Множественные экзостозы: атлас фотографий
Добавил пользователь Владимир З. Обновлено: 23.01.2026
Одним из распространенных заболеваний опорно-двигательного аппарата является экзостоз – доброкачественное новообразование на поверхности кости. Патология поражает преимущественно детей и подростков в возрасте от 8 до 18 лет. Чаще всего формирование костных наростов не представляет опасности для жизни и здоровья пациента, но примерно в 5-7% может приводить к развитию осложнений.
Особенности и причины развития патологии
Многих пациентов волнует происхождение экзостозов: что это, и чем они отличаются от других доброкачественных новообразований. Обычно заболевание затрагивает длинные трубчатые кости, чаще всего бедренную, малоберцовую и большеберцовую. Под действием различных неблагоприятных факторов на поверхности пораженных тканей развивается хрящевой нарост. Со временем он окостеневает и продолжает расти за счет покрывающего его гиалинового хряща. Внутренняя часть образования имеет плотную губчатую структуру.
Чаще всего формируется единичный экзостоз кости диаметром от нескольких миллиметров до 10 см и более. Нарост может иметь округлую, продолговатую или неправильную форму. В редких случаях образуются множественные экзостозы объемом до 0,5-1,5 см, локализующиеся чаще всего на подногтевых поверхностях фаланг пальцев.

В отличие от остеофитов, прорастающих в канал костного мозга, экзостоз является исключительно наружным образованием. Также остеофиты формируются только на краевых областях костей, а экзостозная болезнь может поражать любой участок их поверхности.
- Травмы (переломы, ушибы, разрывы связок);
- Инфекционное воспаление костной ткани (остеомиелит);
- Заболевания суставов (бурситы, артриты);
- Аномалии развития костей, надкостницы, хрящей;
- Асептический некроз;
- Эндокринные нарушения;
- Сифилис и другие инфекционные заболевания.
Виды патологии
В соответствии с классификацией по МКБ-10 код экзостоза D16. Выделяют два основных вида заболевания:
- Солитарный костно-хрящевой экзостоз. Характеризуется образованием неподвижных наростов разного размера, не вызывающих деформации соседних тканей;
- Множественная экзостозная хондродисплазия. Сопровождается деформацией суставов и костей за счет роста новообразования.
Симптомы
Чаще всего заболевание никак себя не проявляет на протяжении долгого времени. Обнаружить костный экзостоз можно при пальпации или с помощью рентгенографии. Разрастания небольшого размера незаметны внешне и не причиняют пациентам дискомфорта. В редких случаях развивается умеренный болевой синдром в результате сдавливания мышц и нервных волокон, а также ограничение подвижности пораженных конечностей или позвоночника при больших размерах наростов.
Интересно!
Появление боли может быть связано со злокачественным перерождением новообразования. Наиболее высок риск развития онкологии для наростов, подверженных постоянному механическому воздействию, в том числе при пяточном экзостозе.
На фото экзостозы большого размера выглядят, как опухолевидные образования различного диаметра. Точная симптоматика зависит от локализации патологии. Рассмотрим проявления болезни при поражении нижних конечностей.
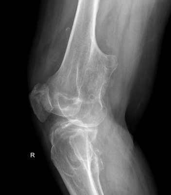
Коленный сустав
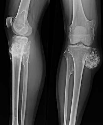
Чаще всего хрящевой экзостоз формируется на поверхности большеберцовой кости вблизи колена. Растущий нарост оказывает выраженное давление на четырехглавую бедренную мышцу и надколенник, в результате чего под деформированными тканями образуется слизистая сумка. Патология сопровождается сильным дискомфортом, а при большом размере нароста может происходить перелом кости и формирование ложного сустава. Иногда экзостоз коленного сустава поражает его внутреннюю капсулу, что приводит к значительному ограничению подвижности ноги.

Кости нижних конечностей
Излюбленным местом локализации патологии является большеберцовая кость в области голени. Наросты при экзостозе большеберцовой кости часто достигают больших размеров и сдавливают нервные волокна, приводя к развитию болевого синдрома. Примерно в 5-10% случаев заболевание развивается непосредственно внутри сустава.
Следующим по частоте возникновения является поражение малоберцовой кости. Обычно новообразования формируются в ее верхней трети, патология часто сопровождается сдавливанием малоберцового нерва и умеренной болью под коленом.
При экзостозе бедренной кости разрастания часто локализуются в области тазобедренного сустава и приводят к существенному ограничению подвижности даже при небольшом размере. У некоторых пациентов диагностируется костно-хрящевой экзостоз медиального мыщелка, при котором наросты формируются в дистальном отделе нижней части бедра. Патология сопровождается дискомфортом в колене и затруднением сгибательно-разгибательных движений.
Стопа
На долю поражений стопы приходится 10-12% случаев патологии. Наросты обычно формируются в переднем и среднем отделах ступни, приводя к дискомфорту при ходьбе и хромоте. При экзостозе стопы чаще всего поражается плюсневая кость, которая по мере роста новообразования укорачивается и деформируется. В результате происходящих изменений соответствующий палец выглядит заметно короче остальных. Часто встречаются подногтевые экзостозы, приводящие к искривлению и отслоению ногтевых пластин.
В результате травмы сухожилий и связок развивается экзостоз пяточной кости. Формирующаяся опухоль может приобретать разнообразные формы и является серьезным косметическим дефектом. В половине случаев отмечается нарушение чувствительности заднего отдела стопы вследствие сдавливания нервных окончаний и сосудов. Болезнь часто сопровождается образованием отеков и припухлости вокруг экзостоза, болью и дискомфортом при ходьбе.
Диагностика
Постановка диагноза осуществляется на основе анализа жалоб пациента, пальпации пораженного участка тела и рентгенологического исследования. Рентген позволяет точно определить количество, размер, характер и локализацию наростов, а также дифференцировать их с другими патологиями костной ткани. На начальной стадии диагностика хрящевого экзостоза затруднена.
На заметку!
На рентгене видна только костная часть образования, а хрящевая прослойка не определяется. У детей толщина хряща может достигать 5-8 мм, поэтому истинный размер нароста будет отличаться в большую сторону.

Лечение
Заболевание не требует обязательного лечения. Обычно при костно-хрящевом экзостозе у детей до 18 лет показано регулярное медицинское наблюдение у хирурга-ортопеда. У многих пациентов рост костных выступлений происходит крайне медленно и не причиняет дискомфорта. Известны случаи, когда наросты самостоятельно рассасываются или сохраняют постоянный размер на протяжении всей жизни.
Единственным методом лечения экзостоза является операция. Показаниями к проведению хирургического вмешательства являются:
- Новообразования большого размера, приводящие к боли, дискомфорту, сдавливанию окружающих тканей или являющиеся косметическим дефектом;
- Быстрый рост уплотнения;
- Перерождение в злокачественную опухоль.
Операция не требует специальной подготовки и осуществляется под местным или общим наркозом в зависимости от локализации и размера образования. Процедура включает в себя удаление нароста с последующим сглаживанием поверхности кости.
Реабилитационный период составляет одну-две недели. После удаления небольшого экзостоза на ноге можно вставать уже на следующий день. В первые 2-3 суток требуется соблюдать щадящий двигательный режим, после уменьшения отека необходимо разрабатывать конечность с помощью массажа и ЛФК.
Прогноз после хирургического лечения экзостоза хороший. Практически у всех пациентов наступает стойкое выздоровление.

Осложнения
При игнорировании симптомов патологии могут развиваться следующие осложнения:
- Сдавливание соседних органов и тканей, приводящее к нарушению их функций;
- Перелом ножки нароста, наиболее часто встречающийся при краевых экзостозах костей;
- Перерождение в злокачественную опухоль (около 1% случаев).
Экзостоз чаще всего не доставляет неприятных ощущений и не является опасным заболеванием. Постоянный врачебный контроль и хирургическое лечение позволяют избежать развития опасных осложнений.
Множественная экзостозная хондродисплазия

Доброкачественное экзофитное образование, состоящее из костного основания, покрытого сверху хрящевой тканью и располагающееся на поверхности кости.
Образование может быть одиночным или генерализованным в виде множественной экзостозной хондродисплазии. По МКБ для онкологии (МКБ-О3) остеохондрома кодируется как 9210/0, по МКБ-10 МЭХ кодируется как Q78.6.

Этиология
На данный момент до конца не изучена. Известно, что множественная экзостозная хондродисплазия имеет наследственный характер происхождения. Также есть две версии происхождения остеохондром (экзостозов) - как диспластический процесс, и как опухолевый процесс, т.к. в ряде случаев они перерождаются в злокачественные хондросаркомы. При множественной форме риск возрастает в 10 раз.
Клиника
Остеохондрома - самая распространённая опухоль скелета. Выявляется преимущественно в детском и молодом возрасте. Экзостозы чаще локализуются в метафизах и ростковых зонах длинных трубчатых костей (бедренной, большеберцовой, плечевой), но могут развиваться и в плоских костях (таз, лопатка, рёбра), поражения позвоночника редки. При множественной хондродисплазии экзостозы поражают несколько сегментов и имеют разные формы и размеры. Остеохондромы возникают не одновременно, их рост и появление новых экзостозов продолжается вплоть до закрытия зон роста. Так же возможно продолжение роста костно-хрящевых экзостозов на фоне гормональных перестроек организма у женщин.
Клинические проявления экзостозной хондродисплазии зависят от месторасположения, величины, взаимоотношения с окружающими структурами. В начале заболевания процесс протекает бессимптомно и первым признаком является определение пальпируемого образования (плотное, неподвижное, безболезненное). Боли возникают при сдавлении окружающих мягких тканей, заинтересованности сосудисто-нервного пучка, при переломе основания остеохондромы или озлокачествлении. Нередко в периоды активного роста скелета наблюдаются деформации костей в виде искривления или укорочения сегмента. При поражении костей таза, рёбер или позвоночника могут наблюдаться нарушения функции тазовых органов, лёгких или неврологические симптомы.
В нашей клинике стандартным методом диагностики является рентгенологическое исследования. На рентгенограммах остеохондромы определяются как локальное выбухание кости. Все экзостозы исходят из кости на узкой или на широкой ножке. От этого зависит эволюция остеохондром и выбор тактики лечения.

Хирургическое лечение
Показания к оперативному лечению: деформации сегментов, нарушения функции смежных суставов, быстрый рост остеохондромы, трансформация в хондросаркому, признаки сдавления сосудистых и нервных стволов.
Преимущественными методами оперативного лечения в нашей клинике являются краевые резекции (удаление экзостоза в пределах здоровой кости), корригирующие остеотомии с резекцией остеохондромы для устранения деформаций.
Более 15 лет практического опыта в травматологии. Обследование и лечение пациентов с заболеваниями коленного и плечевого сустава.
Экзостозы рук: поражение плечевого, локтевого сустава, предплечья и кисти
Экзостозами называют костно-хрящевые новообразования, в основном формирующиеся на длинных трубчатых костях, в том числе рук, и реже на плоских. В основном они обнаруживаются у детей и подростков, хотя иногда диагностируются уже у взрослых людей. Экзостозы или остеохондромы представляют собой доброкачественные опухоли и часто протекают бессимптомно. Но они всегда требуют наблюдения, а при необходимости и лечения, так как могут не только провоцировать возникновение сосудистых и неврологических осложнений, но и озлокачествляться.

Особенности экзостозов рук
Свободная часть верхней конечности или непосредственно рука образована:
костями предплечья – лучевой и локтевой;
костями кисти – кости запястья, пястные и кости пальцев (фаланги).
Экзостоз может формироваться на каждой из них. Но чаще поражаются длинные трубчатые кости: плечевая, локтевая и лучевая. При этом обычно остеохондрома располагается в области суставов, что подкрепляет теорию о том, что она формируется из сместившейся части эпифизарной пластинки. До завершения процесса формирования скелета, что обычно происходит в период между 18 и 25 годами, она представляет собой располагающуюся сразу за эпифизом (головкой) трубчатой кости прослойку гиалинового хряща. Ее клетки постоянно делятся, благодаря чему кость растет в длину.
По мере отдаления от эпифизарной пластинки старые хрящевые клетки заменяются остеобластами. В результате и формируется плотная кость. Такие участки называют метафизами костей и именно в них обычно и обнаруживаются экзостозы. После завершения формирования скелета эпифизарные пластинки заменяются тонкими эпифизарными линиями, а процесс образования новых хрящевых клеток останавливается. Это называют закрытием зон роста. Поэтому в основном остеохондромы впервые диагностируются у детей и подростков, причем чаще в период активного роста – в 8—16 лет.
При этом экзостозы проходят тот же путь формирования от хрящевого образования до окостенения. А их характерной чертой является наличие хрящевой шапочки на поверхности нароста.
Поскольку метафизы костей расположены сразу за эпифизами, часто говорят о наличии остеохондромы сустава. В руке это:
плечевой сустав, поражение которого происходит при образовании экзостоза в области проксимального эпифиза плечевой кости или же на суставной впадине лопатки;
локтевой сустав, поражающийся при формировании экзостоза у дистального эпифиза плечевой кости или проксимального эпифиза локтевой или лучевой кости;
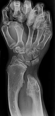
мелкие суставы кисти рук, образованные пястными, запястными костями и фалангами пальцев.
Чаще всего обнаруживается экзостоз локтевого сустава и плечевого сустава. На костях кисти подобные новообразования формируются значительно реже.
При этом экзостоз кости руки может быть как единичным (солитарным), так и только одним из многих, присутствующих на других костях скелета. В последнем случае говорят о наличии множественной экзостозной хондодисплазии, носящей наследственный характер. Это заболевание может приводить к различным осложнениям, но наиболее опасным является озлокачествление остеохондром, что наблюдается в 10 раз чаще, чем при солитарном экзостозе предплечья, плеча и т. д.

У детей экзостозы редко проявляются клинически, так как обычно представляют собой полностью хрящевые структуры и имеют небольшие размеры. Симптомы могут возникать в период активного роста новообразования, т. е. у подростков. В результате на руке может формироваться шишка. Как правило, она безболезненная, не спаянная с кожей, плотная и имеет шероховатую или гладкую поверхность. Это создает косметический недостаток, но часто является единственным проявлением заболевания.
Крайне редко наблюдаются подногтевые экзостозы пальцев рук. В таких случаях новообразование поднимает ногтевую пластину, создает риск ее отслаивания или врастания.
В отдельных случаях растущая остеохондрома провоцирует нарушение функции сустава, рядом с которым она присутствует, воспаление его синовиальной сумки (бурсит) или сухожилий (тендинит). Также новообразование способно сдавливать проходящие вблизи него нервы или кровеносные сосуды. Это приводит к появлению:
дискомфорта или тупых болей в области образования опухоли или сустава, возникающих или усиливающихся при его задействовании во время движения;
отечности, покраснения мягких тканей;
ограничений движений в пораженном суставе;
ощущения онемения кожи, бегания мурашек;
дистрофии мышц руки.
Крупные экзостозы способны провоцировать деформацию материнской или соседней кости, особенно при их расположении на локтевой кости или в кисти. Также может страдать сустав. В результате не только повышается риск перелома, но и возможно искривление верхней конечности. Иногда у детей крупные экзостозы травмируют эпифизарные пластинки. Это приводит к нарушению их функции и отставанию роста пораженной кости в росте от здоровой руки.
В единичных случаях наблюдается быстрый рост остеохондромы. Это требует немедленного обращения к ортопеду-травматологу, так как такие изменения характерны для малигнизации опухоли. Но если единичные экзостозы перерождаются в хондросаркому менее чем в 1% случаев, то при множественных остеохондромах риск возрастает до 10%.

Основным методом диагностики является рентген в 2-х проекциях. На снимках визуализируется только костная часть опухоли в виде новообразования с четкими границами и соединенного тонкой ножкой или толстым основанием с материнской костью. Также наблюдается истончение кортикального слоя кости, а сама остеохондрома часто имеет вид «цветной капусты» из-за участков обызвествлений в хрящевой шапочке.
Сам хрящевой колпачок на рентгеновских снимках не отображается, хотя его величина важна для определения вероятности озлокачествления. В норме толщина хрящевого слоя не должна превышать 1,5—2 см. Поэтому в спорных случаях, а также детям с высокой скоростью роста остеохондромы нередко дополнительно назначается проведение КТ или МРТ. В результате удается не только точно визуализировать хрящевую шапочку, измерить ее параметры, но и определить расположение сосудисто-нервного пучка, а также оценить состояние плечевого, локтевого сустава или кисти. Это дает возможность разработать оптимальную тактику лечения.

Лечение экзостоза руки
При отсутствии клинических проявлений остеохондромы лечение не проводится. В подобных ситуациях достаточно динамического наблюдения с целью контроля процесса развития новообразования.
Консервативная терапия назначается при диагностировании бурсита, тендинита или появлении болей, обусловленных экзостозом. Она заключается в использовании НПВС, иногда во внутрисуставном введении кортикостероидов, а при сильном болевом синдроме – в проведении лекарственной блокады. Медикаментозное лечение может дополняться физиотерапевтическими процедурами, в частности:
электрофорезом с введением лекарственных средств;
Но консервативная терапия не способна привести к рассасыванию костно-хрящевого экзостоза. Она направлена только на устранение осложнений и улучшение состояния пациента.
Операция при экзостозах верхних конечностей
Единственным методом, позволяющим полностью избавиться от новообразования, является операция. Но она назначается только при наличии показаний. Это:
быстрый рост новообразования, появление рентгенологических признаков малигнизации;
стойкий болевой синдром, снижающий качество жизни;
регулярное развитие воспалительных, сосудистых, неврологических осложнений;
перелом ножки экзостоза;
деформация костей и суставов верхней конечности.

Детям и подросткам хирургическое вмешательство рекомендуется только в крайних случаях. Обычно до закрытия зон роста его стараются не проводить.
Непосредственно удаление остеохондромы может осуществляться разными способами. Чаще всего проводится краевая резекция, подразумевающая удаление новообразования в пределах здоровых тканей. При этом хирургу важно удалить всю капсулу, так как это является залогом отсутствия риска повторного образования костно-хрящевого экзостоза кости руки. Операция может дополняться костной пластикой, если в результате удаления остеохондромы в материнской кости сформировался крупный дефект.
При искривлении кости верхней конечности и в других сложных случаях ортопед может настаивать на проведении корригирующей остеотомии. Суть метода заключается в распиливании кости на 2 фрагмента и удалении ее части вместе с доброкачественным новообразованием. После этого отломки материнской кости сопоставляют между собой так, чтобы восстановить правильную ось конечности. Они фиксируются в заданном положении специальными титановыми пластинами, винтами или другими системами.
После операции пациенты нуждаются в восстановлении. Им назначается медикаментозная терапия, ЛФК, реже физиопроцедуры. Обычно выписка из стационара при отсутствии осложнений осуществляется через 3 дня, а вернуться к прежнему образу жизни и обязанностям пациент может уже после снятия швов, т. е. на 7—10 день.
Экзостозы челюсти ( Остеофиты челюсти )
Экзостозы челюсти – это костные образования на альвеолярном отростке или в области тела челюсти в виде выступов, бугров, шипов, остроконечных и тупоконечных гребней. Экзостозы челюсти не вызывают выраженного дискомфорта. Чаще костные наросты, деформирующие челюсть, обнаруживают случайно в ходе профилактического осмотра или на подготовительном этапе перед протезированием. Диагностика данной патологии включает сбор жалоб, клиническое обследование и рентгенографию. Лечение экзостозов челюсти направлено на удаление костных выступов, сглаживание поверхности, создание необходимых условий для фиксации ортопедических конструкций.
МКБ-10

Общие сведения
Экзостозы челюсти (остеофиты) – костные выступы, возникающие как на верхней, так и на нижней челюсти после удаления зубов, вследствие травмы или по причине возрастных изменений альвеолярного гребня. В большинстве случаев на верхней челюсти остеофиты располагаются со щечной поверхности альвеолярного отростка. На нижнечелюстной кости экзостозы чаще выявляются с язычной стороны в участке премоляров, реже в области моляров, клыков или резцов. Симметрично локализованные экзостозы челюсти в зоне нижних малых коренных зубов диагностируют у 5-10% пациентов с частичной или полной адентией. Эти костные выступы называют нижнечелюстными валиками. Небный торус (экзостоз в участке срединного небного шва) довольно часто обнаруживают у детей вскоре после рождения. По мере роста ребенка наблюдается тенденция к увеличению экзостоза челюсти в объеме.
Причины
Экзостоз - это приобретенная патология. Чаще всего костные разрастания имеют посттравматический характер.
- Экзостозы челюсти могут возникнуть после операции по удалению зуба. Отсутствие этапа сглаживания краев лунки при проведении травматической экстирпации приводит к образованию костных выступов-шипов.
- Причиной остеофитов могут быть травмы, неправильно сопоставленные поврежденные фрагменты челюсти, застарелые переломы.
- При периферической форме по краю челюсти возникают остеофиты остеогенного диспластического происхождения.
Симптомы экзостозов челюсти
Как правило, остеофиты небольших размеров не вызывают никаких жалоб. Костные наросты могут быть выявлены во время определения степени атрофии кости, оценки уровня податливости слизистой оболочки на подготовительном этапе перед протезированием. Наиболее часто экзостозы челюсти локализуются в зоне срединного небного шва, а также с оральной стороны альвеолярного отростка в проекции нижних премоляров. Открывание рта у пациентов с экзостозом челюсти свободное, осуществляется в полном объеме. Слизистая над остеофитами бледно-розовая, без видимых патологических изменений, подвижная.
При увеличении костных выступов слизистая истончается, вследствие чего возрастают риски ее травматизации базисом протеза или острыми краями разрушенных стенок зубов. При пальпации экзостозы челюсти представляют собой плотные образования с бугристой или гладкой поверхностью, не спаянные с окружающими мягкими тканями. Располагаясь в области суставного отростка, экзостоз челюсти вызывает болевые ощущения. При этом наблюдается ограничение при открывании рта, смещение ментального отдела в здоровую сторону, нарушение окклюзии. Регионарные лимфоузлы не пальпируются. Общее состояние у пациентов с экзостозом челюсти не нарушено.
Постановка диагноза экзостоз челюсти базируется на основании жалоб пациента, данных анамнеза, результатов физикального обследования, рентгенографии. Дифференцируют экзостоз челюсти с доброкачественными и злокачественными опухолями костной ткани. Обследование проводит хирург-стоматолог.
- Стоматологический осмотр. При осмотре врач-стоматолог на альвеолярном отростке или в участке тела челюсти выявляет безболезненное образование плотной консистенции, не спаянное с окружающими мягкими тканями. Слизистая оболочка над экзостозом челюсти истонченная. Повреждение ее острыми краями разрушенных зубов или базисом протеза приводит к появлению участков изъязвлений.
- Рентгенография челюсти. При экзостозе челюсти на рентгенограмме определяют костный выступ с четкими границами. Деструктивные изменения в кости отсутствуют.
Лечение экзостозов челюсти
Лечение челюстных остеофитов хирургическое. При иссечении небного торуса производят срединный линейный разрез с послабляющими надрезами спереди и сзади, отслаивают слизисто-надкостничный лоскут, экзостоз челюсти удаляют единым блоком или распиливают, а затем извлекают по фрагментам. Иногда остеофиты в стоматологии срезают бором или фрезой. После удаления небного выступа производят ревизию костной раны, сглаживают края. Слизисто-надкостничный лоскут помещают на место. Оперативное вмешательство заканчивается наложением узловых швов. Для предотвращения развития гематомы на небо ставят йодоформную повязку, которую дополнительно фиксируют шелковыми швами.
При расположении экзостозов на альвеолярном отростке производят трапециевидный разрез. После мобилизации слизисто-надкостничного лоскута спиливают экзостоз челюсти, сглаживают поверхность, укладывают на место ранее отсепарированный лоскут. Края раны ушивают узловыми швами. При небольших экзостозах и имеющемся дефиците кости поднадкостнично формируют тоннель, куда вводят гидроксиапатит. За счет биоматериала восстанавливают нужную толщину альвеолярной части. Рану на слизистой оболочке зашивают, накладывают повязку.
Прогноз и профилактика
Прогноз при экзостозе челюсти благоприятный. После устранения этиологических факторов и хирургического удаления остеофитов создаются благоприятные условия для дальнейшего протезирования.Профилактика состоит в предупреждении травмирования челюстной ткани, атравматичном проведении стоматологических манипуляций.
Хондродисплазия
Хондродисплазии — это общее название для группы наследственных заболеваний, вызванных нарушением образования или окостенения хрящевой ткани. Они возникают в результате генных мутаций, наследуются как по аутосомно-доминантному, так и по аутосомно-рецессивному типу. Патологии проявляются низкорослостью, разнообразными укорочениями и деформациями конечностей, поражением суставов. Для диагностики необходимы данные рентгенографии или компьютерной томографии, результаты генетического исследования. Лечение направлено на устранение или коррекцию существующих нарушений, для чего применяются ортопедические операции, ортезы, методы ЛФК и физиотерапии.
На сегодня известно более 100 вариантов хондродисплазии, многие из которых схожи между собой по клинической картине, поэтому постановка точного диагноза, как правило, затруднена. Заболевания не теряют своей актуальности, поскольку сопровождаются грубыми деформациями опорно-двигательного аппарата, что чревато инвалидностью, резким ухудшением качества жизни, некоторые имеют высокий показатель летальности в раннем возрасте. Достоверные статистические данные распространенности отсутствуют.
Причины хондродисплазии
Патология связана с точечными мутациями генов (COL2A1, SEDL, COMP и т.д.), отвечающих за образование белков хрящевого матрикса или некоторых регуляторных пептидов. Большинство типов хондродисплазии имеют аутосомно-доминантный тип наследования — при наличии генного дефекта у одного из родителей риск рождения больного ребенка равен 50%. Некоторые формы отличаются аутосомно-рецессивным механизмом передачи, для которого оба родителя должны быть носителями мутантного гена.
Патогенез
При большинстве типов хондродисплазий выявляется первичный дефект белков: разных типов коллагена, матрилина, олигомерного протеина. Все они в норме составляют хрящевую ткань, поэтому при их патологическом строении наблюдаются дефекты структуры, избыточное или недостаточное развитие хрящей. Нарушения также происходят на этапе образования регуляторных белков, к которым относят тирозинкиназный рецептор, факторы транскрипции, ферменты процессинга РНК.
Типичные деформации и укорочение конечностей часто сочетаются с расстройствами энхондрального окостенения, при котором определяется неструктурное беспорядочное расположение хондроцитов, вызванное дефектами окислительного фосфорилирования. Ряд форм болезни проявляются образованием костных выступов (экзостозов). Патогенетические механизмы многих типов хондродисплазий до сих пор точно не изучены.
Классификация
В современной генетике принят комплексный подход к систематизации хондродисплазий, учитывающий этиопатогенетические, клинико-рентгенологические особенности. Международная рабочая группа по хондродисплазиям представила вариант классификации из 17 разделов согласно типу генной мутации. В то же время в практической медицине актуально деление болезни с учетом характера поражения хрящевой ткани, которое включает 3 категории:
- Эпифизарные дисплазии. Сюда относят поражения суставного хряща, дисплазии хрящевой ткани собственно эпифиза. Основные представители группы: болезнь Волкова, спондилоэпифизарная дисплазия, псевдоахондроплазия, болезнь Фэрбанка.
- Физарные дисплазии. Характеризуются нарушениями формирования ростковой эпифизарной пластинки. Эта категория включает ахондроплазию (хондродистрофию), гипохондроплазию, экзостозную хондродисплазию.
- Метафизарные дисплазии. Эта группа патологий возникает вследствие задержки энхондрального роста на фоне неправильного окостенения хрящей метафизов. Они наименее изучены, описано лишь несколько вариантов: дисхондроплазия (болезнь Олье), хондродисплазии типа Янсена, Шмида, Мак-Кьюзика.
Симптомы хондродисплазии
Типичным признаком любой формы болезни является низкий рост (карликовость), связанный с нарушениями удлинения трубчатых скелетных костей. Рост взрослых пациентов составляет около 1,2-1,3 м. Карликовость сопровождается диспропорциями тела: при относительно нормальных размерах туловища у таких больных короткие конечности, крупный череп. При раннем закрытии черепных швов происходит деформация головы.
Хондродисплазии имеют множество симптомов, зависящих от конкретного варианта патологии. У страдающих ахондроплазией большой лоб, седловидный нос, выраженный прогиб в пояснице (лордоз), ноги приобретают саблевидную форму. Для дистрофической дисплазии характерно удлинение больших пальцев кистей рук, эквиноварусная косолапость. При эпифизарных дисплазиях отмечаются укорочение дистальных фаланг пальцев, вывихи тазобедренных суставов.
Помимо симптомов со стороны опорно-двигательной системы диагностируются множественные соматические признаки хондродисплазий. Изменения кожи и подкожной клетчатки проявляются пигментными пятнами, крупными липомами, гемангиомами, на ладонях и стопах зачастую формируются большие очаги гиперкератоза. У пациентов могут возникать гепатоспленомегалия, разнообразные поражения глаз: дистрофия хрусталика, астигматизм, миопия.
Часть хондродисплазий относят к летальным мутациям, при их наличии лишь немногие пациенты доживают до взрослого возраста. В эту категорию выделяют некоторые типы ахондрогенеза, танатофорную дисплазию, капомелическую дисплазию, ризомелическую форму точечной хондродисплазии. К нелетальным последствиям заболевания относят контрактуры суставов, деформации конечностей, грубые искривления позвоночника по типу кифосколиозов или лордозов.
Поскольку поражение костно-хрящевых структур обычно затрагивает позвоночник, у больных есть риск неврологических нарушений. Они обусловлены сдавлением спинного мозга при сужении позвоночного канала либо при стенозе большого затылочного отверстия. Осложнения включают нарушения чувствительности, снижение тонуса скелетной мускулатуры, тазовые расстройства. Вследствие деформации грудной клетки нередко нарастает дыхательная недостаточность.
Генные мутации могут затрагивать не только белки хрящевой ткани, но и компоненты соединительнотканных волокон другой локализации, с чем связано осложненное течение хондродисплазий. Нередко заболевания сопровождаются пороками развития сердца: наличием дополнительных хорд, патологиями клапанного аппарата, поражением крупных эластических сосудов. При вовлечении в процесс мышечной ткани сердца встречаются тяжелые формы кардиомиопатий.
Первичное обследование больных находится в компетенции ортопеда-травматолога, при необходимости к осмотру привлекают генетика, хирурга-ортопеда. Заподозрить наличие хондродисплазии удается по задержке роста в сочетании с множественными скелетными деформациями, однако выделить конкретную нозологическую единицу по физикальным данным затруднительно. План диагностики включает следующие методы исследования:
- Рентгенография костей. Рентгенологические признаки разнообразны: уплощение эпифизарных отделов трубчатых костей, деформация коротких трубчатых костей, неравномерные очаги окостенения. Патогномоничная картина наблюдается при ахондроплазии —на снимке поперечники трубчатых костей увеличены, корковое вещество утолщено, метафизы расширены, рельеф усилен.
- КТ костей скелета. Компьютерная томография имеет более высокую разрешающую способность, поэтому метод рекомендован при затруднениях в дифференциальной диагностике хондродисплазий. Также КТ информативна при мягких фенотипических вариантах, когда отсутствуют выраженные аномалии костного аппарата.
- Генетическое тестирование. На современном этапе медицины расшифрованы гены, отвечающие за большинство вариантов хондродисплазий. Для верификации диагноза используется секвенирование экзона, которое выполняется на базе специализированных генетических центров. По показаниям тестирование проводится ближайшим родственникам больного.
Лечение хондродисплазий
Специфическая терапия не разработана. Суть медицинской помощи заключается в максимально возможном восстановлении нормальных пропорций скелета, улучшении функциональности конечностей, предупреждения тяжелой инвалидности. Важную роль играет разъяснение пациентам недопустимости повышенных нагрузок на суставы, что может стать причиной резкого ухудшения состояния. Комплекс лечебных мероприятий при хондродисплазиях состоит из следующих направлений:
- Ортопедическая коррекция. Использование специальных ортезов, фиксаторов (например, при вывихе тазобедренного сустава) частично компенсирует имеющиеся анатомические аномалии. Чтобы улучшить походку, подбирается специальная ортопедическая обувь.
- Хирургические вмешательства. Хороший функциональный и косметический результат дают операции по удлинению конечностей, которые выполняются в несколько этапов. Также оперативная помощь показана для устранения крупных экзостозов, ликвидации суставных контрактур, коррекции стеноза спинномозгового канала.
- Реабилитация. Больным с хондродисплазиями назначаются индивидуальные курсы лечебной физкультуры, механотерапии, специального массажа. Для уменьшения мышечного напряжения полезны физиотерапевтические процедуры.
Среди хондродисплазий есть летальные варианты, приводящие к гибели плода во внутриутробном периоде или ранней смерти ребенка, и мягкие формы, при которых возможна успешная реабилитация и социализация пациентов. Большое значение для улучшения прогноза имеет своевременная помощь хирургов-ортопедов, всесторонняя реабилитация. Учитывая генетические предпосылки заболевания, эффективные меры профилактики не разработаны.
2. Множественная эпифизарная хондродисплазия: особенности первичного эндопротезирования тазобедренного сустава// А.Ю. Милюков// Политравма. — 2017. — №3.
4. Экзостозная хондродисплазия взрослых (клиника, диагностика, хирургическое лечение)/ А.В. Балберкин. — 1994.
Читайте также:
- Супраокклюзия и инфраокклюзия. Мезиальное и дистальное положение зуба.
- Перелом локтевого отростка. Диагностика и лечение
- Диагностика энтеробактерий. Выявление энтеробактерий. Диагностические подходы для энтеробактерий.
- Влияние стронция на кроветворные органы. Америций-241
- Показания и противопоказания для катетеризации периферических артерий у новорожденных
