Карциномы молочной железы. Диагностика карцином молочной железы
Добавил пользователь Владимир З. Обновлено: 30.10.2025
По распространенности рак молочной железы (РМЖ) занимает первое место среди онкологических заболеваний. Он поражает ежегодно 1 млн. 600 тыс. женщин в мире и свыше 66 тыс. в Российской Федерации.
В ближайшие 20 лет во всех странах прогнозируется почти двукратное увеличение заболеваемости женщин раком груди, что объясняется увеличением продолжительности жизни и улучшением методов диагностики.
За последние годы, благодаря более раннему выявлению опухолей, смертность от рака груди у женщин снижается. В развитых странах, где применяется маммографический скрининг населения, этот показатель снизился на 30–50%.
Биологические подтипы РМЖ
Рак молочной железы – это не единообразное заболевание. При лечении клиницисты учитывают принадлежность опухоли к конкретному подтипу. Генетическое тестирование и иммуногистохимический метод, позволяют надежно определить биологические подтипы РМЖ. Эти подтипы сами по себе включают многие факторы риска и предсказывающие признаки, что позволяет выбрать наиболее эффективную терапию для больного.
Доказанное с помощью молекулярно-генетического анализа и иммуногистохимического исследования патогенетическое разнообразие РМЖ позволяет индивидуализировать лечение.
Увеличение выживаемости при раке молочной железы связано не только с широкомасштабным внедрением маммографического скрининга, но и адекватным использованием системных видов лечения.
Диагностика рака молочной железы
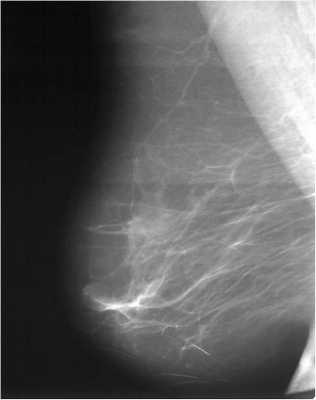
Для выявления злокачественных опухолей молочной железы существует определенный алгоритм диагностики, и его первичный элемент — маммографический скрининг. Чувствительность этого метода диагностики для опухолей от 2 мм до 5 мм составляет около 85%. Маммографическое исследование выполняют в двух проекциях.

 
 
Молодым женщинам с плотным строением молочной железы необходимо включение в программу наблюдения методов УЗИ и МРТ.
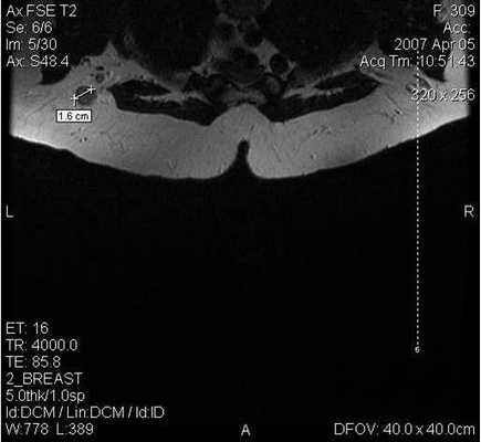
Магнитно-резонансная томография
Поскольку традиционный маммографический скрининг у женщин до 40 лет малоэффективен, для скрининга может понадобиться альтернативная методика — МРТ. Современная контрастная магнитно-резонансная томография — высокочувствительный метод диагностики заболеваний молочной железы.


МРТ-диагностика рака молочной железы
У женщин с мутациями BRCA1 или BRCA2 при проведении МРТ возможно диагностировать рак молочной железы на самых ранних стадиях.
Пункция под контролем УЗИ
При ряде показаний женщинам назначается биопсия молочной железы под контролем УЗИ. Это исследование позволяет прицельно брать биологический материал для гистологического исследования, определения уровня экспрессии стероидных гормонов и статуса Her-2.
Факторы риска РМЖ
Известно множество факторов, повышающих риск возникновения рака молочной железы. На некоторые из них повлиять невозможно:
- семейная история по РМЖ,
- раннее менархе (начало месячных),
- позднее наступление менопаузы.
В то же время существуют и модифицируемые факторы, такие как:
- избыточный вес в постменопаузе,
- использование заместительной гормонотерапии,
- потребление алкоголя,
- курение
Стратегические шаги, направленные на снижение риска возникновения РМЖ включают контроль веса и борьбу с ожирением, регулярную физическую активность, уменьшение потребления алкоголя.
Большинство факторов риска рака молочной железы связано с действием гормонов на ткань молочной железы (раннее менархе, позднее наступление менопаузы, ожирение, применение гормональных препаратов). Считается, что именно женские половые гормоны, стимулируют процессы клеточного роста и повышают риски повреждения ДНК, что может привести к развитию злокачественного новообразования.
Наследственные факторы риска рака молочной железы
Только 5–10% случаев рака молочной железы обусловлены унаследованными мутантными генами BRCA. Но при этом, среди носителей мутаций риск возникновения заболевания может достигать 80%.
Чем младше возраст выявления первичного заболевания рака груди, тем выше вероятность заболеть контралатеральным раком, т.е. противоположной молочной железы.
Семейная история с наличием заболеваний раком молочной железы у кровных родственников, даже без ассоциации с мутациями BRCA, также повышает риск возникновения РМЖ.
Образ жизни
Ожирение 
Различными исследованиями доказано существование связи между заболеваемостью первичным РМЖ в постменопаузе и ожирением. Есть подтверждение связи между избыточным весом и низкой выживаемостью при всевозможных видах РМЖ.
Алкоголь 
Алкоголь — также установленный фактор риска возникновения первичного РМЖ. Достоверность его отрицательного воздействия на пациентов, перенесших рак молочной железы, убедительна, так как он влияет на увеличение количества циркулирующих эстрогенов.
Симптомы рака молочной железы
Только врач может оценить значимость различных симптомов. Однако каждой женщине необходимо знать, при каких симптомах надо обращаться к маммологу:
- «Образование», уплотнения, узел, инфильтрат, опухоль, «шарик» — что-то подобные этому вы обнаружили. Это еще не повод решить, что у вас РМЖ, но повод показаться специалисту.
- Деформация контура молочной железы, ареолы или соска (втяжение кожи или наоборот выбухание)
- Втяжение соска; особенно, если появилось недавно
- Выделение крови из соска
- Отек кожи всей молочной железы или ее локального участка
- Появление раздражения, мокнутые «ранки», язвочки, корочки на соске или ареоле
- Изъязвления (длительные, без видимой причины) на коже груди
- Дискомфорт в подмышечной области и обнаружение лимфоузлов ( «шариков» ) в подмышечной области
- Изменение цвета кожи молочной железы — покраснение, повышение температуры кожи в этой области.
Все эти симптомы могут быть проявлениями различных заболеваний (их насчитывается несколько десятков), возможно, не злокачественной природы. Однако, это может решить только специалист по заболеваниям молочной железы.

Признаки и симптомы рака молочной железы
Стадии заболевания
0 стадия 
Это стадия, когда не выявлена первичная опухоль, или она не может быть оценена, а также в случае неинвазивного рака молочной железы (что означает опухоль не выходит за границы своего появления, так называемый рак in situ).
1 стадия 
Раковые клетки в этой стадии инвазируют или прорастают в соседние ткани. Опухолевый узел не более 2 см, лимфоузлы при этой стадии не поражены.
2 стадия 
В этой стадии опухолевый узел превышает 2см и может достигать до 5см. При этой стадии могут быть поражены лимфоузлы, но поражение лимфоузлов носит одиночный характер, они не спаяны друг с другом и находятся на той же стороне, что и опухоль. В случае поражения лимфоузлов размер опухоли может быть и менее 2см.
3 стадия 
Инвазивный рак, более 5 см или с явным и значительным поражением лимфатических узлов. При этом лимфоузлы могут быть спаяны между собой.
4 стадия 
На этой стадии опухоль прорастает в кожу груди, грудную стенку либо во внутренние грудные лимфатические узлы. Она может быть любых размеров.
К 4 стадии рака молочной железы относится воспалительный рак, он встречается до 10 % всех случаев. Симптомы воспалительной формы рака груди это покраснение кожных покровов, железа становится теплой, отмечается увеличение и/или уплотнение части либо всей молочной железы. Кожа приобретает вид апельсиновой корки. Эту форму рака надо дифференцировать с воспалением молочной железы – маститом.
Также при 4 стадии опухоль может распространяться за пределы грудной клетки, в подмышечную область, внутренние грудные лимфатические узлы. Возможны метастазы в надключичные лимфатические узлы, а также в легкие, печень, кости или головной мозг.
Как выглядит рак груди в разных стадиях:

 
 
 
 
Методы лечения рака молочной железы
Хирургическое лечение
Хирургическая операция — основной метод лечения при опухолях груди, и от качества его проведения во многом зависит исход заболевания. По данным некоторых штатов Индии, в которых по религиозным мотивам не проводится хирургическое лечение, показатели заболеваемости практически равняются показателям смертности. Обычно смертность от РМЖ в два — четыре раза уступает заболеваемости.



Однако, после хирургического лечения чаще всего следует лучевое. Местное лечение без послеоперационной лучевой терапии часто приводит к локально-регионарным рецидивам заболевания. Дело в том, что после завершения хирургической операции невозможно исключить существования скрытых отдаленных метастазов. Даже у больных с опухолями менее 1 см в диаметре в 10% случаев возможен рецидив заболевания.

Локализация отдаленных метастазов при РМЖ
Органосохраняющие операции
Сейчас во всем мире наблюдается тенденция к сокращению объема хирургического вмешательства без потери эффективности. Хирургическое и лучевое лечение РМЖ развивается и совершенствуется в направлении органосохранения.
Благодаря внедрению маммографического скрининга, резко возросло число больных с ранней стадией заболевания, когда лимфоузлы не поражены метастазами. В этом случае «классическое» удаление всех уровней лимфоузлов было бы избыточной калечащей процедурой. На помощь хирургам пришел метод биопсии сигнальных (сторожевых) лимфатических узлов.
Поскольку, метастазы в подмышечных лимфоузлах появляются последовательно от первого ко второму, затем к третьему уровню, то достаточно определить наличие метастазов именно в первом лимфоузле. Его назвали «сигнальным»: если сигнальный лимфатический узел не содержит метастазов, то другие лимфоузлы также не метастатические.
Благодаря этому органосохраняющему методу, тысячи пациенток избежали избыточной полной хирургической диссекции, удаление раковой опухоли не привело к удалению груди.
Последние результаты клинических испытаний, в том числе и при участии НИИ онкологии им. Н.Н. Петрова, подтвердили безопасность отказа от полной подмышечной диссекции. Биопсия сигнальных (сторожевых) лимфатических узлов постепенно вытесняет подмышечную диссекцию как стандартную процедуру стадирования РМЖ.
Концепция биопсии сигнальных лимфатических узлов приобретает все большее признание и введена для многих локализаций опухолей в стандарты хирургического лечения Европейской Организацией по Изучению и Лечению Рака (EORTC).
Химиотерапия
Химиотерапия, наряду с хирургическим вмешательством, является одним из основных методов терапии рака. Послеоперационная химиотерапия улучшает результаты хирургического лечения, как и прогноз заболевания.
Ранее решение о назначении химиотерапии основывалось на двух факторах:
- стадия заболевания
- состояние регионарных лимфоузлов.
Благодаря многочисленным исследованиям ученых изменяются представления о биологии рака молочной железы, и выбор режимов химиотерапии значительно расширяется. И сегодня химиотерапевтическое лечение назначают даже при отсутствии метастазов в лимфоузлах, если небольшие по размеру опухоли обладают агрессивными биологическими характеристиками.
Люминальный А рак 
При люминальном А раке избегают назначать проведение химиотерапии, особенно при негативных лимфоузлах, и применяют одну эндокринотерапию.
Люминальный В рак 
Люминальные В опухоли характеризуются высокой агрессивностью. В этом случае чаще всего будет назначена химиотерапия, а выбор лечения основывается на оценке риска развития рецидива.
HER2-позитивный рак молочной железы 
Лечение HER2-позитивного рака молочной железы основано на применении стандартных схем химиотерапии – трастузумаб и ХТ, основанная на антрациклинах и таксанах. Однако, только небольшой процент пациентов выигрывает от лечения, но все подвержены связанной с этим токсичностью.
Трижды негативный РМЖ 
Трижды негативный рак молочной железы обычно ассоциируется с плохим прогнозом. Из-за редкой встречаемости особых типов РМЖ нет достаточных данных о роли адъювантной химиотерапии.
Химиотерапия при РМЖ у очень молодых женщин 
Рак молочной железы в молодом возрасте обычно протекает агрессивно, часто встречаются гормонорезистеные и HER2-позитивные опухоли с иными свойствами, чем у более пожилых женщин. Для таких пациенток, моложе 35 лет, адъювантная полихимиотерапия почти всегда является необходимым методом лечения.
Химиотерапия пожилых пациенток 
У пожилых пациенток (старше 65 лет) при решении вопроса о назначении адъювантной химиотерапии обязательно учитываются общее состояние организма и наличие сопутствующих хронических заболеваний.
В идеале пожилые пациенты должны подвергаться гериатрической оценке для определения их «пригодности» к адъювантому лечению. Потенциальный эффект лечения должен быть сбалансирован с теми рисками для организма, которые несет химиотерапия. Врач определяет наиболее эффективный и при этом наиболее безопасный специфический режим, основываясь на подтипе опухоли и индивидуальных характеристиках пациента.
Гормонотерапия 
Молодые женщины с гормоноположительным раком молочной железы сохраняют риск рецидива заболевания на протяжении по крайней мере 15 лет после первичного заболевания. Онкологи должны определить, кто из пациентов нуждается в долгосрочной адъювантной терапии тамоксифеном или ингибиторами ароматазы.
Неоадъюватная (предоперационная) терапия 
Неоадъюватная терапия занимает ведущую роль в лечении женщин с неоперабельным раком молочной железы, а также имеет важное значение при операбельных опухолях, когда выполняются органосохраняющие операции.


Эффект неоадъювантного лечения ДО (слева) и ПОСЛЕ (справа)
Лучевая терапия
Лучевое лечение после проведенного хирургического вмешательства играет важную роль в терапии рака молочной железы и прогнозе заболевания. В НМИЦ онкологии им. Н.Н. Петрова было проведено исследование роли лучевой терапии после органосохраняющих операций (секторальная резекция с аксиллярной лимфоаденэктомией) у пациенток с минимальным РМЖ.
Анализ десятилетней безрецидивной выживаемости доказал более высокую эффективность лечения в группе больных, где применялась послеоперационная лучевая терапия.
Стратегии профилактики РМЖ
- Химиопрофилактика
- Профилактические хирургические вмешательства
- Коррекция образа жизни
Использование лекарственных препаратов для снижения риска заболевания называется химиопрофилактикой. На сегодняшний день одобренными препаратами для профилактики рака молочной железы являются тамоксифен и ралоксифен.
Тамоксифен может использоваться как пременопаузальными, так и постменопаузальными женщинами. Прием тамоксифена приводит к снижению риска РМЖ на 38% на более чем 10 летний период. Наиболее распространенными нежелательными явлениями на фоне приема препарата являются приливы.
В настоящее время клинические исследования изучают роль другого класса препаратов – ингибиторов ароматазы для оценки эффектов снижения риска РМЖ, которые сегодня используются только для лечения РМЖ. Предварительные результаты оказываются многообещающими. Ингибиторы ароматазы действуют только у женщин с нефункционирующими яичниками.
Профилактические хирургические операции по удалению молочных желез проводятся только в одном случае – если женщина является носителем мутаций в генах BRCA1 и BRCA2, известных как «синдром Анджелины Джоли». Мировой практикой доказано, что при удалении ткани обеих молочных желез риски РМЖ снижаются более чем на 90%. Такие операции выполняются в клиниках США и Израиля. В Европе подход к этому вопросу более консервативный.
В НМИЦ онкологии им. Н.Н. Петрова при проведении хирургического лечения женщинам с мутациями BRCA1 предлагается профилактическое удаление и реконструкция молочной железы.
Активный образ жизни идет на пользу и должен поддерживаться среди женщин, перенесших рак молочной железы. К этому единому мнению пришли в своих исследованиях эксперты таких мировых сообществ , как American Cancer Society (Американское онкологическое общество) и American College of Sports Medicine (Американская коллегия спортивной медицины). В дополнение к постоянной физической активности, эксперты рекомендуют женщинам удерживать постоянный вес и ограничивать потребление алкоголя, это также позволит снизить риск развития рака молочной железы.
Карцинома молочной железы
Рак молочной железы – самая распространенная онкологическая патология у женщин, а в общей структуре злокачественных заболеваний – занимает второе место после рака легких. Более того, заболевание обладает еще и высоким уровнем летальности. Мужчины хоть и болеют на порядок реже, но рак протекает у них более агрессивно, к тому же они долгое время откладывают обращение к специалисту, увеличивая риски неблагоприятного исхода.
Причинами рака груди выступают длительные воспалительные заболевания половых органов, вредные привычки, тяжелая сопутствующая патология, злокачественные новообразования половых органов, стресс, гормональный дисбаланс и др. Весомый вклад в развитие рака молочной железы делает еще тенденция женщин в отказе от грудного вскармливания и рождения детей в принципе. 

Проблема еще состоит в том, что большинство людей очень халатно относятся к своему здоровью. Клинические признаки очень часто появляются только на второй стадии рака, а начальные проходят бессимптомно. Но пациенты увиливают от профилактических осмотров, не делают самоосмотров, откладывают визиты к врачу и обращаются уже на поздних стадиях.
Диагностика рака включает смотр, сбор анамнестических данных и дополнительные методы исследования.
В зависимости от локализации новообразования рак молочной железы условно разделяют на:
- Протоковая карцинома молочной железы – самая распространенная, быстро метастазирующая опухоль, чаще имеющая неблагоприятный прогноз;
- Дольковая карцинома молочной железы – встречается реже, но менее агрессивна, отлично реагирует на гормональную терапию. Нередки случаи поражения обеих желез;
- Воспалительный рак – хоть и очень редкий, но имеет агрессивное течение, клинически – имитирует воспалительное заболевание железы. Требует неотложного лечения химиотерапевтическими препаратами.
Юсуповская больница – круглосуточное медицинское учреждение высокого уровня, специалисты которого занимаются не только диагностикой и лечением онкологических заболеваний, но и рассказывают, что такое карцинома молочной железы, какие ее симптомы, как правильно проводить самоосмотр желез. Врачи считают, что мало только лечить, важно – заниматься профилактикой онкологических заболеваний.
Симптомы карциномы молочной железы
Ранние стадии онкологического процесса молочной железы характеризуются скудной клинической картиной, или вовсе проходят бессимптомно.
В процессе развития появляются симптомы общей раковой интоксикации:
- Чрезмерная общая слабость;
- Усталость;
- Сонливость;
- Плохой аппетит;
- Быстрое снижение массы тела и т.д.
Специфические симптомы карциномы груди:
- Безболезненное плотное новообразование в молочной железе;
- Сморщивание кожи железы над ним;
- Трещины, язвы, втяжение соска;
- Выделение из соска разного количества, часто геморрагического характера;
- Увеличение лимфоузлов и т.п.
Наличие даже одной из вышеперечисленных жалоб – причина, чтобы обратится к специалисту. Чем раньше установлен диагноз – тем благоприятней прогноз.
Диагностика и лечение карциномы молочной железы
Диагностика включает сбор жалоб, анамнеза, осмотр, пальпацию, лабораторные и инструментальные исследования.
После консультации назначается маммография, ультразвуковое исследование железы, а для окончательной установки диагноза карциномы молочной железы проводится биопсия с гистологическим исследованием биоптата. Для исключения или обнаружения метастазов карциномы груди проводят магниторезонансную томографию, компьютерную томографию, позитронно-эмиссионную компьютерную томографию и др.
Лечение может быть радикальным на ранних стадиях, симптоматическим и паллиативным. Методы лечения при карциноме молочной железы следующие:
- Оперативное лечение;
- Лучевая терапия;
- Химиотерапевтическое лечение;
- Таргетная терапия;
- Гормональная терапия;
- Хирургические методы с использованием гамма-ножа, кибер-ножа и аппарата «Да Винчи»;
- Экспериментальные методы и др.
Лечение карциномы молочной железы чаще всего направлено еще и на профилактику рецидивов. Терапия зависит от стадии, гистологического строения, степени дифференцировки клеток, гормоночувствительности, распространенности и др.
Таргетная терапия карциномы молочной железы – один из медикаментозных методов, который направленный на блокировку роста клеток новообразования, путем вмешательства таргетных клеток в канцерогенез.
Гормональная и химиотерапия широко используется в лечении карцином. Подбор препаратов выполняется в зависимости от чувствительности, которая определяется гистологически.
Прогноз при карциноме молочной железы
Прогноз для жизни при карциноме молочной железы зависит от многих факторов. Ранняя диагностика – один из главных признаков благоприятного прогноза.
Гистологическая структура карциномы груди так же имеет важное значение. Так, например, суррогатный молекулярно-биологический подтип карциномы молочной железы чаще имеет неблагоприятный прогноз.
Отказ от лечения очень быстро приводит к терминальной стадии рака молочной железы с многочисленными метастазами.
В Юсуповской больнице диагностика и лечение карциномы молочной железы проходит в комфортных условиях за очень короткое время. Специалисты высокого уровня со всей должной ответственностью подбирают индивидуальный подход и помогаю каждому пациенту. Персонал обучен правильному уходу и обучает родственников и пациентов для наилучшего результата.
Опухоли молочной железы: симптомы, диагностика и лечение в Юсуповской больнице
За прошедшие 25 лет заболеваемость опухолями молочной железы очень выросла. При этом наиболее высокие показатели наблюдаются в развитых странах старой Европы и США. Такая тенденция вызвана сокращением рождаемости (женщины стали меньше и позже рожать), изменениями в питании, снижением физической активности и, конечно, изменением общей экологической обстановки.

array(6) < ["ID"]=>string(5) "29615" ["WIDTH"]=> int(620) ["HEIGHT"]=> int(700) ["SRC"]=> string(72) "/upload/sprint.editor/ad7/img-1656006405-2837-486-protesi-mammarie-1.jpg" ["ORIGIN_SRC"]=> string(72) "/upload/sprint.editor/ad7/img-1656006405-2837-486-protesi-mammarie-1.jpg" ["DESCRIPTION"]=> string(0) "" >
В большинстве случаев опухоли молочной железы диагностируются в возрасте старше 45 лет, в предклимактерическом периоде. Около 80% диагностируемых опухолей молочной железы доброкачественные. Сегодня различные онкогенные заболевания молочной железы можно эффективно обнаруживать на ранней стадии, а значит, успешно бороться с заболеванием. Так, по данным института рака США, при своевременном обнаружении рак молочной железы удается вылечить у 98,1% женщин.
В Юсуповской больнице можно пройти профилактический осмотр у врача маммолога, онколога, гинеколога. В диагностическом центре больницы пациентки могут пройти исследования состояния молочной железы с помощью инновационного диагностического оборудования. После обследования врач подбирает программу лечения, наиболее подходящие препараты для данного вида заболевания. В случае необходимости проводится хирургическая операция, с последующим наблюдением и лечением. В Юсуповской больнице проводится также терапия доброкачественных и злокачественных заболеваний.
Наличие любой опухоли в груди, доброкачественной или злокачественной, отображает патологические процессы, протекающие в организме женщины на фоне ослабленного иммунитета, травматизации либо инфекционного процесса. Доброкачественные образования не распространяются за пределы железы и не представляют угрозу для жизни человека. К ним относятся следующие вид:
- Кисты молочной железы. Они представляют собой небольшие полости в ткани молочной железы, заполненные секретом, вырабатываемым железой. Изредка кисты могут быть болезненными, вызывать отек железы. Они могут вызывать выделение из соска прозрачной или мутноватой жидкости;
- Фиброаденома молочной железы. Это образование, состоящее из соединительной и железистой тканей молочной железы, с четким отграничением от окружающей ткани железы. При больших размерах фиброаденома может формировать заметные уплотнения, способные двигаться под кожей. По сравнению со злокачественной опухолью фиброаденома имеет более гладкую поверхность и шаровидную форму. Она обычно безболезненна, может быть единичной или множественной;
- Гинекомастия – увеличение грудных желез у мужчин, обусловленное разрастанием ткани грудной железы. Происходит при нарушении гормональной регуляции роста железистой ткани;
- Мастопатии – группа гормонозависимых заболеваний молочной железы, характеризующихся нарушением структуры тканей, периодической болью;
- Папиллома протока железы – доброкачественное образование, исходящее из клеток протоков. Проявляется, как правило, только умеренными кровянистыми выделениями из соска.
Для злокачественной опухоли молочной железы характерен неуправляемый рост клеток. Это новообразование нуждается в немедленном лечении. Стадия заболевания (от I до IV) зависит от размера новообразования и распространенности опухолевого процесса.
К злокачественным опухолям молочной железы относится рак и саркома молочной железы:
- Рак молочной железы – это аденокарцинома, то есть опухоль, исходящая из железистой ткани. Рак может быть протоковый, когда опухоль исходит из протоков молочных желез, и дольковый, т.е. из железистой ткани. Эти формы могут быть как инфильтративными (опухоль проникает за пределы базальной мембраны и может распространяться по организму – метастазировать) и неинфильтративными (опухоль не выходит за пределы базальной мембраны и не метастазирует);
- Саркома молочной железы – злокачественная опухоль, исходящая из соединительной ткани (связки, фасции, сосуды, нервы). Встречается значительно реже, чем рак молочной железы, и протекает более агрессивно.

array(6) < ["ID"]=>string(5) "29616" ["WIDTH"]=> int(1200) ["HEIGHT"]=> int(800) ["SRC"]=> string(80) "/upload/sprint.editor/5a2/img-1656006481-4025-139-nintchdbpict000346340716-1.jpg" ["ORIGIN_SRC"]=> string(80) "/upload/sprint.editor/5a2/img-1656006481-4025-139-nintchdbpict000346340716-1.jpg" ["DESCRIPTION"]=> string(0) "" >
Факторы риска
В настоящие дни рак молочной железы является достаточно распространенной патологией среди женщин. Злокачественное новообразование возникает в тканях молочной железы и по мере развития может прорастать в соседние ткани и пускать метастазы в отдалённые участки организма. Рак груди занимает второе место после рака кожи среди распространенности онкологических заболеваний в мире.
Основные факторы риска развития рака молочной железы:
- вредные привычки: курение, злоупотребление алкоголем;
- раннее менархе (до 12 лет);
- поздняя менопауза (после 55 лет);
- поздние первые роды (после 35 лет);
- аборты;
- малый срок кормления грудью;
- травмы груди;
- чрезмерное воздействие УФ-лучей (длительное пребывание на солнце);
- неблагоприятная экологическая обстановка.
- отягощенный семейный анамнез (онкозаболевания у кровных родственников);
- наличие рака женских половых органов;
- ожирение;
- сахарный диабет;
- непрерывное употребление экзогенных гормонов с целью контрацепции или лечения — более 10 лет.
Благодаря непрерывному совершенствованию методов диагностики и лечения, данное заболевание поддаётся лечению с сохранением органа. В Юсуповской больнице выполняется диагностика и лечение доброкачественных и злокачественных заболеваний молочной железы. Лечение проводится с помощью хирургической операции, химиотерапии, лучевой терапии, гормональной терапии. В зависимости от типа опухоли врач назначает лечение, ведет наблюдение за пациенткой, оценивает эффективность препаратов и своевременно заменяет их в случае необходимости.
Стадия рака молочной железы определяется исходя из характеристик конкретной болезни. Определение стадии помогает выбрать лучшие варианты лечения.
Обычно стадия рака молочной железы обозначается цифрой по шкале от 0 до IV, при этом стадия 0 описывает неинвазивный рак (рак in situ), а стадия IV — инвазивную болезнь, распространившуюся в другие части тела.
Что учитывают врачи-онкологи в Юсуповской больнице при определении стадии:
- размер опухоли (обозначается буквой Т);
- статус регионарных лимфатических узлов (буква N);
- наличие отдаленных метастазов (буква М);
- степень дифференциации клеток опухоли (буква G);
- рецепторный статус опухоли (наличие рецепторов к эстрогену и прогестерону);
- индекс пролиферации раковых опухолей Кі67;
- наличие или отсутствие гиперэкспрессии ERBB2 (HER2/neu).
Патогистологическая классификация рака молочной железы: степень дифференциации клеток опухоли «G» указывает на отличия клеток рака молочной железы от нормальных клеток и скорость, с которой увеличивается количество опухолевых клеток.
- G1 — высокодифференцированная опухоль. Клетки рака напоминают здоровые клетки, имеют низкую скорость увеличения количества и низкий потенциал к образованию метастазов;
- G2 — умереннодифференцированная опухоль. Опухолевые клетки имеют признаки нормальных клеток, среднюю скорость размножения и средний потенциал к образованию метастазов;
- G3 — низкодифференцированная опухоль. Клетки рака почти не имеют признаков нормальных клеток, обладают высокой скоростью размножения и высокий потенциал к образованию метастазов. Такие болезни имеют наиболее агрессивное и опасное течение.
Рак молочной железы на ранних стадиях (1-й и 2-й) протекает бессимптомно и не причиняет боли. Могут иметь место очень болезненные месячные, боли в молочных железах при мастопатии. Обычно рак молочной железы обнаруживают до явного появления непосредственных симптомов опухоли — либо на маммографии, либо женщина чувствует появление уплотнения в груди. Прочие симптомы поздних (III—IV) стадий:
- изменение размера, формы или внешнего вида молочной железы;
- изменения кожи, шелушение, втяжение определенного участка;
- втянутый сосок;
- покраснение молочной железы или ее части;
- кожа, напоминающая апельсиновую корку.
Метастазы рака молочной железы могут поражать любой орган и ткань организма, но наиболее их излюбленной локализацией являются кости, легкие, печень, плевра. Менее часто встречаются метастазы в головной мозг, кожу, яичники, контрлатеральные лимфоузлы. В первую очередь рак груди дает метастазы в подмышечные и надключичные лимфоузлы, в таком случае речь идет о раке груди 3 стадии. На более поздних стадиях раку груди свойственны метастазы в легких, метастазы в печени и метастазы в костной ткани. В таких случаях речь идет о раке груди 4 стадии.
Метастазы способны развиваться даже на ранней стадии заболевания. В данном случае, рак груди без метастазов возможен до тех пор, пока иммунная система достаточно сильная и способна предотвращать развитие злокачественных клеток за пределами молочных желез. Выделяют агрессивную форму онкологии, при которой очень быстро развиваются метастазы.
Рак молочной железы может быть особо опасен тем, что его клетки способны на протяжении десяти лет после удаления опухоли сохраняться в организме больного в «дремлющем» состоянии. В силу воздействия различных внешних и внутренних факторов наличие таких клеток способно приводить к рецидивам заболевания.
При появлении метастазов в трубчатых костях у пациентов появляется болевой синдром. На ранних стадиях боли мучают больного в ночное время, затем становятся регулярными и более сильными.
Когда метастазы поражают позвоночник, на фоне болевых ощущений наблюдается также потеря чувствительности в конечностях. На запущенных стадиях заболевания характерны нарушения в работе пищеварительного тракта и органах мочеполовой системы. В частности, у пациента возникают непроизвольные акты дефекации и мочеиспускания.
При поражении метастазами головного мозга самым ярким симптомом являются головные боли. Также может возникать слабость, как общая, так и мышечная. Нередко возможны нарушения зрения и психологические расстройства.
При появлении метастазов в печени появляется чувство тяжести в животе, вздутие и боли. По мере разрастания злокачественных клеток больной теряет массу тела и у него развивается желтуха.
При метастазах в легких у больного появляется непроходящий кашель. Со временем наблюдается одышка.
На запущенных стадиях заболевания с большим количеством метастазов современные методы медицины позволяют продлить жизнь пациентки до нескольких десятков лет. Поэтому при возникновении любого чувства дискомфорта, крайне важно вовремя обращаться за помощью к врачу.
Современная диагностика
Регулярное посещение врача-маммолога — специалиста в области заболеваний молочных желез (не реже одного раза в 1—2 года). Всем женщинам старше 20 лет рекомендуется ежемесячно проводить самостоятельное обследование молочной железы. Женщинам старше 40—50 лет необходимо каждые 1—2 года проводить маммографические обследования.
В клиники онкологии Юсуповской больницы выстроена эффективная система диагностики доброкачественных и злокачественных образований груди. Диагностика рака молочной железы проводится с использованием новейших методов, которые базируются на системном подходе согласно международным стандартам. Основываясь на результатах комплексной диагностики, врачи определяют, насколько процесс распространен, и выбирают оптимальную тактику лечения для каждой пациентки. Стандартные методы исследования, следующие:
- рентгенологический (маммография);
- ультразвуковой (УЗИ груди).
Специальные методы исследования
Для постановки точного диагноза выполняется биопсия: малоинвазивный метод – участок ткани, вызывающий подозрение, берется до начала лечения для проведения гистологического исследования. В клинике онкологии Юсуповской больницы выполняют все виды биопсий, в том числе высокотехнологичную стереотаксическую биопсию.
Установка позволяет безболезненно и очень точно взять на анализ, а иногда и полностью удалить новообразования размером до 1,5 см в диаметре (вакуумная аспирация доброкачественных новообразований без хирургического вмешательства в амбулаторных условиях). В клинике онкологии Юсуповской больницы широко применяются:
- аспирационная биопсия – получение материала для цитологического исследования;
- трукат-биопсия – получение материала для гистологического исследования;
- стереотактическая биопсия – получение материала для гистологического исследования;
- дуктография – исследование протока молочной железы;
- МРТ;
- КТ;
- ПЭТ-КТ.
Для обнаружения и наблюдения течения рака груди, контроля эффективности лечения, выявления рецидива болезни используется онкомаркер СА15-3.
Самостоятельное обследование молочных желез
С целью первичной профилактики врачи-онкологи рекомендуют проводить самостоятельное обследование молочных желез. Процедура выполняется в конце каждого менструального цикла. Для правильного выполнения метода нужно следовать определенной схеме:
Встаньте перед зеркалом, раздевшись до пояса
Поднимите руки и заведите их за голову и внимательно осмотрите грудь
В положении стоя ощупайте молочные железы сложенными указательным, средним и безымянным пальцами. Двигайтесь по часовой стрелки, начиная от верхней наружной части груди. Двумя пальцами сожмите сосок и проверьте на наличие выделений
Повторите пальпацию в положении лежа
Осмотр следует проводить раз в месяц после окончания менструального цикла.

array(6) < ["ID"]=>string(5) "29619" ["WIDTH"]=> int(1024) ["HEIGHT"]=> int(405) ["SRC"]=> string(86) "/upload/sprint.editor/6af/img-1656006857-3866-217-f6d3edb2e54b73f233314873803b649b.jpg" ["ORIGIN_SRC"]=> string(86) "/upload/sprint.editor/6af/img-1656006857-3866-217-f6d3edb2e54b73f233314873803b649b.jpg" ["DESCRIPTION"]=> string(0) "" >
Иммуногистохимическое исследование
В современной клинической онкологии перед началом лечения рака молочной железы обязательно выполняется иммуногистохимическое исследование. Это необходимо для того, чтобы определить не только оптимальную тактику, но и сами методы терапии онкозаболевания.
В зависимости от результатов исследования, рак молочной железы делится на четыре типа:
- Люминальний А. Это опухоли с положительными рецепторами к гормонам (эстроген и/или прогестерон), отрицательным рецептором HER2, с низким уровнем белка Ki67. Опухоли являются высокодифференцированными (G1), как правило, медленно растут, болезнь имеет наилучший прогноз;
- Люминальний B. Положительные рецепторы к гормонам (эстроген и/или прогестерон). HER2-положительные или HER2-отрицательные с высоким уровнем Ki67. Опухоли растут быстрее, чем рак люминального подтипа А, их прогноз несколько хуже;
- Тройной негативный рак молочной железы. Имеет негативные рецепторы к гормонам (эстроген и прогестерон) и к HER2. Этот тип рака чаще встречается у женщин с мутациями генов BRCA1 и среди молодых женщин;
- HER2 положительный. Опухоли имеют негативные рецепторы к гормонам (эстроген и прогестерон) и положительные рецепторы к HER2. Опухоли растут быстрее люминальных подтипов, могут иметь худший прогноз, однако хорошо лечатся с помощью таргетной терапии, направленной на белок HER2.
Лечение в Юсуповской больнице
В Юсуповской больнице проводят лечение доброкачественных и злокачественных новообразований. Любой вид лечения – лучевая терапия, химиотерапия, гормональная терапия, операция – в клинике онкологии Юсуповской больницы проводится только после междисциплинарного врачебного консилиума, на котором разрабатывается индивидуальный план лечения для каждого пациента.
Цель лечения всегда одинакова – полное удаление разросшихся опухолевых клеток. Перед лечением проводится полный объем исследований, которые позволяют оценить состояние опухоли, затем выбрать наиболее подходящий вид операции. В некоторых случаях перед операцией следует химиотерапия, тогда опухоль уменьшается, и это дает возможность полноценно провести органосохраняющую операцию.
Хирургическое лечение предполагает два подхода: от них зависит напрямую способ реконструкции груди.
Варианты операций в клинике онкологии Юсуповской больницы:
- лампэктомия – частичное удаление молочной железы;
- мастэктомия – полное удаление молочной железы.
- у пациентки маленькая грудь;
- опухоль проросла в кожу или грудную стенку;
- опухоль очень большого размера;
- опухоль распространена по всей груди.
Остались вопросы? Мы вам перезвоним
Мы с радостью проконсультируем вас и ответим на все интересующие вопросы.
Химиотерапия может назначаться как после операции, так и до нее. Цель предоперационной химиотерапии – уменьшить первичную опухоль, чтобы появилась возможность удаления образования с сохранением груди (лампэктомия). Химиотерапевтическое лечение заключается в назначении пациентам цитостатических препаратов, тормозящих развитие опухоли и разрушающих опухолевые клетки. При подготовке к хирургическому вмешательству цитостатические препараты способствуют уменьшению опухоли, что позволяет сделать операцию менее травматичной и максимально сохранить здоровые ткани молочной железы. Послеоперационная химиотерапия помогает остановить метастазирование и предотвратить рецидив заболевания.
Как адъювантную терапию в клинике онкологии Юсуповской больницы применяют современные медикаменты, направленные на подавление деления опухолевых клеток. Одним из таких препаратов является герцептин. Важным преимуществом герцептина является то, что препарат воздействует только на клетки опухоли, поэтому у женщин отмечается меньшее количество побочных эффектов. Прием герцептина при раке молочной железы может назначаться женщине, как в качестве самостоятельного метода лечения, так и дополнительного при проведении химиотерапии.
Лучевая терапия рака молочной железы заключается, главным образом, в подавлении опухоли или зон возможного метастазирования, с помощью линейных ускорителей. Убивая опухолевые клетки или снижая их жизнеспособность, лучевая терапия создает более благоприятные условия для оперативного вмешательства, значительно повышает его надежность и радикализм. Лучевую терапию применяют для лечения рака груди в трех случаях:
Карцинома молочных желез – это синоним словосочетания «рак груди», злокачественная опухоль, которая развивается из клеток молочной железы. Ежегодно заболевание диагностируется у порядка 65 тысяч российских пациенток, средний возраст больных чуть старше 61 года. Существуют разные типы карцином молочных желез, обычно они проявляются в виде уплотнений в груди, изменения ее размеров, внешнего вида кожи. В ранней диагностике заболевания помогает маммография. Если рак груди удалось выявить на ранних стадиях, то шансы полностью удалить опухоль и добиться ремиссии весьма высоки.
Чем инвазивная карцинома отличается от неинвазивной?
Скорость роста опухолевой ткани очень индивидуальна, но в среднем до объёма в кубический сантиметр опухоль может расти почти десятилетие. На протяжении своей жизни раковая опухоль постоянно изменяется, стремясь максимально защититься от лечебных «посягательств».
Злокачественные клетки синтезируют молекулы, облегчающие распространение метастазов, и приобретают новые способности по внедрению в окружающие ткани. Этот процесс называется «инвазия». Инвазия начинается с момента прорыва базальной мембраны, разделяющей эпителий от подлежащих тканей.
По степени внедрения в окружающие ткани карцинома молочной железы может быть:
- Неинвазивной — это рак in situ, то есть на одном месте, когда клетки располагаются в поверхностном слое слизистой оболочки, но не внедряются вглубь.
- Микроинвазивной — внедрившейся в глубину не более 1 мм, и это максимально, но уже случилось главное — пробита базальная мембрана, когда клеточная колония превысит 1 мм — это 1 стадия рака.
- Инвазивной — раковые комплексы разрушили базальную мембрану слизистой и расползаются в окружающие ткани.

Карцинома in situ это рак или предрак?
Инвазивная карцинома способна разрушать и метастазировать, карцинома in situ тоже растёт, но инвазия в другие ткани на этом этапе жизни невозможна. Неизвестно, способен ли рак «на месте» стать «настоящим» инвазивным, но такая возможность не исключается, как и одновременное или последовательное развитие в молочной железе неинвазивной и инвазивной опухоли.
- Рак in situ может появиться в протоке или дольке железы, отсюда его разделение на внутрипротоковый и дольковый варианты, каждый имеет отличительные особенности и лечатся они неодинаково.
- Рак in situ не обязательно микроскопический, иногда встречаются узлы по несколько сантиметров в диаметре, а некоторые опухоли достаточно агрессивны. Недавно открылась и способность неинвазивной карциномы к формированию метастазов, правда, чрезвычайно редко — в 1–3% случаев.
Внутрипротоковая карцинома in situ
Внутрипротоковый или дуктальный рак in situ в специальной литературе обозначается аббревиатурой DCIS. В каждом третьем случае он развивается сразу в нескольких очагах — мультицентрично. Такая форма не опасна для жизни, хоть выделяют высоко агрессивный вид — низкодифференцированная in situ через несколько лет существования без лечения вполне может обрести способности к инвазии в окружающие ткани.
Как правило, DCIS проявляется симптомами — кровянистыми выделениями из соска, есть специальный термин — «кровоточащая молочная железа», отражающий её основной, но не обязательный клинический признак. Могут беспокоить боли и припухлость. При размере больше сантиметра DCIS можно прощупать. При маммографии патологию визуализируют по отложениям кальция и уплотнению тканей.
Лечение серьёзное, как при «настоящем» инвазивном раке, то есть обязательна операция. Возможна и небольшая резекция, и удаление сектора — лампэктомия, и полное удаление — мастэктомия. Во время хирургического вмешательства лимфатические узлы должны обследоваться на наличие раковых эмболов. Главная неприятность — 30% вероятность рецидива, поэтому небольшая операция дополняется лучевой терапией.

При наличии позитивных рецепторов половых гормонов возможна профилактическая гормональная терапия, поскольку вероятность развития в будущем рака у таких женщин выше. Гормональная терапия, как предполагают, снижает эту возможность.
Дольковая карцинома in situ
Дольковая или лобулярная карцинома in situ (LCIS) возникает уже не в протоке, а в железистой дольке, из которых состоит молочная железа. У половины женщин атипические новообразования одновременно возникают в нескольких дольках, в каждом третьем случае — в обеих железах. Это заболевание молодых женщин, большинство пациенток 45-летние.
LCIS чаще никак не проявляется, не прощупывается и плохо видна на маммограмме, потому что в её сосудах не откладывается кальций, что характерно для злокачественных процессов. До внедрения в практику МРТ молочных желез, дольковый in situ находили почти случайно, когда делали биопсию железы по поводу фиброзно-кистозной мастопатии или других заболеваний груди.
Лечение LCIS — операция секторальной резекции, но чаще прибегают к удалению всей груди, при очагах in situ с обеих сторон выполняют двухстороннюю подкожную мастэктомию. Вероятность последующего развития инвазивного рака у женщины на порядок выше, примечательно, что у 73% возникают не дольковые, а протоковые раки и не обязательно в той же груди.
Раковые комплексы находят в лимфоузлах у 1–2% женщин, поэтому во время операции анализируется состояние «сигнального» лимфоузла, если он поражён — удаляют весь коллектор. При чувствительности к гормонам не исключена гормональная терапия, преимущественно для возможности развития инвазивного рака.

Инфильтрирующая карцинома
Подавляющее большинство злокачественных процессов в молочной железе относится к инвазивному раку, то есть обладающему способностями к распространению вглубь тканей, их называют инфильтрирующим раком. Выделяются почти два десятка клеточных вариантов: железистый, медуллярный, тубулярный, аденокистозный и прочие. Нередко невозможно разобрать клеточную структуру, что обозначают как недифференцированная карцинома, она же неспецифическая.
Морфологическая классификация громоздка, из практических соображений все гистологические типы разделяют по чувствительности к лечению, а конкретно — реагирующие на гормональные препараты или не чувствительные к ним. Так медуллярный тип устойчив к гормональным препаратам, а криброзный наоборот. Для этого проводят ИГХ-исследования.
В клинике часто используется классификация с выделением узловой формы и воспалительной или маститоподобной, она же инфильтративно-отёчная. Злокачественный процесс возникает либо в дольке, либо в протоке, в части случаев при микроскопии это удаётся установить, тогда в гистологическом анализе указывается внутрипротоковая / дуктальная или лобулярная / дольковая инфильтрирующая карцинома.
Большее значение для прогноза и выбора лечения имеет степень дифференциации раковых клеток, то есть их агрессивность.
Зачем нужно знать дифференцировку карциномы?
Известно, чем больше раковые клетки отличаются по своему строению от нормальной клетки молочной железы, тем агрессивнее их поведение.
Очень похожие на нормальную ткань злокачественные новообразования называют высокодифференцированными и обозначают их литерой «G1», соответственно низкодифференцированный тип — «G3», а промежуточный — умеренно дифференцированный «G2». Совсем утратившую структурную и функциональную связь с нормальной тканью обозначают как недифференцированная опухоль и литерой «G4», а невозможность определения — «Gх».
Каждый клиницист знает, что протоковая инвазивная карцинома G3 или инфильтрирующая дольковая карцинома G4 обещают быструю прогрессию процесса при высокой чувствительности к лекарствам и скором формировании устойчивости к ним, поэтому целесообразна активная химиотерапия. Пациентки с G1 или G2 имеют лучший прогноз после операции и вероятна хорошая реакция на гормональное воздействие.

Совершенствование лечебных подходов и новые лекарственные препараты изменяют запросы к морфологическому исследованию, так в последнее десятилетие выбор лечебной тактики ориентирован на биологический подтип рака, учитывающий дифференцировку, ген изначальной устойчивости к лекарствам HER2, гормональные рецепторы и другие клеточные прогностические маркёры, выделяя: А и В люминальные, нелюминальный и базальноподобный типы. Для оптимального подбора химиотерапии опухоль подвергают анализу на 21 ген.
Не исключено, что через некоторое время будут найдены дополнительные и более важные маркеры ответа на лечение, сегодня главное, чтобы специалисты онкологической клиники были в курсе инноваций и имели весь спектр лекарственных средств для проведения оптимальной и индивидуальной терапии рака молочной железы.
Внутрипротоковый рак молочной железы
Внутрипротоковый рак молочной железы до 2012 года и сегодня — разные морфологические процессы. Действующая гистологическая классификация считает внутрипротоковую карциному, с уточняющим термином «папиллярная», не одним из вариантов инвазивного рака, и даже вне «рака» по классическим морфологическим признакам, а отдельной группой сосочковых поражений, куда также входит доброкачественная внутрипротоковая папиллома.
На подавляющем большинстве интернет-сайтов описание заболевания представлено в виде «сборной солянки» из нескольких злокачественных процессов, развивающихся в млечных протоках молочной железы, и ни в коей мере не соответствует реальности онкологической науки.
Что такое внутрипротоковый рак молочной железы
Внутрипротоковый рак молочной железы, исходя из названия, должен возникать в эпителии млечного протока, что давно ставится под сомнение патоморфологами — специалистами, изучающими клеточное строение тканей. Из последней гистологической классификации 2012 года даже изъяли сам термин «протоковый рак», констатируя возникновение злокачественного роста в структурной единице молочной железы, включающей и дольки, и протоки.

Ткань молочной железы состоит из крошечных альвеол у начала млечного протока, который называют «концевым» из-за самого маленького среди протоков железы размера. Это микроскопическое сообщество и есть терминальная дольково-протоковая структурная единица (ТДПЕ), из нескольких единиц формируется одна долька железы, а протоки долек образуют терминальный млечный проток. Почти полсотни таких долек составляют долю железы с ещё более крупным выводным протоком, всего в молочной железе полтора-два десятка долей.
Схематично строение молочной железы можно представить так: вся железа 15-20 долей, каждая доля — 50 долек, одна долька — несколько ТДПЕ. Злокачественное перерождение начинается не в отдельной дольке и не в одном протоке, а в ТДПЕ.
Протоковая карцинома in situ и внутрипротоковый папиллярный рак – разные процессы, первый образуется из выстилающего проток эпителия ТДПЕ.

Внутрипротоковая папиллярная карцинома безусловно злокачественное новообразование, но появившееся не в эпителии, то есть не рак по классическим канонам. Она тоже появляется в ТДПЕ, но на сосочках крошечного протока, причём только в верхнем их слое, и по своей сути неинвазивное новообразование, то есть не проникающее вглубь. Небольшое и занимающее только просвет терминального протока образование не исключает ярких клинических проявлений заболевания и даже наличия в груди определяемого на ощупь узелка.
Российская онкологическая статистика не дает ответа о частоте заболевания карциномой, по разным данным доля этого клеточного варианта составляет от 0.2% до 4% от всех злокачественных новообразований молочной железы.

Симптомы внутрипротокового рака молочной железы
Карцинома внутри протока практически не поражает женщин репродуктивного возраста, больше половины женщин, страдающих этим злокачественным процессом молочной железы, заболели в постменопаузальном периоде, то есть после 50 лет жизни.
Клинические проявления в молочной железе многообразны, это может быть четко отграниченный и смещаемый относительно тканей молочной железы узел, похожий на доброкачественную фиброаденому. Реже возможно развитие опухоли, по периферии плотно сливающейся с окружающими тканями и неподвижной относительно железы.
В большинстве случаев размеры внутрипротоковой карциномы небольшие и редко достигают 2 сантиметров. Опухоль может сочетаться с кистами, иногда кистозное образование превышает размеры злокачественного узла. При расположении папиллярного образования в крупном протоке зоны ареолы не исключается асимметрия соска, его одностороннее уплощение с фиксацией.
Метастазы в лимфоузлах подмышки тоже возможны, но редко — не более 2%.
Пациентку может беспокоить эпизодическая тянущая боль, но этот симптом более характерен для доброкачественной мастопатии. Особенность злокачественных процессов молочной железы как раз в редкости болевого синдрома даже при образовании кожной язвы. Боли появляются при сдавлении подмышечными лимфоузлами сосудисто-нервного пучка или значительном увеличении молочной железы при раковой инфильтрации, когда нет никаких сомнений в характере процесса. Для внутрипротоковой карциномы боль нетипична, а вот выделения из соска возможны. Цвет отделяемого из соска от прозрачного до темно-коричневого, количество не более пятнышка на белье. Именно этот симптом приводит женщину на обследование, что позволяет выявить болезнь на ранней стадии развития.
В любом случае на глазок диагноз поставить не получается, необходимо морфологическое исследование кусочка ткани.
Формы болезни
До 2012 года все внутрипротоковые карциномы по преобладающим в их ткани клеткам разделяли на несколько видов: солидную, криброзную, стелющуюся и кистозную. По внешнему виду опухолевого узла, а тем более по особенностям течения болезни, ввиду малочисленности наблюдений находили мизерные отличия.
Новая классификация все подвиды теперь считает «равноправными» злокачественными видами сосочковых поражений молочной железы, уделяя каждой карциноме отдельную графу среди папиллярных: внутрипротоковой, инкапсулированной и солидной. И сегодня без микроскопии невозможно различить их по клиническим проявлениям в молочной железе, считается, что прогноз инкапсулированной и солидной более благоприятный.
Для практической онкологии более важны молекулярно-биологические характеристики и степень агрессивности злокачественного процесса молочной железы. Рассматриваемое заболевание чаще имеет высокую дифференцировку и нередко положительно по гормональным рецепторам.
Сравнении карциномы с наиболее часто встречающимся инфильтративным раком не в пользу последнего, папиллярные процессы текут более благоприятно, что не отменяет их сугубо злокачественную природу и возможность рецидивирования после операции, что обусловлено распространением фокусов злокачественных клеток по системе мелких протоков. Но по степени агрессивности папиллярные формы на две трети высокой дифференцировки, то есть низкой злокачественности.
Способы диагностики
Диагностика патологических образований внутри протоков представляет определённые сложности, особенно при небольшом размере узелка. При УЗИ молочной железы и маммографии нет специфических отличий карцином от доброкачественных папиллом внутри протоков, которые встречаются в каждом десятом случае новообразований молочной железы — много чаще злокачественных папиллярных карцином. У молодых женщин репродуктивного возраста чаще встречается именно доброкачественная папиллома, у пожилых более вероятен рак молочной железы.
УЗИ молочной железы способно визуализировать узловое образование, но связь его с протоком не всегда очевидна, тем не менее, при плотном строении молочной железы разрешающая способность сонографии выше маммографического исследования.

При стандартной маммографии карцинома в протоке не всегда обнаруживается, зачастую о её существовании догадываются по расширению протока и его деформации. О злокачественной природе свидетельствует скопление глыбок кальция в извитых сосудах опухоли, но обызвествление присутствует не всегда.
Световое сканирование или диафаноскопия молочной железы в инфракрасном свете не имеет самостоятельного значения, исследование безвредно для женщины, но для диагностики недостаточно только констатации факта патологических изменений в молочной железе. Такой же малой информативностью обладает и термография, показывающая любую патологию железы с расплывчатой локализацией. Обе методики дают красочные картинки действительности, но не отвечают на вопрос «что и где».
Оптимальна дуктография — рентгеновское исследование с нагнетанием контрастного вещества в млечные протоки, позволяющее определить точную локализацию и размер, но не морфологию новообразования.
МРТ молочной железы способна выявить, локализовать и описать образование и даже предположить его клеточный состав опять-таки по отложению кальцинатов в сосудистой сети.
Самый простой анализ — исследование выделений из соска под микроскопом, в цитологическом материале могут обнаружить раковые клетки, но это предположительный диагноз, ясность внесёт только биопсия новообразования. При наличии протоковой кисты выполняется пункция, всё содержимое полости обязательно отправляется на цитологию для поиска клеток рака.
При раке молочной железе для выработки оптимальной стратегии лечения необходимо выяснить клеточный состав новообразования до операции, что при внутрипротоковой опухоли удается не в 100% случаев. Отсутствие точного диагноза перед операцией не отменяет хирургического вмешательства, морфологическая диагностика выполняется во время операции, в самом её начале, что исключает удаление большего объема тканей, чем требует клиническая ситуация.
Возможные осложнения
Самое пугающее для пациентки — выделение секрета из млечных протоков, особенно темного цвета, что обозначается термином «кровоточащая молочная железа». Секрет может инфицироваться и вызвать воспаление с отеком и гиперемией железы, образованием гнойного очага.
При длительно существующей или быстро растущей папиллярной опухоли возможна блокада оттока секрета далее по протоку с образованием кистозной полости. Инфицирование содержимого кисты приводит к абсцессу со всеми вытекающими хирургическими последствиями. Вскрытие такой гнойной полости способствует распространению раковых клеток по кровеносному и лимфатическому руслам, что впоследствии приведет к метастазам. На фоне гнойного расплавления очень легко не заметить ракового очага, отправив «выздоровевшую» пациентку домой, чтобы она через несколько месяцев попала к онкологу с уже распространенной карциномой.
Папиллярная карцинома вначале своего развития не склонна к инвазии вглубь тканей, но может развиваться в других отделах этого протока и в других протоках, поэтому недостаточное по объему хирургическое лечение осложняется ранним рецидивом, который по своей сути является вовремя не диагностированным мультицентричным процессом.
Лечение
Папиллярный внутрипротоковый рак течет благоприятно, реже инфильтративного дает рецидивы в зоне операции и позже появляются метастазы. Небольшой багаж клинических наблюдений этой формы заболевания не позволили выработать отдельной программы лечения, поэтому выбор тактики основывается на возможности радикального вмешательства и принадлежности опухоли к конкретному молекулярно-биологическому типу: люминальному А и В, HER2 положительному или тройному негативному.
Операбельный рак не гарантирует отсутствия метастазов на протяжении всей жизни, но обещает гораздо большую её продолжительность. Операции выполняются разные, но при данной форме предпочтение отдается частичной резекции молочной железы — органосохраняющему вмешательству. При объемной опухоли молочной железы выполняется мастэктомия, причём эстетически лучше подкожная с одномоментной или отсроченной на несколько месяцев пластикой дефекта молочной железы протезом.

От метастазов в регионарном лимфоколлекторе, в том числе микроскопических и выявленных при биопсии сторожевого лимфоузла, избавляются хирургическим способом — удаляя всю клетчатку подмышечной, подлопаточной и подключичной областей вместе с располагающимися там лимфатическими узлами.
После частичной резекции молочной железы обязательна послеоперационная лучевая терапия, для её начала дается не более 12 недель, за которые необходимо провести профилактическую химиотерапию, если таковая необходима по биологическим характеристикам клеток. Лучевая и химиотерапия проводятся последовательно, параллельное их применение усиливает токсические реакции. После мастэктомии облучение требуется только при метастазах в лимфоузлах.
При сомнительно операбельном раке молочной железы до операции предпочтительно применение химиотерапии. Низкая степень злокачественности обуславливает невысокую эффективность предоперационного лекарственного воздействия. Клинические исследования показали и меньшую чувствительность первичной опухоли к комбинации химиотерапии и облучения на дооперационном этапе. Выбор тактики основывается на желании пациентки, молекулярном типе новообразования и технических возможностях хирургического вмешательства, благо что распространенные папиллярные карциномы имеют очень небольшую долю — едва ли 10%.
Высокая дифференцировка клеток оставляет желать лучших результатов химиотерапевтического лечения генерализованного и изначально распространенного процесса в молочной железе. Папиллярная структура часто сопровождается позитивным статусом рецепторов половых гормонов и позволяет надеяться на хороший эффект эндокринной противоопухолевой терапии как при профилактическом лечении, так и при воздействии на метастазы.
Таргетные препараты показаны при наличии рецептора НЕR2 в клетках опухоли. Сегодня таргетный препарат разрешен и для профилактического использования, в том числе вместе с гормональной терапией, каждые 3 недели на протяжении года проводятся вливание трастузумаба. При исчерпании эффекта трастузумаба рекомендуется переход на лапатиниб.
В сравнении с самым частым инфильтративным протоковым раком результаты лекарственного лечения папиллярной карциномы скромнее, но агрессивность течения процессов тоже несравнима и не в пользу инфильтративного.
Прогноз
Выживаемость при данном варианте карциномы высокая, вне разбивки по стадиям пятилетку живут более 90% женщин, десятилетие переживает 65%, и это больше, чем популяция проживших 5 лет после лечения протокового инфильтративного рака.
Выявление процесса на ранней стадии, до появления клинических признаков, позволяет сохранить больше жизней, при рассматриваемой форме злокачественного процесса именно ранняя манифестация в виде выделения секрета помогает обнаружению крайне малой опухоли.
Выбор адекватного лечения папиллярного рака молочной железы представляет сложную проблему, не нашедшую окончательного решения, в каждом случае противоопухолевая стратегия следует по индивидуальной программе.
Для выбора оптимальной тактики лечения необходима сильная диагностическая команда, вооруженная самой современной аппаратурой и лабораторным комплексом. Реализация программы лечения малоуспешна при отсутствии клинического опыта и широких лекарственных возможностей. В нашей клинике мы сталкиваемся с самыми разными редкими видами опухолей, и наш богатый опыт не может не отражаться на положительных результатах лечения.
Читайте также:
- Реконструкция дефекта вращательной манжеты плечевого сустава трансплантатом
- Объем резекции желудка. Стадия опухоли желудка и объем резекции.
- Самооценка при алкоголизме. Причина алкогольной анозогнозии
- Лучевые изменения брюшной полости при туберкулезе
- Лимфатические узлы при раке. Морфология лимфатических узлов при опухоли.
