МРТ-артрограмма при повреждении лучевой коллатеральной связки
Добавил пользователь Владимир З. Обновлено: 12.12.2025
Интерес ортопедов и ревматологов к МРТ суставов продолжает растёт год от года, что обусловлено огромным потенциалом данной методики, все увеличивающимся благодаря ее быстрому развитию в последние годы.
Это особенно ценно при планировании операции, при диагностике травм и новообразований (опухолей). С помощью снимков МРТ врач может выявить все структурные изменения в костной и хрящевой тканях, в связках задолго до того, как это можно будет «увидеть» с помощью других методов исследования. Кроме того, отсутствие лучевой нагрузки дает возможность использовать МРТ для контроля за эффективностью проводимого лечения.
В отличие от других методов диагностики, магнитно-резонансная томография позволяет получить четкое изображение не только костных структур и хрящевых тканей, но и мягких тканей вокруг состава. Поэтому наиболее часто проводится МРТ коленного сустава и других крупных суставов.
МРТ коленного сустава
Особая диагностическая ценность МРТ коленного сустава состоит в получении исчерпывающей картины дегенеративно-дистрофических изменений (хронические артриты и остеоартрозы, повреждения суставных поверхностей) и возможности визуализации самых мелких травм (разрывы связок, сухожилий, переломы), визуализация хряща с последующим его картированием для определения дистрофических и травматических изменений.


Дистрофические изменения суставного хряща надколенника (с использованием опции «картирования хряща»)
МРТ помогает с большой точностью установить полный или же частичный разрыв мениска, прекрасно и наглядно отображает состояние связок коленного сустава. При диагностировании передней крестообразной связки МРТ показывает разрывы ясно и четко в 96%. Магнитно-резонансная томография наглядно демонстрирует не только разрывы сухожилий, но и гораздо более тонкие проблемы, возникающие во внутренней структуре, сопряженные с воспалением или рубцеванием тканей, которые при неблагоприятном прогнозе могут вызвать определенные хронические заболевания.
Кроме того, МРТ коленного сустава и других крупных суставов оказывает большую помощь для планирования хирургических операций (протезирования, артроскопии), а также в период послеоперационного мониторинга состояния.
МРТ коленного и других крупных суставов проводится при следующих общих показаниях:
- травма сустава (повреждение внутрисуставных и наружных связок, суставных хрящей);
- переломы в области суставов (в том числе рентгенологически скрытые);
- частичный или полный разрыв мениска;
- дистрофические изменения сустава (остеоартроз);
- хронический артрит;
- выраженный болевой синдром в суставе или в мягких тканях вокруг него;
- припухлость сустава;
- наличие жидкости в полости сустава.
МРТ плечевого сустава
Плечелопаточный периартрит (периартроз, периартикулярные поражения области плечевого сустава) - собирательный термин всех периартикулярных поражений области плечевого сустава. Нередко боли в области плечевого сустава вызваны не поражением самого сустава, а околосуставных мягких тканей. Наиболее частой причиной острой или хронической боли в области плечевого сустава является дегенеративно-воспалительное поражение сухожилий мышц, участвующих в движениях плеча (тендиниты). От чрезмерной физической нагрузки (у маляров, спортсменов и людей других профессий) сухожильные волокна растягиваются и надрываются. В конечном итоге развивается воспалительный процесс. Острый период с резкими болевыми ощущениями у таких пациентов длится обычно несколько недель, и при эффективном лечении интенсивность болей в плече снижается, функция сустава восстанавливается. Однако благоприятное течение заболевания с полным выздоровлением заканчивается далеко не у всех. У многих больных при неблагоприятном развитии патологического процесса боли в плече не проходят, а подчас усиливаются не только при физической нагрузке, но и в покое, приобретают постоянный характер. Движения в суставе, как правило, сопровождаются хрустом различной интенсивности. В далеко зашедших случаях может возникнуть тугоподвижность сустава, атрофия мышц и остеопороз головки плечевой кости. При рентгеновском исследовании чаще всего определяется кальцификация (отложение солей) в суставных сумках и в окружающих сустав тканях. МРТ дает полную картину патологических изменений в периартикулярных тканях на ранних этапах заболевания - это отек в области сухожилий, их истончение или неполный разрыв, наличие выпота в суставных синовиальных сумках, атрофия отдельных групп мышц и др. Среди основных показаний к МРТ исследованию плечевого сустава являются нестабильности в суставе и разрывы вращательной манжеты плеча.
Нестабильность плечевого сустава отмечается при слабой фиксации головки плечевой кости в суставной впадине лопатки, которая приводит к повышенной подвижности в суставе и часто к развитию вывихов и подвывихов при травмах, определенных положениях руки (например, при бросании предметов из-за головы вперед). Если диагностика вывихов не представляет особых затруднений при обычном рентгенологическом исследовании, то подвывихи не всегда четко визуализируются при данном методе лучевой диагностики. МРТ диагностика в этих случаях позволяет визуализировать даже незначительные нарушения взаимоотношений головки плечевой кости и суставной впадины лопатки.
Разрывы вращательной манжеты плеча являются наиболее частой причиной болевого синдрома в плечевом суставе во всех возрастных группах взрослого населения и невозможности поднять или отвести руку. МРТ диагностика при данной травме позволяет визуализировать как полный разрыв связок, так и частичное их повреждение. Как правило, сопутствующими осложнениями повреждений вращательной манжеты плеча является скопление жидкости в субакромиальной и поддельтовидной сумках (находятся между мышцами), что также хорошо выявляется при МРТ исследовании. А восстановление разрыва сухожилий вращательной манжеты является сложной хирургической операцией.

МРТ признаки повреждения акромиально-ключичного сочленения на уровне плечевого сустава

МРТ плечевого сустава
МРТ локтевого сустава
Травма в области локтевого сустава чаще, чем в других местах, осложняется нарушением кровообращения, при котором руку может спасти только раннее оперативное вмешательство. Диагностика заболеваний локтевого сустава обычно не вызывает затруднений, поскольку он хорошо доступен для обследования. Среди всех поражений локтевого сустава чаще всего встречаются травматические повреждения (особенно у спортсменов). Переломы костей, образующих локтевой сустав, хорошо диагностируются при рутинном рентгенологическом исследовании. Применение МРТ необходимо для визуализации повреждений суставной капсулы, связок и сумок локтевого сустава. Разрывы локтевой боковой связки представляют собой один из наиболее характерных видов спортивных травм и часто сочетаются с разрывами капсулы сустава, переломами внутреннего надмыщелка и венечного отростка локтевой кости. Прямыми МРТ признаками разрыва локтевой боковой связки являются прерывистость хода ее волокон, наличие жидкости в полости сустава и отек мягких тканей вокруг. Часто, как следствие острой или хронической травмы, развивается бурсит в области локтевого отростка с наличием выпота в поверхностной сумке, который отчетливо виден при осмотре пациента. Другим характерным повреждением локтевого сустава является эпикондилит - хроническое дегенеративно-дистрофическое заболевание, обусловленное постоянной травматизацией сустава у спортсменов (теннисистов, бейсболистов, игроков в гольф, боулинг и др.), а также у людей определенных профессий (каменщиков, маляров, швей и др.). На МРТ изображениях определяется утолщение или истончение сухожилий мышц, прикрепляющихся к надмыщелкам плечевой кости, частичные разрывы этих связок с выпотом и отеком вокруг.

Посттравматическая энтезопатия общего сухожилия мышц-разгибателей («латеральный эпикондилит»)
МРТ кисти и лучезапястного сустава — самый информативный метод диагностики, дающий возможность оценки состояния костно-суставных и мягких тканей.
Показания к МРТ кисти и лучезапястного сустава: спортивные, производственные и бытовые травмы кисти и лучезапястного сустава, в том числе повреждения связочного аппарата кисти, хрящей, разрывы капсулы лучезапястного сустава и связок запястья, инородные тела, ущемление сухожилий, а также ущемление нервов (карпальный туннельный синдром), заболевания связочно-мышечного аппарата кисти и лучезапястного сустава различной природы (теносиновиты, гигромы, контрактура Дюпюитрена, флегмона и др.), заболевания суставов различной природы (артриты, артрозы, поражение суставов при коллагенозах, сахарном диабете, подагре, остеомиелите и т.д.) – все эти виды патологии кисти и лучезапястного сустава с высокой степенью достоверности можно установить с помощью МРТ. Показаниями к проведению МРТ являются противоречивость клинических данных и неясность или отсутствие характерных рентгенологических признаков повреждений области лучезапястного сустава, болевой синдром и нарушение функции кистевого сустава неясного генеза, в том числе при отсутствии травмы в анамнезе. Магнитно-резонансная томография является эффективным методом диагностики не только повреждений кистевого сустава и их последствий, но и мониторинга результатов проводимого лечения, так как обеспечивает возможность комплексной визуализации костных и мягкотканных структур этой области. МРТ кистевого сустава целесообразно проводить всем пациентам на начальном этапе лучевого обследования после рентгенологического исследования при травме кистевого сустава и неясной клинико-лучевой картине, а также при тяжелой травме со значительными повреждениями костных и мягкотканных структур, либо при болевом синдроме и нарушении функции в суставе неясного генеза при отсутствии травмы в анамнезе.

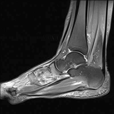
МРТ голеностопного сустава
Минимальные костные повреждения, обычно не выявляемые при рентгене, хорошо визуализируются при МРТ и КТ.
Для выявления изменений внесуставных стабилизаторов голеностопного сустава УЗИ и МРТ имеют примерно одинаковую диагностическую информативность. Оптимальным видом лучевого исследования для выявления изменений внутрисуставных структур голеностопного сустава является МРТ.
МРТ является наиболее универсальным методом визуализации повреждений всех структур голеностопного сустава. КТ позволяет детализировать (оценить степень и распространенность) выявленных при МРТ минимальных костных переломов. Повреждение связок по данным некоторых авторов в 16-21% случаев сопровождает спортивные травмы голеностопного сустава. При острой травме чаще всего повреждается передняя таранно-малоберцовая связка, реже - пучки дельтовидной связки.
Поскольку острые повреждения связок редко лечатся хирургически, магнитно-резонансная томография чаще всего назначается при наличии клинических признаков нестабильности сустава для решения вопроса о тактике ведения пациента и профпригодности.
МРТ критерии диагностики острых разрывов включают изменение интенсивности сигнала внутри и вокруг связок, прерывистость волокон, исчезновение жировых включений в структуре связки, признаки отека окружающих мягких тканей, контузию сочленяющихся костей.
По данным P.W. Bearcroft и соавт. чувствительность МРТ в выявлении острых повреждений связок голеностопного сустава составляет 94-96%, для хронических разрывов – 82-90%. МРТ обладает наибольшей чувствительностью (96-97%) и специфичностью (98%) в выявлении стрессовых переломов на ранней стадии.

Патологическое образование сухожилия подошвенной фасции
Остеохондральные повреждения в суставах (малые и крупные повреждения кости и хряща) - по существу МРТ является единственным методом, дающим исчерпывающую информацию о размере и локализации повреждения, состоянии покровного суставного хряща, конгруэнтности суставных поверхностей, жизнеспособности костного фрагмента, стабильности или степени восстановления между остеохондральным фрагментом и местом-донором, локализации костного фрагмента при его смещении в полость сустава.
Нейропатии периферических нервов конечностей, возникающие вследствие ущемления нервов конечности, обычно не всегда диагностируются из-за несовершенства техники клинического исследования, а результаты электрофизиологического анализа не надежны. Магнитно-резонансная томография дает детальную информацию о ходе и морфологии периферического нерва, а также точную дифференцировку окружающих мягкотканных структур и костных тканей, которые могут привести к ущемлению нерва.

Туннельная невропатия локтевого нерва
Таким образом, магнитно-резонансная томография по сравнению с другими методами лучевой диагностики дает лучшую визуализацию мягких тканей, а также позволяет определить костные изменения на ранней стадии, дополняя и превосходя рентгенологические данные:
Травма коллатеральной локтевой связки
Статья - Травма коллатеральной локтевой связки - расскажет Вам о причинах возникновения болезни, ее лечении, симптомах. Узнайте, как правильно диагностировать Травма коллатеральной локтевой связки | Центр Дикуля

Повреждение локтевой коллатеральной связки в виде растяжения или разрыва представляет собой повреждение одной из связок на внутренней стороне локтя. Локтевая коллатеральная связка является структурой, которая помогает сохранить нормальное взаимодействие плечевой кости и локтевой кости (одной из костей предплечья). Эта связка травмируется во время метания (определенные виды спорта) или после дислокации локтя или хирургического вмешательства.
Повреждение может быть как внезапный разрыв или происходит постепенное растяжение связки при повторных травмах. Эта связка редко подвергается повреждению в результате повседневной деятельности. Связка предотвращает скручивание локтя вовнутрь. При разрыве связки, как правило, самостоятельное заживление не происходит, или в результате регенерации происходит удлинение связки.
Растяжения делятся на три степени. При первой степени растяжения связки, связка не удлиненная, но болезненная. При второй степени растяжения связки, связка растягивается, но все еще функционирует. При третьей степени растяжения связка порвана и не работает.
Причины
Сила, которая превышает прочность локтевой связки, вызывает травму связки. Эта травма обычно является результатом повторных бросков или бросков с усилием. Травма связки может произойти в результате вывиха или хирургического вмешательства.
Факторы риска
Большинство травм происходит в КЛС при метании предметов над головой, особенно у игроков бейсбола. Как правило, травма связана с повторяющимися перегрузками, что в итоге значительно ослабляет связку и в конечном итоге приводит к ее разрыву. Другие факторы риска включают:
- Контактные виды спорта (футбол, регби) и виды спорта, в которых происходят падения на вытянутую руку, что часто приводит к вывихам.
- Метательные виды спорта, такие как бейсбол и метание копья
- Виды спорта, где есть движения рукой над головой (волейбол и теннис)
- Плохое физическое состояние (слабая мышечная сила и гибкость)
- Неправильная механика броска
Симптомы

- Боль и болезненность на внутренней стороне локтя, особенно при попытках бросить мяч
- Щелчок или треск разрыва или неприятные ощущения во время травмы
- Отеки и гематомы (через 24 часа) в месте повреждения на внутренней части предплечья в области локтя и выше, если произошел разрыв.
- Невозможность броска с полной силой, потеря контроля мяча
- Скованность в локте, невозможность выпрямить локоть
- Онемение или покалывание в пальцах руки
- Нарушение функций кисти таких, как хватание и выполнение мелких движений.
Диагностика
Боль над медиальной стороне локтя, болезненность непосредственно над локтевой коллатеральной связкой и специальные функциональные тесты, которые воспроизводят нагрузку на связку, могут быть полезны для диагностики повреждения этой связки. Специальные физические тесты включают в себя вальгусный стресс тест, при котором сила прикладывается к локтю, и проверяется диапазон движения. Это может быть наиболее чувствительный функциональный тест.
МРТ является лучшим методом визуализации мягких тканей локтевого сустава. Особенно хорошо визуализируются небольшие разрывы на нижней (глубокой части) связки при использовании контраста (вводимого в локоть) так, как без контраста такие повреждения не могут быть замечены.
Лечение

Легкая травма может излечиться самостоятельно.
Консервативное лечение показано большинству пациентов, которым удается вернуться к своей привычной деятельности. Консервативное лечение включает: использование НПВС (ибупрофен аспирин) анальгетики, холодные компрессы на зону травмы, ограничение нагрузки на локоть, ношение шины, физиотерапия. Оперативное лечение, как правило, требуется лишь небольшому числу пациентов с полным разрывом связки или тем, у кого есть стойкий болевой синдром, нарушения функции руки или угроза разрыва связки. Чаще всего, такими пациентами являются игроки бейсбола.
Операция "Томми Джона".
Пациентам с острым разрывом связки, при неэффективности консервативного лечения и тем, кто хочет продолжать заниматься бейсболом, требуется хирургическая реконструкция (восстановление связок, с использованием других тканей). Эта операция известна, как операция "Томми Джона" и, названа по имени игрока, чья карьера была удачно спасена, когда связка была реконструированная д-ром Франком Джобом.
Реконструкция связки может быть выполнена с использованием различных трансплантатов мягких тканей, полученных от пациента, но чаще всего осуществляется с помощью сухожилий мышцы palmaris предплечья. Объясняется это тем, что это сухожилие обеспечивает биомеханические характеристики, которые являются аналогичными родной связки, а так как нет никаких последствий от ее отсутствия, она является идеальной заменой связки. Некоторые пациенты не имеют изначально сухожилие мышцы palmaris и, следовательно, требуются альтернативные трансплантаты для реконструкции, такие как сухожилия разгибателей ног.
Осложнения лечения
Возможные осложнения консервативного лечения включают в себя:
- Невозможность возврата на предыдущий уровень занятий спортом
- Частое повторение симптомов, таких как невозможность, бросить в полную силу или расстояние, боль при бросании, и потеря контроля мяча, особенно если спортивная деятельность возобновилась вскоре после травмы
- Травма других структур локтя, в том числе хряща наружной части локтя; уменьшение объема движений в руке повреждение локтевого нерва, медиальный эпикондилит и растяжение сухожилий мышц сгибателей кисти.
- Повреждение суставного хряща, в результате развитие локтевого артрита
- Скованность в локте (снижение объема движений)
- Симптоматика невропатии локтевого нерва
Возможные осложнения оперативного лечения включают в себя:
- Хирургические осложнения, конкретно не связанные с этой операцией, такие как боль, кровотечения (редко), инфекции (
Осложнения, характерные для хирургического лечения этого заболевания:
- Невозможность восстановить нормальную стабильность
- Невозможность возврата к предыдущему уровню активности
- Травмы локтевого нерва
- Раздражение кожных областей, связанных с забором трансплантата из сухожилия мышцы palmaris
Прогноз
Повреждение локтевой коллатеральной связки обычно не заживают в полной мере при использовании консервативных методов лечения. А для возвращения в спорт требуется часто оперативное лечение. Возвращение в спорт после травмы, без хирургического вмешательства, может занять от трех до шести месяцев и может занять от девяти до 18 месяцев после операции.
Реабилитация (ЛФК) позволяет увеличить мышечную силу и выносливость. Упражнения необходимо подбирать с врачом ЛФК.
Профилактика
- Соответствующим образом проводить разминки до тренировки или соревнования
- Поддержание соответствующей мышечной силы в руке предплечье и запястье
- Использование соответствующей защитной техники при падениях и бросках
- Функциональные ортезы могут быть эффективными в профилактики травм, особенно повторных травм, в контактных видах спорта.
Использование материалов допускается при указании активной гиперссылки на постоянную страницу статьи.
МРТ-артрограмма при повреждении лучевой коллатеральной связки
а) Терминология:
1. Синоним:
• Лучевая коллатеральная связка (ЛуКС) также называется латеральной коллатеральной связкой (ЛКС)
2. Определение:
• Состоит из двух компонентов: ЛуКС и латеральной ЛоКС, также известной как лучелоктевая связка (ЛЛоКС)
б) Визуализация:
1. Общая характеристика:
• Лучший диагностический критерий:
о Распространение контрастного препарата через дефект в связке
• Локализация:
о ЛуКС отходит от латерального надмыщелка к кольцевой связке головки лучевой кости:
- Разрыв обычно возникает в начале связки, реже - в конце
о ЛЛоКС отходит от заднего края латерального надмыщелка к гребню супинатора локтевой кости:
- Разрыв обычно возникает в средней трети/начале связки

(Слева) Рисунок, латеральная поверхность локтевого сустава: показан разрыв средней трети лучевой коллатеральной связки (ЛуКС). При этом целостность лучелоктевой коллатеральной связки (ЛЛоКС) сохранена.
(Справа) Артрография, передне-задняя проекция: определяются разрывы как ЛуКС, так и ЛЛоКС, обусловленные вывихом. Контрастный препарат скапливается между разорванными концами связок и прилежащими мышцами.
2. Рекомендации по визуализации:
• Лучший метод визуализации:
о МР-артрография:
- Позволяет выявлять отек костного мозга и патологические изменения мышц, которые при КТ не визуализируются
• Рекомендации по выбору протокола:
о Рука полностью разогнута в локтевом суставе, супинирована
о Коронарная плоскость: на аксиальной томограмме строится через середину отрезка, соединяющего медиальный и латеральный мыщелки плечевой кости:
- Коронарные срезы: в режиме Т1, а также Т2 с подавлением сигнала от жировой ткани
- Часто полезным оказывается режим GRE
о Аксиальные срезы: в режиме протонной плотности с подавлением сигнала от жировой ткани (PD FS)
о Сагиттальные срезы: в режиме PD FS
в) Дифференциальная диагностика повреждения лучевой коллатеральной связки:
1. Латеральный эпикондилит (««локоть теннисиста»):
• Тендинопатия сухожилия разгибателя в месте его отхождения
• В начале сухожилия разгибателя выявляется зона патологического сигнала:
о Чаще всего в коротком лучевом разгибателе запястья (место его отхождения располагается наиболее дистально)
• Возникает у лиц, занимающихся игрой в теннис, фехтованием, рубкой мяса, сантехническими работами, рисованием и др.
• Несмотря на то что заболевание получило название «латеральный эпикондилит», патологические изменения в костном мозге латерального надмыщелка выявляются только при выраженной тендинопатии
2. Ятрогенный затек контрастного препарата:
• Затек контрастного препарата в сухожилия разгибателей в месте введения иглы
• Контур связки прослеживается на всем ее протяжении
• Перед тем как вводить контрастный препарат, следует выполнить пробное введение лидокаина и убедиться в том, что он свободно поступает через иглу
3. Синдром «щелкающего локтя»:
• Боль с латеральной стороны локтевого сустава, симптом «щелчка»
• По некоторым данным обусловлен увеличением синовиального гребня или разрывом кольцевой связки:
о Вследствие нестабильного положения синовиальный гребень или кольцевая связка могут ущемляться внутри сустава, а затем с щелчком «выскакивать»
• Предупреждение: наличие синовиального гребня между головкой лучевой кости и головкой мыщелка плечевой кости является вариантом нормы:
о Диагностические критерии патологического увеличения синовиального гребня отсутствуют
4. Костно-хрящевое повреждение головки мыщелка плечевой кости:
• Чашеобразная линия перелома головки мыщелка плечевой кости
• Компрессионная травма

(Слева) МР-артрография в режиме Т2ВИ FSE FS, коронарный срез: визуализируются дегенеративный разрыв ЛуКС и отрыв сухожилия разгибателя вследствие выраженного эпикондили-та.
(Справа) МР-артрография в режиме Т2ВИ FS, коронарный срез: отмечаются поел едав и я вывиха - разрыв лучевой и локтевой коллатеральных связок, а также сухожилий разгибателей и сгибателей в месте их отхождения.
г) Патология. Общая характеристика:
• Этиология:
о Дегенеративные изменения:
- Возникают при выраженном латеральном эпикондилите
- Часто сочетается с дегенеративным разрывом короткого лучевого разгибателя запястья
о Вывих:
- Сочетается с повреждением ЛоКС
о Травматическая варизация
• Сопутствующие патологические изменения:
о Отек костного мозга, костно-хрящевые повреждения:
- Обусловлены соударением костей в момент травмы
- Характер отека костного мозга облегчает установление механизма травмы
о Вывих:
- Приводит к разрыву как ЛуКС, так и ЛоКС
- Приводит к разрыву проксимальных отделов сгибателей и круглого пронатора
- В редких случаях приводит к повреждению плечевой артерии
о Латеральный эпикондилит
о Перелом венечного отростка сочетается с разрывом латеральной локтевой коллатеральной связки
• Эпидемиология:
о Изолированный разрыв ЛуКС встречается намного реже, чем разрыв ЛоКС
д) Клинические особенности. Проявления:
• Типичные признаки:
о Боль с латеральной стороны локтевого сустава
о Субъективная или объективная нестабильность локтевого сустава
е) Диагностическая памятка. Следует учесть:
• Поскольку лучелоктевая коллатеральная связка имеет небольшую толщину, при МРТ ее достаточно трудно увидеть
• Значимость изменения интенсивности сигнала от связки при отсутствии затека контрастного препарата остается спорной
Магнитно-резонансная томография (МРТ) суставов и мягких тканей

Метод магнитно-резонансной томографии широко используется для визуализации воспалительного процесса, аномалий развития и участков опухолевого роста, состояния хряща, связок и окружающих мышц и мягких тканей, а также скопления патологической жидкости внутри сустава. Однако данный метод не позволяет достоверно определить патологию плотных тканей. Поэтому, при подозрении на поражение кости лучше провести рентгенологическое исследование или компьютерную томографию.
МРТ коленного сустава в настоящее время является высокоинформативным методом диагностики при подозрении на повреждение менисков и других патологических процессах в костной и хрящевой ткани, в связках, в сухожилиях и мышцах. Исследование проводится в любой необходимой проекции: аксиальной, сагиттальной, фронтальной, косых.
Магнитно-резонансная томография коленного сустава хорошо диагностирует:
• полный или частичный разрыв менисков;
• повреждение и разрыв внутренних передней и задней крестообразных связок, наружной и внутренней коллатеральных связок, связок надколенника;
• повреждение сухожилий (чаще всего-сухожилие четырехглавой мышцы бедра), хронические воспаления сухожилий (тендиниты);
• артрозы, артриты коленного сустава, образования (опухоли), скопления патологической жидкости в суставной сумке (крови, изменённой синовиальной жидкости).
При подозрении на наличие внутрисуставной опухоли исследование проводится с контрастированием.
МРТ тазобедренного сустава – один из самых важных методов исследования, применяемых для диагностики целого ряда заболеваний как дегенеративно-воспалительного, так и травматологического характера.
МРТ тазобедренного сустава позволяет определить:
• Травматические изменения: подозрение на перелом, вывих или повреждение хрящевой ткани, мышц и связок области сустава.
• Воспалительные заболевания (болезнь Рейтера, ревматические заболевания и др.).
• Первичный и вторичный деформирующий остеоартроз (коксартроз).
• Асептический остеонекроз головки бедренной кости.
• Ювенильный артрит.
• Опухолевые поражения.
МРТ плечевого сустава – этот современный метод диагностики является одним из часто применяемых для определения заболеваний плечевого сустава и окружающих мягких тканей. Обычно травматологи назначают данное обследование для уточнения диагноза, контроля динамики течения заболевания и, самое главное, для выбора тактики лечения (оперативного или терапевтического).
Этот метод предпочтителен при подозрении на:
• Привычный вывих плеча;
• Ущемление нервов и сухожилий плеча;
• Разрыв капсулы сустава;
• Разрыв манжеты вращающих плечо мышц;
• Хронические артриты, артрозы, тендиты, синовиты;
• Опухоли, дегенеративные процессы;
• Травмы, повреждения, разрывы связок, мышечных волокон, сухожилий;
Метод магнитно-резонансной томографии дает подробное представление о структуре и строении фасций, поперечно-полосатых и гладких мышцах, синовиальной ткани, нервов, сухожилий, соединительной ткани, клетчатки.
Благодаря МРТ-исследованию можно диагностировать:
• Воспалительные изменения (миозиты, абсцессы, флегмоны);
• Различные варианты травматического повреждения (контузии мышц, растяжения, повреждения сухожилий, а также степени данного повреждения (отек, частичный или полный разрыв);
• Различные виды посттравматических изменений (участки фиброза и жировой атрофии, рубцово-атрофические изменения, свежие или образовавшиеся гематомы);
• Объемные образования мышечной ткани;
• Системные заболевания, вовлекающие мышечные ткани.
Ультрасонография и магнитно-резонансная томография связок локтевого сустава: сравнительное исследование
Авторы: Aureliano Torquato Brandão, Edson Amaro, Junior, Miguel José Francisco, Neto, Rubens Mitsuo Tanaka, Durval do Carmo Barros Santos, Frederico Celestino Miranda, Antonio Rahal, Junior, и Laercio Alberto Rosemberg
Введение
Магнитно-резонансная томография (МРТ) в настоящее время является наиболее популярным методом визуализации для оценки связок. Превосходное пространственное разрешение и высокая воспроизводимость, позволяющие проводить точную дифференциацию между кольцевыми, радиальными коллатеральными и передними и задними медиальной и латеральной локтевыми коллатеральными связками, делают МРТ способом визуализации, выбранным для оценки связок локтевого сустава.
Ультразвуковая (УЗИ) визуализация связок локтя редко требуется, а соответствующие исследования редки. Связки выглядят как линейные структуры с регулярным контуром и сходной морфологией, эхогенностью и эхотекстурой с сухожилиями.
Высокое пространственное разрешение, высокая чувствительность и специфичность, удобное позиционирование пациента, динамические маневры во время обследования, высокие показатели повторяемости при достижении правильного понимания анатомии и техники, а также легкость доступа, способствуют популярности использования УЗИ для визуализации связок локтя.
Методы
В этом исследовании приняли участие 30 добровольцев, у которых в анамнезе не было изменений связок или клинических жалоб, связанных с локтевым суставом. Участники были должным образом проинформированы экспертами об особенностях и целях исследования и подписали форму информированного согласия. Это исследование было одобрено Исследовательским комитетом по этике госпиталя Израиля им. Альберта Эйнштейна
Ультразвуковые исследования проводились с использованием специального протокола и специального оборудования; использовался алгоритм для уменьшения шумов и дезорганизации, связанных с разрывом изображения, а также для улучшения контрастного разрешения и различия границ.
Были использованы высокочастотные линейные датчики, идеально подходящие для визуализации поверхностных структур и ультразвуковых частот в диапазоне от 5 до 12 МГц.
Анализ ультразвукового изображения проводился двумя опытными рентгенологами (17 и 20 лет на практике, соответственно) со специальной подготовкой в области опорно-двигательных УЗИ.
Правый и левый локти каждого участника были изображены отдельными экспертами.
Таким образом, выборка включала 60 локтей (120 исследований на методику визуализации); На один локоть было визуализировано 5 связок, всего 1200 оценок связок.
Магнитно-резонансная томография выполнялась с использованием системы 3-Тесла (Tim Trio, Siemens®, Erlanger, Germany). Осевые, корональные и сагиттальные изображения толщиной 3,0 мм были получены в последовательностях, взвешенных по плотности протонов (повторение по времени – TR, 2300 мс; временное эхо – TE, 30 мс) с размером матрицы 640 × 640 и полем зрения 1,817 × 902 (FOV). Изображения были получены с использованием специальной локтевой катушки с суставом в центральном положении.
Магнитно-резонансная томография была проанализирована двумя опытными рентгенологами (20 и 7 лет на практике соответственно) со специальной подготовкой в области скелетно-мышечной визуализации.
Перед исследованиями врачи были проинструктированы о критериях, которые будут использоваться в этом исследовании. Целостность связки определяли следующим образом: идентификация отдельных связок и соответствующих мест прикрепления, постоянной шириной и однородностью продольных волокон.
Связки были измерены в 1/4, 2/4 и 3/4 сегментах. При анализе целевых связок врачам было поручено заполнить электронную таблицу на основе системы оценки от 0 до 5 следующим образом:
- 0 связка не идентифицирована;
- 1 визуализация связок
- 2 визуализация связок = 50%;
- 3 визуализация связок> 50%;
- 4 визуализация всей связки без идентификации мест прикрепления,
- 5 визуализация всей связки и мест прикрепления.
Полученные результаты
Врачи смогли идентифицировать все связки, используя УЗИ. Всего было исследовано 600 связок (120 исследований в УЗИ; 300 связок исследовано в 60 исследованиях, выполненных экзаменатором А, и 300 связок – в 60 исследованиях, проведенных экзаменатором В). Из них 590 (98,3%) получили 5 баллов и только 10 (1,6%) получили 4 балла. Все связки были описаны как неповрежденные обоими экспертами в УЗИ.
Врачи смогли идентифицировать все связки с помощью МРТ. Баллы 5 были присвоены всем исследованным связкам на основе критериев видимости. Все связки были описаны как неповрежденные обоими исследователями МРТ.
Рисунок 1 : Кольцевая связка (красные стрелки) левого локтя. (A) Ультразвуковое изображение. Отметьте положение датчика (верхний правый угол); (B) Осевое магнитно-резонансное изображение: кольцевая связка и соответствующие места прикрепления на медиальном и латеральном аспекте локтевого отростка.
Рисунок 2 : Латеральная радиальная коллатеральная связка (голубые стрелки). (A) Ультразвуковое изображение. Обратите внимание на положение датчика (верхний правый угол) и прикрепление на латеральном эпикондиле (синие стрелки) и латеральный аспект кольцевой связки (синие изогнутые стрелки); (B) Осевое магнитно-резонансное изображение. Срединные и дистальные участки прикрепления (на кольцевой связке) латеральной лучевой коллатеральной связки (синие стрелки).
УЗИ и МРТ были эквивалентными методами визуализации для оценки локтевых связок в руках опытных экспертов и специалистов. Воспроизводимость качественных и количественных результатов УЗИ локтевых связок, выполненной двумя опытными экспертами, составила 97,8%, как показано на рисунках 1–3.
Рисунок 3 : Задние волокна медиальной локтевой коллатеральной связки (зеленые стрелки) и соответствующие прикрепления на задне-медиальной области медиального аспекта локтевого отростка и медиального эпикондиля. (A) Ультразвуковое изображение. Отметьте положение датчика (верхний правый угол); (B) Осевое магнитно-резонансное изображение.
Воспроизводимость качественных и количественных результатов МРТ локтевых связок, выполненных двумя опытными экспертами, составила 99,0%.
УЗИ и результаты МРТ локтевых связок существенно не отличались в этом эксперименте. Изображения, полученные с использованием любого метода визуализации, были одинаково точными с качественной и количественной точек зрения.
Сонографическая идентификация связок локтя была неожиданно легкой с самого начала, несмотря на прогрессивное улучшение с увеличением опыта (т. е. увеличилось количество выполненных исследований). Целостность связок может быть надежно подтверждена во всех проведенных УЗИ. Кроме того, все связки могут быть точно определены и измерены. Баллы, присвоенные экзаменаторами A и B, отличались минимально и несущественно. Считалось, что различия между экспертами отражают естественные различия между профессионалами.
Сонографический анализ в этом исследовании подвержен критике из-за трудностей, связанных с интерпретацией изображений в УЗИ, которые могут отражать легкие недостатки записанного материала или возможные незаписанные участки связки. Следует также учитывать сомнения (со стороны независимых экспертов) относительно надлежащей глубины для получения изображения и, как следствие, путаницы в разграничении волокон в некоторых случаях (поверхностных или глубоких).
Таким образом, для того, чтобы избежать неточных результатов, несовместимых с данными МРТ, необходимо проводить ультразвуковую визуализацию связок локтевого сустава опытными специалистами в области рентгенологии.
Параметры целостности связок являются еще одним важным моментом, касающимся применения статистического анализа. Ширина связки является основным критерием при определении целостности связки, и статистические расчеты считаются полезными и обоснованными. Что касается эхогенности, то неповрежденные связки обычно присутствуют с однородной эхогенностью и сигналом. Несмотря на прямое соответствие между методами, эти особенности не стратифицированы. Эхогенность и сигнал могут быть классифицированы как гомогенные или гетерогенные. Учитывая, что все изображенные связки были описаны как однородные, статистический анализ этой переменной не требовался.
Сходные количественные результаты исследований в УЗД и МРТ приводят оба метода визуализации к одному и тому же уровню. Следовательно, помимо МРТ – хорошо зарекомендовавшего себя инструмента для оценки локтевых связок – у нас теперь есть УЗИ, предлагающее врачам две надежные альтернативы диагностической визуализации.
Это исследование подчеркивает ценность УЗИ как практического и эффективного метода радиологической визуализации.
Широкая доступность, мультипланарная и динамическая визуализация являются дополнительными преимуществами УЗИ по сравнению с МРТ. Ценность УЗИ в условиях, где МРТ недоступна, или у пациентов, у которых нет доступа к МРТ, переоценить невозможно.
Результаты этого исследования также актуальны с точки зрения обучения. Ультрасонография может способствовать пониманию анатомии связок и суставов.
ПРАВИЛЬНО ЛИ ВЫ УХАЖИВАЕТЕ ЗА УЗ-АППАРАТОМ?
Скачайте руководство по уходу прямо сейчас
Итог
Качественный и количественный анализ результатов УЗИ и магнитно-резонансной томографии, проведенный опытными экспертами, дал аналогичные результаты. Оба метода оказались очень точными для визуализации локтевого сустава, несмотря на текущий консенсус об абсолютном диагностическом превосходстве магнитно-резонансной томографии над другими методами визуализации, включая ультразвуковое исследование. Результаты этого исследования представляют сдвиг парадигмы и представляют более широкий спектр альтернатив для визуализации связок локтевого сустава. Ультрасонография обеспечивает уровень точности, аналогичный магнитно-резонансной томографии, в руках опытных экспертов.
Читайте также:
