Первичный туберкулез. Эпидемиология первичного туберкулеза.
Добавил пользователь Владимир З. Обновлено: 23.11.2025
В лекции проанализирована эпидемиологическая ситуация по туберкулезу у детей Донецкой области в сравнении с показателями заболеваемости в доэпидемическом периоде. Приведены новые данные о патогенезе первичного туберкулезного комплекса и особенностях его клинического течения, обусловленных массовой противотуберкулезной вакцинацией.
первичный туберкулезный комплекс, заболеваемость детей.
Первичный туберкулез может возникать при первичном инфицировании. Первая встреча с туберкулезной инфекцией не всегда влечет заражение, поскольку естественные механизмы очищения, в частности бронхиальный клиренс, осуществляемый мукоцилиарным аппаратом, обеспечивают выведение микобактерии туберкулеза (МБТ) вместе с бронхиальной слизью в составе мокроты. В случае заражения начинается ранний период туберкулезной инфекции, которому была посвящена одна из предыдущих лекций [1].
Если очередной порции аэрогенной инфекции удается имплантироваться в легких, то где начинают формироваться первые морфологические проявления первичного туберкулеза? В легких или в бронхиолах, по Абрикосову [2]. В легочной ткани формируется очаг первичной инфекции, который протекает по типу первичного инфильтрата. Инфекция из первичного аффекта распространяется по лимфатическим сосудам во внутригрудные лимфатические узлы. Формируется железистый компонент первичного туберкулезного комплекса. В конечном варианте врач-морфолог различает легочный, сосудистый и железистый компоненты первичного туберкулезного комплекса. И хотя легочный компонент первичного комплекса формируется в зоне входных ворот, большая часть инфекции в самом начале раннего периода туберкулеза распространяется лимфогематогенным путем, вызывая, согласно теории Лебедевой [3], период ранней бактериемии. Зона входных ворот для первичной инфекции прозрачна; она является своеобразной триумфальной аркой, через которую под барабанный бой инфекция входит в организм человека и смело распространяется по лимфатической системе легких вплоть до лимфатических узлов. Но внутригрудные лимфатические узлы не всегда выполняют барьерную функцию до конца. В большинстве случаев часть инфекции проходит в грудной лимфатический проток, попадает в правое предсердие, правый желудочек, легочную артерию и малый круг кровообращения, то есть в легкие.
Сосудистая система легких выполняет функцию второго барьера на пути туберкулезной инфекции. Эндотелий сосудов малого круга кровообращения (МКК) обладает высокой иммунокомпетентностью, поэтому он способен блокировать туберкулезную инфекцию, выстраивая на ее пути тканевые барьеры. Сосуды МКК обладают мощными иммуносорбирующими функциями. Существуют такие методы лечения, как гемосорбция, иммуносорбция, плазмаферез. В этом смысле гемосорбирующая функция сосудов МКК представляет собой мощный саногенетический механизм врожденного иммунитета.
Первичный туберкулезный комплекс стал редким явлением потому, что в процессе внутрикожного введения БЦЖ первичный туберкулезный комплекс вакцинального генеза формируется в зоне плеча и подмышечных лимфатических узлов [4]. Причем местные воспалительные изменения в ответ на первое введение вакцины появляются спустя 6–8 недель, что соответствует инкубационному периоду первичного туберкулеза. При повторном введении БЦЖ в процессе ревакцинации кожные изменения в виде острого воспалительного отека с возможным некрозом развиваются через 48–72 часа. Региональные для предплечья подмышечные лимфоузлы в ревакцинальном иммунном ответе могут участия не принимать.
В истории фтизиатрии всем известна Любекская трагедия. Новорожденным детям вместо вакцины БЦЖ, которую тогда давали энтерально с молоком матери, ошибочно ввели живую вирулентную культуру МБТ. Все дети вместо прививки получили смертельную дозу. Оказалось, что они не все умерли. То есть понятие «смертельная доза» весьма относительно. Было установлено впервые, что новорожденные дети уже в первые дни жизни имеют мощный врожденный противотуберкулезный иммунитет. Все дети были инфицированы peros. В соответствии с теорией входных ворот ожидаемый первичный комплекс должен был сформироваться в кишечнике и мезентериальных лимфоузлах. Между тем у большинства детей начальные морфологические признаки первичного туберкулеза развились в легких и внутригрудных лимфоузлах. Во всех случаях первичный туберкулезный комплекс проходил осложненно и сопровождался гематогенной диссеминацией.
Несмотря на генерализацию инфекции, наибольшие изменения выявлены именно в легких, хотя зоной входных ворот при энтеральном пути заражения были органы брюшной полости. Изучая и анализируя опыт Любекской трагедии, ученые постепенно подошли к тому, что легкие, филогенетически гиперсенсибилизированные к туберкулезной инфекции, включают иммунные механизмы значительно раньше других органов.
Среднестатистический человек обладает достаточно высокой видовой устойчивостью к МБТ. Необходимо различать устойчивость к заражению, мерой которой является контагиозность, и устойчивость к развитию заболевания, несмотря на инфицирование организма вирулентным и патогенным возбудителем. Этим объясняется несоответствие между чрезвычайно большим распространением инфицированности при относительно низких показателях заболеваемости туберкулезом.
Все клинические, морфологические и патогенетические особенности первичных форм основаны на различиях иммунного ответа. По этой причине мы сочли уместным отразить некоторые важные черты иммуногенеза первичного туберкулеза, в том числе наименее изученный вопрос энергообеспечения иммунных реакций немедленного и замедленного типов.
Нам известны два типа иммунного ответа: немедленный и замедленный. Но ведь иммунные клетки и все молекулы, которые участвуют в иммунном ответе, чтобы двигаться в процессе иммунных реакций, должны затрачивать энергию. Иммунный ответ энергозависимый. Он идет как эндотермическая реакция с поглощением огромного количества энергии.
Иммунный ответ немедленного типа нуждается в притоке больших количеств энергии, интенсивном энергообеспечении. Такой вариант иммунного ответа, как анафилактоидная реакция, осуществляется в считанные минуты, но при этом расходуется совершенно фантастическое количество энергии. Причем окисляемым субстратом в этом примере являются только
углеводы. Углеводный обмен обеспечивает все реакции немедленного типа, как иммунного, так и двигательного характера. Что касается иммунного ответа замедленного типа, клеточного иммунного ответа, то движение клеток, их хемотаксис, фагоцитоз, трансформация моноцитов в гигантские клетки Лангерганса — все эти мощные процессы, потребляющие большое количество энергии, нуждаются в жировом обеспечении. Почему? Потому что в отличие от иммунного ответа немедленного типа, который выполняется импульсно, как вспышка, как взрыв, иммунный ответ замедленного типа протекает медленно и требует перманентного энергообеспечения. На случайном, импульсном, интермиттирующем энергообеспечении клеточный иммунитет работать не будет.

1. Норейко Б.В. Ранний период туберкулезной инфекции у детей // Здоровье ребенка. — 2008. — № 5(14). — С. 132-134.
2. Абрикосов А.И. Частная патологическая анатомия. — М.: Медгиз. — 1947. — Т. 3. — С. 12-125.
3. Лебедева З.А. О патогенезе туберкулеза как общем заболевании организма // Пробл. туб. — 1952. — № 6.
4. Норейко Б.В. К вопросу о классификации туберкулеза // Укр. пульмон. журн. — 1998. — № 1. — С. 14-16.
Первичный туберкулез. Эпидемиология первичного туберкулеза.
Первичный туберкулез. Эпидемиология первичного туберкулеза.
Близкие к этим данные приводит М. С. Греймер (1973). Среди 1020 впервые заболевших активным туберкулезом органов дыхания в возрасте 18—29 лет первичный комплекс и бронхоаденит были выявлены у 3,6%, другие формы туберкулеза органов дыхания периода первичной инфекции — у 8,2%, а всего, следовательно, у 11,8%.
Однако следует учесть, что клиническая структура первичного туберкулеза отнюдь не ограничивается первичным комплексом, бронхоаденитом и отчасти экссудативным плевритом. Процесс может протекать также по типу очагового, инфильтративиого или диссеминированного туберкулеза легких. С первичной инфекцией часто связано также поражение различных групп лимфатических узлов, серозных оболочек глаз, костей и других органов. О принадлежности этих форм к первичному туберкулезу свидетельствует их развитие у лиц, незадолго до заболевания не реагировавших на туберкулин, после недавнего или одновременно возникшего у них виража туберкулиновых реакций или вскоре после вакцинации БЦЖ. В таких случаях отсутствуют клинические и рентгенологические признаки перенесенного в прошлом туберкулеза легких и лимфатических узлов и в то же время нередко наблюдается сравнительно высокая чувствительность к туберкулину. Характерно для первичного туберкулеза фистулезное поражение крупных бронхов. Важным признаком является обнаружение в мокроте или в промывных водах бронхов микобактерий, первично устойчивых к отдельным туберкулостатическим препаратам.

Помимо ранних форм, наблюдается хронический и своеобразно протекающий первичный туберкулез, истоки которого относятся обычно к подростковому или детскому возрасту.
Диапазон клинических проявлений первичного туберкулеза, кроме того, расширяется за счет некоторых синдромов, обусловленных образованием в различных органах так называемых параспецифических изменений. Они проявляются в виде фликтен, кератоконъюнктивита, узловатой эритемы, острого диффузного нефрита, ревматоида Понсе. В части случаев при этом может развиться очаговый или диффузный склероз межуточного вещества соединительной ткани. Тогда возникает картина гепатита, фибропластического серозита, появляются изменения, весьма напоминающие различные симптомы коллагеноза. Не все эти проявления так называемого терапевтического и хирургического туберкулеза учитываются фтизиатрами, так как такие больные обычно находятся под наблюдением врачей других специальностей.
Наконец, следует принимать во внимание и последствия первичного туберкулеза в виде хронической рецидивирующей пневмонии, эмфиземы, бронхита, иногда инфекционно-аллергической формы бронхиальной астмы. Первопричиной этих процессов является перенесенный в прошлом бронхоаденит, осложненный специфическим поражением бронхов и ателектазом легкого или гематогенпой диссеминацией с последующим развитием интерстициального склероза в легких.
Все эти клинические проявления значительно расширяют рамки первичного туберкулеза у взрослых. Вместе с тем следует иметь в виду, что различные формы болезни неодинаково часто встречаются в отдельных районах страны, несмотря на наступивший в последние годы значительно выраженный ее патоморфоз. В Казахстане, например, и теперь туберкулез лимфатических узлов, особенно периферических, — нередкое явление. По данным К. М. Маскеева (1971), он наблюдается здесь у 19% всех впервые выявленных больных туберкулезом, причем более чем в половине случаев отмечается поражение не только периферических, но и внутригрудных лимфатических узлов и легких. В Якутской АССР еще не так давно (1946—1950) активный первичный комплекс и распространенный лимфаденит можно было обнаружить у 62—69,7% умерших от туберкулеза. Но и в последующие годы (1963—1967) такие формы процесса отмечались на аутопсии еще у 29,9% коренных жителей республики и у 4,5% приезжих (К. Г. Башарин, 1969). Правда, за эти годы изменился его патоморфологический характер. Если раньше лимфаденит, как правило, был генерализованным и протекал по типу сплошного казеозного поражения лимфатических узлов, то теперь он стал более ограниченным с выраженными репаративными изменениями.
В Чечено-Ингушской АССР значительно чаще, чем в других местностях, первичный туберкулез протекает в виде ревматоида Понсе и острого диффузного гломерулонефрита (Н. М. Уткина, 1973; Г. П. Яковлева, 1968).
В районах Крайнего Севера, где и теперь еще относительно высок удельный вес первичных форм в структуре заболеваемости туберкулезом, сравнительно часто встречаются диссеминированные процессы, включая милиарный туберкулез, менингит и другие внелегочные поражения (С. М. Княжецкий и др., 1974).
Все эти особенности первичного туберкулеза, обусловленные различными указанными выше причинами, естественно, должны приниматься во внимание в клинике и диспансерной практике в современных условиях изменяющегося течения болезни и побуждают к их тщательному и всестороннему изучению. Последнее тем более важно в связи с ревизией взглядов на патогенез первичного туберкулеза.
Информация на сайте подлежит консультации лечащим врачом и не заменяет очной консультации с ним.
См. подробнее в пользовательском соглашении.
71. Туберкулез. Эпидемиология. Этиология. Пато- и морфогенез. Классификация. Характеристика первичного туберкулеза. Исходы.
Туберкулез - хроническое инфекционное заболевание, при котором могут поражаться все органы человека, но чаще легкие.
Туберкулез имеет ряд особенностей, отличающих его от других инфекций.
Они представлены: 1) убиквитарностью инфекции в эпидемиологическом, клиническом и морфологическом отношении; 2) двуликостью туберкулеза, который в зависимости от соотношения иммунитета и аллергии может быть проявлением как инфицированности, так и болезни; 3) полиморфизмом клинико- морфологических проявлений; 4) хроническим волнообразным течением - чередованием вспышек и ремиссий заболевания.
Этиология и патогенез.
Вызывает туберкулез микобактерия туберкулеза, открытая Кохом
Патогенез туберкулеза сводится к проникновению микобактерий в организм и взаимодействию с ним, его тканями и органами. Возникновение, течение и исход туберкулеза в значительной степени обусловлены иммунным состоянием организма, его реактивностью. Реактивность определяет необычное разнообразие клинико-морфологических проявлений туберкулеза, что составляет одну из ярких его особенностей как болезни и создает большие трудности в клинической диагностике.
Патологическая анатомия. Различают три основных вида клиникоморфологических проявлений туберкулеза: первичный, гематогенный и вторичный туберкулез.
Первичный туберкулез
Первичный туберкулез характеризуется: 1) развитием заболевания в период инфицирования, т.е. при первой встрече организма с инфектом; 2) сенсибилизацией и аллергией, реакциями гиперчувствительности немедленного типа; 3) преобладанием экссудативно-некротических изменений; 4) наклонностью к гематогенной и лимфогенной (лимфожелезистой) генерализации; 5) параспецифическими реакциями в виде васкулитов, артритов, серозитов и т.д.
Как правило, путь заражения аэрогенный, возможен и алиментарный путь. Болеют преимущественно дети, но в настоящее время в связи с успешной профилактикой туберкулеза у детей первичный туберкулез наблюдается у подростков и взрослых.
Патологическая анатомия. Морфологическим выражением первичного туберкулеза является первичный туберкулезный комплекс .Он состоит из трех компонентов : очага поражения в органе -первичного очага или аффекта, туберкулезного воспаления отводящих лимфатических сосудов – лимфангита и туберкулезного воспаления регионарных лимфатических узлов - лимфаденита.
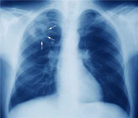
При аэрогенном заражении в легких первичный туберкулезный очаг (аффект) возникает субплеврально в наиболее хорошо аэрируемых сегментах, чаще правого легкого - III, VIII, IX, X (особенно часто в III). Он представлен фокусом экссудативного воспаления, причем экссудат быстро подвергается некрозу. Образуется очаг казеозной пневмонии, окруженный зоной перифокального воспаления. Размеры аффекта различны: иногда это альвеолит, едва различимый микроскопически, но чаще воспаление охватывает ацинус или дольку, реже - сегмент и в очень редких случаях - всю долю. В казеозных массах первичного аффекта длительное время сохраняются эластические и аргирофильные волокна каркаса легкого.
Постоянно наблюдается вовлечение в воспалительный процесс плевры с развитием фибринозного или серозно-фибринозного плеврита.
Очень быстро специфический воспалительный процесс распространяется на прилежащие к первичному очагу лимфатические сосуды - развивается туберкулезный лимфангит. Он представлен лимфостазом и формированием по ходу лимфатических сосудов в периваскулярной отечной ткани туберкулезных бугорков. Образуется как бы дорожка от первичного очага к прикорневым лимфатическим узлам.
В дальнейшем воспалительный процесс довольно быстро переходит на регионарные бронхопульмональные, бронхиальные и бифуркационные лимфатические узлы, в которых развивается специфический воспалительный процесс с быстро наступающим казеозным некрозом. Возникает тотальный казеозный туберкулезный лимфаденит. Лимфатические узлы увеличиваются в несколько раз и на разрезе представлены казеозными массами. Изменения в регионарных лимфатических узлах всегда более значительны по сравнению с первичным аффектом.
В клетчатке средостения, прилежащей к казеозно-измененным лимфатическим узлам, развивается выраженное в той или иной степени перифокальное воспаление, в наиболее тяжелых случаях встречаются даже очаги творожистого некроза.
При алиментарном заражении первичный туберкулезный комплекс развивается в кишечнике и также состоит из трех компонентов. В лимфоидной ткани нижнего отдела тощей или слепой кишки формируются туберкулезные бугорки с некрозом и последующим образованием в слизистой оболочке язвы, которая и рассматривается как первичный аффект. Далее возникают туберкулезный лимфангит с появлением бугорков по ходу лимфатических сосудов и казеозный лимфаденит регионарных к первичному аффекту лимфатических узлов. Аналогичным образом проявляется первичный туберкулезный комплекс в миндалине (первичный аффект в миндалине, лимфангит и казеозный некроз лимфатических узлов шеи), коже (язва в коже, лимфангит, регионарный казеозный лимфаденит).
Возможны 3 варианта течения первичного туберкулеза:
1) затухание первичного туберкулеза и заживление очагов первичного комплекса;
2) прогрессирование первичного туберкулеза с генерализацией процесса;
3) хроническое течение (хронически текущий первичный туберкулез)
Затухание первичного туберкулеза и заживление очагов первичного комплекса. Эти процессы начинаются в первичном легочном очаге. Первоначально рассасывается перифокальное воспаление, экссудативная тканевая реакция сменяется продуктивной: вокруг очага казеозной пневмонии образуется вал из эпителиоидных и лимфоидных клеток, как бы отграничивающий очаг от окружающей легочной ткани. Кнаружи от этого вала появляются фиброзирующиеся туберкулезные гранулемы. Вокруг первичного аффекта формируется капсула, наружные слои которой состоят из рыхлой соединительной ткани с наличием мелких сосудов, окруженных клетками лимфоидного типа. Внутренний слой капсулы, прилежащий непосредственно к казеозным массам, постепенно обогащается волокнистыми структурами и сливается с наружным. Со стороны наружного слоя капсулы первичного аффекта врастают сосуды, которые могут достигать внутренних слоев капсулы и вступать в непосредственный контакт с казеозными массами. Последние постепенно обезвоживаются, становятся плотными, обызвествляются (петрификация). С течением времени во внутреннем слое, соприкасающемся с обызвествленными казеозными массами, появляются многоядерные клетки, рассасывающие обызвествленные казеозные массы. На их месте путем метаплазии образуются костные балки с клетками костного мозга в межбалочных пространствах. Так, петрифицированный первичный очаг превращается в оссифицированный. Такой заживший первичный очаг называют по имени описавшего его чешского патолога очагом Гона.
На месте туберкулезного лимфангита в результате фиброзирования туберкулезных гранулем образуетсяфиброзный тяж. Заживление в лимфатических узлах происходит так же, как и в легочном очаге. Однако в связи с большими размерами поражения в лимфатических узлах оно протекает медленнее, чем в легочном очаге. Очаг казеоза в лимфатическом узле постепенно обезвоживается, обызвествляется и окостеневает.
Обызвествльяенные очаги в легких обнаруживаются у многих практически здоровых людей. попадание туберкулезных микобактерий в организм человека ведет не только к заболеванию, но и к инфицированию, которое может оказать благоприятное влияние на становление иммунитета и предупреждение нового заражения.
В кишечнике на месте первичной язвы при заживлении образуется рубчик, а в лимфатических узлах - петрификаты. Оссификация их протекает очень медленно.
Прогрессирование первичного туберкулеза с генерализацией процесса. Оно проявляется в 4 формах: гематогенной, лимфогенной (лимфожелезистой), росте первичного аффекта и смешанной.
Гематогенная форма прогрессирования (генерализация) при первичном туберкулезе развивается в связи с ранним попаданием микобактерий в кровь (диссеминация) из первичного аффекта или из казеозно-измененных лимфатических узлов. Микобактерий оседают в различных органах и вызывают образование в них бугорков размером от милиарных (просовидных) - милиарный туберкулез до крупных очагов величиной с горошину и более. В связи с этим различают милиарную и крупноочаговую формы гематогенной генерализации. Особенно опасно высыпание милиарных туберкулезных бугорков в мягких мозговых оболочках с развитием туберкулезного лептоменингита. Иногда при гематогенной генерализации появляются единичные разной величины отсевы в различные органы, в том числе в верхушки легких (очаги Симона), которые спустя много лет после затихания первичной инфекции дают начало туберкулезному поражению в месте локализации этого очага отсева.
Лимфогенная (лимфожелезистая) 1 форма прогрессирования (генерализации) при первичном туберкулезе проявляется вовлечением в процесс специфического воспаления бронхиальных, бифуркационных, околотрахеальных, над-и подключичных, шейных и других лимфатических узлов. Особенно большое значение в клинике приобретает туберкулезный бронхоаденит. В тех случаях, когда пакеты лимфатических узлов напоминают опухоль, говорят об опухолевидном бронхоадените. При этом казеозноизмененные увеличенные лимфатические узлы сдавливают просветы бронхов, что ведет к развитию очагов ателектаза легких и пневмонии.
При первичном кишечном туберкулезе лимфогенная (лимфожелезистая) генерализация ведет к увеличению всех групп мезентериальных лимфатических узлов. Развивается туберкулезный мезаденит, который может доминировать в клинической картине заболевания.
Рост первичного аффекта - наиболее тяжелая форма прогрессирования первичного туберкулеза. При ней наступает казеозный некроз зоны перифокального воспаления, вокруг первичного аффекта образуются свежие участки экссудативного воспаления, подвергающиеся омертвению и сливающиеся между собой. Первичный очаг из ацинозного превращается в лобулярный, затем в сливной лобулярный, сегментарный, лобарный - возникает лобарная казеозная пневмония. Это самая тяжелая форма первичного туберкулеза, быстро заканчиваю- щаяся гибелью больного («скоротечная чахотка»). В других случаях первичный очаг лобулярнои или сегментарной казеознои пневмонии расплавляется и на его месте образуетсяпервичная легочная каверна. Процесс принимает хроническое течение, развивается первичная легочная чахотка, напоминающая вторичный фиброзно- кавернозный туберкулез, но отличающаяся от него наличием казеозного бронхоаденита.
Первичный кишечный аффект растет за счет увеличения туберкулезной язвы, обычно в области слепой кишки. Появляются ограниченный туберкулезный перитонит, спайки, пакеты казеозно-измененных илеоцекальных лимфатических узлов. Образуется плотный конгломерат тканей, который клинически иногда принимается за опухоль (опухолевидный первичный кишечный туберкулез). Процесс имеет обычно хроническое течение.
Смешанная форма прогрессирования при первичном туберкулезе наблюдается при ослаблении организма после перенесенных острых инфекций, например кори, при авитаминозах, голодании и т.д. В таких случаях обнаруживаются крупный первичный аффект, казеозный бронхоаденит, нередко осложненный расплавлением некротических масс и образованием свищей. В обоих легких и во всех органах видны многочисленные туберкулезные высыпания.
Обострение туберкулеза со стороны заживших петрифицированных лимфатических узлов наблюдается при длительном применении стероидных гормонов и иммунодепрессантов, снижающих сопротивляемость организма. Развивается массивный туберкулезный бронхоаденит с лимфогенной и гематогенной генерализацией, очень слабовыраженными общими явлениями и незначительной клеточной реакцией. Этот так называемый лекарственный (стероидный) туберкулезрассматривается как выражение эндогенной инфекции.
Исходы В неблагоприятных случаях смерть больного наступает от общей генерализации процесса и туберкулезного менингита. При благоприятном течении заболевания и применении эффективных лекарственных препаратов прогрессирование первичного туберкулеза может быть приостановлено, удается перевести экссудативную реакцию в продуктивную, вызвать инкапсуляцию и обызвествление очагов первичного комплекса и рубцевание его отсевов.
Хроническое течение (хронически текущий первичный туберкулез). Оно возникает прежде всего в тех случаях, когда при зажившем первичном аффекте воспалительный специфический процесс в лимфожелезистом компоненте первичного комплекса принимает медленно прогрессирующее течение с чередованием вспышек и затиханий. При этом наступает сенсибилизация организма - повышается его чувствительность ко всякого рода неспецифическим воздействиям. Повышенная реактивность организма клинически выявляется кожными туберкулиновыми пробами и появлением в тканях и органахпараспецифических изменений , под которыми понимают различные мезенхимальные клеточные реакции в виде диффузной или узелковой пролиферации лимфоцитов и макрофагов, гиперпластических процессов в кроветворной ткани, фибриноидных изменений соединительной ткани и стенок артериол в органах, диспротеиноз, иногда даже развитие амилоидоза.
Параспецифические реакции, протекающие по типу гиперчувствительности немедленного или замедленного типа, в суставах придают хроническому первичному туберкулезу большое сходство с ревматизмом и описаны под названием ревматизма Понсе.
О хронически текущем первичном туберкулезе говорят также тогда, когда образуется первичная легочная каверна и развивается первичная легочная чахотка
Эпидемиология туберкулеза
Туберкулез (от лат. - tuberculum - бугорок) - это хроническое инфекционное гранулематозное заболевание, вызываемое микобактериями туберкулеза (МВТ) с определенными закономерными фазами развития.
Эпидемиология туберкулеза, являясь разделом, составной частью фтизиатрии, изучает источники заражения туберкулезом, пути передачи инфекции, распространенность туберкулеза как инфекционного заболевания среди населения и наиболее угрожаемые группы населения, среди которых имеется наибольший риск заболевания туберкулезом.
Задачи эпидемиологии туберкулеза:
- Определение угрожаемых групп.
- Масштабы и значение инфекции.
- Временные характеристики заболевания.
- География заболеваний.
- Резервуары и механизмы передачи.
- Факторы риска: почему одни инфицированные лица заболевают, а другие нет.
Необходимо учитывать, что туберкулез является не только медико-биологической проблемой, связанной со взаимодействием организма человека и возбудителя, но и проблемой социальной, поскольку социальные факторы влияют на состояние здоровья населения в целом и отдельных его групп.
В частности, большое значение имеют материальный уровень жизни, санитарная грамотность и культура, род занятий, жилищные условия, обеспеченность медицинской помощью и др.
Демографические особенности также должны быть приняты во внимание при изучении туберкулеза с эпидемиологических позиций: возрастной состав населения, в том числе удельный вес детей, распределение по полу, рождаемость, плотность населения и т. д.
Источники заражения
Основным источником заражения окружающих является больной туберкулезом легких с массивным бактериовыделением, который за сутки может с мокротой выделить миллиард и более микобактерий туберкулеза (МБТ). При скудном бактериовыделении, когда МБТ обнаруживаются лишь специальными методами (бактериологические пробы), заражение окружающих значительно меньше. Опасность также невелика при выделении больными МБТ не с мокротой, а с мочой, гноем. Наибольшую опасность представляют больные с обильным, постоянным бактериовыделением, которое выявляется с помощью микроскопии. Однако и при скудном бактериовыделении, обнаруживаемом только при посеве на питательные среды, больные также могут заражать окружающих, особенно при тесном контакте.
Больные с внелегочными формами туберкулеза, выделяющие микобактерии туберкулеза (туберкулез почек и мочевыводящих путей, свищевые формы туберкулеза костей и суставов, периферических лимфатических узлов и других органов), считаются также опасными для окружающих из-за риска заражения последних.
Вторым по значимости источником заражения является крупный рогатый скот, больной туберкулезом. При этом наибольшая опасность создается для животноводов и других работников, контактирующих с животными.
Остальные источники заражения туберкулезом имеют меньшее эпидемиологическое значение, так как встречаются реже. Такими источниками могут быть куры , различные животные (свиньи, овцы, верблюды и др.), в том числе и домашние (кошки, собаки).
Пути передачи инфекции
Заражение туберкулезом может быть при наличии прямого контакта с больным, который рассеивает микобактерии при кашле, чиханье, с капельками слюны при разговоре, поцелуях и т. д.
С давних пор основным путем заражения считался воздушно-капельный. Однако заражение возможно и без прямого контакта с больным — при соприкосновении с зараженными предметами, бельем, с пылевыми частицами, содержащими засохшую мокроту, другим материалом, содержащим микобактерии (воздушно-пылевой путь заражения).
Естественно, что опасность воздушно-пылевого заражения возрастает при невыполнении больным правил личной гигиены, недостаточной дезинфекции или ее отсутствии, при некачественной уборке помещения.
В связи с тем что микобактерии туберкулеза обладают высокой устойчивостью к воздействию внешних факторов, они длительное время (месяцы и годы) сохраняют жизнеспособность и патогенность в темноте в почве и сточных водах, при низкой температуре и обработке многими дезинфицирующими средствами, — воздушно-пылевой путь заражения заслуживает особого внимания.
Заражение туберкулезом возможно также алиментарным путем при пользовании общей посудой.
При контакте с больными животными заражение также чаще происходит воздушно-капельным или воздушно-пылевым путем. Возможен и алиментарный путь заражения — при потреблении некипяченого или непастеризованного молока, или приготовленных из него продуктов. Следовательно, алиментарный путь заражения может иметь место и при отсутствии прямого контакта с больными животными.
От больного туберкулезом человека заражение происходит обычно человеческим видом микобактерий туберкулеза.
Для человека эпидемиологически опасным является не только этот вид микобактерий, но и бычий вид. Особенностью заболевания туберкулезом, вызванным бычьим видом микобактерий, является частое поражение мочеполовых органов и периферических лимфатических узлов , лекарственная резистентность к изониазиду, что затрудняет химиотерапию. Легочный туберкулез иногда приобретает прогрессирующее течение, особенно в условиях позднего выявления заболевания.
Заражение человека может иногда вызываться птичьим видом микобактерий, которые обычно обладают полирезистентностью к химиопрепаратам. В случае возникновения заболевания (что отмечается весьма редко) оно, как правило, принимает прогрессирующий характер с образованием множественных деструкции в легких
У отдельных лиц отмечается заражение различными атипичными микобактериями. Вызванное ими заболевание в настоящее время принято называть микобактериозом. По клинико-рентгенологическим проявлениям и морфологическим реакциям оно не отличается от туберкулеза. Пути заражения атипичными микобактериями не описаны, хотя резервуар инфекции уже известен — почва, водоемы. Многие животные, в том числе крупный рогатый скот, могут быть заражены атипичными микобактериями, которые длительное время сохраняются в их организме. Заболевания микобактериозом носят спорадический характер, случаи передачи инфекции от человека к человеку не описаны.
Восприимчивость человека к туберкулезной инфекции.
Как известно, инфекционный процесс является результатом взаимодействия возбудителя (микобактерий туберкулеза) и организма, поэтому в эпидемиологических исследованиях важное место занимает изучение восприимчивости человека в туберкулезной инфекции. Человек обладает высокой естественной сопротивляемостью к туберкулезу. Однако сопротивляемость на протяжении жизни неодинакова и на заболеваемость туберкулезом влияют пол, возраст, сопутствующие заболевания, условия жизни и др.
Наиболее опасно заражение туберкулезом в детском возрасте, особенно в раннем детском возрасте (до года и в 1—5 лет). В этот период естественная резистентность еще несовершенна и не совершенствуется из-за недостаточного развития иммунологических механизмов.
Определенную роль играет наследственная предрасположенность или, наоборот, резистентность к туберкулезу.
С возрастом эти механизмы совершенствуются, приобретают значение другие факторы, которые отрицательно влияют на восприимчивость: недостаточное питание, сопутствующие заболевания, тяжелая работа, приводящая к систематическому переутомлению, нервно-психические срывы (стрессовые состояния) и т. д.
Очень большое влияние на течение инфекционного процесса оказывает наличие или отсутствие приобретенного иммунитета у заразившихся туберкулезом людей.
Как ни важны индивидуальные особенности каждого человека, эпидемиология туберкулеза изучает общие закономерности, определяющие распространение туберкулеза среди населения или его отдельных групп. Этим эпидемиологический подход к проблеме туберкулеза отличается от клинического, который изучает индивидуум. С данных позиций очень важно среди населения выделить группы с наибольшей восприимчивостью к туберкулезу. Такие группы принято называть группами населения с повышенным риском развития туберкулеза.
Принимая во внимание патогенез туберкулеза, повышенный риск развития первичных форм туберкулеза имеют неинфицированные лица, дети, подростки и взрослые до 30 лет, так как с увеличением возраста среди населения возрастает число инфицированных туберкулезом лиц: к 40 годам число таких случаев достигает 70—90%.
Число инфицированных людей также рассматривается как эпидемиологический показатель — инфицированность, которая выражается в процентах, т. е. на 100 жителей.
Часто инфицированность определяют применительно к различным возрастным группам.
В странах, в которых проводятся противотуберкулезная иммунизация новорожденных, ревакцинация детей и подростков, определение показателя инфицированности населения сталкивается с большими трудностями из-за появления положительной туберкулиновой пробы после вакцинации и ревакцинации. Тем не менее разработана методика расчетов, позволяющая установить «риск заражения» и взаимосвязь между этим показателем и численностью больных заразными формами туберкулеза.
Эпидемиологическая обстановка в мире, Российской Федерации.
Эпидемиологическую обстановку определяют следующие наиболее важные статистические показатели: инфицированность, заболеваемость, болезненность и смертность от туберкулеза.
Инфицированность МБТ -это число людей, зараженных ( инфицированных) микобактериями туберкулеза, на 100 тыс. населения. Выражается в процентах.
Заболеваемость - число впервые выявленных больных активным туберкулезом в течение года в расчете на 100 000 населения.
Болезненность (распространенность) - общее число больных активным туберкулезом, состоящих на учете в лечебных учреждениях на конец года, в расчете на 100 000 населения. Особое значение имеет показатель болезненности открытыми формами туберкулеза легких. Таким образом, распространенность отражает совокупную болезненность туберкулезом. Если бы все новые случаи были быстро излечены, то частота новых случаев и распространенность стали бы близко совпадающими. Но если пациенты не получают лечения или не полностью излечиваются, то накапливаются хронические формы туберкулеза, тем самым формируя различия в частоте новых случаев и распространенности туберкулеза.
Смертность - число лиц, умерших от туберкулеза в течение года, в расчете на 100000 населения.
По данным Всемирной организации здравоохранения (ВОЗ) от туберкулеза умирает больше людей, чем от СПИДа, малярии и тропических заболеваний, вместе взятых. Не зря туберкулез называют «главным инфекционным убийцей человечества».
Сейчас в мире каждые 10 секунд умирает от туберкулеза 1 человек, каждые 4 секунды заболевает 1 человек.
Ежегодно в мире регистрируют примерно 10 миллионов новых случаев туберкулеза и примерно 3 миллиона человек умирают от этого заболевания в течении года.
По прогнозам специалистов в 2020 году на планете будет около 1 миллиарда людей, инфицированных микобактериями туберкулеза, 200 миллионов заболевших туберкулезом и 70 миллионов умерших от этой болезни.
Заболеваемость туберкулезом в России в 2009 году была 82,6 на 100 тыс. населения. В 2010 году -77, 4 на 100тыс.
Показатели заболеваемости туберкулезом в различных регионах сильно варьируются. Так в 2010 году заболеваемость в Москве была 45,5; в Санкт-Петербурге 43; в Туве 233,4, в Приморском крае 200,5.
В разных странах мира эпидемиологическая обстановка в связи с туберкулезной инфекцией различная. В экономически развитых странах отмечаются низкие, а в развивающихся - высокие показатели распространенности туберкулеза. Так, например, в Исландии 4,1; в Замбии - 488,0.
Смертность от туберкулеза в России в 2009 году была 16,8 на 100 тыс. В 2014 году 9,8 на 100 тыс. населения, что более чем в 20 раз выше, чем в США.
Наблюдается утяжеление течения туберкулеза, увеличивается число деструктивных форм, участились случаи остропрогрессирующих форм, особенно казеозной пневмонии с наличием быстро развивающихся каверн, захватывающей 2-3 и более долей легких, остается высокой первичная инвалидность от туберкулеза.
По нормам ВОЗ туберкулез может считаться ликвидированным как распространенное заболевание, если заболеваемость составляет 10, смертность -2 человека на 100 тыс. населения, а инфицированность детей до 14 лет не превышает 1%.
Сегодня в России наблюдается довольно печальная картина: каждую секунду инфицируется один человек; инфицированность взрослого населения составляет не менее 80%; каждый день туберкулез уносит в могилу 80 россиян. Среди умерших 75% - лица трудоспособного возраста.
Эксперты ВОЗ относят Россию к числу 22 стран с самой высокой распространенностью туберкулеза в мире – мы входим в первую десятку наиболее неблагополучных.
Очень напряженной является эпидобстановка в тюрьмах, где заболеваемость заключенных выше примерно в 30 раз.
В оценке эпидемиологической ситуации важное значение имеет показатель инфицированности МБТ, который характеризует объем резервуара туберкулезной инфекции среди населения. Отмечается смещение первичного инфицирования с детского возраста на более старшие возрастные группы. При этом снижение инфицированности среди детей в первую очередь объясняется уменьшением числа источников распространения туберкулезной инфекции и проведением массовых вакцинаций и ревакцинаций БЦЖ.
Противотуберкулёзная вакцина в своё время серьёзно снизила детскую заболеваемость, которая продолжает оставаться одной из самых низких на постсоветском пространстве
В условиях массовой вакцинации БЦЖ достоверность инфицированности относительна в связи с трудностью разграничения инфекционной и поствакцинальной туберкулиновой аллергии. Поэтому в качестве объективного критерия оценки эпидемиологической ситуации используют показатель ежегодного риска инфицирования или заражения туберкулезом. Этот показатель может быть установлен при повторной (через год) постановке туберкулиновой пробы: по числу лиц с виражом туберкулиновой реакции.
В настоящее время широко применяется Диаскин-тест для разграничения поствакцинальной и инфекционной аллергии.
Сравнивая статистические показатели по туберкулезу в России в настоящее время, можно прийти к выводу. Что для ликвидации туберкулеза как распространенного заболевания в нашей стране потребуется значительное время. Известно, что основным принципом здравоохранения является предупреждение (профилактика) болезней – предупредить заболевание всегда легче, чем лечить его. Поэтому в борьбе с туберкулезом основное внимание должно уделяться его профилактике, а также своевременному выявлению больных туберкулезом и их лечению
Группы риска
Известны контингенты людей, у которых риск заболевания туберкулезом выше, чем у остального населения. Это так называемые группы риска.
Сегодня больные туберкулезом - нередко наркоманы, БОМЖи, заключенные или отбывшие заключение, ВИЧ-инфицированные, хронические алкоголики, безработные, мигранты из регионов с повышенной заболеваемостью туберкулезом - это так называемые социальные группы риска по туберкулезу.
Однако существует среди населения группы людей с повышенным риском развития туберкулеза по состоянию здоровья, так называемые медицинские факторы риска.
К этой группе риска следует отнести больных с хроническими воспалительными заболеваниями легких, с повторными атипичными пневмониями, с многократно повторяющимися заболеваниями верхних дыхательных путей, перенесших экссудативный плеврит, с профессиональными заболеваниями легких, язвенной болезнью желудка и двенадцатиперстной кишки, с оперированным желудком, сахарным диабетом или страдающих хронической недостаточностью надпочечников, лечащихся длительно гормональными препаратами, рентгенположительных лиц, излеченных и снятых с учета после перенесенного туберкулеза.
Выделение указанных групп и систематическое обследование их считается одним из непременных условий своевременного выявления туберкулеза. Врачи общей лечебной сети должны быть осведомлены об угрожаемых контингентах и регулярно ежегодно проводить им флюорографическое обследование в поликлинике.
Под наблюдением диспансера находятся и определенные группы здоровых лиц, которые имеют наиболее высокий риск заболевания туберкулезом: эпидемиологические группы риска — к ним относятся лица, проживающие вместе с больными открытой формой туберкулеза (контакты), впервые инфицированные дети и подростки МВТ (виражные), излеченные от туберкулеза с большими остаточными посттуберкулезными изменениями, с гиперергическими туберкулиновыми пробами.
К факторам, повышающим риск возникновения туберкулеза, относятся:
-наиболее значимым в мире стал ВИЧ,
- курение (особенно более 20 сигарет в день) — увеличивает вероятность развития туберкулеза в 2 — 4 раза,
- хронические неспецифические заболевания легких,
-пылевые заболевания легких,
- тяжелые операции и травмы,
-язвенная болезнь желудка и двенадцатиперстной кишки,
- беременность и роды,
-алкоголизм и наркомания,
-заболевания, при которых необходимо длительное применение гормональных или цитостатических препаратов,
- врожденные и приобретенные иммунодефициты.
Среди впервые заболевших туберкулезом 90 %, составляют лица из групп риска.
В настоящее время наибольший риск заболеть туберкулезом имеют лица, не инфицированные МБТ и не вакцинированные БЦЖ, - это дети и подростки. У взрослых туберкулез развивается чаще в результате эндогенной реактивации посттуберкулезных изменений. Резервуар эндогенной инфекции и число инфицированных среди населения остаются значительными, поэтому туберкулез (согласно эпидемиологическим прогнозам) еще долгое время будет распространенным заболеванием.
Туберкулез, как инфекционное заболевание, требует изучения закономерностей эпидемиологического процесса. По определению Л.В. Громашевского «эпидемический процесс - это сумма явлений и закономерностей воспроизводства одним случаем заболевания других аналогичных случаев».
Главными причинами, вызывающими увеличение распространенности туберкулезной инфекции, являются: ухудшение социально-экономических условий жизни населения; увеличение миграционных процессов; рост численности социально-дезадаптированных групп населения и контингентов, находящихся в местах заключения, а также недостаточное финансирование лечебных и профилактических противотуберкулезных мероприятий. Способствуют активизации эпидемического процесса туберкулезной инфекции и медико-биологические, возрастно-половые, социально-профессиональные эпидемиологические обстоятельства. Например, сахарный диабет, ВИЧ-инфекция и другие хронические заболевания со сниженной сопротивляемостью, пубертатный и старческий возраст, алкоголизм, контакт с больным туберкулезом человеком или
животными и т. д.
Распространенность туберкулезной инфекции и клинические проявления ее разнообразны. Поэтому понимание эпидемиологии туберкулеза особенно важно, поскольку является основой для разработки мер профилактики, диагностики, лечения, программ борьбы с этим заболеванием для органов здравоохранения.
Туберкулез (ТБ)

Туберкулез (ТБ) является хронической прогрессирующей микобактериальной инфекцией, часто имеющей латентный период после начального инфицирования. Чаще всего ТБ поражает легкие. Симптомы включают в себя кашель, повышение температуры, потерю веса и недомогание. Диагностика чаще всего проводится по результатам анализа мокроты и бактериальных посевов, и, все чаще, благодаря применению диагностических молекулярных экспресс-тестов. Лечение проводят антибактериальными лекарственными средствами в течение, по крайней мере, 6 мес.
Микобактерии являются небольшими, медленно растущими аэробными бациллами. Они отличаются сложной, богатой липидами клеточной оболочкой, обусловливающей их кислотостойкость (т.е. устойчивость к обесцвечиванию кислотой после окрашивания карбол-фуксином) и их относительную устойчивость к окрашиванию по Граму. Наиболее распространенная микобактериальная инфекция – туберкулез; другие включают проказу Проказа Лепра – хроническая инфекция, обычно вызываемая кислотоустойчивой бациллой Mycobacterium leprae, которая обладает уникальным тропизмом к периферическим нервам, коже и слизистым оболочкам. Прочитайте дополнительные сведения Mycobacterium avium.
Туберкулез является ведущей инфекционной причиной заболеваемости и смертности среди взрослых во всем мире; болезнь является причиной смерти приблизительно 1,7 миллиона человек в 2016 году, преимущественно в странах с низким и средним уровнем дохода. ВИЧ/СПИД – наиболее важный предрасполагающий фактор к инфицированию туберкулезом и смертности в некоторых регионах мира, где распространены обе инфекции.
Этиология туберкулеза
К туберкулезу правильно относить только болезнь, вызванную Mycobacterium tuberculosis (для которой люди являются основным резервуаром). Аналогичная болезнь иногда развивается в результате инфицирования тесно связанных микобактерий, а именно M. bovis, M. africanum, и M. microti, которые вместе с M. tuberculosis известны как комплекс Mycobacterium tuberculosis.
Заражение туберкулезом происходит, как правило, воздушно-капельным путем через частицы (каплеобразные ядра), содержащие M. tuberculosis. Они передаются прежде всего при кашле, пении и других дыхательных движениях людьми, которые больны активным туберкулезом легких или гортани и в чьей слюне содержится значительное количество возбудителя (достаточное, как правило, чтобы получить положительный мазок). Люди с легочными полостными кавернами являются особо заразными из-за большого количества бактерий, содержащихся в каверне.
Контагиозность пациентов с нелечённой активной формой туберкулеза легких широко варьируется. Некоторые штаммы M. tuberculosis являются более заразными, и пациенты с положительными результатами бактериоскопии мазков мокроты являются более заразными, чем имеющие положительные результаты только бактериального посева. Пациенты с кавернами (которые тесно связаны с микобактериальной нагрузкой в мокроте) являются более заразными, чем не имеющие их.
Также важную роль играют факторы окружающей среды. Таким образом, люди, живущие в бедности или в специальных учреждениях, находятся в условиях особого риска. Передача инфекции возрастает при частом или длительном контакте с не вылеченными пациентами, которые рассеивают большие количества туберкулезных палочек в переполненных, закрытых, плохо проветриваемых помещениях. Практикующие врачи, у которых есть тесный контакт с активными случаями, также являются группой повышенного риска.
Таким образом, оценки контагиозности широко варьируют; некоторые исследования показывают, что только 1 из 3 пациентов с невылеченным туберкулезом легких инфицирует кого-либо при тесном контакте. Однако по оценкам ВОЗ каждый невылеченный пациент может заразить от 10 до 15 человек в год. Тем не менее, у большинства инфицированных лиц активное заболевание не развивается.
Контагиозность быстро уменьшается сразу после начала эффективного лечения. Возбудители становятся менее заразными, даже при условии их сохранности в мокроте, а интенсивность кашля уменьшается. Исследования бытовых контактов показывают, что контагиозность пациентов прекращается в течение 2 недель после начала эффективного лечения.
Намного реже заражение происходит при аэрозолизации организмов после промывания инфицированных ран, работе в микобактериологических лабораториях или в секционных залах.
Туберкулёз миндалин, лимфатических узлов, органов брюшной полости, костей и суставов ранее вызывало употреблением в пищу молока или молочных продуктов (например, сыра), загрязненных M. bovis, но этот путь передачи был в значительной степени ликвидирован в развитых странах путем убоя коров, имеющих положительный результат теста на кожную туберкулиновую пробу, и пастеризацией молока. Туберкулез, вызываемый M. bovis, все еще встречается в развивающихся странах и у иммигрантов из развивающихся стран, где бычий туберкулез является эндемичным (например, некоторые латиноамериканские страны). Растущая популярность сыра из непастеризованного молока вызывает новые проблемы, особенно, если сыры прибывают из стран, имеющих проблемы с бычьим туберкулезом (например, Мексика, Великобритания).
Эпидемиология туберкулеза
Около четверти населения всего мира инфицированы (на основе результатов исследований кожных туберкулиновых проб). Из всех инфицированных, вероятно, только у 15 миллионов в данный момент времени диагностируется активная форма заболевания.
Уровни инфицированности (для туберкулеза, поддающегося лечению лекарствами) и смертности уменьшаются. Количество новых случаев снизилось на 1,5% в период между 2014 и 2015 гг., увеличивая тенденцию, которая отмечается в течение нескольких лет. Эти тенденции, скорее всего, частично связаны со всемирными усилиями по борьбе с туберкулезом, которые предоставили большему количеству людей доступ к лекарственным средствам против туберколеза и ВИЧ-инфекции.
Всплеск заболеваемости туберкулезом произошел в отдельных частях США и других развитых странах между 1985 и 1992 г.; это было связано с несколькими факторами, включая параллельное инфицирование ВИЧ, бездомность, ухудшенную инфраструктуру здравоохранения и появление мультирезистентного туберкулеза (MDR-TB). Несмотря на то, что контроль в США осуществляется эффективной системой здравоохранения и установленными мерами по инфекционному контролю в закрытых учреждениях, проблема мультирезистентного туберкулеза, включая туберкулез с широкой лекарственной устойчивостью (ШЛУ-TБ), является актуальной во всем мире. Эта ситуация усиливается нехваткой ресурсов, в том числе систем диагностики и доставки лекарственных средств.
В большинстве стран мира туберкулез с лекарственной устойчивостью не может быть быстро диагностирован и своевременно вылечен с использованием эффективных схем, в том числе с надлежащим контролем побочных эффектов лекарственных средств 2-ой линии. Эта ситуация приводит к продолжающейся контагиозности, низкому уровню излечения и формированию усиленной резистентности возбудителей. При лечении очень стойкого к препаратам туберкулеза эффективность терапии еще ниже, а смертность, напротив, значительна, особенно у пациентов, инфицированных ВИЧ, даже если они получают лечение антиретровирусными препаратами. Эффективное лечение и контроль нежелательных реакций, работа с населением, а также социальная поддержка привели к более благоприятным эпидемиологическим тенденциям снижения туберкулеза с лекарственной устойчивостью в некоторых областях (например, Перу, Томская область России). Индия и Китай только начинают реализовывать общенациональные программы по лечению МЛУ-ТБ, и заболеваемость МЛУ-ТБ в будущем может в значительной степени зависеть от успеха или неудачи этих программ.
Ссылки на эпидемиологию
1. WHO: Global Tuberculosis Report 2017: Executive Summary. По состоянию на 05.04.2018.
2. WHO: Tuberculosis Fact Sheet, 2017. По состоянию на 05.04.2018.
Патофизиология туберкулеза
Туберкулез может протекать в трех стадиях:
Туберкулезные палочки M. tuberculosis изначально вызывают первичную инфекцию, которая редко приводит к острому заболеванию. Большинство (приблизительно 95%) первичных инфекций являются бессимптомными и сопровождаются скрытой (латентной) фазой. В некоторых случаях латентные инфекции впоследствии проявляются клиническими признаками и симптомами заболевания.
Инфекция обычно не передается в начальной стадии и никогда не является контагиозной в латентном периоде.
Первичное инфицирование
Инфицирование происходит, когда вдыхаемые частицы достаточно малы и могут преодолеть защитные барьеры верхних дыхательных путей, осесть глубоко в легких, как правило, в субплевральном воздушном пространстве средних или нижних долей. Капельки большего размера склонны осаждаться в верхних отделах дыхательных путей и, как правило, не приводят к заболеванию. Заражение, как правило, начинается с одного капельного ядра, которое обычно несет несколько возбудителей. Теоретически, достаточно только одного организма, чтобы вызвать инфекцию у восприимчивых людей, но менее восприимчивым людям может потребоваться для развитие инфекции многократный контакт.
Для развития инфекции бациллы M. tuberculosis должны поглотиться альвеолярными макрофагами. Туберкулезные палочки, которые не обезврежены макрофагами, фактически воспроизводятся в них, в конечном счете убивая макрофага хозяина (с помощью лимфоцитов CD8); клетки, вызывающие воспаление, привлекаются в такую область, вызывая очаговый пневмонит, срастающийся в характерную туберкулезную гранулему, которая определяется гистологическими методами.
В первые недели инфекции некоторые зараженные макрофаги мигрируют к расположенным рядом лимфоузлам (воротные, средостенные), где они получают доступ к кровотоку. Возбудители могут распространиться через кровь к любой части тела, особенно апикально-задней части легких, эпифизу длинных костей, почкам, телу позвонков и мягким мозговым оболочкам. Гематогенная диссеминация менее вероятна у пациентов с частичным иммунитетом, являющимся результатов вакцинации или предварительного естественного инфицирования M. tuberculosis или микобактериями в окружающей среде.
В большинстве случаев после первичной инфекции развивается латентная инфекция. Примерно в 95% случаев, приблизительно через 3 недели активного роста микобактерий, иммунная система начинает подавлять размножение бацилл еще до того, как появляются клинические симптомы и признаки. Очаги с бациллами в легких или других органах преобразуются в эпителиоидные клеточные гранулемы, имеющие казеозные и некротические центры. Туберкулезные палочки могут выживать в этом материале в течение многих лет; баланс между резистентностью хозяина и вирулентностью микроба определяет, пройдет ли инфекция в конечном счете без лечения, останется скрытой или станет активной. Инфекционные очаги могут оставить фиброзно-очаговые шрамы на вершинах одного или обоих легких (очаги Симона, которые, как правило, являются результатом гематогенного посева с другого инфицированного участка) или небольших областей консолидации (очаги Гона). Очаг Гона с вовлечением лимфатических узлов является комплексом Гона, который при условии кальцинирования называют комплексом Ранке. Туберкулиновый кожный тест Кожные пробы Туберкулез (ТБ) является хронической прогрессирующей микобактериальной инфекцией, часто имеющей латентный период после начального инфицирования. Чаще всего ТБ поражает легкие. Симптомы включают. Прочитайте дополнительные сведенияГораздо реже первичное поражение быстро прогрессирует, вызывая острую болезнь с пневмонией (иногда кавернозной), плевральным выпотом и явным увеличением лимфоузлов в области средостения или корня легких (у детей это может привести к сдавлению бронхов). Небольшие плевральные выпоты являются преимущественно лимфоцитарными, как правило, содержат немного микобактерий и очищаются в течение нескольких недель. Такое развитие событий более характерно для маленьких детей и недавно зараженных или повторно зараженных пациентов с ослабленным иммунитетом.
Внелегочный туберкулез Внелегочный туберкулез (ТБ) Внелегочный туберкулез обычно является следствием гематогенного распространения возбудителя. Иногда инфекция передается непосредственно от смежного органа. Симптоматика меняется в зависимости. Прочитайте дополнительные сведенияАктивная болезнь
У здоровых людей, инфицированных туберкулезом, на протяжении жизни вероятность риска перехода заболевания в активную форму составляет приблизительно 5–10%, хотя этот процент значительно меняется в зависимости от возраста и других факторов риска.
У 50–80% заразившихся лиц туберкулез активно развивается в течение первых 2 лет, хотя он также может проявиться и через несколько десятилетий.
Любой орган, первоначально инфицированный возбудителем, может стать источником реактивации инфекции, но чаще всего она начинается в верхушках легких, по-видимому, из-за благоприятных для микроба условий, таких как высокое давление кислорода. Очаги Гона и пораженные прикертневые лимфоузлы гораздо реже становятся местами такой реактивации.
Условия, разрушающие клеточный иммунитет (что очень важно для защиты от туберкулеза), значительно облегчают реактивацию. Таким образом, среди пациентов, которые имеют ко-инфекцию ВИЧ Инфекция, вызванная вирусом иммунодефицита человека (ВИЧ) Инфекция вирусом иммунодефицита человека (ВИЧ) вызывается одним из 2 похожих ретровирусов (ВИЧ-1 и ВИЧ-2), которые разрушают CD4+ лимфоциты и ослабляют клеточный иммунитет, увеличивая риск оппортунистических. Прочитайте дополнительные сведенияДругие условия, способствующие реактивации, но в меньшей степени, чем ВИЧ-инфекция, включают
Читайте также:
