Лучевая диагностика веноокклюзионной болезни печени
Добавил пользователь Евгений Кузнецов Обновлено: 01.01.2026
Веноокклюзионная болезнь возникает в результате обструкции венул печени и в большинстве случаев является осложнением операций по трансплантации костного мозга.
Кроме того, в группе риска по развитию этой болезни находятся пациенты со злокачественными новообразованиями (например, с нейробластомами), получающие химиотерапию.
Причиной возникновения веноокклюзионной болезни является повреждение синусоидов печени, которое быстро приводит к так называемому синдрому синусоидальной обструкции и развитию васкулита печеночных венул и вен.
Клиническими проявлениями веноокклюзионной болезни (которые возникают в течение 21 и более дней после трансплантации костного мозга) являются: повышение массы тела, желтуха, гепатомегалия, боли в животе, асцит .
Диагноз заболевания основан на оценке клинической симптоматики, результатах лабораторных тестов (тромбоцитопения, увеличение значений ингибитора активатора плазминогена, снижение активности антитромбина III, повышение показателей билирубина, гамма-глутамилтранспептидазы и щелочной фосфатазы ). Основным визуализирующим методом диагностики веноокклюзионной болезни является допплеровская ультрасонография печени.
Cпецифическое лечение веноокклюзионной болезни не разработано.
Классификация веноокклюзионной болезни
Классификация веноокклюзионной болезни по тяжести течения:
- Веноокклюзионная болезнь легкой степени тяжести. Нет осложнений. Лечение не требуется. Разрешается самостоятельно.
- Веноокклюзионная болезнь средней степени тяжести. Имеются осложнения. Требуется лечение (например, обезболивающими препаратами, диуретиками).
- Веноокклюзионная болезнь тяжелой степени. Симптомы заболевания возникают в течение 100 дней после трансплантации костного мозга и не поддаются обратному развитию. Диагностируется на основании наличия признаков полиорганных нарушений: дыхательной недостаточности, почечной дисфункции (превышение вдвое уровней креатинина, необходимость в проведении гемодиализа), энцефалопатии. Высокие показатели смертности.
Эпидемиология веноокклюзионной болезни
Веноокклюзионная болезнь в большинстве случаев возникает у пациентов (детей и взрослых), перенесших трансплантацию костного мозга. У этих категорий больных диагностируется с частотой 5-60%.
У детей показатели смертности от веноокклюзионной болезни в течение 100 дней после трансплантации костного мозга составляют 38,5%; у пациентов без этого осложнения - 9%.
Что провоцирует / Причины Веноокклюзионной болезни печени:
Веноокклюзионная болезнь развивается в результате обструкции венул печени и диагностируется у 5-60% больных, перенесших трансплантацию костного мозга.
Риск возникновения заболевания увеличивается при ионизирующем облучении, на фоне терапии актиномицином D.
Причиной возникновения веноокклюзионной болезни является токсическое воздействие препаратов, применяющихся на этапе, который предшествует трансплантации костного мозга. Так, например, назначение - лекарственных средств, содержащих бусульфан (Милеран), мелфалан (Алкеран), повышает вероятность развития веноокклюзионной болезни.
Веноокклюзионная болезнь может возникать при избыточном потреблении травяных чаев, в которых содержатся алкалоиды листьев кроталярии и крестовника.
Биоптат левой доли печени пациентки с веноокклюзионной болезнью, вызванной избыточным потреблением травяных чаев, в которых содержатся алкалоиды листьев кроталярии и крестовника. Визуализируется обструкция центрилобулярной вены, которая окружена расширенными синусоидами.
Патогенез (что происходит?) во время Веноокклюзионной болезни печени:
При воздействии перечисленных неблагоприятных факторов повреждаются эндотелиальные клетки синусоидов печени, и развивается васкулит печеночных венул и вен.
Гистологическими признаками такого повреждения являются: расширение субэндотелиальной зоны, инфильтрация эритроцитов, отложения фибрина, повышение экспрессии фактора Виллебрандта клетками эндотелия, некроз гепатоцитов, окружающих венулы. В дальнейшем происходит уплотнение экстрацеллюлярного матрикса, увеличивается число звездчатых клеток, развивается фиброз синусоидов. Эти патологические процессы приводят к облитерации венул, гепатоцеллюлярному некрозу, распространению фиброза.
В просвете синусоидальных пространств накапливаются разрушенные эндотелиальные, звездчатые и купферовские клетки. В результате в печени нарушается венозный кровоток (как в системе портальной вены, так и в системе печеночных вен); возникает застой крови и формируется центрилобулярный некроз. При этом в сыворотке крови повышаются значения билирубина, гамма-глутамилтранспептидазы и щелочной фосфатазы.
Основная роль в патогенезе заболевания отводится поражению синусоидов. Поэтому на аутопсии 25% пациентов с тяжелым течением веноокклюзионной болезни не обнаруживаются признаки облитерации печеночных вен. В связи с этим веноокклюзионная болезнь называется также синдромом синусоидальной обструкции.
Симптомы Веноокклюзионной болезни печени:
В большинстве случаев веноокклюзионная болезнь развивается у детей и взрослых в период 21 день после трансплантации костного мозга. Однако может быть и более поздняя манифестация заболевания: через 509 дней (в 29% случаев).
Клиническими проявлениями веноокклюзионной болезни являются: повышение массы тела, желтуха, гепатомегалия, боль в правом верхнем квадранте живота, асцит.
Осложнения веноокклюзионной болезни
Осложнениями веноокклюзионной болезни могут быть:
- Печеночная недостаточность.
- Почечная недостаточность (пациентам, перенесшим трансплантацию костного мозга, часто назначаются нефротоксические препараты: ванкомицин, амфотерицин В, циклоспорин (Сандиммун-Неорал).
- Дыхательная недостаточность.
- Неврологические нарушения.
- Инфекции.
- Коагулопатия потребления (высокий риск развитий тромбозов и кровотечений).
Диагностика Веноокклюзионной болезни печени:
Подозрение на веноокклюзионную болезнь может возникнуть, если у пациента, перенесшего трансплантацию костного мозга, в течение 21 и более дней после операции появляются желтуха, гепатомегалия, асцит, а в сыворотке крови повышаются содержание билирубина, активность гамма-глутамилтранспептидазы и щелочной фосфатазы.
Цели диагностики
Установить наличие веноокклюзионной болезни. Диагностировать осложнения веноокклюзионной болезни.
Сбор анамнеза
При изучении анамнеза пациента важно обращать внимание на факторы, предрасполагающие к развитию веноокклюзионной болезни.
К таким факторам относятся:
- Хронические заболевания печени (фиброз печени, гепатиты).
- Трансплантация костного мозга.
- Веноокклюзионная болезнь развивается в течение 21 дня (у 55% пациентов) после трансплантации костного мозга, хотя в 29% случаев может быть и более поздняя манифестация заболевания - через 509 дней.
- Прием некоторых лекарственных препаратов; прием лекарственных препаратов, содержащих бисульфан (Милеран) или мелфолан (Алкеран).
- Остеопороз.
- Синдромы активации макрофагов (гемофагоцитарный лимфогистиоцитоз, синдром Griscelli).
Клиническими проявлениями веноокклюзионной болезни являются: повышение массы тела, желтуха, гепатомегалия (отмечается болезненность печени при пальпации), боль в правом верхнем квадранте живота, асцит .
Лабораторные методы исследования
Лабораторные методы исследования позволяют подтвердить диагноз веноокклюзионной болезни и установить степень нарушения функции печени и других органов. Общий анализ крови.
Ранним признаком веноокклюзионной болезни является тромбоцитопения, резистентная к трансфузиям крови. Коагулограмма. При веноокклюзионной болезни повышается уровень ингибитора активатора плазминогена, снижаются показатели антитромбина III, протеинов S и С .
Увеличение значений ингибитора активатора плазминогена и снижение уровней антитромбина III могут служить маркерами веноокклюзионной болезни.
Важно также определять протромбиновый индекс (отношение стандартного протромбинового времени к протромбиновому времени у обследуемого больного, выраженное и процентах) и протромбиновое время (сек), которое отражает время свертывания плазмы после добавления тромбопластин-кальциевой смеси. Референтные значения протромбинового индекса: 78 - 142 %. В норме протромбиновое время составляет - 15-20 сек.
Биохимический анализ крови. При веноокклюзионной болезни повышаются уровни щелочной фосфатазы, гамма-глутамилтранспептидазы (ГГТП), билирубина - более 2 мг/дл (34 мкмоль/л).
Повышенные показатели аланинаминотрансферазы и аспартатаминотрансферазы свидетельствуют о повреждении ткани печени. Но эти изменения появляются в поздние сроки заболевания и свидетельствуют о прогрессировании патологического процесса, так как первичная причина веноокклюзионной болезни - синусоидальная обструкция.
Кроме того, необходимо определять содержание С-реактивного белка, который повышается при хронических инфекциях (в частности при сепсисе).
Оценка содержания альбумина, креатинина, мочевины необходима для диагностики синдрома повышенной проницаемости капилляров.
Инструментальные методы исследования
В ходе инструментальных методов исследования важно определить размеры печени, состояние желчного пузыря, диаметр портальной и печеночных вен, нарушения кровотока в системе портальной и печеночных вен. УЗИ.
Ультразвуковое исследование позволяет выявить нарушения кровотока в системе портальной и печеночных вен, признаки асцита и гепатомегалию.
Ультразвуковое исследование органов брюшной полости 40-летней женщины с болезнью Ходжкина, у которой признаки веноокклюзионной болезни манифестировали на 11 день после трансплантации костного мозга.
Визуализируются: асцит, истончение стенки желчного пузыря (указано стрелкой на снимке справа) и плевральный выпот справа.
Допплеровская ультрасонография. При веноокклюзионной болезни в ходе этого исследования можно выявить признаки венозного застоя, а также нарушения кровотока. Кроме того, можно оценить состояние желчного пузыря (истончение стенок), визуализировать камни в нем; обнаружить лимфоаденопатию.
Допплеровское ультразвуковое исследование органов брюшной полости 40-летней женщины с болезнью Ходжкина, у которой признаки веноокклюзионной болезни манифестировали на 11 день после трансплантации костного мозга.
Выявляется нарушение кровотока в области портальной вены.
Биопсия печени. При веноокклюзионной болезни в биоптатах печени выявляются: расширение субэндотелиальной зоны, инфильтрация эритроцитов, отложение фибрина, повышение экспрессии фактора Виллебрандта клетками эндотелия, некроз гепатоцитов, окружающих венулы.
На более поздней стадии заболевания происходит уплотнение экстрацеллюлярного матрикса, увеличивается число звездчатых клеток, развивается фиброз синусоидов; формируется центрилобулярный гепатоцеллюлярный некроз.
Биоптат левой доли печени пациентки с веноокклюзионной болезнью, вызванной избыточным потреблением травяных чаев, в которых содержатся алкалоиды листьев кроталярии и крестовника. Визуализируется некроз гепатоцитов в центрилобулярной зоне (слева). Тяжи соединительной ткани окружают расширенные синусоиды. Справа - неизмененная портальная вена.
Биоптат правой доли печени пациентки с веноокклюзионной болезнью, вызванной избыточным потреблением травяных чаев, в которых содержатся алкалоиды листьев кроталярии и крестовника. Визуализируются признаки фиброза и расширенные синусоиды.
Центрилобулярный некроз. В некротизированных гепатоцитах, окружающих центральную вену, визуализируется коричневый пигмент.
Дифференциальный диагноз веноокклюзионной болезни
У пациентов с веноокклюзионной болезнью дифференциальный диагноз проводится со следующими заболеваниями и патологическими состояниями:
Холангит. Токсическое воздействие лекарственных препаратов (например, циклоспорина (Сандиммун-Неорал), флуконазола (Дифлюкан, Микомакс, Флюкостат ), интраконазола, триметоприма (Бактрим форте, Бисептол ). Реакция "трансплантат против хозяина". Грибковые инфекции. Вирусные гепатиты (в том числе вызванные цитомегаловирусной инфекцией). Холестаз, вызванный парентеральным питанием. Опухолевая инфильтрация печени. Колит, вызванный нейтропенией. Хилезный асцит. Панкреатический асцит. Правожелудочковая сердечная недостаточность. Констриктивный перикардит. Синдром повышенной проницаемости капилляров (быстро купируется введением стероидов).
Алгоритм диагностики веноокклюзионной болезни
Трудности диагностики веноокклюзионной болезни заключаются в отсутствии надежных лабораторных и визуализирующих методов исследований, которые с максимальной точностью указывали бы на это заболевание.
В то же самое время своевременно установленный диагноз и раннее начало лечения повышают выживаемость пациентов и снижают показатели смертности.
Подозрение на развитие веноокклюзионной болезни может возникнуть, если у пациента, перенесшего трансплантацию костного мозга, в течение 21 и более дней после операции появляются желтуха, гепатомегалия, асцит, а в сыворотке крови повышаются содержание билирубина, активность гамма-глутамилтранспептидазы и щелочной фосфатазы.
Ранним признаком веноокклюзионной болезни является тромбоцитопения, резистентная к трансфузиям крови.
Увеличение значений ингибитора активатора плазминогена и снижение содержания антитромбина III также могут служить маркерами веноокклюзионной болезни.
Основным визуализирующим методом диагностики веноокклюзионной болезни является допплеровская ультрасонография печени, в ходе проведения которой можно выявить признаки венозного застоя, а также нарушения кровотока в системе портальной и печеночных вен.
Существуют диагностические критерии веноокклюзионной болезни, разработанные группами специалистов из Балтимора и Сиэтла. Точность этих критериев составляет более 90%, а специфичность - 56%. Согласно критериям, разработанным группой специалистов из Сиэтла, диагноз веноокклюзионной болезни можно поставить в случае появления в течение 20 дней после трансплантации костного мозга двух и более симптомов:
Повышение содержания билирубина более 2 мг/дл (34 мкмоль/л). Гепатомегалия и боль в правом верхнем квадранте живота. Асцит. Повышение массы тела более чем на 2% от предшествующих заболеванию значений.
Согласно критериям, разработанным группой специалистов из Балтимора, диагноз веноокклюзионной болезни можно поставить в случае повышения содержания билирубина более 2 мг/дл (34 мкмоль/л) и появления в течение 21 дня после трансплантации костного мозга двух и более симптомов:
Гепатомегалия и болезненность печени при пальпации. Асцит. Повышение массы тела более чем на 5% от предшествующих заболеванию значений.
Лечение Веноокклюзионной болезни печени:
Основной целью лечения веноокклюзионой болезни является устранение синусоидальной обструкции за счет коррекции васкулита.
Однако специфическая терапия веноокклюзионой болезни не разработана.
Медикаментозные методы лечения
В лечении веноокклюзионой болезни используются следующие лекарственные препараты:
Применяются низкие дозы рекомбинантных активаторов тканевого плазминогена, который стимулирует процесс деградации фибрина. Однако этот метод лечения эффективен только у 30% больных, так как активаторы тканевого плазминогена могут вызывать массивные кровотечения. Их применение ограничено при наличии у пациента признаков полиорганной недостаточности.
Антитромбин III назначается в комбинации с гепарином (Гепарин р-р д/ин.) или активаторами тканевого плазминогена.
Препарат представляет собой одноцепочечный полидеоксирибонуклеотид, полученный из ткани свиньи. Дефибротид обладает антитромботическим, тромболитическим, противовоспалительным и антиишемическим эффектами.
В настоящее время препарат проходит клинические испытания.
Тактика ведения больных с веноокклюзионной болезнью
- Необходимо ограничить прием гептатотоксических препаратов (например, циклоспорина (Сандиммун-Неорал), нефротоксических средств (например, аминогликозидов ), допамина (в эксперименте нарушает висцеральный кровоток).
- Важно соблюдать рекомендации по парентеральному питанию у пациентов с заболеваниями печени; проводить коррекцию коагулопатии.
- Необходимо также поддерживать оптимальный баланс жидкости в организме.
- Диуретики назначаются при появлении признаков задержки жидкости в организме.
- При возникновении у пациента болей в животе применяются анальгетики.
- Терапия асцита заключается в использовании консервативных и хирургических методов (терапевтический лапароцентез).
- Проводится лечение дыхательной недостаточности и нарушений функции почек (гемодиализ).
- Наблюдение за пациентами с повышенным риском развития веноокклюзионной болезни должно осуществляться гематологом, пульмонологом, нефрологом, неврологом, инфекционистами, реаниматологами.
Прогноз
Веноокклюзионная болезнь в большинстве случаев возникает у пациентов (детей и взрослых), перенесших трансплантацию костного мозга: диагностируется с частотой 5-60%.
Риск возникновения заболевания повышен у пациентов со злокачественным новообразованиями, которым назначаются высокие дозы цитостатических препаратов и проводится лучевая терапия. Более благоприятный прогноз в отношении развития веноокклюзионной болезни у пациентов, которые получают стандартные дозы химиотерапии.
Неблагоприятный прогноз у больных с сопутствующими хроническими вирусными гепатитами С; содержанием билирубина более 4 мг/дл ( более 68,4 мкмоль/д) через 10 дней после трансплантации костного мозга; инфекционными заболеваниями, возникшими при проведении химиотерапии.
Смертность от веноокклюзионной болезни определяется тяжестью течения и составляет 3% при заболевании легкой степени тяжести; 20% - при среднетяжелом течении; 98% - при тяжелом течении болезни.
Веноокклюзионная болезнь заканчивается летальным исходом в период 30-60 дней после трансплантации костного мозга вследствие развития полиорганной недостаточности. В 25% случаев больные погибают в первые 3 месяца от начала заболевания от печеночной недостаточности.
Профилактика
Меры первичной профилактики не разработаны.
Вторичная профилактика веноокклюзионной болезни заключается в тщательном отборе пациентов для проведения трансплантации костного мозга. Более благоприятный прогноз в отношении развития веноокклюзионной болезни у пациентов, которые получают стандартные дозы химиотерапии.
В 30% случаев эффективным оказывается назначение пациентам с веноокклюзионной болезнью (без признаков гепаторенального синдрома и дыхательной недостаточности) рекомбинантных активаторов тканевого плазминогена.
Если веноокклюзионная болезнь вызвана токсическим действием лекарственных препаратов, то необходимо прекратить их прием.
К каким докторам следует обращаться если у Вас Веноокклюзионная болезнь печени:
Вас что-то беспокоит? Вы хотите узнать более детальную информацию о Веноокклюзионной болезни печени, ее причинах, симптомах, методах лечения и профилактики, ходе течения болезни и соблюдении диеты после нее? Или же Вам необходим осмотр? Вы можете записаться на прием к доктору .
Лучевая диагностика веноокклюзионной болезни печени
а) Терминология:
1. Аббревиатуры:
• Веноокклюзионная болезнь (ВОБ)
2. Синонимы:
• Облитерирующий флебит, синдром обструкции синусов печени
3. Определения:
• Нарушение венозного оттока от печени, вызванное окклюзией терминальных отделов печеночных венул и синусовб) Визуализация:
1. Общая характеристика:
• Ключевые диагностические признаки:
о Острый дебют болевых ощущений, гепатомегалии, желтухи и асцита в течение трех недель трансплантации гемопоэтических или стволовых (ростковых клеток)
• Локализация:
о Диффузный процесс, поражающий всю печень2. УЗИ при веноокклюзионной болезни печени:
• Серошкальное ультразвуковое исследование:
о Гепатомегалия
о Спленомегалия
о Утолщение стенок желчного пузыря
о Асцит
о Сужение просвета печеночных вен из-за отека печени
о Образование «монетных столбиков» в портальных венах из-за медленного кровотока
• Импульсная допплерография:
о Повышение скорости кровотока в печеночной артерии >100 см/с
о Может отмечаться отклонение от нормы индекса резистентности 0,75
о Снижение скорости венозного кровотока (о Монофазная форма волны в печеночных венах
• Цветовая допплерография:
о Медленные или ретроградный поток в воротной вене:
- Поток может быть настолько медленным, что не отображается при цветовой допплерографии
о Визуализируются печеночные артерии
о Суженные печеночные вены3. КТ при веноокклюзионной болезни печени:
• Гепатомегалия
• Асцит
• Плевральный выпот
• Сужение печеночных вен
• Отек стенок желчного пузыря и перипортальный отек
• Повышение плотности паренхимы печени в виде пятен4. МРТ при веноокклюзионной болезни печени:
• Те же признаки, что и при КТ
• Гепатомегалия
• Асцит
• Плевральный выпот
• Сужение печеночных вен
• Отек стенок желчного пузыря и перипортальный отек:
о Сигнал высокой интенсивности от перипортальной области и стенок желчного пузыря на Т2-взвешенном изображении
• Повышение плотности паренхимы печени в виде пятен5. Рекомендации по визуализации:
• Лучший метод визуализации:
о Ультрасонография - метод выбора
• Совет по ходу исследования:
о Допплерография сосудов печени играет решающее значение в постановке правильного диагноза![УЗИ печени при веноокклюзионной болезни (ВОБ)]()
(Левый) Серошкальный ультразвуковой срез печени у пациента с ВОБ. Отмечается выраженная гепатомегалия, краниокаудальный размер составил 22,6 см. На гепатомегалию указывает то, что печень выступает за край почки.
(Правый) Серошкальный ультразвуковой срез селезенки у пациента с веноокклюзионной болезнью. Селезенка увеличена, ее длина составляет 15 см.в) Дифференциальная диагностика веноокклюзионной болезни печени:
1. Реакция «трансплантат против хозяина» (РТПХ):
• В первую очередь это клинический диагноз:
о Характеризуется острым повреждением печени, кожной сыпью и желудочно-кишечными расстройствами
• Утолщение стенок кишечника чаще наблюдается при РТПХ, чем при ВОБ2. Синдром Бадда-Киари:
• Тромбоз или обструкция на уровне воротной вены или нижней полой вены (НПВ)
• Не связан с пересадкой костного мозга3. Тромбоз воротной вены:
• Идеопатический тромбоз воротной вены:
о Различная эхогенность сгустка
о Может сочетаться с кавернозной трансформацией воротной вены
• Опухолевый тромбоз воротной вены:
о Часто наблюдается при развитии печеночноклеточного рака
о В опухолевом тромбе обычно видны сосуды опухоли4. Портальная гипертензия:
• Хотя некоторые признаки при визуализации могут совпадать с таковыми при ВОБ, обычно наличие хронического заболевания печени в анамнезе является ключевым при диагностике портальной гипертензии:
о Может отмечаться снижение скорости кровотока или ретроградный кровоток в воротной вене
о Из-за повышенного внутрипеченочного давления возникает асцит
о Часто наблюдается утолщение стенок желчного пузыря5. Оппортунистические инфекции:
• Пациенты после трансплантации гемопоэтического ростка подвержены риску развития инфекционных заболеваний печени
• Мультифокальные небольшие гипоэхогенные очаги могут представлять собой грибковые или микобактериальные микроабсцессы.![УЗИ печени при веноокклюзионной болезни (ВОБ)]()
(Левый) На серошкальном ультразвуковом срезе у пациента с ВОБ визуализируется небольшая печеночная вена и нижняя полая вена . Выраженный отек печени вызвал сдавливание венозных структур. Обратите также внимание на небольшой плевральный выпот.
(Правый) Цветовая допплерография печени, выполненная пациенту с ВОБ. Отмечается сужение просвета средней и правой печеночных вен, вызванное диффузным отеком печени.г) Патология:
1. Общая характеристика:
• Биопсия печени наиболее информативна для определения степени выраженности закупорки синусов
• Повреждение эндотелия печеночных вен
• Приводит к накоплению фибриногена + фактора VIII в стенках венул и синусов
• Развивается обструкция венул, а затем внутридольковый геморрагический некроз
• Склеротические изменения стенок венул и интенсивное накопление коллагена в синусах и венулах
• Хроническая ВОБ:
о Утолщенные коллагеновые муфты, окружающие центральные вены2. Стадирование, оценка и классификация веноокклюзионной болезни печени:
• Тяжесть заболевания (критерии Seattle):
о Слабая степень выраженности:
- Отсутствуют неблагоприятные для печени последствия заболевания, и
- Не требуются диуретики или препараты купирующие боль в печени, и
- Все симптомы, признаки и лабораторные изменения обратимы
о Средняя степень выраженности (наиболее распространенная форма ВОБ):
- Отсутствуют неблагоприятные для печени последствия заболевания, и
- Требуются диуретики или ограничение приема натрия, или
- Требуется медикаментозное лечение печеночной боли, и
- Все симптомы, признаки и лабораторные изменения обратимы
о Выраженное заболевание:
- Отмечаются неблагоприятные для печени последствия заболевания, и
- Симптомы, признаки и лабораторные изменения, не разрешившиеся в течение 100 дней после трансплантации, сохраняются, или
- Летальный исход![УЗИ печени при веноокклюзионной болезни (ВОБ)]()
(Левый) При цветовой допплерографии печени кровоток в воротной вене не определяется. В левой ветви воротной вены кровоток гепатофугальный, тогда как в правой ветви воротной вены отмечается гепатопетальный кровоток.
(Правый) Энергетическая допплерография у того же пациента. Кровоток в воротной вене настолько замедлен, что он не визуализируется даже с помощью энергетической допплерографии. Серошкальное сканирование в реальном времени (не представлено) могло продемонстрировать замедленный кровоток в воротной вене за счет движения «монетных столбиков».г) Клинические особенности:
1. Проявления веноокклюзионной болезни печени:
• Наиболее распространенные признаки/симптомы:
о Гепатомегалия с болевым синдромом, желтуха, периферический отек, необъяснимое увеличение веса
о Повышение уровней функциональных проб печени
• Другие признаки/симптомы:
о Признаки и симптомы печеночной недостаточности, такие как асцит, энцефалопатия и др.2. Демография:
• Пол:
о Женщины страдают чаще, чем мужчины
• Факторы риска:
о Заболевания печени в анамнезе
о Специфические типы терапии, предшествующие трансплантации
о Использование неподходящего донора гемопоэтических клеток или костного мозга
о Применение некоторых видов антибиотикотерапии в процессе трансплантации3. Течение и прогноз:
• Клинические и лабораторные признаки ВОБ обычно проявляются в течение трех недель после трансплантации
• Чаще всего встречается после трансплантации гемопоэтических клеток:
о Развивается у 50-80% реципиентов после пересадки костного мозга, стволовых клеток или трансфузии пуповинной крови.
о Является причиной 5-1 5% летальных исходов среди всех пациентов с ВОБ
о Уровень смертности при ВОБ, связанной с трансплантацией гемопоэтических клеток, достигает 30%
о Тяжелое течение ВОБ наблюдается у 15% пациентов после трансплантации гемопоэтических клеток
• Прогноз зависит от степени повреждения печени и нарушения функций
• ВОБ может иногда наблюдаться при приеме внутрь пирролизидиновых алкалоидов в составе настоек4. Лечение веноокклюзионной болезни печени:
• Антитромботическая и тромболитическая лекарственная терапия
• Диуретики и ограничение приема натрия
• Анальгетики для купирования болей в верхнем правом квадранте животад) Диагностическая памятка:
1. Следует учесть:
• Недавняя трансплантация гемопоэтических или стволовых клеток в анамнезе или назначение высоких доз химиотерапии в анамнезе могут указать на диагноз
• Визуализация может лишь помочь заподозрить ВОБ; диагноз ставится на основе клинических критериев + биопсия
• Биопсия печени обычно информативна, но часто бывает опасной из-за сопутствующей коагулопатии
• Клинический диагноз (модифицированные критерии Seattle):
о По крайней мере два из приведенных ниже симптомов развиваются в течении 20 дней после трансплантации:
- Сывороточный билирубин >34 мкмоль/л (>2 мг/дп)
- Гепатомегалия с болью в верхнем правом квадранте живота
- >2% увеличение массы тела от исходного уровня из-за задержки жидкости2. Основные диагностические критерии:
• Ультрасонография является методом выбора
• Допплерография сосудов печени играет решающее значение при постановке диагнозаКТ, МРТ, УЗИ признаки веноокклюзионной болезни печени (ВБП)
а) Терминология:
1. Аббревиатура:
• Веноокклюзионная болезнь (ВОБ) печени
2. Синоним:
• Синдром обструкции синусоидов печени (предпочтительный термин)
3. Определение:
• Обструкция путей венозного оттока от печени, обусловленная окклюзией терминальных печеночных венул и синусоидов1. КТ признаки веноокклюзионной болезни печени:
• Изменения аналогичны таковым на УЗИ (гепатомегалия, асцит и т.д.)![Дифференциальная диагностика веноокклюзионной болезни печени (ВБП)]()
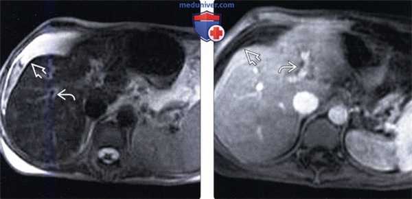
(Слева) На аксиальной Т2 ВИ МР томограмме у женщины 43 лет, страдающей веноокклюзионной болезнью, после курса химиотерапии по схеме FOLLOX по поводу рака червеобразного отростка, определяется асцит и перипортальный отек, которые сами по себе не являются специфическими находками. При исследовании биоптата печени были подтверждены застойные изменения в синусоидах и фиброз венул.
(Справа) На аксиальной Т1 ВИ МР томограмме с контрастным усилением у этой же пациентки определяется асцит и перипортальный отек.2. МРТ признаки веноокклюзионной болезни печени:
• Асцит и перипортальный отек (в обоих случаях интенсивность сигнала на Т2 ВИ повышена)3. УЗИ признаки веноокклюзионной болезни печени:
• Чувствительность и специфичность лучевых методов исследования низкая
• Лучевые признаки перекрываются с изменениями, обусловленными реакцией «трансплантат против хозяина»:
о Гепатомегалия, асцит
о Перипортальный отек, отек стенки желчного пузыря
о Гепатофугальный кровоток при допплерографии, повышение индекса резистентности более 0,75
о Патологическая форма спектра портальной вены
о Уменьшение диаметра печеночных вен4. Рекомендации по визуализации:
• Лучший диагностический критерий:
о УЗИ позволяет подтвердить веноокклюзионную болезнь и исключить другие патологические изменения (например, оппортунистические инфекции)1. Оппортунистические инфекции печени:
• Пациенты, которые перенесли трансплантацию гемопоэтических (или стволовых) клеток, находятся в группе повышенного риска инфекционных поражений печени
• Мультифокальные мелкие очаги с контрастным «ободком» по периферии подозрительны на грибковые (вызываемые, например, грибами рода Candida) или микобактериальные микроабсцессы2. Реакция «трансплантат против хозяина»:
• Является преимущественно клиническим диагнозом; характеризуется острым поражением печени (повышением уровня билирубина и трансаминаз), кожной сыпью, изменениями со стороны органов желудочно-кишечного тракта (диарея, гематокезия)
• Специфические лучевые признаки, позволяющие провести дифференциальную диагностику с ВОБ, отсутствуют3. Синдром Бадда-Киари:
• Тромбоз или обструкция на уровне крупных вен печени или НПВ
• Этиология (заболевание возникает на фоне предтромботического состояния), патогенез, лучевые признаки отличаются от таковых при веноокклюзионной болезни
• Отсутствует связь с трансплантацией костного мозга![Дифференциальная диагностика веноокклюзионной болезни печени (ВБП)]()
(Слева) Макропрепарат печени (при веноокклюзионной болезни): полностью облитерированная центральная вена, определяются признаки центризонального застоя.
(Справа) Микропрепарат: определяется отек эндотелия, а также субэндотелиальный отек и фиброз, что стало причиной частичной окклюзии просвета мелких печеночных вен при веноокклюзионной болезни.г) Патология. Микроскопия:
• Повреждение эндотелиальной выстилки вен печени
• При прогрессировании-отложения фибриногена и фактора VIII в стенках венул и синусоидов
• Прогрессирующая обструкция венул, центрилобулярный геморрагический некроз
• Прогрессирующее отложение коллагена, разрастание фиброзной ткани в просвете сосудад) Клинические особенности:
1. Проявления:
• Наиболее частые признаки/симптомы:
о Острое начало: гепатомегалия, болезненность печени, желтуха, асцит (симптомы возникают в течение трех недель после трансплантации гемопоэтических или стволовых клеток)
о Увеличение веса
• Другие признаки/симптомы:
о Признаки печеночной недостаточности:
- Асцит, энцефалопатия и т. д.2. Демография:
• Пол:
о Чаще заболевают женщины3. Течение и прогноз:
• Заболевание возникает обычно после трансплантации гемопоэтических клеток:
о Частота встречаемости заболевания у реципиентов костного мозга, стволовых клеток, пуповинной крови составляет 50-80%
о Является причиной летального исхода у 5-15% пациентов этой группы
• Аналогичное заболевание может возникать при воздействии различных токсических веществ:
о Препаратов для химиотерапии, алкалоидов; а также после лучевой терапии и трансплантации печени4. Лечение:
• Антитромботическая и тромболитическая терапияе) Диагностическая памятка. Советы по интерпретации изображений:
• Лучевые методы диагностики (в особенности, УЗИ) позволяют заподозрить ВОБ и помогают исключить другие состояния, являющиеся причиной дисфункции печени у реципиентов гемопоэтических клетокЛучевая диагностика болезни Кароли
а) Терминология:
1. Синонимы:
• Коммуникативная кавернозная эктазия желчевыводящих путей
2. Определения:
• Болезнь Кароли: врожденные, многоочаговые, сегментарные кистозные расширения внутрипеченочных желчных протоков
• Синдром Кароли: болезнь Кароли + врожденные фиброзные изменения печени1. Общая характеристика:
• Ключевой диагностический признак:
о Симптом «точки в центре»: портальный стержень внутри расширенного внутрипеченочного желчного протока при ультразвуковом исследовании, КТ с контрастированием, МРТ
о Множественные внутрипеченочные кисты различных размеров, сообщающиеся с желчевыводящей системой
• Локализация:
о Печень; диффузное, долевое или сегментарное распространение:
- Болезнь Кароли: в основном диффузное, иногда долевое
- Синдром Кароли: почти всегда диффузное
• Размер:
о Варьирует от нескольких миллиметров до нескольких сантиметров
• Морфология:
о Сегментарное мешковидное расширение крупных внутрипеченочных желчных протоков, разделенное нормальными или расширенными желчными протоками
о Сообщается с желчевыводящей системой
о Общий желчный проток обычно нормального диаметра:
- Если он расширен, необходимо исключить сопутствующее состояние: обтурацию конкрементом, холангит, кисту общего желчного протока или предшествовавшее хирургическое вмешательство
о Классификация врожденных кист желчных протоков по Тодани:
- Болезнь Кароли классифицируется как тип V: кистозное расширение внутрипеченочных желчных протоков2. УЗИ при болезни Кароли:
• Серошкальное ультразвуковое исследование:
о Расширенные внутрипеченочные желчные протоки:
- Очаговое или диффузное распространение в печени
- Мешковидная или веретенообразная конфигурация
- Содержат осадок вследствие застоя желчи
- Могут содержать конкременты, которые не принимают форму протоков
о Симптом «внутрипротоковых мостиков»:
- Гиперэхогенные перегородки, частично или полностью пересекающие просвет расширенных желчных протоков
о Симптом «точки в центре»:
- Мелкие портальные венозные ветви частично или полностью окружены расширенными внутрипеченочными желчными протоками
о Образование абсцесса при развитии такого осложнения, как холангит
• Цветовая допплерография:
о Визуализируется кровоток в портальных «стержнях», окруженных расширенными внутрипеченочными желчными протоками: симптом «точки в центре»![УЗИ печени при болезни Кароли]()
(Левый) Косой трансабдоминальный ультразвуковой срез у пациента с болезнью Кароли. Визуализируются множественные расширения внутрипеченочных желчных протоков.
(Правый) Косой трансабдоминальный ультразвуковой срез с цветовой допплерографией у этого же пациента с болезнью Кароли. Визуализируются расширенные внутри печеночные протоки. В одном из расширенных протоков наблюдается «внутрипротоковый мостик», он имеет вид гиперэхогенной перегородки, пересекающей просвет расширенного желчного протока. Это явление часто обнаруживается при болезни Кароли.3. Рентгенография при болезни Кароли:
• Эндоскопическая ретроградная холангиопанкреатография (ЭРХПГ):
о Мешковидные расширения, сообщающиеся с внутрипеченочными желчными протоками
о Сладж-синдром и гепатолитиаз, стриктуры билиарного тракта о Можно обнаружить сопутствующий печеночный абсцесс4. КТ при болезни Кароли:
• КТ без контрастирования:
о Множественные, округлые, гиподенсивные образования, неотделимые от расширенных внутрипеченочных желчных протоков
о Могут визуализироваться гиперденсивные желчные камни
о Находки, связанные с сопутствующими фиброзными изменениями печени:
- Гипертрофия левой доли, атрофия правой доли печени
• КТ с контрастированием:
о Неконтрастируемые кисты различного размера, сообщающиеся с желчевыводящей системой
о Симптом «точки в центре»:
- Контрастируемые крошечные точки (портальные стержни), окруженные расширенными внутрипеченочными протоками5. МРТ при болезни Кароли:
• Т1-взвешенное изображение:
о Множественные гипоинтенсивные, мешковидные расширения внутрипеченочных желчных протоков
о Снижение интенсивности в местах фиброзных изменений
• Т2-взвешенное изображение:
о Гиперинтенсивные кистозные полости
• Т1-взвешенное изображение С+:
о Симптом «точки в центре»: контрастирование портальных стержней, окруженные расширенными внутрипеченочными протоками
о Кистозные структуры заполняются контрастным веществом в гепатобилианую фазу контрастирования, это свидетельствует о том, что они сообщаются с желчевыводящей системой
• МРХПГ:
о Множественные гиперинтенсивные кистозные расширения овальной формы
о Сообщаются с желчевыводящей системой
о Содержимое просвета желчных протоков гиперинтенсивное, в отличие от портальных вен, которые не дают такого сигнала
• Сцинтиграфия (гвпатобилпарное сканирование, радиоизотопная холангиография): необычный вид нераспределенной активности по всей печени
• Коллоидная сера, меченная технецием: множественные холодные очаги![КТ, УЗИ печени при болезни Кароли]()
(Левый) КТ с контрастированием у пациента с болезнью Кароли, аксиальная проекция. Отмечается выраженная дилатация внутрипеченочных желчных протоков. Обратите внимание на окрасившиеся точки во многих расширенных желчных протоках, представляющие собой ветви воротной вены мелкого калибра (симптом «точки в центре»).
(Правый) Косой трансабдоминальный ультразвуковой срез с цветовой допплерографией у этого же пациента с болезнью Кароли. Визуализируются множественные расширенные внутри печеночные протоки с кровотоком с центресоздающим характерный вид симптома «точки в центре».в) Дифференциальная диагностика болезни Кароли:
1. Аутосомно-доминантная поликистозная болезнь печени:
• Кисты печени:
о Множественные: > 10, обычно сотни
о Не сообщаются друге другом или с желчевыводящей системой
о Не связаны с расширением желчных протоков
о Не имеют мешковидной конфигурации
• Часто сочетаются с кистами почек; последние расположены не только в мозговом веществе2. Рецидивирующий гнойный холангит:
• Внутри- и внепеченочные конкременты: повторяют форму протоков
• Расширение как внутри-, так и внепеченочных желчных протоков, обычно цилиндрическое и не имеет мешковидной конфигурации
• Связан с паразитарным или бактериальным поражением печени (печеночный сосальщик)3. Первичный склерозирующий холангит:
• Развиваются стриктуры как внутри-, так и внепеченочных желчных протоков
• Расширение протоков не столь выраженное, как при болезни Кароли; не мешковидное
• Часто отмечается изолированная обструкция внутрипеченочных желчных протоков
• Часто прогрессирует в цирроз и приводит к печеночной недостаточности4. Восходящий (энтерогенный) холангит:
• Внутрипеченочные абсцессы, сообщающиеся с желчными протоками: неровные края
• Утолщение и повышение плотности стенок желчных протоков
• Расширение внепеченочных желчных протоков из-за обструкции камнем или опухолью5. Гамартома печени:
• Вариант фиброполикистозной болезни
• Мальформация протоковой пластинки: вовлекаются внутрипеченочные желчные протоки мелкого калибра
• Множественные кисты/узелки менее сантиметра в печени
• Не связаны с желчевыводящей системой
• Контрастируются по-разному:
о Полностью кистозные: не контрастируются
о Солидные элементы в стенках: контрастируются и становятся изоденсивными паренхиме печени![УЗИ печени при болезни Кароли]()
(Левый) Косой трансабдоминальный ультразвуковой срез с цветовой допплерографией у пациента с болезнью Кароли. Визуализируется несколько расширенных внутрипеченочных желчных протоков, прилежащих к портальным венам.
(Правый) Косой трансабдоминальный ультразвуковой срез с цветовой допплерографией у того же пациента с болезнью Кароли. Отмечается окрашивание кровотока в «портальных стержнях», окруженных расширенными внутрипеченочными желчными протоками.г) Патология болезни Кароли:
1. Общая характеристика:
• Этиология:
о Неполное ремоделирование протоковой пластинки приводит к персистированию эмбриональных желчных протоковых структур
о Широкий спектр проявлений протоковых мальформаций у взрослых и подростков:
- Болезнь Кароли: мальформация протоков крупного калибра (чаще встречается у взрослых)
- Синдром Кароли: мальформация протоков крупного и мелкого калибра (чаще встречает у детей):
Аномалии протоковой пластинки протоков мелкого калибра приводят к фиброзным изменениям печени
• Генетика:
о Наследуется по аутосомно-рецессивному типу
• Сопутствующие заболевания:
о Губчатая (спонгиозная) почка (расширение почечных канальцев)
о Аутосомно-рецессивная поликистозная болезнь почек; реже аутосомно-доминантная поликистозная болезнь почек
о Фиброз печени, гамартомы печени, кисты общего желчного протока2. Общие патологические и хирургические особенности:
• Мешковидные расширения крупных внутрипеченочных желчных протоков
• Диффузное, долевое или сегментарное распространение3. Гистологические особенности:
• Болезнь Кароли:
о Сегментарные мешковидные расширения крупных внутрипеченочных протоков
о Расширенные протоки выстланы гиперпластическим или изъязвленным эпителием желчных протоков
о Паренхима печени не изменена
• Синдром Кароли:
о Сегментарные мешковидные расширения внутрипеченочных протоков
о Прогрессирующие расширение протоков и фиброзные изменения
о Гипоплазия ветвей воротной вены1. Проявления болезни Кароли:
• Наиболее распространенные признаки/симптомы:
о На ранних стадиях обычно протекает бессимптомно
о Признаки/симптомы, связанные с холангитом:
- Лихорадка, боли в животе, желтуха
о Признаки/симптомы, связанные с фиброзными изменениями печени:
- Гепатомегалия
- Портальная гипертензия и ее последствия (спленомегалия, варикоз и др.)
• Другие признаки/симптомы:
о Увеличенные в размерах почки из-за сопутствующей аутосомно-рецессивной поликистозной болезни почек
• Лабораторные данные: может отмечаться повышение уровней ферментов печени и билирубина
• Диагноз основывается на данных визуализации; биопсия редко информативна2. Демография:
• Возраст:
о Присутствует с рождения но может протекать бессимптомно в течение многих лет:
- У 80% симптомы проявляются до достижения тридцатилетнего возраста
о Болезнь Кароли:
- Обычно симптомы проявляются на второй или третьей декаде
о Синдром Кароли:
- Симптомы могут проявиться раньше, в детстве или даже в младенчестве
• Пол: М:Ж = 1:1
• Эпидемиология: редкое заболевание3. Течение и прогноз:
• Осложнения:
о Рецидивирующий холангит, образование камней в желчных протоках, абсцессы в печени
о Вторичный билиарный цирроз; портальная гипертензия и ее последствия
о Холангиокарцинома развивается у 7% пациентов
• Прогноз:
о Зависит от тяжести заболевания и сопутствующих почечных заболеваний
о Длительный прогноз при болезни Кароли обычно неблагоприятный4. Лечение болезни Кароли:
• Поддерживающая терапия при холангите
• Декомпрессия билиарного тракта: наружный дренаж или билиарно-кишечные анастомозы
• Хирургическое:
о При долевом или сегментарном распространении: удаление доли или сегмента
о Диффузное распространение: трансплантация печение) Диагностическая памятка:
1. Следует учесть:
• Исключите другие заболевания печени, при которых образуются кисты в печени ± расширены желчные протоки
2. Советы по интерпретации изображений:
• УЗИ/КТ/МРТ: симптом «точки в центре»
• ЭРХПГ/МРХПГ: мешковидные расширения, сообщающиеся с желчевыводящей системой, что и позволяет дифференцировать болезнь Кароли от других фиброполикистозных заболеванийж) Список использованной литературы:
1. Venkatanarasimha N et al: Imaging features of ductal plate malformations in adults. Clin Radiol. 66(11):1086-93, 2011
2. Levy AD et al: Caroli's disease: radiologic spectrum with pathologic correlation. AJR Am J Roentgenol. 179(4):1053-7, 2002
3. Gorka W et al: Value of Doppler sonography in the assessment of patients with Caroli's disease. J Clin Ultrasound. 26(6):283-7, 1998Веноокклюзионная болезнь печени (K76.5)
Примечание. Из данной подрубрики исключен "Синдром Бадда-Киари" - I82.0.Период протекания
При синдроме синусоидальной обструкции (ССО), связанном с трансплантацией, пик манифестации происходит на 12-й день.
Критерии диагностики ССО подразумевают полное развитие клинических признаков к 20-м суткам. Однако у 29-55% детей, которым не применялся циклофосфамид после трансплантации, клинические диагностические критерии формируются позже (после 20-ти суток).
При ССО, связанном с токсическими поражениями, заболевание имеет в основном подострое и хроническое течение.![]()
Автоматизация клиники: быстро и недорого!
- Подключено 300 клиник из 4 стран
- 800 RUB / 4500 KZT / 27 BYN - 1 рабочее место в месяц
![]()
Автоматизация клиники: быстро и недорого!
- Подключено 300 клиник из 4 стран
- 1 место - 800 RUB / 4500 KZT / 27 BYN в месяц
Мне интересно! Свяжитесь со мной
13-15 октября, Алматы, "Атакент"
600 брендов, более 150 компаний-участников из 20 стран.
Новинки рынка стоматологии. Цены от производителей
Классификация
1. Отдельные авторы выделяют 2 вида течения синдрома синусоидальной обструкции (ССО):
- острое (связанное с трансплантацией) - развивается и диагностируется в сроки до 20 дней;
- хроническое (связанное с токсическими поражениями) - клиника манифестирует в сроки более 100 дней.
Клиническая ценность этой классификации сомнительна, так как возможны различные по срокам варианты манифестации.2. Было предложено классифицировать ССО по тяжести:
2.1 Легкая тяжесть. Больные, которые соответствует диагностическим критериям ССО, но не нуждаются в лечении отеков и/или асцита, не нуждаются в лекарствах для купирования боли в правом подреберье и течение заболевания заканчивается самопроизвольным выздоровлением (самокупирующаяся форма заболевания).
2.2 Умеренная тяжесть. Больные соответствуют критериям ССО, нуждаются в медикаментозном лечении отеков и болей, лечение полностью купирует симптомы.
2.3 Тяжелая форма. Заболевание приводит к смерти или не разрешается по истечении 100 дней с применением всех возможных форм терапии.
Клиническая ценность этой классификации сомнительна для диагностики и/или выбора тактики и имеет значение в основном для ретроспективных исследований.
Этиология и патогенез
Этиология
1. Трансплантация костного мозга, печени, лечение стволовыми клетками. Ранее 25% случаев веноокклюзионной болезни были связаны с трансплантологией, однако по мере увеличения количества пересадок органов и тканей их роль выходит на первый план.
2. Воздействие токсических факторов:
2.1 Лекарственное поражение: преимущественно иммуносупрессивная (азатиоприн, бусульфан, циклофосфамид, даунорубицин, тиогуанин), арсфенамин (сальварсан), уретан, актиномицин Д.
2.2 Лучевая терапия.
2.3 Прием некоторых растительных пирролизидиновых алкалоидов (растения рода Crotalaria, Senecio - крестовники, Heliotropium - буранчиковые) в виде растительных чаёв (отсюда второе название заболевания - "Ямайская чайная болезнь" - Jamaican bush tea disease). Однако чаще всего отравления растительными алкалоидами носят случайный характер и обусловлены контактом пищи с вышеперечисленными растениями.Патофизиология остается неясной. Первичное повреждение, скорее всего, протекает как поражение синусоидальных эндотелиальных клеток печеночной венулы.
Первые визуализируемые гистологические изменения характеризуются расширением субэндотелиальной зоны, экстравазацией эритроцитов, отложением фибрина и экспрессией фактора VIII (фактора фон Виллебранда) в стенах венул, с последующим перивенулярным некрозом гепатоцитов.
Поздние гистологические признаки включают в себя отложения внеклеточного матрикса, увеличение числа звездчатых клеток и последующий синусоидальный фиброз. Этот процесс в конечном итоге приводит к полному уничтожению венул, обширному гепатоцеллюлярному некрозу и к массивному фиброзу и склерозу печеночной ткани.Многочисленные исследования показали ассоциации с различными гемостатическими расстройствами, однако никаких убедительных доказательств тромботической природы происхождения синдрома синусоидальной обструкции выявлено не было.
Эпидемиология
Признак распространенности: Крайне редко
Заболевание встречается крайне редко, во всех возрастных группах. Различий по полу и расе не выявлено.
Частота синдрома синусоидальной обструкции после трансплантаций определена как 5-60% вне зависимости от пола, возраста и расы.Факторы и группы риска
Поскольку синдром синусоидальной обструкции по большей части связан с пересадкой костного мозга, следующие факторы риска должны быть определены и оценены до операции:1. Патология печени (например, фиброз печени, гепатит, лучевая терапия органов брюшной полости, предтрансплантационное повышение трансаминаз неясного происхождения).
2. Использование миелоаблативного режима кондиционирования при трансплантации.
3. Кондиционирование бусульфаном, мелфаланом или обоими препаратами.
4. Применение циклофосфамида, кармустина (BCNU) и этопозида.
5. Применение препарата гемтузумаб озогамицин (Mylotarg, Pfizer), снят с рынка США в июне 2010 года.
6. Остеопетроз ("Остеопетроз" - Q78.2).Клиническая картина
Клинические критерии диагностики
увеличение веса; гепатомегалия; слабость; отеки; асцит; субиктеричность склер; олигоурия; боли в области печени
Cимптомы, течение
Общие положения
1. Диагностические критерии:
1.1 Диагностические критерии синдрома синусоидальной обструкции (ССО) имеют специфичность около 90% и чувствительность около 50%(исследовательская группа Сиэтла - Seattle criteria, 1993).
1.2 Диагностические критерии ССО (исследовательская группа Балтимора - Baltimore criteria, 1987) включают в себя в качестве обязательного признака гипербилирубинемию (≥ 2 мг/дл) и 2 или более из следующих признаков, которые должны присутствовать в течение 21 дня после трансплантации стволовых клеток:
- гепатомегалия Гепатомегалия - значительное увеличение печени.
(как правило, в сочетании с болезненностью в области печени);
- асцит Асцит - скопление транссудата в брюшной полости
;
- прибавка в весе более чем на 5% выше заданного диапазона.
Балтиморские критерии являются менее чувствительными и специфичными по сравнению с диагностическими критериями Сиэтла.Диагностика
Критерии клинической и лабораторной диагностики синдрома синусоидальной обструкции (ССО) описаны в разделах "Клиническая картина" и "Лабораторная диагностика". К сожалению, чувствительность этих методов диагностики составляет около 50-55%.
Диагноз может быть подтвержден инструментальными обследованиями. "Золотым стандартом" подтверждения диагноза считается использование биопсии в сочетании с измерением градиента давления (см. ниже).1. УЗИ, УЗДГ
Ультразвуковое исследование печени показывает изменение структуры, а УЗДГ оценивает направление и величину потока крови в сосудах .Другие виды патологии печени также могут быть обнаружены при проведении данного исследования (например, утолщение желчного пузыря, камни в желчном пузыре, увеличение лимфатических узлов и другие).
УЗИ является мощным инструментом для подтверждения диагноза, но типичные результаты часто проявляются на поздних стадиях или не всегда очевидны. Таким образом, на УЗИ не следует полагаться, чтобы исключить диагноз ССО, но доказательства присутствия ССО, выявленные на УЗИ и УЗДГ, могут существенно поддержать его.
Следующие показатели должны быть оценены :
Диагностические находки УЗИ, как правило, включают в себя регистрацию обратного потока в портальной и печеночной венах. Другими признаками являются асцит, гепатомегалия и изменение структуры печени.2. Измерение давления в печеночной вене
Разница между давлением заклинивания и свободным давлением в печеночной вене (градиент печеночного венозного давления, портогепатический градиент, скорректированное синусоидальное давление) представляет вклад печеночных синусоидов в величину давления в воротной вене. Наличие этого показателя существенно улучшает точность диагностики.3. Биопсия
Как правило, показана трансюгулярная биопсия. Гистологические признаки:- синусоидальный фиброз, особенно выраженный на более поздних стадиях развития заболевания и/или при хроническом повреждении (токсическое повреждение);
- центродолевой некроз гепатоцитов (может быть первичным событием);
- воспаление с локализацией в третьей или второй зоне.Определение ССО основано на совокупности данных (клиника, гистология, инструментальные исследования, анамнез). Ни один из выше перечисленных гистологических признаков (по отдельности и в совокупности) не является специфическим признаком для ССО вне комплексной диагностики. Однако существует корреляция между количеством описанных выше гистологических изменений и клинической тяжестью ССО.
Лабораторная диагностика
Чувствительность и специфичность лабораторных тестов низки при использовании только лабораторной диагностики синдрома синусоидальной обструкции (ССО).
Лабораторные тесты имеют несколько целей:
- подтверждение диагноза;
- поиск и обнаружение причин;
- исследование степени дисфункции печени и других органов.
Лабораторные исследования:
1. Исследование билирубина (см. критерии диагностики в разделе "Клиническая картина").
2. Исследование щелочной фосфатазы и гамма-глутамилтрансферазы показывают наличие и степень холестаза, позволяющие, в частности, исключить другие заболевания.3. Выявление ненормальных параметров свертывания. Особенно важно повышение ингибитора активатора плазминогена-I ( PAI-I ), а также снижение антитромбина III ( ATIII ), что свидетельствует об облитерирующем эндоартериите печеночной вены.
4. Определение протеина S, фибриногена, D-димера (чтобы исключить ДВС-синдром Коагулопатия потребления (ДВС-синдром) - нарушенная свертываемость крови по причине массивного освобождения из тканей тромбопластических веществ
).5. Определение количества эритроцитов, лимфоцитов,тромбоцитов в динамике для оценки приживления и определения показателей к трансфузии.
6. Определение азота мочевины, креатинина, сывороточного альбумина и общего белка, которые могут указывать на дисфункцию других органов и определять тяжесть синдрома капиллярной утечки (CLS) у пациента.
7. С-реактивный белок может указать на наличие инфекционного воспаления, СОЭ не является ни чувствительным, ни специфическим маркером при ССО.Дифференциальный диагноз
В связи с низкой чувствительностью диагностики синдрома синусоидальной обструкции, требуется дифференциация со значительным количеством заболеваний со сходными симптомами:
- дефицит антитромбина III;Читайте также:










