Мембранозная нефропатия - эпидемиология, патогенез
Добавил пользователь Евгений Кузнецов Обновлено: 29.01.2026
Нарушения В-лимфоцитов вносят важную роль в патогенез мембранозной нефропатии. А какова эффективность ритуксимаба (моноклонального антитела, обладающего специфичностью к CD20 антигену, обнаруживаемому на поверхности нормальных и малигнизированных В-лимфоцитов) у пациентов с данным заболеванием?
Методы
В рандомизированном исследовании сравнивали эффективности ритуксимаба и циклоспорина у пациентов с мембранозной нефропатией.
В исследование включили пациентов с мембранозной нефропатией, протеинурией не менее 5 г/24 часа, показателем клиренса креатинина не менее 40 мл/мин/1,73 м2 и терапией блокатором ренин-ангиотензиновой системы на протяжении не менее 3 месяцев.
Пациентов включили в группу внутривенного ритуксимаба (2 инфузии, 1000 мг каждая с интервалом в 14 дней, повторное введение с интервалом в 6 месяцев при частичном ответе) или орального циклоспорна (изначальная доза 3,5 мг/кг/день на протяжении 12 месяцев).
Наблюдение за больными продолжали на протяжении 24 месяцев.
Первичной конечной точкой являлся комбинированный показатель, включающий полную или частичную ремиссию протеинурии через 24 месяца.
Результаты
130 пациентов прошли рандомизацию и получали терапию ритуксимабом или циклоспоринов в отношении 1:1.
- Через 12 месяцев, 39 из 65 пациентов (60%) из группы ритуксимба и 34 из 65 пациентов (52%) из группы циклоспорина имели частичную или полную ремиссию (различие, 8%; 95% ДИ −9-25; P=0,004 для критерия noninferiority).
- На 24 месяце терапии 39 пациентов (60%) из группы ритуксимаба и 13 пациентов (20%) из группы циклоспорина имели частичную или полную ремиссию (различие, 40%; 95% ДИ, 25-55; P
- Среди пациентов с ремиссией, которые имели положительные антитела к рецептору фосфолипазы A2 (PLA2R), снижение показателя было быстрее на фоне терапии ритуксимабом.
- Серьезные побочные эффекты развились у 11 пациентов (17%) из группы ритуксимаба и у 20 пациентов (31%) из группы циклоспорина (P=0,06).
Заключение
Ритуксимаб не уступает циклоспорину в достижении полной или частичной ремиссии протеинурии у пациентов с мембранозной нефропатией через 12 месяцев терапии и превосходит циклоспорин при 24-месячной терапии.
Источник: Fernando C. Fervenza, Gerald B. Appel, Sean J. Barbour, et al. N Engl J Med 2019; 381:36-46.
Всероссийская Образовательная Интернет-Сессия
Информация и материалы, представленные на настоящем сайте, носят научный, справочно-информационный и аналитический характер, предназначены исключительно для специалистов здравоохранения, не направлены на продвижение товаров на рынке и не могут быть использованы в качестве советов или рекомендаций пациенту к применению лекарственных средств и методов лечения без консультации с лечащим врачом.
Лекарственные препараты, информация о которых содержится на настоящем сайте, имеют противопоказания, перед их применением необходимо ознакомиться с инструкцией и проконсультироваться со специалистом.
Мнение Администрации может не совпадать с мнением авторов и лекторов. Администрация не дает каких-либо гарантий в отношении cайта и его cодержимого, в том числе, без ограничения, в отношении научной ценности, актуальности, точности, полноты, достоверности научных данных представляемых лекторами или соответствия содержимого международным стандартам надлежащей клинической практики и/или медицины основанной на доказательствах. Сайт не несет никакой ответственности за любые рекомендации или мнения, которые могут содержаться, ни за применимость материалов сайта к конкретным клиническим ситуациям. Вся научная информация предоставляется в исходном виде, без гарантий полноты или своевременности. Администрация прикладывает все усилия, чтобы обеспечить пользователей точной и достоверной информацией, но в то же время не исключает возможности возникновения ошибок.
Мембранозная нефропатия - эпидемиология, патогенез
Мембранозная нефропатия - эпидемиология, патогенез
Мембранозная нефропатия — это невоспалительное поражение клубочков почек, при котором в базальной мембране или вдоль стенки клубочковых капилляров (субэпителиально) откладываются иммунные комплексы, состоящие обычно из IgG и компонента комплемента С3.
Основное проявление мембранозной нефропатии — протеинурия, однако причиной нефротического синдрома у детей это заболевание становится нечасто (в Северной Америке около 1% случаев). Если у взрослых мембранозная нефропатия чаще идиопатическая, то у детей примерно в половине случаев удается установить провоцирующий фактор.
Нефротический синдром при мембранозной нефропатии обычно не поддается лечению преднизоном. Когда при биопсии выявляются признаки мембранозной нефропатии, следует предпринять тщательный поиск ее причины. Дальнейшая тактика основана на устранении этой причины: лечении основного заболевания или отмене нефротоксичных лекарственных средств.
Причины вторичной мембранозной нефропатии у детей:
1. Аутоиммунные заболевания:
- СКВ
- Смешанное заболевание соединительной ткани
- Хронический лимфоцитарный тиреоидит
2. Инфекции:
- Гепатит В
- Врожденный сифилис
- Малярия
3. Лекарственные средства:
- Пеницилламин
- Препараты золота
4. Новообразования:
- Хронический лимфолейкоз
- Лимфомы
- Нейробластома
- Рак
5. Прочие:
- Серповидноклеточная анемия
- Мембранозная нефропатия в пересаженной почке
Эпидемиология мембранозной нефропатии
У детей мембранозная нефропатия встречается редко, но может возникнуть в любом возрасте, в том числе до года. Описаны случаи заболевания у однояйцовых близнецов и у родных братьев и сестер.
Подробных эпидемиологических исследований среди детей не проводилось.
Патогенез мембранозной нефропатии
Идиопатическую мембранозную нефропатию, по всей видимости, следует считать иммунокомплексным заболеванием, хотя антигены, к которым образуются антитела, еще не установлены. Скорей всего, иммунные комплексы формируются уже в клубочках, между базальной мембраной и подоцитами. Антигены, экзогенные или эндогенные, попадают туда из кровотока.
В модели гломерулонефрита на крысах (модель Хеймана) из эпителия клубочка выделяли антигенный комплекс, который вводили животным в кровь. В результате против него вырабатывались антитела и их реакция с антигеном приводила к образованию иммунных комплексов, откладывающихся в окаймленных ямках вблизи базальной мембраны.
У человека, несмотря на активные поиски, подобных антигенов пока не обнаружено. Что касается вторичной мембранозной нефропатии, то помимо заболеваний, перечисленных в выше, она изредка развивается на фоне сахарного диабета типа 1, болезни Крона, первичного билиарного цирроза печени, что предполагает существование и других аутоантигенов, играющих роль в ее патогенезе.
Само по себе воспаление в клубочках не объясняет протеинурию — скорее, ее запускает мембраноатакующий комплекс, состоящий из компонентов комплемента C5b—С9.

Редактор: Искандер Милевски. Дата обновления публикации: 18.3.2021
Информация на сайте подлежит консультации лечащим врачом и не заменяет очной консультации с ним.
См. подробнее в пользовательском соглашении.
ВЕНОЗНЫЕ ТРОМБОТИЧЕСКИЕ ОСЛОЖНЕНИЯ МЕМБРАНОЗНОЙ НЕФРОПАТИИ С НЕФРОТИЧЕСКИМ СИНДРОМОМ Текст научной статьи по специальности «Клиническая медицина»
Аннотация научной статьи по клинической медицине, автор научной работы — Соловьянова Е.Н., Носов В.П., Королева Л.Ю., Волкова С.А., Князева Е.Н.
Представлен клинический случай мембранозной нефропатии , наиболее частой причины нефротического синдрома (НС) у взрослых. Взаимодействие ряда приобретенных факторов, приводящих к гиперкоагуляционным нарушениям при НС, а также наследственных факторов тромбофилии является причиной тромботических и тромбоэмболических осложнений, особенно венозных. Профилактика и лечение данного вида патологии - чрезвычайно актуальные проблемы для клиницистов.
Похожие темы научных работ по клинической медицине , автор научной работы — Соловьянова Е.Н., Носов В.П., Королева Л.Ю., Волкова С.А., Князева Е.Н.
КЛИНИЧЕСКОЕ ЗНАЧЕНИЕ НАРУШЕНИЙ ПЛАЗМЕННОГО ЗВЕНА ГЕМОСТАЗА И МЕТОДЫ ИХ КОРРЕКЦИИ У БОЛЬНЫХ ХРОНИЧЕСКИМ ГЛОМЕРУЛОНЕФРИТОМ С НЕФРОТИЧЕСКИМ СИНДРОМОМ
VENOUS THROMBOTIC COMPLICATIONS OF MEMBRANOUS NEPHROPATHY WITH NEPHROTIC SYNDROME
A clinical case of membranous nephropathy the most common cause of nephrotic syndrome (NS) in adults is presented. The interaction of a number of acquired factors hypercoagulable disorders in NS, as well as hereditary factors of thrombophilia is the cause of thrombotic and thromboembolic complications especially venous complications. This type of pathology prevention and therapy are extremely urgent problems for clinicians.
Текст научной работы на тему «ВЕНОЗНЫЕ ТРОМБОТИЧЕСКИЕ ОСЛОЖНЕНИЯ МЕМБРАНОЗНОЙ НЕФРОПАТИИ С НЕФРОТИЧЕСКИМ СИНДРОМОМ»
ВЕНОЗНЫЕ ТРОМБОТИЧЕСКИЕ ОСЛОЖНЕНИЯ МЕМБРАНОЗНОЙ НЕФРОПАТИИ С НЕФРОТИЧЕСКИМ СИНДРОМОМ
14.01.04 — внутренние болезни; 14.01.05 — кардиология Поступила 30.04.2021
Е.Н. Соловьянова1, В.П. Носов1, Л.Ю. Королева1, С.А. Волкова1, Е.Н. Князева1, И.А. Пасхина2, А.В. Безделев1
пФГБОУ ВО «Приволжский исследовательский медицинский университет» Минздрава России, Нижний Новгород; 2ГБУЗ НО Нижегородская областная клиническая больница им. Н.А. Семашко, Нижний Новгород
Представлен клинический случай мембранозной нефропатии, наиболее частой причины нефротического синдрома (НС) у взрослых. Взаимодействие ряда приобретенных факторов, приводящих к гиперкоагуляционным нарушениям при НС, а также наследственных факторов тромбофилии является причиной тромботических и тромбоэмболических осложнений, особенно венозных. Профилактика и лечение данного вида патологии — чрезвычайно актуальные проблемы для клиницистов.
Ключевые слова: мембранозная нефропатия; нефротический синдром; венозные тромботические осложнения.
VENOUS THROMBOTIC COMPLICATIONS OF MEMBRANOUS NEPHROPATHY WITH NEPHROTIC SYNDROME
E.N. Solovyanovai, V.P. Nosovl L.Yu. Koroleval S.A. Volkoval E.N. Knyazeval I.A. Paskhina2, A.V. Bezdelev1
^rivolzhsky Research Medical University, Nizhny Novgorod; Regional Clinical Hospital named after N.A. Semashko, Nizhny Novgorod
A clinical case of membranous nephropathy the most common cause of nephrotic syndrome (NS) in adults is presented. The interaction of a number of acquired factors hypercoagulable disorders in NS, as well as hereditary factors of thrombophilia is the cause of thrombotic and thromboembolic complications especially venous complications. This type of pathology prevention and therapy are extremely urgent problems for clinicians. Key words: membranous nephropathy; nephrotic syndrome; venous thrombotic complications.
Мембранозная нефропатия (МН) представляет собой иммунологически опосредованное гломеруляр-ное повреждение, характеризующееся диффузным утолщением и изменением структуры гломеруляр-ной базальной мембраны вследствие субэпителиальной и интрамембранозной депозиции иммунных комплексов и отложениями матриксного материала, продуцируемого пораженными подоцитами [1, 2].
МН становится наиболее частой причиной нефро-тического синдрома (НС) у взрослых. НС определяется как симптомокомплекс, объединяющий выраженную протеинурию (>3,5 г / 24 ч) и/или экскрецию альбумина с мочой (>2,2 г / 24 ч) в сочетании с гипо-альбуминемией (
Гиперкоагуляционные нарушения при НС вслед-
ствие дисбаланса между прокоагулянтными антико-агулянтными механизмами, потери с мочой естественных антикоагулянтов, гипоальбуминемии, повышения агрегационной способности тромбоцитов в сочетании с наследственными и приобретенными факторами тромбофилии являются причинами возникновения многообразных тромботических и тром-боэмболических осложнений. Наиболее часто в клинической практике среди тромботических осложнений НС встречаются тромбоз глубоких вен нижних конечностей, тромбоз почечных вен и/или нижней полой вены и тромбоэмболия легочной артерии, развитие которых ассоциируется с высоким риском неблагоприятного исхода и требует проведения ан-тикоагулянтной терапии 2.
Малосимптомное течение венозных тромботиче-
ских осложнений (ВТО), которое встречается, по данным исследователей, у 12-30% больных с нефроти-ческим синдромом, создает немалые трудности в диагностике и лечении [1, 5]. Наиболее высок риск развития ВТО в первые месяцы существования неф-ротического синдрома — это требует от клинициста не только быстрой постановки диагноза, но и оценки совокупности индивидуальных факторов риска как тромботических осложнений, так и кровотечения, для назначения профилактической антитромботиче-ской терапии низкомолекулярными гепаринами и варфарином [1, 4-6].
Учитывая изложенное, при наличии НС необходимы настороженность врачей в отношении тромботических осложнений и знание подходов к их профилактике и лечению [1, 2, 4, 6, 7].
Пациентка М., 24 года.
Из анамнеза жизни: наследственность не отягощена. Аллергологический анамнез без особенностей. Вредные привычки: курила ранее более 5 лет, не курит несколько последних месяцев. Алкоголь не употребляет. Эпидемиологический анамнез — туберкулез, вирусные гепатиты отрицает. Гинекологический анамнез — месячные регулярные, безболезненные, беременностей не было, прием оральных контрацептивов отрицает. Перенесенные заболевания — ОРВИ, хронический синусит. Работает в музыкальной студии, вне связи с профессиональными вредностями.
Анамнез заболевания: считает себя больной с 19.03.2020, когда впервые появились отеки ног, боли в левой половине грудной клетки, связанные с актом дыхания, одышка, повышение температуры тела до 38°С. Госпитализирована в терапевтический стационар г. Нижнего Новгорода, где был установлен диагноз внеболь-ничной пневмонии нижней доли левого легкого, осложненной левосторонним плевритом. При дообследовании обратили на себя внимание наличие анемии (НЬ 105 г/л), выраженное повышение СОЭ до 77 мм/ч, массивная протеинурия до 7,4 г/сут, сопровождавшаяся гипопротеинемией до 43 г/л и гипоальбуминемией до 21 г/л, гипер-холестеринемией до 19 ммоль/л. Сывороточный креатинин повышался до уровня 122 мкмоль/л. УЗИ почек выявило синдром увеличенных гипоэ-хогенных почек. Диагностирован нефротиче-ский синдром, в связи с чем было проведено лабораторное исключение системных заболеваний соединительной ткани (системной красной волчанки, системного АНЦА-ассоциированного васкулита). Пациентка была консультирована ревматологом и нефрологом, к проводившейся антибактериальной терапии подключили пульс-терапию метилпреднизолоном в дозе 750 мг № 3, в последующем перевели пациентку на пе-
роральный прием преднизолона 50 мг/сут. Дополнительно она получала гепарин, торасемид, аторвастатин.
По данным контрольной МСКТ легких документирована отчетливая положительная динамика в виде ликвидации инфильтративных изменений в легких со значительным уменьшением выпота в левой плевральной полости. Однако в связи с сохранением клинико-лабораторной картины нефро-тического синдрома (по-прежнему отеки голеней и стоп, протеинурия — 4,2 г/сут, общий белок крови 43 г/л, общий холестерин крови 13,9 ммоль/л). 13.04.2020 пациентка госпитализирована в специализированный нефрологический стационар с предварительным диагнозом гломерулонефрита, вариант которого требовал уточнения. Запланированную нефробиопсию провести на тот момент не удалось в связи с выявлением сопутствующей выраженной инфекции мочевыводящих путей (выделение Enterococcus faecalis в моче в значимом титре). Повторно проведен курс антибактериальной терапии на фоне продолжающегося перорального приема метилпреднизолона в суточной дозе 36 мг/сут, эналаприла, гепаринотерапии и заместительной коррекции альбумином. Клинически наблюдалось уменьшение отечного синдрома, однако лабораторные проявления нефротического синдрома сохранялись (суточная протеинурия до 6,75 г, гипо-протеинемия до 43 г/л, гипоальбуминемия до 17 г/л, гиперхолестеринемия до 13,9 ммоль/л). Уровень сывороточного креатинина сохранялся в рамках ре-ференсных значений (53,6-69,0 мкмоль/л).
Повторно исключили системные заболевания соединительной ткани и злокачественных новообразований. Данных за онкопатологию не получено, при повторном исследовании маркеры аутоиммунных системных заболеваний сохранялись в пределах референсных значений (антитела к двухспиральной ДНК — 33,4 Е/мл, АНА — 0,20, антитела к SS-A/Ro — 0,1 Е/мл, антитела к кардиолипину (IgG) — 1,2 ЕД/мл, антитела к @2-гликопротеину — 5 ЕД/мл, волчаноч-ный антикоагулянт и АНЦА не выявлены). Гомоци-стеин крови был в пределах нормы (6,4 мкмоль/л), отрицательным также был маркер идиопатической мембранозной нефропатии: отсутствовали антитела к подоцитарному трансмембранному рецептору фосфолипазы А2 М-типа (PLA2R).
07.05.2020 в ходе УЗИ почек обращало на себя внимание расширение чашечно-лоханочной системы левой почки, а МСКТ почек 11.05.2020 показало наличие тромба в левой почечной вене с распространением в просвет нижней полой вены, несмотря на проводимую в отделении гепаринотерапию. Консультирована сосудистым хирургом, переведена в хирургический стационар, где 13.05.2020 была проведена имплантация съемного кава-фильтра. На следующий день в связи с жалобами на одышку
80 Ма № 2 (67) 2021 Е.Н. Соловьянова, В.П. Носов, Л.Ю. Королева, С.А. Волкова, Е.Н. Князева, И.А. Пасхина, А.В. Безделев
выполнена МСКТ органов грудной клетки с контрастированием. Выявлена тромбоэмболия сегментарных ветвей легочной артерии с обеих сторон. Начата терапия варфарином 6,25 мг в сутки под контролем международного нормализованного отношения (МНО). Продолжала получать мети-пред 36 мг в сутки.
В июне 2020 г. консультирована дистанционно в Клинике ревматологии, нефрологии и профпато-логии им. Е.М. Тареева Первого МГМУ им. И.М. Сеченова Минздрава России. Скорректирована иммуносу-прессивная терапия (к терапии глюкокортикосте-роидами подключен циклоспорин А (сандиммун) в дозе 150 мг в сутки). В последующем, в связи с сохранением картины нефротического синдрома, доза циклоспорина А была увеличена до 200 мг в сутки. Это привело к снижению уровня протеинурии до 1,32-2,14 г/сут, повышению альбумина и общего белка крови до 23,7 и 52,8 г/л соответственно. По данным ультразвуковой допплерографии (УЗДГ) почечных сосудов от 16.07.2020 признаков тромбоза почечной вены не выявлено. Повторная МСКТ органов грудной клетки с контрастированием (10.07.2020) показала только локальные субплевральные очаги фиброза в S8 и S10 слева.
Однако попытка дальнейшего снижения дозы ме-тилпреднизолона с 32 мг/сут привела к нарастанию протеинурии до 3,5 г/сут, снижению сывороточного альбумина до 22 г/л, в связи с чем 07.09.2020 пациентка была госпитализирована в нефрологическое отделение Клиники ревматологии, нефрологии и профпатологии им. Е.М. Тареева Первого МГМУ им. И. М. Сеченова Минздрава России, где и удалось провести нефробиопсию.
Выполнена световая микроскопия биоптата почки с окрасками гематоксилином-эозином, ШИК-реакцией и трихромом по Массону. В препарате обнаружено 12 клубочков без картины склероза, увеличенных в размерах. Стенки капиллярных петель не утолщены, немного ригидны, одноконтурные. Небольшой диффузно-очаговый фиброз интерстиция и атрофия канальцев, занимающие менее 10% площади паренхимы. Интерстициальная инфильтрация практически отсутствует. Артерии и артери-олы без особенностей. Иммунофлюоресценция биоптата почки выявила иммунные депозиты IgG/ каппа/лямбда в периферии капиллярных петель (+++), C3 (следы). По данным гистологического исследования верифицирована мембранозная нефро-патия I ст. В связи с тем, повторное исследование снова не выявило антител к PLA2R, являющихся маркером идиопатической мембранозной нефропа-тии, было проведено исключение моноклональной гаммапатии.
На фоне комбинированной пероральной терапии циклоспорином А (225-250 мг/сут) и метилпредни-золоном (со снижением дозы с 32 мг/сут) суще-
ственно уменьшилась суточная протеинурия (до 0,81 г), уровень сывороточных альбумина и общего белка поднялся до 31,0 и 56,7 г/л соответственно. Сывороточный креатинин сохранялся в рамках референсных значений (79,5 мкмоль/л). По данным УЗДГ сосудов почек патологии не выявлено. Коагулограмма без значимых отклонений. Обследована на генетическую природу тромбофилии. Установлено наличие мультигенной тромбофи-лии (полиморфизмы в генах интегрина А2 (С/Т), ингибитора активатора плазминогена-1 (Leu/Leu), метилентетрагидрофолатредуктазы (MTHFR: С/С), метионин-синтазы (MTR: Asp/Gly), метионин-синтазы-редуктазы (MTRR: Met/Met)).
Таким образом, в результате обследования пациентке был верифицирован следующий диагноз: «Хронический гломерулонефрит, нефротическая форма, морфологически — мембранозная нефропатия (биопсия почки от 11.09.2020), АТ PLA2R — от-риц., с сохранной азотовыделительной функцией почек, ХБП С1А4 (СКФ по CKD-EPI 91 мл/мин/1,73 м2). Тромбоз почечной вены от 11.05.2020 с распространением в просвет нижней полой вены. Имплантация кава-фильтра в нижнюю полую вену от 13.05.2020. ТЭЛА сегментарных ветвей с обеих сторон от 14.05.2020. Посттромбофлебитиче-ский синдром. Анемия хронических заболеваний легкой степени тяжести. Мультигенная тромбо-филия (полиморфизмы в генах интегрина А2 (С/Т), ингибитора активатора плазминогена-1 (Leu/Leu), метилентетрагидрофолатредуктазы (MTHFR: С/С), метионин-синтазы (MTR: Asp/Gly), метионин-синтазы-редуктазы (MTRR: Met/Met))».
Пациентка была выписана в удовлетворительном состоянии для продолжения лечения в поликлинике по месту жительства с пероральным приемом метилпреднизолона 6 мг в сутки, циклоспорина А 125 мг 2 раза в сутки под контролем его концентрации, варфарина 2,5 мг вечером в течение 3 месяцев под контролем МНО (2,0-3,0) каждые 10 дней, фолиевой кислоты 1 мг 2 раза в сутки, эна-лаприла 2,5 мг на ночь, пантопразола 20 мг и атор-вастатина 20 мг в сутки.
19.11.2020 было произведено удаление кава-филь-тра из нижней полой вены. Пациентка продолжила прием варфарина 2,5 мг в сутки. В декабре 2020 г. полностью отменила метилпреднизолон, продолжив принимать циклоспорин А 200-225 мг в сутки (под контролем концентрации в крови).
В феврале и апреле 2021 г. обследована амбула-торно. Состояние удовлетворительное, отеков нет. Суточная протеинурия колеблется в пределах 0,14-0,65 г, нормализовались общий белок и альбумин сыворотки крови (66 и 36 г/л соответственно), общий холестерин — 6 ммоль/л. Креати-нин сыворотки крови сохраняется в рамках рефе-ренсных значений (63 мкмоль/л). Д-димеры в норме
(87 нг/мл), МСКТ легких, УЗДГ сосудов почек — без патологии. Прием циклоспорина А и варфарина завершен.
Данный клинический случай демонстрирует особенности течения мембранозной нефропатии, являющейся наиболее частой причиной нефротического синдрома у взрослых, с развитием тромботических осложнений у пациентки 24 лет.
Развитие гиперкоагуляционного состояния при нефротическом синдроме обусловлено комплексным взаимодействием ряда факторов, среди которых наследственные и приобретенные факторы риска, дисбаланс между анти- и прокоагулянтными механизмами, выраженность гипоальбуминемии и снижение фи-бринолитической активности.
Диагностика, профилактика и лечение тромботи-ческих осложнений при нефротическом синдроме чрезвычайно актуальны в клинической практике и представляют собой сложную проблему для врачей разных специальностей.
Информация о финансировании. Финансирование данной работы не проводилось.
Конфликт интересов. Авторы заявляют об отсутствии конфликта интересов.
2. Нефрология. Клинические рекомендации. Под ред. Е.М. Шилова, А.В. Смирнова, Н.Л. Козловской. М.: ГЭОТАР-Ме-диа; 2016; 816 с. Nefrologiya. Klinicheskie rekomendatsii [Nephrology. Clinical guidelines]. Shilov E.M., Smirnov A.V., Kozlovskaya N. L. (editors). Moscow: GEOTAR-Media; 2016; 816 p.
ИНФОРМАЦИЯ ОБ АВТОРАХ:
Е.Н. Соловьянова, к.м.н., доцент кафедры госпитальной терапии и общей врачебной практики им. В.Г. Вогралика ФГБОУ ВО «Приволжский исследовательский медицинский университет» Минздрава России; главный внештатный нефролог Минздрава России;
B.П. Носов, д.м.н., профессор кафедры госпитальной терапии и общей врачебной практики им. В.Г. Вогралика ФГБОУ ВО «Приволжский исследовательский медицинский университет» Минздрава России;
Л.Ю. Королева, д.м. н., профессор кафедры госпитальной терапии и общей врачебной практики им. В.Г. Вогралика ФГБОУ ВО «Приволжский исследовательский медицинский университет» Минздрава России;
C.А. Волкова, к.м.н., доцент кафедры госпитальной терапии и общей врачебной практики им. В.Г. Вогралика ФГБОУ ВО «Приволжский исследовательский медицинский университет» Минздрава России;
Е.Н. Князева, студент лечебного факультета ФГБОУ ВО «Приволжский исследовательский медицинский университет» Минздрава России;
И.А. Пасхина, заведующая пульмонологическим отделением ГБУЗ НО Нижегородской областной клинической больницы им. Н.А. Семашко;
А.В. Безделев, студент лечебного факультета ФГБОУ ВО «Приволжский исследовательский медицинский университет» Минздрава России.
82 Ma № 2 (67) 2021 Е.Н. Соловьянова, В.П. Носов, Л.Ю. Королева, С.А. Волкова, Е.Н. Князева, И.А. Пасхина, А.В. Безделев
Мембранозная нефропатия
Мембранозная нефропатия представляет собой отложение иммунных комплексов в гломерулярной базальной мембране (ГБМ), приводящее к утолщению ГБМ. Причина не известна, хотя вторичные причины включают прием лекарственных препаратов, инфекции, аутоиммунные и онкологические заболевания. Клинические проявления: постепенное, скрытое развитие отеков и тяжелой протеинурии, при отсутствии изменений мочевого осадка, нормальной почечной функции и нормальном или повышенном артериальном давлении. Диагноз устанавливается по результатам биопсии почек. Часто случается спонтанная ремиссия. Лечение пациентов с высоким риском прогрессирования заболевания обычно проводится кортикостероидами и циклофосфамидом или хлорамбуцилом.
М-тип фосфолипазы А2 рецептора (PLA2R) в клубочковом подоците был идентифицирован в качестве основного антигена-мишени в осажденных иммунных комплексах.
Этиология
Мембранозная нефропатия обычно имеет идиопатический характер, однако может быть и вторичной в результате любой из нижеследующих причин:
Лекарственные препараты (например, препараты золота, пеницилламин, нестероидные противовоспалительные препараты [НПВС])
Инфекции (например, вирусный гепатит В или С, сифилис, ВИЧ-инфекция)
Аутоиммунные заболевания (например, cистемная красная волчанка [СКВ])
Паразитарные заболевания (например, малярия, шистосомоз, лейшманиоз)
В зависимости от возраста пациента, у 4–20% из них имеются злокачественные новообразования, такие как солидный рак легких Обзор опухолей легких (Overview of Lung Tumors) Опухоли легких могут быть Первичный Результат метастазирования из других локализаций в организме Первичные опухоли легких могут быть: Злокачественными (смотри таблицу Классификация первичных. Прочитайте дополнительные сведения , толстого кишечника Колоректальный рак Колоректальный рак является чрезвычайно распространенным явлением. К клиническим проявлениям относятся наличие примеси крови в кале и изменения характера опорожнения кишечника. Для соответствующих. Прочитайте дополнительные сведения Helicobacter pylori. Проявления болезни включают чувство раннего насыщения, нарушение проходимости. Прочитайте дополнительные сведения , молочной железы Рак молочной железы Рак молочной железы в большинстве случаев поражает железистые клетки протоков или долек молочной железы. У большинства пациенток имеется бессимптомное объёмное образование, которое обнаруживается. Прочитайте дополнительные сведения или неходжкинская лимфома Неходжкинские лимфомы Неходжкинские лимфомы представляют собой гетерогенную группу заболеваний, развивающихся по причине злокачественной моноклональной пролиферации лимфоидных клеток в лимфоретикулярной ткани в лимфоузлах. Прочитайте дополнительные сведения .
Мембранозная нефропатия редко развивается у детей, но если это происходит, то обычно по причине инфицирования вирусом гепатита В или на фоне СКВ.
Клинические проявления
Пациенты обычно обращаются уже с отеками, протеинурией нефротического диапазона, иногда микрогематурией и артериальной гипертензией. Симптомы и признаки заболевания, являющегося причиной мембранозной нефропатии (например, рак), могут присутствовать изначально.
Диагностика
Обследование для выявления вторичных причин заболевания
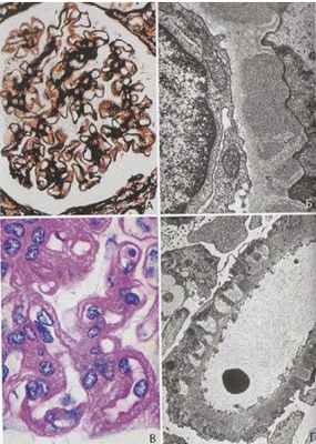
При электронной микроскопии иммунные комплексы определяются в виде плотных включений (см. рисунок Признаки иммунологической гломерулярной патологии при электронной микроскопии Признаки иммунологической гломерулярной патологии при электронной микроскопии ). Субэпителиальные плотные включения встречают на ранних стадиях заболевания, с выростами lamna densa между включениями. Позже появляются отложения внутри базальной мембраны клубочков (БМК), и возникает её заметное утолщение. Диффузный, зернистый рисунок осаждения IgG происходит наряду с БМК без клеточной пролиферации, экссудации, или некроза.
Выявление наличия или отсутствия антитела PLA2R и подкласса отложений IgG может помочь дифференцировать идиопатическую мембранозную нефропатию от вторичной. Например, отложения при идиопатической мембранозной нефропатии являются положительными на PLA2R антитела и преимущественно IgG 4, тогда как антитела PLA2R обычно отрицательны, а IgG 1 и 2 преобладают при ассоциированной со злокачественными новообразованиями мембранозной нефропатией (1) Справочные материалы по диагностике Мембранозная нефропатия представляет собой отложение иммунных комплексов в гломерулярной базальной мембране (ГБМ), приводящее к утолщению ГБМ. Причина не известна, хотя вторичные причины включают. Прочитайте дополнительные сведенияПризнаки иммунологической гломерулярной патологии при электронной микроскопии
Субэпителиальное плотное отложение среднего размера визуализируется на просвечивающей электронной микроскопии в поздней фазе I стадии болезни ( × 10,200).
Шипы, выступающие из базальной мембраны, подверженной импрегнации серебром (масляно-имерсионное изображение большого увеличения, импрегнация солями серебра по Джонсу, оригинальное увеличение × 1000).
Распространение крупнозернистого отложения IgG вдоль стенок клубочковых капилляров (иммунофлюоресценция с использованием антител к IgG, оригинальное увеличение × 100).
Этиологическая диагностика
Оценка пациентов с диагнозом мембранозная нефропатия обычно включает в себя следующее:
Онкопоиск, особенно у пациентов, которые за последнее время похудели, при необъяснимой анемии или обнаружении крови в стуле, пациентов старшего возраста
Исключение лекарственно-индуцированного мембранозного гломерулонефрита
Тестирование на наличие антинуклеарного антитела
Поиск бессимптомного рака обычно ограничивается возрастным скринингом (например, колоноскопия для пациентов > 50 лет, или с другими симптомами и факторами риска, маммография для женщин > 40 лет, определение простат-специфического антигена для мужчин > 50 лет [или > 40 лет, для представителей негроидной расы], рентгенологическое исследование и по возможности КТ грудной клетки для пациентов с факторами риска рака легких).
Справочные материалы по диагностике
1. Beck LH , Bonegio RG, Lambeau G: M-type phospholipase A2 receptor as target antigen in idiopathic membranous nephropathy. N Engl J Med 361(1):11, 2009. doi: 10.1056/NEJMoa0810457
Прогноз
Приблизительно у 25% пациентов возможна спонтанная ремиссия, у 25% развивается постоянная протеинурия не нефротического диапазона, у 25% – постоянный нефротический синдром, у 25% заболевание прогрессирует вплоть до терминальной стадии почечной недостаточности Хроническая болезнь почек Хроническая болезнь почек (ХБП) представляет собой длительное прогрессивное снижение почечной функции. Симптомы развиваются медленно и на продвинутых стадиях включают в себя анорексию, тошноту. Прочитайте дополнительные сведения . Женщины, дети и молодые пациенты с протеинурией «не нефротического диапазона» и лица с постоянно нормальной почечной функцией в течение 3 лет после установления диагноза имеют тенденцию к невыраженной прогрессии заболевания. У более 50% пациентов с протеинурией нефротического диапазона, бессимптомным течением заболевания или только отечным синдромом, контролируемым с помощью диуретиков, частичная или полная ремиссия наступит в течение 3–4 лет.
Наибольший риск прогрессирования заболевания до стадии почечной недостаточности наблюдается у пациентов с:
Стойкая протеинурия ≥ 8 г/деньки, особенно у мужчин > 50 лет
Исходно высокой концентрацией креатинина плазмы крови на момент установления диагноза
Признаками солидного интерстициального воспаления при биопсии
Лечение
Показано лечение вторичных причин нефротического синдрома
Иммуносупрессивная терапия показана пациентам с высоким риском прогрессирования заболевания
Трансплантация почки для пациентов с терминальной стадией почечной недостаточности
Исходное лечение мембранозной нефропатии - коррекция основных причин. Среди пациентов с идиопатическим мембранозным гломерулонефритом бессимптомные пациенты с протеинурией не нефротического диапазона не требуют лечения; следует периодически контролировать почечную функцию (например, 2 раза в год при стабильном течении).
Больные с протеинурией нефротического генеза, которые не имеют симптомов или имеют отеки, которые можно контролировать диуретиками, должны получать лечение по поводу нефротического синдрома.
Пациентам с гипертонией следует назначать ингибитор ангиотензин-превращающего фермента (АПФ) или блокатор рецептора ангиотензина II (БРА); эти препараты также могут принести пользу пациентам без гипертензии за счет уменьшения протеинурии.
Иммуносупрессивная терапия
Иммунодепрессанты следует назначать только пациентам с симптоматическим идиопатическим нефротическим синдромом и тем, у кого риск прогрессирования заболевания наиболее высок. Однако не существует веских доказательств того, что иммуносупрессивная терапия оказывает длительный положительный эффект на взрослых с нефротическим синдромом. Пациенты пожилого возраста и страдающие хроническими заболеваниями подвержены наибольшему риску инфекционных осложнений, вызываемых терапией иммунодепрессантами.
Согласованного протокола не существует, но исторически, в общие принципы включены кортикостероиды с последующим переходом на хлорамбуцил. Однако в настоящее время этот протокол используется не очень часто (см. the Cochrane abstract review Immunosuppressive treatment for idiopathic membranous nephropathy in adults with nephrotic syndrome). Не существует веских доказательств того, что иммуносупрессивные лекарства оказывают длительный положительный лечебный эффект на взрослых с нефротическим синдромом. Большинство экспертов рекомендуют сочетать циклофосфамид и кортикостероиды, потому что таким образом повышается безопасность их применения. Более поздние данные свидетельствуют о преимуществах использования ритуксимаба ( 1 Справочные материалы по лечению Мембранозная нефропатия представляет собой отложение иммунных комплексов в гломерулярной базальной мембране (ГБМ), приводящее к утолщению ГБМ. Причина не известна, хотя вторичные причины включают. Прочитайте дополнительные сведенияМетоды лечения, не имеющие доказанной долгосрочной ценности, включают внутривенное введение иммуноглобулина и нестероидные противовоспалительные препараты (НПВП).
Справочные материалы по лечению
1. Fervenza FC, Appel GB, Barbour SJ, et al: Rituximab or cyclosporine in the treatment of membranous nephropathy. N Engl J Med 381(1):36-46, 2019. doi: 10.1056/NEJMoa1814427
Ключевые моменты
Хотя мембранная нефропатия обычно идиопатическая, у пациентов могут присутствовать ассоциированные заболевания, поддающиеся лечению, такие как раковые заболевания, аутоиммунные нарушения или инфекции.
Первичные клинические проявления обычно схожи с проявлениями нефротического синдрома (например, протеинурия в нефротическом диапазоне, иногда микрогематурия и гипертензия).
Следует подтвердить диагноз с помощью биопсии почки и рассмотреть ассоциированные заболевания и причины.
Необходимо лечить нефротический синдром и гипертензию, первоначально назначая ингибиторы ангиотензина.
Рассматривать иммуносупрессивную терапию нужно только для пациентов с идиопатическим нефротическим синдромом, имеющих риск прогрессирования болезни.
Авторское право © 2022 Merck & Co., Inc., Rahway, NJ, США и ее аффилированные лица. Все права сохранены.
мембранная нефропатия. мемр нефр. Определение, эпидемиология Мембранозная нефропатия (МН)

Единственный в мире Музей Смайликов
Самая яркая достопримечательность Крыма
Определение, эпидемиология
Мембранозная нефропатия (МН) (синоним мембранозный гломерулонефрит) – вариант иммуноопосредованной гломерулопатии, характеризующийся диффузным утолщением и изменением структуры гломерулярной базальной мембраны вследствие субэпителиальной и интрамембранозной депозиции иммунных комплексов и отложения матриксного материала, продуцируемого пораженными подоцитами. Клеточная пролиферация при МН не выявляется.
МН составляет 12–23% от всех морфологических вариантов первичного гломерулонефрита (ГН) у взрослых и 1–5% у детей. Первичная МН развивается чаще у взрослых (особенно в возрасте 30–50 лет), среди заболевших преобладают мужчины (2,2м:1ж). У мужчин МН протекает тяжелее, чем у женщин У взрослых МН – самая частая причина нефротического синдрома (НС) – 20–40% случаев, у детей она выявляется менее чем у 2 % больных с НС Вторичная МН чаще развивается у детей (75%), чем у взрослых (25%) МН рецидивирует в трансплантате у 10% больных, может развиться в трансплантате de novo.
+МОЖЕМ ВСТАВИТЬ ПАТОМОРФОЛОГИЮ
Патоморфология.
Гистологические изменения при МН свидетельствуют о главенствующей роли иммунных комплексов, расположенных субэпителиально (между ГБМ и подоцитами). При МН происходит утолщение ГБМ без пролиферации клеток. Различаются четыре стадии эволюции МН: стадия I с мелкими субэпителиальными депозитами (светло-серые), стадия II с шипиками, стадия III с новообразованной ГБМ вокруг депозитов и стадия IV с неравномерным утолщением ГБМ и растворением депозитов.

- На I стадии светооптически базальная мембрана не изменена, а при электронной микроскопии на ее эпителиальной стороне выявляют гранулы электронно-плотного материала (иммуногистохимически ему соответствуют отложения иммуноглобулинов и комплемента). Изменения очаговые, сегментарные .
- На II стадии светооптически находят утолщение стенок капилляров, при серебрении тонких срезов – «пунктирность», «шипики» на эпителиальной стороне мембраны. Электронно-микроскопически выявляют диффузно распределенные по базальной мембране всех капилляров субэпителиальные гранулы электронно-плотного материала.
- III стадия МН светооптически характеризуется выраженным диффузным утолщением и неравномерным окрашиванием стенок капилляров клубочка. При электронной микроскопии выявляют замурованные веществом базальной мембраны отложения, имеющие зернистую структуру и меньшую электронную плотность, чем в первых двух стадиях .
- В IV стадии базальная мембрана неравномерной толщины, просветы капилляров сужены. При электронной микроскопии в резко утолщенной базальной мембране обнаруживают полости с остатками бывших там ранее отложений электронноплотного материала. Иммунофлюоресценция в этой стадии, как правило, дает отрицательные результаты.
Иммунокомплексный: In situ формируются иммунные комплексы из связанного с подоцитами антигена и аутоантител IgG-класса, что ведет к активации комплемента по классическому пути с образованием в субэпителиальном пространстве мембраноатакующего комплекса – МАC (С5в-9). Основной субкласс антител при идиопатической МН – IgG4, при вторичных формах МН могут обнаруживаться субэпителиальные и интрамембранозные депозиты и других субклассов – IgG1, IgG3 и др. МАC (С5в-9) вызывает сублетальное повреждение подоцитов через образование реактивных кислородных радикалов и эйкозаноидов, реорганизацию активного цитоскелета, диссоциацию белков щелевидной диафрагмы путем прямого цитопатического действия. В результате этих повреждений усиливается проницаемость гломерулярной капиллярной стенки, развивается протеинурия (ПУ).
• У большинства больных развивается НС (80%), реже ПУ без НС (20%)
• Артериальная гипертензия в начале заболевания наблюдается редко, в дальнейшем она развивается у 20–50% больных
• Содержание комплемента в сыворотке крови при первичной МН не изменено, при ряде вторичных форм (системная красная волчанка, НВV- инфекция) может быть снижено
• При вторичной форме отмечают клинические и лабораторные признаки заболевания, вызвавшего развитие МН
• У больных МН с НС чаще, чем при других морфологических вариантах ГН, развиваются тромботические осложнения, в том числе тромбоз почечных вен (29%), тромбозы глубоких вен конечностей (17 %), легочные тромбоэмболии (17%).
• Первоочередная задача обследования больного с впервые выявленной МН – исключить вторичные причины заболевания. Необходим тщательный сбор анамнеза, комплексная оценка клинико-лабораторных данных.
• Больным с МН, относящимся к старшей возрастной группе (особенно старше 65 лет), должен быть проведен онкопоиск с целью исключения паранеопластического характера нефропатии.

Эту схему можно под классиф или после механизма вставить.
-Дифференциальную диагностику проводят с:
- другими протеинурическими формами ГН, для чего обязательно морфологическое исследование ткани почки.
-Клинические проявления МН не различаются при идиопатическом и вторичном вариантах заболевания, в этой связи дифференциальная диагностика этих форм должна базироваться на исключении всех возможных вторичных причин МН
-Детальное морфологическое исследование ткани почки, в частности, уточнение преобладающего класса IgG, выявление антител к PLA2 R при иммунофлюоресценции, а также обнаружение этих антител в сыворотке крови могут быть полезными при разграничении первичной и вторичной форм МН.
Современная тактика лечения больных с МН основывается на стратификации рисков
Лечение больных с идиопатической МН без нефротического синдрома ,
1)Больным с МН без НС с нормальной функцией почек не целесообразно проведение иммуносупрессивной терапии, так как риск развития ПН у них минимален, и они не подвержены опасным проявлениям НС
2)Пациенты должны находиться под регулярным наблюдением нефролога для своевременного выявления артериальной гипертензии, роста ПУ, креатинина (НГ) 7.3.3. При ПУ > 0,5 г/сут назначаются ингибиторы АПФ (и-АПФ) или блокаторы рецепторов ангиотензина II (БРА) как с антипротеинурической целью, так и для замедления развития фиброза в почках
3)У пациентов с МН и дислипидемией проводится коррекция нарушений липидного обмена согласно соответствующим рекомендациям для больных с ХБП
4)Пациентам с артериальной гипертонией показано своевременное лечение антигипертензивными препаратами, с позиций нефро- и кардиопротекции предпочтительны и-АПФ или БРА.

В целом прогноз благоприятный. У нелеченных больных с идиопатической МН с НС прогрессирование с развитием терминальной ПН через 5 лет наблюдается у 14% пациентов, через 10 лет – у 30% , через 15 лет – у 40% .
Читайте также:
