МРТ при перидуральном фиброзе
Добавил пользователь Евгений Кузнецов Обновлено: 23.11.2025
Лучевая диагностика перидурального фиброза
а) Терминология:
1. Синонимы:
• Эпидуральный фиброз, рубцовые изменения эпидурального пространства
2. Определения:
• Рубцовые изменения эпидурального пространства после операции на поясничном отделе позвоночника
• Один из компонентов синдрома неудачного вмешательства на позвоночнике (СНВП)
б) Визуализация:
1. Общие характеристики:
• Наиболее значимый диагностический признак:
о Инфильтрация эпидуральной/периневральной клетчатки мягкотканной плотности (интенсивности сигнала)
• Локализация:
о Эпидуральное пространство на уровне ранее проведенного вмешательства
• Размеры:
о От нескольких миллиметров до 1 -2 см
• Морфология:
о Мягкие ткани с ровными границами, обычно не сдавливающие соседние структуры
2. Рентгенологические данные:
• Рентгенография:
о Неспецифические послеоперационные изменения, признаки перидурального фиброза напрямую не видны
3. КТ при перидуральном фиброзе:
• Бесконтрастная КТ:
о Неспецифическая акцентуация мягких тканей эпидурального пространства
• КТ с КУ:
о Эпидуральный мягкотканный процесс:
- После внутривенного контрастирования накапливает контраст
4. МРТ при перидуральном фиброзе:
• Т1-ВИ:
о Изменения перидуральных мягких тканей:
- Изоинтенсивность сигнала
- Нередко окружают корешок спинного мозга
- Иногда могут напоминать объемный процесс
о Рубцовые изменения могут содержать фрагменты межпозвонкового диска
о Послеоперационные изменения задних элементов позвонка
о Изменения могут сопровождаться расширением дуральной воронки соответствующего корешка (цикатризация)
• Т2-ВИ:
о Вариабельная интенсивность сигнала
о Типично некоторое усиление сигнала относительно сигнала межпозвонкового диска
• Т1-ВИ с КУ:
о Гомогенное контрастное усиление сразу после введения контраста:
- Контрастное усиление может сохраняться в течение нескольких лет
- Информативность МРТ без КУ и с КУ в дифференциальной диагностике перидурального фиброза и грыжи диска составляет 96%
о Корешки спинного мозга в зоне фиброза также могут характеризоваться контрастным усилением
5. Несосудистые интервенционные рентгенологические исследования:
• Миелография:
о Неспецифический экстрадуральный дефект наполнения в колонне контраста
6. Рекомендации по визуализации:
• Режим Т1-ВИ FS (без контрастирования и с КУ) может отличаться более высокой чувствительностью в отношении диагностики перидурального фиброза и его дифференциальной диагностики с грыжей диска

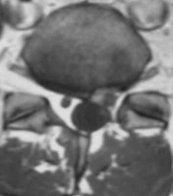
(Слева) Аксиальный срез, Т2-ВИ: небольшой двусторонний постляминэктомический дефект и замещение вентральной эпидуральной клетчатки изоинтенсивной тканью. Признаков объемного воздействия на дуральный мешок или грыжи диска не видно.
(Справа) На аксиальном Т1-ВИ с КУ у этого же пациента отмечается контрастное усиление сигнала мягких тканей в области ляминэктомии и умеренное диффузное усиление тканей в вентральном отделе эпидурального пространства и вокруг корешков.
в) Дифференциальная диагностика перидурального фиброза:
1. Рецидивная грыжа диска:
• Отсутствие центрального контрастного усиления при исследовании сразу после введения контраста:
о Периферическое контрастное усиление встречается достаточно часто
• Отсроченное центральное контрастное усиление при исследовании через 30 минут и позже после введения контраста:
о Диффузия контраста в диск
2. Эпидуральный абсцесс/флегмона:
• Могут характеризоваться гомогенным контрастным усилением эпидурального пространства
• Абсцессы обычно характеризуются периферическим контрастным усилением
• Типичные клинические и лабораторные признаки инфекции (ускорение СОЭ, увеличение уровня С-реактивного белка)
3. Псевдоменингоцеле:
• Скопление СМЖ в дорзальных мягких тканях, исходящее из операционного ложа
4. Послеоперационная гематома:
• Промежуточная интенсивность Т1-сигнала в остром и подостром периоде
• Низкоинтенсивное в Т2 объемное образование эпидурального пространства в области операции
• Объемное воздействие на дуральный мешок/корешки
5. Арахноидит:
• Скученность корешков спинного мозга по периферии дурального мешка при арахноидите II типа, который может быть своеобразным интрадуральным продолжением перидурального фиброза
• Картина может напоминать эпидуральный фиброз

(Слева) Аксиальный срез, Т1-ВИ, пациента, которому ранее выполнялся задний межтеловой спондилодез (PLIF): дуральный мешок окружен широкой зоной низкой интенсивности сигнала, представляющей собой перидуральный фиброз. В области межтелового пространства определяется артефакт, связанный с установленным сюда межтеловым кейджем.
(Справа) На аксиальном Т1-ВИ с КУ у этого же пациента отмечается диффузное контрастное усиление зоны эпидурального фиброза, вызывающего минимальную деформацию дурального мешка. В толще фиброзных тканей замурованы выходящие на этом уровне корешки спинного мозга.
г) Патология:
1. Общие характеристики:
• Этиология:
о Распространенность фиброза связана с обширностью операционной травмы мягких тканей
о Определенную роль в развитии рубцовых изменений может играть характер воспалительного ответа организма
о Рубцовые изменения могут быть источником компрессии, ирритации или избыточной тракции корешков спинного мозга:
- Нарушение кровоснабжения
- Нарушение аксоплазматического транспорта
• Генетика:
о Связь отсутствует
• Сочетанные изменения:
о Ищите возможные признаки арахноидита
• Послеоперационные рубцовые изменения являются частью нормального репаративного ответа организма
• Может существовать бессимптомно; наличие связи между этим процессом и клинической симптоматикой остается предметом дебатов
• Перидуральный фиброз:
о До 14 случаев СНВП
о Большинство пациентов с в той или иной мере выраженной клинической симптоматикой никаких жалоб не предъявляют
о Вопрос о том, является ли это состояние источником рецидива болевого синдрома, остается спорным
о В одном проспективном исследовании (1996) показано, что у пациентов с распространенным перидуральным фиброзом рецидивы корешкового болевого синдрома встречаются в 3,2 раза чаще, чем у пациентов с менее выраженными рубцовыми изменениями; в других исследованиях подобной связи обнаружить не удалось (2008)
2. Макроскопические и хирургические особенности:
• Рубцовая ткань, окружающая дуральный мешок и корешки спинного мозга на уровне операции
3. Микроскопия:
• Организация послеоперационной гематомы с образованием плотной волокнистой соединительной ткани, источником которой являются глубокие слои паравертебральных мышц
• Фиброзная ткань может распространяться в сторону дурального мешка, быть спаянной с твердой мозговой оболочкой и корешками

(Слева) Аксиальный срез, Т1-ВИ: правосторонний гемиляминэктомический дефект и утолщение правой дуральной воронки корешка с ее периферическим контрастным усилением, связанное с цикатризацией.
(Справа) На аксиальном Т1-ВИ определяется небольшой левосторонний гемиляминэктомический дефект. Левый корешок S1 окружен мягкотканными изменениями, которые тем не менее не оказывают объемного воздействия на дуральный мешок.
д) Клинические особенности:
1. Клиническая картина перидурального фиброза:
• Наиболее распространенные симптомы/признаки:
о Боль в нижней части спины или корешковый болевой синдром
о Онемение
о Слабость мышц
о Частота рецидивов боли в спине/корешкового болевого синдрома через шесть месяцев после дискэктомии составляет 10%
о Причины рецидивов болевого синдрома:
- Рецидив грыжи диска
- Новая грыжа диска на другом уровне
- Перидуральный фиброз
• Особенности клинической картины:
о Взрослый пациентсжалобами на постепенно развившуюся боль в нижней части спины и анамнезом ранее уже проводившегося и эффективного хирургического вмешательства по поводу грыжи диска
2. Демография:
• Возраст:
о Взрослые
• Пол:
о М = Ж
• Эпидемиология:
о В мире ежегодно выполняется около миллиона операций на позвоночнике
- 3/4 из них включают декомпрессию поясничных корешков или корешков конского хвоста
- Перидуральный фиброз рассматривается как причина 3-5% случаев СНВП
3. Течение заболевания и прогноз:
• Хроническое течение СНВП
• Ревизионные вмешательства эффективны в 30-35% случаев (12-100% по данным различных авторов)
• Эффективность ревизионных вмешательств ниже в случаях, когда во время операции обнаруживается только эпидуральный фиброз и не обнаруживаются грыжи дисков
• Электростимуляция спинного мозга эффективна в 50-70% случаев
4. Лечение перидурального фиброза:
• Симптоматическое лечение, включающее физиотерапию и различные варианты обезболивающей терапии
• Перирадикулярные инъекции кортикостероидов и местных анестетиков
• Имплантация электродов для электростимуляции спинного мозга
• Хирургическая резекция рубцовых тканей выполняется редко
е) Диагностическая памятка:
1. Следует учесть:
• Наличие у пациента с СНВП только фиброзных изменений эпидурального пространства на уровне ранее выполненного вмешательства является противопоказанием к ревизионным операциям, поскольку результаты таких ревизионных вмешательств обычно неудовлетворительные
• Наилучшие результаты ревизионных вмешательств наблюдаются у пациентов с грыжами дисков на других, отличных от ранее оперированного, уровнях
• Промежуточные результаты наблюдаются у пациентов с рецидивом грыж на ранее уже оперированном уровне:
о Результаты лучше, чем при ревизионных вмешательствах по поводу только рубцовых изменений без вмешательства на диске, но хуже по сравнению с операциями по поводу новых грыж на другом уровне
2. Советы по интерпретации изображений:
• Классическая картина: обычно утолщенные корешки, окруженные накапливающими контраст мягкими тканями
• Основной задачей лучевых методов диагностики является исключение рецидива грыжи межпозвонкового диска или других причин СНВП (например, опухоли конуса/терминальной нити спинного мозга)
Метод профилактики эпидурального фиброза при поясничной микродискэктомии биодеградируемой мембраной Текст научной статьи по специальности «Клиническая медицина»
Аннотация научной статьи по клинической медицине, автор научной работы — Чапандзе Георгий Нугзарович, Кузнецов Алексей Витальевич, Древаль Олег Николаевич
Цель исследования. Оценка метода профилактики рубцово-спаечного процесса после поясничной микродискэктомии с использованием биодеградируемой мембраны. Материал и методы. Проанализированы результаты оперативного лечения поясничной микродискэктомии у 90 больных 23-60 лет с грыжей межпозвонкового диска на поясничном уровне. Первая группа 30 больных, которым выполняли стандартную микродискэктомию с биодеградируемым материалом, вторая 30 больных, у которых применяли после микродискэктомии после микродискэктомии аутотрансплантат жировой клетчатки, третья (контрольная) 30 больных, которым профилактику рубцово-спаечного процесса после микродискэктомии не проводили. Оценку результатов до оперативного вмешательства, в ближайшем и отдаленном периодах выполняли по клиническому статусу, МРТ, ВАШ и опроснику Освестри. Результаты. Средние показатели интенсивности болевого синдрома по ВАШ снизились (для болевого корешкового синдрома в ноге) с 7,07 ± 1,62 до 1,53 ± 0,68 на момент выписки, до 1,40 ± 0,50 через 6 мес., до 1,30 ± 0,50 через 1 год после операции. Показатели индекса Освестри составили 55,80 ± 19,90 в дооперационном периоде, 15,80 ± 6,40 через 6 мес. после операции. Данные ВАШ говорят о большем снижениии выраженности болевого синдрома в отдаленном периоде в первой группе (1,23-0,90-0,80 балла) по сравнению со второй и контрольной (1,23-1,20-1,10 и 1,53-1,40-1,30 балла соответственно). Заключение. На основании данных клинического статуса, МРТ, ВАШ, повторных хирургических вмешательств можно судить о безопасности и вероятной эффективности биодеградируемого материала в отношении перирадикулярного рубцово-спаечного процесса. Для цитирования: Чапандзе Г.Н., Кузнецов А.В., Древаль О.Н. Метод профилактики эпидурального фиброза при поясничной микродискэктомии биодеградируемой мембраной // Хирургия позвоночника. 2014. № 2. С. 67-73.
Похожие темы научных работ по клинической медицине , автор научной работы — Чапандзе Георгий Нугзарович, Кузнецов Алексей Витальевич, Древаль Олег Николаевич
Сравнительный анализ методов профилактики рубцово-спаечного эпидурита при микродискэктомиях на пояснично-крестцовом отделе позвоночника
Уменьшение послеоперационной боли при поясничной микродискэктомии: создание барьера для спаечного процесса с помощью гидрогелевых материалов
Пункционные хирургические технологии в лечении болевых синдромов остеохондроза, осложненного протрузией межпозвонковых дисков поясничного отдела позвоночника
Сравнительная оценка ближайших, промежуточных и отдаленных результатов пункционных методов лечения дискогенных болевых синдромов поясничного отдела позвоночника у пациентов различных возрастных групп
PREVENTION OF EPIDURAL FIBROSIS USING BIODEGRADABLE MEMBRANE IN LUMBAR MICRODISCECTOMY
Objective. Assessment of method for preventing scar adhesions after lumbar microdiscectomy using biodegradable membrane. Material and Methods. Results of surgical microdiscectomy in 90 patients aged 23 to 60 years with lumbar disc herniation were analyzed. Group I included 30 patients who underwent standard microdiscectomy with biodegradable material, Group II 30 patients with adipose tissue autograft placed after microdiscectomy, and Group III (control) 30 patients without any adhesion prevention. Preoperative, immediate postoperative and long-term results were evaluated based on clinical status and MRI, VAS, and Oswestry questionnaire data. Results. Average VAS score for radicular pain syndrome in the leg decreased from 7.07 ± 1.62 to 1.53 ± 0.68 at discharge, to 1.40 ± 0.50 in 6 months, and to 1.30 ± 0.50 in 1 year after surgery. Average Oswestry index was 55.80 ± 19.90 before surgery and 15.80 ± 6.40 in 6 months after surgery. Dynamics of the VAS scores demonstrates the grater reduction of pain syndrome in Group I (1.23-0.90-0.80) as compared with those in Group II and in the control group (1.23-1.20-1.10 and 1.53-1.40-1.30, respectively). Conclusion. Data of clinical status, MRI, VAS, and repeated surgical interventions allow to make assumption about safety and probable efficacy of biodegradable material in the prevention of periradicular fibrosis. Hir. Pozvonoc. 2014;(2): 67-73.
Текст научной работы на тему «Метод профилактики эпидурального фиброза при поясничной микродискэктомии биодеградируемой мембраной»
© г.н. чапандзе и др., 2014
метод профилактики эпидурального фиброза при поясничной микродискэктомии биодеградируемой мембраной
Г.Н. Чапандзе, А.В. Кузнецов, О.Н. Древаль
Российская медицинская академия последипломного образования, Москва
Цель исследования. Оценка метода профилактики руб-цово-спаечного процесса после поясничной микродискэктомии с использованием биодеградируемой мембраны. Материал и методы. Проанализированы результаты оперативного лечения поясничной микродискэктомии у 90 больных 23—60 лет с грыжей межпозвонкового диска на поясничном уровне. Первая группа — 30 больных, которым выполняли стандартную микродискэктомию с биодеградируемым материалом, вторая — 30 больных, у которых применяли после микродискэктомии после ми-кродискэктомии аутотрансплантат жировой клетчатки, третья (контрольная) — 30 больных, которым профилактику рубцово-спаечного процесса после микродискэкто-мии не проводили. Оценку результатов до оперативного вмешательства, в ближайшем и отдаленном периодах выполняли по клиническому статусу, МРТ, ВАШ и опроснику Освестри.
Результаты. Средние показатели интенсивности болевого синдрома по ВАШ снизились (для болевого корешкового синдрома в ноге) с 7,07 ± 1,62 до 1,53 ± 0,68 на момент выписки, до 1,40 ± 0,50 через 6 мес., до 1,30 ± 0,50 через 1 год после операции. Показатели индекса Освестри составили 55,80 ± 19,90 в дооперационном периоде, 15,80 ± 6,40 через 6 мес. после операции. Данные ВАШ говорят о большем снижениии выраженности болевого синдрома в отдаленном периоде в первой группе (1,23—0,90—0,80 балла) по сравнению со второй и контрольной (1,23—1,20—1,10 и 1,53—1,40—1,30 балла соответственно). Заключение. На основании данных клинического статуса, МРТ, ВАШ, повторных хирургических вмешательств можно судить о безопасности и вероятной эффективности биодеградируемого материала в отношении перира-дикулярного рубцово-спаечного процесса. Ключевые слова: грыжа межпозвонкового диска, микро-дискэктомия, профилактика эпидурального фиброза.
prevention of epidural fibrosis using biodegradable membrane in lumbar microdiscectomy
G.N. Chapandze, A.V. Kuznetsov, O.N. Dreval
Objective. Assessment of method for preventing scar adhesions after lumbar microdiscectomy using biodegradable membrane.
Material and Methods. Results of surgical microdiscectomy in 90 patients aged 23 to 60 years with lumbar disc herniation were analyzed. Group I included 30 patients who underwent standard microdiscectomy with biodegradable material, Group II — 30 patients with adipose tissue autograft placed after microdiscectomy, and Group III (control) -30 patients without any adhesion prevention. Preoperative, immediate postoperative and long-term results were evaluated based on clinical status and MRI, VAS, and Oswestry questionnaire data.
Results. Average VAS score for radicular pain syndrome in the leg decreased from 7.07 ± 1.62 to 1.53 ± 0.68 at discharge, to 1.40 ± 0.50 in 6 months, and to 1.30 ± 0.50 in 1 year after surgery. Average Oswestry index was 55.80 ± 19.90 before surgery and 15.80 ± 6.40 in 6 months after surgery. Dynamics of the VAS scores demonstrates the grater reduction of pain syndrome in Group I (1.23—0.90—0.80) as compared with those in Group II and in the control group (1.23-1.20-1.10 and 1.53-1.40-1.30, respectively). Conclusion. Data of clinical status, MRI, VAS, and repeated surgical interventions allow to make assumption about safety and probable efficacy of biodegradable material in the prevention of periradicular fibrosis.
Key Words: intervertebral disc herniation, microdiscectomy, epidural fibrosis prevention.
Hir. Pozvonoc. 2014;(2):67-73.
Для цитирования: Чапандзе Г.Н., Кузнецов А.В., Древаль О.Н. Метод профилактики эпидурального фиброза при поясничной микродискэктомии биодеградируемой мембраной // Хирургия позвоночника. 2014. № 2. С. 67—73.
Несмотря на минимизацию методов декомпрессии нервных корешков, у всех оперированных больных развиваются рубцово-спаечные изменения большей или меньшей степени выраженности. Послеоперационные реактивные изменения в области удаления грыжи диска проявляются утолщением и отечностью нервного корешка, разрыхлением, инфильтрацией и уплотнением эпидуральной клетчатки. К концу третьей недели стадия асептического воспаления сменяется фибробластической. Появляются нежные или плотные спайки между нервным корешком и подлежащим диском [1, 2, 6]. После хирургических вмешательств по удалению грыж поясничных межпозвонковых дисков до 60 % неблагоприятных исходов обусловлено образованием рубцовой ткани [5, 7, 10, 11]. При повторных операциях руб-цово-спаечный процесс обнаруживается в 100 % случаев [3]. Многие авторы сообщают о связи между выраженностью эпидурального рубцово-спаечно-го процесса и корешковой болью. Так, Pawl [13] в своем литературном обзоре пришел к выводу, что эпидуральный фиброз клинически проявляется в случаях чрезмерного рубцового процесса. Ross et al. [15] провели контролируемое рандомизированное слепое многоцентровое исследование и показали, что пациенты с выраженным периду-ральным фиброзом в 3,2 раза чаще имеют рецидивирующую корешковую боль по сравнению с теми, у кого руб-цовый процесс менее выражен 14.
В настоящее время при исследовании участия рубцово-спаечного процесса в формировании вторичных болевых синдромов доказана роль аутоимунного компонента [9]. В литературе имеются данные о различных методах предупреждения эпидураль-ного фиброза и минимизации его неблагоприятных последствий. Большая часть примененных в исследованиях материалов синтетического и натурального происхождения показала недостаточную эффективность в отношении профилактики рубцо-во-спаечного процесса. Биополимер «ЭластоПОБ» доказал свою эффектив-
ность в кардиохиругии и хирургии брюшной полости, где снижал выраженность рубцово-спаечных изменений в зоне имплантации мембраны [4, 8, 9, 11]. Изучение этого аспекта проблемы обусловливает актуальность проведения дальнейших исследований в повышении эффективности хирургического лечения.
Цель исследования - оценка метода профилактики рубцово-спаечного процесса после поясничной микро-дискэктомии путем применения био-деградируемой мембраны.
Материал и методы
Проанализированы результаты лечения поясничной микродискэктомии у 90 больных (58 мужчин, 32 женщины), оперированных в 2007-2011 гг. на базе кафедры нейрохирургии РМАПО в ГКБ им. С.П. Боткина. Критерии включения в исследование: наличие грыжи межпозвонкового диска на одном уровне с соответствующим корешковым синдромом и (или) радикулопатии. Средний возраст пациентов 48,4 ± 3,6 года (от 23 до 60 лет). Все пациенты были с монорадикулярной симптоматикой.
В первой группе 30 больным при хирургическом вмешательстве после достигнутой декомпрессии в целях профилактики рубцово-спа-ечного процесса нервный корешок изолировали от прилежащих структур биодеградируемой мембраной. Во второй группе 30 больным после деком-прессивного вмешательства в целях профилактики рубцово-спаечного процесса нервный корешок изолировали аутологической жировой тканью, взятой на этапе доступа. В третьей (контрольной) группе из 30 больных после выполненного декомпрессивно-го хирургического вмешательства профилактику рубцово-спаечного процесса не проводили.
В первой группе чаще всего зоной поражения был уровень L5-S1 - у 18 (60,0 %) пациентов, немного реже уровень - у 12 (40,0 %). Во второй группе в 56,1 % случаев диско-радикулярный конфликт выявлялся
на уровне L5-Sj с компрессией корешка Sj-, вовлечение уровня L4-L5 - 42,9 %. В третьей группе в 72,6 % случаев дис-корадикулярный конфликт выявлялся на уровне L5-S1 с компрессией корешка Sj.
По стороне поражения нервного корешка больных распределили следующим образом: у 45 (50,0 %) - компрессионная радикулопатия отмечалась слева, у 42 (41,0 %) - справа, у 3 (3,3 %) - центральная компрессия с акцентом справа. При сравнении групп по возрасту, полу, клинической симптоматике, длительности заболевания, частоте встречаемости уровней поражения были сделаны выводы о минимальности различий, то есть группы сопоставимы. До поступления в стационар все больные получали консервативное лечение, которое было неэффективным.
Всем пациентам выполняли стандартное обследование, включая функциональные рентгенограммы пояс-нично-крестцового отдела, МРТ в динамике до и после хирургического вмешательства (обычно через 3 мес. после операции). Все грыжевые выпячивания межпозвонковых дисков были распределены по общепринятой классификации: срединные, парамеди-анные, заднебоковые и фораминаль-ные. Уровень интенсивности болевого синдрома оценивали по ВАШ, оценку качества жизни - по индексу Освестри.
Статистическую обработку данных проводили с помощью компьютерной программы «Windows статистика 6». При этом рассчитывали относительные, средние величины и стандартные ошибки средних значений, устанавливали уровень значимости полученных результатов с использованием критериев Стьюдента.
резорбции, расщепляется на более простые соединения, которые выводятся из организма или принимают участие в биосинтезе, происходящем на клеточном уровне, обладает гемо-статическими свойствами.
В нейрохирургии биополимер «ЭластоПОБ» уже широко используется при лечении периферической нервной системы [9]. В основу настоящего исследования легли предположения о возможной эффективности био-деградируемой мембраны в отношении профилактики постдискэктоми-ческого рубцово-спаечного процесса. Эффективность использования данного материала доказана как в экспериментальной работе на животных, так и в клиническом исследовании при вмешательствах на периферических нервах [9].
При проведении МРТ, кроме стандартных исследований в Т1-и Т2-режимах, для улучшения визуализации установленной биодегра-дируемой мембраны получаемые Т2- взвешенные изображения (Ш500, ТЕ 118) дополняли изображениями, взвешенными по протонной плотности с подавлением МР-сигнала от жировой ткани. Режим сканирования основан на импульсной по-
следовательности «инверсия - восстановление» при TR1940, ТЕ 31,3. Выбираемые значения FOV 20/20 толщины среза 4 мм при шаге сканирования в 1 мм были при первом и втором режимах сканирования одинаковы. Дополнение традиционных Т2 ВИ-изображениями в режиме PDFS позволило получить дополнительную информацию о соотношении мембраны с окружающими анатомическими структурами за счет снижения интенсивности МР-сигнала от жировой клетчатки, что позволяет более четко определять положение мембраны (рис. 1).
Результаты и их обсуждение
В первой группе после устранения компрессии нервных структур биоде-градируемой мембраной «ЭластоПОБ» отграничивали следующие структуры: нервный корешок и твердую мозговую оболочку от окружающих прилегающих костных и связочных структур как спереди, так и сзади, тем самым создавая полную изоляцию нервно-сосудистого пучка от вовлечения во вторичный фиброзный процесс.
Для сравнения во второй группе использовали такую достаточно широко распространенную методику профилактики рубцово-спаечного процесса, как изоляция нервных структур аутологической жировой клетчаткой, которую забирали на этапе доступа, пропитывали раствором преднизоло-
на (30 мг), укладывали вокруг нервных структур. В контрольной группе выполняли стандартную микродискэк-томию, без профилактики эпидураль-ного фиброза.
Средний срок катамнеза составил 1,8 года (от 6 мес. до 4 лет). В послеоперационном периоде оценку качества жизни проводили по опроснику Освестри, болевого синдрома -по ВАШ. Дополнительно оценивали клинические проявления радикулопа-тии, а также МРТ пояснично-крестцо-вого отдела позвоночника на доопе-рационном этапе и после операции в динамике (рис. 2).
При проведении МРТ через 10 дней Т2-взвешенные изображения в режиме PDFS позволили получить дополнительную информацию о соотношении мембраны с окружающими анатомическими структурами за счет снижения интенсивности МР-сигнала от жировой клетчатки, что позволяет более четко определять положение мембраны. Sj корешок изолирован мембраной от прилежащих структур: передних, включающих заднюю продольную связку, входные ворота грыжевой компрессии, задней поверхности тел позвонков; боковых, включающих фасеточные суставы и ножки; задних, включающих мышечно-свя-зочный аппарат. Спустя 6 мес. после микродискэктомии визуализируются послеоперационные изменения прилежащих структур, отграничение сосудисто-нервного пучка от окружа-
МРТ (PDFS-режим, аксиальный срез) в динамике через 3 мес.: на фоне послеоперационных изменений визуализируется мембрана (стрелка), изолирующая нервный корешок и твердую мозговую оболочку от окружающих структур
ющих структур и рубцово-изменен-ных тканей.
Каких-либо нежелательных последствий использования биодеградируе-мой мембраны после поясничной ми-кродискэктомии не отмечено.
Все пациенты, которым проводили хирургическое лечение, выписаны из стационара с улучшением. Прослежен послеоперационный катам-нез. Результаты лечения оценивали на момент выписки, через 6 и 12 мес. после операции, далее ежегодно.
Оценка результатов лечения первой группы пациентов на момент выписки: уменьшение болевой корешковой симптоматики у 30 (100,0 %); из 16 больных, имевших до операции чувствительные расстройства, у 8 (26,4 %) отмечали их полное уменьшение, у 6 (19,8 %) - частичное уменьшение, у 2 (6,6 %) - при оценке через 6 мес. оставались на прежнем уровне; двигательные нарушения, имевшиеся у 6 (19,8 %) больных, полностью ушли к моменту оценки отдаленных результатов; у 1 больного отмечен синдром грушевидной мышцы в послеоперационном периоде, полностью регрессировавший на фоне выполненной серии блокад. Случаев инфекционных осложнений не отмечено.
Оценка результатов лечения пациентов второй группы: уменьшение болевой корешковой симптоматики у 30 (100,0 %); из 15 человек, имеющих до операции чувствительные расстройства, у 11 (36,3 %) - полное уменьшение чувствительных расстройств, у 3 (9,9 %) - они уменьшились, у 2 (6,6 %) при оценке через 6 мес. оставались на прежнем уровне; двигательные нарушения, отмеченные у 5 (16,5 %) пациентов, полностью уменьшились к моменту оценки отдаленных результатов.
Оценка результатов лечения пациентов контрольной группы: уменьшение болевой корешковой симптоматики у 30 (100,0 %) больных; из 18 человек, имевших до операции чувствительные расстройства, у 12 (39,6 %) отмечали полное их уменьшение, у 6 (19,8 %) они уменьшились, у 2 (6,6 %) - при оценке через 6 мес.
оставались на прежнем уровне; полное уменьшение двигательных нарушений к моменту оценки отдаленных результатов отмечено у 7 (23,1 %) пациентов, имевших двигательный дефицит на момент операции.
Грыжи диска на МРТ, грануляционный фиброз в послеоперационном периоде
МРТ при грыже диска позвоночника позволяет выявить направление, размеры выпячивания, состояние окружающих тканей, компрессию спинномозговых нервов. С помощью обследования удается также обнаружить сдавление спинного мозга. После выполнения магнитно-резонансной томографии врач получает возможности для планирования тактики лечения, прогнозирования осложнений заболевания у пациента. Межпозвоночная грыжа на МРТ снимках хорошо визуализируется, так как хрящевой диск насыщен водой, которая создает сигнал под влиянием сильного магнитного поля. Магнитно-резонансная томография не обладает лучевым воздействием на человека, поэтому имеет существенные преимущества перед рентгенографией, компьютерной томографией. Исследование является достаточно информативным, поэтому нейрохирурги практически всегда назначают его перед планированием оперативного вмешательства.
Динамическое МРТ грыжи позвоночника – возможности метода

Грыжа межпозвонкового диска в шейной области на МРТ Усовершенствованная технология магнитно-резонансной томографии с динамическим контрастированием позволяет выявить не только грыжу межпозвонкового диска, но и провести качественное исследование позвоночного столба в стадию послеоперационных изменений. После введения контраста удается оценить накопление вещества с последующим получением качественных снимков с цифровой субтракцией. После динамического контрастирования удается получить качественные графические изображения. Программные приложения оценивают динамику накопления и выведения контрастных соединений. Применение автоматизированных приложений позволяет получить высокоинформативную картинку в трехмерном изображении. Симеотика грыж диска на МРТ стандартизирована. При исследовании удается верифицировать не только изменения межпозвонкового диска на снимке, но и изучить состояние двигательного нерва на стадии послеоперационных изменений. Фиброз на МРТ – это частый признак рубцевания тканей после операции, но более опасно обнаружение других морфологических состояний: 1. Дисцит; 2. Эпидурит; 3. Гематома. Назначается магнитно-резонансная томография в послеоперационном периоде также для визуализации состояния оперированной части межпозвоночного диска. С помощью исследования удается выявить признаки раннего эпидурального фиброза, рецидива грыжевого выпячивания, осложнения в отдаленном и промежуточном постоперационном периоде. Дискэктомия – это нейрохирургическая процедура по удалению целой части или определенного сектора межпозвоночной грыжи. По информативности верификации эпидурального фиброза, гематомы, дисцита магнитно-резонансная томография обладает большей информативностью при сравнении с компьютерным аналогом. Самые достоверные признаки эпидурального фиброза можно выявить при использовании способа МРТ с динамическим контрастированием. Обследование включает увеличение интенсивности МР-сигнала не только от хрящевого диска, но и при формировании послеоперационного разрастания грануляционной и фиброзной ткани. Контрастное вещество хорошо накапливается соединительнотканными волокнами в виде интенсивного сигнала.
МРТ межпозвоночной грыжи после удаления

Эпидуральный фиброз на МРТ фото После удаления межпозвоночной грыжи на месте оперативного вмешательства возможно возникновение вторичных осложнений. Прослеживание динамики накопления контраста при избыточном разрастании соединительной ткани позволяет предположить вероятность эпидурального фиброза и рецидивного межпозвонкового выпячивания. Стандартизированы способы использования разных видов МРТ (с динамическим контрастированием, нативный вариант, алгоритмы диагностики при разных видах патологии) для выявления послеоперационных осложнений – формирование рубцов, гематомы. Эпидуральный фиброз, рецидивирующая грыжа, межпозвонковое выпячивание – такие изменения определяются при применении стандартных алгоритмов МР-обследования. Послеоперационные осложнения должны обнаруживаться на ранней стадии после дискэктомии. Исследование нужно проводить через 3 месяца после оперативного вмешательства. При появлении рецидивных болевых ощущений, исключении неврологической симптоматики требуется проведение контрастного усиления с целью верификации болезни. После проведения дифференциальной диагностики с помощью магнитно-резонансной томографии поясничного отдела позвоночника после дискэктомии удается выявить осложнения не только со стороны межпозвонкового диска, но и мягких тканей. Межпозвоночные грыжи на мрт снимках выявляются на разных сроках постоперационного периода. Для качественной верификации разработаны стандартизированные алгоритмы для верификации патологии в отдаленном, среднем и раннем периоде после дискэктомии. Даже при отсутствии клинических симптомов выявлена высокая вероятность значимости магнитно-резонансной томографии в послеоперационном периоде.
Как выглядит грыжа на снимке МРТ – клинические исследования

Существует несколько научных исследований относительно визуализации грыжи на снимке МРТ, изучения состояния рубцовой и грануляционной ткани. Для качественной оценки патологического состояния требуется анализ кривых накопления контрастного вещества через определенные временные промежутки. Для правильной оценки результата требуется выборка из серии МР-томограмм наиболее интенсивных срезов с участками повышенной интенсивности. На следующем этапе проводится оценка серий динамических снимков с выявлением патологических изменений. Для изучения анализа результатов требуется оценка типа кривых: 1. Линейный рост сигнала на протяжении 6 минут непосредственно после введения контраста. Постепенно интенсивность сигнала снижается. При появлении таких признаков вероятен эпидуральный фиброз и разрастание грануляций на месте проведения дискэктомии; 2. При втором типе прослеживается линейный рост сигнала на протяжении 15 минут. Данная кривая появляется при межпозвоночной грыже; 3. При третьей кривой интенсивность пика приходится на первые 2-е минуты сигнала, затем возникает значительное падение активности. Такая графическая картина характерна для венозных синусов. При разработке стандартов оценки состояния позвоночника за начальную отметку принимается интенсивность сигнала от позвоночника до проведения динамического контрастирования. Благодаря оценке характера накопления и выведения контраста удается верифицировать разрастание рубцовой и грануляционной ткани в области проведения операции. Стандартизированная методика магнитно-резонансной томографии поясничного отдела позвоночника базируется на следующие особенности: 1. Использование одинаковых импульсных сигналов после динамического контрастирования; 2. Применение аналогичных временных характеристик – оценка интервала до и после введения контраста, изучения скорости контрастирования. Использование МРТ с динамическим контрастированием с использованием вышеописанных требований позволяет отличить рецидивирующую грыжу, от оставленного послеоперационного фрагмента участка диска. Исследование позволяет верифицировать разницу между грануляционной тканью при эпидуральном фиброзе и межпозвонковой грыжей. Использование программных приложений для оценки цифровой субтракции позволяет оптимально изучить графические кривые для анализа накопления контраста в позвоночнике. Для анализа результата применяются специальные пакеты статистической обработки с оценкой таблиц сопряженности, использования функций криптивной статистики с использованием коэффициента Стьюдента, Фишера. Программное приложение основано на использовании методов непараметрической статистики, дискриминантами, дисперсионным, однофакторным, регрессионным, корреляционным построением кривых. После дискэктомии магнитно-резонансная томография помогает визуализировать патологическое состояние межпозвонкового диска даже при нормальном протекании процессов заживления. Есть некоторые клинические исследования, указывающие на эффективность магнитно-резонансной томографии, в послеоперационном периоде у пациентов с возникновением болевого синдром вследствие компрессии нервных корешков через некоторое время после дискэктомии. Обоснование проведения МРТ на основе европейских исследований показывает необходимость проведения процедуры у 76% пациентов после операций на позвоночнике по поводу грыжи межпозвонкового диска. При магнитно-резонансной томографии у людей после оперативного вмешательства на межпозвонковой грыже с помощью МРТ удалось выявить следующие осложнения: • Рубцовые изменения; • Усиление сигнала от металлических предметов; • Парамагнитный эффект от металлических частиц; • Субстраты для дальнейшего развития рецидивирующих грыж. Нейрокомпремирующие субстраты до и после операции у пациентов в послеоперационном периоде с повторным радикулярным болевым синдромом позволяют выявить эластические выпячивания, недискогенные грубые рубцы, эрозивные изменения, комбинированные комплексы на основе грубых костных остеофитов, сочетающие разрастания с включением отростков различных позвонков. Секвестрированная грыжа L5-S1 на МРТ У большинства пациентов в послеоперационном периоде преобладают грыжевые выпячивания. Послеоперационный фиброз развивается реже. Современные технологии позволяют использовать качественное лапароскопическое оборудование, позволяющее проводить точные микрохирургические вмешательства. Рубцовый фиброз на МРТ приводит к компрессии спинномозговых нервов. На фоне патологии вероятно сдавление спинного мозга. Дискогенный характер патологии приводит к выпадению межпозвонковых хрящевых дисков. На контрольных МРТ в послеоперационном периоде возможно выявление следующих патологических состояний: 1. Конгломерация; 2. Адгезия; 3. Компрессия; 4. Девиация. При поражении межпозвоночного дискового сегмента вероятна протрузия диска, компрессия и девиация. Недискогенный радикулит в послеоперационном периоде может быть обусловлен не только рецидивирующей грыжей, но и краевыми костными разрастаниями. Возможные результаты после МРТ позвоночника в послеоперационном периоде: 1. Грубые костные разрастания, протрузии, рубцы с компрессией спинномозговых нервов; 2. Морфологические субстраты для последующего формирования сильного болевого синдрома и радикулита; 3. Сдавление спинного мозга; 4. Выпадение функций некоторых двигательных и чувствительных спинномозговых нервов. МРТ снимок позвоночника у человека с болью в спине позволяет провести дифференциальную диагностику между следующими нозологическими формами: • Фасеточный артроз; • Миофасциальный синдром – болевые ощущения в паравертебральных мышцах на фоне остеохондроза; • Сужение позвоночного канала после длительной ходьбы, синдром перемежающей хромоты; • Остеопороз – разрешение костной ткани позвонков; • Опухоли и злокачественные новообразования позвоночного столба; • Деструктивные поражения – метастазы, туберкулезный спондилит, гиперпаратиреоз; • Аневризма брюшного отдела аорты; • Соматическая патология – пиелонефрит, панкреатит, болезнь желудка; • Гинекологические заболевания – рак, эндометрит, опущение матки; • Патология тазобедренного сустава; • Полимиалгия ревматическая. Таким образом, МРТ при грыже позвоночника позволяет выявить не только основную патологию, но и отследить состояние позвоночного столба в послеоперационном периоде.
Другие статьи из раздела «МРТ позвоночника»
Онлайн-консультация, Расшифровка снимков, Второе мнение - информационные, а не медицинские услуги.
Для постановки диагноза и назначения плана лечения следует записаться на очный прием к специалисту
МРТ после операции на позвоночнике
Магнитно-резонансная томография (МРТ) – это один из наиболее информативных методов, которые могут использоваться как перед хирургическим вмешательством, так и после него. Технология использует направленное воздействие сильного магнитного поля, которое необходимо чтобы вызвать резонанс в атомах водорода. В результате получаются качественные снимки с высокой степенью детализации.
Любые хирургические операции связаны с рассечением тканей. При этом хирурги получают доступ к проблемному участку – это может быть как сам позвоночник, так и окружающие его ткани. Важно понять, насколько успешно прошла операция и какие результаты были получены по ее итогам. И здесь магнитно-резонансная томография оказывается очень полезной.
Можно ли использовать МРТ после операции на позвоночнике
Важно понимать значимое преимущество магнитной-резонансной томографии – в процессе на организм человека не оказывается никакого негативного воздействия. Полностью исключается облучение, нет риска того, что МРТ спровоцирует рецидив какой-либо патологии, с которой хирурги боролись во время проведения операции.
Именно по причине своей безопасности, МРТ может проводиться до операции и после нее. Более того, при сложных хирургических вмешательствах без такой диагностики попросту не обойтись. Она показывает, в каком состоянии на данный момент находятся ткани, костные структуры, где локализовано повреждение и насколько сильным оно оказалось.
Также МРТ может проводиться и после выполнения операции. Периодичность не ограничена – это очень удобно при отслеживании восстановительного процесса. Также врачи могут сделать выводы о медикаментозной терапии, которую они применяют в процессе, понять, не требуется ли ее срочное корректирование.
При этом важно понимать, что вопрос о доступности использования МРТ для конкретного человека должен обсуждаться отдельно. У метода не так много противопоказаний, но они есть и их стоит учитывать. В остальном, никакого негативного давления на состояние здоровья не оказывается.
Когда применяется МРТ
Как уже было отмечено ранее, магнитно-резонансную томографию используют как до, так и после непосредственного хирургического вмешательства.
Есть множество ситуаций, в которых МРТ становится лучшим методом для проведения точной диагностики. Метод применяется после таких вариантов вмешательства, как нуклеопластика, радиочастотная термоаблация, лазерная вапоризация и другие. Особенно активно применяется такое средство после эндоскопического удаления грыжи диска.
Хорошо показывает себя магнитно-резонансная томография позвоночника и после проведения декомпрессионно-стабилизирующих хирургических вмешательств. Метод может использоваться и если предполагается непосредственная последующая специализация, к примеру, межостистая фиксация.
Когда у пациента наблюдается слабость костной структуры позвонков, к примеру, при гемангиоме, остеопоротическом патологическом переломе и в других ситуациях, МРТ также может проводиться в качестве контрольной процедуры. Это делает средство доступным при вертебропластике и кифопластике, выполняемых в современных клиниках.
Хирурги отмечают особенную важность послеоперационной магнитно-резонансной томографии в том случае, когда происходит вживление в позвоночник имплантов и различных искусственных частей. В таком случае можно установить их расположение, успешность приживаемости, особенности фиксации. Это полезно, чтобы не допустить потенциальных проблем, повторного оперирования, на ранних этапах заметить признаки отторжения.
Как проводится МРТ позвоночника после операции
МРТ – это метод, который позволяет оценить текущее состояние позвонков, межпозвоночных дисков, нервной системы, спинного мозга и прилегающих тканей. Использование дополнительного контрастного усиления открывает возможности для анализа системы кровообращения, поиска потенциальных затруднений в ее нормальном функционировании.
Проведение магнитно-резонансной томографии занимает от 30 минут до одного часа. В ряде случаев процедура может быть менее длительной, когда стоит задача определить меньшее количество параметров.
Дополнительно увеличивает длительность диагностической процедуры необходимость использования контрастного усиления. В этом случае длительность становится больше в полтора-два раза.
Во время самого МРТ человек укладывается на специальную кушетку, которая помещается внутрь томографа. Там создается интенсивное магнитное поле, которое и провоцирует явление резонанса.
Главное требование при МРТ – на протяжении всего времени процедуры пациент должен сохранять полную неподвижность. Потенциальное изменение положения тела приводит к тому, что снимок получается менее четким.
Томограф формирует множество виртуальных срезов обследуемой области. Они получаются очень тонкими и четкими, складываются в полноценную трехмерную модель. Именно по этой модели и удается отследить наличие разных вариантов патологий, которые присутствуют у конкретного пациента, либо установить его состояние после операции на позвоночнике.
Дополнительное контрастное усиление возможно в том случае, если это рекомендовал лечащий врач. В организм внутривенно вводится специальное вещество на основе солей гадолиния. Оно значительно повышает информативность снимков, позволяет на раннем этапе развития отыскать новообразования и получить другие важные данные.
По итогам проведения процедуры вы получите снимки, которые также могут быть записаны на специальный носитель. Рентгенолог с большим опытом готовит подробную расшифровку полученных сведений. Данные можно использовать для дальнейшего лечения, корректировки выбранной схемы терапии и решения ряда других задач.
Предпосылки для проведения МРТ позвоночника после операции
Магнитно-резонансная томография может назначаться в разных случаях, инициироваться как самим пациентом, так и его лечащим врачом. В частности, направление на МРТ выдают хирурги, вертеброневрологи, неврологи и другие медицинские специалисты.
Консультация врача особенно важна для того, чтобы понять, нужно ли использовать контрастное усиление, есть ли какие-либо дополнительные требования при выполнении диагностики.
Среди основных причин, по которым назначается МРТ позвоночника после операции:
- Необходимость контроля успешности восстановительного процесса.
- Проведение анализа качества хирургического вмешательства.
- Наличие признаков негативной реакции организма – воспаления, нарушения целостности тканей.
- Появление внешних признаков проблем – болевого синдрома, увеличения температуры тканей в анализируемом месте, нестабильность позвоночного столба и многое другое.
Очень важно выполнить магнитно-резонансную томографию и до непосредственного хирургического вмешательства. Это позволяет установить исходные данные для оперирования, определить сложность ситуации в конкретном случае, потенциальные риски.
Спинальный стеноз
Стеноз позвоночного канала является заболеванием, включает сочетание сужения позвоночного канала согласно либо компьютерной томографии(КТ), либо магнитно-резонансной томографии(МРТ) либо рентгенографии позвоночника (спондилографии) и характерных клинических симптомов. При проведении МРТ лицам старше 60 лет отмечено, что 21 % из них имел рентгенологические признаки сужения позвоночного канала на поясничном уровне. Лишь треть (33 %) предъявляли характерные для стеноза жалобы.
Внедрение в широкую клиническую практику КТ и МРТ привело к значительному увеличению диагностики данной патологии.
Классификация
- По анатомическим критериям различают
- центральный стеноз — уменьшение расстояния от задней поверхности тела позвонка до ближайшей противоположной точки на дужке у основания остистого отростка
- латеральные стенозы — сужение корешкового канала и межпозвонкового отверстия до 4 мм и менее
- врождённый или идиопатический стеноз; ахондроплазию
- приобретённый стеноз
- комбинированный стеноз — любое сочетание врождённого и приобретённого стеноза
Эпидемиология
Стеноз позвоночного канала на поясничном уровне является весьма распространённым заболеванием. Его частота резко возрастает у людей старше 50 лет и в данной возрастной группе составляет от 1.8 до 8 %. По данным датских авторов, стеноз поясничного отдела позвоночника встречается с частотой 272 случая на 1000000 населения в год. Ежегодно по поводу данной проблемы в скандинавских странах оперируется 9,7 на 100 000 населения.
Этиология
Врождённый стеноз обусловлен анатомическими особенностями строения позвоночника у человека и проявляется
- укорочением дуги позвонков
- ахондроплазией (увеличение толщины дуги позвонка, укорочение ножки и уменьшение высоты тела позвонка)
- хрящевой и фиброзной диастематомиелией
Причины возникновения приобретённого стеноза различны. Основными являются:
- деформирующий спондилоартроз с гипертрофией межпозвонковых суставов, образованием краевых остеофитов
- оссифицированные грыжи межпозвонковых дисков
- гипертрофия и оссификация жёлтой связки
- болезнь Форестье (диффузный идиопатический гиперостоз ревматоидной природы)
- болезнь Бехтерева
- спондилолистез дегенеративно-дистрофического генеза
- ятрогенный стеноз — образование субарахноидальных спаек и/или послеоперационных рубцов
- «стальной стеноз» — внедрение металлических конструкций в просвет позвоночного или радикулярного канала
Центральный стеноз возникает за счёт патологических процессов в анатомических структурах формирующих позвоночный канал (в частности межпозвонковых дисках, межпозвонковых суставах, жёлтой связке, задней продольной связке), в котором содержатся спинномозговой мешок с включенными в него нервными корешками.
Латеральный стеноз может возникать в одной или нескольких из трёх анатомических зон: зоне входа (латеральном рецессусе), средней зоне и зоне выхода (межпозвонковом отверстии).
Патогенез
Патофизиологические механизмы, вызывающие развитие характерных жалоб, обусловлены сочетанием трёх групп факторов — повышения эпидурального давления, асептического воспаления и ишемии. Возникновение каждого из них обусловлено хроническим сдавлением нервно-сосудистых структур позвоночного канала.
За счёт хронической компрессии возникает несоответствие кровотока к нервным структурам позвоночного канала. Уровень поступающей крови снижается и соответственно возникает ишемия нервного корешка (при латеральном стенозе) и конского хвоста (cauda equina) (при центральном). При комбинированном стенозе наблюдается сочетание ишемии как конского хвоста, так и нервного корешка. Отмечено, что явления ишемии вызывают процессы демиелинизации, образование спаек между мягкой и арахноидальной мозговыми оболочками, развитие интерстициального фиброза и рубцово-спаечного эпидурита.
Потребность в кислороде возрастает при усилении биохимических процессов. Этим объясняется тот факт, что жалобы на боли в спине и/или ногах, слабость при стенозе позвоночного канала возникают при ходьбе.
Несоответствие объёма нервно-сосудистых структур объёму позвоночного канала вызывает повышение эпидурального давления и как следствие вызывает возникновение воспалительного процесса. Эпидуральное давление повышается при ходьбе, что вызывает продукцию эктопических нервных импульсов и проявляется возникновением болевых ощущений
При сгибании высота межпозвонкового отверстия увеличивается на 12 %, при разгибании уменьшается на 15 %. Этим объясняется характерная жалоба, которая состоит в регрессе боли вплоть до полного исчезновения при присаживании, нагибании. Более того, на основании этого симптома проводят дифференциальную диагностику между нейрогенной (при стенозе позвоночного канала) и сосудистой перемежающейся хромотой. Так, при нейрогенной перемежающейся хромоте в отличие от сосудистой человек может достаточно долго работать на велотренажере, не испытывают жалоб при длительном вождении автомобиля.
Стеноз позвоночного канала как следствие остеохондроза
Наиболее часто приобретённый стеноз позвоночного канала является последней 4-й стадией остеохондроза позвоночника. Её возникновение характеризуется тем, что на фоне нестабильности позвоночно-двигательного сегмента (3-я стадия остеохондроза) развиваются компенсаторные процессы направленные на его стабилизацию. К ним относятся разрастание костной ткани в виде остеофитов, артроз межпозвонковых суставов. Межпозвонковые суставы ограничивают как позвоночный канал, так и зоны входа нервного корешка, промежуточную зону и межпозвонковое отверстие. Соответственно разрастание межпозвонковых суставов приводит к сужению вышеуказанных анатомических образований и соответственно к развитию стеноза.
Клиника
При исследовании группы больных со стенозом позвоночного канала на поясничном уровне отмечено, что ведущими жалобами являются:
- боль в спине (95 %)
- синдром нейрогенной перемежающейся хромоты (91 %)
- радикулярная боль в одной или двух ногах (71 %)
- слабость в одной или двух ногах (33 %)
У больных, которые отмечали сочетание боли в ноге и пояснице 70 % отмечали одинаковую интенсивность боли в ноге и пояснице, у 25 % преобладала боль в ногах. В 58 % случаев боль имелась в одной ноге и в 42 % она была двусторонней. У большинства больных отмечалась радикулопатия нескольких нервных корешков. В основном боль при стенозе позвоночного канала распространяется в дерматомах L5 (91 %) и SI (63 %), реже в дерматомах L1-L4 (28 %).
В монографии Зозули Ю. А. и соавторов приведена таблица частоты встречаемости различных жалоб у больных со стенозом позвоночного канала.
частота встречаемости %
Люмбалгия (боль в пояснице)
Нейрогенная перемежающаяся хромота
Симптомы натяжения (Лассега, Вассермана и др.)
Нарушение чувствительности в ногах
Ишиалгия (боль в ноге)
Гипотрофия мышц нижних конечностей
Нарушения чувствительности в аногенитальной зоне
Крампи икроножных мышц
Нарушение функции тазовых органов
Нейрогенная перемежающаяся хромота является патогномоничным симптомом, позволяющим ещё до проведения дополнительных методов обследования предположить наличие стеноза позвоночного канала. Для неё характерно появление боли при ходьбе, которая регрессирует при присаживании либо наклонении туловища вперёд. После этого человек снова может пройти определённую дистанцию до появления болезненных ощущений. В положении сидя больной может выполнять любую работу (велотренажёр, вождение автомобиля) без возникновения боли. Интенсивность нейрогенной перемежающейся хромоты оцениваается в расстоянии (метрах), которое может пройти человек до появления боли.
Диагностика
Диагноз стеноза позвоночного канала может быть установлен на основании сочетания клинических жалоб и сужения просвета позвоночного канала соответственно данным дополнительных методов исследования.
Сужение позвоночного канала (переднезадний размер менее 12 мм) может быть выявлено согласно магнитно-резонансной томографии, компьютерной томографии и рентгенографии (спондилографии) позвоночника.
Лечение
Лечение стеноза позвоночного канала может быть консервативным и оперативным.
Консервативное лечение
Консервативное лечение включает в себя назначение анталгических, сосудистых, противовоспалительных препаратов. Однако оно является недостаточно эффективным в лечении стеноза позвоночного канала, так как приводит к улучшению самочувствия у 32—45 % больных.
Хирургическое лечение
Хирургическое лечение стеноза позвоночного канала имеет ряд особенностей. Во-первых, имеется несколько типов операций применяемых при стенозе:
- декомпрессивная ламинэктомия
- установка стабилизирующих систем
- установка систем межостистой фиксации
Во-вторых стеноз, позвоночного канала часто сочетается с другими видами патологии позвоночника, такими как нестабильность и грыжи межпозвонковых дисков.
Декомпрессивная ламинэктомия
Декомпрессивная ламинэктомия включает в себя резекцию структур, которые приводят к сдавлению нервного корешка и/или конского хвоста (cauda equina) задним доступом, а именно остистого отростка. дуг позвонков, жёлтой связки, межпозвонковых суставов.
В историческом аспекте декомпрессивная ламинэктомия была первым типом операций, применяемых для лечения стеноза позвоночного канала.
В то же время проведение декомпрессивной ламинэктомии имеет целый ряд недостатков, которые приводят к её недостаточной эффективности. Так вследствие данной операции происходит удаление тех структур, которые формируют третью опорную колонну позвоночника по Денису или вторую опорную колонну позвночника по Holdsworth. Результатом в большом количестве случаев становится развитие нестабильности позвоночника, что приводит к неудовлетворительным результатам лечения, синдрому неудачно оперированного позвоночника. Различные источники указывают на 13—43 % риск развития нестабильности после проведения декомпрессивной ламинэктомии.
Недостаточная эффективность декомпрессивной ламинэктомии, вследствие развития нестабильности позвоночника, привела к её дополнению во многих случаях стабилизирующими операциями.
Стабилизирующие операции
Сторонники фиксации позвоночника после ламинэктомии ссылаются на биомеханические данные. Обнаружено, что ламинэктомия приводит к увеличению объёма движения при флексии на 16 % (Р < 0,05), экстензии на 14 % (Р < 0,04) аксиальной ротации на 23 % (Р < 0,03). При флексии натяжение фиброзного кольца диска после интерламинарной декомпрессии увеличивается на 20 %, а после ламинэктомии на 130 %.
Дополнение декомпрессивной ламинэктомии системами стабилизации (передними или задними) значительно улучшило результаты хирургического лечения стеноза позвоночного канала.
В то же время применение стабилизирующих систем не лишено недостатков. Кроме возможных осложнений, во время их установки, возникают нарушения биомеханики соседних со стабилизируемыми позвоночно-двигательных сегментов, которые проявляются их гипермобильностью. Это в свою очередь приводит к развитию, так называемой «болезни смежного уровня». Она включает в себя развитие спондилолистеза, стеноза позвоночного канала, переломов, сколиоза.
Недостаточная эффективность декомпрессивной ламинэктомии за счёт развития нестабильности позвоночника, развитие «болезни смежного уровня» при дополнении декомпрессии установкой стабилизирующих систем привело к поиску альтернативных методов хирургического лечения стеноза позвоночного канала.
Системы межостистой фиксации
Концепция динамической стабилизации основывается на том, что пусковым механизмом стеноза позвоночного канала является уменьшение высоты межпозвонкового диска вследствие дегенеративных изменений, что в свою очередь, обусловливает перераспределение осевой нагрузки с передних опорных столбов на задние (до 70 %). Использование динамической межостистой фиксации обеспечивает снижение нагрузки на задние опорные столбы и расширение площади позвоночного канала, что способствует уменьшению или исчезновению люмбалгического синдрома, обусловленного фасет-синдромом.
Техника установки систем межостистой динамической фиксации заключается в проведении задней декомпрессии (системы Cophlex, DIAM, WALLIS), с последующей установкой в межостистый промежуток имплантатов, которые с одной стороны восстанавливают заднюю опорную колонну (по Денису) позвоночника, а с другой сохраняют возможность сгибания и разгибания как в оперируемом так и в смежных позвоночно-двигательных сегментах.
Эффективность оперативных вмешательств по поводу стеноза позвоночного канала, в которых совмещены микрохирургическая декомпрессия и динамическая межостистая стабилизация, составляет 87 %, они позволяют значительно сократить сроки восстановления трудоспособности.
Особенностью систем межостистой динамической фиксации является возможность осуществление как сгибания, так и разгибания в позвоночно-двигательном сегменте, что предотвращает развитие у больных «болезни смежных уровней»
При установке имплантатов в межостистый промежуток также уменьшается нагрузка на межпозвонковые суставы, происходит аксиальная декомпрессия корешков вследствие увеличения высоты межпозвонковых отверстий. Уменьшение нагрузки на суставы способствует релаксации связочного аппарата
Противопоказанием к применению межостистой динамической стабилизации является нестабильность в позвоночно-двигательном сегменте. Поскольку они стабилизируют лишь задние опорные столбы (по Денису), то их лечебный эффект при данной патологии оказывается недостаточным.
На данный момент в медицине используются следующие системы межостистой динамической фиксации — Coflex (Co-promotes flexion) — синоним U-имплантат, DIAM (Device for Intervertebral Assisted Motion), Wallis (Wall Inter Spinously placed), X-Stop (eXtension Stop), In-Space и Aperius.
Особенности хирургического лечения стеноза сочетающегося с нестабильностью
При сочетании стеноза позвоночного канала с нестабильностью позвоночника применение лишь декомпрессии или систем межостистой динамической фиксации неприемлемо, так как вызовет нарастание нестабильности и ухудшение самочувствия больного.
При нестабильности в сочетании со стенозом позвоночного канала методом выбора является применение стабилизирующих систем (как передних, так и задних)
Особенности хирургического лечения стеноза позвоночного канала в сочетании с межпозвонковыми грыжами
Сужение позвоночного канала приводит к тому, что появление даже небольшой по размерам протрузии межпозвонкового диска переводя состояние субкомпенсации в декомпенсации. Резкое нарастание клинических проявлений, вызванных грыжей межпозвонковых дисков свидетельствует о сочетании её с сужением позвоночного канала.
Данное сочетание требует проведения микродискэктомии, особенностью которой является широкая резекция костных структур (межпозвонкового сустава, полудуги позвонка) вызывающих сужение позвоночного канала.
Читайте также:
