Симптомы отогенного арахноидита. Отогенная гидроцефалия
Добавил пользователь Владимир З. Обновлено: 27.01.2026
Диагностика отогенного абсцесса мозжечка затруднительна в начальной стадии, когда мозжечковые симптомы не выражены, а общее состояние больного и местные воспалительные явления в височной кости маскируют признаки начинающегося отогенного абсцесса мозжечка. Как правило, диагноз отогенного абсцесса мозжечка устанавливают в периоде разгара на основании наличия триады - головокружение, спонтанный нистагм, косоглазие в сочетании с характерными мозжечковыми симптомами.
В настоящее время основными инструментальными методами диагностики абсцесса головного мозга являются МРТ и КТ, которые обладают высокой разрешающей способностью в отношении определения локализации, размеров и структуры абсцесса, например плотности его капсулы или содержимого его полости. При отсутствии этих методов применяют обзорное и томографическое рентгенологическое исследование черепа и головного мозга, рентгенографию височных костей по Шюллеру, Майеру и Стенверсу, а также некоторые аксиальные проекции, позволяющие оценить состояние базальных отделов черепа и головного мозга. Возможно применение и других методов исследования головного мозга, таких как ЭЭГ, УЗ-диагностика, реоэнцефалография, ангиография, вентрикулография, однако с введением в практику МРТ и КТ эти методы сохранили за собой лишь вспомогательные функции.
Дифференциальную диагностику проводят между абсцессом височной доли, лабиринтитом, эмпиемой эндолимфатического мешка (так называемым ретролабиринтным абсцессом и отогенной гидроцефалией:
при лабиринтите отсутствуют признаки повышения внутричерепного давления и изменения в спинно-мозговой жидкости, но присутствуют яркие признаки периферического поражения вестибулярного аппарата (спонтанный нистагм, гармоническое нарушение указательных проб, латеропульсия и т. д.) и улитки (выраженная перцептивная тугоухость или глухота);
ретролабиринтный абсцесс, в сущности, является промежуточной стадией между лабиринтитом и отогенным абсцессом мозжечка, поэтому при нем могут присутствовать и признаки лабиринтита, и начальной стадии отогенного абсцесса мозжечка;
отогенная гидроцефалия характеризуется сочетанием хронического гнойного воспаления среднего уха, как правило, осложненного холестеатомой и кариесом кости, с приступообразными или постоянными сильными головными болями, сопровождающимися выраженными застойными явлениями на глазном дне; от абсцесса мозжечка отогенная гидроцефалия отличается отсутствием вынужденного положения головы (запрокидывание головы), менингеальных симптомов, нарушения сознания, характерных мозжечковых симптомов; при отогенной гидроцефалии наблюдается высокое ликворное давление (до 600 мм вод. ст.), содержание белка в спинно-мозговой жидкости нормальное или слегка понижено (0,33- 0,44 г/л), количество клеток в норме.
130. Отогенный арахноидит.
Арахноидит — это серозное воспаление паутинной оболочки головного или спинного мозга. Изолированного поражения паутинной оболочки головного или спинного мозга при арахноидите не бывает в связи с отсутствием в ней собственной сосудистой системы. Инфекция при арахноидите головного или спинного мозга переходит с твердой или мягкой мозговой оболочки. Арахноидит головного или спинного мозга можно характеризовать и как серозный менингит.Значительное отличие клиники и течения арахноидита от воспаления мозговых оболочек — менингита позволяет считать правильным выделение этой формы как самостоятельного заболевания.
Очаговые симптомы зависят от локализации арахноидита. Конвекситальные арахноидиты характеризуются большей частью преобладанием явлений раздражения головного мозга над признаками выпадения функций. Одним из ведущих симптомов являются генерализованные и джексоновские эпилептические припадки. При базальном арахноидите наблюдаются общемозговые симптомы и нарушения функций нервов, расположенных на основании черепа. Снижение остроты и изменение полей зрения могут выявляться при оптико-хиазмальном арахноидите. Клинические проявления и картина глазного дна могут напоминать симптомы неврита зрительного нерва. Эти проявления часто сопровождаются симптомами вегетативной дисфункции, резкий дермографизм, усиленный пиломоторный рефлекс, обильное потоотделение, акроцианоз, иногда жажда, усиленное мочеиспускание, гипергликемия, адипозогенитальное ожирение). В некоторых случаях может быть выявлено снижение обоняния. Арахноидит в области ножек мозга характеризуется появлением пирамидных симптомов, признаками поражения глазодвигательных нервов, менингеальными знаками. При арахноидите мостомозжечкового угла возникают головная боль в затылочной области, шум в ухе и приступообразное головокружение, иногда рвота. Больной пошатывается и падает в сторону поражения, особенно при попытке стоять на одной ноге. Отмечаются атактическая походка, горизонтальный нистагм, иногда пирамидные симптомы, расширение вен на глазном дне в результате нарушения венозного оттока.
Лечение: необходимо устранить источник инфекции (отит, синусит и др.). Назначают антибиотики в терапевтических дозах. Показаны десенсибилизирующие и антигистаминные препараты (димедрол, диазолин, супрастин, тавегил, пипольфен, хлорид кальция, гистаглобулин). Патогенетическая терапия рассчитана на длительное курсовое лечение рассасывающими средствами, нормализацию внутричерепного давления, улучшение мозгового кровообращения и метаболизма.
Симптомы отогенного арахноидита. Отогенная гидроцефалия
Симптомы отогенного арахноидита. Отогенная гидроцефалия
Симптоматология отогенного арахноидита зависит от характера причинного заболевания, формы поражения, течения процесса, участия в нем энцефалитического компонента и локализации патологических изменений. Симптомы арахноидита иногда непосредственно присоединяются к проявлениям острого или обостренного хронического отита. Иногда они выявляются вслед за ликвидацией клинической картины разлитого гнойного менингита.
В ряде случаев, наоборот, между исчезновением симптомов этого процесса и появлением арахноидита проходит большой промежуток времени. Однако даже остро развивающаяся картина арахноидита оказывается порой лишь обострением давно заглохшего, хронического процесса. Арахноидит может протекать и в острой, и в хронической форме с периодически повторяющимися обострениями или без них.
Общие и общемозговые симптомы при остром или обостренном хроническом арахноидите задней черепной ямки иногда напоминают картину разлитого лептоменингита, особенно при преобладании изменений в cisterna magna. На первый план выступают при этом явления внутричерепной гипертензии; резкая головная боль, преимущественно в затылочной области, рвота, головокружение, иногда брадикардия; нередко отмечаются застойные соски.
Пирамидные и очаговые симптомы при таком течении выражены слабее и имеют колеблющийся характер.
При подостром течении или нерезком обострении явления общей гипертензии выражены слабее, а превалируют очаговые симптомы, чаще всего указывающие на локализацию процесса в задней черепной ямке. Из черепномозговых нервовпри этом поражаются чаще других V, VI, VII и VIII пары, реже — IX и X, еще реже —III и IV.

Пирамидные симптомы гомолатерального характера встречаются редко. Среди поражений VIII пары нервов вестибулярные расстройства обычно преобладают над кохлеарными. Нередко наблюдается диссоциация вестибулярных проб, например выпадение калорической, при сохранности вращательной пробы. Довольно часто отмечается нистагм, направленный обычно в сторону поражения, как это наблюдала в 2 случаях К. А. Дреннова.
По В. О. Калине, спонтанный нистагм является непостоянным симптомом, меняющим иногда свое направление; чаще он наблюдал нистагм в обе стороны (у 18 из 35 больные), реже — только в больную сторону (у 3 больных). Нистагм «положения» наблюдается нечасто, но является зато очень важным признаком поражения задней черепной ямки. Очень часто отмечаются мозжечковые симптомы: атаксия, дисметрия, нарушение координации, гипотония.
Наряду с самым частым поражением области мосто-мозжечкового угла наблюдаются и более редкие локализации изменений в задней черепной ямке, сопровождающиеся несколько отличной симптоматикой. При изменениях во внутреннем слуховом проходе возникает картина поражения VIII пары нервов без явлений гипертензии. Предпонтинные арахноидиты могут сопровождаться двусторонним мозжечковым синдромом и поражением V нерва; латеро-бульбарные — мозжечковым синдромом с поражением задних пар нервов на больной стороне и повышенным внутричерепным давлением; арахноидиты области заднего рваного отверстия — поражением IX, X и XI нервов.
При отогенной гидроцефалии преобладает резкое повышение внутричерепного давления при нормальном составе ликвора или даже «разжиженности» его. При окклюзионной гидроцефалии, возникающей в результате закрытия отверстий Люшка и Мажанди, развивается гипертензия, возникают нарушения психики, вестибулярные расстройства и иногда эпилептиформные припадки.
При общей гидроцефалии быстро нарастает давление, появляются застойные соски, понижается зрение. Общая гидроцефалия протекает вначале с картиной кризов, сопровождаясь светлыми промежутками. Позднее симптомы стабилизируются и нарастают. Состояние больного ухудшается, он худеет, иногда повышается температура. Смерть наступает при переходе процесса на продолговатый мозг. Гидроцефалия большой цистерны сопровождается ригидностью затылочных мышц, головокружением, амблиопией; позднее развиваются бульбарные явления.
При более редких арахноидитах в средней ямке наряду с гипертензиеи и застойными сосками нередко возникают эпилептиформные припадки. В. О. Калина наблюдал больного с центральным парезом VII нерва, симптомом Оппенгейма, гиперальгезией на стороне поражения и повышением сухожильных рефлексов на противоположной.
Информация на сайте подлежит консультации лечащим врачом и не заменяет очной консультации с ним.
См. подробнее в пользовательском соглашении.
Лечение арахноидита
Если происходит воспаление паутинной оболочки спинного или головного мозга, то устанавливается диагноз «арахноидит». Симптомы этого заболевания могут быть схожи с проявлениями астении, поэтому важно провести грамотную диагностику, чтобы выяснить истинную причину проблем со здоровьем.
Признаки арахноидита
Как именно себя будет проявлять арахноидит, зависит от локализации воспаления. В любом случае, в обязательном порядке развиваются общемозговые симптомы или некоторые из них:
- Резкая головная боль, которая особенно нестерпимой становится после натуживания , при физических нагрузках, во время кашля или по утрам.
- Повышается давление внутри черепа, что сопровождается ощущением сдавливания глаз и болями при их движении.
- Шумы в ушах, ослабление слуха, головокружения.
Больного беспокоят еще и очаговые симптомы, которые зависят от пораженного участка мозга:
- Базилярный арахноидит – расстройства памяти и внимания, ухудшение умственных способностей.
- Конвекситальный арахноидит – нарушения моторики конечностей и чувствительности, приступы эпилепсии.
- Поражение задней черепной ямки – симптоматика невралгии тройничного нерва, неврита лицевого нерва, сбои в координации.
Как быстро проявятся первые симптомы, будет зависеть от причины развития воспаления. Например, арахноидит в результате полученной травмы головы развивается в течение одного-двух часов. Если же человек перенес грипп или какой-то другой вирус, то первые признаки начнут беспокоить больного через промежуток от трех месяцев до года.
Какими причинами провоцируется
Болезнь чаще всего вызвана инфекциями – корью, ветряной оспой, гриппом, менингоэнцефалитом и пр. В числе других причин могут стать и прочие факторы:
- интоксикация организма, протекающая хронически (алкогольная, наркотическая и пр.);
- воспаление растущей опухоли;
- воспаления пазух носа;
- гнойный отит – как острый, так и хронический, а также его осложнения;
- травмы головы;
- хроническое переутомление.
Иногда даже неблагоприятный климат, тяжелый труд или частые простуды могут стать теми факторами, которые спровоцируют арахноидит.
Особенности диагностики арахноидита
Обследование включает анализ клинических признаков и анамнеза больного, исследование его неврологического статуса. Иногда невролог нуждается в консультации отоларинголога или офтальмолога, чтобы дифференцировать заболевание от проблем с ЛОР-органами или ушами.
Самыми лучшими методами диагностики являются КТ головного мозга и МРТ . Может потребоваться люмбальная пункция. Эхо-энцефалография, электроэнцефалография и рентгенография черепа не такие информативные, но могут помочь в диагностике.
Лечение арахноидита в Липецке
При арахноидите применяется медикаментозное лечение, направленное на ликвидацию источника инфекции, нормализацию кровообращения и внутричерепного давления, устранение других проявлений болезни. Возможно хирургическое вмешательство, если препараты не помогли и заболевание продолжает ухудшать состояние больного.
С любыми проблемами неврологического характера пациенты могут обращаться в наш современный центр. Опытные и грамотные неврологи в лице Анапреенко Юрия Михайловича, Вороновой Екатерины Константиновны оказывают квалифицированную помощь всем нуждающимся в ней.
Арахноидит церебральный, оптико-хиазмальный, спинальный
Арахноидит — это серозное воспаление паутинной оболочки головного или спинного мозга. Изолированного поражения паутинной оболочки головного или спинного мозга при арахноидите не бывает в связи с отсутствием в ней собственной сосудистой системы. Инфекция при арахноидите головного или спинного мозга переходит с твердой или мягкой мозговой оболочки. Арахноидит головного или спинного мозга можно характеризовать и как серозный менингит.
Значительное отличие клиники и течения арахноидита от воспаления мозговых оболочек — менингита позволяет считать правильным выделение этой формы как самостоятельного заболевания.

Циркуляция спинномозговой жидкости (ликвора) по цистернам и арахноидальным пространствам оболочек головного мозга может нарушаться при арахноидите.
Причины возникновения арахноидита
Арахноидит возникает в результате перенесенных острых и хронических инфекций, воспалительных заболеваний придаточных пазух носа, хронических интоксикаций (алкоголь, свинец, мышьяк), травм (обычно в резидуальном периоде). Арахноидит может возникнуть также в результате реактивного воспаления при медленно растущих опухолях, энцефалите. Во многих случаях причина арахноидита остается невыясненной.
Морфологически при арахноидите определяются помутнение и утолщение паутинной оболочки, сопровождающееся в более тяжелых случаях и фибриноидными наложениями. В дальнейшем течении арахноидита возникают спайки между паутинной и сосудистой оболочкой, приводящие к нарушению циркуляции спинномозговой жидкости и образованию арахноидальных кист.
Арахноидит может возникать на почве острого или чаще хронического гнойного среднего отита (в результате маловирулентных микробов или токсинов), а также при осложнениях гнойного среднего отита — лабиринтите, петрозите, синустромбозе, как последствие излеченных гнойного менингита или абсцессов мозга и, наконец, может сочетаться с негнойным отогенным энцефалитом. Отогенный арахноидит в большинстве случаев локализуется в задней черепной ямке и значительно реже в средней. Течение арахноидита может быть острым, подострым и хроническим.
Арахноидиты делят на разлитые и ограниченные. Последние встречаются крайне редко. По существу речь идет о более грубых локальных изменениях на фоне разлитого процесса при арахноидите.
Нарушение нормальной циркуляции ликвора, приводящее к возникновению гидроцефалии, имеет в своей основе при арахноидите два механизма:
- нарушение оттока жидкости из желудочковой системы (окклюзионная гидроцефалия)
- нарушение всасывания жидкости через твердую мозговую оболочку при разлитом слипчивом процессе (арезорбтивная гидроцефалия)
Виды арахноидита
Арахноидит оболочек головного мозга (церебральный)
Церебральный арахноидит может локализоваться на наружной выпуклой (конвекситальной) поверхности мозга, его основании, в заднечерепной ямке. Клиническая картина арахноидита складывается из симптомов местного воздействия оболочечного поражения на мозг и расстройств ликвороциркуляции.
Частым проявлением церебральных арахноидитов являются головные боли гипертензивного или оболочечного характера.

Арахноидиты конвекситальной поверхности головного мозга
Арахноидиты конвекситальной поверхности головного мозга чаще встречаются в передних отделах больших полушарий, в области центральных извилин. В связи с давлением на моторные и чувствительные центры могут возникнуть расстройства движения (моно- или гемипарезы) и чувствительности. Раздражение, а в случаях образования кисты и сдавление коры и подлежащих отделов мозга при арахноидите вызывают фокальные эпилептические припадки.
В тяжелых случаях могут возникнуть генерализованные судорожные приступы вплоть до развития эпилептического статуса. Важное значение для выявления локализации очага арахноидита имеют электроэнцефалография и МРТ головного мозга.

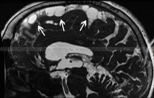
МРТ головного мозга в T2 режиме демонстрирует скопление спинномозговой жидкости в конвекситальном пространстве при церебральном арахноидите (указано стрелками).
Оптико-хиазмальный арахноидит
Чаще наблюдаются арахноидиты основания мозга. Наиболее частая локализация — хиазмальная область, что является причиной относительной частоты оптико-хиазмальных арахноидитов. Важность изучения этой формы арахноидита определяется вовлечением в процесс зрительных нервов и области их перекреста, что часто приводит к необратимой потере зрения. Среди этиологических факторов возникновения оптико-хиазмального арахноидита особое значение имеют инфекционные поражения придаточных пазух носа, ангина, сифилис, малярия, а также черепно-мозговая травма (сотрясение мозга, ушиб мозга).
В области хиазмы и внутричерепной части зрительных нервов при арахноидите образуются множественные спайки и кисты. В тяжелых случаях создается рубцовая оболочка вокруг хиазмы. Как правило, оптико-хиазмальный арахноидит не является строго локальным: менее интенсивные изменения обнаруживаются и в отдалении от основного очага. На зрительные нервы оказывают воздействие механические факторы (сдавление), а также переход на них воспалительного процесса и расстройство кровообращения (ишемия).

На зрительные нервы при оптико-хиазмальном арахноидите оказывают воздействие механические факторы (сдавление спайкам), а также переход на их миелиновую оболочку воспалительного процесса и расстройство кровообращения.
Оптико-хиазмальный арахноидит, как правило, развивается медленно. Сначала арахноидит захватывает один глаз, затем постепенно (через несколько недель или месяцев) вовлекается и другой. Медленное и часто одностороннее развитие оптико-хиазмального арахноидита помогает дифференцировать процесс от ретробульбарного неврита . Степень снижения зрения при оптико-хиазмальном арахноидите может быть различной — от понижения до полной слепоты. Часто в начале заболевания при оптико-хиазмальном арахноидите имеются боли кзади от глазных яблок.
Важнейшим подспорьем в диагностике оптико-хиазмального арахноидита является изучение полей зрения (периметрия) и глазного дна (офтальмоскопия). Поля зрения изменяются в зависимости от преимущественной локализации процесса. Наиболее типичны темпоральная гемианопсия (одно- или двусторонняя), наличие центральной скотомы (часто двусторонней), концентрическое сужение поля зрения.
Со стороны глазного дна в 60–65% случаев определяется атрофия зрительных нервов (первичная или вторичная, полная или частичная). У 10–13% заболевших обнаруживаются отёк дисков зрительных нервов. Проявления со стороны гипоталамической области, как правило, отсутствуют. Снимок турецкого седла также не выявляет патологии. При этой форме арахноидита основными являются очаговые (зрительные) симптомы, гипертензионные явления (внутричерепная гипертензия) выражены обычно умеренно.

Арахноидит оболочек головного мозга является следствием перенесённых травм или сопутствующих инфекционных заболеваний головного мозга и придаточных пазух носа.
Арахноидит задней черепной ямки
Арахноидит задней черепной ямки — наиболее часто встречающаяся форма среди церебральных арахноидитов. Клиническая картина арахноидита задней черепной ямки напоминает опухоли этой локализации и состоит из мозжечковых и стволовых симптомов. Поражение черепно-мозговых нервов (VIII, V и VII пар) наблюдается главным образом при локализации арахноидита в мостомозжечковом углу. Мозжечковые симптомы складываются из атаксии, асинергии адиадохокинеза. При этой локализации арахноидита выражены расстройства циркуляции ликвора.
Симптоматика арахноидита в задней черепной ямке зависит от характера процесса (спайки, киста), локализации, а также от сочетания арахноидита с гидроцефалией. Повышение внутричерепного давления при арахноидите может быть вызвано закрытием отверстий желудочков мозга (Люшка, Мажанди) за счет спаек, кист или как следствие раздражения мягких мозговых оболочек с гиперсекрецией ликвора (прежде всего в результате повышенной деятельности plexus chorioideus) и затруднением его абсорбции. При отсутствии резкого повышения внутричерепного давления арахноидит может длиться годами, с длительными ремиссиями. Нередко арахноидит протекает в виде арахноэнцефалита вследствие сопутствующих воспалительных изменений мозговой ткани и давления спаек, кист на мозг.
Острая форма арахноидита характеризуется главным образом симптомами повышения внутричерепного давления (резкая головная боль, преимущественно в области затылка, тошнота, рвота, головокружение, нередко застойные диски зрительных нервов, иногда брадикардия), пирамидные и очаговые симптомы часто отсутствуют или слабо выражены и непостоянны.
При подостром течении в неврологическом статусе на первый план выступают симптомы поражения задней черепной ямки (чаще всего мосто-мозжечкового пространства — боковой цистерны моста). Симптомы повышенного внутричерепного давления хотя и имеют место, но выражены меньше, а изредка почти и не определяются. Отмечаются парезы черепных нервов (V, VI, VII, VIII, реже IX и X и еще реже III и IV), чаще всего VIII пары, причем преобладают нарушения вестибулярной функции в сочетании с мозжечковыми симптомами.
Наряду с неустойчивостью в позе Ромберга — отклонением или падением в сторону пораженного уха, шаткой походкой, нарушениями указательной и пальце-носовой проб, адиадохокинезом, непостоянным спонтанным нистагмом (направленным в сторону больного уха или двусторонним) — отмечается частая дисгармоничность вестибулярных проб (например, выпадение калорической реакции при сохраненной вращательной). Иногда отмечается перемена направления нистагма, нистагм положения. Не все компоненты этого вестибуло-мозгового синдрома постоянны и четко выражены. Редки гомолатеральные пирамидные знаки и еще более редки гемипарезы конечностей. В ликворе изменения обычно сводятся к повышенному давлению, иногда слабо выраженному. Редко отмечается умеренный плеоцитоз или повышение содержания белка.
Весьма редко встречается арахноидит с другими локализациями в задней черепной ямке. Это изолированное поражение преддверноулиткового нерва во внутреннем слуховом проходе, без явлений гипертензии, предпонтинный арахноидит и арахноидит полушарий мозжечка с нарушениями статики и скудными мозжечковыми симптомами, с поражением тройничного нерва (предпонтинная форма), предмозжечковый арахноидит (передней поверхности одной из долей мозжечка) с частичной мозжечковой симптоматикой, лабиринтными явлениями, невозбудимостью при калорической и пониженной возбудимостью при вращательной пробе, латеробульбарный арахноидит с гипертензией, мозжечковым синдромом и поражением IX, X, XI черепных нервов (гомолатеральным), арахноидит заднего рваного отверстия с поражением IX, X и XI черепных нервов.
При отогенной гидроцефалии задней черепной ямки преобладают симптомы повышенного внутричерепного давления, при нормальном ликворе или «разжижении» его (бедность белками) при окклюзии отверстий Люшка и Мажанди гипертензия сочетается с психическими нарушениями, вестибулярными расстройствами, иногда эпилептиформными приступами.
При общей гидроцефалии со скоплением большого количества ликвора внутричерепное давление быстро повышается, появляются застойные соски зрительных нервов, понижается острота зрения. Такие кризы постепенно стабилизируются (несмотря на желудочковые и люмбальные пункции) и, если вовлекается продолговатый мозг, больной погибает.
Для дифференциальной диагностики с абсцессом мозга (мозжечка), опухолью мозга имеют значение клиническое течение, данные исследования ликвора. Все виды пневмографии при выраженном повышении внутричерепного давления противопоказаны.
При арахноидите задней черепной ямки быстро развивается картина окклюзионной гидроцефалии, клинически проявляющаяся головной болью, рвотой, головокружением. На глазном дне застойные соски зрительного нерва. В спинномозговой жидкости картина негрубой белково-клеточной диссоциации. На рентгенограмме черепа при арахноидите задней черепной ямки видны гипертензивные явления.
Тяжелым осложнением арахноидита задней черепной ямки является возникновение приступа острой окклюзии с вклиниванием миндалин мозжечка в большое затылочное отверстие, сдавливающих ствол мозга. Арахноидит задней черепной ямки может быть причиной и плохо поддающейся лечению невралгии тройничного нерва.
Арахноидит оболочек спинного мозга (спинальный)
Арахноидиты спинальные, помимо указанных выше причин, могут возникнуть при фурункулезе, гнойных абсцессах различной локализации. Клиническая картина кистозного ограниченного спинального арахноидита очень напоминает симптоматику экстрамедуллярной опухоли. Имеются корешковый синдром на уровне патологического процесса и проводниковые расстройства (двигательные и чувствительные). Арахноидит чаще локализуется по задней поверхности спинного мозга, на уровне грудных, поясничных сегментов, а также в области конского хвоста. Процесс распространяется обычно на несколько корешков, отличается изменчивостью нижней границы расстройств чувствительности.
В спинномозговой жидкости белково-клеточная диссоциация. Плеоцитоз встречается редко. Характерны миелографические данные — контрастное вещество задерживается в виде капель в области арахноидальных кист. Реже встречается диффузный спинальный арахноидит, вовлекающий в процесс большое количество корешков, но менее четко проявляющийся проводниковыми расстройствами. Спинальный арахноидит носит хронический характер.
Диагностика арахноидита
В диагностике арахноидита, помимо клинических и анамнестических данных, применяются и дополнительные методы исследований, в ocoбенности контрастная рентгенография и магнитно-резонансная томография головного или спинного мозга. При арахноидите выпуклой поверхности пневмоэнцефалография позволяет выявить как участки субарахноидального пространства, не проходимые для воздуха и жидкости, так и расширенные участки.
Магнитно-резонансная томография (МРТ) проводится при подозрении на арахноидит паутинной оболочки головного мозга.
Наряду с этим на стороне поражения арахноидитом иногда отмечается подтянутость боковых желудочков к коре и, таким образом, асимметрия и деформация желудочковой системы.
- При арахноидите основания мозга большое значение имеет обычная краниография, позволяющая во многих случаях установить гипертензионные проявления (пальцевые вдавления, усиление сосудистого рисунка, изменение формы турецкого седла и т. д.).
- Важное значение имеет исследование спинномозговой жидкости, позволяющее уточнить степень гидроцефалии, а также наличие ликвородинамического блока в субарахноидальном пространстве. Воспалительные изменения (плеоцитоз), как правило, не выражены. имеет значение при локализации очага на выпуклой поверхности мозга (при очаговом кистозном процессе картина электроэнцефалограммы (ЭЭГ) близка к таковой при опухолях, однако чаще фиксируются диффузные изменения).
- Трудно переоценить значение исследования глазного дна и поля зрения при оптико-хиазмальных арахноидитах и при арахноидите заднечерепной ямки.
- Для диагностики спинальных арахноидитов важна миелография. Наибольшие трудности представляет отличие ограниченного арахноидита от опухоли.
- При арахноидите проводится МРТ головного или МРТ спинного мозга в режиме миелографии для уточнения локализации процесса и степени вовлечённости мозговой ткани и черепно-мозговых и спинальных нервов.
Необходимо при диагностике арахноидита принимать во внимание наличие в анамнезе острой и хронической инфекции, травмы, реже встречающиеся и менее интенсивные изменения на глазном дне и рентгенограмме черепа, течение процесса (непрерывное и с ремиссиями). При опухолях в области хиазмы больше, чем при арахноидите, выражены гипофизарномежуточные и другие неврологические симптомы. При опухолях задней черепной ямки и спинного мозга имеются более грубые проводниковые расстройства.

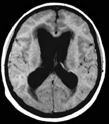
Увеличенные боковые желудочке на МРТ головного мозга при гидроцефалии с арахноидитом оболочек головного мозга.
Лечение арахноидита
При лечении арахноидита применяется консервативное и хирургическое лечение. Срочное хирургическое вмешательство необходимо при прогрессирующем падении зрения (разрыв и удаление спаек и кист в области хиазмы), для устранения окклюзии при арахноидите заднечерепной ямки. Хирургическое лечение применяется также при ограниченных спинальных арахноидитах и арахноидитах выпуклой поверхности мозга. Одним из методов хирургического лечения спинального арахноидита является эпидуроскопия.
Пневмоэнцефалография имеет в ряде случаев не только диагностическое, но и терапевтическое значение. Введенный воздух может разрывать спайки и тем самым устранять ряд симптомов (головные боли, эпилептические фокальные припадки, миоклонии).
Консервативное лечение арахноидита оболочек головного мозга складывается из применения медикаментов:
- антибиотиков (пенициллин, стрептомицин)
- уротропина
- йодистых препаратов и других рассасывающих средтсв
- противосудорожных средств
Рентгенотерапию назначают при диффузных арахноидитах оболочек головного мозга, при спинальных арахноидитах — физиотерапию, радоновые и сероводородные ванны, грязевые аппликации.
Прогноз благоприятен для жизни. При своевременном хирургическом лечении удовлетворительно восстанавливаются нарушения, вызванные ограниченным арахноидитом оболочек головного мозга. Хуже поддаются лечению диффузные арахноидиты оболочек головного мозга. Опасны арахноидиты оболочек головного мозга заднечерепной ямки могущие вызвать острый приступ окклюзии.
Отогенные вhутричерепhые осложнения

Единственный в мире Музей Смайликов
Самая яркая достопримечательность Крыма
СОДЕРЖАТЕЛЬНЫЙ МОДУЛЬ 2
ПРАКТИЧЕСКОЕ ЗАНЯТИЕ №9
ТЕМА: ОТОГЕННЫЕ ВHУТРИЧЕРЕПHЫЕ ОСЛОЖНЕНИЯ
Теоретические вопросы для внеаудиторного самостоятельного изучения и обсуждения к практическому занятию №9
1. Анатомо-топографические предпосылки перехода воспалительного процесса с височной кости на полость черепа (пути распространения инфекции со среднего и внутреннего уха в полость черепа).
2. Отогенные менингиты: классификация, диагностика, лечение (хирургическое, консервативное).
3. Экстрадуральный и субдуральный абсцессы: диагностика, лечение.
4. Абсцессы височной доли мозга и мозжечка: диагностика (группы симптомов), лечение.
5. Дополнительные методы обследования при отогенных внутричерепных осложнениях (рентгенография, КТ, эхоенцефалография, люмбальная пункция, ангиография, пневмо- и вентрикулография).
6. Синустромбоз и сепсис: диагностика, лечение.
7. Арахноидит задней черепной ямки: симптоматика, диагностика, лечение.
8. Показание к общеполостной и простой трепанации (антромастоидотомия) височной кости при внутричерепных осложнениях.
Основная литература:
1. Заболотный А.И., Митин Ю.В., Драгомирецкий В.А. Оториноларингология. К., 1999. С.160-177.
2. Курдова З.И. Диагностика внутричерепных осложнений. Г., 1966.
3. Пальчун В.Т., Преображенский H.А. Болезни уха, горла, носа.1978.- С. 373-396.
Дополнительная литература:
1. Пальчун В.Т., Преображенский H.А. Hеврологические осложнения в оториноларингологии. Г., 1977.
2. Пальчун В.Т., Крюков А.И. Оториноларингология. Г., 1997.С. 411-433.
3. Лайко А.А. Hевiдкладна допомога в дитячiй оториноларингологiї. К., 1998, С. 141-152.
Распределение баллов, которые может получить студент
При усвоении темы №9 из содержательного модуля №2 за учебную деятельность студенту выставляется оценка по 4-х балльной (традиционной) шкале, которая потом конвертируется в баллы следующим образом:
Оценка | Баллы |
“5” | 6 баллов |
“4” | 4 балла |
“3” | 2 балла |
“2” | 0 баллов |
СОДЕРЖАТЕЛЬНЫЙ МОДУЛЬ 2
ПРАКТИЧЕСКОЕ ЗАНЯТИЕ №8
Тема: Экстрадуральный, субдуральный, внутримозговой абсцесс височной доли мозга, абсцесс мозжечка, тромбоз сигмовидного синуса, менингит, арахноидит, отогенная гидроцефалия.
I Актуальность темы:
Выучить методы обследования больных с отогенными внутричерепными осложнениями. (?=III).
Научиться устанавливать предварительный диагноз (?=III).
Проводить диффдиагностику и определять рациональную лечебную тактику (?=III).
IV Обеспечение исходного уровня знаний-умений
Основная литература:
1. Заболотний А.I., Мiтiн Ю.В., Драгомирецький В.А. Оториноларингологiя. К., 1999.
2. Курдова З.И. Диагностика внутричерепных осложнений. Г., 1966.
Пальчун В.Т., Преображенский H.А. Hеврологические осложнения в
2. Пальчун В.Т., Крюков А.И. Оториноларингология. Г., 1997.С. 411-433.
3. Лайко А.А. Hевiдкладна допомога в дитячiй оториноларингологiи. К., 1998, С.
141-152.
Тесты и задачи для проверки исходного уровня знаний
Что следует отнести к общеинфекционными симптомам отогенных внутричерепных осложнений?
в) температурная реакция, бактериемия.
Что следует отнести к общемозговым симптомам отогенных внутричерепных осложнений?
б) гипертензивный синдром
в) дислокационный синдром
Что следует отнести к менингеальному симптомокомплексу?
б) гипертензивный синдром и менингеальные знаки
в) менингиальные признаки и воспалительные изменения в ликворе
Что следует отнести к менингеальным признакам?
б) симптомы Бабинского и Россолимо
в) симптом Гордона
Какие современные и наиболее информативные исследовательские приемы при абсцессах мозга Вам известные?
б) компьютерная и магнитно-резонансная томография
в) электроэнцефалография и нистагмография
Какие операции делают на среднем ухе при остром среднем гнойном отите, осложненном мастоидитом и абсцессом мозга?
б) расширенную общеполостную операцию
в) расширенную антромастоидотомию
Какие операции делают на среднем ухе при хроническом среднем гнойном отите, осложненном мастоидитом и абсцессом мозга?
б) общеполостную операцию
в) расширенную антромастоидотомию
Какие изменения в ликворе происходят при отогенном менингите?
б) повышение количества протеинов и уменьшение лейкоцитов
в) повышение давления, количества лейкоцитов и протеинов
9. Чем отличается менингит от менингизма?
а) наличием очаговой симптоматики
б) наличием протеино-клеточной диссоциации
в) наличием общих изменений в ликворе, кроме менингеальных знаков
10. Что следует отнести к очаговым симптомам абсцесса височной доли мозга?
а) афазия, гемианопсия, височная атаксия
б) афазия, нистагм, адиадохокинез
в) «мозговая» рвота, височная атаксия, нистагм
11. Из чего составляется гипертензивный синдром при внутричерепных
а) менингеальные признаки, гемипарезы
б) головные боли, рвота, брадикардия, застойные явления на глазном дне
в) рвота, нистагм, нарушение походки
12. Какими путями из внутреннего уха распространяется инфекция в полость
а) через окна лабиринта
в) через внутренний слуховой проход и водопровод завитка
13. Укажите клинические стадии абсцесса мозга:
а) начальная, латентная, явная, терминальная
б) начальная, менингеальная, общемозговая
в) общемозговая, менингеальная, терминальная
14. Какими путями инфекция из среднего уха распространяется в полость черепа?
а) лабиринтным, преформированным, через дегисценции
б) контактным, гематогенным, преформированным, через дегисценции
в) лабиринтным, тубарным, контактным, гематогенным
15. Что следует отнести к местным симптомам тромбоза сигмовидного синуса?
а) симптомы Россолимо, Уайтинга, Брудзинского
б) симптомы Брудзинского, Кернига, Фосса
в) симптомы Уайтинга, Фосса, Гризингера
16. Какие наиболее эффективные средства дезинтоксикации при внутричерепных осложнениях?
а) гемосорбция, энтеросорбция, внутривенное введение гемодеза
б) гемосорбция и внутривенное введение магния сульфата
в) внутривенное введение гемодеза, витаминов и антибиотиков
17. Какие основные клинические варианты сепсиса различают?
а) септицемия, септикопиемия, зерзиз иепиа
б) гнойно-резорбтивная лихорадка, септицемия и септикопиемия
в) септицемия и общемозговой синдром
18. Какие антибиотики хорошо проникают через гематоэнцефалический барьер?
19. Какое лекарство хорошо использовать при внутричерепных осложнениях с целью дегидратации?
а) глюкоза 5 % и гемодез
б) глюкоза 40 % и фуросемид
в) глюкоза 20 % и реополиглюкин
20. Какие операции используют при отогенных тромбозах внутренней яремной вены?
а) антромастоидотомию, радикальную операцию уха, операцию Фосса, Войно-Ясенецкого и Грунерта
б) антромастоидотомию, тимпанопластику
в) радикальную операцию, лабиринтотомию, тимпанопластику
II. Найдите все правильные ответы на вопрос.
1.Из каких групп симптомов составляется клиника отогенных внутричерепных осложнений?
2. Укажите клинические стадии абсцесса мозга:
3. Отыщите все возможные пути распространения инфекции из среднего и внутреннего уха в полость черепа:
а) лабиринтогенный путь
б) преформированный путь
в) контактный путь
г) через дегисценции
д) гематогенный путь
е) лимфогенный путь
є) травматический путь
ж) через окна лабиринта
4. Назовите менингеальные знаки:
а) симптом Бабинского
б) симптом Кернига
в) ригидность затылочных мышц
5. Назовите местные симптомы тромбоза сигмовидного синуса:
а) симптом Гризингера
б) симптом Уайтинга
в) симптом Фосса
г) симптом Квекенштедта
д) симптом Россолимо
6. Назовите группы симптомов при тромбозах мозговых синусов:
7. Из раскрытия каких структур состоит распространенная общеполостная операция среднего уха?
в) сосцевидного отростка
г) барабанной полости
д) полости черепа
8. Какие оболочки мозга поражаются при отогенном лептоменингите?
а) паутинная оболочка
б) мягкая оболочка мозга
в) твердая оболочка мозга
9. Какие оболочки мозга поражаються при отогенном пахименингите?
а) твердая оболочка мозга
б) мягкая оболочка мозга
10. Какие виды консервативной терапии проводятся при внутричерепных осложнениях?
г) неспецифичная гипосенсибилизация
д) цитостатическая
11. Какие виды обезболивания используются при оперативном лечении внутричерепных осложнений?
а) эпидуральная анестезия
в) местная анестезия с премедикацией
12. Какие изменения характерны для симптома Гризингера?
а) изменение цвета кожи сосцевидной области
б) болезненность мягких тканей заднего края сосцевидного отростка
в) припухлость мягких тканей заднего края сосцевидного отростка
13. Какие симптомы следует отнести к общеинфекционным при отогенных внутричерепных осложнениях?
а) ригидность затылочных мышц
б) температурная реакция
г) повышение СОЭ
14. Какие симптомы следует отнести к общемозговым при отогенных внутричерепных осложнениях?
а) головная боль
б) «мозговая» рвота
в) повышение давления ликвора
е) атаксия
15. Какие диагностические методы используются при внутричерепных осложнениях?
а) спинномозговая пункция
б) эхография мозга
в) компьютерная томография черепа
16. Какие диагностические методы используются при отогенном сепсисе?
а) почасовая термометрия
б) посев крови на стерильность
в) общий анализ крови
г) эхография мозга
17. Какие антибиотики используют при отогенных внутричерепных осложнениях?
18. Из раскрытия каких структур составляется распространенная антромастоидотомия?
б) клеток сосцевидного отростка
в) полости черепа
г) барабанной полости
19. Что можно отнести к методам дезинтоксикации при отогенных внутричерепных осложнениях?
в) внутривенное введение гемодеза
20. Какие микроорганизмы чаще всего вызывают внутричерепные осложнения?
в) криптококки
III. Найдите ошибку в ответах на вопрос.
1. Какие симптомы характерные для гнойного менингита?
б) ригидность затылочных мышц
в) симптом Кернига
г) симптом Брудзинского
2. Назовите стадии развития абсцесса мозга:
в) абсцедирующий энцефалит
г) сформированный абсцесс
3. Назовите этапы распространения инфекции из уха в полость черепа:
б) экстрадуральный абсцесс
в) субдуральный абсцесс
4. Какие изменения в ликворе происходят при отогенном менингите?
б) сниженное количество протеинов
в) поступает под давлением
д) повышенное количество протеинов
5. Какие внутричерепные осложнения происходят при воспалительных заболеваниях уха?
а) экстрадуральный и субдуральный абсцессы
г) абсцесс мозга
д) отогенный сепсис
е) тромбофлебит сигмовидного синуса
6. Назовите основные очаговые симптомы абсцесса мозжечка:
а) изменение мышечного тонуса на стороне поражения
б) нарушение координации движений
7. Какие менингиты являются гнойными?
в) эпидемический менингококовий
8. Что следует отнести к менингеальным знакам при отогенном гнойном менингите?
а) симптомы Брудзинского
б) симптом Гордона
в) симптом Кернига
д) ригидность затылочных мышц
9. Что следует отнести к очаговым симптомам при внутричерепных осложнениях?
б) патологические симптомы Бабинского, Россолимо
в) симптом Кернига
д) височная атаксия
10. Какие изменения в ликворе происходят при гнойном менингите?
а) повышенное количество сахара и хлоридов
б) сниженное количество сахара и хлоридов
в) повышенное количество протеинов
г) повышенное количество клеток
11. Назовите пути проникновения инфекции из среднего уха в полость черепа:
г) через дегисценции
д) через окно завитка
12. Назовите пути проникновения инфекции с внутреннего уха, в полость черепа:
а) через внутренний слуховой проход
б) через водопровод завитка
в) через окно преддверия
13. Какие симптомы характерные для гипертензивного синдрома? .
а) головная боль
б) «мозговая» рвота
в) изменения на глазном дне
14. Назовите современные методы диагностики отогенных внутричерепных осложнений:
а) компьютерная томография мозга
б) сцинтиграфия мозга
в) эхография мозга
15. Какие методы используются для лечения абсцессов мозга?
б) путем разреза
в) изъятием вместе с капсулой
г) стереотоксичным методом
16. Назовите нервы, которые чаще всего поражаются при отогенных внутричерепных воспалениях:
г) зрительный
17. Назовите симптомы, которые есть наиболее характерными для отогенного сепсиса:
а) гектическая температура тела
б) озноби и поты
в) желтый цвет кожи
г) очаговая симптоматика
18. Какие операции на ухе делают при отогенных внутричерепных осложнениях?
б) общеполостную операцию
в) тимпанопластику
19. Назовите операции, которые делают при отогенных тромбозах яремной вены:
а) операция Фосса
б) операция Грунерта
в) операция Калдвела-Люка
20. Назовите отогенные внутричерепные осложнения, которые встречаются чаще всего:
Читайте также:
