Лучевые признаки бактериальной пневмонии
Добавил пользователь Евгений Кузнецов Обновлено: 13.12.2025

Пневмония — острое инфекционно-воспалительное заболевание легких, вызванное бактериями, вирусами, простейшими или спорами грибов. Может возникать как самостоятельная патология или осложнять течение иных проблем со здоровьем (гриппа, иммунодефицитов, острых воспалительных процессов любой локализации, новообразований и прочих). Значительно снижает качество жизни человека и при отсутствии своевременно начатой терапии может приводить к ряду серьезных осложнений.
Избежать плохого прогноза помогут специалисты медицинского холдинга «СМ-Клиника». В короткий срок они проведут информативное обследование, выставят верный диагноз и назначат терапию, принимая которую вы вскоре почувствуете себя лучше.
О заболевании
При пневмонии в воспалительный процесс вовлекаются большей частью альвеолы и интерстиций легких, что сопровождается с выделением в полость альвеол большого количества воспалительной жидкости и проявляется характерной клинической и рентгенологической картиной.
Это распространенная патология – ею страдают от 10 до 17 человек на тысячу населения в разных возрастных группах. Наиболее опасна пневмония легких для детей до года и пожилых людей – чаще приводит к осложнениям и почти в 10% случаев – к летальному исходу.
Классификация пневмоний
В зависимости от условий инфицирования различают:
- внебольничную пневмонию (развивается вне медицинского учреждения либо в течение 2-х суток после госпитализации);
- внутрибольничную (возникает у человека в условиях длительного пребывания в стационаре; связана с внутрибольничной микробной флорой, протекает тяжелее и труднее поддается терапии);
- вентиляторассоциированную (диагностируется у лиц, которые находятся на искусственной вентиляции легких);
- аспирационную (является следствием попадания в дыхательные пути еды, жидкости либо химических веществ);
- атипичную пневмонию (ее вызывают атипичные возбудители – микоплазмы, хламидии и прочие).
В зависимости от причинного фактора выделяют:
- бактериальную;
- вирусную;
- грибковую;
- вызванную простейшими (наиболее часто – микоплазменную);
- вызванную смешанной флорой пневмонию.
Кроме того, существуют такие виды пневмонии:
- одно- или двусторонние;
- сегментарные, полисегментарные, дольковые, долевые, субтотальные, тотальные;
- острые или затяжного течения;
- сопровождающиеся функциональными нарушениями со стороны легких или без таковых;
- осложненные и неосложненные;
- легкой, средней степени тяжести и тяжелые.
Симптомы пневмонии
Симптоматика пневмонии варьируется от типа заболевания, степени его тяжести и ряда иных факторов. При первичной бактериальной инфекции заболевание развивается стремительно. У, на первый взгляд, здорового человека резко повышается температура тела, появляются влажный кашель и одышка, как результат прямого повреждения легочной ткани бактериями.
Вирусная, в том числе коронавирусная, пневмония у взрослых развивается постепенно, в несколько этапов, каждый из которых сопровождается соответствующими симптомами. Патоген постепенно спускается из верхних дыхательных путей к альвеолоцитам, повреждая их. Иммунная система человека в это время активно борется с вирусом. Если организм побеждает, патология не развивается, но, если инфекционный фактор оказался сильнее, у больного возникает пневмония.
Симптомы воспаления легких неспецифичны и могут отличаться по интенсивности. Это:
- боль в боку при глубоком вдохе;
- одышка и потливость при минимальной физической нагрузке;
- кашель с мокротой слизистого или слизисто-гнойного характера;
- слабость и повышенная утомляемость;
- головная боль;
- повышенная температура тела;
- боль в суставах и мышцах;
- пониженное артериальное давление;
- тошнота, рвота, отсутствие аппетита.
Если вовремя не диагностировать пневмонию, заболевание постепенно прогрессирует, поражает больший объем легких, приводит к развитию осложнений.
Бактерии, попадающие в кровь из пораженных легких, могут переноситься по всему организму, нарушая функционирование других органов. Если в дыхательных путях собирается гной, развивается абсцесс или гнойный плеврит. В некоторых случаях может понадобиться хирургическое вмешательство или дренаж для вывода гноя из дыхательных органов.
Осложнения при пневмонии
Типичными осложнениями пневмонии являются:
- рубцовые изменения легочной ткани;
- острая дыхательная недостаточность;
- гнойный плеврит;
- абсцесс или гангрена легкого;
- септический шок;
- менингит;
- воспаление почек;
- нарушения сердечного ритма;
- сердечно-сосудистые патологии;
- полиорганная недостаточность.
К наиболее частым осложнениям внебольничной пневмонии можно отнести развитие тяжелого бронхо-обструктивного синдрома, который проявляется сужением дыхательных путей и характеризуется:
- появлением хрипов в грудной клетке;
- усилением одышки;
- развитием затрудненного дыхания и плохим отхождением мокроты.
Реже встречаются такие осложнения как плеврит, когда воспалительная жидкость поступает в плевральную полость, окружающую легкие, и сдавливает их снаружи. В этом случае у больного на стороне поражения может появиться боль в грудной клетке при дыхании, усилится или появиться одышка, резкой подняться температура.
Еще одним серьезным осложнением, требующим госпитализации пациента, является разрушение ткани в результате легочного воспаления с формированием в легких полостей, заполненных гнойным содержимым (абсцессов) и развитием системного септического воспаления, которое может привести к поражению различных органов и систем, развитию острой и тяжелой дыхательной, сердечной, почечной и печеночной недостаточности.
У пациентов пожилого возраста, лиц с иммунодефицитными состояниями, имеющими хронические заболевания, риск осложнений от пневмонии очень высок, в связи с чем таких пациентов целесообразно сразу госпитализировать в стационар.
Причины пневмонии
Пневмония – инфекционное заболевание, которое может возникнуть под воздействием вирусов (аденовируса, коронавируса), бактерий (особенно Streptococcus pneumoniae), грибков (рода кандида, аспергилла) или простейших (микоплазм, хламидий). Инфицирование происходит чаще воздушно-капельным или контактно-бытовым путем, реже возбудитель попадает в альвеолы с током крови или лимфы на фоне других воспалительных процессов в организме.
В большинстве случаев воспаление легких начинается после переохлаждения на фоне респираторной вирусной инфекции. По мере развития заболевания инфекционный агент распространяется в нижние дыхательные пути до самых альвеол. Но не всегда патогенные микроорганизмы провоцируют пневмонию. На воспаление легких влияет совокупность факторов: иммунитет человека, хронические заболевания, возраст, вредные привычки, правильно подобранное лечение.
Возможность возникновения пневмонии зависит от уровня агрессивности бактерий, их количества в трахеобронхиальном дереве, врожденных способностей организма быстро и эффективно элиминировать бактерии из бронхов. Научно доказано, что риски заболеть пневмонией намного выше у пациентов, страдающих сахарным диабетом, хроническими легочными заболеваниями, иммунодефицитами, проблемами с сердцем и сосудами.
Также к факторам риска развития пневмонии относят:
- частые ОРВИ и грипп;
- вредные привычки (они ослабляют иммунитет);
- постоянный стресс и переутомление;
- дефицит витаминов и минералов;
- возраст старше 65 - 70 лет;
- проживание в зонах с загрязнением воздуха.
Получить консультацию
Если у Вас наблюдаются подобные симптомы, советуем записаться на прием к врачу. Своевременная консультация предупредит негативные последствия для вашего здоровья.
Узнать подробности о заболевании, цены на лечение и записаться на консультацию к специалисту Вы можете по телефону:
Пневмония

Оформите заявку на сайте, мы свяжемся с вами в ближайшее время и ответим на все интересующие вопросы.
Воспаление лёгких или пневмония – вирусное заболевание, которое поражает лёгочную ткань и препятствует нормальному кислородному обмену между воздухом и кровью. Воспалительные выделения, которые попадают в альвеолы, не позволяют организму получать достаточный объем кислорода. А если заболевание захватывает большую часть легких, развивается острая дыхательная недостаточность.
Пневмонии подвержены люди со слабой иммунной системой, дети и пожилые люди. Ежегодно только в России от заболевания страдают 1,5 млн человек и 30% из них составляют дети младшего возраста и люди старше 70 лет.
Но пневмонию можно и нужно лечить! И делать это рекомендуется с помощью комплексного подхода. Лечение любого заболевания начинается с правильной постановки диагноза. Поэтому при первых признаках развития патологии обращайтесь за консультацией специалиста.
Какие первые симптомы пневмонии, как правильно и комплексно подходить к лечению и что требуется для диагностики заболевания, мы расскажем в этой статье.
Причины развития пневмонии
Пневмония развивается, когда в легкие попадают бактерии и вирусы, а также инородные агенты, которые поражают часть или всю легочную ткань. Возбудители патологии попадают в организм человека респираторным путем, редко – через кровь.
Почему заболевание быстро развивается в теле человека с пониженным иммунитетом? В нашем организме постоянно присутствуют бактерии, но защитные механизмы не дают им размножаться, вызывая патологию. Но если иммунная система ослаблена, вредная микрофлора увеличивает популяцию, что приводит к появлению воспалительного процесса.
Также часто развивается вирусная пневмония на фоне распространения простудных заболеваний верхних дыхательных путей (бронхита, трахеита). Также причиной воспаления легких может стать переохлаждение организма, стресс, переутомление, злоупотребление курением. Риск развития заболевания повышается у людей с хроническими заболеваниями и ожирением.

Признаки пневмонии у взрослого
При появлении заболевания у человека повышается температура тела, которая может достигать 38°, присутствует общая слабость во всем организме, болит голова, пациенту хочется лечь и расслабиться. Через несколько дней появляется сильный приступообразный кашель, появляется мокрота.
Боль в грудной клетке, особенно в очаге воспаления, а также появление одышки говорят о серьезности ситуации и явно указывают на воспаление лёгких.
Здесь указаны общие признаки, однако характер и время их проявления может отличаться в зависимости от вида пневмонии. При вирусной пневмонии первые симптомы появляются стремительно и больной чувствует резкое ухудшение самочувствия. С самого начала болезни наблюдается боль в мышцах, высокая температура тела, сильная головная боль, мучительный сухой кашель.
Бактериальная пневмония напротив развивается постепенно. Болезнь начинается только через 2 недели после появления первых признаков. После этого наступает резкое облегчение, улучшение общего состояния больного, потом снова резко поднимается температура, возникает головная боль, усиливается кашель, появляется гнойная мокрота.
Одним из серьезных видов заболевания является атипичная двусторонняя пневмония, которая обширно поражает лёгочную ткань и развивает дыхательную недостаточность. По своим симптомам двусторонняя пневмония напоминает простудную вирусную инфекцию, а в лёгких еще не слышны характерные хрипы. Многие начинают лечиться самостоятельно, что усугубляет состояние.
Поначалу заболевший думает, что его состояние улучшилось, симптомы патологии начинают уходить. Но потом кашель усугубляется и начинается вторая волна заболевания.
Симптоматика у пожилых людей может немного отличаться. В первую очередь появляется сухой кашель, одышка во время небольших физических нагрузок на тело или даже в состоянии покоя. Часто заболевание протекает без повышения температуры у людей зрелого возраста.

Признаки пневмонии у ребенка
Часто пневмония у детей появляется как осложнение какой-либо вирусной инфекции (ОРВИ, грипп и т. д.).
- Кашель, который усиливается со временем;
- Если самочувствие малыша улучшилось, а затем снова стало плохо, это может говорить о присутствии осложнений;
- Каждый глубокий вздох приводит к сильному приступу кашля;
- Появляется сильная бледность кожных покровов на фоне развития перечисленных симптомов;
- Появление одышки.
Заразна ли пневмония?
Воспалительный процесс в легочной системе чаще всего появляется по причине размножения вируса и как осложнение перенесенного гриппа или ОРВИ. Самой пневмонией в таких случаях заболеть невозможно, но легко подхватить заболевание, которое стало первопричиной. То есть пневмония сама по себе не заразна, а развитие воспаления в лёгких – самостоятельное осложнение, которое возникло на фоне ослабленного иммунитета и неправильного самолечения.
Может ли пневмония пройти сама по себе без лечения?
Воспаление легких или пневмония — одно из самых опасных и частых заболеваний дыхательной системы. Опасность заключается в том, что не всегда специалисты успевают вовремя поставить диагноз. Люди не идут с кашлем и температурой к доктору, а предпочитают пару дней отлежаться дома, пока заболевание не распространится. Состояние может ухудшиться до двусторонней пневмонии, которая несет за собой тяжелые последствия, длительное лечение или хронические заболевания.
Сто лет назад, до открытия пенициллина, пневмония забирала жизни заболевших. Наука и медицина не стоят на месте — за сто лет наша жизнь кардинально изменилась. У людей в каждой аптечке лежат антибиотики, а в больницах проводят операции на современном оборудовании. Однако по данным РАН, пневмония все еще входит в список самых смертоносных инфекционных болезней, и ее не стоит недооценивать.
Пневмония сама не пройдет. Эта болезнь может привести к смерти человека, поэтому обращение к врачу жизненно важно. Лечение пневмонии должен назначать врач. Именно он определяет: нужны ли антибиотики и какие, а также решает вопрос о степени тяжести заболевания.

При пневмонии всегда высокая температура и сильный кашель, так ли это?
Это очень большое и опасное для здоровья заблуждение. Ошибки при диагностировании заболевания — одна из основных причин смертности от пневмонии. По данным врачей, до 30% случаев пневмонии не диагностируются или выявляются слишком поздно, так как люди не видят надобности приходить к врачу до появления высокой температуры. В итоге это приводит к ухудшению состояния человека и развитию тяжелых осложнений. Бессимптомная, скрытая, но самая настоящая пневмония нередко развивается у детей и у пожилых людей. Главная и самая опасная проблема диагностики пневмонии у пожилых пациентов заключается в том, что болезнь успешно маскируется под различные хронические заболевания. В таком случае она проходит без самого главного для нас маркера заболевания — без температуры. Как тогда понять, что пневмония проходит у взрослого человека? — Наблюдать за своим организмом, и своевременно при ухудшении самочувствия обращаться к врачу.
При наличии каких признаков следует обратиться к доктору?
- повышенная потливость;
- слабость;
- одышка.
К слову, миф о том, что пневмония обязательно сопровождается сильным кашлем — всего лишь миф. Эта проблема в большинстве своем свойственна не старшему поколению, а детям. Нередки случаи, когда пневмония прогрессирует, а кашля нет. Если вовремя не обратиться к врачу и не поставить диагноз, то у ребенка могут появиться хронические последствия.
Воспаление легких у детей можно выявить по следующим симптомам:
- одышка и боль в груди при передвижении;
- боль при повороте туловища
- невозможность сделать глубокий вдох;
- тахикардия;
- непереносимость физической нагрузки;
- быстрая утомляемость;
- слабость;
- человек выглядит бледным, но с ярким нездоровым румянцем.
Как передается пневмония?
Заболевание может передаваться разными способами, среди которых:
- Воздушно-капельный способ. Во время заболевания на слизистой оболочке рта и носа образуются капли, которые распространяются по воздуху во время чихания и кашля. Заразиться воздушно-капельным путем можно в любом общественном месте: больнице, магазине, общественном транспорте. Патогенный возбудитель распространяется по воздуху вместе с частичками слизи, мокроты, слюны.
- Контактный. Также инфекция передается во время соприкосновений – рукопожатия, объятия, поцелуя. Люди подвергаются инфекции, когда прикасаются к загрязненным предметам или во время того, когда трогают грязными руками рот, глаза, нос.
- Бытовой. Инфекция может передаваться через полотенца, посуду и постельное белье общего пользования. Поэтому больного нужно снабдить личными предметами гигиены, и по мере возможности чаще их менять и стирать.
Однако обрабатывать предметы личной гигиены нужно очень тщательно. Доказано, что вирусный микроорганизм способен выживать до 4 часов на любой поверхности. Болезнетворным бактериям нестрашен мороз, даже хлоркой его можно уничтожить лишь спустя пять минут после непосредственной обработки.
Пневмония и бронхит: в чем различие?
Оба заболевания оказывают влияние на дыхательную систему человека, а значит имеют схожие симптомы. Зачастую две патологии бывает сложно отличить друг от друга.

Как происходит диагностика пневмонии?
Если заболеванием страдает ребенок, нужно обратиться за осмотром педиатра. Если взрослый – запишитесь на прием к терапевту, который направит вас при необходимости к узкопрофильному специалисту. Врач проведет внешний осмотр, соберет анамнез, изучит историю болезни и узнает о проявляющихся симптомах заболевания.
Вас направят на сдачу лабораторных анализов:
- Общий анализ крови;
- Общий анализ мочи;
- Анализ мокроты - проводится для определения воспалительного процесса в организме, а также возбудителя пневмонии и его чувствительности к антибиотикам.
Из диагностических методов исследования вам назначат:
- Рентгенографию грудной клетки – на снимках появляются затемнения в местах поражения тканей;
- Компьютерную томографию и магнитно-резонансную томографию – используют в качестве дополнительных мер, когда другие методы не позволяют поставить точный диагноз.
Способы лечение пневмонии
При вирусной пневмонии антибиотики не эффективны, поэтому назначают противовирусные препараты. В качестве вспомогательных веществ могут быть назначены витамины и иммуномодуляторы.
Как только температура тела больного вернулась к норме, можно назначать физиотерапию. Она позволяет вывести мокроту из лёгких. Для этого нередко принимают и фитопрепараты, например, корень солодки или комплексные грудные сборы.
Вместе с медикаментозным лечением больным необходим постельный режим, питание с содержанием белка и витаминов, обильное теплое питье. Для лучшего эффекта рекомендуются терапевтические методы – электрофорез, ингаляции, массаж, магнитотерапия и т.д.
Прививка от пневмонии как профилактика
Прививаться от пневмококковой инфекции стоит в тех случаях, когда:
- Происходят частые вспышки заболеваний;
- Посещение зон общественного пользования;
- Работа в бактериологической лаборатории;
- Частые пневмонии, ОРВИ и грипп, от которых страдает пациент.
Существует несколько препаратов, которые вводятся внутривенно от защиты от заболевания. Все они отличаются по своему составу, стоимости и широтой спектра действия.
Во взрослом возрасте прививка ставится единоразово, стойкая иммунная реакция на возбудителя вырабатывается через 2-3 недели. Но при этом специалисты рекомендуют прививаться раз в 5 лет.
Диагностикой и лечением пневмонии занимаются специалисты клиники «Медюнион». Записаться на прием к специалисту вы можете одним из удобных для вас способов:
Covid-19 и пневмония

Пневмония, поражающая приблизительно каждого пятого пациента, заболевшего COVID-19, имеет характерные особенности. Обычная, не коронавирусная пневмония, развивается из-за скопления жидкости в легких на фоне ОРЗ либо гриппа. В этой мокроте и происходит размножение бактерий, провоцирующих появление отдельных очагов воспаления.
Осложнением COVID-19 является вирусная, а не бактериальная инфекция, поэтому коронавирусная пневмония имеет совершенно другое течение. Вирус нарушает нормальное функционирование альвеол – пузырьков, расположенных на легочных стенках. Это приводит к развитию не очагового, как в предыдущем случае, а глобального поражения обоих легких. Легочная ткань быстро разрушается, становится фиброзной.
Возможно ли при ковиде бессимптомное воспаление легочной ткани, когда несмотря на изменения в легких у пациентов нет ни кашля, ни одышки, ни лихорадки?
Бессимптомное или малосимптомное течение больше характерно для форм заболевания без поражения легких. Действительно, при проведении компьютерной томографии (КТ) органов грудной клетки у пациентов с легким течением COVID-19 могут обнаруживаться КТ-признаки вирусной пневмонии нетяжелого течения. При этом газообменная функция легких не страдает, количество кислорода, доставляемого в кровь, остается нормальным, и не требуется изменения терапевтической тактики.
Когда, как правило, появляются такие симптомы при коронавирусе, как дыхательный дискомфорт, одышка?
Инкубационный период инфекции, вызываемой вирусом SARS-CoV-2, составляет в среднем 5-7 суток (от 2 до 14), а значит, и симптомы могут появляться в эти сроки. Течение болезни может быть разным – от нетяжелых проявлений обычной ОРВИ (повышение температуры тела, кашель, слабость, головная боль) до тяжелой пневмонии с дыхательной недостаточностью. Всегда стоит внимательно относиться к таким проявлениям болезни, как одышка (нарастание частоты дыхания), чувство нехватки воздуха, боли или чувство стеснения в груди в любой период болезни.
Изменения в легких появляются у большинства пациентов, перенесших COVID-19?
В большинстве случаев – до 80% – коронавирусная инфекция протекает нетяжело, без вовлечения легких. COVID-19 пневмонии развиваются примерно в 20% случаев заболевания, из них от 2 до 10% могут протекать тяжело. Длительность течения и последствия болезни зависят от многих факторов: объема поражения легких, сопутствующих заболеваний, своевременности обращения за медицинской помощью, соблюдения рекомендаций по лечению, возможности развития осложнений и др.
Стоит ли делать КТ легких при коронавирусной инфекции?
В связи с частыми ложноотрицательными результатами первичного ПЦР-исследования и отсутствием классических признаков при атипичной пневмонии компьютерная томография (КТ) становится самым информативным способом диагностики COVID-19.
Антигены COVID-19, признанные абсолютным маркером инфицирования, выявляются при проведении ПЦР. Что же касается компьютерной томографии, то она не обнаруживает сам возбудитель, а позволяет подтвердить или опровергнуть наличие специфической вирусной пневмонии.
КТ – это высокочувствительный метод лучевой визуализации различных анатомических структур. Неинвазивное, абсолютно безболезненное обследование занимает несколько секунд, обладает высокой чувствительностью и специфичностью. Сканирование на современных томографах с программой контроля облучения проводится при сниженной лучевой нагрузке.
Кому рекомендована КТ легких в первую очередь?
Компьютерная томография не проводится в целях профилактики. Исследование считается необходимым при появлении симптомов заболевания в следующих ситуациях:
был контакт с пациентом, у которого подтверждена коронавирусная инфекция (вирус выявлен лабораторно);
присутствуют выраженные симптомы и клинические признаки респираторного заболевания (температура 38 градусов и выше, частота дыхания >22 в минуту, одышка/ кашель/ боли в груди, сатурации крови есть необходимость плановой госпитализации для лечения заболевания, не связанного с COVID-1.
КТ при коронавирусной инфекции делают даже в том случае, если тест на COVID-19 показывает отрицательный результат, а на рентгенограмме легких не выявлены существенные изменения легочной ткани (очаги могут быть еще небольшими) - при этом пациента беспокоят вышеуказанные симптомы, и не исключен контакт с больными в прошлом.
Кому рекомендована КТ легких в первую очередь?
Компьютерная томография не проводится в целях профилактики. Исследование считается необходимым при появлении симптомов заболевания в следующих ситуациях:
был контакт с пациентом, у которого подтверждена коронавирусная инфекция (вирус выявлен лабораторно);
присутствуют выраженные симптомы и клинические признаки респираторного заболевания (температура 38 градусов и выше, частота дыхания >22 в минуту, одышка/ кашель/ боли в груди, сатурации крови есть необходимость плановой госпитализации для лечения заболевания, не связанного с COVID-1.
КТ при коронавирусной инфекции делают даже в том случае, если тест на COVID-19 показывает отрицательный результат, а на рентгенограмме легких не выявлены существенные изменения легочной ткани (очаги могут быть еще небольшими) - при этом пациента беспокоят вышеуказанные симптомы, и не исключен контакт с больными в прошлом.
Какие существуют методы лечения коронавирусной пневмонии?
Подходы к лечению COVID-19 формировались и менялись по мере появления информации о течении инфекции, понимания механизмов ее развития и возможных последствий на основании анализа большого количества международных публикаций и результатов исследований, накапливающегося клинического опыта. Спустя год от начала пандемии в арсенале применяемых лекарственных средств этиотропной терапии с доказанной эффективностью по-прежнему нет.
При COVID-19 пневмонии важное место занимают немедикаментозные методы – прон-позиция (положение лежа на животе) как самостоятельная лечебная мера, кислородотерапия, варианты аппаратной респираторной поддержки. Во всех случаях коронавирусной инфекции необходимо следить за объемом потребляемой жидкости.
Учитывая механизмы развития заболевания, в алгоритм фармакотерапии COVID-19 пневмоний включены противовирусные препараты, лекарственные средства для профилактики тромбообразования, гормональная противовоспалительная терапия, при наличии признаков присоединения бактериальной инфекции - антибиотики.
Несмотря на алгоритмизацию терапевтических подходов, что, несомненно, важно в эпидемических условиях, объем фармакотерапии и выбор конкретных препаратов из каждой группы определяет врач, и только исходя из конкретной клинической ситуации и индивидуальных особенностей пациента.
Всегда ли нужно пациентов с пневмониями, вызванными коронавирусной инфекцией, лечить в больнице?
В домашних условиях возможно лечение нетяжелой пневмонии у человека без факторов риска, при наличии условий, обеспечивающих изоляцию и соблюдение рекомендаций по лечению, а также врачебный (в том числе дистанционный) контроль.
Можно ли при коронавирусной пневмонии делать ингаляции?
При коронавирусной инфекции от ингаляций (паровые ингаляции, небулайзерная терапия), как аэрозольобразующих процедур, стоит отказаться. Исключения составляют дозирующие ингаляционные устройства – аэрозольные и порошковые, использующиеся для постоянной базисной терапии и неотложной помощи при хронических заболеваниях – бронхиальной астме и хронической обструктивной болезни легких.
Небулайзерная терапия должна применяться лишь по жизненным показаниям с соблюдением мер предосторожности распространения инфекции через аэрозоль (изоляция пациента во время ингаляции, проветривание после ингаляции, обработка поверхностей антисептиками).
Как восстановить легкие после коронавирусной пневмонии? Основные правила реабилитации:
1. Выполняйте аэробные нагрузки в положении сидя или даже лежа и полулежа. Можно делать упражнение велосипед, обязательны нагрузки на руки. Если при тренировке рук используется дополнительный вес, то принцип тут такой – меньше вес – больше число повторений. На велотренажере тренироваться можно, но начинать нужно с более горизонтального положения. Важно, что упражнения должны быть регулярными и с достаточно высокой частотой – от 4 до 6 дней в неделю. Нагрузку увеличивайте плавно и постепенно.
2. С активными кардионагрузками, вероятно, придется подождать долго. В любом случае, начинать нужно с ходьбы. Потом постепенно можно использовать велосипед. Но самое лучшее – ходить и гулять, дышать свежим воздухом. Улучшение газообмена тоже реабилитация!
3. Правильно питаемся! В этом случае это означает: едим небольшими порциями, обращаем внимание на то, калорий было достаточно, никаких жестких диет. Организму нужны и белки, и жиры. Углеводы тоже важны, но сладкое стоит заменить большим количеством клетчатки (овощи, зелень). Это нормализует пищеварение и повышает эмоциональный фон.
4. Спать после болезни необходимо не меньше 7 часов. Проветриваем спальню перед сном, замедляем физическую активность за 2 – 3 часа до времени сна. Если есть такая возможность, то перед сном лучше прогуляться и не объедаться, ужин завершить за 1,5 – 2 часа до сна.
5. Постарайтесь непосредственно перед сном не использовать гаджеты, потому что это вызывает перевозбуждение нервной системы. Не стоит брать с собой телефон в кровать. Потому что, если вы проснулись среди ночи, а у вас под рукой телефон, - вероятность того, что вы начнете что-то читать, велика. А как только вы что-то прочитали, мозг уже перестроился на другую деятельность.
6. Мы все сейчас находимся в состоянии стресса, и переболевшие, и непереболевшие. Особенностью данной инфекции является гипоксия, кислородное голодание. Это может быть предпосылкой для развития тревоги, посттравматического стрессового расстройства, депрессии. В таких случаях нужна психологическая поддержка – обратитесь за квалифицированной помощью.
7. Контролируйте уровень витамина D . Если анализы выявят его недостаточность, нужно будет принимать его дополнительно.
8. Алкоголь исключен. Да, некоторые врачи из Италии, например, пишут о том, что бокал вина не помешает. Но на ранних стадиях реабилитации алкоголь противопоказан. Поскольку сосуды были подвержены серьезной атаке вируса во время заболевания, не стоит подвергать их еще и алкогольной нагрузке в период реабилитации.
Пневмония
Пневмония или бактериальная пневмони́я (др.-греч. πνευμονία - воспале́ние лёгких) — воспаление лёгочной ткани инфекционного происхождения. Пневмония может протекать как самостоятельное заболевание или как осложнение других болезней.
Сегодня под понятием «бактериальная пневмония» подразумевается инфекционное заболевание дистальных (дальних) отделов дыхательного тракта, характеризующееся вовлечением в патологический процесс в первую очередь альвеол, бронхов мелкого калибра и бронхиол. Это группа различных по этиологии, патогенезу и морфологической характеристике острых инфекционных заболеваний, проявляющихся очаговым поражением лёгких, с внутриальвеолярной экссудацией и различной степенью выраженности интоксикации и лихорадочной (температурной) реакции.

Развитие воспаления в альвеолах принципиально отличает пневмонию от других инфекций респираторного тракта. Инфекции, локализующиеся дистальнее (дальше) голосовых связок (трахеит, бронхит, бронхиолит), принято называть инфекциями нижних дыхательных путей. Инфекции с локализацией выше или до голосовых связок, т.е. инфекции верхних дыхательных путей (ларингит, фарингит и ринит) имеют, как правило, вирусное происхождение и характеризуются в целом благоприятным прогнозом.
В «Международной классификации болезней» из раздела «ПНЕВМОНИЯ» исключены заболевания легких, обусловленные воздействием физических (лучевой пневмонит) и химических («бензиновая» пневмония) факторов, заболевания, имеющие аллергическое («эозинофильная» пневмония) и сосудистое (инфаркт лёгкого, гранулематоз Вегенера) происхождение, а также воспалительные процессы, вызываемые специфическими патогенами (чума, брюшной тиф, корь, краснуха, грипп и другие).
Необходимо отметить особую важность разграничения вирусных респираторных инфекций и бактериальной пневмонии. Вирусные респираторные инфекции (прежде всего грипп), безусловно, являются основным фактором риска развития воспаления лёгких. Вызываемые вирусами патологические изменения в лёгочной ткани называть пневмонией нельзя. Бактериальная пневмония качественно отличается от вирусного (чаще всего интерстициального) поражения лёгких, а термин «вирусно-бактериальная пневмония» считается не удачным. Термин «хроническая пневмония» практически вышел из употребления.
Заболеваемость в большинстве стран составляет 10-12 на 1000 населения. В 50% случаев пневмония является причиной смерти при инфекционных заболеваниях у пожилых людей и в 90% случаев от респираторных инфекций среди людей старше 65 лет. Ежегодно в США, например, регистрируют более 4 млн. больных пневмонией.
- алкоголизм,
- ХОБЛ(хроническая обструктивная болезнь легких) и курение,
- декомпенсированный сахарный диабет,
- пребывание в домах престарелых,
- не санированная полость рта,
- эпидемия гриппа,
- бронхоэктазы, муковисцидоз,
- внутривенное введение наркотиков,
- локальная бронхиальная обструкция (например, бронхогенная карцинома),
- постоянный контакт с кондиционерами, увлажнителями воздуха.
Пневмонию могут вызывать более 100 видов микроорганизмов. К числу таких возбудителей, прежде всего, следует отнести пневмококк - Streptococcus pneumoniae (30-50% случаев заболевания) и, так называемые, атипичные микроорганизмы, на долю которых в общей сложности приходится от 8 до 30% случаев заболевания:Chlamydophila pneumoniae, Mycoplasma pneumoniae, Legionella pneumophila. К редким (3-5%) возбудителям пневмонии относят: Haemophilus influenzae, Staphylococcus aureus, Klebsiella pneumonia.
Очень часто у взрослых пациентов, выявляется смешанная инфекция или коинфекция. Практически у каждого второго больного с пневмококковой пневмонией одновременно удаётся обнаружить признаки микоплазменной или хламидийной инфекции.
Пути проникновения инфекции:
- аспирационный (попадание содержимого ротоглотки в трахею, бронхи – чаще всеговыявляют Streptococcus pneumoniae, Haemophilus influenzae),
- ингаляционный (воздушно-капельный) - Mycoplasma pneumoniae, Chlamydophila pneumoniae, Legionella pneumophila, Chlamydophila psittaci,
- и гематогенный (диссеминация из вне легочного очага) - Staphylococcus aureus.
Подозрение на пневмонию должно возникать при появлении лихорадки, в сочетании с жалобами на кашель, одышку, отделение мокроты и/или боли в грудной клетке. Больные также могут жаловаться на непонятную слабость, утомляемость, потливость по ночам. У пациентов пожилого и старческого возраста симптомы со стороны дыхательной системы менее демонстративны или могут отсутствовать вовсе, а на первый план в картине заболевания выходят симптомы общего характера: сонливость, спутанность сознания, беспокойство, нарушения сна, ухудшение аппетита, тошнота, рвота, признаки обострения хронических заболеваний.
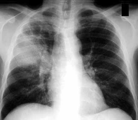
Самым важным диагностическим исследованием является рентгенография грудной клетки.
Изменения на рентгенограмме (распространённость инфильтрации, наличие или отсутствие плеврального выпота, полости деструкции) характеризуют степень тяжести заболевания и служат основой в выборе антибактериальной противовоспалительной терапии. Рентгенография позволяет оценить динамику развития болезни и полноту выздоровления.

Показания к назначению КТ:
- на фоне клинической симптоматики пневмонии рентгенологические изменения в лёгких отсутствуют;
- при рентгенологическом исследовании пациента с предварительным диагнозом пневмония выявлены нетипичные для пневмонии изменения (ателектаз, инфаркт лёгкого, абсцесс лёгкого и др.);
- рецидивирующая или затяжная пневмония, при которой длительность инфильтративных изменений в лёгочной ткани превышает 4 недели.
Диагноз «пневмония» устанавливается при наличии рентгенологически подтвержденной очаговой инфильтрации лёгочной ткани и, по крайней мере, двух из нижеперечисленных признаков:
- остро возникшей лихорадки (>38,0 °С);
- кашля с мокротой;
- физикальных признаков (фокус крепитации и/или мелкопузырчатые хрипы, бронхиальное дыхание, укорочение перкуторного звука);
- лейкоцитоза более 10х109/л и/или палочкоядерного сдвига (>10%).
Затяжная пневмония. У большинства больных через 3-5 дней эффективной антибактериальной терапии нормализуется температура тела и регрессируют прочие клинические проявления заболевания. При этом рентгенологическое выздоровление, как правило, отстаёт от клинического. В тех же случаях, когда на фоне улучшения клинической картины к исходу 4-й недели от начала заболевания не удаётся достичь полного рентгенологического разрешения очагово-инфильтративных изменений в лёгких, следует говорить о затяжной, не разрешающейся или медленно разрешающейся пневмонии. В этом случае показано проведение в срочном порядке дополнительного обследования: КТ органов грудной клетки, бронхоскопии и др.
Нозокомиальная (госпитальная, внутрибольничная) пневмония — заболевание, характеризующееся появлением на рентгенограмме «свежих» очагово-инфильтративных изменений в лёгких и клиническими проявлениями спустя 48 ч и более после госпитализации в стационар по какому-то иному поводу.
Внутрибольничная пневмония занимает 2-е место среди всех нозокомиальных инфекций (15-20%) и является самой частой госпитальной инфекцией (>45%) в отделениях интенсивной терапии (ОИТ). Частота пневмонии составляет 0,5-1% общего числа госпитализированных больных и 15-20% — от числа больных, находящихся в ОИТ. Распространённость зависит от возраста больных, составляя 5% среди пациентов в возрасте до 35 лет и более, 15% — у лиц старше 65 лет.
Профилактика. В качестве главного фактора риска пневмонии рассматривается курение и сопутствующая ему ХОБЛ. Поэтому борьба с курением является важной и неотъемлемой частью профилактических мероприятий. Пневмония это частое и нередко тяжёлое осложнение гриппа, а профилактика гриппа (вакцинация) приобретает особую актуальность у лиц с факторами риска: пациенты в возрасте 60 лет и старше; пребывающие в учреждениях длительного ухода; имеющие сопутствующие хронические сердечно-сосудистые, бронхолёгочные, почечные заболевания, неконтролируемый сахарный диабет, гемоглобинопатии и др.
Вирусная пневмония

Вирусная пневмония — это острое воспаление лёгких, вызванное вирусом. Для патологии типичны боли в грудной клетке, затруднённое дыхание, влажный кашель, интоксикация, повышение температуры, сопровождающееся жаром или ознобами. Для диагностики используются лабораторные и рентгенологические методы. Лечение консервативное, направлено на купирование симптомов и устранение возбудителя.
Общие сведения
Вирусная пневмония — острое поражение альвеол лёгких, при котором альвеолы закупориваются жидкостью, а стенки сосудов отекают, вследствие чего нарушается дыхательная функция: организм не получает достаточное количество кислорода, а внутри лёгких накапливается углекислый газ. Заболеванию наиболее подвержены дети, особенно в осенне-зимний период. Возникновение вирусной пневмонии часто связано с сезонным ростом заболеваемости ОРВИ. В большинстве случаев протекает в лёгкой форме, однако при тяжёлом течении требуется срочная госпитализация и искусственная вентиляция лёгких.
Причины вирусной пневмонии
Вирусную пневмонию вызывают возбудители разных групп. Наиболее часто встречается пневмония, вызванная респираторными вирусами гриппа и аденовирусами. Реже встречаются случаи возникновения заболевания, которое вызвано цитомегаловирусом, герпесвирусом, коронавирусом и некоторыми другими.
У детей младшего возраста вирусная пневмония может развиться на фоне других вирусных заболеваний — кори и ветряной оспы. К группе риска относятся дети и лица старше 65 лет. Также риску подвержены лица с ослабленным иммунитетом и заболеваниями сердечно-сосудистой и дыхательной систем.
Виды заболевания
По течению заболевания вирусная пневмония делится на:
- лёгкое течение, не требующее госпитализации;
- тяжёлое течение, при котором требуется госпитализация и поддержание дыхательных функций аппаратом ИВЛ. Часто тяжёлое течение заболевания имеет осложнения (бактериальная пневмония, отёк лёгких и другие деструктивные состояния).
Для предотвращения перехода лёгкой формы в тяжёлую, а также снижения риска осложнений необходимо незамедлительно обратиться к пульмонологу.
Симптомы вирусной пневмонии

Как правило, вирусная пневмония развивается на фоне гриппа и ОРВИ, являясь их осложнением.
При лёгкой форме наблюдается повышение температуры тела до 39 градусов, повышенная утомляемость, одышка, интоксикация, хрип в лёгких, кашель, боли в горле, боли в грудной клетке, увеличение и болезненность лимфатических узлов.
Тяжёлые формы вирусной пневмонии характеризуются вышеописанными симптомами, выраженными в большей степени. Так, возникает повышение температуры до опасных значений выше 40 градусов, сильные боли в грудной клетке, расстройства пищеварения, затруднённое и учащённое дыхание, хрипы или свист при вдохе, частый влажный кашель без отделения мокроты.
Осложнения
Вирусная пневмония может вызывать осложнения, такие как отит, менингит, пиелонефрит. При одновременной бактериальной пневмонии заболевание осложняется абсцессом. В тяжёлых случаях возможен летальный исход.
Диагностика патологии
Диагностикой и лечением вирусной пневмонии занимается пульмонолог. Для того чтобы диагностировать заболевание и установить тип вируса требуются лабораторные и рентгенологические исследования:
- при первичном осмотре применяется прослушивание лёгких на наличие в них хрипов;
- рентгенологическое исследование помогает установить степень и локализацию поражения лёгких;
- лабораторное исследование мокроты применяется для установления возбудителя пневмонии;
- анализ крови назначается при остром течении заболевания для определения антител.
По результатам диагностики возможно направление к другим специалистам: инфекционисту, отоларингологу, кардиологу.
Лечение вирусной пневмонии
Лечение назначается пульмонологом с учётом особенностей пациента и степени тяжести заболевания. Для лечения вирусной пневмонии применяется консервативная терапия. Назначаются комбинации следующих препаратов:
- противовирусные средства, направленные на устранение возбудителя;
- симптоматическое лечение: жаропонижающие и муколитические препараты;
- антибактериальные средства при наличии осложнений;
- при интоксикации проводится внутривенное вливание растворов;
- при недостатке кислорода — кислородотерапия;
- в качестве общих рекомендаций: постельный режим, покой, обильное тёплое питьё.
В основном лечение проходит амбулаторно. Госпитализация необходима только детям до 1 года и лицам старше 65 лет, а также при наличии сопутствующих заболеваний (ослабленный иммунитет и заболевания сердечно-сосудистой и дыхательной систем).
Прогноз
При лёгкой форме заболевания выздоровление происходит в течение двух недель. Примерно в четверти случаев при затяжном течении выздоровление происходит около месяца, иногда с развитием хронической пневмонии. Заболеваемость и смертность от вирусной пневмонии выше среди детей раннего возраста и пожилых пациентов, а также у лиц с сопутствующими заболеваниями.
Профилактика
При соблюдении профилактических мер риск развития вирусной пневмонии снижается. Эффективная профилактика представляет собой:
- вакцинация от вирусных заболеваний (грипп, коронавирус, детские болезни);
- исключение вредных привычек;
- исключение переохлаждения организма;
- по возможности исключение контакта с больными, ношение масок в людных местах;
- умеренная физическая нагрузка, регулярные прогулки на свежем воздухе;
- сбалансированное и регулярное питание;
- сон, продолжительностью не менее 7 часов;
- соблюдение гигиены, поддержание чистоты в доме и на рабочем месте.
Вакцинация является самой эффективной мерой профилактики. Избежать развития заболевания помогает общее укрепление иммунитета, основанное на ведении здорового образа жизни.
Вопросы и ответы
— Какой врач лечит вирусную пневмонию?
— Постановка диагноза и разработка тактики медикаментозного лечения осуществляется пульмонологом. Для уточнения диагноза может потребоваться консультация других специалистов, например, кардиолога, инфекциониста, отоларинголога.
— Требуется ли операция при вирусной пневмонии?
— Оперативное вмешательство не является целесообразным показанием при вирусной пневмонии, так как заболевание можно успешно вылечить при помощи лекарственной терапии.
— Можно ли лечить вирусную пневмонию самостоятельно?
— Нет, заниматься самолечением нельзя. Лекарства подбираются пульмонологом на основе исследований с учётом индивидуальных особенностей. Неправильный подбор лекарств может привести к осложнениям.
Читайте также:
