Лучевые признаки идиопатической лимфоидной интерстициальной пневмонии
Добавил пользователь Евгений Кузнецов Обновлено: 07.01.2026
Дифференциальная диагностика идиопатических интерстициальных пневмоний.
Георгиади С. Г.. Российский государственный медицинский университет (г.Москва).
Идиопатические интерстициальные пневмонии (ИИП) представляют группу заболеваний с преимущественным поражением интерстициальной ткани легкого. Морфологические исследования выявляют различной степени воспалительную инфильтрацию интерстициальной ткани, альвеол, бронхиол. Изменения могут носить экссудативный характер или, наоборот, развиваются необратимые фиброзные изменения, редукция микроциркуляторного русла, разрушение альвеолярной ткани, констрикция бронхиол и, как следствие, нарушение газообмена, дыхательной функции. Диагностические ошибки в группе ИИП составляют 70-75%, больные поздно подвергаются лечению - через 1,5-2 года после появления первых признаков заболевания.
Задачей исследования был поиск дифференциально – диагностических критериев различных видов ИИП. Проанализированы данные компьютерной томографии высокого разрешения 44 больных с верифицированным диагнозом различных видов ИИП.
При обычной интерстициальной пневмонии (ОИП) КТВР выявляла зоны «матового стекла», перибронхиальные фиброзные тяжи, множественные «кисты» (сотовое легкое) с преимущественной локализацией по периферии, субплевральные, плотные напластования, мелко-очаговые уплотнения легочной ткани. Выделено три стадии развития болезни. В первой имелись изменения только типа «матового стекла», во второй присоединялся интерстициальный перибронхиальный фиброз, в третьей развивалось «сотовое легкое». Нередко определялась лимфоаденопатия лимфоузлов средостения, в третей стадии болезни развивалась легочная гипертензия.
Десквамативная интерстициальная пневмония (ДИП) отличается от ОИП менее выраженными деструктивными изменениями. В итоге фиброз в ряде случаев (значительно реже, чем при ОИП) может привести к развитию «сотового легкого». «Кисты», тракционные бронхоэктазы носили ограниченный характер. Двустороннее линейно-сетчатое усиление легочного рисунка на фоне зон ”матового стекла”, поражение нижних отделов легкого - характерная модель ДИП болезни на КТ. Симптом «матового стекла» на КТ является преобладающим при ДИП, локализуется в нижних долях и по периферии легких. Фиброз менее выражен, чем при ОИП, ограничен по протяженности.
Острая интерстициальная пневмония (ОсИП) сопровождается непродуктивныым кашлем, прогрессирующей отдышкой. Рентгенологические и КТ исследования выявляют при ОсИП двусторонние инфильтративные изменения в нижних отделах легких, диффузно-очаговой локализации изменения типа «матового стекла». В ряде случаев изменения могут захватывать и верхние доли. Инфильтративные изменения локализуются в основном в периферических отделах легких и редко носят диффузно-равномерный характер. «Кисты», «соты» также могут наблюдаться при ОсИП, однако они не поражают, как при ОбИП, значительных объемов легочной ткани. Выделено 2 стадии развития ОсИП – экссудативная и необратимых фиброзных изменений. Поля «матового стекла», зоны инфильтрации, как показали морфологические соспоставления, соответствуют обратимым воспалительным, экссудативным изменениям. «Сотовое легкое» - деструкции дистальных отделов респираторного тракта, необратимым изменениям, фиброзу интерстициальной ткани.
Относительно сложна по данным КТ дифференциальная диагностика неспецифической интерстициальной пневмонии (НИП). Это связанно с полиморфностью выявляемых изменений – диффузно-очаговые зоны «матового стекла», поля инфильтрации, интерстициальное, перибронхиальное утолщение ткани легкого, утолщение междольковых перегородок. Ведущими признаками были инфильтрация в средних и нижних отделах легких, уменьшение долей, усиление легочного рисунка за счет уплотнений по ходу бронховаскулярного пучка, междольковых перегородок.
У трети пациентов выявлялись «соты» субплевральной локализации, субплевральные уплотнения. Провести дифференциальную диагностику НИП от ОИП чрезвычайно сложно вследствие схожести макроструктурных изменений на КТ срезах.
Облитерирующий бронхиолит с организующей пневмонией (ОБОП) (клинический термин - криптогенная организующая пневмония) характеризуется развитием в просвете мелких бронхиол на почве воспалительных изменений полипов из грануляционной ткани. При их распространении на альвеолярные ходы, альвеолы, возникает организующая пневмония. В альвеолах наблюдается фибринозный экссудат, утолщение стенок. При данном виде ИИП не отмечается уменьшения в объеме нижних долей, наличия «сотового легкого. Выделено 2 варианта проявления болезни при КТ. Для первого было характерно перибронхиальная инфильтрация, радиально распространяющаяся от центральных отделов легкого к периферии. Второй отличался субплевральной локализацией инфильтратов, не связанной с бронхиальным деревом. При обоих вариантах изменения локализовались в нижних долях.
Лимфоидная интерстициальная пневмония (ЛИП) характеризуется распространенной лимфоидной инфильтрацией интерстициальной ткани легкого – лимфоцитами, клетками плазмы. Вдоль лимфатических путей возникают лимфоидные фолликулы, инфильтрированы межальвеолярные перегородки. Лимфоидные фолликулы нарушали (за счет сдавления) проходимость бронхиол, вызывали их сужение, обструкцию. При КТ изменения преимущественно типа «матового стекла» с невысокой плотности центрилобулярными очажками, отображающих фолликулярные изменения в бронхиоле. Изменения в виде единичных кист наблюдались в центральной, области ворот зонах легких.
Болезнь респираторных бронхиол, ассоциированной с интерстициальным заболеванием легкого (БРБ), одно из заболеваний группы ИИП, способствующим развитию ОБОП. БРБ характеризуется воспалительной инфильтрацией интерстиция, средней степени фиброзом, инфильтрацией макрофагами стенок респираторных бронхиол, альвеолярных ходов, альвеол КТ картина изменений легочной ткани зависит от степени выраженности распространенности процесса. На ранних стадиях это отображение бронхиолярных структур определяется по периферии легкого в виде очагов повышенной плотности, визуализирующихся за счет утолщенных стенок мелких бронхиол, их разветвлений. По мере развития патологического процесса возникают участки эмфиземы, уплотнение межальвеолярных перегородок, полей «матового стекла». В итоге может развиться перибронхиальный, интерстициальный фиброз, облитерирующий бронхиолит с присоединением организующей пневмонии. Кт признаки осложнений - нарушение вентиляции легочной ткани мозаично-диффузного характера, нарастание изменений в терминальных бронхиолах и интерстиции.
Таким образом, проведенное исследование показало, что в 52% КТ дает возможность предположить заболевание идиопатической интерстициальной пневмонией - главным образом типичные случаи ОИП, ОБОП, БРБ. При отсутствии специфической КТ семиотики вариант ИИП уточняется после лечения, проводится дифференциальная диагностика с другими заболеваниями. Одна из главных задач рентгенологического исследования - подтвердить или исключить ОИП.
Идиопатические интерстициальные пневмонии
Идиопатические интерстициальные пневмонии (ИИП) — группа диффузных воспалительных и/или фибротических заболеваний легких, объединенных на основании сходных клинических, рентгенологических и гистологических признаков, приводящих к снижению легочных объемов и развитию дыхательной недостаточности.
Формы и осложнения
К основным клинико-рентгенологическим формам ИИП, ранее объединенным в единую группу «фиброзирующего альвеолита», относятся:
- идиопатический легочный фиброз;
- неспецифическая интерстициальная пневмония;
- криптогенная организующая пневмония;
- десквамативная интерстициальная пневмония;
- респираторный бронхиолит, ассоциированный с интерстициальным заболеванием легких;
- лимфоцитарная интерстициальная пневмония;
- идиопатический плевропаренхиматозный фиброэластоз;
- острая интерстициальная пневмония.
Причины заболевания
Идиопатические интерстициальные пневмонии относят к заболеваниям с неуточненной этиологией. Для ряда ИИП (в частности, идиопатического легочного фиброза) существенную роль играет генетическая предрасположенность. Криптогенная организующая пневмония часто развивается после перенесенных респираторных инфекций (бактериальных, вирусных), в том числе после новой коронавирусной инфекции COVID-19. Респираторный бронхиолит, ассоциированный с интерстициальным заболеванием легких, чаще развивается у курящих людей.
Симптомы
Основные симптомы ИИП:
- , усиливающаяся при физической нагрузке;
- сухой и малопродуктивный кашель;
- дискомфорт в грудной клетке при дыхании;
- кровохарканье (редко);
- утолщение концевых фаланг пальцев, деформация ногтей по типу «часовых стекол»; , снижение аппетита.
Стадии протекания
Четкой стадийности в развитии ИИП нет. Тем не менее, при активном течении ИИП конечным этапом их развития является формирование прогрессирующего легочного фиброза с тяжелой дыхательной недостаточностью, значительно ухудшающего прогноз заболевания.
Лечение идиопатических интерстициальных пневмоний
Медикаментозная терапия
Основой терапии большинства подтипов ИИП (за исключением первично фиброзирующих — идиопатического легочного фиброза и плевропаренхиматозного фиброэластоза) является назначение иммуносупрессивной терапии, включающей:
- глюкокортикоиды (преднизолон, метилпреднизолон): первая линия терапии, к преимуществам которой относится быстрое развитие терапевтического эффекта;
- цитостатические препараты (микофенолата мофетил, метотрексат, азатиоприн, циклофосфамид): используются при развитии рецидива после отмены глюкокортикоидов, стероид-зависимости, наличии противопоказаний к использованию глюкокортикоидов (к преимуществам этого вида лечения относится отсутствие выраженных метаболических побочных эффектов).
Пациентам с первично фиброзирующими вариантами ИИП (в первую очередь идиопатическим легочным фиброзом), а также с развитием прогрессирующего легочного фиброза при всех вариантах ИИП рекомендован прием антифибротической терапии (нинтеданиб, пирфенидон), обладающей доказанным эффектом замедления прогрессирования дыхательной недостаточности, снижения риска обострений у данной когорты больных.
Определяющую роль в эффективности всех видов медикаментозной терапии играет ее максимально раннее назначение, с оценкой клинико-лабораторных и рентгенологических параметров в динамике.
Профилактика обострений
Учитывая значимый вклад респираторных инфекций в развитие обострения ИИП, всем пациентам (при отсутствии абсолютных противопоказаний) рекомендована вакцинация против гриппа, пневмококка, SARS-Cov-2 (возбудителя COVID-19).
Также пациенты с ИПП, особенно получающие активную иммуносупрессивную терапию, имеют более широкий спектр показаний к назначению антибактериальной терапии, в том числе профилактической.
Лечение и профилактика сопутствующих заболеваний
Принимая во внимание повышенный риск развития сердечно-сосудистых осложнений у пациентов с ИИП, важно своевременно осуществлять коррекцию модифицируемых факторов риска — назначать антигипертензивную, гиполипидемическую, антиагрегантную и антикоагулянтную терапии.
В связи с повышенной заболеваемостью онкологическими заболеваниями легких (в частности, у пациентов с идиопатическим легочным фиброзом) рекомендован целенаправленный скрининг данной патологии с использованием КТ ОГК.
С целью уменьшения интенсивности кашля всем пациентам с ИИП рекомендован скрининг и по показаниям — терапия гастроэзофагеальной рефлюксной болезни.
Немедикаментозная терапия
При развитии дыхательной недостаточности, снижении сатурации крови кислородом на воздухе в покое ниже 90 % рекомендовано начало постоянной кислородотерапии в домашних условиях с использованием кислородного концентратора.
Всем пациентам с ИИП рекомендована сбалансированная высокобелковая диета, компенсирующая энергетические потери на дополнительную работу дыхательной мускулатуры. Для тренировки дыхательной мускулатуры, уменьшения одышки, повышения толерантности к физическим нагрузкам пациентам с ИИП рекомендована умеренная аэробная физическая нагрузка, дыхательная гимнастика, в том числе с использованием дыхательных тренажеров.
Как происходит лечение идиопатических интерстициальных пневмоний в клинке Рассвет
В клинике Рассвет пациентам с диагнозом ИИП проводится комплексное обследование для определения оптимальной тактики лечения — как основного заболевания, так и сопутствующей патологии.
По результатам диагностики разрабатывается план лечения, включающий как медикаментозную терапию, так и диетические рекомендации, дыхательную гимнастику, план физических нагрузок. На фоне лечения проводится регулярная оценка его эффективности с исследованием клинико-лабораторных и рентгенологических данных.
Общее описание идиопатических интерстициальных пневмоний (Overview of Idiopathic Interstitial Pneumonias)
Идиопатические интерстициальные пневмонии (ИИП) – это интерстициальные заболевания легких Обзор интерстициальных заболеваний легких (Overview of Interstitial Lung Disease) Интерстициальные заболевания легких – это гетерогенная группа заболеваний, которые характеризуются утолщением межальвеолярных перегородок, пролиферацией фибробластов, отложением коллагена и. Прочитайте дополнительные сведения неизвестной этиологии, которые имеют сходную клиническую и рентгенологическую картину; их можно дифференцировать только при гистологическом исследовании. ИИП делятся на 8 гистологических подтипов, которые характеризуются различной степенью воспалительной реакции и фиброза и сопровождаются одышкой. Диагноз устанавливается при анализе данных анамнеза, объективного обследования, КТ высокого разрешения, результатов лучевых методов исследований, исследования функции легких и биопсии легкого. Лечение зависит от подтипа. Прогноз зависит от подтипа и варьирует в широких пределах.
8 гистологических подтипов IIP, в порядке убывания частоты встречаемости
Идиопатический легочный фиброз Идиопатический легочный фиброз Идиопатический легочный фиброз (ИЛФ), наиболее распространенная форма идиопатической интерстициальной пневмонии, вызывает прогрессирующий фиброз легких. Жалобы и симптомы появляются постепенно. Прочитайте дополнительные сведенияПодтипы характеризуются различной степенью интерстициального воспаления и фиброза ( 1 Общие справочные материалы Идиопатические интерстициальные пневмонии (ИИП) – это интерстициальные заболевания легких неизвестной этиологии, которые имеют сходную клиническую и рентгенологическую картину; их можно дифференцировать. Прочитайте дополнительные сведения ). Все они вызывают одышку; на КТ высокого разрешения (КТВР) наблюдается диффузные аномалии, а при биопсии – воспаление и/или фиброз. Тем не менее подтипы необходимо дифференцировать, поскольку они имеют разную клиническую картину (см. таблицу Особенности идиопатических интерстициальных пневмоний Особенности идиопатических интерстициальных пневмоний* ) и по-разному отвечают на лечение.
Общие справочные материалы
1. Travis WD, Costabel U, Hansell DM, et al: An Official American Thoracic Society/European Respiratory Society Statement: Update of the International Multidisciplinary Classification of the Idiopathic Interstitial Pneumonias. Am J Respir Crit Care Med 188 (6):733–748, 2013.
Симптомы и признаки идиопатических интерстициальных пневмоний
Симптомы и признаки идиопатической интерстициальной пневмонии, как правило, неспецифичны. При физической нагрузке типичны кашель и одышка, с вариьрующими началом и прогрессированием. Распространенные признаки включают тахипноэ, сниженную экскурсию грудной клетки, сухие хрипы в нижних отделах в конце вдоха и дискретное пощелкивание.
Диагностика идиопатических интерстициальных пневмоний
КТ высокого разрешения (КТВР)
Исследование функции легких
Иногда хирургическая биопсия легки
Идиопатическую интерстициальную пневмонию следует заподозрить у любого пациента с интерстистициальным заболеванием легких неясной этиологии. Для постановки диагноза требуется участие клиницистов, рентгенологов и патоморфологов. Проводится системная оценка возможных причин (см. таблицу Причины интерстициальных заболеваний легких Причины интерстициальных заболеваний легких ). Информативность диагностических исследований зависит от правильного сбора анамнеза:
Семейный анамнез заболеваний легких, особенно фиброза легких
Курение (поскольку некоторые заболевания развиваются в основном у настоящих или бывших курильщиков)
Прием препаратов в настоящее время и в прошлом
Детальный опрос относительно производственных и бытовых условий, в том числе у членов семьи
Получают хронологический перечень полной истории трудоустройств пациента, включая специальные обязанности и известные случаи воздействия органических или неорганических агентов (см. таблицу Причины интерстициальных заболеваний легких Причины интерстициальных заболеваний легких ). Если воздействие имело место, необходимо определить его степень и продолжительность, узнать, сколько времени прошло от момента воздействия до начала заболевания, и пользовался ли пациент средствами защиты.
Выполняют ренгеноскопическое исследование грудной клетки, которое обычно является аномальным, однако наблюдения не являются достаточно специфичными для дифференцирования между различными типами.
Часто выполняют исследования функции легких Исследование функции легких (Overview of Tests of Pulmonary Function) При исследовании функции легких определяются скоростные и объемные показатели, показатели газообмена и функции дыхательных мышц. Основные функциональные легочные тесты, доступные в амбулаторных. Прочитайте дополнительные сведения для оценки тяжести физиологического нарушения, однако они не помогают дифференцировать различные типы. К типичными результатами относится рестриктивная физиология со сниженными объемом и диффузионной способностью легких. Гипоксемия часто проявляется во время физических упражнений и может присутствовать также во время покоя.
КТВР, которая позволяет отличить воздушное пространство от интерстициального заболевания, является наиболее полезным анализом и выполняется всегда. Он позволяет точно судить о потенциальной этиологии, степени и распространения заболевания и с большей вероятностью позволяет обнаружить основное или сопутствующее заболевание (например, скрытую медиастинальную лимфаденопатию, рак, эмфизему). КТВР следует выполнять при положении пациента лежа на спине и на животе, и должна включать динамическую дыхательную визуализацию для того, чтобы подчеркнуть данные, свидетельствующие о вовлечение небольших дыхательных путей.
Лабораторные параметры анализируют у пациентов, имеющих клинические проявления заболевания соединительной ткани, васкулита или воздействия факторов окружающей среды. Такие анализы могут включать тесты на антинуклеарные антитела, ревматоидный фактор и другие более специфические серологические тесты для заболеваний соединительной ткани (например, рибонуклеопротеин [RNP], антитела к антигенам Ro [SSA], антитела к антигенам LA [SSB], склеродермальные антитела [scl70], антитела к Jo-1).
Бронхоскопическая трансбронхиальная биопсия может помочь дифференцировать интерстициальное заболевание легких (например саркоидоз Саркоидоз Саркоидоз – это воспалительное заболевание, которое приводит к образованию неказеозных гранулем в одном или более органах и тканях; его этиология неизвестна. Чаще всего поражаются легкие и лимфатическая. Прочитайте дополнительные сведенияКриобиопсия – методика, при которой легочная ткань быстро замораживается непосредственно перед удалением, рассматривается в качестве вспомогательного средства для диагностики некоторых интерстициальных заболеваний легких. Количество полученной ткани больше, чем при трансбронхиальной биопсии, но меньше, чем при хирургической биопсии легких. Основными осложнениями вмешательства являются кровотечение и пневмоторакс Метод криобиопсии в настоящее время находится в состоянии исследования и его применение не рекомендуется международными стандартами; место данного метода в диагностике еще предстоит установить.
Если анализ истории и КТВР не являются информативными для постановки диагноза, для его подтверждения требуется хирургическая биопсия легкого. Предпочтительна биопсия из нескольких участков с помощью процедуры ВАТС (видеоторакоскопия, видеоассистированная торакоскопическая операция).
Интерстициальная пневмония
Интерстициальная пневмония - прогрессирующий воспалительный процесс, затрагивающий стенки альвеол и соединительную ткань паренхимы, с возможной вторичной внутриальвеолярной экссудацией и исходом в фиброзную перестройку легочных структур. Заболевание сопровождается усиливающейся одышкой, сухим или с незначительной мокротой кашлем, болью в груди, субфебрилитетом, «теплым» цианозом, сердечно-легочной недостаточностью. Диагностика интерстициальной пневмонии включает анализ данных рентгенографии и КТ легких, дыхательных тестов, биопсии легких. При интерстициальной пневмонии применяются кортикостероиды, цитостатики, оксигенотерапия, ИВЛ.
МКБ-10


Общие сведения
Интерстициальная (идиопатическая интерстициальная) пневмония – первичное острое или хроническое воспаление межуточной ткани легких неясной этиологии, характеризующееся ее фибропролиферативными изменениями и снижением дыхательной функции. Клинико-патологическая классификация выделяет идиопатические интерстициальные пневмонии как отдельную группу интерстициальных болезней легких (ИБЛ), точную распространенность которых сложно оценить из-за редкого установления правильного диагноза.
Среди множества проблем пульмонологии интерстициальная пневмония занимает особое место, т. к. характеризуется длительным тяжелым течением, нередко неблагоприятным исходом из-за неуклонно прогрессирующей фиброзной и склеротической трансформации легких. При интерстициальной пневмонии почти всегда отмечается снижение качества жизни и инвалидизация больных.
Причины
Этиология идиопатической интерстициальной пневмонии до конца не изучена. К заболеванию может быть причастно нарушение иммунологического гомеостаза, а пусковым фактором выступает некий антиген, к которому организм начинает вырабатывать антитела. Развитие данной патологии могут провоцировать инфекционные агенты (микоплазмы, хламидии, пневмоцисты, легионеллы, риккетсии, респираторные вирусы, CMV, вирус герпеса) и определенные виды пыли.
Склонны к интерстициальной пневмонии курящие или ранее курившие лица, ВИЧ-инфицированные и больные СПИДом (преимущественно дети). Лимфоидная форма может сочетаться с аутоиммунными заболеваниями (синдромом Шегрена), иммунопатиями (гипо- и гипергаммаглобулинемиями). Курение – одна из главных причин десквамативной пневмонии и респираторного бронхиолита. Криптогенная организующаяся пневмония имеет обычно идиопатический характер, но возможна связь с коллагенозами или медикаментозной терапией амиодароном, препаратами золота.
Патогенез
Воспаление при интерстициальной пневмонии протекает по типу пневмонита (альвеолита), носит чаще всего иммунный неинфекционный характер, затрагивая, главным образом, альвеолярные стенки и внеальвеолярную соединительную ткань легких, иногда с вторичной организацией экссудата внутри альвеол. Для интерстициальной пневмонии характерно первичное воспаление интерстициальной ткани с накоплением в ней иммунокомпетентных клеток, выделяющих различные повреждающие медиаторы (оксиданты, интерлейкин-1 и др.) на ранней стадии и фиброгенные факторы, вызывающие развитие фибропролиферативных реакций, на поздней стадии.
Классификация
Группа интерстициальных пневмоний включает в себя различные патоморфологические формы заболевания. К ним относятся:
- обычная интерстициальная пневмония (идиопатический легочный фиброз/фиброзирующий альвеолит)
- неспецифическая
- острая (синдром Хаммена–Рича)
- десквамативная (макрофагальная)
- лимфоидная (лимфоцитарная)
- криптогенная организующаяся
- респираторный бронхиолит, ассоциированный с ИБЛ.
Поражение при интерстициальной пневмонии может быть очаговым или диффузным, а по объему может охватывать целую долю или все легкое.
Все варианты интерстициальной пневмонии имеют некоторые патогенетические, морфологические и клинические отличия, особенности течения и прогноза:
- Идиопатический легочный фиброз (ИЛФ). Типичны нарушение архитектоники легких гетерогенного характера, рубцевание интерстициальной ткани, «сотовая» трансформация легких с множеством тонкостенных полостей без содержимого и инфильтрации, фокусы фибробластов.
- Неспецифическая интерстициальная пневмония (НСИП) имеет картину однородных воспалительных изменений интерстиция и фиброза с редким возникновением фибробластических фокусов. При острой интерстициальной пневмонии (ОИП) наблюдаются резкий отек альвеолярных стенок, образование внутри альвеол экссудата и гиалиновых мембран, частое развитие интерстициального фиброза.
- Криптогенная организующаяся пневмония (КОП), или облитерирующий бронхиолит с организующейся пневмонией протекает с сохранением легочной архитектоники, организованным внутриальвеолярным экссудатом и диффузными полипообразными грануляциями в бронхиолах.
- Десквамативная интерстициальная пневмония (ДИП). При десквамативной форме возникает незначительное равномерное воспаление интерстиция легочной паренхимы со скоплением альвеолярных макрофагов в выстилке альвеол.
- Лимфоидная интестициальная пневмония (ЛИП) проявляется сочетанием гомогенной выраженной лимфоцитарной инфильтрации интерстиция и перибронхиальных лимфоидных фолликулов.
- Респираторный бронхиолит. Типична бронхоцентричная миграция альвеолярных макрофагов при минимальных признаках воспаления и фиброза альвеол и интерстиция.
Наиболее часто встречаются идиопатический легочный фиброз и неспецифическая форма интерстициальной пневмонии. ИЛФ более характерен для пожилых мужчин (средний возраст 65 лет), прочие формы ИИП чаще выявляются у пациенток женского пола (35-55 лет), а неспецифическая и десквамативная иногда возникают у детей.
Симптомы интерстициальной пневмонии
Хроническое течение (более 12 месяцев) свойственно ИЛФ и ЛИП; подострое/хроническое – НСИП; подострое (месяцы и годы) – ДИП и РБ; острое/подострое – КОП; внезапное – ОИП. Клинические формы интерстициальной пневмонии сопровождаются малопродуктивным (сухим или с незначительной мокротой) кашлем, затруднением дыхания (ощущением «неполного вдоха») и нарастающей одышкой, сначала выраженной при нагрузках, затем в покое. Возникают боли в груди, эпизоды внезапной нехватки воздуха по ночам. Одышка ограничивает активность пациента, сопровождается быстрой утомляемостью, плохим сном, иногда потерей веса.
Симптомы бронхиальной обструкции при ИЛФ наблюдаются только у 4 % больных, значительно чаще они отмечаются при десквамативной форме. У больных может обнаруживаться «теплый» цианоз кожных покровов, который постепенно охватывает все тело. При КОП, НСИП, ЛИП возможна лихорадка. Проявления криптогенной формы часто напоминают симптомы бактериальной пневмонии. Для ИЛФ, неспецифической, десквамативной и лимфоцитарной интерстициальных пневмоний типичны «пальцы Гиппократа».
ИЛФ имеет незаметное начало с медленным нарастанием одышки и кашля, общей слабости, болей в мышцах и суставах, отсутствием лихорадки и кровохарканья. Прогрессирование этой формы сопровождается похуданием (вплоть до кахексии), развитием дыхательных нарушений, первичной легочной гипертензии. Тяжелая дыхательная недостаточность с проявлениями легочного сердца при ИЛФ может сформироваться за период от 2-х месяцев до 2-х лет.
Симптомы острой интерстициальной пневмонии (синдрома Хаммена–Рича) схожи с клиникой гриппа и острого респираторного дистресс-синдрома. Наблюдается молниеносное течение с быстро прогрессирующей дыхательной недостаточностью и высоким процентом летальных исходов.
Осложнения
Осложнениями интерстициальной пневмонии могут быть карнификация легкого с формированием пневмосклероза, развитие «сотового» легкого, дыхательной и сердечной недостаточности, присоединение вторичной бактериальной инфекции. Стадию «сотового» легкого при интерстициальной пневмонии определяют как прогностически неблагоприятную в плане возникновения рака легкого.
Диагностика
Диагностика интерстициальной пневмонии затруднена, основана на результатах анамнеза, физикального осмотра, рентгенографии и КТ легких, исследования ФВД (спирометрии, бодиплетизмографии); торакоскопической или открытой биопсии легких.
При интерстициальной пневмонии выявляется мягкая крепитация: на ранней стадии, в основном, в прикорневых сегментах легких, на поздней - по всем легочным полям и в верхушках легких. Для ИЛФ типична инспираторная крепитация по типу «треска целлофана». Отмечаются жесткое дыхание, влажные или сухие мелкопузырчатые хрипы в легких. При перкуссии имеется небольшое укорочение звука, соответствующее области поражения. Инструментальная диагностика включает:
- Функциональные дыхательные тесты. Выявляют нарушение вентиляции и расстройства диффузионной способности легких (при ИЛФ - рестриктивного типа с резким и крайне резким снижением легочных объемов).
- Рентгенография. Рентгенологическими признаками интерстициальной пневмонии могут являться симметричные полупрозрачные затемнения по типу «матового стекла», в основном в нижних отделах легких; утолщение междолькового и внутридолькового интерстиция; кистозно-фиброзные изменения, периваскулярная и перибронхиальная инфильтрация и тракционные бронхоэктазы.
- КТ высокого разрешения. Помогает уточнить распространенность поражения легочной ткани, оценить стадию, активность и темпы прогрессирования фиброзного процесса.
- Биопсия. Важным этапом диагностики интерстициальной пневмонии является биопсия легкого с гистологическим анализом биоптатов легочной ткани.
- ЭхоКГ. Эхокардиографические симптомы нарушения гемодинамики в малом круге кровообращения отмечаются только при достаточно высоких показателях площади фиброзных изменений в легких.
Дифференциальная диагностика интерстициальной пневмонии проводится с бактериальной пневмонией, туберкулезом, другими ИБЛ. Лечебно-диагностические мероприятия при интерстициальной пневмонии подразумевают взаимодействие пульмонолога, торакального хирурга, врача-рентгенолога, патоморфолога.

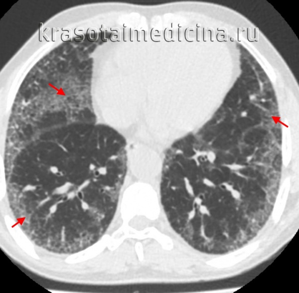
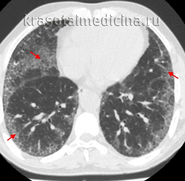
КТ ОГК. Интерстициальная пневмония, участки «матового стекла» (красная стрелка) и ретикулярные изменения.
Лечение интерстициальной пневмонии
Ранняя диагностика интерстициальной пневмонии положительно влияет на эффективность лечения и прогноз. В случае острой формы интерстициальной пневмонии поддержание дыхательной функции осуществляется с помощью оксигенотерапии и искусственной вентиляции легких. Лечение других форм базируется на применении глюкокортикостероидов (ГКС) и цитостатиков, способных оказывать выраженное противовоспалительное и иммуносупрессивное действие.
При НСИП, КОП, РБ-ИБЛ, ДИП и ЛИП показаны высокие или средние дозы преднизолона длительным курсом, при необходимости добавление цитостатических препаратов. Отказ от курения - обязательное условие разрешения десквамативной интерстициальной пневмонии и респираторного бронхиолита, ассоциированного с ИБЛ. При ИЛФ используют ГКС-монотерапию и более предпочтительные комбинации с азатиоприном или циклофосфамидом на протяжении как минимум 6 мес. с тщательным мониторингом состояния больного.
В качестве дополнительных применяются антифиброзные препараты (D-пеницилламин, колхицин, интерферон γ-1b). При развитии гипоксемии рекомендована кислородотерапия, при легочной гипертензии – вазодилататоры. Эффективно применение препаратов, влияющих на функциональную активность эндотелия - простагландинов, антиагрегантов, ингибиторов эндотелина-1, антиоксидантов. При формировании «сотового легкого» единственным методом лечения интерстициальной пневмонии является трансплантация легких.
Прогноз
Исход интерстициальной пневмонии зависит от формы заболевания и выраженности фиброза легких. Выживаемость больных в среднем составляет 5-6 лет, при ИЛФ с развитием пневмосклероза и сердечно-легочной недостаточности продолжительность жизни не превышает 3 лет. Острая интерстициальная пневмония даже при своевременном лечении имеет очень высокие показатели смертности - до 50-70%.
Клиническое улучшение и стабилизация состояния пациента в результате лечения неспецифической интерстициальной пневмонии наступает примерно в 75% случаев; около 35% больных имеют 10-летнюю выживаемость. При десквамативной форме улучшение/стабилизация наблюдаются в 2/3 случаев, а 5- и 10-летняя выживаемость достигает 93 и 69%, возможна полная ремиссия.
Большинство случаев лимфоцитарной интерстициальной и криптогенной организующейся пневмонии имеют благоприятный прогноз. РБ-ИБЛ часто разрешается при прекращении курения, в некоторых случаях имеет место упорное прогрессирование с рецидивами. Больным ИЛФ регулярно проводится вакцинация против гриппа и пневмококковой инфекции.
1. Неспецифическая интерстициальная пневмония/ Авдеев С.Н., Авдеева О.Е.// Практическая пульмонология. – 2007.
2. Морфологические особенности и механизмы прогрессирования идиопатических хронических интерстициальных пневмоний: Автореферат диссертации/ Мануйлова Т.Ю. – 2005.
3. Компьютерная томография высокого разрешения в дифференциальной диагностике интерстициальных пневмоний: Автореферат диссертации/ Абович Ю.А. – 2003.
Интерстициальная пневмония
Интерстициальная пневмония. Прогрессирующий воспалительный процесс, затрагивающий стенки альвеол и соединительную ткань паренхимы, с возможной вторичной внутриальвеолярной экссудацией и исходом в фиброзную перестройку легочных структур. Заболевание сопровождается усиливающейся одышкой, сухим или с незначительной мокротой кашлем, болью в груди, субфебрилитетом, «теплым» цианозом, сердечно-легочной недостаточностью. Диагностика интерстициальной пневмонии включает анализ данных рентгенографии и КТ легких, дыхательных тестов, биопсии легких. При интерстициальной пневмонии применяются кортикостероиды, цитостатики, оксигенотерапия, ИВЛ.
Интерстициальная пневмония
Дополнительные факты
Интерстициальная (идиопатическая интерстициальная) пневмония – первичное острое или хроническое воспаление межуточной ткани легких неясной этиологии, характеризующееся ее фибропролиферативными изменениями и снижением дыхательной функции. Клинико-патологическая классификация выделяет идиопатические интерстициальные пневмонии как отдельную группу интерстициальных болезней легких (ИБЛ), точную распространенность которых сложно оценить из-за редкого установления правильного диагноза. Среди множества проблем пульмонологии интерстициальная пневмония занимает особое место, характеризуется длительным тяжелым течением, нередко неблагоприятным исходом из-за неуклонно прогрессирующей фиброзной и склеротической трансформации легких. При интерстициальной пневмонии почти всегда отмечается снижение качества жизни и инвалидизация больных.
Классификация
Группа интерстициальных пневмоний включает в себя различные патоморфологические формы заболевания. К ним относятся:
• обычная интерстициальная пневмония (идиопатический легочный фиброз/фиброзирующий альвеолит).
• неспецифическая.
• острая (синдром Хаммена–Рича).
• десквамативная (макрофагальная).
• лимфоидная (лимфоцитарная).
• криптогенная организующаяся.
• респираторный бронхиолит, ассоциированный с ИБЛ.
Поражение при интерстициальной пневмонии может быть очаговым или диффузным, а по объему может охватывать целую долю или все легкое.
Все варианты интерстициальной пневмонии имеют некоторые патогенетические, морфологические и клинические отличия, особенности течения и прогноза. Для идиопатического легочного фиброза (ИЛФ) типичны нарушение архитектоники легких гетерогенного характера, рубцевание интерстициальной ткани, «сотовая» трансформация легких с множеством тонкостенных полостей без содержимого и инфильтрации, фокусы фибробластов. Неспецифическая интерстициальная пневмония (НСИП) имеет картину однородных воспалительных изменений интерстиция и фиброза с редким возникновением фибробластических фокусов. При острой интерстициальной пневмонии (ОИП) наблюдаются резкий отек альвеолярных стенок, образование внутри альвеол экссудата и гиалиновых мембран, частое развитие интерстициального фиброза.
Криптогенная организующаяся пневмония (КОП), или облитерирующий бронхиолит с организующейся пневмонией протекает с сохранением легочной архитектоники, организованным внутриальвеолярным экссудатом и диффузными полипообразными грануляциями в бронхиолах. При десквамативной форме (ДИП) возникает незначительное равномерное воспаление интерстиция легочной паренхимы со скоплением альвеолярных макрофагов в выстилке альвеол. Лимфоидная интестициальная пневмония (ЛИП) проявляется сочетанием гомогенной выраженной лимфоцитарной инфильтрации интерстиция и перибронхиальных лимфоидных фолликулов. Для респираторного бронхиолита типична бронхоцентричная миграция альвеолярных макрофагов при минимальных признаках воспаления и фиброза альвеол и интерстиция.
Наиболее часто встречаются идиопатический легочный фиброз и неспецифическая форма интерстициальной пневмонии. ИЛФ более характерен для пожилых мужчин (средний возраст 65 лет), прочие формы ИИП чаще выявляются у пациенток женского пола (35-55 лет), а неспецифическая и десквамативная иногда возникают у детей.
Причины
Этиология идиопатической интерстициальной пневмонии до конца не изучена. К заболеванию может быть причастно нарушение иммунологического гомеостаза, а пусковым фактором выступает некий антиген, к которому организм начинает вырабатывать антитела.
Развитие данной патологии могут провоцировать инфекционные агенты (микоплазмы, хламидии, пневмоцисты, легионеллы, риккетсии, респираторные вирусы, CMV, вирус герпеса) и определенные виды пыли. Склонны к интерстициальной пневмонии курящие или ранее курившие лица, ВИЧ-инфицированные и больные СПИДом (преимущественно дети). Лимфоидная форма может сочетаться с аутоиммунными заболеваниями (синдромом Шегрена), иммунопатиями (гипо- и гипергаммаглобулинемиями). Курение – одна из главных причин десквамативной пневмонии и респираторного бронхиолита. Криптогенная организующаяся пневмония имеет обычно идиопатический характер, но возможна связь с коллагенозами или медикаментозной терапией амиодароном, препаратами золота.
Воспаление при интерстициальной пневмонии протекает по типу пневмонита (альвеолита), носит чаще всего иммунный неинфекционный характер, затрагивая, главным образом, альвеолярные стенки и внеальвеолярную соединительную ткань легких, иногда с вторичной организацией экссудата внутри альвеол. Для интерстициальной пневмонии характерно первичное воспаление интерстициальной ткани с накоплением в ней иммунокомпетентных клеток, выделяющих различные повреждающие медиаторы (оксиданты, интерлейкин-1 и тд ) на ранней стадии и фиброгенные факторы, вызывающие развитие фибропролиферативных реакций, на поздней стадии.
Клиническая картина
Хроническое течение (более 12 месяцев) свойственно ИЛФ и ЛИП; подострое/хроническое – НСИП; подострое (месяцы и годы) – ДИП и РБ; острое/подострое – КОП; внезапное – ОИП. Клинические формы интерстициальной пневмонии сопровождаются малопродуктивным (сухим или с незначительной мокротой) кашлем, затруднением дыхания (ощущением «неполного вдоха») и нарастающей одышкой, сначала выраженной при нагрузках, затем в покое. Возникают боли в груди, эпизоды внезапной нехватки воздуха по ночам. Одышка ограничивает активность пациента, сопровождается быстрой утомляемостью, плохим сном, иногда потерей веса.
Симптомы бронхиальной обструкции при ИЛФ наблюдаются только у 4 % больных, значительно чаще они отмечаются при десквамативной форме. У больных может обнаруживаться «теплый» цианоз кожных покровов, который постепенно охватывает все тело. При КОП, НСИП, ЛИП возможна лихорадка. Проявления криптогенной формы часто напоминают симптомы бактериальной пневмонии. Для ИЛФ, неспецифической, десквамативной и лимфоцитарной интерстициальных пневмоний типичны «пальцы Гиппократа».
ИЛФ имеет незаметное начало с медленным нарастанием одышки и кашля, общей слабости, болей в мышцах и суставах, отсутствием лихорадки и кровохарканья. Прогрессирование этой формы сопровождается похуданием (вплоть до кахексии), развитием дыхательных нарушений, первичной легочной гипертензии. Тяжелая дыхательная недостаточность с проявлениями легочного сердца при ИЛФ может сформироваться за период от 2-х месяцев до 2-х лет.
Симптомы острой интерстициальной пневмонии (синдрома Хаммена–Рича) схожи с клиникой гриппа и острого респираторного дистресс-синдрома. Наблюдается молниеносное течение с быстро прогрессирующей дыхательной недостаточностью и высоким процентом летальных исходов.
Ассоциированные симптомы: Боль в груди слева. Боль в груди справа. Боль в грудной клетке. Высокая температура тела. Вязкая мокрота. Изменение аппетита. Кашель. Кровохарканье. Ломота в теле. Мокрота. Нехватка воздуха. Ночная потливость у мужчин. Одышка. Першение в горле. Субфебрильная температура.
Диагностика
Диагностика интерстициальной пневмонии затруднена, основана на результатах анамнеза, физикального осмотра, рентгенографии и КТВР легких, исследования ФВД (спирометрии, бодиплетизмографии); торакоскопической или открытой биопсии легких.
При интерстициальной пневмонии выявляется мягкая крепитация: на ранней стадии, в основном, в прикорневых сегментах легких, на поздней - по всем легочным полям и в верхушках легких. Для ИЛФ типична инспираторная крепитация по типу «треска целлофана». Отмечаются жесткое дыхание, влажные или сухие мелкопузырчатые хрипы в легких. При перкуссии имеется небольшое укорочение звука, соответствующее области поражения.
Функциональные дыхательные тесты выявляют нарушение вентиляции и расстройства диффузионной способности легких (при ИЛФ - рестриктивного типа с резким и крайне резким снижением легочных объемов). Рентгенологическими признаками интерстициальной пневмонии могут являться симметричные полупрозрачные затемнения по типу «матового стекла», в основном в нижних отделах легких; утолщение междолькового и внутридолькового интерстиция; кистозно-фиброзные изменения, периваскулярная и перибронхиальная инфильтрация и тракционные бронхоэктазы.
КТВР помогает уточнить распространенность поражения легочной ткани, оценить стадию, активность и темпы прогрессирования фиброзного процесса. Важным этапом диагностики интерстициальной пневмонии является биопсия легкого с гистологическим анализом биоптатов легочной ткани. ЭхоКГ-симптомы нарушения гемодинамики в малом круге кровообращения отмечаются только при достаточно высоких показателях площади фиброзных изменений в легких.
Дифференциальная диагностика
Дифференциальная диагностика интерстициальной пневмонии проводится с бактериальной пневмонией, туберкулезом, другими ИБЛ. Лечебно-диагностические мероприятия при интерстициальной пневмонии подразумевают взаимодействие пульмонолога, торакального хирурга, врача-рентгенолога, патоморфолога.
Лечение
Ранняя диагностика интерстициальной пневмонии положительно влияет на эффективность лечения и прогноз. В случае острой формы интерстициальной пневмонии поддержание дыхательной функции осуществляется с помощью оксигенотерапии и искусственной вентиляции легких. Лечение других форм базируется на применении глюкокортикостероидов (ГКС) и цитостатиков, способных оказывать выраженное противовоспалительное и иммуносупрессивное действие.
При НСИП, КОП, РБ-ИБЛ, ДИП и ЛИП показаны высокие или средние дозы преднизолона длительным курсом, при необходимости добавление цитостатических препаратов. Отказ от курения - обязательное условие разрешения десквамативной интерстициальной пневмонии и респираторного бронхиолита, ассоциированного с ИБЛ. При ИЛФ используют ГКС-монотерапию и более предпочтительные комбинации с азатиоприном или циклофосфамидом на протяжении как минимум 6 мес. С тщательным мониторингом состояния больного.
В качестве дополнительных применяются антифиброзные препараты (D-пеницилламин, колхицин, интерферон γ-1b). При развитии гипоксемии рекомендована кислородотерапия, при легочной гипертензии – вазодилататоры. Эффективно применение препаратов, влияющих на функциональную активность эндотелия - простагландинов, антиагрегантов, ингибиторов эндотелина-1, антиоксидантов. При формировании «сотового легкого» единственным методом лечения интерстициальной пневмонии является трансплантация легких.
Прогноз
Исход интерстициальной пневмонии зависит от формы заболевания и выраженности фиброза легких. Выживаемость больных в среднем составляет 5-6 лет, при ИЛФ с развитием пневмосклероза и сердечно-легочной недостаточности продолжительность жизни не превышает 3 лет. Острая интерстициальная пневмония даже при своевременном лечении имеет очень высокие показатели смертности - до 50-70%.
Клиническое улучшение и стабилизация состояния пациента в результате лечения неспецифической интерстициальной пневмонии наступает примерно в 75% случаев; около 35% больных имеют 10-летнюю выживаемость. При десквамативной форме улучшение/стабилизация наблюдаются в 2/3 случаев, а 5- и 10-летняя выживаемость достигает 93 и 69%, возможна полная ремиссия. Большинство случаев лимфоцитарной интерстициальной и криптогенной организующейся пневмонии имеют благоприятный прогноз. РБ-ИБЛ часто разрешается при прекращении курения, в некоторых случаях имеет место упорное прогрессирование с рецидивами. Больным ИЛФ регулярно проводится вакцинация против гриппа и пневмококковой инфекции.
Читайте также:
