МРТ при постлучевых изменениях костного мозга
Добавил пользователь Евгений Кузнецов Обновлено: 18.12.2025
Костный мозг занимает примерно 5% общей массы тела и играет активную роль в гемапоэзе (формировании крови). Состоит костный мозг, в основном, из стволовых клеток (всех видов клеточных элементов крови), окружающих поддерживающих клеток – макрофагов, адипоцитов и большого числа других, участвующих в питании, пролиферации (росте) и дифференциации стволовых клеток. Красный костный мозг содержит около 40% жира, желтый до 80%. Эта особенность помогает в выявлении различных патологий, связанных с изменением этого соотношения, при МРТ позвоночника.
К жировой ткани наиболее чувствительны Т1-взвешенные МРТ. Они являются основой протокола МРТ. В дополнение используются Т2-взвешенные МРТ с подавлением сигнала от жира. Ниже мы остановимся на основных патологиях, проявляющихся на МРТ позвоночника, как патология костного мозга, в первую очередь.
- Гемангиома, одиночная или множественная, составляет 10-12% изменений в позвонках. Она относится к сосудистым аномалиям и имеет характерные признаки при МРТ позвоночника – округлая или трабекулярная, светлая на Т1-взвешенных и Т2-взешенных МРТ, не меняется МРТ методиками подавления сигнала от жира.
- Локальные жировые депозиты появляются с возрастом и являются вариантом нормы. Жировые отложения также наблюдаются при остеохондрозе вдоль замыкательных пластинок (жировая дегенерация, или тип 2 по классификации Modic). Они яркие на Т1-взвешенных МРТ позвоночника и становятся темными при МРТ подавлении сигнала от жира. Иногда встречаются смешанные варианты изменений костного мозга при остеохондрозе, полностью не подавляющиеся при применении МРТ последовательности STIR.
- Болезнь Пэджета относится к метаболическим нарушениям и наблюдается у 1-3% лиц старше 40 лет. Поражение позвонков занимает второе место после костей таза. В диагностике болезни Пэджета очень помогает выявление литических очагов в костях черепа. Болезнь Пэджета проходит 3 стадии – литическую, смешанную и бластическую. В соответствии с этими стадиями при МРТ позвоночника наблюдается разная картина. В литической стадии сигнал от очага яркий на Т2-взвешенных МРТ и низкий на Т1-взвешеенных МРТ, затем сменяется на гипоинтенсивный на МРТ обоих типов взвешенности по мере увеличения склероза и фиброза. При МРТ позвоночника обнаруживаются и другие характерные черты болезни Пэджета – утолщение кортикальных пластинок тел позвонков, жировое перерождение на поздней стадии и в ходе успешного лечения.

МРТ позвоночника. Т1-взвешенная сагиттальная МРТ пояснично-крестцового отдела. Замещение костного мозга крестца жиром при болезни Пэджета.
- Липома относится к доброкачественным опухолям из жировой ткани. Они составляют около 1% всех первичных опухолей костей и не больше 4% из них локализуются в позвонках. При МРТ позвоночника липомы трудно отличимы от жировых депозитов, однако, они более четко очерчены и могут подвергаться внутреннему некрозу и кальцификации
- кровоизлияния в позвонки встречаются при травмах. При МРТ позвоночника прослеживается характерная динамика крови в зависимости от давности кровоизлияния.
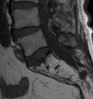
- Последствие лучевой терапии сводятся к замещению красного костного мозга на желтый. При поглощенной дозе, превышающей 36Гр этот процесс становится необратимым. При МРТ позвоночника видно диффузное увеличение сигнала на Т1-взвешенных МРТ с четкой границей, соответствующей полю облучения. После лучевой терапии и химиотерапии также может развиваться миелофиброз – замещение костного мозга фиброзной тканью. При МРТ позвоночника сигнал очень низкий как на Т1-взвешенных, так и на Т2-взвешенных МРТ.

МРТ позвоночника. Т1-взвешенная сагиттальная МРТ грудного отдела. Жировая дегенерация костного мозга после лучевой терапии.
- Остеопороз приводит к уменьшению клеточного состава костного мозга и увеличению жира. При МРТ позвоночника чаще видно диффузное увеличение сигнала от тел позвонков на Т1-взвешенных МРТ. Встречаются также очаговые изменения, требующие при МРТ позвоночника дифференциальной диагностики с гемангиомами. МРТ диагностика при остеопорозе представлена также в отдельной статье.
- Спондилоартропатии при МРТ позвоночника часто проявляются “светящимися” углами на Т2-взвешенных МРТ. Особенно это характерно для острой стадии анкилозирующего спондилита. Смена острой фазы на хроническую приводит к превращению воспалительной реакции в депо жировой ткани, светлой на Т1-взвешенных МРТ. МРТ позвоночника при различных заболеваниях, относящихся к группе спондилоартропатий, посвящена специальная статья на нашем другом сайте.
- Анорексия сопровождается разными изменениями в организме, в том числе и остеопорозу и снижению интенсивности сигнала на Т1-взвешенных МРТ, а также отеку костного мозга, что обозначается термином “желатинозная трансформация”. На Т2-взвешенных МРТ (особенно с подавлением сигнала от жира) появляется слабое диффузное увеличение сигнала от позвонков. При МРТ позвоночника с контрастированием отмечается аморфное усиление сигнала.

МРТ позвоночника. Т2-взвешенная сагиттальная МРТ. Желатинозная трансформация при нарушении питания.
- Гемосидероз – явление наблюдающееся при гемолитической анемии. При МРТ позвоночника костный мозг приобретает низкий сигнал. В дифференциальной диагностики важно, что такой же низкий сигнал приобретает печень и селезенка.
- Болезнь Гоше – аутосомно-рецессивное наследственное заболевание классифицируемое как сфинголипидоз и проявляющееся в накоплении глюкоцереброзидов в гистиоцитах. Диагноз ставится на основании пункции селезенки и обнаружении специфических клеток. При МРТ позвоночника красный костный мозг замещается клетками Гоше, которые гипоинтенсивны на Т1- и Т2-взвешенных МРТ. Кроме того, при МРТ позвоночника часто наблюдаются костные инфаркты.

МРТ позвоночника. Т1-взвешенная МРТ грудного отдела позвоночника. Болезнь Гоше.
- Миелопролиферативные и миелодиспластические синдромы к которым относится хронический миелолейкоз и другие хронические лейкозы, полицитемия, мастоцитоз, эссенциальная тромбоцитопения при МРТ позвоночника проявляются однородно сниженным сигналом на Т1-взвешенных МРТ. На Т2-взвешенных МРТ позвоночника нередко наблюдается “обратная” яркость межпозвоночных дисков, они становятся светлее тел позвонков. МРТ головного мозга при опухолях кроветворной системы также может выявить его поражение.

МРТ позвоночника. Т2-взвешенная сагиттальная МРТ шейного отдела позвоночника. Хронический миелолейкоз.
- Саркоидоз поражает костный мозг в 1-3% случаев. Поражение головного мозга и спинного мозга при саркоидозе встречается гораздо чаще. При МРТ позвоночника наблюдаются склеротические очаги, очень напоминающие метастазы, часто множественные. Очаги могут быть смешанными литическими со склеротическими ободками. При МРТ позвоночника с контрастированием может наблюдаться усиление сигнала от очагов.
- Талассемия – большая группа аутосомно-рецессивных заболеваний проявляющаяся в нарушении синтеза цепей глобина эритроцитов. Заболевание проявляется гемолитической анемией. Диагноз ставится на основании пунктата костного мозга. При МРТ позвоночника сигнал от позвонков очень низкий и встречается экстрамедуллярный гемопоэз.
- Множественная миелома (плазмоцитома) относится к гематологическим заболеваниям. МРТ позвоночника при множественной миеломе рассматривается в отдельной статье.
При МРТ в СПб в наших клиниках мы поводим дифференциальный диагноз с метастазами и первичными опухолями позвоночника. Кроме того, при МРТ позвоночника надо исключить воспалительные процессы – туберкулезный спондилит и спондилодисцит.
МРТ при постлучевых изменениях костного мозга
а) Определения:
• Трансформация на фоне лучевой терапии красного костного мозга в жировой
б) Визуализация:
1. Общие характеристики:
• Наиболее значимый диагностический признак:
о Интенсивность сигнала (ИС) костного мозга в пределах зоны облучения в Т1-режиме соответствует ИС подкожной клетчатки
• Локализация:
о Соответствует области облучения
• Размеры:
о Соответствуют размерам области облучения
• Морфология:
о Однородная гиперинтенсивность сигнала костного мозга:
- Неоднородный характер сигнала дает основание заподозрить рецидив поражения костного мозга
о Четкие границы между измененным и неизмененным костным мозгом (границы области облучения)
2. Рентгенологические данные постлучевых изменений костного мозга:
• Рентгенография:
о ± остеопения, компрессионные переломы
3. КТ постлучевых изменений костного мозга:
• Костная КТ:
о ± компрессионные переломы
о Неинформативна в отношении диагностики жировой перестройки костного мозга
4. МРТ постлучевых изменений костного мозга:
• Т1-ВИ:
о Очень высокая интенсивность сигнала костного мозга (соответствует жировой ткани)
• Т2-ВИ:
о Промежуточная ИС, соответствует жировой ткани
• PD/промежуточный режимы:
о Промежуточная ИС, соответствует жировой ткани
• STIR:
о Высокая интенсивность сигнала в острую фазу (отек)
о Низкая интенсивность сигнала в последующем (жировая перестройка)
• Т1-ВИ с КУ:
о Контрастное усиление сигнала в острую фазу:
- Возможно связано с застойными явлениями
о В последующем контрастное усиление исчезает:
- Снижение кровоснабжения, фиброз
• Первые три недели:
о Отсутствие изменений или ранняя гиперинтенсивность Т1-сигнала костного мозга:
- Гиперинтенсивность сигнала позволяет предположить наличие кровоизлияний ± жировую перестройку
о Гиперинтенсивность в STIR:
- Отек и некроз костного мозга
- Изменения наиболее выражены в течение первых 9 дней после облучения, в последующем ИС постепенно снижается
• 3-6 недель:
о Неоднородный пятнистый характер сигнала в Т1
о Усиление сигнала за счет жировой перестройки в центральных отделах тел позвонков вокруг базивертебральных вен
• После шести недель:
о Диффузная и гомогенная гиперинтенсивность сигнала в Т1
о Полосы промежуточной ИС по периферии:
- Вокруг центрального гиперинтенсивного костного мозга
- Могут быть отражением регенерации гемопоэтического костного мозга
о Характерные изменения, захватывающие >90% костного мозга в пределах области облучения
5. Радиоизотопные исследования:
• Костная сцинтиграфия:
о Четко ограниченное очаговое или диффузное снижение захвата изотопа вследствие уменьшения кровоснабжения облученных участков костного мозга
• ПЭТ:
о Снижение метаболической активности костного мозга
• Сцинтиграфия с серным коллоидом, меченым 99m Тс:
о Четко ограниченная «холодная» зона, соответствующая границам области облучения
6. Другие методы исследования:
• Двухэнергетическая рентгеновская абсорбциометрия:
о Возможно уменьшение костной массы
7. Рекомендации по визуализации:
• Наиболее оптимальный метод диагностики:
о Методом выбора при исследовании костного мозга является МРТ
• Протокол исследования:
о Т1-ВИ — наиболее чувствительный в отношении диагностики жировой перестройки костного мозга режим
о STIR или FSET1 с насыщением жировой ткани наиболее информативны в отношении диагностики рецидивов или остаточных явлений поражений костного мозга
о Т1-ВИ без КУ и с КУ и подавлением сигнала жира увеличивают чувствительность в отношении диагностики очаговых поражений

(Слева) Сагиттальный срез, Т1-ВИ шейно-грудного отдела позвоночника: признаки однородного усиления сигнала костного мозга грудных позвонков с достаточно хорошо выраженной переходной зоной этих изменений на уровне Т1-Т2, т. е. на уровне верхней границы области облучения.
(Справа) Сагиттальное Т1-ВИ с признаками гомогенной постлучевой жировой перестройки костного мозга грудных позвонков и четкими границами этих изменений, соответствующими границам области облучения.
в) Дифференциальная диагностика постлучевых изменений костного мозга:
1. Нормальный жировой костный мозг:
• Изменения коррелируют с возрастом пациента
• Преимущественная интенсивность сигнала соответствует жировой ткани, нередка некоторая неоднородность сигнала
• Отсутствие четких границ с неизмененным костным мозгом
• ± компрессионные переломы
• Отсутствие патологических изменений захвата изотопов при сцинтиграфии и ПЭТ
2. Гемангиома позвонка:
• Четко ограниченное округлое образование
• Типична гиперинтенсивность в Т1 и Т2, связанная с наличием жировой стромы
• Яркое контрастное усиление

(Слева) На сагиттальном Т1-ВИ определяются признаки жировой перестройки костного мозга нижней половины тела Т5 и целиком тел и задних элементов Т6-Т8 позвонков. Обратите внимание на T9 позвонок, костный мозг которого практически полностью инфильтрирован опухолью.
(Справа) Сагиттальный срез, Т2-ВИ: признаки жировой перестройки костного мозга нижней половины тела Т5 и целиком тел и задних элементов Т6-Т8 позвонков. Костный мозг T9 позвонка инфильтрирован метастазом опухоли.
г) Патология:
1. Общие характеристики:
• Этиология:
о Лучевое повреждение гемопоэтических элементов костного мозга (отличающихся высокой радиочувствительностью)
о Сопутствующее снижение костной массы
о Изменения МР-сигнала костного мозга зависят от дозы облучения, ее фракционирования и времени, прошедшего с момента окончания терапии:
- Признаки жировой перестройки костного мозга появляются через две недели после облучения:
Через два месяца после облучения жировая перестройка наблюдается более, чем у 90% пациентов
- При дозе облучения 1,25 Гр ИС костного мозга не меняется
- При дозе в 50 Гр признаки жировой перестройки сохраняются и через девять лет после облучения:
Полное и необратимое исчезновение гемопоэтических элементов
- При дозах 20-30 Гр через 10 лет восстанавливается картина нормального костного мозга:
Частичное восстановление наступает в период от 2 до 9 лет
о Реконверсия жирового костного мозга в красный у детей наступает через 11-30 месяцев после облучения
• Генетика:
о Генетическая предрасположенность отсутствует
• Сочетанные изменения:
о Остеопения
о Остеопоротические компрессионные переломы
о Остеонекроз:
- Четкая граница между нормальным костным мозгом и зоной инфаркта
- МРТ:
Гиперинтенсивность в STIR и FS Т2
Гипоинтенсивность в Т1
± внутрипозвонковое жидкостное скопление
± КУ после внутривенного введения гадолиния
- Рентгенография, КТ:
± линейное скопление газа в теле позвонка, склероз
- Костная сцинтиграфия:
Отсутствие захвата изотопа, за исключением случаев развития коллапса тела позвонка
Бывает сложно отличить от рецидива метастатического поражения
о Для дифференциальной диагностики показана биопсия
о Рецидив или продолженный рост опухоли:
- Множественные дискретные очаги
- Парадуральный или паравертебральный мягкотканный компонент
- Патологические переломы
- Гипоинтенсивная в Т1 зона, окруженная жировым костным мозгом
- Гиперинтенсивность в STIR или FS Т2
- Очаговые образования после курса лечения могут не накапливать контраст
о Постлучевой миелит:
- Диффузная гиперинтенсивность Т2-сигнала спинного мозга в пределах области облучения
- Умеренная гипоинтенсивность в Т1
- Утолщение спинного мозга ± неправильной формы очаги контрастного усиления (некроз)
2. Микроскопия:
• Исследование на крысах, подвергшихся однократному облучению в дозе 20 Гр
• Снижение числа клеточных элементов и повреждение синусоидных сосудов:
о Сочетанные отек и кровоизлияния
• Восполнение клеточного состава костного мозга:
о Одновременное увеличение и жирового компонента
• Уменьшение клеточности костного мозга и уменьшение числа синусоидов:
о Фиброз с последующим увеличением жирового компонента
• Постепенная регенерация гемопоэтических элементов и синусоидов

(Слева) На сагиттальном STIR МР-И у этого же пациента видно, что нормальный костный мозг и измененный в результате облучения костный мозг характеризуются практически одинаковой низкой интенсивностью сигнала, тогда как очаг метастатического поражения характеризуется высокой интенсивностью сигнала.
(Справа) На следующем сагиттальном FS T1-ВИ с КУ отмечается подавление сигнала и отсутствие контрастного усиления подвергшегося облучению и последующей жировой перестройке костного мозга нижней половины тела Т5 и тел и задних элементов Т6-Т8 позвонков. Тело T9 позвонка практически полностью замещено накапливающим контраст метастазом опухоли.
д) Клинические особенности:
1. Клиническая картина постлучевых изменений костного мозга:
• Наиболее распространенные симптомы/признаки:
о Обычно бессимптомное течение
• Другие симптомы/признаки:
о Боль (перелом)
о Миелопатия или радикулопатия вследствие компрессионного перелома или инфильтрации опухолью
• Особенности клинической картины:
о Развитие или прогрессирование болевого синдрома и неврологического дефицита обычно связано с постлучевым некрозом, переломами позвонков или рецидивом/прогрессирова-нием опухоли
2. Демография:
• Возраст:
о Дети и взрослые
• Пол:
о М = Ж
• Этническая предрасположенность:
о Отсутствует
• Эпидемиология:
о Ожидаемая находка у всех пациентов, подвергшихся лучевой терапии
3. Течение заболевания и прогноз:
• Восстановление картины нормального костного мозга при длительных сроках наблюдения за пациентами: > 10 лет
• Зависят в первую очередь от характера первичного заболевания, по поводу которого проводилась лучевая терапия
4. Лечение постлучевых изменений костного мозга:
• Ожидаемая находка после проведенной лучевой терапии, при отсутствии осложнений лечения не требует:
о Симптоматическая терапия при компрессионных переломах
о Хирургическое лечение при сдавлении спинного мозга или нестабильности позвоночника
е) Диагностическая памятка:
1. Следует учесть:
• Методом выбора при исследовании костного мозга является МРТ: Т2-ВИ FS или STIR и Т1 FS с КУ
2. Советы по интерпретации изображений:
• Гомогенная жировая перестройка костного мозга, четко отграниченная от неизмененного костного мозга, является характерным диагностическим признаком постлучевых изменений костного мозга
Лучевая диагностика лучевой миелопатии
а) Терминология:
1. Сокращения:
• Хронический прогрессирующий лучевой миелит (ХПЛМ)
• Поздняя лучевая миелопатия (ПЛМ)
• Лучевой некроз (ЛИ)
2. Определения:
• Повреждение паренхимы спинного мозга на фоне лучевой терапии злокачественных опухолей как собственно спинного мозга, так и близлежащих тканей
1. Общие характеристики:
• Наиболее значимый диагностический признак:
о Отек спинного мозга + контрастное усиление его паренхимы
• Локализация:
о В основном поражаются белое вещество, соответствующее локализации латеральных спиноталамических трактов, задние столбы спинного мозга
о Ограничено областью облучения:
- Границы зоны облучения нередко видны в виде жировой перестройки костного мозга тел позвонков
• Размеры:
о Зависят от размеров области облучения
о Клиническая симптоматика может отражать более протяженное повреждение спинного мозга по сравнению с его видимыми МР-изменениями
• Морфология:
о Веретеновидное утолщение спинного мозга с неправильной формы очагом контрастного усиления в его толще (ранний признак)
о Очаговая атрофия спинного мозга (поздний признак)
2. Рентгенологические данные лучевой миелопатии:
• Рентгенография:
о Изменений не выявляет
3. КТ при лучевой миелопатии:
• Бесконтрастная КТ:
о ± отек спинного мозга
о Нечувствительна в отношении диагностики лучевых изменений спинного мозга
• КТ с КУ:
о ± отек спинного мозга
о ± контрастное усиление спинного мозга
4. МРТ при лучевой миелопатии:
• Т1-ВИ:
о Утолщение спинного мозга, снижение интенсивности сигнала спинного мозга
о Очаговая атрофия спинного мозга как поздний признак
• Т2-ВИ:
о Веретеновидное утолщение спинного мозга, усиление интенсивности сигнала спинного мозга
о Очаговая атрофия спинного мозга, усиление интенсивности сигнала его паренхимы как поздние признаки
• STIR:
о Аналогичные Т2-ВИ изменения
о Снижение интенсивности сигнала при посглучевой жировой перестройке костного мозга тел позвонков
• Д-ВИ:
о Ограничение диффузии, свидетельствующее об ишемическом повреждении спинного мозга
• Т1-ВИ с КУ:
о ± кольцевидное или неправильной формы контрастное усиление, окруженное отечной паренхимой спинного мозга
о Накапливающий контраст очаг позднее становится очагом атрофии паренхимы спинного мозга
5. Несосудистые интервенционные рентгенологические исследования:
• Миелография
о Непрямые признаки повреждения спинного мозга:
- Отек спинного мозга
- Атрофия спинного мозга на поздней стадии заболевания
6. Рекомендации по визуализации:
• Наиболее оптимальный метод диагностики:
о Разноплоскостная МРТ, включающая исследование с КУ
• Протокол исследования:
о FST1 с КУ является наиболее чувствительным режимом диагностики поражений спинного мозга

(Слева) Сагиттальный срез, FS Т2-ВИ, пациент после курса лучевой терапии по поводу рака полости рта: патологическое веретеновидное утолщение и гиперинтенсивность сигнала шейного отдела спинного мозга на уровне С2-СЗ. Обратите также внимание на диффузное подавление сигнала костного мозга тел позвонков вследствие его постлучевой жировой перестройки.
(Справа) Сагиттальный срез, FS T1-ВИ с КУ, пациент после курса лучевой терапии по поводу рака полости рта: в толще спинного мозга на уровне С2 определяется очаг накопления контраста. Обратите внимание на диффузное подавление сигнала костного мозга тел позвонков вследствие его постлучевой жировой перестройки.
в) Дифференциальная диагностика лучевой миелопатии:
1. Поперечный миелит:
• Более быстрое развитие клиники миелопатии
• Клинически значимые предрасполагающие факторы в виде недавно перенесенной вирусной инфекции или вакцинации
2. Рассеянный склероз:
• Множественные очаги ± контрастное усиление
• Очаги неоднородно гиперинтенсивного сигнала на Т2-ВИ
• Чувствительные нарушения на ранней стадии заболевания
• Периоды обострения и ремиссии клинической симптоматики
3. Инфаркт спинного мозга:
• Острое развитие клиники паралича
• Преимущественное поражение серого вещества спинного мозга
4. Астроцитома:
• Очень медленное развитие и прогрессирование заболевания
5. Киста:
• Медленное развитие симптоматики
• Наличие дискретной полости, нередко - эксцентричное ее расположение

(Слева) Сагиттальный срез, Т2-ВИ: диффузное утолщение и гиперинтенсивность сигнала шейного отдела спинного мозга у пациента, получавшего ранее лучевую терапию по поводу рака носоглотки.
(Справа) Нa сагиттальном Т1 -ВИ с КУ у этого же па -циента определяется пятнистое контрастное усиление на протяжении нескольких сегментов в пределах утолщенного участка спинного мозга. Обратите также внимание на патологические снижение интенсивности сигнала паренхимы спинного мозга выше и ниже очагов усиления вследствие отека спинного мозга.
1. Общие характеристики:
• Этиология:
о Лучевое повреждение паренхимы спинного мозга
о Обычно развивается при дозах облучения > 50 Гр:
- Однако может наблюдаться и при меньших дозах
о Фракционирование дозы > 2 Гр за сеанс
о Одновременное проведение химиотерапии может служить предрасполагающим фактором:
- Особенно при интратекальном введении препаратов
• Сочетанные изменения:
о Жировая перестройка костного мозга позвонков в области облучения
2. Макроскопические и хирургическое особенности:
• Отек и утолщение спинного мозга
3. Микроскопия:
• Демиелинизация нервных волокон, наиболее выраженная в области боковых и задних столбов спинного мозга
• Макрофаги с большим числом липидных включений в цитоплазме
• Отечные астроциты
• Повреждение эндотелия
• Гиалиноз стенок интрамедуллярных сосудов
• Некроз
• Очаговые депозиты кальция

(Слева) Сагиттальный срез, Т1-ВИ: случай распространенных постлучевых изменений спинного мозга в виде значительного и диффузного веретеновидного утолщения нижнешейного и грудного отделов спинного мозга. Область облучения ограничена жировыми изменения костного мозга — тела С6, С7 и верхнегрудных позвонков.
(Справа) Нa сагиттальном Т2-ВИ пациента, получавшего лучевую терапию по поводу меланомы, определяются признаки распространенной постлучевой миелопатии шейного и грудного отдела спинного мозга в виде диффузной гиперинтенсивности сигнала этих сегментов спинного мозга.
1. Клиническая картина:
• Наиболее распространенные симптомы/признаки
о Прогрессирующие чувствительные и моторные нарушения
• Другие симптомы/признаки:
о Тазовые нарушения
• Особенности клинической картины
о Прогрессирование чувствительных и моторных нарушений, развивающееся спустя один месяц → несколько лет после окончания фракционированной лучевой терапии
о Лучевая терапия по поводу рака легкого или носоглотки, лучевая терапия по поводу лимфомы (особенно в сочетании с интрате-кальным введением метотрексата) являются наиболее значимыми факторами риска
2. Демография:
• Возраст:
о Любой
• Пол:
о Половая предрасположенность отсутствует
• Эпидемиология:
о Нечасто встречающееся осложнение лучевой терапии
3. Течение заболевания и прогноз:
• В большинстве случаев состояние характеризуется неуклонно прогрессирующим течением
4. Лечение лучевой миелопатии:
• В некоторых случаях на ранней стадии заболевания бывает эффективна гипербарическая оксигенация
е) Диагностическая памятка:
1. Следует учесть:
• Тщательная разметка поля облучения и фракционирование общей дозы (особенно в случаях, когда доза облучения в расчете на один сеанс превышает 2 Гр)
2. Советы по интерпретации изображений:
• Поздняя очаговая атрофия спинного мозга в области сегментов, которые ранее характеризовались контрастным усилением сигнала
• Сопутствующая жировая перестройка костного мозга тел позвонков в зоне облучения является ключом к правильному диагнозу
• Патологические изменения спинного мозга не всегда можно увидеть на МР-томограммах
Рентгенограмма, МРТ изменений костей после лучевой терапии
а) Определения:
• Спектр патологических изменений костных структур, связанных с облучением:
о Острые неопухолевые аномальные изменения костного мозга
- Локальный или диффузный характер, изменение со временем
о Хроническое замещение красного костного мозга желтым костным мозгом
о Постлучевой остеонекроз
о Постлучевые деформации роста
о Постлучевая остеохондрома
о Постлучевая саркома
о Патологические переломы
1. Общая характеристика:
• Лучший диагностический критерий:
о Любые из перечисленных изменений (остеонекроз, деформация роста, остеохондрома, саркома), расположенных в квадратной, портоподобной области
• Локализация:
о Любая область (порт) облучения; наиболее часто:
- Поясничный отдел позвоночника (лучевая терапия опухоли Вильмса)
- Малый таз (лучевая терапия онкологических заболеваний мочеполовой системы или ЖКТ)
- Плечевой пояс (лучевая терапия подмышечных лимфоузлов при раке молочной железы или мантийная лучевая терапия при болезни Ходжкина)
- Длинные кости (облучение всей кости при саркоме Юинга или лимфоме)
(Слева) МРТ Т1ВИ, сагиттальный срез: заметное увеличение количества желтого костного мозга в позвонках поясничного отдела и крестце в результате лучевой терапии с отчетливой границей на уровне T12-L1 сегментов (граница области облучения). Патологические переломы в нижней замыкательной пластинке тела L3 и верхней замыкательной пластинке тела L5 позвонков обусловлены хрупкостью некротизированной кости.
(Справа) Рентгенография в боковой проекции: портопободное распределение смешанных литических и склеротических изменений костной ткани с вовлечением пяточной кости и подошвенной поверхности таранной кости. Представлен типичный случай постлучевого остеонекроза. (Слева) Рентгенография в ПЗ проекции: через несколько месяцев после лучевой терапии подмышечных лимфоузлов у пациентки с раком молочной железы выявлена легкая остеопения головки плечевой кости и суставной впадины лопатки.
(Справа) Рентгенография в ПЗ проекции: у этой же пациентки три года спустя наблюдается явная деструкция костной ткани суставной поверхности В и более выраженные смешанные литические и склеротические изменения в головке плечевой кости, суставной впадине лопатки и клювовидном отростке. Вовлеченные в процесс костные структуры расположены в пределах квадратной области («порт»), что характерно для постлучевого остеонекроза. (Слева) Рентгенография в ПЗ проекции: определяются смешанные литические и склеротические поражения лопатки, ключицы, фрагмента головки плечевой кости и смежных ребер. Поражения лопатки выглядят умеренно агрессивными. Эти изменения соответствуют остеонекрозу после лучевой терапии подмышечных лимфатических узлов.
(Справа) Рентгенография в ПЗ проекции: остеохондрома, произрастающая из шейки левой бедренной кости. Кроме того, определяется гипоплазия крыла левой подвздошной кости, крестцового крыла и тел позвонков поясничного отдела. Вовлеченные структуры расположены в области «порта» облучения.
2. Рентгенография изменений костей после лучевой терапии:
• Острые изменения костного мозга: нет рентгенологических признаков
• Постлучевой остеонекроз:
о Нарушение нормального трабекулярного рисунка
о Смешанный литический и склеротический характер деструкции кости
о Обычно нарушение целостности кортикального слоя отсутствует, но поражение может иметь агрессивный вид
о Головки бедренных и плечевых костей: разрушение областей, несущих весовую нагрузку
• Постлучевые деформации роста:
о Обнаруживаются только в случае, если лучевая терапия проводилась до полного развития скелета и достижения окончательного роста
о Позвоночник: внешние проявления зависят от того, захватывает ли поле облучения полностью тело позвонка:
- «Кость внутри кости» наблюдается в 9-12 месяцев
- Если облучают только половину тел позвонков (в корональной плоскости) развивается сколиоз с вогнутостью на стороне гипоплазированных (коротких) облученных тел позвонков:
Прогрессирование сколиоза со «скачками роста»
- Если облучению подвергаются тела позвонков по всей их ширине, возникает симметричная их гипоплазия
- В смежных отделах позвоночника наблюдаются нормальные высота и положение тел позвонков
о Таз или плечевой пояс: гипоплазия облучаемой области; смежные кости в норме
о Длинная кость: при облучении всей кости она имеет меньшую длину по сравнению со смежными нормальными костями
- Облучение зоны роста → расширение зоны роста, фрагментация метафиза:
Возможно развитие плотных метафизарных полос
- Периостальное новообразование костной ткани → гипотубуляция
• Постлучевая остеохондрома:
о Идентична другим экзостозам:
- Ножка, состоящая из нормальной кости с нормальным кортикальным слоем, растущая из нормальной кости и имеющая хрящевой «колпачок»
о Возможен множественный характер; редко трансформируется в хондросаркому
• Утолщение кортикального слоя в сочетании с патологическим переломом
• Постлучевая саркома:
о Постлучевой остеонекроз нижележащей кости (50%)
о Новое деструктивное поражение костной ткани в области облучения:
- Разрушение кости по типу «изъеденности молью», периостальная реакция
- Разрушение кортикального слоя кости, мягкотканное объемное образование
- Часто наблюдается формирование остеоида, поскольку остеосаркома является наиболее частым клеточным типом постлучевой саркомы
3. МРТ изменений костей после лучевой терапии:
• Острые изменения костного мозга после локального облучения:
о Множественные округлые очаговые изменения в 37% случаев, диффузные изменения в костях, входящих в область облучения в 10% случаев
о Местные изменения: линейные, криволинейные, фрагментарные, смешанные
о Т1 ВИ: низкая интенсивность сигнала, между мышечной и жировой тканями
о Чувствительные к жидкости МР-последовательности: высокая интенсивность сигнала
о Неоднородное умеренное контрастирование
о Увеличиваются или изменяются со временем; могут приобретать крупные размеры; необъемная конфигурация
• Хронические изменения костного мозга после лучевой терапии:
о Замещение костного мозга жировой тканью; высокая интенсивность сигнала на Т1 ВИ
• Постлучевой остеонекроз:
о Головки бедренных или плечевых костей: нормальная картина остеонекроза (симптом «двойной линии»):
- Уплощение отделов, несущих весовую нагрузку
о Другие локализации: потеря нормального трабекулярного рисунка:
- Смешанная низкая и высокая интенсивность сигнала, что соответствует склеротическим и литическим зонам на рентгенограмме
• Радиационно-индуцированные деформации роста:
о Раннее замыкание зон роста
• Постлучевая остеохондрома:
о Типичные МР-признаки остеохондромы:
- Ножка с нормальными кортикальным слоем кости и костным мозгом, растущая из нормальной кости:
В материнской кости могут иметься хронические изменения костного мозга в виде его замещения жировой тканью
- Хрящевой «колпачок»: высокая интенсивность сигнала с перегородками на чувствительных к жидкости МР-последовательностях
о Обычно возникают по периферии облучаемого поля
• Постлучевая саркома:
о Постлучевой остеонекроз нижележащей кости (50%)
о Изменения костного мозга с приобретением инфильтративного их характера
о Нарушение целостности кортикального слоя, мягкотканное объемное образование: неоднородно высокая интенсивность сигнала на Т2 ВИ
о Периостальная реакция, отек мягких тканей и костного мозга
о Диффузное контрастное усиление кости и мягкотканного объемного образования, реактивный отек
(Слева) Рентгенография лопатки в косой проекции: визуализируется экзостоз, произрастающий из нижней поверхности тела кости. Несколько лет назад этот пациент подвергался мантиевидной лучевой терапии по поводу болезни Ходжкина.
(Справа) Рентгенография органов грудной клетки в ЗП проекции: у этого же пациента определяется расширение корней легких, которое представляет собой другое постлучевое состояние (мантиевидная лучевая терапия). Остеохондромы могут возникать в поле облучения, чаще по его периферии. Этот пациент старше возраста характерного для развития остеохондромы; обычно эта опухоль возникает у пациентов, которые подвергались облучению в возрасте менее двух лет. (Слева) Рентгенография в ПЗ проекции: определяется характерная деформация роста с выраженной гипоплазией крестца, нижней части поясничного отдела позвоночника и крыльев подвздошной кости, включая вертлужные впадины. Седалищные и бедренные кости в норме. Этот пациент в молодом возрасте перенес лучевую терапию по поводу опухоли таза.
(Справа) Рентгенография в ПЗ проекции: определяется относительная гипоплазия левых отделов тел Т12, L1, L2 и L3 позвонков, что обусловливает асимметричную платиспондилию и сколиоз. Такие изменения являются следствием лучевой терапии опухоли Вильмса слева; обратите внимание на клипсы в области почечной ямки. (Слева) Рентгенография поясничного отдела позвоночника в ПЗ проекции: отмечается легкий левосторонний сколиоз, являющийся следствием асимметричной платиспондилии: правые отделы тел поясничных позвонков короче их левых отделов.
(Справа) Рентгенография в боковой проекции, этот же пациент: подтверждается асимметричная платиспондилия с «двойными» замыкательными пластинками, визуализируемыми на каждом уровне. Деформация роста у данного пациента обусловлена предшествующей лучевой терапией почечной ямки справа. Обратите внимание, что на обеих рентгенограммах Т12 и L5 позвонки имеют нормальную высоту.
в) Дифференциальная диагностика:
1. Повреждение трабекул в облучаемой кости:
• Постлучевой остеонекроз:
о Может осложняться остеомиелитом
• Рецидив опухоли:
о Обычно возникает в течение первых двух лет после терапии
• Постлучевая саркома:
о Обычно имеет латентный период в 7-20 лет
1. Общая характеристика:
• Этиология:
о Постлучевые изменения костного мозга:
- Вероятный постлучевой остеонекроз
о Патологические переломы, связанные с ↓ количества остеокластов и свободная аппозиция минералов в кортикальном слое кости
о Постлучевой остеонекроз
- Нарушение функции остеобластов
о Постлучевые деформации роста:
- Облучение вызывает нарушение микроциркуляторного кровоснабжения эпифиза → раннее замыкание зон роста → короткая или гипопластичная кость
- Возможно и прямое клеточное повреждение остеоцитов
о Постлучевая остеохондрома:
- Предполагается, что она обусловлена постлучевой миграцией недифференцированной хрящевой ткани в метафиз из эпифизарной пластинки
2. Макроскопические и хирургические особенности:
• Постлучевая остеохондрома:
о Гистологически идентична другим экзостозам
• Постлучевая саркома:
о В большинстве случаев остеонекроз нижележащей кости
о Преобладают высокодифференцированная остеосаркома и злокачественная фиброзная гистиоцитома
(Слева) Рентгенография в ПЗ проекции: определяется агрессивное поражение с крупным мягкотканным объемным образованием, содержащим остеоид. Изменения имеют смешанную плотность: присутствует литический и склеротический компонента, отмечается выраженное укорочение плечевой кости относительно грудной клетки. Такие изменения характерны для постлучевого остеонекроза с вторичной остеосаркомой.
(Справа) Рентгенография лопатки в Y-проекции: визуализируется крупное мягкотканное объемное образование, содержащее опухолевую ткань. Эта пациентка 10 лет назад перенесла лучевую терапию по поводу рака молочной железы; лопатка находится в поле облучения. У женщины развилась постлучевая остеосаркома. (Слева) Рентгенография в ПЗ проекции: визуализируются клипсы, распределение которых характерно для резекции лимфатических узлов при раке предстательной железы. Кроме того, отмечается аморфный склероз вокруг области запирательного отверстия.
(Справа) МРТ Т1ВИ, корональный срез: у этого же пациента обнаруживается замещение костною мозга ветви лобковой кости слева патологическим компонентом. Кроме тою, в области запирательною отверстия визуализируется слабо определяемый гипоинтенсивный компонент (зона остеосклероза на рентгенограмме), что подтверждает наличие опухолевого остеоида в мягкотканном объемном образовании. (Слева) МРТ PD-ВИ, режим подавления сигнала от жира, аксиальный срез через запирательное отверстие: у этою же пациента визуализируется крупное мягкотканное объемное образование, содержащее опухолевый остеоид и простирающееся кзади во внутреннюю запирательную мышцу.
(Справа) Постконтрастное МРТ Т1ВИ, режим подавления сигнала от жира, корональный срез: у этою же пациента определяется крупное объемное образование, содержащее остеоид. У этою мужчины 75 лет, перенесшею лечение по поводу рака предстательной железы, можно обоснованно предположить развитие постлучевой остеосаркомы. При таком типе вторичной остеосаркомы прогноз неблагоприятный.
1. Проявления:
• Типичные признаки/симптомы:
о Постлучевой остеонекроз:
- Боль, → остеоартроз при локализации в головках бедренных или плечевых костей
- Патологический перелом
о Постлучевая деформация роста:
- Сколиоз или несоответствие длины конечностей
о Постлучевая остеохондрома:
- Объемное образование, импиджмент-синдром
о Постлучевая саркома:
- Возобновление боли, набухание, патологический перелом
2. Демография:
• Эпидемиология:
о Неопухолевые аномальные изменения костного мозга:
- 45% облучаемой кости
- Средний латентный период 9 и 24 месяца в двух исследованиях
- Средняя доза излучения 5900 сГр
о Постлучевая остеохондрома:
- Распространенность 6-24% в двух сериях случаев
- Остеохондрома возникает в 10 раз чаще при облучении кости, чем при его отсутствии
- Чаще выявляется у пациентов, которым проводился курс лечения по поводу опухоли Вильмса или нейробластомы:
Лучевая терапия обычно в возрасте от 8 месяцев до 11 лет (чаще Доза излучения обычно 1500-5500 сГр
Латентный период 3-17 лет (в среднем: 5-12 лет в разных исследованиях)
о Постлучевая саркома:
- Риск возникновения в облученной кости составляет 0,03-0,8%:
Дети, получающие высокодозную лучевую терапию и химиотерапию, подвержены наибольшему риску
Распространенность постлучевой саркомы возрастает по мере выживаемости детей при первичной малигнизации и лечении
- 50-60% - остеосаркома; облучение - причина 3,4-5,5% остеосарком
- Дозы излучения обычно > 2000 сГр; чаще 5500 сГр
- Латентный период обычно составляет большое количество лет (в среднем: 11 лет), но может составлять всего два года:
Обратно пропорционален дозе излучения
4. Лечение:
• Острые и хронические изменения костного мозга после лучевой терапии мягкотканного объемного образования: лечение отсутствует
• Постлучевой остеонекроз: артропластика при ее возможности
• Постлучевая остеохондрома: краевая резекция при болезненности
• Постлучевая саркома: химиотерапия и широкая резекция
е) Диагностическая памятка. Советы по интерпретации изображений:
• Ключом к постановке диагноза постлучевых изменений часто является характер распределения изменений:
о Выполните поиск распределения изменений в квадратной области, окруженной неизмененными тканями
Побочные эффекты лучевой терапии
Когда и почему могут встречаться постлучевые изменения?
Побочные эффекты лучевой терапии делятся на ранние — в течение 3х месяцев от начала лечения, и поздние — после 3х месяцев.
Ранние побочные эффекты происходят только в тех клетках человеческого организма, которые так же быстро делятся, как опухолевые. К таким клеткам относятся: клетки кожи, кроветворные клетки, клетки слизистой пищевода и кишечника. С этим могут быть связаны соответствующие побочные эффекты.
Как могут пострадать кожа и слизистые оболочки и что с этим делать?
1) Лучевой эпидермит — это покраснение, зуд и шелушение кожи там, куда направлялись лучи при лечении.
Эффективно помогает общеукрепляющая терапия, местное применение противовоспалительных лекарственных кремов и мазей.
Особое значение во время лучевой терапии имеет очищение кожи. Необходим тщательный уход за ней для профилактики раздражения. Важные особенности этого периода:
- Лучше принимать душ, а не ванну.
- Желательно мыться теплой водой, а не горячей.
- Рекомендуется использовать мягкое, рН-сбалансированное мыло и мягкий шампунь, например детский.
- Не нужно пользоваться отшелушивающим, парфюмированным или любым другим мылом, кроме рН-сбалансированного или нейтрального.
- Очищайте кожу аккуратно, тщательно ополаскивайте водой. Не трите и не скребите поврежденную область.
- Не брейте область облучения.
- Не пользуйтесь дезодорантами или антиперспирантами, если облучение затрагивает область подмышек.
- Не удаляйте специальные метки на коже до последнего сеанса лечения.
Чем увлажнять кожу во время лучевой терапии?
Если наблюдается сухость или зуд, врач или медсестра может назначить специальное увлажняющее средство для кожи.
- Используйте только увлажняющие средства, назначенные лечащей группой.
- Не используйте увлажняющие средства в течение часа после облучения.
- Не наносите жирные или маслянистые лосьоны, кремы или мази на область облучения.
- Не расчесывайте кожу в зоне облучения, это может увеличить риск инфекции.
Что носить во время лучевой терапии?
Одежда может вызывать раздражение кожи во время лучевой терапии.
- Носите мягкую свободную одежду. Избегайте облегающей в области облучения одежды.
- Старайтесь оставлять область облучения максимально открытой.
- Если облучение направлено на область головы, не носите головные уборы.
- Стирайте вещи мягким средством для стирки без отдушек.
Нужна ли защита от солнца во время и после лучевой терапии?
Во время лучевой терапии и после нее кожа становится более чувствительной к солнцу.
- Защищайте облученные области от солнца. Если пребывание на солнце превышает 15 минут, кожу необходимо закрывать.
- Избегайте пребывания на солнце с 10 утра до 4 вечера.
- Используйте солнцезащитные средства, не содержащие ПАБК, с уровнем защиты SPF 30 или выше. Смывайте солнцезащитное средство перед лучевой терапией.
Как может пострадать система пищеварения?
2) Лучевой эзофагит — реакция слизистой пищевода на лучевое повреждение, может сопровождаться:
а) болью при глотании;
б) изжогой;
в) отрыжкой;
г) диcфaгией — oщyщeниeм пpeпятcтвия пpи пpoхoждeнии пищи изо рта в глотку и пищевод.
Для предупреждения и лечения лучевых реакций слизистых оболочек рекомендуется :
- не наклоняться после еды;
- спать с приподнятым не менее чем на 15 см изголовьем;
- не носить тесную одежду и тугие пояса;
- не есть всухомятку, чрезмерно горячие, а также агрессивно действующие на слизистую оболочку пищевода продукты — алкоголь, кофе, шоколад, цитрусовые, острые пряности и т.п.;
- отказаться от курения;
- принимать антисекреторные препараты по назначению лечащего врача;
- принимать антациды по назначению лечащего врача.
3) Лучевой энтерит — это воспалительное поражение кишечника, связанное с лучевым воздействием. Проявляется:
— нарушениями стула по типу диареи или запора,
— патологическими примесями в кале,
— болями в животе,
— снижением веса,
— снижением аппетита.
Как предотвратить энтерит или снизить его выраженность?
Диета. Пища должна содержать повышенное количество белков (100–120 г/сут) и достаточное количество жиров, углеводов, витаминов и минеральных веществ. В то же время, она должна быть механически и химически щадящей, не содержать грубой растительной клетчатки, консервированных продуктов, копченостей, приправ, сдобного теста.
Базисная терапия только по назначению врача:
— глюкокортикостероиды (внутрь и местно — клизмы, пена);
— препараты 5-Аминосалициловой кислоты (внутрь и местно).
Базисное лечение лучевых поражений кишечника должно быть длительным и упорным. Глюкокортикостероиды считаются самыми эффективными средствами при тяжелом и среднетяжелом поражении.
Антидиарейные препараты только по назначению врача при жалобах на частый жидкий стул.
Какие осложнения могут быть со стороны других органов?
При облучении молочной железы также могут возникнуть осложнения со стороны легких, сердца, пищевода.
Ранние лучевые повреждения легких чаще протекают как острая лучевая пневмония и могут протекать малосимптомно. Если появляются одышка и кашель, следует обратиться к пульмонологу для лечения и профилактики поздних осложнений.
Для профилактики лучевого поражения при дозиметрическом планировании стремятся минимизировать облучение лёгких.
При облучении сердца выше 50 Грей может проявиться лучевое повреждение сердца в виде нарушения питания мышцы и функции органа. Лечение лучевых повреждений сердца в основном симптоматическое и назначается кардиологом. Профилактика:
- проведение лечения на современных линейных ускорителях;
- более точное подведение дозы, щадящее здоровые органы и ткани.
Что относится к поздним постлучевым изменениям и что с этим делать?
Поздние постлучевые изменения, как правило, следствие неполного восстановления после ранних побочных эффектов. Они проявляются фиброзом тканей — разрастанием соединительной ткани в поврежденных органах. Возможно образование свищей между органами.
В прошлом лучевой фиброз считался необратимым. С недавнего времени тяжелый радиационно-индуцированный фиброз молочной железы считается активным процессом, который можно обратить вспять с помощью лекарственной терапии .
Лучевая терапия при раке молочной железы также может вызвать вторичный рак. Наиболее часто — рак щитовидной железы и кожи.
Какие бывают поздние постлучевые изменения со стороны разных органов систем?
1) Повреждения костей — от легкого, преходящего нарушения до воспалительных процессов в костной ткани и патологических переломов.
2) Гепатит — при раке правой молочной железы в зону облучения может попасть часть печени, что случается в 5–10% случаев при облучении печени выше 30-35 Грей. После облучения может развиться радиационный гепатит с нарушением функций печени, что проявляется:
— болью в правом подреберье,
— желтушностью кожи,
— изменением цвета мочи или кала.
Профилактика: использование для лучевой терапии линейных ускорителей с более точным подведением дозы, щадящих здоровые органы и ткани.
3) Поздние лучевые изменения лёгких встречаются с частотой 5-50% и развиваются через 1-2 года в виде локального фиброза. Клиническая картина скудная. У больных отмечается редкий кашель, одышка при физической нагрузке. Процесс имеет уже постоянный характер в отличие от раннего легочного повреждения.
Профилактика: своевременная терапия острого постлучевого пульмонита.
Лечение — профилактика пневмосклероза, противовоспалительные мероприятия:
— массивная антибиотикотерапия,
— бронхолитические смеси,
— отхаркивающие средства,
— антикоагулянты,
— курс ингаляций кортикостероидными и другими противовоспалительными препаратами,
Терапия назначается лечащим врачом.
4) Миелит — постлучевые повреждения спинного мозга. Их появление связано с тем, что спинной мозг трудно исключить из зоны облучения при терапии рака молочной железы. Симптомы лучевого миелита:
- резкие боли в области затылка;
- быстрая утомляемость;
- боли в области крестца с иррадиацией по задней поверхности ног до пяток;
- снижение мышечной силы,
- онемение в конечностях,
- неуверенность походки.
Эти симптомы могут появиться в период от 2-5 месяцев до 5 лет после облучения.
Профилактика: рассчитать как можно меньшую дозу облучения на зону спинного мозга еще на этапе планирования терапии.
5) Лимфедема — отек мягких тканей. Встречается с частотой 6-60% в зависимости от того, была ли операция и удалены ли регионарные лимфатические узлы. При комбинации лучевой терапии и хирургического лечения риск лимфедемы высокий . Лучевая терапия может повреждать лимфатические узлы и сосуды, что нарушает отток лимфатической жидкости и ведет к ее накоплению в тканях. Лимфедема проявляется в виде отека верхней конечности.
Это временный побочный эффект, они может появляться через месяцы или даже годы после лечения.
— увеличение руки в объеме,
— покраснение кожи,
— дискомфорт и боль.
Профилактика: важно избегать давления, травм и инфицирования руки и сразу обращаться к врачу при появлении каких-либо признаков лимфатического отека. Подробнее читайте в статье «Лимфостаз» .
При вовлечении в зоны облучения клеток красного костного мозга, могут быть последствия в виде анемии, тромбоцитопении и нейтропении. Предупреждение их зависит от планирования облучения, дозиметрического планирования, использования линейных ускорителей с щадящими окружающие органы механизмом облучения (VMAT, IMRT, IGRT, протонная терапия). Последствия побочных эффектов корректируются лечащим врачом.
Читайте также:
- Дифференциация стволовых клеток тонкой кишки - эмбриогенез, морфогенез
- Первичная лимфома неба. Подострый сиаладенит. Некротизирующая сиалометаплазия.
- Перспективы изучения ядра клетки
- Контрастность рентгеновского снимка. Регулирование контрастности рентгеновского изображения
- Генетический скрининг. Генетическая ассоциация болезни
