МРТ при гемифациальном спазме
Добавил пользователь Владимир З. Обновлено: 29.01.2026
Нейроваскулярный конфликт представляет собой компрессию уязвимого безмиелинового участка корешка черепномозгового нерва, расположенного тотчас после его выхода из моста, каким либо близко расположенным сосудом. Наиболее часто встречается конфликт черепномозгового нерва с артерией, реже с венозным сосудом. Среди артерий это может быть базилярная артерия, верхняя мозжечковая артерия, передняя или задняя нижняя мозжечковые или позвоночная артерия. Учитывая опыт большого количества наблюдений, таким сосудом чаще оказывается верхняя мозжечковая артерия, которая петлей обвивается вокруг безмиелинового участка корешка тройничного нерва.Развитие патологической активности спинномозгового нерва при нейроваскулярном конфликте связано с механическим воздействием пульсирующего сосуда и дальнейшим распространением импульсации по ходу компремированного нерва.Долгое время диагностирование нейроваскулярного конфликта было возможный только при оперативном вмешательстве.Появление магнитнорезонансной
МРТ при нейроваскулярном конфликте
Нейроваскулярный конфликт представляет собой компрессию уязвимого безмиелинового участка корешка черепномозгового нерва, расположенного тотчас после его выхода из моста, каким либо близко расположенным сосудом.
Наиболее часто встречается конфликт черепномозгового нерва с артерией, реже с венозным сосудом. Среди артерий это может быть базилярная артерия, верхняя мозжечковая артерия, передняя или задняя нижняя мозжечковые или позвоночная артерия.

Учитывая опыт большого количества наблюдений, таким сосудом чаще оказывается верхняя мозжечковая артерия, которая петлей обвивается вокруг безмиелинового участка корешка тройничного нерва.
Развитие патологической активности спинномозгового нерва при нейроваскулярном конфликте связано с механическим воздействием пульсирующего сосуда и дальнейшим распространением импульсации по ходу компремированного нерва.
Долгое время диагностирование нейроваскулярного конфликта было возможный только при оперативном вмешательстве.
Появление магнитнорезонансной томографии высокого разрешения с применением специальной программы 3D TSE дало возможность четко визуализировать черепномозговые нервы и располагающиеся рядом сосуды, а значит быстро, точно и достоверно выявлять причину пароксизмальной активности черепномозговых нервов.
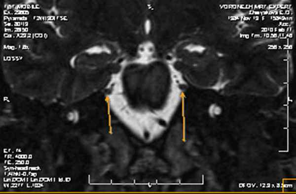
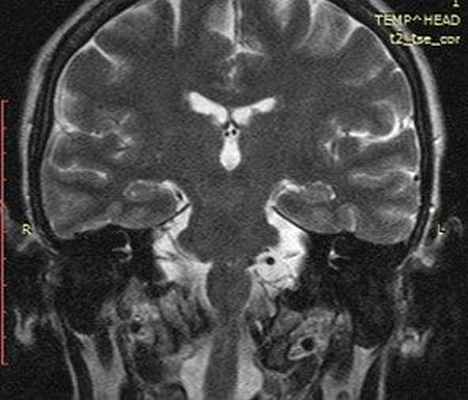
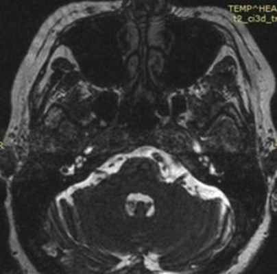
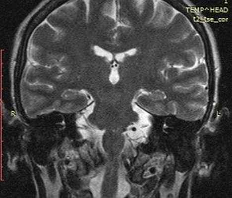
На корональной томограмме с обеих сторон хорошо видны тройничные нервы

На аксиальной и сагиттальной томограммах четко визуализируется правый тройничный нерв и прилегающая к его верхнему контуру правая верхняя мозжечковая артерия

Наиболее часто компрессии близко расположенными сосудистыми структурами подвергаются тройничный и лицевой нервы, являясь одной из причин таких тяжелых и мучительных заболеваний, как невралгия тройничного нерва и гемифациальный спазм.
Невралгия тройничного нерва.
Данное заболевание проявляет себя так называемой «лицевой болью». Характер боли – острая, внезапная, кратковременная и чаще всего односторонняя, соответственно зоне иннервации поврежденного нерва.
Первый приступ боли настолько болезненный и неожиданный, что пациенты, придя к врачу, всегда точно описывают все обстоятельства и время возникновения пароксизма.
Иногда заболевание дебютирует неприятным чувством подергивания или «наэлектризованности» в определенной области лица и лишь спустя время, при возникновении типичной пароксизмальной боли, возникает возможность назначить необходимое обследование и поставить правильный клинический диагноз.
Приступы лицевой боли характеризуются триггерной активностью, т.е. возникают при наличии определенных раздражителей (триггеров). Это могут быть жевание, пребывание на ветру или на холоде, разговор или чистка зубов.
Пароксизмы повторяются днем и ночью обычно несколько недель, затем ослабевают. Через некоторое время приступы возникают снова, а спустя несколько лет заболевание приобретает постоянный характер.
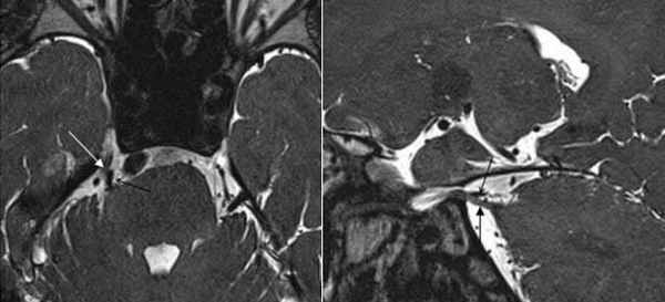
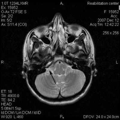
Аксиальный срез (А, Б), сагиттальная проекция (В). Определяется нейроваскулярный конфликт между артерией и тройничным нервом. Компрессия тройничного нерва прилежащей к нему артерией обозначена стрелкой.

У места выхода тройничного нерва из ствола головного мозга (обозначено кругом) определяется крупный артериальный сосуд, компремирующий указанный нерв. На противоположной стороне визуализируется корешок V нерва, на расстоянии от которого проходит аналогичный артериальный сосуд.

Гемифациальный спазм.
Для данного заболевания характерно возникновение периодических безболезненных судорог в круговой мышце глаза, постоянно усиливающихся по частоте и силе. Судороги распространяются вниз по лицу, затрагивая мимическую мускулатуру, находящуюся в зоне иннервации лицевого нерва.
Пароксизмы возникают или усиливаются при разговоре, эмоциональном возбуждении, во время еды.
Выделяют типичный и атипический лицевой гемиспазм.
Типичный характеризуется началом судорог с круговой мышцы глаза и дальнейшим распространением на всю нижележащую мимическую мускулатуру соответствующей половины лица.
Атипический гемифациальный спазм начинается с мышц щеки и далее распространяется на всю вышележащую мимическую мускулатуру.
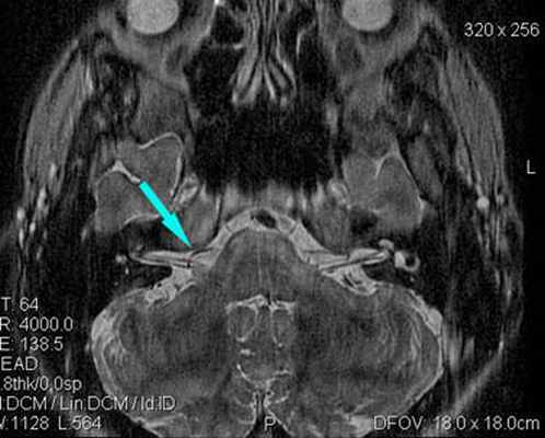
Определяется близкое расположение артериального сосуда и лицевого нерва (указано стрелкой), что может являться причиной гемифациального спазма

Определяются признаки компрессии лицевого нерва около ствола головного мозга крупным артериальным сосудом – позвоночной артерией (указано стрелкой).

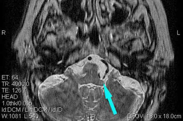
Визуализируется близкое расположение артериального сосуда и лицевого нерва (указано стрелкой), что может являться причиной гемифациального спазма

Компрессия сосудом зоны выхода из ствола головного мозга вестибулярного нерва приводит к появлению жалоб на головокружение. При нейроваскулярном конфликте в области кохлеарного нерва возникают жалобы на шум в ушах и снижение слуха.
В настоящее время МРТ является ведущим методом диагностики, позволяющим диагностировать множество заболеваний. Применение дополнительных программ - весомый шаг к усовершенствованию, точности и достоверности диагностики и дифференциальной диагностики различных патологических процессов. Применяемая в наших центрах программа 3D TSE позволяет четко визуализировать сосуды и черепномозговые нервы в области их выхода из ствола головного мозга, а значит достоверно диагностировать причины компрессии нервов, нейроваскулярный конфликт.
МРТ при гемифациальном спазме
а) Терминология:
1. Аббревиатура:
• Гемифациальный спазм (ГФС)
2. Синонимы:
• Синдром сосудистой петли лицевого нерва, синдром гиперактивной дисфункции лицевого нерва
3. Определение:
• Спазм половины лица, обусловленный сдавливанием лицевого нерва сосудистой петлей в области выхода его корешка в цистерне мостомозжечкового угла (ММУ)
б) Визуализация:
1. Общая характеристика:
• Лучший диагностический критерий:
о МРТ Т2 ВИ высокого разрешения: извитой асимметричный участок выпадения сигнала (сосуд) во внутренних отделах ММУ
• Локализация:
о Петля во внутренних отделах цистерны ММУ в области выхода корешка ЧН VII
• Сосуды, приводящие к ГФС: ПНМА (50%), ЗИМА (30%), ПА (15%), вена (5%)

(Слева) При аксиальном исходном изображении (МРА) у пациента с спазмом правой половины лица визуализируются извитая правая позвоночная артерия и ЗНМА, воздействующие на область выхода корешка лицевого нерва. В цистерне мостомозжечкового угла (ММУ) визуализируется лицевой нерв.
(Справа) При аксиальной МРТ CISS на уровне цистерн ММУ у пациента с правосторонним гемифациальным спазмом определяется петля ЗНМА, смещающая ЧН VII в цистерне ММУ кзади, в результате чего он «свешивается» с заднего края слухового отверстия.
2. МРТ при гемифациальном спазме:
• Т2 ВИ:
о Т2 ВИ высокого разрешения: сосуд в виде гипоинтенсивной трубки, идущей в гиперинтенсивном ликворе
• FLAIR:
о Прилежащие отделы мозга обычно не изменены
о При ГФС может наблюдаться PC
• MPA:
о Исходные изображения наиболее информативны
3. Рекомендации по визуализации:
• Лучший метод визуализации:
о Тонкосрезовая МРТ ММУ высокого разрешения лучше всего для визуализации сосудистой петли
• Выбор протокола:
о Вначале Т2 или FLAIR головного мозга для исключения рассеянного склероза
о Затем аксиальная и корональная Т1 ВИ С+ FS ствола мозга и цистерны ММУ, а также глубоких отделов лица:
- Ищите асимметричные изменения вен, обусловливающие ГФС
- Ищите цистернальную или периневральную опухоль, неврит ЧН
о Т2 ВИ высокого разрешения мозгового ствола и цистерны ММУ:
- Лучшая последовательность для визуализации причинной артерии

(Слева) При аксиальной МРТ CISS у пациента с левосторонним гемифациальным спазмом визуализируется петля левой позвоночной артерии, выдающаяся в цистерну ММУ, где она воздействует на проксимальную часть лицевого нерва в области выхода корешка.
(Справа) При аксиальной МРТ Т2 ВИ у пациента с гемифациальным спазмом определяется долихоэктазия позвоночной артерии, воздействующей на зону выхода корешка лицевого нерва во внутренних отделах цистерны ММУ. Приблизительно у 50% пациентов с гемифациальным спазмом обнаруживаются изменения на МРТ, обычно на тонкосрезовых Т2 последовательностях или МРА.
в) Дифференциальная диагностика гемифациального спазма:
1. Аневризма в ММУ-ВСК:
• Аневризма ЗНМА или позвоночной артерии
• Овальное объемное образование с неоднородным сигналом
2. Артериовенозная мальформация ММУ:
• Артерии и вены большего размера; гнездо мальформации
• Редко в задней ямке
3. Врожденная венозная аномалия задней ямки:
• Более крупные сосуды (вены)
• ММУ - редкий путь венозного дренажа
• Редко приводит к сдавливанию нерва и ГФС
г) Патология:
1. Общая характеристика:
• Этиология:
о «Раздражение» ЧН VII сосудом:
- Вторичное поражение ядер в мозговом стволе
- Нарушение вызванных потенциалов ствола мозга
2. Микроскопия:
• Повреждение миелина, покрывающего проксимальную часть ЧН VII
д) Клинические особенности:
1. Проявления:
• Типичные признаки/симптомы:
о ГФС: односторонний непроизвольный спазм лица:
- Начинается со спазма круговой мышцы глаза
- Затем тонически-клонические судороги становятся постоянными
2. Демография:
• Возраст:
о Пожилые пациенты (обычно > 65 лет)
• Эпидемиология:
о
3. Течение и прогноз:
• Бессимптомный период после операции > 5 лет у 90%
4. Лечение:
• Местные инъекции ботулотоксина:
о Со значительным улучшением у 85% пациентов
о Через каждые четыре месяца
• Микрососудистая декомпрессия при необходимости:
о Приводит к стойкому улучшению у 90% пациентов
е) Диагностическая памятка:
1. Следует учесть:
• Изменения на МРТ обнаруживаются у 50% пациентов с ГФС
2. Советы по интерпретации изображений:
• Вначале следует выявить объемные образования в цистерне, рассеянный склероз
• Необходимо оценить дистальные отделы ЧН VII в височной кости и околоушной железе:
о Следует исключить гемангиому, злокачественную опухоль околоушной железы
• МРА и Т2 ВИ высокого разрешения для поиска причинного сосуда:
о Отрицательные результаты МРТ не препятствуют хирургическому лечению
ж) Список использованной литературы:
1. Garcia М et al: High-resolution 3D-constructive interference in steady-state MR imaging and 3D time-of-flight MR angiography in neurovascular compression: a comparison between 3T and 1.5T. AJNR Am J Neuroradiol. 33(7): 1251-6, 2012
2. Huh R et al: Microvascular decompression for hemifacial spasm: analyses of operative complications in 1582 consecutive patients. Surg Neurol. 69(2): 153-7; discussion 157, 2008
3. Lee MS et al: Clinical usefulness of magnetic resonance cisternography in patients having hemifacial spasm. Yonsei Med J. 42(4):390-4, 2001
4. Yamakami I et al: Preoperative assessment of trigeminal neuralgia and hemifacial spasm using constructive interference in steady state-threedimensional Fourier transformation magnetic resonance imaging. Neurol Med Chir (Tokyo). 40(11):545-55; discussion 555-6, 2000
5. Mitsuoka H et al: Delineation of small nerves and blood vessels with threedimensional fast spin-echo MR imaging: comparison of presurgical and surgical findings in patients with hemifacial spasm. AJNR Am J Neuroradiol. 19(10): 1823-9, 1998
Гемифациальный спазм (лицевой гемиспазм)
Рассмотрено заболевание гемифациальный спазм, возникающее в 50-60 лет. Также рассмотрены похожих заболеваний. Симптомы, диагностика и методы лечения в подробном виде.

Гемифациальный спазм впервые был описан Гауэрсом в 1884 году, и представляет собой сегментарный миоклонус мышц, иннервируемых лицевым нервом. Заболевание возникает в возрасте 50-60 лет, почти всегда с одной стороны, хотя иногда, в тяжелых случаях, бывает и двустороннее поражение. Гемифациальный спазм обычно начинается с коротких клонических движений круговой мышцы глаза и в течение нескольких лет охватывает и другие мышцы лица (лобную, подкожную, скуловую и др.).
Клонические движения постепенно прогрессируют до устойчивых тонических сокращений вовлеченных мышц. Хроническое раздражение лицевого нерва или ядра(что считается основной причиной гемифациального спазма) может возникать из-за различных причин.
Мускулатура лица подвержена таким же двигательным расстройствам, как и мышцы конечностей или туловища. Миоклонус, дистония и другие двигательные нарушения проявляются в виде конкретных синдромов в лицевой мускулатуре. Четкое понимание механизма развития нарушений позволяет провести правильную диагностику и подобрать адекватное лечение.
Причины гемифациального спазма включают: компрессию сосудов, компрессию нерва объемными образованиями, поражения ствола мозга при инсульте или рассеянном склерозе и вторичные причины, такие как травма или паралич Белла.
Хотя существуют различные методы лечения черепно-лицевых двигательных расстройств, хемоденервация с помощь ботулинического токсина оказалась очень эффективной для лечения этих расстройств, превосходя в некоторых случаях, как медикаментозное лечение, так и хирургическое лечение.
Раздражение ядра лицевого нерва, как полагают, приводит к повышенной возбудимости ядра, в то время как раздражение проксимального отдела нерва может привести к эфаптической трансмиссии в пределах лицевого нерва. Такой механизм объясняет ритмичные, непроизвольные миоклонические сокращения, которые наблюдаются при гемифациальном спазме.
Компрессионные повреждения (например, опухоль, артериовенозная мальформация, болезнь Педжета) и некомпрессионные поражения (например, инсульт, рассеянный склероз, базилярный менингит) могут проявляться гемифациальным спазмом. Большинство случаев гемифациального спазма, которые раньше считались идиопатическими, вероятно, были вызваны аномалией кровеносных сосудов и компрессией лицевого нерва в пределах мосто-мозжечкового угла.
Эпидемиология
Гемифациальный спазм встречается у людей разных рас с одинаковой частотой. Существует некоторое преобладание этого заболевания у женщин. Идиопатический гемифациальный спазм, как правило, развивается на пятом или шестом десятилетии жизни. Развитие гемифациального спазма у пациентов моложе 40 лет является необычным, и часто является симптомом неврологического заболевания (например, рассеянного склероза).
Симптомы
Непроизвольные движения мышц лица является единственным симптомом гемифациального спазма. Усталость, тревога или чтение могут ускорить движения. Спонтанный гемифациальный спазм проявляется лицевыми спазмами, которые представляют собой миоклонические судороги и аналогичны сегментарным миоклонусам, которые могут возникать и в других частях тела. Постпаралитический гемифациальный спазм, например после паралича Белла, проявляется как синкинезия лица и контрактура.
Существует ряд состояний похожих на гемифациальный спазм.
Спазм жевательной мышцы
Гемиспазм жевательной мышцы аналогичен гемифациальному спазму и возникает при раздражением моторного тройничного нерва. Это редкое состояние,представляющее собой сегментарный миоклонус, и проявляющееся односторонними непроизвольными сокращениями мышц,иннервируемых тройничным нервом (жевательных). Как и при гемифациальном спазме, гемиспазм жевательной мышцы хорошо лечится с помощью медикаментов и ботулинического токсина. Кроме того, есть свидетельства того, что в некоторых случаях может быть эффективно хирургическое лечение.
Миоклонические движения
Миоклонические движения в лицевой мускулатуре могут также возникать при поражениях головного мозга или ствола мозга. Они отличаются от гемифациального спазма распределением аномальных движений (более генерализованные, возможно, двусторонние), и могут быть диагностированы методами нейрофизиологии.Методы визуализации могут выявить более глубокие причины. Центральный миоклонус неплохо поддается противосудорожной терапии.
Оромандибулярная дистония
Оромандибулярная дистония - это мышечная дистония, влияющая на нижнюю мускулатуру лица, преимущественно челюсти, глотку и язык. Если оромандибулярная дистония встречается в сочетании с блефароспазмом, то это называется синдромом Меджа.
Ботулинотерапия наиболее эффективна при лечении оромандибулярной дистонии. Медикаменты также в определенной степени применяются для оромандибулярной дистонии.
Краниофациальный тремор
Краниофациальный тремор может быть ассоциирован с эссенциальным тремором, болезнью Паркинсона, дисфункцией щитовидной железы, нарушениями электролитного баланса. Это состояние редко возникает изолированно. Фокальные моторные приступы необходимо иногда отличить от других двигательных лицевых расстройств, в частности, гемифациального спазма. Постиктальная слабость и более активное вовлечение нижней части лица являются отличительными чертами фокальных моторных приступов.
Хорея лица
Фациальная хорея возникает в контексте системного двигательного расстройства (например, болезнь Хантингтона, хорея Сиденхема). Хорея является эпизодически возникающим комплексом движений без паттерна. Похожее состояние, спонтанная орофациальная дискинезия, возникает у пожилых людей без зубов. Как правило, установка протезов дает хороший эффект.
Тики
Тики лица представляют собой короткие, повторяющиеся, скоординированные самопроизвольные движения, сгруппированных мышц лица и шеи. Тики могут возникать физиологически или в связи с диффузной энцефалопатией. Некоторые лекарства (например, противосудорожные препараты, кофеин, метилфенидат, антипаркинсонические препараты) могут быть причиной тиков. Единичные, повторяющиеся, стереотипные движения являются характерными для тиков.
Миокимия лица
Фациальная миокимия проявляется червеобразными подергиваниями под кожей, часто с волнообразным распространением. Это состояние отличается от других аномальных движений лица характерными разрядами на ЭМГ, представляющими собой короткие, повторяющиеся всплески потенциалов двигательных единиц в диапазоне 2-60 Гц, с периодами молчания до нескольких секунд. Миокимия лица может возникнуть при любом процессе в стволе головного мозга. Большинство случаев миокимии лица идиопатические, и излечиваются самостоятельно в течение нескольких недель.
Диагностика
Ранние случаи гемифациального спазма иногда бывает трудно отличить от миокимии лица, тиков или миоклонусов причиной, которых могут быть патологические процессы в коре головного мозга или стволе. В таких случаях, наиболее ценным диагностическим методом служит нейрофизиологическое тестирование.
Широкая и вариабельная синкинезия при тестах на моргание и высокочастотные разряды на электромиографии (ЭМГ) с соответствующими клиническими проявлениями являются диагностическими критериями гемифациального спазма. Стимуляция одной ветви лицевого нерва может распространиться и вызвать реакцию в мышце, иннервируемой другой веткой. Синкинезия отсутствует при эссенциальном блефароспазме, дистонии или эпилепсии. Игольчатая миография показывает, нерегулярные, короткие, высокочастотные всплески потенциалов (150-400 Гц) моторных единиц, которые коррелируют с клинически наблюдаемыми движениями лица.
Методы визуализации
Магнитно-резонансная томография является методом диагностического выбора, когда есть необходимость исключить компрессионное воздействие. Ангиография церебральных сосудов,как правило,имеет небольшую ценность для диагностики гемифациального спазма. Эктазированные кровеносные сосуды редко идентифицируются, и эти находки (изменения) в сосудах бывает трудно коррелировать с воздействием на нерв. Выполнение ангиографии и / или магнитно-резонансной ангиографии, как правило, применяется для выполнения хирургической сосудистой декомпрессии.
Лечение

Для большинства пациентов с гемифациальным спазмом, методом выбора является введение ботулинического токсина под контролем электромиографии (ЭМГ). Хемоденервация безопасна и дает хороший лечебный эффект у большинства пациентов, особенно у тех, у кого есть устойчивые сокращения. Исчезновение спазмов происходит через 3-5 дней после инъекции и длится около 6 месяцев.
Лекарства, используемые в лечении гемифациального спазма включают карбамазепин и бензодиазепины (для некомпрессионных поражений). Карбамазепин, бензодиазепины, баклофен также могут быть использованы у пациентов, которые отказываются от инъекций ботулотоксина. Компрессионные повреждения необходимо лечить оперативными методами. Микроваскулярная хирургическая декомпрессии может быть эффективна для тех пациентов, которые не реагируют на инъекции ботулинического токсина.
Инъекции ботулинического токсина
Инъекции ботулинического токсина проводятся под контролем ЭМГ. Побочные эффекты инъекций токсина (например, асимметрия лица, птоз, слабость лицевых мышц), как правило, являются временными. Большинство пациентов отмечают хороший лечебный эффект от введения токсина. Медикаменты могут быть использованы в начале развития гемифациального спазма или у пациентов, которые отказываются от введения ботулинического токсина.
Из медикаментов наиболее эффективны такие препараты, как карбамазепин и бензодиазепины (например, клоназепам). Часто, эффективность лекарства снижается с течением времени, что требует более активного лечения.
Хирургическая декомпрессия применяется в случае наличия компрессионного воздействия на нерв.
Использование материалов допускается при указании активной гиперссылки на постоянную страницу статьи.
Микрососудистая декомпрессия при нейропатии VII нерва (гемифациальный спазм)
Пациентам нейрохирургического отделения 5-й клинической больницы города Минска доступна микрососудистая декомпрессия при нейропатии VII нерва (гемифациальный спазм).

Операция позволяет не просто купировать симптоматику гемифациального спазма, а и устранить сосудистую причину заболевания.
Что такое гемифациальный спазм?
Гемифациальный спазм представляет собой непроизвольные односторонние сокращения лицевой мускулатуры (судороги мышц одной половины лица). Неприятные ощущения могут появляться во время еды, смеха, разговора, смене температуры и даже громком звучании музыки.
Чаще всего гемифациальный лицевой спазм возникает при наличии следующих проблем:
- при компрессии (сдавливании) сосудом;
- при давлении на лицевой нерв опухоли;
- при нарушении кровообращения в стволе головного мозга.
Нередко недуг появляется вследствие инсульта, рассеянного склероза, черепно-мозговых травм, серьёзных вирусных инфекций.
Пациент жалуется на приступы спазма мышц лица. Врач при осмотре видит признаки раздражения нерва. Возбуждение нерва передаётся на мимическую мускулатуру.
Чаще всего сначала подёргивание затрагивает только часть лица. Особенно проблемные области – около глаз. Но спустя время, если не принимаются меры, симптоматика распространяется на более обширную зону.
Можно ли ограничиться медикаментозным лечением?
На начальной стадии заболевания пациентам нередко рекомендуют медикаментозное лечение и иногда оно даёт хороший результат. Но важно понимать, что надеяться на медикаментозное лечение, увы, не стоит в следующих случаях:
- симптоматика лицевого тика выражена очень сильно;
- болезнь длится больше года;
- развился сосудисто-нервный (нейроваскулярный) конфликт (и это подтверждают результаты МРТ).
Эффективным методом лечения при прогрессировании заболевания является микрососудистая декомпрессия корешка лицевого нерва. И чем раньше она будет проведена, тем лучше. Такой радикальный метод помогает избавиться от причины возникновения гемифациального спазма, а не только исключить симптоматику.
В чём суть операции?
Декомпрессия производится на месте выхода корешка нерва из ствола головного мозга. Операция помогает разрешить конфликт между артериями, венами и корешком лицевого нерва, сразу же снять спазм и обеспечить длительный эффект.
Сосуды, которые сдавливают ствол лицевого нерва, в ходе операции перемещаются с помощью нейрохирургического инструмента и между сосудом и нервом устанавливается тонкая тефлоновая прокладка.
После операции у пациента отпадает необходимость регулярно принимать транквилизаторы, делать инъекции ботулотоксина. Проходит состояние угнетённости, раздражительности.
Из каких этапов состоит лечение?
- Врач посредством нейрофизиологического тестирования исключает заболевания со схожими симптомами (миокимия, миоклонус).
- Пациент сдаёт комплекс анализов, включая биохимические исследования крови, изосерологическое исследование.
- Выполняется компьютерная томография мозга, МРТ простая и по сосудистой программе, ЭКГ, рентгенография органов грудной клетки.
- Оценивается общее состояние, состояние сердца, переносимость наркоза.
- Проводится сама операция
- Выполняются перевязки, назначается комплексная восстанавливающая терапия.
Микрососудистая декомпрессия при нейропатии VII нерва показывает высокую эффективность и считается одним из наиболее перспективных способов борьбы с гемифациальным спазмом сосудистого происхождения.
Хирургическое лечение гемифациального спазма на фоне нейроваскулярного конфликта

Хирургическое лечение гемифациального спазма на фоне нейроваскулярного конфликта
Гемифациальный спазм (ГФС) – патология, проявляющаяся зачастую болезненными непроизвольными тоническими и/или клоническими сокращениями мимических мышц, иннервируемых лицевым нервом. Причиной первичного ГФС служит нейроваскулярный конфликт между корешком лицевого нерва в месте его выхода из моста головного мозга и прилежащим артериальным сосудом.
В клинику нейрохирургии ВМедА обратилась пациентка Т. с жалобами на постоянные, непроизвольные болезненные сокращения мышц левой половины лица в области левого глаза. Из анамнеза известно, что данные жалобы беспокоят на протяжении двух лет. Неоднократно проходила курс консервативного лечения под наблюдением невролога в амбулаторных условиях, однако регресса клинической симптоматики отмечено не было.
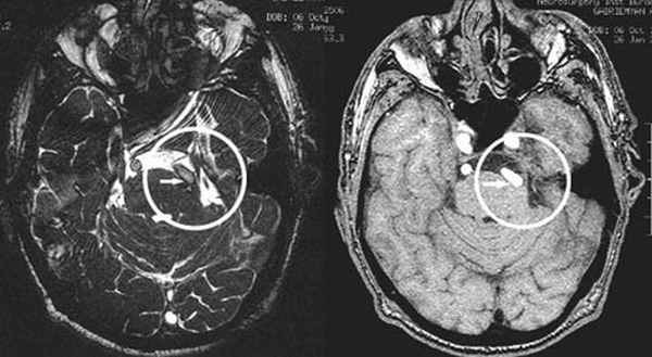
По данным МРТ головного мозга визуализировано нетипичное предлежание сразу трех внутричерепных сосудов к корешку левого лицевого нерва в зоне его выхода из вещества моста: колена базилярной, петли ветви верхней мозжечковой и передней нижней мозжечковой артерий (рис. 1). Значительно чаще при гемифациальном спазме отмечается компрессия корешка лицевого нерва только одним сосудом. По данным электронейромиографии при стимуляции височной ветви левого лицевого нерва получен прямой М-ответ от лобной мышцы (переднее брюшко лобно-затылочной мышцы) и патологический ответ от подбородочной мышцы с увеличенной латентностью и амплитудой до 15% от амплитуды прямого М-ответа.


Рис. 1. МРТ головного мозга в аксиальной и коронарной проекциях: отмечается близкое расположение петли базилярной, петли ветви верхней мозжечковой и передней нижней мозжечковой артерий к корешку левого лицевого нерва в зоне его выхода из вещества моста.
Ввиду отсутствия положительной динамики на фоне длительно проводимого комплексного консервативного лечения, наличия признаков компрессии лицевого нерва по данным МРТ и регистрации патологической синкинезии по данным ЭНМГ, пациентке Т. предложено хирургическое лечение в объеме микроваскулярной декомпрессии левого лицевого нерва.
Хирургическое вмешательство проводилось под руководством начальника кафедры нейрохирургии полковника медицинской службы Дмитрия Владимировича Свистова.

Рис. 2. Предоперационная укладка пациентки и разметка
Перед началом операции была выполнена установка игольчатых электродов в мышцы, иннервируемые левым лицевым нервом, с целью непрерывного нейромониторинга. Интраоперационный нейромониторинг осуществлялся специалистом в области функциональной диагностики Малышевой О.В.

Рис. 3. Настройка инртаоперационного нейромониторинга Nim3.0 специалистом функциональной диагностики.
Основной этап хирургического вмешательства выполнялся нейрохирургами: профессором кафедры нейрохирургии д.м.н. профессором Гайворонским А.И. и старшим преподавателем кафедры к.м.н Чуриковым Л.И. После выполнения доступа к структурам задней черепной ямки в области мостомозжечкового угла визуализирован корешок левого лицевого нерва с предлежащими к нему сосудами. С помощью микрохирургической техники сосуды были поочередно отделены от лицевого нерва. Операция микроваскулярной декомпрессии завершена установкой двух тефлоновых прокладок между корешком нерва и компремировавшими его сосудами (рис. 4). При контрольной стимуляции отмечено исчезновение аномального мышечного ответа от лицевого нерва.


Рис. 4. Установленные тефлоновые прокладки на контрольной СКТ головного мозга
В раннем послеоперационном периоде отмечено отсутствие патологических сокращений мимической мускулатуры левой половины лица. К моменту выписки пациентки из стационара на фоне проводимой консервативной терапии неврологическая симптоматика полностью регрессировала.
Хирургическое лечение проводилось в рамках оказания высокотехнологической помощи за счет средств из федерального бюджета.
Читайте также:
