является наиболее очевидным признаком ее разрыва.
3. КТ признаки травмы поджелудочной железы:
• Даже при отсутствии дискретного очага контузии или разрыва обычно обнаруживаются вторичные признаки повреждения поджелудочной железы или посттравматического панкреатита:
о Инфильтрация перипанкреатической клетчатки (отсутствие визуализации нормальных жировых пластинок) и жидкость около края поджелудочной железы:
- Наличие жидкости между поджелудочной железой и селезеночной веной является чувствительным (60-90%) признаком повреждения поджелудочной железы
- Жидкость или гематома также часто может обнаруживаться в сальниковой сумке, левом переднем параренальном пространстве, брыжейке поперечной ободочной кишки, рядом с селезенкой, в корне брыжейки
о Утолщение передней параренальной фасции
о Может возникать перипанкреатическая или интраспленальная гематома, при этом интрапанкреатическая гематома является более специфическим признаком повреждения поджелудочной железы
о Изменения перипанкреатических тканей, обусловленные травматическим панкреатитом, часто выражены в незначительной степени и становятся более очевидными спустя 24-48 часов
• Ушиб поджелудочной железы: нечетко отграниченный гиподенсный участок в месте повреждения:
о Изменения от легкой деформации контура поджелудочной железы до появления округлого опухолевидного утолщения железы, достигающего нескольких сантиметров в диаметре
о Ушиб часто ассоциирован с очаговым или диффузным увеличением поджелудочной железы
• Разрыв поджелудочной железы: расщелина линейной формы и низкой плотности, пересекающая поджелудочную железу, располагающаяся чаще всего перпендикулярно ее длинной оси:
о Значительно чаще, чем контузия, сопровождается повреждением ППЖ
о Во многих случаях сочетается с деформацией контура поджелудочной железы и снижением выраженности ее контрастного усиления выше места повреждения
о В некоторых случаях разрывы невозможно обнаружить при компьютерной томографии, поскольку они обусловливают появление лишь неявных изменений со стороны паренхимы железы:
- Повреждения поджелудочной железы в 20-40% случаев не обнаруживаются при первичной визуализации
- Выраженность изменений, едва различимых вначале, может возрастать при повторных исследованиях
о Чувствительность КТ при выявлении повреждений протока поджелудочной железы (ППЖ) около 40%; критерий: глубина разрыва больше 50% толщины поджелудочной железы
• Полный разрыв поджелудочной железы: расщелина линейной формы, разделяющая железу на две части:
о Чаще на уровне шейки
5. УЗИ признаки травмы поджелудочной железы:
• Чувствительность метода в обнаружении повреждений поджелудочной железы или осложнений крайне низкая
• Изменения напоминают таковые при панкреатите (увеличение поджелудочной железы, снижение ее эхогенности)
6. Рекомендации по визуализации:
• Повторная КТ через 24-48 часов позволяет обнаружить повреждения поджелудочной железы (ПЖ), которые не были замечены изначально

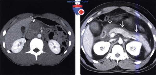
(Слева) На аксиальной КТ с контрастным усилением, выполненной спустя 24 часа после тупой травмы, определяется ишемический некроз тела поджелудочной рядом с линией разрыва, а также скопление жидкости в околопочечном пространстве.
(Справа) На аксиальной КТ с контрастным усилением у этого же пациента определяется едва заметный разрыв головки поджелудочной железы с наличием жидкости в панкреатическом «желобке» Обратите внимание на наличие признаков «шокового кишечника»: утолщение и повышенное контрастное усиление петель тонкой кишки.
в) Дифференциальная диагностика травмы поджелудочной железы:
1. Шоковая поджелудочная железа:
• Часть комплекса гипоперфузии, наблюдающегося при тяжелых травмах или выраженном снижении системного давления
• Патологическое интенсивное накопление контраста в поджелудочной железе, стенке кишечника, почках; уменьшение диаметра аорты и нижней полой вены; диффузная дилатация тонкой кишки с заполнением ее просвета жидкостью:
о Изменения самостоятельно исчезают после восстановления объема жидкости
• Поджелудочная железа выглядит отечной и увеличенной в размерах, не накапливает контраст, возле нее обнаруживается жидкость и инфильтрация жировой ткани; эти изменения могут напоминать посттравматический панкреатит или травматическое повреждение железы
• Дифференциальная диагностика с травматическими изменениями основывается на обнаружении других лучевых признаков комплекса гипоперфузии
2. Повреждение двенадцатиперстной кишки, сочетающееся с травмой поджелудочной железы:
• Повреждение двенадцатиперстной кишки, в т. ч. разрыв или гематома, может сочетаться с повреждением поджелудочной железы или имитировать таковое
• Гематома двенадцатиперстной кишки выглядит как очаговое утолщение стенки двенадцатиперстной кишки повышенной плотности
• Разрыв двенадцатиперстной кишки приводит к появлению газа и жидкости, а также, возможно, перорально принятого контраста, в переднем параренальном пространстве
3. Острый панкреатит:
• Отек поджелудочной железы, перипанкреатическая жидкость и инфильтрация тканей в сальниковой сумке и переднем параренальном пространстве:
о Возможно также появление участков некроза, не накапливающих контраст
• Нет данных о травме в анамнезе

(Слева) На аксиальной КТ с контрастным усилением у пациента, получившего травму, определяется гематома на ограниченном участке в области перехода головки в шейку (спереди), наличие которой обусловлено ушибом. Разрывов поджелудочной железы не определяется.
(Справа) На аксиальной КТ с контрастным усилением визуализируется жидкость, окружающая поджелудочную железу Несмотря на то, что признаков разрыва поджелудочной железы на КТ выявить не удалось, наличие жидкости возле нее, особенно в сочетании с повышением сывороточного уровня липазы и амилазы, является крайне подозрительным признаком повреждения поджелудочной железы.
1. Общая характеристика:
• Этиология:
о Проникающее повреждение или тупая травма:
- К проникающим повреждениям относятся огнестрельные (45% случаев) и колото-резаные (18% случаев) ранения
Поджелудочная железа повреждается в 20-30% случаев при проникающих ранениях живота
- Механизм повреждения при тупой травме:
Чаще всего такой тип повреждений обусловлен ДПТ, падением, сдавливанием прямым ударом в живот
У детей повреждения поджелудочной железы чаще всего возникают в результате тупой травмы в случаях повреждения рулем велосипеда, ДТП, насилия над ребенком
Повреждение обычно обусловлено сдавливанием живота спереди и сзади, реже с боков
Поджелудочная железа предрасположена к травматическим повреждениям, поскольку фиксирована спереди от позвоночного столба и часто сдавливается им
Повреждения поджелудочной железы сочетаются с разрывами других органов (левой доли печени, двенадцатиперстной кишки, центральной сосудистой ножки почки), обусловленными давлением по средней линии
• Сопутствующие патологические изменения:
о Повреждения ПЖ практически никогда не встречаются изолированно и обычно сочетаются с травмами других органов
о Часто повреждается двенадцатиперстная кишка (в 19-50% случаев) и печень (приблизительно в 20% случаев)
о Травма поджелудочной железы также часто сочетается с повреждениями кровеносных сосудов (аорты, нижней полой вены, левой почечной вены, правой почечной артерии)
2. Стадирование, градации и классификация травмы поджелудочной железы:
• Степень повреждения поджелудочной железы является независимым прогностическим критерием осложнений и смертности
• Классификация американской ассоциации хирургов травмы (хирургии повреждений) (AAST):
о Степень I: небольшой ушиб или поверхностный разрыв без повреждения ППЖ
о Степень II: значительный ушиб или глубокий разрыв без повреждения ППЖ
о Степень III: дистальный разрыв с повреждением ППЖ или полный разрыв ПЖ
о Степень IV: проксимальный разрыв (справа от верхней брыжеечной артерии) или полный разрыв с вовлечением ампулы либо желчного протока
о Степень V: обширное повреждение головки поджелудочной железы (состояние, при котором обычно возникает необходимость в операции Уиппла)
• Классификация, применимая для КТ:
о Степень А: поверхностный разрыв (меньше 50% толщины поджелудочной железы) или легкий панкреатит
о Степень В: глубокий разрыв (больше 50% толщины поджелудочной железы) либо полный отрыв хвоста
о Степень С: глубокий разрыв или полный отрыв головки поджелудочной железы
г) Клинические особенности:
1. Проявления травмы поджелудочной железы:
• Типичные признаки/симптомы:
о Наличие тупой травмы или проникающего ранения, другие множественные травматические повреждения
о Клинические признаки тупой травмы поджелудочной железы часто отсутствуют
о Симптомы часто обусловлены травматическим панкреатитом: боль в животе, рвота после приема пищи, вздутие живота
• Клинический профиль:
о Уровни амилазы и липазы в сыворотке крови повышен у 90% пациентов, но сразу после травмы могут быть в пределах нормальных значений:
- Этот показатель не является специфическим, так уровень липазы может повышаться вследствие травмы печени, двенадцатиперстной кишки, слюнных желез
- Устойчивое повышение уровня амилазы является более специфичным признаком (спустя три часа после травмы)
- Повышение уровня липазы в жидкости, полученной при перитонеальном лаваже, является значительно более чувствительным и специфичным признаком, чем повышение уровня амилазы в сыворотке крови
2. Демография:
• Пол:
о Чаще у мужчин
• Эпидемиология:
о Травмы поджелудочной железы встречаются нечасто и составляют 3-12% всех повреждений живота:
- Острый посттравматический панкреатит составляет только 0,4% случаев острого панкреатита с формированием псевдокист
- Частота возникновения намного выше при проникающих ранениях, чем при тупой травме
о Составляет 5% всех повреждений живота у детей, которые часто обусловлены насилием над ребенком; также является самой распространенной причиной возникновения псевдокист
3. Течение и прогноз:
• Летальноть при повреждениях поджелудочной железы составляет 9-34% (но только 5% летальных исходов обусловлены непосредственным повреждением железы):
о Большинство летальных исходов происходят в первые сорок восемь часов после травмы
• Тяжелые осложнения возникают у 50% пациентов:
о Панкреатический свищ (11%), псевдокиста поджелудочной железы (30%), панкреатит (11%), внутрибрюшной абсцесс (18%), сочетанные повреждения печени или кишечника (больше 80%), внутрибрюшное кровоизлияние, псевдоаневризма
• В редких случаях сообщается о некрозе подкожной жировой клетчатки и полиартрите
• Редким, но возможным осложнением травматического панкреатита является жировая эмболия сосудов мозга
4. Лечение:
• При проникающих ранениях-экстренная лапаротомия
• При тупой травме (степень I и II по ASST): консервативное лечение:
о Поверхностные повреждения без вовлечения ППЖ не требуют оперативного вмешательства
о Полное парентеральное питание, возможно, также введение соматостатина или октреотида
о Все чаще применяется эндоскопическое вмешательство со стентированием ППЖ
• При тупой травме (степень III, IV, V по AAST): оперативное вмешательство в пределах 24 часов:
о Степень III: дистальная панкреатэктомия и спленэктомия (у детей селезенка сохраняется), при «чистых» разрывах может сохраняться и поджелудочная железа
о Степень IV, V: может потребоваться резекция поджелудочной железы, тип операции зависит от сопутствующих повреждений двенадцатиперстной кишки и ампулы:
- Операция Уиппла, расширенная дистальная панкреатэктомия, центральная панкреатэктомия, дренирование
д) Диагностическая памятка. Следует учесть:
• При первичных исследованиях повреждения поджелудочной железы (ПЖ) могут не обнаруживаться, становясь более очевидными спустя 24-48 часов
• При обнаружении на КТ утолщения передней околопочечной фасции у пациента, получившего травму, необходима тщательная оценка поджелудочной железы
е) Список использованной литературы:
1. Dreizin D et al: Evaluating blunt pancreatic trauma at whole body CT: current practices and future directions. Emerg Radiol. 20(6):517-27, 2013
Атлантская классификация острого панкреатита

Атлантская классификация острого панкреатита (ОП) — это международная мультидисциплинарная классификация тяжести острого панкреатита. Она является результатом работы международной группы экспертов и была представлена в 1992 году на международном симпозиуме в Атланте, США, а в 2012 году была пересмотрена. Эта классификация опирается на патоморфологические особенности разных типов острого панкреатита с учетом длительности его течения.
Согласно Атлантской классификации, чтобы поставить диагноз ОП, требуется наличие двух из следующих трех признаков:
- характерная абдоминальная боль (постоянная сильная эпигастральная боль, часто с иррадиацией в спину, с острым началом);
- показатели сывороточной липазы (амилазы) по крайней мере в 3 раза выше верхней границы нормы;
- характерные признаки ОП при КТ с контрастным усилением либо, реже, магнитно-резонансной томографии (МРТ) или трансабдоминальном УЗИ.
То есть, если диагноз острого панкреатита установлен на основании клинической картины и повышения уровня активности ферментов, необязательно немедленно проводить лучевую диагностику для его подтверждения.
АК выделяет следующие морфологические типы ОП:
- интерстициальный отечный панкреатит
- некротизирующий панкреатит, который, в свою очередь, подразделяют на:
- панкреатический паренхиматозный некроз
- перипанкреатический некроз
- панкреатический паренхиматозный некроз в сочетании с перипанкреатическим некрозом (наиболее часто встречаемый)
Все типы некротизирующего панкреатита могут быть стерильными или инфицированными; главным признаком, указывающим на инфицированность при доступных методах визуализации является образование пузырьков газа.
Для определения тяжести процесса нужно учесть наличие местных и общих осложнений.
- острое перипанкреатическое скопление жидкости;
- панкреатическая псевдокиста;
- острое некротическое скопление и отграниченный некроз; а также
- нарушение эвакуации из желудка, тромбоз селезеночной и воротной вен и некроз ободочной кишки;
На аксиальной постконтрастной Т1ВИ можно увидеть дефекты наполнения в вовлеченных в процесс участках селезеночной вены (стрелки).
Определение как морфологического типа, так и местных осложнений во многом опирается на данные лучевых методов — и о них мы поговорим подробнее ниже.
Общими осложнениями называют явления полиорганной недостаточности, которые могут быть переходящими (т. е. разрешаться в течение 48 часов) либо хроническими. Обострение уже существовавших сопутствующих заболеваний, таких как ишемическая болезнь сердца (ИБС), хронические заболевания легких, развившиеся вследствие ОП, также определяется как системное осложнение. Для определения органной недостаточности должны быть оценены три системы органов: дыхательная, сердечно-сосудистая и почечная. С этой целью используется модифицированная шкала Marshall (Табл. 1). Если имеется 2 и более баллов по данной шкале — присутствует органная недостаточность.
Таблица 1 | Шкала Marshall
![]()
По степени тяжести острый панкреатит (ОП) делится на легкий, средней тяжести и тяжелый.
- легкий ОП — нет признаков органной недостаточности, локальных или системных осложнений.
- средней тяжести ОП — признаки органной недостаточности, которая разрешается в течение 48 часов (преходящая органная недостаточность) и/или локальных или системных осложнений без продолжающейся органной недостаточности.
- тяжелый ОП — продолжающаяся более 48 часов органная недостаточность. Развитие инфицированного некроза у пациентов с продолжающейся органной недостаточностью связано с крайне высокой смертностью.
Поговорим о том, что представляют собой разные морфологические типы острого панкреатита и как они выглядят при лучевом исследовании.
Сразу оговоримся, что методом выбора в данном случае является КТ с контрастированием; УЗИ — зачастую менее информативный метод. МРТ выполняется реже из-за дороговизны и меньшей доступности метода, но может быть назначена в случае наличия противопоказаний к КТ (детский возраст, беременность, аллергические реакции на ионные контрастные вещества).
Т2ВИ с подавлением сигнала от жира (А) и GRE out-of-phase Т1ВИ (В) и постконтрастные Т1ВИ (С) в портовенозную фазу контрастирования.
Интерстициальный отечный панкреатит
Является воспалением паренхимы ПЖ и перипанкреатических тканей, но без видимых признаков тканевого некроза.
При КТ проявляется диффузным (редко — локальным) увеличением ПЖ в размерах, с гомогенным среднеинтенсивным накоплением контрастного вещества. Перипанкреатическая жировая клетчатка может выглядеть слегка «замутненной» или демонстрировать легкую тяжистость.
УЗИ-признаками являются увеличение размеров и гипоэхогенность ткани железы.
На МР-томограммах в Т1 взвешенных изображениях хорошо заметны увеличение размеров железы и размытость ее внешних границ; Т2-взвешенные томограммы (особенно с подавлением сигнала от жира) очень чувствительны и демонстрируют усиление сигнала от отечной ткани. Накопление контраста также гомогенное, может быть слегка пониженным в сравнении с картиной неизмененной поджелудочной железы.
Магнитно-резонансная холангиопанкреатография (МРХПГ) является крайне ценным методом для диагностики билиарного панкреатита: желчные конкременты четко визуализируются в виде участков «выпадения» сигнала.
Некротизирующий панкреатит
Процесс некроза, который может вовлекать либо ткань ПЖ и перипанкретические ткани, либо только перипанкертическую ткань, либо, реже всего, только паренхиму ПЖ.
Основной симптом некроза при КТ и МРТ с внутривенным контрастированием — область нарушения перфузии, т. е. зона, не накапливающая контрастное вещество; в первые недели эта область может выглядеть гетерогенно накапливающей контрастный препарат, а по прошествии времени (как правило, около недели) от начала симптомов формируются отграниченные области, которые явно не демонстрируют контрастного усиления.
![]()
На аксиальных КТ-сканах в портовенозную фазу на уровне головки поджелудочной железы определяется участок нарушения перфузии, который не распространяется за пределы железы.
Лучше всего оценивать эти изменения на артериальной фазе контрастирования (наиболее ярко разница заметна в поздней артериальной и портовенозной фазах, когда неизмененная ткань ПЖ накапливает контрастный агент особенно интенсивно. Поздняя артериальная фаза (при КТ) наступает через 30–35 секунд после инъекционного или 15–20 секунд после болюсного введения контрастного препарата; должно определяться интенсивное контрастное усиление артерий и паренхимы органа; может также определяться незначительное количество контраста в портальной вене (из-за чего эта фаза также называется ранней портовенозной).
Обнаруженную по прошествии недели от начала симптомов область ткани ПЖ без контрастного усиления следует считать некрозом.
![]()
Рисунок 4 | Аксиальные спин-эхо Т2ВИ с подавлением сигнала от жира (А) и GRE Т1ВИ в портовенозную фазу контрастирования (В).
В проксимальной части хвоста железы определяется участок низкого Т2 сигнала, который демонстрирует снижение накопления контрастного препарата. Также можно увидеть тяжистость окружающей жировой клетчатки.
При развитии изолированного перипанкреатического некроза сама ткань ПЖ может выглядеть так же, как при интерстициальном панкреатите.
![]()
Рисунок 5 | Аксиальные (А, В) КТ-сканы в позднюю артериальную фазу контрастирования и их корональные (С, D) реконструкции.
Тело и хвост поджелудочной железы не накапливают контрастный препарат (полностью замещены некрозом). Гетерогенная область некроза и воспаления перипанкреатической жировой клетчатки. Стрелка указывает на тромбированную селезеночную вену (локальное осложнение процесса).
УЗИ:
При ОП одним из наиболее частых местных осложнений является образование жидкостных коллекторов; Атлантская классификация выделяет следующие их типы:
- жидкостное скопление, сопутствующее интерстициальному отечному панкреатиту
- острое перипанкреатическое скопление жидкости
- панкреатическая псевдокиста (формируется через 4 недели)
- острое некротическое скопление
- отграниченный некроз (формируется через 4 недели)
Острое перипанкреатическое скопление жидкости
Может быть обнаружено в первые 4 недели от начала клинической картины. Выглядит как скопление гомогенного жидкостного содержимого без внутреннего солидного компонента. Оно ограниченно фасциальными пространствами брюшины и не имеет собственных стенок. Чаще всего локализуются в области малого сальника и переднем параренальном пространстве, однако могут «мигрировать» в области малого таза и средостения.
![]()
Рисунок 6 | На аксиальных КТ-сканах в портовенозную фазу поджелудочная железа слегка увеличена и несколько гетерогенно накапливает контрастное вещество.
Вентральнее железы можно увидеть скопление гомогенной жидкости без видимых стенок. Содержимое скопления не накапливает контраст. Эти признаки характерны для острого перипанкреатического скопления жидкости.
Около половины ОПСЖ формируется в первые 48 часов от начала процесса и разрешаются самостоятельно в течении месяца. При отсутствии осложнений и клинических проявлений не требуют хирургического вмешательства.
При КТ жидкостное содержимое низкой плотности (HU), на МР-томограммах — гиперинтенсивного сигнала в Т2 и гипоинтесивного (особенно заметно на фоне интенсивного сигнала от окружающей жировой клетчатки) — в Т1 и градиент-эхо.
Панкреатическая псевдокиста
О псевдокисте можно говорить через 4 недели от начала процесса — она представляет собой сохраняющееся скопление жидкости без солидного компонента, ограниченное четко определяемой стенкой.
При КТ стенки псевдокисты демонстрируют накопление контраста, больше выраженное в паренхиматозную фазу (что отражает присутствие грануляционной ткани). При МРТ же контрастное усиление можно заметить уже на ранних постконтрастных сканах, а своего пика оно достигает по прошествии около 5 минут после введения, что характерно для фиброзной ткани. Содержимое кисты не накапливает контраст.
![]()
Определяется крупная овальной формы с четкими стенками псевдокиста, расположенная спереди тела и хвоста ПЖ, связанная с масс-эффектом на прилежащие отделы кишечника и ткань железы.
Иногда псевдокисты могут сообщаться с протоком поджелудочной железы, и обнаружение этой связи (при помощи МРХПГ) полезно для дальнейшего ведения пациентов.
Большинство псевдокист разрешаются спонтанно. Частым осложнением является инфицирование, которое может проявить себя наличием пузырьков газа. Однако отсутствие последних не исключает наличия осложнений; при клиническом подозрении стоит провести аспирационную биопсию содержимого.
Аксиальные Т2 спин-эхо Т2ВИ (А), аксиальные и корональные постконтрастные 3D-GRE T1ВИ (В, С) демонстрируют наличие крупного жидкостного образования с четко определяемыми стенками (последние накапливают контрастное вещество) в области малого сальника. Содержимое гомогенное (гиперинтенсивная область в вентральных отделах обусловлена артефактом).
Острое некротическое скопление
Обнаруживается в первые 4 недели; важно помнить, что острое некротическое скопление может сопровождать только некротизирующий панкреатит. Некроз может вовлекать как паренхиму железы, так и перипанкреатическую клетчатку. Характерным КТ-признаком является наличие солидных компонентов в жидкостном скоплении; эти компоненты могут быть разных размеров и количества, а сами скопления могут быть как единичными, так и множественными.
![]()
На аксиальном КТ-скане можно заметить скопление неоднородного жидкостного содержимого впереди от поджелудочной железы, большая часть паренхимы которой не накапливает контрастное вещество.
В первую неделю может быть сложно отличить некротическое скопление от перипанкреатического скопления жидкости — оба могут выглядеть как гомогенное жидкостное содержимое повышенной плотности; но по прошествии времени некротические включения становятся более заметными. МРТ и УЗИ также могут быть полезны для определения солидного содержимого.
![]()
Отграниченный некроз
Формируется через 4 недели от начала процесса; является скоплением жидкости с солидными включениями, которое обязательно связано с некротизирующим панкреатитом и имеет сформированные стенки. Внутреннее солидное содержимое не накапливает контрастное вещество, стенки образования — накапливают так же, как и стенки псевдокисты.
Аксиальные Т2 спин-эхо Т2ВИ (А), аксиальные и корональные постконтрастные 3D-GRE T1ВИ (В, С). В области перехода тела железы в хвост визуализируется область низкого в Т2 сигнала, которой на постконтрастных сканах соответствует зона нарушения перфузии. Также можно увидеть ограниченное стенкой скопление гетерогенного жидкостного содержимого.
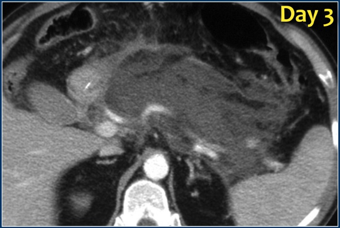
![]()
На аксиальном постконтрастном КТ-скане, сделанном в первый день начала клинической картины железа выглядит диффузно увеличенной, окружающая жировая клетчатка тяжиста. При исследовании, проведенном на третий день вся ткань железы практически не накапливает контрастное вещество (некротизирующий панкреатит). На семнадцатый день можно увидеть сформированный, ограниченный стенкой коллектор с неоднородным содержимым, внутри которого визуализируются пузырьки газа (стрелка) — признак инфицированного некроза.
Тактика радиолога
Как уже было сказано, визуализация является необходимой для подтверждения диагноза ОП только если клинические и лабораторные данные сомнительны.
Однако лучевая картина в первые сутки от начала клинических проявлений может сбивать с толку: зачастую области некроза еще не успели сформироваться. Поэтому рентгенологу позволительно быть «ленивым» и не рекомендовать проведение КТ с контрастированием только что поступившему пациенту, а отложить процедуру (помните о лучевой нагрузке и возможных реакциях гиперчувствительности на контрастное вещество!). Наиболее четкая картина перфузионных нарушений формируется по прошествии недели от начала клинических проявлений
А вот в случаях, когда подозревается билиарный панкреатит, не стоит откладывать проведение МРХПГ, т.к. более ранняя экстракция конкремента улучшает прогноз для пациента.
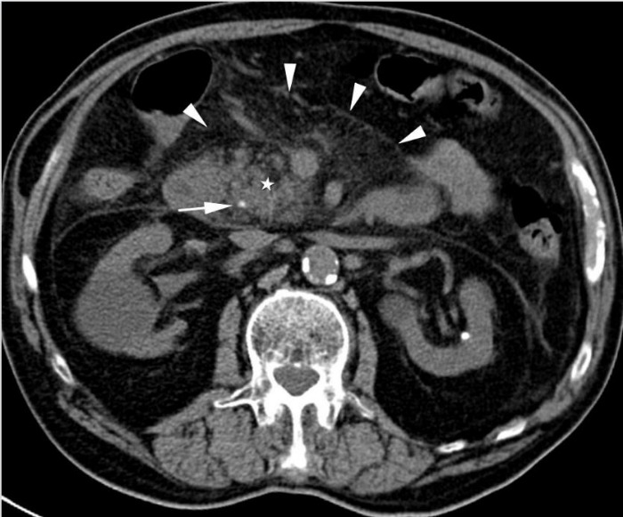
![]()
На нативном аксиальном КТ определяется плотный конкремент в общем желчном протоке на уровне головки ПЖ (звездочка). Тяжистость перипанкреатической жировой клетчатки говорит об интерстициальном панкреатите.
![]()
МРХПГ показала наличие конкремента в общем желчном протоке (стрелка, указывающая на дефект наполнения).
Читайте также:
- Спазм коронарных артерий. Нарушения гемостаза при развитии стенокардии.
- Разрывы сфинктера зрачка и иридодиализ. Диагностика, лечение
- Ранения грудной клетки. Травматические вывихи плечевого сустава
- Карциномы молочной железы. Диагностика карцином молочной железы
- Период выздоровления инфекционной болезни. Лихорадка при инфекционной болезни











