Магнитно-резонансная томография (МРТ) при гемифациальном спазме
Добавил пользователь Владимир З. Обновлено: 27.01.2026
Гемифациальный спазм (лицевой гемиспазм) — это безболезненное непроизвольное подергивание половины лица, вызванное нарушением работы 7-го черепного (лицевого) нерва и/или участка головного мозга, который его контролирует (называется центром или ядром). Этот нерв управляет мимическими мышцами и слюнными и слезными железами, передает в мозг информацию о вкусе, воспринятую передними 2/3 языка, и управляет мышцей среднего уха.
Подергивание сначала может возникать только время от времени, но может становиться практически постоянным.
Врачи ставят диагноз гемифациального спазма на основании симптомов, но проводят магнитно-резонансную томографию для выявления других заболеваний, которые могут вызывать аналогичные симптомы.
Гемифациальный спазм лечат ботулиническим токсином или другим лекарственным препаратом, но если лекарственные препараты неэффективны, может потребоваться хирургическое вмешательство.
Гемифациальный спазм встречается у мужчин и женщин, но чаще у женщин среднего и пожилого возраста.
Спазмы могут быть вызваны
Неправильно расположенная артерия или сосудистая петля давит на лицевой нерв (сдавливает его) в месте его выхода из ствола головного мозга
Симптомы гемифациального спазма
Мышцы на пораженной стороне лица непроизвольно подергиваются, обычно начиная с века и распространяясь затем на щеку и рот. Подергивание может быть вначале перемежающимся, но затем может стать почти постоянным.
Гемифациальный спазм практически безболезнен, но может быть неприятным и выглядеть как судорога.
Диагностика гемифациального спазма
Гемифациальный спазм диагностируется, когда врачи видят спазмы.
Магнитно-резонансная томография (МРТ) должна проводиться для исключения опухолей, других структурных отклонений от нормы и рассеянного склероза, которые могут вызывать похожие симптомы. Кроме того, МРТ обычно позволяет обнаружить неправильно расположенную артерию, сдавливающую нерв.
Лечение гемифациального спазма
Иногда хирургическое вмешательство
Если медикаментозное лечение не помогает, больному могут сделать операцию. Во время этой операции хирург отделяет неправильно расположенную артерию от нерва и помещает между ней и нервом кусочек пористого материала ().
Устранение сдавления нерва
Если боль вызвана неправильно расположенной артерией, сдавливающей черепной нерв, боль можно облегчить хирургически. Эта операция называется васкулярной декомпрессией.
Процедура, проводимая на лицевом нерве, у людей с гемифациальном спазмом, не отличается от процедуры для тройничного нерва (представлена ниже).
Если тройничный нерв сдавлен, больному выбривают участок головы на затылке и делают там разрез. Хирург вырезает в черепе небольшое отверстие и приподнимает край головного мозга, чтобы обнажить нерв. После этого хирург отделяет артерию от нерва и укладывает между ними кусочек губчатого материала.
Операция проводится под общим наркозом, но опасность побочных явлений невелика. Обычно эта процедура уменьшает боль.
Магнитно-резонансная томография (МРТ) при гемифациальном спазме
а) Терминология:
1. Аббревиатура:
• Гемифациальный спазм (ГФС)
2. Синонимы:
• Синдром сосудистой петли лицевого нерва, синдром гиперактивной дисфункции лицевого нерва
3. Определение:
• Спазм половины лица, обусловленный сдавливанием лицевого нерва сосудистой петлей в области выхода его корешка в цистерне мостомозжечкового угла (ММУ)
б) Визуализация:
1. Общая характеристика:
• Лучший диагностический критерий:
о МРТ Т2 ВИ высокого разрешения: извитой асимметричный участок выпадения сигнала (сосуд) во внутренних отделах ММУ
• Локализация:
о Петля во внутренних отделах цистерны ММУ в области выхода корешка ЧН VII
• Сосуды, приводящие к ГФС: ПНМА (50%), ЗИМА (30%), ПА (15%), вена (5%)

(Слева) При аксиальном исходном изображении (МРА) у пациента с спазмом правой половины лица визуализируются извитая правая позвоночная артерия и ЗНМА, воздействующие на область выхода корешка лицевого нерва. В цистерне мостомозжечкового угла (ММУ) визуализируется лицевой нерв.
(Справа) При аксиальной МРТ CISS на уровне цистерн ММУ у пациента с правосторонним гемифациальным спазмом определяется петля ЗНМА, смещающая ЧН VII в цистерне ММУ кзади, в результате чего он «свешивается» с заднего края слухового отверстия.
2. МРТ при гемифациальном спазме:
• Т2 ВИ:
о Т2 ВИ высокого разрешения: сосуд в виде гипоинтенсивной трубки, идущей в гиперинтенсивном ликворе
• FLAIR:
о Прилежащие отделы мозга обычно не изменены
о При ГФС может наблюдаться PC
• MPA:
о Исходные изображения наиболее информативны
3. Рекомендации по визуализации:
• Лучший метод визуализации:
о Тонкосрезовая МРТ ММУ высокого разрешения лучше всего для визуализации сосудистой петли
• Выбор протокола:
о Вначале Т2 или FLAIR головного мозга для исключения рассеянного склероза
о Затем аксиальная и корональная Т1 ВИ С+ FS ствола мозга и цистерны ММУ, а также глубоких отделов лица:
- Ищите асимметричные изменения вен, обусловливающие ГФС
- Ищите цистернальную или периневральную опухоль, неврит ЧН
о Т2 ВИ высокого разрешения мозгового ствола и цистерны ММУ:
- Лучшая последовательность для визуализации причинной артерии

(Слева) При аксиальной МРТ CISS у пациента с левосторонним гемифациальным спазмом визуализируется петля левой позвоночной артерии, выдающаяся в цистерну ММУ, где она воздействует на проксимальную часть лицевого нерва в области выхода корешка.
(Справа) При аксиальной МРТ Т2 ВИ у пациента с гемифациальным спазмом определяется долихоэктазия позвоночной артерии, воздействующей на зону выхода корешка лицевого нерва во внутренних отделах цистерны ММУ. Приблизительно у 50% пациентов с гемифациальным спазмом обнаруживаются изменения на МРТ, обычно на тонкосрезовых Т2 последовательностях или МРА.
в) Дифференциальная диагностика гемифациального спазма:
1. Аневризма в ММУ-ВСК:
• Аневризма ЗНМА или позвоночной артерии
• Овальное объемное образование с неоднородным сигналом
2. Артериовенозная мальформация ММУ:
• Артерии и вены большего размера; гнездо мальформации
• Редко в задней ямке
3. Врожденная венозная аномалия задней ямки:
• Более крупные сосуды (вены)
• ММУ - редкий путь венозного дренажа
• Редко приводит к сдавливанию нерва и ГФС
г) Патология:
1. Общая характеристика:
• Этиология:
о «Раздражение» ЧН VII сосудом:
- Вторичное поражение ядер в мозговом стволе
- Нарушение вызванных потенциалов ствола мозга
2. Микроскопия:
• Повреждение миелина, покрывающего проксимальную часть ЧН VII
д) Клинические особенности:
1. Проявления:
• Типичные признаки/симптомы:
о ГФС: односторонний непроизвольный спазм лица:
- Начинается со спазма круговой мышцы глаза
- Затем тонически-клонические судороги становятся постоянными
2. Демография:
• Возраст:
о Пожилые пациенты (обычно > 65 лет)
• Эпидемиология:
о
3. Течение и прогноз:
• Бессимптомный период после операции > 5 лет у 90%
4. Лечение:
• Местные инъекции ботулотоксина:
о Со значительным улучшением у 85% пациентов
о Через каждые четыре месяца
• Микрососудистая декомпрессия при необходимости:
о Приводит к стойкому улучшению у 90% пациентов
е) Диагностическая памятка:
1. Следует учесть:
• Изменения на МРТ обнаруживаются у 50% пациентов с ГФС
2. Советы по интерпретации изображений:
• Вначале следует выявить объемные образования в цистерне, рассеянный склероз
• Необходимо оценить дистальные отделы ЧН VII в височной кости и околоушной железе:
о Следует исключить гемангиому, злокачественную опухоль околоушной железы
• МРА и Т2 ВИ высокого разрешения для поиска причинного сосуда:
о Отрицательные результаты МРТ не препятствуют хирургическому лечению
ж) Список использованной литературы:
1. Garcia М et al: High-resolution 3D-constructive interference in steady-state MR imaging and 3D time-of-flight MR angiography in neurovascular compression: a comparison between 3T and 1.5T. AJNR Am J Neuroradiol. 33(7): 1251-6, 2012
2. Huh R et al: Microvascular decompression for hemifacial spasm: analyses of operative complications in 1582 consecutive patients. Surg Neurol. 69(2): 153-7; discussion 157, 2008
3. Lee MS et al: Clinical usefulness of magnetic resonance cisternography in patients having hemifacial spasm. Yonsei Med J. 42(4):390-4, 2001
4. Yamakami I et al: Preoperative assessment of trigeminal neuralgia and hemifacial spasm using constructive interference in steady state-threedimensional Fourier transformation magnetic resonance imaging. Neurol Med Chir (Tokyo). 40(11):545-55; discussion 555-6, 2000
5. Mitsuoka H et al: Delineation of small nerves and blood vessels with threedimensional fast spin-echo MR imaging: comparison of presurgical and surgical findings in patients with hemifacial spasm. AJNR Am J Neuroradiol. 19(10): 1823-9, 1998
МРТ при нейроваскулярном конфликте
Нейроваскулярный конфликт представляет собой компрессию уязвимого безмиелинового участка корешка черепномозгового нерва, расположенного тотчас после его выхода из моста, каким либо близко расположенным сосудом. Наиболее часто встречается конфликт черепномозгового нерва с артерией, реже с венозным сосудом. Среди артерий это может быть базилярная артерия, верхняя мозжечковая артерия, передняя или задняя нижняя мозжечковые или позвоночная артерия. Учитывая опыт большого количества наблюдений, таким сосудом чаще оказывается верхняя мозжечковая артерия, которая петлей обвивается вокруг безмиелинового участка корешка тройничного нерва.Развитие патологической активности спинномозгового нерва при нейроваскулярном конфликте связано с механическим воздействием пульсирующего сосуда и дальнейшим распространением импульсации по ходу компремированного нерва.Долгое время диагностирование нейроваскулярного конфликта было возможный только при оперативном вмешательстве.Появление магнитнорезонансной
МРТ при нейроваскулярном конфликте
Нейроваскулярный конфликт представляет собой компрессию уязвимого безмиелинового участка корешка черепномозгового нерва, расположенного тотчас после его выхода из моста, каким либо близко расположенным сосудом.
Наиболее часто встречается конфликт черепномозгового нерва с артерией, реже с венозным сосудом. Среди артерий это может быть базилярная артерия, верхняя мозжечковая артерия, передняя или задняя нижняя мозжечковые или позвоночная артерия.

Учитывая опыт большого количества наблюдений, таким сосудом чаще оказывается верхняя мозжечковая артерия, которая петлей обвивается вокруг безмиелинового участка корешка тройничного нерва.
Развитие патологической активности спинномозгового нерва при нейроваскулярном конфликте связано с механическим воздействием пульсирующего сосуда и дальнейшим распространением импульсации по ходу компремированного нерва.
Долгое время диагностирование нейроваскулярного конфликта было возможный только при оперативном вмешательстве.
Появление магнитнорезонансной томографии высокого разрешения с применением специальной программы 3D TSE дало возможность четко визуализировать черепномозговые нервы и располагающиеся рядом сосуды, а значит быстро, точно и достоверно выявлять причину пароксизмальной активности черепномозговых нервов.
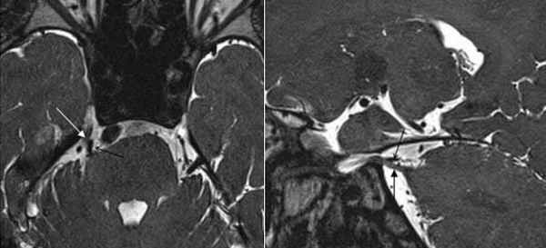
На корональной томограмме с обеих сторон хорошо видны тройничные нервы

На аксиальной и сагиттальной томограммах четко визуализируется правый тройничный нерв и прилегающая к его верхнему контуру правая верхняя мозжечковая артерия

Наиболее часто компрессии близко расположенными сосудистыми структурами подвергаются тройничный и лицевой нервы, являясь одной из причин таких тяжелых и мучительных заболеваний, как невралгия тройничного нерва и гемифациальный спазм.
Невралгия тройничного нерва.
Данное заболевание проявляет себя так называемой «лицевой болью». Характер боли – острая, внезапная, кратковременная и чаще всего односторонняя, соответственно зоне иннервации поврежденного нерва.
Первый приступ боли настолько болезненный и неожиданный, что пациенты, придя к врачу, всегда точно описывают все обстоятельства и время возникновения пароксизма.
Иногда заболевание дебютирует неприятным чувством подергивания или «наэлектризованности» в определенной области лица и лишь спустя время, при возникновении типичной пароксизмальной боли, возникает возможность назначить необходимое обследование и поставить правильный клинический диагноз.
Приступы лицевой боли характеризуются триггерной активностью, т.е. возникают при наличии определенных раздражителей (триггеров). Это могут быть жевание, пребывание на ветру или на холоде, разговор или чистка зубов.
Пароксизмы повторяются днем и ночью обычно несколько недель, затем ослабевают. Через некоторое время приступы возникают снова, а спустя несколько лет заболевание приобретает постоянный характер.
Аксиальный срез (А, Б), сагиттальная проекция (В). Определяется нейроваскулярный конфликт между артерией и тройничным нервом. Компрессия тройничного нерва прилежащей к нему артерией обозначена стрелкой.

У места выхода тройничного нерва из ствола головного мозга (обозначено кругом) определяется крупный артериальный сосуд, компремирующий указанный нерв. На противоположной стороне визуализируется корешок V нерва, на расстоянии от которого проходит аналогичный артериальный сосуд.

Гемифациальный спазм.
Для данного заболевания характерно возникновение периодических безболезненных судорог в круговой мышце глаза, постоянно усиливающихся по частоте и силе. Судороги распространяются вниз по лицу, затрагивая мимическую мускулатуру, находящуюся в зоне иннервации лицевого нерва.
Пароксизмы возникают или усиливаются при разговоре, эмоциональном возбуждении, во время еды.
Выделяют типичный и атипический лицевой гемиспазм.
Типичный характеризуется началом судорог с круговой мышцы глаза и дальнейшим распространением на всю нижележащую мимическую мускулатуру соответствующей половины лица.
Атипический гемифациальный спазм начинается с мышц щеки и далее распространяется на всю вышележащую мимическую мускулатуру.
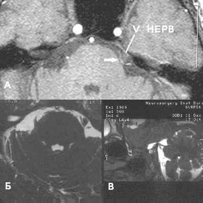
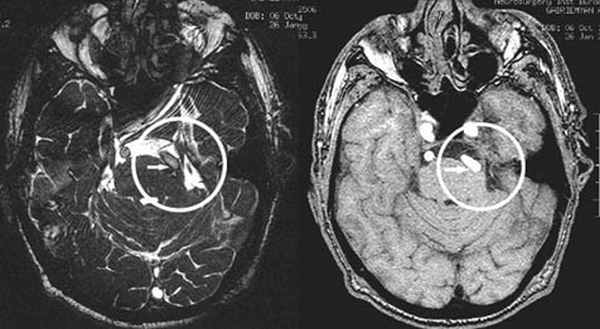
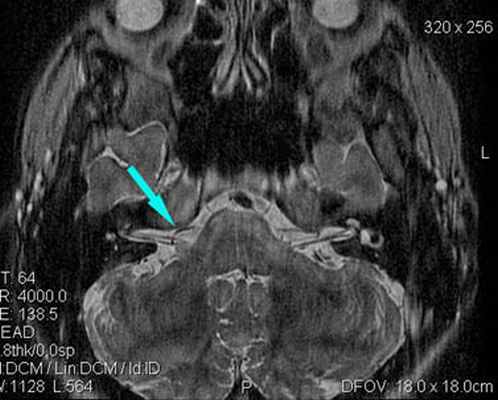
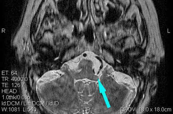
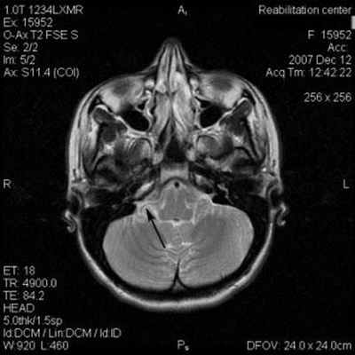
Определяется близкое расположение артериального сосуда и лицевого нерва (указано стрелкой), что может являться причиной гемифациального спазма

Определяются признаки компрессии лицевого нерва около ствола головного мозга крупным артериальным сосудом – позвоночной артерией (указано стрелкой).

Визуализируется близкое расположение артериального сосуда и лицевого нерва (указано стрелкой), что может являться причиной гемифациального спазма

Компрессия сосудом зоны выхода из ствола головного мозга вестибулярного нерва приводит к появлению жалоб на головокружение. При нейроваскулярном конфликте в области кохлеарного нерва возникают жалобы на шум в ушах и снижение слуха.
В настоящее время МРТ является ведущим методом диагностики, позволяющим диагностировать множество заболеваний. Применение дополнительных программ - весомый шаг к усовершенствованию, точности и достоверности диагностики и дифференциальной диагностики различных патологических процессов. Применяемая в наших центрах программа 3D TSE позволяет четко визуализировать сосуды и черепномозговые нервы в области их выхода из ствола головного мозга, а значит достоверно диагностировать причины компрессии нервов, нейроваскулярный конфликт.
Гемифациальный спазм (лицевой гемиспазм)
Рассмотрено заболевание гемифациальный спазм, возникающее в 50-60 лет. Также рассмотрены похожих заболеваний. Симптомы, диагностика и методы лечения в подробном виде.

Гемифациальный спазм впервые был описан Гауэрсом в 1884 году, и представляет собой сегментарный миоклонус мышц, иннервируемых лицевым нервом. Заболевание возникает в возрасте 50-60 лет, почти всегда с одной стороны, хотя иногда, в тяжелых случаях, бывает и двустороннее поражение. Гемифациальный спазм обычно начинается с коротких клонических движений круговой мышцы глаза и в течение нескольких лет охватывает и другие мышцы лица (лобную, подкожную, скуловую и др.).
Клонические движения постепенно прогрессируют до устойчивых тонических сокращений вовлеченных мышц. Хроническое раздражение лицевого нерва или ядра(что считается основной причиной гемифациального спазма) может возникать из-за различных причин.
Мускулатура лица подвержена таким же двигательным расстройствам, как и мышцы конечностей или туловища. Миоклонус, дистония и другие двигательные нарушения проявляются в виде конкретных синдромов в лицевой мускулатуре. Четкое понимание механизма развития нарушений позволяет провести правильную диагностику и подобрать адекватное лечение.
Причины гемифациального спазма включают: компрессию сосудов, компрессию нерва объемными образованиями, поражения ствола мозга при инсульте или рассеянном склерозе и вторичные причины, такие как травма или паралич Белла.
Хотя существуют различные методы лечения черепно-лицевых двигательных расстройств, хемоденервация с помощь ботулинического токсина оказалась очень эффективной для лечения этих расстройств, превосходя в некоторых случаях, как медикаментозное лечение, так и хирургическое лечение.
Раздражение ядра лицевого нерва, как полагают, приводит к повышенной возбудимости ядра, в то время как раздражение проксимального отдела нерва может привести к эфаптической трансмиссии в пределах лицевого нерва. Такой механизм объясняет ритмичные, непроизвольные миоклонические сокращения, которые наблюдаются при гемифациальном спазме.
Компрессионные повреждения (например, опухоль, артериовенозная мальформация, болезнь Педжета) и некомпрессионные поражения (например, инсульт, рассеянный склероз, базилярный менингит) могут проявляться гемифациальным спазмом. Большинство случаев гемифациального спазма, которые раньше считались идиопатическими, вероятно, были вызваны аномалией кровеносных сосудов и компрессией лицевого нерва в пределах мосто-мозжечкового угла.
Эпидемиология
Гемифациальный спазм встречается у людей разных рас с одинаковой частотой. Существует некоторое преобладание этого заболевания у женщин. Идиопатический гемифациальный спазм, как правило, развивается на пятом или шестом десятилетии жизни. Развитие гемифациального спазма у пациентов моложе 40 лет является необычным, и часто является симптомом неврологического заболевания (например, рассеянного склероза).
Симптомы
Непроизвольные движения мышц лица является единственным симптомом гемифациального спазма. Усталость, тревога или чтение могут ускорить движения. Спонтанный гемифациальный спазм проявляется лицевыми спазмами, которые представляют собой миоклонические судороги и аналогичны сегментарным миоклонусам, которые могут возникать и в других частях тела. Постпаралитический гемифациальный спазм, например после паралича Белла, проявляется как синкинезия лица и контрактура.
Существует ряд состояний похожих на гемифациальный спазм.
Спазм жевательной мышцы
Гемиспазм жевательной мышцы аналогичен гемифациальному спазму и возникает при раздражением моторного тройничного нерва. Это редкое состояние,представляющее собой сегментарный миоклонус, и проявляющееся односторонними непроизвольными сокращениями мышц,иннервируемых тройничным нервом (жевательных). Как и при гемифациальном спазме, гемиспазм жевательной мышцы хорошо лечится с помощью медикаментов и ботулинического токсина. Кроме того, есть свидетельства того, что в некоторых случаях может быть эффективно хирургическое лечение.
Миоклонические движения
Миоклонические движения в лицевой мускулатуре могут также возникать при поражениях головного мозга или ствола мозга. Они отличаются от гемифациального спазма распределением аномальных движений (более генерализованные, возможно, двусторонние), и могут быть диагностированы методами нейрофизиологии.Методы визуализации могут выявить более глубокие причины. Центральный миоклонус неплохо поддается противосудорожной терапии.
Оромандибулярная дистония
Оромандибулярная дистония - это мышечная дистония, влияющая на нижнюю мускулатуру лица, преимущественно челюсти, глотку и язык. Если оромандибулярная дистония встречается в сочетании с блефароспазмом, то это называется синдромом Меджа.
Ботулинотерапия наиболее эффективна при лечении оромандибулярной дистонии. Медикаменты также в определенной степени применяются для оромандибулярной дистонии.
Краниофациальный тремор
Краниофациальный тремор может быть ассоциирован с эссенциальным тремором, болезнью Паркинсона, дисфункцией щитовидной железы, нарушениями электролитного баланса. Это состояние редко возникает изолированно. Фокальные моторные приступы необходимо иногда отличить от других двигательных лицевых расстройств, в частности, гемифациального спазма. Постиктальная слабость и более активное вовлечение нижней части лица являются отличительными чертами фокальных моторных приступов.
Хорея лица
Фациальная хорея возникает в контексте системного двигательного расстройства (например, болезнь Хантингтона, хорея Сиденхема). Хорея является эпизодически возникающим комплексом движений без паттерна. Похожее состояние, спонтанная орофациальная дискинезия, возникает у пожилых людей без зубов. Как правило, установка протезов дает хороший эффект.
Тики
Тики лица представляют собой короткие, повторяющиеся, скоординированные самопроизвольные движения, сгруппированных мышц лица и шеи. Тики могут возникать физиологически или в связи с диффузной энцефалопатией. Некоторые лекарства (например, противосудорожные препараты, кофеин, метилфенидат, антипаркинсонические препараты) могут быть причиной тиков. Единичные, повторяющиеся, стереотипные движения являются характерными для тиков.
Миокимия лица
Фациальная миокимия проявляется червеобразными подергиваниями под кожей, часто с волнообразным распространением. Это состояние отличается от других аномальных движений лица характерными разрядами на ЭМГ, представляющими собой короткие, повторяющиеся всплески потенциалов двигательных единиц в диапазоне 2-60 Гц, с периодами молчания до нескольких секунд. Миокимия лица может возникнуть при любом процессе в стволе головного мозга. Большинство случаев миокимии лица идиопатические, и излечиваются самостоятельно в течение нескольких недель.
Диагностика
Ранние случаи гемифациального спазма иногда бывает трудно отличить от миокимии лица, тиков или миоклонусов причиной, которых могут быть патологические процессы в коре головного мозга или стволе. В таких случаях, наиболее ценным диагностическим методом служит нейрофизиологическое тестирование.
Широкая и вариабельная синкинезия при тестах на моргание и высокочастотные разряды на электромиографии (ЭМГ) с соответствующими клиническими проявлениями являются диагностическими критериями гемифациального спазма. Стимуляция одной ветви лицевого нерва может распространиться и вызвать реакцию в мышце, иннервируемой другой веткой. Синкинезия отсутствует при эссенциальном блефароспазме, дистонии или эпилепсии. Игольчатая миография показывает, нерегулярные, короткие, высокочастотные всплески потенциалов (150-400 Гц) моторных единиц, которые коррелируют с клинически наблюдаемыми движениями лица.
Методы визуализации
Магнитно-резонансная томография является методом диагностического выбора, когда есть необходимость исключить компрессионное воздействие. Ангиография церебральных сосудов,как правило,имеет небольшую ценность для диагностики гемифациального спазма. Эктазированные кровеносные сосуды редко идентифицируются, и эти находки (изменения) в сосудах бывает трудно коррелировать с воздействием на нерв. Выполнение ангиографии и / или магнитно-резонансной ангиографии, как правило, применяется для выполнения хирургической сосудистой декомпрессии.
Лечение

Для большинства пациентов с гемифациальным спазмом, методом выбора является введение ботулинического токсина под контролем электромиографии (ЭМГ). Хемоденервация безопасна и дает хороший лечебный эффект у большинства пациентов, особенно у тех, у кого есть устойчивые сокращения. Исчезновение спазмов происходит через 3-5 дней после инъекции и длится около 6 месяцев.
Лекарства, используемые в лечении гемифациального спазма включают карбамазепин и бензодиазепины (для некомпрессионных поражений). Карбамазепин, бензодиазепины, баклофен также могут быть использованы у пациентов, которые отказываются от инъекций ботулотоксина. Компрессионные повреждения необходимо лечить оперативными методами. Микроваскулярная хирургическая декомпрессии может быть эффективна для тех пациентов, которые не реагируют на инъекции ботулинического токсина.
Инъекции ботулинического токсина
Инъекции ботулинического токсина проводятся под контролем ЭМГ. Побочные эффекты инъекций токсина (например, асимметрия лица, птоз, слабость лицевых мышц), как правило, являются временными. Большинство пациентов отмечают хороший лечебный эффект от введения токсина. Медикаменты могут быть использованы в начале развития гемифациального спазма или у пациентов, которые отказываются от введения ботулинического токсина.
Из медикаментов наиболее эффективны такие препараты, как карбамазепин и бензодиазепины (например, клоназепам). Часто, эффективность лекарства снижается с течением времени, что требует более активного лечения.
Хирургическая декомпрессия применяется в случае наличия компрессионного воздействия на нерв.
Использование материалов допускается при указании активной гиперссылки на постоянную страницу статьи.
Магнитно-резонансная томография (МРТ) при гемифациальном спазме
Выбирая клинику, мы часто смотрим на отзывы или ориентируемся на цены. Но очень важно доверять специалистам, которые будут проводить процедуры…
Самыми распространёнными видами записи результатов процедуры МРТ являются: флешка, диск и пленка. Давайте рассмотрим преимущества и недостатки каждого вида, ведь…
Аденомиоз характеризуется отсутствием опухолевых образований, который становится результатом дисплазии желез и стромы базального покрова эндометрия в подлежащий миометрий.
В современной диагностике контрастирование получило чрезвычайно широкое распространение. Его успешно используют в рентгенографии, а также в компьютерной (КТ), магнитно-резонансной (МРТ)…
Большинство пациентов, направляемых на магнитно-резонансную томографию, задают один и тот же вопрос: страшно ли делать МРТ? Это вполне закономерно, ведь…
Судя по тому, что вы решили ознакомиться с данным материалом, в скором времени вам предстоит прохождение магнитно-резонансной томографии, и данная…
Магнитно-резонансная томография – это сверхновый способ диагностирования, полностью безопасный для здоровья за счет лучевого воздействия. Томограф гарантирует высокоточное обследование и…
В наше время современные медицинские технологии бурно развиваются, практически каждый день предлагая новые решения для сложных проблем. Однако, несмотря на…
Клиника «Тандем Мед» в Воронеже оборудована томографом последнего поколения, что позволяет проводить высококачественное и сверхточное обследование различных органов. Гибкая ценовая…
Магнитно-резонансная томография способна наглядно продемонстрировать изменения структур практически любой зоны диагностирования, которые расшифровываются и комментируются в дальнейшем врачом-рентгенологом. Визуализирование отклонений…
Каждый человек в жизни хоть раз сталкивался с плохим самочувствием. У некоторых дискомфорт вызывает обычная простуда, а другая категория людей…
Латеральный и медиальный эпикондилит — это похожие заболевания, с локализацией в верхних конечностях. Эпикондилит вызывает боль и функциональные нарушения и…
Головные боли в определенном проценте случаев обусловлены проблемами в шее и называются цервикокраниалгией. Такие боли, как правило, связаны с изменениями…
Шеи и плечо образованы мышцами, костями, нервами, венами и артериями, а также связками и другими опорными структурами. Причиной болей в…
Боль в области шеи (цервикалгия) является распространенным болевым синдромом. Около 10 процентов взрослых хотя бы один раз в жизни испытывали…
При бросках над головой возникает чрезвычайно высокая нагрузка на локоть. В бейсболе и других видах спорта, где есть такие броски…
Боль в грудной клетке (торакалгия) является одним из самых серьезных симптомов, которые могут возникнуть у человека. Иногда даже врач не…
Тендовагинит Тендовагинит — воспаление сухожилия и его окружающих оболочек, также известных как синовиальные. Некоторые сухожилия покрыты синовиальными оболочками, но есть…
Тендинит трицепса это состояние, характеризующееся повреждением тканей сухожилия трицепса, что проявляется болями в задней части локтя. Мышца на задней части…
Так нередко называют грибковое поражение стоп, чаще встречающееся у людей, занимающихся спортом. Грибковые поражения (микозы) бывают вызваны несколькими видами грибков…
Спондилолистез это состояние, при котором происходит сползание (соскальзывание) одного позвонка по отношению к другому, вперед или назад. Сползание вперед называется…
Спондилез буквально означает уплотнение или фиксацию позвонков в результате патологических изменений в позвоночнике. Спондилез вызван дегенеративными изменениями в позвоночнике, такими…
Спинальный стеноз – сужение свободного пространства в позвоночном канале, которое приводит к давлению на корешки спинного мозга или спинной мозг….
Спинальный стеноз – сужение свободного пространства в позвоночном канале, которое приводит к давлению на корешки спинного мозга или спинной мозг….
Исторически вариантами лечения идиопатического сколиоза подростков (наиболее распространенной формы сколиоза) являются упражнения, корсетирование и хирургическое лечение. Сочетание ЛФК и корсетирования…
Синдром лестничной мышцы (еще называется скаленус – синдром) группа симптомов включающих в себя боль, онемение и слабость в области шеи…
Спинной мозг простирается от мозга вниз по спинномозговому каналу в позвоночном столбе. Спинной мозг окружен дуральными мешками, которые являются продолжением…
В связи с тем, что в наше время все большее распространение получает сидячий образ жизни, у большинства людей так или…
Синдром вертебральной (позвоночной) артерии является определением группы синдромов (сосудистых, вегетативных) возникающих вследствие нарушения кровотока в вертебральных артериях, вызванных различными проблемами….
Ретролистез представляет собой заднее смещение одного позвонка по отношению к смежному позвонку, но гораздо меньшее, чем сублюксация. Обычно речь о…
В жизни каждого человека бывают неожиданные и неприятные моменты, приводящие к ушибам, вывихам, переломам костей и повреждениям мышечно-связочного аппарата. Большинство…
Рассеянный склероз – это заболевание, которое поражает спинной и головной мозг, в результате которого происходит нарушения контроля над мышцами, нарушения…
Рассекающий остеохондрит (болезнь Кенига) это заболевание, при котором фрагмент хряща и подлежащей кости в области сустава становится свободным или отделяется…
Разрывы сухожилий двуглавой мышцы плеча в последнее время стали достаточно частой травмой. Причем до 90 % случаев разрывов происходит в…
Суставная губа представляет собой ободок волокнистой хрящевой ткани вокруг суставной ямки, который увеличивает полость розетки и обеспечить стабильность головки плечевой…
Радикулит (радикулопатия) — это общий термин, который используется медиками для обозначения симптомов, связанных с зажатым или воспаленным корешком спинного мозга…
Пяточная шпора представляет собой депозит кальция на нижней части пяточной кости. На рентгеновском снимке, пяточная шпора может выступать вперед на…
Посттравматическая головная боль возникает после травмы головы или шеи. В самом деле, головная боль является наиболее распространенным симптомом, который люди…
Таз одна из наиболее важных, хотя и подчас игнорируемых частей, скелета. Таз по форме напоминает корзину с наконечником и в…
Многие пациенты, получив информацию о наличии остеофитов, начинают связывать наличие болей в спине с остеофитами в позвоночнике. Тем не менее…
Остеопения это состояние костной ткани, характеризующееся снижением плотности костной ткани, что приводит к ослаблению костей и повышенному риску перелома костей….
Остеомиелит это медицинский термин, означающий инфицирование костной ткани. Инфекции могут попадать в костную ткань с током крови или распространяясь из…
Остеоартроз (деформирующий артроз) – это хроническое дегенеративное заболевание суставов. Для этого заболевания характерно повреждение суставных хрящей и тканей,окружающих суставы. Как…
Опухоли позвоночника — это — доброкачественный или злокачественный рост клеток в спинном мозге или окружающих тканях. Эти опухоли могут вызвать…
Миотония это не заболевание, а симптом группы мышечных нарушений, для которых характерно нарушение способности мышцы к релаксации после сокращения. У…
Миозит означает состояние, сопровождающееся воспалением в одной или более мышцах. Слабость отечность и боль, наиболее характерные симптомы миозита. Причинами миозита…
Боль в области реберных дуг является довольно частым симптомом и нередко межреберную невралгию приходится дифференцировать с болями кардиогенного характера.Термин межреберная…
Люмбалгия или хроническая боль в пояснице не является редкостью. Например, в США боль в пояснице является вторым по частоте неврологическим…
Нормальный позвоночник, при осмотре сзади, должен быть прямым. При осмотре позвоночника сбоку позвоночник имеет естественные изгибы в шее, грудном отделе…
Бурсит локтевого отростка состояние, характеризующееся повреждением тканей и воспалением сумки (бурсы) локтевого отростка (небольшой заполненный жидкостью мешочек, расположенный в задней…
Лечение суставов народными средствами, при помощи различных мазей может быть эффективным, но действует лишь на некоторое время и не решает…
Компрессионный перелом позвоночника, довольно часто встречающаяся травма. Возникает при одновременном сгибании и сжатии позвоночного столба. Это приводит к значительному повышению…
Артроз является хроническим заболеванием суставов и характеризуется разрушением суставного хряща. Артроз может быть первичным или вторичным по отношению к деформации…
Симптомы кифоза могут колебаться от неправильной осанки до болевых ощущений и серьезных проблем связанных со сдавлением органов грудной клетки или…
Деформации грудной клетки встречаются у 2% людей. Изменения (дефекты) в костных и хрящевых тканях снижают как опорную функцию грудной клетки,…
Секвестрированные грыжи диска встречаются в 28,6 % случаев всех симптоматических грыж дисков. Секвестры грыжи диска, как правило, мигрируют в спинномозговой…
Гемифациальный спазм впервые был описан Гауэрсом в 1884 году, и представляет собой сегментарный миоклонус мышц, иннервируемых лицевым нервом. Заболевание возникает…
Гемангиома позвоночника является доброкачественной опухолью, которая развивается в теле позвонка, при этом в мозговом веществе происходит избыточная пролиферация кровеносных сосудов….
Первое упоминание о блефароспазме и спазме нижней части лица был констатирован на картине 16 века под названием «Зевака». В то…
Артропатия это общий термин, который применяется для обозначения поражений суставов дистрофической природы различного генеза (нарушения иннервации, эндокринные заболевания или метаболические…
Нередко термины артроз и артрит путают, а также называют артрозо-артритом. Но эти термины имеют принципиально разное значение и разные заболевания….
Артроз — нарушение поверхности суставного хряща, в молодом возрасте чаще всего связано с механической деформацией сустава в связи с различного…
Артриты – это любые воспаления суставов. Артриты могут быть осложнением артроза, но могут возникать и по целому ряду других причин…
Читайте также:
- Невралгия языкоглоточного нерва. Невралгия при опоясывающем лишае.
- Бактериальный менингит у новорожденных
- Сипмтомы и признаки хронической передозировки парацетамола (ацетаминофена)
- Аутоиммунные осложнения при хроническом лимфолейкозе - аутоиммунная гемолитическая анемия (АИГА)
- Эозинофилы. Функции эозинофилов. Функции эозинофильных лейкоцитов. Эозинофилия.
