Морфология отоспонгиоза. Патологическая анатомия отосклероза
Добавил пользователь Евгений Кузнецов Обновлено: 23.11.2025
Отосклероз — это процесс, в основе которого лежит очаговое поражение костной капсулы ушного лабиринта.
Отосклероз. Патогенез
Патологоанатомическая сущность заболевания заключается в том, что здоровая кость в очаге поражения замещается вновь образованной порозной, губчатой — спонгиозной костью, богатой сосудами. Поэтому более правильным является наименование отоспонгиоз. Обычно отосклеротический очаг располагается в области окна преддверия, чаще у переднего полюса его.
Значительно реже в области окна улитки, внутреннего слухового прохода, полукружных каналах. Различают гистологическую и клиническую стадии отосклероза. Так, пока изменения локализуются лишь в кости процесс клинически ничем не проявляется. С переходом процесса на кольцевую связку стремени подвижность стремени ограничивается, в связи с чем постепенно ухудшается передача звуков через среднее ухо. Имеет место прогрессирующая тугоухость и ощущение шума в ушах.
Отосклероз относят к наследственным моногенным болезням с аутосомно-доминантным типом наследования. Существует мнение возникновения отосклеротического процесса из-за наследственной неполноценности ушного лабиринта, выражающейся в повышенной чувствительности к ультразвукам. Современными исследованиями доказано поражение при отосклерозе различных звеньев слухового анализатора, в том числе его коркового отдела. Следовательно, более правильно рассматривать отосклероз как дистрофический процесс, развивающийся во всем слуховом анализаторе, а не только в капсуле лабиринта.
В механизмах развития отосклероза большая роль придается неорганическим компонентам. У больных отосклерозом выявлено снижение содержания многих биоактивных элементов в костном веществе стремени. Полученные данные обосновывают целесообразность использования некоторых биологически активных элементов в качестве патогенетической терапии отосклероза.
В зависимости от распространенности процесса различают тимпанальную, кохлеарную и смешанную формы. При тимпанальной форме происходит замуровывание основания стремени в окне преддверия, его подвижность нарушается, наступает анкилоз. Кохлеарная форма (более редкая) характеризуется распространением процесса на улитку, иногда на преддверие и полукружные каналы, а также на окно улитки и внутренний слуховой проход.
Отосклероз. Клиника
Клинически отосклероз проявляется прогрессирующим понижением слуха и ощущением шума в ушах, который переносится больными значительно тяжелее, чем при других формах тугоухости. При описании характера субъективного шума в ушах больные сравнивают его с различными явлениями природы и бытовой среды (шум прибоя, шелест листвы, гул проводов). Выраженность субъективного шума оценивается по трем степеням:
I степень — ощущение ушного шума больного почти не беспокоит и наличие этого симптома выявляется при активном опросе;
II степень — жалобы на шум в ушах на ряду с другими жалобами;
III степень — ощущение субъективного шума является ведущей жалобой больного.
Довольно патогномичными симптомами отосклеротического поражения являются улучшение остроты слуха при прибывании больного в шумной обстановке (paracusis Willisii), понижение разборчивости речи при глотании и жевании (deprecusis Scheer), одновременном разговоре нескольких лиц (симптом Тойнби) и при напряженном внимании (симптом Урбанчича-Вальбе).
Нередко больных отосклерозом беспокоят головокружения и расстройства равновесия. Как правило это кратковременные головокружения, возникающие при движении, быстрых наклонах или запрокидывании головы. Головокружения могут проявляться приступами тошноты и рвоты. Причину головокружений видят в интоксикации нервных окончаний статокинетического рецептора при распространении отосклероза на полукружные каналы и внутренний слуховой проход.
Симптоматика отосклероза может проявляться и такими жалобами, как боль в ушах, чувство покалывания и заложенности в них, головная боль, понижение памяти, нарушение сна.
При отоскопии обнаруживаются широкие наружные слуховые проходы (симптом Тилло-Верховского), уменьшение или отсутствие секреции серы (симптом Тойнби-Бинга), понижение чувствительности кожи наружного слухового прохода и барабанной перепонки (симптом Фрешельса), повышенная подвижность барабанной перепонки, истончение барабанной перепонки (симптом просвечивания через барабанную перепонку гиперемированной слизистой оболочки промонториума).
Отосклероз. Диагностика
Диагноз отосклероза устанавливают на основании анамнеза, упомянутых выше симптомов, течения болезни и данных исследования слуха. Данные исследования слуха у больных отосклерозом зависят от формы заболевании и от стадии. Так, при тимпанальной форме имеется значительное снижение остроты слуха по воздушной проводимости при сравнительно хорошо сохранившейся костной. При исследовании слуха камертонами определяется поражение звукопроводящего аппарата. Звук по костной проводимости латеризуется в сторону хуже слышащего уха, опыты Ринне и Желле отрицательные. После пробного продувания ушей слух не улучшается. При кохлеарной форме отмечается прогрессирующая потеря слуха не только на низкие, но и на высокие тоны, костная проводимость укорачивается.
При тональной аудиометрии у больных тимпанальной формой отосклероза определяется восходящая форма кривой, понижение остроты слуха для воздушного проведения при сохранении слуха по костной проводимости в пределах нормы. При смешанной и кохлеарной формах отмечается нисходящий тип кривой, который указывает на нарушение функций также и звуковоспринимающего аппарата. Характерным для тимпанальной и смешанной форм отосклероза является наличие разрыва между кривыми костной и воздушной проводимости, чего нет при поражении улитковой части VIII нерва.
У подавляющего большинства больных отосклерозом нарушен характер вестибулярных реакций при экспериментальных пробах. При этом часто выявляется гипорефлексия или арефлексия при калорической пробе, что выражается удлинением латентного периода калорического нистагма, уменьшением его общей продолжительности или изменением характера нистагма.
Особого внимания заслуживает рентгенологический метод диагностики отосклероза — выявляются мельчайшие детали морфологического строения височной кости и обнаруживаются характерные изменения в области окон преддверия и улитки, полукружных каналов и внутреннего слухового прохода.
Отосклероз. Лечение
При консервативном лечении с целью воздействия на обмен в костной ткани назначают внутрь препараты кальция, фосфора (фитин), брома, фтористый натрий по 20 мг 2 раза в день во время еды в течение 1-2 лет, витамины группы В, А, Е, гормональные препараты во время климакса. Из физиотерапевтических мероприятий применяют электрофорез с кальцием или йодом, дарсонвализацию, которые несколько уменьшают шум в ушах.
Наиболее эффективен хирургический метод лечения. Применяют два вида хирургического вмешательства: операции на стремени и фенестрацию лабиринта (бокового полукружного канала). Улучшение слуха можно ожидать главным образом при тимпанальной форме. Предложенные основные способы операций на стремени условно разделяют на две группы: щадящие и радикальные. К первым относятся непрямая, прямая мобилизация,
перфорация и фрагментация основания стремени, изоляция отосклеротического очага; ко вторым — стапедэктомия и стапедопластика. В настоящее время в основном производят стапедопластику — часть анкилозированного стремени удаляют и заменяют протезом из синтетического материала, например, тефлоном. Эффективность этих операций очень высока — 95 %.
Отосклероз. Профилактика
К профилактическим мероприятиям, направленным на предупреждение ухудшения отосклероза, относятся спокойный образ жизни избегание шумной обстановки), диета с ограничением содержания витамина D, умеренный климат (избегание близости моря, пребывания на солнце), беременность следует предупреждать. При значительном понижении слуха, когда речь собеседника не воспринимается или воспринимается плохо назначают ношение аппарата, который усиливает звуки речи.
Морфология отоспонгиоза. Патологическая анатомия отосклероза
Морфология отоспонгиоза. Патологическая анатомия отосклероза
Патологоанатомическая картина отоспонгиоза выражается прежде всего в двустороннем симметричном костном новообразовании в окружности овального окна. Разросшиеся костные язычки нередко прорастают lig. annulare, обусловливая анкилоз стремени. Иногда в области овального окна, а еще реже в области круглого окна можно обнаружить деформации вследствие роста экзостозов (Зибенман, 1900;Майер, 1923, Рюеди, 1957, В. А. Гукович, 1959).
Изредка экзостозы встречаются на стенках внутреннего слухового прохода (Политцер, 1908; Шембо, 1949) или же на внутренней стенке лабиринта, суживая просвет улитки или полукружных каналов (Ланге, 1926; Нагер и Фрэзер, 1938: Нилен, 1949). Кроме этих изменений, часто можно обнаружить признаки дистрофии в пределах наружного уха в виде расширения слухового прохода, истончения кожи и пр. (Гольмгрен, 1941; А. А. Аткарская, 1956; К. Л. Хилов, 1958). Слизистая оболочка среднего уха обычно не изменена (Политцер, 1894; Коуторн, 1955).
При микроскопическом исследовании костного лабиринта с применением гематоксилин-эозиновой окраски выявляются темно-синие отдельные очаги диаметром от 0,1 мм и более (Нилен, 1949), локализуемые в «предрасположенных местах». Такими местами чаще всего являются: а) передний полюс овального окна; б) promontorium; в) окружность внутреннего слухового прохода.
Обычно очаг имеет вид незрелой мелкопористой губчагоподобной кости и занимает не только место прежней кости, но и вырастает за его пределы. По периферии очаг часто отграничен от энхондрального слоя капсулы лабиринта зубчатым или закругленным краем, а иногда края выражена недостаточно четко.

Ковелл (Covell, 1940), Гильд (1944) и Нилен (1949) подвергли микроскопическому исследованию височные кости всех взрослых (16—87 лет), доставленных в прозектуру и обнаружили отоспонгиотические изменения в 10%. Бруниер (1943) отмечает одинаковую частоту очагов как у мужчин, так и у женщин. При этом одиночный очаг встречается в 50—65% из общего числа микроскопически обследованных костей. В 30—35% наблюдается по 2—3 очага и более, которые иногда сливаются между собой. В 10% Нилен (1949) выявил диффузное поражение, когда капсула лабиринта была изменена на большом протяжении (Брюль, 1946).
Обнаруженные в костях очаги в 80—90% находились в области овального окна и главным образом кпереди от него, в 40% — в окружности круглого окна, в 35% — в капсуле улитки преимущественно у основного завитка, в 30% — в области внутреннего слухового прохода и лишь в 15% — в стенках полукружных каналов. Лемперт (1945) утверждал, будто патологический очаг никогда не имеется в том месте ампулы горизонтального полукружного канала, где просверливается окно при фенестрации, однако Нилен (1951), Зелигман и Гильс (Seligmann и Hills, 1951), а также Оджильви я Голл (1953), Гладкий (1957) нашли отоспонгиотическое поражение ампулы (экзостозы или гистологические очаги) у 5—8% из общего числа оперированных больных. По наблюдениям Баста (1940) и Коуторна, (1955) очаг часто занимает участок fossula ante fenestram.
Ковелл (1940), Вольф (1950) исследовали наковальни и молоточки, взятые из ушей больных отослонгиозом; оказалось, что настоящие очаги отоспонгиоза встречаются в виде исключения, но сосудистые и костные изменения, которые могут считаться более или менее характерными для отоспонгиоза, были обнаружены почти во всех косточках.
Соответственно исследованиям Гильда (1944) и Нилена (1949) очаг, расположенный в области овального окна, часто распространяется со стороны капсулы лабиринта или со стороны стремени на lig. annulare и примерно в 40—50% обусловливает анкилоз стремени. Вначале появляются отдельные перемычки между передним краем подножной пластинки и краем овального окна. В последующем наблюдается почти сплошное окостенение кольцевидной связки и утолщение подножной пластинки стремени порой до 8—10 раз и более.
До тех пор пока процесс не перешел на lig. annulare, клинические признаки отоспонгиоза обычно отсутствуют.
По микроскопическому виду пораженных участков кости Ланге (1926) различает губчатые и склеротические очаги. Губчатое строение с темно-синей окраской характерно для молодых очагов, которые обычно находятся в стадии активности, т. е. соответствуют периоду распространения процесса. Участки склеротического строения кости (красной окраски) встречаются преимущественно в старых очагах, находящихся обычно в состоянии покоя. Гильд (1944) находил активные и неактивные очаги одинаково часто. По данным Нилена (1949), молодые очаги встречаются в 20%. старые—в 30%, а в 50% очаги являются смешанными.
Активные очаги стречаются преимущественно у больных в более молодом возрасте (20-40 лет), а дремлющие и смешанные очаги чащи встречаются у людей старше 50 лет.
Информация на сайте подлежит консультации лечащим врачом и не заменяет очной консультации с ним.
См. подробнее в пользовательском соглашении.
Морфология отоспонгиоза. Патологическая анатомия отосклероза
В результате анализа 611 случаев первичной стапедопластики у больных тимпанальной и смешанной формой отосклероза облитерация окна преддверия различной выраженности выявлена у 17 (2,8%) больных. Хирургическое лечение выполнено у 14 пациентов (17 ушей). В 3 случаях — с обеих сторон. Большинство из них составляли женщины — 10 (средний возраст — 38,8±6,2 года), мужчин было 4 (средний возраст — 44,8±3,9 года) (табл. 1). Таблица 1. Характеристика больных по полу, возрасту и длительности заболевания У всех больных имелось двустороннее снижение слуха и шум в ушах низкой тональности. Длительность тугоухости до операции у 7 (50%) больных составила более 8 лет. Ранее у 3 пациентов успешно выполнена стапедопластика (2 года, 9 и 25 лет назад).
Мы придерживаемся классификации отосклероза в зависимости от состояния порогов слуха по костной проводимости (КП), предложенной Н.А. Преображенским и О.К. Патякиной [1], где выделяются тимпанальная (средние пороги КП в диапазоне от 0,5—2 кГц до 20 дБ), смешанная I (до 30 дБ), II (>30 дБ) и кохлеарная формы. В соответствии с этой классификацией по данным ТПА в 13 случаях облитерирующего отосклероза выявлена смешанная и в 4 — тимпанальная форма. При этом средний порог слуха по КП на частотах 0,5, 1,2 и 4 кГц составил 24,9±8,1 дБ, средний костно-воздушный интервал (КВИ) на этих же частотах — 38±5,1 дБ. По данным акустической импедансометрии у всех больных отмечалась тимпанограмма типа, А с отсутствием акустического рефлекса на стороне поражения. По данным УЗВ аудиометрии величина порога чувствительности к УЗВ соответствовала нормальным величинам (10—12 в) с латерализацией в сторону большего КВИ.
КТ височных костей в аксиальной и фронтальной проекциях по программе костной реконструкции с толщиной среза 0,6 мм и с денситометрией, которая выполнена в 13 случаях, выявила морфологические изменения, соответствующие I—III степени облитерации по классификации J. Nadol и M. Mckenna [20]. При несоблюдении параметров выполнения КТ и некачественном ее описании в одном случае отосклероз не был верифицирован. В 4 случаях (3 больных) на томограммах выявлялся очаг отосклероза в области впередиоконной щели в сочетании с достаточно равномерным утолщением и уплотнением основания стремени (рис. 1). Рис. 1. КТ правой височной кости. Аксиальная проекция. Небольшой очаг отоспонгиоза в области впередиоконной щели (стрелка). Равномерное утолщение подножной пластинки стремени на всем протяжении (стрелки). В 6 наблюдениях (5 больных) определялись очаги отоспонгиоза по краям ниши окна преддверия, значительно суживающие ее. Толщина центральных отделов подножной пластинки при этом была не изменена (рис. 2). Рис. 2. КТ левой височной кости. Аксиальная проекция. Крупные очаги отоспонгиоза низкой плотности по краям ниши окна преддверия, распространяющиеся на подножную пластинку и ножки стремени (стрелки). Центральные отделы подножной пластинки стремени не изменены. В 7 случаях (6 больных) отмечались отоочаги по краям ниши окна преддверия в сочетании с выраженным равномерным утолщением и уплотнением основания стремени (рис. 3). Рис. 3. КТ левой височной кости. Аксиальная проекция. Очаги отосклероза высокой плотности в области впереди- и позадиоконной щели. Значительное утолщение и уплотнение подножной пластинки стремени на всем протяжении (стрелка). Наиболее наглядно на КТ височных костей облитерация окна преддверия визуализировалась в коронарной проекции (рис. 4). Рис. 4. КТ правой височной кости. Коронарная проекция. Облитерация ниши окна преддверия за счет смыкания плотных отоочагов, расположенных на промонториуме и в области канала лицевого нерва (стрелка). При этом фенестральная локализация очагов отосклероза выявлена в 7 случаях, смешанная — в 6, что не соответствует формам отосклероза по данным ТПА (тимпанальная — у 4 и смешанная — у 13). Консервативное инактивирующее лечение перед операцией вследствие выраженной деминерализации очагов отосклероза (плотность

Хирургическое лечение у всех больных выполнялось под местной анестезией при отсутствии активности отосклеротического процесса. Оценка локализации очагов отосклероза проводилась после удаления арки стремени. Облитерирующая форма отосклероза I степени выявлена в 4 случаях, II степени — в 6 и III степени — в 7 по классификации J. Nadol и M. Mckenna [20], что соответствовало данным, полученным при КТ височных костей. В случаях сужения ниши окна преддверия его расширение осуществлялось с помощью микроложки или алмазного микробора. Стапедотомия выполнялась в наиболее тонком месте подножной пластинки стремени и, как правило, в задних ее двух третях. Техническое обеспечение значительно упрощало этап стапедотомии независимо от степени облитерации (табл. 2). Таблица 2. Характеристика степени облитерации и методики стапедопластики у больных отосклерозом (n=17) Для стапедотомии в 15 случаях применялась бесконтактная CO2-лазерная система (λ — 10,6 мкм) с наличием флешсканера и суперимпульсного режима (Acuspot 712, Lumenis, USA), а в остальных — микробор. Количество расфокусированных импульсов СО2-лазера при этой патологии колебалось от 1 до 15. При этом большее их количество отмечено при III (от 1 до 15 импульсов) и I (от 1 до 4) степенях облитерации. В 5 случаях была выполнена поршневая стапедопластика (диаметр стапедотомии 0,6—0,9 мм, протез стремени 4,25×0,5 мм), в 11 — установка протеза стремени (4,25×0,5 мм) на аутовену, закрывающую отверстие (0,7—1 мм) в основании стремени, и в 1 — подобная методика (диаметр стапедотомии >1 мм), но с использованием аутохрящевого протеза (3,5×1,0 мм). Преимущественное использование СО2-лазера при этой форме отосклероза обусловлено возможностью формирования отверстия в основании стремени заданного размера с помощью расфокусированного импульса и безопасностью его многократного применения. В большинстве случаев на выбор методики стапедопластики влияли особенность строения ниши окна преддверия, кровотечение из сосудов слизистой оболочки этой зоны и плотность очагов отосклероза.
Сравнение средних величин КВИ и порогов КП до операции показало более выраженную тугоухость у больных с I (средние КВИ — 44,1±10,2 дБ и пороги КП — 23,4±20,2 дБ) и III степенью облитерации (КВИ — 35,9±1,7 дБ и КП — 31,3±1,3 дБ) в сравнении со II степенью (КВИ — 33,9±3,2 дБ и КП — 20,1±2,8 дБ). Функциональный результат после операции достигнут у всех больных. Через 1 мес средний КВИ составил 16,1±2,3 дБ, через 1 год — 13,2±3,4 дБ (до операции — 38±5,1 дБ). Отмечено повышение среднего порога КП до 27,2±1,9 дБ через месяц после операции и снижение до 22,1±2,2 дБ (до операции — 24,9±8,1 дБ) через 1 год. Сравнение функциональных результатов в зависимости от степени облитерации показало равнозначное повышение порогов КП у всех больных как реакцию внутреннего уха на операцию в течение месяца. Через 1 год после операции более выраженное снижение порогов КП отмечено при III степени облитерации в сравнении со II (до операции — 31,3±1,3 дБ, после — 24,4±1,6 дБ против 20,1±2,8 дБ и 19,7±2,5 дБ), как и лучшее сокращение КВИ (до операции — 35,9±1,7 дБ, после — 10,03±1,3 дБ против 33,9±3,2 дБ и 16,4±2,1 дБ). Результаты операций при I степени облитерации имеют низкий уровень достоверности из-за малого количества наблюдений.
По визуальной локализации очагов в основании стремени и нише окна преддверия выделяют от 3 до 10 типов стапедиального отосклероза, при котором облитерирующая форма соответствует 3—5 или 8—10 типам [17—19]. Некоторые авторы определяют 4 типа стапедиального отосклероза (ограниченный, умеренный, распространенный (диффузный) и облитерирующий) [1, 21, 22], другие — 3 типа [6, 11—13, 18, 23]. Так, G. Malafronte и соавт. [13], выделяя 3 типа стапедиального отосклероза, оценивали основание стремени голубого цвета (очаги в области переднего, заднего и обоих полюсов), белого цвета (очаги распространяются по всему основанию стремени) и облитерирующую форму. R. Gristwood и J. Bedson [12] оценивали тяжесть процесса по сужению ниши окна преддверия очагами с учетом 10 видов локализации стапедиального отосклероза: легкое (1—4-й вид) — 58,7%, умеренное (5—7-й вид, сужение ниши до 0,4—0,8 мм) — 17,8% и тяжелое (8—10-й вид, ≤0,3 мм) — 23,5%. Авторами отмечен билатеральный характер тяжести отосклеротического поражения и отсутствие корреляции между поражением основания стремени и сужением ниши окна преддверия. При этом характер и локализация очагов отосклероза по основанию стремени схожи у многих авторов: поражение анулярной связки или краевое наблюдалось у 56—79%, распространенное поражение основания стремени — у 7,5—38,1% и облитерирующее — у 1—17,1% [1—14, 23]. Некоторые визуально разделяли и облитерирующие формы отосклероза на 3 степени по характеру поражения [17, 20, 24].

Облитерирующая форма отосклероза не часто встречается в практике отохирургов, этим и объясняются немногочисленные сведения о диагностике и эффективности операций при этой патологии (табл. 3). Таблица 3. Частота встречаемости облитерирующей формы отосклероза по данным литературы Однако, учитывая технические сложности выполнения стапедопластики при этой форме отосклероза, многие исследователи уделяли внимание поиску критериев предоперационной диагностики данной формы.
По данным литературы, облитерирующий отосклероз преимущественно встречается в возрасте от 41 года до 50 лет при давности тугоухости больше 30 лет [2]. Данная форма отосклероза наблюдается более часто в детском возрасте по сравнению с взрослыми больными (14,7 и 2,6% соответственно) [10]. Многими исследователями отмечена взаимозависимость порогов слуха по воздушной (ВП) и костной проводимости от вида стапедиального отосклероза [1, 2, 25]. Для распространенного (облитерирующего) отосклероза типичны пороги слуха по КП в среднем до 30 дБ и более, тогда как для изолированного — до 25 дБ. Таким образом, наиболее тяжелая степень тугоухости часто характеризуется плотной фиксацией стремени очагами отосклероза (диффузная или облитерирующая форма), а умеренная тугоухость — ограниченным процессом в нише окна преддверия, что подтверждено при операциях. Представленные данные подтверждают, что степень тугоухости у больных отосклерозом может служить диагностическим признаком выраженности отосклеротического процесса, особенно распространенных или облитерирующих его форм.
Диагностика облитерирующих форм отосклероза возможна по данным КТ височных костей [25—29]. Чувствительность К.Т. высокого разрешения в диагностике отосклероза составляет 95%, а специфичность — 99,1%. При этом изолированный фенестральный отосклероз по данным метода выявляется у 75%, обширный — у 17,5%. Исследования многих авторов выявили зависимость между размером отосклеротического очага, его локализацией по данным КТ височных костей и порогами КП и величиной КВИ по данным ТПА [25, 28—33]. Некоторые наблюдали ее только при массивных очагах отосклероза [34]. Другие авторы не отмечали этой зависимости [35—38].
Облитерирующая форма отосклероза ранее являлась противопоказанием к проведению стапедопластики [1, 19]. При хирургии облитерирующих форм инструментальная фенестрация основания стремени сложна и опасна в связи с высоким риском развития лабиринтных осложнений, поэтому многие рекомендуют использовать для стапедотомии микроборы или лазеры, которые в значительной степени снижают риск этих осложнений [7, 10, 39]. При этом предпочтительной методикой является частичная (широкая стапедотомия) или тотальная стапедэктомия для профилактики мобилизации основания стремени и реоблитерации ниши окна преддверия [8, 16, 40, 41]. Кроме того, при широкой фенестрации основания стремени и использовании протеза, установленного на трансплантат, изолирующий жидкости преддверия, отмечается улучшение на 10—15 дБ порогов слуха по КП у больных смешанной формой отосклероза [1, 23, 25, 42, 43] и лучшее закрытие КВИ в послеоперационном периоде [10, 44]. Однако вследствие хирургических трудностей чаще выполняется поршневая методика стапедопластики.
В литературе представлены неоднозначные функциональные результаты хирургического лечения облитерирующей формы отосклероза. Одни авторы свидетельствуют о закрытии КВИ до 10 дБ у 2,9—62,5% больных и от 10 до 20 дБ у 37,5% [7, 8, 25]. Другие не наблюдали разницы в эффективности стапедопластики в зависимости от распространения очагов отосклероза [10, 16]. Закрытие КВИ 15 дБ у 4,8%. При этом отмечали лучшие результаты при одностороннем поражении (КВИ 15 дБ — у 4,7%) в сравнении с двусторонним (КВИ 15 дБ — у 5,3%). О послеоперационном повышении порогов КП при этой форме отосклероза свидетельствуют многие авторы [2, 7, 25]. В то же время некоторые отмечают тенденцию лучшего закрытия КВИ и на 90% реже повышение порогов по КП >10 дБ при распространенном процессе по сравнению с изолированным [25].
Несмотря на высокую эффективность стапедопластики, процент неудачных вмешательств при облитерирующей форме выше, чем при изолированной форме отосклероза (12 и 6,4% соответственно), как и частота возникновения послеоперационной сенсоневральной тугоухости (4,8 и 0,4%) и перилимфатической фистулы (2,4 и 0,2%) [10]. Многие авторы отмечают высокую частоту рецидива тугоухости вследствие реоблитерации окна преддверия при облитерирующих формах отосклероза [6, 13, 25].
Заключение
Таким образом, по нашим данным, в настоящее время облитерирующая форма встречается у 2,8% больных отосклерозом. Длительный анамнез выраженной тугоухости при смешанной форме является критерием диагностики распространенного или облитерирующего отосклероза. Объективная диагностика этой формы отосклероза на дооперационном этапе возможна только с учетом данных КТ височных костей с денситометрией и квалифицированной интерпретацией полученных данных. Стапедопластика у больных облитерирующим отосклерозом безопасна и эффективна при отсутствии активности отосклеротического процесса и использовании СО2-лазера или микробора на этапе стапедотомии.
Отосклероз

Отосклероз, или отоспонгиоз – очаговое поражение костной капсулы лабиринта внутреннего уха, сопровождающееся дистрофическими изменениями во всем слуховом анализаторе и развитием тугоухости. Лечением заболевания занимается врач-отоларинголог.
О заболевании
Отосклероз уха – специфическое заболевание слухового аппарата. В его развитии основная роль принадлежит генам, аутоиммунным процессами и метаболическим нарушениям. Патология встречается примерно у 1% населения. Среди больных преобладают женщины работоспособного возраста. На фоне беременности течение заболевания усугубляется.
Костная капсула лабиринта образуется во время эмбриогенеза и в норме не подвергается еще одной стадии оссификации (окостенения). При отосклерозе активизируется локальное формирование зрелой костной ткани. Сначала образуются спонгиозные (губчатые) участки с большим количеством сосудов – активные очаги отосклероза. Спустя некоторое время за счет отложения солей кальция данные участки подвергаются склерозированию - превращаются в чрезмерно плотную костную ткань.
Прогрессирование патологического процесса сопровождается распространением участков склероза, чаще в процесс вовлекается стремечко и лестница лабиринта. В результате нарушаются звукопроведение и звуковосприятие (развивается нейросенсорная или кондуктивная тугоухость).
Виды отосклероза
Отосклероз протекает в 3 стадии:
- начальная (гистологическая) – в костной ткани уже происходят изменения, однако клинические проявления отсутствуют;
- стадия клинических проявлений;
- терминальная.
Продолжительность каждой стадии зависит от активности патологического процесса –изменения в лабиринте могут прогрессировать быстро либо развиваться годами. Скорость их развития определяет прогноз данного заболевания. При наличии иммунологических и метаболических нарушений в организме, заболевание прогрессирует быстро (злокачественное или скоротечное течение).
Симптомы отосклероза
На ранних этапах отосклероза лишь некоторые пациенты предъявляют жалобы на шум в ушах. Обычно они отмечают, что слышат звуки средней частоты, напоминающие шум ветра, прибоя, шелест листвы.
Тугоухость развивается постепенно. Сначала незначительное одностороннее снижение слуха выявляется только при обследовании. Позже пациент сам начинает замечать ситуации, в которых ему сложнее расслышать речь. Как правило, возникают проблемы с восприятием низких тонов и мужского голоса. В шумной обстановке больной слышит лучше, что объясняется автоматическим переходом собеседников на более высокие тона при наличии фоновых звуков. Во время пережевывания пищи или ходьбы слух также становится хуже.
На стадии клинических проявлений нарушается восприятие высоких и низких частот. Пациент перестает слышать шепот, обычную речь понимает плохо. Резкое ухудшение слуха может стать результатом эндокринологических нарушений, гормональной перестройки на фоне родов, беременности, климакса. Со временем развивается тяжелая тугоухость, однако полная глухота для отосклероза нехарактерна.
Во время активизации отосклеротических изменений пациент отмечает выраженную ушную боль распирающего или давящего характера. Возможны незначительные нарушения координации движений и головокружение. В связи с постоянным шумом в ушах и сложностями с восприятием речи у некоторых пациентов развивается неврастенический синдром: снижается настроение, возникает раздражительность, нарушается сон.
Причины отосклероза
Точные причины отосклероза уха на сегодняшний день не установлены. В связи с частым выявлением семейного характера заболевания, а также наличием у больных других генетических нарушений, основной теорией происхождения болезни признана генетическая. Однако даже наличие гена, который обуславливает заболевание, не гарантирует его манифестацию. Генетическую предрасположенность к болезни активизируют инфекции (например, корь), хронические акустические травмы, воспалительные заболевания органов слуха.
Предположительно, причиной развития патологии может стать повышенный титр гормона эстрадиола. С этим связывают проявление заболевания у женщин в период значительных гормональных сдвигов. Отосклероз манифестирует и усугубляется во время полового созревания, после зачатия, родов, завершения лактации, наступления климакса.
Факторами риска отосклероза признаны врожденные нарушения развития органов слуха, болезнь Педжета (патология костной ткани), хроническое воспаление среднего уха.
Получить консультацию
Если у Вас наблюдаются подобные симптомы, советуем записаться на прием к врачу. Своевременная консультация предупредит негативные последствия для вашего здоровья.
Узнать подробности о заболевании, цены на лечение и записаться на консультацию к специалисту Вы можете по телефону:
Презентация на тему Отосклероз. Этиология. Патогенез, стадии развития
Слайды и текст этой презентации


Термин был предложен в 1983 году Полицером и применятеся до настоящего времени, хотя и не отвечает патолого-гистологической сущности заболевания . Так как морфологическим субстратом заболевания является замещение здоровой кости в очаге поражения вновь образованной порозной, губчатой - спонгиозной костью, богатой сосудами. Более правильным является наименование "отоспонгиоз". При этом происходит фиксация подвижного в норме стремечка. Обычно отосклеротический очаг располагается в области окна преддверия, чаще у переднего полюса его. Реже - в области окна улитки, внутреннего слухового прохода, полукружных каналах.
Французская школа во главе с Лермуайе предложили подразделение отосклероза на "otospongiose" - с явлениями анкилоза стремени, развивающийся обычно в период полового созревания или подчас беременности, и "sclerose labyrinthique" - с преобладанием отоспонгиотических очагов в лабиринтной капсуле; последняя разновидность начинается чаще всего во время менопаузы или вообще в более пожилом возрасте.
Отосклероз представляет собой прогрессирующее дегенеративное заболевание, характеризующееся специфическим дистрофическим процессом, поражающим лабиринтную капсулу, что нередко приводит к анкилозу подножной пластинки стремени в овальном отверстии и полное либо частичное закрытие каналов и природных отверстий внутреннего уха.


Несмотря на колоссальное количество работ, посвященных данному вопросу, причины возникновения с точностью пока не выяснены.
Многие авторы придают значение фактору наследственности. (Симановский, Korner, Denker, Politzter). Отосклероз относят к наследственным болезням с аутосомно-доминантным типом наследования с переменной пенетрантностью.Генетические исследования показывают наличие по меньшей мере девяти хромосомных локусов в качестве возможных генов заболевания.
Придается значение аномалиям конституции. Многие авторы считают, что изменения капсулы лабиринта при отосклерозе являются выражением неполноценности мезенхимы организма и смотрят на отосклероз как на "частное проявление конституциональной особенности организма к гипертрофии известных органов или частей органов" (Воячек).
Значительную роль в развитии болезни отводят нейро-эндокринным факторам. Установлена связь между развитием заболевания и усилением его проявлений в период половой зрелости, менструации, беременностью, родами. Отосклероз считают относительным показанием к прерыванию беременности .Описаны ряды случаев, в которых отосклероз сочетался с тиреотоксикозом, кретинизмом, акромегалией и т. д. Однако вполне логичным допустить, что в этиологии отосклероза среди желез внутренней секреции главная роль принадлежит гипофизу; этим и объясняется, что отосклероз очень часто начинается в раннем возрасте.
Инфекционная теория. Вирус кори. Вирусный материал обнаруживается в остеобластах остеосклеротических островков, а также в эндолимфе больных.. Большую роль в этиологии отосклероза играет сифилис ( Schwabach, Voltolini, Downie, Schwartze)
Считается, что отосклероз может быть последствием острого или хронического воспаления среднего уха. Bezold, Scheibe, Habermann и др. при патологоанатомическом вскрытии находили преимущественно у молодых отосклеротиков резкие патологические изменения слизистой оболочки среднего уха.

Гистологическая — изменения затрагивают только костную ткань, клинически процесс не проявляется
Клиническая -переход процесса на кольцевую связку стремени, что ограничивает подвижность основания стремени и приводит к нарушению слуха
Активная стадия (разрастание губчатой ткани), неактивная стадия (склерозирование). Классификация основана на оценке состояния звуковосприятия
В активной фазе процесса происходят развитие кровеносных сосудов и деминерализация костной ткани, причём не только в отосклеротических очагах, но и в их окружении. В неактивной фазе кровеносные сосуды атрофируются, усиливается минерализация костной ткани. Деминерализацию костной ткани, окружающей отосклеротические очаги, рассматривают как фактор, способствующий их разрастанию.


Патологические изменения костного лабиринта начинаются с отдельных участков, в которых в первой фазе заболевания наблюдаются застойные явления в капиллярах гаверсовых каналов. Капилляры расширены, окружены остеобластами. Во второй, наиболее характерной стадии остеоспонгиоза обнаруживается большое количество остеобластов, которые, разрушая компактное вещество костной ткани, придают ей сетчатый вид.
Компактная кость рассасывается не только со стороны гаверсовых каналов, но и со стороны интраглобулярных пространств, содержащих остатки хрящевой ткани. Вновь образованная кость получает сходство с губчатой, между перекладинами которой находится волокнистая соединительная ткань.
Наряду с рассасыванием кости остеобластами наблюдается новообразование ее не только благодаря деятельности остеобластов, но и благодаря превращению соединительной ткани в кость. В третьей стадии разрыхленная кость обращается снова в компактную, поэтому старые гнезда представляются более компактными, а молодые — более рыхлыми.
Известное время, пока очаги отоспонгиоза еще малы и не распространяются до функционально важных участков, процесс может оставаться незаметным — стадия патоморфологических изменений.
Клиническая стадия болезни начинается с того момента, когда увеличивающиеся очаги отоспингиоза начинают вызывать заметные расстройства. Наиболее частой локализацией процесса является передне-верхний край овального окна в промежутке между окном и каналом лицевого нерва. В дальнейшем окостенение захватывает кольцевидную связку подножной пластинки стремени, что ведет в конце концов к анкилозу стремени.
Очаги, исходящие из среднего слоя лабиринтной капсулы, чаще захватывают периостальный слой, реже — эндостальный. Таким образом, эндост служит как бы барьером для распространения процесса в сторону просвета лабиринта. Оcо6енно ранимым местом является щель перед овальным окном (fissura ante fenestram), откуда часто и начинает отоспонгиоз.
Спонгиозные очаги, как правило, захватывают обе улитки. В более поздних стадиях присоединяются дегенеративные изменения в кортиевом органе.

Патологическая анатомия
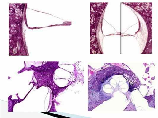
Макроскопически отосклеротический очаг чаще четко отграничен от окружающей кости капсулы лабиринта. Его обычно отчетливо можно видеть при 2--10-кратном увеличении во время хирургического вмешательства. Наиболее часто очаг расположен между передним краем овального окна и улиткой, реже -- у наружной поверхности мембраны круглого окна.
Гистологически отосклеротический очаг представляет собой четко ограниченный от плотной капсулы лабиринта участок вновь образованной, неправильно построенной кости с многочисленными сосудистыми пространствами. Эта вновь образованная кость красится гематоксилин-эозином значительно ярче, чем окружающая ее нормальная кость капсулы лабиринта.


Схематическое изображение вариантов фиксации основания стремени при отосклерозе:
а — оссификация кольцевой связки в области переднего полюса основания стремени (1 — длинная ножка наковальни, 2 — передняя ножка стремени, 3 — отосклеротический очаг, 4 — основание стремени);
б — поражение переднего полюса основания стремени; в — поражение половины основания стремени;
г — поражение всего основания стремени.

Клиническая картина
Прогрессирующая тугоухость, обычно на оба уха;
Симптом Виллизия - улучшение слуха в шумной обстановке
Симптом Scheer- ухудшение разборчивости при глотании и жевании (deprecusis Scheer)
Симптом Тойнби - ухудшение разборчивости при одновременном разговоре нескольких лиц
симптом Урбанчича-Вальбе - ухудшение разборчивости при напряженном внимании
Постоянный шум в ушах, переносимый пациентом значительно тяжелее, чем при других формах ту-гоухости
При поражении улитки вероятно развитие нейро-сенсорной тугоухости
Возможно системное головокружение

Симптомы отосклероза во многом зависят от локализации и величины очага, определяющих форму отосклероза
Различают следующие формы отосклероза:
Тимпанальную
Смешанную
кохлеарную.
Кроме этих трех клинических форм, существует так называемый гистологический отосклероз: если очаг расположен в участке капсулы лабиринта, не связанной с проведением звука, он может ничем не проявляться в течение жизни человека и обнаружиться лишь посмертно при гистологическом исследовании височных костей.

Тимпанальная форма отосклероза развивается Если очаг локализуется у края окна преддверия и переходит на пластинку стремени, ограничивая и прекращая ее движения (анкилоз стремени), с типичной кондуктивной тугоухостью и субъективными шумами в ушах низкого тона. пороги костной проводимости не превышают 20 дБ
Кохлеарная форма (более редкая) характеризуется распространением процесса на улитку, иногда на преддверие и полукружные каналы, а также на окно улитки и внутренний слуховой проход. пороги по костной проводимости превышают 31 дБ
Смешанная форма отосклероза возникает в результате разрастания очага, первично локализованного в области окон лабиринта, не только по площади, но и в толщу капсулы по направлению к эндосту внутреннего уха. Проявляется тугоухостью смешанного типа () с разной степенью выраженности кондуктивного и перцептивного компонентов. пороги по костной проводимости находятся в пределах 21—30 дБ

Выраженность субъективного шума оценивается по трем степеням:
I степень - ощущение ушного шума больного почти не беспокоит и наличие этого симптома выявляется при активном опросе;
II степень - жалобы на шум в ушах на ряду с другими жалобами;
III степень - ощущение субъективного шума является ведущей жалобой больного.

Нередко больных отосклерозом беспокоят головокружения и расстройства равновесия. Как правило это кратковременные головокружения, возникающие при движении, быстрых наклонах или запрокидывании головы. Головокружения могут проявляться приступами тошноты и рвоты.
Симптоматика отосклероза может проявляться и такими жалобами, как боль в ушах, чувство покалывания и заложенности в них, головная боль, понижение памяти, нарушение сна.

Синдром Van der Hoeve
Нидерландский офтальмолог Ван дер Хуве описал заболевание, включающее триаду симптомов: голубые склеры, повышенную ломкость костей, тугоухость. Причиной изменения окраски склер являются истончение и повышенная прозрачность склеры, в результате чего просвечивает сосудистая оболочка. Клиника. Самым постоянным и отчетливым симптомом является своеобразная серовато-синяя окраска склер, наблюдающаяся с рождения. В норме у новорожденных бывает голубоватая окраска склер, связанная с тонкостью этой оболочки и просвечиванием через нее пигмента сосудистой оболочки. К 6 месяцам голубизна склер постепенно исчезает и они становятся у здоровых детей белесоватыми. В свете щелевой лампы роговица тоньше, чем в норме. Иногда склеры бывают полностью голубыми, часть их, непосредственно прилегающая к роговице,— белая и носит название «кольца Сатурна . Постоянно отмечаются переломы костей вследствие нарушения процессов оссификации и вывихи из-за слабости связочного аппарата. Триада симптомов встречается в 1/3 случаев. Переломы могут иметь место уже при рождении ребенка, часто появляются в более позднем периоде (синдром «стеклянного человека»), сочетаясь, как правило, с голубыми склерами. У 90% больных находят изменения слуха, связанные с истончением барабанной перепонки (голубая барабанная перепонка), вывихом и неправильным развитием слуховых косточек . Течение заболевания медленное, прогрессирующее, больные доживают до зрелого возраста.Лечение симптоматическое.


1.Отоскопия
Расширение наружных слуховых проходов(симптом Тилло-Верховского);
Барабанная перепонка часто истончена, через неё просвечивает розоватое пятно — гиперемированный мыс барабанной полости, что может свидетельствовать об активности отосклеротического процесса (симптом Шварце
Снижение чувствительности кожи наружного слухового прохода и барабанной перепонки (симптом Фрешельса)
Уменьшение или отсутствие секреции серы (симптом Тойнби-Бинга)
2.Специальные исследования
Камертональное исследование - При камертональном исследовании наряду с отрицательным опытом Ринне устанавливается при опыте Вебера латерализация звука по костной проводимости в сторону хуже слышащего уха и при опыте Швабаха относительное удлинение костной проводимости. Отмечается также симптом Политцера или Федериччи — звук камертона С512 лучше воспринимается с сосцевидного отростка, чем с козелка.


Тональная пороговая аудиометрия - выраженное повышение порога слуха при воздушной проводимости на частоты, лежащие в диапазоне разговорной речи (512 — 2048 Гц); при исследовании костной проводимости — порог слышимости в пределах нормы.
Импедансометрия - тимпанограмма типа А, Аs и отсутствие акустических рефлексов и появление обратного рефлекса.
При вестибулометрии учитывают присутствие спонтанного нистагма и нистагма положения, а также вестибулярную возбудимость при калорической и вращательных пробах
ушная манометрия (по Воячеку), причем одновременно после продувания ушей исследуют слух на разговорную речь. Для отосклероза показательна хорошая проходимость слуховых труб и отсутствие улучшения слуха после продувания ушей.
Речевая аудиометрия
Исследование слуха с помощью ультразвука
КТ: На КТ височных костей обнаруживаются очаги новообразованной кости вокруг овального, круглого окна и/или отосклеротические очаги в костной капсуле лабиринта – «симптом ореола».
триада Бецольда - нарушение восприятия низких тонов, отрицательный опыт Ринне и удлиненный опыт Швабаха
Читайте также:
